Диагностика поверхностного сидероза по МРТ, КТ
Добавил пользователь Владимир З. Обновлено: 28.12.2025
Причины возникновения кистозного фиброза или что это за болезнь муковисцидоз?
- Это метаболическое заболевание экзокринных желез с патологической секрецией слизи.
- Наиболее частое врожденное метаболическое заболевание у лиц европеоидной расы.
- Симптомы у больного муковисцидозом и у детей передаются по наследованию по аутосомно-рецессивному типу
- Нарушение транспорта хлоридов обусловливает высокое содержание вязкой слизи в секрете экзокринных желез
- Нарушение мукоцилиарного клиренса
- Рецидивирующая бронхолегочная инфекция также вызывает симптомы у больного муковисцидозом и у детей.
Какой метод диагностики муковисцидоза выбрать: МРТ, КТ, рентген
Методы выбора
Что покажет рентген грудной клетки при муковисцидозе
- Повышенная воздушность легких
- Утолщение бронхиальной стенки
- Бронхоэктазы с задержкой слизи
- Ателектазы
- Кисты
- Пневмоторакс
- Прикорневая лимфаденопатия.
Что покажут снимки МСКТ при кистозном фиброзе легких
- Утолщение бронхиальной стенки, особенно стенки центральных и верхнедолевых бронхов
- Кистовидные и мешотчатые бронхоэктазы, чаще образующиеся в верхних долях
- Задержка слизи
- Симптом «ветки вербы»
- Мозаичность перфузии легочной ткани
- Феномен «воздушной ловушки».
Специфичные симптомы
- Выраженные кистовидные и мешотчатые бронхоэктазы, в основном в верхних долях легких
- Поражение других органов (мекониевый илеус, недостаточность экзокринной функции поджелудочной железы).
Клинические проявления
Типичная картина кистозного фиброза:
- Симптомы у больного муковисцидозом и у детей обычно проявляются в грудном возрасте
- Хронические рецидивирующие бронхолегочные инфекции (особенно Pseudomonas spp., Aspergillus и микобактериальные)
- Кровохарканье
- Пневмоторакс.
Тактика лечения муковисцидоза
- Муколитическая терапия (постуральный дренаж, перкуссионный массаж грудной клетки)
- Медикаментозное лечение (антибиотикотерапия с учетом чувствительности возбудителей, бронхолитики, ферменты поджелудочной железы)
- Трансплантация легкого
- Соматическая генная терапия (перенос нормального гена CFTR).
Течение и прогноз
- Ожидаемая продолжительность жизни при кистозном фиброзе снижена (при первых клинических проявлениях во взрослом возрасте заболевание протекает в более легкой форме)
- У больного с симптомами муковисцидоза и у детей с течением времени развиваются легочная гипертензия и дыхательная недостаточность
- Недостаточность экзокринной функции поджелудочной железы.

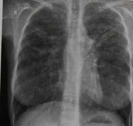
Муковисцидоз у женщины 34 лет. Помимо нерезко выраженного усиления воздушности легких на рентгенограмме грудной клетки виден тяжистый рисунок, охватывающий все легочное поле и особенно выраженный в верхнем и среднем его отделах. Корни легких укорочены и смещены кверху. Эти признаки обусловлены выраженными изменениями бронхиальной стенки и бронхоэктазами.

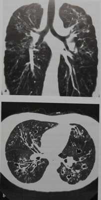
КТ более информативна для определения типа и объема изменений. На срезах, проходящих через легкие, видны многочисленные кистовидные и мешотчатые бронхоэктазы
Что хотел бы знать лечащий врач
- Оценить клиническое течение, пользуясь полуколичественной шкалой (например, Криспина-Нормана для детей)
- Уточнить степень изменений, в частности бронхоэктазов, при помощи КТ.
Какие заболевания имеют симптомы, схожие с муковисцидозом
Постинфекционные бронхоэктазы
- Обычно односторонние сегментарные или долевые
- Обычно локализуются в нижних долях
Аллергический бронхолегочной аспергиллез
- Бронхоэктазы в основном в центральной части верхних долей
- Преходящие легочные инфильтраты
Первичная цилиарная дискинезия (синдром Картагенера)
- Нет преимущественного поражения той или иной доли легкого (в частности, верхнего)
Диагностика поверхностного сидероза по МРТ, КТ
а) Терминология:
1. Сокращения:
• Поверхностное сидероз (ПС), субарахноидальное кровоизлияние (САК)
2. Синонимы:
• Сидероз, сидероз центральной нервной системы
3. Определение:
• Хроническое, рецидивирующее САК → отложение гемосидерина на поверхности мягкой мозговой оболочки полушарий головного мозга, его ствола, черепных нервов (ЧН), спинного мозга
б) Визуализация:
1. Общие характеристики поверхностного сидероза (ПС):
• Лучший диагностический критерий:
о Гипоинтенсивные на МР-томограммах в режиме Т2 или Т2* GRE очертания поверхностей структур головного мозга, ЧН
• Локализация:
о Изменения с различной выраженностью могут отмечаться в области полушарий головного мозга, мозжечка, ствола мозга, черепных нервов, спинного мозга
• Размеры:
о Криволинейные гипоинтенсивные отложения гемосидерина на поверхностях структур ЦНС могут иметь вариабельную толщину, но обычно < 2 мм
• Морфология:
о Криволинейные темные линии на поверхности структур ЦНС
2. КТ при поверхностном сидерозе:
• Бесконтрастная КТ:
о Церебральная и мозжечковая атрофия:
- Особенно заметна в области задней черепной ямки:
Часто отмечается непропорциональное увеличение борозд мозжечка
о ЧН VIII может быть гиперденсным
о Слегка гиперденсный ободок, локализующийся над поверхностью структур головного мозга:
- Наиболее явными являются изменения в области ствола головного мозга
- По сравнению с МРТ КТ является относительно нечувствительным по отношению к выявлению ПС методом - Предупреждение: не расценивайте гиперденсный ободок вокруг поверхности структур головного мозга (но не в цистернах) как острое САК
• КТ с контрастированием:
о Как правило, контрастирование отсутствует

(а) MPT, Т2* GRE, аксиальный срез: у мужчины 57 года с двусторонней нейросенсорной тугоухостью и наличием в анамнезе давней резекции олигодендроглиомы лобной доли на поверхности ствола мозга, ЧН IX-XI, в области листков мозжечка , а также сосудистого сплетения IV желудочка определяются гипоинтенсивные наслоения.
(б) Более краниальный аксиальный срез: у того же пациента определяется поверхностный сидероз (ПС) VII и VIII ЧН, а также в области эпендимы IV желудочка.
4. Рекомендации по визуализации поверхностного сидероза (ПС):
• Лучший инструмент визуализации:
о МРТ головного мозга:
- При постановке диагноза ПС необходимо выполнить поиск причин рецидивирующего САК
- МРТ всего головного мозга без и с контрастированием + МР-ангиография
- Последующая МРТ всех отделов позвоночника при отрицательных результатах, полученных в ходе МРТ головного мозга (например, эпендимомы спинного мозга могут вызвать рецидивирующие САК, поверхностный сидероз)
- Примечание: МРТ признаки не коррелируют с клинической тяжестью течения заболевания
• Советы по протоколу исследования:
о МРТ головного мозга:
- МРТ без контрастирования с использованием последовательности FLAIR
- Для подтверждения предположений о наличии ПС используйте последовательностьТ2*(GRE, SWI)
о Для поиска потенциального источника кровотечения необходима визуализация всех отделов спинного и головного мозга
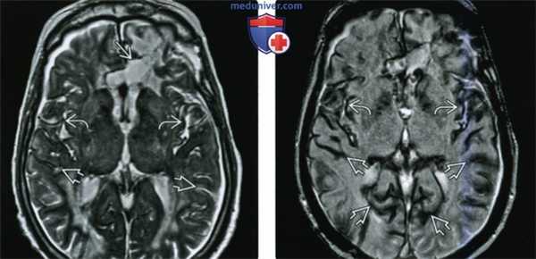
(а) MPT, Т2* GRE, более краниальный аксиальный срез: у этого же пациента определяется диффузный ПС, локализующийся вдоль обеих сильвиевых борозд, а также в области поверхности среднего мозга, вершины червя мозжечка.
(б) MPT, Т2* GRE, более краниальный аксиальный срез: вдоль поверхностей обеих сильвиевых борозд, а также межполушарной борозды определяются наслоения. Обратите внимание на гемосидериновое окрашивание эпендимы, сосудистых сплетений боковых желудочков. (а) МРТ, Т2-ВИ, аксиальный срез: у мужчины 60 лет с прогрессирующей атаксией, двусторонней нейросенсорной тугоухостью определяется ПС, визуализируемый как «утолщение» и «черное очертание» обоих ЧН VIII. Обратите внимание на мозжечковую атрофию, увеличение размеров IV желудочка, усиление фолиации мозжечка.
(б) Иногда ПС ограничивается локализацией в задней черепной ямке. MPT, Т2* GRE, корональный срез: определяется обширный поверхностный сидероз структур задней черепной ямки. Участки «выцветания» изображения в области поверхностей мозговых структур, обусловленные отложением гемосидерина, визуализируются как гипоинтенсивные их очертания. Также ПС затрагивает верхний отдел червя мозжечка и его листки.
в) Дифференциальная диагностика поверхностного сидероза (ПС):
1. Артефакт «точки отскока»:
• Несоответствие между временем повторения (TR) и временем инверсии (TI) при восстановлении инверсии последовательностей Т1 и FLAIR:
о Совет по визуализации: не присутствует на всех последовательностях
2. Поверхностные сосуды головного мозга:
• Обычно поверхностные вены
• Линейный, фокальный участок низкого сигнала на поверхности структур головного мозга
• Характерно контрастирование на постконтрастных Т1-ВИ (в отличие от ПС)
3. Нервнокожный меланоз (обычно кожный невус):
• Врожденный синдром
• Большие или множественные кожные пигментные невусы
• Доброкачественные или злокачественные меланоцитарные опухоли лептоменинкс могут быть гипоинтенсивными и локализоваться на поверхности мозга
• Т1-ВИ: диффузное распространение в мягкой и паутинной мозговых оболочках, высокий уровень сигнала
• Т2-ВИ: диффузное распространение в мягкой и паутинной мозговых оболочках, низкий уровень сигнала
• Как правило, на постконстрастных Т1-ВИ отмечается накопление контраста
4. Менингоангиоматоз:
• Гамартоматозная пролиферация менингеальных клеток, которая может распространяться в нижележащую кору головного мозга
• Утолщение лептоменинкс, ее инфильтрация фиброзной тканью
• Обычно выявляется кальцификация
• На постконстрастных Т1-ВИ отмечается накопление контраста
г) Патология:
1. Общие характеристики поверхностного сидероза (ПС):
• Этиология:
о Обусловленное повторными САК отложение гемосидерина на менингеальных поверхностях структур ЦНС:
- Локализация: полушария головного мозга, его ствол, мозжечок, черепные нервы, спинной мозг
о Гемосидерин цитотоксичен для нейронов:
- Наличие «свободного» железа, а также избыточная продукция гидроксильных радикалов-лучшая на текущий момент гипотеза, объясняющая указанную цитотоксичность
о ЧН VIII в значительной степени покрыт миелиновой оболочкой центрального типа, структура которой поддерживается гемосидерин-чувствительными клетками микроглии:
- Обусловливает выраженность изменений в цистерне ММУ
• Ассоциированные аномалии:
о Выполните тщательный поиск причины рецидивирующего САК:
- Аневризма
- Артериовенозная или кавернозная мальформация
- Церебральная амилоидная ангиопатия
- Кровотечение ЦНС новообразование
- Травма, хирургическое вмешательство
- Синдромы, сопровождающиеся гиповолемией СМЖ
2. Макроскопические и хирургические особенности:
• Темно-коричневая окраска мягкой мозговой оболочки, эпендимы, субпиальной мозговой ткани
• Причины рецидива САК обнаруживаются в 70% случаев:
о Патология мозговых оболочек (70%):
- Травматическая авульсия корешка спинномозгового нерва шейного отдела позвоночника
- Наиболее часто - повреждения ликворосодержащих полостей (хирургических) с «хрупкой» неоваскуляризацией
о Новообразование, осложненное кровотечением (20%):
- Эпендимома, олигодендроглиома, астроцитома и т.д.
о Сосудистые аномалии (10%):
- Артериовенозная мальформация (АВМ) или аневризма
- Множественные кавернозных мальформаций в области поверхности головного мозга
о Амилоидная ангиопатия
3. Микроскопия:
• Гемосидериновое окрашивание мозговых оболочек и субпиальной мозговой ткани до 3 мм в глубину
• Утолщенние лептоменинкс
• Листки мозжечка: потеря клеток Пуркинье, глиоз Бергмана
д) Клиническая картина поверхностного сидероза (ПС):
1. Проявления:
• Наиболее частые признаки/симптомы:
о Двусторонняя нейросенсорная тугоухость (ИСТ) в 95% случаев
о Имитирует мозжечковое дегенеративное расстройство:
- Прогрессирующая мозжечковая атаксия
- Пирамидальные знаки
• Клинический профиль:
о Часто имеется анамнез травмы или интрадуральных хирургических вмешательств:
- Сведения о САК в анамнезе имеются редко
о Классический пациент-взрослый пациенте двусторонней НСТ, атаксией
о Встречаются реже, чем поздние осложнения леченой опухоли мозжечка, возникшей в детском возрасте
• Лабораторная диагностика:
о Анализ СМЖ при люмбальной пункции:
- Высокое содержание белка (100%)
- Ксантохромия (75%)
• Другие симптомы:
о Атаксия (88%)
о Двусторонний гемипарез
о Гиперрефлексия, нарушения функции мочевого пузыря, аносмия, деменция, головная боль
о Пресимптомная фаза составляет, в среднем, 15 лет
2. Демография:
• Возраст:
о Широкий диапазон: 14-77 лет
• Пол:
о М:Ж = 3:1
• Эпидемиология:
о Редкое хроническое прогрессирующее заболевание
о 0,15% пациентов, которым проводится МРТ головного мозга
3. Течение и прогноз:
• Ухудшение двусторонней НСТ и атаксии в течение 15 лет от начала заболевания
• В недиагностированных случаях развитие глухоты практически неизбежно
• У 25% пациентов развивается тяжелая инвалидизация в течение нескольких лет после первого симптома:
о Результат мозжечковой атаксии, миелопатического синдрома или их сочетания
4. Лечение:
• Лечение источника кровотечения:
о Хирургическое удаление источника кровотечения (хирургическая полость, опухоль)
о Эндоваскулярное вмешательство при АВМ и аневризмах
• Кохлеарная имплантация при НСТ
д) Диагностическая памятка:
1. Обратите внимание:
• Помните, что ПС является следствием, а не причиной
• Ищите источник рецидивирующего САК в области спинного, головного мозга
• МРТ признаки не коррелируют с тяжестью симптомов у пациента: о Диагноз может быть поставлен только по данным МРТ, без наличия симптомов
2. Советы по интерпретации изображений:
• «Черное очертание» контуров структур ЦНС, включая черепные нервы на Т2-ВИ
3. Советы по отчетности:
• Опишите отдельные признаки ПС
• Опишите любые возможные источники хронического САК
• Если такого источника САК не выявлено, рекомендуйте МРТ всех отделов спинного мозга для его дальнейшего поиска:
о Устранение причины рецидивирующего САК может остановить прогрессирование соответствующих симптомов
Поверхностный сидероз на МРТ
а) Терминология:
• Хроническое, рецидивирующее субарахноидальное кровоизлияние (САК):
о Обусловливает отложение гемосидерина на поверхности полушарий головного мозга, его ствола, черепных нервов (ЧН), спинного мозга
б) Визуализация поверхностного сидероза (ПС):
• Бесконтрастная КТ:
о Слегка гиперденсный ободок, локализующийся над поверхностью структур головного мозга
о Гиперденсное линейное отложение гемосидерина с наиболее отчетливой локализациией вдоль ствола мозга
о Предупреждение: не расценивайте гиперденсный ободок вокруг поверхности структур головного мозга (но не в цистернах) как острое САК
• МРТ Поверхностный сидероз:
о Последовательность Т2* (GRE, SWI) наиболее чувствительна по отношению к выявлению отложений гемосидерина
о «Черное очертание» контуров структур головного мозга и черепных нервов (гипоинтенсивный ободок) на МР-изображениях в режиме Т2 или Т2* GRE
о ЧН VIII часто визуализируется более темным и толстым, чем обычно
• При постановке диагноза "поверхностный сидероз" (ПС) необходимо выполнить поиск причин рецидивирующего САК:
о Для поиска потенциального источника кровотечения необходима визуализация всех отделов спинного и головного мозга:
- МРТ с контрастированием, а также МР-ангиография всего головного мозга
- МРТ всех отделов позвоночника при отрицательных результатах, полученных в ходе МРТ головного мозга
(а) На рисунке аксиального среза показано гемосидериновое темно-коричневое окрашивание всех поверхностей головного мозга, мозговых оболочек, а также черепных нервов.
Обратите внимание, что черепные нервы VII и VIII пар также частично поражены в области мостомозжечкового угла - внутреннего слухового прохода.
(б) МРТ, Т2-ВИ, аксиальный срез: у женщины 64 лет с двусторонней нейросенсорной тугоухостью продолжительностью три года определяется тонкое «черное» линейное наслоение на поверхности мозжечка, особенно заметное над его листками. (а) МРТ, Т2,* GRE, аксиальный срез: у этой же пациентки определяется обширное отложение гемосидерина над листками мозжечка в виде толстых «черных линий».
(б) Более краниальный аксиальный срез: у этой же пациентки определяется выраженный поверхностный сидероз с локализацией вдоль сильвиевых борозд, медиальных отделов затылочных долей.
в) Дифференциальная диагностика поверхностного сидероза (ПС):
• Артефакт «точки отскока»
• Поверхностные сосуды головного мозга:
о Обычно поверхностные вены, для которых характерно контрастирование (в отличие от ПС)
• Нервнокожный меланоз (обычно кожный невус)
г) Патология:
• Причины рецидивирующего субарахноидального кровоизлияния (САК) с поверхностным сидерозом (ПС):
о Церебральная амилоидная ангиопати
о Кровотечение из новообразования ЦНС
о Сосудистые мальформации, аневризмы
о Хирургическое вмешательство, травма
о Синдромы, сопровождающиеся гиповолемией СМЖ
а) Терминология:
1. Аббревиатура:
• Поверхностный сидероз (ПС)
2. Синонимы:
• Сидероз, сидероз центральной нервной системы
3. Определение:
• Отложение гемосидерина на поверхности головного мозга, мозгового ствола, мягкой и паутинной оболочках черепных нервов, обусловленное рецидивирующими субарахноидальными кровоизлияниями (САК)

(Слева) При аксиальной МРТ Т2 ВИ у пациента, у которою несколько месяцев назад был удален метастаз меланомы из лобной доли, визуализируется постоперационная полость. Борозды и Сильвиевы щели очерчены неявным гипоинтенсивным «ободком» (поверхностный сидероз).
(Справа) При аксиальной MPT Т2*GRE у этою же пациента определяется более выраженный сидероз с поражением Сильвиевых щелей и борозд. На GRE Т2* отложения гемосидерина становятся более очевидными из-за блюминга.
2. КТ при поверхностном сидерозе мостомозжечкового угла (ММУ) и внутреннего слухового канала (ВСК):
• КТ без КУ:
о Атрофия головного мозга и мозжечка:
- Особенно выраженная в задней ямке:
Борозды мозжечка часто непропорционально расширены
о ЧН VIII может быть гиперденсным
о Минимально гиперденсный «ободок» на поверхности мозга:
- Наиболее очевидны изменения ствола мозга
- Чувствительность КТ (ПС) относительно низкая по сравнению с МРТ
- Внимание: не путайте гиперденсный «ободок» на поверхности мозга с субарахноидальным кровоизлиянием
• КТ с КУ:
о Отсутствие контрастирования - типичный признак
4. Рекомендации по визуализации:
• Лучший диагностический критерий:
о МРТ головного мозга с фокусом на заднюю ямку:
- При установлении диагноза ПС вначале необходимо выявить причину рецидивирующих САК; МРТ всего мозга с контрастом и МРА, затем МРТ всего спинного мозга, если в головном мозге не выявлено патологических изменений
• Выбор протокола:
о МРТ головного мозга:
- Изначально: МРТ без контраста с FLAIR
- При подозрении на ПС: T2*GRE для подтверждения

(Слева) При аксиальной МРТ Т1 ВИ С+ FS у этого же пациента определяются очаговое накопление контраста в постоперационной полости. Видны также очаги грануляционной ткани вдоль края зоны вмешательства, которые, скорее всего, обусловлены продолжающимся кровоизлияниями, приводящими к поверхностному сидерозу.
(Справа) При аксиальной МРТ Т2 ВИ у пациента с травмой шеи определяется прерывание гипоинтенсивного «ободка» гемосидерина вследствие отсутствия мягкой оболочки спинного мозга в зоне отрыва корешка. Обратите внимание на псевдоменингоцеле (N. Kumar, MD).
в) Дифференциальная диагностика поверхностного сидероза мостомозжечкового угла (ММУ) и внутреннего слухового канала (ВСК):
1. Артефакт «Bounce Point»:
• Несоответствие времени повторения и времени инверсии на Т1 и FLAIR последовательностях с инверсией-восстановлением
• Ключевой признак: присутствует не на всех последовательностях
2. Сосуды на поверхности головного мозга:
• Нормальные или измененные поверхностные вены
• Фокальные или линейные гипоинтенсивные участки на поверхности мозга
3. Нейрокожный меланоз:
• Врожденный синдром
• Большие или множественные врожденные меланоцитарные невусы
• Доброкачественные или злокачественные опухоли из пигментных клеток мягкой и паутинной оболочек могут быть гипоинтенсивными на поверхности мозга
• Т1: диффузный сигнал высокой интенсивности в мягкой и паутинной оболочке
• Т2: сигнал низкой интенсивности в мягкой и паутинной оболочке
4. Менингоангиоматоз:
• Гамартоматозная пролиферация менингеальных клеток через интрапаренхиматозные кровеносные сосуды в кору мозга
• Утолщение и инфильтрация фиброзной тканью мягкой и паутинной оболочек
• Могут присутствовать кальцинаты

(Слева) При аксиальной МРТ Т2 ВИ определяется классическая кавернозная мальформация 2 типа по Забрамскому (Zabramski). Мальформацию окружает гипоинтенсивное замкнутое кольцо из гемосидерина.
(Справа) На корональной T2*GRE у этого же пациента определяется распространенный поверхностный сидероз в задней ямке. Поверхностные гипоинтенсивные линии обусловлены блюминюм, вызванным отложениями гемосидерина. ПС затрагивает также верхние отделы червя и листки мозжечка.
1. Общая характеристика:
• Этиология:
о Отложение гемосидерина на оболочках ЦНС в результате повторяющихся САК: головной мозг, мозговой ствол, черепные нервы, спинной мозг
о Гемосидерин-цитотоксин для нейронов:
- «Свободное» железо и избыточная продукция гидроксильных радикалов - гипотеза для объяснения цитотоксичности
о ЧН VIII на большом протяжении покрыт миелином ЦНС, поддерживаемым микроглией, чувствительной к гемосидерину
- Чаще всего поражается в цистерне ММУ
• Сопутствующие патологические изменения:
о Причины рецидивирующего САК:
- Повреждение твердой оболочки (головного или спинного мозга) при операции
- Травма: отрыв корешка шейного спинномозгового нервов, множественные травмы головы, субдуральная гематома
- Кровоточащее новообразование головного или спинного мозга
- Артериовенозная мальформация (АВМ)
- Кавернозная мальформация
- Аневризма
- Амилоидная ангиопатия
- Васкулит
- Менингоцеле
2. Макроскопические и хирургические особенности:
• Темно-коричневая мягкая и паутинная оболочка, эпендима, ткани под мягкой оболочкой
• Причины рецидивирующего САК обнаруживаются в 70%:
о Патология твердой оболочки (70%):
- Травматический отрыв корешка спинномозгового нерва
- Наиболее типична послеоперационная полость, заполненная ЦСЖ с «ломкими» вновь сформированными сосудами
о Кровоточащие новообразования (15%):
- Эпендимома, олигодендроглиома, астроцитома и др.
о Патология сосудов:
- АВМ или аневризма
- Множественные кавернозные мальформации возле поверхности мозга
о Амилоидная ангиопатия у пожилых пациентов (< 5%)
3. Микроскопия:
• Окраска гемосидерином оболочек мозга и тканей под мягкой оболочкой на глубине до 3 мм
• Утолщение мягкой и паутинной оболочек
• Листки мозжечка: отсутствие клеток Пуркинье и глиоз Бергмана
д) Клинические особенности:
1. Проявления:
• Типичные признаки/симптомы:
о Двухстороння нейросенсорная тугоухость (НСТУ) в 95%
• Клинический профиль:
о Травма или повреждение твердой оболочки при операции в анамнезе:
- Редко САК в анамнезе
о Классическое проявление: взрослый пациент с двухсторонней НСТУ и атаксией
о Реже наблюдается как позднее осложнение лечения опухоли мозжечка у детей
• Лабораторные исследования:
о ЦСЖ (люмбальная пункция):
- Большое количество белка (100%)
- Желтоватый оттенок (75%)
• Другие симптомы:
о Атаксия (88%)
о Двухсторонний гемипарез
о Гиперрефлексия, нарушение мочеиспускания, аносмия, деменция, головная боль:
- Аносмия: ЧН VI крайне чувствителен к отложению гемосидерина
о До появления симптомов в среднем проходит 15 лет
2. Демография:
• Возраст:
о Широко варьирует: от новорожденных до пожилых
• Пол:
о М:Ж = 3:1
• Эпидемиология:
о Редкое хроническое прогрессирующее заболевание
о МРТ выполняется у 0,15% пациентов
3. Течение и прогноз:
• Ухудшение двухсторонней НСТУ и атаксия в пределах 15 лет после дебюта
• Нераспознанный ПС почти всегда приводит к глухоте
• 25% взрослых пациентов становятся прикованными к постели спустя годы после появления первых симптомов:
о В результате мозжечковой атаксии и (или) миелопатического синдрома
4. Лечение:
• Устранение причины кровотечения:
о Хирургическое удаление постоперационной полости, опухоли
о Эндоваскулярное вмешательство при АВМ и аневризме
• Кохлеарная имплантация при НСТУ:
о Кохлеарные импланты могут не работать при тяжелом повреждении ЧН VIII
е) Диагностическая памятка:
1. Следует учесть:
• Следует помнить, что ПС-следствие, а не причина
• Необходимо выявить источник рецидивирующего САК в спинном или головном мозге
• Изменения на МРТ соотносятся с тяжестью симптомов пациента:
о Заключение на МРТ может быть сделано в отсутствие симптомов
2. Советы по интерпретации изображений:
• МРТ Т2: поверхность ЦНС, включая черепные нервы, выглядит «облаченной в черное»
3. Рекомендации по отчетности:
• Следует описать индивидуальные признаки ПС
• Следует описать все возможные источники хронического САК
• При отсутствии визуализации источника САК, порекомендуйте МРТ всего спинного мозга:
о Коррекция САК может приводить к остановке прогрессирования сопутствующих симптомов
Поверхностный сидероз
Поверхностный сидероз – редкое патологическое состояние, которое приводит к отложению гемосидерина в лептоменинксе с возможным неврологическим дефицитом.
На МРТ классически выглядит как «обод» низкой интенсивности по поверхности головного или спинного мозга, что хорошо видно на последовательностях градиентного эха или SWI-последовательностях.
Терминология
В литературе существуют некоторые разногласия в употреблении данного термина – ограничивать поверхностным сидерозом случаи при отсутствии истории симптоматических субарахноидальных кровоизлияний или же обозначать им все отложения гемосидерина независимо от причины.
В данной статье будет использоваться последнее определение.
Эпидемиология
Поскольку существует множество причин реккурентных или обширных субарахноидальных кровоизлияний, частота встречаемости поверхностного сидероза у населения не определена и сводится к частоте вызывающей данное состояние патологии. В сообщенных случаях возраст ранжировался от 14 до 77 лет [5]. Существует некоторая предрасположенность у мужчин (М:Ж = 3:1) [2].
Клиническая картина
Клинические проявления напрямую зависят от локализации отложений гемосидерина. Среди типичных симптомов можно выделить 5:
- сенсоневральная тугоухость: встречается в 95% случаев, билатеральная и прогрессирующая;
- мозжечковая атаксия – 90%;
- пирамидные симптомы – 75%;
- другие симптомы: деменция, недержание мочи, нарушения со стороны черепно-мозговых нервов, сенсорные дефициты;
Важно помнить, что степень поражения при визуализации не всегда коррелирует со степенью клинических проявлений [4].
Патология
Считается, что поверхностный сидероз является результатом множественных повторяющихся субарахноидальных кровоизлияний, хотя радиологически кровоизлияния не всегда визуализируются [1]. Несмотря на то, что небольшие отложения гемосидерина можно увидеть по краю предыдущих кровоизлияний или области хирургического вмешательства, единичного эпизода кровоизлияния обычно недостаточно для развития поверхностного сидероза [2].
Повреждение 8 пары черепно-мозговых нервов, приводящее к сенсоневральной тугоухости, как считается, является следствием комбинации нескольких факторов: протяженного курса нерва в цистерне (которые, по сути, являются субарахноидальным пространством) и восприимчивости микроглиальных клеток (которые играют роль в миелинизации) к поражению железосодержащих веществ [4].
Этиология
Повторные субарахноидальные кровоизлияния являются причиной в 50% случаев [1-6, 8].
- дефекты в твердой оболочке спинного мозга:
- травматическая авульсия нервных корешков шейного отдела
- дефекты твердой оболочки со скоплением цереброспинальной жидкости [9, 10]
- постоперационное псевдоменингоцеле
- небольшая эпендимома
- олигодендроглиома
- астроцитома
Диагностика
Ангиография (ЦСА)
Обычно несущественные данные; источник кровотечения не визуализируется [1].
Для выявления поверхностного сидероза МРТ является методом выбора. Признаки весьма специфичные – мягкая мозговая оболочка и эпендимальная поверхность из-за скоплений гемосидерина имеют низкую интенсивность сигнала, особенно в области ствола мозга и мозжечка (червь и листки мозжечка – наилучшие места для выявления отложений). В давних случаях может наблюдаться атрофия мозжечка.
- Т2: снижение интенсивности;
- Т1: снижение интенсивности;
- Т2*: снижение интенсивности сигнала вплоть до его выпадения;
- SWI: снижение интенсивности сигнала вплоть до его выпадения;
В рамках протокола по поверхностному сидерозу, если не было выявлено интракраниальной патологии, необходимо провести исследование всего спинномозгового канала (поверхностный сидероз вследствие миксопапиллярной эпендимомы) [5].
Лечение и прогноз
К сожалению, нет доказанной терапевтической схемы для поверхностного сидероза; соответственно, клиническое обследование направлено на выявление причины, хотя часто это бывает невозможно. Железо-хелатирующие агенты имели ограниченную эффективность лечения [6].
Когда причина поверхностного сидероза не корригируется, наблюдается медленное прогрессирование.
Читайте также:
