Диагностика травматической каротидно-кавернозной фистулы по КТ, МРТ, ангиограмме
Добавил пользователь Евгений Кузнецов Обновлено: 28.11.2025
Какой метод диагностики фистулы выбрать: МРТ, КТ, ангиографию
Методы выбора
Информативна ли МСКТ сосудов мозга при каротидно-кавернозной фистуле
- Экзофтальм
- В некоторых случаях могут идентифицироваться такие признаки, как расширение кортикальных вен
- Субарахноидальные кровоизлияния (САК) вследствие рефлюкса (обратного тока крови) в кортикальные вены с последующим разрывом данных сосудов
- При контрастировании определяются расширенная верхняя глазная вена, а также существенно увеличенный в размерах кавернозный синус.
Что покажут снимки МРТ головного мозга наличии фистулы
- Изменение гемодинамики в кавернозном синусе, а также в расширенной глазной вене
- При выполнении артериографической визуализации в TOF-режиме идентифицируется расширенная глазная вена.
Проводят ли ангиографию сосудов мозга
- Высокая скорость контрастного наполнения увеличенного в размерах каротидного синуса после введения контрастного вещества в ВСА
- Отток крови из каротидно-кавернозной фистулы осуществляется за счет одной или обеих верхних глазных вен (система лицевой вены)
- Также может встречаться схема строения, при которой отток венозной крови осуществляется за счет верхнего и нижнего каменистых синусов (система внутренней яремной вены) или за счет базальной вены Розенталя (система вены Галена).
Клинические проявления
Типичные симптомы каротидно-кавернозной фистулы:
- Пульсирующий экзофтальм
- Снижение остроты зрения
- Воспаление конъюнктивы, инъекция сосудов склеры.
Принципы лечения каротидно-кавернозной фистулы
- Эндоваскулярные вмешательства (окклюзия фистулы спиралью или баллоном из платины)
- При неэффективности различных терапевтических мероприятий - окклюзия ВСА.
Течение и прогноз заболевания
- В редких случаях возникают спонтанные окклюзии
- При отсутствии лечения - прогрессирование симптоматики.


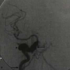
Кортикокавернозная фистула. ЦСА, заднепередняя (а) и латеральная проекции (b). Фаза раннего артериального наполнения (ВСА - стрелка) кавернозного синуса (раздвоенная стрелка), дренирующегося в оба каменистых синуса. Расширенная верхняя глазная вена (наконечник стрелки).
Что хотел бы знать лечащий врач?
- Идентификация фистулы, а также визуализация направлений венозного оттока.
Какие заболевания имеют симптомы, схожие с каротидно-кавернозной фистулой
Тиреоидная офтальмопатия
- 80% случаев - двусторонний характер поражения
- В 70% случаев — гипертиреоз
Тромбоз или тромбофлебит кавернозного синуса
- Центральный характер контрастного усиления
- Отсутствие изменений гемодинамики (по данным визуализации с контрастированием)
- Может встречаться одновременно с каротиднокавернозной фистулой
Псевдотумор глазницы
- Идиопатический, воспалительный характер патологии, положительный эффект от применения кортикостероидных препаратов
Советы и ошибки
При интерпретации КТ-картины головного мозга целесообразно также внимательно отнестись к описанию патологических изменений в области глазницы.
Диагностика травматической каротидно-кавернозной фистулы по КТ, МРТ, ангиограмме
Хроническая травматическая энцефалопатия на МРТ
а) Терминология:
• Определение:
о Нейродегенеративное заболевание, обусловленное повторяющимися сотрясениями/субсотрясениями головного мозга
• Сокращения:
о Хроническая травматическая энцефалопатия (ХТЭ)
• Синонимы:
о Деменция боксеров («punch drunk»)
о Постконтузионный синдром
б) Визуализация хронической травматической энцефалопатии:
• МРТ:
о Несоответствующая возрасту потеря объема мозговой ткани:
- Воксельная морфометрия: с непропорциональным преобладанием в медиальных областях височных долей
о Неспецифичные сливающиеся точечные гиперинтенсивные на T2/FLAIR участки в глубоком, перивентрикулярном БВ
о DTI: снижение ФА, увеличение СДС (средняя диффузионная способность) в сочетании с потерей целостности БВ
- Пучок крючка головного мозга, верхний/нижний продольный пучки
о Т2*: микрокровотечения в 10% случаев
• ПЭТ:
о Гипометаболизм в области височных и теменных долей при ФДГ-ПЭТ
о Лиганды для ПЭТ-визуализации фосфорилированного тау-белка могут являться in vivo биомаркерами
(а) MPT, FLAIR, аксиальный срез: у пациента среднего возраста (бывшего профессионального спортсмена) с ранним началом деменции определяется диффузная потеря объема мозговой ткани обоих полушарий в сочетании с многочисленными сливающимися и разрозненными точечными гиперинтенсивными очагами в подкорковых и глубоких отделах белого вещества (БВ).
(б) MPT, Т2 * SWI, аксиальный срез: у этого же пациента в подкорковом и глубоком БВ определяются многочисленные точечные очаги «выцветания» изображения, соответствующие микрокровоизлияниям. У пациента была клинически диагностирована хроническая травматическая энцефалопатия (ХТЭ). (а) Макропрепарат, полученный при аутопсии пациента, получившего тяжелую черепно-мозговую травму: определяются отдаленные эффекты травматического повреждения головного мозга. Обратите внимание на энцефаломаляцию обеих лобных долей, а также выраженный глиоз в субкортикальном БВ. Обратите внимание на отсутствие микрокровоизлияний.
(б) MPT, Т2* GRE, аксиальный срез: у пожилого пациента с единичным эпизодом черепно-мозговой травмы средней степени тяжести определяется энцефаломаляция левой лобной доли, а также глиоз и поверхностный сидероз соседней коры головного мозга SB. Обратите внимание на отсутствие микрокровоизлияний.
в) Патология хронической травматической энцефалопатии:
• Этиология:
о Повторные черепно-мозговые травмы
о Контактные виды спорта (американский футбол, футбол, хоккей, бокс, борьба, смешанные боевые искусства и т.д.)
о Воздействие взрывных волн от самодельных взрывных устройств
• Макроскопические признаки: подобны таковым у восьмидесятилетнего пациента с болезнью Альцгеймера
• Микроскопические признаки: нейрофибриллярные клубки, бляшки Аβ
г) Клиническая картина:
• Когнитивная дисфункция, потеря памяти
• Вариабельные нарушения настроения, поведения, расстройства личности
а) Терминология:
1. Сокращения:
• Каротидно-кавернозная фистула (ККФ)
2. Синонимы:
• Прямая ККФ, ККФ с высоким кровотоком 3. Определения:
• Разрыв/рассечение кавернозного отдела внутренней сонной артерии (ВСА) с формированием единичного отверстия с артериовенозным шунтированием крови в кавернозный синус (КС)
б) Визуализация:
1. Общие характеристики:
• Лучший диагностический критерий:
о Проптоз, дилатация верхней глазной вены (ВГВ) и КС, увеличение размеров глазодвигательных мышц (ГДМ)
2. КТ при травматической каротидно-каверной фистуле:
• Бесконтрастная КТ:
о Перелом основания черепа с нарушением целостности клиновидной кости/канала сонной артерии - ↑ вероятность повреждения ВСА
о Проптоз, дилатация ВГВ, КС и увеличение ГДМ:
- «Грязная» клетчатка глазницы (вследствие отека)
о Субарахноидальное кровоизлияние (САК) вследствие ассоциированной травмы или артериализации кровотока в корковых венах
• КТ с контрастированием:
о Дилатация ВГВ и КС
о ↑ контрастированием ГДМ, неоднородное контрастирование внутриглазничной жировой клетчатки

(а) На рисунке коронального среза показана каротидно-кавернозная фистула (ККФ). Правый пещеристый синус расширен за счет наличия в нем множественных дилатированных артерий и вен.
(б) Бесконтрастная КТ, аксиальный срез: определяются классические признаки ККФ. Отмечается расширение правого пещеристого синуса, а также ипсилатеральной верхней глазной вены, диаметр которой более, чем в 4 раза превышает диаметр левой верхней глазной вены.
3. МРТ при травматической каротидно-каверной фистуле:
• Т1-ВИ с контрастированием:
о Признаки аналогичны КТ с контрастированием
• МР-ангиография:
о ↑ сигнала от кровотока в КС и ВГВ:
о Потеря сигнала во ВСА вследствие турбулентного кровотока
4. УЗИ:
• Доплеровское исследование: инверсия кровотока в дилатирован-ных ВГВ (по направлению от интра- к экстракраниальным отделам)
5. Ангиография при травматической каротидно-каверной фистуле:
• Традиционная:
о Раннее заполнение контрастом КС + путей оттока, включая:
- Ретроградное заполнение контрастом ВГВ, угловых + лицевых вен
- Контралатеральный КС
- Каменистые синусы → внутреннюю яремную вену(ы)
о Снижение или отсутствие антеградного кровотока во ВСА за пределами фистулы, зависит от размера дефекта ВСА
6. Рекомендации по визуализации:
• Лучший инструмент визуализации:
о ЦСА является окончательным методом исследования
о КТ/КТ-ангиография могут помочь в постановке предположительного диагноза; для его подтверждения и последующего лечения необходима ЦСА
• Советы по протоколу исследования:
о ЦСА: при съемке используйте метод увеличения и высокую частоту кадров для визуализации точной локализации шунта
о КТ-ангиография: тонкосрезовое сканирование с многоплоскостной реформацией

(а) МРТ, Т2-ВИ, аксиальный срез: типичные признаки ККФ-расширение правого пещеристого синуса, содержащего множественные аномальные участки потери сигнала за счет эффекта потока.
(б) ЦСА, боковая проекция: у пациента с ККФ в артериальную фазу определяется контрастирование пещеристого синуса. Также контрастированы множественные венозные пути оттока крови из пещеристого синуса, включая верхние глазные вены, верхний и нижний каменистые синусы, крыловидное и глоточное венозные сплетения.
в) Дифференциальная диагностика:
1. Непрямая ККФ:
• Также именуется ККФ с низким кровотоком, дуральная артериовенозная фистула (дАВФ) КС
2. Увеличение размеров ГДМ:
• Офтальмопатия Грейвса
• Воспалительная псевдоопухоль, новообразование
в) Патология. Общие характеристики травматической каротидно-каверной фистулы:
• Этиология:
о Перелом костей основания черепа с повреждением ВСА костным отломком
о Повреждение стенки сосуда от растяжения в участке между неподвижными точками рваного отверстия и переднего наклоненного отростка клиновидной кости
• Ассоциированные аномалии:
о Артериализация кровотока в КС с венозным рефлюксом
- Верхние/нижние глазные вены → проптоз, хемоз, ↑ внутриглазного давления → ↓ перфузионного давления в сосудах сетчатки глаза → слепота
- Корковые вены → повышенный риск САК
о Снижение антеградного кровотока во ВСА за пределами ККФ → полушарная ишемия
г) Клиническая картина травматической каротидно-каверной фистулы:
1. Проявления:
• Наиболее частые признаки/симптомы:
о Манифестация возможна в течение нескольких дней или недель после травмы
о Шум при аускультации, пульсирующий экзофтальм, орбитальный отек/эритема, ↓ зрения, глаукома, головная боль
о Полушарная ишемия при ↓ кровотока во ВСА за пределами ККФ
о Тяжелая/быстрая потеря зрения, САК → неотложное состояние
о Очаговый неврологический дефицит → III-VI черепные нервы
2. Течение и прогноз:
• Варианты эндоваскулярного вмешательства включают:
о Трансартериально-трансфистулярная эмболизация съемным баллоном
о Трансвенозная эмболизация
о Pipeline стентирование в области разрыва ВСА
о Coil-эмболизация ВСА или ее эмболизация съемными баллонами (при переносимости пациентом отсутствия антеградного кровотока за пределами фистулы или положительным тестом эмболизации съемным баллоном)
д) Диагностическая памятика:
1. Советы по интерпретации изображений:
• Дилатация ВГВ и КС, проптоз, отек внутриглазничной жировой клетчатки
2. Советы по отчетности:
• КТ/МРТ могут помочь в постановке предположительного диагноза; для постановки окончательного диагноза и последующего лечения необходима ЦСА
Каротидно-кавернозная фистула
- пульсирующий экзофтальм: ~ 75%
- хемоз и подконъюнктивальное кровоизлияние
- проптоз
- прогрессирующая потеря зрения: 25-32%
- пульсирующий шум в ушах ( как правило, объективный)
- повышенное внутричерепное давление
- субарахноидальное кровоизлияние, внутримозговое кровоизлияние, оторрагия, носовое кровотечение: ~ 5%
- параличи черепно-мозговых нервов ( III , IV, Vс, VI )
Классификация
Существует несколько классификаций ККФ, в соответствии с их этиологией (травматические или спонтанные), динамикой потока (быстрый или медленный поток) и анатомией (прямые (прямая связь между интракавернозным сегментом ВСА и кавернозным синусом) или непрямые (связь осуществляется через ветви ВСА или НСА)).
Согласно классификации Barrow и соавторов, основанной на их артериальной поддержке, ККФ делят на четыре основных типа:
Наиболее распространенными причинами прямых фистул являются разрыв аневризмы и травмы, менее распространены такие причины, как синдромы дефицита коллагена, фиброзно-мышечная дисплазия, артериальная диссекция.
Непрямые ККФ, как правило, спонтанны и часто встречаются у женщин после менопаузы, либо являются вторичными по отношению к тромбозу кавернозного синуса с реваскуляризацией. К предрасполагающим факторам относятся гипертония, сахарный диабет, беременность, коллагеновые сосудистые заболевания, хирургические процедуры в данной области и синусит.

При прямых ККФ, венозный дренаж может быть разнонаправленным:
- передний - дренаж в офтальмическую венозную систему, вызывающий проптоз, хемоз, гиперемию конъюнктивы; кровоток к лицевой венозной системе и наружной яремной вене
- задний - фистула может дренироваться в верхний и нижний каменистые синусы, или базилярное венозное сплетение
- боковой - дренаж в клиновидно-теменной синус
- контралатеральный - оба пещеристых синуса анастомозируют спереди и сзади через межкавернозные синусы
- нижний - обычно менее значимый; поток может быть в крыловидном сплетении через вену круглого отверстия и вену овального отверстия.
Чаще всего, направление дренажа смешанное.

Венозная сеть основания черепа: 1. верхняя глазная вена 2. передний межпещеристый синус 3. нижняя глазная вена 4. крыловидные сплетение 5. средняя менингеальная вена 6. верхний каменистый синус 7. нижний каменистый синус 8. базилярное венозное сплетение 9. поперечный синус 10. задний межпещеристый синус 11. кавернозный синус 12. клиновидно-теменной синус
Особенности визуализации
КТ/МРТ
- проптоз
- расширение верхних глазных вен
- могут быть увеличены экстраокулярные мышцы
- орбитальный отек
- САК / внутримозговое кровоизлияние из разорвавшейся кортикальной вены
Ангиография (DSA)
- быстрое шунтирование из ВСА в кавернозный синус
- расширение дренирующих вен
- ретроградный поток из кавернозного синуса, наиболее часто в глазные вены
УЗИ
- артериализация глазных вен при допплерографии
Лечение и прогноз
Естественное течение ККФ весьма разнообразно, начиная от спонтанного закрытия до быстро прогрессирующих симптомов. Индикаторами плохого результата лечения являются питание аневризм (непрямая ККФ) и ретроградное заполнение кортикальных вен (повышенный риск кровотечения).
Прямые фистулы имеют относительно высокую частоту спонтанного кровоизлияния (8,4%), которое может быть в виде субарахноидального, внутримозгового или наружного кровотечения (носовое или оторрагия). Субконъюнктивальное кровоизлияние является обычным явлением и не ассоциировано с плохим прогнозом.
Артериовенозная фистула
МКБ-10
Общие сведения
Артериовенозная фистула представляет собой прямое соустье артерии с веной, пропускающее кровь, минуя капилляры. Это достаточно редкое заболевание – частота патологических почечных шунтов не превышает 1 случая на 1000 человек, спинальные фистулы встречаются еще реже (1 на 100 тыс.). Однако среди сосудистых мальформаций мозга на долю фистульных образований приходится 60–80%, распространенность периферических вариантов достигает 20%. Патологические соустья бедренной артерии составляют 12–30%, сонной и подключичной – до 25% от общего числа подобных дефектов. Женщины страдают артериовенозными дисплазиями в 2–3 раза чаще мужчин.
Причины
Возникновение фистул опосредовано повреждением артериальной и венозной стенок под воздействием внешних или внутренних факторов. Наряду со структурными дефектами и заболеваниями, все большую роль в этиологии артериовенозных шунтов приобретают ятрогенные факторы. В сосудистой хирургии выделяют следующие группы причин:
- Врожденные аномалии. Большинство врожденных мальформаций являются результатом нарушений эмбриогенеза между 4 и 10 неделями гестации. Предполагается влияние внутриутробных инфекций, интоксикаций, артериальной гипертензии у матери и приема некоторых лекарств во время беременности.
- Наследственные заболевания. Трансформация мелких сосудов в артериовенозные шунты и аневризмы наблюдается при наследственной патологии – болезни Рандю-Ослера-Вебера (семейной геморрагической телеангиэктазии), синдроме «голубого пузырчатого невуса». Прослеживается связь с генными мутациями, нарушающими нормальный ангиогенез (PTEN, RASA 1).
- Хроническая патология. Отмечена связь пульмональных фистул с хроническими легочными инфекциями и паразитарными инвазиями (туберкулезом, шистосомозом, актиномикозом), метастазами рака щитовидной железы. Патология встречается при циррозе печени и врожденных пороках сердца.
- Механические травмы. Появление многих приобретенных дефектов связывают с механическим повреждением вены и артерии, расположенных рядом и плотно прилегающих друг к другу. Так обычно происходит при колющих, огнестрельных, реже - тупых ранениях, переломах основания черепа и длинных трубчатых костей со смещением отломков.
- Инвазивные вмешательства. Вероятность появления патологических соустий увеличивается при катетеризации сосудов (трансфеморальной аорто- и коронарографии, чрескожной чреспеченочной холангиографии), биопсии паренхиматозных органов (печени, почек). С подобной проблемой сталкиваются после эндопротезирования коленных суставов, операций на межпозвонковых дисках, нефростомии.
- Хирургические манипуляции. Искусственно созданное соустье между артериальным руслом и венозной системой необходимо при терминальной почечной недостаточности для облегчения процедуры гемодиализа. По сравнению с остальными видами сосудистого доступа, артифициальное соединение имеет более высокую долгосрочную проходимость с хорошей скоростью потока и низким риском осложнений.
В этиопатогенезе фистульных аномалий немаловажная роль отводится эрозиям и спонтанным разрывам артериальных аневризм в близлежащие вены. Значимыми и независимыми факторами риска патологических соустий являются прием антикоагулянтов (гепарина, варфарина), артериальная гипертензия, женский пол.
Патогенез
Точный патогенез артериовенозных мальформаций первичного характера неизвестен. В концевых артериальных петлях может возникнуть аномалия, приводящая к расширению тонкостенных капиллярных мешочков. По иным предположениям, дисплазии становятся результатом неполной резорбции сосудистых перегородок, разделяющих артериальное и венозное сплетение во внутриутробном периоде развития плода. Предполагается, что небольшие фистулы возникают при нарушении формирования капилляров.
Травматическим шунтам предшествует образование аневризмы и гематомы. Сращение сосудов происходит по типу заживления раны первичным натяжением. Кровь, вылившаяся в окружающие ткани и частично рассосавшаяся, организуется с формированием трубчатого хода, сообщающего артерию с веной. Стенки патологического шунта укрепляют гладкомышечные, соединительнотканные элементы и эндотелий, проникающие со стороны поврежденных ветвей. Постоянный кровоток через свищевой ход предотвращает его заращение.
Шунтирование крови по патологическим соустьям провоцирует обкрадывание тканей, расположенных дистальнее. При изменении давления и характеристик кровотока по обе стороны дефекта возникают турбулентные потоки, создающие условия для дальнейшего повреждения сосудистой стенки и дегенеративных процессов. В периферических тканях наблюдаются явления артериальной ишемии и венозной гипертензии, компенсаторно развивается сеть коллатералей. Крупные свищи провоцируют увеличение объема циркулирующей крови, нарушение сердечной деятельности, венозную недостаточность.
Артериовенозные фистулы входят в структуру сосудистых мальформаций. На изолированную форму (прямое соединение) приходится 11% случаев, а смешанный шунт (с наличием клубка измененных ветвей) характерен для 53% пациентов. В клинической ангиологии такие соустья классифицируются на основании следующих критериев:
- По происхождению. Первичные фистулы имеют врожденный характер, вторичные являются приобретенными. Последние разделяются на травматические, ятрогенные и спонтанные. Врожденные всегда возникают изолированно, без связи с другими факторами. Травматические фистулы на верхних и нижних конечностях встречаются одинаково часто (20%), доля внутригрудных и внутрибрюшных составляет около 4%.
- По локализации. Исходя из расположения, различают центральные (церебральные, спинальные) и периферические шунты (легочные, коронарные, почечные, печеночные, подкожные). В зоне головы и шеи встречаются экстрацеребральные (дуральные, каротидно-кавернозные соустья), интрацеребральные (пиальные), экстракраниальные (магистральных сосудов шеи), эктра-интракраниальные (артерио-югулярные) образования.
- По распространенности. Аномальные соединения между артериями и венами бывают ограниченными и диффузными, единичными и множественными. Распространенные формы имеют четкую генетическую обусловленность и могут входить в клиническую структуру синдромов Кобба, Клиппеля-Треноне, Паркса-Вебера.
- По размеру. Градация артериовенозных фистул по величине дефекта является одним из определяющих критериев, влияющих на выбор лечебной тактики. Учитывая диаметр вены, выделяют несколько разновидностей аномальных соустий: малые (от 1 до 3 мм), средние (3–6 мм), крупные (более 6 мм).
Существует ангиографическая классификация фистул, применимая к подкожным образованиям, расположенным в области туловища и конечностей. Рассматривая морфологию шунта, выделяют три типа поражения: I – артериовенозный, II - артериоловенозный, III – артериоловенулярный.
Симптомы артериовенозной фистулы
Характер симптоматики определяется локализацией шунтов и их размерами. Небольшие образования на конечностях, в легких, почках и головном мозге обычно протекают бессимптомно и бывают случайной диагностической находкой. Врожденная патология проявляется еще в раннем детстве или в более старшем возрасте. Клиническая картина посттравматических свищей развивается сразу после повреждения либо спустя несколько недель, месяцев.
Подкожный сосудистый свищ заметен по расширению вены, пальпаторной и визуальной пульсации, локальной отечности. Врожденные процессы зачастую сопровождаются изменением кожной окраски на красно-багровую. Над фистульным образованием локальная температура повышена, в дистальных отделах наблюдаются признаки ишемии: похолодание, бледность, сухость кожи. При аускультации над пульсирующей аномалией выслушивается систолический и диастолический шум. Если сильно прижать образование пальцем, то происходит замедление частоты сердечных сокращений (феномен Бранхама-Николадони).
Значительный сброс крови из артериального в венозное русло при больших свищах ведет к возникновению признаков гиперкинетического кровотока: тахикардии, увеличения систолического и пульсового давления, снижения толерантности к физическим нагрузкам. Каротидно-кавернозные свищи могут проявляться пульсирующим экзофтальмом, односторонним покраснением склеры и конъюнктивы, двоением в глазах, снижением остроты зрения, шумом в ушах. Церебральные мальформации провоцируют развитие судорожного синдрома, головных болей, явлений неврологического дефицита (речевых нарушений, мышечной слабости, координаторных и чувствительных расстройств, снижения памяти и внимания).
Начальные симптомы спинальных образований неспецифичны, включают трудности при подъеме по лестнице, нарушение походки, сегментарные сенсорные расстройства (парестезии, гипо-, анестезию), корешковые боли в конечностях. Неврологические симптомы постепенно прогрессируют и имеют восходящий характер. На поздних стадиях наблюдаются нарушения мочеиспускания, дефекации, эрекции. Иногда заболевание имеет острое начало и прогрессирующие развитие с промежуточными ремиссиями.
Осложнения
Длительно существующие сосудистые шунты сопровождаются повышением давления в отводящих венах, что провоцирует их варикозное расширение с тромбозом и трофическими нарушениями. Сброс большого объема крови мимо капилляров приводит к перегрузке сердца, кардиомегалии, развитию хронической циркуляторной недостаточности и эндокардита. Серьезные последствия фистул связаны с их разрывом и возникающим внутренним кровотечением.
Очаг в веществе головного мозга осложняется геморрагическим инсультом с развитием стойкого неврологических расстройств и инвалидизацией пациента. Почечные аномалии сопровождаются внутрибрюшным и забрюшинным кровотечением, а разрыв магистральных стволов может иметь самые неблагоприятные последствия, вплоть до летального исхода.
Диагностика
Распознавание врожденных и приобретенных артериовенозных свищей в большинстве случаев осуществляется средствами инструментальной диагностики. Клиническими методами можно выявить лишь периферическую аномалию (на туловище, конечностях) или по совокупности симптомов заподозрить ее присутствие в каком-либо органе. Точную визуализацию сосудистого образования обеспечивают следующие диагностические процедуры:
Диагностическая программа составляется сосудистым хирургом или более узкими специалистами. В дополнение к описанным исследованиям, назначают КТ или МРТ головы, позвоночника, внутренних органов. Учитывая локализацию патологии, может потребоваться консультация нейрохирурга, пульмонолога, уролога и других врачей. К общей патологии, с которой следует дифференцировать артериовенозную фистулу, относят схожие мальформации (капиллярные, плексиформные), сосудистые аневризмы, гемангиомы, варикозную болезнь.
Лечение артериовенозной фистулы
Целью лечения является закрытие патологического соустья с сохранением проходимости основных сосудов. В основу положен принцип изоляции и разрушения аномальной связи артериального русла с венозным. Выбор оптимальной тактики проводится с учетом локализации, размера и типа соустья, динамики кровотока, особенностей дистальных участков. На практике применяют несколько способов коррекции дефекта:
Аномальные шунты небольших размеров, не являющиеся гемодинамически значимыми, подлежат наблюдению. Являясь косметическим дефектом, они могут удаляться лазерной коагуляцией. Крупные подкожные свищи требуют открытого хирургического доступа с реконструкцией сосудов. При доброкачественных фистулах назначают консервативную терапию (компрессионный трикотаж, нестероидные противовоспалительные средства, ангиопротекторы). Есть данные об успешном медикаментозном лечении врожденных артериовенозных дисплазий ингибиторами металлопротеиназ и некоторыми иммунодепрессантами.
Прогноз и профилактика
Известны случаи спонтанного регресса первичных артериовенозных фистул. При длительно сохраняющихся шунтах риск разрыва и сердечной декомпенсации делает прогноз неблагоприятным. Но после радикальной коррекции удается полностью избавиться от сосудистого дефекта, нормализовав гемодинамику и восстановив функцию пораженной области. Меры профилактики приобретенных соустий включают предупреждение травматизма, соблюдение техники выполнения инвазивных вмешательств, своевременное лечение хронических заболеваний. Риск врожденных мальформаций можно снизить при исключении негативного влияния на плод в период беременности.
1. Современные концепции лечения артериовенозных ангиодисплазий (мальформаций). Согласительный документ/ Покровский А.В. и др.// Ангиология и сосудистая хирургия - 2015 - №29.
2. Клинические рекомендации по диагностике и лечению артериовенозных мальформаций центральной нервной системы/ Парфенов В.Е., Свистов Д.В., Элиава Ш.Ш., Яковлев С.Б., Тиссен Т.П., Иванов А.Ю.,Иванов П.И. - 2014.
3. Рентгенэндоваскулярные методы диагностики и лечения цереброваскулярной патологии: Автореферат диссертации/ Боломатов Н.В. - 2014.
4. Артериовенозные фистулы головы и шеи. Клиника, ангиоархитектоника, эндоваскулярное лечение: Автореферат диссертации/ Яковлев С.Б. - 2008.
Читайте также:
- Скелет конечностей эмбриона. Формирование скелета верхних конечностей плода
- Непрерывно-узловой шов. Двухрядный шов. Шов Альберта. Шов Черни. Шов Кирпатовского. Шов Вахтангишвили.
- Причины ушных шумов и их локализация
- Плоскоклеточный рак альвеолярного гребня - лучевая диагностика
- Проводная ось таза. Угол наклонения таза.
