Дивертикулы двенадцатиперстной кишки. Классификация дивертикулов.
Добавил пользователь Евгений Кузнецов Обновлено: 02.11.2025
Дивертикулярная болезнь - это хроническое заболевание, которое возникает из-за образования в стенке кишечника мешкообразного выпячивания (дивертикула), и, как следствие, застойного процесса и развития воспаления.
Иногда имеется одиночный дивертикул, но, как правило, чаще всего у людей возникают множественные выпячивания в одном из отделов кишечника.
Дивертикулы разделяются на «истинные» и «ложные», а также на «врожденные» и «приобретенные».
- Истинные дивертикулы бывают чаще всего врожденными - из-за непосредственного нарушения строения кишки. Одной из особенностей истинного дивертикула является то, что стенки дивертикула имеют все слои, характерные для кишечника. К истинным дивертикулам, например, относится дивертикул Меккеля: выпячивание стенки тонкой кишки в месте впадения в нее незаращенного эмбрионального желточного протока как аномалии развития.
- Ложные дивертикулы являются приобретенными и представляют собой выбухание слизистой оболочки кишки наружу через истонченные места в ее мышечном слое.
Как правило, приобретенные дивертикулы бывают множественными и редко встречаются в единичном количестве.
Дивертикулёз - это изменение стенки кишечника с наличием в ней множественных дивертикулов без протекающих в них воспалительных процессов и не проявляющих себя клинически.
Если в дивертикуле развивается воспалительный процесс, говорят о дивертикулите и, как следствие этого, развитии дивертикулярной болезни.
Частота дивертикулярной болезни
Из всех заболеваний толстой кишки, поражение кишечника дивертикулами - одно из самых распространенных в современном мире. Частота дивертикулярной болезни в среднем достигает 20% в европейских странах; причем, в более старших возрастных группах населения (60–80 лет) частота увеличивается, достигая 40–50%, а среди пациентов в возрасте старше 80 лет заболеваемость достигает 60-65%. В нашей стране дивертикулы толстого отдела кишечника обнаруживают примерно у 17-28% гастроэнтерологических больных. Частота болезни у мужчин и у женщин приблизительно одинакова.
Классификация дивертикулярной болезни
- Неосложненная. Эта форма выявляется случайно при рентгенологическом или эндоскопическом обследовании кишечника. В анализах крови, как правило, не обнаруживают никаких изменений. Обследование необходимо проходить для оценки распространенности поражения кишки, прогноза течения заболевания и выбора способа профилактики осложнений или лечения.
- Осложненная, протекающая с острым воспалительным процессом (дивертикулит, дивертикулярный инфильтрат, перфорация дивертикула, абсцесс, перитонит), хроническим воспалительным процессом, а также с кровотечением. К хроническому процессу относят ситуации, когда воспаление не удается ликвидировать в течение 6 недель, или оно возникает повторно. В тяжелых случаях может сформироваться инфильтрат, сужение кишки или свищ из разрушенного дивертикула.
Причины возникновения дивертикулов
Возникновение данного заболевания не имеет какой-либо конкретной причины. Оно обусловлено сочетанием многих факторов. Существует мнение о предрасположенности некоторых людей к этому заболеванию из-за врожденного недоразвития мышечного слоя стенки кишки. Вследствие чего у них с возрастом или под воздействием каких-либо факторов образуются дивертикулы.
Врожденная предрасположенность играет роль у людей с наследственными синдромами дисплазии соединительной ткани (синдромы Марфана, Элерса-Данлоса, когда в организме человека имеется дефицит коллагена), также нередко встречается сочетание дивертикулярной болезни толстой кишки с заболеваниями, связанными со снижением эластичности и прочности соединительной ткани (грыжи, варикозная болезнь, висцероптоз, поликистоз).
Однако, врожденная неполноценность тканей - не единственная причина возникновения патологических изменений кишечной стенки.
Большая встречаемость дивертикулярной болезни у пожилых людей связана с постепенным снижением тонуса стенки толстой кишки по мере старения организма. Дивертикулярная болезнь - это хроническое заболевание, которое возникает из-за образования в стенке кишечника мешкообразного выпячивания (дивертикула), и, как следствие застойного процесса, развития в них воспаления. Мышечный слой толстой кишки становится более толстым и менее эластичным. Поддерживающая соединительная ткань теряет эластичность, а стенка кишки становится менее растяжимой. Поэтому дивертикулы у людей старшей возрастной группы появляются чаще, чем у молодых.
Также известно, что дивертикулы достоверно чаще возникают при снижении в рационе питания растительных волокон и клетчатки. Поэтому у вегетарианцев дивертикулярная болезнь встречается в 3 раза реже, чем у людей, ограничивающих прием овощей и фруктов. Пища с низким содержанием клетчатки плохо стимулирует перистальтику кишечника, замедляется продвижение содержимого по толстой кишке, из-за чего усиливается всасывание воды и как следствие - развиваются запоры. Задержка каловых масс в кишечнике в совокупности с нарушением нормальной микрофлоры кишечника приводит к воспалению и прогрессированию дивертикулярной болезни. Этим же можно объяснить более частое появление дивертикулов в сигмовидной кишке (запоры при этом играют роль разрешающего фактора).
Клиническая картина примерно в двух случаях из трех не сопровождается никакими жалобами (бессимптомный дивертикулёз), патологию обнаруживают случайно при эндоскопическом или рентгенологическом исследованиях. Чаще всего первыми признаками дивертикулярной болезни являются болевые ощущения и функциональные нарушения в виде запора или поноса. Появляются жалобы на регулярно повторяющиеся боли в животе, чаще в левой подвздошной области или нижних отделах, исчезающие после акта дефекации. Боли различной интенсивности могут существовать длительное время - от нескольких недель до месяцев. Усиление болей иногда сопровождается повышением температуры, могут появиться признаки интоксикации (сухость во рту, тошнота, тахикардия). Также часто отмечают вздутие живота и обильное отделение газов, различные диспептические расстройства, что иногда скрывается под маской синдрома раздраженного кишечника.
Осложнения дивертикулярной болезни толстой кишки
- Дивертикулит. Это острое воспаление, которое возникает в дивертикулах у четверти пациентов с дивертикулезом. Признаками развития воспаления может служить появление боли и напряжения мышц передней брюшной стенки, повышение температуры тела, озноб, вздутие живота, нарушения стула в виде диареи или запора.
- Перфорация дивертикула. На фоне воспалительного процесса в дивертикуле часть его стенки может разрушиться, и содержимое кишечника попадает в брюшную полость. При этом развивается местный или разлитой перитонит. При перфорации (разрыве стенки) дивертикула в забрюшинную клетчатку или пространство между листками брыжейки появляются инфильтраты или абсцессы.
- Кровотечение. Возникает примерно у 25% больных с дивертикулярной болезнью. У многих людей оно может являться первым и единственным проявлением заболевания. Обычно кровотечение связано с изъязвлением стенки дивертикула в результате хронического воспаления. Также на месте калового камня может образоваться пролежень с повреждением кровеносного сосуда. Интенсивность кровотечения может быть различной: от незначительной примеси крови в каловых массах (иногда бывает скрытое кровотечение, которое проявляется постепенным нарастанием анемии), до массивного профузного кровотечения, сопровождающегося коллапсом и даже приводящего к смерти.
- Кишечная непроходимость. Причиной кишечной непроходимости может стать воспалительный процесс вокруг дивертикула или спаечный процесс, приводящий к деформации кишки и нарушению продвижения по ней каловых масс. В редких случаях может возникнуть инвагинация (вворачивание) части кишки с дивертикулом или спазм гладкой мускулатуры.
- Кишечные свищи. Могут возникнуть при прободении дивертикула и прорыве гнойника в рядом расположенный орган (т. н. «внутренние свищи»). У мужчин чаще развиваются свищи с мочевым пузырем, у женщин - с влагалищем. При образовании кишечно-мочепузырного свища в моче может появляться воздух или примесь каловых масс.
Диагностика дивертикулярной болезни
- Ирригоскопия - рентгеновское исследование, при котором производят наполнение просвета толстой кишки контрастной взвесью и оценивают ее состояние при наполнении и после опорожнения кишки.
- Колоноскопия позволяет выявить наличие множественных дивертикулов, признаков воспаления или кишечного кровотечения, а также может оказаться полезной для обнаружения таких сопутствующих поражений как полипы и рак.
- МСКТ (мультиспиральная компьютерная томография). Целесообразна для дифференциальной диагностики дивертикулита и опухолевого поражения толстой кишки.
Лечение
Основной целью лечения дивертикулярной болезни является нормализация функции кишечника, предотвращение прогрессирования заболевания и развития осложнений, а также купирование обострений.
Диета
Так как дивертикулярная болезнь гораздо чаще возникает у людей, ограничивающих употребление в пище овощей и фруктов, всем больным с дивертикулёзом необходимо использовать продукты с высоким содержанием растительной клетчатки и пектина. Очень полезны пшеничные отруби (особенно, отруби грубого помола), которые значительно снижают давление внутри кишки и ускоряют скорость продвижения содержимого по кишечнику.
Обязательно нужно исключить все продукты, вызывающие повышенное газообразование (бобовые, чечевица, виноград, кислая капуста, сдобное и дрожжевое тесто, лук) и запоры (черника, рис). Целесообразно исключить также семечки, плоды с большим количеством зёрен и чрезмерно грубую клетчатку (хурма, ананасы, репа, редис, редька).
Медикаментозное лечение
- При неосложненном течении болезнь не требует использования медикаментозных препаратов. Необходимость принимать лекарства возникает в зависимости от клинических проявлений.
- При болях в животе применяют спазмолитические средства.
- При выявлении дисбактериоза - препараты, помогающие восстановить нормальную кишечную микрофлору.
- При постоянных запорах принимают препараты для усиления моторики желудка и кишечника: препараты лактулозы, вазелиновое или оливковое масло внутрь или в микроклизмах.
- При дивертикулёзе с клиническими проявлениями воспаления необходимо использовать весь комплекс лечебных мероприятий: послабляющую диету, спазмолитики; препараты, регулирующие моторную функцию кишечника, и средства, нормализующие состав бактериальной флоры кишечника.
Хирургическое лечение
Необходимость в хирургическом лечении при дивертикулярной болезни может возникнуть как в срочном, так и в плановом порядке. Это бывает при возникновении осложнений, которые могут угрожать жизни человека (кровотечение, перфорация, перитонит).
Плановое хирургическое лечение всегда направлено на устранение угрозы подобных осложнений. Выбор метода операции в каждом конкретном случае зависит от распространённости процесса, воспалительных изменений в дивертикулах, состояния кишечной стенки и окружающих тканей, наличия воспаления вне просвета кишки или перитонита. Важно учитывать сопутствующие заболевания, часто наблюдаемые у людей пожилого возраста. Как правило, в плановом порядке выполняется резекция (удаление) пораженного отдела толстой кишки с одновременным наложением анастомоза.
Оперативное лечение в нашей Клинике выполняется лапароскопическим способом, что позволяет пациентам достаточно быстро возвращаться к активной жизни. Плановая операция всегда выполняется в период ремиссии, через 2-3 месяца после снятия острого приступа болезни. Свищи толстой кишки являются показанием к плановому хирургическому лечению, так как добиться их самостоятельного заживления не возможно, а хроническое воспаление приводит как к развитию грубых рубцов, нарушающих продвижение кишечного содержимого, так и к развитию хронической интоксикации и снижению иммунитета. При формировании кишечно-мочепузырных свищей возникает угроза развития восходящей инфекции мочевых путей и поражения почек.
- Хирургическое устранение свищей является сложным хирургическим вмешательством требующим участия высококвалифицированных специалистов. В нашей клинике при планировании подобных вмешательств по необходимости привлекаются смежные специалисты (урологи, гинекологи, эндоскописты). При кишечном кровотечении чаще всего назначают консервативное лечение (гемостатическую терапию) или выполняют эндоскопическую остановку кровотечения. Операция выполняется только при неэффективности консервативных методов лечения.
- Хирургическое лечение при перфорации дивертикула. Если операция выполняется по срочным показаниям, для снижения риска послеоперационных осложнений может накладываться колостома. Реконструктивная операция с закрытием колостомы и восстановлением непрерывности кишки выполняется после стихания воспалительного процесса (примерно, через 3 месяца).
Диспансерное наблюдение
Больные с дивертикулярной болезнью должны регулярно наблюдаться у гастроэнтеролога или колопроктолога. Колоноскопию при отсутствии жалоб выполняют с периодичностью 1 раз в 3 года.
Если возникают боли и другие проявления болезни, обследование следует пройти в самые кратчайшие сроки. При частых периодичных рецидивах дивертикулита показаны регулярные противорецидивные курсы лечения.
Прогноз
Прогноз, как правило, благоприятный, если заболевание выявлено своевременно, начато проведение необходимых профилактических и лечебных мероприятий, при условии соблюдения пациентом всех необходимых рекомендаций.
Однако, при игнорировании необходимости профилактики, дивертикулярная болезнь может привести к развитию тяжёлых, угрожающих жизни и здоровью пациента, осложнений. Тем более, что болезнь чаще распространена среди пожилых людей, имеющих разнообразные сопутствующие заболевания и меньшую сопротивляемость организма.
Профилактика
Среди профилактических мероприятий основное значение имеет разнообразное и рациональное питание. В связи с тем, что диета с низким содержанием растительных волокон предрасполагает к формированию дивертикулов, с целью уменьшения риска развития заболевания необходимо в большом количестве включать продукты растительного происхождения.
Поскольку немаловажную роль играет своевременное выявление дивертикулов, крайне важно проходить профилактическое обследование и регулярно выполнять эндоскопическое исследование кишечника.
Оформите заявку на сайте, мы свяжемся с вами в ближайшее время и ответим на все интересующие вопросы.
Дивертикулы желудочно-кишечного тракта
Дивертикул (от лат. «дорога в сторону») - это грыжи, выпячивания стенки полого органа. Дивертикулы бывают как единичные, так и множественные. Дивертикулы чаще всего встречаются в пищеварительном тракте.
Также стенка дивертикула может состоят из тех же слоев, что и стенка органа, или быть без мышечного слоя. Соответственно их подразделяют на истинные и псевдодивертикулы.
Дивертикулы в желудочно-кишечном тракте могут располагаться на всем протяжении, что вызывает различные клинические проявления и осложнения, в зависимости от уровня.
В пищеводе дивертикулы встречаются на всем протяжении. В зависимости от расположения они и классифицируются:
1. Глоточно-пищеводные
2. Фарингоэзофагеальные
3. Эпибронхиальные (бифуркационные, среднепищеводные)
4. Наддиафрагмальные [1]
В зависимости от причин возникновения они делятся:
1. Пульсионные (из-за нарушений перестальтики)
2. Тракционные (в связи с возникновением рубцовых изменений при воспалении)
Причинами развития дивертикула пищевода могут быть:
1. Рефлюкс–эзофагиты
2. Инфекционное поражение (туберкулез, грибковая инфекция)
3. Травма
4. Воспалительные процессы в близлежащих органах (медиастенит) [2]
Симптоматика зависит от локализации выпячивания
Наиболее ярко проявляется дивертикул Ценкера (в области глоточно-пищеводного перехода). Развивается дисфагия (нарушение прохождение пищи, тошнота), появляется неприятный запах изо рта, изменение тембра голоса. При расположениях дивертикула в нижней трети пищевода могут быть боли в области сердца, бронхоспазм, одышка.
Дивертикулы пищевода могут сопровождаться медиастенитом (воспалением средостения), флегмоной шеи, формированием свища и сепсисом, эрозированием слизистой и развитием рака пищевода.
Основным методом диагностики является рентгенологическое исследование (осмотр в рентген аппарате после приема контрастного вещества). Дополнительным методом является эзофагоскопия эндоскопическая ( осмотр в просвете зондом с видеокамерой), которая позволит осмотреть состояние слизистой у дивертикула, однако проводить его нужно крайне осторожно, в связи с опасностью перфорации.
Излечить дивертикул можно лишь хирургически (удалив его).
При опасности операций – тяжелые сопутствующие заболевания - возможна консервативная терапия, заключающаяся в диете, приеме противовоспалительных препаратов (обволакивающих слизистую пищевода, понижающих секрецию желудка).
В современной медицине используют лапароскопическую технику удаления дивертикулов пищевода – торакоскопию, когда на теле выполняется лишь несколько небольших разрезов, а само удаление проходит внутри грудной полости. Это позволяет сократить сроки реабилитации пациентов.
Дивертикулы толстого кишечника
В толстом кишечнике дивертикулы чаще встречаются в левом отделе кишечника (сигмовидной кишке).
Возникновение их связано с изменением эластичности стенки кишки, повышенным содержанием в рационе человека рафинированной пищи и минимизации пищевых волокон. При повышении внутрипросветного давления в кишке, слизистая пролабирует через слабые места (обычно это место выхождения сосуда в стенке кишечника). Дивертикулы реже встречаются у вегетарианцев и чаще у людей с проявлением дисплазии (растяжимости) соединительной ткани (особенно такие заболевания, как поликистоз почек, синдром Марфана).[3]
Выделяют разные состояния, связанные с дивертикулами толстой кишки.
А. Дивертикулез ободочной кишки (то есть наличие дивертикулов без клинических проявлений)
Б. Клинически выраженный дивертикулез (наличие дивертикулов , отсутствие признаков воспаления или кровотечения)
В. Дивертикулярная болезнь (наличие дивертикулов, а также наличие симптоматики, которые могут быть связаны с ними – кровотечение, воспаление) [4]
Дивертикулярная болезнь толстого кишечника проявляется лишь при воспалении в стенке дивертикула. Клинически это вздутие живота, боли в нем, нарушение стула, в том числе, диарейный синдром.[8]
Осложнения
При ярко выраженном воспалении возникает кровотечение, в связи с интимным расположением сосуда в стенке дивертикула, кишечное кровотечение порой лечиться хирургически.[7]
Возможно возникновение паракишечного инфильтрата, а порой и абсцесса. При перфорации дивертикула возникает каловый перитонит.[9,10]
Основным диагностическим методом дивертикулярной болезни толстой кишки является фиброколоносокопия – внутрипросветный осмотр кишки, а также осмотр состояния слизистой у дивертикулов. Дополнительно может применяться ирригоскопия (осмотр на рентгенаппарате, после введения контрастного вещества в клизме). Также с целью уточнения применяются такие методы, как виртуальная фиброколоноскопия (когда осмотр проходит в аппарате МРТ, а компьютерная программа сама создает картинку кишечника в просвете).
Лечение
Хирургическое лечение дивертикулярной болезни применяется лишь при осложнениях.
Пациентам при наличии дивертикулов в толстой кишке назначается высокошлаковая диета с дополнительным введением пищевых волокон.
При индивидуальных особенностях и клинических проявлениях в виде болей, спазмов в животе применяют препараты месалазина, систематически, курсами.[11] Хороший эффект дает применение пробиотиков, спазмолитиков и прокинетиков (препаратов, снижающих спазм в кишечнике, регулирующих синхронную работу мышечной стенки кишки).
Регулярное опорожнение кишечника и соблюдение диеты минимализирует возможность возникновения дивертикулов кишечника. Проведенные клинические исследования показали снижение заболеваемостью дивертикулярной болезнью при их приеме. Волокна ускоряют транзит (продвижение каловых масс по кишечнику), уменьшают запоры, тем самым способствуют снижению напряжения на стенку кишечника.
- Целлюлоза - неразветвленный полимер глюкозы, содержащий до 10 тысяч мономеров.
- Гемицеллюлоза состоит из пентозных и гексозных остатков, с которыми связаны остатки арабинозы, глюкуроновой кислоты и ее метилового эфира.
- Гумми (камеди) производная глюкуроновой и галактуроновой кислот, к которым присоединены соли магния и кальция, арабиноза, манноза, ксилоза.
- Пектин – полимеры молекулами галактуроновых и гулуроновых кислот. Пектиновые вещества – это группа высокомолекулярных соединений, входящих в состав клеточных стенок и межуточного вещества высших растений
- Лигнин – это неуглеводное вещество. Минимальное содержание в незрелых фруктах и овощах.
- Альгинаты – соли альгиновых кислот, основное содержание в водорослях.
- Слизи - разветвленные сульфатированные арабиноксиланы.
Дивертикулы тонкой кишки
Распространенность дивертикулов тонкой кишки населения планеты составляет 0,5–2,3%[5].
Дивертикулы двенадцатиперстной кишки (ДПК)
Дивертикулы двенадцатиперстной кишке чаще приобретенные, возникают у лиц старше 50 лет. При воспалении вызывают боли в правом подреберье, иррадиирующими в левую лопатку.
Данный дивертикул находится в непосредственной близости к фатеровому сосочку в ДПК, вирсунговому протоку. При воспалении и отеке может вызвать механическую желтуху, острый панкреатит, холангит.
Дивертикулы тощей и подвздошной кишки.
Обычно являются случайной находкой при рентгенологических исследования, не дают клинической симптоматики.
Первый дивертикул описан в 1906 году. Это локальное мешковидное выпячивание стенки подвздошной кишки, образованное из-за неполного заращения желточного протока, участвующего в питании зародыша, располагающийся в 10 -100 см от илеоцекального узла, размерами от 5 до 50 см. Порой в нем располагаются клетки слизистой желудка, а также ткань поджелудочной железы ( до 50 % случаев), что может являться причиной кровотечений и опухолей[6].
В диагностике большое значение придается видеокапсульной эндоскопии, позволяющей четко определить изменение слизистой в том числе. Методом выбора может служить компьютерная томография. Лапароскопия также используется для диагностики, при этом нередко – одновременно с его удалением.
Дивертикулит, непроходимость, перфорация и кровотечения – развиваются в 10–30% случаев. Механическая кишечная непроходимость может быть вызвана инородным телом, инвагинацией, растянутыми дивертикулами при воспалительном процессе, спайками, стриктурами, образовавшимися вследствие прошлых воспалений . При прогрессировании воспалительного процесса возможны кровотечение, непроходимость, перфорация дивертикула. В этом случае может развиться перитонит.
Тактика зависит от клинических проявлений.
Кровотечение. Кровотечение может возникнуть при любом расположении дивертикула. Кровь, выделяемой крови чаще темно-бордовый (в связи с высоким расположением источника кровотечения – тонкая кишка). Для диагностики кишечного кровотечения применяют эндоскопические методы (лапароскопия, видеокапсульная эндоскопия) и ангиографию (введение контрастного вещества в кровь и осмотр в рентгенаппарате сосудов, питающих данный участок тонкой кишки). Лечение чаще оперативное (удаление пораженного участка тонкой кишки или попытка ушития кровеносного сосуда).
Кишечная непроходимость. Чаще осложнение такое встречается у маленьких дитей, при завороте дивертикула. Кишечная непроходимость может быть вызвана энтеролитами (кишечными каловыми камнями), спайками, возникающими от воспаления дивертикула (дивертикулита). При данном осложнении также проводится хирургическое лечение (удаление дивертикула и, возможно, резекции части кишки).
Дивертикулит. Нередко энтеролиты (плотные каловые камни) служат причиной воспалительных изменений в дивертикуле, вызывают ущемление или застой в сосудах, питающих стенку кишечника. В этом случае лечение может ограничиться антибиотикотерапией, противовоспалительным лечением, при отсутствии эффекта и перфорации дивертикула и формировании абсцесса лечение оперативное.
Абсцесс и перитонит. При прогрессировании воспалительного процесса в дивертикуле развивается абсцесс, перфорация которого приводит к перитониту. Лечение оперативное: выполняется резекция участка кишки с воспаленным дивертикулом с последующей антибиотикотерапией.
Механическая желтуха и панкреатит. Эти осложнения развиваются при воспалении парафатерального дивертикула. В этом случае назначается антибиотикотерапия, а при отсутствии эффекта –хирургическое лечение.
Дивертикулярная болезнь кишечника
Дивертикулярная болезнь кишечника - заболевание, характеризующееся образованием дивертикулов (выпячиваний) кишечной стенки.
Авторы: Самедов Б.Х., Авдеенко Ю.Л., Карпеева Ю.С., Трушникова Н.А., Саадулаева М.М.
Дивертикулярная болезнь кишечника — заболевание, характеризующееся образованием дивертикулов (выпячиваний) кишечной стенки.
Выделяют истинные дивертикулы, которые содержат все слои кишечной стенки и ложные дивертикулы или (псевдодивертикулы) представляющие собой выпячивание слизистой оболочки через просветы в мышечной оболочке.
Дивертикулёз — наличие множественных дивертикулов без развития клинических симптомов. Дивертикулит – воспалительные изменения дивертикула с возможным переходом воспаления на близлежащие структуры.
Частота дивертикулярной болезни толстой кишки достигает по разным данным 20% в популяции; с возрастом частота растёт, достигая 40–50% среди пациентов в возрасте 60–80 лет. Заболевание встречается приблизительно с одинаковой частотой как среди мужчин, так и среди женщин. Реже встречаются дивертикулы двенадцатиперстной кишки, около 10% всех дивертикулов желудочно-кишечного тракта. Дивертикулы тонкой кишки.
Причины возникновения дивертикулов разнообразны, они возникают при снижении содержания в рационе клетчатки, увеличении внутрипросветного давления в кишечнике и слабости кишечной стенки. В развитии дивертикулярной болезни толстой кишки принимают участие вещества эндогенного происхождения, в частности желчные кислоты. В формировании дивертикулов важна роль синдрома дисплазии соединительной ткани, нередко наблюдается сочетание дивертикулярной болезни толстой кишки с заболеваниями, обусловленными снижением сопротивляемости ткани (грыжи, варикозное расширение вен голеней, висцероптоз).
В более, чем 60% случаев, дивертикулы не сопровождаются наличием клинической симптоматики (так называемый бессимптомный дивертикулёз) и диагностируются при эндоскопическом или рентгенологическом исследованиях.
Принципы лечения и динамического наблюдения при установленном диагнозе: профилактика прогрессирования заболевания и развития осложнений (дивертикулита, кровотечения, перфорации дивертикула и развитие перитонита, образования свищей, инфильтратов), нормализация функции кишечника, купирование обострений, лечение осложнений при их возникновении. Необходимо осуществлять диспансерное наблюдение пациента у колопроктолога и гастроэнтеролога, с целью уменьшения риска развития дивертикулярной болезни толстой кишки необходимо поддержание в рационе достаточного количества растительной клетчатки.
Популярное:
® 2018 | Консультативно-диагностический центр с поликлиникой при Управлении делами Президента Российской Федерации | Все права защищены
Для записи на исследования и консультации, пожалуйста, внимательно заполните нашу электронную анкету. Поля, помеченные звёздочкой, обязательны для заполнения.
Условия соглашения
В соответствии с требованиями статьи 9 Федерального закона "О персональных данных" от 27.07.2006 N 152-ФЗ, подтверждаю свое согласие на обработку ФГБУ «Консультативно-диагностический центр с поликлиникой» (далее - Оператор) моих персональных данных, включающих: фамилию, имя, отчество, контактные телефоны, адрес электронной почты, данные о состоянии моего здоровья, заболеваниях, случаях обращения за медицинской помощью - в медико-профилактических целях, в целях установления медицинского диагноза и оказания медицинских услуг при условии, что их обработка осуществляется лицом, профессионально занимающимся медицинской деятельностью и обязанным сохранять врачебную тайну. В процессе оказания Оператором мне медицинской помощи я предоставляю право медицинским работникам передавать мои персональные данные, содержащие сведения, составляющие врачебную тайну, другим должностным лицам Оператора в интересах моего обследования и лечения. Предоставляю Оператору право осуществлять все действия (операции) с моими персональными данными, включая сбор, систематизацию, накопление, хранение, обновление, изменение, использование, обезличивание, блокирование, уничтожение. Оператор вправе обрабатывать мои персональные данные посредством внесения их в электронную базу данных, включения в списки (реестры) и отчетные формы, предусмотренные документами, регламентирующими порядок ведения и состав данных в учетно-отчетной медицинской документации. Срок хранения моих персональных данных соответствует сроку хранения первичных медицинских документов (медицинской карты) и составляет двадцать пять лет для стационара и пять лет для поликлиники. Передача моих персональных данных иным лицам или иное их разглашение может осуществляться только с моего письменного согласия. Настоящее согласие дано мной и действует бессрочно. Я оставляю за собой право отозвать свое согласие посредством составления соответствующего письменного документа, который может быть направлен мной в адрес Оператора по почте заказным письмом с уведомлением о вручении либо вручен лично под расписку представителю Оператора. В случае получения моего письменного заявления об отзыве настоящего согласия на обработку персональных данных Оператор обязан: по истечении указанного выше срока хранения моих персональных данных уничтожить (стереть) все мои персональные данные из баз данных автоматизированной информационной системы Оператора, включая все копии на машинных носителях информации, без уведомления меня об этом.
Дивертикулез толстой кишки
Дивертикулярная болезнь – заболевание, характеризующееся клиническими проявлениями разной степени выраженности, обусловленными наличием дивертикула или дивертикулеза, включая воспаление (дивертикулит) и его осложнения (перидивертикулит, абсцесс, перфорация, свищ, перитонит), а также кровотечение.
Дивертикулярная болезнь поражает преимущественно сигмовидную кишку, затем нисходящую ободочную кишку, менее часто правую половину поперечной ободочной кишки и редко правые отделы ободочной кишки.


Этиология
До настоящего времени неизвестно, какой из факторов более важен для развития дивертикулов: анатомический дефект кишечной стенки или действие сил в полости кишки.
Обнаружено, что базальное внутриполостное давление у больных дивертикулярной болезнью и у здоровых лиц одинаковое. Однако пораженный дивертикулами сегмент кишки сокращается сильнее в ответ на прием пищи или действие фармакологических стимулов.
Другим важным этиологическим фактором может быть слабость кишечной стенки. Тонус мускулатуры толстой кишки с возрастом постепенно снижается, что, по-видимому, объясняет преимущественное поражение лиц пожилого возраста.
Таким образом, дивертикулярную болезнь можно объяснить периодическим значительным повышением внутриполостного давления, воздействующим на ослабленную возрастными изменениями стенку толстой кишки.
Классификация
Данное заболевание классифицируется следующим образом:
- Дивертикулярная болезнь без клинических проявлений.
- Дивертикулярная болезнь с клиническими проявлениями. Эта форма характеризуется симптомокомплексом, включающим боли в животе и различные нарушения функции кишечника.
- Дивертикулярная болезнь с осложненным течением:
- дивертикулит;
- перфорация;
- кровотечение;
- кишечная непроходимость;
- внутренние или наружные кишечные свищи.
Симптомы, клиническая картина дивертикулеза и диагностика заболевания
Дивертикулез толстой кишки может длительное время не проявляться, и его обнаруживают случайно при обследовании больных.
Основными симптомами клинически выраженного неосложненного дивертикулеза толстой кишки являются боли в животе и нарушения функции кишечника. Боли в животе носят разнообразный характер — от легкого покалывания до сильных коликообразных. Чаще всего они локализуются в нижней половине живота, особенно в левой подвздошной области или над лобком, т. е. в зоне расположения сигмовидной кишки. У части больных эти боли разнообразны не только но своему характеру, но и по локализации, в связи с чем врач не всегда связывает их с заболеванием толстой кишки. У ряда больных боли вызываются приемом пищи, что объясняется влиянием гастроколического рефлекса.
Нарушение функции кишечника проявляется чаще в виде запоров, причем длительное отсутствие стула значительно усиливает болевой синдром. Иногда отмечается диарея, не носящая, однако, постоянного характера. Нередко больные жалуются на неустойчивый стул; иногда описанные симптомы сочетаются с тошнотой или рвотой.
Осложнения дивертикулеза проявляются обычно довольно ярко. Наиболее часто наблюдается дивертикулит — примерно у 1/3 больных дивертикулярной болезнью толстой кишки. Основные признаки дивертикулита — боли в животе, повышение температуры и лейкоцитоз. Появление двух последних признаков на фоне существовавшего клинически выраженного или бессимптомного дивертикулеза позволяет отличить начавшееся воспаление от функциональных болей.
При распространении воспалительного процесса в виде параколита наряду с перечисленными симптомами отмечается образование инфильтрата, размеры которого колеблются от незначительных, с трудом определяемых при пальпации до обширных очагов, занимающих всю левую половину живота. Прогрессирование воспалительного процесса может привести к абсцедированию с угрозой прорыва гнойника в брюшную полость. Стихание воспаления не всегда приводит к полному рассасыванию инфильтрата, и тогда индурация брыжейки или окружающих тканей симулирует опухоль брюшной полости.
Сигмовидная кишка или другие отделы ободочной кишки в результате повторных атак дивертикулита, параколита или формирования абсцесса могут оказаться спаянными с соседними органами. При этом абсцесс может вскрыться в мочевой пузырь, уретру, влагалище или тонкую кишку с образованием свищей.
Перфорация дивертикула встречается как при клинически выраженном, так и бессимптомном дивертикулезе ободочной кишки. Перфорация в свободную брюшную полость ведет к развитию быстро прогрессирующего перитонита, клинические проявления которого не отличаются от таковых при других формах острого воспаления брюшины. Кишечная непроходимость при дивертикулезе толстой кишки носит характер обтурационной со всеми присущими этой форме проявлениями. Одной из частых причин развития непроходимости при дивертикулезе является образование так называемой псевдоопухоли.
Кишечное кровотечение, хотя и не имеет, как правило, профузного характера, но все же часто бывает настолько выраженным, что быстро привлекает внимание как самого больного, так и врачей.
При определении источника кровотечения возникают значительные трудности. Кровотечение из дивертикула наблюдается и при бессимптомном течении заболевания, что создает еще большие диагностические затруднения. Наряду с явным кровотечением могут наблюдаться и скрытые его формы, проявляющиеся только анемией. Симптомы перечисленных осложнений хотя и довольно яркие, однако не носят специфического характера. В связи с этим определить причины их возникновения иногда бывает весьма трудно и для этого применяют комплексное обследование.
Клинические проявления дивертикулеза толстой кишки и его осложнений не могут служить основанием для установления точного диагноза заболевания. Диагностика и дифференциальная диагностика дивертикулеза толстой кишки основывается на анализе клинических проявлений заболевания и результатах обязательного рентгенологического и эндоскопического исследований толстой кишки.
![Дивертикулез лечение]()
![Дивертикулез лечение]()
Консервативное лечение дивертикулярной болезни
В настоящее время сформулированы следующие принципы лечения этого заболевания:
- бессимптомный дивертикулез толстой кишки, обнаруживаемый случайно, не требует специального лечения. Назначается диета, богатая растительной клетчаткой, отруби.
- при дивертикулезе с выраженными клиническими проявлениями применяют комплекс лечебных мероприятий:
- сбалансированная диета, содержащая большое количество растительной клетчатки, а при упорных запорах и жидкости;
- витамины;
- препараты, нормализующие функцию кишечника;
- при выраженном спастическом компоненте назначают спазмолитические средства, либо блокаторы кальциевых каналов (Децител), которые действуют селективно на стенку кишечника. При болевом синдроме назначают анальгетики, препараты морфина для этих целей противопоказаны, так как они повышают внутрикишечное давление;
- при наличии явлений дивертикулита требуют назначения антибиотиков;
- при диарее можно использовать противодиарейные средства;
- при наличии ферментативной недостаточности поджелудочной железы назначаются ферментативные препараты;
- при выявлении дисбактериоза целесообразно применение бактериальных препаратов (колибактерин, бифидумбактерин, бификол).
Хирургическое лечение
Существуют следующие показания к хирургическому лечению дивертикулярной болезни:
Экстренные:
- перфорация дивертикула;
- кишечная непроходимость;
- профузное кровотечение.
Плановые:
- образование хронического инфильтрата, симулирующего злокачественную опухоль;
- внутренние и наружные свищи;
- клинически выраженная дивертикулярная болезнь, неподдающаяся комплексному консервативному лечению.
Государственная клиническая больница №29 им. Н.Э.Баумана – это современная многопрофильная высокотехнологичная больница с уникальной полуторавековой историей и традицией, оказывающая высококачественную медицинскую помощь в круглосуточном режиме.
Дивертикул двенадцатиперстной кишки, симулировавший кисту поджелудочной железы
![]()
Идеальный инструмент для пренатальных исследований. Уникальное качество изображения и весь спектр диагностических программ для экспертной оценки здоровья женщины.
Введение
Дивертикулом (от лат. diverto, divertere - сворачивать, направлять в другую сторону) называется выпячивание стенки полого органа, сообщающееся с его просветом. Различают дивертикулы истинные и ложные, первые - редки, преимущественно бывают врожденными, единичными. Их стенка имеет такое же строение, как и полого органа (отсюда название). Имея мышечный слой, истинные дивертикулы способны активно опорожняться, их воспаление возникает редко [2]. Ложные дивертикулы встречаются относительно часто и представляют собой выпячивание слизистой оболочки между мышечными волокнами, их стенка не содержит мышечного слоя и они не могут активно опорожняться. Это благоприятствует застою содержимого и развитию дивертикулита.
Дивертикулы возникают в слабых местах стенки, чаще в туннелях, образуемых сосудами, пенетрирующими мышечный слой. Близость к кровеносным сосудам создает высокий риск кровотечения [4, 7]. Именно поэтому клиническое значение заболевания состоит в возможности развития осложнений, в том числе угрожающих жизни [2].
В диагностике дивертикулов пищеварительного тракта (они могут возникать в любом полом органе, но, как показывает статистика, чаще встречаются в толстой кишке) ведущее место занимает рентгенологический метод, поскольку эндоскопическое исследование заметно уступает в точности. Так, эзофагогастродуоденоскопия (ЭГДС) выявляет заболевание, например в двенадцатиперстной кишке, лишь у 1/3 из числа больных, которым диагноз установлен рентгенологически. Для желудка этот показатель еще ниже [4].
В последние годы накоплен достаточно большой опыт ультразвуковой диагностики патологических состояний и заболеваний желудочно-кишечного тракта [1, 3, 5, 6]. Вместе с тем в доступной литературе мы не встретили ни одного случая успешной ультразвуковой диагностики дивертикулов желудка или двенадцатиперстной кишки.
Описание случая
Больная А., 66 лет, обратилась с жалобами на непродолжительные, периодически возникающие ноющие боли в эпигастрии и правом подреберье, не связанные с приемом пищи, ощущение горечи во рту, отрыжки воздухом и пищей, изжогу, тошноту. Из анамнеза известно, что в 1982 г. произведена операция холецистэктомии по поводу желчнокаменной болезни. В последующем чувствовала себя хорошо, не обследовалась, не лечилась. Описанные выше жалобы беспокоят в течение последних 4-5 нед, в связи с чем обратилась к врачу в поликлинику по месту жительства, где при УЗИ органов брюшной полости выявлена киста поджелудочной железы.
При обращении: состояние удовлетворительное, повышенного питания, кожные покровы и видимые слизистые чистые, нормальной окраски. Со стороны сердечно-сосудистой системы и легких отклонений не выявлено. Пульс 79 уд. в 1 мин, ритмичный, хорошего наполнения. АД = 135/90 мм рт. ст. Язык влажный, обложен серым налетом. Живот мягкий, умеренно болезненный при пальпации в эпигастрии. Печень не увеличена, не пальпируется. Стул со склонностью к запорам. Дизурии нет. В клиническом и биохимическом анализах крови диагностически значимых отклонений от нормы не выявлено.
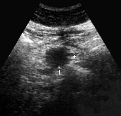
При УЗИ органов брюшной полости: печень в размере не увеличена (4,3-13,3 см), контур ее ровный, паренхима с умеренно выраженными явлениями жировой инфильтрации. Очаговой патологии не выявлено. Внутрипеченочные желчные протоки и вены, портальная (0,9 см) и селезеночная (0,4 см) вены не расширены. Холедох визуализируется фрагментарно, диаметр не превышает 0,8 см. Желчный пузырь не визуализируется (оперативно удален). Поджелудочная железа нормальных размеров (2,9-1,6-2,1 см), контур ровный, равномерно диффузно уплотнена. Вирсунгов проток не расширен. Диаметр сечения пищеварительного тракта на уровне пищеводного отверстия диафрагмы 1,6 см. В желудке натощак много слизи, стенка его не утолщена (0,3-0,5 см). На уровне наружного контура головки поджелудочной железы визуализируется округлой формы с ровными контурами пониженной эхогенности образование с нежной внутренней структурой размером 2,1x3,2 см (рис. 1). При полипозиционном исследовании выявить связь данного образования с головкой железы не удалось. В то же время, локально, на уровне данного образования толщина стенки дистального отдела луковицы двенадцатиперстной кишки составила 0,5 см (в остальных отделах 0,2-0,3 см). Селезенка не увеличена, структура ее однородная. Свободная жидкость в брюшной полости не определяется. Брюшной отдел аорты нормального диаметра (1,8 см). Парааортальные лимфатические узлы не визуализируются. Заключение: состояние после холецистэктомии. УЗ-признаки стеатоза печени, грыжи пищеводного отверстия диафрагмы. Киста головки поджелудочной железы? Для исключения патологии желудка и двенадцатиперстной кишки показано проведение рентгенологического и эндоскопического исследований.
![Эхограмма дивертикула двенадцатиперстной кишки, симулировавшего кисту поджелудочной железы]()
Рис. 1. Эхограмма дивертикула двенадцатиперстной кишки, симулировавшего кисту поджелудочной железы.
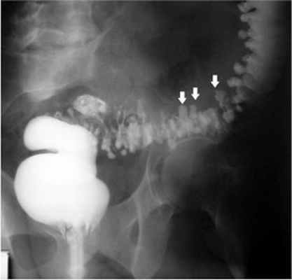
При рентгеноскопии желудка и двенадцатиперстной кишки: акт глотания не нарушен. Пищевод свободно проходим, определяется значительных размеров (до 7 см) грыжа пищеводного отверстия диафрагмы с выраженным рефлюкс-эзофагитом и забросом содержимого желудка в дистальный отдел пищевода, увеличивающаяся в размерах в положении лежа на животе. Желудок обычно расположен, натощак содержит слизь и жидкость. Складки слизистой утолщены, извиты, по задней стенке и большой кривизне в кардиальном отделе образуют зубчатость. Привратник свободно проходим, отмечается пролабирование слизистой желудка в луковицу двенадцатиперстной кишки. В нисходящей ветви петли двенадцатиперстной кишки определяется дивертикул на ножке размером 3 см с большим количеством слизи в нем (рис. 2). Луковица двенадцатиперстной кишки раздражена, бариевая взвесь очень быстро проходит ее, отмечается обратный заброс бариевой массы в желудок. Заключение: скользящая грыжа ПОД. Рефлюкс-эзофагит. Гастрит. Дуоденит. Дуоденогастральный рефлюкс. Дивертикул петли двенадцатиперстной кишки с признаками дивертикулита. От проведения ЭГДС пациентка категорически отказалась.
![Рентгенограмма дивертикула петли двенадцатиперстной кишки]()
Рис. 2. Рентгенограмма дивертикула петли двенадцатиперстной кишки.
Вывод
Двенадцатиперстная кишка является самой частой локализацией дивертикулов тонкой кишки, которые в 98% наблюдений располагаются на внутренней стенке двенадцатиперстной кишки, где они внедрены в ткань поджелудочной железы, и только в 2% - на свободной наружной стенке [4]. Чаще всего дивертикулы локализуются в области большого дуоденального сосочка, превалируют лица старше 40 лет. Приблизительно у 30% пациентов дуоденальные дивертикулы сочетаются с другими заболеваниями: язвенной болезнью, полипозом желудка, холелитиазом, панкреатитом, дивертикулезом толстой кишки. Если терпеливое консервативное лечение не дает желаемых результатов, показана операция.
Рассматриваемый случай интересен тем, что большой дивертикул двенадцатиперстной кишки при ультразвуковом исследовании симулировал кисту поджелудочной железы. Кисты (псевдокисты) поджелудочной железы встречаются значительно чаще дивертикулов, поэтому вполне естественно заключение о наличии у больной кисты. Однако отсутствие указаний в анамнезе на острый или хронический панкреатит, неудачная попытка проследить связь выявленного жидкостного образования с головкой поджелудочной железы при полипозиционном исследовании, локальное утолщение дуоденальной стенки позволили высказать предположение о возможной прочей патологии и назначить дообследование.
Таким образом, при выявлении в процессе эхографии объемного жидкостного образования поджелудочной железы (в проекции железы) в алгоритм дифференциально-диагностического поиска необходимо включать патологию желудка и двенадцатиперстной кишки, не забывая о дивертикулах, поскольку, как справедливо замечает С.В. Герман, "Ключом к ранней диагностике дивертикулов пищеварительного тракта является высокий индекс подозрения заболевания" [2].
Литература
- Бурков С.Г. Ультразвуковая диагностика заболеваний желудочно-кишечного тракта // Врач. - 1997. - N 1. - С. 16-18.
- Герман С.В. Дивертикулярная болезнь толстой кишки: мифы и реальность // Рос. ж. Гастроэнтерологии, гепатологии, колопроктологии. - 2000. - N 1. - С. 66-75.
- Клиническое руководство по ультразвуковой диагностике / Под ред. В.В. Митькова. IV том. - М.: Видар, 1997. - 388 с.
- Крылов А.А., Земляной А.Г., Михайлович В.А., Иванов А.И. Неотложная гастроэнтерология. Руководство для врачей. - С.-Пб.: "Питер", 1997. - С. 139-164.
- Berstad A., Hausken T., Gilja O.H. Ultrasonography of the human stomach // Scand. J. Gastroent, 1996. - Vol. 220. Suppl. Pp. 75-82.
- Gimondo P., Mirk P., Romano M., Jannetti G., Gallipoli A. Ecographia e tratto gastroenterico: Stato dell`arte // Giornale Italiano Di Ecografia. 2000. - Vol. 3.- N 2. S. 121-129.
- Telford G.L., Appel D. Diverticulitis // Gastrointestinal emergencies / Ed. M.B. Taylor. 1997. - P. 571-576.
![]()
УЗИ сканер WS80
Идеальный инструмент для пренатальных исследований. Уникальное качество изображения и весь спектр диагностических программ для экспертной оценки здоровья женщины.
Читайте также:





