Диагностика дистального прикуса. Лечение дистального прикуса
Добавил пользователь Евгений Кузнецов Обновлено: 08.11.2025
По данным исследований у большинства людей наблюдается неправильный прикус. При этом большая часть даже не знает о наличии проблемы, а к ортодонту приходят только с проблемой «неровных зубов». Но неправильный прикус не всегда сопровождается нарушением эстетики зубного ряда. Прикус или окклюзия — это положение зубов и челюстей при смыкании. Физиологичный или нормальный прикус — это когда зубы в зубном ряду имеют плотные контакты, жевательные поверхности зубов-антагонистов (зубов на противоположной челюсти) равномерно смыкаются друг с другом, верхние резцы перекрывают нижние на 1/3.
Неправильный прикус может принимать 2 формы: зубную и скелетную.
При зубной форме прикуса патологическое смыкание формируется из-за неправильного расположения зубов, их аномального размера, недостатка или сверхкомплектности, а также неправильного развития зубоальвеолярного отростка — той части полости рта, откуда растут зубы. При таком прикусе, челюсти пациента, как правило, имеют правильный физиологичный размер и расположение.
Неправильный прикус может быть сочетанием скелетных и зубных аномалий, а также один тип может быть следствием другого: из-за неправильного положения челюстей криво растут зубы, и наоборот, неправильное положение зубов приводит к вынужденному положению челюстей и закреплению прикуса в скелетную форму.
Причины неправильного прикуса
Неправильный прикус обычно является результатом совокупности причин. Для всех видов неправильной окклюзии существует ряд общих факторов возникновения.
- Генетическая предрасположенность — передача зубочелюстных аномалий от родителей.
- Частое или постоянное ротовое дыхание, если нормальное дыхание носом затруднено или невозможно из-за ЛОР-заболеваний (ринит, синусит, искривление перегородки). При дыхании ртом язык, челюсти и губы находятся в нефизиологичном положении и постоянном напряжении, что влияет на рост челюсти, альвеолярного отростка и положение зубов.
- Вредные привычки детского возраста, мешающие адекватному росту зубов, костей, положению позвоночника. К ним относятся: долгое сосание пустышки, пальца или посторонних предметов, привычка трогать растущий зуб языком или руками, неправильная осанка в положении сидя.
- Недостаток кальция и других питательных веществ при внутриутробном развитии и в детском возрасте негативно сказывается на росте костей.
- Неправильное искусственное вскармливание из бутылочки с широким отверстием. Если младенец не напрягает мышцы при кормлении (как это происходит при грудном вскармливании), то рост челюстей не стимулируется.
- Проблемы зубов при молочном и сменном прикусе. К ним относятся все факторы, нарушающие физиологичное смыкание: сверхкомплектность или неполное количество зубов, ранее выпадение или разрушение зуба, непропорционально большие или маленькие зубы, недостаток места в зубном ряду.
- Неправильное протезирование — фактор нарушения прикуса у взрослых.
Последствия неправильного прикуса
Главным негативным последствием неправильного прикуса является неравномерное распределение нагрузки на зубы. Зубы, которые нормально смыкаются, принимают на себя всю жевательную работу, отчего быстрее изнашиваются и разрушаются.
Именно неправильно распределенная нагрузка становится причиной кариеса, заболеваний и кровоточивости десен, подвижности в области задействованных в жевании зубов.
Неравномерная нагрузка влияет на височно-нижнечелюстной сустав — при жевании он движется неравномерно, суставная головка смещается, что приводит к болям, щелчкам, «заклиниванию».
При неправильном смыкании зубы стираются друг о друга или травмируют слизистую.
Неправильный прикус не просто ведет к потере зубов, но и усложняет их восстановление: для имплантации и коронки нужно создание места.
Кроме того, неправильный прикус обычно сопровождается неровными, некрасивыми зубными рядами, что мешает чувствовать себя уверенно.
Виды прикусов
Зубы смыкаются в трех плоскостях: вертикальной (по высоте зубных коронок), саггитальной (по длине зубных рядов и челюстей относительно друг друга), транвезиальной (по боковому соотношению зубов и челюстей). В зависимости от нарушения нормы смыкания в каждой плоскости выделяют различные виды прикуса.
Дистальный прикус
Дистальный прикус — это нарушение смыкания зубов в саггитальной плоскости, при котором верхняя челюсть или зубной ряд значительно выступает вперед относительно нижней. Для нарушения окклюзии в саггитальной плоскости (дистальной или мезиальной) характерно наличие саггитальной щели — расстояния между верхними и нижними резцами.
Распространенные причины: раннее искусственное вскармливание. Младенцы рождаются с дистальным прикусом, и нижняя челюсть догоняет в росте верхнюю за счет активной работы при кормлении. Неправильное искусственное вскармливание лишает мышцы естественной нагрузки и рост замедляется.
Характерные последствия: дисфункция ВНЧС, разрушение зубов из-за неравномерной нагрузки.


Мезиальный прикус
При мезиальном прикусе нижний зубной ряд, наоборот, выступает вперед относительно верхнего. Для него характерно (но необязательно) обратное резцовое перекрытие, то есть перекрытие верхних резцов нижними. Мезиальную окклюзию можно определить по массивной, выступающей нижней челюсти, западающей верхней губе.
Распространенные причины: аномалии роста челюстей (наследственность, заболевания), сверхкомплектные или очень большие зубы в нижнем зубном ряду.
Характерные последствия: дисфункция ВНЧС, нарушения эстетики.


Открытый прикус
Нарушение смыкания в вертикальной плоскости, при котором отдельные зубы или отделы верхней и нижней челюстей не смыкаются друг с другом.
Распространенные причины: привычка подолгу держать что-то во рту (соска, карандаш, палец), особенно во время роста зубов.
Характерные последствия: проблемы ЖКТ из-за нетщательного пережевывания пищи, разрушение зубов, которые участвуют в жевании.


Глубокий прикус
Глубокая окклюзия тоже относится к смыканию в вертикальной плоскости. Но в отличие от открытого прикуса, характеризуется слишком низким положением передних верхних зубов, в котором они закрывают нижние резцы более чем на половину или полностью. Глубокий прикус часто является следствием дистального.
Распространенные причины: дыхание ртом, вредные привычки, долгое отсутствие нижних зубов.
Характерные последствия: травмы слизистой из-за касания зубами.


Перекрестный прикус
Такой прикус можно определить по неестественным перекрытиям зубных рядов в разных отделах: верхние зубы «прячутся» за нижние или, наоборот, полностью перекрывают нижние в боковых отделах (там, где должны смыкаться жевательными поверхностями). Бывает, что не отдел, а один или два зуба могут занимать неправильную позицию, это называется перекрестным соотношением в области одного зуба.
Распространенные причины: вынужденное положение при смыкании (когда отдельные зубы мешают всему зубному ряду нормально сомкнуться)
Характерные последствия: стираемость зубов, дисфункция ВНЧС.


Лечение разных видов неправильного прикуса
В современной ортодонтии зубная форма любого вида неправильного прикуса поддается лечению на ортодонтических системах: брекетах, элайнерах, съёмных техниках (если лечение до постоянного прикуса),
Современные самолигирующие брекеты Damon Q при грамотно составленном плане лечения выравнивают любой прикус. Для ускорения лечения мы в «Конфиденции» рекомендуем индивидуализированную систему Insignia — с ней можно спрогнозировать результат лечения и исключить ошибки.
Если речь о скелетных формах прикуса, то не все они поддаются лечению только с помощью ортодонтических аппаратов. Иногда, чтобы скорректировать размер или положение челюсти, требуется сотрудничество ортодонта и ортогнатического хирурга. Наша клиника сотрудничает с проверенными специалистами и составляет совместный план лечения пациентов со сложными скелетными патологиями.
Любой вид прикуса можно вылечить безопасно и со стабильным результатом. Отказ от своевременного лечения ведет к усложнению и увеличению стоимости лечения в будущем.
Дистальный прикус
Дистальный прикус – нарушение окклюзии, обусловленное выдвижением верхнего зубного ряда вперед по отношению к нижнему при сомкнутых челюстях. Лицевые признаки дистального прикуса включают выступание верхней челюсти, скошенность подбородка («птичье лицо»), укорочение верхней губы и западение нижней; ротовые признаки представлены несмыканием верхних и нижних фронтальных зубов, неправильным смыканием боковых зубов. Могут иметь место нарушения дыхания, жевания, глотания, речи. Дистальный прикус диагностируется на основании клинического осмотра, изучения лицевого профиля, моделей челюстей, цефалометрических данных телерентгенографии, рентгенографии или томографии ВНЧС. Лечение дистального прикуса проводится с помощью ортодонтических приспособлений (функциональных аппаратов, брекетов и др.).
Общие сведения
Дистальный прикус – вариант неправильного прикуса, характеризующийся сдвигом нижнего зубного ряда назад по отношению к верхнему, резцовой дизокклюзией и нарушением взаимоотношения боковых зубов в сагиттальном направлении. В детском и подростковом возрасте дистальный прикус встречается у 6,5-15% обследуемых. В общей структуре зубочелюстных аномалий доля дистального прикуса составляет 31%. Наряду с мезиальным прикусом (прогенией), дистальная окклюзия зубных рядов относится к сагиттальным аномалиям прикуса. Понятию дистальный прикус в стоматологии также соответствуют термины «постериальный прикус», «прогнатический прикус» или «прогнатия».
Причины дистального прикуса
Следует отметить, что в норме у всех новорожденных нижняя челюсть имеет дистальное положение: она располагается на расстоянии 1-10 мм позади верхней, в результате чего между челюстями образуется сагиттальная щель. В дальнейшем, в процессе грудного вскармливания, прорезывания зубов и развития функции жевания положение нижней челюсти постепенно выравнивается, она занимает нормальное положение относительно верхней, а дистальный прикус переходит в ортогнатический. Таким образом, одной из причин формирования дистального прикуса выступает искусственное вскармливание, не требующее от ребенка особых усилий при сосании и, следовательно, не стимулирующее рост нижней челюсти.
Аномалии зубов и прикуса (в т. ч. дистальная окклюзия) встречаются у 60% детей, переболевших рахитом; у 34% детей, страдающих заболеваниями носоглотки с нарушением носового дыхания (аденоидами, хроническим гипертрофическим ринитом, искривлением носовой перегородки и др.). Свой негативный вклад в формирование дистального прикуса вносят вредные привычки, такие как длительное сосание пустышки, пальца, игрушек и других посторонних предметов, закусывание губы.
Также среди причинно значимых факторов следует отметить дефицит кальция и фтора в организме, отсутствие или недостаточное количество в рационе ребенка раннего возраста твердой пищи, раннее удаление молочных зубов и отсутствие протезирования. Кроме этого, дистальный прикус может являться следствием врожденных аномалий развития челюстей, родовой травмы, травм челюстей, нарушений осанки.
Классификация
В ортодонтии предложено несколько классификаций дистального прикуса (по Е. Энглю, А.И. Бетельману, Ф.Я. Хорошилкиной, Л.С. Персину, Ю.М.Малыгину и др.).
Так, Е. Энгль, относивший дистальную окклюзию к II классу смыкания зубных рядов, выделил 2 в нем подкласса:
- 1 подкласс – веерообразный наклон верхних резцов, сужение зубных рядов в боковых участках
- 2 подкласс - небный наклон центральных верхних резцов; отклонение боковых резцов в сторону губы и поворот по оси; отсутствие сагиттальной щели между верхними и нижними резцами
А.И. Бетельман различает несколько клинических разновидностей дистального прикуса:
- верхнюю макрогнатию при нормально развитой нижней челюсти;
- нижнюю микрогнатию при нормально развитой верхней челюсти;
- верхнюю макрогнатию в сочетании с нижней микрогнатией;
- прогнатию со сжатием верхней челюсти в боковых отделах.
На основании морфологических изменений, определяемых при анализе телерентгенограмм, Ф.Я. Хорошилкина выделяет гнатическую, зубоальвеолярную и сочетанную формы дистального прикуса.
Симптомы дистального прикуса
Как и в случае с глубоким прикусом, характерные признаки дистального прикуса могут быть условно поделены на лицевые и ротовые, которые приводят к эстетическим и функциональным нарушениям. Наличие дистального прикуса сопровождается изменением профиля и пропорций лица за счет выдвижения вперед верхней челюсти, недоразвития или скошенной формы подбородка, отчего лицо пациента иногда приобретает так называемый «птичий» вид. Верхняя губа вздернута; центральные верхние резцы выступают вперед, нижняя губа находится позади них. Рот у пациента с дистальным прикусом слегка приоткрыт, губы не смыкаются, подбородочная складка резко очерчена.
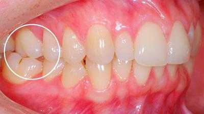
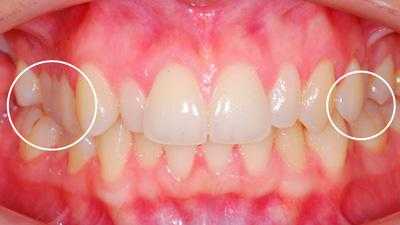
Определяющими внутриротовыми признаками дистального прикуса служат выдвижение вперед верхних фронтальных зубов; несмыкание верхних и нижних резцов с наличием между ними сагиттальной щели; нарушение взаимного расположения боковых зубов в переднезаднем направлении. В чистом виде дистальный прикус встречается редко; гораздо чаще он сочетается с аномалиями положения зубов, диастемой, тремами, глубоким, открытым или перекрестным прикусом, готическим нёбом.
Дистальный прикус неблагоприятно отражается не только на внешнем виде пациента, но и на функционировании зубочелюстного аппарата, органов дыхания и артикуляции. При дистальном прикусе затрудняется откусывание, пережевывание и глотание пищи, нарушается носовое дыхание, отмечаются болевые ощущения в височно-нижнечелюстном суставе. У детей с дистальным прикусом, чаще, чем у их сверстников, имеются нарушения речи (дислалия), требующие логопедической коррекции.
Дистальный прикус несет в себе повышенный риск развития кариеса, заболеваний пародонта (пародонтита, пародонтоза) задних зубов, испытывающих чрезмерную жевательную нагрузку, дисфункции ВНЧС. Наличие дистального прикуса сопряжено с техническими трудностями проведения протезирования и дентальной имплантации.
Диагностика дистального прикуса
Опытный ортодонт уже по внешним признакам может определить наличие у пациента дистального прикуса. При клиническом осмотре обращается внимание на размеры челюстей, взаимное расположение зубных рядов, наличие сагиттальной щели, форму челюстей и альвеолярного отростка и т. д.
Для дифференциальной диагностики разновидности дистального прикуса проводится телерентгенография с последующим анализом и расчетом рентгенцефалометрических показателей; определение конструктивного прикуса; изготовление и исследование диагностических моделей челюстей. С целью оценки состояния элементов височно-нижнечелюстного сустава и жевательных мышц используется рентгенография или томография ВНЧС, электромиография, реография.
Лечение дистального прикуса
Исправление дистального прикуса должно начинаться еще до смены временных зубов постоянными. В этот период показано лечение, направленное на сдерживание роста верхней и стимуляцию развития нижней челюсти, которое осуществляется с помощью съемной ортодонтической аппаратуры (регулятора функции Френкеля, съемной пластинки Катца, активатора Андрезена-Гойпля, LM-активатора и др.). Комплекс лечебных мероприятий может включать в себя миогимнастику, избирательное пришлифовывание зубов, удаление сверхкомплектных зубов на верхней челюсти, устранение вредных привычек, нормализацию носового дыхания и пр.
В периоде сменного прикуса основной целью лечебного воздействия является исправления формы и соотношения зубных дуг, для чего применяются съемные пластиночные аппараты, аппараты Хургиной, Гуляевой, Курляндского, Энгля, небный расширитель, преортодонтические трейнеры и пр.
После завершения роста челюстных костей лечение дистального прикуса может проводиться с использованием брекет-систем, иногда в сочетании с аппаратурным методом (аппаратом Гербста, лицевой дугой или пружиной Саббаха и пр.). Для исключения рецидива дистального прикуса после курса активной терапии длительностью 3-4 года показано ношение ретенционных аппаратов (съемных или несъемных ретейнеров) в течение 1,5-2 сроков основного лечения. При некоторых формах дистального прикуса предварительно требуется проведение хирургического лечения (удаление нескольких зубов, компактостеотомия).
Для устранения сопутствующих дистальному прикусу нарушений может возникнуть потребность в помощи стоматолога-терапевта, хирурга, пародонтолога, логопеда, отоларинголога.
Прогноз и профилактика
Соблюдение всех рекомендаций ортодонта в процессе лечения дистального прикуса у детей и подростков позволяет рассчитывать на благоприятный эстетический и функциональный результат. Во взрослом возрасте коррекция дистального прикуса представляет большие сложности и занимает более длительное время.
Предотвращение формирования дистального прикуса диктует необходимость грудного вскармливания ребенка, своевременного перевода малыша на твердую пищу, отучение его от вредных привычек, проведение профилактики рахита, воспалительных заболеваний носоглотки и нарушений осанки.
Неправильный прикус
Неправильный прикус - аномальное смыкание зубных рядов, обусловленное челюстно-лицевой деформацией. Проявляется эстетическими недостатками внешнего вида, нарушением дыхания, мимики, жевания, речи. Может являться риск-фактором развития частых респираторных заболеваний, болезней ЖКТ, кариеса. Диагностируется в ходе ортодонтического обследования, включающего изготовление и анализ диагностических моделей, ТРГ, ортопантомографию, КТ челюстей. Коррекция неправильного прикуса может проводиться при помощи специальных аппаратов и капп, ретейнеров и брекет-систем.
МКБ-10


Прикус является основным параметром нормального развития и функционирования зубочелюстной системы. Ортогнатический прикус, при котором верхние зубы слегка прикрывают нижние, считается нормой, такой прикус встречается у большинства людей. Неправильный прикус развивается в силу генетической детерминированности, при наличии привычки сосать палец, вследстивие хронического нарушения носового дыхания. Коррекцией прикуса занимается ортодонт.
Основной причиной формирования неправильного прикуса является наследственная предрасположенность. Неправильный уход за ребенком в период формирования прикуса может привести к различным дефектам зубочелюстной системы. В период новорожденности верхняя челюсть ребенка больше, чем нижняя. За счет естественного вскармливания к концу первого года жизни челюсти выравниваются. Если во время сосания груди ребенок малоактивен, то выравнивание челюстей произойдет не в полном объеме, что чревато развитием неправильного прикуса.
Испорченная осанка может повлиять на формирование прикуса в дошкольном и младшем школьном возрасте. Из-за неправильного положения голова уходит вперед туловища, что может спровоцировать деформацию челюсти и формирование неправильного прикуса.
Частые заболевания, протекающие с нарушением носового дыхания, в сочетании с другими факторами увеличивают риск развития одного из типов неправильного прикуса. Мягкие ткани губ, языка и щек принимают участие в формировании челюстей, и, если носовое дыхание нарушено, а рот постоянно приоткрыт, развитие челюстей происходит с отклонениями.
Патогенез
Существует пять периодов формирования правильного ортогнатического прикуса, если имеются отклонения в каком-либо из периодов, то возможно формирование неправильного прикуса и других аномалий зубочелюстной системы:
- Первый период с рождения до полугода;
- С 6 месяцев до трех лет происходит формирование временного прикуса – это второй период на протяжении которого прорезываются все временные зубы.
- Третий период от 3 до 6-ти лет является подготовительным, так как начинается активный рост челюстей для дальнейшего прорезывания постоянных зубов.
- С 6-ти до 12-ти лет наблюдается активный рост челюстей и параллельно прорезываются постоянные зубы, поэтому этот период называется смешанным.
- И пятый период с 12-ти до 16-ти лет характеризуется окончательным формированием прикуса и заменой всех временных зубов на постоянные.
Если имеются нарушения роста челюстей или нарушения в прорезывании зубов, то это может привести к формированию неправильного прикуса. Например, к скученности зубов, это происходит, если постоянные зубы прорезывались вовремя и крупные, а рост челюсти приостановился. Иногда нарушение роста челюсти может закончиться отсутствием клыков, резцов или премоляров или же формированием промежутков и диастем.
Неправильный прикус из-за нарушения роста челюстей может проявляться отклонением от нормального расположения зубов и повороту части зубов на одной из челюстей. Иногда резцы одной челюсти значительно перекрывают другую; в редких случаях формируется открытый неправильный прикус, когда резцы не смыкаются совсем. Виды неправильного прикуса:
- При дистальном неправильном прикусе верхняя челюсть чрезмерно развита или наоборот отмечается недоразвитие нижней челюсти.
- При мезиальном прикусе вперед выдвинута нижняя челюсть.
- При глубоком прикусе верхние зубы закрывают нижнее более чем на половину.
- Открытый неправильный прикус формируется, если большая часть зубов при соприкосновении челюстей не смыкается.
- Если формируется одностороннее недоразвитие одного из зубных рядов, то такой прикус называют перекрестным.
- Дистопией называют неправильный прикус, при котором зубы занимают не свое место в ряду.

КТ черепа (3D-рендеринг). Прогнатический прикус, зубы верхней челюсти (красная стрелка) выстоят кпереди, отсутствует контакт резцовых краев при смыкании.
Симптомы неправильного прикуса
Неправильный прикус является как эстетическим недостатком, так и причиной нарушения носового дыхания, речевых и мимических нарушений. Иногда неправильный прикус ведет к развитию ЛОР-заболеваний и частым респираторным вирусным инфекциям, что заканчивается формированием хронических отитов, гайморитов, синуситов и фарингитов.
При неправильном прикусе пища плохо пережевывается, так как зубы смыкаются не полностью или же вообще отсутствует контакт между ними. Это может стать причиной заболеваний желудочно-кишечного тракта и кариеса, так как должный уход за полостью рта невозможен.
Диагностика
Диагностикой и коррекцией неправильного прикуса занимается ортодонтия. На первом этапе происходит подготовка к ортодонтическому лечению, которая включает в себя комплекс диагностических мероприятий, по результатам которых и определяется степень сложности терапии. Для этого делают ортопантомограмму (панорамный снимок), радиовизиографию или же используют данные компьютерной томографии. Снимки позволяют увидеть и оценить степень изменений в зубочелюстной системе.

КТ черепа. Прогнатический прикус, зубы верхней челюсти (красная стрелка) выстоят кпереди (этот же пациент).
Коррекция неправильного прикуса
Перед основным лечением проводят санацию полости рта: лечение кариеса и профессиональную гигиену полости рта. Важно лечение сопутствующих заболеваний, которые могут обостриться в процессе установки брекетов. На период коррекции неправильного прикуса необходимо отказаться от газированных напитков, вязкой пищи, жевательной резинки, орехов, конфет и меда, так как эти продукты трудно счищаются с зубной эмали и могут повредить брекет-систему.
Длительность ортодонтического лечения - от полугода до 2-х лет. Все это время необходимо уделять особое внимание уходу за ортодонтическими аппаратами. Эффективность коррекции неправильного прикуса зависит от того, насколько качественно и регулярно производился уход за ними.
Установка брекетов
Во время основного этапа коррекции неправильного прикуса производят установку брекетов, для их фиксации используются клеевые композиты. Однако, в зависимости от типа брекетов используются разные методики установки. Каждый вестибулярный брекет наклеивают на переднюю поверхность зубов, которые нуждаются в коррекции, далее на них крепят опорные кольца, а в замочки продевают силовую дугу. Дуга изготавливается из материалов, обладающих эластичностью и упругостью, за счет чего она стремиться занять ту форму, которую ей придали первоначально.
Лингвальные брекеты установить сложнее, так как внутренний рельеф зубного ряда разнообразнее. Вначале делается слепок зубных рядов, после чего брекет-система отрабатывается на данной конструкции и только потом фиксируется клеем на внутренней поверхности зубов.
Процесс установки брекетов безболезненный и редко сопровождается неприятными ощущениями. Однако в течение недели у пациента может наблюдаться болевой синдром, который рекомендуется купировать анальгетиками, в случае же сильных болей необходимо обратиться к врачу, который занимается коррекцией неправильного прикуса.
При ношении брекет-систем доступ к зубам затруднен, что может способствовать развитию кариеса. Чистку зубов необходимо производить после каждого приема пищи и использовать специальные щетки для пациентов, проходящих курс коррекции неправильного прикуса. Использование суперфлоссов, которые благодаря твердому кончику, легко продеваются между зубами у края десны, помогает удалить остатки пищи с участков, которые недоступны для чистки зубной щеткой и ершиком.
Ретенционный период
Третий период является восстановительным, или ретенционным. Мероприятия, проводящиеся в этот период направлены на закрепление полученного с помощью брекетов результатов. При неправильном прикусе после резкого снятия брекетов зубы через некоторое время вновь займут свое положение, во избежание чего используют ретейнеры, период ношения которых в 2 раза дольше, чем период ношения брекетов.
Длительность ношения ретейнеров зависит от общего состояния зубочелюстной системы, от возраста пациента и от наличия у него системных заболеваний. Ретейнеры могут быть съемными и несъемными, несъемные аппараты крепятся аналогично брекетам на лингвальную поверхность зубов, что делает их незаметными для окружающих. Съемные же ретейнеры представляют собой ортодонтические пластинки, которые крепятся на ночь. Давление, смещающее нижнюю челюсть, создается за счет пластиковых дуг и капп. Силиконовые ретейнеры становятся более популярными, так как практически не заметны во время разговора и при улыбке.
Профилактика
При искусственном вскармливании дырочка в соске должна быть маленькой, чтобы ребенок прилагал усилия для высасывания, чрезмерно большая дырочка не требует активных жевательных и сосательных движений, поэтому челюсть не развивается.
Ребенок не должен все время спать в одной позе, поэтому родителям необходимо контролировать положение ребенка во время сна. В целом же постель должна быть удобной, но не чрезмерно мягкой, тело ребенка во сне расслабленным, кроме этого ребенок не должен подкладывать под щеку кулачок или игрушки. Необходимо пресекать у ребенка вредные привычки сосать палец, пустышку и посторонние предметы. Это приводит к тому, что зубы отодвигаются так далеко, как позволяет размер пустышки. В результате формируется щель между верхним и нижним зубным рядом.
Мезиальный прикус
Мезиальный прикус – аномалия окклюзии, характеризующаяся выдвижением вперед нижнего зубного ряда по отношению к верхнему при сомкнутом положении челюстей. Внешними проявлениями мезиального прикуса служат массивный, выступающий подбородок, вогнутый профиль лица, западающая верхняя губа; ротовые признаки включают мезиальную окклюзию моляров и клыков, прямую или обратную резцовую окклюзию; функциональные изменения – нарушения жевания и речи. Диагностике мезиального прикуса помогают данные антропометрических измерений, телерентгенографии, ортопантомографии, анализа диагностических моделей, рентгенографии ВНЧС. Коррекция мезиального прикуса включает миофункциональную гимнастику, массаж альвеолярного отростка, ортодонтическое лечение.
Мезиальный прикус – разновидность неправильного прикуса, обусловленная сдвигом нижней челюсти вперед по отношению к верхней. Наряду с дистальным прикусом (прогнатией), мезиальная окклюзия зубных рядов относится к аномалиям прикуса в сагиттальном направлении. Распространенность мезиального прикуса в популяции колеблется от 1 до 12%. В числе прочих зубочелюстных аномалий удельный вес мезиального прикуса составляет 2-6%. В стоматологии мезиальный прикус также обозначается понятиями «III класс смыкания по Энглю», «прогения», «прогенический прикус», «нижняя прогнатия», «антериальный прикус» и др. Мезиальный прикус может сочетаться с открытым и перекрестным прикусом.
Причины мезиального прикуса
Мезиальный прикус формируется под влиянием генетических, врожденных и приобретенных факторов. Генетические формы мезиального прикуса связаны с наследственными особенностями строения лицевого черепа и регистрируются в 20-40% случаев аномалии. В период антенатального онтогенеза к мезиальному прикусу могут привести заболевания беременной, родовые травмы новорожденного, гипоплазия межчелюстной кости и др. В числе факторов, способствующих формированию мезиального прикуса, большую роль играют сопутствующие аномалии зубов и полости рта: сверхкомплектные зубы на нижней челюсти, частичная и множественная адентия в области верхней челюсти, микродентия верхних зубов или микродентия нижних зубов, короткая уздечка языка, макроглоссия.
Среди причинно значимых постнатальных факторов следует отметить искусственное вскармливание ребенка, заболевания раннего возраста (рахит), ротовое дыхание вследствие ЛОР-патологии (искривления носовой перегородки, гипертрофии небных миндалин) и др. Отдельную группу причин составляют различные поведенческие факторы, способствующие возникновению мезиального прикуса: сосание верхней губы, пальцев и различных предметов; сон с опущенной на грудь головой; привычка подкладывать кулак или кисть руки под подбородок в положении сидя. К развитию мезиального прикуса могут приводить нарушения в сроках и последовательности прорезывания зубов, а именно – ретенция верхних зубов и раннее прорезывание зубов нижней челюсти.
Недоразвитию верхней челюсти и формированию мезиального прикуса в отдельных случаях может способствовать остеомиелит челюстей, последствия коррекции нёбной расщелины, опухоли челюстей, акромегалия.
Классификация мезиального прикуса
С учетом размеров и положения челюстей выделяют следующие виды мезиального прикуса:
1. Мезиальный прикус, обусловленный нижней макрогнатией:
- при нормальных размерах верхней челюсти
- при недоразвитии или дистальном положении верхней челюсти
2. Мезиальный прикус, обусловленный нижней прогнатией:
- при увеличении базального отдела нижней челюсти
- при увеличении подбородочного отдела нижней челюсти
3. Мезиальный прикус, обусловленный верхней микрогнатией.
4. Мезиальный прикус, обусловленный верхней ретрогнатией.
5. Мезиальный прикус, обусловленный сочетанием:
- верхней микрогнатии и нижней макрогнатии;
- верхней ретрогнатии и нижней прогнатии;
- верхней микрогнатии и нижней прогнатии;
- верхней ретрогнатии и нижней макрогнатии.
Первый и второй варианты мезиального прикуса в ортодонтии расцениваются как истинная прогения; третий и четвертый вариант – как ложная прогения, при которых нижняя челюсть имеет нормальные размеры, а мезиальный прикус обусловлен недоразвитием верхней челюсти или ее ретропозицией.
С учетом нарушения окклюзии в сагиттальном направлении и величины и нижнечелюстного угла выделяют три степени мезиального прикуса:
- I степень - сагиттальная щель между передними зубами до 2 мм; нарушение соотношения между первыми молярами в сагиттальном направлении до 5 мм; нижнечелюстной угол до 131°.
- II степень – сагиттальная щель между передними зубами до 10 мм; нарушение соотношения между первыми молярами в сагиттальном направлении до 10 мм; нижнечелюстной угол до 133°.
- III степень - сагиттальная щель между передними зубами больше 10 мм; нарушение соотношения между первыми молярами в сагиттальном направлении 11-18 мм; нижнечелюстной угол до 145°.
Также различают зубоальвеолярную и гнатическую форму мезиального прикуса: в первом случае возможно произвольное смещение нижней челюсти назад до достижения правильной окклюзии боковых зубов; при второй форме смещение невыполнимо.
Симптомы мезиального прикуса
При мезиальном прикусе может отмечаться сочетание тех или иных лицевых и внутриротовых признаков, а также обусловленных ими различных функциональных нарушений. Внешне мезиальный прикус проявляется выдвижением подбородка и нижней губы вперед, западением верхней губы, нередко – зиянием ротовой щели. При этом средняя треть лица в профиль выглядит запавшей, вогнутой. В целом выражение лица пациента с мезиальным прикусом характеризуется как «сердитое».
Внутриротовые признаки мезиального прикуса характеризуются обратным резцовым перекрытием или прямой окклюзией зубов в переднем отделе; наличием мезиальной ступеньки при смыкании жевательных зубов. Возможен оральный наклон зубов на нижней челюсти, образование диастем и трем, наличие дистопированных зубов. Скученное положение зубов на нижней челюсти может обусловливать отложение зубного камня, развитие гингивита и пришеечного кариеса.
Функциональные нарушения при мезиальном прикусе могут включать дефекты речи (межзубный сигматизм – разновидность механической дислалии), затруднения откусывания и пережевывания пищи, дисфункцию ВНЧС. Неправильное распределение жевательной нагрузки в области передних зубов сопровождается перегрузкой тканей пародонта, развитием пародонтоза и ранней потерей зубов. Мезиальный прикус может препятствовать проведению протезирования и дентальной имплантации.
Для распознавания мезиального прикуса, правильной оценки его вида и степени необходима консультация ортодонта. Обследование пациента начинается с осмотра лица в фас и профиль, снятия антропометрических показателей, визуальной оценки окклюзии в полости рта, проведения функциональной пробы, позволяющей отличить истинную прогению от ложной.
Степень выраженности мезиального прикуса оценивается по результатам определения прикуса с помощью прикусных валиков, изучения диагностических моделей, ортопантомографиии, телерентгенографии в боковой проекции, рентгенографии и томографии ВНЧС. Для выявления функциональных нарушений производится электромиография жевательных и височных мышц; консультация логопеда и отоларинголога.
Лечение мезиального прикуса
В дошкольном возрасте, когда челюсти ребенка находятся в процессе роста, для коррекции мезиального прикуса назначается миофункциональная гимнастика и массаж альвеолярного отростка верхней челюсти; при необходимости проводится пластика уздечки языка. Для отучения ребенка от вредных оральных привычек рекомендуется использование вестибулярных пластинок. Ортодонтическое лечение на данном этапе по показаниям может проводиться с помощью аппарата Брюкля, каппы Бынина. Существует мнение, что наилучшие результаты лечения мезиального прикуса в период молочного и раннего сменного прикуса достигаются в случае использования лицевой маски.
В период сменного прикуса лечение мезиальной окклюзии проводится с использованием активаторов Андрезена-Гойпля, Кламмта, Френкеля, аппаратов Вундерера или Персина. С установлением постоянного прикуса для коррекции аномальной окклюзии применяется несъемная ортодонтическая техника – брекет-системы. Одновременно с ортодонтическим этапом проводятся логопедические занятия по коррекции дислалии.
Протетическое лечение мезиального прикуса может включать избирательное пришлифовывание зубов, съемное или несъемное протезирование для нормализации окклюзионных контактов. Иногда при чрезмерном развитии нижней челюсти возникает необходимость предварительного хирургического лечения - удаления зубов, остеотомии ветви нижней челюсти.
Наилучшие результаты коррекции мезиального прикуса достигаются при начале лечения в период молочного или сменного прикуса. Несмотря на все сложности, коррекция эстетических и функциональных нарушений возможна даже во взрослом возрасте. Однако в этом случае увеличиваются сроки лечения, нередко требуется поэтапное лечение с участием стоматологов-хирургов, ортодонтов, ортопедов.
Важную роль с точки зрения профилактики мезиального прикуса играет нормальное течение беременности и родов, грудное вскармливание, отучение ребенка от вредных привычек, правильное положение во время сна. Необходимо своевременное лечение заболеваний, замедляющих или нарушающих рост челюстных костей, коррекция аномалий отдельных зубов.
Исправление дистального прикуса
По данным различных исследований, дистальный или прогнатический прикус — самая распространённая патология и встречается примерно у 30% детей и 15-20% взрослых с неправильным прикусом.
Дистальный прикус (дистальная окклюзия) — это патология зубных рядов, при которой верхняя челюсть сильно выдвинута вперед по отношению к нижней при смыкании зубных рядов. Непропорциональное смыкание возникает как из-за чрезмерного развития верхней челюсти, так и недостаточного развития нижней.
Признаки дистального прикуса
Любой неправильный прикус определяется прежде всего по положению зубных рядов при смыкании. Но некоторые окклюзионные аномалии отражаются на внешности в целом: формируют черты лица, мимику, симметрию, влияют на положение тела.
Внутриротовые признаки
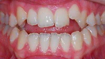
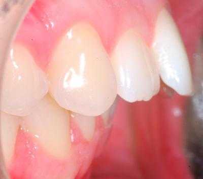
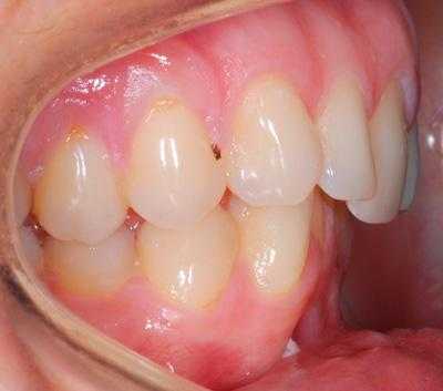
В полости рта дистальный прикус определяется по выступающим вперед верхним фронтальным зубам. В норме, при ортогнатическом прикусе, верхние резцы перекрывают нижние примерно на 1/3. При дистальной патологии между верхними и нижними резцами образуется расстояние — «саггитальная щель».

Саггитальная щель и прикус в норме
Внешние признаки
Из-за непропорционально выдвинутой верхней челюсти, дистальный прикус можно определить по выпуклому или «птичьему» профилю. Нос и верхняя губа выступают вперед, нижняя губа западает. Подборок скошенный, непропорционально маленький, иногда со складкой — «вторым подбородком». При серьезной дистальной окклюзии (с большой саггитальной щелью) губы в расслабленном состоянии не смыкаются и рот всегда немного приоткрыт.

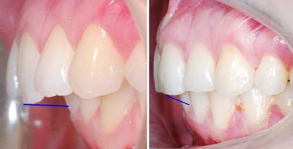
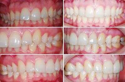
Профиль до и после лечения дистального прикуса
Дистальный прикус визуально отражается на осанке — все тело немного наклоняется вперед. Для пациента с дистальной окклюзией характерна выраженная сутулость, удлиненная наклонённая вперед шея, выпирающий живот.
Функциональные признаки
Кроме внешних признаков, дистальный прикус сопровождается неудобствами при глотании, пережевывании пищи, затрудняет носовое дыхание и речевые функции.
Однако обычно аномалии окклюзии развиваются постепенно с детства, поэтому взрослый человек с большей вероятностью адаптируется и не будет ощущать неудобств.

Мы описали ряд возможных признаков, по которым можно выявить дистальный прикус. Но точный диагноз и методики лечения определяет только стоматолог-ортодонт.
Причины формирования дистального прикуса
На формирование челюстей влияют множество факторов, часть из которых определяет прикус еще до рождения ребенка или во время внутриутробного развития. Некоторые причины развития неправильного прикуса можно контролировать и предотвратить аномалии в раннем возрасте. Чаще всего дистальная окклюзия — это результат комбинации многих факторов, о которых мы расскажем ниже.
Генетические причины
Дистальный прикус наследуется примерно в 66% случаев. При наличии наследственной предрасположенности — неправильного прикуса у родителей, дистальный прикус формируется в более раннем возрасте. Без своевременной профилактики дальнейшее воздействие внешних факторов на прикус только усугубит аномалию.
Особенности внутриутробного развития
Рост плода, и в том числе, формирование челюстей, нарушают неблагоприятная окружающая среда и состояние здоровья матери. К основным вредным факторам относятся: болезни матери, недостаток витаминов, высокий уровень радиации, употребление алкоголя.
Особенности кормления и раннего развития
В норме у новорожденных нижняя челюсть немного недоразвита и задвинута назад по отношению к верхней. Рост нижней челюсти происходит благодаря ее интенсивному движению и естественному напряжению при грудном вскармливании. Примерно через полгода у ребенка формируется правильный ортогнатический прикус. Кормление из неправильной бутылочки (со слишком широким отверстием для молока) на первых месяцах развития младенца не обеспечивает необходимой нагрузки на нижнюю челюсть. Следовательно, она не растет и остается в дистальном соотношении с верхней челюстью.
Усугубить дистальный прикус и увеличить саггитальную щель может слишком продолжительное сосание соски, пальца и прочих предметов. От пустышки рекомендуется отучить ребенка до 2-х лет.
При дальнейшем развитии малыша, нужно не забывать вовремя вводить в рацион умеренно твердые продукты. Без нагрузки и тренировки жевания, челюсти ослабевают и не растут.
Детские заболевания
Болезни, влияющие на неправильное развитие прикуса, можно разделить на 2 группы:
- Заболевания дыхательных путей. Ринит, синусит, аденоидит, искривлённая перегородка, прочие патологии и болезни, нарушающие естественное носовое дыхание. Если ребенок вынужден часто или постоянно дышать ртом, то его рот приоткрыт, а нижняя челюсть опущена. Такое положение челюстей закрепляется и превращается в дистальный прикус.
- Заболевания, негативно влияющие на развитие организма в целом. Рахит, нарушения эндокринной системы, недостаток фтора, кальция и других полезных веществ сказываются, в том числе, и на нормальном росте и формировании челюстей, прорезывании зубов.
Кариес или ранняя потеря молочных зубов
При потере или плохом состоянии зубов также негативно влияют на рост челюстей и формирование нормального прикуса.
Классификация дистального прикуса
Ортодонты используют несколько классификаций дистального прикуса.
Клинические формы дистального прикуса по Хорошилкиной:
- Зубоальвеолярная форма. Неправильный прикус этой формы обусловлен неправильно растущими отдельными зубами или неправильным развитием альвеолярного отростка — той части полости рта, из которой растут зубы.
- Гнатическая или скелетная форма. Прикус, образованный в результате непропорционального размера и положения челюстей по отношению к черепу и друг другу.
- Смешанная форма — прикус, сочетающий неправильное развитие челюстей и неправильный рост отдельных зубов.
Подклассы по Энглю:
- I подкласс — верхние резцы направлены вперед, иногда немного вверх. Для этого вида дистальной окклюзии характерная саггитальная щель.
- II подкласс — передние зубы растут по направлению назад, смыкаются с нижними резцами, саггитальная щель отсутствует.


Последствия дистального прикуса
Неправильное смыкание зубов всегда означает неравномерное распределение нагрузки на разные зубы — пока отдельные зубы в жевательном процессе не участвуют, другим приходится перерабатывать большей объем пищи с большей интенсивностью. Это предсказуемо приводит зубы к более быстрому изнашиванию. Под риском преждевременного поражения оказывается вся зубо-челюстная система в целом:
- ткани пародонта. Образуются рецессии десны, десневые карманы, воспаления.
- зубная эмаль. Под давлением в придесневой области на эмали возникают сколы —клиновидные дефекты. При неправильном смыкании зубы стираются.
- корни зубов становят подвижными и постепенно слабеют, повышается риск пульпита и периодонтита.
- височно-нижнечелюстной сустав.
Дистальный прикус может стать причиной расстройств и нарушений работы ЖКТ из-за неэффективной переработки пищи.
Для оценки состояния прикуса и определения его вида в первую очередь проводится визуальный осмотр зубов и полости рта стоматологом-ортодонтом и сбор информации от пациента. При первичном осмотре врач также обращает внимание на состояние сустава, осанку, признаку нарушения носового дыхания. Для дальнейших расчётов и составления плана лечения нужны более точные данные, которые можно поучить с помощью современных диагностических методов.

Выпуклый профиль при дистальном прикусе

Дистальное положение челюстей на телерентгенограмме
- Компьютерная томография или 3D-проекция черепа. По ней можно оценить важные показатели для ортодонтического лечения: клиническую форму прикуса, размер и положение челюстей. Положение и соотношение зубов в костной ткани и ее объемы. Состояние и положение головки височно-нижнечелюстного сустава. Трехмерная модель черепа дает более точное представление о положении зубов и челюстей, чем классических 2D-снимок черепа в боковой проекции.
- Слепки зубных рядов. По ним определяются нюансы смыкания, положения и будущего движения зубов.
- Фотопротокол. Для оценки состояния прикуса и полости рта на диагностике фиксируются на фото зубы с разных ракурсов, в сомкнутом, несомкнутом состоянии, а, также, лицо в профиль, анфас, с улыбкой, с открытым и закрытым ртом. Снимки помогают отслеживать динамику лечения, корректировать и оценить финальный результат лечения.
Лечение прикуса у детей
Дистальный прикус может начать развиваться на разных этапах: с самого рождения, при появлении молочных зубов или при смене на постоянный прикус. Чем раньше будет диагностирована патологии и начнется лечение, тем меньше времени и менее сложную методику придется использовать.
Родители могут предупредить развитие и осложнения дистального прикуса, если будут следовать рекомендациям по вскармливанию, наблюдать за методом дыхания, не допускать развитие хронических форм ЛОР-заболеваний и не давать закрепляться вредным привычкам.
Если все-таки имеется подозрение на неправильный прикус, обратиться к ортодонту впервые можно с появлением первых зубов, примерно с трех лет.
В раннем возрасте дистальный прикус исправляется с помощью съемных техник: тренажеров для мышц, аппаратов для стимулирования роста нижней челюсти и замедления роста верхней, заслонов для языка.
Лечение дистального прикуса у взрослых
С подросткового возраста, при постоянном прикусе выравнивание зубов и исправление патологий возможно только на несъемной аппаратуре — брекетах или съемных элайнерах. Для лечения дистальной окклюзии подходят все виды брекетов: внешние металлические и керамические, внутренние (лингвальные)
Часто дистальный прикус сопровождается смещением головки височно-нижнечелюстного сустава. Такие пациенты дополнительно используют суставную шину для коррекции движения и положения челюстей.
При невозможности скорректировать положение челюстей аппаратами из-за их аномальных размеров, приходится прибегнуть к челюстно-лицевой хирургии: расширению нижней челюсти или сужению верхней.


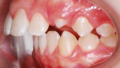
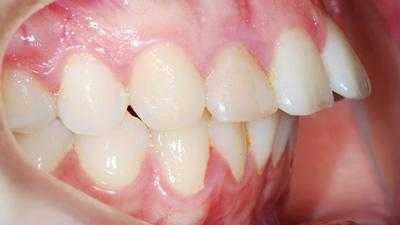
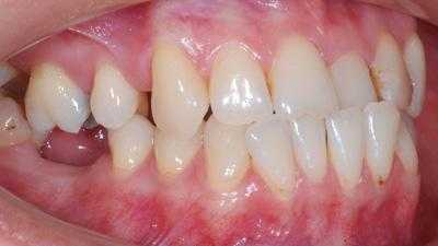
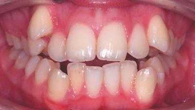
Завершенные клинические случаи дистального прикуса
Лечение дистального прикуса в клинике «Конфиденция»
Клиника «Конфиденция» предлагает своим пациентам грамотное лечение с использованием современных европейских и американских методик исправления прикуса.
Ортодонтическое отделение Конфиденции включает опытных врачей-ортодонтов, которые занимаются не только ортодонтической практикой, но также читают лекции и проводят учебные мастер-классы по ортодонтии для специалистов. В их портфолио входят самые разные по сложности случаи лечения дистального прикуса.
Также, в команде ортодонтов есть специалисты по лечению дисфункции ВНЧС.
Мы уделяем большое внимание диагностическому этапу. Обеспечиваем его точность за счет современного оборудования, детального анализа и обсуждения совместно с коллегами-ортодонтами и стоматологами других специальностей.
Наши доктора работают с разными брекет-системами и элайнерами, поэтому пациент может выбрать наиболее комфортный метод лечения.
Читайте также:
- Как защититься от летних отравлений. Не расстраивайте желудок
- Клинические проявления гемолитических реакций. Гемотрансфузионный шок
- Примеры эпителиомы (аденомы) пигментного эпителия сетчатки симулирующей меланоцитому
- Общий наркоз при торакопластике. Местная анестезия при торакопластике
- Рентгенограмма, КТ, МРТ перелома палача
