Диагностика токсического и метаболического поражения головного мозга
Добавил пользователь Евгений Кузнецов Обновлено: 29.01.2026
Ядерная желтуха на МРТ головного мозга
а) Терминология:
• Ядерная желтуха или билирубиновая энцефалопатия: патологическое окрашивание билирубином базальных ганглиев, ствола мозга и гиппокампов, связанное с гипербилирубинемией
б) Визуализация ядерной желтухи:
• Острая стадия: ↑ интенсивности сигнала на Т1-ВИ от бледных шаров (БШ), субталамических ядер (СТЯ), гиппокампов, черной субстанции (ЧС)
• Хроническая стадия: ↑ интенсивности сигнала на Т2-ВИ от БШ, гиппокампов
• МР-спектроскопия: ↑ Tau/Cr, ↑ Glx/Cr, ↑ ml/Cr, ↓ Cho/Cr
в) Дифференциальная диагностика:
• Перекармливание, печеночная недостаточность: ↑ интенсивности сигнал на Т1-ВИ от БШ, ЧС
• Интоксикация: отравление СО
• Метаболические нарушения: метилмалоновая ацидемия, недостаточность креатина, сукцинат-полуальдегид дегидрогеназы, L-2-гидроксиглутаровая ацидурия
• Гипоксически-ишемическое поражение у доношенных
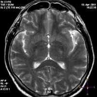
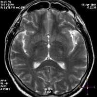
(а) МРТ, Т1-ВИ, аксиальный срез: у новорожденного с гипербилирубинемией, ступором, гипотонией и повышенной нервной возбудимостью определяется повышение интенсивности сигнала от бледных шаров и хвостов гиппокампов.
(б) МРТ, Т1-ВИ, аксиальный срез: у того же пациента отмечается двустороннее аномальное повышение интенсивности сигнала от гиппокампов и черной субстанции билатеральной. Кора больших полушарий и подлежащее белое вещество в норме. (а) МРТ, Т2-ВИ, аксиальный срез: у этого же ребенка в возрасте шести месяцев определяется двустороннее повышение интенсивности сигнала от бледных шаров и потеря их объема. Объем белого вещества больших полушарий несколько уменьшен.
(б) МРТ, Т2-ВИ, корональный срез: у новорожденной с тяжелой гипербилирубинемией определяется повышение интенсивности сигнала от бледных шаров и головок гиппокампов в сочетании с уменьшением их объема.
г) Патология:
• Энцефалопатия вследствие ↑ уровня неконъюгированного билирубина, проникающего сквозь незрелый гематоэнцефалический барьер (ГЭБ)
• Нейроны > глия, спонгиозные изменения нейропиля
• Желтое окрашивание > изменения на МР-изображениях
д) Клиническая картина ядерной желтухи:
• Ступор, гипотония, неэффективное сосание, пронзительный крик
• ↑ заболеваемость при ранней выписке, ↑ частоты грудного вскармливания
• Специфическое повреждение слуховых ядер ствола мозга ± глухота или нарушение обработки слуховой информации (наиболее часто)
• В большинстве случаев атетоз, нарушения взора: у некоторых пациентов отмечаются интеллектуально-мнестические нарушения
е) Диагностическая памятка:
• Нормальная МР-картина не исключает развитие отдаленных последствий
• ↑ интенсивности сигнала на Т1-ВИ от БШ может наблюдаться у новорожденных и в норме; выполните поиск других вовлеченных в патологический процесс структур
• Возможно разрешение изменений в условиях терапии
Энцефалопатия
Энцефалопатия — это обобщающее название разнообразных по своему генезу патологических процессов, основу которых составляет дегенерация нейронов головного мозга вследствие нарушения их метаболизма. Энцефалопатия проявляется полиморфными неврологическими расстройствами, нарушениями в интеллектуально-мнестической и эмоционально-волевой сфере. Диагностический поиск состоит из комплексного неврологического обследования и установления причинной патологии. Лечение энцефалопатии сводится к устранению вызвавшего ее патологического состояния, терапии причинного заболевания и поддержанию оптимального метаболизма церебральных нейронов.
МКБ-10

Общие сведения
Энцефалопатия — комплексное понятие, объединяющее в себе многочисленные синдромы диффузного церебрального поражения, в основе которого лежит дисметаболизм и гибель нейронов. Идея объединения полиэтиологичных церебральных заболеваний в одну группу возникла в связи с общностью их патогенеза и морфологических изменений. Термин образован путем слияния греческих слов «encephalon» - головной мозг и «pathos» - болезнь. Энцефалопатия включает 2 группы заболеваний: перинатальную и приобретенную энцефалопатии.
Причины энцефалопатии
Перинатальная энцефалопатия
К триггерным факторам, в результате воздействия которых может возникнуть перинатальная энцефалопатия, относятся:
- гипоксия плода;
- внутриутробные инфекции и интоксикации;
- резус-конфликт;
- асфиксия новорожденного;
- родовая травма;
- генетически детерминированные метаболические нарушения и аномалии развития (например, врожденные пороки сердца).
Риск перинатальной патологии возрастает при аномалиях родовой деятельности, крупном плоде, преждевременных родах и недоношенности новорожденного, узком тазе, обвитии пуповиной.
Приобретенная энцефалопатия
Приобретенная форма патологии может развиваться вследствие:
- перенесенной черепно-мозговой травмы;
- воздействия ионизирующего излучения;
- интоксикации нейротропными химическими (этиловым спиртом, свинцом, хлороформом, наркотиками, барбитуратами) и бактериальными (при дифтерии, столбняке, ботулизме и др.) токсинами;
- сосудистых нарушений: атеросклероза, артериальной гипертензии, венозной дисциркуляции, ангиопатии церебральных сосудов при амиломидозе, приводящих к хронической ишемии головного мозга;
- осложнения различных заболеваний внутренних органов: острого панкреатита, острой и хронической почечной недостаточности, цирроза печени и печеночной недостаточности;
- болезней легких, приводящих к расстройству легочной вентиляции (туберкулез легких, абсцесс легкого, бронхоэктатическая болезнь, ТЭЛА). Аналогичный гипоксический генез имеет энцефалопатия, наблюдаемая у ряда пациентов после проведения реанимационных мероприятий;
- метаболических расстройств: энцефалопатия может развиться как при понижении уровня глюкозы (гипогликемии), так и при его повышении (гипергликемии), что часто наблюдается при сахарном диабете. Причиной метаболических церебральных расстройств бывает гиповитаминоз (в первую очередь недостаток витаминов гр. В);
- падения осмотического давления и гипонатриемии, возникших из-за задержки воды при гиперсекреции антидиуретического гормона (при гипотиреозе, надпочечниковой недостаточности, опухолевых процессах и пр.);
- к редко встречающимся относится лейкоэнцефалопатия, имеющая вирусную этиологию и отмечающаяся у иммунокомпрометированных пациентов.
Патогенез
Энцефалопатия любого генеза является диффузным, т. е. затрагивающим различные церебральные структуры, процессом. В ее основе лежит кислородная недостаточность (гипоксия) и обменные нарушения нейронов. Последние могут быть обусловлены самой гипоксией (при дисциркцуляторных и гипоксических энцефалопатиях), дефицитом отдельных метаболитов и воздействием токсинов (при метаболических и токсических энцефалопатиях). Указанные нарушения приводят к дегенерации и гибели церебральных нейронов.
К морфологическим признакам, которыми характеризуется энцефалопатия, относятся: дегенерация и уменьшение количества нейронов в мозговом веществе, а значит его диффузная атрофия; очаги демиелинизации и некроза, а также глиальные разрастания, локализующиеся в белом веществе; микрогеморрагии и отечность церебральных тканей; полнокровие церебральных оболочек. Преимущественная локализация указанных изменений и степень их выраженности может варьировать в зависимости от вида энцефалопатии.
Классификация
В соответствии с этиологическим фактором, энцефалопатия классифицируется на посттравматическую, токсическую, метаболическую, сосудистую (дисциркуляторную), лучевую.
- Посттравматическая энцефалопатия относится к отдаленным последствиям ЧМТ и может развиваться через несколько лет после нее.
- Токсические варианты включают алкогольную энцефалопатию, наблюдающуюся при хроническом алкоголизме, а также церебральные нарушения, возникающие у наркоманов.
- Метаболические варианты: печеночная (портосистемная, билирубиновая), уремическая (азотемическая), диабетическая, панкреатическая, гипогликемическая, гипоксическая, аноксическая энцефалопатии и синдром Гайе-Вернике.
- Дисциркуляторная энцефалопатия подразделяется на атеросклеротическую, гипертоническую, венозную. Отдельной формой гипертонической энцефалопатии выступает болезнь Бинсвангера.
В клинической практике используют градацию энцефалопатии по тяжести, однако это разграничение весьма условно:
- I степень тяжести подразумевает субклиническое течение, т. е. отсутствие проявлений при наличии церебральных изменений, фиксируемых инструментальными методами диагностики. В этой стадии патология может диагностироваться при проведении диспансерного обследования пациентов с хроническими, в первую очередь сосудистыми, заболеваниями.
- II степень тяжести характеризуется наличием легкой или умеренной неврологической симптоматики, зачастую имеющей преходящий характер.
- При III степени наблюдаются тяжелые неврологические расстройства, в большинстве случаев выступающие причиной инвалидизации пациента.
Симптомы энцефалопатии
Более распространена хроническая энцефалопатия, отличающаяся малосимптомным началом и постепенным развитием. Наиболее часто она имеет дисдиркуляторный и посттравматический характер. Острая энцефалопатия характеризуется внезапным дебютом и быстрым усугублением состояния пациента, наличием нарушений сознания. Она может возникнуть при интоксикациях и дисметаболических расстройствах. Примерами являются острая панкреатическая, уремическая, печеночная энцефалопатия, синдром Гайе-Вернике, гипоксическая энцефалопатия при ТЭЛА.
Хроническая энцефалопатия
На ранних стадиях проявляется затруднениями при попытке вспомнить недавние события или недавно полученную информацию, снижением внимательности и умственной работоспособности, утомляемостью, нарушением сна, недостаточной гибкостью при перемене вида деятельности, психоэмоциональной лабильностью. Пациенты могут отмечать повышенную раздражительность, дневную сонливость, шум в голове, головную боль, не имеющую определенной локализации.
Симптомы могут варьировать у разных больных. В неврологическом статусе возможен нистагм, умеренная гиперрефлексия и мышечная гипертония, наличие рефлексов орального автоматизма и стопных знаков, неустойчивость в позе Ромберга, дискоординация, недостаточность ЧМН (понижение зрения, тугоухость, легкий птоз, парез взора), признаки вегетативной дисфункции.
Прогрессирование энцефалопатии сопровождается усугублением симптомов с формированием того или иного четко доминирующего неврологического синдрома: вестибуло-атактического, паркинсонического, гиперкинетического, псевдобульбарного. Нарастание нарушений интеллектуальной и эмоционально-волевой сферы приводит к формированию деменции. Возможны психические расстройства.
Острая энцефалопатия
Дебютирует внезапным психомоторным возбуждением с интенсивной головной болью, зрительными нарушениями, тошнотой и рвотой, шаткостью, в некоторых случаях — онемением языка, дистальных отделов кистей и стоп, психическими расстройствами. Достаточно быстро возбуждение сменяется апатией, зачастую происходит нарушение сознания различной глубины: оглушенность, дезориентация, сопор и кома. Могут наблюдаться различные виды эпиприступов. Острая энцефалопатия относится к ургентным состояниям и без оказания срочной медицинской помощи может привести к смертельному исходу вследствие отека мозга, нарушения функции жизненно важных церебральных центров.
Диагностика
Первичная диагностика энцефалопатии осуществляется неврологом по результатам опроса и неврологического осмотра. Дополнительно проводится комплексное инструментальное неврологическое обследование:
- Электроэнцефалография. ЭЭГ, как правило, выявляет диффузную дезорганизацию биоэлектрической активности мозга с появлением медленных волн. Возможно выявление эпи-активности.
- Эхоэнцефалография. Эхо-ЭГ позволяет оценить внутричерепное давление.
- Сосудистые исследования.Реоэнцефалография или УЗДГ сосудов головы дают информацию о состоянии церебрального кровообращения.
- Томография. Проанализировать степень морфологических изменений можно при помощи МРТ головного мозга. Этот метод также позволяет дифференцировать энцефалопатию от других церебральных заболеваний: болезни Альцгеймера, внутримозговой опухоли, энцефалита, рассеянного энцефаломиелита, инсульта, кортикобазальной дегенерации, болезни Крейтцфельдта — Якоба и пр.
Важнейшее значение в понимании этиологии энцефалопатии имеет сбор анамнеза, обследование соматических органов и консультации смежных специалистов: кардиолога, нефролога, гастроэнтеролога, эндокринолога, пульмонолога, нарколога. По показаниям проводятся гормональные исследования, определение уровня холестерина и сахара крови, анализ мочи, биохимия крови и мочи, УЗИ печени, УЗИ поджелудочной железы, экскреторная урография, УЗИ мочевыделительной системы, КТ почек, рентгенография грудной клетки, КТ легких и т. п.
Лечение энцефалопатии
Острая энцефалопатия является показанием к срочной госпитализации и ургентной терапии. Она может потребовать таких мер, как ИВЛ, гемодиализ, парентеральное питание. В лечении как острой, так и хронической энцефалопатии, ведущее место принадлежит терапии причинного заболевания.
Фармакотерапия
При интоксикациях производится дезинтоксикация, в т. ч. введение инфузионных растворов; при дисметаболических нарушениях — коррекция метаболизма (подбор дозы сахароснижающих препаратов или инсулина, введение р-ра глюкозы, в/в введение тиамина). Осуществляется лечение гепатита, цирроза, панкреатита, нефрита, заболеваний легких, гипертонической болезни, атеросклероза. Рекомендуется соблюдение диеты, соответствующей основной патологии, и режима, адекватного состоянию пациента.
Наличие ишемического компонента в патогенезе энцефалопатии является показанием к назначению сосудистой терапии: пентоксифиллина, тиклопидина, винпоцетина, ницерголина. Атеросклеротическая энцефалопатия требует включения в схему лечения гиполипидемических фармпрепаратов (например, симвастатина, гемфиброзила). Терапия гипертонической энцефалопатии проводится с назначением гипотензивных средств и мониторированием цифр АД.
В обязательном порядке проводится нейропротекторная и метаболическая терапия. В нее входят ноотропы (к-та гопантеновая, пирацетам, пиритинол, луцетам), аминокислоты (глицин, глутаминовая кислота), витамины (В1, В6, С, Е), препараты ГАМК (пикамилон, фенибут). При психических расстройствах необходимы психотропные средства: диазепам, бромиды, дроперидол, фенозепам. При судорогах проводится антиконвульсантная терапия, ноотропы противопоказаны.
Фармакотерапия осуществляется повторными курсами 2-3 раза в год. В качестве вспомогательного лечения используются методы физиотерапии: рефлексотерапия, электрофорез, магнитотерапия.
Хирургическое лечение
Прогноз и профилактика
Во многих случаях прогноз вторичной энцефалопатии определяет то, насколько эффективно можно лечить причинную патологию. Исход терапии также зависит от степени произошедших церебральных изменений. В ряде случаев положительным эффектом считается стабилизация энцефалопатии. При дальнейшем прогрессировании энцефалопатия достигает III степени и приводит к тяжелым неврологическим и эмоционально-психическим нарушениям, инвалидизирующим пациента. В случае перинатальной или острой энцефалопатии исход зависит от массивности и тяжести поражения мозговых тканей. Зачастую острые токсические энцефалопатии сопровождаются глубоким и необратимым поражением мозга.
Профилактика перинатальной энцефалопатии — это вопрос корректного выбора способа родоразрешения, адекватного ведения беременности, соблюдения правил ухода за новорожденным. Профилактика вторичной энцефалопатии заключается в своевременном выявлении и адекватном лечении сосудистых, урологических, гастроэнтерологических заболеваний, легочной патологии, эндокринных и метаболических нарушений. В качестве профилактических мер можно рассматривать правильное питание, активный образ жизни, отказ от курения, наркотиков и алкоголя.
Токсическая энцефалопатия
Токсическая энцефалопатия – это сочетание неврологических расстройств, обусловленных воздействием токсинов, ядов или производственных химикатов. Клинические проявления многообразны, зависят от этиологического фактора, могут включать в себя атактический и судорожный синдром, галлюцинации, расстройства речи, зрения, слуха и когнитивной сферы, поражения черепно-мозговых нервов, специфические кожные проявления. При диагностике используются данные анамнеза, результаты общего осмотра, лабораторных и инструментальных тестов. Лечение включает антидотную, дезинтоксикационную, патогенетическую и симптоматическую терапию.

Причины
Все токсические энцефалопатии возникают на фоне отравления организма токсичным для центральной нервной системы веществом. Причиной может быть как однократный контакт или прием (острые ТЭ), так и продолжительное насыщение токсином (хронические ТЭ). К наиболее распространенным причинам этой группы патологий относятся:
- Злоупотребление алкоголем, наркотики. Включает хроническое употребление больших доз алкоголя с последующим дефицитом витамина В1. Также токсическое влияние на ЦНС оказывают наркотические вещества – героин, кокаин, амфетамин и др.
- Работа на вредных производствах. Причиной энцефалопатии может стать продолжительный контакт с такими веществами как метанол, этиленгликоль, свинец, марганец, ртуть, фосфорорганические соединения, угарный газ при работе на заводе или в шахте. Возможно одномоментное получение большой дозы химиката при техногенных катастрофах, ошибочном употреблении в пищу.
- Бесконтрольный прием медикаментов. Чрезмерно высокие дозы или сочетание большого количества фармакотерапевтических средств могут оказывать пагубное воздействие на центральную нервную систему. Развитие ТЭ способны вызывать бензодиазепиновые производные, барбитураты, антидепрессанты, холинолитики и нестероидные противовоспалительные препараты (в первую очередь – салицилаты).
- Патологии печени и почек. Печень и почки – органы, отвечающие за утилизацию токсичных продуктов метаболизма. При выраженной почечной или печеночной недостаточности усиливается негативное воздействие экзогенных ядов, накапливаются естественные метаболиты, токсичные для ЦНС – аммиак, органические кислоты.
Механизмы развития различных форм токсических энцефалопатий досконально не изучены. Также не установлена четкая взаимосвязь между клиническими проявлениями и морфологическими изменениями в нервной системе. Принято считать, что в основе ТЭ лежит как прямое воздействие токсичного вещества, так и нарушение кровоснабжения головного мозга вследствие повреждения церебральных сосудов. Это, в свою очередь, приводит к дегенеративно-дистрофическим изменениям в тканях и отеку мозговых оболочек.
Возникают гемодинамические и ликвородинамические нарушения, что еще больше усугубляет токсическое и гипоксическое воздействие на ЦНС. В результате формируются диссеминированные участки некроза коры и подкорковых структур, фрагментации миелиновых оболочек. С учетом конкретного вещества могут выявляться определенные особенности, связанные с повышенной восприимчивостью некоторых структур нервной системы и способностью соединений накаливаться в различных органах.
Тетраэтилсвинец и ртуть могут депонироваться в паренхиматозных органах и нервной системе. При сатурнизме наблюдается повреждение нейронов в ЦНС, сегментарная демиелинизация с последующим аксональным поражением периферических нервов. Ртуть оказывает токсическое действие на нейроны коры затылочных долей и гранулярные клетки мозжечка, патология сопровождается аксональной дегенерацией и демиелинизацией периферических нервов. Угарный газ вызывает острую гипоксию головного мозга, взаимодействуя с гемоглобином и создавая стойкое соединение – карбоксигемоглобин.
ФОС вызывают нарушение функции ацетилхолинэстеразы, фермента одного из основных медиаторов ЦНС – ацетилхолина, что ведет к перевозбуждению М- и N-холинорецепторов. Сероводород оказывает негативное влияние путем связывания активных аминокислот, блокирования медьсодержащих энзимов, нарушения метаболизма серотонина, триптофана, никотиновой кислоты и витамина В6. При отравлении салицилатами и этиленгликолем ведущую роль играет формирующийся метаболический ацидоз.
Симптомы токсической энцефалопатии
Клинические проявления напрямую зависят от токсина, вызвавшего заболевание. При передозировке салицилатов вначале возникает общее недомогание, тошнота с рвотой, звон или шум в ушах, нарушение речи, звуковые и зрительные галлюцинации. Иногда наблюдается судорожный синдром, когнитивные расстройства, коматозное состояние. Отравление угарным газом сопровождается общемозговыми симптомами, нарушением памяти, галлюцинациями, атаксией, гипертонусом скелетных мышц, хореическими гиперкинезами и угнетением сознания.
ТЭ при отравлениях сероводородом отличается интенсивной упорной головной болью, головокружением, мелкоразмашистым тремором, состоянием опьянения, замедлением активных движений и другими проявлениями акинетико-ригидного синдрома. При ртутной энцефалопатии первыми признаками становятся вегетососудистые нарушения и синдром неврастении, комбинирующиеся с тяжелыми расстройствами ЖКТ. Постепенно формируется крупноразмашистый тремор, «ртутная эретизма», мозжечковая атаксия, дизартрия и деменция.
Свинцовая ТЭ характеризуется сильной разлитой головной болью, общей слабостью, недомоганием, ухудшением памяти, статическим тремором, выраженным ухудшением зрения, центральными парезами и параличами. В некоторых случаях определяется поражение двигательных и смешанных черепных нервов, эпилептические приступы. Типичное проявление – лилово-серая кайма, возникающая вдоль зубного ряда (симптом Брутона). При отравлении этиленгликолем отмечается горизонтальный нистагм и общее состояние, имитирующее алкогольную интоксикацию. При тяжелом отравлении возникает судорожный синдром, сопорозное состояние или кома.
ТЭ, вызванная ФОС, сопровождается атаксией, сильной цефалгией и головокружением, миоклонусами отдельных мышц и расстройствами вегетативной нервной системы. При сильном отравлении наблюдаются галлюцинации, делирий. Марганцевая ТЭ проявляется мышечной гипотонией, общей вялостью и сонливостью, эмоциональной лабильностью, расстройствами ходьбы, принужденной улыбкой или насильственным смехом, тремором языка и губ. В тяжелых случаях формируется «марганцевое безумие».
Острая алкогольная энцефалопатия характеризуется ярко выраженными общемозговыми симптомами, офтальмоплегией, страбизмом, нистагмом, выпадением сухожильных и периостальных рефлексов, гиперкинезами, мозжечковым нарушением координации движений, вегетососудистой дисфункцией и психическими расстройствами. При хронической форме алкогольной ТЭ возникают вегетативные и нейроэндокринные нарушения, бессонница или тревожные сны, тремор, деменция.
В процессе диагностики врач-невролог руководствуется анамнестическими сведениями, жалобами больного, результатами физикального, лабораторного и инструментального методов исследований. С учетом формы токсической энцефалопатии решающую роль в постановке заключительного диагноза могут играть различные диагностические методики. Общая программа обследования пациента с подозрением на ТЭ состоит из следующих пунктов:
- Сбор жалоб и анамнеза. Зачастую позволяет выявить токсическое вещество, спровоцировавшее нарушение состояния пациента. На вероятную этиологию могут указывать установленные в ходе беседы поражения других органов и систем. Акцентируется внимание на характере речи – наличии дизартрий, бессвязности сказанного.
- Внешний осмотр. При физикальном обследовании оценивается пульс, уровень артериального давления, состояние кожных покровов и видимых слизистых оболочек, объем активных и пассивных движений с целью поиска парезов, параличей и самопроизвольных мышечных подергиваний, тонус надкостных и сухожильных рефлексов. Исследуются функции черепных нервов, острота зрения и слуха на предмет быстро развивающейся слепоты и глухоты, нистагма и других симптомов.
- Общеклинические лабораторные тесты. В ОАК может определяться анемический синдром, лейкопения, нейтрофильный лейкоцитоз, панцитопения, базофильная зернистость эритроцитов и повышение СОЭ. В ОАМ могут выявляться свежие эритроциты, оксалаты, гиалиновые цилиндры, протеинурия, гематопорфирин и остатки тяжелых металлов. В биохимическом анализе крови отмечаются изменения водно-электролитного и кислотно-основного баланса, признаки нарушения порфиринового обмена.
- Электроэнцефалография.ЭЭГ применяется при наличии судорожного синдрома, глубокого нарушения сознания. На электроэнцефалограмме могут присутствовать медленные волны высокой амплитуды, угнетение α-ритма, общее подавление биоэлектрической активности или проявления судорожных очагов.
- Дополнительные методы диагностики. С учетом клинической ситуации и необходимости дифференциальной диагностики с другими патологиями дополнительно назначается электромиография, спинномозговая пункция, компьютерная или магнитно-резонансная томография головного мозга, токсикологические исследование волос и ногтей.
Лечение токсической энцефалопатии
Целью лечения патологии является выведение из организма химического вещества, минимизация поражений головного мозга, коррекция неврологического дефицита. В зависимости от тяжести общего состояния пациента терапия проводится в отделении клинической неврологии или блока реанимации и интенсивной терапии, включает в себя следующие мероприятия:
- Эвакуация токсина из организма. При острых интоксикациях, спровоцированных попаданием химиката внутрь через ЖКТ, производится промывание желудка дистиллированной водой или специфическими реагентами, после чего применяются энтеросорбенты.
- Дезинтоксикационная терапия. Направлена на связывание или выведение токсина, циркулирующего в крови. Представлена внутривенной инфузией плазмозаменителей и специфических антидотов, хелатной терапией, гемодиализом.
- Симптоматическая и патогенетическая терапия. Может состоять из масочной ингаляции кислорода, искусственной вентиляции легких, назначения противоэпилептических и мочегонных препаратов, транквилизаторов, нестероидных противовоспалительных средств, кортикостероидов.
Исход токсической энцефалопатии зависит от степени поражения ЦНС и свойств вещества. Выраженные интоксикации тяжелыми металлами, ФОС и этиленгликолем зачастую приводят к летальному исходу. Клинические проявления при отравлениях органическими растворителями могут самостоятельно регрессировать спустя несколько дней либо недель после прекращения контакта. Профилактика ТЭ основывается на соблюдении правил техники безопасности, использовании средств индивидуальной защиты при работе с токсическими веществами в быту и в условиях вредных производств, четком соблюдении рекомендаций врача при проведении медикаментозной терапии, отказе от вредных привычек.
3. Неврологические симптомы, синдромы и болезни. Энциклопедический справочник / Гусев Е.И., Никифоров А.С., Камчатнов П.Р. – 1999.
Постреанимационная энцефалопатия ( Постаноксическая энцефалопатия )
Постреанимационная энцефалопатия — это составляющая часть постреанимационной болезни, которая проявляется рядом неврологических и психологических нарушений. Характеризуется поражением тканей центральной нервной системы. Клиническая картина разнообразна, к числу основных симптомов относятся гиперкинезы, нарушения зрения, лобная атаксия, аментивно-делириозные психозы и судорожные припадки. Патология диагностируется на основании клинических данных и результатов визуализирующего обследования (КТ и МРТ). Специфическое лечение: барбитураты, средства, улучшающие микроциркуляцию, блокаторы кальциевых каналов, антиоксиданты, стабилизаторы клеточных мембран.
Понятия «болезнь оживленного организма» и «постреанимационная энцефалопатия» были внедрены академиком РАМН В. А. Неговским и сотрудниками клинической больницы им. С.П. Боткина в конце 60-х годов, в период зарождения и формирования реаниматологии как самостоятельной науки. Сегодня ПЭ считается распространенным явлением, возникающим в каждом случае временной остановки или существенного снижения перфузии в головном мозге. Причиной состояния является высокая чувствительность нейронов к гипоксии. Степень выраженности клинических проявлений варьируется от их полного отсутствия (мозг имеет большие приспособительные возможности) до развернутой картины повреждения того или иного участка нервной ткани.
Патология наблюдается не только после клинической смерти, но и у людей, перенесших терминальное состояние другого происхождения: травму, асфиксию, тяжелую кровопотерю, длительный эпизод гипотонии. В основе лежит кислородное голодание и нарушение всех обменных процессов. Определенную роль в формировании негативных трансформаций играет метаболическая буря, в том числе объемный выброс «шоковых» гормонов. Изменения происходят на молекулярном, клеточном, тканевом, органном, зональном и системном уровнях организации, могут быть обратимыми и необратимыми. К числу причин повреждения ГМ относится:
- Полная остановка кровообращения. Возникает в момент прекращения работы сердца (асистолия) или на фоне фибрилляции желудочков, когда волокна миокарда сокращаются разрозненно, неэффективно. Подобные состояния развиваются при острой коронарной патологии, травмах, интоксикации эндогенного или экзогенного происхождения, сенильной деградации органов системы кровоснабжения, механической асфиксии и т. д.
- Снижение перфузии. Резкое и длительное ослабление кровотока в управляющих структурах является результатом сосудистой патологии (коллапс), шоковых состояний, потери 50-60% ОЦК вследствие геморрагии из крупных артерий. При повреждении легочного ствола или полых вен объем экстравазата редко превышает 300-400 мл, однако АД снижается практически мгновенно, что приводит к церебральному кислородному голоданию.
- Ишемический инсульт. Может происходить как самостоятельно, так и на фоне реанимационных мероприятий. В последнем случае обструкция питающей артерии является следствием повышенного тромбообразования на первой стадии ДВС-синдрома. Характеризуется ограниченным некрозом тканей головного мозга, очаговой симптоматикой, свидетельствующей о нарушении функции определенной области ЦНС.
Гипоксия приводит к формированию региональной ишемии. Ткани испытывают кислородное голодание, страдают от недостатка питательных веществ. Энергетические ресурсы быстро исчерпываются, накапливается лактат, лизосомальные ферменты и ацил-коэнзимы. Электролиты и вода перераспределяются между клетками и межклеточным пространством. Усиленно образуются свободные радикалы. На органном уровне это проявляется набуханием и отеком церебральных структур, острым нарушением их функции.
В постреанимационном периоде наблюдаются процессы реоксигенации и рециркуляции. Работа нервных структур восстанавливается неравномерно. В межклеточной жидкости и клетках образуется монооксид азота, новые свободнорадикальные соединения. Имеет место повторное нарушение распределения ионов кальция. Изменяется нуклеиновый и белковый обмен веществ. Помимо сказанного, на работе ЦНС негативно отражается эндогенная интоксикация цитотоксическими продуктами и метаболический ацидоз. Все это провоцирует сбои в работе рецепторного аппарата, нарушения синтеза и функциональных возможностей нейромедиаторов, обрыв связей между нейронами.
Постреанимационная энцефалопатия может разделяться с использованием нескольких принципов. Известна классификация по времени, прошедшему с момента развития эпизода гипоксии (ранняя стадия, период острых проявлений, период восстановления), превалирующему синдрому (мозжечковый, ствольный, неврастенический, интеллектуально-мнестический, апаллический). Наиболее распространенной считается систематизация на основе степени восстановления ЦНС:
Симптомы постреанимационной энцефалопатии
На выходе из терминального состояния пациент находится в глубокой коме. Позднее наблюдается восстановление функций, за которые отвечают стволовые образования. Больной начинает самостоятельно дышать. Вначале отмечается одышка, брадипноэ, отдельные спастические вдохи. В среднем через 5-6 часов респираторная активность выравнивается. Появляется реакция зрачков на свет, спинальные рефлексы, кашлевой рефлекс. Сознание восстанавливается путем постепенного уменьшения глубины комы сначала до умеренной, позднее до сопорозного состояния.
После восстановления сознания выявляются выраженные психологические дефекты: психомоторное и речевое возбуждение, галлюцинации, психозы. Возможно развитие больших судорожных припадков, эпилептиформного синдрома. Нарушается зрительное, слуховое и тактильное восприятие, имеет место апраксия. Координация движений изменена, ослаблена. В последующем большинство этих явлений исчезает. Отдельные признаки могут сохраняться длительно или пожизненно.
Дольше всего у больного обнаруживаются свидетельства эмоциональной лабильности (перепады настроения), мышечной астении (слабость), апатико-абулического синдрома (эмоционально-волевое оскудение). Нередко пациенты жалуются на головные боли, головокружения, скачки артериального давления, периодическую тяжесть за грудиной, одышку. Эти явления обостряются при психологическом и эмоциональном перенапряжении. В той или иной степени постоянные остаточные изменения присутствуют у 70% больных. У 20-25% сохраняются нарушения работы опорно-двигательной системы (паралич, парез).
Осложнения
Основное отсроченное осложнение — регресс реконвалесценции и возвращение клиники заболевания. Чаще всего встречается на 2-3 или 10 сутки, однако может развиваться на 3-4 неделе и позже. Предположительно возникает как результат повышенной нагрузки на не полностью восстановившуюся нервную ткань. Приводит к стойкой психоневрологической инвалидизации. В отдельных случаях отмечается поражение только двигательных функций, умственные способности не страдают. Регресс в течение первых недель регистрируется у 4% больных, через 4-24 месяца — у 0,3%.
В начальные часы от восстановления кровотока может происходить тяжелый пульмональный отек, сопровождающийся резким ростом внутричерепного давления. При этом сохраняется глубокая кома, обнаруживается отечность сосков зрительных нервов, анизокория, нистагм, нестабильность гемодинамики, тахикардия, сменяющаяся брадикардией. При вовлечении в процесс центра терморегуляции выявляется гипертермия до 39-40° C, не поддающаяся медикаментозной коррекции. При отсутствии лечения исходом становится гибель пациента.
Постреанимационная энцефалопатия диагностируется врачом анестезиологом-реаниматологом. Для уточнения глубины и тяжести поражения может быть приглашен невролог или нейрохирург. Следует дифференцировать состояние с геморрагическим инсультом, травмой головного мозга, полученной до госпитализации или в ходе реанимационных мероприятий, церебральным отеком. Если симптомы ПЭ возникли после выписки из стационара, обследованием занимается невролог, который при необходимости направляет пациента на повторную госпитализацию. Для постановки диагноза используются следующие методики:
- Физикальные. Отмечается та или иная характерная клиническая симптоматика, признаки снижения мышечного тонуса или судорожной готовности. Регистрируются припадки, напоминающие эпилепсию. Картина варьируется в очень широких пределах, поэтому наличие одних только внешних симптомов не может служить основанием для постановки окончательного диагноза.
- Аппаратные. Основные методы — компьютерная томография, электроэнцефалография и транскраниальная допплерография. На церебральной КТ обнаруживают признаки гидратации или отека, наличие очагов органического повреждения. С помощью ЭЭГ определяют динамику внутримозгового проведения импульсов – обычно постреанимационная энцефалопатия приводит к его ослаблению. ТД позволяет оценить степень кровенаполнения мозга и работу сосудистого аппарата. Более информативной альтернативой исследования является изотопная ангиография.
- Лабораторные. В результатах лабораторных анализов крови выявляется снижение водородного числа менее 7,3, нарушение баланса электролитов. В большинстве случаев наблюдается рост концентрации калия, падение содержания кальция. Растворенные газы могут находиться в норме, если с момента остановки перфузии прошло более суток. До этого имеет место повышенное содержание CO2, недостаточный процент кислорода.
Лечение постреанимационной энцефалопатии
Патология требует поэтапного лечения. В острой стадии показана внешняя респираторная поддержка с помощью аппарата ИВЛ, введение средств, позволяющих обеспечить адекватный кровоток: прессорных аминов для стабилизации гемодинамики, сосудорасширяющих препаратов для устранения имеющегося спазма церебральных артерий. Голова пациента должна находиться на одном уровне с телом, ножной конец приподнят. Показано введение медикаментов, снижающих энергетические потребности мозга: тиопентала натрия, диазепама. После восстановления АД используют блокаторы каналов кальция, антиоксиданты, глюкокортикоиды в качестве стабилизаторов клеточных мембран, гепатопротекторы.
С 3-х суток начинают курс ноотропных средств, улучшающих метаболические процессы в нервной ткани. Терапевтическая схема включает в себя пирацетам и его аналоги. Лечение проводится на протяжении 1-1,5 лет курсами по 1-2 месяца. Если сохраняются судорожные припадки, больной должен получать противоэпилептические средства. Осуществляется симптоматическое лечение, подобранное с учетом остаточных изменений. При нарушениях психики назначаются седативные, противотревожные и снотворные лекарства. Требуется консультация психиатра. Санаторно-курортное восстановление допускается не ранее, чем через 2 месяца после выхода из критического состояния.
Прогноз зависит от тяжести и длительности перенесенной патологии. Долговременная остановка кровообращения становится причиной неврологической недостаточности даже в случаях, когда реанимационные мероприятия были начаты вовремя. Краткосрочное снижение перфузии без полного прекращения кровотока имеет благоприятное для пациента развитие. Общая смертность в течение 2-х лет составляет около 40%. Основная доля погибших подвергается тяжелому длительному гипоксическому поражению.
Профилактика заключается в постоянном контроле над состоянием нестабильных больных. При наличии предпосылок к остановке сердца нужно в короткие сроки провести коррекцию состояния. Если реанимация все же потребовалась, с момента возобновления работы ССС осуществляется профилактика тромбообразования, принимаются меры, позволяющие обеспечить нормальное кровоснабжение нервной системы. Рекомендована длительная ИВЛ в режиме небольшой гипокапнии. В оборудованных барокамерами клиниках пациенты проходят несколько процедур гипербарической оксигенации.
1. Церебральная недостаточность и структурные мишени ее протекции при постреанимационных энцефалопатиях/ Туманский В.А., Туманская Л.М., Тертышный С.И., Тимошенко С.Г., Евсеев А.В. – 2010.

Токсическая энцефалопатия представляет собой рассеянное органическое поражение головного мозга, которое может развиться как после тяжелых острых отравлений нейротропными ядами, так и при хронических профессиональных нейроинтоксикациях.
Ранними клиническими проявлениями различных хронических интоксикаций в большинстве случаев являются функциональные нарушения центральной нервной системы. При прогрессировании интоксикации происходит постепенное перерастание нейродинамических нарушений в стадию органических изменений - развивается картина токсической энцефалопатии. Органическая природа заболевания нередко может длительное время маскироваться астеническими или невротическими чертами, в связи с чем переход из функциональной стадии в органическую не всегда выявляется своевременно.
К веществам, которые способны вызывать рассеянные повреждения мозговых тканей, относятся:
- пестициды,
- продукты нефтеперегонки,
- соли тяжёлых металлов,
- химические составы бытового предназначения,
- нейротропные медицинские препараты (снотворные, транквилизаторы),
- угарный газ,
- пары ртути,
- свинец,
- мышьяк,
- марганец,
- спиртосодержащие жидкости,
- бактериальные токсины, образующиеся при ботулизме, кори, дифтерии.
Основные типы интоксикаций при энцефалопатии
Выделяют два основных типа интоксикаций: острую и хроническую:
- Острая токсическая энцефалопатия наступает в результате однократного, сильного воздействия отравляющего вещества на организм. Острое состояние требует срочной медицинской помощи и последующих реабилитационных мероприятий.
- В условиях систематического влияния отравления имеет место хроническая форма повреждения тканей мозга. Она наступает на поздних стадиях развития болезни, когда организм уже не способен противостоять длительному воздействию отравления. Больному требуется долгий курс лечения.
Клиническая картина
Для начальной формы токсической энцефалопатии характерна следующая симптоматика: жалобы на упорные головные боли, головокружение, снижение памяти, общую слабость, повышенную утомляемость, нарушение сна и др. На фоне резкой астенизации появляется рассеянная органическая симптоматика, которая не укладывается в картину какой-либо четко очерченной нозологической единицы (асимметрия лицевой иннервации, девиация языка, легкая гипомимия, рефлексы орального автоматизма, высокие сухожильные рефлексы, часто анизорефлексия, ослабление или исчезновение кожных рефлексов). Наряду с этим наблюдаются нарушения психоэмоциональной сферы: снижение памяти, внимания и умственной работоспособности, медлительность, заторможенность, апатия, немотивированная тревога, угнетенное настроение, выраженная эмоциональная лабильность.
Наиболее часто при токсических энцефалопатиях страдают стволовой и диэнцефальный отделы, нередко в процесс вовлекаются мозжечковая, оптико-вестибулярная и экстрапирамидная системы. Общей особенностью токсических энцефалопатий является рассеянность поражения. Однако каждое токсическое вещество придает заболеванию свои клинические особенности. Так, при марганцевой энцефалопатии на фоне диффузной патологии головного мозга начинают вырисовываться очаговые подкорковые симптомы. При энцефалопатиях, обусловленных хроническим воздействием окиси углерода, клинической особенностью является развитие церебрально-кардиальных ангиодистонических расстройств, протекающих на фоне органического диффузного поражения головного мозга. Нарушения координации движений, потливость, дрожание конечностей, галлюцинации, приступы раздражения и агрессии характерны для отравлений алкоголем.
Нарушения психики при различных энцефалопатиях также имеют некоторые особенности. Так, для сероуглеродной энцефалопатии характерны понижение активности, отсутствие инициативы, угнетенное настроение, тоска, равнодушие ко всем, прежде интересовавшим больного сторонам жизни. Такой же астенодепрессивный синдром часто возникает при энцефалопатиях, развившихся вследствие хронической интоксикации этилированным бензином. Ртутной энцефалопатии свойственно сочетание повышенной эмоциональной возбудимости с растерянностью, болезненной застенчивостью, нерешительностью и неуверенностью в себе.
Сроки развития токсических энцефалопатий различны. Так, при интоксикациях сероуглеродом и марганцем энцефалопатия развивается значительно быстрее, чем при хронической интоксикацией алкоголем, ртутью, свинцом или окисью углерода.
Течению токсических энцефалопатий свойственны стойкость патологических проявлений, наличие остаточных явлений в отдаленном периоде и наклонность к прогрессированию вне контакта с токсическим агентом. Патологоанатомические данные указывают, что в основе токсических энцефалопатий лежат сосудистые поражения головного мозга и рассеянные дегенеративные изменения мозговой ткани.
Лечение токсической энцефалопатии головного мозга
Устранение причин, давших толчок болезни, является безотлагательной мерой в тактике лечения токсических энцефалопатий. Контакт больного с ядовитой средой должен быть прекращён. В большинстве случаев пациенту предлагается госпитализация. Первичные назначения врача состоят в детоксикационных мерах. Пациенту назначаются антидоты, нейтрализующие действие ядов. Лекарство подбирается в соответствии с типом отравляющего вещества. Общие мероприятия по детоксикации заключаются в очистительных клизмах, стимуляции диуреза, проведении плазмафереза и гемодиализа.
Следующим этапом лечения являются меры по улучшению кровообращения в сосудах мозга и активизации метаболических процессов. Больному показаны внутривенные и внутримышечные вливания следующих препаратов:
- кавинтон,
- пирацетам,
- церебролизин,
- актовегин,
- цераксон,
- глиатилин.
Для внутримышечного введения назначаются витамины В, С, Р. Перорально пациент принимает биостимуляторы и адаптогены: экстракт женьшеня, лимонника, элеутерококка, препараты на основе алоэ.
По симптоматическим показаниям могут быть назначены транквилизаторы, миорелаксанты, противосудорожные и седативные средства, антидепрессанты:
- реланиум,
- карбамазепин,
- мидокалм,
- сирдалуд,
- амитриптилин,
- тералиджен,
- паксил,
- анафранил.
После стабилизации состояния в курс лечения включаются физиотерапевтические комплексы. Эффективными признаны массаж, иглорефлексотерапия, гидротерапия, грязелечение.
Последствия и прогноз токсических энцефалопатий
Успех лечения больных с поражением мозговых структур во многом зависит от степени тяжести состояния, при которой пациент стал получать медицинскую помощь.
Запущенные болезни не могут быть полностью излечены, а глубокие церебральные изменения не поддаются корректировке. Квалифицированная помощь будет наиболее действенной на ранних стадиях процесса.
Наличие остаточных явлений и прогрессирование болезни без контакта с ядовитыми агентами характерно для отравлений. Но это не означает, что больной лишается надежды на исцеление. Даже в случае инвалидизации самочувствие может стать вполне удовлетворительным при условии проведения полного курса лечебных процедур.
Регулярные реабилитационные мероприятия необходимо проводить на протяжении дальнейшей жизни. Эти меры позволят замедлить дегенеративные процессы в тканях мозга и восстановить многие утраченные функции.
Читайте также:
- Рентгенограмма, МРТ искусственного шейного межпозвонкового диска
- Саркома Юинга - клиника, диагностика
- Дилатация сердца. Дилатационная кардиомиопатия без нарушений проводимости
- Классификация аномалий развития мозжечка
- Диагностика ботулизма. Микробиологическая диагностика ботулизма. Выявление ботулизма. Биологическая проба при ботулизме.
