Диагностика причины мегалобластической анемии. Признаки мегалобластической анемии.
Добавил пользователь Владимир З. Обновлено: 13.12.2025
Мегалобластная анемия (МА) или как её также принято называть – пернициозная анемия (хотя такое название подразумевает дефицит исключительно витамина B12) – патология, отнесенная к группе приобретенных и/или передаваемых по наследству гематологических заболеваний, возникающих на почве нарушения синтеза рибонуклеиновой (РНК) или дезоксирибонуклеиновой кислоты (ДНК).

Для мегалобластных анемий весьма характерным признаком является изменение клеток эритроидного ряда: размера (большой), дифференцировки ядра и цитоплазмы (асинхронная), размещения хроматина в ядре (не свойственное нормальным клеткам).
Мегалобластная анемия – типичные представители
Болезнь формируется по причине недостатка отдельных витаминов (в частности, B12 и B9). Это происходит потому, что синтез ДНК зависим от количества данных веществ в организме. Кроме этого, выработку дезоксирибонуклеиновой кислоты могут расстроить отдельные (редкие) наследственные аномалии ферментов, принимающих участие в биохимических процессах, влияющих на продукцию ДНК.

Типичными представителями этой гематологической патологии являются:
- B12-дефицитная анемия (болезнь Аддисона-Бирмера, пернициозная анемия, злокачественное малокровие) – самая частая форма. Она обусловлена недостатком цианокобаламина, может быть приобретенной по причине заболеваний верхнего отдела кишечника (тонкая кишка) либо передаваемой по наследству и зависимой от продукции и выделения внутреннего фактора (ВФ), либо от всасывания в кишечнике и отсутствия транспортного протеина, который переносит цианокобаламин (транскобаламин). Наследственная анемия становится заметной уже у детей младшего возраста;
- Фолиеводефицитная анемия (недостаток витамина B9) – наблюдается намного реже, нежели дефицит витамина B12, к тому же, изолированный дефицит фолиевой кислоты не ведет к столь серьезным последствиям, которые развиваются в отсутствие цианокобаламина;
- Сочетанный вариант – B12-фолиеводефицитная анемия. Комбинированная форма, обусловленная недостатком витаминов B12 и B9, встречается довольно редко и, как правило, возникает по причине нарушения всасывания данных веществ в кишечнике.
Почему так важно поступление достаточного количества цианокобаламина и фолиевой кислоты в организм человека? Все дело в том, что они принимают участие и играют не последнюю роль в транспортировке лабильных метильных групп метионина, в которых нуждается «строительство» ДНК. Как только уровень В12 снижается или он исчезает, эта реакция резко идет на спад, что сильно сказывается на созревании ядра. При сохраненной функции цитоплазмы, ядро делиться «не спешит» – этот процесс сильно запаздывает (происходит то, что называют «асинхронной дифференцировкой ядра и цитоплазмы»). В таких условиях сама клетка «пускается в рост» и приобретает огромные размеры.
Что дает старт болезни
Очевидно, что основным виновником развития патологии признается нарушение всасывания упомянутых выше витаминов в кишечнике. Какие предпосылки могут способствовать подобным нарушениям?
Гематологи обычно ссылаются на три основные причины:

- Отсутствие гликопротеина, называемого внутренним фактором (ВФ), и вырабатываемого специальными клетками тела и фундального отдела желудка. Неимение ВФ становится результатом аутоиммунного атрофического гастрита, в условиях которого начинают появляться «блокирующие» антитела (они не позволяют ВФ и цианокобакламину вступать во взаимодействие), а также антитела «связывающие» (эти АТ соединяются с внутренним фактором или с готовым блоком «ВФ + В12», инактивируя его);
- Заболевания тонкого кишечника (средней и нижней трети), где, собственно, и осуществляется всасывание цианокобаламина (гранулематозный энтерит – болезнь Крона, целиакия – непереносимость глютена, удаление большого участка тонкой кишки, новообразования);
- Появление конкурентов, «присваивающих» витамин В12, который был предназначен для всасывания. Например, конкурентами нормального всасывания может выступать широкий лентец либо бактерии, усиленно размножающиеся и забирающие питательные вещества при синдроме слепой кишечной петли (стаз тонкой кишки, застойная кишечная петля).
Таким образом, каждая из перечисленных причин способна нарушить процесс всасывания важных для организма элементов и запустить механизм развития мегалобластной анемии. Следует заметить, что, недополучая витамин B12, организм активно накапливает вредные жирные кислоты, которые несколько позже становятся причиной формирования неврологической симптоматики (нарушается образование миелина нервной ткани), которая весьма характерна для данной патологии. Кстати, фолиевой кислоты это не касается, поскольку она не участвует в распаде жирных кислот, а, стало быть, не заставляет страдать нервную систему.
Симптомы болезни

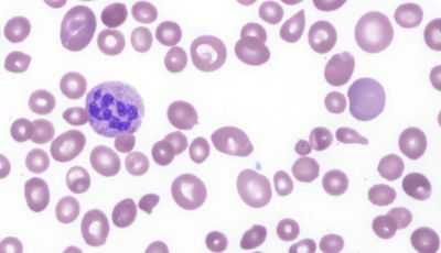
картина крови при мегалобластной анемии
Любая болезнь у разных людей может проявлять себя по-разному, однако в отношении мегалобластной анемии можно выделить ведущую триаду симптомов, которые будут иметь место практически у всех больных:
- Отсутствующее в норме мегалобластное кроветворение в костном мозге, дает значительные изменения в периферической крови. Анализ показывает:
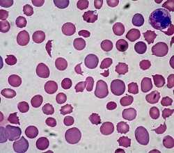
мегалобласты и другие изменения в крови
- малокровие (анемия) – уменьшение количества красных клеток крови – эритроцитов и снижение уровня красного пигмента крови – гемоглобина;
- гиперхромию (насыщенная окраска увеличенных в размерах эритроцитов);
- пойкилоцитоз (изменение формы красных клеток крови);
- анизоцитоз: макроцитоз (клетки большого размера) и в большей степени – мегалоцитоз (размер красных кровяных телец может превышать 8, а то и 12 микрон);
- мегакариоцитоз – появление гигантских клеток костного мозга, имеющих большое ядро;
- нормобластоз – присутствие в мазках крови ядерных форм клеток эритроидного (красного) ряда (как известно, эритроциты, циркулирующие в периферической крови, ядра не имеют);
- в красных клетках крови замечаются остатки ядерной субстанции (включения в виде телец Жолли либо колец Кобота);
- в анализе крови также может быть снижено количество других форменных элементов: тромбоцитов, нейтрофилов, моноцитов.
- Клинически, а также при инструментальном обследовании, явно прослеживаются признаки поражения ЖКТ:
- теряется аппетит, снижается вес;
- атрофируется слизистая желудка;
- соляная кислота в желудочном соке полностью исчезает (ахлоргидрия), поскольку, вследствие атрофии слизистой, обкладочные клетки отмирают и перестают ее продуцировать (кислотность желудочного сока – 0).
- По причине недостатка цианокобаламина в течение длительного времени начинает испытывать страдания нервная система, что проявляется формированием фуникулярного миелоза (комбинированного склероза). Клинически – наблюдаются симптомы поражения спинного мозга:
- парестезии;
- нарушение чувствительности;
- парезы и параличи;
- выраженная мышечная слабость
Очевидно, что данная гематологическая патология, сопровождаемая непомерным увеличением красных клеток крови и изменением в их ядре, при прогрессировании и отсутствии адекватной терапии может сделать человека полным инвалидом. Нарушения образования миелина при дефиците В12 приводят к весьма серьезным последствиям: со временем теряется не только поверхностная, но и глубокая мышечная чувствительность, «отказывают ноги» (паралич нижних конечностей), органы таза перестают нормально функционировать (недержание мочи и кала, импотенция и т. д.). Не зря за пернициозной анемией сохранилось определение – «злокачественная».
Лечение и рекомендации на всю жизнь
Лечение мегалобластной анемии заключается в назначении ударных доз цианокобаламина в первые три дня (до 1000 γ в сутки), особенно, если появились признаки дегенеративных изменений спинного мозга (двигательные и чувствительные расстройства), затем дозу снижают до 400 – 500 γ каждый день до того, пока уровень гемоглобина не придет в норму. В среднем курс лечения продолжается месяц – полтора.

Фолиевую кислоту, как правило, одновременно не назначают, даже если имеет место ее дефицит при недостатке витамина B12 (применение фолиевой кислоты возможно только при изолированном варианте – фолиеводефицитной анемии, с которой, кстати, бороться намного легче и проще, нежели с недостатком кобаламина). Насколько эффективно назначенное лечение – покажет анализ, произведенный через 5-7 дней от начала терапии (увеличение количества молодых форм эритроцитов – ретикулоцитоз, является положительным признаком). Если же успеха от лечебных мероприятий не наблюдается, то необходимость продолжать диагностический поиск остается.
Следующим этапом лечения мегалобластной анемии является закрепляющая терапии, суть которой состоит в еженедельном введении 400 – 500 γ цианокобаламина в течение двух месяцев.
Переливание крови (эритроцитарной массы) назначается только в случаях, если значения гемоглобина падают ниже 50 г/л.
При выписке на домашний режим больной от врача получает рекомендации, касающиеся профилактики обострений болезни:
- Лечение хронических заболеваний, которые стали причиной формирования этой патологии;
- Коррекция диеты (отмена вегетарианства, насыщение рациона мясными продуктами, листовыми овощами и фруктами, содержащими данные вещества);
- Отмена лекарственных средств, признанных «виновниками» нарушения синтеза ДНК;
- Профилактические курсы витамина B12 (8 – 10 инъекций 1 раз в 6 месяцев на протяжении нескольких лет или всей оставшейся жизни, если причину заболевания никаким способом устранить невозможно).
Рисунок: продукты питания для профилактики дефицита витамина B12

Диагностика
Заподозрить мегалобластную анемию получается уже при первом общем анализе крови (ОАК). Поскольку даже самые современные («навороченные») анализаторы не способны уловить те морфологические изменения в эритроцитах (см. выше), которые свойственны данной патологии, то исследование не должно доверяться исключительно аппарату, пусть и самому «умному». Хотя и он, наверняка, обнаружит некоторые сдвиги в ОАК. Обычно любая, уважающая себя лаборатория, придерживается «золотых стандартов» и мазок в обязательном порядке просматривается врачом под микроскопом. Однако болезнь не принадлежит к случайным находкам, поэтому первичная диагностика опирается на жалобы пациента и клинические симптомы:
- Слабость, усталость, снижение общей физической активности и трудоспособности;
- Эпизодически наступающая темнота в глазах;
- Снижение уровня АД (гипотония);
- Частые головокружения и головные боли;
- Учащенное сердцебиение;
- Признаки изменения слизистой полости рта по типу глоссита;
- Возможно увеличение размеров селезенки (спленомегалия) и печени (гепатомегалия);
- Отеки ног;
- Склонность к поносам, хотя запоры также не исключены, то есть, эти неприятные состояния могут чередоваться между собой;
- Потеря аппетита, вкусовые нарушения, отсюда – снижение массы тела.

Далее последует более углубленная диагностика:
- Биохимический анализ крови (БАК) – он покажет повышение не конъюгированного (не связанного) билирубина, а также, скорее всего, изменение показателей сывороточного железа и значений лактатдегидрогеназы – ЛДГ;
- ФГДС (фиброгастродуоденоскопия), которая позволит определить состояние слизистой желудка (признаки атрофии);
- Пункция спинного мозга, поскольку лабораторные признаки похожи на таковые при гемолитической и апластической анемии;
- Дифференциальная диагностика – уточнение формы мегалобластной анемии (B12-дефицитная, недостаток фолиевой кислоты или комбинированный вариант).
Своевременная диагностика мегалобластной анемии очень важна для здоровья пациента, ведь опоздание или диагностическая ошибка (к счастью, она случается крайне редко) может привести к развитию анемической комы. Клиника ее довольно тяжела: больной не приходит в сознание, тяжело дышит, его пульс заметно учащен, артериальное давление снижено, кожные покровы отдают лимонным оттенком (при пернициозной анемии возможен усиленный гемолиз кровяных телец), возможно появление тонических и клонических судорог. Больной может погибнуть…
Есть ли особенности у детей?
У детей мегалобластная анемия в наибольшей степени носит наследственный характер и имеет несколько форм:
- Расстройство всасывания цианокобаламина может быть обусловлено поражением эпителиального слоя тонкой кишки и отсутствием тетрагидрофолата в клетках, который является активной формой витамина B9 (при этом, содержание внутреннего фактора остается в норме);
- Мегалобластная анемия, вызванная наследственной недостаточностью внутреннего фактора, характеризуется уменьшением (иногда значительным) выделения ВФ обкладочными клетками слизистой желудка (тип наследования – аутосомно-рецессивный);
- Дефицит переносящего В12 белка – транскобаламина (аутосомно-рецессивное наследование) абсолютно не виден при исследовании плазмы крови (значения кобаламина остаются в пределах нормы), зато в тканях – глубочайший дефицит (для В12 нет «транспортного средства», чтобы проникнуть в ткани);
- Очень редкая форма, которая наблюдается у детей, достигших подросткового возраста – ювенильная пернициозная анемия.
У детей с наследственной формой симптомы (отказ от еды, рвота, сухость и шелушение кожных покровов, признаки атрофического глоссита, частые пневмонии) проявляются уже на первом втором, реже на третьем, году жизни.

Диагностика болезни преимущественно основывается на морфологическом исследовании периферической крови и костного мозга, где обнаруживаются признаки мегалобластного кроветворения.
Лечение, в принципе, как и у взрослых: симптоматическое и назначение цианокобаламина по схеме.
Кроме этого существует ряд очень редких врожденных заболеваний, для которых характерно нарушение выработки дезоксирибонуклеиновой кислоты, а в качестве главного симптома выступает мегалобластная анемия. Вот, к примеру, некоторые из них:
- Оротовая ацидурия – нарушение обмена пиримидинов;
- Тиамин-зависимая МА, природа которой так и остается невыясненной, хотя известно, что наследование идет по аутосомно-рецессивному пути;
- Врожденная мальабсорбция фолатов (аутосомно-рецессивный тип наследования) – расстройство всасывания фолатов в кишечном тракте и переноса их из кишечника в кровеносное русло и из кровотока через гематоэнцефалический барьер;
- Наследуемые по аутосомно-рецессивному типу врожденные расстройства обмена фолатов (например, недостаток активности фермента ДГФР – дигидрофолатредуктазы);
- Синдром Лиш-Найана (патологический ген находится в Х-хромосоме).
Некоторые из этих болезней задерживают умственное и физическое развитие, дают богатую неврологическую симптоматику. Практически все эти врожденные аномалии в каждом конкретном случае требуют своего отдельного лечения, поскольку витамин B12 оказывается просто неэффективным.
Гемолитическая анемия

Под гемолитической анемией понимают специфические болезни крови. Им свойственно сокращение цикла жизни красных кровяных телец. Наблюдается активное разрушение эритроцитов, тогда как новые не успевают образовываться в необходимом объеме. Уровень гемоглобина при этом остается нормальным. Гемолитические анемии бывают врожденными и приобретенными. В первом случае причиной отклонения являются генетически детерминированные изменения. Самыми распространенными их формами называют серповидную анемию и талассемию. Заболевания же приобретенные обусловлены выработкой антител к эритроцитам или же влиянием негативных факторов.
Информацию из данного раздела нельзя использовать для самодиагностики и самолечения. В случае боли или иного обострения заболевания диагностические исследования должен назначать только лечащий врач. Для постановки диагноза и правильного назначения лечения следует обратиться к профильному специалисту.

Симптомы
Главный признак подобных состояний — желтушный окрас кожи и слизистой. Это связано с выбросом большого количества билирубина при разрушении эритроцитов. Остальные общие признаки анемии:
- потемнение каловых масс и урины;
- озноб;
- рост в размерах селезенки и печени.
Если гемолитическая анемия спровоцирована отравлением организма химическими веществами, то в первое время присутствуют головная боль и разбитость. Затем пациент отмечает:
- тошноту;
- лихорадку;
- болезненные ощущения в правом подреберье;
- пурпурную мочу.
Если больному не оказывается корректная медицинская помощь, то через несколько суток развиваются желтуха и почечная недостаточность.
Что касается тяжелой наследственной мишеневидноклеточной анемии (талассемии), то ее признаки следующие:
- узкие глазные щели;
- недоразвитость в умственном или физическом плане;
- патологически измененные кости черепа, скелета;
- зеленоватый окрас кожи.
Гемолитическая анемия новорожденного характеризуется асцитом, отечностью. Параллельно с этим отмечается резкий и тонкий крик ребенка. Клинически определяется высокое содержание незрелых эритроцитов.
Заболеванию, диагностируемому у старших пациентов, свойственна закупорка мелких сосудов склеивающимися эритроцитами. Нередко наблюдаются длительно незаживающие трофические язвы.
Характер симптомов, тяжесть проявлений гемолитической анемии во многом зависят от формы. Приобретенное острое состояние вызывает внезапные приступы слабости, одышку после умеренных физических нагрузок, аритмию. Довольно быстро увеличиваются селезенка и печень. Хроническая форма протекает не так выраженно, все симптомы появляются по нарастающей на протяжении длительного периода.

Причины болезни
Врожденная гемолитическая анемия обусловливается передачей аномального гена по наследству от одного или каждого из родителей. Вторая причина проблемы —внезапная мутация генов в процессе внутриутробного развития. Пациенты с гомозиготной анемией (аномалия в каждой хромосоме одной пары) редко живут долго, умирая в детском или подростковом возрасте.
Гемолитические приобретенные болезни провоцируются множеством причин. Среди них:
- повышенная чувствительность к медикаментам;
- продолжительное воздействие химических веществ;
- отравление ядами;
- ожоговая интоксикация;
- ряд паразитарных инвазий;
- бактериальные инфекции.
Существуют и иммунные причины, приводящие к гемолитической анемии. Это:
- дефицит витамина E;
- продуцирование антител к эритроцитам на фоне рака крови, лимфатической ткани, при других сбоях функционирования иммунитета;
- механическое повреждение красных кровяных телец, в том числе искусственными клапанами;
- несовместимость групп при переливании крови.
Какой врач лечит гемолитическую анемию?
Абсолютно каждый вид из группы данных заболеваний должен контролироваться врачом. Пациенту при первых же признаках анемии или подозрении на нее следует обратиться к такому врачу как:
Может понадобиться консультация терапевта, эндокринолога, иммунолога. На приеме специалист:
- анализирует жалобы пациента и анамнез заболевания;
- проводит визуальный осмотр;
- измеряет АД, прослушивает работу сердечной мышцы;
- направляет на клинический анализ крови;
- назначает УЗИ внутренних органов.
Важно при гемолитической анемии вовремя распознать симптомы и назначить лечение конкретной формы заболевания. Для уточнения диагноза прибегают к дополнительным мерам:
- определению уровня билирубина в урине;
- исследованию геометрии красных кровяных телец;
- пробе Кумбса;
- забору костного мозга на биопсию.
Эффективные методы лечения
Все способы купирования проявлений и избавления от гемолитической анемии определяются видом заболевания. Исходя из этого применяют:
- противомалярийные препараты;
- дезинтоксикационную терапию;
- кортикостероиды;
- хирургические методы (удаление селезенки).
Многократные и острые приступы гемолитической анемии требуют переливаний крови. Крайне важна тщательный контроль биоматериала.
Избавиться от проявлений наследственных заболеваний крови позволяет преимущественно спленэктомия. Консервативные методы на время облегчают состояние пациента, не обеспечивают защиту от рецидивов. Операцию проводят в период «затишья». Осложнения после вмешательства наблюдаются нечасто. Впоследствии нужно будет более тщательно следить за иммунитетом.
Талассемия, серповидноклеточная анемия поддаются лечению благодаря переливанию эритроцитарной массы, искусственных заменителей крови. Пациенту необходимо избегать нахождения в способствующих гипоксии условиях: недостаточное содержание кислорода, разреженный воздух.
Что если не лечить?
Даже 1 степень анемии у беременных без корректировки может привести к негативным последствиям для матери и ребенка. Есть риск:
- инфекции мочевых путей;
- гипостенурии;
- гематурии;
- раннего родоразрешения.
Тяжелая анемия существенно повышает возможность самопроизвольного аборта. Беременные с заболеваниями крови должны динамически наблюдаться у гинеколога и гематолога. Если проблема выявлена у ребенка, то без грамотного лечения наблюдается отставание в физическом развитии. Отсутствие аппетита, недостаток полезных веществ в организме приводят к низкому иммунитету и частым болезням.
Если анемия продолжает прогрессировать, грамотное лечение отсутствует, то возможно развитие:
- ишемии паренхимы, некроза тканей селезенки;
- сердечно-сосудистой недостаточности;
- острой почечной недостаточности;
- ДВС-синдрома;
- гемолитической комы.
Крайне опасен ДВС-синдром, способный развиться у разновозрастных пациентов. Кровь внутри сосудов свертывается, процесс сопровождается кровотечениями. Страдают органы, полости, слизистые оболочки и кожа. Предупредить необратимые и фатальные изменения позволяет только экстренная интенсивная терапия. Не менее опасны острые недостаточности, грозящие смертельным исходом.
Профилактика
Предупредить анемию получается далеко не всегда, но для ряда разновидностей существуют профилактические меры. Необходимо:
- определить резус-фактор на этапе планирования семьи;
- семьям с наследственными гемолитическими анемиями консультироваться у генетика;
- укреплять иммунитет;
- вести здоровый образ жизни.
Люди с предрасположенностью к анемии должны ежедневно следить за своим питанием. В основу рациона рекомендуется заложить продукты со сложными углеводами, аминокислотами, а также белки. В профилактических и лечебных целях составляют меню с акцентом на:
- говядину, индюшатину;
- бобовые;
- овощи;
- гречневую и овсяную крупу;
- сливочное, оливковое масло.
Салаты из овощей с зеленью, зерновые завтраки обеспечивают достаточное количество фолиевой кислоты. Регулярное употребление натурального меда способствует усвоению железа. Достаточно 1-2 ст. л. в сутки.
И профилактика, и лечение разнообразных симптомов гемолитической анемии требуют тщательного соблюдения особого режима питания. Важно отказаться от частого употребления острой, чрезмерно жирной и соленой пищи. Необходимо максимально сокращать содержание консервантов, усилителей вкуса.
Помимо контролируемого питания, в профилактических целях рекомендуют ежедневно прибегать к умеренным физическим нагрузкам. Это может быть плавание, йога, ЛФК, другие виды спорта. Их выбор определяется выносливостью и общим состоянием организма пациента. В качестве предупреждения анемии по назначению врача принимают препараты железа. Делать это нужно только после консультации с доктором, самолечение недопустимо.
Мегалобластная анемия

Одной из форм малокровия является мегалобластная. Еще она известна как В12-фолиеводефицитная анемия. Эта патология развивается на фоне нарушения процесса кроветворения из-за атипичного изменения синтеза в РНК и ДНК клетках. Также этот недуг сопровождается образованием в костном мозге большого числа видоизмененных предшественников эритроцитов — мегалобластов. Распространенность В12-фолиеводефицитной анемии составляет приблизительно 10 % от всех случаев этого заболевания. Диагностируется недуг у лиц всех возрастов и половой принадлежности. Однако в большей степени мегалобластная анемия поражает пожилых людей. Это заболевание требует незамедлительно обращения к квалифицированному специалисту.
Симптомы мегалобластной анемии
Клиническая картина недуга достаточно специфична. Одним из самых типичных признаков заболевания считается микроцитоз. Это патологическое состояние характеризуется увеличением среднего эритроцитарного объема более, чем 100 куб. мкм. Уровень лейкоцитов и тромбоцитов тоже находится ниже допустимого уровня. Симптомы мегалобластной анемии связаны с кислородным голоданием организма, они представляют собой такие проявления:
- постоянное ощущение общей слабости в теле;
- систематические приступы миалгии;
- подавленное состояние и отсутствие настроения;
- одышка даже при незначительных физических нагрузках;
- отечность конечностей;
- чувство дискомфорта во всем теле;
- отсутствие аппетита.
Часто заболевание сопровождается нарушением вкуса и снижением чувствительности языка. Также пациенты с мегалобластной анемией жалуются на расстройства стула, приступы тошноты и рвоты. Кроме того, эта форма малокровия негативно сказывается на состоянии нервной системы. Это проявляется в онемении рук и ног.

Причины
Чаще всего мегалобластная анемия развивается в результате нехватки в организме витамина В12 и фолиевой кислоты. Среди наиболее распространенных причин, провоцирующих этот дефицит медики выделяют:
- патологии желудочно-кишечного тракта;
- алкоголизм;
- нарушения усвоения пищи;
- употребление наркотических препаратов;
- кишечный гельминтоз.
Кроме того, мегалобластная анемия и ее симптомы могут появиться у лиц, увлекающихся вегетарианством. Несбалансированное питание, состоящее из одной только пищи растительного происхождения, тоже считается одной из наиболее распространенных причин возникновения анемии. Также нехватка фолиевой кислоты часто диагностируется у женщин, вынашивающих ребенка.
Отдельно стоит сказать, что мегалобластная анемия часто возникает после употребления определенных лекарственных препаратов. К таковым относятся:
- антиметаболиты;
- противовирусные препараты;
- противосудорожные средства;
- противотуберкулезные препараты.
На развитие заболевания влияет частота приема, дозировка и индивидуальная переносимость составляющих лекарственного средства.
К какому врачу обратиться?
Анемия

Анемия — патологическое состояние, которое проявляется снижением концентрации гемоглобина и гематокрита. Параллельно падает количество эритроцитов. Женщины страдают от этой проблемы чаще. Примерно 90 % случаев малокровия связаны с нехваткой железа. Реже анемия обусловливается хроническими заболеваниями, иными факторами. Патология может иметь сложный патогенез. Лечение при малокровии комплексное, требующее контроля специалиста. Без своевременного вмешательства врача анемия способна прогрессировать вплоть до тяжелого состояния, приводя к потере сознания, отсутствию рефлексов в конечностях.
Симптомы анемии (признаки)
Клиническая картина при патологии во многом зависит от степени снижения гемоглобина. Общие характерные проявления малокровия:
- головокружение;
- постоянная слабость;
- бледность кожи, нередко с умеренной желтизной;
- шум в ушах;
- покалывание в руках и ногах;
- учащенное сердцебиение;
- склонность к обморокам.
У пациентов появляются некоторые изменения в поведении: желание есть мел, вдыхать ранее неприятные запахи. Пожилые люди с ИБС отмечают участившиеся приступы стенокардии даже после легкой физической нагрузки.
На первичном этапе развития анемия протекает без клинических признаков. Умеренная ее степень характеризуется сниженной концентрацией внимания, общим недомоганием, бледностью слизистых оболочек, ногтей. Если анемия продолжает развиваться, то симптомы тяжелой степени становятся выраженными. Среди них:
- аритмия;
- одышка при отсутствии тяжелых нагрузок;
- головные боли;
- плохой сон;
- частые простуды;
- истончение ногтей;
- снижение аппетита.
Затем наступает анемическая прекома. Ей свойственны:
- одышка даже без легких нагрузок;
- синюшность кожи и слизистой;
- крайняя сонливость;
- изменения психики, например, депрессивные состояния, галлюцинации.
Анемия в наиболее тяжелом своем проявлении приводит к низкому АД, рвоте, частому поверхностному дыханию. Вместе с этим пациент теряет сознание, у него наблюдается непроизвольное мочеиспускание. Еще один симптом 5-ой стадии анемии — отсутствие рефлексов, лечение в таком случае усложняется. У пациента нет реакции в ответ на раздражение, например, при неврологическом осмотре.

Патологическое состояние может вызываться острой потерей крови. Следующий фактор — нарушение выработки красных кровяных телец. Следствием этого процесса являются анемии:
- апластические;
- мегалобластные;
- железодефицитные;
- сидеробластные;
- хронических заболеваний.
Третий фактор — активное разрушение эритроцитов. На его фоне отмечаются гемолитические анемии.
Часто выявляют малокровие, которое связано с недостаточным количеством железа. Сразу после рождения нехватка этого элемента наблюдается у детей:
- недоношенных, с малым весом;
- рожденных женщинами с аналогичным диагнозом;
- из многоплодной беременности;
- матери которых страдали от кровотечения в последний триместр беременности или в процессе родов.
Недостаточное количество железа бывает связано с алиментарными факторами. Среди них:
- употребление исключительно растительных продуктов;
- скудная диета с чрезмерным количеством углеводов и жиров;
- патологии ЖКТ, препятствующие всасыванию;
- нарушения транспорта железа.
Анемия нередко развивается на фоне онкологического поражения желудка, хронического панкреатита. Возможно прогрессирование малокровия из-за удаления части кишечника, желудка. Определенную опасность представляют:
Есть риск появления малокровия на фоне паразитарного поражения организма, сильных глистных инвазий. Анемия разной степени тяжести связана и с кровопотерями. Они происходят как во внешней, так и во внутренней среде.
Лечение диагноза анемия учитывает непосредственно симптомы нездорового состояния, а также уровень гемоглобина. Поскольку клинические признаки малокровия не всегда тождественны тяжести анемии по лабораторным критериям, то крайне необходимо участие опытного врача в определении наиболее эффективной и безопасной терапевтической схемы. Занимается диагностикой и лечением таких пациентов:
На первичном приеме доктор подробно расспрашивает пациента об особенностях работы, жизни, наличии хронических патологий. Врачу важно знать:
- как давно появились первые признаки анемии;
- есть ли у близких родственников малокровие;
- сидит ли пациент на диете, каков его рацион;
- были ли хирургические вмешательства в области ЖКТ;
- принимает ли пациент какие-либо лекарственные препараты.
Поскольку анемия имеет различные причины, то важно выявить основной фактор, приведший к малокровию. От его специфики во многом зависит предстоящая терапия.
Методы лечения
Каждый тип малокровия диктует назначение конкретных фармакологических средств. Железодефицитная анемия предполагает:
- устранение фактора;
- диетическое питание с оптимальным включением железа;
- продолжительный прием препаратов Fe;
- переливание эритроцитарной массы;
- применение парентеральных препаратов при наличии показаний.
В12-дефицитная анемия эффективно купируется диетой. Может понадобиться заместительная терапия. Тот же принцип показан при фолиеводефицитной анемии. Если малокровие развилось на фоне хронических заболеваний, то пациенту необходимо:
- избавиться от основной патологии;
- пройти курс рекомбинантного эритропоэтина;
- восполнить недостаток фолиевой кислоты.
Приобретенная гемолитическая анемия требует приема глюкокортикостероидов. Если результат недостаточный, проводят спленэктомию. После удаления селезенки нужны иммунодепрессанты, антилимфоцитарный глобулин. По показаниям назначают плазмаферез.
В каждом из вышеперечисленных случаев необходимо исключить физическое и эмоциональное перенапряжение. Важно полноценно отдыхать, питаться согласно рекомендациям врача.
Для подтверждения патологического состояния сдают ОАК. Стоимость общего анализа крови в пределах 500-1200 р, точность около 80 %. Лабораторное исследование определит количество:
- эритроцитов;
- ретикулоцитов;
- гемоглобина;
- гематокрита.
Анализ покажет средний объем эритроцитов, ширину их распределения. Также важны показатели количества лейкоцитов и тромбоцитов, средняя концентрация и содержание гемоглобина в эритроците.
К другим способам прибегают для детального определения вида малокровия. Уточнение железодефицитной анемии предполагает выявление уровня железа в крови, обнаружение насыщенных и ненасыщенных трансферринов, ферритина. По некоторым показаниям прибегают к аспирационной биопсии костного мозга.
B12-дефицитная анемия крови определяется уровнем этого витамина. Если по какой-то причине проведение анализа невозможно, или положительная реакция на лечение отсутствует на протяжении 5-8 дней, то могут назначить аспирационную биопсию.
Фолиеводефицитная анемия диагностируется путем определения витамина B9 в крови, эритроцитах. При хронических болезнях малокровие определяют путем выявления:
- уровня железа в крови;
- степени насыщения трансферрина;
- общей железосвязывающей способности.
Помимо анализов крови, необходима диагностика основой болезни, провоцирующей анемию. Если под подозрением приобретенная гемолитическая форма малокровия, то важно:
- определить содержание свободного и связанного билирубина в сыворотке крови, урине;
- провести прямую пробу Кумбса;
- определить осмотическую стойкость эритроцитов.
Профилактика
Первичные меры подразумевают предупреждение хронических заболеваний, в особенности ЖКТ. Следует своевременно купировать проблемы с желудком, толстой и тонкой кишкой. Предупреждение болезней заключается в:
- правильном и систематическом питании;
- отказе от острых, жирных продуктов;
- употреблении тщательно обработанной зелени, фруктов и овощей.
Пациентам с генетической предрасположенностью к анемии необходимо регулярно наблюдаться у врача, чтобы вовремя предупредить ухудшение состояния. Есть риск развития малокровия у лиц, принимающих противосудорожные медикаменты, а также у беременных. Систематическая сдачи крови на анализ позволит обнаружить снижение уровня гемоглобина еще до явных проявлений патологии.
Меню при заболевании
Параллельно с медикаментозным анемия предполагает диетическое лечение. В ежедневный рацион вводят оптимальное количество полноценных белков. Они способствуют выработке эритроцитов и гемоглобина. Рекомендованная суточная доза — 130-150 г.
Следует умеренно ограничить жир. За день можно съедать не больше 70-80 г. В противном случае есть риск патологических изменений тканей печени, костного мозга. Преобладать должны легкоусвояемые жиры, например, молочные. Допускается небольшое количество растительного масла.
Количество углеводов составляет 400-500 г на взрослого. Важно получать их из продуктов здорового питания. Основные принципы рациона:
- оптимальное количество витаминов B и C;
- поддержание баланса микроэлементов, необходимых для активного кроветворения;
- употребление продуктов с липотропными свойствами.
Пациентам показано дробное питание. Оптимальными считаются около 6 приемов пищи в сутки. Основа рациона:
- гречка и овсянка;
- говядина, индюшатина;
- сырая и прошедшая тепловую обработку растительная пища.
Также необходимы перепелиные или куриные яйца, печень, выпечка из цельнозерновой муки, домашний творог, нежирная рыба, дикий рис.
Мегалобластная (мегалобластическая) анемия
Анемия называется мегалобластической, если в ее происхождении «виноваты» клетки-предшественники (мегалобласты). Термин характерен для подразделения всех видов малокровия по принципу морфологических изменений клеточного состава. В Международной классификации болезней такой диагноз упоминается только в разделе «Другие анемии, связанные с питанием» и кодируется D53.1.
Для практических врачей более понятна и приемлема клиническая классификация анемий в зависимости от причины:
- от потери крови;
- от нарушения продукции эритроцитов;
- от усиленного разрушения эритроцитов.
В этом перечне мегалобластная анемия входит во вторую группу, наравне с апластической, железодефицитной, сидеробластными и вызванными хроническими болезнями.
По данным медицинской статистики, десятая часть всех анемий относится к этой группе. Заболеваемость растет с возрастом от 0,1% у молодых, до 4% после 70-ти лет. Врачи гематологи отмечают низкую выявляемость заболевания. Это связывают с маскировкой основных признаков широким необоснованным применением витамина В12 при разных патологиях.
Подвиды мегалобластных анемий
По более подробным критериям механизма нарушения синтеза эритроцитов этот вид малокровия делится на 2 подвида.
Анемии, связанные с недостатком витамина В12, фолиевой кислоты:
- в связи с отсутствием достаточного количества в пищевых продуктах;
- из-за нарушения процесса усвоения в кишечнике;
- по причине измененной транспортировки и метаболизма;
- вследствие усиления потребности организма.
Другой вид — мегалобластная анемия, не имеющая отношения к дефициту В12 и фолиевой кислоты, причины мало изучены.
Недостаток витаминов может иметь врожденный характер или приобретенный. Их содержание уменьшается под действием лекарственных средств из групп противовирусных, противотуберкулезных медикаментов, препаратов для снятия судорог.
Доказана разрушительная деятельность алкоголя и наркотиков.
Механизм нарушения образования эритроцитов
Заболевание связано с изменениями в синтезе ДНК клеток костного мозга, из-за чего вместо правильных эритроцитов производятся эритробласты, которые не могут связывать молекулярный кислород и разносить его по организму в органы и ткани.
При этом не поврежден процесс дозревания клеток или биохимический синтез гемоглобина, как при других анемиях. Основные изменения происходят в делении клеток, нарушается баланс между ядром и протоплазмой. Ядерные хромосомы задерживаются в развитии, нарушают структуру ядра.

Мегалобласты значительно больше в размерах, ядро расположено не в центре, возможно разделение ядра на сегменты
«Некачественные» аномальные клетки организм сам разрушает в костном мозге, они живут наполовину короче срока нормального эритроцита. Под влиянием гормона эритропоэтина усиливается расход витаминов В12 и фолиевой кислоты, поскольку они являются ферментами этого процесса. Эритробласты накапливаются в периферической крови. Одновременно происходит нарастание процесса разрушения гранулоцитов и тромбоцитов в селезенке, эпителии кишечника.
Роль витамина В12 в развитии анемии
Состав витаминов в организме зависит от процессов «внутреннего производства», количества, поступившего с пищевыми продуктами, возможности усвоения. В12 и фолиевая кислота не синтезируются самостоятельно. Средний уровень в крови В12 поддерживается за счет достаточного накопления (ежедневно усваивается по 4 мкг).
Для возникновения дефицита нужно, чтобы он не поступал с пищей годами или резко усилился процесс разрушения. Важность для биохимических процессов связана с наличием в формуле витамина двух незаменимых коферментов (метилкобаламина и дезоксиаденозилкобаламина).
Метилкобаламин необходим для синтеза ДНК, а через этот процесс обеспечивают нормальный процесс кроветворения, «дозревание» эритроцитов, лейкоцитов и тромбоцитов. Его недостаток приводит к мегалобластному типу. Дезоксиаденозилкобаламин является активным ферментом жирового обмена. При дефиците нарушается структура нервных корешков спинного мозга.

Все оболочки спинного мозга переходят на нервные корешки, недостаток витамина вызывает разрушение защитного покрытия
Чтобы компоненты витамина освободились из пищевых продуктов, нужны ферменты протеазы поджелудочной железы. Только они способны разрушить заблокированные белком молекулы. Для дальнейшего усвоения в толстом кишечнике необходима постоянная кислотность, ионы кальция. В виде транскобаламина он доставляется в клетки печени и костный мозг.
Печень накапливает витамин и выделяет его с желчью в кишечник. Дефицит В12, кроме анемии и неврологической симптоматики, способствует нарушению работы желудка и кишечника.
Роль фолиевой кислоты в развитии анемии
Фолиевая кислота в виде солей (фолатов) поступает в организм с пищей. В отличии от запасов В12 фолаты заканчиваются через месяц (возможен срок до 4-х месяцев) после прекращения доставки из 12-перстной кишки. Всасывание фолиевой кислоты осуществляется в тонком кишечнике. Белок-переносчик доставляет витамин в печень и костный мозг.
Дальнейшая роль фолатов полностью зависит от наличия цианкобаламина. При недостатке В12 они не могут участвовать в процессе синтеза ДНК в клетках. Соответственно, нарушается синтез элементов крови. Развиваются аномальные мегалобласты.
У кого появляется дефицит В12 с фолиевой кислотой
Наиболее частыми причинами дефицита служат:
- вегетарианство и увлечение модными диетами для похудения;
- болезни желудка и кишечника, связанные с поносом, нарушенным усвоением пищи;
- дифиллоботриоз — болезнь из группы гельминтозов, заражение яйцами широкого лентеца происходит через грязные руки, рыбу, в РФ очаговые районы вдоль северных рек, на Урале и Дальнем Востоке;
- беременность с некомпенсированным расходом (анемия способна передаться плоду);
- хронический алкоголизм.

Широкий лентец живет в организме человека годами, высасывая витамины
Клинические симптомы
Симптомы наиболее изучены по анемии Аддисона-Бирмера. Выделяют 2 стадии течения:
- начальная (доклиническая) — жалобы пациента отсутствуют, проявления можно выявить случайно только по лабораторным анализам, особенно если они проведены после стрессовых ситуаций;
- клиническая — появляются типичные симптомы.
К общей симптоматике малокровия относятся:
- головокружение;
- жалобы на общее недомогание, слабость;
- тошнота и потеря аппетита;
- воспаление и чувство жжения языка;
- появление болезненных язвочек на слизистой в полости рта (стоматит);
- пожелтение кожи за счет нарастания уровня билирубина в крови и повреждения печеночных клеток.
Для мегалобластной анемии характерно поражение нервной системы (в связи с разрушение корешков спинного мозга), которое проявляется:
- покалыванием в пальцах;
- нарушением чувствительности кожи;
- затруднением движений.
При поражении головного мозга и тяжелом течении возможны:
- нарушение памяти;
- галлюцинации, бред;
- повышенная раздражительность;
- коматозное состояние.
Проведение общего анализа крови позволяет заподозрить анемию на доклинической стадии. В общем анализе обнаруживают:
- снижение количества эритроцитов;
- увеличение их размеров;
- высокий цветовой показатель (больше 1,1);
- неизмененное содержание гемоглобина;
- под микроскопом обнаруживают в эритроцитах остатки ядер в виде колец и вкраплений;
- снижение количества ретикулоцитов, нейтрофилов, тромбоцитов;
- все клетки увеличены в размерах.
Анализ пунктата костного мозга проводят до начала лечения инъекциями витамина, поскольку морфологическая структура изменяется уже через 24 часа после первого введения препарата.
В костномозговом составе:
- преобладают клетки эритроцитарного ростка;
- обнаруживается несоответствие между их ядром и цитоплазмой;
- нарушение других ростков подтверждается крупными нейтрофилами и мегакариоцитами.
В биохимических тестах
- умеренное повышение свободного билирубина;
- слегка повышено сывороточное железо;
- обнаруживается рост ЛДГ (фермент лактатдегидрогиназа, указывающий на усиленное разрушение эритроцитов).
Проведение количественного анализа на содержание В12 и фолиевой кислоты возможно только в специализированных лабораториях при гематологических отделениях. Это исследование позволяет установить точную причину малокровия.
Лечение
Для устранения дефицита необходимых витаминов нужно сбалансированное питание.
Продукты с высоким содержанием витамина В12:
- печень говяжья, телячья и свиная;
- почки;
- молочные изделия;
- яйца;
- жирная рыба.
Фолиевой кислотой богаты, кроме уже перечисленных:
- куриное мясо;
- пивные дрожжи;
- сыры;
- разные виды капусты;
- фасоль;
- шпинат;
- орехи грецкие;
- помидоры;
- бананы;
- апельсины.
Назначается курсовое применение витамина В12 в инъекциях и фолиевой кислоты в таблетках.
При тяжелом состоянии пациента проводится переливание эритроцитарной массы.
Поскольку мегалобластная анемия не обязательно связана с дефицитом перечисленных витаминов, окончательное лечение назначает только врач после полного обследования. Нельзя самостоятельно заниматься диетотерапией. Неправильная тактика может еще более ухудшить состояние.
Читайте также:
- Лечение абсцессов мозга при пороках сердца. Бактериальный эндокардит
- Механизмы развития метгемоглобинемии - патофизиология
- Методика пункции резервуара для дренирования желудочков головного мозга
- Осложнения связанные с многоплодной беременностью. Параличи и младенческая смертность
- Дифференциация отогенного менингита и абсцесса. Пример отогенного абсцесса
