Дивертикулит
Добавил пользователь Евгений Кузнецов Обновлено: 27.01.2026
Дивертикул (от лат. «дорога в сторону») - это грыжи, выпячивания стенки полого органа. Дивертикулы бывают как единичные, так и множественные. Дивертикулы чаще всего встречаются в пищеварительном тракте.
Также стенка дивертикула может состоят из тех же слоев, что и стенка органа, или быть без мышечного слоя. Соответственно их подразделяют на истинные и псевдодивертикулы.
Дивертикулы в желудочно-кишечном тракте могут располагаться на всем протяжении, что вызывает различные клинические проявления и осложнения, в зависимости от уровня.
В пищеводе дивертикулы встречаются на всем протяжении. В зависимости от расположения они и классифицируются:
1. Глоточно-пищеводные
2. Фарингоэзофагеальные
3. Эпибронхиальные (бифуркационные, среднепищеводные)
4. Наддиафрагмальные [1]
В зависимости от причин возникновения они делятся:
1. Пульсионные (из-за нарушений перестальтики)
2. Тракционные (в связи с возникновением рубцовых изменений при воспалении)
Причинами развития дивертикула пищевода могут быть:
1. Рефлюкс–эзофагиты
2. Инфекционное поражение (туберкулез, грибковая инфекция)
3. Травма
4. Воспалительные процессы в близлежащих органах (медиастенит) [2]
Симптоматика зависит от локализации выпячивания
Наиболее ярко проявляется дивертикул Ценкера (в области глоточно-пищеводного перехода). Развивается дисфагия (нарушение прохождение пищи, тошнота), появляется неприятный запах изо рта, изменение тембра голоса. При расположениях дивертикула в нижней трети пищевода могут быть боли в области сердца, бронхоспазм, одышка.
Дивертикулы пищевода могут сопровождаться медиастенитом (воспалением средостения), флегмоной шеи, формированием свища и сепсисом, эрозированием слизистой и развитием рака пищевода.
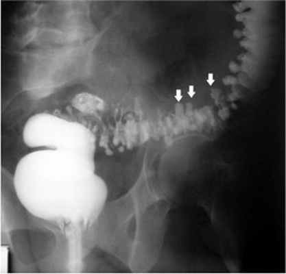
Основным методом диагностики является рентгенологическое исследование (осмотр в рентген аппарате после приема контрастного вещества). Дополнительным методом является эзофагоскопия эндоскопическая ( осмотр в просвете зондом с видеокамерой), которая позволит осмотреть состояние слизистой у дивертикула, однако проводить его нужно крайне осторожно, в связи с опасностью перфорации.
Излечить дивертикул можно лишь хирургически (удалив его).
При опасности операций – тяжелые сопутствующие заболевания - возможна консервативная терапия, заключающаяся в диете, приеме противовоспалительных препаратов (обволакивающих слизистую пищевода, понижающих секрецию желудка).
В современной медицине используют лапароскопическую технику удаления дивертикулов пищевода – торакоскопию, когда на теле выполняется лишь несколько небольших разрезов, а само удаление проходит внутри грудной полости. Это позволяет сократить сроки реабилитации пациентов.
Дивертикулы толстого кишечника
В толстом кишечнике дивертикулы чаще встречаются в левом отделе кишечника (сигмовидной кишке).
Возникновение их связано с изменением эластичности стенки кишки, повышенным содержанием в рационе человека рафинированной пищи и минимизации пищевых волокон. При повышении внутрипросветного давления в кишке, слизистая пролабирует через слабые места (обычно это место выхождения сосуда в стенке кишечника). Дивертикулы реже встречаются у вегетарианцев и чаще у людей с проявлением дисплазии (растяжимости) соединительной ткани (особенно такие заболевания, как поликистоз почек, синдром Марфана).[3]
Выделяют разные состояния, связанные с дивертикулами толстой кишки.
А. Дивертикулез ободочной кишки (то есть наличие дивертикулов без клинических проявлений)
Б. Клинически выраженный дивертикулез (наличие дивертикулов , отсутствие признаков воспаления или кровотечения)
В. Дивертикулярная болезнь (наличие дивертикулов, а также наличие симптоматики, которые могут быть связаны с ними – кровотечение, воспаление) [4]
Дивертикулярная болезнь толстого кишечника проявляется лишь при воспалении в стенке дивертикула. Клинически это вздутие живота, боли в нем, нарушение стула, в том числе, диарейный синдром.[8]
Осложнения
При ярко выраженном воспалении возникает кровотечение, в связи с интимным расположением сосуда в стенке дивертикула, кишечное кровотечение порой лечиться хирургически.[7]
Возможно возникновение паракишечного инфильтрата, а порой и абсцесса. При перфорации дивертикула возникает каловый перитонит.[9,10]
Основным диагностическим методом дивертикулярной болезни толстой кишки является фиброколоносокопия – внутрипросветный осмотр кишки, а также осмотр состояния слизистой у дивертикулов. Дополнительно может применяться ирригоскопия (осмотр на рентгенаппарате, после введения контрастного вещества в клизме). Также с целью уточнения применяются такие методы, как виртуальная фиброколоноскопия (когда осмотр проходит в аппарате МРТ, а компьютерная программа сама создает картинку кишечника в просвете).
Лечение
Хирургическое лечение дивертикулярной болезни применяется лишь при осложнениях.
Пациентам при наличии дивертикулов в толстой кишке назначается высокошлаковая диета с дополнительным введением пищевых волокон.
При индивидуальных особенностях и клинических проявлениях в виде болей, спазмов в животе применяют препараты месалазина, систематически, курсами.[11] Хороший эффект дает применение пробиотиков, спазмолитиков и прокинетиков (препаратов, снижающих спазм в кишечнике, регулирующих синхронную работу мышечной стенки кишки).
Регулярное опорожнение кишечника и соблюдение диеты минимализирует возможность возникновения дивертикулов кишечника. Проведенные клинические исследования показали снижение заболеваемостью дивертикулярной болезнью при их приеме. Волокна ускоряют транзит (продвижение каловых масс по кишечнику), уменьшают запоры, тем самым способствуют снижению напряжения на стенку кишечника.
- Целлюлоза - неразветвленный полимер глюкозы, содержащий до 10 тысяч мономеров.
- Гемицеллюлоза состоит из пентозных и гексозных остатков, с которыми связаны остатки арабинозы, глюкуроновой кислоты и ее метилового эфира.
- Гумми (камеди) производная глюкуроновой и галактуроновой кислот, к которым присоединены соли магния и кальция, арабиноза, манноза, ксилоза.
- Пектин – полимеры молекулами галактуроновых и гулуроновых кислот. Пектиновые вещества – это группа высокомолекулярных соединений, входящих в состав клеточных стенок и межуточного вещества высших растений
- Лигнин – это неуглеводное вещество. Минимальное содержание в незрелых фруктах и овощах.
- Альгинаты – соли альгиновых кислот, основное содержание в водорослях.
- Слизи - разветвленные сульфатированные арабиноксиланы.
Дивертикулы тонкой кишки
Распространенность дивертикулов тонкой кишки населения планеты составляет 0,5–2,3%[5].
Дивертикулы двенадцатиперстной кишки (ДПК)
Дивертикулы двенадцатиперстной кишке чаще приобретенные, возникают у лиц старше 50 лет. При воспалении вызывают боли в правом подреберье, иррадиирующими в левую лопатку.
Данный дивертикул находится в непосредственной близости к фатеровому сосочку в ДПК, вирсунговому протоку. При воспалении и отеке может вызвать механическую желтуху, острый панкреатит, холангит.
Дивертикулы тощей и подвздошной кишки.
Обычно являются случайной находкой при рентгенологических исследования, не дают клинической симптоматики.
Первый дивертикул описан в 1906 году. Это локальное мешковидное выпячивание стенки подвздошной кишки, образованное из-за неполного заращения желточного протока, участвующего в питании зародыша, располагающийся в 10 -100 см от илеоцекального узла, размерами от 5 до 50 см. Порой в нем располагаются клетки слизистой желудка, а также ткань поджелудочной железы ( до 50 % случаев), что может являться причиной кровотечений и опухолей[6].
В диагностике большое значение придается видеокапсульной эндоскопии, позволяющей четко определить изменение слизистой в том числе. Методом выбора может служить компьютерная томография. Лапароскопия также используется для диагностики, при этом нередко – одновременно с его удалением.
Дивертикулит, непроходимость, перфорация и кровотечения – развиваются в 10–30% случаев. Механическая кишечная непроходимость может быть вызвана инородным телом, инвагинацией, растянутыми дивертикулами при воспалительном процессе, спайками, стриктурами, образовавшимися вследствие прошлых воспалений . При прогрессировании воспалительного процесса возможны кровотечение, непроходимость, перфорация дивертикула. В этом случае может развиться перитонит.
Тактика зависит от клинических проявлений.
Кровотечение. Кровотечение может возникнуть при любом расположении дивертикула. Кровь, выделяемой крови чаще темно-бордовый (в связи с высоким расположением источника кровотечения – тонкая кишка). Для диагностики кишечного кровотечения применяют эндоскопические методы (лапароскопия, видеокапсульная эндоскопия) и ангиографию (введение контрастного вещества в кровь и осмотр в рентгенаппарате сосудов, питающих данный участок тонкой кишки). Лечение чаще оперативное (удаление пораженного участка тонкой кишки или попытка ушития кровеносного сосуда).
Кишечная непроходимость. Чаще осложнение такое встречается у маленьких дитей, при завороте дивертикула. Кишечная непроходимость может быть вызвана энтеролитами (кишечными каловыми камнями), спайками, возникающими от воспаления дивертикула (дивертикулита). При данном осложнении также проводится хирургическое лечение (удаление дивертикула и, возможно, резекции части кишки).
Дивертикулит. Нередко энтеролиты (плотные каловые камни) служат причиной воспалительных изменений в дивертикуле, вызывают ущемление или застой в сосудах, питающих стенку кишечника. В этом случае лечение может ограничиться антибиотикотерапией, противовоспалительным лечением, при отсутствии эффекта и перфорации дивертикула и формировании абсцесса лечение оперативное.
Абсцесс и перитонит. При прогрессировании воспалительного процесса в дивертикуле развивается абсцесс, перфорация которого приводит к перитониту. Лечение оперативное: выполняется резекция участка кишки с воспаленным дивертикулом с последующей антибиотикотерапией.
Механическая желтуха и панкреатит. Эти осложнения развиваются при воспалении парафатерального дивертикула. В этом случае назначается антибиотикотерапия, а при отсутствии эффекта –хирургическое лечение.
Дивертикулярная болезнь (дивертикулит, дивертикулез)
Исследования показывают увеличение и учащение числа пациентов с дивертикулярной болезнью. По данным ряда авторов оно встречается от 25% до 30% и увеличивается с возрастом до 60-70% у людей старше 60 лет и составляет более 30% всех заболеваний толстой кишки.
Учащение заболевания объясняется ростом количества пожилых людей, ведущих малоподвижный образ жизни, уменьшение употребления растительной клетчатки, бесшлаковое питание), нарушениями работы желудочно-кишечного тракта (гастриты, язвенная болезнь, желчекаменная болезнь, хронические панкреатиты и др.) и улучшение возможностей современной диагностики данного заболевания.
Здесь нужно отметить, что затруднительно определить частоту данного заболевания в связи с тем, что люди с этим заболеванием редко обращаются к врачам и проходят обследования. Дивертикулы толстой кишки, как правило, приобретенное заболевание и чаще 90-92% встречаются в левых отделах толстой кишки.
По протеканию заболевания можно выделить: бессимптомное течение (как случайная находка при обследовании) около 30-35%. и болезнь с выраженными клиническими проявлениями.
Самым распространенным мнением о возможной причине данного заболевания является нарушение работы (моторики) толстой кишки, чтосопровождается повышением давления в ней. Способствуют этому ожирение, сужение толстой кишки, повышенный метеоризм, запоры, частые поносы, авитаминоз, грыжи передней брюшной стенки, воспалительные процессы. А так же приобретенная (возрастная), врожденная слабость соединительной ткани. О чем говорит частое сочетание данного заболевания с варикозным расширением вен, грыжами, плоскостопием, геморроем.
Дивертикулез чаще проявляется болями в животе, чаще слева, и нарушениями работы кишечника. Боль чаще имеет схваткообразный характер и, как правило, при пальпации живота, не усиливается. Нарушение работы кишечника чаще чередование запоров с поносами, но более характерны запоры. Прогрессирование заболевания может привести к осложнениям: Дивертикулит - наиболее частое осложнение, когда присоединяется воспаление воспалительные заболевания кишечника, поносы, травмирование грубыми каловыми массами.
Что может приводить к образованию инфильтратов (стимулирующих опухоли брюшной полости) их абсцедированию (возникновению гнойничков) и, как следствие, перфорация кишечной стенки с формированием перитонита и кишечных свищей. Кишечные кровотечения до 30% случаев. Могут быть скрытыми и массивными. Массивные кровотечения реже. Но даже незначительные кровотечения могут приводить к анемии. Кишечная непроходимость чаще наблюдается при инфильтрации окружающих тканей и сужении просвета кишки. А так же при длительном течении заболевания массивными спаечными процессами.
В диагностике заболевания вне осложнений наиболее ценными являются рентгенологические (ирригоскопия с ирригографией) и эндоскопические (ректороманоскопия, колоноскопия). Таким образом, возможность проявления тяжелых осложнений требует своевременной диагностики и лечения дивертикулярной болезни.
Дивертикулит

Дивертикулит кишечника – это воспаление дивертикулов. Так называются слепо заканчивающиеся выпячивания кишечной стенки. Формируется воспаление на фоне застоя кишечного содержимого. Чаще всего такая проблема встречается у женщин – в полтора раза чаще по сравнению с представителями мужского пола. Риски столкнуться с этим заболеванием возрастают с возрастом – обычно начиная с 40 лет и старше.
Если говорить обобщенно, то данная болезнь в последние годы стала более распространенной, что обычно связано с неправильным питанием и тем, что люди мало внимания уделяют собственному здоровью.
Симптомы и признаки
Дивертикулит характеризуется множеством симптомов, но проблема заключается в том, что очень часто они схожи с симптомами других болезней: например, проблем с почками или женских половых органов. Но человека все равно должны насторожить следующие признаки заболевания:
- боль в нижней части живота. Обычно она точечная, беспокоит только в конкретном месте – причем болеть может в течение нескольких дней, то затухая, то заново начинаясь. Усиливается ощущение при резких сокращениях мышц: во время смеха, кашля, физнагрузки;
- усиление болезненных ощущений после опорожнения кишечника, во время надавливания;
- расстройства стула – дивертикулит кишечника проявляется как запорами, так и поносами;
- наличие крови в кале – обычно кровяные выделения не очень обильные и наблюдаются только у десятой части пациентов;
- лихорадка, озноб. Когда речь идет про дивертикулит, симптомы такого характера встречаются редко, но они тоже возможны;
- нарушение аппетита – больному не хочется есть;
- тошнота, рвота, общая слабость организма – эти признаки дивертикулита очень похожи на симптомы отравления.
Если у пациента дивертикулит кишечника, симптомы хоть и вводят в заблуждение, но все равно они довольно выраженные и яркие, а потому требуют немедленного обращения к врачу для тщательного обследования.
Еще одно важное уточнение про дивертикулит: симптомы у женщин и у мужчин будут схожими, хоть у вторых эта болезнь встречается реже. В данном случае речь только о распространенности заболевания, но не о том, что оно проявляется по-разному. Единственная особенность в том, что женщины могут путать эту болезнь с недугами «по-женски», но и тут есть нюансы, потому что все равно будут некоторые признаки, похожие на отравление.
Причины развития
Дивертикулит сигмовидной кишки и других отделов кишечника вызывается рядом причин:
- употребление пищи, в которой недостаточно клетчатки. Для правильной работы кишечника человеку необходимо употреблять достаточное количество пищевых волокон;
- осложнение на фоне инфекционного колита, кишечных инфекций – особенно высок риск появления проблемы на фоне ослабленного иммунитета;
- снижение тонуса мышц и ухудшение перистальтики – как правило, это случается на фоне возрастных изменений, тогда дивертикулит толстой кишки себя и проявляет;
- дисбактериоз, который также влечет за собой общее снижение иммунитета;
- заражение глистами, в результате чего нарушается микрофлора кишечника, повреждается слизистая оболочка – и из-за этого начинается дивертикулит сигмовидной кишки;
- наследственность – это тоже один из значимых факторов.
Часть факторов, вызывающих дивертикулит кишки, – это то, чего можно избежать, если вести здоровый образ жизни и следить за своим состоянием, регулярно обращаясь к врачам для профилактики и своевременного лечения.
Факторы риска

Прежде чем узнать, как лечить дивертикулит, стоит обратиться и к факторам риска. К ним в данном случае отнесем уже упомянутую наследственность, возраст, а также неправильное питание и образ жизни, который способствует нарушению перистальтики. Например, в зоне риска находятся люди, которые много сидят, почти не двигаются, имеют слабые мышцы. Многие люди почти не связывают спорт и перистальтику, но развитые мышцы пресса как раз очень помогают кишечнику правильно функционировать. Но слишком увлекаться тяжелым спортом нельзя – иначе будет обратная реакция.
В зону риска отнесем и всех, кто не соблюдает питьевой режим – без достаточного количества влаги содержимое кишечника становится слишком плотным, из-за чего могут повреждаться его стенки. В опасности и тот, кто злоупотребляет вредными привычками, не соблюдает элементарные правила гигиены и плохо следит за своим здоровьем.
Осложнения
Просто обострение дивертикулита с болями – это еще не самое страшное, что может произойти. Если оставить проблему без внимания, то серьезными ее осложнениями могут стать перитонит либо свищи – а это уже последствия, которые в ряде случаев становятся для пациентов смертельно опасными. Так что при наличии любых из перечисленных симптомов нужно обязательно обращаться за помощью, не дожидаясь, пока ситуация выйдет из-под контроля.
Когда следует обратиться к врачу
При всех перечисленных симптомах нужно тут же обратиться к врачу, который либо поставит дивертикулит, либо обнаружит другие причины плохого самочувствия. Первичная консультация, как правило, проводится у гастроэнтеролога – он же отвечает за основное лечение. Почти всегда лечение ведет и проктолог.
Подготовка к посещению врача
Обращаясь к гастроэнтерологу в первый раз, лучше всего делать это на голодный желудок. Часто пациенту сразу же назначают анализ крови, а для этого с утра не нужно есть. Дополнительные обследования обычно назначают на другие дни – врач подробно рассказывает, как подготовиться к той или иной процедуре.
Диагностика дивертикулита
Чтобы поставить дивертикулит, симптомы – не единственное, на что будет опираться врач. Для этого потребуется целый комплекс исследований:
- консультация и гастроэнтеролога, и проктолога. Пальпация, осмотр, сбор анамнеза;
- колоноскопия;
- рентгенография с контрастом; ;
- лапароскопия (в отдельных случаях); (покажет воспалительные процессы в организме).
Важно понимать, что многие исследования, даже если они вызывают у пациента переживания, очень важны, чтобы определить дивертикулит, лечение которого должно отличаться от других проблем. Та же колоноскопия – это один из самых действенных инструментов, который позволяет разграничить воспаление дивертикулов и язвенный колит, кишечную непроходимость, опухоль толстого кишечника. И чем точнее будет диагноз, тем выше шанс, что врач подберет качественное, работающее лечение.
В нашей клинике в центре Москвы диагностика проводится на самом высоком уровне – только на современном, максимально эффективном и безопасном оборудовании. Благодаря этому, если поставлен дивертикулит кишечника, лечение тоже будет качественным.
Лечение

При постановке диагноза дивертикулит лечение назначается индивидуально – в зависимости от состояния пациента. В ряде случаев требуется лечение в медицинском учреждении, если ситуация не такая запущенная – лечиться можно и дома, периодически посещая клинику.
Лечат дивертикулит следующими способами:
- лекарственная терапия. Обычно она предполагает прием антибиотиков;
- строгая диета при дивертикулите с достаточным количеством клетчатки, без вредных продуктов;
- хирургическое вмешательство (в очень сложных, серьезных случаях во время обострения или осложнений).
Исход заболевания во многом будет зависеть от пациента: от его своевременного обращения к врачу, выполнения всех рекомендаций и, конечно, правильного образа жизни.
Домашние средства лечения
Дивертикулит, симптомы которого сильно схожи с интоксикаций, не может лечиться в домашних условиях без предварительного посещения специалиста. Дома можно соблюдать только те рекомендации, которые врач дал индивидуально – любые народные и другие сомнительные методы могут только повредить кишечнику, ухудшить ситуацию и ускорить развитие осложнений.
Профилактика
Профилактические меры для образования дивертикулита выглядят так:
- здоровый образ жизни с правильным питанием, питьевым режимом и достаточным количеством движения;
- поддержание иммунитета в хорошем состоянии – например, употребление нужных витаминов в холодное время года;
- своевременное решение любых проблем, связанных с кишечником, – будь то поносы или запоры.
Дивертикулит, симптомы и лечение которого для вас уже понятны, не зря называют возрастной проблемой. Очень часто она возникает на фоне совокупности тех факторов, которые человек очень долго игнорировал, не принимал во внимание. Если заботиться о своем здоровье грамотно, можно значительно снизить риски появления такой проблемы.
Как записаться к гастроэнтерологу
Записаться на прием к гастроэнтерологу АО «Медицина» (клиника академика Ройтберга) можно на сайте – интерактивная форма позволяет выбрать врача по специализации или осуществить поиск сотрудника любого отделения по имени и фамилии. Расписание каждого доктора содержит информацию о приемных днях и доступных для визитов пациентов часах.
Удобное расположение на территории центрального административного округа Москвы (ЦАО) – 2-й Тверской-Ямской переулок, дом 10 – позволяет быстро добраться до клиники от станций метро «Маяковская», «Новослободская», «Тверская», «Чеховская» и «Белорусская».
Дивертикулез толстой кишки
Дивертикулярная болезнь – заболевание, характеризующееся клиническими проявлениями разной степени выраженности, обусловленными наличием дивертикула или дивертикулеза, включая воспаление (дивертикулит) и его осложнения (перидивертикулит, абсцесс, перфорация, свищ, перитонит), а также кровотечение.
Дивертикулярная болезнь поражает преимущественно сигмовидную кишку, затем нисходящую ободочную кишку, менее часто правую половину поперечной ободочной кишки и редко правые отделы ободочной кишки.

Этиология
До настоящего времени неизвестно, какой из факторов более важен для развития дивертикулов: анатомический дефект кишечной стенки или действие сил в полости кишки.
Обнаружено, что базальное внутриполостное давление у больных дивертикулярной болезнью и у здоровых лиц одинаковое. Однако пораженный дивертикулами сегмент кишки сокращается сильнее в ответ на прием пищи или действие фармакологических стимулов.
Другим важным этиологическим фактором может быть слабость кишечной стенки. Тонус мускулатуры толстой кишки с возрастом постепенно снижается, что, по-видимому, объясняет преимущественное поражение лиц пожилого возраста.
Таким образом, дивертикулярную болезнь можно объяснить периодическим значительным повышением внутриполостного давления, воздействующим на ослабленную возрастными изменениями стенку толстой кишки.
Классификация
Данное заболевание классифицируется следующим образом:
- Дивертикулярная болезнь без клинических проявлений.
- Дивертикулярная болезнь с клиническими проявлениями. Эта форма характеризуется симптомокомплексом, включающим боли в животе и различные нарушения функции кишечника.
- Дивертикулярная болезнь с осложненным течением:
- дивертикулит;
- перфорация;
- кровотечение;
- кишечная непроходимость;
- внутренние или наружные кишечные свищи.
Симптомы, клиническая картина дивертикулеза и диагностика заболевания
Дивертикулез толстой кишки может длительное время не проявляться, и его обнаруживают случайно при обследовании больных.
Основными симптомами клинически выраженного неосложненного дивертикулеза толстой кишки являются боли в животе и нарушения функции кишечника. Боли в животе носят разнообразный характер — от легкого покалывания до сильных коликообразных. Чаще всего они локализуются в нижней половине живота, особенно в левой подвздошной области или над лобком, т. е. в зоне расположения сигмовидной кишки. У части больных эти боли разнообразны не только но своему характеру, но и по локализации, в связи с чем врач не всегда связывает их с заболеванием толстой кишки. У ряда больных боли вызываются приемом пищи, что объясняется влиянием гастроколического рефлекса.
Нарушение функции кишечника проявляется чаще в виде запоров, причем длительное отсутствие стула значительно усиливает болевой синдром. Иногда отмечается диарея, не носящая, однако, постоянного характера. Нередко больные жалуются на неустойчивый стул; иногда описанные симптомы сочетаются с тошнотой или рвотой.
Осложнения дивертикулеза проявляются обычно довольно ярко. Наиболее часто наблюдается дивертикулит — примерно у 1/3 больных дивертикулярной болезнью толстой кишки. Основные признаки дивертикулита — боли в животе, повышение температуры и лейкоцитоз. Появление двух последних признаков на фоне существовавшего клинически выраженного или бессимптомного дивертикулеза позволяет отличить начавшееся воспаление от функциональных болей.
При распространении воспалительного процесса в виде параколита наряду с перечисленными симптомами отмечается образование инфильтрата, размеры которого колеблются от незначительных, с трудом определяемых при пальпации до обширных очагов, занимающих всю левую половину живота. Прогрессирование воспалительного процесса может привести к абсцедированию с угрозой прорыва гнойника в брюшную полость. Стихание воспаления не всегда приводит к полному рассасыванию инфильтрата, и тогда индурация брыжейки или окружающих тканей симулирует опухоль брюшной полости.
Сигмовидная кишка или другие отделы ободочной кишки в результате повторных атак дивертикулита, параколита или формирования абсцесса могут оказаться спаянными с соседними органами. При этом абсцесс может вскрыться в мочевой пузырь, уретру, влагалище или тонкую кишку с образованием свищей.
Перфорация дивертикула встречается как при клинически выраженном, так и бессимптомном дивертикулезе ободочной кишки. Перфорация в свободную брюшную полость ведет к развитию быстро прогрессирующего перитонита, клинические проявления которого не отличаются от таковых при других формах острого воспаления брюшины. Кишечная непроходимость при дивертикулезе толстой кишки носит характер обтурационной со всеми присущими этой форме проявлениями. Одной из частых причин развития непроходимости при дивертикулезе является образование так называемой псевдоопухоли.
Кишечное кровотечение, хотя и не имеет, как правило, профузного характера, но все же часто бывает настолько выраженным, что быстро привлекает внимание как самого больного, так и врачей.
При определении источника кровотечения возникают значительные трудности. Кровотечение из дивертикула наблюдается и при бессимптомном течении заболевания, что создает еще большие диагностические затруднения. Наряду с явным кровотечением могут наблюдаться и скрытые его формы, проявляющиеся только анемией. Симптомы перечисленных осложнений хотя и довольно яркие, однако не носят специфического характера. В связи с этим определить причины их возникновения иногда бывает весьма трудно и для этого применяют комплексное обследование.
Клинические проявления дивертикулеза толстой кишки и его осложнений не могут служить основанием для установления точного диагноза заболевания. Диагностика и дифференциальная диагностика дивертикулеза толстой кишки основывается на анализе клинических проявлений заболевания и результатах обязательного рентгенологического и эндоскопического исследований толстой кишки.
![Дивертикулез лечение]()
![Дивертикулез лечение]()
Консервативное лечение дивертикулярной болезни
В настоящее время сформулированы следующие принципы лечения этого заболевания:
- бессимптомный дивертикулез толстой кишки, обнаруживаемый случайно, не требует специального лечения. Назначается диета, богатая растительной клетчаткой, отруби.
- при дивертикулезе с выраженными клиническими проявлениями применяют комплекс лечебных мероприятий:
- сбалансированная диета, содержащая большое количество растительной клетчатки, а при упорных запорах и жидкости;
- витамины;
- препараты, нормализующие функцию кишечника;
- при выраженном спастическом компоненте назначают спазмолитические средства, либо блокаторы кальциевых каналов (Децител), которые действуют селективно на стенку кишечника. При болевом синдроме назначают анальгетики, препараты морфина для этих целей противопоказаны, так как они повышают внутрикишечное давление;
- при наличии явлений дивертикулита требуют назначения антибиотиков;
- при диарее можно использовать противодиарейные средства;
- при наличии ферментативной недостаточности поджелудочной железы назначаются ферментативные препараты;
- при выявлении дисбактериоза целесообразно применение бактериальных препаратов (колибактерин, бифидумбактерин, бификол).
Хирургическое лечение
Существуют следующие показания к хирургическому лечению дивертикулярной болезни:
Экстренные:
- перфорация дивертикула;
- кишечная непроходимость;
- профузное кровотечение.
Плановые:
- образование хронического инфильтрата, симулирующего злокачественную опухоль;
- внутренние и наружные свищи;
- клинически выраженная дивертикулярная болезнь, неподдающаяся комплексному консервативному лечению.
Государственная клиническая больница №29 им. Н.Э.Баумана – это современная многопрофильная высокотехнологичная больница с уникальной полуторавековой историей и традицией, оказывающая высококачественную медицинскую помощь в круглосуточном режиме.
Дивертикулярная болезнь ободочной кишки. Простыми словами
Гастроэнтеролог GMS Clinic Головенко Алексей отвечает на частые вопросы об этом заболевании в своей статье.
![Дивертикулярная болезнь ободочной кишки. Простыми словами]()
Что такое дивертикулы?
Дивертикул — это выпячивание кишечной стенки, напоминающее «грыжу» на футбольном мяче. Чаще всего дивертикулы обнаруживаются в толстой кишке — это последние 1,5 метра пищеварительной трубки, где всасывается вода, отчего стул из жидкого становится твердым. Реже встречаются дивертикулы в пищеводе и в тонкой кишке. Пол человека не влияет на то, появятся ли дивертикулы, зато с возрастом вероятность их возникновения возрастает.
Почему эти дивертикулы появляются?
Единой теории возникновения дивертикулов нет. Дивертикулы появляются в «слабых» местах кишечной стенки — местах, где ее пронизывают кровеносные сосуды. Замечено также, что дивертикулы чаще появляются у людей с запором и у жителей западных стран, где в рационе мало пищевых волокон — естественных «размягчителей» стула. По-видимому, если из-за недостатка пищевых волокон стул становится слишком плотным и перемещается по кишке не одной массой, а твердыми фрагментами, на отдельных участках толстой кишки слишком сильно повышается давление в просвете. Это и приводит к выпячиванию слизистой оболочки и подслизистого слоя кишки в сторону брюшной полости через мышечный слой.
У меня нашли дивертикулы. Я болен?
Скорее всего, нет. Простое наличие дивертикулов (при отсутствии симптомов) называют « дивертикулёзом ». Только у каждого пятого человека с дивертикулами появляются какие-то проявления болезни и далеко не всегда они связаны с активным воспалением дивертикулов.
![Дивертикулярная болезнь ободочной кишки. Простыми словами]()
Может ли от дивертикулов болеть живот?
Может, но причин этой боли несколько. Интенсивная постоянная боль над участком кишки, где располагаются дивертикулы, чаще свидетельствует о воспалении дивертикула — дивертикулите . Воспаление появляется, когда устье дивертикула перекрывается плотным фрагментом стула (копролитом). Это нарушает кровоснабжение дивертикула, а также способствует перемещению (транслокации) бактерий из просвета толстой кишки в стенку дивертикула. Все вместе это приводит к воспалению дивертикула, а иногда — к кровотечению из него.
Чаще всего дивертикулит бесследно проходит на фоне терапии антибиотиками. У некоторых людей дивертикулит становится хроническим — воспаление не проходит. Это может привести к осложнениям: абсцессам (гнойники в ткани, окружающей дивертикул), свищам (гнойные ходы, соединяющие просвет дивертикула, например, с соседними органами), инфильтрату (опухолеподобному скоплению клеток вокруг воспаленного дивертикула) и стриктуре (сужению просвета кишки в месте воспаления). Впрочем, боль при дивертикулах толстой кишки может возникать и без воспаления.
Как так? Нет воспаления, откуда же тогда боль в фактически здоровой кишке?
В толще стенки толстой кишки имеется сеть из нервных волокон, которые управляют ее моторикой — тем, какие сегменты кишки будут сокращаться, выталкивая стул. При повышении давления в просвете кишки (прохождении стула или газа) активируются специальные клетки, выделяющие нейромедиаторы (например, серотонин). Это дает сигнал нервной системе сократить кишку и освободиться от содержимого. В норме эту «работу» кишечника мы почти не ощущаем.
При воспалении дивертикула баланс нейромедиаторов нарушается, чему отчасти способствуют и изменения состава бактерий внутри дивертикула. Дисбаланс нейромедиаторов может оставаться и тогда, когда воспаление уже прошло. Это приводит к повышению чувствительности кишки к растяжению (врачи называют это «висцеральной гиперчувствительностью»). Этот феномен подтверждается экспериментами. Если здоровому человеку и пациенту с дивертикулярной болезнью ввести в кишку баллончик и начать плавно надувать его воздухом, то у человека с заболеванием неприятные ощущения появятся раньше, чем у человека здорового (то есть боль возникнет при меньшем объеме баллончика). Такой же механизм боли описан и при синдроме раздраженного кишечника.
А как определяют, есть ли воспаление и другие осложнения?
Наилучшим методом обследования при подозрении на воспаление дивертикулов является компьютерная томография. При этом исследовании вокруг человеческого тела вращаются несколько излучателей и получаются многочисленные рентгеновские изображения. Затем компьютерная программа по этим фрагментам создает цельные «срезы» тела. Томография позволяет не только увидеть изменения контура кишечной стенки (то есть собственно дивертикулы), но и изменения тканей, окружающих толстую кишку (например, абсцессы). Менее точным способом найти дивертикулы является ирригоскопия или, по-простому, клизма с сульфатом бария, который хорошо различим в рентгеновских лучах и позволяет увидеть внутренний контур кишки и некоторые совсем уж грубые осложнения (например, стриктуры).
Вместо компьютерной томографии в некоторых центрах используют ультразвуковое исследование (УЗИ), которое, в отличие от томографии, полностью безопасно и, по-видимому (в опытных руках), обладает почти такой же точностью. Минусом является то, что специалист по УЗИ должен пройти специальную длительную подготовку, чтобы научиться диагностировать дивертикулы, поэтому такие врачи, увы, есть не в каждой клинике.
А колоноскопия?
Колоноскопия — то есть исследование толстой кишки при помощи гибкого аппарата с видеокамерой — тоже способ обнаружить дивертикулы. Большинство дивертикулов обнаруживают случайно именно при плановой колоноскопии, которую делают для раннего выявления рака. Однако при подозрении на острое воспаление дивертикула (дивертикулит), колоноскопию не используют как первоочередной способ диагностики. При колоноскопии кишку изнутри раздувают газом, а это может привести к перфорации (разрыву) дивертикула.
В то же время, уже после того, как воспаление дивертикула прошло, колоноскопию выполнить следует обязательно. Исследования показывают: вероятность найти рак толстой кишки повышается в течение первого года после острого дивертикулита. По-видимому, воспаление у некоторых пациентов «маскирует» опухоль на рентгеновских снимках, а сразу посмотреть всю толстую кишку эндоскопом во время острого воспаления и небезопасно, и невозможно из-за болезненности.
Можно защититься от дивертикулита и других осложнений?
Да, если у вас нашли дивертикулы, вы можете уменьшить риск воспаления, добившись ежедневного опорожнения кишечника мягким стулом. Консистенция стула больше всего зависит от содержания пищевых волокон. Старайтесь ежедневно употреблять в пищу не менее тарелки или чашки овощей и фруктов, добавляйте в кашу и йогурт пшеничные отруби и с каждым приемом пищи выпивайте хотя бы стакан жидкости (не обязательно воды). Вместо конфет и других сладостей старайтесь есть сухофрукты — это также поможет держать вес под контролем.
Бывает, что от обильного приема растительной пищи повышается газообразование. Тогда для нормализации стула принимают сбалансированные пищевые волокна, которые не так сильно ферментируются бактериями, например, псиллиум — это шелуха семян подорожника, которую можно употреблять неограниченно долго. К слову, у вегетарианцев, которые, отказываясь от мяса, начинают больше употреблять растительной пищи, и сами дивертикулы, и их осложнения, возникают реже, чем у невегетарианцев.
Говорят, нельзя есть семечки и поп-корн — это всё в дивертикулах застревает.
Это старая теория, которая полностью была полностью опровергнута современными исследованиями. Американские ученые наблюдали за 47 000 людей, у которых при плановом обследовании в возрасте от 40 до 75 лет не было обнаружено каких-либо заболеваний толстой кишки, а также дивертикулов. Участники на протяжении 18 лет каждые 2 года заполняли опросники о своем состоянии и рассказывали о своем питании. Оказалось, что дивертикулиты и кровотечения из дивертикулов случались с одинаковой частотой и у людей, не употребляющих орехи, попкорн и семечки, и у питающихся полноценно. Более того: те, кто принимал орехи два раза в неделю не только не чаще, а реже оказывались у врачей из-за дивертикулита, чем люди, употребляющие орехи всего лишь раз в месяц.
![Дивертикулярная болезнь ободочной кишки. Простыми словами]()
Мне поставили диагноз «неосложненная дивертикулярная болезнь с клиническими проявлениями». Болит живот слева, а врачи не находят воспаления. Это лечится?
Да, из-за схожих механизмов боли лечение неосложненной дивертикулярной болезни похоже на лечение синдрома раздраженного кишечника. Боль устраняют приемом спазмолитиков — препаратов, снимающих болезненное сокращение кишки, которые нередко принимают длительно. Также иногда назначают прием неабсорбируемого (невсасывающегося) антибиотика, чтобы изменить состав бактерий в кишке. Некоторым пациентам, чтобы наладить обмен серотонина, регулирующего моторику кишки, может понадобиться небольшая доза антидепрессантов.
Понятно, а вдруг сегодня болит не от воспаления, а завтра — дивертикулит и перитонит? Когда бежать к врачу?
Обратиться к врачу нужно, если боль резко усилилась и стала постоянной, не проходит ночью, а также если при этом поднялась температура тела, появились озноб, тошнота или рвота, или случился обморок. Также всегда следует проконсультироваться с врачом, если в стуле появилась кровь. Это очень важно. Без своевременного лечения дивертикулит может закончиться операцией. А то и хуже.
Читайте также:





