Диагностика острого панкреатита. Дифференциальная диагностика острого панкреатита
Добавил пользователь Владимир З. Обновлено: 08.11.2025
а) Терминология:
1. Сокращения:
• Интерстициальный отечный панкреатит (interstitial edematous pancreatitis-IEP), панкреонекроз (necrotizing pancreatitis-NP)
• Острое скопление секрета поджелудочной железы (acute pancreatic fluid collection — APFC), ± инфекция
• Очаг острого некроза (acute necrotic collection - ANC), ± инфекция
2. Определения:
• Острый воспалительный процесс в поджелудочной железе, сопровождающийся вариабельным поражением местных тканей и отдаленных органов и систем
б) Визуализация:
1. Общая характеристика:
• Основные диагностические признаки:
о Увеличенная поджелудочная железа, перипанкреатическое скопление жидкости, отек и облитерация слоев жировой клетчатки
• Размеры:
о Очаговое или диффузное утолщение
2. УЗИ при остром панкреатите:
• УЗИ в черно-белом режиме:
о При легком течении панкреатита УЗИ-симптоматика может быть не выражена или отсутствовать вовсе
о Увеличенная гипоэхогенная поджелудочная железа: интерстициальный отек
о Размытость контуров поджелудочной железы: отек железы и перипанкреатический экссудат
о Гетерогенность эхо-текстуры: интрапанкреатический некроз или кровоизлияние
о Абсцесс поджелудочной железы или очаги инфекционного поражения: с помощью УЗИ подтверждаются с трудом; толстостенные, чаще всего анэхогенные структуры, внутри которых определяются эхосигналы и детрит
о Конкременты желчного пузыря или желчных протоков
• Цветовая допплерография:
о Информативна при диагностике псевдоаневризм и воротно-селезеночного венозного тромбоза

(Левый) На поперечном УЗ срезе брюшной полости визуализируется гетерогенная гипоэхогенная поджелудочная железа, что соответствует картине интерстициального отечного панкреатита. Спереди от тела поджелудочной железы определяется ги-поэхогенная перипанкреатическая жидкость, соответствующая острому скоплению секрета поджелудочной железы.
(Правый) У этого же пациента при КТ с контрастным усилением визуализируется гетерогенная низкоконтрастная поджелудочная железа, что соответствует картине интерстициального отечного панкреатита. Тело поджелудочной железы окружено зоной перипанкреатического отека; кроме того, в области хвоста железы определяется скопление секрета поджелудочной железы.
3. КТ при остром панкреатите:
• Очаговое или диффузное увеличение поджелудочной железы, нечеткость ее контуров, инфильтрация перипанкреатической жировой клетчатки
• Гомогенное или слегка гетерогенное усиление контраста (интерстициальный отечный панкреатит); очаговые или диффузные участки отсутствия контрастирования (некроз)
• Осложнения:
о Перипанкреатические очаги (острые скопления секрета поджелудочной железы и очаги острого некроза) не имеют четко выраженной стенки о Поздние очаги имеют четкую контрастную стенку: псевдокисты-на месте скоплений секрета поджелудочной железы; отграниченный некроз - на месте очагов острого некроза
о Псевдоаневризма: кистозное сосудистое образование, контрастируемое также, как и прилегающие кровеносные сосуды
о Тромбоз воротной/селезеночной вен: контрастирования тромбированных вен не происходит
о Инфекция: наличие газа, за исключением случаев толстокишечного свища и проведения инвазивных вмешательств
4. МРТ при остром панкреатите:
• Т2-ВИ с подавлением жира
о Очаги, зоны некроза: гиперинтенсивны
о Перипанкреатический отек, инфильтрация жидкости: гиперинтенсивны
• Т1-ВИ с контрастным усилением
о Контрастирование: гомогенное или слегка гетерогенное (интерстициальный отечный панкреатит) по сравнению с очаговыми или диффузными участками отсутствия контрастирования (некроз)
о Окклюзии сосудов: дефекты заполнения или отсутствие контрастирования сосудов
• МР холангиопанкреатография:
о Расширенный или неизмененный главный проток поджелудочной железы (main pancreatic duct-MPD)
о Конкременты желчного пузыря, холедохолитиаз: дефекты заполнения желчного пузыря или общего желчного протока
5. Рекомендации по визуализации:
• Оптимальный метод визуализации:
о КТ с контрастным усилением
• Рекомендации по методике проведения исследования:
о УЗИ-оптимальный метод диагностики холелитиаза при остром панкреатите неясной этиологии
о КТ с контрастным усилением - наиболее информативный метод оценки распространенности воспаления, выявления некроза и осложнений в поздние фазы заболевания
о МРТ-наиболее информативный метод диагностики холедохолитиаза (МР холангиопанкреатография); также это исследование проводится пациентам, которым невозможно провести КТ с контрастным усилением

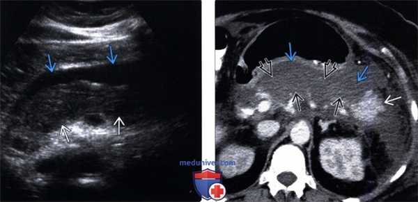
(Левый) На поперечном срединном УЗ срезе в ложе поджелудочной железы определяется гетерогенное скопление, содержащее нежидкостные фрагменты, что указывает на развитие некроза поджелудочной железы и перипанкреатических тканей.
(Правый) У этого же пациента при КТ с контрастным усилением на поперечной томограмме наблюдается полное отсутствие контрастирования тела и хвоста поджелудочной железы, что характерно для панкреонекроза. Также определяется пери панкреатическое скопление жидкости, содержащее нежидкостные фрагменты, это указывает на острый некроз перипанкреатических тканей и формирование очага острого некроза.
в) Дифференциальная диагностика острого панкреатита:
1. Инфильтративный рак поджелудочной железы:
• Гетерогенное гипоэхогенное образование неправильной формы
• Резкая обструкция и расширение протока поджелудочной железы
• Метастазы в регионарных лимфоузлах: лимфоузлы ворот селезенки и ворот печени
• Инвазия в соседние органы: двенадцатиперстную кишку, желудок, печень, брыжейку
2. Лимфома и метастазы:
• Узловатая массивная поджелудочная железа, увеличенная вследствие инфильтрации
• Забрюшинная лимфаденопатия
• Перипанкреатический инфильтрат (облитерация жировых прослоек)
3. Аутоиммунный панкреатит:
• Очаговое или диффузное увеличение в размерах
• Сужение протока поджелудочной железы
• Отсутствие кальцинатов или скоплений жидкости
4. Перфоративная язва двенадцатиперстной кишки:
• При пенетрации язвы может развиться инфильтрация переднего параренального пространства, симулирующая панкреатит
• • Может вызывать поражение головки поджелудочной железы
5. «Шоковая» поджелудочная железа:
• Инфильтрация перипанкреатической и брыжеечной жировой клетчатки после эпизода падения артериального давления (например при тупой травме)
• Сама поджелудочная железа выглядит неизмененной или диффузно увеличена в размерах

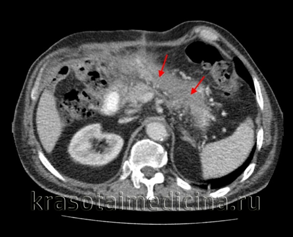
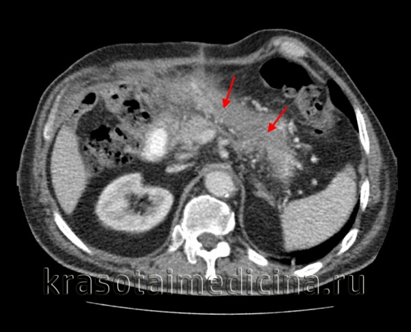
(Левый) На поперечном УЗ срезе определяется увеличенная гипоэхогенная поджелудочная железа, что характерно для острого панкреатита. Спереди от железы определяется скопление жидкости. Наличие и распространенность некроза оценить трудно.
(Правый) У того же пациента при КТ с контрастным усилением на поперечной томограмме большая часть поджелудочной железы не контрастируется, что указывает на развитие некроза; в хвосте железы определяется остаточная жизнеспособная ткань. Граница между передним краем поджелудочной железы и очагом острого некроза различима с трудом.
г) Патология:
1. Общая характеристика:
• Этиология:
о Алкоголь/конкременты желчных путей/метаболические нарушения/инфекция/травма/употребление наркотиков/эндоскопическая ретроградная холангиопанкреатография
о Патогенез: развивается вследствие рефлюкса ферментов поджелудочной железы, желчи, содержимого двенадцатиперстной кишки и повышения давления в протоках:
- Блокада главного или терминального протока поджелудочной железы
- Отек, спазм; недостаточность сфинктера Одди
• Генетика:
о Наследственный панкреатит: аутосомно-доминантный, неполная пенетрантность
• Сопутствующая патология:
о Нарушения эмбриогенеза:
- Кольцевидная поджелудочная железа: нарушение миграции и слияния вентрального зачатка железы с дорсальным
- Разделенная поджелудочная железа (pancreas divisum): вентральный и дорсальный зачатки железы не слились; относительная обструкция малого сосочка
2. Макроскопические и хирургические особенности:
• Увеличение размеров железы, некроз, скопление жидкости
3. Микроскопия:
• Интерстициальный отечный панкреатит
о Отек, застой, лейкоцитарные инфильтраты
• Острый геморрагический панкреатит
о Деструкция ткани, некроз жировой клетчатки и кровоизлияния
д) Клинические особенности:
1. Проявления острого панкреатита:
• Наиболее частые жалобы/симптомы:
о Острое начало, боли в эпигастрии, обычно иррадиирующие в спину
о Болезненность, повышение температуры тела, тошнота, рвота
• Клинический профиль:
о Диагноз ставится на основании минимум двух из трех приведенных ниже признаков:
- Боли в животе, характерные для панкреатита
- Уровень липазы или амилазы >3 раза превышает норму
- При КТ с контрастным усилением, МРТ или УЗИ выявляются изменения, соответствующие острому панкреатиту
о Другие: гипергликемия, повышение активности лактатдеги-дрогеназы (lactate dehydrogenase-LDH), лейкоцитоз, гипо-кальциемия, снижение гематокрита, повышение азота мочевины крови (blood urea nitrogen-BUN)
2. Демография:
• Возраст:
о Обычно у молодых и пациентов среднего возраста
• Пол:
о Мужчины > женщины
3. Течение и прогноз:
• Пересмотренная Атлантская классификация острого панкреатита: ранняя фаза 1 недели:
о Ранняя фаза: тяжесть заболевания определяется исключительно клиническими параметрами (шкалы тяжести органной недостаточности APACHE II, Ranson, Marshall, синдром системной воспалительной реакции организма)
о Поздняя фаза: тяжесть состояния, кроме клинической картины, определяется результатами лучевых/морфологических исследований
• Клиническая: тяжесть определяется наличием органной недостаточности; три степени:
о Легкая: местные или системные осложнения отсутствуют, отсутствует органная недостаточность; обычно разрешается в раннюю фазу; летальные исходы очень редки
о Средней тяжести: транзиторная органная недостаточность (длительностью о Тяжелая: персистирующая органная недостаточность (длительностью >48 часов)
• Лучевые исследования: индекс тяжести по результатам КТ (СТ severity index-CTSI): балльная система оценки, основанная на распространенности некроза и выделяющая пять стадий (А-Е)
• Осложнения:
о Скопления секрета поджелудочной железы эволюционируют в псевдокисты, очаги острого некроза - в очаги отграниченного некроза (walled-off necrosis-WON); оба этих патологических образования могут инфицироваться
о ЖКТ: кровоизлияния, инфаркты, обструкция, кишечная непроходимость
о Желчные пути: механическая желтуха
о Сосудистые нарушения: псевдоаневризма, воротно-селезеночный венозный тромбоз, кровотечение
о Диссеминированное внутрисосудистое свертывание (disseminated intravascular coagulation-DIC), шок, почечная недостаточность
4. Лечение острого панкреатита:
• Интерстициальный отечный панкреатит: консервативное лечение; голод (nothing by mouth — NPO); декомпрессия желудка через зонд; анальгетики, антибиотики
• Осложненный интерстициальный отечный панкреатит: инфицированные или вызывающие обструкцию скопления экссудата требуют дренирования (хирургическим, эндоскопическим или чрескожным путем)
• Панкреонекроз: необходимость вмешательства определяется индексом тяжести по результатам КТ; инфицированный очаг некроза требует дренирования (хирургического/через катетер)
е) Диагностическая памятка:
1. Следует учесть:
• Исключите другую патологию, которая может вызывать «перипанкреатическую инфильтрацию»
2. Советы по интерпретации изображений:
• Массивная, неравномерно увеличенная поджелудочная железа в сочетании с облитерацией перипанкреатической жировой клетчатки, перипанкреатическими скоплениями жидкости и очагами некроза и формирующимися абсцессами
ж) Список использованной литературы:
1. Banks PA et al: Classification of acute pancreatitis-2012: revision of the Atlanta classification and definitions by international consensus. Gut. 62(1):102-11, 2013
2. Thoeni RF: The revised atlanta classification of acute pancreatitis: its importance for the radiologist and its effect on treatment. Radiology. 262(3):751-64, 2012
3. O'Connor OJ et al: Imaging of acute pancreatitis. AJR Am J Roentgenol. 197(2):W221-5, 2011
4. Balthazar EJ: Acute pancreatitis: assessment of severity with clinical and CT evaluation. Radiology. 223(3):603-13, 2002
Острый панкреатит
Острый панкреатит – воспаление поджелудочной железы. Симптомы острого панкреатита: острая, нестерпимая боль в области живота. В зависимости от того, какая часть железы воспалена, локализация боли возможна в правом или в левом подреберье, в подложечной области, боль может быть опоясывающей. Хронический панкреатит сопровождается потерей аппетита, нарушением пищеварения, острыми болями (как при острой форме), возникающими после употребления жирной, острой пищи или алкоголя.
МКБ-10


Общие сведения
Панкреатит – заболевание, характеризующееся развитием воспаления в ткани поджелудочной железы. По характеру течения панкреатит разделяют на острый и хронический. Острый панкреатит занимает третье место среди заболеваний брюшной полости острого течения, требующих лечения в хирургическом стационаре. Первое и второе место занимают острые аппендицит и холецистит.
Согласно данным мировой статистики, в год острым панкреатитом заболевает от 200 до 800 человек из миллиона. Это заболевание чаще встречается у мужчин. Возраст больных колеблется в широких пределах и зависит от причин развития панкреатита. Острый панкреатит на фоне злоупотребления алкоголем возникает в среднем в возрасте около 39 лет, а при панкреатите, ассоциированном с желчекаменной болезнью, средний возраст пациентов – 69 лет.

Причины
Факторы, способствующие возникновению острого панкреатита:
- злоупотребление алкоголем, вредные пищевые привычки (жирная, острая пища);
- желчекаменная болезнь;
- инфицирование вирусом (свинка, вирус Коксаки) или бактериальное заражение (микоплазма, кампилобактерии);
- травмы поджелудочной железы;
- хирургические вмешательства по поводу других патологий поджелудочной железы и желчевыводящих путей;
- прием эстрогенов, кортикостероидов, тиазидных диуретиков, азатиоприна, других лекарственных средств с выраженным патологическим действием на поджелудочную железу (медикаментозный панкреатит);
- врожденные аномалии развития железы, генетическая предрасположенность, муковисцидоз;
- воспалительные заболевании органов пищеварения (холецистит, гепатит, гастродуоденит).
Патогенез
В развитии острого воспаления поджелудочной железы согласно самой распространенной теории основным фактором выступает повреждение клеток преждевременно активированными ферментами. В нормальных условиях пищеварительные ферменты вырабатываются поджелудочной железой в неактивной форме и активизируются уже в пищеварительном тракте. Под воздействием внешних и внутренних патологических факторов механизм выработки нарушается, ферменты активизируются в поджелудочной железе и начинают переваривание ее ткани. Результатом становится воспаление, развивается отек ткани, поражаются сосуды паренхимы железы.
Патологический процесс при остром панкреатите может распространяться на близлежащие ткани: забрюшинную клетчатку, сальниковую сумку, брюшину, сальник, брыжейку кишечника и связки печении ДПК. Тяжелая форма острого панкреатита способствует резкому повышению уровня различных биологически активных веществ в крови, что ведет к выраженным общим нарушениям жизнедеятельности: вторичные воспаления и дистрофические расстройства в тканях и органах – легких, печени, почках, сердце.
Классификация
Острый панкреатит классифицируется по степени тяжести:
- легкая форма протекает с минимальным поражением органов и систем, выражается в основном интерстициальным отеком железы, легко поддается терапии и имеет благоприятный прогноз к быстрому выздоровлению;
- тяжелая форма острого панкреатита характеризуется развитием выраженных нарушений в органах и тканях, либо местными осложнениями (некроз тканей, инфицирование, кисты, абсцессы).
Тяжелая форма острого панкреатита может сопровождаться:
- острым скоплением жидкости внутри железы либо в околопанкреатическом пространстве, которые могут не иметь грануляционных или фиброзных стенок;
- панкреатическим некрозом с возможным инфицированием тканей (возникает ограниченная или разлитая зона отмирающей паренхимы и перипанкреатических тканей, при присоединении инфекции и развитием гнойного панкреатита повышается вероятность летального исхода);
- острой ложной кистой (скоплением панкреатического сока, окруженным фиброзными стенками, либо грануляциями, которое возникает после приступа острого панкреатита, формируется в течение 4 и более недель);
- панкреатическим абсцессом (скопление гноя в поджелудочной железе или близлежащих тканях).
Симптомы острого панкреатита
Характерные симптомы острого панкреатита.
- Болевой синдром. Боль может локализоваться в эпигастрии, левом подреберье, носить опоясывающий характер, иррадиировать под левую лопатку. Боль носит выраженный постоянный характер, в положении лежа на спине усиливается. Усиление боли происходит и после приема пищи, особенно – жирной, острой, жареной, алкоголя.
- Тошнота, рвота. Рвота может быть неукротимой, содержит желчь, не приносит облегчения.
- Повышение температуры тела.
- Умеренно выраженная желтушность склер. Редко – легкая желтуха кожных покровов.
Кроме того, острый панкреатит может сопровождаться диспепсическими симптомами (метеоризм, изжога), кожными проявлениями (синюшные пятна на теле, кровоизлияния в области пупка).
Осложнения
Опасность острого панкреатита заключается в высокой вероятности развития тяжелых осложнений. При инфицировании воспаленной ткани железы бактериями, обитающими в тонком кишечнике, возможен некроз участков железы и возникновение абсцессов. Это состояние без своевременного лечения (вплоть до хирургического вмешательства) может закончится летальным исходом.
При тяжелом течении панкреатита может развиться шоковое состояние и, как следствие, полиорганная недостаточность. После развития острого панкреатита в ткани железы могут начать формироваться псевдокисты (скопления жидкости в паренхиме), которые разрушают структуру железы и желчных протоков. При разрушении псевдокисты и истечении ее содержимого возникает асцит.
Диагностика
Диагностику панкреатита гастроэнтерологи осуществляют на основании жалоб, физикального осмотра, выявления характерных симптомов. При измерении артериального давления и пульса зачастую отмечают гипотонию и тахикардию. Для подтверждения диагноза служат лабораторные исследования крови и мочи, МСКТ и УЗИ органов брюшной полости, МРТ поджелудочной железы.
- Биохимия крови. При исследовании крови в общем анализе отмечаются признаки воспаления (ускорена СОЭ, повышено содержание лейкоцитов), в биохимическом анализе крови обнаруживают повышение активности панкреатических ферментов (амилаза, липаза), возможна гипергликемия и гипокальциемия. Может отмечаться билирубинемия и повышения активности печеночных ферментов.
- Биохимия мочи. Проводят определение концентрации ферментов в моче. При диагностировании острого панкреатита берут биохимический анализ мочи и определяют активность амилазы мочи.
- Инструментальные методы. Визуальное исследование поджелудочной железы и близлежащих органов (УЗИ, КТ, МРТ) позволяет выявить патологические изменения паренхимы, увеличение органа в объеме, обнаружить абсцессы, кисты, наличие камней в желчных протоках.

Дифференциальную диагностику острого панкреатита проводят с:
- острым аппендицитом и острым холециститом;
- перфорациями полых органов (прободные язвы желудка и кишечника);
- острой кишечной непроходимостью;
- острым желудочно-кишечным кровотечением (кровоточащая язва желудка и 12п. кишки, кровотечение из варикозных вен пищевода, кишечное кровотечение);
- острый ишемический абдоминальный синдром.
Лечение острого панкреатита
При остром панкреатите показана госпитализация. Всем пациентам предписан постельный режим. Основными целями терапии является снятие болевого синдрома, снижение нагрузки на поджелудочную железу, стимуляция механизмов ее самовосстановления.
Терапевтические меры:
- новокаиновая блокада и спазмолитики для снятия выраженного болевого синдрома;
- голод, лед на область проекции железы (создание локальной гипотермии для снижения ее функциональной активности), питание осуществляют парентеральное, желудочное содержимое аспирируют, назначают антациды и ингибиторы протонной помпы;
- дезактиваторы панкреатических ферментов (ингибиторы протеолиза);
- необходимая коррекция гомеостаза (водно-электролитного, кислотно-основного, белкового баланса) с помощью инфузии солевых и белковых растворов;
- дезинтоксикационная терапия;
- антибиотикотерапия (препараты широкого спектра действия в больших дозировках) в качестве профилактики инфекционных осложнений.
Хирургическое лечение
Хирургическая тактика показана в случае выявления:
- камней в желчных протоках;
- скоплений жидкости в железе или вокруг нее;
- участков панкреатического некроза, кист, абсцессов.
К операциям, проводимым при остром панкреатите с образованием кист или абсцессов, относятся: эндоскопическое дренирование, марсупиализация кисты, цистогастростомия и др. При образовании участков некроза, в зависимости от их размера, проводят некрэктомию или резекцию поджелудочной железы. Наличие камней является показанием к операциям на протоке поджелудочной железы.
К хирургическому вмешательству могут прибегать и в случае сомнений в диагностики и вероятности пропустить другое хирургическое заболевание, требующее хирургического лечения. Послеоперационный период подразумевает интенсивные меры профилактики гнойно-септических осложнений и восстановительную терапию.
Лечение легкой формы панкреатита, как правило, не представляет трудностей, и положительная динамика отмечается уже в течение недели. Для излечения от тяжелой формы панкреатита требуется заметно больше времени.
Прогноз и профилактика
Прогноз при остром панкреатите зависит от его формы, адекватности терапии и наличия осложнений. Легкая форма панкреатита обычно дает благоприятный прогноз, а при некротических и геморрагических панкреатитах высока вероятность летального исхода. Недостаточное лечение и несоблюдение врачебных рекомендаций по диете и режиму могут привести к рецидивам заболевания и развитию хронического панкреатита.
Первичной профилактикой является рациональное здоровое питание, исключение алкоголя, острой, жирной обильной пищи, отказ от курения. Острый панкреатит может развиться не только у лиц, регулярно злоупотребляющих алкоголем, но и как следствие однократного приема спиртосодержащих напитков под жирную, жареную и острую закуску в больших количествах.
Панкреатит
Панкреатит — это острая или хроническая воспалительная деструкция поджелудочной железы. Проявляется опоясывающей болью, болевыми ощущениями или дискомфортом слева в подреберье, связанными с пищевыми погрешностями, диспепсией, полифекалией, нарастающим ухудшением общего состояния. Диагностируется с помощью общего и биохимического анализа крови, УЗИ, МРТ, КТ поджелудочной железы, ИФА кала, ЭРПХГ, лапароскопии. Для лечения проводят обезболивающую, инфузионную, антисекреторную, заместительную ферментную и антибиотикотерапию. По показаниям выполняют некрэктомию поджелудочной железы, оментобурсостомию, удаление кист и псевдокист.


Термин «панкреатит» объединяет группу острых и хронических заболеваний с воспалительным поражением поджелудочной железы (ПЖ). За последние 30 лет распространенность патологии увеличилась более чем в 2 раза, отмечается стойкая тенденция к ее омоложению, в том числе более частое развитие панкреатита у детей. Распространенность острой формы болезни составляет от 0,0175 до 0,0734%, хронической — от 0,4 до 5%. Острые панкреатиты в 3,5 раза чаще диагностируются у женщин, хронические — вдвое чаще у мужчин. В группу риска входят пациенты, злоупотребляющие алкогольными напитками и страдающие билиарной патологией. Актуальность своевременной диагностики заболевания обусловлена тяжестью его осложнений, особенно при остром течении.
Причины панкреатита
Воспалительное поражение поджелудочной железы может иметь различное этиологическое происхождение. Специалисты в сфере клинической гастроэнтерологии выделяют несколько групп провоцирующих факторов, под влиянием которых развивается острое или хроническое воспаление органа. Возможными причинами панкреатита считаются:
- Алкогольные эксцессы. Более чем у половины пациентов заболевание становится следствием употребления больших количеств спиртного. В структуре деструктивных форм болезни алкогольные панкреатиты составляют до 70%. Риск воспалительной деструкции панкреатической паренхимы возрастает при употреблении суррогатов.
- Панкреатобилиарная патология. У 20% больных панкреатит развивается на фоне желчнокаменной болезни в результате механической обструкции панкреатического протока конкрементами. Причинами заболевания также служат травмы живота, рак поджелудочной железы, стеноз сфинктера Одди и кисты желчного протока.
- Ятрогении. В 4-5% случаев провоцирующим фактором становится нарушение техники ретроградной холангиопанкреатографии и абдоминальных операций. Токсическое воспалительное поражение панкреатической паренхимы возможно при приеме ингибиторов АПФ, петлевых диуретиков, цитостатиков и препаратов, содержащих серу (медикаментозный панкреатит).
Группа риска включает больных сахарным диабетом, гиперпаратиреозом и другими формами гиперкальциемии, вирусными гепатитами В и С, эпидемическим паротитом, глистными инвазиями. В отдельных случаях встречается панкреатит при беременности, трансплантации почек, ишемическом повреждении панкреатических тканей при шоке, эмболии артерий. При развитии патологического состояния в ответ на действие конкретного фактора (заболевания ЖКТ, травмы и др.) панкреатит называют реактивным. В 20-30% случаев причины остаются неустановленными (идиопатическое заболевание), не исключена роль отягощенной наследственности.
Механизм развития панкреатита основан на аутолизе тканей поджелудочной железы ее собственными протеолитическими и липолитическими ферментами. Пусковым моментом заболевания является гиперсекреция фосфолипазы А-2, липазы, эластазы, химотрипсиногена, трипсиногена, зачастую сочетающаяся с внутрипротоковой гипертензией из-за функционального спазма сфинктера Одди или механической обструкции большого дуоденального сосочка. Под действием энзимов начинается деструкция железы, нарастают нарушения микроциркуляции, отек.
Попадание ферментов в системный кровоток приводит к повреждению мозга, легких, почек, других тканей и органов. При хроническом течении панкреатита преобладает диффузная дегенерация тканей, атрофируются панкреоциты. Железистые элементы постепенно замещаются соединительной тканью, что сопровождается снижением экзокринной функции ПЖ и ухудшением процессов переваривания в кишечнике. Одновременно в системе протоков органа образуются кисты и конкременты. При вовлечении в процесс островков Лангерганса падает выработка инсулина.
Основной критерий систематизации форм панкреатита — динамика патологического процесса. Заболевание может быть ограниченным или распространенным острым с быстрым нарастанием симптоматики (интерстициальный панкреатит, стерильный и инфицированный панкреонекроз) или хроническим с преимущественно дегенеративными изменениями. По характеру поражения острое воспаление бывает геморрагическим, гнойным, жировым, смешанным. Основными критериями, положенными в основу отечественной клинико-морфологической классификации хронического панкреатита, являются:
- Морфологические признаки. Учитываются гистологические изменения в органе. Процесс может быть интерстициально-отечным, паренхиматозным, индуративным (фиброзно-склеротическим), псевдотуморозным (гиперпластическим), кистозным.
- Ведущая симптоматика. Различают болевую, гипосекреторную, астено-невротическую (ипохондрическую) формы панкреатита. При наличии нескольких симптомов диагностируют сочетанный вариант, при их малой выраженности — латентный.
- Особенности клинического течения. Хронический панкреатит бывает редко и часто рецидивирующим. При постоянном наличии симптоматики говорят о персистирующем течении заболевания.
- Этиология. Наиболее распространенными вариантами панкреатита являются билиарнозависимый и алкогольный. Также специалисты выделяют дисметаболическую, инфекционную, лекарственную и идиопатическую форму патологии.
- Наличие осложнений. Возможно неосложненное и осложненное течение. С учетом ведущего осложнения различают панкреатит с нарушением оттока желчи, портальной гипертензией, инфекционным воспалением, эндокринными нарушениями, патологией других органов и систем.
Симптомы панкреатита
Проявления патологии зависят от варианта течения и наличия сопутствующих заболеваний ЖКТ. При билиарном панкреатите преобладает болевой синдром в верхних отделах живота без четкой локализации, боль может иррадиировать в лопатку, плечо и околосердечную область. Болевые приступы развиваются после злоупотребления жирной или жареной пищей, приема газированных напитков, которые вызывают спазм сфинктера Одди. При сопутствующей ЖКБ в период обострения наблюдается желтуха.
Патогномоничным признаком острого панкреатита является триада Мондора — вздутие живота, боль и рвота. Болевые ощущения возникают внезапно, они очень интенсивны, иногда приводят к потере сознания. Боль опоясывающая, рвота многократная, не приносит облегчения. Для острого воспаления типично быстрое ухудшения общего состояния больного: выявляется тахикардия и резкое снижение АД, усиленная потливость, бледность кожных покровов.
При хронической патологии болевой синдром менее интенсивен, обычно определяется после погрешностей в диете. Со временем пациенты отмечают, что боли появляются реже и заменяются дискомфортом в левом подреберье. Хронический панкреатит характеризуется нарушениями стула: обнаруживается полифекалия (выделение большого количества кала), испражнения приобретают сероватый цвет и резкий зловонный запах. Язык сухой, обложен желтоватым налетом. На передней брюшной стенке в проекции ПЖ формируется участок атрофии подкожной клетчатки.
Без лечения образуются инфильтраты, которые переходят в гнойно-некротические флегмоны забрюшинного пространства. Возможен перитонит. При тяжелом течении возникает полиорганная недостаточность, при поражении трех и более систем летальность составляет около 85%. При хроническом процессе в поджелудочной железе выявляется фиброз и кальциноз, наблюдается внешнесекреторная недостаточность. Вследствие поражения островков Лангерганса возникает вторичный сахарный диабет. Отмечается формирование и нагноение истинных или ложных кист, кровотечения из патологически измененных вен вследствие региональной портальной гипертензии.
Диагностика панкреатитов
Постановка диагноза панкреатита может быть затруднена, поскольку клиническая картина часто имитирует патологию других отделов ЖКТ. Заподозрить заболевание можно при выявлении характерных физикальных симптомов. Наиболее информативными инструментальными и лабораторными исследованиями являются:
- Исследование панкреатических ферментов в крови. Повышение уровня альфа-амилазы в 3-4 раза (при норме до 50 Ед/л) в первые сутки указывает на острый процесс или обострение хронического воспаления. С 4 суток проводят измерение уровня липазы — диагностически значимо двукратное увеличение показателя.
- ИФА каловых масс. Анализ кала на панкреатическую эластазу-1 необходим для оценки недостаточности внешнесекреторной функции органа. Значение в диапазоне 50-100 мкг/г указывает на среднюю степень нарушения экзокринной деятельности, при показателе ниже 50 мкг/г устанавливают тяжелую степень.
- Сонография поджелудочной железы. Для острого панкреатита характерно увеличение и отечность органа, нечеткость контуров и неоднородность структуры. При хроническом заболевании в ходе УЗИ поджелудочной железы определяется ее уменьшение, деформация контуров, кистозные образования и кальцификаты.
- Томография. МРТ поджелудочной железы считается «золотым стандартом» диагностики болезней ПЖ. Метод позволяет четко визуализировать паренхиму, оценить структуру кист и некротических участков. КТ с внутривенным контрастированием проводится для изучения секвестров и зон некроза.
- ЭРХПГ. Ретроградная холангиопанкреатография имеет высокую диагностическую ценность при подозрении на билиарный панкреатит, дает возможность оценить состояние сфинктера Одди, обнаружить белковые «пробки», конкременты и стриктуры протоков.

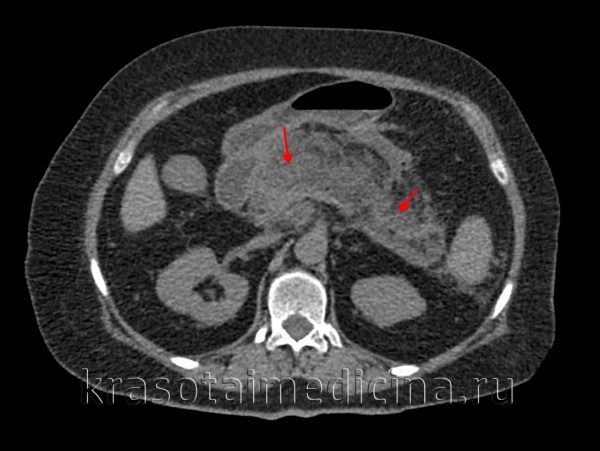
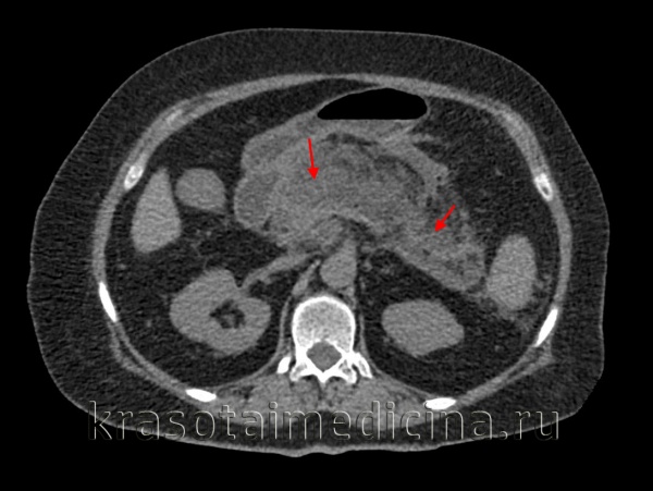
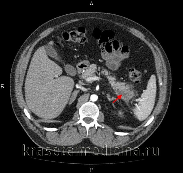
КТ органов брюшной полости. Панкреатит (в области хвоста поджелудочной железы) с наличием отека ее паренхимы, жидкостного содержимого вблизи ее края, на фоне утолщение фасции Героты слева
При низкой информативности других методов выполняют лапароскопию. В общем анализе крови определяют повышение СОЭ и нейтрофильный лейкоцитоз, степени изменения показателей коррелируют с тяжестью состояния пациента. В биохимическом анализе крови выявляют диспротеинемию, гипоальбуминемию, в случае панкреонекроза – высокие уровни АЛТ и АСТ. Дополнительно определяют концентрацию С-реактивного белка — значение более 120 мг/л свидетельствует об инфекционной природе заболевания.
Дифференциальный диагноз при остром процессе проводят с другой хирургической патологией, сопровождающейся симптомами «острого живота». Основные критерии: повышение амилазы, наличие УЗИ- и КТ-признаков поражения ПЖ. Хронический вариант панкреатита дифференцируют с большой группой воспалительных процессов ЖКТ с учетом анамнеза, жалоб и результатов дополнительных исследований. Пациента консультирует специалист-гастроэнтеролог, хирург, инфекционист.
Лечение панкреатита
Выбор терапевтической тактики определяется формой заболевания. Пациентам с острым процессом рекомендована госпитализация, функциональный покой органа (голодание, энтеральное зондовое или парентеральное питание). При хроническом воспалении необходима коррекция рациона с исключением спиртного, ограничением жиров и углеводов. Ведущей является консервативная медикаментозная терапия, которая с учетом клиники панкреатита может включать:
- Обезболивающие препараты. Обычно используют ненаркотические анальгетики, которые при наличии спастических дискинезий дополняют миотропными спазмолитиками. При интенсивном болевом синдроме показана эпидуральная блокада, введение наркотиков.
- Инфузионная терапия. Особую роль внутривенное вливание больших объемов электролитов играет при предупреждении панкреонекроза у больных с острым панкреатитом. Пациентам с хроническим воспалением инфузии обычно осуществляют при обострении болезни.
- Блокаторы желудочной секреции. Применение блокаторов протонной помпы и ингибиторов Н2-рецепторов позволяет снизить секрецию соляной кислоты и связанную с ней продукцию секретина. В результате уменьшается производство панкреатического сока.
- Ферменты поджелудочной железы. Заместительная терапия рекомендована при хроническом варианте панкреатита. Назначение комплекса панкреатических энзимов направлено на улучшение процессов переваривания и всасывания питательных веществ в кишечнике.
- Антибиотики. Используются преимущественно при остром воспалительном процессе для купирования и профилактики инфекционных осложнений. Наиболее эффективны фторхинолоны в комбинации с нитроимидазолами, карбапенемы, цефалоспорины 3-4 поколения.
При тяжелой форме применяют октапептиды, селективно угнетающие панкреатическую секрецию, проводят интенсивную терапию для поддержания АД, стабилизации метаболических нарушений. Пациентам с установленной этиологией панкреатита показано лечение основного заболевания. При остром панкреонекрозе может выполняться некрэктомия поджелудочной железы, оментобурсостомия. При стойких болях, связанных с наличием кистозных образований, производится удаление ложных кист поджелудочной железы или марсупиализация истинных кист.
В случае острой патологии прогноз для пациентов сомнительный, исход заболевания обычно оценивают по шкале Рэнсона — наличие менее 3-х признаков свидетельствует об относительно благоприятном течении. Прогноз при хроническом панкреатите зависит от давности болезни и степени структурных поражений железы. Для профилактики воспаления необходимо ограничить потребление жирной пищи и газированных напитков, отказаться от вредных привычек (алкоголь, курение), проводить своевременное лечение заболеваний билиарной системы.
1. Гастроэнтерология и гепатология: диагностика и лечение/ под ред. Калинина А.В. и Хазанова А.И. – 2007.
Панкреонекроз
Панкреонекроз – деструктивное заболевание поджелудочной железы, являющееся осложнением острого панкреатита и приводящее к развитию полиорганной недостаточности. К проявлениям панкреонекроза относят острую опоясывающую боль в животе, упорную рвоту, тахикардию и энцефалопатию. Лабораторная диагностика предполагает определение уровня альфа-амилазы; инструментальная – проведение обзорной рентгенографии брюшной полости, УЗИ, КТ и МРТ поджелудочной железы, РХПГ, диагностической лапароскопии. Лечение включает в себя консервативные мероприятия (угнетение протеолитических ферментов, восстановление оттока соков поджелудочной железы, дезинтоксикацию и обезболивание) и оперативное вмешательство.

Панкреонекроз является наиболее тяжелым осложнением панкреатита, поражает в основном молодых трудоспособных людей, составляет 1% всех случаев острого живота. В основе патогенеза панкреонекроза лежит сбой механизмов внутренней защиты поджелудочной железы от разрушающего действия панкреатических ферментов.
В последнее время в России увеличивается количество острых панкреатитов – данная патология выходит на второе место после острого аппендицита в хирургических стационарах. Также растет и число деструктивных форм панкреатита, в частности панкреонекроза - до 20-25%. В разных клиниках летальность при деструкции поджелудочной железы достигает 30-80%. Ведущий способ снижения летальности при некрозе поджелудочной железы – своевременная диагностика, госпитализация и раннее начало патогенетического лечения.
Причины панкреонекроза
Причинами развития, как панкреатита, так и панкреонекроза, обычно являются нарушения диеты и эпизодический прием алкоголя. Исследования в области гастроэнтерологии показали, что панкреонекрозами обычно страдают люди, не склонные к постоянному употреблению алкоголя. Тем не менее, в подавляющем большинстве случаев началу панкреонекроза предшествует эпизод употребления спиртного в больших количествах. У пациентов, страдающих хроническим алкоголизмом, практически всегда развивается хронический панкреатит, редко осложняющийся панкреонекрозом. Первые признаки заболевания могут появиться спустя часы или сутки после действия провоцирующих факторов.
В основе патогенеза панкреонекроза лежит нарушение местных защитных механизмов поджелудочной железы. Обильный прием пищи и алкоголя приводит к значительному усилению внешней секреции, перерастяжению протоков поджелудочной железы, нарушению оттока панкреатических соков. Повышение внутрипротокового давления провоцирует отек паренхимы, разрушение ацинусов поджелудочной железы, преждевременную активацию протеолитических ферментов, которые и приводят к массивному некрозу ткани железы (самоперевариванию).
Активация липазы вызывает некроз жировых клеток, эластазы – разрушение сосудистой стенки. Активированные ферменты и продукты распада тканей, благодаря воздействию эластазы, попадают в кровоток, оказывая токсическое действие на все органы и ткани. В первую очередь страдают печень, почки, сердце, головной мозг.
В зависимости от того, какие повреждающие механизмы лидируют в патогенезе, выделяют жировую, геморрагическую и смешанную формы панкреонекроза.
- Жировая форма. Если преобладает повышение активности липазы, происходит разрушение жировой ткани поджелудочной железы. Липаза попадает за пределы панкреатической капсулы, вызывая появление очагов некроза в большом и малом сальнике, листках брюшины, брыжейке, внутренних органах. Жировая форма панкреонекроза обычно оканчивается развитием тяжелейшего химического асептического перитонита, полиорганной недостаточности.
- Геморрагическая форма. В случае же преобладания микроциркуляторных нарушений развивается спазм сосудов поджелудочной железы, приводящий к быстрому нарастанию отека паренхимы. В течение нескольких часов или дней токсемия постепенно приводит к парезу сосудистой стенки, расширению сосудов и замедлению кровотока в тканях железы. Все это способствует повышенному тромбообразованию, а в дальнейшем – развитию ишемического некроза. Активация эластазы вызывает разрушение сосудистой стенки сначала в толще поджелудочной железы, затем и в других органах. В конечном итоге это ведет к геморрагическому пропитыванию панкреас, кровоизлияниям во внутренние органы и забрюшинную клетчатку. Признаком геморрагического панкреонекроза является выпот в брюшную полость с примесью крови.
- Смешанная форма. Если активность эластазы и липазы находятся примерно на одном уровне, развивается смешанная форма панкреонекроза. В этом случае явления жирового некроза и геморрагической имбибиции выражены одинаковы. При панкреонекрозе также значительно повышается уровень альфа-амилазы, однако в патогенезе этот факт не играет никакой роли. Измерение уровня амилазы имеет только клиническое значение.
Симптомы панкреонекроза
Развитие клиники панкреонекроза происходит в три этапа. Этому состоянию может предшествовать гнойный панкреатит, острый алкогольный панкреатит, билиарный панкреатит, геморрагический панкреатит. На первом этапе активное размножение бактерий в поджелудочной железе вызывает выраженную токсинемию и усиление панкреатической ферментативной активности. Пациента беспокоят лихорадка, рвота, неустойчивость стула. На втором этапе заболевания происходит гнойное и ферментативное расплавление тканей железы с формированием одной или нескольких каверн. На последней стадии воспалительный процесс распространяется на окружающие ткани, приводя к полиорганной недостаточности и смерти больного.
Заболевание имеет острое начало, обычно пациенты четко связывают появление первых симптомов с погрешностями в диете и приемом алкоголя. Около 70% больных поступают в стационар в состоянии сильного алкогольного опьянения, что говорит об очень быстром развитии патологических изменений в поджелудочной железе.
Первым симптомом обычно выступает острая опоясывающая боль, иррадиирующая в левую половину живота и поясницы, левое плечо. Безболевых форм панкреонекроза не бывает. Между выраженностью болевого синдрома и тяжестью некроза поджелудочной железы существует прямая зависимость. Распространение деструктивных изменений на нервные окончания приводит к постепенному уменьшению болевого синдрома, в сочетании с сохраняющейся интоксикацией это является плохим прогностическим признаком.
Через некоторое время после появления боли развивается неукротимая рвота, не связанная с приемом пищи и не приносящая облегчения. В рвотных массах содержится желчь, сгустки крови. Из-за рвоты развивается дегидратация, проявляющаяся сухостью кожи и слизистых, язык обложен, постепенно снижается темп диуреза. Развивается метеоризм кишечника, перистальтика ослаблена, отмечается задержка газов и стула. Интоксикация и дегидратация сопровождаются лихорадкой.
Токсемия, колебания уровня глюкозы в крови, гиперферментемия приводят к поражению головного мозга и развитию энцефалопатии, которая выражается спутанностью сознания, возбуждением, дезориентацией, вплоть до развития комы (примерно у трети пациентов).
Прогрессирование воспалительного процесса приводит к значительному увеличению поджелудочной железы в размерах, формированию инфильтрата в брюшной полости. Уже к пятым суткам от начала заболевания инфильтрат можно не только пропальпировать, но и увидеть невооруженным глазом. В проекции поджелудочной железы появляется гиперестезия кожи.
Указанные патологические сдвиги в организме приводят к формированию полиорганной недостаточности на фоне тяжелого токсического гепатита, нефрита, кардита, дыхательных нарушений. Панкреонекроз может осложняться шоком, перитонитом, абсцессом брюшной полости, желудочно-кишечными кровотечениями.
Из местных осложнений часто встречаются абсцесс, киста или ложная киста поджелудочной железы, ферментная недостаточность, фиброз поджелудочной железы, флегмона забрюшинной клетчатки, язвы ЖКТ, тромбоз воротной и мезентериальных вен.
Осмотр пациента должен осуществляться совместно гастроэнтерологом, хирургом, реаниматологом. Наличие панкреонекроза предполагает крайнюю тяжесть состояния пациента, поэтому во всех случаях рекомендуется госпитализация в отделение интенсивной терапии. В отделении производится постоянное определение ферментов поджелудочной железы в крови и моче. Плохим прогностическим признаком является прогрессирующий рост уровня амилазы либо резкий скачок данного показателя.
При физикальном осмотре отмечается вздутие живота, на боковых поверхностях передней брюшной стенки и пояснице появляются синюшные пятна (проявление внутренних гематом, кровоизлияний в мягкие ткани). Кожные покровы землисто-бледные или желтушные, мраморные, холодные. Тахикардия, артериальная гипотония, учащенное поверхностное дыхание являются признаком тяжелой интоксикации. Диагноз подтверждается с помощью:
- Рентгенодиагностики. Обзорная рентгенография органов брюшной полости позволяет выявить косвенные признаки воспалительного процесса. Введение контрастного вещества может дать возможность визуализировать фистулы поджелудочной железы. Исследовать состояние выводящих протоков поджелудочной железы, выявить причину застоя панкреатического сока позволяет ретроградная холангиопанкреатография.
- УЗИ-диагностики.Ультрасонография поджелудочной железы и желчных путей указывает на наличие камней в желчевыводящих протоках, увеличение и изменение структуры железы, анэхогенные очаги некроза в полости живота.
- Томографической диагностики. Более детально визуализировать патологические изменения можно с помощью МРТ поджелудочной железы, МРПХГ, компьютерной томографии.
- Диагностической операции. В сложных случаях проводится диагностическая лапароскопия – наиболее точный способ визуализации и постановки диагноза, оценки состояния поджелудочной железы и окружающих тканей и органов.
Дифференциальный диагноз проводят с кишечной непроходимостью, острыми воспалительными заболеваниями аппендикса, желчного пузыря, желчной коликой, перфорацией полого органа, тромбозом мезентериальных сосудов, инфарктом миокарда, разрывом аневризмы брюшной аорты.

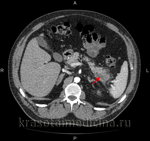
КТ ОБП. Панкреонекроз. Диффузный отек и нарушение структуры поджелудочной железы, отсутствие накопления контраста в ее паренхиме.
Лечение панкреонекроза
Консервативная терапия
Лечение панкреонекроза начинают с обеспечения полного покоя воспаленной поджелудочной железе. Исключаются физические нагрузки, энтеральное питание, может назначаться промывание желудка прохладными растворами. Основными направлениями лечения являются обезболивание, обезвреживание протеолитических ферментов, дезинтоксикационная терапия.
- Аналгезия. Адекватное обезболивание включает в себя введение анальгетиков (при необходимости - наркотических), спазмолитиков, рассечение капсулы поджелудочной железы, новокаиновые блокады. Уменьшение отека железы под влиянием диуретиков приводит к угасанию болевого синдрома (так как ведет к ослаблению натяжения панкреатической капсулы).
- Инфузионная терапия. Дезинтоксикация проводится большим количеством инфузионных растворов под контролем диуреза. В инфузионный раствор добавляют апротинин. Обязательно назначаются антигистаминные препараты.
- Антибиотикотерапия. С целью профилактики гнойных осложнений проводится антибактериальная терапия антибиотиками широкого спектра действия. Симптоматическое лечение включает в себя противошоковые мероприятия, восстановление функции других органов и систем.
Практически во всех случаях развития панкреонекроза требуется проведение хирургического лечения для восстановления оттока панкреатических соков, удаления некротических масс (некрэктомия поджелудочной железы). В первые пять суток от начала патологического процесса проводить оперативное вмешательство не рекомендуется, так как в эти сроки еще невозможно оценить уровень некроза, зато повышается риск вторичного инфицирования и послеоперационных осложнений.
На этапе гнойного воспаления в брюшной полости могут использоваться разнообразные методики (пункционные, лапароскопические, лапаротомные) восстановления оттока из протоков поджелудочной железы; устранения некротических масс, воспалительного и геморрагического экссудата; остановки внутрибрюшного кровотечения. Для улучшения состояния внутренних органов может потребоваться дренирование брюшной полости.
Составление прогноза для пациентов с панкреонекрозом является очень сложной задачей, так как зависит от многих обстоятельств. Значительно ухудшается прогноз при наличии одного или нескольких из следующих факторов: возраст более пятидесяти пяти лет, лейкоцитоз более 16х10 9 /л, гипергликемия, гипокальциемия, метаболический ацидоз, артериальная гипотензия, повышение уровня мочевины, ЛДГ и АСТ, значительные потери жидкости из кровеносного русла в ткани. Наличие семи из указанных критериев обеспечивает 100% летальность пациента. Профилактика панкреонекроза заключается в своевременном обращении за медицинской помощью, раннем начале лечения, в том числе и хирургического.
Диагностика острого панкреатита. Дифференциальная диагностика острого панкреатита
Правильно собранный анамнез и оценка состояния больного с учетом симптомов, характерных для острого панкреатита, позволяют осуществить диагностику у большинства больных.
В последние годы в Институте скорой помощи им. Н. В. Склифосовского и Клинической больнице им. С. П. Боткина правильный диагноз острого панкреатита установлен у 96—98% больных. Среди причин неудовлетворительной диагностики острого панкреатита следует отметить многообразие клинических проявлений и атипичных форм заболевания, а также недостаточное знание врачами общей сети точной симптоматики болезни.
Перечисленные выше клинические симптомы могут и должны быть дополнены данными, полученными с помощью специальных диагностических методик, важнейшей из которых является установление повышенной активности диастазы в моче и крови. Содержание диастазы (амилазы) в моче повышается раньше и выше, чем в крови. В связи со сложностью методики реже определяется содержание в сыворотке крови трипсина и его ингибитора, а также липазы. Рентгеноконтрастные исследования внепеченочных желчных путей при тяжелом состоянии больного не производятся.
Обзорная рентгеноскопия и рентгенография брюшной полости позволяют установить лишь вздутие поперечной ободочной кишки (симптом Гобье) и сегментарный метеоризм. Чрезвычайно редко на фоне раздутой поперечной ободочной кишки можно заметить цепочку мелких рентгеноконтрастных теней, которые дают конкременты в протоке поджелудочной железы.

Острый панкреатит необходимо дифференцировать со многими заболеваниями брюшной полости, в первую очередь с прободной язвой желудка и двенадцатиперстной кишки. Для прободной язвы характерны желудочный анамнез, внезапное начало, «кинжальная боль», неподвижное положение больного на спине, втянутый доскообразный живот, относительная брадикардия и исчезновение печеночной тупости. Рвота возникает редко. Прободение язвы чаше наблюдается у мужчин (10:1) астенического или нормостснического сложения. Средний возраст больных 30—40 лет.
Острый панкреатит встречается преимущественно у женщин (5:1) пожилого возраста (55—65 лет), страдающих нарушениями жирового обмена и заболеваниями желчных путей. Беспокойное поведение больных, повторная рвота, не приносящая облегчения, тахикардия, вздутие живота при относительно мягкой брюшной стенке, отсутствие пернтонеальных явлений, повышение диастазы мочи свидетельствуют о наличии острого панкреатита.
Острый аппендицит, как и острый панкреатит, часто начинается с болей в подложечной области. Однако в верхней половине живота боли локализуются лишь в первые часы заболевания, затем они оказываются более выраженными в правой подвздошной области. Здесь же отмечается выраженная болезненность и появляется защитное напряжение, которое при остром панкреатите отсутствует. Для острого аппендицита характерны также повышение температуры и лейкоцитоз при отсутствии диастазурии. Острая кишечная непроходимость также может быть ошибочно принята за острый панкреатит.
Однако при панкреатите боли носят постоянный характер и с самого начала наблюдаются явления паралитической непроходимости. Живот равномерно вздут, симптомы Валя и Склярова не наблюдаются. При рентгеноскопии отмечается скопление газов в толстом кишечнике, горизонтальные уровни жидкости — чаши Клойбера — отсутствуют.
Тромбоз брыжеечных сосудов имеет очень сходную с острым панкреатитом клинику, так как сопровождается явлениями динамической непроходимости (постоянные резкие боли, вздутие живота, отсутствие перистальтики). Однако при тромбозе боли не иррадиируют в поясницу, рвота присоединяется гораздо позже и состояние больных обычно более тяжелое. Иногда появляется жидкий стул с примесью крови, нет диастаз-урин.
Дифференциальная диагностика с перечисленными заболеваниями имеет большое практическое значение с точки зрения хирургической тактики: при всех этих заболеваниях необходима экстренная операция, а при панкреатите—выжидание. Динамическое наблюдение за больными в первые 1—2 ч и проведение консервативной терапии (поясничная новокаиновая блокада, антиспастические средства) несколько облегчают дифференциальную диагностику. Боли при панкреатите купируются, состояние больных улучшается, а при других заболеваниях клиническая картина изменяется незначительно.
Наблюдаются также случаи острого панкреатита, симулирующего почечную колику, пищевое отравление, грыжу белой линии живота, стенокардию и инфаркт миокарда.
- Вернуться в оглавление раздела "Неотложная хирургия."
Информация на сайте подлежит консультации лечащим врачом и не заменяет очной консультации с ним.
См. подробнее в пользовательском соглашении.
Читайте также:
- Сопряженные функции сосудов. Резистентная функция сосудов. Емкостная функция сосудов. Обменная функция сосудов.
- Признаки хронического легочного сердца на ЭКГ
- Массивное инфицирование при ранениях - причины, механизмы
- Свойства тромбоцитов. Тромбоцитарная пробка
- Пиогенная гранулема конъюнктивы: признаки, гистология, лечение, прогноз
