Диагностика глиосаркомы по КТ, МРТ
Добавил пользователь Евгений Кузнецов Обновлено: 31.12.2025
Диагностика глиобластомы по КТ, МРТ, ПЭТ
а) Терминология:
1. Синонимы:
• Астроцитома IV степени злокачественности (grade IV), злокачественная астроцитома, мультиформная глиобластома (МГБ)
2. Определения:
• Быстро растущая злокачественная астроцитарная опухоль, характеризующаяся некрозом и неоваскуляризацией
• Наиболее частая из всех внутричерепных опухолей
б) Визуализация:
1. Общие характеристики глиобластомы:
• Лучший диагностический критерий:
о Толстое неравномерное кольцевое контрастирование новообразованной ткани вокруг некротического ядра
• Локализация:
о Наиболее частая локализация - супратенториальное белое вещество:
- Лобные, височные, теменные > затылочные доли
о Большие полушария > ствол мозга > мозжечок
о Менее частая локализация-базальные ядра/таламус
о У детей более частая локализация - ствол мозга, мозжечок
• Морфология:
о Плохо отграниченное, диффузно инфильтрирующее окружающие ткани объемное образование полушария с некротическим компонентом
о Опухоль обычно пересекает тракты БВ с вовлечением контрлатерального полушария:
- Мозолистое тело (глиома в виде «бабочки»)
- Передняя и задняя спайки
о Редко вовлекаются оболочки мозга
о В редких случаях может иметь мультифокальный характер (-5%)
2. КТ при глиобластоме:
• Бесконтрастная КТ:
о Неравномерно изоденсное или гиподенсное объемное образование с гиподенсной центральной частью, отражающей некроз
о Выраженные масс-эффект и перифокальные отек/опухолевая инфильтрация
о Нередко геморрагический компонент
о Редко каьцификация (связана с дегенерацией опухоли низкой степени злокачественности)
• КТ с контрастированием:
о Высокоинтенсивное гетерогенное неравномерное кольцевое контрастирование

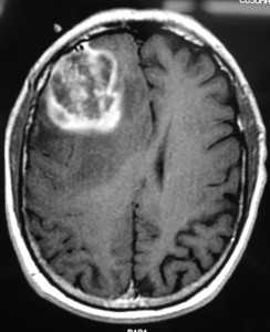
(а) МРТ, Т1-ВИ, аксиальный срез: у женщины 62 лет определяется объемное образование с геморрагическим компонентом (соответствующим областям укорочения Т1, что обусловлено наличием продуктов распада крови в подострой стадии). При биопсии была диагностирована МТБ. МТБ всегда нужно предполагать у пациентов старшего возраста с внутричерепным кровоизлиянием неясного генеза без артериальной гипертензии в анамнезе.
(б) МРТ, постконтрастное Т1-ВИ, аксиальный срез: у мужчины 72 лет визуализируются три отдельные зоны контрастирования, представляющие собой мультифокальную МГБ. Подобное синхронное возникновение МГБ встречается не более чем в 5% случаев.
4. Радионуклидная диагностика:
• ПЭТ:
о Злокачественные опухоли характеризуются гиперметаболизмом глюкозы и активно накапливают ФДГ
о Соотношения опухоль: БВ > 1,5 и опухоль: серое вещество (СВ) > 0,6 являются признаками высокой степени злокачественности опухоли
5. Рекомендации по визуализации:
• Лучший инструмент визуализации:
о Наиболее чувствительна МРТ с контрастным усилением
о Новые методики могут помочь улучшить диагностику/точность биопсии: МР-спектроскопия, МР-перфузия, визуализация гипоксии, DTI

(а) МРТ, постконтрастное Т1-ВИ, аксиальный срез: у мужчины 42 лет с впервые в жизни возникшим судорожным приступом определяется объемное образование, контраструемое по периферии и оказывающее лишь умеренный масс-эффект на окружающие структуры.
(б) МР-перфузия, аксиальный срез: у того же пациента определяется повышение rCBV в солидной части опухоли и снижение rCBV в некротизированных центральных отделах МР-перфузия помогает провести точную предопреационную диагностику. Кроме того, она часто используется для контроля биопсии в случае, если расположение опухоли не позволяет провести полную резекцию.
в) Дифференциальная диагностика глиобластомы:
1. Абсцесс:
• Толщина кольца контрастирования обычно меньше, чем при МГБ
• Гипоинтенсивный ободок на Т2-ВИ, характерно ограничение диффузии
• Определение при МР-спектроскопии янтарной кислоты, аминокислот
2. Метастатическое поражение:
• Характерны множественные очаги поражения на границе белого и серого вещества
• Округлая форма > инфильтративный характер
• Одиночный метастаз может быть неотличим от МГБ
3. Первичная лимфома ЦНС:
• Объемное образование перивентрикулярной локализации, накапливающее контраст
• Часто пересекает мозолистое тело
• Обычно имеет изоинтенсивный/гипоинтенсивный на Т2-ВИ сигнал
• При лимфоме на фоне СПИД часто наблюдается некротический компонент
4. Анапластическая астроцитома:
• Объемное образование в БВ, часто не накапливающее контраст
• Контрастирование может быть признаком дегенерации до МГБ
• Может быть неотличима от МГБ
5. Псевдотуморозная форма демиелинизации:
• Часто участок неполного контрастирования в виде «лошадиного копыта», открытого к коре
• Типичная локализация; молодой возраст
6. Подострый ишемический инсульт:
• Соответствие бассейну кровоснабжения (СМА, ЗМА, ПМА)
• Возможен масс-эффект и контрастирование (гирального характера)
• Для дифференциальной диагностики может быть полезным исследование в динамике
7. Эпилептический статус:
• Судорожные приступы могут стать причиной изменения сигнальных характеристик и контрастирования мозговой ткани
• Часто диффузное контрастирование с распространением на СВ и БВ
• Наличие судорожных приступов в анамнезе
8. Артериовенозная мальформация (АВМ):
• Множественные участки потери сигнала за счет эффекта потока с минимальным масс-эффектом
• При сочетании с кровоизлиянием может имитировать МГБ

(а) МРТ, FLAIR, аксиальный срез: у пациента с МГБ определяется гетерогенное объемное образование и протяженная зона изменения сигнала вокруг него, что является признаком комбинации распространения клеток опухоли и вазогенного перифокального отека. С позиции патологии клетки опухоли обнаруживаются за пределами областей изменения сигнала.
(б) МР-спектроскопия: у пациента с рецидивирующей МГБ определяется классический МР-спектр, характерный для злокачественной опухоли, с выраженным подъемом пика холина (Cho), низким пиком NAA на 2,02 ppm и инвертированным пиком лактата на 1,33.
1. Общие характеристики глиобластомы:
• Этиология:
о Два типа: первичные (de novo) и вторичные (дегенерация астроцитомы низкой степени злокачественности) глиобластомы:
- Отличаются генетически, имеют одинаковые внешние признаки
о Распространяется посредством создания «питательной среды» о В редких случаях связана с облучением
• Генетика:
о Первичная МГБ (de novo):
- Пациенты старшего возраста (средний = 62 года), биологически более агрессивная
- Развивается de novo (на фоне отсутствия опухоли низкой степени злокачественности), вероятно из нейрональных стволовых клеток
- Амплификация, избыточная экспрессия генов EGFR, MDM2
- Мутация гена PTEN (до 40% случаев)
- Потеря гетерозиготности на локусе 10р (потеря гетерозиготности)
- Составляет > 90% МГБ
о Вторичная МГБ (дегенерация опухоли более низкой степени злокачественности):
- Молодые пациенты (в среднем = 45 лет), менее агрессивна по сравнению с первичной МГБ
- Развивается из астроцитомы более низкой степени злокачественности (обычно через 4-5 летопухолевой прогрессии)
- Мутации генов ТР53, IDH1
- Амплификация, избыточная экспрессия PDGFR
- Потеря гетерозиготности на 10q, 17р
- Увеличение теломеразной активности и экспрессия hTERT
- Составляет < 10% МГБ
• Ассоциированные аномалии:
о Возникает спорадически как часть наследственного опухолевого синдрома
- Нейрофиброматоз 1 типа, синдром Ли-Фраумени (мутация гена ТР53)
- Синдром Тюрко, болезнь Олье, синдром Маффуччи
о Гигантоклеточная глиобластома, гистологический вариант МГБ (5%), чуть более благоприятный прогноз
2. Стадирование и классификация глиобластомы:
• IV степень злокачественности по классификации ВОЗ (grade IV)
3. Макроскопические и хирургические особенности:
• Красновато-серое «кольцо» из опухолевой ткани, окружающее некротическое ядро:
о Некроз-отличительный признак МГБ
• Большинство МГБ характеризуются выраженной васкуляризацией, ± обширным геморрагическим компонентом
4. Микроскопия:
• Отличительными признаками являются некроз и капиллярная пролиферация
• Плеоморфные астроциты, выраженная атипия ядер, множественные митозы
• Высокий MIB-1 (индекс пролиферации): > 10%
д) Клиническая картина глиобластомы:
1. Проявления:
• Наиболее частые признаки/симптомы:
о Зависят от локализации: часто судороги, очаговые неврологические симптомы
о Увеличение внутричерепного давления, изменение сознания
о Обычно низкая продолжительность симптомов (< 3 месяцев)
2. Демография:
• Возраст:
о Пик: 45-75 лет, может возникнуть в любом возрасте
• Пол:
о Преимущественно мужчины (М: Ж = 1,3:1)
• Эпидемиология:
о Наиболее частая первичная опухоль мозга
о Составляет 12-15% от всех внутричерепных новообразований
о 60-75% астроцитом О 3-4:100000 в год
о Мультифокальный характер: до 20% (в 2-5% случаев синхронные независимые опухоли)
3. Течение и прогноз:
• Постоянное прогрессирование
• Прогноз неутешительный (смерть обычно в течение 9-12 месяцев)
• Паттерны распространения:
о Наиболее часто: вдоль трактов БВ
о Менее часто: эпендимальное/субпиальное распространение, метастазирование через СМЖ, периваскулярные пространства
о Нечасто: инвазия твердой мозговой оболочки/костей черепа
о Редко: экстраневральное распространение (легкие, печень, лимфоузлы, кости)
• Независимые предикторы увеличения выживаемости:
о Возраст (молодой: < 45 лет), шкала активности Карновского (высокие значения), расширенная резекция (обширнаятотальная по сравнению с субтотальной); статус метилирвоания гена MGMT
о Степень некроза, контрастирование при предоперацинной МРТ
4. Лечение:
• Биопсия/уменьшение объема опухоли с последующей ЛТ, химиотерапией (темозоломид)
• Современные препараты антиангиогенеза, в особенности бева-цизумаб (блокатор эндотелиального сосудистого фактора роста) при рецидивах
д) Диагностическая памятка:
1. Обратите внимание:
• Вовлечение мозолистого тела может происходить при МГБ, лимфоме, демиелинизации, или, менее часто, при метастатическом поражении
2. Советы по интерпретации изображений:
• Жизнеспособная опухоль характеризуется распространением далеко за пределы зон изменения сигнала
Диагностика глиосаркомы по КТ, МРТ
Глиосаркома на МРТ
а) Терминология:
• Редкий вариант глиобластомы с глиальным и мезенхимальным компонентами
• Может быть первичной или вторичной (саркоматозный рост в рецидивирующей глиобластоме [МГБ])
б) Визуализация:
• Гетерогенно контрастируемое объемное образование с инвазией твердой мозговой оболочки, ± вовлечением костей черепа
• Может быть неотличима от МГБ
• Височные > теменные > лобные > затылочные доли
• Объемное образование гетерогенной структуры за счет наличия геморрагического, некротического компонентов
• Гетерогенный характер контрастирования по типу неравномерного толстого кольца вокруг центрального некроза
в) Дифференциальная диагностика глиосаркомы:
• Глиобластома (МГБ)
• Метастатическое поражение
• Гемангиоперицитома
• Злокачественная менингиома
(а) На рисунке коронального среза показано периферически локализованное объемное образование с инвазией в твердую мозговую оболочку и прилегающие кости черепа.
Образование имеет гетерогенную структуру за счет некротического компонента. Указанные признаки характерны для глиосаркомы. За счет инфильтративного характера роста опухоли также наблюдается вовлечение мозолистого тела.
Инвазия в твердую мозговую оболочку с возможным вовлечением костей черепа помогает отличить этот вариант глиобластомы (МГБ) от типичной МГБ.
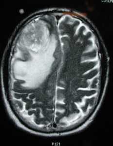
(б) МРТ, постконтрастное Т1-ВИ, аксиальный срез: в лобной доле определяется толстое периферийное контрастирование гетерогенного объемного образования с его инвазией в твердую мозговую оболочку, что характерно для глиосаркомы. (а) МРТ, Т2-ВИ, аксиальный срез: у мужчины 57 лет в правой лобной доле определяется гетерогенное объемное образование.
(б) МРТ, постконтрастное Т1 -ВИ, режим подавления сигнала от жира, аксиальный срез: у тою же пациента определяется неоднородный ободок контрастирования вокруг центральной области понижения сигнала вследствие некроза. При отсутствии вовлечения твердой мозговой оболочки глиосаркома неотличима от типичной МГБ.
Обе эти опухоли IV степени злокачественности по классификации ВОЗ (grade IV) объединяет неблагоприятный прогноз.
г) Патология:
• Предполагается, что саркоматозные компоненты развиваются из измененных сосудистых компонентов МГБ
• Степень злокачественности IV по классификации ВОЗ (grade IV)
д) Клиническая картина глиосаркомы:
• Наиболее частые симптомы при манифестации: головная боль, судорожный синдром, очаговые неврологические симптомы
• Обычно пятое или шестое десятилетие жизни
• Прогноз неблагоприятный, средняя выживаемость 6-12 месяцев
• Часто экстракраниальные метастазы (15-30%)
• Лечение: хирургическое с последующей адъювантной лучевой терапией, химиотерапией
е) Диагностическая памятка:
• Предполагайте глиосаркому при обнаружении периферического объемного образования с инвазией в твердую мозговую оболочку
Глиобластома головного мозга
Мультиформная глиобластома (злокачественная глиома) является одной из самых распространённых злокачественных новообразований у взрослых. 20% от всех первичных новообразований головного мозга являются мультиформными глиобластомами.
Сделать МРТ головного мозга в Санкт-Петербурге
Прогноз жизни при глиобластоме крайне неблагоприятный в связи с высокой степенью злокачественности.Смертность, связанная с МФГ превышает 90% в течение 5 лет со средней выживаемостью 12,6 месяцев.

Глиобластома: симптомы, выявляемые с помощью МРТ. Аксиальный срез в режиме Т1 после контрастирования препаратом гадолиния демонстрирует распространенную опухоль правой лобной доли. Изображение предоставлено доктором George Jallo.

МРТ того же пациента. Т2-взвешенное изображение демонстрирует то же поражение, что и на предыдущем рисунке с заметным отеком и смещением срединных структур. Эти находки соответствуют высокой степени злокачественности опухоли.
Методы диагностики глиобластомы
Компьютерная томография (КТ) выявляет опухоль и связанные с ней изменения. Однако при выполнении КТ может пропустить опухоли небольшого размера. Небольшая глиома низкой степени злокачественности, пропущенная на скрининговом обследовании, может в конечном счете развиться в мультиформную глиобластому. К тому же, на компьютерных томограммах могут быть не видны многоочаговые варианты опухоли. Распространение глиобластомы с током спинномозговой жидкости, особенно раннее распространение, также может быть затруднительным для диагностики при помощи КТ.
Магнитно-резонансная томография (МРТ) — это значительно более чувствительный метод для обнаружения опухоли, а также для выявления связанных с ней изменений, включая перифокальный (перитуморозный) отек. Поэтому МРТ является методом выбора для пациентов с предполагаемой или подтвержденной мультиформной глиобластомой. Так как данная опухоль обладает агрессивным инфильтративным ростом, опухолевые клетки часто находятся за пределами зоны измененной интенсивности сигнала на МРТ. Часто возникают метастазы в центральную нервную систему, но экстрацеребральные метастазы (расположенные за пределами мозга) довольно редки.
После хирургической операции выявление различий между рецидивирующей опухолью и рубцовой тканью только лишь на основании данных МРТ может быть затруднительным. В этом случае более подходящим методом исследования будет позитронно-эмиссионная томография (ПЭТ).
В связи с большим разнообразием проявлений опухоли в некоторых случаях она может имитировать другие состояния, такие как инфаркт, абсцесс или даже опухолеподобную бляшку при рассеянном склерозе, и таким образом, задержать постановку правильного диагноза. Кроме этого, другие патологические процессы головного мозга также иногда принимаются за глиобластому. В таких случаях необходимо получить консультацию опытного нейрорадиолога с целью уточнения истинной природы образования. Повторная расшифровка МРТ в специализированном медицинском центре повышает точность диагноза.
Если говорить о признаках, которыми на магнитно-резонаных томограммах характеризуются опухоли в спектре от астроцитомы низкой степени злокачественности до мультиформной глиобластомы, можно сделать следующее обобщение (хотя возможны и исключения):
- Частота возникновения участков кальцификации в опухоли снижается в спектре от астроцитомы низкой степени злокачественности до мультиформной глиобластомы
- Частота возникновения контрастного усиления опухоли повышается в спектре от астроцитомы низкой степени злокачественности (сдерживается гематоэнцефалическим барьером, имеет низкую частоту контрастного усиления) до мультиформной глиобластомы (проникает через гематоэнцефалический барьер)
- Частота случаев геморрагии, некроза, масс-эффекта и отека также повышается от астроцитомы низкой степени злокачественности до мультиформной глиобластомы
- В том случае, если геморрагические изменения отсутствуют, большинство опухолей гипоинтенсивны на Т1-взвешенных изображениях и гиперинтенсивны на Т2-взвешенных изображениях
- Усиление сигнала на КТ изображениях аналогично таковому на МРТ изображениях
Существуют различные варианты мультиформной глиобластомы. Гигантоклеточная (монстроцеллюлярная) глиобластома является одной из разновидностей мультиформной глиобластомы, но имеет те же особенности на МРТ.
Рентгенография при глиобластоме
Рентгенография не применяется для оценки первичных опухолей. Однако, в случаях, когда опухоль поражает свод черепа, рентгенологические исследования могут выявить патологию в пораженных костях черепа. Кроме того, рентгенография скелета может обнаружить изменения в случае метастатического поражения костей в нетипичных случаях.
Компьютерная томография (КТ) при глиобластоме
Результаты компьютерной томографии позволяют с достаточно высокой степенью уверенности говорить о диагнозе мультиформной глиобластомы. Однако, другие объемные образования могут имитировать мультиформную глиобластому, например, абсцессы мозга, инфаркт с геморрагической трансформацией и новообразования более низкой степени злокачественности. Кроме того, некоторые виды демиелинизирующих поражений (такте как гигантские бляшки при рассеянном склерозе) могут выглядеть, как мультиформная глиобластома. Также многоочаговая форма мультиформной глиобластомы может быть неотличима от диффузного рассеянного склероза. Все эти случаи требуют внимательного отношения врачей с возможным получением второго мнения.
При глиоматозе головного мозга КТ-картина может быть нормальной, либо изображения могут показать распространенные очаги с низкой плотностью без объемного эффекта и усиления сигнала.

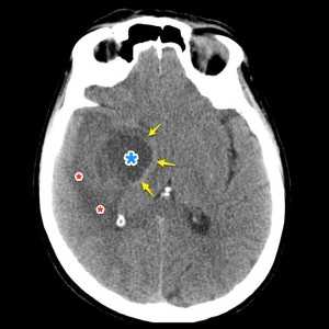
Опухоль головного мозга — глиобластома. Компьютерная томография (КТ). Синяя звездочка в центре обозначает зону центрального некроза опухоли, заполненную жидкостью. Желтые стрелки — окружающий мягкотканный компонент опухоли. Красные звездочки — перифокальный отек мозга. Наблюдается смещение срединных структур и угроза нисходящего транстенториального вклинения мозга.
Сделать КТ головного мозга в Санкт-Петербурге
Проявления опухоли на КТ-сканах без контрастного усиления включают неоднородное образование с нечеткими краями; внутренние области низкой или жидкостной плотности являются очагами некроза (представлены более, чем в 95% МФГ); внутренние области высокой плотности, являющиеся очагами геморрагии или, реже, кальцификациями (они более характерны в тех случаях, когда МФГ является результатом трансформации из астроцитомы низкой степени злокачественности); и значительный масс-эффект и отек (возогенная природа отека).
Исследование КТ с контрастным усилением значительно увеличивает выявление таких признаков, как неровные контуры образрвания, неоднородность, возможное кольцевидное контрастное усиление в периферических отделах патологической зоны.
Магнитно-резонансная томография (мрт) при глиобластоме
МРТ позволяет с высокой степенью уверенности говорить о диагнозе мультиформной глиобластомы и широко используется для определения местоположения и размера опухолей мозга. Фактически, этот метод имеет наивысшую степень достоверности среди других лучевых методов. Некоторые другие процессы, в основном объёмные образования с геморрагическим компонентом, могут имитировать мультиформную глиобластому на МРТ, включая абсцессы мозга и инфаркты. В случае неясной или спорной МРТ-картины может быть полезной экспертная оценка МРТ специализированными радиологами.
Стандартная методика МРТ ограничена в способности определять тип и степень злокачественной трансформации опухолей мозга, но более продвинутые протоколы МРТ, такие как перфузионно-взвешенная томография, могут оценить этот показатель с большей степенью достоперности, так как способны предоставлять более «физиологическую» информацию.
Как выглядит глиобластома на МРТ? Как правило, образование на томограммах представляет собой зону, имеющую в основном пониженный сигнал на Т1-взвешенных изображниях и повышенный сигнал на Т2- взвешенных изображениях. Могут присутствовать внутренние кистозные участки, участки потери сигнала, обусловленные крупными сосудами, внутренние зоны повышенной интенсивности сигнала на Т1-ВИ (геморрагические очаги), новообразованные сосуды, очаги некроза, обширный перитуморозный вазогенный отеком и значительный масс-эффект. Также может выявляться неравномерное, но интенсивное накопление контрастного вещества на основе гадолиния (та же картина наблюдается на КТ после введения йодсодержащего контраста), как в основной опухоли, так и в метастатических очагах, характерных для МФГ. МРТ более чувствительна к этим изменениям, чем КТ.
Глиоматоз головного мозга выглядит как диффузное изменение сигнала от белого вещества, сочетающееся с признаками повышения внутричерепного давления, такими как сдавление мозговых желудочков и сужение субарахноидального пространства.
Глиосаркома обычно представляет собой четко ограниченную опухоль, при этом саркоматозные или инфильтрационные глиоматозные элементы часто имеют сходство с менингиомами. Прочие МРТ-признаки схожи с теми, что характерны для мультиформной глиобластомы.
Позитронно-эмиссионная томография (ПЭТ) при глиобластоме
Ангиография
Ангиографическая картина при мультиформной глиобластоме включают в себя следующие признаки: гиперваскулярное объемное образование с опухолевым «свечением»; значительное кровонаполнение сосудов, артерио-венозные шунты (что может имитировать артерио-венозную мальформацию); аберрантные сосуды, сосудистое депонирование и застой (достаточно часто встречается); масс-эффект, который вызывает смещение сосудов.
Ангиография имеет низкую специфичность при диагностике мультиформной глиобластомы. Хотя снимки могут показать смещение сосудов, вызванное масс-эффектом опухоли, но в действительности любое другое объемное образование мозга может иметь схожие признаки. Кроме того, гиперваскуляризация мультиформной глиобластомы может имитировать сосудистую мальформацию. Таким образом, любое объемное образование или сосудистая мальформация может привести к ложноположительному результату. Небольшие опухоли и опухоли без выраженного смещения сосудов могут быть причиной ложноотрицательного результата.
а) Определения:
• Редкий вариант глиобластомы с глиальным и мезенхимальным компонентами
• Может быть первичной или вторичной (саркоматозный рост в рецидивирующей глиобластоме [МГБ])
1. Общие характеристики глиосаркомы:
• Лучший диагностический критерий:
о Гетерогенно контрастируемое объемное образование с инвазией твердой мозговой оболочки, ± вовлечением костей черепа
о ГС может быть неотличима от МГБ
• Локализация:
о Большие полушария головного мозга:
- Височные > теменные > лобные > затылочные доли
о Редко в задней черепной ямке или интравентрикулярно
• Размеры:
о Варьируют, обычно 3-8 см
• Морфология:
о Объемное образование с инфильтративным характером роста, может состоять из отдельных компонентов
2. КТ при глиосаркоме:
• Бесконтрастная КТ:
о Гетерогенное объемное образование с перифокальным отеком о Может наблюдаться геморрагический компонент
• КТ с контрастированием:
о Гетерогенный характер контрастирования по типу неравномерного толстого кольца
о Может наблюдаться вовлечение твердой мозговой оболочки, ± вовлечение костей черепа

(а) На рисунке коронального среза показано периферически локализованное объемное образование с инвазией в твердую мозговую оболочку и прилегающие кости черепа.
Образование имеет гетерогенную структуру за счет некротического компонента. Указанные признаки характерны для глиосаркомы. За счет инфильтративного характера роста опухоли также наблюдается вовлечение мозолистого тела.
Инвазия в твердую мозговую оболочку с возможным вовлечением костей черепа помогает отличить этот вариант глиобластомы (МГБ) от типичной МГБ.
(б) МРТ, постконтрастное Т1-ВИ, аксиальный срез: в лобной доле определяется толстое периферийное контрастирование гетерогенного объемного образования с его инвазией в твердую мозговую оболочку, что характерно для глиосаркомы.
3. МРТ при глиосаркоме:
• Т1-ВИ:
о Гетерогенное, гипоинтенсивное объемное образование
• Т2-ВИ:
о Объемное образование гетерогенной структуры за счет наличия геморрагического, некротического компонентов
о Выраженный перифокальный отек + инфильтративный характер роста опухоли
• Постконтрастное Т1-ВИ:
о Гетерогенный характер контрастирования по типу неравномерного толстого кольца вокруг центрального некроза
о Может наблюдаться вовлечение твердой мозговой оболочки, ± вовлечение костей черепа
в) Дифференциальная диагностика глиосаркомы:
1. Глиобластома:
• МГБ может быть неотличима от МГБ
• Объемное образование гетерогенной структуры за счет наличия геморрагического, некротического компонентов
• Отсутствует вовлечение твердой мозговой оболочки или костей черепа
2. Метастазирование:
• Обычно множественное поражение; часто известна первичная опухоль
3. Гемангиоперицитома:
• Внемозговое объемное образование с инвазией твердой мозговой оболочки и костей черепа
4. Злокачественная менингиома:
• Внемозговое объемное образование с инвазией паренхимы головного мозга
5. Абсцесс:
• Очаг поражения с кольцевым характером контрастирования и центральным некрозом
• Характерен гипоинтенсинвный ободок на Т2-ВИ и ограничение диффузии на ДВИ

(а) МРТ, Т2-ВИ, аксиальный срез: у мужчины 57 лет в правой лобной доле определяется гетерогенное объемное образование.
(б) МРТ, постконтрастное Т1 -ВИ, режим подавления сигнала от жира, аксиальный срез: у того же пациента определяется неоднородный ободок контрастирования вокруг центральной области понижения сигнала вследствие некроза. При отсутствии вовлечения твердой мозговой оболочки глиосаркома неотличима от типичной МГБ.
Обе эти опухоли IV степени злокачественности по классификации ВОЗ (grade IV) объединяет неблагоприятный прогноз.
в) Патология:
1. Общие характеристики глиосаркомы:
• Этиология:
о Предполагается, что саркоматозные компоненты развиваются из измененных сосудистых компонентов МГБ
о Сообщается о предпологаемой роли лучевой терапии в индуцировании саркоматозных изменений
2. Стадирование и классификация:
• Степень злокачественности IV по ВОЗ (grade IV)
3. Макроскопические и хирургические особенности:
• Во время операции может внешне имитировать метастатическое поражение или менингиому
• Твердое, дольчатое объемное образование с центральным некрозом ± инвазия мозговых оболочек
4. Микроскопия:
• Злокачественные глиальные и мезенхимальные компоненты
г) Клиническая картина:
1. Проявления глиосаркомы:
• Наиболее частые признаки/симптомы:
о Повышение внутричерепного давления: головная боль
• Другие признаки/симптомы:
о Связанные с локализацией: судорожный синдром, очаговые неврологические симптомы
3. Течение и прогноз:
• Прогноз неблагоприятный, средняя выживаемость 6-1 2 месяцев
• Характерны локальные рецидивы
• Часто экстракранильное метастазирование (15—30%)
4. Лечение:
• Хирургическое лечение с последующей адъювантной лучевой терапией ± химиотерапией
д) Диагностическая памятка. Советы по интерпретации изображений:
• Предполагайте глиосаркому при обнаружении периферического объемного образования с инвазией в твердую мозговую оболочку
• Глиосаркомы могут имитировать МГБ и метастатическое поражение
• Клетки опухоли могут располагаться за пределами области контрастирования объемного образования
Глиобластома
Глиобластома — это злокачественное глиальное новообразование мозга, развивающееся в основном в его белом веществе. Клинические признаки включают повышение интракраниального давления, судорожный синдром, вариабельную очаговую симптоматику в виде парезов, зрительных и когнитивных расстройств, нарушений речи. Диагностика осуществляется на основании данных неврологического осмотра, результатов нейровизуализации и гистологического исследования тканей образования. Проводится радикальное хирургическое удаление, химиотерапия, медикаментозное противосудорожное и противоотечное лечение.
МКБ-10



Общие сведения
Глиобластома представляет собой наиболее распространенную первичную злокачественную опухоль головного мозга, составляющую 16% всех первичных новообразований центральной нервной системы. Средний показатель заболеваемости колеблется в пределах 2,9-4,5 на 100 000 населения. Образование локализуется почти исключительно в белом веществе мозга, может появляться в стволе головного мозга, мозжечке и спинном мозге. Средний возраст заболевших первичной глиобластомой составляет 62-64 года, вторичные образования развиваются у более молодых пациентов. Известны случаи возникновения в любом возрасте, включая детский. Заболеваемость несколько выше у мужчин, чем у женщин, а также у представителей европеоидной расы по сравнению с другими этническими группами.

Причины глиобластомы
Точный механизм развития новообразования недостаточно понятен. Результаты ряда исследований свидетельствуют в пользу вирусной теории возникновения заболевания. Найдены генные мутации, приводящие к заболеванию. Триггерное воздействие электромагнитных полей, формальдегида, излучения сотовых телефонов не доказано. Среди основных этиологических факторов рассматриваются:
- Цитомегаловирусная инфекция. Цитомегаловирус был обнаружен в большом проценте клеток злокачественной глиомы, но отсутствовал в соседних нормальных мозговых тканях.
- Спонтанные генетические мутации. Изменения в гене IDH1, провоцируя оксидантный стресс, способствуют генетическим перестройкам и могут являться причиной развития глиальных образований. Для глиобластомы также характерны мутации генов TERT, ATRX.
- Ионизирующее излучение. Является одним из немногих известных факторов риска. Радиационно-индуцированная глиобластома наблюдается спустя годы после терапевтического облучения.
- Генетические заболевания. Повышенный риск развития глиобластомы наблюдается при нейрофиброматозе, туберозном склерозе, синдроме Ли-Фраумени, ретинобластоме.
Патогенез
Первоначально считалось, что глиобластома происходит исключительно из глиальных элементов. Однако по последним данным, она берет начало из нескольких типов клеток со свойствами, подобными нервным стволовым клеткам. Клеточные элементы находятся на различных стадиях дифференцировки: от стволовых до нейронов и глии. В 10% случаев новообразование развивается в результате трансформации менее злокачественной церебральной опухоли.
Макроскопически опухоль отличается пестрым внешним видом с зонами некроза и кровоизлияний. Гистологически определяются мелкие округлые веретенообразные, протоплазматические, гигантские клеточные виды. Типичны выраженная неоваскуляризация, наличие псевдополисадов, образованных некротическими массами, окруженными малигнизированными клетками.

Классификация
Глиобластомы классифицируют как первичные (de novo), возникающие без известного предшественника, и вторичные, развивающиеся из опухоли низкой степени злокачественности. Гистологическая классификация выделяет 3 типа опухоли в зависимости от морфологии преобладающих клеток:
- Мультиформная — характеризуется вариабельностью составляющих ее клеточных элементов. Преобладают мелкие округлые, овальные или вытянутые клетки, единичные крупные.
- Гигантоклеточная — в клеточной массе преобладают многоядерные гигантские клетки.
- Глиосаркома — содержит саркоматозный компонент в виде окрашиваемых ретикулярных волокон. Ранее считалась отдельной нозологической единицей.
Симптомы глиобластомы
Клиника сильно варьирует в зависимости от размера и расположения опухоли, а также пораженных анатомических структур мозга. Пациенты часто обращаются с симптомами повышенного внутричерепного давления, включая головную боль, чувство давления на глаза, не связанную с приемом пищи тошноту.
Судороги являются ранним симптомом у 25% больных и могут возникать на более поздних стадиях заболевания в 50% случаев. При прорастании глиобластомы в ликворные пути возникает нарушение циркуляции церебро-спинальной жидкости, что приводит к гидроцефалии с усугублением симптомов интракраниальной гипертензии.
В дальнейшем типично сочетание общемозговой симптоматики с прогрессирующим очаговым неврологическим дефицитом, соответствующим локализации процесса. Возможны нарушение речи в виде дизартрии или афазии, расстройства зрительной функции с выпадением части зрительного поля, моно- и гемипарезы, когнитивные изменения. Наблюдается слабость, в ряде случаев — спутанность сознания.
Осложнения
Возникающий неврологический дефицит является стойким и инвалидизирующим больного. Прогрессирование пареза приводит к параличу пораженных конечностей, пациент нуждается в постороннем уходе. Жизненно опасным осложнением заболевания является выраженная гидроцефалия, которая без оказания медицинской помощи приводит к сдавлению и дислокации мозга. К осложнениям относится и рецидив новообразования. Поскольку глиобластома не имеет четких границ и является агрессивно растущей, полностью удалить ее в ходе нейрохирургического вмешательства крайне затруднительно.
Диагностика глиобластомы
При раннем первичном обращении к неврологу в неврологическом статусе определяются только признаки внутричерепной гипертензии. Далее выявляется очаговое выпадение нервных функций. Заподозрить новообразование позволяет быстро прогрессирующий характер симптомов (в течение 3-х месяцев), что становится очевидным при тщательном сборе анамнеза заболевания. Начальная диагностическая визуализация осуществляется следующими методами:
- Компьютерная томография. Выявляет изоденсное церебральное образование с гиподенсным участком центрального некроза, перифокальным отеком, геморрагическим компонентом. Характерен масс-эффект. КТ с контрастированием демонстрирует кольцевое неравномерное окрашивание. Микроскопическая инфильтрация обычно распространяется за пределы визуализируемого очага.
- Магнитно-резонансная томография. МРТ с контрастом гадолиния показывает образование неправильной формы с плотным кольцом усиления, некротизированным центром. Некроз считается отличительной чертой глиобластомы. Также могут визуализироваться окружающий образование вазогенный отек, кровоизлияния, кистозный компонент, искривление или смещение желудочков. Примерно в 13% случаев наблюдается многоочаговость поражения.
- МР-перфузия. Демонстрирует увеличение максимального относительного церебрального кровотока и проницаемости, что типично для новообразований высокой степени злокачественности.
- Позитронно-эмиссионная томография. Определяет характерный для высоко злокачественных образований гиперметаболизм глюкозы и активное накопление фтордезоксиглюкозы.
Дифференциальная диагностика
В клинической неврологии глиобластому дифференцируют с внутримозговой гематомой, абсцессом, лимфомой ЦНС, астроцитомой, артериовенозной мальформацией. Дифференциация проводится по результатам нейровизуализации. Отличительной особенностью глиобластомы является наличие некротизированного участка. Однако лимфома у пациентов со СПИД также имеет некротический компонент. В этом случае дифдиагностика осуществляется в ходе гистологического исследования биопсийного материала.

Лечение глиобластомы
Консервативная терапия
Текущий стандарт лечения пациентов с эпиприступами включает использование противоэпилептических препаратов, но рутинное применение противосудорожного лечения у пациентов без припадков не рекомендуется. Многим пациентам назначают кортикостероиды, чтобы контролировать вазогенный отек и облегчить сопутствующие симптомы.
Хирургическое лечение
Радикальным методом лечения является нейрохирургическое удаление. Обширная резекция опухоли часто затруднена из-за его расположения в функционально значимых церебральных зонах, отвечающих за речь, моторную функцию, чувствительность. Инвазивность глиобластомы обуславливает высокую частоту послеоперационных рецидивов. Однако применение флуоресцентной идентификации раковых клеток для дифференцировки патологических тканей от здоровых частей мозга позволяет добиться более обширной резекции с сохранением функции и качества жизни, отсрочить возникновение рецидива. В послеоперационном периоде рекомендована химиотерапия, в отдельных случаях сочетающаяся с радиотерапией.
Экспериментальное лечение
Исследователи установили, что гиобластома быстро растет и рецидивирует, поскольку она продуцирует микро-РНК-138. Разрабатывается теория, что нейтрализация этого молекулярного маркера позволит замедлить прогрессирование заболевания, а также повысит выживаемость пациентов.
В стадии клинических исследований находится иммунотерапия глиобластомы. Пассивная иммунотерапия заключается в стимуляции противоопухолевого иммунитета, активная — во введении вакцин, потенцирующих иммунный ответ на антигены опухоли. Рассматривается возможность использования онколитических вирусов, способных избирательно атаковать опухолевые клетки. Последняя технология лимитирована возникновением иммунного ответа на внедрение вируса.
Прогноз и профилактика
Глиобластома относится к неуклонно прогрессирующим, рецидивирующим злокачественным опухолям мозга. Средняя выживаемость пациентов составляет 15 месяцев. Прогноз зависит от возраста больного, локализации образования, стадии процесса в момент его выявления. Вторичные новообразования имеют лучший прогноз, чем первичные. Проведение комплексного лечения, включающего радикальное хирургическое вмешательство и химиотерапию, позволяет достигнуть ремиссии заболевания и продлить жизнь пациентов. Профилактика глиобластомы сводится к предупреждению инфицирования вирусами, исключению воздействия мутагенных факторов.
1. Глиобластомы: современное состояние проблемы/ Яковленко Ю.Г.// Медицинский вестник Юга России. - 2019. - 10(4).
2. Исследование метаболических особенностей первичных глиобластом методом ОФЭКТ-КТ с Tc-МИБИ с оценкой их влияния на прогноз заболевания/ Золотова С.В., Хохлова Е.В., Беляшова А.С., Николаева А.А., Старовойтов Д.В. и др.// Вопросы нейрохирургии им. Н.Н. Бурденко. - 2019. - 83(2).
3. Current Challenges and Opportunities in Treating Glioblastoma/ Andrea Shergalis, Armand Bankhead III, Urarika Luesakul, Nongnuj Muangsin and Nouri Neamati// Pharmacological Reviews. - 2018. - 70 (3).
4. Glioblastoma: Overview of Disease and Treatment/ Davis M. E.// Clinical journal of oncology nursing, - 2016. - 20(5).
Читайте также:
