Диагностика рассеянного склероза по КТ, МРТ
Добавил пользователь Евгений Кузнецов Обновлено: 28.11.2025
Диагностика рассеянного склероза по КТ, МРТ
а) Терминология:
1. Сокращения:
• Рассеянный склероз (PC)
2. Определения:
• Демиелинизация, предположительно аутоиммунного генеза, развивающаяся у генетически предрасположенных лиц при участии воздействия факторов окружающей среды
б) Визуализация:
1. Общие характеристики рассеянного склероза:
• Лучший диагностический критерий:
о Множественные перпендикулярно ориентированные гиперинтенсивные на Т2-ВИ очаги, расположенные в каллозо-септальной области
• Локализация:
о > 85%-перивентрикулярная/перивенулярная
о 50-90% - в каллозо-септальной области О Субкортикальные U-волокна, средние ножки мозжечка, ствол мозга, спинной мозг
о Инфратенториальная область (< 10% у взрослых, более часто у детей)
• Размеры:
о Мелкие (5-10 мм), псевдотуморозные поражения-до нескольких см
• Морфология:
о Линейной, округлой или овоидной формы; форма коническая по типу цели или по типу «очаг в очаге»
2. КТ признаки рассеянного склероза:
• КТ с контрастированием:
о Изо-/гиподенсные очаги ±слабо-/умеренноинтенсивноеконтрастирование очагов
о Наблюдается как солидный, так и кольцевой характер накопления контрастного вещества

(а) МРТ, SWI, аксиальный срез: определяется характерная перивенулярная локализация демиелинизирующей бляшки с проходящей сквозь нее медуллярной веной.
(б) МРТ, Т1-ВИ, сагиттальный срез: в перивентрикулярном белом веществе определяются множественные гипоинтенсивные очаги («черные дыры»), появление которых обусловлено деструкцией аксонов. Обратите внимание на умеренное расширение желудочков и борозд. Наличие «черных дыр» на Т1-ВИ коррелирует с более выраженным повреждением тканей и усиленной деструкцией аксонов, что выявляется при гистологическом исследовании.
3. МРТ признаки рассеянного склероза:
• Т1-ВИ:
о Обычно гипо- или изоинтенсивный сигнал
о Гипоинтенсивность коррелирует с деструкцией аксонов («черные дыры»)
о Наличие гипоинтенсивных очагов на Т1-ВИ является признаком неблагоприятного прогноза
- Коррелирует с нарушением трудоспособности, атрофией, прогрессированием заболевания
о Понижение интенсивности сигнала от зубчатых ядер наблюдаются при вторично-прогрессирующей форме
• Т2-ВИ:
о Гиперинтенсивные очаги линейной формы, радиально расходящиеся от желудочков
о Также поражаются субкортикальные U-волокна, средние ножки мозжечка, ствол головного мозга и спинной мозг
о Большое количество очагов в коре головного мозга может быть предиктором первично-прогрессирующего PC
о При хроническом PC в 10-20% случаев наблюдается понижение интенсивности сигнала от базальных ганглиев
• FLAIR:
о Наиболее ранний признак: перемежающееся линейные участки повышения интенсивности сигнала по ходу эпендимы на сагиттальных FLAIR-изображениях
- Эпендимальный симптом «линии точка-тире»
о Двусторонние, асимметрично расположенные очаги гиперинтенсивного сигнала линейной/овоидной формы
о Перивенулярное распространение; «пальцы Доусона»
- По ходу глубоких медуллярных вен
о С увеличением тяжести течения заболевания очаги гиперинтенсивного сигнала сливаются
• ДВИ:
о Большинство острых бляшек: нормальная или ↑ диффузивность
о В некоторых бляшках наблюдается ограничение диффузии:
- Часто по краям острых бляшек
о Вподострых/хронических бляшках наблюдается ↑ диффузивности
о DTI: ↓ продольной диффузивности в областях аксонального повреждения
• Постконтрастные Т1-ВИ:
о Преходящее контрастирование очагов в период активной демиелинизации (в > 90% случаев исчезает влечение шести месяцев):
- Узловой (68%) или кольцевой (23%) характер накопления контрастного вещества
- Характер контрастного усиления в форме полумесяца, незамкнутого кольца, подковы (9%)
- Редко: крупные псевдотуморозные очаги с кольцевым характером накопления контрастного вещества
• МР-спектроскопия:
о ↓ пика NAA (NAA/Cr), ↑ пика холина (Cho/Cr), ↑ пика миоинозитола
о Измнения при МР-спектроскопии обнаруживаются во внешне неизменном белом веществе (ВНБВ)
о Только при вторично-прогрессирующем PC при МР-спектроскопии определяется ↓ пика NAA во внешне неизмененном сером веществе (ВНСВ):
- Может позволить провести дифференциальную диагностику между ремиттирующе-рецидивирующей и вторично-прогрессирующей формами
• МР-перфузия (Т2*-ВИ с контрастным усилением): низкий rCBV:
о Может позволить отличить псевдотуморозную форму PC от опухоли
• Перенос намагниченности (ПН):
о ↓ соотношения ПН (ОПН) в поражениях/ВНБВ
• МРТ с исследованием функциональной коннективности:
о ↓ функциональной коннективности между участками преимущественно зрительной и двигательной коры правого/левого полушарий
• Сравнение 3,0Т и 1,5Т: ↓ числа контрастируемых очагов на 21 %, ↓ объема контрастируемыхочагов на 30%, ↓ объема всех очагов на 10%
4. Рекомендации по визуализации:
• Советы по протоколу исследования:
о МРТ с контрастным усилением и получением сагиттальных FLAIR-изображений
о Методики с подавлением сигнала от жира для оценки неврита зрительных нервов

(а) МРТ, постконтрастное Т1-ВИ, сагиттальный срез: крупное гипоинтенсивное образование с периферическим полулунным характером накопления контраста по типу незамкнутого или «открытого кольца», что. является классическим псевдотум о розного демиелинирующего процесса - наиболее часто, PC.
(б) МР-спектроскопия при ТЕ = 144 мс: у этого же пациента наблюдается выраженный пик холина в сочетании со I пика NAA. МР-спектроскопия при псевдотуморозном демиелинизирующем заболевании не дает специфических результатов, МР-спектрограмма может имитировать опухоль. МР-перфузия, метод динамической восприимчивости контраста, DSC (вставка): выраженное ↓ rCBV, что также указывает на демиелинизирущее заболевание.
в) Дифференциальная диагностика рассеянного склероза:
1. Острый диссеминированный энцефаломиелит (ОДЭМ):
• Вирусное монофазное заболевание с продромальным периодом, которое более часто встречается в детском возрасте
• Может имитировать PC; часто вовлекается серое вещество
• Поражения при ОДЭМ имеют тенденцию к более крупным размерам, более выраженному отеку и часто имеют симметричную локализацию
2. Оптиконевромиелит:
• Неврит зрительного нерва и поражение спинного мозга
• Поражение головного мозга имеет нетипичный для PC внешний вид и тенденцию граничить с ликворными пространствами срединной локализации
3. Аутоиммунный васкулит:
• Контрастируемые очаги поражения не локализуются в каллозо-септальной области
• Вид типа «нити бусин» при ангиографии
4. CADASIL:
• Ранняя деменция и повторные инсульты в сочетании с мутациями гена NOTCH3
• Характерна тенденция к «щажению» мозолистого тела, субкортикальных U-волокон
5. Болезнь Лайма:
• Картина при визуализации может быть идентична PC (часто наблюдаются кожные высыпания)
6. Синдром Сусака:
• Классическая триада: энцефалопатия, окклюзия ветви артерии сетчатки, тугоухость
г) Патология:
1. Общие характеристики рассеянного склероза:
• Этиология:
о Неизвестна; возможно, вирусная и/или аутоиммунная у генетически предрасположенных лиц
о Активированные Т-лимфоциты атакуют миелиновую оболочку аксонов
о ЦОГ-2, iNOS могут вызывать эксайтотоксическую гибель олигодендроцитов
• Генетика:
о Многофакторное заболевание; ↑ встречаемость у родственников первой линии родства
2. Стадирование и классификация:
• Основные клинические подтипы:
о Ремиттирующий-рецидивирующий (РР) — 85% при манифестации
о Вторично-прогрессирующий (ВП), также известный как рецидивирующий-прогрессирующий:
- РР переходит в фазу ВП к 10-му году заболевания у 50% пациентов, к 25-му году-у 90%
о Первично-прогрессирующий (ПП), также известный какхро нический прогрессирующий:
- У 5-10% пациентов с PC изначально наблюдается прогрессирующая форма
о Прогрессирующий с обострениями (ПО):
- Редкий; определяется как прогрессирующая форма заболевания с выраженными обострениями ± полное восстановление
- Периоды между обострениями характеризуются продолжающимся прогрессированием заболевания
о Изолированный синдром (РИС):
- Наличие характерных для PC признаков при МРТ без типичных симптомов PC и при нормальной неврологической картине
• Варианты/подтипы PC:
о Злокачественный PC/болезнь Марбург: пациенты более молодого возраста с фебрильной лихорадкой в продромальном периоде и фульминантным клиническим течением, смерть наступает в течение нескольких месяцев
о Тип Шильдера («диффузный склероз»); протяженные двусторонние сливные асимметричные зоны демиелинизации в супра- /инфратенториальной мозговой паренхиме
о Тип Бало («концентрический склероз»): крупные зоны поражения с чередующимися зонами демиелинизации/миелини-зированного БВ
3. Макроскопические и хирургические особенности:
• Острый PC; перивентрикулярно расположенные бляшки желтовато-белого цвета с нечеткими границами
• Хронический PC: гранулированные бляшки серого цвета с четкими границами ± генерализованная потеря объема мозговой ткани
4. Микроскопия:
• Перивенозная демиелинизация, потеря олигодендроцитов:
о Активный PC: пенистые макрофаги с фрагментами миелина, липидами; реактивные астроциты + периваскулярное воспаление; атипичные реактивные астроциты, митозы (имитируют опухоль)
о Хронический PC: выраженная потеря миелина, олигодендроцитов; плотный астроглиоз; воспаление в периваскулярной области выражено минимально или отсутствует
• Рассечение аксонов
• В СМЖ выявляются олигоклональные полосы

(а) МРТ, постконтрастное Т1 -ВИ, аксиальный срез: определяется концентрический слоистый характер накопления контрастного вещества по типу «луковицы», что характерно для острого концентрического склероза Бало. Концентрический склероз Бало является редким вариантом агрессивного течения PC, для которого характерно острое начало и быстрое ухудшение состояния.
(б) МРТ, Т1 -ВИ, аксиальный срез: у молодого мужчины, у которого нарушения зрения возникли в короткие сроки, в глубоком и пери вентрикулярном белом веществе определяются крупные контрасти-руемые зоны демиелинизирующего поражения. Болезнь Марбург является острым фульминантным вариантом PC.
д) Клиническая картина:
1. Проявления рассеянного склероза:
• Наиболее частые признаки/симптомы:
о Вариабельны; изначально диплопия и другие нарушения зрения, что обусловлено невритом зрительного нерва (у 50% пациентов с его выявлением при МРТ развивается PC)
о Слабость, парестезии, нарушение походки
о ↓ контроля сфинктеров, слепота, паралич, деменция
о Паралич черепных нервов; обычно множественный, в 1-5% изолированный (наиболее часто ЧН V, ЧН VI)
о Симптомы поражения спинного мозга в 80% случаев
2. Демография:
• Возраст:
о 20-40 лет; пик начала - 30 лет; 3-5% < 15 лет, 9% >50 лет
• Пол:
о Взрослые: М:Ж = 1:2 о Подростки: М:Ж = 1:3-5
• Этническая принадлежность:
о Встречается во всех этнических группах, наиболее часто среди представителей европеоидной расы о Заболевание наиболее распространено в зонах умеренного климата
• Эпидемиология:
о Число людей с PC во всем мире оценивается в 2,5 миллиона
о Наиболее частое инвалидизирующее заболевание ЦНС у молодых взрослых; встречаемость 1:1000 в западных странах
3. Течение и прогноз:
• У 1/3 пациентов после первого эпизода происходит полное или почти полное восстановление функций
• У > 80% пациентов с «вероятным» PC после выявления МРТ-признаков заболевания возникают клинические проявления
• В большинстве случаев: затяжное течение с прогрессированием симптомов
• На поздней стадии: высокая степень утраты трудоспособности, когнитивные нарушения
4. Лечение:
• Иммуномодуляторы и/или иммуносупрессивные препараты
е) Диагностическая памятка. Совет по интерпретации изображений:
• У 95% пациентов с клинически установленным PC наблюдаются признаки заболевания при МРТ
ж) Список литературы:
1. Roosendaal SD et al: Imaging phenotypes in multiple sclerosis. Neuroimaging Clin N Am. 25(1):83—96, 2015
Рассеянный склероз на МРТ
а) Визуализация рассеянного склероза:
• Характерные для рассеянного склероза (PC) множественные перпендикулярно ориентированные гиперинтенсивные на Т2-ВИ очаги, расположенные в каллозо-септальной области:
о Распространение по перивенулярным пространствам: «пальцы Доусона»
• Двусторонние, асимметричные очаги гиперинтенсивного сигнала на FLAIR линейной/овоидной формы:
о > 85% локализованы перивентрикулярно/перивенулярно о 50-90% имеют каллозо-септальную локализацию
о Также часто могут вовлекаться субкортикальные U-волокна, средние ножки мозжечка, ствол мозга, спинной мозг
• Преходящее контрастирование очагов в период активной демиелинизации:
о > 90% исчезают в течение шести месяцев
• Редко: крупные псевдотуморозные очаги с кольцевым характером накопления контрастного вещества
• Т1-ВИ: наличие гипоинтенсивных очагов является признаком неблагоприятного прогноза:
о Коррелирует с нарушением трудоспособности, атрофией, прогрессированием заболевания
• Использование продвинутых методик визуализации позволяет выявить признаки заболевания во внешне неизменном белом веществе
(а) На рисунке сагиттального среза показаны бляшки рассеянного склероза (PC), расположенные в мозолистом теле, мосту и спинном мозге. Обратите внимание на характерную перпендикулярную ориентацию очагов в каллозо-септальной области по ходу пенетрирующих венул.
(б) МРТ, постконтрастное Т1 -ВИ, аксиальный срез: определяются множественные контрастируемые бляшки PC, имеющие инфратенториальную и супратенториальную локализацию. Возможен гомогенный характер контрастирования очагов, но также может наблюдаться контрастное усиление по типу кольца или незамкнутого кольца. (а) MPT, FLAIR, сагиттальный срез: определяются очаги гиперинтенсивного сигнала в каллозо-септальной области, расходящиеся от боковых желудочков с типичной перпендикулярной ориентацией, характерной для рассеянного склероза.
(б) MPT, FAIR, аксиальный срез: у женщины 35 лет с рассеянным склерозом в перивентрикулярных отделах определяются протяженные сливные участки поражения гиперинтенсивного сигнала, характерные для длительного прогрессирующего течения PC, когда отмечается исчезновение обособленных линейных перивентрикулярных очагов. Обратите внимание на расширение желудочков и углубление борозд полушарий головного мозга, что обусловлено диффузной атрофией.
б) Дифференциальная диагностика:
• Острый диссеминированный энцефаломиелит (ОДЭМ)
• Оптиконевромиелит
• Аутоиммунный васкулит
• CADASIL
• Болезнь Лайма
• Синдром Сусака
в) Клиническая картина рассеянного склероза:
• Число людей с рассеянным склерозом (PC) во всем мире оценивается в 2,5 миллиона
• Наиболее частое заболевание ЦНС у молодых взрослых, приводящее к инвалидности: встречаемость в западный странах 1:1000
• Возраст: 20-40 лет:
о Возрастной пик манифестации = 30 лет; 3-5% < 15 лет, 9% >50 лет
• Взрослые: М: Ж = 1:2, подростки: М: Ж = 1:3-5
г) Диагностическая памятка:
• Для постановки диагноза необходимо наличие диссеминации очагов в центральной нервной системе в месте и во времени
• Критерии Макдональда: консенсус по диагностическим критериям PC, последний пересмотр в 2010 году
КТ и МРТ диагностика рассеянного склероза
Рассеяный склероз - хроническое заболевание аутоиммунного характера, в следствии которого поражается миелиновая оболочка нервных клеток головного и спинного мозга.
- М:Ж=1:2
- Заболеваемость в Центральной Европе:50:100 ООО
- Хроническое воспалительное демиелинизирующее заболевание головного и спинного мозга
- Воспаление мультифокальное (бляшки) и диффузное с разрушением миелина
- Этиология неизвестна.
Как проявляется рассеянный склероз
Типичная клиническая картина заболевания включает:
- Начало заболевания обычно в возрасте 20-40 лет
- Примерно у 25% больных вначале наблюдается ретробульбарный неврит зрительного нерва
- Кроме того, к первым симптомам относятся двусторонняя межъядерная офтальмоплегия, преходящий парез черепных нервов или расстройства чувствительности в зонах, иннервируемых тройничным нервом, а также слабость и онемение в конечностях.
Каким методом можно диагностировать рассеянный склероз: КТ, МРТ
Метод выбора
Покажет ли КТ головного мозга рассеянный склероз
- Нормальная картина при легкой форме
- При тяжелом поражении визуализируются бляшки в виде гиподенсных очагов, иногда накапливающих контрастное вещество.
Что покажет МРТ головы при рассеянном склерозе
- Гиперинтенсивные очаги в перивентрикулярном белом веществе, мозолистом теле (феномен «пальцев Доусона»), стволе мозга или среднем мозге и мозжечке на Т2-ВИ, взвешенных по протонной плотности, и FLAIR- изображениях
- Характерно узловое или кольцевидное контрастное усиление в зависимости от активности
- Внутривенное контрастирование не рекомендуется проводить после введения стероидов, так как в этом случае, как правило, не происходит контрастного усиления даже активных бляшек
- Рядом с хроническими очагами без отека и контрастного усиления визуализируются активные, накапливающие контрастное вещество очаги с перифокальным отеком
- На Т1-ВИ соседствуют гипоинтенсивные и изоинтенсивные очаги
- Бляшки на нативных Т1-ВИ гипоинтенсивные или изоинтенсивные по отношению к нормальному белому веществу: в режиме Т1 в гипоинтенсивных бляшках («черные дыры») демиелинизация выражена сильнее, чем в изоинтенсивных бляшках.
Пространственная диссеминация: Для лучевой диагностики необходимо наличие не менее трех из следующих четырех критериев (критерии МакДоналда):
1 .Не менее одного очага с контрастным усилением или, при отсутствии этого, 9 гиперинтенсивных очагов на Т2-ВИ или FLAIR-изображениях.
2. Не менее одного субтенториального очага.
3. Не менее одного субкортикального очага.
4. Не менее 3 перивентрикулярных очагов и доказанная диссеминация во времени.
Очаг в спинном мозге равнозначен субтенториальному очагу.
Диссеминация во времени:
1. Очаг контрастного усиления, выявленный минимум через 3 мес. от начала заболевания, причем локализация очага не должна соответствовать первоначальной симптоматике.
2.Свежий очаг, выявленный в это время на Т2-ВИ по сравнению с предыдущим исследованием, проведенным за 30 дней до начала заболевания. ИКД в острых бляшках почти всегда выше, чем в хронических, хотя иногда он может быть снижен.
Что хотел бы знать лечащий врач
- Исключить острый диссеминированный энцефаломиелит
- Дифференцировать с поражениями белого вещества при других заболеваниях (к примеру, микроангиопатии)
Признаки патологий со проявлениями, как у рассеянного склероза
Эмболическая или гемодинамическая ишемия:
- Зона поражения соответствует области, кровоснабжаемой одним или несколькими сосудами
- В острой стадии ИКД всегда снижен
Церебральный васкулит:
- Перивентрикулярное белое вещество и мозолистое тело обычно не вовлечены в процесс
- Часто поражается серое вещество
ЦАДАСИЛ:
- Субкортикальные инсульты, чаще всего в лобной и височной долях (начиная с полюса ви сочной доли) и во внутренней капсуле
- Отягощенный семейный анамнез
- Анализ ДНК (дефект гена на хромосоме 19ql2 вследствие мутации в 3-м гене)
Метастазы в головной мозг и другие опухоли головного мозга:
- Для всех этих заболеваний характерно контрастное усиление и наличие перифокального отека
Постинфекционная демиелинизация, как при ОДЭМ:
- Все очаги находятся на одной стадии, следовательно, активные, накапливающие КС очаги с перифокальным отеком не соседствуют с хроническими очагами, не сопровождающимися отеком и контрастным усилением - В отличие от рассеянного склероза на Т1-ВИ не встречается сочетания гипоинтенсивных и изоинтенсивных очагов.
Лечение
- Глюкокортикоиды в периоды обострений
- Профилактика обострений: иммунотерапевтические препараты (интерфероны, 1а- и lb-иммуноглобулины, глатирамера ацетат) или цитостатические препараты (митоксантрон, циклофосфамид).
Врачи каких специальностей диагностируют и лечат рассеянный склероз
- Невропатолог (дифференцировка РС с другими заболеваниями нервной системы)
- Терапевт (для исключения сопутствующей патологии, которая может давать данные симптомы)
- Врач функциональной диагностики (контроль клинических исследований в динамике)
Прогноз
- Клиническое течение вначале эпизодическое примерно у 80% больных
- В течение 10 лет у половины пациентов наблюдается вторичное хроническое прогрессирование
Возможные осложнения РС
Рассеяный склероз влечет за собой множество осложнений, таких как:
- Снижение работоспособности
- Снижение артериального давления
- Ограничение движений в конечностях
- Нарушение зрения
- Неврозы, депрессии
- Смерть от поражения жизненно-важных структур мозга, диафрагмального нерва

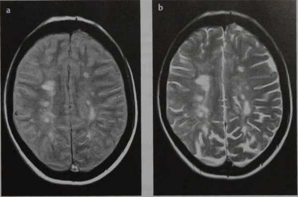
Рассеянный склероз. МРТ, взвешенное по протонной плотности изображение (а) и Т2-ВИ (b) в аксиальной плоскости. Гиперинтенсивные очаги в перивентрикулярном белом веществе.
Возможна ли диагностика рассеянного склероза на МРТ

МРТ головного мозга в медицинских клиниках используется как приоритетная форма диагностики рассеянного склероза. Рассеянный склероз (РС) является тяжелой патологией, связанной с тем, что собственная иммунная система организма неправильно реагирует на миелиновую оболочку, окружающую нерв, и начинает ее разрушать. Эта иммунная реакция вызывает воспаление вещества головного мозга. За счет этого формируются участки повреждений миелиновой оболочки нервов или участки демиелинизации. Миелин для нервов - это как защитная оболочка, которая предохраняет нервные волокна снаружи. Как только происходит повреждение миелиновой оболочки, у пациентов возникают различные неврологические нарушения.Чаще всего рассеянному склерозу подвержены женщины относительно молодого возраста. Клиническая картина, которая развивается у них, как правило, связана с нарушением зрения и слабостью верхних либо нижних конечностей.
Признаки рассеянного склероза
Рассеянный склероз признан самым "загадочным" заболеванием в неврологии ввиду своей изменчивости, нестабильности и непредсказуемости. До настоящего времени точно не установлена его этиология. Несмотря на применение совершенных методов диагностики, таких как магнитно-резонансная томография и спектроскопия, до сих пор еще не выявлены признаки заболевания, позволяющие со 100-процентной уверенностью распознать рассеянный склероз. Наиболее частыми нарушениями в дебюте PC являются онемение в одной или двух конечностях, оптический неврит, двигательные нарушения. При развернутой картине заболевания преобладают двигательные, мозжечковые, тазовые нарушения, когнитивные и психоэмоциональные расстройства. На ранней стадии, когда еще нет клинических признаков, диагностика рассеянного склероза чаще всего происходит как случайная находка на обычной МРТ головного мозга, когда пациент по каким-то другим причинам приходит на томографию, и ему проводится нативная часть процедуры - исследование без контраста. В ходе сканирования врач-рентгенолог находит признаки многоочаговых поражений головного мозга и обязательно сообщает о необходимости проведения второй части сканирования - контрастной МРТ головного мозга и МР-спектрографии, чтобы понять, какой характер носит данное очаговое поражение, есть ли основания заподозрить рассеянный склероз по результатам МРТ.
| Исследование | Цена | Цена МРТ 3ТЛ | Скидки |
|---|---|---|---|
| МРТ головного мозга | от 2800 руб. | от 5000 руб. | бесплатный прием невролога |
| МРТ сосудов головного мозга / МР артериография | от 2800 руб. | от 7000 руб. | бесплатный прием невролога |
| МРТ гипофиза | от 2800 руб. | от 5000 руб. | Ночью |
| МРТ головного мозга и сосудов головного мозга | от 4800 руб. | от 10000 руб. | бесплатный прием невролога |
| МРТ глазных орбит и зрительного нерва | от 2900 руб. | от 7000 руб. | Ночью |
| МРТ придаточных пазух носа | от 2900 руб. | от 7000 руб. | Ночью |
| МРТ внутреннего уха и слухового нерва | от 2900 руб. | от 7000 руб. | Ночью |
| МР-венография / МРТ вен головы и шеи | от 3200 руб. | от 7000 руб. | - |
| МРТ головного мозга и шеи | от 4800 руб. | от 8000 руб. | - |
| МРТ черепных нервов | от 3200 руб. | от 7000 руб. | - |
Покажет ли обычная МРТ рассеянный склероз?
Первым шагом в диагностике рассеянного склероза будет обращение к неврологу, который проведет необходимые неврологические тесты. В последующем, после выполнения лабораторных неврологических тестов, необходимо сделать МРТ головного мозга по протоколу рассеянный склероз. Именно магнитно-резонансная томография головы является золотым стандартом в диагностике данного заболевания. Никакие другие аппаратные методы - ни ультразвуковые методы исследования, ни рентгеновская КТ не позволяют увидеть начальные признаки рассеянного склероза в виде мелких овальной формы очагов поражения вещества головного мозга. Типичными показаниями для проведения томографии головного мозга при диагностике рассеянного склероза являются:
- наличие одного топического очага поражения ЦНС при двух и более клинических атаках заболевания;
- выявление двух и более очагов поражения ЦНС.
Чтобы МРТ показала все, даже самые мелкие очаги РС, ее нужно проводить по проколу МРТ головного мозга с контрастом на закрытом высокопольном МРТ аппарате мощностью не менее полутора Тесла. Контрастная МРТ головы покажет:
- увеличение пика инозитола, холина и креатина;
- определение повышения уровня экспрессии молекул адгезии;
- выявление отека вокруг очагов и контрастное усиление очагов демиелинизации;
- повреждение гемотканевого барьера и гематоэнцефалического барьера;
- визуализация контрастированных очагов разной формы ("узловое" и "кольцевидное" усиление), указывающих на различный возраст очагов демиелинизации в мозге.
Ранняя диагностика рассеянного склероза на МРТ позволит врачу вовремя начать активную тактику, направленную на купирование воспаления головного мозга. На более поздних стадиях рассеянный склероз может поразить не только головной, но и спинной мозг, поэтому, если данная патология уже имеет неврологические формы проявления, пациенту назначат сделать комплексное исследование МРТ головного мозга с контрастом и МРТ спинного мозга. Магнитно-резонансная томография используется и для активного мониторинга скорости прогресса болезни и выявления фаз обострения. Признаками обострения заболевания будет:
Рассеянный склероз
Информацию из данного раздела нельзя использовать для самодиагностики и самолечения. В случае боли или иного обострения заболевания диагностические исследования должен назначать только лечащий врач. Для постановки диагноза и правильного назначения лечения следует обращаться к Вашему лечащему врачу.
Рассеянный склероз: причины появления, симптомы, диагностика и способы лечения.
Определение
Рассеянный склероз (множественный склероз, Multiple Sclerosis) – это хроническое прогрессирующее нейродегенеративное аутоиммунное заболевание центральной нервной системы, которое поражает головной мозг, спинной мозг и зрительные нервы.

Причины появления рассеянного склероза
Большинство нервных волокон покрыто миелиновой оболочкой. Мозг направляет электрические импульсы по нервам в различные части тела. Данные импульсы управляют всеми нашими произвольными и непроизвольными движениями. Здоровые нервы изолированы при помощи миелиновой оболочки, которая является защитным слоем, обеспечивает питание аксона, поддерживает его структуру, предохраняет от повреждения, ускоряет передачу нервного импульса.
При рассеянном склерозе собственная иммунная система человека ошибочно атакует и разрушает миелиновую оболочку нервных волокон.
В области потери миелина образуется рубцовая соединительная ткань, которая может исказить либо полностью заблокировать передаваемые импульсы. Какое-то время нервная система компенсирует сбои, но по мере прогрессирования заболевания выраженность симптоматики неуклонно нарастает от легкого онемения конечностей до паралича и/или слепоты.
Термин «рассеянный склероз» означает наличие множественных рассеянных на различных участках головного и спинного мозга рубцовых очагов (или демиелинизирующих бляшек).

До сих пор не известна причина, по которой иммунные клетки начинают атаковать нервные волокна своего же организма. Существует мнение, что на развитие заболевания могут влиять многие факторы: генетическая предрасположенность, активное и пассивное курение, дефицит витамина D, воздействие ретровирусов, вируса герпеса человека, в частности Эпштейна-Барр, бактериальные инфекции (стафилококки, стрептококки), высокое содержание соли в продуктах питания, плохая экология, травмы головного мозга (сотрясения, ушибы), повреждения позвоночного столба, избыточный вес (особенно у подростков и детей), стрессы, некоторые аутоиммунные заболевания. Повышенному риску развития рассеянного склероза подвержены жители северных регионов и представители европеоидной расы.
Заболевание чаще диагностируют в возрасте 20–45 лет, но может встречаться и у детей. Мужчины болеют в 2 раза реже женщин, но именно у них патология протекает тяжелее и хуже поддается терапии.

Классификация заболевания
Выделяют некоторые типичные варианты течения рассеянного склероза:
- Ремиттирующее течение – наиболее частый вариант в дебюте заболевания. Характеризуется периодами обострений, чередующихся с периодами ремиссий (с полным или неполным восстановлением функций в периоды между обострениями), отсутствием нарастания симптомов в периоды ремиссий. У многих пациентов ремиттирующее течение в последующем переходит во вторичное прогрессирование (с обострениями или без обострений);
- Прогрессирующее течение:
- первично-прогрессирующее – с самого начала заболевания в течение не менее одного года наблюдается нарастание тяжести симптомов заболевания без периодов улучшения;
- вторично-прогрессирующее – тяжесть симптомов заболевания нарастает на протяжении не менее 6 месяцев без стабилизации или улучшения после ремиттирующей фазы болезни, возможно прогрессирование с обострениями или без них.
- активный рассеянный склероз (при наличии обострений или признаков активности заболевания по данным МРТ);
- неактивный рассеянный склероз (без обострений и без признаков активности по данным МРТ);
- рассеянный склероз с прогрессированием (выявляются новые очаги поражения);
- рассеянный склероз без прогрессирования (новые очаги поражения нервной системы не выявлены).
- злокачественная форма (болезнь Марбурга) характеризуется очень быстрым прогрессированием без периодов ремиссии, в самых тяжелых случаях может приводить к смерти пациента;
- агрессивная, или быстропрогрессирующая форма, при которой в течение года наблюдается два и более эпизода обострения, ведущих к нарастанию уровня инвалидизации;
- высокоактивная форма характеризуется двумя и более обострениями за год и значительным увеличением очагов поражения нервной системы по данным МРТ.
Признаки рассеянного склероза зависят от локализации основной части патологических очагов. По мере поражения новых зон симптоматика нарастает и становится более разнообразной.
Поражение мозжечка и его путей: выраженное напряжение в ногах или в руках (за счет повышения мышечного тонуса), возможны параличи, нарушение координации движений, пошатывание при ходьбе, непроизвольные движения, тремор рук и ног, нарушение речевой функции, головокружения.
Поражение зрительного нерва: снижение зрения на один глаз вплоть до полной слепоты; черная точка в центре поля зрения; ощущение мутного стекла, пелены перед глазом - это проявления ретробульбарного неврита (патологии зрительного нерва на участке за глазным яблоком в результате поражения его миелиновой оболочки). Возникает нарушение движения глазного яблока, развивается двоение изображения (диплопия).
Поражение спинного мозга: постоянная усталость и утомляемость, потеря контроля над опорожнением кишечника и мочевого пузыря, запоры и задержка мочеиспускания, изменения сексуальной функции, радикулопатии, симптом Лермитта (при наклоне головы вперед возникает ощущение прохождения электрического тока по позвоночнику, иногда отдающее в конечности), чувство жжения или боль в ответ на прикосновение, покалывание или онемение в конечностях, развитие спастического парапареза.
Поражение ствола головного мозга: слабость или спазм мышц лица, перемежающееся онемение одной половины лица, центральный или периферический парез лицевого нерва, снижение слуха, снижение вкусовой чувствительности.
Поражение больших полушарий головного мозга: снижение памяти и внимания, скорости выполнения нейропсихологических тестов, нарушения поведения, излишняя тревожность, плохое настроение, депрессия или эйфория.
Это необходимо учитывать и стараться избегать перегрева, который может спровоцировать приступ. Лишенные миелиновой оболочки нервные волокна крайне чувствительны к повышению температуры.
Диагностика рассеянного склероза
В целом клинические проявления болезни очень разнообразны, что затрудняет постановку диагноза. Два основных клинических признака, подтверждающие наличие рассеянного склероза:- симптомы проявляются в различных отделах центральной нервной системы;
- наличие по крайней мере двух приступов болезни, возникновение которых разделено по времени периодом не менее одного месяца.
Методы диагностики:
Оценка жалоб, симптоматики, клинических нарушений.
При неврологическом осмотре врач проверяет функцию нервной системы: рефлексы, равновесие, координацию и зрение, а также проводит поиск областей онемения.
Офтальмологическое обследование с обязательной оценкой остроты зрения, полей зрения, состояния глазного дна.Пациенту с подозрением на рассеянный склероз рекомендованы следующие лабораторные анализы для оценки общего состояния организма и определения возможности назначения последующей терапии:
- клинический анализ крови развернутый;
Синонимы: Общий анализ крови (ОАК); Гемограмма; КАК; Развернутый анализ крови. Full blood count; FBC; Complete Blood Count (CBC); Hemogram; CBC with White Blood Cell Differential Count; Peripheral Blood Smear; Blood Film Examination; Comp.
Читайте также:
- Деформации челюсти при утомлении организма. Носовое дыхание и деформации челюсти
- Синтез АТФ при расщеплении глюкозы. Выделение энергии из гликогена
- Операция чрезкожной внутрикоронарной антиопластики. Тромболизис и снятие спазмов коронарных артерий
- Лечение пузырчатки. Рекомендации
- Рентгенограмма, КТ, МРТ при вывихе бедра
