Диагностика пинеобластомы по КТ, МРТ
Добавил пользователь Евгений Кузнецов Обновлено: 28.01.2026
Диагностика пинеобластомы по КТ, МРТ
а) Пинеобластома:
1. Сокращения:
• Пинеобластома (ПБ)
2. Синонимы:
• Примитивная нейроэктодермальная опухоль (ПНЭО) эпифиза
3. Определения:
• Примитивная эмбриональная опухоль эпифиза высокой степени злокачественности
б) Визуализация:
1. Общие характеристики пинеобластомы:
• Лучший диагностический критерий:
о Дети с крупным гиперденсным объемным образованием гетерогенной структуры, расположенным в пинеальной области, характеризующимся периферическим типом кальцификации
• Локализация:
о Эпифиз:
- Пинеальные объемные образования локализуются ниже валика мозолистого тела
- Опухоль приподнимает внутренние церебральные вены
- Уплощение/компрессия пластинки четверохолмия
о Часто наблюдается инвазия прилежащих структур мозга:
- Мозолистое тело, таламус, срединные структуры мозга, червь мозжечка
• Размеры:
о Крупные (наиболее часто > 3 см)
• Морфология:
о Дольчатое объемное образование неправильной формы с нечеткими краями
2. КТ при пинеобластоме:
• Бесконтрастная КТ:
о Объемное образование смешанной плотности; солидный компонент часто гиперденсный
о Часто наблюдаются Са++, расположенные в периферических отделах образования
о Почти в 100% случаев наблюдается обструктивная гидроцефалия
• КТ с контрастированием:
о Характер накопления контраста варьирует от слабого до интенсивного, но всегда является гетерогенным

(а) Бесконтрастная КТ, аксиальный срез: определяется инфильтративное, умеренно гипер-денсное объемное образование с нечеткими границами, сконцентрированное вокруг пинеальной области. Обратите внимание на кальцификаты, расположенные в периферических отделах опухоли. При подробной оценке обнаруживается инвазия прилежащих тканей мозга. Определяется компрессия сильвиева водопровода, вызывающая развитие гидроцефалии.
(б) МРТ, ДВИ, аксиальный срез: определяется ограничение диффузии в области солидного объемного образования. Данная методика позволяет более четко визуализировать границы новообразования и инвазию прилежащей ткани мозга.
4. Другие методы исследования:
• Повышения уровня сывороточных опухолевых маркеров не наблюдается
5. Рекомендации по визуализации:
• Лучший инструмент визуализации:
о МРТ с получением постконтрастных Т1-ВИ, ДВИ
• Советы по протоколу исследования:
о Перед операцией выполните диагностическую визуализацию всей центральной нервную системы:
- В 15-45% наблюдается диссеминация через СМЖ
о Сагиттальные изображения идеально подходят для анатомической оценки пинеальной области

(а) Бесконтрастная КТ, аксиальный срез: у мужчины 23 лет, поступившего в приемное отделение с жалобами на сохраняющиеся в течение нескольких недель головных болей и с недавно появившимся затуманиванием зрения, в пинеальной области определяется кальцифицированное объемное образование.
Наблюдаются умеренная обструктивная гидроцефалия и «стуше-ванность» стенок увеличенных боковых желудочков.
(б) MPT, Т1-ВИ MPRAGE, сагиттальный срез: у того же пациента в пинеальной области определяется дольчатое объемное образование. III/боковые желудочки умеренно увеличены в размерах, наблюдается нисходящая дислокация миндалин мозжечка.
в) Дифференциальная диагностика пинеобластомы:
1. Герминоклеточные опухоли (ГКО):
• Герминома: невозможно отличить от ПБ при визуализации
• Зрелая тератома:
о Вторая по встречаемости ГКО и опухоль пинеальной области
о Гетерогенное поликистозное объемное образование с включениями Са++ и жира
• Хориокарцинома, опухольэндодермального синуса, эмбриональноклеточная карцинома:
о Встречается нечасто, имеет высокую степень злокачественности
о Характерно повышение уровней сывороточных опухолевых маркеров:
- Хориокарцинома: β-ХГЧ
- Опухоль энтодермального синуса: α-фетопротеин (АФП)
- Эмбриональноклеточная карцинома: β-ХГЧ и АФП
• 10% ГКО обладают смешанным клеточным составом (смешанные ГКО)
2. Другие опухоли паренхимы эпифиза (ОПЭ):
• Пинеоцитома (grade I), опухоль паренхимы эпифиза промежуточной дифференцировки (ОПЭПД; grade II-III)
• Развиваются из клеток эпифиза паренхимы
• Хорошо визуализируемое объемное образование с кальцификацией «взрывного» характера
• Пациенты более старшей возрастной группы в сравнении с пинеобластомами
• Ген палочно-колбочного гомеобокса (CRX) экспрессируется как в опухолях паренхимы эпифиза, так и в некоторых медуллобластомах и ПНЭО
3. Папиллярная опухоль пинеальной области:
• Встречается редко, обычно в более старших возрастных группах
4. Трилатеральная ретинобластома:
• Некоторые авторы считают, что примитивная круглоклеточная пинеальная опухоль в сочетании с ретинобластомой является ПБ
• Выполните поиск поражений глаз
5. Астроцитома:
• Редко развивается из эпифиза
• Более часто развивается из таламуса или крыши среднего мозга
• Наиболее часто встречается пилоцитарная астроцитома (grade I)
• Тектальная астроцитома
о Хорошо отграниченное от окружающих структур тектальное объемное образование с экспансивным типом роста, не накапливающее контраст
• Таламическая астроцитома:
о Парамедианное объемное образование гиперинтенсивного на Т2-ВИ сигнала; может иметь кистозную структуру с пристеночным узловым солидным компонентом, накапливающим контраст
6. Менингиома:
• Женщины (5-7-е десятилетия жизни)
• Округлое объемное образование с четкими контурами, имеющее связь с твердой мозговой оболочкой, изоинтенсивное по отношению к коре на всех последовательностях и характеризующееся интенсивным гомогенным характером накопления контраста
• Менингиомы пинеальной области развиваются из намета мозжечка, серпа
• Дуральный «хвост» (35-80%)
7. Метастатическое поражение:
• Метастатическое поражение эпифиза встречается редко
• Сообщается о случаях аденокарциномы

(а) МРТ, Т2-ВИ: у этого же пациента определяется, что объемное образование имеет неоднородно гиперинтенсивный сигнал. В структуре опухоли визуализируются множественные кистозные компоненты.
Наблюдается отек диска зрительного нерва с протрузией головки зрительного нерва и дилатацией оболочек зрительного нерва.
(б) МРТ, постконтрастное Т1-ВИ, режим подавления сигнала от жира: у того же пациента определяется высокоинтенсивное, но гетерогенное контрастирование объемного образования.
Предоперационный дифференциальный диагноз: опухоль паренхимы эпифиза промежуточной дифференцировки или папиллярная опухоль пинеальной области.
Окончательный диа гноз - пинеобластома IV степени злокачественности по классификации ВОЗ (grade IV).
г) Патология:
1. Общие характеристики пинеобластомы:
• Этиология:
о Развивается из эмбриональных предшественников клеток паренхимы эпифиза (пинеалоцитов) о Пинеалоциты несут фотосенсорную и нейроэндокринную функцию
о Единый филогенетический предшественник клеток сетчатки и паренхимы эпифиза как светочувствительных органов
• Генетика:
о Мутации герминальной линии по типу потери эффекта гена DICER1 → аутосомно-доминантный синдром дистинктивной опухолевой/диспластической предрасположенности (синдром DICER 1), включающий в себя ПБ
- Ген DICER 1 является важным геном восприимчивости для ПБ, медуллоэпителиомы цилиарного тела
о В некоторых источниках сообщается о делециях 11 хромосомы
о Мутации герминальной линии гена ретинобластомы RB1 → «трилатеральные» ретинобластомы:
- Билатеральные ретинобластомы + ПНЭО-подобная ПБ
- Встречаемость ПБ при билатеральных ретинобластомах в 10 раз больше, чем при унилатеральных
2. Стадирование и классификация пинеобластомы:
• IV степень злокачественности по классификации ВОЗ (grade IV)
• Разработана прогностическая система градации для ОПЭ: о Grade 1 = пинеоцитома
о Grade 2 и 3 = ОПЭ промежуточной дифференциации:
- Grade 2 при < 6 митозах, но положительном результате иммуногистохимического исследования на нейрофиламенты
- Grade 3 при > 6 митозах или < 6 митозах, но отрицательном результате иммуногистохимического исследования на нейрофиламенты
о Grade 4 = ПБ
3. Макроскопические и хирургические особенности:
• Мягкое рыхлое объемное образование с нечеткими контурами, инфильтрирующее окружающие структуры
• Компрессия/инвазия сильвиева водопровода, что приводит к развитию гидроцефалии
• При аутопсии часто обнаруживается диссеминация через СМЖ
4. Микроскопия:
• Высокая целлюлярность опухоли:
о Частые митозы, повышенный MIB-1
д) Клинические признаки пинеобластомы:
1. Проявления:
• Наиболее частые признаки/симптомы:
о ↑ внутричерепного давления (гидроцефалия):
- Головная боль, тошнота, рвота, летаргия
- Отек диска зрительного нерва, паралич отводящего нерва
• Другие признаки/симптомы:
о Синдром Парино, атаксия
• Клинический профиль:
о Дети младшего возраста с синдромом Парино, признаками ↑ внутричерепного давления
2. Демография:
• Возраст:
о Дети, молодые взрослые (опухоль редко наблюдается до пятого десятилетия жизни)
о Средний возраст при диагностике заболевания = 3 года
• Пол:
о М:Ж=1:2
• Эпидемиология:
о ОПЭ составляют 0,5-1 % от первичных опухолей мозга и 15% от новообразований пинеальной области
о ПБ составляют 30-45% ОПЭ
е) Диагностическая памятка:
1. Обратите внимание:
• При подозрении на то, что объемное образование пинеальной области является КГО (встречается более часто, чем ОПЭ):
о Определите, повышен ли уровень сывороточных опухолевых маркеров
о Мужского ли пола пациент
о Сочетается ли оно с супраселлярным объемным образованием (герминомой)
2. Советы по интерпретации изображений:
• Как ПБ, так и герминомы часто дают гиперденсный сигнал на КТ (гипоинтенсивный на Т2-ВИ) и склонны к диссеминации через СМЖ
• Периферическая кальцификация «взрывного» характера типична для ПБ, центральные кальцификаты, «поглощенные» опухолью, характерны для классической герминомы
3. Советы по анализу клинической картины:
• Астроцитомы пинеальной области обычно не проявляются синдромом Парино
Диагностика пинеоцитомы по КТ, МРТ
а) Терминология:
1. Сокращения:
• Пинеоцитома (ПЦ)
2. Определения:
• Опухоль паренхимы эпифиза (ОПЭ) у молодых взрослых с медленным типом роста:
о Структурными элементами пинеоцитомы (ПЦ) являются мелкие, однотипные, зрелые клетки, обладающие свойствами пинеоцитов
1. Общие признаки пинеоцитомы:
• Лучший диагностический критерий:
о Резко отграниченное от окружающих тканей объемное образование эпифиза с пинеальными периферическими кальцификатами «взрывного» характера
о Может имитировать доброкачественную пинеальную кисту или опухоль паренхимы эпифиза промежуточной дифференцировки (ОПЭПД)
• Локализация:
о Пинеальная область
о Редко распространяется в III желудочек
о Редко обладает инвазивным характером роста
о Может компримировать прилегающие структуры:
- Редко сочетается с гидроцефалией (вследствие компрессии сильвиева водопровода)
• Размеры:
о Обычно < 3 см
• Морфология:
о Округлое или дольчатое объемное образование с четкими краями

(а) На рисунке сагиттального среза изображены кистозное объемное образование эпифиза с уровнем раздела жидкость-жидкость и узловой компонент опухоли, расположенный по периферии образования, что характерно для пинеоцитомы. Значимый масс-эффект отсутствует. Питуицитомы могут являться случайными находками или выявляться при гидроцефалии.
(б) Бесконтрастная КТ, аксиальный срез: определяется классический пример пинеоцитомы. Обратите внимание на периферические кальцификаты «взрывного» характера в структуре этого мелкого образования, произрастающего из пинеальной области. Размеры опухоли едва превышают 1 см. Гидроцефалия отсутствует.
2. КТ при пинеоцитоме:
• Бесконтрастная КТ:
о Изо-/гиподенсное объемное образование
о Периферические Са++ («взрывного» характера)
о Могут наблюдаться кистозные изменения
• КТ с контрастированием:
о Наблюдается накопление контраста, часто гетерогенного характера
4. Рекомендации по визуализации:
• Лучший инструмент визуализации:
о МРТ визуализация является наиболее чувствительным методом
о КТ полезна для подтверждения Са++
• Советы по протоколу исследований:
о МРТ: включайте в протокол исследования постконтрастные корональные и сагиттальные изображения

(а) МРТ, Т1-ВИ, сагиттальный срез: определяется объемное образование с четкими границами, расположенное в пинеальной области и изоинтенсивное по отношению к паренхиме мозга. Образование оказывает умеренный масс-эффектна тектум, однако сильвиев водопровод интактен, а гидроцефалия отсутствует. Пинеальная опухоль располагается под внутренними мозговыми венами и валиком мозолистого тела.
(б) МРТ, постконтрастное Т1-ВИ, сагиттальный срез: у того же пациента определяется гетерогенный характер контрастирования пинеоцитомы с его наибольшей выраженностью в области верхнего узлового компонента.
в) Дифференциальная диагностика:
1. Неопухолевая киста эпифиза:
• Округлое кистозное объемное образование с ровными контурами
• Обычно размерами < 1 см, может достигать 2 см
• Наличие кальцификатов и кистозной жидкости вариабельно
• Накопление контраста отсутствует/носит минимальный краевой характер
о Контрастирование компримированной железы часто носит отсроченный характер
• При диагностической визуализации может быть неотличима от ПЦ
2. Опухоль паренхимы эпифиза промежуточной дифференцировки (ОПЭПД):
• Взрослые пациенты (часто среднего или пожилого возраста)
• ОПЭПД имеет признаки более агрессивного характера, чем пинеоцитома (ПЦ):
о Занимает промежуточное положение между пинеоцитомой (ПЦ) и пинеобластомой
о II или III степень злокачественности по классификации ВОЗ (grade II или III)
3. Пинеобластома:
• Пациенты более молодого возраста
• Крупная, дольчатая, гетерогенная структура
• Масс-эффект, инвазия паренхимы, распространение по СМЖ
• Может наблюдаться у пациентов с ретинобластомой («трилатеральная ретинобластома»)
4. Герминома:
• «Поглощает» кальцифицированный эпифиз
• Интенсивный характер накопления контраста, часто гомогенный
• В ходе диагностических мероприятий часто наблюдается распространение через СМЖ
• Гиперденсная при КТ
• Обычно молодые пациенты мужского пола
5. Папиллярная опухоль пинеальной области (ПОПО):
• Встречается редко
• Контрастируемое объемное образование пинеальной области
• При визуализации может быть неотличима от ПЦ, ОПЭПД
6. Астроцитома:
• Гиперинтенсивное на Т2-ВИ объемное образование с инфильтративным типом роста
• Выраженный масс-эффект
• Вариабельный характер контрастирования
7. Другие герминоклеточные опухоли (ГКО):
• Тератома
• Хориокарцинома, опухоль эндодермального синуса (желточного мешка), эмбриональная карцинома, смешанная ГКО
• Могут наблюдаться жировые, геморрагические, кистозные изменения
• Могут быть полезны клинические исследования (например, анализ α-фетопротеина, ХГЧ)
8. Менингиома:
• Гомогенное объемное образование с интенсивным характером накопления контраста и симптомом дурального «хвоста»
• Женщины среднего и пожилого возраста

(а) МРТ, постконтрастное Т1-ВИ, аксиальный срез: в пинеальной области определяется объемное образование дольчатой, частично кистозной структуры, частично накапливающее контраст. Среди опухолей паренхимы эпифиза пинеоцитома встречается наиболее часто. При кистозном строении эти опухоли могут имитировать доброкачественную пинеальную кисту.
(б) МРТ, постконтрастное Т1-ВИ, ко-рональный срез: у пациента с пинеоцитомой определяется как периферический, так и более солидный характер контрастирования кистозного пинеального объемного образования. Также присутствует мелкий центральный очаг контрастирования по типу мишени.
2. Стадирование и классификация пинеоцитомы:
• I степень злокачественности по классификации ВОЗ (grade I)
• Система градации ОПЭ:
о Основана на обнаружении митозов и окрашивании белков нейрофиламентов (НФ):
- Grade 1: классическая ПЦ, митозы отсутствуют, НФ (+)
- Grade 2: < 6 митозов/10 полей с высоким увеличением, НФ (+) (ОПЭПД)
- Grade 3: < 6 митозов, НФ(-) или >6 митозов, НФ(+) (ОПЭПД)
- Grade 4: вариабельное число митозов + НФ (пинеобластома)
3. Макроскопические и хирургические особенности:
• Сероватое объемное образование, четко отграниченное от окружающих тканей:
о Гомогенная или гранулярная поверхность среза
• Могут присутствовать кистозный компонент и мелкие геморрагические очаги
• Сдавливает, но не инвазирует прилегающие структуры
• Редко распространяется в III желудочек
4. Микроскопия:
• Хорошо дифференцированная опухоль:
о Мелкие, однотипные, зрелые клетки:
- Напоминают пинеоциты
о Опухолевые пласты/дольки
о Разделены мезенхимальными перегородками
о Вариабельная нейрональная, ганглиоглионическая, астроцитарная дифференциация
• Характерно наличие крупных фибриллярных «пинеоцитоматозных розеток»:
о Крупные розетки окружают сети тонких отростков клеток
• Митозы и некротический компонент отсутствуют
• Иммуногистохимическое исследование:
о Выраженный положительный результат синаптофизина
о Выраженный положительный сигнал нейрон-специфической енолазы (НСЕ)
• Электронная микроскопия:
о Микротубулы
о Светлоядерные или плотноядерные везикулы
о Синапсы
• Плеоморфный подтип (возможна ОПЭПД):
о Смешанная/промежуточная дифференцировка, митозы
о Случайно встречающиеся области некроза, гиперплазии эндотелия

(а) МРТ, Т1-ВИ, сагиттальный срез: определяется вариант структуры пинеоцитомы. Присутствует крупная дольчатая опухоль, четко отграниченная от окружающих тканей, которая вызывает обструктивную гидроцефалию вследствие компрессии сильвиева водопровода. Опухоль слегка гиперинтенсивна по отношению к СМЖ и умеренно гипоинтенсивна по отношению к ткани мозга.
(б) МРТ, постконтрастное Т1-ВИ, корональный срез: определяется выраженное контрастирование опухоли с умеренно гетерогенным его характером. «Вариантные» случаи предполагаемой пинеоцитомы необходимо дифференцировать с ОПЭПД, более агрессивной опухолью.
д) Клиническая картина:
1. Проявления пинеоцитомы:
• Наиболее частые признаки/симптомы:
о Головная боль
о Синдром Парино (паралич вертикального взора)
• Другие признаки/симптомы:
о ↑ внутричерепного давления, гидроцефалия
о Атаксия
о Нарушения ментального статуса
• Клинический профиль:
о Маркеры герминальных клеток
- α-фетопротеин, ХГЧ отсутствуют
2. Демография:
• Возраст:
о Может возникать в любом возрасте, включая детский
о Средний возраст: 35-40 лет
• Пол:
о М = Ж
• Эпидемиология:
о < 1 % всех первичных опухолей мозга
о Опухоли пинеальной области составляют - 3-8% опухолей в педиатрической практике
о Опухоли паренхимы эпифиза (ОПЭ) составляют - 15-30% опухолей эпифиза:
- ОПЭ: пинеоцитома, опухоль паренхимы эпифиза промежуточной дифференцировки, пинеобластома
о Опухоли из герминальных клеток составляют 40% пинеальных опухолей:
- Герминома >> ОПЭ
о Пинеоцитомы: - 45% ОПЭ
3. Течение и прогноз:
• Опухоль стабильна или обладает медленным типом роста
• Общая пятилетняя выживаемость - 85-100%:
о Пятилетняя выживаемость от 90% (grade II) до 100% (grade I)
• Редко осложняется кровоизлиянием
4. Лечение пинеоцитомы:
• Хирургическое иссечение или стереотаксическая биопсия
• Полная хирургическая резекция обычно приводит к излечению: о Возможно появление необходимости в шунтировании СМЖ
• Результаты послеоперационной лучевой терапии противоречивы
• По некоторым данным стереотаксическая лучевая терапия может применяться как основное или адъювантное лечение
е) Диагностическая памятка:
1. Обратите внимание:
• Пинеоцитома может носить кистозный характер, имитировать пинеальную кисту
• Может проявлять признаки агрессивности, имитировать пинеобластому или ОПЭПД
• Клинические данные часто помогают в дифференциальной диагностике образований пинеальной области
• При ГКО часто определяются положительные серомаркеры
2. Советы по интерпретации изображений:
• При пинеоцитомах наблюдаются периферические кальцификаты:
о Герминомы «поглощают» Са++ в структуре железы
• Часто наблюдается солидный характер накопления контраста, может быть периферийным
Пинеобластома
Пинеобластома — злокачественное новообразование, берущее начало в паренхиматозных клетках шишковидной железы (эпифиза). Сопровождается окклюзионной гидроцефалией, поражением церебрального ствола, мозжечка. Проявляется симптомами резко повышенного внутричерепного давления, зрительными, глазодвигательными расстройствами, нарушением сна, мозжечковым синдромом. Пинеобластома диагностируется при помощи нейровизуализации, исследования ликвора, гистологического анализа тканей новообразования. Лечение включает 3 этапа: нейрохирургическую операцию по удалению опухолевых тканей, лучевую терапию, полихимиотерапию.
Общие сведения
Пинеобластома является низкодифференцированной эмбриональной опухолью, входит в группу нейроэктодермальных новообразований. По структуре неоплазия схожа с другими злокачественными образованиями, берущими начало в тканях нейроэктодермального происхождения: ретинобластомой, медуллобластомой. Опухолевый рост начинается в клетках эпифиза — небольшой железы, секретирующей мелатонин, который оказывает регулирующее влияние на циклы сон-бодрствование. Пинеобластома — редкая церебральная опухоль, встречается в 0,1% случаев всех интракраниальных новообразований. Наблюдается преимущественно в детском возрасте. Лица мужского пола страдают чаще, однако точные цифры гендерного распределения заболеваемости отсутствуют.
Причины пинеобластомы
Злокачественная опухоль эпифиза возникает вследствие мутации отдельных пинеоцитов, приобретающих способность интенсивно делиться. Мутации носят спорадический характер, что не исключает существование наследственной предрасположенности. Точные причины раковой трансформации пинеоцитов не установлены. Предположительно мутагенный эффект оказывают следующие неблагоприятные факторы:
- Ионизирующее излучение. Обладает повреждающим действием на геном живых организмов. Повышенный радиационный фон, проведение лучевой терапии (лечение лейкоза, раковых опухолей) способны спровоцировать возникновение церебральной опухоли.
- Осложнённое течение беременности.Внутриутробные инфекции, гипоксия плода, токсические воздействия (приём алкоголя, наркотиков, курение будущей матери) приводят к нарушению дифференцировки, изменению генома отдельных клеток. После рождения ребёнка сохранившиеся в эпифизе не прошедшие дифференцировку клетки-предшественники служат материалом для развития опухоли.
- Канцерогены — вещества, способные повредить генетический аппарат клеток. Канцерогенным эффектом могут обладать составляющие пищевых продуктов (консерванты, красители, ароматизаторы), бытовой химии, лакокрасочных материалов. Канцерогены, поступающие в организм беременной, воздействуют на ребёнка в период внутриутробного развития, когда ткани наиболее уязвимы.
Патогенез
Механизм возникновения злокачественных клеток в шишковидной железе неизвестен. Предполагается наличие множественных изменений внутриклеточного генетического аппарата, приводящих к кардинальной трансформации клеточных свойств пинеоцитов. Результатом является неконтролируемое размножение, отсутствие дифференцировки вновь образованных клеток — пинеобластов. Пинеобластома отличается активным инфильтративным ростом, быстрым распространением патологических клеток в окружающие ткани. Злокачественное образование разрушает ткани моста, продолговатого мозга, распространяется на мягкую мозговую оболочку, субарахноидальное пространство.
Эпифиз располагается вблизи сильвиевого водопровода, по которому осуществляется отток цереброспинальной жидкости (ликвора) из третьего в четвёртый желудочек. Быстро увеличивающаяся пинеобластома сдавливает сильвиев водопровод, блокируя ликвороотток. Цереброспинальная жидкость накапливается в полости III желудочка, формируется окклюзионная гидроцефалия, клинически проявляющаяся нарастающими симптомами интракраниальной гипертензии.
Макроскопически пинеобластома представляет собой плотно-эластичное образование бурого цвета. Микроскопически опухоль состоит из мелких мономорфных клеток с гиперхромными ядрами. Характерно наличие большого количества прорастающих опухоль сосудов с пролиферацией эндотелия. Определяются зоны колликвационного некроза, внутриопухолевые кровоизлияния.
Симптомы пинеобластомы
В период манифестации заболевания на первый план выходит симптоматика внутричерепной гипертензии: интенсивная головная боль, тошнота, рвота, ухудшение зрительной функции. У ряда пациентов отмечается повышение температуры тела. Дети раннего возраста беспокойны, капризничают. Может наблюдаться судорожный синдром. Прорастание опухоли в верхние отделы среднего мозга приводит к возникновению косоглазия, двоения в глазах, двустороннего птоза. Поражение мозжечка проявляется мозжечковой атаксией: шаткостью походки, несоразмерностью движений, расстройством координации. Изменение секреции мелатонина обуславливает нарушения сна – пациенты жалуются на трудности засыпания или отмечают гиперсомнию. Возможно возникновение гемипареза, снижение чувствительности половины тела, расстройство поведения.
Осложнения
Пинеобластома характеризуется быстрым ростом внутричерепного давления вследствие окклюзии ликвороносных путей. Ситуацию усугубляет прорастание неоплазии в полость III желудочка. Со временем опухолевые массы заполняют боковые желудочки, практически полностью обтурируют желудочковую систему. Значительное увеличение объёма желудочков в ограниченном внутричерепном пространстве приводит к сдавлению головного мозга.
Склонность пинеобластомы к метастазированию обуславливает образование вторичных метастатических очагов в различных областях головного и спинного мозга. Тяжёлым осложнением является кровоизлияние в ткань опухоли с прорывом крови в желудочки. По мере роста пинеобластома сдавливает и прорастает ткани продолговатого мозга, где расположены витальные центры дыхательной и сердечно-сосудистой регуляции. Поражение последних вызывает летальный исход.
Диагностика
Диагностический поиск осуществляется специалистами в сфере неврологии и нейрохирургии. Сбор анамнеза даёт представление о течении беременности, родов, послеродового периода, времени и симптомах начала заболевания. Исследуя неврологический статус, невролог определяет примерную локализацию патологического процесса. Дальнейшие обследования пациента включают:
- Клинические анализы. В общем анализе крови возможен лейкоцитоз, признаки анемии. Биохимический анализ крови выявляет повышение уровня АЛТ, АСТ, снижение концентрации белка.
- Осмотр окулиста. Основной методикой является офтальмоскопия. Выявление отёка диска зрительного нерва свидетельствует о существенном повышении внутричерепного давления.
- Исследование цереброспинальной жидкости. Позволяет исключить инфекционное поражение ЦНС. Обнаруживает значительный цитоз, повышенную концентрацию белка, наличие опухолевых клеток (пинеобластов). При кровоизлиянии в ликворе определяются эритроциты.
- Нейровизуализацию. Предпочтение отдаётся МРТ головного мозга, в старшем возрасте при наличии противопоказаний к МРТ возможно проведение церебральной КТ. Нейровизуализирующие методики дают возможность диагностировать неоплазию, определить характер её роста, установить локализацию и распространённость процесса.
- Стереотаксическую биопсию опухоли. Проводится в сложных диагностических случаях для решения вопроса о целесообразности нейрохирургического лечения. В большинстве случаев верификация новообразования осуществляется путём гистологического исследования материала, полученного интраоперационно.
Пинеобластома дифференцируется от доброкачественной пинеоцитомы, других интракраниальных объёмных образований (опухолей, церебральной кисты, абсцесса), энцефалита, травматических повреждений. При манифестации симптоматики в первый год жизни необходимо исключение врождённых аномалий развития мозга. У детей раннего возраста симптомы дебюта (тошнота, рвота, повышение температуры) могут быть ошибочно приняты за проявления кишечной инфекции.
Лечение пинеобластомы
Ранее предпочтительным считалось консервативное ведение больных. Применение микрохирургической техники позволило нейрохирургам увеличить радикальность удаления опухоли, расширить показания к операции. Современная схема лечения включает весь арсенал онкологов, делится на 3 основных этапа:
- Хирургическое лечение. Пинеобластома подлежит максимально радикальному иссечению. Противопоказаниями к операции являются прорастание новообразования в мозговой ствол с угрозой интраоперационного повреждения витальных центров, вовлечение в онкопроцесс сосудистых сплетений с вероятностью массивного кровотечения в ходе операции. В качестве паллиативных методик и для улучшения состояния пациента перед радикальным нейрохирургическим вмешательством применяются шунтирующие операции.
- Лучевая терапия. В связи с высокой злокачественностью, которой обладает пинеобластома, производится тотальное облучение головного и спинного мозга, дополнительное облучение опухолевого ложа. Количество сеансов, лучевая нагрузка определяются радиологом индивидуально с учетом возраста пациента, объёма поражения и т. п.
- Полихимиотерапия. Проводится в комбинации с лучевой терапией после нейрохирургической операции или в качестве паллиативного лечения неоперабельных случаев. Назначается химиотерапевтом, включает комбинацию 2-3 препаратов-цитостатиков (винкристин, этопозид, карбоплатин). Побочные эффекты химиотерапии требуют дополнительного симптоматического лечения.
Прогноз и профилактика
Пинеобластома всегда имеет серьёзный прогноз. Летальный исход обусловлен сдавлением мозга, кровоизлиянием в желудочки, поражением жизненно важных центров продолговатого мозга. Комбинированная трехэтапная терапия позволяет продлить жизнь пациентов. Склонность опухоли к имплантационному распространению, метастазированию обуславливает высокую частоту рецидивов. Прогноз зависит от возраста больного, распространённости опухолевого процесса. У детей до 5 лет пинеобластома отличается более злокачественным течением, 5-летняя выживаемость наблюдается лишь в 15% случаев, в возрасте старше 6 лет прогноз более благоприятен. В случае диссеминации опухоли пациенты погибают в течение года с момента дебюта клинической симптоматики. Поскольку причины и механизмы злокачественной трансформации пинеоцитов остаются неизвестными, специфическая профилактика заболевания не представляется возможной.
Пинеоцитома
Пинеоцитома — доброкачественное новообразование шишковидной железы (эпифиза), развивающееся из железистых клеток паренхимы. Клинически проявляется симптоматикой окклюзионной гидроцефалии, парезом взора, страбизмом, расстройством конвергенции. В 50% случаев наблюдается мозжечковый синдром. Пинеоцитома выявляется по клиническим данным, результатам нейровизуализации (церебральная МРТ, КТ), анализа цереброспинальной жидкости, гистологического исследования. Наиболее эффективное лечение — радикальная нейрохирургическая резекция, по показаниям дополненная ликворошунтирующей операцией.
Паренхиматозные опухоли эпифиза (шишковидной железы) носят название пинеаломы. Они составляют менее 1% новообразований ЦНС, включают доброкачественные (пинеоцитома) и злокачественные (пинеобластома) образования. Специалистами в сфере неврологии и нейрохирургии пинеоцитома часто обозначается термином "доброкачественная пинеалома". Неоплазия имеет нейроэктодермальное происхождение, возникает из клеток железистой ткани (пинеацитов), секретирующих мелатонин — основной регулятор биоритмов «сон-бодрствование». Пинеоцитома встречается в 40% случаев пинеалом, заболевают преимущественно люди молодого и среднего возраста (пик заболеваемости приходится на 25-35 лет). Опухоль распространена повсеместно, имеет одинаковую встречаемость среди мужчин и женщин.
Причины пинеоцитомы
Этиология доброкачественной пинеаломы точно не определена. Предполагают полиэтиологичность заболевания, включающую участие наследственных факторов, экзогенных воздействий, триггеров, провоцирующих начало роста опухоли. Наиболее вероятными этиофакторами возникновения заболевания считаются:
- Неблагоприятная окружающая среда. Онкогенным эффектом обладает радиация, токсические вещества, содержащиеся в выхлопных газах, выбросах отдельных химических производств, пищевые консерванты и т. п. Воздействие указанных факторов повреждает клеточный геном, свойства клеток изменяются, начинается их чрезмерное деление с развитием опухолевого образования.
- Наследственная предрасположенность. В случае пинеоцитомы не прослеживается прямая наследственная взаимосвязь. Исследователи предполагают реализацию генетической детерминированности как большей вероятности возникновения новообразования при одинаковых условиях жизни.
- Нарушения внутриутробного развития. Неблагоприятные влияния на плод в антенатальном периоде (гипоксия, внутриутробные инфекции, алкоголь, курение беременной) способны вызывать сбой отдельных процессов развития с формированием атипичных клеток. Ребёнок рождается и растёт здоровым. В последующем воздействие провоцирующих триггеров может обусловить активацию атипичных пинеоцитов, дающих начало опухолевому процессу.
- Черепно-мозговая травма. Не является непосредственной причиной заболевания. Способна спровоцировать рост пинеоцитомы при наличии в эпифизе латентных атипичных клеток, возникших в результате изменений генома, отклонений в процессе антенатального развития.
Указанные выше этиофакторы обуславливают трансформацию нормальных пинеоцитов в склонные к постоянному делению опухолевые клетки. Пинеоцитома характеризуется медленным неуклонным ростом. Место её локализации (эпифиз) расположено между полушариями мозга за третьим желудочком вблизи сильвиева водопровода, обеспечивающего отток цереброспинальной жидкости (ликвора) из третьего желудочка в четвёртый. Учитывая размеры шишковидной железы (в среднем 1 см в диаметре), очевидно, что даже небольшая пинеоцитома вносит изменения в анатомическое взаиморасположение окружающих эпифиз церебральных структур.
В первую очередь сдавливается сильвиев водопровод, затрудняется и периодически блокируется ликвороциркуляция. Результатом является скопление ликвора в желудочковой системе выше места блокировки — развитие окклюзионной гидроцефалии, обуславливающей основные симптомы опухоли. В процессе роста пинеоцитома сдавливает верхние холмики среднего мозга — подкорковые центры зрительного анализатора, что вызывает появление зрительных нарушений. При достижении значительных размеров новообразование оказывает давление на ткани мозжечка, провоцируя мозжечковую симптоматику.
Макроскопически пинеоцитома представляет собой серо-красный узел дольчатого строения, тесно спаянный с мягкой мозговой оболочкой. При микроскопическом изучении клетки опухоли имеют сходное со зрелыми пинеоцитами строение, снабжены отростками. Пинеоцитома отличается наличием пинеоцитарных розеток — скоплений клеточных отростков, имеющих вид безъядерных волокнистых зон.
Симптомы пинеоцитомы
В клинической картине доминируют симптомы внутричерепной гипертензии: упорная цефалгия, тошнота, рвота. Со временем пациенты отмечают отсутствие эффекта принимаемых от головной боли медикаментов, практически постоянное, не связанное с питанием чувство подташнивания, приносящие кратковременное облегчение частые рвоты. Типично присоединение зрительных расстройств: парез взора вверх (синдром Парино), косоглазие, диплопия, нарушение конвергенции, опущение верхнего века. Симптоматика носит двусторонний характер. В половине случаев наблюдается мозжечковая атаксия: шаткость ходьбы, нистагм, дискоординация, гиперметрия движений, прерывистость речи (дизартрия), интенционный тремор. У ряда пациентов пинеоцитома протекает с эпилептическими пароксизмами. Возможно развитие гиперсомнии, у больных детского возраста — преждевременное половое созревание.
Окклюзионная гидроцефалия сопровождается ликворно-гипертензионными кризами, обусловленными преходящей практически полной блокировкой ликворооттока. Кризы характеризуются выраженной цефалгией, многократной рвотой, расстройством сознания. Полная окклюзия сильвиева водопровода характеризуется быстрым нарастанием интракраниальной гипертензии, сдавлением головного мозга, дислокационным синдромом. В результате возникает компрессия церебрального ствола. Дисфункция локализующихся в продолговатом мозге витальных центров дыхания и сердечной деятельности ведёт к гибели больного. Грозным осложнением является малигнизация пинеоцитомы. При злокачественной трансформации наблюдается интенсивный инвазивный рост опухоли, образование метастазов.
Анамнез заболевания (постепенное начало, неуклонное прогрессирование), клинические данные (признаки окклюзионной гидроцефалии, глазодвигательные нарушения в неврологическом статусе) позволяют неврологу предположить наличие объёмного образования в пинеальной области. С целью уточнения диагноза назначаются следующие дополнительные исследования:
- Консультация офтальмолога. Необходима для оценки остроты зрения, проведения периметрии, офтальмоскопии. Наблюдается умеренное снижение зрительной функции преимущественно за счёт диплопии. Зрительные поля сохранны. Офтальмоскопия определяет двусторонний отёк дисков зрительного нерва, свидетельствующий о выраженной внутричерепной гипертензии.
- Нейровизуализация. КТ, МРТ головного мозга визуализуют новообразование пинеальной локализации, выявляют окклюзию опухолью сильвиева водопровода, гидроцефалию. Пинеоцитома отличается чёткими контурами, при контрастировании — интенсивным гомогенным накоплением контрастного вещества. Отсутствие возможности проведения томографических исследований является показанием к эхоэнцефалографии, позволяющей определить объёмное образование по смещению серединного эхо-сигнала.
- Исследование цереброспинальной жидкости. Забор материала осуществляется путём ликворной пункции. Противопоказанием к исследованию является выраженная гидроцефалия с угрозой развития дислокации. Анализ ликвора подтверждает повышенное содержание белка, клеточных элементов (цитоз). Отсутствие воспалительной реакции позволяет исключить абсцесс головного мозга, прочие инфекционные поражения. Обнаружение опухолевых клеток свидетельствует о злокачественном характере пинеаломы.
- Биопсия новообразования. В большинстве случаев получение опухолевых тканей осуществляется интраоперационно, в сложных диагностических ситуациях проводится стереотаксическая биопсия. Гистологическое исследование дает возможность точно верифицировать тип новообразования.
- Электроэнцефалография. Выступает вспомогательным диагностическим методом в случае наличия эпиприступов. Диагностирует эпилептогенный очаг на фоне неспецифических диффузных изменений биоэлектрической активности.
Пинеоцитома нуждается в дифференцировке от других опухолей эпифиза (гермином, пинеобластом), церебральных кист, абсцессов, внутримозговых гематом, паразитарных поражений. Невозможно различить указанные образования, основываясь только на клинических данных. Диагноз «пинеоцитома» требует нейровизуализационного и гистологического подтверждения.
Лечение пинеоцитомы
Стандартным способом лечения доброкачественной пинеаломы является нейрохирургическое удаление. Операция производится нейрохирургом путём краниотомии с последующим инфратенториальным супрацеребеллярным доступом. При необходимости профилактики послеоперационной гидроцефалии удаление опухоли дополняют шунтирующей операцией, вентрикулоцистерностомией III желудочка. Если пинеоцитома имеет небольшой размер, рассматривается вопрос радиохирургического удаления. Полученные в ходе оперативного вмешательства ткани неоплазии подвергаются незамедлительному гистологическому анализу. Выявление промежуточной дифференцировки новообразования, процессов малигнизации служит показанием к послеоперационной лучевой и химиотерапии.
Нейрохирургическому лечению сопутствует симптоматическая консервативная терапия. Уменьшение гидроцефалии, профилактика отёка мозга осуществляется назначением мочегонных препаратов, инъекций магния сульфата. Многократная рвота купируется противорвотными средствами (метоклопрамидом), эпилептические пароксизмы — приёмом антиконвульсантов (диазепама, карбамазепина).
Радикальная резекция новообразования даёт пациенту шанс навсегда избавиться от заболевания. При неполном удалении оставшиеся после операции опухолевые клетки могут стать источником рецидива. Малигнизирующаяся пинеоцитома имеет серьёзный прогноз, обусловленный развитием имплантационных метастазов. Специфическая профилактика не разработана, поскольку остаются неясными этиопатогенетические механизмы развития пинеоцитомы. К общим профилактическим мерам относится предупреждение воздействия онкогенных факторов: радиации, канцерогенов, токсинов, ведение здорового образа жизни будущими матерями.
Статья написана по книге Власова Е.А. "Опухоли мозга. КТ- и МРТ-диагностика" посмотреть / заказать
Номенклатура
Опухоли нейроэпителиальной ткани / Опухоли пинеальной области / Пинеоцитома / МКБ/О 9361/1 (G I)
Определение
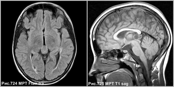
Пинеоцитома - доброкачественная опухоль, возникающая из ткани шишковидной железы, имеющая четкие контуры (рис.724, 725).

Эпидемиология
Менее 1% от всех опухолей ЦНС, 15-20% от всех опухолей пинеальной области, пик встречаемости 35 лет (интервал встречаемости 30-40 лет).
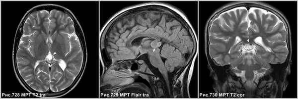
Морфология и биологическое поведение
Пинеоцитома - доброкачественная опухоль, происходящая из паренхимы corpus pineale, хорошо ограниченное, инкапсулированное, медленно растущее, неинвазивное поражение. Опухоль может содержать кальцинаты по периферии [137]. Размеры образования могут быть различны, но это не связано с атипией опухоли. На КТ пинеоцитомы были описаны как → или слегка ↑, на МРТ это солидная фракция описывается, как ↓T1 и →Т2 [137].

Объёмное образование шишковидной железы, представленное мягкотканным образованием с наличием капсулы (стрелки на рис.729, 730). Пинеоцитома может иметь кисты (головка стрелки на рис.728).
Контрастное усиление
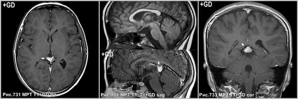
На КТ и МРТ солидные компоненты интенсивно накапливают контраст [34,43,49,53,130].

Интенсивное контрастирование солидных участков пинеоцитомы (стрелки на рис.731-733).
Дифференциальный диагноз
Герминома
Герминома - злокачественная, чаще солидная опухоль с петрификатом в центре, в то время как пинеоцитома обызвествляется по периферии. Герминома метастазирует и инфильтрирует таламусы.
Пинеобластома
Пинеобластома - первично злокачественная опухоль (как медуллобластома, ретинобластома или эпендимобластома, прежде входила в состав ПНЭО). Опухоль плохо отграничена, имеет инвазивный характер роста. Возникает в возрасте до 20 лет. Содержит кисты и некрозы, обычно крупная на момент первого исследования и осложненная гидроцефалией. Всегда имеются метастазы.
Киста шишковидной железы

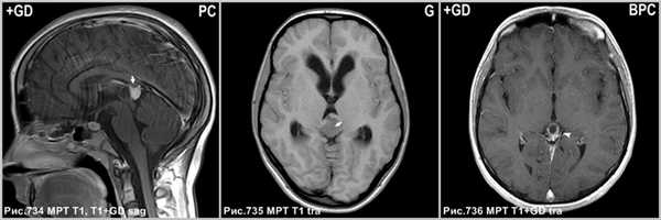
Постконтрастное Т1 демонстрирует накопление агента в солидном участке опухоли (стрелки на рис.734). В центре герминомы определяется петрификат (стрелка на рис.735) и отсутствующее обызвествление по периферии. Накопление контраста в стенке кисты шишковидной железы (головка стрелки на рис.736).
Клиническая картина, лечение и прогноз
В случае с большим размером опухоли возникает сдавление водопровода и развивается окклюзионная гидроцефалия. Пинеоцитомы не сопровождаются гиперактивным половым поведением.
Пинеоцитомы лечатся хирургическим путем и имеют отличный прогноз, когда достигается полная резекция (что бывает почти всегда, поскольку это хорошо отграниченные поражения).
Пятилетняя выживаемость 86%. Были представлены рецидивы и даже лептоменингеальные метастазы, но это редкость. Образование медленно растет, редко приобретает злокачественный тип роста, что проявляется кровоизлияниями, инфильтрацией.
На МРТ это проявляется ↑МР-сигналом по DWI, повышение показателей перфузии и пиком лактат-липидного комплекса на спектроскопии. В крови обнаруживается повышенное содержание мелатонина, основного гормона шишковидной железы.
Источник
Полная или частичная перепечатка данной статьи, разрешается при установке активной гиперссылки на первоисточник
- вы потеряли описание вашего МРТ или КТ,
- врача не устроило описание вашего МРТ или КТ
- вы сомненеваетесь в выводах по результатам вашего МРТ,
Похожие статьи
Глиобластома
Глиобластома - опухоль высокой степени злокачественности, гетерогенного строения с центральным некрозом, быстрым инфильтративным ростом, перифокальным отеком и наихудшим прогнозом среди всех глиом.
Опухоли ствола мозга
Глиома ствола мозга не является отдельной гистологической формой, а лишь отражает анатомическую локализацию неопластического поражения, в состав которого могут быть включены: диффузные и отграниченные астроцитомы, эмбриональные опухоли, эпендимома и глиобластома.
Липома
Интракраниальная липома - представляет собой, не вполне бластому в морфологическом и биологическом представлении, а скорее дисэмбриогенетический доброкачественный жировой депозит, без признаков изменения в динамике.
Герминома - самое частое образование шишковидной области, злокачественная, не инкапсулированная опухоль с высокой частотой метастазирования по оболочкам мозга, хорошо реагирующая на лучевую терапию.
Пинеобластома - первично злокачественная опухоль, без четких контуров с инвазивным типом роста, содержит кисты и некрозы, а так же сопровождается обструктивной гидроцефалией с расширением размеров желудочковой системы.
Метастазы опухолей в мозг
Метастазы - очаги периферического распространения злокачественной опухоли с характерными чертами округлого образования, множественности поражения, перифокального отёка и масс-эффекта.
Контрастное усилением метастазов в головном мозге
На сегодняшний день Т1 с контрастным усилением представляет собой лучший метод для обнаружения метастазов в головном мозге [4, 27, 151]. Повышение может быть однородным, точечным или кольцевидным, но оно, как правило, интенсивное [50].
Читайте также:
- Классификация парапроктитов. Диагностика острых парапроктитов.
- Рентгенограмма, КТ, МРТ при хрящевой и костно-хрящевой патологии тазобедренного сустава
- Синдром приводящей петли. Кровотечение из гастроеюноанастомоза.
- Показания и подготовка к субхондропластике коленного сустава
- Рентгенограмма, КТ, МРТ при саркоме Юинга
