Диагностика и лечение пневмонии, признаки и симптомы
Добавил пользователь Валентин П. Обновлено: 08.11.2025
Среди бактерий ведущая роль принадлежит Стрептококку pneumonia (пневмококк), редко вызывают пневмонию микоплазма, легионелла, хламидия, клебсиелла.
Привести к развитию пневмонии может вирус гриппа, в том числе вирус типа А (H1N1), аденовирус, риновирус.
Грибковую пневмонию вызывает грибок рода Кандида.
Заражение происходит воздушно-капельным путем (при чихании, кашле) от больного человека, либо инфекция в легочную ткань может попасть из очагов хронической инфекции (хронические синуситы, тонзиллиты, кариес зубов).
Факторами, способствующими развитию заболевания, являются:
- переохлаждение организма;
- хронические заболевания легких (бронхит);
- снижение иммунитета;
- возраст больного старше 65 лет;
- табакокурение;
- злоупотребление алкоголем;
- вдыхание вредных веществ на производствах;
- наличие хронических заболеваний (сердечнососудистой системы, сахарный диабет, болезни почек);
- нахождение больного на аппарате искусственной вентиляции легких.
Пневмония может быть:
- первичной – пневмония является самостоятельным заболеванием;
- вторичной – пневмония развивается на фоне сопутствующего заболевания (застойная);
- аспирационной – развивается при занесении бактерий в бронхи с рвотными массами, инородными телами;
- послеоперационной;
- посттравматической – в результате травмы легкого.
- типичная – вызванная типичными возбудителями (пневмококк, вирус);
- атипичная – вызванная нетипичными возбудителями (хламидии, микоплазмы, легионеллы, клебсиеллы).
По морфологическим признакам:
- очаговая – поражается небольшой участок легкого;
- крупозная – поражаются доли легкого, может быть односторонней и двусторонней.
- внебольничные – развиваются вне стационара;
- внутрибольничные – развиваются через 2 или более дней после поступления больного в стационар.
Внутрибольничные пневмонии отличаются более тяжелым течением.
Клиническая картина воспаления легких во многом зависит от типа возбудителя, от состояния здоровья человека, наличия сопутствующих заболеваний, иммунодефицита.
В большинстве случаев пневмония имеет очаговую форму и характеризуется следующими симптомами:
- острое начало;
- температура тела повышается до фебрильных цифр (38,5 – 40 градусов);
- общая слабость;
- боль в груди при глубоком вдохе и кашле;
- повышенное потоотделение;
- быстрая утомляемость;
- кашель в начале заболевания сухой, позже становится продуктивным (влажным);
- одышка.
Для пневмонии характерны и местные признаки – при аускультации слышно либо ослабление дыхание, либо мелкопузырчатые, крепитирующие хрипы.
При небольших очаговых пневмониях может не быть изменений при аускультации легких.
Температура при пневмонии держится в течение трех-четырех дней, при условии своевременно начатого лечения.
Признаки крупозной пневмонии
Крупозная пневмония отличается выраженным интоксикационным синдромом, температура резко повышается до 39 – 40 градусов, развивается тахикардия (увеличивается частота сердечных сокращений).
Чаще всего при крупозной пневмонии возникает сильная одышка, учащается частота дыханий, рано появляется влажный кашель.
Важно! Особенностью влажного кашля при крупозной пневмонии является наличие «ржавой мокроты» (в мокроте присутствуют прожилки крови).
Бессимптомная пневмония
Возможно и бессимптомное течение пневмонии, это может быть при небольших очаговых пневмониях, при снижении иммунитета.
У больного нет характерных признаков заболевания – кашля, повышения температуры. Может быть только общая слабость, повышенная утомляемость.
Обнаруживают такую пневмонию случайно при проведении флюорографического обследования.
Особенности вирусной пневмонии
Для вирусной пневмонии характерно то, что у больного в начале присутствуют признаки респираторного заболевания. А через одни или двое суток появляется симптоматика пневмонии - кашель с прожилками крови, повышается температура, возникает одышка.
Диагностика воспаления легких основывается на наличии характерной клинической картины заболевания, данных осмотра и характерных изменениях при обследовании больного.
При осмотре можно выявить:
- при аускультации – ослабление дыхания, наличие мелкопузырчатых влажных хрипов, крепитации.
- может быть отставание грудной клетки при вдохе на стороне поражения;
- при развитии дыхательной недостаточности – учащение дыхательных движений, втяжение межреберных промежутков при вдохе, акроцианоз.
Проводятся лабораторные и инструментальные обследования:
Общий анализ крови. В нем обнаруживается лейкоцитоз, ускоренное СОЭ.
Общий анализ мокроты. Характерно наличие признаков воспаления (лейкоциты), крови, выявление возбудителя.
Бак.посев мокроты – для определения возбудителя и определения его чувствительности к антибиотикам.
Биохимический анализ крови. Наблюдается повышение АЛТ, АСТ, С-реактивного белка.
Рентгеногрфия грудной клетки в двух проекциях (прямой и боковой). При пневмониях видны очаговые затемнения, либо долевые.
При необходимости проводится компьютерная или магнитно-резонансная томография легких.
Для определения степени дыхательной недостаточности проводится пульсоксиметрия (определяют насыщение крови кислородом, это неинвазивный метод).
Аспирационная пневмония - симптомы и лечение
Что такое аспирационная пневмония? Причины возникновения, диагностику и методы лечения разберем в статье доктора Яковлевой Марины Геннадьевны, пульмонолога со стажем в 22 года.
Над статьей доктора Яковлевой Марины Геннадьевны работали литературный редактор Елизавета Цыганок , научный редактор Елена Лобова и шеф-редактор Маргарита Тихонова

Определение болезни. Причины заболевания
Аспирационная пневмония (Aspiration pneumonia) — это воспаление лёгочной ткани, которое развивается после массивного проникновения в дыхательные пути посторонних веществ (аспирата). Сопровождается симптомами обычной пневмонии, а также выделением мокроты с неприятным запахом [4] .

Аспирационная пневмония возникает при 10 % внебольничной и 25 % внутрибольничной пневмонии. При этом смертность от аспирационной пневмонии выше, так как её возбудители (бактерии кишечной группы и анаэробы ротовой полости) вызывают более тяжёлое течение болезни, чем возбудители типичной пневмонии [2] [3] [8] [10] . При этом доказано, что аспирация происходит у 45–50 % здоровых людей и у 70 % пожилых пациентов старше 75 лет с нарушением сознания.
Причины и факторы риска аспирационной пневмонии
Аспиратом может выступать содержимое желудка и носоглотки, околоплодные воды у новорождённых, рвотные массы, зубы (чаще искусственные) и содержимое рта при стоматологических манипуляциях, жидкости, мелкие предметы и остатки пищи. Если в дыхательные пути проникают масла или нефтепродукты низкой вязкости, например технический вазелин, развивается липоидная аспирационная пневмония. В организм эти вещества попадают при вдохе, однако не каждая аспирация провоцирует пневмонию.
Аспирационная пневмония проявляется по-разному: она может пройти бессимптомно или вызывать острую дыхательную недостаточность вплоть до летального исхода [2] .
Чаще всего типичную пневмонию вызывает именно аспирация, однако помимо неё есть множество других факторов, например число бактерий, попавших в бронхи, и состояние защитных сил организма. Непосредственно аспирационную пневмонию диагностируют, когда аспирация сопровождается следующими факторами риска:
- неврологическими болезнями с нарушением сознания и судорожным синдромом, например эпилепсией и комой;
- черепно-мозговой травмой с потерей сознания;
- болезнями желудка, например г астроэзофагеальным рефлюксом и гастритом с пониженной кислотностью; ;
- любой операцией под общим наркозом;
- тяжёлой пневмонией и любыми другими патологическими состояниями с остановкой дыхания, которые требуют интубации трахеи и искусственной вентиляции лёгких.

Самая частая причина аспирации — это дисфагия (нарушение нормального глотания). Её могут вызвать кома, наркоз, судороги и инсульт. При дисфагии содержимое носоглотки и желудка затекает в дыхательные пути, то есть происходит аспирация. Если она массивная, то это приводит к быстрому развитию аспирационной пневмонии [3] .
Болезни желудочно-кишечного тракта, при которых плохо сокращаются мышцы (например, гастроэзофагеальный рефлюкс и болезни пищевода), также являются частыми причинами развития аспирационной пневмонии. При гастроэзофагеальном рефлюксе пищу и желудочный сок забрасывает в верхние отделы ЖКТ и далее в дыхательные пути, что приводит к аспирационной пневмонии. Риск увеличивается, когда человек лежит на спине [6] .

Такой же процесс, как и при рефлюксе, протекает при использовании назогастрального зонда. Его вводят людям, которые не могут самостоятельно принимать пищу, например после обширной операции или при кишечной непроходимости. Он не даёт нижнему сфинктеру пищевода закрыться, и пища попадает в дыхательные пути с последующим развитием аспирационной пневмонии.
В группе риска также находятся люди, злоупотребляющие алкоголем. Это связано с рвотой и тем, что они не могут контролировать себя при алкогольном опьянении.
Кроме того, спровоцировать аспирационную пневмонию могут кариес, плохая гигиена и сухая слизистая рта. Они меняют состав слюны, повышают концентрацию патологической микрофлоры во рту и способствуют развитию воспаления, которое может перейти в дыхательные пути [7] .
При обнаружении схожих симптомов проконсультируйтесь у врача. Не занимайтесь самолечением - это опасно для вашего здоровья!
Симптомы аспирационной пневмонии
Характерной особенностью такой пневмонии является постепенное начало: симптомы обычно проявляются через 8–14 дней после аспирации.
Важный отличительный признак — это появление мокроты с неприятным, гнилостным запахом и иногда с примесью крови.
Другие проявления похожи на симптомы обычной пневмонии: кашель, одышка, боли в грудной клетке, повышение температуры тела от 37,5 до 39–40 °С. При хронической аспирации кашель и одышка могут возникать только после еды.
Обычно самочувствие ухудшается постепенно в течение нескольких дней. Больной чувствует слабость и теряет аппетит, что приводит к снижению веса [6] .
Иногда аспирационная пневмония протекает почти бессимптомно с небольшим подъёмом температуры, хрипами и постепенной потерей веса. Её выявляют случайно, когда человек болеет хронической аспирацией из-за другой патологии [3] .
При липоидной аспирационной пневмонии больной может только храпеть, поэтому, чтобы определить болезнь, нужна рентгенограмма. В таком случае рентген показывает разные изменения, например медленно развивающиеся уплотнения, узловые скопления различных веществ или воспаление плевры.
Патогенез аспирационной пневмонии
Аспирационная пневмония — это инфекционно-токсическое воспаление лёгких, тяжесть которого зависит не только от количества и агрессивности вредных микроорганизмов, но и от защитных механизмов дыхательных путей и организма в целом.
Лёгкие — это парный орган, который обеспечивает обмен углекислого газа и кислорода в организме. В правом лёгком есть три доли, в левом – две. Эти доли делятся на сегменты. К каждому лёгкому подходят бронхи, которые на концах переходят в альвеолы. Именно в них происходит газообмен.
Каждое лёгкое защищает специальная оболочка — плевра. Она состоит из двух листков: один присоединяется к грудной клетке (париетальный), другой выстилает наружную часть лёгкого (висцеральный). Между ними есть полость, где содержится небольшое количество жидкости, которое предотвращает трение листков плевры при дыхании.
Все дыхательные пути также выстланы защитным эпителием, при этом большую часть занимает реснитчатый эпителий. В нижних отделах эпителий не содержит реснички, но в нём располагаются бокаловидные железы, которые производят защитную слизь. Клетки эпителия не дают раздражающим веществам оставаться на поверхности дыхательных путей.
Аспирация механически и химически воздействует на ткани, блокирует работу эпителия и повреждает защитные механизмы очищения дыхательных путей. Например, аспирация желудочного сока вызывает химический ожог дыхательных путей, что приводит к бронхоспазму, спаданию лёгочной ткани, отёку и альвеолярному кровотечению. Таким образом она создаёт благоприятные условия для размножения микроорганизмов и развития воспаления в лёгочной ткани (пневмонии).
Если аспирация привела к развитию воспаления в лёгочной ткани, организм запускает защитный механизм, который ограничивает очаг воспаления, поэтому в большинстве случаев пневмония является односторонней и не выходит за рамки одного сегмента. Однако при тяжёлой форме воспаление распространяется на другие сегменты или даже долю лёгкого.
Часто при аспирационной пневмонии в лёгком образуется полость со скоплением гноя — абсцесс. Это происходит, когда в развитии воспаления участвует особенная анаэробная микрофлора. Она формируется в распадающейся ткани и той части организма, где снижено содержание кислорода. Такая микрофлора способствует скоплению гноя.
Если в процесс вовлекается плевра, пневмония осложняется плевритом (воспалением плевры), а при накоплении гноя между листками может развиться эмпиема плевры (гнойный плеврит). В самых тяжёлых случаях инфекция проникает в кровь и начинается сепсис, так называемое заражение крови [4] .

Можно выделить несколько основных патогенетических механизмов, которые приводят к аспирационной пневмонии:
- механическая закупорка дыхательных путей;
- химическое повреждение;
- бактериальная пневмония [1] .
Микроаспирация слизи из носоглотки обычно не вызывает никаких осложнений и выводится с кашлем. Но это правило работает, если человек здоров: защитные механизмы организма работают нормально, слизистая хорошо очищает бронхи и нет никаких факторов риска для развития аспирации.
Если аспирата слишком много или в нём содержатся твёрдые частицы, организм не всегда может с ним справится, так как он перекрывает дыхательные пути. При этом аспират не откашливается, а проникает в нижние отделы дыхательных путей, закупоривает бронхи и бронхиолы, что приводит к застою бронхиального секрета и слизи. Так формируется благоприятная среда для активации и размножения микроорганизмов и развития воспаления.
Воспалительная реакция, возникшая в бронхах, постепенно распространяется в нижние отделы лёгких и достигает альвеол. В этом случае речь идёт об ограниченном воспалении — очаге (очаговой пневмонии). При неблагоприятном течении очаги могут сливаться, тогда воспаление поражает сегмент, долю или всё лёгкое.
Чем больше площадь поражения лёгкого, тем ярче выражены симптомы дыхательной недостаточности, которая развивается после того, как альвеолы больше не могут проводить газообмен. Пациенту с дыхательной недостаточностью тяжело дышать, у него появляется одышка и другие признаки болезни [1] [9] .
При аспирационной пневмонии место воспаления зависит от положения тела больного в момент аспирации. Если аспирация произошла, когда человек лежал, аспирационная пневмония с большей вероятностью проявится в задних сегментах верхних долей или верхних сегментах нижних долей. Если человек стоял, то болезнь обычно развивается в нижних долях.
Классификация и стадии развития аспирационной пневмонии
В зависимости от места возникновения аспирационную пневмонию делят на:
- внебольничную;
- внутрибольничную (госпитальную).
Можно выделить следующие этапы развития аспирационной пневмонии:
- Пневмония
- Некротизирующая пневмония (формирование очага разрушения) – повышается температура тела, появляется боль в грудной клетке и признаки отравления.
- Абсцесс лёгкого — добавляется сильный кашель с большим количеством гнойной мокроты.
- Эмпиема плевры — присоединяется резкая боль со стороны поражения [2][3] .
Осложнения аспирационной пневмонии
Появление стадии абсцесса лёгкого или эмпиемы плевры — это уже осложнённое течение болезни.
Самым грозным осложнением аспирационной пневмонии является сепсис — нарушение работы внутренних органов, которое вызвано снижением иммунитета на фоне тяжёлой болезни. При сепсисе нарушается деятельность сразу нескольких систем организма (в основном дыхательной и сердечно-сосудистой систем, а также печени и почек), что может привести к летальному исходу [1] .
Ещё одним тяжёлым осложнением аспирационной пневмонии является острый респираторный дистресс-синдром — тип дыхательной недостаточности, при котором пациента нужно срочно госпитализировать в реанимацию.
Диагностика аспирационной пневмонии
Алгоритм диагностики включает в себя сбор анамнеза, характерные жалобы, физикальный осмотр, дополнительные лабораторные и инструментальные обследования.
Диагностика аспирационной пневмонии в первую очередь основывается на самом факте аспирации или факторах риска, которые могли привести к аспирации дыхательных путей. Затем врач обращает внимание на типичные жалобы, включая кашель со зловонной гнойной мокротой, повышение температуры тела, одышку, слабость и снижение аппетита.
Пациент должен обязательно рассказать врачу о фоновых заболеваниях, например о болезнях периодонта, нарушениях глоточного рефлекса, алкоголизме и эпизодах нарушения сознания, в том числе коме, оглушении и т. д. [3]
При физическом обследовании врач измеряет частоту дыхания, насыщенность крови кислородом (сатурацию), частоту сердечных сокращений, артериальное давление, температуру тела, слушает лёгкие и сердце и простукивает грудную клетку. Если на осмотре врач обнаружил характерные признаки пневмонии, например учащённое дыхание, снижение сатурации крови ниже 96 % и крепитирующие, напоминающие хруст, хрипы в одном из лёгких, он отправляет пациента на дополнительное обследование, которое включает в себя лабораторную и инструментальную диагностику.
Лабораторная диагностика
В лабораторную диагностику входит:
- анализ крови с подсчётом лейкоцитарной формулы — наблюдается подъём лейкоцитов и ускорение скорости оседания эритроцитов;
- общий анализ мочи — может показать наличие лейкоцитов и белков;
- биохимический анализ крови — определяет общий белок и белковую фракцию, креатинин, мочевину, глюкозу, печёночные ферменты (АСТ и АЛТ) и СРБ (С-реактивный белок);
- тест на прокальцитонин (по возможности) — его повышение говорит о присоединении бактериальной инфекции.
При сопутствующей патологии сердечно-сосудистой системы могут назначить дополнительные исследования, которые определяют уровень электролитов и газов в крови.
Чтобы определить возбудителя пневмонии и правильно подобрать антибиотик, необходимо также провести микробиологическое исследование мокроты [2] .
Инструментальная диагностика
Среди методов инструментальной диагностики выделяют:
- Рентгенографию органов грудной клетки — выявляет скопление вредных элементов в задних или верхних сегментах нижней доли или заднем сегменте верхней доли, при абсцессе показывает полости.
- Компьютерную томографию органов грудной клетки, как правило, без контрастирования — при подозрении на осложнённое течение пневмонии. С контрастированием — показывает очаги скопления газа или жидкости.
- Пульсоксиметрию — измеряют насыщение крови кислородом.
- Ультразвуковое исследование грудной полости — при подозрении на развитие плеврита.
- Фибробронхоскопию (эндоскопическое исследование бронхов с помощью эндоскопа) — при выделении большого количества гнойной мокроты. С помощью бронхоскопии также проводят биопсию, чтобы точно определить возбудителя инфекции.
- ЭКГ (электрокардиографию) — в случае тяжёлого течения болезни с сопутствующей сердечнно-сосудистой патологией [3] .
- Рентгенографию с контрастированием пищевода жидким барием — чтобы уточнить расстройство глотания при скудной клинической картине болезни.
Дифференциальная диагностика
Прежде всего аспирационную пневмонию необходимо дифференцировать с внебольничной или внутрибольничной бактериальной пневмонией, развитие которой не связано с аспирацией. Дифференциальную диагностику также проводят, чтобы исключить туберкулёзное поражение лёгких.
На стадии образования абсцесса необходимо провести дифференциальную диагностику с периферической формой рака лёгкого, которая развивается в бронхах мелкого калибра. В большинстве случаев диагностика не представляет больших трудностей [1] .
Чтобы исключить тромбоэмболию лёгочной артерии, проводят УЗИ сердца.
Лечение аспирационной пневмонии
Антибактериальные препараты являются главной терапией при лечении аспирационной пневмонии. Выбор того или иного антибиотика зависит от тяжести пневмонии, наличия осложнений и сопутствующих факторов риска, например подключения пациента к искусственной вентиляции лёгких или пневмонии, которая развилась у больного в стационаре [1] .
Если пневмония протекает легко и нет факторов риска, способных ухудшить состояние пациента, возможно амбулаторное лечение под наблюдением участкового врача. В этом случае антибиотики назначают в таблетках.
Когда пневмония протекает тяжело и возникает риск развития осложнений (или они уже проявились), пациента лечат в специализированной больнице и также назначают антибиотики (Карбапенем или Пиперациллин+тазобактам) . Их нужно принимать в течение 2 – 8 недель [7] .
Чтобы вылечить липоидную аспирационную пневмонию, назначают малые дозы противовоспалительных препаратов.
При развитии осложнений, например абсцесса лёгкого, плеврита или эмпиемы плевры, помимо антибактериальной терапии может понадобиться хирургическое лечение, которое включает в себя:
- установку дренажа — для удаления воздуха и жидкости из грудной клетки и введения лекарств в плевральную полость;
- установку катетера — чтобы удалить слизь и облегчить дыхание;
- операции на плевре [2] .
Больным с тяжёлым течением аспирационной пневмонии может понадобиться искусственная вентиляция лёгких или поддержка кислородом.
Прогноз. Профилактика
Прогноз и исход аспирационной пневмонии зависит от тяжести болезни и наличия осложнений. При небольших объёмах аспирата, стабильном общем состоянии и своевременном грамотном лечении прогноз для аспирационной пневмонии чаще всего благоприятный, однако смертность составляет от 13 до 37 %.
Летальность при аспирационном абсцессе лёгких — около 20 %. Прогноз также связан с размером полости абсцесса и его местонахождением (более неблагоприятное — в нижней доле правого лёгкого) [8] [10] . Плохой прогноз может быть связан с неэффективной антибактериальной терапией, наличием бактерий в кровотоке, внутрибольничной инфекцией и сопутствующими болезнями.
Профилактика аспирационной пневмонии
Методы профилактики включают:
- устранение факторов, которые могут привести к аспирации, например лечение гастроэзофагеального рефлюкса;
- профилактику заброса содержимого желудка в дыхательные пути у пациентов с тяжёлой неврологической патологией;
- своевременное посещение стоматолога;
- гигиену полости рта и профилактику кариеса;
- отказ от злоупотребления алкоголем и курения.
Правильный подход к гигиене полости рта и регулярные осмотры у стоматолога могут помочь предотвратить развитие пневмонии или абсцесса у пациентов с рецидивирующей аспирацией.
Пневмония
Пневмония – острое поражение легких инфекционно-воспалительного характера, в которое вовлекаются все структурные элементы легочной ткани, преимущественно - альвеолы и интерстициальная ткань легких. Клиника пневмонии характеризуется лихорадкой, слабостью, потливостью, болью в грудной клетке, одышкой, кашлем с мокротой (слизистой, гнойной, «ржавой»). Пневмония диагностируется на основании аускультативной картины, данных рентгенографии легких. В остром периоде лечение включает антибиотикотерапию, дезинтоксикационную терапию, иммуностимуляцию; прием муколитиков, отхаркивающих, антигистаминных средств; после прекращения лихорадки – физиотерапию, ЛФК.
МКБ-10


Общие сведения
Пневмония - воспаление нижних дыхательных путей различной этиологии, протекающее с внутриальвеолярной экссудацией и сопровождающееся характерными клинико-рентгенологическими признаками. Острая пневмония встречается у 10-14 человек из 1000, в возрастной группе старше 50 лет – у 17 человек из 1000. Актуальность проблемы заболеваемости острой пневмонией сохраняется, несмотря на внедрение новых антимикробных препаратов, также как сохраняется высокий процент осложнений и летальность (до 9%) от пневмоний.
Среди причин смертности населения пневмония стоит на 4-ом месте после заболеваний сердца и сосудов, злокачественных новообразований, травматизма и отравлений. Пневмония может развиваться у ослабленных больных, присоединяясь к течению сердечной недостаточности, онкологических заболеваний, нарушениям мозгового кровообращения, и осложняет исход последних. У пациентов со СПИДом пневмония является основной непосредственной причиной гибели.
Причины и механизм развития пневмонии
Среди этиофакторов, вызывающих пневмонию, на первом месте стоит бактериальная инфекция. Чаще всего возбудителями пневмонии являются:
- грамположительные микроорганизмы: пневмококки (от 40 до 60%), стафилококки (от 2 до 5%), стрептококки (2,5%);
- грамотрицательные микроорганизмы: палочка Фридлендера (от 3 до 8%), гемофильная палочка (7%), энтеробактерии (6%), протей, кишечная палочка, легионелла и др. (от 1,5 до 4,5%);
- микоплазмы (6%);
- вирусные инфекции (вирусы герпеса, гриппа и парагриппа, аденовирусы и т. д.);
- грибковые инфекции.
Также пневмония может развиваться вследствие воздействия неинфекционных факторов: травм грудной клетки, ионизирующего излучения, токсических веществ, аллергических агентов.
Факторы риска
К группе риска по развитию пневмонии относятся пациенты с застойной сердечной недостаточностью, хроническими бронхитами, хронической носоглоточной инфекцией, врожденными пороками развития легких, с тяжелыми иммунодефицитными состояниями, ослабленные и истощенные больные, пациенты, длительно находящиеся на постельном режиме, а также лица пожилого и старческого возраста.
Особо подвержены развитию пневмонии курящие и злоупотребляющие алкоголем люди. Никотин и пары алкоголя повреждают слизистую оболочку бронхов и угнетают защитные факторы бронхопульмональной системы, создавая благоприятную среду для внедрения и размножения инфекции.
Патогенез
Инфекционные возбудители пневмонии проникают в легкие бронхогенным, гематогенным или лимфогенным путями. При имеющемся снижении защитного бронхопульмонального барьера в альвеолах развивается инфекционное воспаление, которое через проницаемые межальвеолярные перегородки распространяется на другие отделы легочной ткани. В альвеолах происходит образование экссудата, препятствующего газообмену кислорода между легочной тканью и кровеносными сосудами. Развиваются кислородная и дыхательная недостаточность, а при осложненном течении пневмонии - сердечная недостаточность.
В развитии пневмонии выделяется 4 стадии:
- стадия прилива (от 12 часов до 3 суток) – характеризуется резким кровенаполнением сосудов легких и фибринозной экссудацией в альвеолах;
- стадия красного опеченения (от 1 до 3 суток) – происходит уплотнение ткани легкого, по структуре напоминающей печень. В альвеолярном экссудате обнаруживаются эритроциты в большом количестве;
- стадия серого опеченения – (от 2 до 6 суток) - характеризуется распадом эритроцитов и массивным выходом лейкоцитов в альвеолы;
- стадия разрешения – восстанавливается нормальная структура ткани легкого.
Классификация
1. На основании эпидемиологических данных различают пневмонии:
- внебольничные (внегоспитальные)
- внутрибольничные (госпитальные)
- вызванные иммунодефицитными состояниями
- атипичного течения.
2. По этиологическому фактору, с уточнением возбудителя, пневмонии бывают:
- бактериальными
- вирусными
- микоплазменными
- грибковыми
- смешанными.
3. По механизму развития выделяют пневмонии:
- первичные, развивающиеся как самостоятельная патология
- вторичные, развивающиеся как осложнение сопутствующих заболеваний (например, застойная пневмония)
- аспирационные, развивающиеся при попадании инородных тел в бронхи (пищевых частиц, рвотных масс и др.)
- посттравматические
- послеоперационные
- инфаркт-пневмонии, развивающиеся вследствие тромбоэмболии мелких сосудистых ветвей легочной артерии.
4. По степени заинтересованности легочной ткани встречаются пневмонии:
- односторонние (с поражением правого или левого легкого)
- двусторонние
- тотальные, долевые, сегментарные, субдольковые, прикорневые (центральные).
5. По характеру течения пневмонии могут быть:
- острые
- острые затяжные
- хронические
6. С учетом развития функциональных нарушений пневмонии протекают:
- с наличием функциональных нарушений (с указанием их характеристик и выраженности)
- с отсутствием функциональных нарушений.
7. С учетом развития осложнений пневмонии бывают:
- неосложненного течения
- осложненного течения (плевритом, абсцессом, бактериальным токсическим шоком, миокардитом, эндокардитом и т. д.).
8. На основании клинико-морфологических признаков различают пневмонии:
- паренхиматозные (крупозные или долевые)
- очаговые (бронхопневмонии, дольковые пневмонии)
- интерстициальные (чаще при микоплазменном поражении).
9. В зависимости от тяжести течения пневмонии делят на:
- легкой степени – характеризуется слабо выраженной интоксикацией (ясное сознание, температура тела до 38°С, АД в норме, тахикардия не более 90 уд. в мин.), одышка в покое отсутствует, рентгенологически определяется небольшой очаг воспаления.
- средней степени – признаки умеренно выраженной интоксикации (ясное сознание, потливость, выраженная слабость, температура тела до 39°С, АД умеренно снижено, тахикардия около 100 уд. в мин.), частота дыхания – до 30 в мин. в покое, рентгенологически определяется выраженная инфильтрация.
- тяжелой степени – характеризуется выраженной интоксикацией (лихорадка 39-40°С, помутнение создания, адинамия, бред, тахикардия свыше 100 уд. в мин., коллапс), одышка до 40 в мин. в покое, цианоз, рентгенологически определяется обширная инфильтрация, развитие осложнений пневмонии.
Симптомы пневмонии
Крупозная пневмония
Характерно острое начало с лихорадки свыше 39°С, озноба, болей в грудной клетке, одышки, слабости. Беспокоит кашель: сначала сухой, непродуктивный, далее, на 3-4 день – с «ржавой» мокротой. Температура тела постоянно высокая. При крупозной пневмонии лихорадка, кашель и отхождение мокроты держатся до 10 дней.
При тяжелой степени течения крупозной пневмонии определяется гиперемия кожных покровов и цианоз носогубного треугольника. На губах, щеках, подбородке, крыльях носа видны герпетические высыпания. Состояние пациента тяжелое. Дыхание поверхностное, учащенное, с раздуванием крыльев носа. Аускультативно выслушиваются крепитация и влажные мелкопузырчатые хрипы. Пульс, частый, нередко аритмичный, АД снижено, сердечные тона глухие.
Очаговая пневмония
Осложнения пневмонии
Особенности течения пневмонии обусловлены степенью тяжести, свойствами возбудителя и наличием осложнений. Осложненным считается течение пневмонии, сопровождающееся развитием в бронхолегочной системе и других органах воспалительных и реактивных процессов, вызванных непосредственно воспалением легких. От наличия осложнений во многом зависит течение и исход пневмонии. Осложнения пневмонии могут быть легочными и внелегочными.
Легочными осложнениями при пневмонии могут быть:
- обструктивный синдром
- абсцесс, гангрена легкого
- парапневмонический экссудативный плеврит.
Среди внелегочных осложнений пневмонии часто развиваются:
- острая сердечно-легочная недостаточность
- эндокардит, миокардит
- менингит и менингоэнцефалит
- инфекционно-токсический шок
- анемия
- психозы и т. д.
Диагностика
При диагностике пневмонии решаются сразу несколько задач: дифференциальная диагностика воспаления с другими легочными процессами, выяснение этиологии и степени тяжести (осложнений) пневмонии. Пневмонию у пациента следует заподозрить на основании симптоматических признаков: быстрого развития лихорадки и интоксикации, кашля.
- Физикальное исследование. Определяется уплотнение легочной ткани (на основании перкуторного притупления легочного звука и усиления бронхофонии), характерной аускультативной картины - очаговых, влажных, мелкопузырчатых, звучных хрипов или крепитации.
- Лабораторная диагностика. Изменения в общем анализе крови при пневмонии характеризуются лейкоцитозом от 15 до 30 • 109/л, палочкоядерным сдвигом лейкоцитарной формулы от 6 до 30%, повышением СОЭ до 30-50 мм/ч. В общем анализе мочи может определяться протеинурия, реже микрогематурия. Баканализ мокроты при пневмонии позволяет выявить возбудителя и определить его чувствительность к антибиотикам.
- Рентгенография легких.Рентгенограммы при пневмонии обычно делают в начале заболевания и спустя 3-4 недели для контроля разрешения воспаления и исключения другой патологии (чаще бронхогенного рака легких). При любых видах пневмоний чаще процесс захватывает нижние доли легкого. На рентгенограммах при пневмонии могут выявляться следующие изменения: паренхиматозные (очаговые или диффузные затемнения различной локализации и протяженности); интерстициальные (легочный рисунок усилен за счет периваскулярной и перибронхиальной инфильтрации).
- УЗИ. По данным эхокардиографии и УЗИ плевральной полости иногда определяется плевральный выпот.

Лечение пневмонии
Пациентов с пневмонией, как правило, госпитализируют в общетерапевтическое отделение или отделение пульмонологии. На период лихорадки и интоксикации назначается постельный режим, обильное теплое питье, высококалорийное, богатое витаминами питание. При выряженных явлениях дыхательной недостаточности больным пневмонией назначают ингаляции кислорода. Основные направления терапии:
- Антибиотикотерапия. Основным в лечении пневмонии является антибактериальная терапия. Назначать антибиотики следует как можно ранее, не дожидаясь определения возбудителя. Подбор антибиотика осуществляет врач, никакое самолечение недопустимо! При внегоспитальной пневмонии чаще назначают пенициллины (амоксициллин с клавулановой к-той, ампициллин и т. д.), макролиды, цефалоспорины. Выбор способа введения антибиотика определяется тяжестью течения пневмонии. Для лечения внутрибольничных пневмоний используют пенициллины, цефалоспорины, фторхинолоны (ципрофлоксацин, офлоксацин и т. д.), карбапенемы, аминогликозиды. При неизвестном возбудителе назначают комбинированную антибиотикотерапию из 2-3 препаратов. Курс лечения может продолжаться от 7-10 до 14 дней, возможна смена антибиотика.
- Симптоматическая терапия. При пневмониях показано проведение дезинтоксикационной терапии, иммуностимуляции, назначения жаропонижающих, отхаркивающих и муколитических, антигистаминных средств.
- Физиолечение. После прекращения лихорадки и интоксикации режим расширяют и назначают проведение физиотерапии (электрофорез с кальцием хлоридом, калием йодидом, гиалуронидазой, УВЧ, массаж, ингаляции) и ЛФК для стимуляции разрешения воспалительного очага.
Лечение пневмонии проводится до полного выздоровления пациента, которое определяется нормализацией состояния и самочувствия, физикальных, рентгенологических и лабораторных показателей. При частых повторных пневмониях одной и той же локализации решается вопрос о хирургическом вмешательстве.
Прогноз
При пневмонии прогноз определяется рядом факторов: вирулентностью возбудителя, возрастом пациента, фоновыми заболеваниями, иммунной реактивностью, адекватностью лечения. Неблагоприятны в отношении прогноза осложненные варианты течения пневмоний, иимунодефицитные состояния, устойчивость возбудителей к антибиотикотерапии. Особенно опасны пневмонии у детей до 1 года, вызванные стафилококком, синегнойной палочкой, клебсиеллой: летальность при них составляет от 10 до 30%.
При своевременных и адекватных лечебных мероприятиях пневмония заканчивается выздоровлением. По вариантам изменений в легочной ткани могут наблюдаться следующие исходы пневмонии:
- полное восстановление структуры легочной ткани - 70 %;
- формирование участка локального пневмосклероза - 20 %;
- формирование участка локальной карнификации – 7%;
- уменьшение сегмента или доли в размерах – 2%;
- сморщивание сегмента или доли – 1%.
Профилактика
Меры предупреждения развития пневмонии заключаются в закаливании организма, поддержании иммунитета, исключении фактора переохлаждения, санации хронических инфекционных очагов носоглотки, борьбе с запыленностью, прекращении курения и злоупотребления алкоголем. У ослабленных лежачих пациентов с целью профилактики пневмонии целесообразно проведение дыхательной и лечебной гимнастики, массажа, назначение антиагрегантов (пентоксифиллина, гепарина).
1. Внебольничная пневмония у взрослых: практические рекомендации по диагностике, лечению и профилактике (Пособие для врачей)/ Чучалин А.Г., Синопальников А.И., Козлов Р.С., Тюрин И.Е.,С.А. Рачина// Клиническая микробиология и антимикробная химиотерапия. – 2010 – Т. 12, №3.
3. Внутренние болезни в 2-х томах: учебник/ Под ред. Мухина Н.А., Моисеева В.С., Мартынова А.И. - 2010.
4. Пневмонии: сложные и нерешенные вопросы диагностики и лечения/ Новиков Ю.К.// Русский медицинский журнал. – 2004 - №21.
Вирусная пневмония
Вирусная пневмония – это инфекционное поражение нижних отделов дыхательных путей, вызываемое респираторными вирусами (гриппа, парагриппа, аденовирусами, энтеровирусами, респираторно-синцитиальным вирусом и др.). Вирусные пневмонии протекают остро с внезапным повышением температуры тела, ознобами, интоксикационным синдромом, влажным кашлем, плевральными болями, дыхательной недостаточностью. При диагностике учитываются физикальные, рентгенологические и лабораторные данные, связь пневмонии с вирусной инфекцией. Терапия базируется на назначении противовирусных и симптоматических средств.
Вирусная пневмония – острое воспаление респираторных отделов легких, вызываемое вирусными возбудителями, протекающее с синдромом интоксикации и дыхательных расстройств. В детском возрасте на долю вирусных пневмоний приходится порядка 90% всех случаев воспаления легких. В структуре взрослой заболеваемости преобладают бактериальные пневмонии, а вирусные составляют 4–39% от общего числа (чаще болеют лица старше 65 лет). Частота возникновения вирусных пневмоний тесно связана с эпидемиологическими вспышками ОРВИ – их подъем приходится на осенне-зимний период. В пульмонологии различают первичную вирусную пневмонию (интерстициальную с доброкачественным течением и геморрагическую со злокачественным течением) и вторичную (вирусно-бактериальную пневмонию – раннюю и позднюю).
Причины
Спектр возбудителей вирусной пневмонии чрезвычайно широк. Наиболее часто этиологическими агентами выступают респираторные вирусы гриппа А и В, парагриппа, аденовирус. Лица с иммунодефицитами более других подвержены вирусным пневмониям, вызванным вирусом герпеса и цитомегаловирусом. Реже диагностируются пневмонии, инициированные энтеровирусами, хантавирусом, коронавирусом, метапневмовирусом, вирусом Эпштейна-Барр. SARS-ассоциированный коронавирус является возбудителем тяжелого острого респираторного синдрома (ТОРС), более известного как атипичная пневмония. У детей младшего возраста вирусные пневмонии нередко вызываются респираторно-синцитиальным вирусом, а также вирусами кори и ветряной оспы.
Первичная вирусная пневмония манифестирует в первые 3 суток после инфицирования, а спустя 3-5 дней присоединяется бактериальная флора, и пневмония становится смешанной - вирусно-бактериальной. К числу лиц, имеющих повышенный риск заболеваемости вирусной пневмонией, относятся дети раннего возраста, пациенты старше 65 лет, лица с ослабленным иммунитетом, сердечно-легочной патологией (пороками сердца, тяжелой артериальной гипертензией, ИБС, хроническим бронхитом, бронхиальной астмой, эмфиземой легких) и другими сопутствующими хроническими заболеваниями.
Передача вирусов осуществляется воздушно-капельным путем при дыхании, разговоре, чиханье, кашле; возможен контактно-бытовой путь заражения через контаминированные предметы обихода. Вирусные частицы проникают в респираторные отделы дыхательных путей, где адсорбируются на клетках бронхиального и альвеолярного эпителия, вызывают его пролиферацию, инфильтрацию и утолщение межальвеолярных перегородок, круглоклеточную инфильтрацию перибронхиальной ткани. При тяжелых формах вирусной пневмонии в альвеолах обнаруживается геморрагический экссудат. Бактериальная суперинфекция значительно утяжеляет течение вирусной пневмонии.
Симптомы вирусной пневмонии
В зависимости от этиологического агента вирусные пневмонии могут протекать с различной степенью тяжести, осложнениями и исходами. Воспаление легких обычно присоединяется уже с первых дней течения ОРВИ.
Заболеваемость вирусной пневмонией на фоне гриппа значительно увеличивается в периоды эпидемий респираторной инфекции. В этом случае на фоне типичной симптоматики ОРВИ (лихорадки, резкой слабости, миалгии, явлений катара верхних дыхательных путей) появляется заметная одышка, диффузный цианоз, кашель с мокротой ржавого цвета, хрипы в легких, боль в груди при вдохе. У детей выражены общий токсикоз, беспокойство, могут возникать рвота, судороги, менингеальные знаки. Гриппозная пневмония обычно носит двусторонний характер, о чем свидетельствуют аускультативные данные и рентгенологическая картина (очаговые затемнения в обоих легких). Легкие случаи вирусной пневмонии, вызванной вирусом гриппа, характеризуются умеренно выраженной симптоматикой и заканчивается выздоровлением.
Парагриппозная пневмония чаще поражает новорожденных и детей раннего возраста. Она носит мелкоочаговый (реже сливной) характер и протекает на фоне катаральных явлений. Респираторные нарушения и интоксикационный синдром выражены умеренно, температура тела обычно не превышает субфебрильные значения. Тяжелые формы вирусной пневмонии при парагриппе у детей протекают с выраженной гипертермией, судорогами, анорексией, диареей, геморрагическим синдромом.
Особенностью респираторно-синцитиальной пневмонии служит развитие тяжелого обструктивного бронхиолита. Поражение нижних отделов респираторного тракта знаменуется повышением температуры тела до 38–39 о С, ухудшением общего состояния. Вследствие спазма и закупорки мелких бронхов слизью и десквамированным эпителием дыхание становится резко затрудненным и учащенным, развивается цианоз носогубной и периорбитальной области. Кашель частый, влажный, однако ввиду повышенной вязкости мокроты – малопродуктивный. При данной разновидности вирусной пневмонии обращает внимание несоответствие интоксикации (выражена умеренно) степени дыхательной недостаточности (крайне выражена).
Энтеровирусные пневмонии, возбудителями которых выступают вирусы Коксаки и ЕСНО, протекают со скудными физикальными и рентгенологическими данными. В клинической картине на первый план выходят сопутствующие менингеальные, кишечные, сердечно-сосудистые нарушения, затрудняющие диагностику.
Осложнения
Тяжелые формы вирусных пневмоний протекают с постоянной высокой лихорадкой, дыхательной недостаточностью, коллапсом. Среди осложнений часты гриппозный энцефалит и менингит, отит, пиелонефрит. Присоединение вторичной бактериальной инфекции нередко приводит к возникновению абсцессов легкого или эмпиемы плевры. Возможен летальный исход в течение первой недели заболевания.
Правильно распознать этиологическую форму пневмонии и идентифицировать возбудителя поможет тщательное изучение анамнеза, эпидемиологической обстановки, оценка физикальных и лабораторно-рентгенологических данных. Вирусные пневмонии обычно развиваются в периоды эпидемических вспышек ОРВИ, протекают на фоне катарального синдрома, сопровождаются признаками дыхательной недостаточности различной степени выраженности. Аускультативно в легких выслушиваются мелкопузырчатые хрипы.
При рентгенографии легких обнаруживается усиление интерстициального рисунка, наличие мелкоочаговых теней чаще в нижних долях. Подтвердить вирусную этиологию пневмонии помогает исследование мокроты, трахеального аспирата или промывных вод бронхов методом флуоресцирующих антител. В крови в остром периоде отмечается четырехкратное нарастание титров АТ к вирусному агенту. Всесторонняя оценка объективных данных пульмонологом позволит исключить атипичную, аспирационную пневмонию, облитерирующий бронхиолит, инфаркт-пневмонию, бронхогенный рак и др.
Лечение вирусной пневмонии
Госпитализация показана только детям до 1 года, пациентам старшей возрастной группы (от 65 лет), а также имеющим тяжелые сопутствующие заболевания (ХОБЛ, сердечную недостаточность, сахарный диабет). Больным назначается постельный режим, обильное питье, витаминизированное, высококалорийное питание.
Этиотропная терапия назначается в зависимости от вирусного возбудителя: ремантадин, осельтамивир, занамивир - при гриппозной пневмонии, ацикловир – при герпес-вирусной пневмонии, ганцикловир – при цитомегаловирусной инфекции, рибавирин – при респираторно-синцитиальной пневмонии и поражении хантавирусом и т. д. Антибактериальные средства добавляются только при смешанном характере пневмонии или развитии гнойных осложнений. В качестве симптоматического лечения применяются отхаркивающие, жаропонижающие средства. В целях облегчения отхождения мокроты проводятся лекарственные ингаляции, дренажный массаж. При выраженном токсикозе осуществляется внутривенная инфузия растворов; при развитии дыхательной недостаточности – кислородотерапия.
Прогноз и профилактика
В большинстве случаев вирусная пневмония заканчивается выздоровлением в течение 14 дней. У 30-40% пациентов отмечается затяжное течение заболевания с сохранением клинико-рентгенологических изменений на протяжении 3-4 недель с последующим развитием хронического бронхита или хронической пневмонии. Заболеваемость и смертность от вирусной пневмонии выше среди детей раннего возраста и пожилых пациентов.
Профилактика вирусной пневмонии тесно связана с иммунизацией населения, в первую очередь, профилактической сезонной вакцинацией против гриппа и наиболее опасных детских инфекций. Неспецифические меры по укреплению иммунитета включают закаливание, витаминотерапию. В периоды эпидвспышек ОРВИ необходимо соблюдать меры личной предосторожности: по возможности исключить контакты с больными респираторными инфекциями, чаще мыть руки, проветривать помещение и т. п. Особенно эти рекомендации касаются контингента повышенного риска по развитию и осложненному течению вирусной пневмонии.
1. Эпидемиология, клиника и лечение тяжелых форм вирусно-бактериальных пневмоний: учебное пособие/ Хапий Х.Х. и соавт. - 2014.
2. Внебольничная пне вмония у взрослых: практические рекомендации по диагностике, лечению и профилактике/ Пособие для врачей. - 2010.
4. Особенности клинического течения, лечения тяжелой вирусно-бактериальной пневмонии на фоне высоковирулентного гриппа A(H1N1) на Севере: Автореферат диссертации/ Савш П.А. - 2017.с
Бактериальная пневмония
Бактериальная пневмония – это микробная инфекция респираторных отделов легких, протекающая с развитием внутриальвеолярной экссудации и воспалительной инфильтрации легочной паренхимы. Бактериальная пневмония сопровождается лихорадкой, слабостью, головной болью, кашлем со слизисто-гнойной или ржавой мокротой, одышкой, болью в груди, миалгией и артралгией, легочной недостаточностью. Диагноз бактериальной пневмонии основан на данных физикального осмотра, рентгенографии легких, общего и биохимического анализов крови, микроскопии и посева мокроты. Основу лечения бактериальной пневмонии составляет этиотропная антибиотикотерапия.

Бактериальная пневмония – острый инфекционно-воспалительный процесс в легочной ткани, вызываемый патогенной микробной флорой и характеризующийся развитием лихорадочного, интоксикационного синдромов и дыхательной недостаточности. Среди прочих этиологических форм воспаления легких (вирусных, паразитарных, грибковых и пр.) бактериальные пневмонии уверенно удерживают первое место. Ежегодно бактериальной пневмонией заболевает около 1000 человек на 100 тыс. населения. Наиболее уязвимый контингент - дети младше 5 лет и пожилые люди после 75 лет. В пульмонологии проблема пневмонии акцентирует на себе внимание в связи с неуклонным ростом числа случаев осложненного течения и уровня летальности.
При других бактериальных заболеваниях (сибирской язве, гонорее, сальмонеллезе, туляремии, брюшном тифе, коклюше) возбудителями пневмонии могут служить представители специфической микрофлоры. При иммунодефицитном состоянии бактериальными агентами часто выступают пневмококки, легионелла и гемофильная палочка.
Патогенные микроорганизмы могут проникать в легочную ткань прямым, воздушно-капельным и гематогенным путем. У пациентов с неврологической симптоматикой и нарушением сознания часто наблюдается аспирация секрета ротовой полости и носоглотки, контаминированного бактериями. Гематогенная диссеминация возбудителя бактериальной пневмонии происходит с током крови из внелегочного очага (при инфекционном эндокардите, заглоточном абсцессе). Инфекция может проникать в легкие при ранениях грудной клетки, интубации трахеи, из окружающих тканей при прорыве поддиафрагмального абсцесса и т. д.
В патогенезе бактериальной пневмонии определяющим является не только вирулентность и механизм проникновения возбудителя, но и уровень местного и общего иммунитета. К развитию бактериальной пневмонии предрасполагают:
- ОРВИ
- курение, употребление алкоголя
- частые стрессы, переутомление
- гиповитаминоз
- пожилой возраст
- загрязнение воздуха.
- снижение иммунной защиты. Происходит при сопутствующей патологии: застойной сердечной недостаточности, врожденных пороках бронхолегочной системы, ХОБЛ, хронической ЛОР-инфекции, иммунодефиците, тяжело и длительно протекающих заболеваниях; вследствие хирургического вмешательства и длительной иммобилизации.
Классификация нозологических форм заболевания базируется на видах инфекционных возбудителей, в соответствии с которыми различают пневмококковые, стафилококковые, стрептококковые, менингококковые пневмонии, а также пневмонии, вызванные гемофильной палочкой, клебсиеллой, кишечной палочкой, синегнойной палочкой, легионеллой и др. По клиническому течению выделяют бактериальную пневмонию:
- очаговую(бронхопневмонию). Воспалительные изменения затрагивают отдельные участки легочной ткани и прилегающие к ним бронхи.
- долевую(лобарную, крупозную). Поражается паренхима целой доли легкого.
Чаще поражаются нижние отделы легких. Может иметь место односторонняя и двусторонняя бактериальная пневмония, при одновременном поражении плевры развивается плевропневмония.
Симптомы бактериальной пневмонии
Клинические проявления и тяжесть течения бактериальной пневмонии определяются типом возбудителя, объемом поражения, возрастом и состоянием здоровья пациента. При типичном варианте бактериальной пневмонии возникает внезапная ремиттирующая лихорадка, кашель продуктивного характера со слизисто-гнойной или ржавого вида мокротой, иногда плевральные боли в грудной клетке. Больных беспокоит сильная слабость, резкое недомогание, головная боль, одышка, миалгия и артралгия, потеря аппетита. Нередко выявляется синусовая тахикардия, аритмия, артериальная гипотония. Могут развиваться признаки дыхательной, сердечной и почечной недостаточности.
Для стафилококковой пневмонии характерно бурное начало, скачок температуры до 40°С с рецидивирующими ознобами, общее тяжелое состояние, связанное с деструкцией легких, появлением очагов некроза, полостей, абсцедированием легочной ткани. Фридлендеровская пневмония напоминает крупозное воспаление легких, имеет затяжное течение и сопровождается лихорадкой (39-40°С), упорным кашлем, выделением вязкой бурой мокроты с неприятным запахом, общей интоксикацией, быстрым развитием обширных некрозов легочной ткани, одиночных абсцессов, плеврита, инфаркта легкого, септических осложнений. Тяжело протекающая пневмония, вызванная синегнойной палочкой, характеризуется высоким уровнем летальности. При пневмококковой пневмонии некроз и абсцедирование развиваются редко.
Атипичные формы пневмонии возникают при инфицировании легких анаэробами полости рта, легионеллой. Их особенностью служит постепенное развитие симптоматики, доминирование внелегочных проявлений. Например, легионеллезная пневмония сопровождается неврологическими проявлениями, дисфункцией печени, диареей. У пожилых лиц бактериальная пневмония отличается затяжным течением с длительным субфебрилитетом, заметным ухудшением самочувствия, выраженной одышкой, обострением сопутствующих заболеваний, дисфункцией ЦНС.
Бактериальной пневмонии свойственно поражение дыхательных путей с воспалительной инфильтрацией паренхимы легких; синдромом раздражения плевры и плевральным выпотом. Возможно образование очагов некроза легочной ткани с формированием полости, осложняющееся некротической пневмонией, абсцессом легкого. Также осложнениями бактериальной пневмонии могут стать эмпиема плевры, гангрена легкого, при выраженной ДН - респираторный дистресс-синдром. Генерализация бактериальной инфекции опасна развитием гломерулонефрита, менингита, инфекционно-токсического шока, сепсиса.
При осмотре больного бактериальной пневмонией отмечается бледность, цианоз, тяжелое дыхание; при пальпации – усиление голосового дрожания со стороны поражения; при перкуссии – укорочение и притупление легочного звука; при аускультации - усиление бронхофонии, жесткое или бронхиальное дыхание, влажные мелкопузырчатые хрипы и шум трения плевры. Синдром воспаления при бактериальной пневмонии подтверждается лейкоцитозом со сдвигом формулы влево, лимфопенией, умеренным или значительным повышением СОЭ, появлением С-реактивного белка.
Рентгенография легких в прямой и боковой проекциях определяет наличие, локализацию и протяженность участков воспаления и деструкции легочной ткани, наличие плеврального выпота. Установить потенциального возбудителя бактериальной пневмонии помогает микроскопия, а также культуральный посев мокроты и промывных вод бронхов. Дополнительно проводится посев крови на стерильность, анализ плеврального выпота, ИФА. При одышке и хронической легочной патологии изучается ФДВ, при тяжелом осложненном течении бактериальной пневмонии исследуется газовый состав артериальной крови для оценки уровня гипоксемии и гиперкапнии, насыщения Hb кислородом.
Спиральная КТ и МРТ легких применяются при дифференциации диагноза. При диагностике бактериальной пневмонии требуется исключить инфильтративный туберкулез, рак легкого, инфаркт легкого, эозинофильный инфильтрат, застойную сердечную недостаточность, ателектаз легкого.

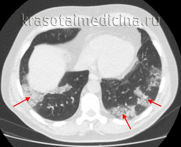
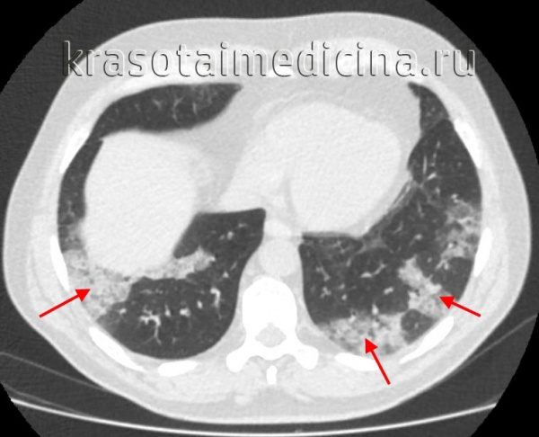
КТ ОГК. Множественные обширные участки снижения пневматизации по типу консолидации в нижних долях обоих легких.
Лечение бактериальной пневмонии
Лечение бактериальной пневмонии в зависимости от степени тяжести проводится амбулаторно или в условиях стационара, при необходимости в отделении ИТ. В лихорадочный период рекомендован постельный режим, обильное питье, легко усваиваемое полноценное питание.
Антибиотикотерапия
Этиотропная противомикробная терапия назначается эмпирически с коррекцией после идентификации возбудителя и получения антибиотикограммы. При бактериальной пневмонии применяются аминопенициллины, макролиды, цефалоспорины в виде монотерапии или сочетания нескольких антимикробных препаратов. При нетяжелой внебольничной пневмонии назначаются пероральные и внутримышечные формы препаратов, при тяжелом течении целесообразно их внутривенное введение; длительность лечения составляет 10-14 дней.
При пневмонии, вызванной стафилококками, энтеробактериями и легионеллой необходим более длительный курс антибиотикотерапии, составляющий 14-21 день. При аспирационной и госпитальной бактериальной пневмонии дополнительно используются фторхинолоны, карбапенемы, комбинации с аминогликозидами, линкозамидами и метронидазолом.
Симптоматическая терапия
В осложненных случаях проводится дезинтоксикационная и иммунотерапия, коррекция микроциркуляторных нарушений и диспротеинемии, кислородотерапия. Могут назначаться жаропонижающие средства, анальгетики, глюкокортикоиды, сердечные препараты. Больным с бронхообструктивной патологией показана аэрозольтерапия с бронхо- и муколитическими средствами.
При абсцедировании проводится санационная бронхоскопия с использованием растворов антисептиков, антибиотиков, муколитиков. Рекомендуются дыхательные упражнения, массаж, физиопроцедуры. Показано наблюдение терапевта и пульмонолога, санаторно-курортное лечение.
Прогноз бактериальной пневмонии обусловлен тяжестью процесса, адекватностью антибиотикотерапии. Летальность при бактериальной пневмонии достигает 9% (при нозокомиальной форме - 20%, у пожилых пациентов - 30%, в осложненных случаях - до 50%). Профилактика заключается в санации гнойных очагов ЛОР-органов, соблюдении правил и принципов проведения ИВЛ, повышении иммунной реактивности. Важным слагаемым является адекватная антибиотикотерапия различных инфекций.
1. О выборе антибиотика для лечения постгриппозной бактериальной пневмонии/ Вознесенский Н.А.// Лечебное дело. – 2010 - №1.
2. Эпидемиология, клиника и лечение тяжелых форм вирусно-бактериальных пневмоний: Учебное пособие/ Хапий Х.Х и соавт. – 2014.
3. Внебольничная пневмония у взрослых: практические рекомендации по диагностике, лечению и профилактике: Пособие для врачей/ Чучалин А.Г., Синопальников А.И., Козлов Р.С., Тюрин И.Е., Рачина С.А.// Клиническая микробиология и антимикробная химиотерапия. - 2010 - Том 12, No3.
4. Структура бактериальных возбудителей и рациональная фармакотерапия внебольничной пневмонии/ А.С. Герасимова, Е.А. Челбаева, Г.Н. Тарасеева, В.Э. Олейников. – 2016.
Читайте также:
- Подготовка зубов к пломбированию. Препарирование кариозных полостей
- Тактика при отравлении наркотиками. Поражения желудочно-кишечного тракта токсинами
- Обзор делирии и деменции
- Лучевая диагностика периапикального склерозирующего остеита зуба
- Вариации в расположении позвоночной артерии. Аномалии легочных вен плода
