ЭхоКГ анатомия митрального клапана
Добавил пользователь Владимир З. Обновлено: 22.11.2025
Трансторакальная ЭхоКГ - представляет собой метод визуализации сердца через грудную клетку с помощью ультразвукового оборудования.
Метод позволяет:
• измерить размеры полостей сердца;
• измерить толщину стенок желудочков;
• оценить состояние клапанного аппарата;
• оценить глобальную (общую) и локальную сократительную способность миокарда желудочков при ишемической болезни и воспалительных заболеваний миокарда;
• оценить состояние перикарда;
• оценить состояние крупных сосудов;
• выявить объёмные образования сердца;
• выявить врожденные пороки сердца;
• выявить вторичные изменения сердца при различных состояниях и болезнях.
Абсолютных противопоказаний нет.
Ультразвуковое исследование сердца (эхокардиография – ЭхоКГ) является комплексным исследованием, которое включает взаимодополняющие методы:
1. Двухмерная эхокардиография - изображение сердца по длинной или короткой оси в реальном времени. Двухмерная эхокардиография (В-режим) позволяет в реальном времени оценить размеры полостей сердца, толщину стенок желудочков, состояние клапанного аппарата, подклапанных структур, глобальную и локальную сократимость желудочков, наличие тромбоза полостей и т. д.
2. М-режим - графическое изображение движения стенок сердца и створок клапанов во времени. М-режим позволил впервые в реальном времени оценить размеры сердца и систолическую функцию желудочков. В настоящее время применяется как вспомогательный режим при проведении эхокардиографического исследования преимущественно для измерений.
3. Допплер-эхокардиография, включая импульсный, непрерывно-волновой, цветовой, цветовой М-режим, энергетический, тканевой цветовой, тканевой импульсный, тканевой С-режим и т. д., - метод, позволяющий неинвазивно оценить параметры центральной гемодинамики. Активное применение методики в медицине можно отнести к началу 80-х годов. Проведение допплеровского исследования подразумевает высокий технический навык в проведении двухмерного исследования, знание топографической анатомии и гемодинамики сердца.
4. Чреспищеводная эхокардиография (моно-, би-, и мультиплановая). Исследование сердца через пищевод с использованием специальных датчиков. Информативность метода очень высокая. Противопоказанием служит наличие стриктуры пищевода.
5. Стресс-эхокардиография (с использованием физической нагрузки, чреспищеводной электростимуляции или медикаментозной нагрузки). Широко применяется у больных с ишемической болезнью сердца.
6. Трехмерное и четырехмерное моделирование сердца - компьютерный анализ изображения и построение объемного изображения камер сердца, створок клапанов, кровотока и т. д.
7. Внутрисосудистый ультразвук - исследование коронарных артерий с использованием специального внутрисосудистого датчика малого диаметра. Инвазивный ультразвуковой метод. Используется параллельно с коронарографией.
8. Контрастная эхокардиография - применяется для контрастирования правых камер сердца при подозрении на дефект, или левых камер сердца для исследования перфузии миокарда. Информативность метода контрастирования левых камер сердца сопоставима со сцинтиграфией миокарда. Положительным фактором является отсутствие лучевой нагрузки на больного. Отрицательными факторами являются инвазивный характер метода и высокая цена препарата (левовист, альбунекс и т.д.).
Cкрининговое исследование сердца можно провести на любом ультразвуковом приборе, при наличии соответствующего кардиологического датчика и В- и М- режимов. При этом можно использовать недорогие ультразвуковые сканеры. Уровень диагностики и процент ошибки в этом случае во многом зависят от квалификации специалиста.
Современное эхокардиографическое исследование должно включать, помимо В- и М- режимов, цветовой допплер, импульсно-волновой и непрерывно-волновой допплер. При наличии патологии, только непрерывноволновой допплер позволит измерить высокоскоростные патологические потоки, провести все необходимые расчеты и измерения, оценить гемодинамику.
Объем получаемой информации зависит от возможности датчика. Внутрисосудистые датчики применяются параллельно с ангиографическим исследованием, используются кардиохирургами. Чреспищеводные датчики могут быть моноплановыми, биплановыми и мультиплановыми.
Современные технологии (тканевой допплер, контрасты) позволяют во много раз повысить информативность исследования, особенно, у больных с патологией миокарда.
С целью оценки размеров и кинетики сердца проводят стандартные измерения диаметров камер, магистральных сосудов, толщины стенок сердца, количественные расчёты сократительной и насосной функции миокарда, а также показатели внутрисердечной гемодинамики.
Нормальная анатомия сердца: строение камер сердца, клапанного аппарата сердца и магистральных сосудов, кровоснабжение сердца.
Сердце – полый мышечный орган, расположенный в грудной клетке. Положение сердца в грудной клетке может быть различным и зависит от конституции человека. В сердце различают основание и верхушку. В основание сердца входят предсердия и магистральные сосуды. Верхушка расположена свободно и как бы вдавлена в перикард. Сердце состоит из двух отделов: левого – артериального и правого – венозного.
Строение левого предсердия. Левое предсердие имеет овальную форму, в основании его имеется ушко – анатомическое образование, которое редко удаётся визуализировать трансторакально у взрослых пациентов и которое часто служит источником эмболии. Левое предсердие отделено от правого предсердия межпредсердной перегородкой, а от левого желудочка митральным клапаном. В центре межпредсердной перегородки находится углубление – овальная ямка. В левое предсердие впадают четыре лёгочные вены: правая верхняя и нижняя, левая верхняя и нижняя.
Строение левого желудочка. Левый желудочек имеет форму конуса. От правого желудочка он отделен межжелудочковой перегородкой, от левого предсердия — створками митрального клапана, от аорты — створками аортального клапана. Выделяют три слоя стенки желудочка: наружный — эпикард, средний — миокард и внутренний — эндокард. Левый желудочек условно делят на два тракта: приносящий и выносящий. В полости левого желудочка расположены в норме две папиллярные мышцы — переднелатеральная и заднемедиальная.
Строение правого предсердия. Правое предсердие отделено от левого предсердия межпредсердной перегородкой. В средней трети межпредсердной перегородки имеется тонкая мембрана — овальная ямка, которая прикрыта складкой — овальной заслонкой. Правое предсердие имеет овальную форму. В него впадают верхняя и нижняя полые вены. Нижняя полая вена имеет клапан — евстахиев клапан и в ряде случаев сеть Хиари. В правое предсердие впадает коронарный синус — венозный коллектор самого сердца. Правое предсердие отделено от правого желудочка правым фиброзным атриовентрикулярным кольцом, к которому крепятся створки трикуспидального клапана.
Строение правого желудочка. Правый желудочек условно можно разделить на приносящий и выносящий тракты. Правый желудочек прилежит к левому в виде полумесяца. В полости правого желудочка расположено большое количество трабекул и папиллярные мышцы. Папиллярные мышцы и трабекулы правого желудочка в области верхушки соединяются и формируют «модераторный пучок». Это очень важный анатомический ориентир правого желудочка.
Строение фиброзного каркаса сердца. Фиброзный каркас сердца состоит из левого и правого фиброзных атриовентрикулярных колец, из аортального фиброзного кольца. К фиброзным кольцам крепятся створки митрального, трикуспидального и аортального клапанов.
Строение митрального клапана. Митральный клапан состоит из передней и задней створок. Створки митрального клапана подвешены на хордах, которые крепятся по краям створок и по всей их длине.
Строение аортального клапана и аорты. Аортальный клапан в норме имеет три створки — правую коронарную, левую коронарную и некоронарную. Створки крепятся к аортальному фиброзному кольцу. В местах соединения створок имеются тонкие комиссуры. Стенка аорты имеет трехслойное строение: внутренний слой — интима, средний — медия, наружный - адвентиция. Различают корень аорты, грудной восходящий отдел, дугу, грудной нисходящий отдел, брюшной отдел аорты. От дуги аорты отходят плечеголовной ствол, левая сонная и левая подключичная артерии.
Строение трикуспидального клапана. Различают септальную, переднюю и заднюю створки трикуспидального клапана. К створкам трикуспидального клапана может идти различное число хорд. Они крепятся преимущественно по краю створок и частично по всей их длине.
Строение легочного клапана и легочной артерии. Клапан легочной артерии в норме имеет три створки — переднюю, правую и заднюю. Створки крепятся к фиброзному кольцу. Створки легочного клапана менее плотные, чем аортального клапана. Легочная артерия имеет ствол, который затем делится на правую и левую ветви легочной артерии. Место бифуркации расположено под дугой аорты. Лёгочная артерия – единственная артерия в организме человека, по которой течёт венозная кровь.
Кровоснабжение сердца. В норме имеются правая и левая коронарные артерии, отходящие от правого и левого коронарных синусов аорты (синусов Вальсальвы). Строение их может быть различно и варьирует.
Передняя и задняя вены сердца собирают кровь, которая попадает в коронарный синус, расположенный в поперечной борозде за стенками левого и правого желудочков и впадающий в правое предсердие.
Стандартные эхокардиографические измерения и нормативы.
• Аорта - не более 40 мм;
• Левое предсердие (передне-задний размер)– не более 40 мм;
• Левое предсердие (горизонтальный и вертикальный размер)– не более 40*48 мм;
• Правое предсердие (горизонтальный и вертикальный размер)– не более 38*46 мм;
• Стенка правого желудочка – не более 5 мм;
• Межжелудочковая перегородка (МЖП) – не более 9 мм у женщин и 10 мм у мужчин;
• Задняя стенка левого желудочка (ЗСЛЖ) - не более 9 мм у женщин и 10 мм у мужчин;
• Конечный диастолический размер (КДР) левого желудочка – не более 56 мм;
• Конечный диастолический размер (КДР) правого желудочка – не более 36 мм;
• Лёгочная артерия – не более 30 мм;
• Нижняя полая вена (НПВ)– не более 25 мм;
• Печёночная вена – не более 7 мм;
• Ударный объём левого желудочка (УО)– 70-100 мл;
• Фракция выброса (ФВ) левого желудочка – 55-75%;
• Фракция выброса (ФВ) правого желудочка – %;
• Минутный объём кровотока (МОК)– 4-8 л/мин;
• Сердечный индекс (СИ) – 2,8 – 4,2 л/мин/м2;
• Конечный диастолический объём (КДО) левого желудочка – мужчины – 96-157 мл, женщины – 59-138 мл;
ЭхоКГ анатомия митрального клапана
ЭхоКГ анатомия митрального клапана
Хотя митральный клапан отделяет левое предсердие от левого желудочка, анатомически он находится не между этими двумя камерами сердца, а полностью расположен в левом желудочке. Беспрепятственное наполнение и опорожнение левого желудочка обеспечиваются особым строением митрального клапанного аппарата, знание особенностей которого необходимо для понимания природы различных заболеваний митрального клапана и проведения ЭхоКГ.
В отличие от правого желудочка, в котором трехстворчатый клапан и конус легочной артерии пространственно отделены друг от друга, отверстия митрального и аортального клапанов представляют собой как бы единое целое, которое ограничивает базальный отдел левого желудочка. Оба компонента аортомитрального канала образуют между собой угол, равный 100-110°, и отделены лишь передней створкой митрального клапана. В силу указанных анатомических особенностей весь левый отдел сердца при открытом атриовентрикулярном (митральном) отверстии превращается во вносящий тракт, а при закрытом — в выносящий тракт левого желудочка; передняя створка митрального клапана выполняет роль реле, регулирующего направление кровотока. Бесперебойная работа этого механизма является структурной и функциональной предпосылкой целостности отдельных компонентов митрального клапанного аппарата.
а) Митральное кольцо. Дорсальнее аортального клапана находятся правый и левый фиброзный треугольники. Они служат опорными площадками, к которым фиксируют кольцо клапанного протеза типа Карпантье-Эдвардса. Между этими треугольниками тянется фиброзная аортомитральная перегородка, к которой прикрепляется передняя створка митрального клапана. От этой соединительнотканной структуры в латеральном направлении тянутся коллагеновые тяжи, которые в виде фиброзного хомута охватывают митральное отверстие, при этом задняя часть отверстия остается полностью свободной. Так митральное кольцо образует границу между миокардом желудочка и предсердия.
1. Изменения, претерпеваемые митральным клапаном во время сердечного цикла. Из-за столь асимметричного строения митрального кольца с его малоподвижной фиброзной передней частью окружности и сокращающейся задней полуокружностью изменение его размеров во время сердечного цикла сопровождается изменением его формы. Максимальных размеров митральное кольцо в течение сердечного цикла достигает в поздней диастоле непосредственно перед сокращением предсердия. При сокращении предсердия площадь поверхности клапанного кольца уменьшается на 15-20%. Этим облегчается герметизация митрального отверстия в систолу желудочка, при которой площадь поверхности митрального кольца уменьшается еще на 10-15%. Начиная с середины систолы и до ее завершения, митральное кольцо вновь расширяется, и это расширение продолжается в диастолу.
2. Положение митрального кольца. Поскольку плоскость митрального кольца служит ориентиром, относительно которого оценивают степень пролапса митрального клапана, то визуализация пространственной конфигурации митрального кольца имеет важное клиническое значение: оно имеет седловидную форму, т.е. форму геометрического тела, которое имеет взаимно противоположное направление кривизны поверхностей в длину и в профиль. Наиболее высокие точки седла лежат в передней (аортальной) и задней части, а между этими точками расположена вогнутая в сторону левого предсердия седловидная плоскость; наиболее низкие точки расположены медиально (септально) и латерально, и между этими крайними точками находится выпуклая часть седловидной поверхности.
При ЭхоКГ в позиции четырехкамерного сердца изображение включает левый желудочек, межжелудочковую перегородку, латеральную стенку желудочка, причем всегда, даже при нормальном митральном клапане, можно видеть также седловидную выпуклость его плоскости, «выпячивающуюся» в левое предсердие. Поэтому пролапс митрального клапана наиболее четко можно визуализировать лишь в плоскости, ориентированной вдоль длинной оси левого желудочка, которая в норме соответствует вогнутости седла.
Превращение левого желудочка из «принимающей» камеры (в диастолу) в выносящую (в систолу) при участии передней створки митрального клапана, которая отходит в области аортомитрального соединения (AML) и выполняет роль реле, регулирующего направление кровотока. Ао - аорта, IVS - межжелудочковая перегородка, LA - левое предсердие, LV - левый желудочек, Ро - задняя стенка левого желудочка. Плоскость, в которой расположены клапаны сердца (вид сверху). Фазовые изменения размера и формы митрального кольца во время сердечного цикла. Справа: фазовые изменения поверхности митрального клапана (MAF), LVP - давление в левом желудочке. LAP - давление в левом предсердии.
б) Створки митрального клапана. Створки митрального клапана прикрепляются вдоль всей окружности митрального кольца. На свободном крае створок имеется несколько складок, из которых две - переднелатеральная и заднемедиальная - как правило, постоянные и представляют собой комиссуры; они являются ориентирами для выделения передней и задней створок клапана. Передняя створка митрального клапана имеет длину 2-3 см и по форме вариабельна - от треугольной до полукруглой.
Задняя створка митрального клапана почти вдвое длиннее передней, прикрепляется на более значительном протяжении митрального кольца и делится двумя складками на три сегмента, из которых центральный является доминирующим (переднелатеральный сегмент — Р1, центральный сегмент - Р2, заднемедиальный сегмент - Р3). Базальные две трети передней створки тонкие, имеют гладкую поверхность и при трансиллюминации просвечивают; на створке имеется полулунная линия, которая напоминает шов и отделяет эту часть створки от свободного ее края. Последний более плотный, шероховатый и не просвечивает (эта часть створки клапана соответствует плоскости вплетения сухожильных хорд). На задней створке митрального клапана имеется корреспондирующая шероховатая зона, несколько меньшая, чем на передней. Во время закрытия митрального клапана шероховатые зоны смыкаются, причем граница смыкания створок проходит вдоль полулунной линии. Для эффективного закрытия митрального клапана необходимо, чтобы дистальные концы его створок не только соприкасались, но и смыкались на довольно значительном протяжении.
в) Сосочковые мышцы и сухожильные хорды. Фиксация митрального клапанного аппарата в левом желудочке обеспечивается сосочковыми мышцами и сухожильными хордами. В отличие от переднелатеральной сосочковой мышцы, заднемедиальная сосочковая мышца обычно бывает расщеплена, и половинки ее имеют выпуклую или вогнутую форму, так что при сокращении пространство, которое их разделяет, исчезает, и они действуют как единое целое. Каждая из сосочковых мышц имеет на конце своем примерно шесть заостренных головок, при этом от каждой из головок от ходят по две сухожильные хорды первого порядка, каждая из которых веерообразно переходит примерно в пять терминальных сухожильных хорд. Поэтому при разрыве одной головки отходит 10 (всего до 120) терминальных сухожильных хорд. Все они прикрепляются к одной створке митрального клапана, поэтому при пролапсе речь идет о выбухании одной створки.
В противоположность этому сосочковая мышца с помощью своих сухожильных хорд прикрепляется к обеим створкам митрального клапана, поэтому при разрыве или дисфункции сосочковой мышцы обычно страдают обе створки митрального клапана.
Седловидная форма плоскости митрального клапана. Срез по длинной оси сердца (а); срез в плоскости четырехкамерного сердца (6). Наиболее высокие точки седла лежат в передней (аортальной) и задней части клапана, а между этими точками расположена вогнутая седловидная плоскость левого предсердия; наиболее низкие точки расположены медиально (септальная) и латерально, и между этими крайними точками находится выпуклая часть седловидной поверхности. При ЭхоКГ в плоскости четырех камер всегда, в том числе при неизменном митральном клапане, видна выпуклая часть седла клапана, которая выпячивается в левое предсердие. Ао - аорта, ant. - вперед, LA - левое предсердие, LV - левый желудочек, post. - назад, RV - правый желудочек, links - влево. Положение выпуклых створок относительно плоскости митрального клапана. При ЭхоКГ в плоскости четырех камер и в плоскости длинной оси сердца псевдопролапс митрального клапана был исключен. Сокращения те же, что и на рисунке выше. Прикрепление створок митрального клапана вдоль митрального кольца. А-В - переднелатеральная комиссура, В-С - передняя створка митрального клапана, C-D - заднемедиальная комиссура, D-E - заднемедиальный сегмент (РЗ) задней створки митрального клапана, E-F - центральный сегмент (Р2), F-A' - переднелатеральный сегмент (Р1). Шероховатая часть поверхности створок митрального клапана на рисунке затушевана. Ультрасонограмма левого желудочка в поперечной плоскости на уровне сосочковых мышц. Слева- нормальная ультрасонограмма, справа-ультрасонограмма при гипертрофической кардиомиопатии (НСМ). В норме обе сосочковые мышцы располагаются в задней половине левого желудочка (кзади от пунктирной линии). Отчетливо видно раздвоение заднемедиальной сосочковой мышцы. При ГКМП сосочковые мышцы расположены кпереди, передняя сосочковая мышца прилежит к межжелудочковой перегородке (IVS).
1. Кровоснабжение. Обе сосочковые мышцы имеют двойное кровоснабжение: переднелатеральная мышца питается от второй септальной ветви передней межмышечной артерии, а также от ветвей огибающей артерии, заднелатеральная сосочковая мышца кровоснабжается от септальной ветви задней межмышечной артерии (источником которой в основном является правая коронарная артерия), а также от ветвей огибающей артерии. Хотя перфузия сосочковых мышц в основном осуществляется интрамуральными ветвями коронарных артерий, периферическая субэндокардиальная область этих мышц питается также еще и посредством диффузии кислорода из полости желудочка. Поскольку источников питания у сосочковых мышц несколько, ишемия или инфаркт всех сосочковых мышц наблюдается редко, задняя сосочковая мышца из-за большей вариабельности источников питания в большей степени подвержена опасности разрыва, чем передняя.
2. Положение сосочковых мышц. Анатомическое название переднелатеральной и заднемедиальной сосочковой мышцы дано на основании их расположения относительно стенки левого желудочка, а не оси сердца или вносящего или выносящего тракта. С анатомо-физиологической точки зрения передняя створка митрального клапана делит полость левого желудочка на расположенный кпереди выносящий тракт (чье дно она составляет) и на расположенный кзади вносящий тракт («крышей» которого она является).
«Крыша» выносящего тракта образована передней частью межжелудочковой перегородки, а не «передней» стенкой левого желудочка, которая является ее левой границей. Смыкающиеся створки митрального клапана и сосочковые мышцы, головки которых направлены на комиссуры, расположены в одной плоскости, т.е. сосочковые мышцы направлены медиолатерально («задняя» створка митрального клапана расположена медиально, «передняя» - латерально). Обе сосочковые мышцы расположены в задней половине левого желудочка. Их сокращение вызывает растяжение створок митрального клапана кзади, что препятствует обструкции выносящего тракта левого желудочка в систолу. Сокращение сосочковых мышц способствует также тому, что расстояние между головками сосочковых мышц и плоскостью митрального клапана во время систолы сохраняется относительно постоянным, несмотря на систолическое опущение плоскости клапана и движение нижней стенки левого желудочка кнутри.
3. Поведение во время сердечного цикла. Сосочковые мышцы во время сердечного цикла «ведут себя» примерно так же, как миокард свободной стенки. Поскольку они не полностью интегрированы в стенку, а связаны с помощью сухожильных хорд с митральным клапаном, то во время сердечного цикла на них действуют и другие силы. В связи с этим характер их растяжения кпереди и сокращение в соответствии с законом Франка-Старлинга отличаются: в то время как миокард свободной стенки быстро растягивается в результате наполнения желудочка, длина сосочковых мышц в диастолу увеличивается незначительно. Лишь с началом изоволюмического сокращения желудочка, когда происходит закрытие митрального клапана, сосочковые мышцы, прикрепляющиеся к нему, резко растягиваются вперед. Степень такого растяжения сосочковых мышц определяет силу их сокращения. Пассивное смещение сосочковых мышц к началу систолы дает возможность сближения створок митрального клапана друг с другом и с митральным кольцом.
Эхокардиография (УЗИ сердца, ЭхоКГ)
Пожалуй, этот вопрос задает себе каждый владелец, который обращается в ветеринарную клинику для проведения планового или срочного оперативного вмешательства. Порой о необходимости проведения УЗИ сердца предупреждает терапевт после аускультации грудной клетки пациента (выявление патологических шумов).
Несмотря на современную аппаратуру и медикаменты, высококвалифицированный персонал, существует ряд патологических структурных и гемодинамических изменений сердца, которые во время анестезии могут проявляться различными осложнениями. Для того чтобы разработать определенную стратегию ведения пациента, анестезиологу необходимо знать, какие изменения выявлены в сердце, к чему они привели, что происходит с гемодинамикой, какие препараты анестезии следует выбрать для минимизации риска у данного пациента, какие препараты противопоказаны.
Кроме того, если у пациента на приеме выявлен сердечный шум, после УЗИ сердца врач-кардиолог может установить этиологию (причину) этого шума, дать рекомендации дальнейшей диагностики и тактики лечения.
Часто патологические изменения сердца не приводят к клиническим проявлениям (особенно у кошек). Бессимптомное течение болезней сердца приводит к тому, что владельцы обращаются со своим питомцем только тогда, когда развивается декомпенсация кровообращения, значимые гемодинамические и структурные изменения, проявляются симптомы сердечной недостаточности.
УЗИ позволяет выявить заболевания сердца еще на доклинической стадии, принять необходимые меры и, возможно, спасти жизнь пациента.
Для того чтобы немного разобраться, что именно врач УЗД видит при проведении исследования, необходимо знать, как выглядит сердце с точки зрения анатомии.
Сердце – центральный орган системы кровообращения, обеспечивающий движение крови по сосудам. Оно располагается в грудной полости. Представляет собой четырехкамерный полый мышечный орган. Стенки сердца образованы главным образом мышечной тканью – миокардом. Внутренняя поверхность сердца выстлана тонкой оболочкой – эндокардом. Наружная поверхность сердца покрыта серозной оболочкой – эпикардом, которая на уровне крупных сосудов, отходящих от сердца, заворачивается и образует околосердечную сумку – перикард.
Расширенная верхняя часть сердца называется основанием, узкая нижняя часть – верхушкой. Сердце состоит из четырех камер: двух предсердий (правое и левое) и двух желудочков (правый и левый). Продольной перегородкой сердце делится на две не сообщающиеся между собой половины – правую и левую, каждая из которых состоит из предсердия и желудочка. Правое предсердие соединяется с правым желудочком, а левое предсердие с левым желудочком предсердно-желудочковыми отверстиями.
В правое предсердие впадают краниальная и каудальная полые вены, несущие венозную кровь из большого круга кровообращения. Из правого желудочка выходит легочной ствол, по которому венозная кровь поступает в легкие. В левое предсердие впадают легочные вены, несущие обогащенную кислородом артериальную кровь. Из левого желудочка выходит аорта, по которой артериальная кровь поступает в большой круг кровообращения.
Предсердия – это сравнительно тонкостенные камеры сердца. Они находятся выше желудочков и отделены от них предсердно-желудочковыми клапанами. Сердце имеет четыре клапана, регулирующие направление тока крови. Между левым предсердием и левым желудочком находится митральный клапан (двустворчатый). Между правым предсердием и правым желудочком трикуспидальный клапан (трехстворчатый). У собак ТК может быть относительно 2-створчатым за счёт формирования комиссуры между передней и задней створками. Тогда он смотрится как 2- створчатый, но формируются в эмбриогенезе 3 створки. От левого желудочка сердца отходит основная артерия организма — аорта. В устье аорты расположен аортальный клапан, отграничивающий левый желудочек от аорты.На выходе из правого желудочка расположена легочная артерия. В ее устье находится легочный клапан.
Схематически сердце можно представить следующим образом:

Рис.1. Схематичное изображение сердца. ЛП — левое предсердие ЛЖ — левый желудочек ПП — правое предсердие ПЖ – правый желудочек МК – митральный клапан ТК – трикуспидальный клапан 1 – легочные вены 2 – аорта 3 – каудальная полая вена 4 – краниальная полая вена 5 – легочная артерия
Правое и левое предсердия разделены между собой межпредсердной перегородкой. Желудочки сердца имеют более толстую стенку. Стенка левого желудочка в два раза толще стенки правого. От стенок обоих желудочков отходят сухожильные мышцы, которые сужаются и переходят в сухожильные хорды, прикрепляющиеся к клапанам. Между собой желудочки отделены межжелудочковой перегородкой.
Рекомендуется проводить УЗИ сердца в следующих случаях:
- Перед любым оперативным вмешательством, независимо от возраста, пола и породы животного.
- При возникновении таких симптомов как кашель, одышка, утомляемость, непереносимость физических нагрузок, повышенная жажда, судорожные явления, неврологические явления, синкопальные состояния (обмороки).
- У пород кошек и собак, имеющих предрасположенность к болезням сердца (Мейн-кун, Британская, Шотландская, Бенгальская, Той-терьер, Чихуахуа, Йоркширский Терьер, Боксер и многие другие).
- Наличие патологических шумов при аускультации сердца и легких.
- При выявлении патологических изменений в ЭКГ (электрокардиограмме).
- При травматизации животного (падение с высоты, ДТП и др.)
Породная предрасположенность некоторых пород к болезням сердца:
- ДКМП (дилатационная кардиомиопатия): Афганская Гончая, Доберман, Дог, Ирландский Волкодав, Коккер Спаниель, Шотландская Борзая и другие.
- Стеноз трехстворчатого клапана: Лабрадор Ретривер, Бобтейл.
- Стеноз митрального клапана: Ньюфаунленд, Бультерьер.
- Пролапс створок митрального клапана: Бигль.
- Синдром слабости синусового узла: Такса, Боксер, Спаниель, Вест-хайленд-уайт-терьер.
- Трехпредсердное сердце: Акита-ину, Французский Бульдог.
- Двустворчатый аортальный клапан: Английский Бульдог, Ньюфаунленд.
- Эндокардиоз митрального клапана: Такса, Чихуахуа, Йоркширский Терьер, Пудель.
- Стеноз клапана легочной артерии: Английский Бульдог.
- Гипертрофическая кардиомиопатия у собак: Бостон Терьер, Веймаранер.
- Аортальный стеноз: Ньюфаунленд, Ротвейлер, Боксер, Лабрадор Ретривер.
- Субаортальный стеноз: Ротвейлер.
- Аномалия Эбштейна: Лабрадор.
- Аритмогенная дисплазия правого желудочка: Боксер.
УЗИ сердца является безопасным, не инвазивным методом диагностики болезней сердца. Проведение данной процедуры не требует специальной подготовки и седации пациента.
Возможности ЭХО-кг:
Трансторакальная эхокардиография — исследование сердца с помощью ультразвукового датчика, плотно приставленного к передней поверхности грудной клетки.
УЗИ сердца проводится в трех режимах: В-режим; М-режим и режим допплера. В-режим, или режим двухмерной ультразвуковой кардиографии, позволяет получить поперечные изображения сердца и магистральных сосудов в реальном масштабе времени и отличить полости сердца, заполненные кровью, от мягких тканей его камер, створок клапанов и сосудов. М-режим ультразвуковой кардиографии позволяет провести количественный анализ объема и движения камер сердца и клапанов. Режим допплера дает информацию о динамике потока крови и сосудах через камеры и клапаны сердца.

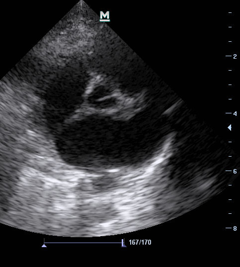
Рис. 2. Эхокардиография, В-режим. Визуализация аорты, дилатированного левого предсердия

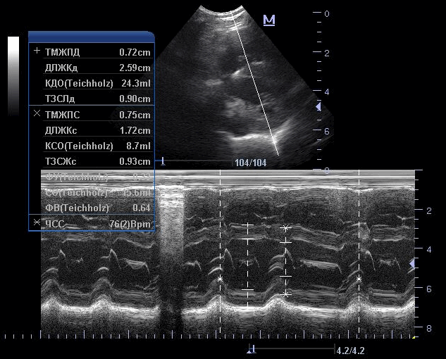
Рис.3. Эхокардиография. М-режим. Измерения параметров
Специальная подготовка пациента не требуется. В месте контакта датчика с телом пациента механически удаляется шерстный покров (машинкой для стрижки). Это необходимо для того, чтобы контакт датчика и кожи пациента был максимальный. На датчик и кожу пациента наносится специальный гель для улучшения проводимости ультразвукового луча.
УЗИ сердца проводят в боковом положении тела на правом боку. У пациентов в критическом состоянии (отек легких, дыхательная недостаточность, плевральный выпот и прочие) можно проводить исследование в вертикальном положении и положении сидя.
УЗИ сердца требует максимальной неподвижности пациента, так как при включении допплера, он будет реагировать на каждое движение и звук.
Исследование занимает 10-15 минут.
Таким образом, мы рекомендуем проводить УЗИ сердца планово у всех пациентов перед оперативным вмешательством и у всех пациентов с сердечными шумами. Кроме того, наши врачи рекомендуют проводить УЗИ сердца у всех породистых пациентов для ранней диагностики болезней сердца.
Эхокардиография
Техника ЭхоКГ
Существуют 3 техники проведения эхокардиографии:
Трансторакальная эхокардиография – наиболее распространённая техника эхокардиографии. При ТТЭ датчик устанавливают вдоль левого или правого края грудины, на верхушке сердца, в яремной вырезке (с целью визуализации аортального клапана, выходного отдела ЛЖ, нисходящей аорты), либо в подгрудинной области. ТТЭ – наиболее распространенная методика, позволяющая получить двухмерные изображения крупных структур сердца. TTЭ является относительно недорогой и неинвазивной техникой визуализации для диагностики функций правого и левого желудочка, и движения их стенок, размера и анатомии полостей сердца, функционирования клапанной системы, строения корня аорты и внутрисердечного давления.
Портативная ультрасонография Ультрасонография у постели больного (POCUS) Полное обследование всех систем необходимо для выявления периферических и системных проявлений сердечно-сосудистых заболеваний и признаков других патологий, которые могут оказывать негативное. Прочитайте дополнительные сведения (POCUS) - ограниченная трансторакальная эхокардиография (направленная на обнаружение выраженного перикардиального выпота или дисфункции желудочков), которая иногда выполняется у постели тяжелобольных пациентов в палате интенсивной терапии (ПИТ) или в отделении экстренной медицинской помощи. Многие реаниматологи и врачи скорой обучены выполнению этой процедуры на переносных ручных аппаратах, в случаях когда опытные радиологи или кардиологи недоступны. Переносные ручные аппараты являются хорошим инструментом скрининга для определения того, каким пациентам может потребоваться проведение более детального исследования. В связи с более широким их использованием менее опытными специалистами, основным ограничением применения являются пропущенные диагнозы. В последнее время национальные сообщества предлагают рекомендации по обучению специалистов применению кардиоваскулярного метода исследования POCUS (ограниченная трансторакальная эхокардиография у постели больного) с целью наилучшего использования данного диагностического исследования. Медицинские учреждения, использующие метод кардиоваскулярного исследования POCUS, должны разработать соответствующие стандарты для применения его в своей практике.
При чреспищеводной эхокардиографии (ЧПЭ) датчик на конце эндоскопа позволяет осмотреть сердце через желудок и пищевод. ЧПЭ применяют для визуализации структур сердца, когда ТТЭ технически трудновыполнима, как, например, у пациентов с ожирением и хронической обструктивной болезнью легких (ХОБЛ). При ЧПЭ лучше визуализируются малые патологические структуры (например, вегетации при эндокардите или открытое овальное окно) и структуры, расположенные кзади (например, левое предсердие, ушко левого предсердия, межпредсердная перегородка, анатомия легочных вен), поскольку они располагаются ближе к пищеводу, чем к передней грудной стенке. С помощью ТТЭ можно получить также изображение восходящего отдела аорты, который начинается за третьим реберным хрящом; мелких образований, размеры которых меньше 3 мм (таких как тромбы, вегетации); искусственных клапанов.
При внутрисердечной эхокардиографии (ВС ЭхоКГ), датчик на кончике катетера (введенного через бедренную вену и проведенного в сердце) позволяет визуализировать анатомию сердца. ВС ЭхоКГ можно проводить во время сложных структурных кардиальных манипуляций (например, чрескожное закрытие дефектов межпредсердной перегородки или открытого овального отверстия) или электрофизиологических манипуляций. При проведении таких манипуляций ВСЭ обеспечивает лучшее качество изображения и меньшую длительность манипуляции по сравнению с TТЭ. Однако ВСЭ обычно дороже.
Методология
Наиболее часто применяют двухмерную ЭхоКГ; дополнительную информацию позволяют получить методы контрастной, допплеровской и других видов эхокардиографии.
Контрастная эхокардиография – это двухмерная эхокардиограмма, которая выполняется с применением вспененного раствора натрия хлорида (либо иного эхоконтрастного препарата), быстро вводимого в сердечный кровоток. Вспененный раствор образует мелкие пузырьки, которые создают облаковидную тень при ультразвуковом исследовании в правых камерах сердца; в случае наличия дефекта сердечной перегородки эти пузырьки появляются в левых отделах сердца. Обычно микропузырьки не способны пересекать барьер лёгочных капилляров. Однако один препарат, представляющий собой образованные после обработки альбумина ультразвуком микропузырьки, на это способен и может проникать в структуры левых отделов сердца после внутривенно инъекции. По этой причине он может быть использован для разграничения полостей сердца, в частности левого желудочка.
Спектральная допплер-ЭхоКГ может выявить объем, направление и тип потока крови. Данная методика необходима для обнаружения аномальных потоков крови (например, связанных с регургитацией) либо объемов (например, обусловленных стенотическими причинами). Допплер-ЭхоКГ не несет дополнительной информации о размерах и форме сердца и его структур.
Цветная допплер-ЭхоКГ в комбинации со спектральной и двухмерной допплер-ЭхоКГ позволяет более точно оценить размеры, форму сердца и его структур, также как объемы и направления потоков в области клапанов и выносящих трактов. Цвет используется для разграничения потоков крови; по соглашению красный поток, идущий к датчику, синий – в обратном направлении.
При тканевой допплерографии используются допплеровские методики для оценки скоростных показателей сокращения миокарда (так же как и кровотока). Движение ткани миокарда также можно оценить с помощью спекл-трекинг эхокардиографии, которая использует алгоритмы для отслеживания эхоспеклов миокарда (характерные реверберации от миокарда во время ультразвукового исследования) из кадра в кадр. канирование деформации использует эти данные для подсчета деформации миокарда (процентное изменение длины между сокращением и расслаблением) и скорости деформации миокарда (скорость изменения длины). Расчет деформации и скорости деформации может быть полезен при оценке систолической и диастолической функции для выявления ишемии при проведении стресс-тестов.
Все чаще применяется трехмерная эхокардиография; специальные трансдукторы позволяют получить трехмерное изображение структур сердца в реальном времени. Трехмерная эхокардиография в особенности эффективна при оценке состояния митрального клапанного аппарата для хирургической коррекции. Этот метод продолжает развиваться; его широкому распространению и применению в США воспрепятствовало уменьшение компенсационных выплат со стороны третьих лиц.
Стресс-ЭхоКГ
Трансторакальная эхокардиография – альтернатива радионуклидной визуализации Радионуклидная визуализация сердца Для выполнения радионуклидного исследования используют специальный аппарат (гамма-камеру), который формирует изображения после введения радиоактивного препарата. Этот тест проводится для оценки. Прочитайте дополнительные сведения . Данная методика позволяет выявить региональные нарушения подвижности стенок сердца, возникающие вследствие нарушения кровотока в эпикардиальных сосудах сердца во время выполнения пробы. Компьютерные программы позволяют оценить шаг за шагом сокращение желудочка во время систолы и диастолы, в период отдыха и на фоне нагрузки. Протоколы проведения нагрузочных и фармакологических исследований аналогичны таковым при выполнения радионуклидного стресс-теста с той разницей, что в США добутамин является более предпочтительным фармакологическим агентом, чем дипиридамол.
Стресс-эхокардиография является важным методом исследования тяжести гемодинамических расстройств при стенозе аортального клапана у пациентов с выраженными симптомами и невысоким трансклапанным градиентом давления в покое. Стресс-ЭхоКГ и радионуклидный стресс-тест одинаково хорошо позволяют выявить ишемию. Выбор метода чаще всего зависит от доступности, личного опыта исследователя и стоимости выполнения методик.
Признаки высокого давления наполнения левого желудочка во время физической нагрузки, в том числе увеличение показателя Е/е' (отношение пиковых скоростей трансмитрального кровотока и движения фиброзного кольца митрального клапана) или повышение скорости трикуспидальной регургитации, могут быть использованы для диагностики сердечной недостаточности с сохраненной фракцией выброса Сердечная недостаточность с сохраненной фракцией выброса (СНСФВ) Сердечная недостаточность (СН) – синдром дисфункции желудочков сердца. Левожелудочковая недостаточность приводит к развитию одышки и быстрой утомляемости, правожелудочковая недостаточность –. Прочитайте дополнительные сведенияАвторское право © 2022 Merck & Co., Inc., Rahway, NJ, США и ее аффилированные лица. Все права сохранены.
Митральная недостаточность
Митральная недостаточность - несостоятельность клапана, при которой возникает обратное движение крови из левого желудочка в левое предсердие во время сокращения желудочков сердца вследствие неполного смыкания створок клапана.
Этиология митральной недостаточности:
- Врожденная патология: расщепление клапана, пролапс и другое.
- Ишемическая дисфункция митрального клапана при ИБС.
- Дегенеративные процессы: миксоматозная дегенерация, синдромы Марфана и Элерса - Данло, кальциноз митрального кольца.
- Воспалительные поражения: ревматизм, системная красная волчанка, системная склеродермия, аортоартериит.
- Инфекция: инфекционный эндокардит.
- Травма.

По течению митральная недостаточность подразделяется на хроническую и острую и соответственно требует разного подхода при определении показаний срочности оперативного вмешательства. Коррекцию хронической митральной недостаточности необходимо провести прежде, чем разовьется декомпенсация левого желудочка, с учетом ЭХОКГ критериев для оценки тяжести митральной регургитации.
Развитие острой митральной недостаточности, рефрактерной к медикаментозной терапии, является показанием к экстренному хирургическому вмешательству.
Проявления клинических симптомов митральной недостаточности обусловлено тяжестью недостаточности митрального клапана и функционального состояния левого желудочка.
Симптомы
Наиболее типичная жалоба – это одышка, которая возникает при умеренной и тяжелой хронической митральной недостаточности и клиника острой левожелудочковой недостаточности при острой митральной недостаточности. Наличие фибрилляции предсердий до операции является независимым предиктором снижения отдаленной выживаемости после операции на митральном клапане по поводу хронической митральной недостаточности.

Диагностика митральной недостаточности
Эхокардиография (ЭХОКГ) занимает ведущее место в диагностике недостаточности митрального клапана и определения показаний по тактике ведения больного. При недостаточной информативности трансторакальной ЭХОКГ и уточнения возможности реконструктивной операции на митральном клапане должна быть выполнена чрезпищеводная ЭХОКГ.
ЭХОКГ позволяет определить этиологию митральной недостаточности, ее тяжесть –компенсаторные возможности левого желудочка, наличие осложнений (левожелудочковая недостаточность, легочная гипертензия, правожелудочковая недостаточность), выявить другие пороки сердца.
ЭХОКГ исследование позволяет оценить степень недостаточности митрального клапана по отношению площади потока регургитации к площади левого предсердия:
- Незначительная недостаточность митрального клапана менее 20%
- Умеренная недостаточность 20-40%
- Тяжелая недостаточность 40%
Если ИБС не является причиной митральной недостаточности и нет данных за сопутствующую ИБС показания к операции могут быть определены без катетеризации сердца.
Применение инвазивных методов обследования показано пациентам с ишемической дисфункцией митрального клапана:
Коронароангиография позволяет уточнить наличие стенозирующего поражения коронарных артерий и определить показания к реваскуляризации миокарда в сочетании с хирургической коррекцией митральной недостаточности.
Показания к оперативному лечению митральной недостаточности
Классификация рекомендаций и уровни достоверности в формате АКК/ААС:
- Класс I: Состояния, при которых есть доказательства и/или общее согласие, что процедура или метод лечения является благоприятным, полезным и эффективным.
- Класс II: Состояния, при которых есть противоречивые доказательства и/или расхождение во мнениях о полезности/эффективности процедуры или метода лечения.
- Класс IIА: Вес достоверность/мнение в пользу полезности/эффективности.
- Класс IIБ: Польза/эффективность менее хорошо установлены достоверностью/мнением.
- Класс III: Состояния, при которых есть доказательства и/или общее мнение, что процедура/метод лечения не полезны, не эффективны, а в некоторых случаях могут быть вредны.
Кроме того, уровни достоверности в поддержку рекомендаций изложены следующим образом:
- Уровень достоверности А: Данные получены из многочисленных рандомизированных клинических испытаний.
- Уровень достоверности В: Данные получены из единичных рандомизированных исследований или нерандомизированных испытаний.
- Уровень достоверности С: Только единодушное согласие экспертов, отдельные исследования случаев и стандарты лечения.
Хирургическое лечение недостаточности митрального клапана
1. Пациенты с острой тяжелой митральной недостаточностью (Уровень достоверности: B)
2. Пациенты с хронической тяжелой недостаточностью митрального клапана и СН II, III, IV ФК по NYHA, при отсутствии тяжелой дисфункции ЛЖ (тяжелая дисфункция ЛЖ определяется как фракция выброса меньше 30%) и/или КСР больше 55 мм. (Уровень достоверности: B)
3. Асимптомные пациенты с хронической тяжелой митральной недостаточностью и легкой, умеренной дисфункцией ЛЖ, фракция выброса 30-60% и/или КСР больше или равно 40 мм. (Уровень достоверности: B)
4. Более показана пластика, чем протезирование митрального клапана у большинства пациентов с тяжелой хронической митральной недостаточностью, которым необходима операция, и пациенты должны быть направлены в хирургические центры с большим опытом по восстановлению МК. (Уровень достоверности: C)
КЛАСС IIА
1. Показана пластика МК у асимптомных пациентов с тяжелой хронической митральной недостаточностью и нормальной функцией ЛЖ (фракция выброса больше 60% и КСР меньше 40 мм), у которых вероятность хороших результатов пластики клапана больше 90 %. (Уровень достоверности: B)
2. Показано вмешательство на МК у асимптомных пациентов с тяжелой хронической митральной недостаточностью с нормальной функцией ЛЖ и пароксизмом фибрилляции предсердий. (Уровень достоверности: C)
3. Показано вмешательство на МК у асимптомных пациентов с тяжелой хронической митральной недостаточностью с сохраненной функцией ЛЖ и легочной гипертензией (систолическое давление ЛА больше 50 мм рт.ст. в покое или больше 60 мм рт.ст. при нагрузке). (Уровень достоверности: C)
4. Показано вмешательство на МК у пациентов с тяжелой хронической МР*, развившейся в результате первичной патологии митральных структур, симптомами III-IV ФК по NYHA и тяжелой дисфункцией ЛЖ (фракция выброса мене 30% или КСР больше 55 мм), которым больше подходит восстановление МК. (Уровень достоверности: C)
КЛАСС IIБ
- Возможна пластика митрального клапана у пациентов с хронической тяжелой недостаточностью митрального клапана, вследствие тяжелой дисфункции ЛЖ (фракция выброса менее 30%), у кого, несмотря на оптимальную терапию СН, включая бивентрикулярный кардиостимулятор, присутствуют симптомы III-IV ФК по NYHA. (Уровень достоверности: C)
КЛАСС III
1. Вмешательство на митральный клапан не показано асимптомным пациентам с митральной недостаточностью и нормальной функцией ЛЖ (фракция выброса более 60% и КСР менее 40 мм), у которых есть существенные сомнения о возможности пластики МК. (Уровень достоверности: C)
2. Изолированная операция МК не показана пациентам с легкой или умеренной митральной недостаточностью. (Уровень достоверности: C)
Во многих случаях, тип операции - пластика или протезирование МК важна в выборе времени операции. Хотя тип оперативного вмешательства до операции фактически никогда не определяется, во многих случаях выбор оперативного вмешательства может быть определен заранее. Летальность при плановых операциях по поводу митральной недостаточности после протезирования митрального клапана составляет 2 – 7%, после пластики митрального клапана 1 – 4%. В настоящее время используют три основных метода коррекции митральной недостаточности: пластика клапана, протезирование митрального клапана с частичным или полным сохранением хордального аппарата и протезирование митрального клапана без сохранения хордального аппарата. В большинстве случаев пластика клапана является операцией выбора и должна выполняться всегда, когда это возможно.

Своевременность оперативного вмешательства позволяет добиться хороших результатов хирургической коррекции пороков сердца, уменьшает степень оперативного риска и улучшает отдаленные результаты хирургического лечения.
Оформите заявку на сайте, мы свяжемся с вами в ближайшее время и ответим на все интересующие вопросы.
Читайте также:
