Диагностика внутрибрюшных абсцессов.
Добавил пользователь Евгений Кузнецов Обновлено: 13.12.2025
Проведен анализ хирургического лечения 82 больных с внутрибрюшными абсцессами. Под УЗ-контролем выполнялось дренирование полости ВБА при помощи устройства для дренирования полостных образований, проводились санации полости абсцесса. В зависимости от способа санации больные разделены на 2 группы. В основной применялся монооксид азота, в контрольной – 0,05 % водный раствор хлоргексидина. Показаны преимущества санации монооксидом азота: быстрое исчезновение диспептических симптомов, восстановление функции желудочно-кишечного тракта, нормализация температуры и уменьшение болевого синдрома, сокращение сроков лечения на 3 суток, нормализация показателей интоксикации к 5-м суткам, выраженный бактерицидный эффект.
Список литературы:
1. Борисов, А. Е. Руководство по хирургии печени и желчевыводящих путей : в 2 т. / А. Е. Борисов, В. П. Земляной, М. И. Кузьмин-Крутецкий [и др.]. – СПб., 2003. – Т. 1. – 488 с.
2. Давыдов, А. А. Опасности и осложнения при малоинвазивных методиках санации кист, гнойных полостей и свищевых ходов / А. А. Давыдов, Б. В. Крапивин, Д. А. Орлов [и др.] // Эндоскоп. хирургия. – 2004. – № 1. – С. 49.
3. Иванов, В. А. Возможности ультразвуковой томографии в диагностике и лечении жидкостных образований брюшной полости и забрюшинного пространства / В. А. Иванов, Н. В. Сундушникова, Н. С. Малюга [и др.] // Вестн. Рос. ун-та дружбы народов. – 2004. – № 2 (26). – С. 126–131.
4. Ильюшонок, В. В. Малоинвазивные вмешательства под УЗ-контролем в лечении абсцессов брюшной полости и печени / В. В. Ильюшонок, А. Ч. Шулейко, С. В. Шкурин // Хирургия. Восточная Европа. – 2012. – № 3. – С. 58–59.
5. Курзанцева, О. М. Абсцессы печени: возможности УЗ-исследования / О. М. Курзанцева // Ультразвук. функционал. диагностика. – 2004. – № 1. – С. 152–152.
6. Малоштан, А. В. Пункция парапанкреатических скоплений жидкости в комплексе лечения инфицированного панкреонекроза / А. В. Малоштан, P. P. Османов // Клинич. хирургия. – 2008. – № 4-5. – С. 51–52.
7. Осумбеков, Б. З. Дифференциальная диагностика и малоинвазивное хирургическое лечение висцеральных и внутрибрюшных абсцессов : автореф. дис. . канд. мед. наук / Осумбеков Б. З. – Бишкек, 2004. – 26 с.
8. Полапин, И. А. Применение экзогенного монооксида азота в комплексном лечении язвенно-некротических поражений у больных с синдромом диабетической стопы : автореф. дис. … канд. мед. наук / Полапин И. А. – Ставрополь, 2013. – 20 с.
9. Сахно, В. Д. Диагностика и лечение кистозных поражений поджелудочной железы / В. Д. Сахно, А. А. Мануйлов, А. В. Андреев [и др.] // Анналы хирург. гепатологии. – 2007. – № 4. – С. 74–79.
10. Суздальцев, И. В. Применение воздушно-плазменного потока монооксида азота в санации желчного пузыря при двухэтапном лечении острого холецистита у геронтологических больных / И. В. Суздальцев, П. Н. Мойсев, В. Н. Демьянова [и др.] // Фундаментал. исследования. – 2013. – № 9-4. – С. 744–746.
11. Чернеховская, Н. Е. Влияние оксида азота и лазеротерапии на репаративные процессы в условиях гнойной раны / Н. Е. Чернеховская, А. А. Чомаева, В. К. Шишло, З. А. Шевхужев // Лазер. медицина. – 2013. – № 1. – С. 26–28.
12. Чижова, Е. А. Малоинвазивные вмешательства под ультразвуковым контролем / Е. А. Чижова, Е. Э. Тюрюмина, P. P. Гумерова [и др.] // Ультразвук. функционал. диагностика. – 2004. – № 1. – С. 153–154.
13. Endoscopic ultrasound-guided fine needle aspiration used for the diagnosis of a retroperitoneal abscess / A. Srftoiu, S. Iordache, C. Popescu [et al.] // J. Gastrointestin. Liver Dis. – 2006. – Vol. 15, № 3. – P. 283–287.
14. Liver abscess after non-operative management of blunt liver injury / C. H. Hsieh, R. J. Chen, J. F. Fang [et al.] // Langenbecks Arch. Surg. – 2003. – Vol. 387, № 9-10. – P. 343–347.
15. Martnek, A. Puncture aspiration using ultrasound guidance in the treatment of abscesses and other purulent foci in the liver, pancreas and kidneys / A. Martnek, S. V. Hrabovsk, P. Klvana // Vnitr. Lek. – 2003. – Vol. 49, № 8. – P. 630–636.
16. Nakamoto, D. A. Emergent ultrasound interventions / D. A. Nakamoto, J. R. Haaga // Radiol. Clin. North Am. – 2004. – Vol. 42, № 2. – P. 457–478.
Ключевые слова: монооксид азота, внутрибрюшные абсцессы, малоинвазивное лечение
Учредители:
Ставропольская государственная медицинская академия
Государственный научно-исследовательский институт курортологии
Пятигорская государственная фармацевтическая академия
Абсцесс брюшной полости
Абсцесс – нагноившаяся замкнутая полость в ткани или органе, герметизированная грануляционной оболочкой, обычно болезненная и нарушающая функционирование пораженной структуры; нередко ухудшается общее состояние, причем значительно, а в отдельных случаях ситуация становится жизнеугрожающей. В целом, все зависит от локализации, размеров и динамики абсцедирования.
Абсцессы очень многообразны, – учитывая сложность человеческого организма, – но их общей специфической чертой является то, что такая инфильтрация всегда развивается как закономерное следствие инфекционно-воспалительного процесса и всегда обусловлена гнойным расплавлением тканей, т.е. массовым отмиранием и разрушением клеток вследствие активности патогенного микроорганизма. Именно эти «останки» в совокупности с продуктами жизнедеятельности инфекционного возбудителя и образуют гнойную массу, которая, накапливаясь в замкнутом объеме, может оказывать значительное и болезненное давление на окружающие ткани. В роли патогена могут выступать не только «традиционные» гноеродные стрептококки и стафилококки, но и множество других бактериальных, протозойных, грибковых культур.
Абсцесс всегда, как минимум, неприятен, даже если это «просто нарыв» на каком-нибудь относительно безопасном участке кожи (согласно известной поговорке, абсцессы легко переносятся разве что на чужой спине). Но если гнойная инфильтрация носит множественный характер, развивается стремительно и/или поражает жизненно важные органы, это может быть очень опасно: прорыв герметичной оболочки и излияние гнойного содержимого в окружающее пространство чревато фатальной интоксикацией и сепсисом. Поэтому такой диагноз, как абсцесс брюшной полости, требует самых серьезных ответных мер.
2. Причины
Абсцесс брюшной полости развивается по описанному выше сценарию, и в большинстве случаев является осложнением диффузного (разлитого) перитонита – воспаления брюшины. Такого рода абсцессы, единичные или множественные, могут возникать в самых разных зонах внутрибрюшного пространства и обычно формируются вследствие бурной активности сразу нескольких патогенных и условно-патогенных культур, которые в благоприятных для них условиях буквально «набрасываются» на здоровые ткани.
Нередко абсцедированием осложняются травмы брюшной полости, в том числе хирургические (0,5-1,5% плановых и неотложных полостных операций), прободения язвы желудка и двенадцатиперстной кишки, инфекционно-воспалительные заболевания желудочно-кишечного тракта и других внутренних органов.
3. Симптомы и диагностика
Патогномоничных симптомов, – т.е. клинических проявлений, специфичных только и исключительно для абсцесса брюшной полости, – не существует. Диагностика требует тщательного анализа жалоб, анамнеза и динамики, результатов пальпации, измерения артериального давления (при наличии абсцесса АД обычно повышается) и прочих показателей.
Клиническая картина зависит от конкретной локализации абсцесса(ов) и может быть очень разной, напоминая ряд других патологических состояний со сходной симптоматикой. Так, отмечается лихорадка, гипертонус брюшных мышц, учащенное мочеиспускание, диспептические явления (тошнота, рвота, диарея, запор), всевозможные боли и дискомфортные ощущения с различной иррадиацией, «вынужденная поза», повышение температуры и т.д.
Для подтверждения абсцедирования применяются (в зависимости от клинической ситуации) практически все современные методы инструментальной диагностики, – рентгенографические, ультразвуковые, томографические и пр., – а также лабораторные анализы, включающие бактериологическую идентификацию возбудителя инфекции и оценку его чувствительности к антибиотикам.
4. Лечение
Антибиотическая терапия, обычно очень мощная и эффективная в отношении широкого спектра патогенов, в случае подтвержденного абсцесса брюшной полости является обязательной, однако носит все-таки дополнительный характер: собственно абсцесс одними медикаментами не вылечить. Необходимо хирургически вскрывать гнойную капсулу и дренировать ее содержимое. Антибиотики служат лишь профилактическим «прикрытием» перед операцией (если остается время на какую-либо предоперационную подготовку) и в реабилитационном периоде. Главная задача – не допустить спонтанного вскрытия абсцесса с распространением гноя, кишащего инфекционным агентом и токсинами, в висцеральном (внутреннем) пространстве. В прогностическом плане критически важным является фактор времени: своевременность обращения за помощью, оперативность и точность диагностики, адекватность принимаемых (если необходимо, в экстренном порядке) мер. Очень многое зависит также от общего состояния больного, наличия фоновых и сопутствующих заболеваний (например, сердечно-сосудистых, нефрологических и т.п.), локализации абсцесса и т.д. Нельзя не учитывать, что летальность абсцессов брюшной полости весьма высока и достигает, по разным источникам, от 10 до 40 процентов всех регистрируемых случаев. Поэтому не лишним будет еще раз напомнить то, что известно, казалось бы, всем и каждому, – но все-таки нередко игнорируется. В брюшной полости не бывает «пустяковой» симптоматики, и гнойный инфекционно-воспалительный процесс здесь не «пройдет сам собой»; это один из тех случаев, о каких говорят: промедление смерти подобно. При появлении описанных выше признаков обратиться к врачу необходимо как можно скорее.
Абсцесс
Информацию из данного раздела нельзя использовать для самодиагностики и самолечения. В случае боли или иного обострения заболевания диагностические исследования должен назначать только лечащий врач. Для постановки диагноза и правильного назначения лечения следует обращаться к Вашему лечащему врачу.
Абсцесс: причины появления, симптомы, диагностика и способы лечения.
Определение
Абсцесс - это ограниченное скопление гноя, окруженное оболочкой (пиогенной капсулой).
Причины появления абсцессов
Абсцессы могут быть асептическими и септическими. Асептические абсцессы развиваются после подкожного введения некоторых раздражающих химических веществ (скипидара, керосина, хлоралгидрата, хлористого кальция), которые вызывают некроз тканей. При этом некротизированные ткани растворяются лейкоцитами с образованием гноя, не содержащего микробов. Септические абсцессы чаще всего формируются в результате внедрения в ткани микроорганизмов (стафилококков, стрептококков, кишечной палочки, синегнойной палочки и т.д.), вызывающих гнойное воспаление.
Инфекционные агенты (бактерии, грибы) могут проникать в организм экзогенно через поврежденный эпителий кожи или слизистые оболочки (входные ворота) или эндогенно (из очага инфекции в самом организме).
Открытые повреждения кожи, инородные тела, медицинские манипуляции (инъекции, блокады, пункции), гематомы, серомы, а также гнойно-воспалительные процессы в организме (сепсис, гнойный лимфаденит, гнойный лимфангит, гнойный тромбофлебит, фурункул, карбункул и др.) могут приводить к развитию абсцесса.
На месте внедрения инфекции и воспаления ткани отмирают, и формируется гнойная полость, вокруг которой на границе со здоровой тканью начинает образовываться пиогенная капсула. Эта капсула служит своеобразным биологическим барьером, препятствующим распространению инфекции по организму. Чем дольше существует абсцесс, тем толще становится пиогенная капсула.
По распространенности самым частым считается абсцесс кожи, подкожной жировой клетчатки и мышечной ткани, хотя возникнуть он может в любом органе и ткани.
При прогрессировании гнойного процесса повышается риск разрыва пиогенной капсулы, в результате чего инфекционный процесс распространяется за ее пределы.
Классификация абсцессов
По причине возникновения:
а) стафилококковые;
б) стрептококковые;
в) пневмококковые;
г) колибациллярные;
д) гонококковые;
е) анаэробные неспорообразующие;
ж) клостридиальные анаэробные;
з) смешанные;
и) грибковые и др.
По происхождению и путям проникновения инфекции:
- метастатические (гематогенные) абсцессы, возникающие из отдаленных гнойных очагов;
- контактные абсцессы, происходящие из близлежащих очагов воспаления;
- травматические абсцессы, являющиеся следствием открытых и проникающих повреждений;
- криптогенные абсцессы, происхождение которых и пути проникновения инфекции установить не представляется возможным.
- поверхностные (поражение кожи и подкожной клетчатки);
- глубокие (в органах и тканях):
- острые абсцессы;
- хронические абсцессы.
Симптомы абсцессов
В начальной стадии формирования поверхностного абсцесса определяется отграниченная болезненная припухлость, горячая на ощупь. Через 3-4 дня в центре появляется размягчение, кожа в центре инфильтрата становится более тонкой и темной, а границы абсцесса - более четкими. На 4-7 сутки абсцесс вскрывается и из него выходит гнойное содержимое. При этом болезненность воспаленного участка уменьшается.
Глубокие абсцессы могут формироваться на фоне пневмонии. Чаще всего абсцесс бывает одиночным и локализуется в одном сегменте легкого, реже наблюдаются большие абсцессы, которые захватывают сразу несколько сегментов. В начале заболевания больных беспокоит кашель, боль в грудной клетке, общая слабость, озноб, отсутствие аппетита, жажда. Температура может достигать высоких значений. После прорыва абсцесса в просвет бронха пациенты отмечают отхождение мокроты «полным ртом», симптомы интоксикации уменьшаются. При раннем прорыве и хорошем полном опорожнении гнойная полость может быстро уменьшиться и зажить рубцом. При плохом или недостаточном опорожнении воспаление не затихает, и возникают повторяющиеся обострения.

Абсцесс печени чаще всего возникает в результате распространения инфекции по сосудистому руслу из воспалительных очагов других органов или тканей брюшной полости (аппендицит, холангит, язвенный колит). Абсцессы могут быть одиночными или множественными. Для заболевания характерна высокая температура, озноб, боль и тяжесть в области печени, увеличение ее размеров.

Абсцесс в печени
Абсцесс головного мозга может сформироваться в результате проникновения инфекции из среднего или внутреннего уха, придаточных пазух носа, из гнойных очагов мягких тканей головы. Абсцессы могут быть одиночными или множественными. Заболевание начинается с интоксикации, симптомов повышения внутричерепного давления (головной боли, тошноты и рвоты, сонливости, недомогания, нарушения памяти, расстройства внимания, нарушения зрения). Затем присоединяются общемозговые (головокружение, психомоторное возбуждение, галлюцинации) и очаговые симптомы (неврологические симптомы, свойственные местному поражению определенных структур центральной или периферической нервной системы).

Внутримозговой абсцесс
Абсцессы брюшной полости встречаются в 30-35% у больных гнойным перитонитом. Обычно они располагаются в отлогих областях живота: подпеченочном, поддиафрагмальном пространстве, в подвздошных ямках и т.п. Клинике формирования абсцесса соответствует ухудшение состояния после небольшого светлого промежутка на фоне воспалительного заболевания брюшной полости (аппендицита, холецистита), наблюдается усиление интоксикации и боль в животе.
Внутрикостный абсцесс Броди – это отграниченный некроз губчатого вещества кости с преследующим расплавлением и образованием полости. Локализуется обычно в проксимальном отделе большеберцовой кости. Заболевание начинается с чувствительности к надавливанию. Нередко очаги ничем не проявляются, и боль носит эпизодический характер. Повышение температуры, озноб и другие симптомы интоксикации, как правило, отсутствуют, процесс может длиться годами.
Диагностика абсцессов
Диагностика поверхностного абсцесса не представляет трудностей. Диагноз устанавливается по совокупности жалоб и осмотра. Диагностика глубоких абсцессов может быть основана на результатах дополнительных лабораторных и инструментальных методов исследования.
- Клинический анализ крови: общий анализ, лейкоформула, СОЭ (с микроскопией мазка крови при наличии патологических сдвигов) покажет присутствие в организме воспалительного процесса.
Синонимы: Общий анализ крови, ОАК. Full blood count, FBC, Complete blood count (CBC) with differential white blood cell count (CBC with diff), Hemogram. Краткое описание исследования Клинический анализ крови: общий.
Абсцессы брюшной полости
Абсцессы могут располагаться в любой части брюшной полости и забрюшинного пространства. Чаще они развиваются после хирургических вмешательств, травм, инфекционно-воспалительных заболеваний органов брюшной полости, особенно сопровождающихся развитием перитонита и перфорации. Проявления включают общую слабость, лихорадку, боль в животе. Диагноз ставится на основе КТ. Лечение подразумевает хирургическое или чрескожное дренирование. Дополнительно назначают антибиотики.
Этиология абсцессов брюшной полости
Абсцессы брюшной полости подразделяют на интраперитонеальные, ретроперитонеальные и висцеральные (см. таблицу Интраабдоминальные абсцессы [Intra-Abdominal Abscesses] Абсцессы брюшной полости ). Во многих случаях абсцессы брюшной полости развиваются после перфорации полого органа или аденокарциномы толстой кишки. Также абсцессы могут быть следствием распространения инфекции или воспаления при таких состояниях, как аппендицит Аппендицит Аппендицит – острое воспаление червеобразного отростка, типичными проявлениями которого служат боль в животе, анорексия, болезненность при пальпации. Диагностика основывается на клинических. Прочитайте дополнительные сведения , болезнь Крона Болезнь Крона Болезнь Крона – хроническое воспалительное заболевание кишечкика с трансмуральным характером поражения, преимущественно поражающее дистальную часть подвздошной и толстой кишки, при котором также. Прочитайте дополнительные сведенияМикроорганизмы, вызывающие инфекцию, как правило, входят в состав кишечной микрофлоры и представляют смесь анаэробных и аэробных бактерий. Наиболее часто выделяемыми возбудителями являются
Абсцессы брюшной полости
В правом или левом нижних квадрантах
Послеоперационные; перфорация полого органа, аппендицит Аппендицит Аппендицит – острое воспаление червеобразного отростка, типичными проявлениями которого служат боль в животе, анорексия, болезненность при пальпации. Диагностика основывается на клинических. Прочитайте дополнительные сведения либо опухоль; болезнь Крона Болезнь Крона Болезнь Крона – хроническое воспалительное заболевание кишечкика с трансмуральным характером поражения, преимущественно поражающее дистальную часть подвздошной и толстой кишки, при котором также. Прочитайте дополнительные сведенияКишечная микрофлора, часто ассоциации микробов
Кишечная микрофлора, часто ассоциации микробов
Распространение абсцесса почечной паренхимы (осложняющего течение пиелонефрита или - в редких случаях - имеющего гематогенное происхождение при процессах другой локализации)
Аэробные грамотрицательные бациллы
Травма, нисходящий холангит, бактериемия в системе воротной вены
Травма, гематогенное распространение, инфаркт (например, при серповидноклеточной анемии Серповидно-клеточная анемия Серповидноклеточная анемия ( гемоглобинопатия) является причиной хронической гемолитической анемии, которая наблюдается практически исключительно у представителей негроидной расы. Она вызвана. Прочитайте дополнительные сведения Plasmodium. Симптомы и признаки включают лихорадку (которая может быть периодической), зябкость, озноб, потливость, диарею, боль в животе. Прочитайте дополнительные сведения )
Стафилококки Стафилококковые инфекции Стафилококки – грамположительные аэробные микроорганизмы. Staphylococcus aureus наиболее патогенный; как правило, он вызывает инфекции кожи, может вызывать пневмонию, эндокардит и остеомиелит. Прочитайте дополнительные сведения , анаэробы Обзор анаэробных бактерий (Overview of Anaerobic Bacteria) Данные бактерии могут быть классифицированы по их потребности в кислороде: Факультативные анаэробы: аэробный или анаэробный рост при наличии или отсутствии кислорода Микроаэрофильные анаэробы. Прочитайте дополнительные сведения , аэробные грамотрицательные бациллы, в т ч Salmonella Обзор инфекций, вызванных Salmonella (Overview ofSalmonella Infections) Род Salmonella делится на 2 вида: S. enterica и S. bongori, которые включают в себя >2400 известных серотипов. Некоторые из этих серотипов имеют название. В таких случаях. Прочитайте дополнительные сведения , Candida Кандидоз (инвазивный) Кандидоз – инфекция, вызываемая видом Candida (чаще всего C. albicans), проявляющаяся поражениями кожно-слизистой ткани, фунгемией и иногда очаговой инфекцией с вовлечением в процесс. Прочитайте дополнительные сведенияСимптомы и признаки внутрибрюшных абсцессов
Абсцессы могут формироваться в течение 1 недели после перфорации или развития перитонита, тогда как послеоперационные абсцессы могут образоваться не ранее чем через 2–3 недели, а иногда и несколько месяцев после вмешательства. Проявления могут варьировать, но в большинстве случаев отмечается лихорадка и минимальный или выраженный дискомфорт в животе (как правило, в месте расположения абсцесса). Может наблюдаться паралитический илеус – распространенный или на ограниченном протяжении. Характерны тошнота, отсутствие аппетита, похудание.
Абсцессы дугласова пространства, прилежащие к ректосигмовидному сочленению, могут провоцировать развитие диареи. Соседство с мочевым пузырем может сопровождаться настоятельными учащенными позывами на мочеиспускание, а если абсцесс осложняет дивертикулит, возможно формирование кишечно-пузырной фистулы.
Поддиафрагмальные абсцессы могут вызывать симптомы, характерные для заболеваний органов грудной клетки: непродуктивный кашель, боль в грудной клетке, одышка, икота и плечевом поясе. Могут определяться сухие и влажные хрипы, шум трения плевры. Укорочение перкуторного звука и ослабление дыхательных шумов характерны для развития ателектаза в основании легкого, пневмонии, плеврального выпота.
Как правило, при пальпации определяется болезненность живота в зоне расположения абсцесса. Абсцесс большого размера может пальпироваться как объемное образование.
Осложнения
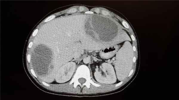
В отсутствие дренирования абсцессы могут распространяться на прилегающие структуры, разрушая и проникая в сосуды (вызывая кровотечения или тромбозы), прорываться в брюшную полость или просвет кишечника, приводить к развитию свищей в кожу и мочеполовые органы. Поддиафрагмальные абсцессы могут распространяться в грудную полость, вызывая эмпиему, абсцесс легкого Абсцесс Лёгких Абсцесс легкого представляет собой некротизирующую инфекцию, которая характеризуется образованием полости, заполненной гноем. В большинстве случаев причиной абсцесса чаще всего является аспирация. Прочитайте дополнительные сведенияДиагностика внутрибрюшных абсцессов
КТ органов брюшной полости
В части случаев – радионуклидное сканирование
При подозрении на абсцесс методом выбора является КТ брюшной полости и таза с пероральным контрастированием. Другие способы визуализации также могут выявить некоторые изменения; при обзорной рентгенографии брюшной полости может определяться газ в полости абсцесса, смещение соседних органов, мягкотканное образование, соответствующее абсцессу, либо исчезновение тени подвздошно-поясничной мышцы. При расположении абсцессов вблизи диафрагмы могут наблюдаться изменения со стороны грудной клетки, такие как плевральный выпот, высокое стояние и снижение подвижности купола диафрагмы, инфильтрация в нижней доле, ателектаз на стороне поражения.
Необходимо провести общий анализ и культуральное исследование крови. У большинства пациентов наблюдается лейкоцитоз в крови и анемия.
В части случаев выявить абсцессы брюшной полости помогает радиоизотопное сканирование с Индий111-мечеными лейкоцитами.
Прогноз при абсцессе брюшной полости
Частота летального исхода при абсцессах брюшной полости достигает 10–40%. Прогноз зависит в большей степени от характера фоновой патологии или повреждения и общего состояния здоровья пациента, чем от специфического характера природы и локализации абсцесса.
Лечение абсцессов брюшной полости
Внутривенное введение антибиотиков
Дренирование: чрекожное или оперативное
Почти все интраабдоминальные абсцессы требуют дренирования путем чрескожной катетеризации или хирургически; исключение составляют небольшие (
Присутствует небольшое количество полостей абсцесса.
Дренаж не проходит через кишечник или незараженные органы, плевру или брюшину.
Источник загрязнения под контролем.
Гной достаточно тонкий, чтобы пройти через катетер.
Назначение антибиотиков не позволяет достичь излечения, но способно ограничить гематогенное распространение инфекции, поэтому они должны назначаться до и после вмешательства. Терапия требует внутривенных препаратов, активных против кишечной флоры. Пациенты с приобретенной в внебольничных условиях инфекцией должны отличаться низким или высоким риском неудачного лечения или уровнем смертности вследствие признаков сепсиса или септического шока Клинические проявления Сепсис представляет собой клинический синдром с развитием жизнеугрожающей органной дисфункции, вызванный нарушением регуляции ответа на инфекцию. При септическом шоке происходит критическое. Прочитайте дополнительные сведения , крайнего возраста, сопутствующих заболеваний, степени выраженности абдоминальной инфекции и риском заражения резистентными бактериями. При внебольничных инфекциях у пациентов с низкой степенью риска рекомендуемые схемы лечения включают эртапенем в качестве единственного препарата или метронидазол плюс цефотаксим, либо цефтриаксон. При внебольничных инфекциях у пациентов с высокой степенью риска рекомендуемые схемы лечения включают пиперациллин/тазобактам, цефепим плюс метронидазол, имипенем/циластатин или меропенем. Пациенты, которым проводилась антибиотикотерапия или у которых диагностированы внутрибольничные инфекции, должны получать препараты, активные в отношении устойчивых грамотрицательных бацилл (в частности, Pseudomonas) и анаэробов. (См. также the Surgical Infection Society's 2017 revised guidelines on the management of intra-abdominal infection).
Нутритивная поддержка имеет важное значение, предпочтительно энтеральное питание. При невозможности энтерального питания следует как можно раньше начать парентеральное.
Основные положения
Абсцесс брюшной полости следует заподозрить при появлении боли в животе и лихорадки у пациентов с предрасполагающими состояниями (травма живота, операция, болезнь Крона, дивертикулит, панкреатит и пр).
Абсцесс может выступать как первое проявление рака.
Диагноз подтверждается методом КТ брюшной полости.
Лечение подразумевает чрескожное или хирургическое дренирование; необходимо назначение антибиотиков, однако изолированная антибиотикотерапия не позволяет достичь излечения.
Дополнительная информация
Ниже следует англоязычный ресурс, который может быть информативным. Обратите внимание, что The manual не несет ответственности за содержание этого ресурса.
Авторское право © 2022 Merck & Co., Inc., Rahway, NJ, США и ее аффилированные лица. Все права сохранены.
Абсцедирующие формы аппендикулярного перитонита у детей
Аппендикулярный перитонит остается одним из наиболее тяжелых гнойно-воспалительных заболеваний детского возраста. По данным А.А.Гумерова аппендикулярный перитонит в 72% случаев является причи-ной развития у детей сепсиса и синдрома полиорганной недостаточности (А.А.Гумеров, 1996).
За более чем столетний период хирургического лечения острого аппен-дицита детскими хирургами сделаны значительные успехи. Так летальность с 90% в конце XIX века (цит. по В.И.Колесов, 1959) в последние годы практи-чески сведена к нулю (В.П.Немсадзе, 1997; Л.М.Рошаль с соавт., 1996; А.К.Коновалов с соавт.,2004, 2005; TC Putman et al., 1990; RH Pearl et al., 1995; JS Valla et al., 1999; A.Vade et. al., 2000). Однако при отсутствии спе-циализированной детской хирургической службы и поступлении больных в поздние сроки результаты лечения детей с аппендикулярным перитонитом остаются проблемными (А.Т.Пулатов с соавт., 1994; В.Г.Цуман с соавт., 1994, 2005; Я.Б.Юдин с соавт., 1998; Ж.А.Шамсиев, 2003).
Несмотря на большое число работ, посвященных острому аппендициту и его осложнениям у детей (А.И.Ленюшкин с соавт., 1964; И.В.Бурков, 1974; Ю.Ф.Исаков, Э.А.Степанов, А.Ф.Дронов, 1980; В.Г.Баиров, 1981; С.Я.Долецкий, В.Е.Щитинин, А.В.Арапова, 1982; В.П.Красовская, А.Н.Дарьина, 1983; С.В.Либов, 1983; В.Тошовский, 1988; Я.Б.Юдин с соавт., 1998), спорными остаются вопросы диагностики и выбора метода лечения различных форм аппендикулярного перитонита, в том числе, при формиро-вании внутрибрюшных абсцессов. Продолжается дискуссия по вопросам классификации аппендикулярного перитонита у детей (С.Я.Долецкий с со-авт., 1980, 1982; С.Л.Либов, 1983; Я.Б.Юдин с соавт., 1998; В.Г.Цуман, 2000). До настоящего времени ни в одной используемой детскими хирургами клас-сификации четко не выделены все формы, при которых в брюшной полости формируются абсцесс или абсцессы. Абсцедирующие формы аппендикуляр-ного перитонита, как правило, исчерпываются периаппендикулярным абс-цессом. Однако на возможность сочетания периаппендикулярного абсцесса со свободным гнойным выпотом в брюшной полости указывают в своих ра-ботах С.Я.Долецкий с соавт. (1982), С.Л.Либов (1983), формирование осум-кованных абсцессов в результате прогрессирования разлитого перитонита описывают С.Л.Либов (1983), Л.М.Рошаль (1996), В.И.Котлобовский (2002). В целом, деструктивный аппендицит осложняется формированием абсцессов в брюшной полости в 1,5% - 12,6% случаев (Г.А.Баиров, 1983; В.Е.Щитинин, 1980; С.Я.Долецкий с соавт., 1982; С.Л.Либов, 1983; В.П. Красовская с соавт., 1983, В.Л.Брожик, 2001; GG Guzman-Valdivia, 2003).
Число послеоперационных осложнений при аппендикулярном перито-ните остается достаточно высоким и по данным различных авторов колеб-лется от 5,5% до 40,3% (В.Г.Баиров, 1981; С.Я.Долецкий с соавт.,1982; С.Л.Либов с соавт., 1983; В.П. Красовская с соавт., 1983, В.П. Слепцов с со-авт., 1988; В.А.Бушмелёв, 1994; Л.М.Рошаль с соавт., 1996; В.Л.Брожик, 2001; В.Е.Щитинин с соавт, 2000; В.И.Котлобовский с соавт., 2002; В.Г.Цуман соавт., 2004; А.Д.Магомедов с соавт, 2004; А.К.Коновалов с со-авт, 2005; MP Karp et al., 1986; DT Cloud, 1988; IR Neilson et al.,1990; RH Pearl et al., 1995). Причем, наиболее часто послеоперационные осложнения развиваются именно при образовании в брюшной полости периаппендику-лярного абсцесса и его сочетании со свободным гнойным выпотом – 35,2-40,3% (С.Я.Долецкий с соавт., 1982, В.Л.Брожик, 2001). Формирование множественных осумкованных абсцессов является характеристикой наиболее тяжелых септических форм аппендикулярного перитонита, требующих осо-бых методов ведения больного (Я.Б.Юдин с соавт., 1998; В.Е.Щитинин с соавт., 2000; M.Schein, 2000). Приведенные данные подчеркивают необхо-димость дальнейшей разработки проблемы.
В последние годы в клинической практике широкое распространение получили эндохирургические методы лечения аппендикулярного перитонита. С начала 80-х годов лапароскопию при остром аппендиците стали исполь-зовать с диагностической и санационной целью (Ю.Е.Березов, Г.И.Перминова, 1980; О.Д.Граников с соавт., 1982; В.М.Буянов, Л.М.Рошаль с соавт., 1985). С развитием эндохирургии и внедрением лапароскопической аппендэктомии в практику эндоскопическую методику операции начали применять при аппендикулярном перитоните как первичную радикальную операцию (В.И.Котлобовский с соавт., 1993, 2002; Л.М.Рошаль с соавт., 1994, 1996; А.Г.Кригер с соавт., 1995; А.Ф.Дронов с соавт., 1996, 1997, 1998, 2000, 2002; В.А.Капустин с соавт., 1996, 2002, 2003; Б.К.Шуркалин с соавт., 1998, 1999, 2000; A Pier, F Gotz, 1991; JS Valla et.al., 1991, 1999). Однако, как правило, речь идет о лечении распространенных формах аппендикулярного перитонита, без углубленного изучения возможности использования лапаро-скопии при абсцедирующих формах. В целом, в доступной нам отечествен-ной и зарубежной литературе мы не встретили работ, всесторонне обсуж-дающих проблему абсцедирующих форм аппендикулярного перитонита в широком понимании этого слова.
Изложенное выше свидетельствует об остроте предложенной темы и определяет актуальность проводимого нами научного исследования.
Цель исследования.
Изучить особенности абсцедирующих форм аппендикулярного пери-тонита у детей и обосновать тактику их эффективного лечения.
Задачи исследования:
- Проанализировать современные данные об аппендикулярном перито-ните у детей и обосновать выделение абсцедирующих форм.
- Оценить роль лапароскопии в диагностике абсцедирующих форм ап-пендикулярного перитонита у детей.
- Изучить динамику различных форм аппендикулярного перитонита у детей и определить частоту абсцедирующих форм на современном этапе.
- Выявить факторы, способствующие формированию внутрибрюшных абсцессов на фоне деструкции червеобразного отростка.
- Разработать комплексную диагностику стадий синдрома кишечной не-достаточности (СКН) у детей с абсцедирующими формами аппендикулярно-го перитонита и обосновать тактику дифференцированной ранней энтераль-ной терапии.
- Изучить значимость синдрома системной воспалительной реакции (ССВР) организма и синдрома кишечной недостаточности (СКН) в патогене-зе развития абсцедирующих форм аппендикулярного перитонита у детей.
- Изучить структуру микрофлоры при абсцедирующих формах аппенди-кулярного перитоните у детей и обосновать рациональную антибактериаль-ную терапию.
- Изучить влияние хирургической тактики на развитие послеоперацион-ных осложнений при аппендикулярном перитоните у детей.
- Провести сравнительный анализ результатов лечения абсцедирующих форм аппендикулярного перитонита у детей «открытым» и эндохирургиче-ским методами.
- Обосновать дифференцированную хирургическую тактику у детей с абсцедирующими формами аппендикулярного перитонита.
- Разработать протоколы ведения раннего послеоперационного периода при абсцедирующих формах аппендикулярного перитонита у детей.
Научная новизна.
Впервые выработан новый подход к классификации аппендикулярного перитонита у детей на основе видеолапароскопической семиотики, научно обосновано выделение абсцедирующих форм и доказаны клинические раз-личия между абсцедирующими и свободными формами аппендикулярного перитонита у детей.
Доказана роль лапароскопии в диагностике абсцедирующих форм ап-пендикулярного перитонита у детей и определена их частота на современ-ном этапе.
Впервые описана лапароскопическая семиотика абсцедирующих форм аппендикулярного перитонита у детей – периаппендикулярного абсцесса, со-четанного перитонита и тотального абсцедирующего перитонита, и обосно-вано подразделение периаппендикулярного абсцесса на три стадии с позиций эндохирургии.
Предложена оценка тяжести состояния детей с аппендикулярным пе-ритонитом на базе синдрома системной воспалительной реакции (ССВР) ор-ганизма и синдрома кишечной недостаточности (СКН).
На основании анализа хирургической тактики и динамики послеопера-ционных осложнений определены основные этапы, повлекшие за собой зна-чительное улучшение результатов лечения аппендикулярного перитонита у детей, и выработан дифференцированный подход к хирургической тактике при абсцедирующих формах аппендикулярного перитонита у детей на со-временном этапе с использованием малоинвазивных методик (лапароскопия, чрезкожная пункция и дренирование абсцесса под контролем УЗИ) и лапаро-стомии. Доказано преимущество эндохирургического метода операции при периаппендикулярном абсцессе I, II стадии и сочетанном перитоните.
Впервые у детей разработана комплексная диагностика трех стадий синдрома кишечной недостаточности и обоснована дифференцированная ранняя энтеральная терапия.
Доказано постоянство ведущих возбудителей аппендикулярного пери-тонита у детей на протяжении последних 35 лет и обоснована дифференци-рованная антибактериальная терапия в зависимости от формы перитонита и тяжести состояния ребенка с учетом фармакодинамики и фармакокинетики современных антибактериальных препаратов.
Предложены три основных протокола ведения послеоперационного периода для каждой из абсцедирующих форм аппендикулярного перитонита у детей в зависимости от выраженности ССВР и СКН.
Практическая значимость.
Результаты проведенных исследований позволяют предложить практи-ческому здравоохранению комплексную программу лечения детей с абсце-дирующими формами аппендикулярного перитонита, включающую оценку тяжести состояния ребенка, хирургическую тактику и ведение послеопера-ционного периода.
Оценка тяжести состояния больного с аппендикулярным перитонитом на основе синдрома системной воспалительной реакции (ССВР) и синдрома кишечной недостаточности (СКН) является скрининг методом, позволяю-щим определять объем необходимой медикаментозной терапии и оценивать результаты лечения равнозначных по тяжести групп больных.
Эндохирургический метод лечения периаппендикулярных абсцессов I , II стадии и сочетанного перитонита качественно меняет подход к хирургиче-ской тактике при формировании внутрибрюшных абсцессов и позволяет зна-чительно улучшить результаты лечения наиболее тяжелых форм аппендику-лярного перитонита у детей.
Использование разработанных протоколов ведения послеоперационного периода обеспечивает применение адекватного объема интенсивной тера-пии для каждой из абсцедирующих форм аппендикулярного перитонита.
Обоснование эмпирической антибактериальной терапии преимущест-венно на основе монотерапии амоксициллин/клавуланатом позволяет отка-заться от использования комбинированной антибактериальной терапии, со-хранить препараты резерва для лечения госпитальной инфекции и следст-венно уменьшить общую стоимость антибактериальной терапии.
Разработанная комплексная диагностика трех стадий синдрома кишеч-ной недостаточности у детей позволяет проводить дифференцированную раннюю энтеральную терапию и отказаться от использования схем медика-ментозной стимуляции кишечника.
В целом, применение дифференцированной хирургической тактики и консервативной терапии при абсцедирующих формах аппендикулярного пе-ритонита приводит к уменьшению числа послеоперационных осложнений в 3 раза и сокращению пребывание больного в стационаре на 5 койко-дней с учетом реабилитационного периода.
Читайте также:
