ЭКГ при перикардитах. Признаки перикардита на электрокардиограмме
Добавил пользователь Владимир З. Обновлено: 27.01.2026
Перикардит - это воспаление перикарда. Этиология перикардитов разнообразна и невсегда ясна. Этиологические факторы, вызывающие перикардит:
При перикардитах могут наблюдаться следующие изменения электрокардиограммы:
Характерное конкордатное (однонаправленное) смещение сегмента ST выше изоэлектрической линии во многих ЭКГ отведениях
Отсутствие патологического зубца Q
Изменение формы и полярности (инверсия) зубца Т во многих отведениях
Появление синусовой тахикардии
Различные нарушения ритма и проводимости
Уменьшении общего вольтажа ЭКГ (при появлении экссудата в полости перикарда)
Экг стадии
Острый перикардит имеет следующие четыре ЭКГ стадии:
Элевация сегмента ST над изолинией во многих отведениях (кроме III, aVR и V1). Депрессия сегмента PQ (т.е. волны реполяризации предсердий, обычно накладывающуюся на сегмент PQ и комплекс QRS)
Инверсия зубца T
Истинная нормализация ЭКГ
Депрессия сегмента pq
Электрокардиограмма при кардиомиопатиях
Кардиомиопатия - группа заболеваний сердца невыясненной этиологии; морфологически отмечают развитие выраженной гипертрофии миокарда, его диффузные изменения невоспалительной и некоронарогенной природы, иногда с одновременным поражением эндокарда и расширением полостей. Основными клиническими проявлениями кардиомиопатий становятся сердечная недостаточность, кардиомегалия, разнообразные расстройства проводимости и сердечного ритма.
Среди ряда разновидностей кардиомиопатий выделяют две наиболее важные формы: гипертрофическую (симметричную и асимметричную; необструктивную и обструктивную) и дилатационную (застойную).
Признаки увеличения предсердий (p-mitrale)
Зубцы Q в нижних и боковых отведениях
Гигантские отрицательные зубцы Т в грудных отведениях (при апикальной гипертрофии левого желудочка — болезни Ямагучи)
Отклонение электрической оси сердца влево
Короткий интервал PQ с деформацией начальной части комплекса QRS
Экг при гипертрофической кардиомиопатии
гипертрофия желудочков и предсердий;
снижение вольтажа в отведениях от конечностей;
повышение вольтажа в грудных отведениях;
атриовентрикулярные блокады различных степеней;
блокада левой ножки пучка Гиса;
уширение желудочкового комплекса с локальным нарушением внутрижелудочковой проводимости;
аритмия: экстрасистолия, фибрилляция предсердий;
отрицательный зубец T в прекардиальных отведениях;
глубокий зубец Q в прекардиальных отведениях;
в некоторых случаях - повышение амплитуды зубца R в грудных отведениях.
Электрокардиограмма при ожирении
Ожирение часто приводит к горизонтальному расположению электрической оси сердца или отклонению ее влево. У таких больных нередко определяется снижение вольтажа комплекса QRS. Комплекс QRS может быть зазубрен или расщеплен, иногда несколько уширен. Зубцы T обычно сниженной амплитуды или изоэлектричны. Возможна гипертрофия левого желудочка или его перегрузка. Для этого заболевания характерна наклонность к синусовой тахикардии. Значительно реже наблюдается синусовая брадикардия. Возможно появление экстрасистолии — желудочковой или суправентрикулярной. Могут возникнуть различные нарушения атриовентрикулярной или внутрижелудочковой проводимости. Нередко выявляются блокады ножек пучка Гиса или ветвей левой ножки. Возможно удлинение электрической систолы желудочков (QT). У таких больных часто определяются признаки, характерные для хронической ишемической болезни сердца или для рубцовых изменений в миокарде.
ЭКГ при перикардитах. Признаки перикардита на электрокардиограмме
Изменения ЭКГ в динамике при перикардитах различной этиологии имеют некоторые различия. Однако основные электрокардиографические признаки характерны для перикардита независимо от этиологии.
Наибольшее значение в диагностике перикардита на основании ЭКГ имеет смещение сегмента RS - Т вверх от изоэлектрическои линии. Этот признак связан с повреждением субэпикардиальных (наружных) слоев миокарда желудочков вследствие ряда факторов, главным из которых следует считать вовлечение миокарда в воспалительный процесс.
Сегмент RS - Т обычно оказывается приподнятым с первых дней острой стадии всех форм перикардита. Продолжительность этого смещения и степень его различны. Обычно подъем умеренный, меньше, чем при трансмуральном инфаркте, но выражен достаточно четко. Иногда он держится несколько дней, 1 — 2 недели, но нередко затягивается до 1 мес и более.
Высота смещения сегмента RS - Т длительно может не меняться (Г. Я. Дехтярь). При рецидивирующем (возвратном) перикардите сегмент RS - Т смещается вверх повторно. Такие повторные смещения сегмента RS - Т наблюдаются при рецидивирующем течении постинфарктного синдрома (Dressier W.).
Смещение сегмента RS - Т часто наблюдается одновременно в большинстве отведений ЭКГ, в частности, во всех стандартных отведениях (I, II, III). Это связывают с диффузным характером перикардита и циркулярным поражением верхушки сердца (Г. Л. Лемперт). Субэпикардиальное повреждение верхушки ведет к отклонению вектора S - Т вниз (к плюсу отведений II, III, aVF), вперед (к плюсу V1 - V4) и влево (к плюсу I, aVL, V5, V6).
Этим при перикардите определяется возможность конкордантного смещения вверх сегмента RS - Т во всех перечисленных отведениях. Однако в части случаев сегмент RS - Т смещается вверх не во всех отведениях (М. Н. Решетова, Е. Е. Гогин). Так нередко не наблюдается смещение вверх сегмента RS - TV1,III, иногда и в других отведениях.
Возможны реципрокные смещения сегмента RS - Т вниз, например, в отведениях HI, aVF, V1-V3. Характерным является его конкордантный подъем в отведениях I, II, III без увеличения зубца Q, но возможно и смещение сегмента RS - Т вниз в отдельных отведениях.

ЭКГ при перикардите
Комплекс QRS при перикардите существенно не деформируется, патологический зубец Q не возникает. Это связано с отсутствием крупноочаговых некрозов в миокарде. Однако в отдельных случаях встречается небольшое увеличение или появление небольшого зубца Q.
Это может быть связано с поворотом сердца по часовой стрелке (Q) или с большой степенью повреждения и распространенными мелкоочаговыми некротическими изменениями миокарда, наблюдаемыми иногда при тяжелом течение процесса.
Исключительная редкость и незначительность увеличения зубца Q при перикардите позволяют игнорировать этот признак и даже считать его отсутствие одним из основных дифференциально-диагностических критериев перикардита относительно инфаркта миокарда.
Частым электрокардиографическим признаком перикардита является альтернация комплекса QRS, которая выражается в небольшом изменении формы и амплитуды зубцов этого комплекса, возникающем периодически через каждые 1 — 4 цикла, небольшие изменения при этом претерпевает и конечная часть желудочкового комплекса. Альтернация обычно выражена в части отведений.
При скоплении значительного выпота и облитерации полости перикарда массивными фибринозными наложениями происходит быстрое или постепенное уменьшение амплитуды всех зубцов ЭКГ. Особенно отчетливо снижается вольтаж комплекса QRS. Реже уменьшается амплитуда зубца Р, который иногда может быть увеличенным во II и III отведениях. Степень подъема сегмента RS - Т также может уменьшиться. Иногда возникают небольшие колебания расположения электрической оси сердца.
Острый перикардит.
Больной 20 лет с жалобами на острую боль в груди, у которого выслушивался шум трения перикарда.
Синусовая тахикардия с частотой сокращений желудочков 100 в минуту. Незначительный подъем сегмента ST и положительный зубец Т в отведениях I, II и V2-V6, прежде всего в отведениях V5 и V6.
Характерны легкий подъем сегмента ST, отхождение его от восходящего колена зубца S и вогнутая форма. Хронический перикардит (через 10 дней после острого перикардита).
Подъем сегмента ST и положительный зубец Т уже не определяются, но появились депрессия сегмента ST и отрицательный зубец Т в отведениях II, III, aVF и V1-V6.
Перикардиты
• Вирусная инфекция: Коксаки A9, B1–4, Эпштейн-Барра, цитомегаловирус, ВИЧ, аденовирусы, парвовирус B19.
• Невирусная инфекция: бактерии (туберкулез [ <5%]), грибы, паразиты.
• Болезни миокарда: инфаркт миокарда, миокардит.
• Метаболические расстройства: уремия, микседема.
• Травмы: постперикардотомный синдром, травма грудной клетки.
• Аутоиммунные заболевания: СКВ, ревматоидный артрит, системная склеродермия, анкилозирующий спондилит, синдром Рейтера [5–15%].
• Злокачественные новообразования: метастазы из легких, молочной железы, лимфомы [10–25%].
• Лекарства: волчаночный синдром, противоопухолевые препараты, амиодарон, анти-ТНФ препараты.
• Облучение средостения.
• Идиопатические [50%, вирусные!?].

Острый, рецидивирующий перикардит
• Загрудинные боли, усиливаются лежа на спине и при вдохе, облегчаются сидя при наклоне вперед.
• Шум трения перикарда.
• Воспалительный синдром: повышение СОЭ, лейкоцитоз, воспалительные белки.
• Клиника основного заболевания, вирусной инфекции, миокардита.
Тампонада сердца
• Гипотензия.
• Набухание шейных вен.
• Нет застоя в в легких.
• Ослабление пульса на вдохе.
Констриктивный перикардит
• Правожелудочковая недостаточность: одышка, периферические отеки, увеличение живота.
• Нет застоя в в легких.

• ЭКГ: диффузная депрессия PR и подъем ST.
• Рентгенография грудной клетки.
• Эхокардиография: выпот, утолщение перикарда.
• Компьютерная томография, магнитнорезонансная томография (толщина перикарда ≥2 мм).
• Анализ перикардиального выпота.
• Перикардиоскопия, биопсия перикарда.
• Тропонины T/I.
• Анализ крови, белки острой фазы воспаления.
• По показаниям на возможные причины: туберкулез (тесты на гамма-интерферон Т-клеток, диаскинтест), болезни соединительной ткани (антинуклеарные антитела, LE-клетки, антитела к цитруллированному пептиду), креатинин плазмы, маммография.


• Выпот (>15–35 мл), сепарация эпикарда и перикарда >1 мм в диастолу.
• Величина выпота: малый (сепарация • Утолщение (>3–4 мм) и кальцификация перикарда (констриктивный перикардит).
• Экссудат: плотность >1015, белки >3 г/дл, белок выпот/плазма >0.5, ЛДГ >200 мг/дл, ЛДГ выпот/плазма >0.6.
• Рак: цитология, опухолевые маркеры CEA >0.5 нг/мл и CYFRA 21–1 >100 нг/мл (легкие, молочная железа, толстрый кишечник, пищевод, мочевой пузырь).
• Туберкулез: ПЦР, посев, гамма-интерферон Т-клеток.

• Одышка, дискомфорт в груди, тахикардия, тахипноэ.
• Артериальная гипотензия.
• Парадоксальный пульс: снижение АД >10 мм рт. ст. при вдохе.
• Эхокардиография: колебания сердца, выраженный выпот (>20 мм), диастолический коллапс камер сердца, аномальное движение МЖП, > вариабельности митрального потока (>25%) на вдохе.
• ЭКГ: низкая амплитуда зубцов, электрическая альтернация.
• Гемодинамический эффект перикардиоцентеза.

Большие
• Лихорадка >38°C.
• Подострое начало.
• Большой выпот (сепарация >20 мм в диастолу).
• Отсутствие эффекта НПВП в течение ≥7 сут.
Малые
• Миоперикардит.
• Иммуносупрессия.
• Травма.
• Оральные антикоагулянты.
□ Острый вирусный перикардит. [I30.0]
□ Стабильная стенокардия II ФК. Маммарокоронарное шунтирование (12.09.2017), постперикардиотомный рецидивирующий перикардит. [I20.8]
□ Рецидивирующий перикардит с выраженным выпотом. [I30.8]
□ Хронический идиопатический перикардит с умеренным выпотом (сепарация 16 мм, 15.08.2019). [I31.9]
□ Острый вирусный миокардит, перикардит, фибрилляция предсерий. [I40.1]

Острый перикардит
• Ограничение активности: малоподвижный образ жизни (≥3 мес для спортсменов).
• Госпитализация: лихорадка >38ºС, подострое начало (туберкулез, рак, системное заболевание, уремия), антикоагуляция, иммунодепрессия, гипотензия, набухание шейных вен, большой выпот.
• НПВП: ибупрофен 600 мг 3 раза, аспирин 750–1000 мг 3 раза 1–2 нед.
• Преднизолон 0.2–0.5 мг/кг/сут: при противопоказаниях/неэффективности НПВП, аутоиммунных заболеваниях, постперикардиотомном синдроме, беременности. Отменять медленно (на 2.5–10 мг каждые 2 нед, ниже 15 мг/сут на 1–2.5 мг каждые 2–6 нед) при отсутствии симптомов и воспаления.
• Колхицин 0.5 г 2 раза (1 раз для массы тела • Бета-блокаторы для контроля симптомов.
• Противопоказаны антикоагулянты.
• Перикардиоцентез: тампонада, гнойный перикардит.
Рецидивирующий, хронический перикардит
• НПВП: ибупрофен, аспирин недели–месяцы.
• Колхицин в течение ≥6 мес.
• Преднизолон.
• Ингибитор интерлейкина-1 рилонацепт 320 мг, затем 160 мг п/к еженедельно.
• Азатиоприн, анакинра, в/в иммуноглобулин.
• Перикардэктомия.
Тампонада сердца
• Перикардиоцентез под визуальным контролем.
• Противопоказаны диуретики и вазодилататоры.
Констриктивный перикардит
• Лечение основного заболевания: гнойная инфекция, туберкулез.
• Противовоспалительные препараты.
• Перикардэктомия.

• Тампонада сердца.
• Выраженная сепарация эпикарда и перикарда >20 мм в диастолу на эхокардиограмме.
• Симптомный выпот более недели несмотря на лечение.
• Подозрение на инфекцию или злокачественную опухоль.
Перикардит на ЭКГ: изменения комплекса QRS и сегмента RS-T
Перикардит – это отек и раздражение перикарда, тонкой оболочки, которая окружает сердце. Электрокардиограмма – лучший способ диагностики заболевания. Развитие болезни происходит в четырех прогрессирующих стадиях.

Перикардит
Симптомы перикардита
Перикардит имеет разные типы классификации, это зависит от характера симптомов и их длительности. Заболевание обычно длится меньше трех недель. Перикардит рецидивирующий, если он возникает примерно через четыре-шесть недель после предыдущего эпизода. Болезнь считается хронической, если ее симптомы продолжаются дольше трех месяцев.
При перикардите наиболее распространенный симптом – резкая боль в груди. Она усиливается при кашле и глубоком вдохе, может отдавать в левое плечо и шею. Хронический перикардит связан воспалением и может привести к накоплению жидкости вокруг сердца (перикардиальный выпот). В зависимости от типа болезни, могут быть следующие симптомы:
- резкая, пронзительная боль в груди;
- одышка;
- учащенное сердцебиение;
- лихорадка;
- чувство слабости, усталости;
- кашель;
- отек ног.
Боль в груди – основной симптом острого перикардита, она отдает в трапецию, шею, левое плечо или руку. Общие признаки заболевания включают лихорадку, отдышку и кашель.
Проявления на ЭКГ
Для установления диагноза врач изучает анамнез, который поможет отличить боль в груди, вызванную перикардитом, от боли другого происхождения (ишемическая болезнь, инфаркт).
Электрокардиограмма – часть необходимых клинических исследований, которая обычно показывает повышение сегмента RS. Сегмент P-R вогнут, волны T не инвертированы. Особенно важно отличать перикардит от острого инфаркта миокарда, потому что тромболитическая терапия может иметь катастрофические последствия для пациентов с перикардитом.
Характерные особенности заболевания на ЭКГ:
- смещение сегмента RS-T вверх;
- восходящее вогнутое повышение сегмента RS;
- депрессия интервала P-R;
- альтернация комплекса QRS;
- отсутствие инверсии волны T;
- в хронической стадии не отмечается подъем сегмента RS, но появляется зубец T;
- боль при остром перикардите может вызывать синусовую тахикардию.
Динамика изменений ЭКГ при перикардите
Результаты перикардита развиваются в четыре основных этапа. Однако менее 50% людей проходят через эти классические фазы целиком, часто изменения не могут следовать этой конкретной схеме.
Четыре этапа ЭКГ:
- Фаза 1: этот этап охватывает первые две недели заболевания. Наблюдается общее повышение RS, за исключением отведений aVR (от правой руки), V1 (левая рука, правая рука) и III (левая нога, левая рука). P-R-депрессия наблюдается во всех отведениях.
- Фаза 2: данный этап охватывает следующие 1-3 недели болезни. Происходит нормализация изменений RS, волны T становятся отрицательными. Фаза еще называется псевдонормализованной, так как ЭКГ в пределах нормы, без дополнительных изменений.
- Фаза 3: этот этап начинается после трех недель заболевание. Он характеризуется сначала сглаживанием, а затем возрастанием T-волн.
- Фаза 4: после трех фаз болезни ЭКГ возвращается в норму, и это указывает на четвертую стадию перикардита.
Смещение сегмента RS-T
Первый признак перикардита на ЭКГ — смещение сегмента RS-Т вверх. Это связано с разрушением клеток внешних слоев миокарда и желудочков, вследствие вовлечения миокарда в воспалительный процесс. Сегмент RS-T обычно оказывается приподнятым с первых дней болезни. При повторном перикардите сегмент также смещается. Это связано с диффузным характером перикардита и циркулярным поражением верхушки сердца.
Комплекс QRS
Если в перикарде скопилась жидкость, на ЭКГ комплекс QRS и зубец T ниже нормы. Если выпот в перикарде образовался в результате микседемы, на это указывают низкий комплекс QRS, инверсия зубца T и синусовая брадикардия.
Депрессия интервала P-R
Сегмент P-R — это плоский, обычно изоэлектрический сегмент от конца зубца P до начала комплекса QRS. На изображении предмтавлен фрагмент ЭКГ с депрессией сегмента PR в V5 при остром перикардите (обратите внимание также на некоторое вогнутое повышение RS).
![]()
На рисунке ниже – повышение PR в aVR из-за острого перикардита (обратите внимание на ответную депрессию RS).
![]()
Видео: ЭКГ при миокардите
На видео описываются критерии перикардита, стадии и аспекты заболевания, ЭКГ при миокардите и ТЭЛА для наглядного сравнения:
Острый (сухой, выпотной) перикардит на ЭКГ
Острый перикардит – воспаление перикарда, которое характеризуется болью в груди, перикардиальным трением и последовательными изменениями ЭКГ. Первая и последняя стадии изменений ЭКГ видны на изображениях ниже. Различают два вида данного заболевания:
На рисунке видны изменения электрокардиограммы 1-й стадии у пациента с острым перикардитом.
![]()
На рисунке ниже показан фрагмент ЭКГ 4-го этапа у того же пациента, что и на предыдущем изображении. ЭКГ проводилось через 3 месяца после острого периода перикардита. Симптомы болезни отсутствовали, хотя инверсия T-волн сохранялась.
![]()
Электрокардиограмма показывает диффузное повышение RS. В первые дни заболевания сегмент RS расположен над изоэлектрической линией, затем уменьшается, иногда опускаясь ниже линии. Зубец T в начале болезни нормализирован. Позже он становится утолщенным и даже отрицательным. Отношение амплитуды сегмента RS к амплитуде T-волны в сегментах I, V4, V5 и V6 на электрокардиограмме может использоваться для дифференциации острого перикардита.
Серозно-фиброзный перикардит
Серозно-фиброзный перикардит – это заболевание, при котором в перикарде скапливается небольшое количество плотного белкового экссудата.
При электрокардиограмме характерными изменениями являются:
- Повышенный интервала RS, затем он может вернуться к норме, а T-волны опускаются ниже изолинии;
- Низкий P-R сегмент.
На рисунке ниже показана типичная ЭКГ при серозно-фиброзном перикардите.
![]()
ЭКГ отражает неспецифические проявления перикардита – увеличение сердца и несколько утолщенные листья околосердечной сумки. Лабораторные методы обследования могут помочь в установлении причины перикардита и оценить интенсивность воспалительного процесса в организме.
При серозно-фиброзном заболевании на листках перикарда есть гиперемия, мелкие кровоизлияния и нитки фибрина. Поверхность листков тусклая и шершавая. Выступления фибрина на поверхности серозной оболочки имеют вид волосяного покрова (поэтому заболевание называют «мохнатое сердце»). При накоплении экссудата образуется выпот в перикарде серозно-фиброзного характера. В экссудате – небольшое количество лейкоцитов, эритроцитов, клеток эпителия и фибрина.
Геморрагический перикардит
При геморрагическом перикардите экссудат содержит кровь, характерную для злокачественных и туберкулезных поражений перикарда. Данное заболевание является наиболее распространенной формой перикарда. Случаи геморрагического перикардита следуют за сезонными эпидемиями вирусов.
Заболевание характеризуется не только появлением фибрина, но и кровоизлиянием. Поверхность сердца с геморрагическим перикардитом шероховатая и красная.
Заболевание чаще всего встречается при метастатической опухоли и туберкулезе. Перикардиальный геморрагический выпот с сердечной тампонадой является возможным проявлением вирусной инфекции перикарда.
Хронический перикардит на ЭКГ
Перикардит, который длится более 6 месяцев, называется хроническим. Он бывает трех видов:
- Слипчивый. Возможно протекание слипчивого перикардита бессимптомно. Он характеризуется сращиванием перикарда с передней стенкой грудной клетки. На ЭКГ наблюдается сглаженный (инвертированный) зубец T и фибрилляция предсердий. Однозначным признаком слипчивого перикардита является низкий комплекс QRS.
- Выпотной. При выпотном перикардите на ЭКГ виден низкий вольтаж, расщепление или зазубренность зубца Р, неглубокий зубец Q, зубец T ниже изоэлектрической линии.
- Экссудативно-адгезивный перикардит является следствием острого. Его основой часто становятся опухоли, туберкулез, волчанка, систематическая склеродермия, гипотиреоз. На электрокардиограмме видно пространство между листками перикарда, разделение париетальной пластины и эпикарда при диастоле, утолщение перикарда.
Перикардит может быть вызван многими причинами (инфекцией, инфарктом миокарда, травмой, новообразованиями, нарушениями обмена веществ), но он часто является идиопатическим по своей природе. Диагностика основана на наличии клинических данных и аномалий на ЭКГ: изменений в сегментах RS –T, P-R и T-волн.
Лечение перикардита
Воспалительный процесс, локализованный в перикарде, носит название перикардит.
Перикард – тонкая двуслойная оболочка с небольшим количеством жидкости между листками, покрывающая сердце и защищающая его от возможных травм и инфекций. Кроме того, перикард не дает камерам сердца излишне расширяться во время диастолы, что также позволяет сердцу работать максимально эффективно.
Перикардит может проявляться как симптом какого-либо заболевания (системного, инфекционного или кардиального), являться осложнением при различных патологиях внутренних органов или травмах.
Перикардиты наблюдаются в любом возрасте, но чаще встречаются среди взрослого и пожилого населения, причем заболеваемость перикардитом у женщин выше, чем у мужчин.![kista-perikarda]()
Причины перикардита
Перикардит могут вызвать инфекционные и неинфекционные факторы. Встречаются перикардиты невыясненной этиологии, они называются идиопатическими. В некоторых случаях имеется сочетание инфекционного, инфекционно-аллергического, аутоиммунного, токсического механизмов.
Причины инфекционного перикардита:
- ревматизм;
- туберкулез;
- бактериальные инфекции: кокковые (при пневмонии, сепсисе) и специфические (брюшной тиф, дизентерия, холера, бруцеллез, сибирская язва, чума, туляремия);
- простейшие;
- грибки;
- вирусы (грипп, Коксаки);
- риккетсии.
Развитие инфекционного перикардита связано с проникновением в полость перикарда возбудителей по кровеносным и лимфатическим путям, реже из гнойных очагов в соседних органах.
Причины неинфекционного (асептического) перикардита:
- аллергическая реакция;
- диффузные заболевания соединительной ткани;
- болезни крови и геморрагические диатезы;
- злокачественные опухоли;
- травмы сердца;
- лучевое воздействие;
- аутоиммунные реакции (после инфаркта, после операций на сердце);
- нарушение обмена веществ (уремия, подагра);
- длительный прием глюкокортикостероидов;
- гиповитаминоз С.
![1-1]()
Симптомы перикардита
Главный симптом перикардита - острая боль в сердце, которая усиливается при кашле и движениях, а уменьшается в положении больного с наклоном вперед.
К основным, «грудным», симптомам относятся:
- Острая, кинжальная боль за грудиной. Вызвана трением сердца о перикард.
- Боль может усиливаться во время кашля, глотания, глубоком вдохе, попытке лечь.
- Боль становится меньше, когда человек сидит с наклоном вперед.
- В некоторых случаях больной придерживает грудь рукой или старается что-нибудь прижать к ней (например, подушку).
К другим симптомам можно отнести:
- Боль в груди, отдающая в спину, шею, левую руку.
- Одышка, усиливающаяся в положении лежа.
- Сухой кашель.
- Беспокойство, усталость.
У некоторых людей при перикардите могут появляться отеки на ногах. Обычно это симптом констриктивного перикардита, очень тяжелой формы заболевания.
Симптомы угрожающей тампонады сердца (невозможности адекватных сердечных сокращений за счет сдавления полостей сердца)
- Затруднение дыхания
- Поверхностное и частое дыхание
- Бледность
- Резкая слабость
- Потеря сознания
- Нарушения ритма сердца
При подозрении на тампонаду сердца требуется экстренная медицинская помощь.
Диагностика перикардита
Диагностическое обследование включает в себя:
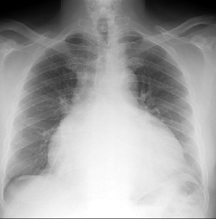
- Рентгенологическое исследование грудной клетки: на снимке четко визуализируется увеличение тени сердца и застой в легких.
- Электрокардиограмма: на ЭКГ могут быть характерные признаки нарушения работы сердца и поражения перикарда. При констриктивном перикардите на пленке также выявляются типичные изменения.
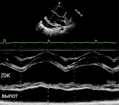
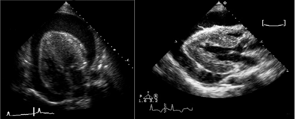
- Эхокардиография: ЭхоКГ позволяет не только «увидеть» воспалительный процесс, но и измерить количество жидкости в полости перикарда. Это особенно важно для определения необходимости хирургического вмешательства – пункции перикарда с последующим удалением лишней жидкости.
- Компьютерная томография и магнитно-резонансная томография: эти исследования помогают визуализировать наличие жидкости в полости перикарда, но и определить наличие воспаления с помощью специального вещества гадолин. КТ и МРТ позволяют оценить степень утолщения перикарда и риск тампонады сердца.
- Катетеризация сердца: этот инвазивный метод диагностики дает возможность определить эффективность работы сердца, давление в предсердиях и желудочках.
- Лабораторные исследования: специальные анализы крови помогут точно дифференцировать сердечный приступ от перикардита, а также установить природу заболевания (вирусы или бактерии). Определение уровня С-реактивного белка поможет подтвердить воспаление и определит его активность.
Также будут проведены другие анализы для исключения аутоиммунных заболеваний.
![ExternalLink_shutterstock_173818964-730x487]()
Лечение перикардита
Перед началом лечения необходимо установить причину перикардита, от этого будет зависеть схема лечения.
Во всех случаях пациенту для уменьшения болевого синдрома и в качестве противовоспалительного лечения будут назначены прротивовоспалительные препараты для суставов в больших дозах в сочетании с блокаторами протоновой помпы для защиты слизистой оболочки желудка. Это лечение поможет облегчить боль и уменьшит отек ткани перикарда.
Если перикардит стал хроническим и обострение длится очень долго (2 недели и более), то больному назначается колхицин.
Если перикардит инфекционный, антибиотики назначаются при определении бактериальной природы возбудителя. Если перикардит вызван грибками, то назначается соответствующее противогрибковое средство.
В нашем Медицинском центре "Север" г. Александров прием ведет опытный врач-кардиолог, специалист высокого класса, который проведет комплексную диагностику заболевания и назначит необходимое лечение.
Обращаясь к нам, Вы можете быть уверены в качественном результате!
Записаться на прием к специалисту и узнать все подробности можно по телефону: 8 (49244) 9-32-49
![perikardit_1-500x334]()
С августа 2021 у нас ведут прием Апряткина Юлия Владимировна, врач-невролог с 20 летним стажем, Лукина Ирина Викторовна, врач-оториноларинголог с 8 летним стажем и Гончаров Сергей Александрович, врач-дерматовенеролог с 36 летним стажем.
Читайте также:









