Дивертикулы толстой кишки - диагностика
Добавил пользователь Владимир З. Обновлено: 18.12.2025
Дивертикулезом толстой кишки называют заболевание, при котором происходит образование единичных или множественных грыжеподобных выпячиваний слизистой оболочки (дивертикулов) наружу за пределы кишечной стенки.
Дивертикулез толстой кишки встречается у 25% взрослого населения. У женщин заболевание встречается чаще, чем у мужчин: 55% и 45% соответственно.
Этиология и патогенез.
Впервые дивертикулы толстой кишки описал французский патолог J. Cruveilhier в 1849 г.
В результате патологических изменений нервного аппарата происходит нарушение двигательной координации толстой кишки. Это приводит к повышению внутрикишечного давления и утолщению мышечной стенки кишки. Повышение давления ведет к образованию выпячиваний (так называемых пульсионных дивертикулов) в местах наименьшего сопротивления кишечной стенки, т.е. в местах прободения ее сосудами.
Предполагают, что указанные нарушения двигательной активности ободочной кишки могут быть вызваны недостатком в пищевом рационе растительной клетчатки, что и обуславливает клинические проявления неосложненного дивертикулеза. Это сопровождается уменьшением объема каловых масс и усилением сегментации кишки. Кроме того, при исследованиях также выявлены нарушения сократительной способности мышечных волокон стенки ободочной кишки у пациентов с дивертикулезом.
Классификация.
1. Дивертикулез толстой кишки без клинических проявлений (встречается у 1/3 обследованных и расценивается как случайная находка);
Дивертикулез с клиническими проявлениями (34% больных);
2. Дивертикулез с осложненным течением
- дивертикулит;
- перфорация;
- кровотечение;
- кишечная непроходимость;
- внутренние или наружные кишечные свищи;
- рак на фоне дивертикулеза
Клиническая картина.
Симптомы дивертикулеза толстой кишки могут длительно не проявляться и часто его обнаруживают случайно при обследовании больных.
Клинически выраженный неосложненный дивертикулез толстой кишки проявляется:
- болями в животе;
- нарушениями функции кишечника;
Боли носят разнообразный характер, от легкого покалывания до сильных коликообразных приступов. Многие больные ощущают легкие или умеренные, но постоянные боли. Чаще они определяются в левой половине живота или над лоном.
У большинства больных боли уменьшаются после стула, однако у некоторых больных акт дефекации усиливает боль.
Нарушение функции кишечника проявляется чаще в виде запоров, причем длительное отсутствие стула значительно усиливает болевой синдром. Реже отмечается жидкий стул (диарея), не носящая постоянного характера. Часто больные жалуются на неустойчивый стул, иногда это сочетается с тошнотой или рвотой.
Клиническая картина осложнений дивертикулеза.
Дивертикулит - воспаление стенки дивертикула, проявляется болями в животе, повышением температуры тела. Если воспалительный процесс с дивертикула распространяется на окружающие ткани, то может возникнуть околокишечный абсцесс или перитонит. В результате повторяющихся атак дивертикулита сигмовидная кишка или другие отделы толстой кишки оказываются спаянными с соседними органами. При этом абсцесс может вскрыться в мочевой пузырь, уретру, влагалище или тонкую кишку с образованием свищей.
Перфорация дивертикула - образование отверстия в стенке дивертикула в свободную брюшную полость. Встречается как при клинически выраженном, так и бессимптомном дивертикулезе. Перфорация ведет к развитию быстро прогрессирующего перитонита.
Кишечная непроходимость. Одной из частых причин развития кишечной непроходимости при дивертикулезе является образование так называемой псевдоопухоли. В основе проявления псевдоопухоли лежит перфорация дивертикула с образованием абсцесса.
Кишечное кровотечение - наиболее часто выделяется алая кровь, т.к. чаще источник располагается в нижних отделах толстой кишки, но при высоком расположении кровоточащего дивертикула может быть дегтеобразный стул. Наряду с явным кровотечением могут наблюдаться и скрытые его формы, проявляющиеся только анемией. Кровотечение связано с истончением слизистой оболочки дивертикулов и обнажением сосуда, его травматизация и приводит к возникновению кровотечения.
Диагностика
Выявление дивертикулеза возможно только с помощью инструментальных методов исследования. Ведущими являются:
- ирригоскопия;
- колоноскопия;
- ректороманоскопия;
Размеры и количество выявленных дивертикулов варьирует от единичных до множественных, распространенных по всей толстой кишке, диаметром от 0,2-0,3 до 2-3 см и более.
Необходимо проводить дифференциальную диагностику с опухолью толстой кишки.
Консервативное лечение.
Бессимптомный дивертикулез толстой кишки, обнаруженный случайно, не требует специального лечения. Таким больным рекомендуют диету, богатую растительной клетчаткой.
При дивертикулезе с клиническими проявлениями:
- диета (пищевые волокна);
- спазмолитики и противовоспалительные средства;
- бактериальные препараты и продукты;
- антибиотики (при дивертикулите);
- кишечные антисептики;
Диету необходимо соблюдать постоянно, медикаментозную терапию - курсами 2-6 недель - 2-3 раза в год. У многих больных такое лечение дает стойкий длительный эффект.
Хирургическое лечение.
Показано 10-20% больных с дивертикулезом толстой кишки.
Показания к срочной операции:
- перфорация дивертикула в свободную брюшную полость;
- прорыв перифокального абсцесса в свободную брюшную полость;
- кишечная непроходимость;
- профузные кишечные кровотечения.
Показания к плановой операции:
- хронический инфильтрат симулирующий злокачественную опухоль;
- толстокишечные свищи;
- хронический дивертикулит с частыми обострениями;
- клинически выраженный дивертикулез, неподдающийся комплексному консервативному лечению.
Выбор метода операции зависит от:
- характера осложнений;
- распространенности процесса;
- изменений со стороны дивертикулов;
- изменений со стороны кишечной стенки (и окружающих тканей;
- наличия или отсутствия перифокального воспаления или перитонита;
- сопутствующей патологии.
Дивертикулит
Дивертикулит - это заболевание кишечника, характеризующееся воспалением слепо заканчивающихся выпячиваний его стенки (дивертикулов). Патологическое состояние проявляется периодической болью в нижней части живота, преимущественно слева, расстройством стула, необильными кровотечениями, повышением температуры, общей слабостью, реже - тошнотой и рвотой. Для диагностики дивертикулита применяются эндоскопия толстого кишечника, ирригоскопия, УЗИ органов брюшной полости, лапароскопия и лабораторные методы исследования. Лечение патологии заключается в назначении антибиотиков и проведении хирургического вмешательства по показаниям.
МКБ-10

Общие сведения
Дивертикулит является воспалительным заболеванием кишечника, развивающимся на фоне застоя кишечного содержимого в дивертикулах - выпячиваниях стенки кишки. Наблюдается в 1,5 раза чаще у женщин по сравнению с мужчинами. Данное патологическое состояние преимущественно регистрируется у людей старше 40 лет, реже развивается у детей. Несмотря на то, что дивертикулы кишечника имеются у 50% людей старше 60 лет, воспалительный процесс возникает только у 20% этих пациентов. В последнее время количество больных, страдающих дивертикулитом, резко выросло, что связано с употреблением большого количества мясных и мучных изделий. При этом в Азии, где люди едят более здоровую пищу, заболевание наблюдается реже. Разработкой новых методов лечения данной патологии занимаются специалисты в сфере клинической проктологии и гастроэнтерологии.
Причины дивертикулита
Воспаление развивается в месте локализации дивертикула, который имеет вид слепого выпячивания полого органа. Дивертикулы обнаруживаются у большого количества людей, однако они осложняются дивертикулитом только у пятой части пациентов. Данный патологический процесс возникает под влиянием различных причин, которые провоцируют воспаление. В частности, дивертикулит может развиться при употреблении пищи, бедной клетчаткой, поскольку она приводит к запорам. Если человек употребляет с пищей меньше 30 г пищевых волокон в сутки, то он имеет повышенный риск возникновения данной патологии. У таких пациентов содержимое кишечника плотное и недостаточно увлажненное, что приводит к застою каловых масс, повреждению слизистой оболочки, активации и усиленному размножению патогенной кишечной флоры. На фоне этих изменений и развивается дивертикулит.
Одной из причин заболевания является воспалительный процесс в толстой кишке. В частности, дивертикулит может развиваться на фоне спастического, язвенного или инфекционного колита, а также различных кишечных инфекций. Инфекционные агенты могут попадать в дивертикулы и там активно размножаться. При ослаблении местного иммунного ответа бактерии приводят к развитию дивертикулита. Риск возникновения данного патологического процесса увеличивается с возрастом, что связано с уменьшением тонуса мышц и снижением перистальтики. Кроме того, у пожилых людей слизистая оболочка кишечника становится тоньше, а локальный иммунитет постепенно снижается.
Дивертикулы могут воспаляться при дисбактериозе или на фоне снижения общего иммунитета. Глистное заражение часто приводит к повреждению слизистой оболочки и нарушению микрофлоры, при этом возникают благоприятные условия для размножения патогенных бактерией, которые заселяют слизистую оболочку дивертикулов. В возникновении дивертикулита существенную роль играет наследственная предрасположенность.
Симптомы дивертикулита
Патология не имеет типичных признаков, часто принимается за приступ острого аппендицита, заболевания женских половых органов или болезни почек. Одним из основных симптомов дивертикулита является боль в нижней части живота. Чаще всего боль локализуется в левой его половине. Это связано с тем, что дивертикулез чаще всего поражает сигмовидную кишку. Пациент ощущает точечную боль в конкретном месте. Болевые ощущения могут быть преходящими или постоянными, длящимися в течение нескольких дней. Боль часто усиливается при физической активности, смехе или кашле. Также ощущения становятся сильнее при надавливании на пораженный участок кишечника. После опорожнения кишечника боль не ослабляется, а, наоборот, может становиться сильнее, что объясняется напряжением мышц живота при натуживании.
Следующим важным симптомом дивертикулита является расстройство стула, которое проявляется чередованием поносов и запоров. Запоры могут быть связаны с тем, что пораженный участок кишечника спазмируется, и его просвет резко сужается. При расслаблении кишки в последующем возникает понос. Также причиной диареи может быть нарушение всасывания воды в толстом кишечнике на фоне дивертикулита. При данном патологическом состоянии может определяться кровь в кале. Появление кровянистых выделений связано с тем, что в месте локализации дивертикула при воспалении могут формироваться кровоточащие язвы и эрозии. Кровянистые выделения обычно необильные. Они проявляются в виде следов крови на туалетной бумаге или каловых массах после дефекации. Кровотечения отмечаются только у 10% больных, страдающих дивертикулитом. В редких случаях воспаленный дивертикул может перфорироваться, а его содержимое попасть в брюшную полость, вызвав перитонит.
При выраженной воспалительной реакции дивертикулит проявляется гипертермией. Лихорадка в данном случае будет связана с попаданием в кровь специфических веществ - пирогенов. Повышение температуры при дивертикулите возникает вследствие активации защитных сил организма, направленных на борьбу с воспалением. Также симптомами дивертикулита часто являются тошнота, снижение аппетита, рвота и общая слабость - клинические проявления интоксикации.
Диагностика
Физикальное обследование играет важную роль в диагностике дивертикулита. При пальпации живота врач-проктолог определяет воспаленный и спазмированный отдел толстой кишки. Крупный дивертикул обычно прощупывается в виде круглого болезненного образования. При надавливании в области воспаленного дивертикула возникает болезненность. Для диагностики дивертикулита используются инструментальные методы исследования: эндоскопия толстого кишечника (колоноскопия), рентгенография с контрастом, УЗИ органов брюшной полости и в отдельных случаях лапароскопия. Из лабораторных методов применяются общий анализ крови и оценка биохимических показателей.
Колоноскопия является основным методом диагностики дивертикулита. Данное исследование позволяет провести дифференциальную диагностику заболевания с неспецифическим язвенным колитом, запорами, кишечной непроходимостью и опухолью толстого кишечника. Во время эндоскопии толстого кишечника при дивертикулите обнаруживаются поврежденные устья дивертикулов с воспалением слизистой оболочки вокруг них. Исследование дает возможность уточнить локализацию кровоточащих участков и оценить интенсивность кровотечения.
Рентгенографическое исследование толстого кишечника с барием (ирригоскопия) позволяет диагностировать дивертикулит, если невозможно проведение колоноскопии, или она дает неоднозначные результаты. Дивертикулы на рентгенографии определяются в виде образований округлой формы, которые имеют диаметр от 0,5 до 5 см. При дивертикулите на рентгенограмме визуализируются одиночные и множественные выпячивания, а края дивертикулов имеют неровные зазубренные контуры. Если на фоне данного патологического состояния происходит перфорация дивертикула с формированием свища, то при проведении рентгенографии свищ будет визуализироваться в виде контрастирующегося тяжа, который распространяется в направлении других органов.
УЗИ органов брюшной полости позволяет обнаружить увеличение толщины кишечных стенок, которое часто имеет место при дивертикулите. Если дивертикул заполняется каловыми массами, то на УЗИ его можно увидеть как мешковидное выпячивание с плотным содержимым. Лапароскопия позволяет визуализировать воспаленный дивертикул и сразу же удалить его. Важную роль играют лабораторные методы диагностики, основным из которых является общий анализ крови. При дивертикулите в общем анализе крови обнаруживается лейкоцитоз, палочкоядерный сдвиг влево и повышение СОЭ, которые являются признаками воспаления.
Лечение дивертикулита
Лечение осуществляется в проктологическом отделении или амбулаторно. Основными препаратами для консервативной терапии заболевания являются антибиотики, которые необходимо принимать в течение 1-2 недель. Во время лечения дивертикулита противопоказаны слабительные и клизмы, так как они увеличивают давление в кишечнике. Также важно придерживаться определенной диеты, которая исключает продукты, вызывающие вздутие кишечника и запоры. Необходимо снизить употребление белого хлеба, риса, молока, винограда и бобовых. Их рекомендуется заменить хлебом из цельной муки, морской капустой, хлопьями, ягодами, грушами и другими фруктами, содержащими клетчатку.
В ряде случаев больным дивертикулитом показано хирургическое лечение. Оно проводится при нагноении дивертикула, интенсивном кровотечении, формировании свищей, частых обострениях дивертикулита, кишечной непроходимости и перитоните. В зависимости от ситуации оперативное лечение, заключающееся в удалении воспаленного дивертикула, может проводиться планово или экстренно.
Прогноз и профилактика
При своевременном правильном лечении прогноз дивертикулита благоприятный. Для профилактики заболевания рекомендованы регулярные занятия спортом, употребление богатых клетчаткой продуктов, обильное питье (не менее 2 литров в сутки) и поддержание иммунитета. Также следует избегать запоров и травмирующих манипуляций на толстом кишечнике. Все эти профилактические мероприятия позволят минимизировать вероятность развития дивертикулита у пациентов, имеющих дивертикулез кишечника.
1. Дивертикулярная болезнь толстой кишки. Учебное пособие для врачей / Маев И.В., Дичева Д.Т., Андреев Д.Н., Лебедева Е.Г., Баева Т.А. - 2015
2. Дивертикулярная болезнь толстой кишки: клинические формы, диагностика и лечение / Буторова Л.И. - 2011
Дивертикулы кишечника
Дивертикулы кишечника – это мешотчатые выпячивания стенки толстой, реже тонкой кишки врожденного либо приобретенного характера. Чаще всего встречается бессимптомная форма заболевания. Явные клинические формы патологии проявляются неопределенными болями в животе, диспепсическими явлениями, кровотечениями. Для диагностики используют ирригографию, колоноскопию, ректороманоскопию, УЗИ и КТ органов брюшной полости. Специфическая терапия включает в себя применение диеты с повышенным содержанием клетчатки, назначение спазмолитиков, прокинетиков, антибактериальных препаратов, лактулозы. При осложненном течении заболевания требуется хирургическое лечение.

Дивертикулы кишечника могут иметь врожденную (при наследственной патологии соединительной ткани) либо приобретенную (связанную с возрастной слабостью межуточных волокон) природу. В тонком кишечнике дивертикулы встречаются достаточно редко – у 1% пациентов, при этом в большинстве случаев выявляют дивертикул Меккеля, содержащий в себе ткани желудка либо поджелудочной железы. Дивертикулы кишечника чаще бывают множественными и расположены в левой половине толстой кишки (в 70% случаев).
В молодом возрасте дивертикулез выявляют лишь в 5% случаев, в возрасте от 40 до 60 лет – у 30% населения, а после 80 лет частота поражения дивертикулами кишечника составляет более 65%. Патологические выпячивания могут осложняться воспалением, кровотечением, перфорацией, однако практически никогда не сопровождаются малигнизацией. В последние годы отмечается учащение случаев дивертикулеза в развитых странах, что связано с изменением диетических привычек, исключением из рациона клетчатки и полезных пищевых волокон.
Причины
К появлению врожденных и приобретенных дивертикулов кишечника могут приводить различные факторы, но в основе их всех лежит слабость соединительной ткани. При врожденной соединительнотканной дисплазии дивертикулы обычно множественные, расположены не только в кишечнике, но и других органах (желудок, мочевой пузырь и др.). В первые годы заболевания стенка врожденных дивертикулов представлена всеми слоями кишечной стенки, однако с возрастом мышечные волокна атрофируются.
Возникновению приобретенных дивертикулов кишечника способствуют:
- погрешности питания (употребление полуфабрикатов, нерегулярные приемы пищи, исключение из рациона клетчатки, свежих фруктов и овощей)
- авитаминозы
- постоянные запоры
- нарушения моторики кишечника
- малоподвижный образ жизни
- ожирение..
Любая из вышеперечисленных причин приводит к повышению внутрикишечного давления, пролабированию слизистого и подслизистого слоев кишки между мышечными волокнами, формированию полостного образования диаметром 3-5 см.
Патанатомия
В тонком кишечнике чаще всего встречается дивертикул Меккеля – врожденное неполное заращение желточного протока, в связи с чем примерно в 50 см от баугиниевой заслонки на стенке кишки образуется пальцевидное выпячивание, широким соустьем соединяющееся с кишечником. Иногда единичные дивертикулы образуются в двенадцатиперстной кишке – возле фатерова соска или в луковице двенадцатиперстной кишки (чаще всего это случается на фоне язвенной болезни ДПК). Другие локализации дивертикулеза тонкой кишки встречаются достаточно редко.
В толстом кишечнике дивертикулы преимущественно формируются в сигмовидной и левой половине поперечно-ободочной кишки. Чаще всего образования расположены в два ряда, по одному с каждой стороны вдоль брыжейки. Дивертикулы толстой кишки имеют тенденцию к прогрессированию с возрастом – повышение давления в кишечнике, застой калового содержимого оказывают пульсионный (выдавливающий) эффект, из-за чего возникают все новые и новые выпячивания кишечной стенки.
Классификация
Различают врожденные и приобретенные формы дивертикулов кишечника.
- Врожденный дивертикулез часто бывает множественным, выпячивания локализованы в различных органах. Также дивертикулы могут выступать компонентом врожденной триады Сента, сочетаясь с диафрагмальной грыжей и желчнокаменной болезнью.
- Приобретенные дивертикулы с возрастом формируются практически у 80% населения. Они могут быть тракционными (при спаечной болезни), ложными (при отсутствии мышечных волокон в стенке выпячивания), образовавшимися на фоне заболеваний и травм кишечника.
По локализации различают дивертикулы тонкого и толстого кишечника. По течению выделяют бессимптомные, клинически явные и осложненные дивертикулы.
Симптомы дивертикулов кишечника
Дивертикулы в большинстве случаев никак не проявляются длительное время, обнаруживаясь случайно при обследовании по поводу других заболеваний. Клинически явные формы чаще всего указывают на возможность развития осложнений. Появление симптоматики и осложнений при дивертикулезе связано с нарушением моторики кишечной стенки, застоем кишечного содержимого, как в кишке, так и в полости выпячивания, повышением внутрикишечного давления. Все эти факторы приводят к возникновению повышенного бактериального обсеменения (более 1 млн. клеток в мл), формированию каловых камней, истончению стенки кишечника в местах прохождения сосудов.
Клинически дивертикулы тонкого кишечника проявляются неопределенными болями в животе, хронической диареей. Выпячивания стенки толстого кишечника также способны вызывать боли в животе, больше в его левой половине, часто связанные с дефекацией и исчезающие после нее. Для заболевания характерна неустойчивость стула – запоры постоянно чередуются с диареей и периодами нормального стула. При осмотре каловые массы сформированы в виде шариков, окруженных слизью. Пациентов беспокоит повышенный метеоризм, обильное отхождение кишечных газов.
Осложнения
При длительном застое калового содержимого в дивертикулах наступают необратимые изменения кишечной стенки, активизируется кишечная флора и возникает дивертикулит – одно из самых частых осложнений данного заболевания. Хронический воспалительный процесс может существовать длительное время, вызывая частые рецидивирующие кровотечения, местный перитонит с формированием спаек, свищей, соединяющих полость кишечника с влагалищем, мочевым пузырем, кожей. При спаечной болезни иногда наблюдается кишечная непроходимость.
Выраженное воспаление в полости дивертикула может приводить к перфорации его стенки, выходу кишечного содержимого в брюшную полость с формированием межкишечного абсцесса, а в тяжелых случаях – разлитого перитонита. Перфорация дивертикула кишечника характеризуется клиникой «острого живота», которую очень часто путают с острым аппендицитом. Диагностическая ошибка обычно выявляется только во время операции, на которой находят дивертикулы кишечника.
Заподозрить наличие дивертикулов кишечника достаточно сложно, так как это заболевание не имеет специфической клинической картины. Чаще всего выпячивания обнаруживаются случайно, при поиске причины анемии, исключении опухолей кишечника. С целью уточнения диагноза проводятся:
- Анализы. При подозрении на дивертикулярную болезнь врач-гастроэнтеролог назначает ряд лабораторных исследований: общий анализ крови определяет воспалительные изменения и анемию, анализ кала на скрытую кровь помогает вовремя выявить кишечное кровотечение, а копрограмма и бактериологическое исследование кала диагностируют дисфункцию кишечника, нарушение пищеварения и повышенное бактериальное обсеменение.
- Рентгенодиагностика. Пациенты с данным заболеванием требуют проведения ирригографии, желательно с двойным контрастированием. На рентгеновском снимке будут видны выпячивания кишечной стенки, сообщающиеся с полостью кишечника. Следует помнить, что при наличии осложнений дивертикулов кишечника сначала необходимо сделать обзорную рентгенографию органов брюшной полости, убедиться в отсутствии признаков перфорации, и лишь затем назначать ирригографию.
- Кишечная эндоскопия. Использование эндоскопических методов диагностики (колоноскопия, ректороманоскопия) показано только после купирования признаков воспаления. Колоноскопия является незаменимым методом поиска источника кровотечения, однако может способствовать появлению осложнений заболевания. Преимуществом эндоскопических методик является возможность проведения биопсии, морфологического исследования биоптатов.
Для дифференциальной диагностики с другими заболеваниями может потребоваться проведение УЗИ, КТ, МСКТ органов брюшной полости. Дифференцировать дивертикулы кишечника следует с эктопической беременностью, гипохромной анемией, псевдомембранозным колитом, синдромом раздраженного кишечника, болезнью Крона, острым аппендицитом, целиакией, раком кишечника, ишемическим колитом.

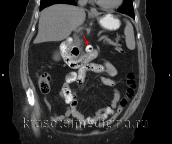
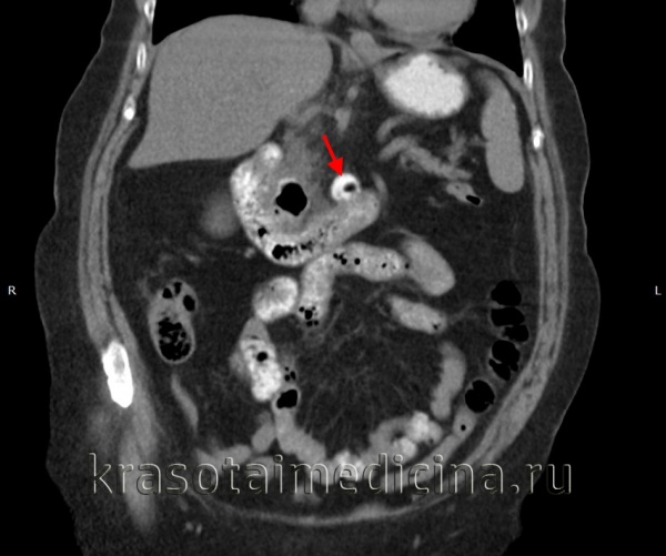
КТ ОБП. Дивертикул горизонтальной части 12-перстной кишки, заполненный частично контрастом, частично – газом.
Лечение дивертикулов кишечника
Лечение пациентов с неосложненной формой дивертикулеза проводится в отделении гастроэнтерологии, а при возникновении тяжелых осложнений – в хирургическом стационаре. Госпитализируют больных с острым или обострением хронического дивертикулита, интоксикацией, высокой лихорадкой, тяжелой сопутствующей патологией, невозможностью энтерального питания, а также в возрасте старше 85 лет. При наличии клиники острого живота проводят ургентную операцию.
Консервативное лечение
Если у пациента случайно выявлен бессимптомно протекающий дивертикул кишечника, назначения специального лечения не требуется. При наличии неосложненных дивертикулов назначается богатая клетчаткой диета, спазмолитики, прокинетики. При соблюдении всех рекомендаций по терапии заболевания обычно достигается стойкий клинический эффект. Если у пациента развился дивертикулит, рекомендуется использование кишечных антисептиков, антибиотиков, осмотических слабительных препаратов.
Для нормализации работы кишечника следует отказаться от очистительных клизм, бесконтрольного применения слабительных средств. Положительный эффект достигается и при введении в режим дня умеренных физических нагрузок – они помогают укрепить мышечный корсет туловища, нормализуют моторику кишечника. Для уменьшения давления в просвете кишечника назначается диета, богатая клетчаткой (кроме очень грубых волокон – ананасов, хурмы, репы, редиски). Количество клетчатки в рационе увеличивают до 32 г/л. Нужно исключить газообразующие продукты, бобовые, газированные напитки. Для достижения необходимого эффекта следует ежесуточно употреблять не менее двух литров воды.
Использование стимулирующих слабительных средств, обезболивающих на основе морфина при дивертикулах противопоказано, так как они провоцируют дальнейшее нарушение моторики кишечника, усугубляют течение болезни. Для улучшения пассажа пищевых масс по кишечнику назначают осмотические слабительные средства – они увеличивают объем каловых масс и ускоряют их продвижение по пищеварительному тракту. При диарее назначаются сорбенты и вяжущие средства, для купирования метеоризма – препараты симетикона.
Острый дивертикулит требует госпитализации пациента в хирургический стационар, назначения дезинтоксикационных и плазмозамещающих средств, антибактериальных препаратов. Лечение длится не менее двух-трех недель, после выписки из стационара поддерживающая терапия аналогична той, которая проводится при неосложненных дивертикулах.
Хирургическое лечение
Хирургическое лечение показано при развитии угрожающих жизни осложнений: перфорация, абсцедирование, кишечная непроходимость, профузные кровотечения, формирование свищей. Также плановая операция назначается при рецидивирующих кровотечениях и дивертикулитах. Обычно производится резекция части кишечника, пораженного дивертикулезом, с наложением анастомоза. В сложных ситуациях накладывается колостома для облегчения оттока каловых масс, а после стабилизации состояния проводится реконструктивная операция.
Прогноз при наличии дивертикулов кишечника обычно благоприятный, однако иногда это заболевание приводит к развитию угрожающих жизни осложнений. Дивертикулит возникает примерно у четверти больных. Эффективность его лечения при первом эпизоде наиболее высокая – до 70%, при третьем эпизоде эффективность терапии снижается до 6%. Профилактики врожденных дивертикулов кишечника не существует. Предупредить развитие приобретенных дивертикулов можно путем нормализации режима и рациона питания, употребления достаточного количества клетчатки и жидкости, использования умеренных физических нагрузок.
Дивертикулярная болезнь толстого кишечника ( Дивертикулез толстого кишечника , Дивертикулез толстой кишки , Дивертикулярная болезнь толстой кишки )
Дивертикулярная болезнь толстого кишечника - это заболевание, при котором образуются множественные выпячивания стенки толстой кишки, иногда наблюдается воспаление в области дивертикулов. Течение дивертикулярной болезни сопровождается спазмами живота, запорами, тошнотой, общей интоксикацией. Возможными осложнениями являются кровотечения, перитонит, кишечная непроходимость. Обследование включает проведение колоноскопии, ирригоскопии, рентгенографии пассажа бария. Тактика лечения зависит от выраженности симптоматики и может быть консервативной (диета, антибиотикотерапия, спазмолитики) либо хирургической (резекция участка кишки).
Дивертикулы толстой кишки представляют собой небольшие образования, по сути являющиеся растянутым наружу участком стенки толстого кишечника (карманом). Они возникают вследствие перерастяжения ослабленных участков стенки кишки при избыточном давлении в ней. Как правило, дивертикулез проявляется болью в животе (чаще всего в левой части). Дивертикулы кишечника довольно часто воспаляются, поскольку являются удобным местом размножения патогенных бактерий. При этом может отмечаться повышении температуры тела и симптомы общей интоксикации. Частота заболеваемости дивертикулярной болезнью может достигать 20% населения. Среди лиц пожилого возраста (60-80 лет) заболеваемость составляет до 40-50%. До сорока лет заболевание развивается редко, встречается равно одинаково как у мужчин, так и у женщин.
Формирование дивертикулов возможно в любом отделе пищеварительного тракта (к примеру, врожденное состояние – дивертикул Меккеля – располагается в терминальной части тонкого кишечника), но чаще всего дивертикулы образуются в толстом кишечнике (в особенности в сигмовидной кишке), что связано с особенностями анатомического строения стенки толстого кишечника. Осложнения дивертикулярной болезни могут угрожать жизни пациентов.
Наиболее значимый фактор развития дивертикулярной болезни толстого кишечника – диета, бедная растительной клетчаткой. В этой связи отмечается повышенная заболеваемость дивертикулезом в развитых странах, где большинство населения употребляет богатую клетчаткой пищу в значительно меньших количествах.
Клетчатка входит в состав овощей, фруктов и злаков. Она способствует размягчению стула и более легкому транзиту химуса по кишечнику. При недостатке клетчатки в пищевом рационе развивается склонность к затруднениям опорожнения кишечника, запорам. Частые запоры способствуют повышению давления в кишечнике. В местах, где имеется ослабление кишечной стенки в результате повышения внутрикишечного давления, возникают выпячивания. Со временем, формируются постоянные выпячивания кишечной стенки, которые могут стать очагом размножения бактериальной флоры.
В клинической проктологии дивертикулярную болезнь толстого кишечника систематизируют с учетом особенностей течения и подразделяют на бессимптомный дивертикулез, дивертикулез, протекающий с клиническими проявлениями и дивертикулез с осложнениями. Такая классификация позволяет осуществить адекватную оценку состояния пациента, выбрать правильную тактику лечения и оценить прогноз.
Симптомы дивертикулярной болезни
Чаще всего дивертикулез длительное время протекает бессимптомно, однако у некоторых больных могут отмечаться периодические боли в животе по типу спазмов. Зачастую выявляется склонность к запорам и увеличение живота. При развитии дивертикулита возникает боль в животе, чаще всего в левой его части, болезненность при пальпации, тошнота, рвота, запор. Нередко повышается температура тела, отмечается озноб, слабость, головная боль (симптомы общей интоксикации). Тяжесть течения и выраженности клинических симптомов зависит от степени поражения кишечника и имеющихся осложнений.

Дивертикулярная болезнь толстого кишечника опасна развитием осложнений: кровотечений из дивертикулов, перфораций кишечной стенки, абсцессов кишечника и перитонита, формированием свищей. Кроме того, дивертикулез способствует развитию кишечной непроходимости.
Кровотечение при дивертикулярной болезни возникает довольно редко, но может быть весьма обильным. Продолжительная скрытая кровоточивость ведет к развитию анемии. Обильное кровотечение может потребовать экстренного хирургического вмешательства.
Прободение стенки кишечника и выход содержимого в брюшную полость приводит к развитию перитонита, опасного осложнения, угрожающего жизни пациента. При перфорации кишечной стенки показано экстренное хирургическое лечение. Производится удаление пораженного участка кишечника и санация брюшной полости. Послеоперационное лечение включает курс антибиотикотерапии.
Воспаление дивертикула может способствовать развитию гнойного осложнения - абсцесса. Небольшие абсцессы возможно вылечить консервативно, применяя антибиотики широкого спектра действия. Если выявлен крупный абсцесс, либо антибиотикотерапия не дает необходимого результата, производят дренирования гнойного очага (в полость абсцесса через стенку живота вводят иглу и откачивают гнойное содержимое). В некоторых случаях необходимо произвести хирургическое вмешательство для вскрытия и санации абсцесса. Распространение гнойной инфекции на внутреннюю стенку брюшной полости способствует развитию перитонита.
В некоторых случаях в дивертикулах может формироваться свищ – канал, соединяющий кишечник с другими рядом расположенными органами. При дивертикулярной болезни толстого кишечника наиболее часто встречается свищ между толстой кишкой и тонким кишечником, мочевым пузырем, кожей живота. Через свищевой ход может распространяться инфекция из воспаленного дивертикула. Это осложнение лечится хирургически - производится удаление свища вместе с пораженным участком кишечника.
Инфекционные процессы в толстом кишечнике могут приводить к формированию рубцовых изменений стенки, сужению просвета и, как результат, кишечной непроходимости. Стойкая кишечная непроходимость с полным блокированием содержимого в кишечнике является показанием к хирургическому вмешательству.

Обследование пациента с подозрением на дивертикулярную болезнь толстого кишечника осуществляется врачом-проктологом, начинается со сбора жалоб, анамнеза и физикального осмотра. При этом, как правило, выявляются особенности диеты, склонность к запорам, при осмотре может отмечаться болезненность живота и его увеличение. Подтверждение диагноза производят с помощью инструментальных и лабораторных методов диагностики.
При исследовании крови могут отмечаться общие признаки инфекционного воспаления (лейкоцитоз, нейтрофилия, ускорение СОЭ). При имеющем место внутреннем кровотечении может отмечаться анемия. Признаки воспаления кишечника также могут отмечаться и в копрограмме. Лабораторное подтверждение имеющегося воспалительного процесса при дивертикулярной болезни толстого кишечника может говорить о развитии дивертикулита.
Основным диагностическим методом выявления дивертикулов в толстом кишечнике является колоноскопия. Кроме того, при колоноскопии возможно выявить источник внутреннего кровотечения и исключить другие заболевания толстого кишечника. Ирригоскопия с контрастным веществом позволяет выявить выпячивания кишечной стенки.
Лечение дивертикулярной болезни
При легком течении заболевания для облегчения клинических проявлений чаще всего достаточно соблюдения рекомендованной диеты, способствующей снижению давления в толстом кишечнике. Введение в рацион достаточного количества клетчатки обеспечивают облегчение прохождения кишечного содержимого по пищеварительному тракту. Однако, если мер по коррекции диеты недостаточно, необходимо назначение препаратов, способствующих устранению запоров (тримебутин) и обезболивающих спазмолитических средств при выраженной болезненности.
Развитие дивертикулита требует противовоспалительной и бактерицидной терапии. Для успешного лечения дивертикулита необходимо снятие нагрузки на толстый кишечник, чему способствуют меры по изменению рациона, а также назначается постельный режим. Своевременно назначенный курс антибиотикотерапии, как правило, подавляет развивающуюся инфекцию. Однако, в некоторых случаях консервативное лечение может быть безуспешным либо развитие осложнений требует немедленного хирургического вмешательства.
Абсолютными показаниями к операции являются: перфорация толстой кишки с выходом кишечного содержимого в брюшную полость, перитонит, прогрессирующий абсцесс, полная кишечная непроходимость, массивное кровотечение, высокая вероятность рака кишечника. Кроме того, показанием к оперативному вмешательству является неэффективность консервативного лечения, периодические небольшие внутренние кровотечения, выраженная анемия, свищи, частое рецидивирование дивертикулита. Как правило, производят резекцию пораженного участка кишечника с последующим восстановлением кишечника при помощи реконструктивной операции.
Поскольку основным этиологическим фактором развития дивертикулярной болезни толстого кишечника является недостаток клетчатки в пищевом рационе, в качестве профилактики этого заболевания рекомендуется регулярное употребление овощей, фруктов, злаковых культур – продуктов, богатых клетчаткой. В случае имеющего место дивертикулеза необходимо строго соблюдать врачебные назначения по диете и образу жизни. Ни в коем случае не стоит пытаться лечиться самостоятельно. Самолечение может привести к развитию опасных для жизни осложнений.
Чаще всего патология не доставляет серьезных проблем пациентам, придерживающимся диеты. Однако, при прогрессировании и тяжелом течении дивертикулез может способствовать развитию осложнений, которые без должной экстренной помощи могут привести к летальному исходу. Другой стороной опасности, которую представляет собой дивертикулярная болезнь, является пожилой возраст и, как правило, ослабленное общее состояние организма, способствующее частому рецидивированию дивертикулитов. Повторное обострение воспалительного процесса встречается у 33% пациентов. Порядка 20% больных после пролеченного кровотечения через некоторое время отмечают его повторение.
3. Дивертикулярная болезнь (дивертикулез) толстой кишки. Усовершенствованная медицинская технология. Методические рекомендации / Радченко В.Г., Ситкин С.И., Кяккенен А.И. - 2010
Дивертикулярная болезнь толстой кишки без прободения и абсцесса (K57.3)
Дивертикул кишки представляет собой мешковидное выпячивание кишечной стенки, которое сообщается с ее просветом.
Дивертикулярная болезнь - обобщающее понятие, применяемое к дивертикулезу и его осложнениям, включает в себя спектр клинических состояний, начиная от бессимптомного дивертикулеза и дивертикулеза с легкими симптомами (болевой синдром), до тяжелых острых и хронических дивертикулитов с осложнениями.
Примечания
В данную подрубрику включено: дивертикулярная болезнь толстой кишки без дополнительных уточнений.
Описано частое сочетание дивертикулярной болезни с другими заболеваниями желудочно-кишечного тракта (триада Сейнта):

Автоматизация клиники: быстро и недорого!
- Подключено 300 клиник из 4 стран
- 800 RUB / 4500 KZT / 27 BYN - 1 рабочее место в месяц

Автоматизация клиники: быстро и недорого!
- Подключено 300 клиник из 4 стран
- 1 место - 800 RUB / 4500 KZT / 27 BYN в месяц
Мне интересно! Свяжитесь со мной
13-15 октября, Алматы, "Атакент"
600 брендов, более 150 компаний-участников из 20 стран.
Новинки рынка стоматологии. Цены от производителей
Формы дивертикулярной болезни толстой кишки:
1. Бессимптомный дивертикулез - случайные находки при ирригоскопии или колоноскопии.
2. Неосложненная дивертикулярная болезнь - дивертикулез с клиническими проявлениями.
3. Дивертикулярная болезнь с осложнениями:
- дивертикулит;
- околокишечный инфильтрат;
- перфорация дивертикула;
- кишечный свищ;
- кишечное кровотечение;
- стриктура кишки.
С осложнениями дивертикулеза приходится сталкиваться, в основном, хирургам при оказании экстренной помощи.
Дивертикулиты толстой кишки, осложненные прободением, абсцессами и перитонитом рассматриваются в подрубрике "Дивертикулярная болезнь толстой кишки с прободением и абсцессом" - K57.2.
Прочие осложнения (стриктуры кишечника, свищи) рассматриваются в соответствующих подрубриках.
Этиология и патогенез
Этиология дивертикулярной болезни до конца не ясна. Дивертикулы - это конечное проявление болезни кишечной стенки, разволокнения циркулярного мышечного слоя, атрофии и расширения его в "слабых" местах.
Предпосылки к развитию дивертикулов в ободочной кишке:
1. Анатомические:
- формирование наружного мышечного слоя в виде трех полос (тений), ослабляющих сопротивление стенки кишки различным воздействием;
- особенности сосудистой архитектоники - наличие перфорантных артерий и вен мышечного каркаса, образующих места наименьшего сопротивления в стенки кишки;
- наличие гаустр, в которых создается повышенное внутрикишечное давление.
2. Дистрофические изменения в мышечной стенке ободочной кишки.
3. Дискоординация моторики, ведущая к избыточному внутрикишечному давлению.
4. Врожденная или приобретенная слабость соединительной ткани (нарушение синтеза коллагена).
5. Сосудистые (ишемические) изменения в стенке кишки.
6. Характер питания (недостаточное количество растительной клетчатки в пищевом рационе).
Дивертикулы формируются в местах наименьшего сопротивления кишечной стенки, то есть в зонах, где кровеносные сосуды (vasa recta) проникают через циркулярный мышечный слой по направлению к слизистой оболочке. "Перфорирующий" сосуд, как правило, расположен по брыжеечному краю обоих противобрыжеечных теней.
Дивертикулы ободочной кишки представляют собой так называемые "псевдодивертикулы", поскольку не имеют всех слоев, присущих стенке кишки. С течением времени дивертикулы медленно увеличиваются в размерах, мышечной слой над ними истончается, а затем исчезает.
Локализация дивертикулов в разных отделах ободочной кишки различна. Изолированно в сигмовидной кишке дивертикулы встречаются у 30% больных, в нисходящей ободочной кишке - у 13%, наиболее часто дивертикулы занимают оба этих отдела - 38% случаев.
В проксимальных отделах ободочной кишки дивертикулез встречается реже в поперечной ободочной кишке - у 5% больных, в восходящей - у 6%, в слепой - у 3% пациентов. Тотальное поражение ободочной кишки встречается в 5% случаев.
Присоединение инфекции на фоне формирования каловых камней в дивертикулярном кармане может стать причиной бактериального воспаления дивертикула (дивертикулит). Воспаление нескольких дивертикулов наблюдается редко.
Начальные признаки воспаления возникают в лимфоидной ткани купола дивертикула, слизистая оболочка проксимальнее шейки редко вовлекается в воспалительный процесс.
При прогрессировании процесса и возникновении прободения с развитием осложнений заболеванием кодируется как "Дивертикулярная болезнь толстой кишки с прободением и абсцессом" - K57.2 .
Читайте также:
- Ретенционная киста слизистого пространства глотки - лучевая диагностика
- Симптомы аневризмы шеи и ее лечение
- Ограничения минимального сегментарного пломбирования. Осложнения
- Пальпация восходящей и нисходящей кишки. Свойства пальпируемых отделов кишечника
- Диастолическая стресс-эхокардиография. Оценка гемодинамики при эхокардиографии
