Диагностика туберкулеза предстательной железы. Обследование при туберкулезном простатите
Добавил пользователь Евгений Кузнецов Обновлено: 01.01.2026
Введение. Туберкулёз предстательной железы является нередким, но часто пропускаемым диагнозом: у 77% больных, умерших от туберкулеза всех локализаций, и у 25% живых больных туберкулезом органов дыхания патоморфологически был подтвержден туберкулез простаты при целенаправленном поиске.
Материалы и методы. Ретроспективно проанализированы амбулаторные карты пациентов, состоящих на учёте в Новосибирском областном противотуберкулёзном диспансере по поводу туберкулёза предстательной железы на предмет выявления путей диагностики этого заболевания. Результаты. Наиболее частым (41,7%) поводом заподозрить туберкулёз предстательной железы был хронический простатит, резистентный к стандартной терапии. У 18,1% заболевание было случайной находкой: при гистологическом исследовании ткани после операции по поводу доброкачественной гиперплазии предстательной железы (5,6%) или при обследовании больных туберкулёзом лёгких (12,5%), который простатоспецифичных жалоб не предъявляли.
Заключение. Туберкулёз предстательной железы может протекать с нехарактерными симптомами, и тогда заболевание выявляют случайно, например, при патоморфологическом исследовании операционного или биопсийного материала, полученного по другому поводу. Высока частота верификации диагноза у больных неспецифическими инфекциями урогенитального тракта, резистентными к стандартной терапии.
Ключевые слова
Об авторах
ФГБУ «Новосибирский НИИ туберкулёза» МЗ РФ; ФГБОУ ВО «Новосибирский государственный медицинский университет»
Россия
заочный аспирант кафедры туберкулеза ФПК и ППВ ФГБУ «Новосибирский НИИ туберкулёза» МЗ РФ; врач-уролог ФГБОУ ВО «Новосибирский государственный медицинский университет» МЗ РФ; заведующий хирургическим отделением, врач-уролог ГБУЗ НСО «Городская поликлиника №26»
заочный аспирант кафедры туберкулеза ФПК и ППВ ФГБОУ ВО «Новосибирский государственный медицинский университет» МЗ РФ; врач-уролог, заведующий хирургическим отделением поликлиники КМК МБЛПУ «Городская клиническая больница №1 г. Новокузнецк»
Список литературы
2. Кульчавеня Е.В., Краснов В.А., Мордык А.В. Альманах внелёгочного туберкулёза. Новосибирск: Сибпринт; 2015.
3. Кульчавеня Е.В., Ковешникова Е.Ю., Жукова И.И. Клинико-эпидемиологические особенности современного туберкулезного спондилита. Туберкулёз и болезни лёгких. 2013;1:41-45.
4. Kulchavenya E, Zhukova I, Kholtobin D. Spectrum of Urogenital Tuberculosis. J Infect Chemother. 2013;19(5):880- 883. doi: 10.1007/s10156-013-0586-9
5. Кульчавеня Е.В., Хомяков В.Т. Туберкулез внелегочной локализации в Западной Сибири. Туберкулез и болезни легких. 2003;80(4):13-15.
6. Кульчавеня Е.В. Контроль внелегочного туберкулеза в Сибири и на Дальнем Востоке. Проблемы туберкуле- за и болезней легких. 2008;85(9):16-19.
8. Осадчий А.В., Кульчавеня Е.В., Рейхруд Т.А., Нарышкина С.Л., Кожевникова Е.В., и др. Социально-демографическая характеристика больных туберкулезом легких и внелегочных локализаций. Туберкулез и болезни легких. 2015;(2):46-48.
9. Nakane K, Yasuda M, Deguchi T, Takahashi S, Tanaka K, et al. Nationwide survey of urogenital tuberculosis in Japan. Int J Urol. 2014;21(11):1171-7. doi: 10.1111/iju.12549.
10. Степанов П.И. Актуальные вопросы патогенеза туберкулеза половых органов у мужчин. Урология. 2014;(2):36-39.
12. Sánchez Sánchez E, Fernández González I, Ruiz Rubio JL, Herrero Payo A, Romero Cajigal I, et al. Transrectal echography in tuberculous prostatitis. Arch Esp Urol. 1994;47(10):1016-8.
13. Ludwig M, Velcovsky HG, Weidner W. Tuberculous epididymo-orchitis and prostatitis: a case report. Andrologia. 2008;40(2):81-3. doi: 10.1111/j.1439- 0272.2007.00824.x
14. Brizhatyuk E, Baranchukova A, Kulchavenya E. Transrectal ultrasound guided biopsies in diagnostics of prostate tuberculosis. Europ Resp J. 2008;52(32):abs. 2446.
15. Kholtobin D., Kulchavenya E., Brizhatyuk E. Prostate biopsy for diagnosis of prostate tuberculosis. ERS annual Congress, Amsterdam. 2011:496s – P2692.
16. Камышан И.С. Туберкулез предстательной железы. Урология и нефрология. 1986;(2):65-71.
17. Miletic B, Morovic M, Tomic Z, Ticac B. Tuberculous orchiepididymitis and CNS complication. Aktuelle Urol. 2006;37(1):67-8.
18. Камышан И.С., Бязров С.Т., Погребинский В.И. Роль биопсии предстательной железы у больных туберкулезом органов мочеполовой системы. Урология и нефрология. 1988;(2):12-15
19. Donahue T, Moul J. Diagnostic accuracy of prostate needle biopsy. Curr Urol Rep. 2002;3(3):215-21.
20. Шкуратов С.И. Диагностика и лечение туберкулеза половых органов у мужчин: Автореф. дисс.к.м.н. – Москва, 1987.
21. Куксин В.М. Дифференциальная диагностика туберкулеза предстательной железы: Автореф. дисс.к.м.н. – Новосибирск, 2002.
22. Щербань М.Н., Кульчавеня Е.В., Брижатюк Е.В. Диагностика, предупреждение и лечение нарушений репродуктивной функции у мужчин, больных туберкулёзом лёгких. Туберкулёз и болезни лёгких. 2010;87(10):31-36
Диагностика туберкулеза предстательной железы. Обследование при туберкулезном простатите
Туберкулез предстательной железы. Туберкулезный простатит
Туберкулез предстательной железы редко (12—16 %) бывает изолированным. В подавляющем большинстве случаев он сочетается с туберкулезом семенных пузырьков или придатков яичек. Правда, большинство авторов отмечают преимущественное поражение предстательной железы. Так, Б. М. Резник (1972) туберкулез предстательной железы диагностировал у 47 % больных.
При тяжело протекающем туберкулезе легких предстательная железа и семенные пузырьки вовлекаются в процесс у 3/4 больных.
Предполагают, что туберкулез в первую очередь поражает предстательную железу в связи с ее обильным крово- и лимфоснабжением, а также расположением.
У больных туберкулезом предстательной железы, семенных пузырьков, яичек и их придатков туберкулез почек и мочевых путей встречается от 23 до 75 % случаев (И. М. Эпштейн, 1960; О. И. Ыбыкеев, 1967; Б. М. Резник, 1972; Е. П, Еганов, 1976, и др.).
Инфекция попадает в половые органы гематогенным путем в период первичной или вторичной диссеминации туберкулеза.
Туберкулез предстательной железы встречается у больных любого возраста. Описаны случаи туберкулеза этого органа у детей и стариков старше 70 лет (А. И. Маянц, 1950, и др.).

Заболевание начинается с образования туберкулезных бугорков в межуточной ткани предстательной железы. Затем они сливаются в очаги инфильтрации. В дальнейшем отмечается казеозный некроз и гнойное расплавление ткани. Нередко в участках творожистого перерождения может произойти гнойное расплавление с образованием туберкулезного абсцесса. Последний может прорваться в мочеиспускательный канал, мочевой пузырь, прямую кишку, на промежность или в брюшную полость.
При туберкулезе образуются полости — каверны. Иногда процесс разрушения захватывает весь орган. При этом образуется одна огромная полость — предпузырь (Б. М. Резник, 1972). Иногда творожистые очаги подвергаются обызвествлению. После удаления гнойников предстательная железа может подвергнуться рубцовой атрофии.
В начальный период поражения симптомы туберкулеза предстательной железы скудны. Жалобы сводятся в основном к умеренным болевым ощущениям в области промежности, мошонки или заднего прохода, незначительным расстройствам мочеиспускания. Нередко в начальную стадию туберкулез предстательной железы клинически не проявляется. При обширных инфильтратах и кавернах в железе больные жалуются на боль в промежности, прямой кишке, над лоном, в половом члене, чувства давления в промежности, учащение и затруднение мочеиспускания (особенно ночью), боль в конце мочеиспускания.
Иногда отмечаются терминальная или инициальная гематурия, гемоспермия. При значительном разрушении предстательной железы, наличии каверны, сообщающейся с мочеиспускательным каналом, появляются боль при акте дефекации с выделением гноя, болезненная эякуляция, снижается потенция. В гное, выделяющемся из мочеиспускательного канала, и моче можно обнаружить микобактерии туберкулеза.
Информация на сайте подлежит консультации лечащим врачом и не заменяет очной консультации с ним.
См. подробнее в пользовательском соглашении.
Диагностика туберкулеза предстательной железы основывается на данных пальпации предстательной железы, результатах лабораторного и рентгенологического исследований.
При пальцевом исследовании в зависимости от фазы развития процесса определяется увеличение железы и различной величины бугристые или плоские безболезненные инфильтраты (либо очаги размягчения, флюктуации или западения при опорожнении абсцессов). При переходе процесса на окружающую предстательную железу ткань контуры железы становятся нечеткими.
При развитии склеротических явлений железа становится плотной и атрофичной. Поражаются одна или обе доли.
При расположении туберкулезного процесса в центральной части предстательной железы при пальпации патологические изменения не обнаруживаются. Достоверный диагноз туберкулеза в подобных случаях может быть установлен только после исследования пункционного материала либо посева ткани предстательной железы. Важным для диагноза туберкулеза предстательной железы является наличие у больного туберкулеза другой локализации.
В диагностике туберкулеза предстательной железы очень часто допускаются ошибки. Чаще всего недооценивают состояние предстательной железы у больных туберкулезом органов мошонки. По данным В. Д. Грунд (1975), это ведет к раннему прекращению противотуберкулезной терапии после оперативного лечения, вследствие чего процесс может поразить и противоположное яичко.
Поэтому у больных туберкулезом любой локализации (даже при отсутствии жалоб на расстройства мочеполовой системы) необходимо исследовать предстательную железу. И. Б. Вейнеров и Л. М. Рожинский (1961) подчеркивают, что пальпацию предстательной железы необходимо производить с максимальной осторожностью, без всякого массирования, чтобы не вызвать генерализации инфекции туберкулеза.

По мнению И. М. Эпштейна (1970), опасения генерализации туберкулеза под влиянием массажа железы преувеличены. Поэтому в сомнительных случаях нужно исследовать предстательную железу. Массаж необходимо производить очень осторожно.
Ценные данные могут дать лабораторные исследования.
Обнаружение в осадке мочи и эякуляте микобактерий свидетельствует о специфическом характере воспаления. Очень важные для диагностики туберкулеза предстательной железы результаты исследования пункционного материала.
Рентгенологические исследования (восходящая и нисходящая уретрография) дают дополнительную информацию. Согласно данным Б. С. Гехмана (1966), в ранние стадии поражения туберкулезом предстательной железы отмечается ригидность стенок задней части мочеиспускательного канала. Иногда видны, узкие полоски затеков контрастного вещества в ткани предстательной железы.
В. Д. Грунд (1975) и Е. П. Еганов (1976) в подобных случаях отдают предпочтение нисходящей цистоуретрографии, то есть рентгенографии, выполняемой в процессе мочеиспускания, а не при ретроградном заполнении контрастным веществом мочеиспускательного канала. По мнению авторов, восходящая уретрография не всегда дает четкую картину изменений в ткани предстательной железы и часто осложняется уретро-венозными рефлюксами. Чтобы избежать этого, В. Д. Грунд (1975) несколько изменил методику нисходящей уретрографии.
При мочеиспускании мочеиспускательный канал слегка пережимают, моча при этом выделяется с сопротивлением, достаточным для заполнения участков деструкции. В далеко зашедших случаях контрастное вещество затекает в расширенные выводные протоки предстательной железы и каверны. При разрушении шейки мочевого пузыря и предстательной железы с образованием одной большой полости на уретроцистопростатограмме виден «предпузырь».
Методы обследования при туберкулезе мочеполовой системы
а) Терминология:
1. Аббревиатура:
• Туберкулез (ТБС) мочеполового тракта
2. Синонимы:
• ТБС почки, туберкулез мочевого пузыря
3. Определения:
• Инфекция мочеполового тракта (ИМПТ), вызванная гематогенным распространением Mycobacterium tuberculosis из первичного очага, обычно в легких
• Поражения мочеточника и мочевого пузыря являются осложнениями заболевания почки
• Самая ранняя форма туберкулеза мочевого пузыря локализуется в области отверстия мочеточника
б) Визуализация:
1. Общая характеристика:
• Важнейшие диагностические критерии:
о Зависит от стадии заболевания; может варьировать от каликоэктазии до абсцесса, каверн, кальцификатов и стриктур в мочеполовом тракте
• Локализация:
о Почки, мочеточник и мочевой пузырь (14-41% внелегочного ТБС)
о Обычно двустороннее поражение, но встречается и одностороннее
2. УЗИ при туберкулезе мочеполовой системы:
• Серошкальное ультразвуковое исследование:
о Неспецифическая картина, зависит от стадии заболевания
о Ранняя стадия: неизмененная почка или небольшие локализованные очаги в корковом веществе с нечеткими границами ± кальцификаты
о Прогрессирование:
- Разрушение сосочков с гиперэхогенными очагами в области чашечек
- Деформация паренхимы почек, проявляющаяся картиной пиелонефрита с отечной почкой
- Гипоэхогенные очаги неправильной формы, сообщающиеся с чашечно-лоханочной системой (псевдоопухоль)
- Утолщение стенки ± поражение мочеточника и мочевого пузыря с развитием стриктур → гидронефроз
- Уменьшенный, фиброзированный, мочевой пузырь с толстыми стенками
- Гиперэхогенные очаги или кальцификаты (гранулемы) в стенке мочевого пузыря в области отверстия мочеточника
о Поздняя стадия:
- Уменьшенная, сморщенная почка, «тонкое как бумага» корковое вещество и дистрофическая кальцификация в чашечно-лоханочной системе
- Может напоминать картину хронической болезни почек
о УЗИ - менее чувствительный, чем КТ метод выявления изоэхогенных образований в паренхиме, небольших каверн, поражения чашечек/мочеточника
о При УЗИ невозможно оценить функцию почек
о Используется для оценки воспалительных изменений лоханки, особенно у женщин

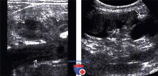
(Левый) На продольном ультразвуковом срезе высокого разрешения визуализируется выраженное утолщение слизистой в чашечно-лоханочной системе у пациента с фульминантным ТБС почки. Может имитировать пионефроз или новообразование.
(Правый) На продольном трансабдоминальном ультразвуковом срезе визуализируется ТБС почки с поражением сосочков. Папиллярный некроз визуализируется в виде окруженных жидкостью гиперэхогенных очагов без акустического затенения в мозговом веществе.
3. Рентгенография при туберкулезе мочеполовой системы:
• ЭУГ:
о Ранняя стадия: неровные контуры чашечек вследствие развития эрозий и появления «поеденного молью» внешнего вида
о Прогрессирование:
- Образование свища с неровными стенками от чашечек до сосочков
- Крупные полости неправильной формы с обширной деструкцией тканей вследствие папиллярного некроза
- Гидрокаликс или «фантомная чашечка» (отсутствие контрастирования чашечки вследствие ее инфильтрации и облитерации), проксимальнее стриктуры воронки почки
- Выраженная извитость в области лоханочно-мочеточникового сегмента вследствие склероза («изгиб Керра»)
- Замедленная экскреция контраста
- Фиброз и стриктура почечной лоханки или мочеточника — четкообразный мочеточник, локализованная кальцификация или гидронефроз
- Уменьшение объема мочевого пузыря
о Поздняя стадия:
- Казеозное образование с выраженной кальцификацией, окруженное тонкой паренхимой → «замазковидная почка»
- Уменьшенные, сморщенные, плохо функционирующие, склерозированные почки с дистрофической кальцификацией (аутонефрэктомия)
4. КТ при туберкулезе мочеполовой системы:
• КТ с контрастированием:
о КТ с контрастированием с КТ-урографией (КТУ) используется для диагностики и оценки тяжести процесса
о Лучше визуализируются «поеденные молью» чашечки, каверны и образования в паренхиме почки
о Ампутированная воронка почки вследствие стриктуры
о Оценка функции почек (отсроченное контрастирование на нефрограмме и экскреция контраста)
о Многочисленные стриктуры мочеточника, вызывающие гидронефроз
о Более точный метод измерения толщины стенки и выявления кальцификатов в мочевых путях
о Поздняя стадия: уменьшенные, плохо функционирующие, склерозированные почки с дистрофической кальцификацией
о Лучший метод выявления внепочечных очагов в забрюшинном пространстве и тазу
5. Рекомендации по визуализации:
• Важнейшие методы визуализации:
о ЭУГ-высокочувствительный метод (88%) выявления признаков ТБС; практически все особенности визуализации при ТБС были описаны при ЭУГ
о КТ с контрастированием с КТ-урографией (КТУ) используется для оценки тяжести процесса и выявления внепочечных осложнений:
- КТУ может стать методом выбора диагностики ТБС МПТ
о Ультразвуковое исследование: часто используется для оценки течения заболевания в динамике и выявления осложнений (например, гидронефроза)
• Рекомендации по исследованию:
о ЭУГ считался методом первоначального исследования; однако КТ (КТУ) может стать предпочтительным методом диагностики и выявления осложнений, а также внепочечных очагов; УЗИ используется для выявления осложнений (абсцесс почки, гидронефроз)

(Левый) На поперечном трансабдоминальном ультразвуковом срезе визуализируется увеличенный парааортальный лимфатический узел у пациента с туберкулезом (ТБС) почки. Сочетанная лимфаденопатия встречается часто и может быть реактивной, либо инфекционной.
(Правый) На поперечном трансабдоминальном ультразвуковом срезе визуализируется ТБС мочевого пузыря (неравномерно утолщенные стенки пузыря) Картина может быть неотличима от любых других форм бактериального цистита.
в) Дифференциальная диагностика туберкулеза мочеполовой системы:
1. Папиллярный некроз:
• При УЗИ некротизированный сосочек визуализируется в виде окруженного жидкостью гиперэхогенного очага без акустического затенения в мозговом веществе
2. Пионефроз:
• Фиксированные эхосигналы с уровнем жидкого содержимого в расширенной чашечно-лоханочной системе
• Газ в чашечно-лоханочной системе
3. Ксантогранулематозный пиелонефрит (КГПН):
• Увеличенная почка с центрально расположенным конкрементом с высокой отражающей способностью
• Как при КГПН, так и при ТБС почки отмечается утолщение почечной фасции и распространение воспалительного процесса на соседние органы
4. Хронический цистит:
• УЗИ: неравномерно утолщенная стенка мочевого пузыря и уменьшение объема мочевого пузыря
• Эмфизематозный цистит: газ с высокой отражающей способностью в стенке мочевого пузыря

(Левый) На косопоперечном трансабдоминальном ультразвуковом срезе мочевого пузыря у этого пациента с ранее диагностированным туберкулезом МПТ визуализируется диффузное утолщение стенки пузыря; слизистая гиперэхогенная вероятно, вследствие кальцификаци, и имеет неровные контуры.
(Правый) На продольном ультразвуковом срезе визуализируется мочевой пузырь при туберкулезе. Имеется неравномерное утолщение слизистой около отверстия мочеточника — наиболее ранний признак начала заболевания.
г) Патология:
1. Общая характеристика:
• Этиология:
о Гематогенное распространение Mycobacterium tuberculosis из туберкулезного очага в легких
о Реже вызван Mycobacterium bovis и Mycobacterium avium-intracellulare (MAIС)
о Реактивация ранее неактивных туберкулезных палочек в крови
• Сопутствующие заболевания:
о Мужчины: простатит, эпидидимит или орхит
о Женщины: сальпингит, эндометрит или оофорит (воспалительное заболевание таза)
• Реактивация дремлющих микобактерий ТБС, которые достигают мозгового вещества почки, вызывая папиллит
• Некротизированные сосочки отторгаются в чашечки, что приводит к их инфицированию и обструкции чашечек, мочеточника и мочевого пузыря
• Изъязвление чашечки создает типичную картину язвенно-кавернозного очага
• Фиброзирование приводит к образованию обструктивных стенозов и развитию гидронефроза или пионефроза
• Стриктура воронки почки может осложняться хроническим абсцессом почки
• Лечение приводит к фиброзированию и отложению солей кальция с образованием кальцинированных очагов
• Диффузное поражение почки с разрушением паренхимы и кальцификацией
2. Макроскопические и хирургические особенности:
• Поздняя стадия: уменьшенная в размерах фиброкальцинированная почка с неровными контурами
3. Микроскопия:
• Гранулемы коркового вещества состоят из гигантских клеток Лан-герганса, окруженных лимфоцитами и фибробластами
• Деструкция сосочков с распространением в чашечно-лоханочную систему и обширным склерозированием
• Многочисленные стриктуры воронки почки, почечной лоханки и мочеточников
• Диффузное поражение и кальцификация паренхимы
д) Клинические особенности:
1. Проявления туберкулеза мочеполовой системы:
• Основные симптомы:
о Обычно бессимптомное течение
о Самый ранний симптом: учащенное мочеиспускание
о Рецидивирующие ИМПТ: боли в боку, дизурия, лихорадка
о Асептическая пиурия; безболезненная макрогематурия
• Другие симптомы:
о Общая слабость, отсутствие аппетита, потеря веса, ночная потливость, артериальная гипертензия
о Увеличение предстательной железы ± болезненность (у мужчин)
о Бесплодие, боли в области таза или нарушения менструального цикла (у женщин)
2. Демография:
• Возраст:
о Обычно в 20-40 лет из-за продолжительного латентного периода между ТБС легких и почечной формой
• Эпидемиология:
о о >20% в развивающихся странах
о М:Ж = 2:1
3. Течение и прогноз:
• Почечная инфекция → обструкция мочевыводящих путей → почечная недостаточность
• Осложнения: гидронефроз, образование абсцесса, артериальная гипертензия, внепочечные очаги
• Высокая заболеваемость, но низкая смертность
• Высокая частота рецидивов у пациентов с недостаточным питанием и низким социальным статусом
• Внепочечные проявления, например, воспалительные заболевания таза у женщин
4. Лечение туберкулеза мочеполовой системы:
• Противотуберкулезная химиотерапия обычно в сочетании с хирургическим вмешательством
• Оперативное вмешательство:
о Чрескожная баллонная дилатация со стентированием при стриктурах
о Частичная или полная нефрэктомия с целью удаления крупных очагов инфекции в кальцинированных очагах или при тяжелом повреждении почек
о Цистэктомия и заместительная цистопластика при диффузном поражении мочевого пузыря
е) Диагностическая памятка. Следует учесть:
• ТБС при одновременном поражении нескольких отделов мочеполового тракта или у пациента с ранее диагностированным туберкулезом
• Рентгенография органов грудной клетки для выявления первичного туберкулезного очага
• Биопсия очага, общий и бактериологический анализы мочи
• Многоуровневое поражение: очаг в паренхиме почки/образова-ние каверн ± гидрокаликс/ гидронефроз ± кальцификаты в МПТ ± мочевой пузырь с уменьшенным объемом и утолщенными стенками
Современный подход к диагностике туберкулеза предстательной железы
Актуальность. Туберкулез предстательной железы является очень редким заболеванием. Своевременная диагностика туберкулеза предстательной железы затруднена в связи со скудностью или отсутствием жалоб [1]. В Республике Узбекистан мочеполовой туберкулез среди внелегочного туберкулеза занимает второе место (24,0%), после туберкулеза костей и суставов [5].
Цель исследования. Изучение проблемы диагностике и лечения туберкулеза предстательной железы(ТПЖ).
Материалы и методы исследования. Обследовано 35 пациентов с ТПЖ в возрасте от 35 до 50 лет.
Результаты исследования. В данном ретроспективном исследовании в 100% случаев наблюдались болезненные ощущения при опорожнении мочевого пузыря и гемоспермия у 48,6% пациентов. В одном случае туберкулез простаты был случайно диагностирован с помощью гистопатологического исследования после хирургического вмешательства – трансуретральной резекции простаты. В анамнезе у всех мужчин туберкулез легких отсутствовал. Подозрение на туберкулез простаты у 25 мужчин из 35 (71,4%) после пальцевого исследования прямой кишки. Prostate-Specific Antigen (PSA) анализы были незначительно увеличены и составляли в среднем 8.2 нг/мл. У всех пациентов в анализе мочи при посеве были получены отрицательные результаты, а также прослеживалась стерильная пиурия. При рентгенологическом исследовании грудной клетки патологических изменений не выявлено, Erythrocyte Sedimentation Rate (ESR) увеличен на 50%, а результаты диаскинтеста были положительными у 15 (60 %) пациентов из 25.
У 17 пациентов отмечалась гематурия и гемоспермия, у одного – симптомы воспаления с ненормальной Digital Rectal Exam (DRE). Для диагностики туберкулеза простаты мы исследовали AFB мазок, посев биологических жидкостей (моча и сперма) с целью обнаружения культуры микобактерий и ПЦР. Моча и спермальная жидкость в 33,33% случаев при AFB тесте имела положительные результаты, в 66,6% случаев обнаруживалась культура M. tuberculosis, и в 100% случаев положительный результат при ПЦР. При проведении трансректальной ультрасонограммы визуализировались гипоэхогенные зоны с нечеткими контурами у 25 пациентов из 35 (71,4%) и кальцификаты у 17 (48,6%). При трансректальной ультрасонографии с биопсией простаты было диагностировано гранулематозное воспаление с казеозным некрозом. Обнаружение зон казеозных масс у 3 пациентов дало возможность поставить диагноз. Все пациенты получали плановую химотерапию в течение 6 месяцев. Интенсивная фаза 2 месяца получали 4 химиопрепарата – изониазид, рифампицин, этамбутол или пиразинамид (HRZE) и 4 месяца поддерживающая фаза 2 химиопрепарата изониазид и рифампицин (HR) в соответствии с протоколом. Через 6 месяцев после химиотерапии, у всех пациентов отмечалось отрицательные результаты при исследовании мочи и семенной жидкости с помощью AFB мазка, посева и ПЦР.
Выводы. Туберкулез предстательной железы очень редкое заболевание. Своевременная диагностика затруднена в связи с отсутствием жалоб на начальном этапе заболевания. Высокий индекс подозрения с широким рядом исследований является неотъемлемой частью работы, необходимой для получения полного диагностического и лечебного стандарта туберкулеза простаты.
1. Аль-Шукри С.Х., Бобков Ю.А. Диагностическая значимость оценки тонкой морфологии сперматозоидов при хроническом простатите. //Научно-пр. конференция. – Новосибирск, 2000. С. 25.
3. Арнольди Э.К. Простатит: опыт, проблемы, перспективы. // Научно-практическое пособие. – Харьков, «Каравелла», 1997. – 112 с.
4. Боган Л.С., Котельникова Г.В. Ультразвуковое исследования при хроническом простатите. // Научно-практическая конференция. – Новосибирск, 2000. С.124.
5. Брездень И.М., Золотковская О.З. Состояние иммунной системы больных активным туберкулезом мочеполовой системы //Респ. междувед. сборник «Урология»№, вып. 25. – 1991. – С. 96-99.
Основные термины (генерируются автоматически): AFB, предстательная железа, пациент, DRE, ESR, HRZE, PSA, отсутствие жалоб, редкое заболевание, туберкулез простаты.
Читайте также:
