Значение пробной рентгенотерапии. Биопсия лимфатических узлов
Добавил пользователь Евгений Кузнецов Обновлено: 09.11.2025
Дифференциация лимфосаркомы средостения. Пробная рентгенотерапия опухолей средостения
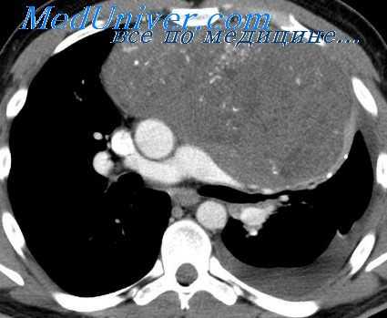
Прежде всего мы отбросили диагноз «тимома», с чем больной был направлен в институт. Против злокачественной тимомы свидетельствовало общее хорошее состояние больного без каких-либо признаков компрессии органов средостения (особенно крупных сосудов) при наличии огромной опухоли, занимающей почти все пространство от передней стенки грудной клетки до трахеи. Кроме того, на томограммах в прямой и боковой проекциях выявляется как бы конгломерат узлов, расположенных на различной глубине средостения, на что указывает и симптом «кулис».
Сравнительно спокойное клиническое проявление заболевания свидетельствовало больше в пользу лимфогрануломатоза, чем лимфосаркомы, при которой обычно наблюдается бурное течение процесса. Но не было других клинических признаков, характерных для лимфогрануломатоза, в частности волнообразного течения болезни, кожного зуда, изменений белой крови и т. д.
Рентгенологическая картина с выраженным двусторонним поражением множества лимфатических узлов средостения на различной глубине давала больше оснований для диагноза лимфосаркомы.
Поскольку с помощью обычных клинико-рентгенологических методов исследования окончательное решение вопроса о природе злокачественного поражения лимфатических узлов средостения оказалось невозможным, было рекомендовано для уточнения диагноза провести биопсию периферического лимфатического узла и пробную рентгенотерапию.

При проведении курса рентгенотерапии оказалось, что данная опухоль довольно чувствительна к ионизирующему излучению, так как через 20 дней (после суммарной дозы в 4000 г) было отмечено значительное ее уменьшение, а через 40 дней (6000 г) она полностью исчезла.
Из литературы известно, что лимфосаркомы еще более рентгеночувствительны. Поэтому результаты рентгенотерапии при учете всех других симптомов позволяли нам остановиться на диагнозе лимфогрануломатоза, чувствительность которого примерно соответствует чувствительности опухоли в данном случае.
Биопсия периферического лимфатического узла подтвердила наш диагноз.
К сожалению, после, казалось бы, благополучного исхода лечения вскоре общее состояние больного резко ухудшилось, появился плевральный выпот, и больной умер через семь месяцев от начала клинического проявления заболевания.
Анализ приведенного наблюдения показывает, во-первых, трудность дифференциальной диагностики злокачественных опухолей средостения, особенно при нехарактерном клиническом проявлении, и, во-вторых, что эти трудности все же могут быть преодолены с помощью дополнительных методов исследования, в частности, путем пробной рентгенотерапии опухоли и биопсии периферических лимфатических узлов.
Информация на сайте подлежит консультации лечащим врачом и не заменяет очной консультации с ним.
См. подробнее в пользовательском соглашении.
Значение пробной рентгенотерапии. Биопсия лимфатических узлов
Достоверность пробной лучевой терапии. Чувствительность лимфосаркомы к лучевой терапии
Следовательно, определение гистологической структуры опухоли лишь по степени рентгеночувствительности, без учета всех перечисленных факторов, недостаточно обосновано и нередко может приводить к ошибочному диагнозу.
Подтверждением этому служит опыт нашего института. Так, например, степень рентгеночувствительности различных опухолей у 44 наших больных, подвергнутых рентгенотерапии, колебалась в значительных пределах даже при наличии одинакового гистологического строения патологического образования.
Так, при лимфогрануломатозе из 20 больных, лечившихся рентгеновыми лучами, опухоль полностью или почти полностью исчезла у 13 человек (после применения дозы в 3000 г), причем уменьшение патологической тени определялось уже после 1500—3000 г (у одной больной после 750 г).
У 4 человек опухоль заметно уменьшилась после 3000 — 10 000 г, а у 3 человек, несмотря на интенсивное облучение (7000—9000 г), уменьшения опухоли не наступило.
Различную степень рентгеночувствительности лимфогранулематоза отмечают И. А. Переслегин, Л. Д. Подляшук и Л. В. Фунштейн. Из 64 больных лимфогрануломатозом, подвергнутых рентгенотерапии, И. А. Переслегин наблюдал полное исчезновение патологической тени в средостении у 46, значительное уменьшение — у 13, дальнейшее прогрессирование процесса — у 5 больных. Пирс, Джекокс и Хильдрет в своей работе приводят таблицу, из которой следует, что среди 58 больных полное обратное развитие лимфогранулематоза наступило у 66%, а у 7% наблюдалось даже увеличение опухоли.

Хорошо известно, что характерным признаком лимфосаркомы считается ее высокая рентгеночувствительность (Е. Г. Гефен, М. И. Неменов, С. А. Рейнберг, В. А. Фанарджян, Г. И. Хармандарьян и И. Г. Шлифер, Брюер и Долли). Этот признак считается даже основным в дифференциальной диагностике лимфосарком (Ш. Мирганиев, Ленк, Твайнинг). По данным перечисленных авторов, лимфосаркома уже после нескольких облучений (400—600 г) в течение нескольких дней начинает быстро уменьшаться.
Однако, как показывают наши наблюдения, из 8 больных лимфосаркомой опухоль оказалась в высокой степени чувствительной к рентгеновым лучам только у 4 человек (тень заметно уменьшилась после 400—900 г, однако полностью исчезла лишь после дозы в 3000—4000 г). В этих случаях признак выраженной чувствительности патологического образования сыграл большую роль в определении характера заболевания.
У одного больного тень опухоли незначительно уменьшилась только после 1750 г, а в дальнейшем ее размеры оставались не измененными даже после дозы в 6900 г.
У 3 больных лимфосаркома оказалась вообще нечувствительной к рентгеновым лучам. Подобное наблюдение описал и М. И. Карлин. Среди 10 больных, страдавших лимфосаркомой, Ш. Мирганиев отмечает исчезновение патологической тени только у 2 человек (после 1000 и 3600 г), у 7 человек определялось значительное уменьшение тени (после 1000—5000 г), а у одного опухоль продолжала увеличиваться.
В противоположность утверждению некоторых авторов (С. Г. Коломенский, В. А. Фанарджян, Г. И. Хармандарьян и И. Г. Шлифер, Брюер и Долли, Ленк и др.) о полной рентгенорезистентности метастатических поражений лимфатических узлов средостения при раке легкого и раке других органов данные В. М. Бенциановой, И. А. Переслегина и наши наблюдения показывают, что указанные опухоли нередко обладают довольно высокой чувствительностью к рентгеновым лучам. Так, из 5 больных с медиастинальнои формой рака легкого мы наблюдали значительное уменьшение патологической тени у 3 человек после 800—4000 г.
У 2 больных опухоль была рентгенорезистентной. У обоих этих больных отрицательные результаты рентгенотерапии позволили отвергнуть первоначальный диагноз лимфосаркомы, что было затем подтверждено гистологически. Высокочувствительными к рентгеновым лучам оказались метастазы гипернефромы в лимфатические узлы средостения, вследствие чего был поставлен ошибочный диагноз лимфосаркомы.
Метастазы рака щитовидной железы в лимфатические узлы средостения в нашем наблюдении оказались рентгенорезистентными.
Из 3 больных злокачественной опухолью вилочковой железы уменьшение тени под влиянием рентгенотерапии наступило у одного (после 4900 г), а дальнейшее увеличение ее — у 2 больных (после 2500 и 9000 г).
Мы не можем согласиться с теми авторами, которые считают тимому высокочувствительной опухолью (С. И. Волков, Ш. Мирганиев, М. М. Минц, М. И. Неменов, С. А. Рейнберг, А. М. Югенбург, Фридлендер, Уолпо и Мендельсон). Трудно себе представить, чтобы рак, лимфосаркома, саркома и другие самые различные гистологические виды тимом обладали бы одинаковой рентгеночувствительностью. Л. Д. Подляшук, В. А. Фанарджян, Г. И. Хармандарьян и И. Г. Шлифер, Дезев и Дюмон, Твайнинг справедливо замечают, что различные виды тимом имеют и различную чувствительность к рентгеновым лучам. Наибольшей чувствительностью обладает лимфосаркоматозный тип опухолей вилочковой железы, наименьшей — раковые опухоли. Однако при этом всегда следует учитывать индивидуальные особенности организма больного.
Таким образом, на основании обобщения литературных данных и анализа собственных наблюдений можно установить следующее:
1. Пробная рентгенотерапия имеет определенное значение в дифференциальной диагностике между злокачественными и доброкачественными образованиями средостения, поскольку в большинстве случаев (в 28 из 43 наших наблюдений) злокачественные опухоли в отличие от доброкачественных уменьшаются в размерах при рентгенотерапии.
2. На основании только результатов пробной рентгенотерапии нельзя ставить окончательный диагноз.
3. Пробная рентгенотерапия может иногда явиться дополнительным методом в дифференциальной диагностике различных видов злокачественных опухолей, однако при этом следует обязательно учитывать все данные клинического и рентгенологического исследования.

Трудно переоценить значение биопсии увеличенных периферических лимфатических узлов при дифференциальной диагностике злокачественных опухолей средостения. Как известно, увеличение периферических лимфатических узлов при злокачественных опухолях средостения представляет собой довольно обычное явление. Этот важный признак был отмечен у 38 из 50 наших больных, страдавших злокачественными поражениями средостения. Поэтому биопсия лимфатических узлов часто является «наиболее верным диагностическим приемом» (Л. Д. Подляшук), особенно когда гистологический вид опухоли трудно определить.
Мы полностью разделяем мнение большинства авторов, которые рекомендуют широко пользоваться биопсией, имеющей, по словам Г. В. Шора, «огромную ценность» в диагностике. Однако, как и всякий другой метод, биопсия не всегда окончательно решает вопрос о характере заболевания. «Опухолевый процесс,—говорил Г. В. Шор,—выявляется в бесконечном разнообразии своих вариантов. Нужно признать, что морфологическая диагностика даже у опытных специалистов имеет иногда свои пределы».
Биопсия (пункция или иссечение) периферических лимфатических узлов была с успехом произведена у 23 наших больных, из них у 16 человек для подтверждения клинико-рентнегологического исследования и у 7 человек как основной метод в дифференциальной диагностике. Но у 6 человек микроскопическое исследование полученного материала не дало определенных указаний о природе опухоли ввиду отсутствия характерной гистологической картины препарата. Тем не менее некоторые неудачи биопсии нисколько не умаляют значения этого метода исследования при отличительном распознавании злокачественных опухолей средостения.
Таким образом, используя комплекс обычных и дополнительных методов клинического и рентгенологического исследования, в большинстве случаев (в 41 из 50 наших наблюдений) мы имели возможность установить гистологическую сущность злокачественного процесса. В ряде случаев (9 наших наблюдений) сделать это оказалось невозможным.
Эксцизионная биопсия лимфоузла
Биопсия является важнейшим методом диагностики в онкологии. Для того чтобы получить образец ткани, могут применяться различные методики и способы забора. В частности, при необходимости исследовать лимфоузлы, достаточно часто назначается эксцизионная биопсия. Она подразумевает удаление лимфоузла целиком.
Показания и противопоказания
Как правило, исследование назначают с целью диагностики злокачественных новообразований разной локализации. При меланоме кожи проводится биопсия сторожевых лимфоузлов, которые расположены в непосредственной близости к первичной опухоли. Исследование помогает установить стадию заболевания и определить тактику лечения пациента.
Еще одно частое показание к биопсии лимфоузлов — подозрение на лимфому. Только после удаления лимфоузла и его последующего изучения можно определить точную разновидность заболевания, а от этого во многом будет зависеть процесс лечения.
Также биопсию назначают с целью диагностики неонкологических заболеваний — туберкулеза, лимфаденопатии, саркоидоза и др.
Биопсия является очень важным методом диагностики и характеризуется минимальной травматизацией тканей. Поэтому список противопоказаний к ее проведению небольшой. В него входят такие состояния, как нарушение свертываемости крови, воспалительные и инфекционные заболевания в области биопсии.

Как проводят биопсию лимфоузла
Перед исследованием пациенты должны пройти небольшую подготовку. Она подразумевает простое обследование, которое поможет определить состояние здоровья пациента и избежать осложнений после биопсии. Для этого назначается стандартное обследование — общий анализ крови, коагулограмма, общий анализ мочи. Если будет выполняться забор шейных лимфоузлов, то с целью исключения кифоза позвоночника врач может назначить рентгенологическое обследование.
Эксцизионную биопсию также называют открытой, так как она подразумевает формирование доступа к лимфоузлу. Процедуру проводят в условиях операционной. Предварительно область вмешательства обрабатывается и обезболивается. В большинстве случаев применяется местная анестезия, но иногда показан и внутривенный наркоз.
Биопсию начинают с разреза кожи в проекции лимфоузла. Затем хирург расслаивает ткани, выделяет лимфоузел и удаляет его. На завершающем этапе разрез ушивают косметическим швом. В зависимости от сложности, продолжительность биопсии может составлять от 10 до 30 минут.
Что делать после процедуры
После проведения эксцизионной биопсии врач даст пациенту все необходимые рекомендации касательно периода восстановления. Как правило, он протекает легко, быстро и не требует серьезных ограничений. Пациенту остается лишь ждать результатов исследования. В отличие от других лабораторных и инструментальных методов диагностики, результаты биопсии готовятся немного дольше — около 7-10 дней. Объясняется это достаточно трудоемким процессом приготовления срезов. Сначала удаленный лимфоузел необходимо зафиксировать в формалине, затем провести в спиртах, залить в парафиновый блок, нарезать на предметное стекло и изучить под микроскопом. Для уточнения диагноза могут назначаться дополнительные исследования, например, иммуногистохимия. На все эти этапы требуется достаточно много времени, поэтому и результат готовится относительно долго.
После того, как лечащий врач получит заключение из гистологической лаборатории, он сможет поставить точный диагноз и назначить необходимое лечение.
Биопсия лимфоузла
Лимфатические узлы — небольшие округлые органы, входящие в состав лимфатической системы организма. Они расположены в разных частях тела и связаны между собой лимфатическими сосудами. Группы лимфатических узлов расположены в шее, подмышках, груди, животе и паху. Жидкость, называемая лимфой, движется по сосудам и сквозь узлы. Она характеризуется сложным составом, так как содержит плазму крови, белки, глюкозу и кислород.
Показания к биопсии лимфоузлов
В случае, если врач подозревает у пациента наличие злокачественной опухоли, саркоидоза или инфекции, такой, как туберкулез, больной направляется на биопсию лимфатического узла. Также биопсию назначают в случае, если у врача вызывает опасения само состояние лимфатических узлов.
Во время биопсии производится забор небольшого образца ткани узла или всего узла для дальнейшего изучения их под микроскопом. По результатам исследования врач может определить, есть ли у пациента та или иная инфекция или, при подозрении на злокачественную опухоль — распространилась ли она в лимфатический узел, ближайший к опухоли или отдаленный.
Выполнение биопсии
Открытая биопсия лимфатического узла выполняется достаточно просто. Пациент ложится на операционный стол, при желании ему может быть введен специальный успокоительный препарат для введения в состояние седации или медикаментозного сна.
Место разреза обеззараживается, после чего в эту область вводится местный анестетик (иногда используется и общая анестезия). Затем хирург выполняет небольшой надрез и удаляет узел или его небольшую часть. Разрез зашивается, пациенту накладывается повязка. Вся операция занимает 30–45 минут.
Сигнальный лимфатический узел
При некоторых типах рака вначале необходимо найти сигнальный лимфатический узел — тот, в который клетки опухоли при метастазировании попали бы в первую очередь. Для его определения в опухоль вводят небольшое количество радиоизотопа или специального красителя. Краситель или радиоизотоп распространяется с током лимфы в ближайший лимфатический узел — он и является сигнальным, и именно в него в первую очередь распространился бы рак. После проведения этой процедуры сигнальный лимфатический узел и, возможно, один или два ближайших к нему лимфоузла, удаляются и передаются в лабораторию.

Помимо открытой биопсии, существует также биопсия иглой — в этом случае делать разрез не нужно, врач забирает образец клеток с помощью специальной иглы через прокол. Такой вид биопсии выполняется реже, так как его результаты менее информативны, чем в случае использования открытой биопсии.
При направлении на биопсию вам нужно предупредить вашего врача в следующих случаях:
- если вы беременны;
- если у вас есть аллергия на определенные медицинские препараты;
- есть у вас есть проблемы со свертываемостью крови;
- если вы принимаете какие-либо препараты (необходимо перечислить их все).
За 5–7 дней до процедуры следует прекратить прием препаратов, разжижающих кровь (к ним относятся, например, аспирин, гепарин или варфарин). В случае, если вмешательство будет проводиться под общей анестезии, необходимо не есть и не пить с полуночи в день процедуры.
Как правило, биопсия переносится больными достаточно легко. В редких случаях возможны кровотечения, повреждение нерва или инфицирование пациента. При появлении красноты или припухлости в месте проведения биопсии следует проконсультироваться с врачом, осуществлявшим процедуру.
Читайте также:
