Диффузные изменения щитовидной железы. Гипоэхогенные изменения щитовидной железы.
Добавил пользователь Валентин П. Обновлено: 28.12.2025
а) Дифференциальная диагностика диффузного увеличения щитовидной железы:
1. Типичные варианты:
• Многоузловой зоб
• Болезнь Грейвса
• Тиреоидит Хашимото
2. Менее типичные варианты:
• Тиреоидит де Кервена
• Острый гнойный тиреоидит
• Анапластический рак щитовидной железы
3. Редкие, но важные варианты:
• Метастатическое поражение щитовидной железы
• Лимфома
• Лейкоз
(Слева) УЗИ, поперечная проекция: визуализируются множественные солидные изоэхопенные узлы различного размера, имеющие однородную структуру, но без включений кальция. Большинство узлов окружены замкнутым гипоэхогенным ободком.
(Справа) УЗИ, поперечная проекция: у пациента с многоузловым зобом в щитовидной железе визуализируются множественные неоднородные узлы, некоторые с фокальными плотными кальцинатами. Кистозные изменения и перегородки часто обнаруживаются в доброкачественных гиперпластических узлах. (Слева) УЗИ, продольная проекция: определяется диффузное увеличение щитовидной железы с неоднородной пятнистой эхоструктурой и низкой эхогенностью. Изменения сопоставимы с болезнью Грейвса. Обратите внимание на увеличение бугорка Цукеркандля.
(Справа) Энергетическая допплерография, поперечная проекция: определяется диффузное повышение васкуляризации железы, часто описываемое как «тиреоидный пожар» при болезни Грейвса. При спектральной допплерографии (изображения не показаны) в сосудах обнаруживается повышение скорости кровотока в отличие от тиреоидита Хашимото (скорость не изменена). (Слева) КТ глазниц, корональная реформатированная проекция: определяется распространенная гипертрофия экстраокулярных мышц, сопоставимая с офтальмопатией Грейвса.
(Справа) MPT (Т2ВИ с подавлением сигнала от жира). Корональная проекция: определяется диффузное увеличение щитовидной железы у пациента с болезнью Грейвса. Отчетливо определяется распространенность поражения, отсутствие сдавления трахеи. КТ/МРТ применимы для оценки выраженного увеличения щитовидной железы. (Слева) УЗИ, поперечнаяпроек ция: определяется легкое увеличение щитовидной железы. Эхоструктура паренхимы относительно однородна, минимально пятнистая. Эхогенность снижена, узлы отсутствуют. Такая картина щитовидной железы типична для болезни Грейвса.
(Справа) Энергетическая допплерография, продольная проекция: определяется «тиреоидный пожар». При выраженной васкуляризации железы для оценки кровотока и уменьшения выраженности артефактов можно использовать высокую частоту повторения импульсов и фильтры.
б) Ключевая информация:
1. Дифференциальный диагноз:
• В большинстве случаев диагноз устанавливается клинически, УЗИ используется для конкретных уточнений:
о Для подтверждения диагноза и/или контроля биопсии:
- В дополнение к КТ или МРТ
о Для оценки сопутствующих нарушений и/или осложнений:
- При многоузловом зобе (МУЗ) УЗИ позволяет идентифицировать рак щитовидной железы; ищите признаки злокачественной опухоли, ± лимфаденопатию
- При тиреоидите Хашимото УЗИ позволяет обнаружить формирующуюся неходжкинскую лимфому (НХЛ) в железе или лимфоузлах
2. Типичные варианты:
• Многоузловой зоб:
о Наиболее типичная причина диффузного (симметричного/асимметричного) увеличения щитовидной железы
о Типичный МУЗ: множественные неоднородные узлы:
- Множественные узлы, двухстороннее диффузное поражение
- Солидные узлы часто изоэхогенны, малая часть узлов гипоэхогенны
- Тонкий и хорошо отграниченный гипоэхогенный «ободок»
- Неоднородная эхоструктура с кистозными изменениями, перегородками, включениями дебриса; аваскулярный солидный компонент (организовавшийся сгусток крови); картина, напоминающая губку
- Кальцинаты, дающие плотную тень (линейные, неправильные, грубые)
- Узлы с артефактами «хвост кометы» крайне подозрительны на коллоидные
о Цветовая допплерография:
- Периферическая > интранодальная васкуляризация
- Перегородки и мягкотканный компонент лимфоузла могут быть аваскулярными (организующийся сгусток крови)
о Тщательно ищите злокачественные очаги на фоне многоузлового зоба
о Подозрительные признаки злокачественного узла:
- Нечеткие края
- Солидная структура, низкая эхогенность, преобладание продольных размеров над поперечными
- Наличие точечных кальцинатов
- Повышенная васкуляризация с преимущественным интранодулярным распределением при цветовой допплерографии
- ± экстракапсулярное распространение, инвазия сосудов
- ± сопутствующая злокачественная регионарная лимфаденопатия
• Болезнь Грейвса:
о Самый частый тип аутоиммунного тиреоидита
о Диагноз основан на лабораторных данных (гипертиреоз, высокий уровень циркулирующего тиреоглобулина и антител ктиреопероксидазе)
о Легкое/умеренное диффузное симметричное увеличение щитовидной железы, включая перешеек, с закруглением краев
о Низкая эхогенность, неоднородная структура, «пятнистая» эхоструктура паренхимы
о Неоднородная структура может выглядеть узловой, имитируя МУЗ
о Цветовая допплерография: выраженная диффузная гиперваскуляризация паренхимы, «тиреоидный пожар»
о Спектральная допплерография: повышение пиковой скорости кровотока (до 120 см/с) в нижней щитовидной артерии
• Тиреоидит Хашимото:
о Хронический лимфоцитарный тиреоидит
о Диагноз основан на клинических данных (диффузный зоб на фоне эутиреоза/гипотиреоза) и серологических тестах (антимикросомальные антитела, антитиреоглобулин, тиреоидная пероксидаза)
о Постепенное увеличение щитовидной железы в отсутствие болевой симптоматики на фоне эутиреоза (у большинства пациентов), гипотиреоза (20%), гипертиреоза (5%):
- Гипотиреоз связан с атрофией железы в финальной стадии
о Диффузное снижение эхогенности и неоднородная микронодулярная эхоструктура
о Типичные фиброзные перегородки при хроническом заболевании в виде множественных эхогенных горизонтальных линий
о Отсутствие васкуляризации в острой фазе, гиперваскуляризация в хронической фазе, гипотиреоз (из-за стимуляции ТТГ):
- Скорости кровотока остаются в пределах нормальных значений по сравнению с t при болезни Грейвса
о Всегда оценивайте щитовидную железу и лимфоузлы (± ТАБ), т.к. при хроническом заболевании имеется риск возникновения НХЛ
(Слева) УЗИ, поперечная проекция: в щитовидной железе у пациента с тиреоидитом Хашимото визуализируются множественные эхогенные горизонтальные линии, представляющие фиброзные перегородки. У пациентов с хроническим заболеванием необходимо исключить неходжкинскую лимфому и любые подозрительные узлы.
(Справа) Энергетическая допплерография, поперечная проекция: определяется выраженное диффузное повышение васкуляризации (эффект ТТГ) щитовидной железы. Скорость кровотока в сосудах не изменена (при болезни Грейвса повышена). (Слева) УЗИ, поперечная проекция: у ребенка с острым болезненным отеком щитовидной железы после перенесенной ОРВИ определяется диффузное увеличение щитовидной железы с наличием фокальной неоднородной зоны низкой эхогенности. Картина и анамнез сопоставимы с тиреоидитом де Кервена.
(Справа) УЗИ, поперечная проекция: в контралатеральной доле у этого же пациента определяются аналогичные изменения. При этом заболевании часто рано поражаются передние подкапсульные отделы. (Слева) Энергетическая допплерография, поперечная проекция: визуализируется перитиреоидный абсцесс вблизи левой доли щитовидной железы. Острый гнойный тиреоидит чаще возникает слева.
(Справа) КТ с КУ, аксиальная проекция: в этой же области у этою же пациента визуализируется перитиреоидный абсцесс с неконтрастирующимся некротическим компонентом. Обратите внимание на газ и бариевый контраст (после рентгеновского исследования), попавший в абсцесс через фистулу в левом грушевидном синусе. (Слева) Рентгенография гортаноглотки (двойное контрастирование с бариевой взвесью): визуализируется фистула левого грушевидного синуса у пациента с острым гнойным тиреоидитом. Исследование было выполнено после стихания острого эпизода.
(Справа) УЗИ, поперечная проекция: определяется анапластический рак левой доли щитовидной железы. Плохо отграниченная солидная гипоэхогенная опухоль в инфильтрирует большую часть левой доли щитовидной железы. Определяются признаки экстратиреоидного распространения кзади. (Слева) КТ с КУ, аксиальная проекция щитовидной железы: у этого же пациента отчетливо определяется диффузная инфильтрация левой доли анапластической карциномой с экстратиреоидным распространением через среднюю линию В и обрастанием левой общей сонной артерии (ОСА).
(Справа) УЗИ, поперечная проекция: визуализируется анапластическая карцинома в виде плохо отграниченного гипоэхо-генного образования с нечеткими границами, окружающего левую ОСА. Экстратиреоидное распространение лучше можно оценить с помощью КТ или МРТ (изображения не продемонстрированы). УЗИ лучше всего позволяет контролировать иглу при ТАБ. (Слева) Энергетическая допплерография, поперечная проекция: у пациента с известным диссеминированным раком определяется диффузное увеличение и повышение васкуляризации щитовидной железы, активно накапливающей ФДГ на ПЭТ/КТ. Была выполнена TAB, подтвердилось метастатическое поражение.
(Справа) Энергетическая допплерография, поперечная проекция: у пациента с известным диссеминированным раком определяется легкое диффузное увеличение правой доли щитовидной железы с наличием плохо отграниченной гипоэхогенной области, содержащей кровеносные сосуды. Была выполнена ТАБ под контролем УЗИ, подтвердилось метастатическое поражение.
3. Менее типичные варианты:
• Тиреоидит де Кервена:
о Типичный анамнез: острое начало в виде болезненного отека щитовидной железы через 2-3 недели после перенесенной ОРВИ
о Преходящий гипертиреоз (50%), парадоксально низкая фиксация радиоактивного йода из-за значительной деструкции железы
о Острая фаза:
- Легкое увеличение щитовидной железы с неоднородной структурой за счет гипоэхогенных очагов
- При надавливании датчиком боль усиливается
- Воспалительная реакция лимфоузлов вблизи железы
- Гиповаскуляризация при энергетической допплерографии
о Подострая фаза:
- Поражение оставшихся отделов железы, становящейся диффузно гипоэхогенной и неоднородной
- Резидуальная локализованная болезненность при надавливании датчиком
- Легкое или умеренное повышение васкуляризации; гипоэхогенные зоны могут быть аваскулярными вследствие значительной деструкции железы
о Клиническое выздоровление хорошо соотносится с сонографическим
• Острый гнойный тиреоидит:
о Рецидивирующий абсцесс шеи/щитовидной железы слева (95%)
о Преимущественно страдают дети и молодые взрослые
о Лихорадка, боль/болезненность в передних отделах шеи, лейкоцитоз
о Начинается как перитиреоидный абсцесс с последующим поражением щитовидной железы (верхнего > нижнего полюса)
о Плохо отграниченное гипоэхогенное воспалительное «образование» (абсцесс) щитовидной железы ± жидкость в центре
о Обязательно необходимо идентифицировать свищевой ход из грушевидного синуса после острого эпизода (рентгеновское исследование с бариевым контрастом, КТ с КУ)
• Анапластический рак щитовидной железы:
о Клинические признаки: быстро растущее образование с признаками обструкции у пациента с известным МУЗ
о УЗИ требуется для подтверждения диагноза, контроля иглы при биопсии, оценки экстратиреоидного распространения, выявления злокачественной лимфаденопатии
о Инвазивная гипоэхогенная опухоль щитовидной железы с неоднородной структурой ± очаговыми обызвествлениями (50%), ± некрозом на фоне МУЗ
о ± экстракапсулярное распространение, злокачественная шейная лимфаденопатия, ± опухолевый тромб во внутренней яремной вене
о Цветовая допплерография:
- Выраженная хаотическая интранодулярная васкуляризация
- Некротическая опухоль может быть а-/гиповаскулярной (инфильтрация/окклюзия сосудов)
(Слева) УЗИ, поперечная проекция: визуализируются множественные гипоэхогенные узлы в левой доле. Метастазы в щитовидной железе во всех случаях сочетаются с диссеминированным поражением легких, костей, печени, лимфоузлов.
(Справа) МРТ (Т1 ВИ С+), аксиальная проекция: у этот же пациента определяется зоб с легкой неоднородностью паренхимы щитовидной железы. Обратите внимание, что метастазы плохо различимы на МРТ, но отчетливо видны на УЗИ. (Слева) УЗИ, поперечная проекция: определяется диффузное увеличение щитовидной железы с низкой эхогенностью и неоднородной структурой. Целостность капсулы нарушена за счет экстратиреоидногораспространения опухоли. Обратите внима ниена ОСА.
(Справа) КТ с КУ, аксиальная проекция: в этой же области визуализируется опухоль левой доли щитовидной железы, диффузно инфильтрирующая мягкие ткани шеи слева и пищевод (с назогастраль -ной трубкой). Эти изменения типичны для лимфоматозного поражения мягких тканей шеи и щитовидной железы. (Слева) УЗИ, продольная проек ция: определяется поражение щитовидной железы при хроническом лимфолейкозе в виде многочисленных плохо отграниченных гипоэхогенных участков, разбросанных в железе. Картина неспецифична и имитирует другие злокачественные опухоли щитовидной железы.
(Справа) УЗИ, поперечная проекция: у этого же пациента визуализируется объемное образование в правой доле щитовидной железы, а также сопутствующий злокачественный лимфоузел. Изменения на УЗИ неспецифичны, их нужно соотносить с клиническими проявлениями.
4. Редкие варианты:
• Метастатическое поражение щитовидной железы:
о Быстро растущий зоб/охриплость/дисфагия у пациента с известной злокачественной опухолью:
- Чаще всего молочной железы, почки, легкого, ободочной кишки
о Во всех случаях сочетается с диссеминированными метастазами
о Неспецифическая картина:
- В отсутствие данных анамнеза метастазы (без биопсии) нельзя дифференцировать с анапластическим раком, другими опухолями щитовидной железы, лимфомой, поражением при лейкозе
о Солитарные/множественные солидные гипоэхогенные узлы с интранодальной васкуляризацией или диффузной инфильтрацией (умеренно выраженный зоб с неоднородной гипоэхогенной паренхимой)
о Инфильтративные метастазы могут быть выражены незначительно и их легко пропустить; диссеминированные поражение и шейная лимфаденопатия - ключевые вспомогательные признаки
• Лимфома:
о Первичная лимфома щитовидной железы встречается редко:
- Обычно у пациентов с хроническим тиреоидитом Хашимото
о Быстро увеличивающаяся опухоль щитовидной железы
о Солидная, гипоэхогенная, с нечеткими краями, без кальцинатов:
- Солитарная в 80%, часто достигающая больших размеров (5-10 см)
о Диффузное поражение: зоб с неоднородной эхоструктурой или минимальным нарушением эхоструктуры, которое часто пропускается
о ± локальная инфильтрация, лимфоматозное поражение шейных лимфоузлов (низкая эхогенность, ретикулярная/псевдокистозная эхоструктура)
о Цветовая допплерография: неспецифическая картина; низкая васкуляризация, хаотические интранодулярные сосуды
• Лейкоз:
о Поражение щитовидной железы аналогично лимфоматозному или метастатическому:
- Диффузная инфильтрация; мультифокальное узловое поражение
о Увеличенные лимфоузлы не выглядят ретикулярными или псевдокистозными
- Вернуться в оглавление раздела "Отоларингология"
Редактор: Искандер Милевски. Дата обновления публикации: 22.3.2022
Диффузные изменения щитовидной железы. Гипоэхогенные изменения щитовидной железы.
Гиперэхогенные изменения щитовидной железы. Виды исследования щитовидной железы.
Гиперэхогенные аденоматозные узелки:
• Единичные или множественные узлы на фоне зоба.
• Гипоэхогенный ободок.
Гиперэхогенная аденома:
• Гиперэхогенный узел в нормальной щитовидной железе.
• ЦДЭ: васкуляризация по периферии образования и отсутствие или небольшое количество кровеносных сосудов внутри него.
Дегенеративные изменения узловатого зоба (коллагеновая соединительная ткань):
• Грубая гиперэхогенная структура неправильной формы.
• Неровные края образования.
Кальцинаты: в узлах или опухолях.
На заметку: околотрахеальные эхо-сигналы могут быть ошибочно приняты за эхо-сигналы собственно трахеи, поэтому перед обнаружением возможных кальцинатов следует определить местоположение трахеи.

• Высокоамплитудные эхо-сигналы с дистальной акустической тенью
• Очаги, островки или участки, напоминающие кусочки яичной скорлупы.
Ультразвуковое исследование:
• Дифференцировка с узелками: дифференциальная диагностика должна включать гиперплазию и аденому паращитовидных желез, которые имеют вид гипоэхогенных узелков, расположенных кзади и кверху или кзади и книзу от щитовидной железы. Эти образования также могут расти вглубь щитовидной железы.
• Холодные узлы обнаруживаются при сцинтиграфии и без особого труда дифференцируются при ультразвуковом исследовании: кисты и гипоэхогенные опухоли резко отличаются от кальцинатов и гиперэхогенных узлов.
• Под ультразвуковым контролем могут выполняться диагностические и лечебные процедуры:
ТИАБ под контролем ультразвука.
- Опорожнение кист под контролем ультразвука.
- Инстилляция алкоголя (1-4 мл 96% спирта) в юрячий узел может быть обнаружена при сцинтиграфии (эти узлы обычно гипоэхогенны при ультразвуковом исследовании).
Дальнейшие исследования:
• Щитовидная железа с нормальной структурой или диффузный зоб с нормальной эхогенностью: при нормальном базальном уровне ТТГ необходимость в дополнительных исследованиях отсутствует (от сцинтиграфии лучше воздержаться, особенно у молодых пациентов). В некоторых случаях может быть проведена профилактика препаратами йода.
• Узловатый зоб.
- Нормальный базалъный уровень ТТГ: заместительная гормональная терапия.
- Снижение базального уровня ТТГ: диагностика гипертиреоза и сцинтиграфия.
- Повышение базального уровня ТТГ: диагностика гипотиреоза (ложноположительное значение; ошибочный результат? Рецидив узловатого зоба после струмэктомии?).
Гипоэхогенные узлы (единичные или множественные отдельные узелки):
Узлы >10 мм: сцинтиграфия.
- Узлы < 10 мм с неполным периферическим ободком и внутренней васку-ляризацией: ТИАБ.
- Нормальный уровень ТТГ при подозрении на автономию щитовидной железы: сцинтиграфия с подавлением.
- Гипоэхогенный узел, холодный при сцинтиграфии: во всех случаях выполняется ТИАБ или оперативное вмешательство; при подозрении на медуллярный рак С-клеток определяется уровень кальцитонина.
Гипоэхогенная щитовидная железа:
- Нормальный базальный уровень ТТГ: дальнейшие исследования для выявления тиреоидита или иммуногенного зоба.
- Снижение базалъного уровня ТТГ: гипертиреоз при базедовой болезни? Хронический аутоиммунный тиреоидит с преходящим гипертиреозом? Послеродовый гипертиреоз? Тиреоидит де Кервена?
- Повышение базалъного уровня ТТГ: тиреоидит Хашимото.
На заметку: у пациентов с патологическим базальным уровнем ТТГ ультразвуковое исследование и сцинтиграфия успешно дополняют друг друга при диагностике гипертиреоза.
Эхогенность щитовидной железы всегда оценивается в сравнении с мышцами шеи. Как правило, все аутоиммунные заболевания щитовидной железы характеризуются диффузным снижением эхогенности, тем не менее, различия эхо-структуры щитовидной железы при различных заболеваниях позволяют отличать их друг от друга.
Острый и подострый тиреоидит де Кервена: клинически заболевание проявляется острым недомоганием, локальной болезненностью, лабораторными маркерами воспаления и, часто, преходящим гипертиреозом.
• Крупные гипоэхогенные участки с нечеткими границами, перемежающиеся с участками нормальной эхогенности.
• Общая картина: пятнистая гипоэхогенная структура.
• ЦДЭ: усиление васкуляризации. Участки склероза характеризуются гиперэхогенностью и скудной васкуляризацией.
Хронический лимфоцитарный тиреоидит Хашимото: клинически заболевание проявляется рано появляющимся бессимптомным гипотиреозом и сморщенной, склерозированной щитовидной железой. Также отмечаются повышение СОЭ и высокий титр антител к тиреопероксидазе (ТПО) и антител к тиреоглобулину (Tg).
• Точечно- или диффузно-гипоэхогенная структура.
• На терминальной стадии обнаруживаются небольшие гипоэхогенные остатки щитовидной железы.
• Участки рубцевания имеют повышенную эхогенность.
• ЦДЭ: заметное усиление васкуляризации.

Гипертиреоз при болезни Грейвса (базедовой болезни): клинически у пациентов имеются зоб и классические признаки гипертиреоза: снижение массы тела, тахикардия, эндокринная офтальмопатия, шум при аускультации щитовидной железы вследствие усиления ее васкуляризации.
• Выраженное увеличение, особенно в области перешейка.
• Точечное или диффузное снижение эхогенности.
• ЦДЭ: усиление васкуляризации («сосудистый ад» по Ralls).
• Спектральный анализ: увеличение скорости кровотока в нижней артерии щитовидной железы до 125 см/с.
Тиреоидит Риделя (синоним: хронический склерозирующий тиреоидит): встречается редко; клинически проявляется увеличением плотности щитовидной железы - «каменистый зоб».
• Диффузная гипоэхогенная структура, обусловленная гиалиновой соединительной тканью.
• Ровные четкие выступы контуров железы.
• Злокачественная лимфома: инвазивное заболевание; сливающиеся узловатые образования со сниженной эхогенностью.
• Паренхиматозный зоб: диффузное увеличение щитовидной железы.
• Нормальная эхо-структура.
• Требуется проведение дифференциальногой диагноза с лимфомой.
Гиперэхогенные изменения щитовидной железы
• Диффузный коллоидный зоб:
• Клинические признаки: гистологически зоб в основном представляет собой макрофолликулы, содержащие коллоид. Как и диффузный паренхиматозный зоб, он относится к типу алиментарного йоддефицитного зоба. Заболевание превалирует у молодых людей, проживающих в регионах, где имеется дефицит йода. Диффузный коллоидный зоб имеет относительно грубую гиперэхогенную структуру (в основном макрофолликулы), которая контрастирует с неизменной эхо-структурой паренхиматозного зоба (обычно фолликулы нормальных размеров).
• Ультразвуковые данные:
Увеличение щитовидной железы.
- Грубая гиперэхогенная структура.
Дегенеративные фиброзные изменения щитовидной железы:
• Клинические признаки: могут развиваться при длительно текущем диффузном зобе или при радиационном зобе. Мелкие изоэхогенные узелки дифференцируются по их гипоэхогенному ореолу. Дегенеративные изменения с образованием коллагеновой (т.е. эхогенной) соединительной ткани схожи с изменениями при диффузном коллоидном зобе (обычно дифференцируются при ЦДЭ, которая позволяет обнаруживать сосуды вокруг узелков). Ультразвуковые данные:
- Гиперэхогенный зоб, часто асимметричный.
- Неоднородная внутренняя эхо-структура.
- Длительно текущий зоб в анамнезе (или рецидивирующий зоб) либо предшествующая радиотерапия щитовидной железы.
Примеры УЗИ щитовидной железы
Для каждого примера приведены протокол УЗИ, снимки и комментарий. Представлены реальные случаи из практики «Клиники Щитовидной Железы» доктора А.В. Ушакова (Москва) [Фамилии и инициалы пациентов изменены].
Ультразвуковые снимки приводятся в количестве, достаточном для демонстрации примера. Комментарий раскрывает основные и дополнительные клинические обстоятельства каждого случая. Величина зоба соответствует классификации нашей Клиники (2010).
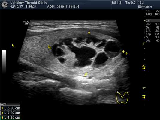
27. Пример УЗИ 1

Присутствуют обе доли и перешеек щитовидной железы; расположение типично. Граница и контур чёткие.
Структура паренхимы долей щитовидной железы неоднородная – узловая, вне узлов преобладает изоэхогенность.
В правой доле щитовидной железы в центрально-каудальной части почти до её краев (в поперечной проекции) расположен овоидоподобной формы узел 22,9х20,7х33,1 мм (7,4 мл), окруженный по всему периметру чёткой гипоэхогенной границей-контуром, значительно неоднородный за счет множественных анэхогенных (жидкостных) участков (около 70% от объёма узла), преимущественно с чёткими границами в виде узких перегородок с изо- и гиперэхогенной (фиброзной) тканью и изоэхогенной тканью по периметру узла; при ЭДК заметно примыкание к узлу с кранио- и каудальной сторон магистральных сосудов, и умеренный кровоток по части периметра и мало интенсивный внутри узла (в перегородках); при эластографии SR 2,8 (3,3 - в обл. некоторых перегородок). Вне узла ткань изоэхогенная, почти однородная; в краниальном полюсе 21,2х15х15,1 мм (2,3 мл), а также медиально. В режиме ЦДК и ЭДК кровообращение в этой ткани в малой степени усилено.
В левой доле щитовидной железы преобладает почти однородная изоэхогенная ткань, среди которой заметны два малых узла. В краниальном полюсе овоидоподобый узел 4,2х2,7х2,8 мм с чёткой границей, неоднородный: умеренно гипоэхогенный (за счёт деструкции), с малым изоэхогенным участком ткани; при ЭДК заметен крупный сосуд у края узла; при эластографии SR 2,5. Подобной организации, но более гипоэхогенный (тканевой) узел расположен в каудально-дорсальной части левой доли 2,5х2,3х4,3 мм; при эластографии SR 3,1. В режиме ЦДК и ЭДК кровообращение оптимальное.
В перешейке определяется незначительно гипоэхогенная ткань. При ЦДК активного кровотока в перешейке не обнаружено.
Изменения регионарных лимфоузлов не выявлено.
Заключение: УЗ-признаки двустороннего узлового процесса щитовидной железы с преобладанием макроструктурно полноценной ткани. Левосторонний малый двухузловой процесс на стадиях умеренного истощения (TI-RADS 2) и правосторонний крупноузловой субтотальнодолевой зоб 2 ст. на стадии значительного истощения в кистозном состоянии (TI-RADS 2). Напряжение внутрищитовидного кровотока во внеузловой ткани незначительно усилено, узла справа – умеренно активизировано. Внеузловая ткань железы, выглядящая полноценной гормонообразующей, составляет около 98%.
УЗИ-снимки в количестве 12 шт. прилагаются.
Врач ____________________ печать
Комментарий УЗИ (Пример 1)
Обратите внимание, что содержание приведенного протокола УЗИ не сводится только к «узловому зобу», а сам этот термин не выносится в заключение, как единственный и основной. Заключение протокола с формулировкой «узловой зоб», даже дополненной номером зоба и категорией TI-RADS, будет неполноценным, не выражающим важные обстоятельства состояния железы (особенности узлового процесса и внеузловой ткани), от которых зависит выбор наиболее оптимального лечебного пути.
Внеузловая ткань. У пациентки внеузловая ткань железы выглядит почти абсолютно нормальной, гормонообразующей. Эта ткань занимает всю левую долю, за исключением двух малых узлов, объём которых так мал, что им можно пренебречь (рис. 27.1-27.4).

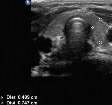
Рис. 27.1. Пример 1. (левая доля, поперечная проекция).
Ткань доли и перешейка изоэхогенная, почти однородная. Граница железы чёткая.

Рис. 27.2. Пример 1. (левая доля, продольная проекция, краниальный полюс; ЭДК).
В кранио-вентральной части узла преобладает деструкция; видна анэхогенная (жидкостная) прикраевая зона. Дорсально – остаточная изоэхогенная ткань. У края узла расширенный сосуд с разветвлением сети.

Рис. 27.3. Пример 1. (левая доля, продольная проекция, каудально-дорсальная область). Чёткая граница долькового узла, в котором заметны мелкие точечные умеренно гипоэхогенные включения (признак деструкции).

Рис. 27.4. Пример 1. (левая доля, продольная проекция; ЭДК).
Количество сосудистых элементов указывает на оптимальный уровень кровотока, пограничный с малым усилением.

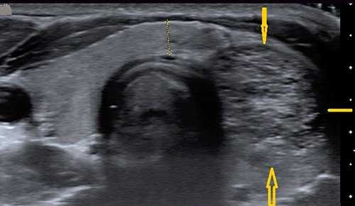
Рис. 27.5. Пример 1. (правая доля, поперечная проекция).
Латерально и вентрально за узлом – лишь тонкий слой ткани. Медиально заметна значимая часть внеузловой ткани. Узел в поперечной проекции подобен кругу. Чёткий гипоэхогенный контур по всему периметру узла.

Рис. 27.6. Пример 1. (правая доля, продольная проекция; ЭДК).
К узлу с краниальной и медиальной сторон подходят магистральные сосуды, создавая вокруг него, почти по всему периметру, умеренной интенсивности кровоток, с малой насыщенностью в тканевых перегородках узла.

Рис. 27.7. Пример 1. (правая доля, продольная проекция).
Структура узла представлена крупными сегментами, в центре которых – кистозные участки, почти повторяющие форму сегментов узла. Жидкостная (анэхогенная) часть узла преобладает над тканевой.
Рис. 27.8. Пример 1. (правая доля, краниальная часть, продольная проекция; ЭДК).
Состояние кровообращения и структура ткани в краниальной части правой доли подобны левой доле. Произведено измерение этой внеузловой части.
Такая же такнь определяется в перешейке и краниально-медиальной части правой доли.
Вся эта внеузловая ткань, прежде всего, обладает гормонообразующей ценностью. Она важна как источник калоригенных гормонов, обеспечивающих основной обмен во всех структурах организма. Поэтому нужно полноценно характеризовать её и представить не только в описании, но и в заключении. В соответствии с «Классификацией доброкачественных состояний ЩЖ взрослых» (2010-2015) эта ткань обозначается как макроструктурно полноценная. Следует дополнительно заметить, что ценность этой ткани заключается не только в производстве гормонов «в настоящее время», но и в источнике регенерации. Например, в качестве компенсации утраченной узловой ткани.
Поэтому важно при проведении диагностики по возможности измерить величину ткани за узлом напрямую, а не только путём разницы объёмов узла и доли, что также клинически необходимо.
Важно сопоставить объёмные величины узла и доли с этим узлом. Для этого обязательно вычисление объёма узла. Не желательно оставлять эту задачу для клинициста («тебе нужно – ты и считай»). Именно сонолог должен определить отношения объёмов:
· узла и доли, в которой он расположен,
· внеузловой ткани с одной стороны (в этом примере справа) и сохранённой доли с другой стороны.
Объём краниальной части правой доли (с макроструктурно полноценной тканью) составил 2,3 мл. Умозрительно, этот объём по отношению к 7,4 мл узла характеризует субтотальнодолевой узловой зоб (рис. 27.11).

Рис. 27.9. Пример 1. (правая доля, поперечная проекция, краниальная часть).
Изоэхогенная почти однородная ткань. Произведено измерение этой внеузловой части доли. Данные внесены в протокол УЗИ.


Рис. 27.11. Пример 1. (правая доля, продольная проекция).
За узлом в доле – макроструктурно полноценная ткань.

Рис. 27.12. Пример 1. (вся щитовидная железа, поперечная проекция).
За узлом в железе – макроструктурно полноценная ткань.
Но ткань расположена ещё и вокруг узла (больше с медиальной стороны). Поэтому разница объёма доли и узла (11,4-7,4) показывает 4 мл, что составляет 35% от величины доли и также указывает на субтотальнодолевой узловой зоб.
4 мл макроструктурно полноценной ткани справа для этой пациентки являются абсолютной ценностью. На это указывает объём 3,2 мл левой доли. 7,2 мл всей макроструктурно полноценной ткани (без перешейка) соответствуют оптимальному объёму щитовидной железы у женщин. Поэтому важно в описании и заключении сообщать сведения о состоянии и величине этой ткани. В описании – конкретно, в заключении – общетерминологически.
Заключение протокола без информации о количестве «полноценной» или «относительно полноценной» гормонообразующей ткани вне узлов (в процентном выражении) имеет значимо низкую клиническую пользу. Оно ограничивает диагностическое понимание гормонообразующей способности щитовидной железы.
Узловой процесс. Узел в правой доле является крупным, т.к. его объём превышает 4 мл. Большая часть этого объёма состоит из жидкости. Поэтому важно указать величину жидкой части внутри узла.
Поскольку не всегда возможно вычислить объём жидкости в узле точно, то уместно сообщить в описании протокола ориентировочно выявленный вами процент жидкой части узла. Не забывайте применять слова «приблизительности» при таком выражении данных (почти, около и пр.).
Все признаки узла (в режимах В, ЭДК, ЦДК) в этом примере указывают на доброкачественный процесс. Форма узла приближена к правильной, стремится повторить форму доли. Узел имеет чёткую границу и гипоэхогенный (сосудистый) контур по всему периметру, распределение сосудов и. закономерные изменения внутри. Доброкачественность остаточной ткани подтверждается и при эластографии (SR 2,8).
Обратите внимание на сегментарное устройство ткани узла. Весь узел состоит из средней величины сегментов, внутри которых за счёт деструкции ткань распалась и накопилась жидкость. Это естественное стадийное изменение. Величина и распространённость деструкции в узле (почти все его сегменты имеют признаки значительного разрушения (рис. 27.11)) указывают на стадию значительного истощения.
Также обратите внимание, что в описании протокола узел представляется в соответствии с известными эхографическими признаками, а в заключении – характеризуется в целом, в соответствии с классификационными терминами, со всех клинически важных сторон (по расположению в железе, величине, отношению к доле, стадии, состоянию, течению). Не следует путать стадию и состояние узла. Течение узлового процесса в данном случае не указано, т.к. эта оценка возможна лишь в сопоставлении с достоверными данными предыдущего исследования.
Между прочим, признака коллоидности жидкости (феномен «кометы») не определяется. Вероятно, эта жидкость появляется за счёт онкотического давления, создаваемого белками разрушенных клеток.
Также обратите внимание, что вокруг узла, где бы то ни было, отсутствует гиперэхогенный контур (рис. 27.5, 27.11). Следовательно, этот узел не имеет капсулы, т.е. морфологического признака, основой которого является соединительная ткань. Поэтому не следует описывать «капсулу» у таких узлов.
Следует проследить источники сосудистой сети узла (в данном случае, она исходит из нескольких магистральных сосудов из ветвей верхней и нижней щитовидных артерий). Такая особенность важна, поскольку сообщает о закономерном поступлении к узлу нервных стимулов по нервным волокнам, сопровождающим сосуды.
Кровеносная сеть в узле также закономерна. Она соответствует биологически естественному распределению сосудов разных порядковых уровней в ткани узла, по мере формирования его сегментов. В данном случае мы наблюдаем явный окружной кровоток (рис. 27.6) и в межсегментарных участках (по краю внутриузловых сегментов ткань сохраняется дольше именно за счёт более полноценного обеспечения кровью (и меньшего напряжения)).
Недостаточно сообщать в описании протокола о «смешанном» варианте кровотока. Такое упрощённое сокращение неполноценно, т.к. не выражает истинную ультразвуковую картину. Смешанным может быть кровоток в виде диффузно распределённых сосудистых элементов по периметру и внутри узла, что характеризует дезорганизованность ткани узла и часто соответствует злокачественности.
Всегда следует в описании выражать интенсивность кровотока по периметру и внутри узла, а в заключении – суммационно указывать на величину активности узлового кровотока. Последнее обстоятельство будет характеризовать функциональную и компенсаторную стороны узлового процесса. Эта характеристика является важной частью диагностического процесса.
Вместе с особенностями кровообращения в узлах нужно отражать в описании и заключении протокола компенсаторное состояние кровообращения во внеузловой ткани железы.
Узловые образования левой доли можно отнести к дольковому процессу. Это малые, т.е. долькового происхождения, узлы. Поэтому их периметр из капиллярной сети имеет характерную для дольковых узлов тонкую, несколько «ломаную», малозаметную (даже местами незаметную) гипоэхогенную кривую линию-контур (рис. 27.3).
Рядом с такими узлами при ЭДК обычно можно заметить один или несколько сосудистых элементов (рис. 27.2. и 27.4). Приносимая с нервными ветвями (они сопровождают сосуды) к этим долькам нервная импульсация суммационно вызывает избыточное обособленное перенапряжение этого долькового сегмента, в котором также происходят последовательные стадийные преобразования (избыточная пролиферация на стадии развития и увеличение деструкции на стадии истощения).
Узлы малой и средней величины могут быть представлены в заключении протокола совместно, если имеют подобный по структуре принцип устройства и преобразования. При этом важно выразить количество узлов, стадии, интенсивность процесса в узлах (по кровотоку) и отношение их объёма к доле (например, при 2-5 малых дольковых узлах это делать необязательно, т.к. объём этих узлов очень мал, и узловой процесс логично подразумевать как малодолевой).
Диффузные изменения и объемные образования щитовидной железы (трио эхографиста, педиатра и онколога)

Лидер продаж в высоком классе. Монитор 21,5" высокой четкости, расширенный кардио пакет (Strain+, Stress Echo), экспертные возможности для 3D УЗИ в акушерско-гинекологической практике (STIC, Crystal Vue, 5D Follicle), датчики высокой плотности.
Введение
Эмбриология щитовидной железы
Щитовидной железа, получившая свое название по тесной связи с щитовидным хрящом гортани, закладывается на 24-м дне гестации как эпителиальный тяж, пролиферирующий по направлению к примитивной глотке. Тироциты (фолликулярные клетки) и парафолликулярные клетки (С-клетки) происходят из всех трех слоев герминативных клеток. Рост клеток продолжается вентрально, образуя тиреоидный дивертикул. Прогениторы фолликулярных клеток распространяются дистально и латерально, образуя в итоге типичную двухлопастную структуру [3]. ЩЖ эмбриона тесно связана с зачатком его сердца. Последнее, опускаясь, увлекает за собой ЩЖ, которая движется по направлению к подъязычной кости и гортани, оставляя тиреоглоссарный проток. Движение завершается приблизительно к 49-му дню гестации и тиреоглоссарный проток закрывается. В качестве рудимента протока на задней трети языка остается foramen cecum в области первоначального устья протока и у 15-75% людей на месте нижней трети протока - пирамидальная доля ЩЖ [4]. При достижении ЩЖ постоянного места она начинает контактировать с бранхиальными (жаберными) тельцами. Последние представляют собой производные эндодермы 4-го жаберного кармана и эктодермы 5-го жаберного кармана. Именно в них ранее мигрировали из нервного гребешка прекурсоры С-клеток. Как только возникает контакт бранхиальных телец с ЩЖ, в нее устремляются С-клетки (парафолликулярные). Они рассыпаются по межфолликулярному пространству. Остатки бранхиальных телец сохраняются постнатально в средней трети долей ЩЖ [5]. Эмбриогенез ЩЖ объясняет ее эндокринную функцию, вероятность возникновения различных вариантов воспаления и форм рака. В частности, на пути миграции зачатка ЩЖ могут оставаться отдельные участки ее тканей, формирующих в будущем добавочные дольки. Или добавочные дольки могут возникать при дальнейшем движении части тканей вслед за сердцем и располагаться загрудинно. Возникает вероятность развития в добавочных дольках со временем той же патологии, которая свойственна основной железе, например, тиреоидита. Причем основная железа может оставаться интактной, а поиски автономно функционирующего узла требуют сканирования по всей области шеи или вообще безрезультатны при заднеязычном или загрудинном расположении автономного узла.
Физиология щитовидной железы
Основная функция щитовидной железы - синтез гормонов, обеспечивающих регуляцию обмена веществ, рост и развитие. Синтез 2 принципиально важных гормонов - тироксина (Т4) и трийодтиронина (Т3) - регулируется по механизму обратной связи (гипоталамо-питуитарно-тиреоидная ось). Гипоталамус синтезирует тиреотропин-релизинг гормон (ТРГ), поступающий в гипофиз по гипоталамопитуитарной портальной венозной системе. В передней доле гипофиза ТРГ стимулирует синтез тиреостимулирующего гормона (ТСГ). Он связывается с рецепторами в ЩЖ и стимулирует синтез фолликулярными клетками и секрецию Т3 и Т4. Эти два гормона по принципу негативной обратной связи тормозят образование ТРГ и ТСГ. Йод активно переносится в клетки фолликулов по натрий-иодид каналу на базолатеральной мембране. Тиреопероксидаза (ТПО) переводит его в активную форму. Матриксом для синтеза Т3 и Т4 является тиреоглобулин в просвете фолликулов. Первоначально ТПО катализирует образование моно- (МИТ) и дийодтирозина (ДИТ). В дальнейшем она же катализирует реакции соединения йодтирозинов в Т3 и Т4. Иодинированный тиреоглобулин хранится в виде коллоида в фолликулах, при необходимости поступает в лизосомы фолликулярных клеток. В кровоток поступают Т3 (20%) и Т4 (80%). МИТ и ДИТ деиодизируются и освобожденный йод опять направляется на синтез гормонов. С-клетки синтезируют тиреокальцитонин, регулирующий обмен кальция.
Клиническая анатомия щитовидной железы
В норме щитовидная железа образована двумя долями, соединенными перешейком, расположенным перед щитовидным хрящом до 5-6 трахеальных колец. Дополнительная срединная доля (пирамидальная) распространяется вверх от перешейка. Грудино-ключично-сосцевидная мышца располагается впереди-латерально, каротидный пучок - задне-латерально. По задне-медиальной поверхности ЩЖ располагаются возвратный гортанный нерв, паратрахеальные лимфатические узлы и паращитовидные железы. От соединительной капсулы ЩЖ в ее паренхимы распространяются тонкие прослойки, ограничивающие доли и дольки. Каждая долька состоит из множества фолликулов, в которых фолликулярные клетки окружают коллоид, насыщенный тиреоглобулином. Фолликулы окружены базальной мембраной, содержащей С-клетки. Артериальная кровь поступает по aa. thyroideae superiors (ветви a. carotis externa) и по aa. thyroideae inferiors (ветви truncus thyreocervicalis, отходящей от a. subclavia), a. thyreoideae ima, отхождение которой варьирует от tr. brachiocephalicus, arcus aortae, a. carotis communis или a. subclavia. Аналогично артериям расположены вены, впадающие в соответствующие бассейны. Лимфатический отток происходит по ходу артерий и направлен в трахеальные, глубокие шейные и средостенные лимфатические узлы (ЛУ) [6]. Направление и бассейны кровотока объясняют нередкие случаи инфекции ЩЖ, а локализация регионарных ЛУ - наиболее вероятный путь метастазирования. Парасимпатическая иннервация осуществляется через блуждающий нерв, симпатическая - от шейного симпатического сплетения [7].
Эхографическая картина здоровой щитовидной железы
В норме паренхима щитовидной железы гомогенная, эхоплотность ее чуть выше эхоплотности прилегающих мышц, контуры четкие. При высоком разрешении можно визуализировать фолликулы как мелкие (не более 2-3 мм) анэхогенные круглые образования. У старших подростков и взрослых внутри фолликулов иногда удается увидеть мелкие эхоплотные очажки-точки: сгущенный коллиод. Размеры щитовидной железы должны соответствовать хорошо известным нормам.
Гипотиреоз - наиболее распространенная эндокринная патология у детей раннего и младшего возраста [8]. Гипотиреоз может быть врожденным и приобретенным (табл. 1).
- дисгенезия ЩЖ (80%)*
- эктопия ЩЖ (75%)
- гипоплазия (редко)
- аплазия или атиреоз (25%)
- дисгормоногенез (15-20%)
- дефицит тиреопероксидазы (часто)
- дефицит транспортного иодида
- дефицит йодтирозин деиодиназы
- дефекты гипофиза и гипоталамуса (очень редко)
- резистентность к ТСГ
- преходящий врожденный гипотиреоз
- функциональная незрелость ЩЖ у недоношенных или незрелых новорожденных
- трансплацентарное поступление материнских препаратов-ингибиторов
- трансплацентарное поступление материнских антитиреоидных препаратов
- трансплацентарное поступление материнских антитиреоидных антител
- дефицит йода
- передозировка йода
- дефицит йода
- передозировка йода
- хронический аутоиммунный тиреоидит
- генетические и хромосомные аномалии, сочетающиеся с гипофункцией ЩЖ
- радиотерапия области ЩЖ
- лечение радиоактивным йодом
- зобогенная пища
- ятрогенный гипотиреоз (противосудорожные препараты, литий)
- поздний дебют врожденного гипотиреоза
- наследственные нарушения обмена гормонов ЩЖ
- краниофарингиомы и другие опухоли, сдавливающие гипофиз или гипоталамус
- облучение области гипофиза и гипоталамуса
- септооптическая дисплазия
- гистиоцитоз Лангерганса
- инфильтративные процессы
- последствия нейрохирургических вмешательст
- травма головы
- резистентность к гормонам ЩЖ
- инфекции
- гемангиомы печени
Нелеченный врожденный гипотиреоз ведет к резкой задержке моторного и психо-неврологического развития. Самая частая причина врожденного гипотиреоза - дисгенез (эктопия, или аплазия = атиреоз, или гипоплазия). На следующем месте по причинам гипотиреоза стоит дисгормоногенез, нарушение синтеза и секреции гормонов ЩЖ. Современные скрининговые обследования всех новорожденных (снижение концентрации Т4 и повышение концентрации ТСГ) привели к резкому улучшению прогноза. При первичном врожденном гипотиреозе УЗИ не показано. Единственное исключение - выявление аплазии ЩЖ, зоба. Эхографически может быть выявлена плотная ЩЖ резко уменьшенных размеров (рис. 1). В современных условиях массовой ранней диагностики врожденного гипотиреоза, профилактики йододефицита особое значение приобретает диагностика синдромальных форм заболевания.

Рис. 1. Эхограмма щитовидной железы при ее гипофункции у 5-летнего ребенка. Объем железы уменьшен, эхоплотность повышена.
Приобретенный гипотиреоз в детском и подростковом возрасте обычно развивается в результате хронического аутоиммунного тиреоидита Хошимото в йододефицитных районах и чаще встречается у девочек и девушек-подростков [9]. На момент дебюта тиреоидита Хошимото УЗ-картина может быть совершенно нормальной. В динамике в 4, 7 и 14 мес болезни изменения обнаруживаются, соответственно у 30, 50 и 70% детей и подростков. Поэтому специалист по УЗИ должен обратить внимание клиницистов на информативность методики в разные сроки заболевания, что позволит уменьшить число ложноотрицательных заключений. УЗИ необходимо для оценки динамики процесса, выявления очаговых изменений ЩЖ. При исследовании ЩЖ увеличена, гипоэхогенна с участками повышенной плотности. Позднее эхогенность железы повышается диффузно, за счет внутрипаренхиматозных тяжей соединительной ткани, возникает ложное впечатление дольчатости органа, внутри которого можно визуализировать множественные гипоэхогенные очажки диаметром 1-6 мм.
Тиреотоксикоз (гипертиреоидизм) - избыточная продукция гормонов ЩЖ. Причины тиреотоксикоза многообразны (табл. 2).
| Состояние | Причины | Лабораторные изменения | Эхографическая картина |
|---|---|---|---|
| Гипертиреоидизм | |||
| Болезнь Гревса (гипертиреоидный зоб при болезни Базедова) | Антитела, стимулирующие тиротропин-рецепторы (TRS-Ab) с вторичным повышением чувствительности к ТСГ | ТСГ низкий. Повышены Т3, свободный Т4, тироглобулин, TRS-антитела, антитела к тиреопероксидазе | ЩЖ увеличена (но может быть нормальна по размерам), гипоэхогенна (или норма), возможны узлы, кровоток усилен |
| Многоузловой зоб (токсический многоузловой зоб, аденоматозный зоб, узловая гиперплазия, аденоматозная гиперплазия) | Автономная (не зависимая от основной железы и центральных гормонов) гиперплазия гормонов в узловом образовании | ТСГ низкий, повышен Т3, свободный Т4, тироглобулин. Все антитела - отрицательные | ЩЖ уведичена. Множественные гетерогенные по плотности узлы, кистозные образования |
| Автономный узел (болезнь Плуммера, токсический узел) | У детей и подростков - редко. Автономная гиперпродукция гормонов (обычно Т3) единственным узлом | ТСГ низкий, Т4 низкий или повышен, Т3 повышен. Тироглобулин повышен. Все антитела отрицательные | Можно визуализировать узел |
| Гиперпродукция ТСГ аденомой гипофиза | Избыточная продукция ТСГ | ТСГ - норма. Повышена сывороточная концентрация α-субъединицы ТСГ. Все антитела отрицательные | Возможно увеличение размеров ЩЖ, ее гипоэхогенность, узлы. Аденома гипофиза на МРТ |
| Резистентность гипофиза к гормонам ЩЖ | Аутосомно-доминантно передающаяся мутация гена β-тиреорецептора. Гиперпродукция ТСГ | ТСГ повышен, Т4 резко повышен, Т3 повышен. Все антитела отрицательные | Как при тиреотоксикозе |
| Тиреотоксикоз вторичный при предварительно пораженной ЩЖ | |||
| Тиреотоксическая фаза хронического лимфоцитарного тиреоидита (тиреоидит Хашимото, лимфоцитарный зоб) | Аутоиммунный | ТСГ снижен, Т4 и Т3 высокие. Тироглобулин высокий, антитела к тиреопероксидазе высокие | Картина неспецифична (железа увеличена, гипоэхогенная, гетерогенная структура) |
| Подострый лимфоцитарный тиреоидит (болезненный спорадический тиреоидит) | Аутоиммунный. Может быть результатом лекарственной терапии (α-интерферон, литий, интерлейкин-2) | ТСГ низкий, тироглобулин, Т4 и Т3, антитела к тиреопероксидазе высокие | Картина неспецифична (железа увеличена, гипоэхогенная, гетерогенная структура) |
| Тиреотоксическая фаза подострого гранулематозного тиреоидита (гранулематозный гигантоклеточный тиреоидит, подострый тиреоидит, безболезненный тиреоидит Квервайна) | Вирусный генез | ТСГ низкий, повышены Т3, свободный Т4, тироглобулин, СОЭ. Антитела к тиреопероксидазе отрицательные | Картина неспецифичная (железа увеличена, гипоэхо-генная, гетерогенная структура) |
| Ятрогенный тиреоидит | Передозировка тироксина | ТСГ и тироглобулин низкие. Повышены Т3, свободный Т4 | Картина неспецифичная |
| Йодиндуцированный гипертироидизм | Стимиулирование ранее существовавшего многоузлового зоба избыточной дозой йода (следование рекламным предложениям йодсодержащих пищевых добавок, применение контрастных препаратов, амиодарона) | Повышены Т3 и свободный Т4 | Картина неспецифичная |
Самой частой причиной гипертиреоидизма у детей и подростков является болезнь Гревса как результат продукции антител, стимулирующих рецепторы тиреостимулирующего гормона (рис. 2).

Рис. 2. Эхограмма щитовидной железы при тиреоидите с тиреотоксикозом. Паренхима гомогенно умеренно уплотнена, переход от перешейка к долям сглажен за счет отека, кровоток усилен.
Гипертиреоидизм, как и гипофункция ЩЖ, сказывается на росте и развитии ребенка. Вначале отмечается ускоренный рост с последующим преждевременным закрытием зон роста. Половое развитие у детей с нелеченным гипертиреодизмом замедлено. Как видно из представленной таблицы, эхографическая картина при различных вариантах гипертиреоидизма может быть неспецифичной. Поэтому от специалиста по ультразвуковой диагностике требуется точное описание результатов и их трактовка с учетом клинической и лабораторной симптоматики. Эхографические исследования важны для оценки динамики, дифференцировки узловых и диффузных изменений.
Доброкачественные образования ЩЖ
Доброкачественные образования ЩЖ (узлы и кисты) до полового созревания встречаются редко. В большинстве случаев узлы и кисты у подростков доброкачественные, они встречаются в 6-10 раз реже, чем у взрослых (6-7% популяции), но озлокачествляются в 26-30 раз чаще [10, 11]. Самый частый вариант доброкачественного узла у детей и подростков - фолликулярная аденома (рис. 3), представляющая собой результат циклов гиперплазии и коллоидной инволюции фолликулов ЩЖ. Образование имеет четкие контуры, инкапсулировано, чаще всего одиночное, плотность может быть гипо-, изо- или гиперэхогенной. Вокруг часто регистрируется гало, вероятнее всего, за счет сдавливания окружающей нормальной паренхимы. Образование не функционирующее, выявляется случайно или, при больших размерах, клинически при осмотре или пальпации. Резко возникшие боли в месте аденомы и ее быстрое увеличение свидетельство спонтанного кровоизлияния. Окончательная диагностика возможна только по результатам биопсии.

Рис. 3. Аденоматозный узел, практически полностью заменивший долю щитовидной железы.
Кисты чаще всего итог доброкачественных дегенеративных заболеваний ЩЖ (кистозная дегенерация фолликулярной аденомы), неполной облитерации тиреоглоссарного протока (тиреоглоссарная киста), травм (рис. 4). Эхографически простая доброкачественная киста эхонегативная, однородная, округлая, имеет четкие контуры. При большой контрации белка внутри кисты могут появляться мелкие эхопозитивные сигналы. Но и в этом случае окончательный диагноз возможен только по результатам гистологического исследования. Как исход гнойного тиреоидита могут сформироваться кальцинаты.

Рис. 4. Посттравматическая киста щитовидной железы.
Злокачественные образования щитовидной железы
Узловое злокачественное образование чаще всего - рак. Регистрируется преимущественно у подростков, которым свойственен папиллярный (самый частый вариант), фолликулярный или медуллярный рак. Анапластический или низко дифференцированный варианты рака ЩЖ у подростков встречаются крайне редко. Эхографически папиллярный рак выглядит как узел с плохо очерченными краями без гало, сниженной эхогенности, преимушественнно солидный, обильно васкуляризированный (рис. 5).
Читайте также:
