Доброкачественные опухоли костей
Добавил пользователь Евгений Кузнецов Обновлено: 14.12.2025
Представлен обзор литературы, посвященный вопросам классификации, эпидемиологии, клинической картины, локализации, диагностики и лечения наиболее часто встречающихся доброкачественных опухолей скелета. Доброкачественные опухоли опорно-двигательной системы - важнейшее направление в клинической онкологии. Актуальность рассматриваемой проблемы обусловлена, прежде всего, весьма молодым и, как следствие, наиболее социально значимым контингентом больных, страдающих данной патологией. Возраст более 70% пациентов с опухолями костей и мягких тканей - до 30 лет, 30% из них - это дети до 15 лет. При этом в структуре онкологических заболеваний костные опухоли составляют 1-4%. Диагностика и выбор оптимальной лечебной тактики данных новообразований возможны лишь при условии мультидисциплинарного подхода.
Ключевые слова
Полный текст
В конце ХХ века оформилась самостоятельная наука - онкоортопедия, вобравшая в себя последние достижения травматологии, ортопедии, онкологии, общей и сосудистой хирургии, неврологии и нейрохирургии [1, 16]. Данное направление начало формироваться в 60-х годах XX века на стыке уже сложившихся хирургии, ортопедии и бурно развивающейся химиотерапии. Успехи химиотерапии позволили выполнять органосохраняющие операции больным с первичными и метастатическими опухолями костей. Весомый вклад в становление дисциплины внесли такие выдающиеся ученые, как В. Енекинг, Д. Юинг, Д. Коли, М. Кампаначи, В. Винкельман, Р. Коц и др. [2, 14]. Родоначальниками онкоортопедии в России стали академик М.В. Волков, профессор С.Т. Зацепин, профессор Н.Е. Махсон, академик Н.Н. Блохин, академик Н.Н. Трапезников, академик Ю.Н. Соловьев, профессор В.Д. Чаклин и др. [3, 32]. Термин «онкоортопедия» в России стал применяться благодаря академику РАН профессору М.Д. Алиеву - основоположнику внедрения инновационных высокотехнологичных методов лечения костной патологии, давших возможность значительно расширить объем ортопедической помощи онкологическим больным. Видимый прогресс в лечении опухолей костей стал возможным благодаря объединению таких специалистов, как ортопед, хирург, анестезиолог, морфолог, химиотерапевт, лучевой терапевт и радиолог. Главным условием оперативного лечения является соблюдение принципа онкологической радикальности при достижении высокого функционального результата [16]. Цель исследования: обобщение и структурирование материалов о клинике, диагностике и лечении наиболее часто встречающихся доброкачественных новообразований костей. Опухоль - это вид нерегулируемой клеточно-тканевой пролиферации. Опухоли опорно-двигательной системы - один из труднейших в диагностическом и лечебном аспектах направлений клинической онкологии. Костные опухоли значительно хуже изучены, чем иные новообразования. Данный факт объясняется трудностью диагностики, недостаточной онкологической настороженностью в рамках костной патологии [21, 33, 36]. К опухолям костей и мягких тканей относятся все неэпителиальные опухоли, исключение составляют новообразования из ретикулоэндотелиальной ткани. Возраст большинства больных (до 72%) с опухолями костей и мягких тканей - до 30 лет, при этом 30% приходится на детей до 15 лет. Наиболее часто костные опухоли поражают конечности. В среднем частота опухолей костей составляет 3 на 100000 населения в возрасте до 15 лет. В возрасте 30-50 лет этот показатель снижается до 0,2 на 100000 населения, затем к 60 годам снова возрастает. Как правило, первичными опухолями костей страдают люди молодого и среднего возраста. Прослеживается тенденция к преобладанию метастатических поражений костей в старших возрастных группах с их соотношением к первичным опухолям 10:1. В общей структуре опухолевых заболеваний костные новообразования составляют 1-4%. Доброкачественные опухоли наиболее часто поражают длинные трубчатые кости и кости таза [6, 10]. В настоящее время предпочтительным считается использование международной классификации первичных опухолей скелета, утвержденной в 1998 г. остановимся подробнее на классификации доброкачественных опухолей костей. Международная классификация первичных доброкачественных опухолей скелета [16] I. Костеобразующие опухоли: остеома, остеоид-остеома и остеокластома (доброкачественная остеобластокластома). II. Хрящеобразующие опухоли: хондрома, остеохондрома, хондробластома (эпифизарная хондробластома), хондромиксоидная фиброма. III. Гигантоклеточная опухоль (остеокластома). IV. Сосудистые опухоли: гемангиома, лимфангиома, гломусная опухоль (гломангиома). V. Другие соединительные опухоли: доброкачественная фиброзная гистиоцитома, липома. VI. Прочие опухоли: нейролемомма и нейрофиброма. VII. Опухолеподобные поражения: солитарная киста (простая или однокамерная), аневризмальная костная киста, юкста-артикулярная костная киста (внутрикостный ганглион), метафизарный фиброзный дефект (неоссифицирующая фиброма), эозинофильная гранулема (солитарная), «оссифирующий миозит», «бурая опухоль» гиперпаратиреоидизма, внутрикостная эпидермальная киста, гигантоклеточная (репаративная) гранулема кистей и стоп. Рассмотрим подробнее наиболее часто встречающиеся доброкачественные новообразования мягких тканей, костей и суставных хрящей. Остеомы - самые зрелые и дифференцированные среди доброкачественных опухолей костной ткани. Остеома составляет 9,5% от всех костных опухолей. Выделяют следующие виды остеом: 1) губчатая остеома; 2) остеома из губчатого или коркового вещества, с заполненными костным мозгом полостями; 3) остеома из компактного костного вещества. Для компактной остеомы характерно поражение плоских костей (кости черепа). Остальные виды, как правило, локализуются на длинных трубчатых костях, предпочтительно на бедренной и плечевой. Для остеомы свойствен одиночный характер [18, 29]. В основном остеомы отличаются благоприятным течением. Важным клиническим признаком наличия опухоли является боль, возникающая вследствие компрессии нервного ствола или сосудистого пучка. Как правило, клинические проявления зависят от роста и распространения опухоли на соседние структуры [8]. При физикальном обследовании остеома определяется в виде твердого несмещаемого образования, покрытого неизмененной кожей. Рентгенологически обнаруживается однородное полушарие, по структуре немного плотнее нормальной костной ткани [7]. При гистологическом исследовании отмечается нарушение костной архитектоники, сужение сосудистых каналов, практически полное отсутствие каналов остеонов [9, 41]. Лечение данных опухолей исключительно хирургическое. Показаниями к оперативному вмешательству могут быть как эстетические нарушения, так и клинические симптомы, вызываемые сдавлением соседствующих с опухолью анатомических структур. Производится хирургическая нивелировка пораженного участка [4]. Остеоид-остеома является истинно доброкачественной опухолью. Ее частота составляет 3-10% от всех случаев первичных доброкачественных новообразований скелета. В основном данный вид опухоли встречается у молодых людей в возрасте до 25 лет. После 40 лет остеоид-остеомы наблюдаются крайне редко. Чаще всего локализуются на диафизах трубчатых костей (бедренная, большеберцовая, плечевая кость), реже - в локтевой, пяточной и таранной костях. В костях черепа, грудины, ключице, фалангах пальцев остеоид-остеома не развивается [24, 35]. Случаев озлокачествления данного новообразования не наблюдается. Клинически опухоль проявляется ноющими болями, усиливающимися по мере роста и развития новообразования, также возможно нарушение походки, ограничение движений в суставах, наличие припухлости [38]. Рентгенологическая картина является патогномоничной для данного вида опухоли: на фоне асимметрично диффузно утолщенного кортикального слоя определяется полость до 1,0 см в диаметре с плотным ядром внутри - “нидус”. На современном этапе одним из самых информативных диагностических методов является компьютерная томография [7, 20]. Гистологическим признаком остеоид-остеомы является наличие очага костной резорбции с тканью, содержащей значительное количество остеобластов и остеокластов [9, 24, 35]. Оперативное вмешательство является единственным методом лечения данного вида опухоли. При этом оптимальной считается резекция кости с единовременным удалением очага опухоли и окружающей его зоны склероза. После радикального удаления остеоид-остеомы происходит полное выздоровление [11, 38]. Доброкачественная остеобластома («гигантская остеоид-остеома», остеогенная фиброма, доброкачественная остеобластокластома). Заболеваемость данной нозологической формой колеблется около 1 % от общей заболеваемости доброкачественными новообразованиями скелета. Как правило, поражает позвоночник (50-60 % случаев), преимущественно отростки позвонка с переходом на тело. Опухолевому процессу также подвергаются диафизы длинных трубчатых костей [15, 16]. Прогноз благоприятный. Клинически опухоль проявляется постоянными ноющими болями в проекции очага поражения. Кожный покров обычной окраски, не изменен. При локализации опухоли в позвоночнике возможно присоединение неврологической симптоматики на стороне поражения. При осмотре может быть выявлено локальное одностороннее напряжение паравертебральных мышц, асимметрия треугольников талии и лопаток, что может потребовать дифференциальной диагностики со сколиозом данного отдела позвоночника. При локализации доброкачественной остеобластомы в длинных трубчатых костях определяется атрофия, снижение мышечной силы на стороне поражения. При околосуставной локализации часто определяются признаки синовита, тугоподвижности в смежных сегментах [28]. На рентгенограммах визуализируется умеренное склерозирование кости с очагом остеолизиса неправильной формы до 20 мм в диаметре. При прогрессировании заболевания процесс склерозирования начинает преобладать. Периост остается интактным [8]. При гистологическом исследовании операционного материала определяются многочисленные мелкие взаимосвязанные остеоидные костные балки, частично оссифицированные и хорошо васкуляризированные. Отмечается присутствие остеобластов [41]. Лечение доброкачественной остеобластокластомы хирургическое. Оперативное вмешательство преследует цель краевой резекции пораженного участка [6]. Хондрома - это доброкачественная опухоль, характеризующаяся образованием хорошо дифференцированной хрящевой ткани, нередко с очагами обызвествления и окостенения. Это самая часто встречающаяся доброкачественная костная опухоль - до 38% от всех опухолей скелета. Возрастная группа - от 20 до 40 лет [12, 13]. Выделяют следующие виды: 1) энхондрома; 2) экхондрома; 3) периостальная или юкстокортикальная. Энхондрома встречается чаще других, располагается внутри костномозгового канала, не выходя за границы кортикального слоя кости. Экхондромы локализуются в наружном отделе кости, а периостальная хондрома плотно прилежит к надкостнице, располагаясь вне кости. Чаще других поражаются короткие трубчатые кости стопы и кисти [37]. Данная опухоль обладает потенциалом к озлокачествлению (до 32% наблюдений), трансформируясь в хондросаркому. Также существует риск возникновения патологического перелома при выраженной деструкции кости. Клиническое течение бессимптомное, часто определяется как случайная находка при рентгенографии после травмы [22]. На рентгенограммах визуализируется деформированная и «вздутая» кость, определяется нарушение толщины кортикального слоя и наличие негомогенного опухолевого очага [7, 40]. При гистологическом исследовании энхондромы определяются клетки гиалинового хряща дольчатого строения. Вокруг долек локализуется нормальный костный матрикс. Отмечаются некротические участки [9, 13]. Лечение хирургическое, прогноз благоприятный. Оперативное вмешательство преследует цель краевой резекции пораженного участка с пластикой дефекта ауто- или аллотрансплантатом [22, 37]. Остеохондрома (костно-хрящевой экзостоз, экзостоз) - опухолеподобное поражение кости, представляющее собой вырост костной ткани, покрытый хрящевой оболочкой. Чаще всего выявляется у лиц молодого возраста от 10 до 25 лет. Отмечена корреляция возникновения остеохондромы с воздействием ионизирующего излучения. Типичной локализацией являются метафизарные отделы длинных трубчатых костей, также встречаются в позвоночнике, костях таза и стоп. Исключение составляют кости лица [34]. Данная опухоль обладает потенциалом к озлокачествлению. Вероятность составляет 1-2 % случаев. Клиническое течение - бессимптомное, часто экзостоз определяется как случайная находка при рентгенографии. Болевой синдром в проекции образования проявляется лишь при формировании слизистой сумки, выстланной синовиальной оболочкой, просвет которой заполнен хрящевыми тельцами [16]. При рентгенографии визуализируется образование костной плотности чаще на «ножке», реже на широком основании [19]. При гистологическом исследовании определяется хрящевая «шапочка» с фиброзной тканью надкостницы переходящая в подлежащий неизмененный гиалиновый хрящ [9, 41]. Лечение остеохондромы хирургическое. Прогноз благоприятный. Оперативное вмешательство преследует цель краевой резекции пораженного участка [34]. Хондробластома (эпифизарная хондробластома, опухоль Кодмана) - доброкачественная опухоль, характеризующаяся эксцентричным остеолитическим поражением эпифизов длинных трубчатых костей. Частота встречаемости данного новообразования составляет около 1% среди всех доброкачественных новообразований скелета. Преимущественно данная опухоль диагностируется у людей второго-третьего десятилетия жизни [25, 26]. У 1 % случаев хондробластом выявлена тенденция к озлокачествлению и агрессивной остеолитической активности. Клинические проявления - умеренная боль, нарастающая после физической нагрузки прилежащего сустава. Может отмечаться некоторое ограничение объема движений, незначительная припухлость в проекции поражённой кости. Степень проявлений напрямую зависит от близости к суставу и степени деструкции костной ткани [16, 18]. При анализе рентгенограмм отмечается отграниченный зоной склероза негомогенный (мелкие обызвествления и трабекулярность) очаг остеодеструкции с участками краевого некроза, деформированный, истонченный кортикальный слой кости [11, 21]. При гистологическом исследовании определяются незрелые округлые хрящевые клетки со светлым крупным ядром, среди них встречаются гигантские остеокластоподобные клетки, в матриксе - элементы обызвествления [9, 25]. Лечение хирургическое - экскохлеация опухоли с ауто- или гомопластикой дефекта [5, 26]. Хондромиксоидная фиброма - это доброкачественная хрящеобразующая опухоль. Встречается относительно редко и составляет до 0,5% от всех случаев костных новообразований. Как правило, локализуется в метадиафизарных отделах длинных трубчатых костей, преимущественно в проксимальном отделе большеберцовой кости (60%) [23, 27]. Прогноз благоприятный. В 10-15 % встречается продолженный рост, который требует повторного вмешательства. Клинические проявления определяются близостью новообразования к близлежащему суставу. Распространены жалобы на боль, локальную отечность, ограничение объема движений. При осмотре иногда выявляется локальная мышечная гипотрофия [27]. Рентгенологически определяется однородный деструктивный очаг неправильной округлой формы с ячеистой структурой и фестончатыми краями остеосклероза [9, 23]. Метод лечения преимущественно хирургический и состоит в широком иссечении патологического очага и кюретаже костной полости [16]. Гигантоклеточная опухоль (остеокластома, остеобластокластома) - опухоль, происходящая из мезенхимальных клеток. Излюбленной локализацией новообразования являются метаэпифизарные зоны длинных трубчатых костей (до 75% случаев остеокластом), с преимущественным поражением проксимального отдела большеберцовой кости или дистального отдела бедренной кости [17]. Остеокластому подразделяют на доброкачественные формы (10-15%), первично-злокачественные (30-40%) и малигнизированные формы (вторично-злокачественные). Частота встречаемости колеблется от 5 до 11%. Пик заболеваемости приходится на третье десятилетие жизни. Женский пол поражается чаще [30]. Гигантоклеточная опухоль характеризуется длительным медленным ростом. Нарушение функции сустава определяется объемом и близостью опухоли к суставной щели. Болевой синдром прогрессирует с ростом новообразования [20, 31]. При рентгенологическом исследовании гигантоклеточной опухоли выявляется литический компонент, опухоль истончает и разрушает кортикальный слой. Очаг деструкции нечетко очерчен в эпифизе (эпиметафизе) с постепенным распространением на метадиафиз [7, 31]. Гистологическое строение опухоли имеет схожие черты с аневризматической костной кистой. Отмечается выраженная периостальная реакция, визуализируемая в виде обызвествленного ободка («яичной скорлупы»). Патогномоничным признаком является наличие большого количества диффузно расположенных гигантских клеток. Также характерной особенностью гигантоклеточных опухолей является большое количество митозов [9, 30]. Лечение предпочтительно проводить хирургическое. Оптимальным объемом вмешательства является резекция пораженного участка с максимальным сохранением конечности. При отсутствии возможности хирургического лечения гигантоклеточных опухолей используют лучевую терапию, которая способствует уменьшению опухоли в размере и склерозированию очага. Однако отмечается высокий риск рецидивирования гигантоклеточной опухоли после проведенной лучевой терапии - 60% [4, 5, 17]. Неоссифицирующая фиброма (метафизарный фиброзный дефект) - это не истинная опухоль, а кортикальный дефект кости, сформировавшийся в результате оставшегося участка ростковой зоны. В основном наблюдается у детей старшего возраста и подростков до 20 лет. Наиболее часто неоссифицирующая фиброма локализуется в метафизах костей нижних конечностей. В большинстве случаев активная симптоматика отсутствует, лишь изредка возможно возникновение ноющих болей в кости [10, 39]. На рентгенограммах отмечается краевой дефект участка кости с фестончатыми контурами, ограниченным замыкающей пластинкой. Лечение неоссифицирующей фибромы обычно не требуется. Возможно наступление спонтанного излечения за счет закрытия ростковых зон. Ортопедические вмешательства необходимы лишь в случае выраженного истончения кости или ее перелома [19, 39]. Заключение Доброкачественные опухоли мягких тканей, костей и суставных хрящей представляют собой обширную группу новообразований со специфической клинической, рентгенологической и гистологической картиной. Распознавание костных опухолей является весьма трудной задачей в онкоортопедии. Безусловно, в значительной степени облегчает данную задачу рентгенологический метод - базовый в дифференциальной диагностике опухолей с другой патологией, общедоступный в учреждениях здравоохранения. Для верификации диагноза также невозможно обойтись без гистологического исследования, на его основании выставляется окончательный диагноз. Основным методом лечения доброкачественных опухолей мягких тканей, костей и суставных хрящей по-прежнему является хирургический. Несмотря на это, регистрируются случаи послеоперационных рецидивов, также велик риск малигнизации некоторых видов новообразований. Все вышеперечисленное свидетельствует о том, что до конца нерешенными остаются вопросы о достоверной диагностике данных новообразований и оптимальной лечебной тактике при опухолевом процессе мягких тканей, костей и суставных хрящей.
Доброкачественные образования костей
Опухоли костей - относительно редко встречающаяся патология. Доброкачественные образования чаще встречаются у лиц молодого возраста, как правило локализуются в трубчатых костях, при этом поражение нижних конечностей обнаруживается в два раза чаще чем верхних.
Современная классификация доброкачественных опухолей костей:
1) Костеобразующие опухоли: остеома, остеоид-остеома, остеобластома
2) Хрящеобразующие опухоли: хондрома, хондробластома, остеохондрома
3) Гигантоклеточная опухоль
4) Сосудистые опухоли: гемангиома, лимфангиома
5) Другие соеденительнотканные опухоли: липома, фиброма
6) Прочие опухоли и опухолеподобные поражения: нейрофиброма, одонтома, солитарная костная киста, аневризмальная костная киста, неоссифицирующая фиброма, эозинофильная гранулема, фиброзная дисплазия.
Диагностика опухолевых образований костей затруднена из-за отсутствия явных ранних симптомов – болевой синдром не выражен или отсутствует; рост опухоли отсутствует или очень медленный, деформация кости без изменения окружающих мягких тканей.
Возможности различных лучевых методов диагностики заболеваний скелета в настоящее время значительно расширились. Однако на первом этапе всем пациентам необходимо проводить классическую рентгенографию в стандартных проекциях, в зависимости от области интереса, поскольку этот метод является базовым и самым доступным, и позволяет практически во всех случаях получить необходимую информацию, поставить правильный диагноз, не используя дорогостоящие и малодоступные методики визуализации, такие как КТ и МРТ.
Для доброкачественных опухолей костей характерны такие общие рентгенологические признаки: четкие контуры, ободок склероза, часто вздутие кости, отсутствие периостальной реакции, медленный рост, солитарный характер поражения.
Различают губчатую остеому, остеому, состоящую из коркового и губчатого вещества, и остеому из сплошного компактного вещества. Первые два вида наблюдаются на длинных трубчатых костях, компактные остеомы поражают плоские кости черепа.

Рентгенодиагностика спонгиозной и медуллярной остеомы:
- остеома всегда солитарна,
- форма шаровидная, шиповидная,
- опухоль сидит на кости на широкой правильной ножке,
- корковый слой при остеоме не нарушен.
- контуры гладкие, ровные,
- губчатая сеть кости и опухоли непрерывно переходит друг в друга.

Рентгенодиагностика компактной остеомы:
- округлая, шаровидная или яйцевидная форма,
- опухоль дает гомогенную бесструктурную тень.

Остеоид-остеома
- мужской пол поражается в 4 раза чаще,
- наблюдается преимущественно в возрасте 10-20 лет,
- локализация: кортикальный слой диафизов длинных трубчатых костей (б/берцовая и м/берцовая), в позвоночнике – в области дуг или остистых отростков,
- морфологически – отграниченное образование, «гнездо» располагающееся в компактной, или губчатой костной ткани и окруженное широкой зоной склеротически уплотненной кости,
- обызвествление остеоидной ткани более выражено в центре очага поражения – картина «яйца в гнезде»: очаг деструкции - «гнездо» -округлая, овальная форма, небольшая величина (поперечник 0,5-1 см.); зона склеротического уплотнения костной ткани – четко отграничивает «гнездо» опухоли, по периферии переходит в неизмененную структуру кости.

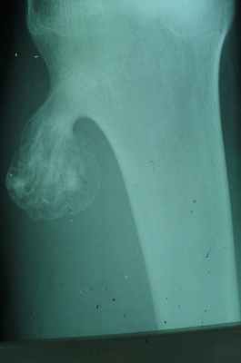
Остеохондрома
- кроме костной ткани содержит и хрящевую, покрывающую поверхность опухоли в виде шляпки,
- исходит из плечевой кости, из мета-эпифизов в области коленного сустава, в головке малоберцовой кости, грудной отдел позвоночника(исходит из дужек или отростков),
- опухоль сидит на широкой ножке и возвышается на кости в виде цветной капусты.
- поверхность ее бугристая, контуры резко очерчены,
- корковое вещество кости переходит на поверхность опухоли или выступает в середину нароста, рассыпаясь на отдельные костные прослойки, идущие в виде лучей к поверхности опухоли,
- рисунок ее не гомогенен, состоит из костных островков, веерообразных пучков и перегородок, лежащих среди светлого фона хряща,
- остеохондромы обладают высоким потенциалом озлокачествления.

- поражаются фаланги, пястные, плюсневые, реже запястные кости, отростки позвонков, передние концы верхних ребер, тазовый скелет, грудина и весьма редко – длинные трубчатые периферические кости,
- в малых цилиндрических костях хондромы гнездятся в диафизах и эпифизах, в больших трубчатых – только в метафизарных костях,
- как правило хрящевые опухоли множественны и чаще всего наблюдаются в числе одного или нескольких на фалангах рук и пястных костях,
- чаще процесс двусторонний, но не симметричный.

- опухоли шарообразны или овальны, расположены то центрально и вздувают кость изнутри, то эксцентрично и более поверхностно и связаны только с корковым веществом кости,
- опухоль состоит из прозрачного, хрящевого фона на котором видны островки, точечки из извести или костного вещества,
- наружные контуры гладкие и при доброкачественном течении не прерываются,
- на месте слияния опухолевых шаров костная перегородка иногда толстая, в других случаях истончена или отсутствует,
- при поражении эпифизарных хрящей приходится видеть торможение роста кости в длину или ее искривлении,
- нередко центрально расположенная хондрома осложняется патологическим переломом,
- корковый слой неравномерен и местами утолщен,
- при хондроме поверхность кости шероховата.

Гигантоклеточная опухоль
(остеобластокластома)
- состоит из клеток 2 типов- многоядерных гигантских и мелких одноядерных,
- поражаются люди в возрасте от 20 до 40 лет,
- локализация бедренная кость - дистальный конец, проксимальный конец б/берцовой кости, дистальный конец лучевой кости. Из плоских костей – тазовые кости и лопатка, очень редкая локализация в позвонках,
- одиночность и изолированность поражения,
- характерно расположение опухоли в эпиметафизраном отделе, который значительно вздут и деформирован, имеет вид крупнобугристого полушария, булавы,
- опухоль доходит до суставного хряща и обрывается,
- растет во всех направлениях, но главный рост происходит вдоль длинной оси кости в сторону с/3 диафиза кости,
- поперечник опухоли может увеличивать нормальный диаметр опухоли в 3-5 раз.

- ячеистый тип - опухоль состоит из отдельных камер, отделенных друг от друга полными и неполными перегородками (мыльные пузыри или неправильные соты),
- корковое вещество раздвигается, вздувается изнутри, истончается, надкостничных наслоений нет,
- при больших опухолях корковое вещество рассасывается и опухоль окружена со всех сторон тонкой скорлупой состоящая из стенок поверхностно расположенных ячеек.

- остеолитический тип – полное отсутствие ячеистого или трабекулярного рисунка, дефект кости вполне гомогенен,
- краевой блюдцеобразный дефект,
- корковый слой на пораженном месте рассасывается, а на границе с дефектом корка заострена, не подрыта и не имеет никаких периостальных наслоений,
- контуры дефекта резкие,
- патологические переломы в 12% случаев.
Это сосудистая опухоль, исходит из костного мозга тех костей, которые содержат красный костный мозг, может наблюдаться в любом возрасте и не зависит от пола, излюбленная локализация тела позвонков и плоские кости черепа, протекают бессимптомно.

При локализации гемангиомы в плоских костях свода черепа происходит:
- вздутие кости и разрушение коркового слоя, надкостница приподнимается опухолью,
- характерен структурный рисунок – из центра опухоли к ее поверхности лучеобразно или веерообразно рассыпаются тонкие и более грубые костные балки.

Рентгенологическая картина гемангиом в позвонках:
- вместо нормальной структуры позвонка выступают вертикальноидущие, а подчас и единичные, горизонтальные, поперечные, грубые колонки и трабекулы,
- видны отдельные овальные или округлые просветления, окаймленные плотной костной границей,
- тело позвонка имеет вид вздувшегося бочонка, часто в процесс вовлекаются дужки.

Фиброма
- вначале центральный очаг разрушения кости круглой формы, имеет бесструктурный гемогенный вид, окаймлен скорлупообразно истонченной костной коркой, без периостальной реакции,
- затем в центре опухоли появляется очаг обызвествления, связанный с периферией подчас радиарно расположенными линейными костными перемычками,
- возможны патологические переломы.

Адамантинома
- одонтогенное (зубное) эктодермальное происхождение, т.е. развивается из эмалевого органа и имеет типичное гистологическое строение,
- возникает в нижней челюсти, верхней челюсти, также в большеберцовой и локтевой костях,
- возникает в любом возрасте, но чаще у молодых людей (от 15 до 35 лет),
- очаг рассасывания костного вещества, растущий из глубины центральных участков нижней челюсти, корковый слой вздувается изнутри кнаружи и часто истончается,
- вначале дефект однородный, затем появляется крупная или мелкая ячеистость (за счет кистовидного перерождения опухолевой ткани).
Доброкачественные опухоли костей - патология, которой могут страдать и младенцы, и люди преклонного возраста. Большинство таких образований имеют благоприятный прогноз в плане качества жизни и малигнизации. Исключение здесь составляют случаи гигантоклеточной опухоли, которая способна к перерождению. Своевременное выявление и адекватное лечение позволяют избежать серьезного ухудшения здоровья пациента.
Опухоли костей и хрящей

Опухоли костей представляют собой особый вид клеточно-тканевой реакции, которая отличается беспредельным и нерегулируемым размножением клеток. Новообразования бывают доброкачественными и злокачественными. В первом случае речь идет об автономном экспансивном типе роста и четком ограничении от окружающей ткани. Для злокачественных опухолей характерно врастание в окружающие ткани и метастазирование.
Причины опухоли костей и хрящей

Причины появления новообразований в области хрящевых и костных структур до конца не известны. Вторичные опухоли являются следствием неправильного развития тканей в организме, и относятся к группе предопухолевых заболеваний. Также злокачественные опухоли костей могут развиться из доброкачественных, таких как фибромы, бластомы, хондромы и пр.
Предрасполагающие факторы развитию опухолей костей и хрящей:
- лучевые и химические канцерогены;
- воздействие внешней среды;
- гормональные скачки;
- оставшиеся эмбриональные очаги тканей.
На развитие опухоли оказывают влияние такие показатели, как реактивность организма, обменно-гормональный фон, состояние нервной системы и патологическое изменение тканей. Большое значение имеет наследственный аппарат клетки. При патологических процессах происходят системные нарушения в организме, что чревато перерождением нормальных клеток в опухолевые.
Второстепенной по значимости причиной развития рака костей и хрящей является вирусогенетическая теория. Было установлено, что для развития злокачественного процесса требуется сочетание средового и генетического фактора.
Симптоматика опухолей костей и хрящей
- Доброкачественное. Проявляются неярко болевым синдромом, припухлостью и деформацией, ограничением подвижности сустава и/или патологическим переломом (нарушением целостности кости из-за снижения ее прочности на фоне болезни).
- Злокачественное. Отличаются богатой клинической симптоматикой, проявляясь потерей аппетита и слабостью, повышением температуры, анемией и истощением, сильными болями и бессонницей. Также возможны нарушения подвижности суставных структур, патологические переломы, расширением венозной сети.
Постановка диагноза при опухолях хряща и кости
Особую диагностическую ценность имеют следующие инструментальные методы исследования:
- Рентгенография (в двух проекциях). Назначается для дифференциальной диагностики злокачественных и доброкачественных новообразований.
- Радиоизотопное исследование. Направлено на определение способности костных структур поглощать определенные вещества. Проводится с помощью
- радиоактивного вещества, которое вводится перорально, внутривенно или
- ингаляторно. Информация регистрируется гамма-камерой, которая располагается над определенной зоной.
- МРТ и КТ. Позволяют определить область локализации, вид, размеры и контуры опухоли.
- ПЭТ. Исследование необходимо для получения трехмерного изображения. Проводится с использованием радиофармпрепарата. Исследуемый
- участок сканируется ПЕТ-сканером, который отслеживает радиоактивные индикаторы. Области повышенной активности имеют вид ярких пятен.
- Сонография (ультразвуковое исследование). Используется для диагностики на предмет метастазирования. Процедура подразумевает перемещение ультразвукового пучка по поверхности тела пациента для регистрации сигналов, с помощью которых происходит формирование изображения.
Назначаются лабораторные методы диагностики опухолей костей, необходимые для подтверждения предполагаемого диагноза. В случае доброкачественных новообразований никаких изменений со стороны показателей крови не отмечается. При раке костей и хрящей наблюдается лейкоцитоз, ускорение СОЭ (скорости оседания эритроцитов), повышение уровня сиаловой кислоты и щелочной фосфатазы.
Лечение рака костей и хрящей в «Медскан»
В медицинских центрах Медскан к лечению опухолей костей подходят комплексно. План терапии разрабатывается врачебным консилиумом. Тактика лечения подбирается индивидуально и зависит от стадии, вида и степени прогрессирования болезни.
При низкосортных опухолях возникает необходимость в проведении хирургического вмешательства. Чаще всего специалисты назначают операцию вкупе с лучевой и химиотерапией.
Методы удаления опухоли кости в онкологии:
- сохранные (краевая и сегментарная резекция, экскохлеация);
- разрушительные (экзартикуляция, ампутация).
Дефекты костных структур восстанавливаются с помощью эндопротезов или пластика. Чтобы поддержать структурную прочность костей, осуществляется их заполнение полиметилметакрилатом или костными трансплантатами.

«Частота злокачественных опухолей костей составляет в среднем 3 на 100 тыс. населения. Первичные новообразования чаще всего развиваются у людей среднего и молодого возраста.
Доброкачественные новообразования встречаются реже в 2-3 раза. Наиболее частая область локализации – кости таза и длинные костные структуры. Уровень смертности 1% от общих показателей смертности.
Существуют разные классификации образований, большая часть из которых основана на гистогенетическом принципе. Периодически выделяют новые формы болезни.
Доброкачественные опухоли костей и костные кисты

К доброкачественным опухолям костей относятся доброкачественные гигантоклеточные опухоли кости Доброкачественная гигантоклеточная опухоль кости К доброкачественным опухолям костей относятся доброкачественные гигантоклеточные опухоли кости, хондробластомы, хондромиксоидные фибромы, энхондромы, неокостенивающие фибромы, остеобластомы. Прочитайте дополнительные сведения , хондромиксоидные фибромы Хондромиксоидная фиброма К доброкачественным опухолям костей относятся доброкачественные гигантоклеточные опухоли кости, хондробластомы, хондромиксоидные фибромы, энхондромы, неокостенивающие фибромы, остеобластомы. Прочитайте дополнительные сведения , неокостенивающие фибромы Неоссифицирующая фиброма (фиброзный кортикальный дефект, фиброксантома) К доброкачественным опухолям костей относятся доброкачественные гигантоклеточные опухоли кости, хондробластомы, хондромиксоидные фибромы, энхондромы, неокостенивающие фибромы, остеобластомы. Прочитайте дополнительные сведения , остеохондромы Остеохондрома К доброкачественным опухолям костей относятся доброкачественные гигантоклеточные опухоли кости, хондробластомы, хондромиксоидные фибромы, энхондромы, неокостенивающие фибромы, остеобластомы. Прочитайте дополнительные сведения .
К числу доброкачественных кист относятся аневризматические кисты кости Аневризматическая костная киста К доброкачественным опухолям костей относятся доброкачественные гигантоклеточные опухоли кости, хондробластомы, хондромиксоидные фибромы, энхондромы, неокостенивающие фибромы, остеобластомы. Прочитайте дополнительные сведения Также кости может поражать фиброзная дисплазия Фиброзная дисплазия К доброкачественным опухолям костей относятся доброкачественные гигантоклеточные опухоли кости, хондробластомы, хондромиксоидные фибромы, энхондромы, неокостенивающие фибромы, остеобластомы. Прочитайте дополнительные сведенияАневризматическая костная киста
Аневризматическая костная киста – это увеличивающееся идиопатическое образование, возникающие обычно в возрасте до 25 лет. Это кистозное поражение обычно возникает в метафизах длинных трубчатых костей, но и почти все другие кости могут быть затронуты. Она, как правило, растет медленно. Периостальная новая костная оболочка формируется вокруг экспансивного поражения и часто шире, чем исходная кость. Характерны боль и локальная припухлость. Прежде чем будет установлен диагноз, проходит от нескольких недель до года.
Характерна рентгенологическая картина: область просветления обычно четко очерчена и расположена эксцентрично; надкостница выпячивается ("мыльные пузыри"), выдаваясь в окружающие мягкие ткани, а может быть окружена новообразованной костной тканью. МРТ обычно показывает уровень жидкости. При визуализации некоторые аневризматические костные кистовидные поражения могут выглядеть более угрожающе, напоминая по характеристикам остеосаркому, поэтому могут возникнуть подозрения на телеангиэктатическую остеосаркому Остеосаркома (остеогенная саркома) Первичные опухоли костей встречаются значительно реже, чем метастатические опухоли костей, особенно у взрослых. К первичным опухолям костей относятся множественная миелома, остеосаркома, адамантинома. Прочитайте дополнительные сведения , расположенной на самом конце кости.
При аневризматических костных кистах, подтвержденных биопсией, могут быть инъецированы доксициклин, альбумин и воздух в виде инъекционной пены. Может потребоваться более одной или двух инъекций. Были использованы другие склерозирующие препараты на спиртовой основе. Наиболее успешным методом лечения является хирургическое удаление всего пораженного участка; после неполного удаления иногда происходит регрессия. Следует по возможности избегать лучевой терапии, поскольку иногда она связана с развитием сарком. Лучевая терапия может быть методом выбора при локализации кисты в позвоночнике, когда она сдавливает спинной мозг, а ее хирургическое удаление оказывается невозможным.
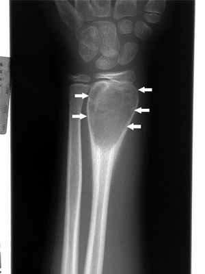
Доброкачественная гигантоклеточная опухоль кости
Доброкачественные гигантоклеточные опухоли кости обычно возникают у лиц в возрасте от 20 до 30 лет и располагаются в эпифизах и дистальной эпифизарно-метафизарной области. Эти опухоли считаются локально агрессивными. Они продолжают разрастаться, разрушая кость, могут в конечном итоге разрушить остальную часть кости и распространиться на мягкие ткани. Они могут вызывать боль. Эти опухоли печально известны своей склонностью к рецидивам. В редких случаях гигантоклеточная опухоль кости может метастазировать в легкое, даже если она остается гистологически доброкачественной.
Доброкачественные гигантоклеточные опухоли кости при визуализации проявляются как экспансивное литическое поражение. При визуальных исследованиях обнаруживается склеротический ободок –граница между опухолью и нормальным губчатым веществом кости. Необходимо выполнение биопсии. Поскольку гигантоклеточная опухоль кости может метастазировать в легкие, на начальной стадии проводится КТ грудной клетки.
В большинстве случаев доброкачественные гигантоклеточные опухоли кости удаляют при помощи радикального кюретажа с последующим заполнением образовавшейся полости метилметакрилатом или костным трансплантатом. Для уменьшения частоты рецидивов хирурги часто используют дополнительную обработку: например, тепло (которое выделяется при затвердении полиметилметакрилата) или аргоновые лучи, или химическую обработку опухоли фенолом, либо замораживание жидким азотом (криотерапия). Если опухоль очень велика и вызывает деструкцию сустава, может потребоваться полное ее удаление с реконструкцией сустава. Для лечения крупных, потенциально неоперабельных доброкачественных гигантоклеточных опухолей кости может быть использован деносумаб (моноклональные антитела) – ингибитор лиганда рецептора-активатора ядерного фактора каппа-В (RANKL), (см. изображение Гигантоклеточная опухоль [КТ]).
Хондробластома
Хондробластома – редкая опухоль, которая чаще всего развивается у лиц в возрасте от 10 до 20 лет. Возникая в эпифизе, она может расти и разрушать кость и сустав.
При использовании методов визуализации выявляют кисты со склеротическим ободком, содержащие кальцинаты. МРТ позволяет обнаружить значительный отек вокруг зоны поражения.
Опухоль должна быть удалена хирургическим путем при помощи выскабливания, а на полости следует провести костную пластику. Частота местных рецидивов составляет от 10 до 20%, и рецидивирующие повреждения часто устраняются повторным выскабливанием кости и костной пластикой.
Хондромиксоидная фиброма
Хондромиксоидная фиброма встречается очень редко и обычно в возрасте до 30 лет.
Рентгенологическая картина при хондромиксоидной фиброме типична: опухоль располагается эксцентрично в концевых участках длинных костей, для нее характерны четко отграниченные литические изменения. Проксимальный отдел большеберцовой кости и крыло подвздошной кости являются типичными локализациями.
После проведения биопсии лечение хондромиксоидной фибромы заключается в хирургическом иссечении или выскабливании, часто с использованием адъювантов (например, фенола, жидкого азота, аргоновой коагуляции) и костной пластике.
Энхондрома
Энхондромы могут встречаться в любом возрасте, но чаще выявляются у людей от 10 до 40 лет. Они располагаются обычно в метафизарно-диафизарной области внутри костно-мозгового канала. Эти опухоли обычно бессимптомны, но могут расти и становиться болезненными. Они часто выявляются при рентгенологических исследованиях, выполненных по другому поводу. Периостальные хондромы напоминают хрящевые повреждения, возникающие на поверхности костей.
На рентгенограмме опухоль может выглядеть как дольчатая кальцифицированная область в кости; некоторые изменения менее кальцифицированы, с областями пунктирной кальцификации на рентгенограммах и КТ. При наличии прилегания энхондром к коре головного мозга обнаруживаются маленькие эндостальные вдавления. Почти во всех энхондромах при сцинтиграфии выявляется повышенное накопление изотопа, что может вызывать ложное подозрение на злокачественное новообразование. Результаты рентгенографии, МРТ и КТ могут помочь установить диагноз. Если они не дают достаточной информации и особенно если опухоль (а не соседний сустав) становится болезненной, диагноз энхондромы должен быть подтвержден с помощью открытой биопсии. Чтобы отличить костную боль от суставной, в сустав может быть введен длительно действующий анестетик (например, бупивакаин); если боль сохраняется, она может быть обусловлена костными изменениями.
Бессимптомная энхондрома не нуждается в проведении биопсии, удалении или другом лечении (как правило, кюретаже); в любом случае последующие визуализирующие методы исследования показаны для исключения редкого прогрессирования в хондросаркому Хондросаркома Первичные опухоли костей встречаются значительно реже, чем метастатические опухоли костей, особенно у взрослых. К первичным опухолям костей относятся множественная миелома, остеосаркома, адамантинома. Прочитайте дополнительные сведенияУ больных с множественными энхондромами (болезнь Оллиера) и особенно с множественным энхондроматозом с мягкотканными гемангиомами (синдром Маффуччи) намного выше риск развития хондросаркомы.
Фиброзная дисплазия
Фиброзная дисплазия представляет собой аномалию развития данной ткани в детском возрасте. Это ослабляет кости. Фиброзная дисплазия может возникать в одной или нескольких костях. Возможны множественные фиброзные дисплазии, кожная пигментация и эндокринные аномалии (синдром Олбрайта или синдром Мак-Кьюна-Олбрайта). Развитие костных изменений обычно прекращается в период полового созревания. Они редко подвергаются злокачественному перерождению.
На рентгенограммах изменения костей выглядят как кистозные образования, они могут быть обширными и приводить к деформации кости. На снимках поражения имеют классический вид матового стекла. Поражения проксимального отдела бедренной кости, из-за того, что кость ослаблена, подвергаются пластической деформации, в результате чего на рентгенограмме появляется деформация, называемая «пастушьим посохом».
Бисфосфонаты могут облегчить боль. При прогрессирующей деформации, переломах, не консолидирующихся после иммобилизации, или некупируемой боли может потребоваться оперативное вмешательство.
Мелореостоз
Мелореостоз - редкое заболевание роста кортикальной кости. Это мезенхимальная дисплазия коры, которая может быть связана со случайной мутацией гена MAP2K1. Процесс начинается в детстве с утолщения коркового слоя костей как на наружной поверхности (периостальной), так и на внутренней (эндостальной). Процесс протекает в корковом слое очень медленно. Мелореостоз обычно поражает только одну кость (монооссальный), но может поражать и другие кости (полиоссальный) той же конечности (соматическая локализация). Наиболее распространённым местом проявления заболевания является большеберцовая кость. Пациенты часто жалуются на дискомфорт, а рентгенографические снимки показывают утолщение компактного вещества пораженной кости. Результаты рентгенограммы могут свидетельствовать о травматическом формировании новой кости, стрессовом переломе или даже остеосаркоме. Тем не менее, плотное кортикальное утолщение имеет характерный вид «капающего свечного воска», и стабильность при серийной рентгенографии достаточна для постановки диагноза без биопсии. Дискомфорт лечат с помощью анальгетиков или противовоспалительных средств, через некоторое время проводят серийную рентгенографию. Попытки хирургического удаления или резекции единым блоком при тяжелых болезненных очагах повреждения обычно не эффективны, а в очень редких случаях необходима ампутация.
Неоссифицирующая фиброма (фиброзный кортикальный дефект, фиброксантома)
Неоссифицирующая фиброма представляет собой доброкачественное фиброзное поражение кости, которое на рентгенограмме выглядит как четко очерченное светлое кортикальное поражение. Очень маленькую неоссифицирующую фиброму обозначают как фиброзный кортикальный дефект. Эти изменения представляют собой дефекты развития, в которых часть кости, подвергающаяся в норме оссификации, заполняется фиброзной тканью. Обычно они возникают в области метафизов, особенно часто в дистальном отделе бедра, в дистальном и проксимальном отделах большеберцовой кости. Они могут прогрессивно увеличиваться и становиться мультиочаговыми. Неоссифицирующие фибромы часто встречаются у детей. Большинство поражений в конечном итоге оссифицируются и подвергаются ремоделированию, что в большинстве случаев приводит к образованию плотных склеротических участков. Тем не менее, некоторые дефекты увеличиваются.
Небольшие неоссифицирующие фибромы протекают бессимптомно. Однако, при вовлечении около 50% диаметра кости появляются боли и увеличивается риск патологических переломов.
Неоссифицирующие фибромы обычно выявляют случайно при инструментальном исследовании (например, после травмы). Зачастую они выглядят как одиночные продолговатые зоны просветления менее 2 см в диаметре, с четким склеротическим ободком в кортикальном слое. Они также могут быть многоочаговыми.
Маленькие неоссифицирующие фибромы не требуют лечения, но больной должен находиться под наблюдением. Дефекты, которые вызывают боль и составляют 50% от диаметра кости, являются показанием к удалению и трансплантации кости, что позволяет снизить риск патологического перелома.
Остеоидная остеома
Остеоидостеома чаще всего встречается в молодом возрасте (обычно от 10 до 35 лет) в длинных костях, но может возникать в любой кости скелета. Характерны боли (обычно усиливающиеся по ночам, отражающие ночное усиление воспалительных изменений, опосредованных простагландинами). Боли купируются при приеме слабых анальгетиков (в частности, аспирина и других нестероидных противовоспалительных препаратов (НПВП), подавляющих выработку простагландинов. У растущих детей воспалительные изменения и ассоциированная гиперемия, локализующиеся вблизи открытой зоны роста, могут индуцировать избыточный рост и несоответствие длины конечностей. Во время осмотра можно наблюдать атрофию региональных мышц, поскольку боль обусловливает снижение физической активности.
При использовании методов визуализации выявляют типичные изменения: небольшая зона просветления, окруженная широкой склеротической каймой. При подозрении на наличие опухоли следует выполнить сцинтиграфию всего тела с технецием-99m, при которой остеоидостеома характеризуется повышенным накоплением изотопа, несмотря на то, что многие другие костные поражения проявляются также. Выполняют также КТ или МРТ, которые являются наиболее информативными диагностическими методами. Обычная пленка или тонкосрезный КТ-скан позволяют увидеть классический симптом "бычьего глаза" в месте расположения истинного очага опухоли, окруженного зоной реактивного костеобразования.
Абляция очага в пределах небольшой зоны просветления с использованием чрескожной радиочастотной энергии в большинстве случаев дает благоприятные результаты. В большинстве случаев лечением остеоидостеомы занимается специалист радиолог с использованием чрескожной техники и анестезии. Реже эти опухоли удаляют хирургическим путем. Хирургическое удаление может быть предпочтительным, если остеоидостеома расположена вблизи нерва или кожи (например, в области позвоночника, кистей, стоп), поскольку тепло, выделяемое при радиочастотной аблации, может вызвать повреждение.
Лечение доброкачественных опухолей костей

Прежде всего, нужно быть точно уверенным, что данная опухоль – доброкачественная. Диагноз должен ставить высококвалифицированный специалист. Часто для точного диагноза требуется пункционная или даже операционная биопсии. Ряд доброкачественных опухолей костей и суставов коварны. И зачастую перерождаются в злокачественные. Даже самая что ни на есть доброкачественная опухоль иногда приводит к перелому кости. А это уже серьёзная проблема.
Вот краткий обзор опухолей, с которыми чаще всего приходится сталкиваться нашим пациентам:
Остеохондромы (часто эту опухоль называю костно-хрящевой экзостоз) – наиболее распространенные доброкачественные костные опухоли с возможной локализацией в любой кости, но чаще – они находятся вблизи крупных суставов.
Опасности: озлокачествление (трансформация в хондросаркому - от 1% до 10% при наличии множественных остеохондром); переломы костей (редко).
Энхондромы могут встречаться в любом возрасте, но чаще выявляются у людей от 10 до 40 лет. Как правило, они являются более-менее случайной находкой при рентгенологическом исследовании. Располагаются внутри костномозгового канала вблизи крупного сустава и выглядят, как очаг кальцификации. При сцинтиграфии эта опухоль накапливает изотоп.
Опасность: трансформация в злокачественную хондросаркому. Даже при бессимптомном течении требует наблюдения.
Хондробластома – опухоль, которая чаще развивается у молодых пациентов. Возникая вблизи крупного, как правило, сустава, может разрушать его. МРТ позволяет обнаружить характерные изменения за пределами очага.
Опасности: разрушение суставных поверхностей, переломы; рецидивирующее течение (до 20% рецидивов после удаления и костной пластики).
Остеоидостеома часто встречается у молодых пациентов и даже у детей, как правило, в длинных костях. Одна из немногих доброкачественных опухолей, что характеризуется сильными ночными болями. У детей может наблюдаться покраснение кожи и атрофия мышц конечности. Поэтому эту опухоль не всегда легко отличить от остеомиелита или даже злокачественной опухоли. Необходимо выполнить компьютерную томографию, а часто и сцинтиграфию с 99mТе. Лечение – хирургическое.
- Неоссифицирующая фиброма (фиброзный кортикальный дефект)
Неоссифицирующая фиброма (фиброзный кортикальный дефект, фиброксантома) представляет собой доброкачественный фиброзный дефект кости, который на рентгенограмме выглядит как четко очерченная зона повышенной прозрачности. Очень маленькую неоссифицирующую фиброму обозначают как фиброзный кортикальный дефект. Эти изменения представляют собой дефекты развития, в которых часть кости, подвергающаяся в норме оссификации, заполняется фиброзной тканью. Обычно они возникают в области метафизов, особенно часто в дистальном отделе бедра, в дистальном и проксимальном отделах большеберцовой кости. Неоссифицирующие фибромы часто встречаются у детей. В большинстве случаев изменения в итоге оссифицируются и подвергаются ремоделированию, часто с формированием плотных склеротических зон. Тем не менее, некоторые дефекты увеличиваются. Часто являются случайными находками при рентгенологическом исследовании.
Опасность: патологический перелом при прогрессирующем росте. В этом случае показано хирургическое лечение.
- Доброкачественная гигантоклеточная опухоль кости
Доброкачественные гигантоклеточные опухоли кости обычно возникают у лиц в возрасте от 20 до 30 лет и располагаются вблизи крупных суставов. Лечение в данном случае – хирургическое. Это удаление опухоли с пластикой образовавшегося дефекта. Однако, при больших разрушениях может потребоваться «поддерживающий» остеосинтез и даже эндопротезирование.
Опасности: разрушение кости, сустава; патологические переломы; прорастание в мягкие ткани; частые рецидивы после хирургического лечения.
Читайте также:
