ЭКГ при правосформированном праворасположенном сердце. Электрокардиографические признаки правосформированного праворасположенного сердца
Добавил пользователь Евгений Кузнецов Обновлено: 23.11.2025
Обратное расположение органов (транспозиция внутренних органов, situs viscerum inversus) – довольно редкий врожденный порок развития, при котором органы человека расположены зеркально по отношению к их нормальной анатомической локализации. Для обозначения данного состояния используются также термины «зеркальное расположение внутренних органов», «гетеротаксия», «сложный синдромокомплекс аномалий развития внутренних органов с нарушенной симметрией тела».
Человеку свойственно внешнее симметричное строение тела, при этом во внутреннем строении присутствует лево-правая асимметрия. Аномалия данной асимметрии встречается у одного человека на 8 000 – 20 000. При этом сердце будет располагаться в правой стороне грудной клетки, печень с желчным пузырем - в левой части живота, желудок и селезенка – в правой. Кишечник, кровеносные сосуды и нервы также зеркально «перевернуты». Полное обратное расположение внутренних органов (situs viscerum inversus totalis), при котором все непарные внутренние органы имеют зеркальное расположение по сравнению с их обычным положением, является редко встречающейся аномалией развития с частотой распространения от 1:10 000 до 1:50 000. Такая тотальная транспозиция органов, как правило, не сопровождается патологией развития самих органов и нарушением их функции.
Считается, что первые данные об обратном расположении печени и селезенки у человека были получены итальянским анатомом и хирургом Джироламо Фабрициусом в 1600 году. Несколько позже было обнаружено аномальное расположение сердца в грудной клетке. В 1643 году итальянский анатом и хирург Марко Аурелио Северино при описании аномального расположения внутренних органов применил термин “декстрокардия”. По происшествии более, чем ста лет, британский врач Мэтью Бейли описал «полный зеркальный поворот» органов грудной и брюшной полости.
Симптомы
Поскольку во многих случаях обратное расположение органов протекает клинически бессимптомно, обнаружение таких случаев является случайной находкой при обращении к врачу по поводу различных заболеваний или с целью медицинского осмотра.
Наиболее часто в клинической практике врачам приходится встречаться с аномальным расположением сердца и сосудов – дектрокардией. Это - врожденный порок развития сердечно-сосудистой системы, при котором большая часть сердца располагается в грудной клетке справа от средней линии тела.
Если при транспозиции внутренних органов сердце остается в левой стороне грудной клетки, то такое состояние называется транспозицией внутренних органов с левокардией. Транспозиция внутренних органов с левокардией и декстрокардия без транспозиции являются намного более опасными врожденными дефектами, чем транспозиция внутренних органов с декстрокардией. В частности, изолированная декстрокардия может сопровождаться пороками сердца.
Корригированная транспозиция магистральных сосудов (КТМС) – сложный врожденный порок сердца, проявляющийся инверсией желудочков и магистральных артерий. Иными словами, аорта отходит от морфологически правого желудочка, а лёгочный ствол — от морфологически левого. При этом клинически определяются общий или дифференцированный цианоз, когда верхняя половина тела более синюшна, чем нижняя, тахикардия, одышка, увеличение размеров сердца и печени, наличие отёков, асцит. В 88% случаев у пациентов с КТМС отмечают нормальное расположение внутренних органов. Верхушка сердца располагается в левой половине грудной клетки (левокардия) в 60% случаев, но может быть и на средней линии (мезокардия), либо в правой половине грудной клетки (декстрокардия) – в 20% случаев. По данным медицинской статистики частота развития КТМС в США составляет в среднем 40 случаев на 100 тыс. новорожденных, что меньше 1% от всех врожденных пороков сердца.
У 90 – 98 % больных с праворасположенным сердцем встречаются врожденные пороки сердца, которые у 96,7 % из них носят множественный характер. Чаще всего сочетается корригированная транспозиция магистральных сосудов с дефектом межжелудочковой перегородки, клапанным или подклапанным стенозом легочной артерии, дефектом межпредсердной перегородки, аномальным дренажем легочных вен, гипоплазией легочной артерии, открытым артериальным протоком.
Транспозиция внутренних органов часто выявляется при ряде различных заболеваний человека. К ним относятся: синдром Картагенера (сидром неподвижных ресничек – первичная цилиарная дискинезия), синдром Ивемарка (врожденное отсутствие селезенки в сочетании с пороками сердца и частичным или полным обратным расположением внутренних органов). Транспозиция внутренних органов также сопровождается такими патологиями, как билиарная атрезия, отсутствие нижней полой вены и предуоденальное расположение воротной вены. Приблизительно 25 % людей с транспозицией внутренних органов имеют основной диагноз «первичная цилиарная дискинезия» - генетическое заболевание, при котором происходит нарушение цилиарного аппарата, что приводит к хроническим инфекционным заболеваниям дыхательных путей и часто сочетается с аномальным расположением органов.
Отмечены случаи декстракардии врожденной аномалии – синдроме Патау (трисомии по 13-й хромосоме).
Органы желудочно-кишечного тракта при их транспозиции расположены зеркально симметрично - слепая кишка, червеобразный отросток, восходящая ободочная кишка находятся в левой половине брюшной полости, а нисходящая и сигмовидная расположены в правой. Инверсия желудка и двенадцатиперстной кишки до желчного сосочка очень редки. Описаны единичные случаи атрезии желчевыводящих путей (отсутствие желчевыводящих путей или нарушение их проходимости) в сочетании с синдромом Ивемарка.
«Зеркальные легкие», при которых левое легкое имеет три доли (вместо двух в норме), а правое – две - еще более редкая патология. Данная аномалия протекает без клинических проявлений и регистрируется случайно при оперативных вмешательствах на легком, проведении бронхоскопии и при вскрытии умершего. Клинические признаки патологии дыхательного аппарата отмечаются при наличии синдром Картагенера.
Формы
Выделяют полную (тотальную) транспозицию внутренних органов (situs inversus viscerum totalis), при которой все внутренние органы расположены зеркально по отношению к нормальной их локализации, и частичную траспозицию (situs inversus viscerum partialis), при которой обратно расположенными оказываются отдельные органы.
Выделяют простую декстракардию (situs inversus cordis), при которой аномально расположено только сердце и гетеротаксию (situs ambiguous) – неопределенное положение внутренних органов, при этом печень может занимать центральное место с выраженной гипоспленией (уменьшение селезенки) или аспленией (отсутствие селезенки). В том случае, когда сердце находится слева при транспозиции других органов, говорят о транспозиции внутренних органов с левокардией (situs inversus incompletus).
Наиболее распространенными среди аномалий расположения сердца являются - правосформированное праворасположенное сердце (изолированная декстрокардия), которая встречается в 54% случаев и левосформированное праворасположенное сердце («зеркальная декстрокардия») – 33% случаев. В первом случае расположение других органов грудной клетки и топография органов брюшной полости соответствуют физиологической норме, во втором случае отмечают полное обратное расположение внутренних органов.
Существует два подтипа гетеротаксии: правый изомеризм (синдром асплении, синдром Ивемарка) и левый изомеризм (полиспленизм – добавочная селезенка). При левом типе изомерии отмечается удвоение леворасположенных внутренних органов, а праворасположенные могут отсутствовать.
Причины
Точные причины обратного расположения внутренних органов не выяснены.
Вероятно, транспозиция внутренних органов является результатом нарушений развития во время формирования плодного яйца (зародыша). Находит подтверждение аутосомно-рецессивный тип наследования этой патологии - при котором мутантные гены должен быть унаследован от обоих родителей.
При помощи генетических исследований установлено, что декстрокардия ассоциируется с мутациями генов DNAH5, ZIC3Shh, ACVR2, Pitx. Так, в гене ACVR2 закодирована последовательность рецептора активина - белка, относящегося к факторам роста и дифференциации клеток. В генах Pitx2 заключена информация о белках, ответственных за установку лево-правой оси у человека и ассиметричного расположения сердца, легких, селезенки, кишечника и желудка.
Аномалии расположения органов часто сочетаются с друими генетическими дефектами – синдромом Картегенера, синдромом Ивемарка, трисомией по 13-хромосоме (синдроме Патау). Синдромом Картегенера, вызывающий патологию дыхания, сопряжен с мутацией в генах (их выявлено уже более 40), определяющих дефект работы цилий (ресничек), которые в норме способствуют очищению дыхательных путей. Ген DNAH5 отвечает за синтез белка, который обуславливает силовой удар для ресничек, обеспечивая, таким образом, их нормальное ритмичное движение и продвижение слизи по дыхательным путям.
Методы диагностики
Диагностика аномального расположения органов чаще осуществляется врачом-терапевтом, кардиологом, гастроэнтерологом, хирургами, а также врачами других специальностей на основании жалоб, данных анамнеза, клинического осмотра, обязательного применения методов инструментальной диагностики, а в ряде случаев - методов генетического тестирования. Диагностика направлена на выявление форм транспозиции органов и возникающих осложнений.
Как правило, выявление наличия зеркального расположения органов проводится при объективном обследовании человека – выслушивании сердца (аускультации), перкуссии (оценка расположения органов по звуку при простукивании их места расположения), а подтверждение диагноза осуществляется при помощи инструментальных методов - ЭКГ, Эхо-КГ, рентгенологического исследования органов грудной клетки и УЗИ органов брюшной полости.
Основными задачами при аномальном расположении сердца являются установление места его локализации, выявление сопутствующих пороков развития (если таковые имеется), описание характера нарушений гемодинамики, обусловленных данными пороками. Основными инструментальными исследования при этом являются электрокардиография (ЭКГ), эхокардиография (ЭхоКГ), рентгенография органов грудной клетки, зондирование полостей сердца, ангиокардиография.
При подозрении на транспозицию органов желудочно-кишечного тракта основными способами диагностики являются лучевые методы. Для определения расположения желудка проводят его рентгенологическое исследование с контрастированием. При правостороннем расположении желудка при рентгеноскопии или рентгенографии брюшной полости подтверждением его транспозиции будет располагающийся справа газовый пузырь в желудке. При обследовании кишечника проведят ирригоскопию (рентген кишечника с ведением контрастного раствора бария).
Зеркальное положение печени и селезенки выявляется на обзорных снимках брюшной полости и при ультразвуковом исследовании. Иногда, например, при предстоящем проведении оперативного вмешательства по поводу желчекаменной болезни, для уточнения расположения желчных потоков с левой стороны дополнительно проводят холецистографию или холеграфии (исследование желчных путей). Для более точной визуализации расположения органов и отдельных анатомических структур может потребоваться проведение компьютерной томографии (КТ) и магнитно-резонансной томографии (МРТ).
Общеклинические анализы (общий анализ крови, мочи, кала), биохимические исследования, как правило, не имеют диагностического значения при транспозиции органов, а проводятся при наличии осложнений со стороны других органов, например, при наличии пороков сердца.
Поскольку зеркальное расположение органов довольно часто сочетается с генетическими аномалиями, в ряде случаев (больше в научных целях) поводят молекулярно-биологические исследования. Подтвердить диагноз первичной цилиарной дискинезии (синдром Картегенера) возможно при помощи генетических методов, выявляя часто встречающиеся мутации в генах DNAH5, DNAH11, DNAI1, CCDC39, CCDC40, CCDC103, SPAG1, ZMYND10, ODAD. Однако, почти в трети всех случаев мутации не определяются, и диагноз ставится на основании клинических признаков и данных инструментальных исследований.
Используемые лабораторные исследования:
- Клинический анализ крови.
- Биохимический анализ крови.
- Общий анализ мочи.
- Коагулограмма.
- Генетическое исследование.
Основные используемые инструментальные исследования:
- ЭКГ.
- Эхокардиография (ЭХО-КГ).
- Ангиокардиография.
- Рентген грудной клетки.
- Рентгенологическое обследование органов брюшной полости с контрастированием (желудок, кишечник (ирригоскопия).
- УЗИ органов брюшной полости (печень, почки).
- Компьютерная томография, магнитно-резонансная томография.
Дополнительные используемые инструментальные исследования:
Лечение
При сохранении нормального направления тока крови в сосудах и камерах сердца, качество жизни пациентов не нарушено, и данная аномалия лечения не требует.
При наличии левокардии с транспозициций внутренних органов, при которой пороки сердца регистрируются в 95% случаев, также может потребовать хирургическое вмешательство.
Осложнения
При сочетании транспозиции органов с аномальным расположения сердца часто выявляются различные пороки сердца, приводящие к нарушению гемодинамики и развитию гипоксии.
Наличие синдрома Картегенера сопровождается хроническими инфекционными воспалениями нижних и верхних дыхательных путей, хронических синуситов, появлением бронхоэктазов.
У пациентов с транспозицией органов пищеварительного тракта возможны осложнения при проведении ряда операций, например, при желчекаменной болезни, ввиду аномального расположения желчных протоков. Существует высокий риск хирургических осложнений при имплантации донорской печени, полученной от донора со стандартной абдоминальной анатомией, который обусловлен несоответствием формы донорской печени брюшной полости реципиента.
Профилактика
Поскольку транспозиция органов является врожденным состояние, то предотвратить эту аномалию в настоящее время невозможно.
Одним из возможных моментов профилактики может быть генетическое обследование плода для выявления аномалий (мутаций), ассоциированных с транспозицией органов.
Советы пациенту
Если у человека имеет место обратное расположение органов, он должен всегда предупреждать об этом врача перед прохождением обследования. В противном случае может возникнуть подозрение о наличии несуществующей патологии. Например, при регистрации ЭКГ может возникнуть предположение о наличии безболевой формы инфаркта миокарда.
ЭКГ при правосформированном праворасположенном сердце. Электрокардиографические признаки правосформированного праворасположенного сердца
ЭКГ при правосформированном праворасположенном сердце. Электрокардиографические признаки правосформированного праворасположенного сердца
Положительный зубец Р наблюдается также в отведениях aVL и aVF, в левых грудных отведениях и большинстве правых грудных отведений, а отрицательный — в отведении aVR.
Если положительный зубец в наших наблюдениях встретился в 84% случаев, то в других отведениях частота указанных признаков, характеризующих его направление, колебалась от 81 до 94%.
Отрицательный зубец PI отмечен нами у 2 больных. У каждого из них предполагаемой причиной являлось снижение источника ритма, а именно узловой ритм. У 3 больных зубец Pi был изоэлек-тричным, не дифференцировался, и у одного больного носил двухфазный характер. В этих 4 случаях была выраженная гипертрофия ПП и отмечались сложные нарушения ритма. Такие же причины, ведущие к изменению направления зубца Р, наблюдали Campbell, Reynolds (1952), Portillo и соавт. (1959).
У всех больных с аномальным зубцом Р были установлены тяжелые множественные врожденные пороки сердца, которые для диагностики требовали применения специальных методов исследования, таких, как катетеризация сердца и ангиокардиография.
У больных с правосформированным праворасположенным сердцем в I и aVL отведениях могут регистрироваться глубокий и расширенный зубец Q, редко наблюдающийся в нормальном сердце, и уплощенный или отрицательный зубец Г, который, по мнению Grant (1958), обусловлен смещением МЖП и электрического поля желудочка, а не ишемией миокарда, как это предполагалось в случаях, описанных Flehmig, Pries (1956). В наших наблюдениях эти признаки «а ЭКГ встретились в 62% случаев. В данных условиях отведение aVF нередко отражает потенциалы ЛЖ в виде комплексов qR.

Определенное внимание должно уделяться характеру желудочковой активации, которая, кроме анализа предсердной активации, в ряде случаев помогает установлению типа правостороннего положения сердца (Sodi-Pollares et al., 1959; Portillo et al., 1959; Mirowski et aL, 1962). При правосформированном праворасположенном сердце потенциалы ПЖ в форме комплексов rS или RS обычно регистрируются в отведениях от V6R до V2-3, а ЛЖ в виде комплексов qR или qRS — в отведениях от V3 до V6
Однако следует отметить, что сопутствующие врожденные пороки сердца могут изменять электрокардиографическую картину и затруднять распознавание желудочковых Полостей. Так, при гипертрофии ПЖ наблюдается высокий зубец R в отведениях от V6R до V4R—V3R, в то время как зубец R в левых грудных отведениях низкий и имеется глубокий зубец S.
При гипертрофии ЛЖ зубец R в отведениях от V6R до V4r—V3R невысокий и меньше, чем зубец S; в дополнение qR комплексы в большинстве левых грудных отведений от V3 до V6 (Gasul et al., 1966).
Форма ЭКГ, тождественная правосформированному праворасположенному сердцу, может встречаться у больных с левосформированным праворасположенным сердцем и гипертрофией ПЖ. В таких случаях дифференциацию электрокардиографических кривых проводят по зубцу PI и специальными методами исследования.
Информация на сайте подлежит консультации лечащим врачом и не заменяет очной консультации с ним.
См. подробнее в пользовательском соглашении.
Правосформированное леворасположенное сердце у детей
Встречается при обратном расположении органов брюшной полости или абдоминальной гетеротаксии. Это наиболее редкий вариант аномального развития. Отклонения от нормального эмбриогенеза приводят к определенному комплексу врожденных сердечно-сосудистых пороков, что позволяет отнести обычное положение сердца при абдоминальной гетеротаксии в разряд аномалий (Б. А. Константинов, 1967).
В данных условиях, даже в редких наблюдениях отсутствия врожденных пороков сердца, как правило, встречается аномалия развития нижней полой вены, заключающаяся в отсутствии печеночного ее сегмента, с оттоком крови из нижней половины тела по v. azygos или v. hemiazygos, впадающим в верхнюю полую вену. Из часто наблюдаемых врожденный: пороков сердца следует отметить дефекты межпредсердной перегородки, частичный или полный аномальный дренаж легочных вей в правое или общее предсердие, дефекты межжелудочковой перегородки и единственный желудочек сердца, транспозицию магистральных сосудов, стеноз легочной артерии. У данной категории больных, как правило, встречается добавочная или множественные селезенки.
Диагностика аномалий и сопутствующих пороков осуществляется с помощью общепринятых методов исследования кардиологических больных.
Левосформированное праворасположенное сердце
Аномалия характеризуется левосторонним формированием венозного предсердия и расположением верхушки сердца справа от грудины, так что положение отделов сердца и магистральных сосудов оказывается зеркальным изображением нормального положения сердца. В литературе применяют следующие термины для обозначения дайной аномалии: «зеркальная декстрокардия», «идеальная декстрокардия», «неосложненная декстрокардия», «истинная декстрокардия», «чистая декстрокардия».
Частота аномалии, по данным различных авторов, колеблется в широких пределах и составляет одно наблюдение на 6000 или 35 000 взрослых людей (Le Wald, 1925; Torgersen, 1950; Merklin, Varano, 1963). Истинную частоту аномалии установить чрезвычайно трудно, так как она обычно изучается в выборочных группах, например у военнослужащих, госпитализированных больных и т. д.
Анатомия
В отличие от правосформированного праворасположенного сердца при данной аномалии левосторонние полые вены соединяются с правым предсердием, расположенным также слева и несколько кпереди от левого предсердия. Правый желудочек находится спереди, и от него начинается легочная артерия, лежащая справа от средней линии тела.
Легочные вены несут кровь в праволежащее предсердие, которое сообщается с левым желудочкам, расположешгым сзади от правого желудочка. От левого желудочка отходит аорта, восходящий отдел ее по отношению к легочной артерии лежит слава и кзади. Аорта перекидывается через правый бронх и образует правую дугу. Нисходящая аорта также справа. Верхушка сердца образована левым желудочком и находится справа от грудины.

Анатомические взаимоотношения в левосформированном праворасположенном сердце при нормальном расположении магистральных сосудов
При сопутствующей корригированной транспозиции магистральных сосудов выходной отдел артериального анатомически правого желудочка расположен спереди, а венозного анатомически левого желудочка — сзади. Восходящая аорта находится кпереди и правее от слева и сзади расположенной легочной артерии.
Анатомические взаимоотношения в левосформированном праворасположенном сердце при корригированной транспозиции магистральных сосудов
Левосформированное праворасположенное сердце, за немногими исключениями, является составной частью полного обратного расположения внутренних органов. Следовательно, левое легкое состоит из трех долей, правое—из двух долей. Точно также расположение органов брюшной полости является зеркальным изображением нормального: в левой половине располагается желчный пузырь в печень, причем ее левая доля значительно больших размеров, чем правая; здесь также лежат восходящая толстая кишка, слепая кишка и червеобразный отросток; в левой половине брюшной полости можно встретить селезенку, желудок и нисходящую толстую кишку. У 16,5—25% пациентов встречается триада Kartagener, которая включает полное обратное расположение внутренних органов с левосформированным праворасположенным сердцем, бронхоэктазы и параназальный синусит (Olson, 1943; Torgersen, 1949).
Врожденные пороки при левосформированном праворасположенном сердце, по сравнению с другими аномалиями расположения сердца, наблюдаются значительно реже, но в то же время чаще, чем при обычном положении сердца. Частота их составляет 4—8% (Б. А. Константинов, Г. И. Астрахагацева, 1965; Keith е. а., 1958; Mevklin, Varano, 1963). Наиболее часто встречаются дефекты межжелудочковой перегородки (75—80%), единственный желудочек (18%), дефекты межпредсердной перегородки (35%), стеноз легочной артерии (50%), стеноз аорты (9%), аномалии системных вен (20—25%), транспозиция магистральных сосудов (35—40%). Кроме того, следует помнить, что у здоровый людей с левосформированным праворасположенным сердцем в течение жизни может возникнуть любое из известный заболеваний сердечно-сосудистой системы.
Клиника
При объективном исследовании пациента верхушка сердца и сердечная тупость определяются справа от грудины. Там же лучше прослушиваются тоны сердца и при врожденных пороках — сердечные шумы. Типичная электрокардиографическая картина характеризуется отрицательным зубцом Р в I стандартном отведении, отражая расположение синусового узла в левостороннем предсердии. При гипертрофии правого желудочка наблюдаются высокие зубцы R в левых грудных отведениях и глубокие S в правых грудных отведениях. При гипертрофии левого желудочка наблюдаются высокие комплексы qR в правых грудных отведениях и относительно более глубокие зубцы S в левых грудных отведениях.
Если поменять местами электроды правой и левой руки и наложить грудные электроды таким образом, что их положение будет являться зеркальным отображением нормального, то электрокардиографическую картину можно анализировать как у пациентов с нормальным расположением сердца, т. е. без учета его правостороннего положения.
При рентгенологическом иcследовании в прямой проекции определяется зеркальное изображение сердечного силуэта. При исследовании в первом косом положении отмечается картина, соответствующая нормальному второму косому положению, и, наоборот, во втором косом положении определяется силуэт сердца, обычно наблюдаемый в первом косом положении. В противоположность рентгенологической картине в прямой проекции тень сердца в боковой проекции имеет нормальную конфигурацию и ее контуры образованы отделами сердца, которые наблюдаются в обычных условиях.
С помощью катетеризации сердца и ангиокардиографического исследования уточняется левостороннее положение полых вей, топография сердечных полостей и магистральных сосудов, выявляются сопутствующие врожденные пороки сердца.
Диагноз левосформированного праворасположенного сердца можно поставить после начального клинического исследования, выявляющего наличие сердечной тупости, верхушки сердца и тимпанита желудка справа от средней линии тела, а печеночной тупости — слева. Эти данные подтверждаются рентгенологическим исследованием и анализом ЭКГ, на которой регистрируется отрицательный зубец Р в стандартном отведении. Окончательный диагноз аномалии и сопутствующих врожденных пороков устанавливается с помощью катетеризации сердца и ангиокардиографии, выполненной в двух проекциях.
Дифференциальный диагноз проводится со всеми вариантами правостороннего положения сердца.
Лечение
Хирургическому лечению подлежат лишь сопутствующие врожденные или приобретенные заболевания сердца. Встречаемые тактические и технические трудности обычно такие же, как и при нормальном положении сердца.
Левосформированное леворасположенное сердце
Эта аномалия известна в литературе как левокардия с транспозицией брюшных органов, изолированная левокардия, синистроверсия сердца, левоверсия сердца, смешанная левокардия с инверсией предсердий. По статистике Keith с соавт. (1958), аномалия встречается примерно в 10 раз реже, чем левосформированиое праворасположенное сердце, и составляет 0,8—1% среди всех аномалий развития сердца (Campbell, Forgacs, 1953; Gasul e. a., 1966).
Из-за тяжелых множественных врожденных пороков сердца, сопровождающих аномалию, 75% этих больных не доживают до 1 года и только 6% больных живы после 5-летнего возраста. Анатомо-эмбриологическая сущность аномалии заключается в том, что полые вены и правое предсердие формируются слева, как при левосформированном праворасположенном сердце, но в отличие от последнего верхушка и основная масса сердца также располагаются в левой половине грудной клетки. В целом этот вариант аномалии можно представить как зеркальное изображение правосформированного праворасположенного сердца. Однако данной аномалии, как правило, сопутствуют бульбо-вентрикулярная инверсия и прямое развитие аорто-легочной перегородки, т. е. корригированная или инверсионная транспозиция магистральных сосудов.
Анатомия
При данной аномалии левосторонние полые вены находятся более медиально и соединяются с правым предсердием, расположенным также слева. Последнее сообщается с венозным анатомически левым желудочком, выходной отдел которого направлен назад, вверх и медиально и дает начало легочной артерии. Правостороннее левое предсердие находится несколько более кпереди, чем правое предсердие, и сообщается с артериальным анатомически правым желудочком, выходной отдел которого лежит спереди по отношению к выходному отделу венозного желудочка. От артериального желудочка отходит восходящая аорта, располагающаяся справа и спереди от ствола легочной артерии.
Дуга и нисходящая аорта также справа. Верхушка сердца ориентирована влево, вперед и вниз. Печень располагается под левым углом диафрагмы, желудок — под правым. Нередко можно отметить признаки абдоминальной гетеротаксии в виде срединного расположения печени, общей брыжейки и аномалии развития селезенки, вплоть до ее отсутствия.
За единичными исключениями, при данной аномалии наблюдаются врожденные пороки сердца, причем последние, как правило, носят тяжелый множественный характер. В 95—100% наблюдений можно отметить корригированную или инверсионную транспозицию магистральных сосудов. Часто встречаются дефекты межпредсердной (70% случаев) и межжелудочковой перегородок, единственный желудочек сердца (30%), двухкамерное сердце (10— 15 %), общий атрио-вентрикулярный канал (10—15%), стеноз или атрезия легочной артерии (95—100%), аномалии системных вен (25—30% случаев).
Клиника
При объективном исследовании определяется левостороннее расположение тупости сердца и верхушечного толчка. Печеночная тупость определяется слева, желудочный тимпанит — отрава. Последнему признаку следует, очевидно, придавать большое значение, так как срединное расположение печени может приводить к ложному представлению о ее правостороннем положении и создавать трудности в клинической диагностике. При сопутствующих пороках сердца максимум сердечный шумов обычно определяется слева от грудины. 90—95% пороков протекают с цианозом.
Типичной электрокардиографической находкой является наличие отрицательного зубца Р в I стандартном отведении, свидетельствующее о левостороннем положении правого предсердия. В грудных отведениях увеличивается вольтаж комплексов QRS в отведениях от Ув до Vi и далее снижается к Убя. Электрокардиографические признаки гипертрофии правого или левого желудочка такие же, как и у больных с правосформированным праворасположенным сердцем, но с учетом зеркальности изображения.
Катетеризация сердца
По ходу катетера внутри сердца устанавливается левостороннее положение полых вен и правого предсердия. Образование острого угла между приточным и выходным отделом венозного желудочка и частый стеноз легочной артерии практически исключают проведение катетера в этот сосуд.
Ангиокардиографическое исследование, как правило, выявляет сопутствующие корригированную транспозицию магистральных сосудов, стеноз легочной артерии и другие пороки, часто множественные, комплексные.
Диагноз
С помощью объективного исследования больного и рентгенологических данных можно только установить наличие леворасположенного сердца с обратным расположением органов брюшной полости или абдоминальной гетеротаксией. В пользу диагноза левосформированного сердца будет свидетельствовать отрицательный зубец Р в I стандартном отведении и проведение катетера в левосторонние полые вены и правое предсердие при катетеризации сердца. Окончательный диагноз устанавливается ангиокардиографическим исследованием, без которого практически невозможно и выявление характера сопутствующих пороков.
Лечение
Неопределенно сформированное сердце
Аномалия представляет собой комплексное поражение сердечно-сосудистой системы, при котором даже детальное анатомическое изучение предсердной полости, расположения полых и легочных вен не позволяет высказаться о характере формирования сердца.
Рассмотрение аномалии будет производиться без разделения на группы в зависимости от положения верхушки сердца, так как в данных условиях ее направление является малосущественным компонентом множественных пороков сердца.
Неопределенно сформированное сердце является результатом остановки развития на ранних стадиях эмбриогенеза, до развития тела по пути асимметрии. В связи с этим органы тела, включая сердце, имеют тенденцию к аномальной симметрии по форме и к примитивному строению (Grant, 1958).
Аномалия обычно протекает в виде двух патологических синдромов. Анатомическая картина первого из них включает: 1) общее предсердие; 2) добавочную верхнюю полую вену, впадающую в общее предсердие; отсутствие печеночного сегмента нижней полой вены; 3) частичный (или полный) аномальный дренаж легочных вен, симметрично впадающих в общее предсердие; 4) расщепление септальных створок атрио-вентрикулярных клапанов; 5) часто праворасположенное сердце; 6) часто — по 2 доли в каждом легком; 7) абдоминальную гетеротавдсию: срединную печень, общую брыжейку; 8) добавочные или множественные селезенки.
Схема неопределенно сформированного праворасположенного сердца в виде первого и второго патологических
синдромов
Второй синдром, протекающий в форме открытого общего атрио-вентрикулярного канала или двухкамерного сердца, характеризуется следующим патологическим строением: 1) общее предсердие; 2) открытый общий атрио-вентрикулярный канал или общий атрио-вентрикулярный клапан; 3) дефект межжелудочковой перегородки или единственный желудочек сердца; 4) добавочная верхняя полая вена, впадающая в общее предсердие; отсутствие печеночного сегмента нижней полой вены; 5) полый аномальный дренаж легочных вен в верхнюю полую вену, в общее предсердие или в портальную (венозную систему; 6) транспозиция магистральных сосудов (часто, но не обязательно); 7) стеноз и атрезия легочной артерии; 8) часто праворасположенное сердце; 9) часто — по 3 доли в каждом легком; 10) абдоминальная гетеротаксия: срединная печень, общая брыжейка, неполная ротация двенадцатиперстной кишки, дистопия поджелудочной железы; 11) аспления.
Множественный характер поражения сердца и сложность гемодинамических расстройств обусловливают крайне тяжелое течение заболевания у этой категории больных. Так, например, по сводной статистике Rothraaler с соавт. (1968), 85,5% больных, обнаруживающих анатомические признаки второго синдрома, умирают в течение первого года жизни.
Радикальное хирургическое лечение возможно у отдельных больных с первым синдромом, и ему не подлежат больные со вторым синдромом, проведение которым даже паллиативных операций некоторые авторы считают нецелесообразным.
Декстрокардия с транспозицией органов (situs inversus)

Впервые аномальное расположение сердца в грудной клетке научно описал итальянский анатом и хирург Иероним Фабриций в 1606 году. Марко Аурелио Северино применил термин «декстрокардия» в 1643 году при описании у пациента зеркального расположения внутренних органов. Более века спустя Мэтью Бейли описал транспозицию органов как полный поворот органов грудной и брюшной полости в зеркальном изображении [1].
В настоящее время под декстрокардией понимают редкую врожденную аномалию развития сердечно-сосудистой системы, при которой сердце расположено в грудной клетке справа, соответственно все входящие и исходящие сосуды сердца расположены зеркально своему обычному положению. С помощью генетических исследований установлено, что декстрокардия ассоциируется с мутацией генов HAND, ZIC3Shh, ACVR2, Pitxz, и доказан аутосомно-рецессивный тип наследования этой патологии. Мутации происходят в первом триместре беременности, когда осуществляется закладка всех органов и систем.
Частота указанных аномалий достигает 1,5-5% среди всех врожденных пороков сердца и, как правило, сочетается с транспозицией магистральных сосудов 3. Наиболее распространенным среди них являются правосформированное праворасположенное сердце (изолированная декстрокардия) – 54% и левосформированное праворасположенное сердце («зеркальная декстрокардия») – 33%. В первом случае расположение других органов грудной клетки и топография органов брюшной полости соответствуют физиологической норме, во втором случае отмечают полное обратное расположение внутренних органов (situs inversus) [5].
В зависимости от ориентации внутренних органов выделяют [6]:
– situs inversus cordis – простая декстрокардия, при которой зеркально расположено только сердце; встречается очень редко;
– situs viscerum inversus partialis – сердце и некоторые органы дыхательной или пищеварительной системы расположены зеркально;
– situs viscerum inversus totalis – все внутренние органы имеют зеркальное расположение.
Два последних вида декстрокардии называются зеркальными. При декстрокардии нередко встречаются и другие врожденные пороки сердца, в том числе эндокардиальные дефекты, стеноз легочной артерии, дефект межжелудочковой перегородки (МЖП), двухместный желудочковый выход, транспозиция магистральных сосудов, тетрада Фалло [1, 6, 7], а также может обнаруживаться двух-, трехкамерное сердце [6].
В редких случаях встречается неопределенное разнонаправленное положение внутренних органов, которое называется гетеротаксией, или situs ambiguous. При этом у пациентов печень может быть расположена по срединной линии, селезенка может отсутствовать или может быть не одна, структура предсердий неопределенная, кишечник перевернут; как правило, односторонние структуры дублируются или отсутствуют [2, 8, 9, 10].
Клиника и диагностика
Простая декстрокардия, которая не сопровождается врожденными пороками развития сердца и внутренних органов, может не проявляться клинически и часто обнаруживается случайно во время медицинского осмотра или проведения электрокардиографии (ЭКГ) и рентгеновского исследования [11]. Такие пациенты могут не предъявлять никаких жалоб, и лишь чаще других страдают заболеваниями дыхательной системы. Декстрокардию клиницист довольно легко может заподозрить при физикальном обследовании: при пальпации верхушечный толчок обнаруживается справа, также при перкуссии смещается сердечная тупость.
Расположение сердца определяется положением предсердий [12]. При транспозиции органов морфологически правое предсердие (ПП) находится слева, а левое предсердие (ЛП) – справа. При этом структурно легкие повернуты таким образом, что левое легкое имеет 3 доли и правое легкое – 2 доли. Кроме того, печень и желчный пузырь расположены с левой стороны брюшной полости, в то время как селезенка и желудок расположены справа.
При отсутствии сопутствующих патологий аномальное расположение сердца не влияет на продолжительность и качество жизни. У таких людей рождаются здоровые дети с нормальным расположением всех внутренних органов, хотя считается, что вероятность рождения ребенка с декстрокардией у них все же несколько выше.
При сочетании декстрокардии с другими аномалиями внутренних органов на ранних стадиях заболевания могут проявиться следующие симптомы: задержка в росте и наборе веса, быстрая утомляемость, склонность к инфекционным заболеваниям дыхательных органов, выраженная слабость, затрудненное или учащенное дыхание, учащенное сердцебиение, бледность, цианоз кожных покровов и/или желтушность кожи и склер.
При возникновении первых клинических проявлений заболевания лечащий врач в обязательном порядке должен выполнить комплекс диагностических обследований:
• объективный осмотр, перкуссию и аускультацию;
• рентгенологическое исследование;
• ЭКГ ;
• ультразвуковое исследование (УЗИ) сердца и сосудов;
• компьютерную томографию (КТ);
• магнитно-резонансную томографию (МРТ);
• при необходимости ангиокардиографию и катетеризацию сердца.
Клинический случай
Пациент Р. был госпитализирован в отдел некоронарных болезней сердца и ревматологии ГУ ННЦ «Институт кардиологии им. Н.Д. Стражеско» НАМН Украины с жалобами на боль за грудиной длительностью 5-30 мин без четкой связи с физической нагрузкой, одышку при умеренной физической нагрузке, ощущение перебоев в работе сердца, нитраты не принимал. Пациент отмечал повышение артериального давления (АД) до 170/100 мм рт. ст. при «рабочем» АД 160/90 мм рт. ст. на протяжении 10 лет.
Пациент также сообщил о наличии у него обратного расположения внутренних органов (situs inversus), что было выявлено во время выполнения плановой аппендэктомии в детстве. Обратное расположение внутренних органов также было у родного брата пациента и отсутствовало у дочери. На догоспитальном этапе больной принимал бисопролол в дозе 2,5 мг/сут и ацетилсалициловую кислоту в дозе 75 мг/сут.
При пальпации сердечный толчок располагался в пятом межреберье справа по среднеключичной линии, перкуторно тупость сердца обнаруживалась в правой половине грудной клетки. Аускультативно тоны сердца максимально прослушивались справа соответственно общепринятым аускультативным точкам, симметрично смещенным на правую половину грудной клетки. При пальпации внутренних органов печень и селезенка имели зеркальное расположение.
Общий анализ крови не продемонстрировал отклонений от референтных величин. В биохимическом анализе: калий – 4,2 ммоль/л, натрий – 144 ммоль/л, билирубин – 17 мкмоль/л, креатинин – 67 ммоль/л, глюкоза – 4,6 ммоль/л, общий холестерин – 5,8 ммоль/л, триглицериды – 1,7 ммоль/л.
На ЭКГ, записанной с классическим расположением электродов (рис. 1), в I стандартном отведении регистрировался отрицательный зубец Р, а основной зубец комплекса QRS направлен вниз от изолинии. Вследствие такой ориентации средних векторов QRS зубец RIII становится выше зубца RII. Зубец РII сглаженный, РIII – положительный. В грудных отведениях V1-V6 в комплексе QRS преобладает зубец S. В правых грудных отведениях зубец Р положительный, в левых – отрицательный. По этим признакам в общепринятых отведениях дается заключение о декстрокардии.
Для выявления изменений миокарда при декстрокардии нами была проведена запись ЭКГ с зеркальным расположением грудных электродов и ротацией электродов на правой и левой руках (рис. 2). Для этого красный электрод был перемещен с правой руки на левую, а желтый – на правую руку. Грудные отведения были записаны с левой и правой половин грудной клетки в следующем порядке: V2, V1, V3R-V6R. В этих отведениях направление зубцов и возрастание их амплитуды соответствует нормальным взаимоотношениям зубцов в отведениях V1-V6 при обычном расположении сердца [13].
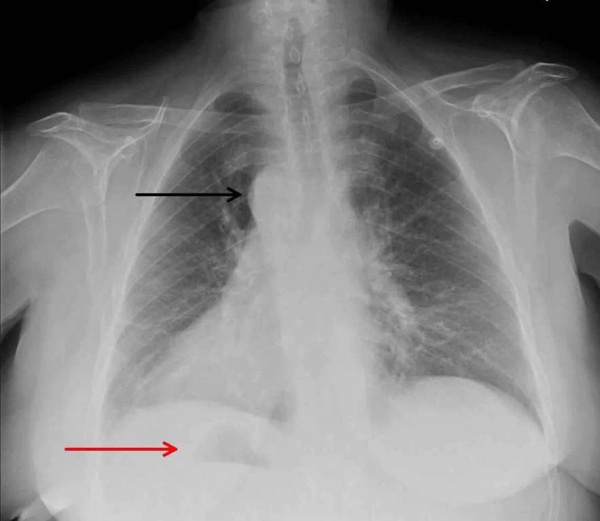
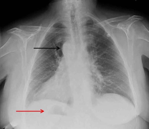
При рентгенологическом исследовании обнаружено аномальное расположение сердца: тень сердца находится преимущественно в правой половине грудной клетки, верхушка сердца ориентирована вправо (рис. 3).
При УЗИ сосудов головы и шеи выявлено утолщение комплекса интима-медиа до 1,5 мм. В области бифуркации общей сонной артерии слева визуализируется атеросклеротическая бляшка, суживающая до 20% просвета сосуда.
Результаты проведенных инструментальных исследований продемонстрировали поражения миокарда ЛЖ, которые проявлялись его дилатацией, нарушением глобальной и сегментарной систолической функции. Правостороннее расположение сердца в грудной клетке несколько усложняло качество визуализации сердца при проведении ЭхоКГ. Был составлен список вероятных нозологических причин обнаруженных изменений ЛЖ: гипертоническая болезнь с развитием гипертензивного сердца, хронический миокардит неуточненной этиологии или постинфарктный кардиосклероз как следствие ишемической болезни сердца (ИБС).
Учитывая неангинальный тип боли за грудиной, мужской пол и возраст пациента, претестовая вероятность ИБС у больного составила 44%, что требовало проведения дальнейшего неинвазивного обследования для верификации или исключения ИБС. У пациента невозможно было провести нагрузочный ЭКГ-тест (признаки гипертрофии ЛЖ на ЭКГ и депрессия сегмента ST в покое) и стресс-ЭхоКГ (неудовлетворительное акустическое окно), поэтому для данной цели использовалась КТ сердца с контрастированием коронарных артерий. Метод КТ является предпочтительным для постановки окончательного диагноза при транспозиции органов с декстрокардией, обеспечивает хорошую анатомическую детализацию расположения висцеральных органов, положение верхушки сердца и отхождение магистральных сосудов [15].
При мультиспиральной КТ-коронарографии сердце и крупные сосуды являются зеркальным отражением их нормальной анатомии; обнаружены признаки начальных атеросклеротических изменений коронарных артерий и локального кальциноза (единичная стабильная коронарная бляшка) (рис. 6). В проксимальном сегменте передней межжелудочковой ветви (ПМЖВ) левой коронарной артерии (ЛКА) атеросклеротическая бляшка без признаков гемодинамически значимого стеноза – 20% (рис. 7). Полости сердца – без особенностей (рис. 8). Транспозиция внутренних органов (рис. 9). Левая половина грудной клетки содержит трехдолевое легкое, правая половина грудной клетки – две доли легкого; печень и желчный пузырь находятся в левой половине брюшной полости, селезенка и желудок – справа. Частичный ателектаз средней доли левого легкого и сегментов S7, S8. Жировой гепатоз. Расширение восходящего отдела аорты.
Для уточнения характера поражения миокарда и проведения дифференциальной диагностики было принято решение провести МРТ сердца. МРТ с высокой степенью достоверности позволяет получить точную информацию об анатомическом строении и расположении отдельных внутренних органов, этот метод визуализации имеет особое значение при диагностике положения предсердий 18.

Рис. 7. КТ-изображения ПМЖВ ЛКА (МСКТ2
постпроцессинговая обработка). КТ-признаки локального кальциноза в проксимальном сегменте ПМЖВ ЛКА, без гемодинамически значимого стеноза на указанном уровне (стрелка)
У нашего пациента при МРТ сердца c внутривенным болюсным контрастированием (гадолиниевый контраст, 20 мл) не было выявлено признаков кардиофиброза и воспалительных изменений миокарда ЛЖ (рис. 10). Обнаружено незначительное снижение глобальной сократительной функции ЛЖ, локальную гипертрофию базального отдела МЖП. Левые отделы сердца незначиельно расширены. Выявлено транспозицию органов грудной клетки и брюшной полости (рис. 11-13).
МРТ-признаков воспалительного поражения миокарда ЛЖ и кардиофиброза ЛЖ не обнаружено.
Таким образом, проведенные исследования позволили установить пациенту следующие диагнозы:
• Гипертоническая болезнь сердца, II стадия, 2 степень. Гипертензивное сердце. Риск 4 (очень высокий).
• ИБС: атеросклероз коронарных артерий (стеноз ПМЖВ ЛКА – 20%, МСКТ-коронарография 20.01.16). Частая желудочковая экстрасистолическая аритмия (4,9%), нечастая суправентрикулярная экстрасистолическая аритмия (ХМЭКГ 21.01.16). Сердечная недостаточность I стадии.
• Гиперхолестеринемия.
• Транспозиция внутренних органов (situs inversus).
Назначено следующее лечение: бисопролол – 2,5 мг 1 раз в сутки; фиксированная комбинация индапамид 2,5 мг/периндоприл 5 мг 1 раз в сутки; амлодипин – 2,5 мг/сут; ацетилсалициловая кислота 75 мг/сут; аторвастатин – 20 мг/сут; пропафенон – 150 мг 2 раза в сутки.
Больной был выписан с улучшением.
Декстрокардия
Декстрокардия — это аномалия внутриутробного развития, при которой большая часть сердца расположена с правой стороны грудной клетки. Изолированная форма патологии протекает бессимптомно и выявляется во время профосмотров. При сочетании декстрокардии с другими пороками отмечаются цианоз или бледность кожи, слабость, судороги. Диагностика включает физикальный осмотр, ЭКГ, эхокардиографию, рентгенографию грудной клетки. При необходимости проводят инвазивные исследования — ангиокардиографию, катетеризацию сердца. Лечение неосложненной декстрокардии не требуется. При наличии угрожающих жизни аномалий назначают их оперативную коррекцию с последующей реабилитацией больных.
МКБ-10

Общие сведения
Термин «декстрокардия» образован из двух слов: латинского «dexter» (правый) и греческого «kardia» (сердце). Относится к редким аномалиям: частота встречаемости в разных регионах колеблется от 1:8000 до 1:25000 новорожденных. В России распространенность декстрокардии составляет 3,3% от всех аномалий положения органа. Декстрокардию следует отличать от декстрапозиции сердца — приобретенного патологического состояния, которое возникает при смещении органа (вследствие левостороннего гидроторакса, опухоли, правостороннего ателектаза).
Причины декстрокардии
Развитие заболевания связывают с генетическим дефектом, проявляющимся на этапе внутриутробного формирования органов плода. У страдающих декстрокардией выявлены специфические мутации генов HAND, ZIC3Shh, ACVR2, Pitxz. Наибольшее признание получила теория аутосомно-рецессивного наследования порока: аномальное положение сердца носит семейный характер, повторяется через 1-2 поколения.
Помимо семейной предрасположенности, в процессе мутаций генетического материала доказано участие тератогенных факторов. Экзогенные тератогены подразделяются на 3 основных группы по характеру воздействия:
- физические (ионизирующее излучение);
- химические (алкоголь, лекарственные препараты);
- биологические (бактериальные и вирусные инфекции).
Эндогенные причины включают гинекологические и экстрагенитальные заболевания беременной, тяжелые токсикозы.
Патогенез
В основе декстрокардии лежит нарушение процессов эмбриогенеза на ранних стадиях внутриутробного развития. В норме на 1-2 месяце беременности формирующаяся сердечная трубка начинает изгибаться влево. При наличии типичных для декстрокардии мутаций происходит аномальное искривление этой трубки в правую сторону. При этом нарушается дальнейшее формирование эмбриона, может изменяться позиция других висцеральных органов, чаще всего печени и селезенки.
Классификация
С учетом особенностей закладки органа в эмбриональном периоде выделяют 3 варианта аномалии:
- правосформированное праворасположенное сердце (изолированная декстрокардия);
- левосформированное праворасположенное («зеркальная» форма);
- неопределенно сформированное праворасположенное.
Врачи-кардиологи при изучении вопроса аномалии положения сердца используют классификацию, которая учитывает локализацию других органов. Варианты декстрокардии:
- Простая инверсия сердца. Форма аномалии, при которой наблюдается зеркальное расположение сердца, однако анатомия других органов грудной и брюшной полостей не изменена. Встречается крайне редко.
- Частичная инверсия внутренних органов. При таком варианте декстрокардии аномально расположены сердце и ряд внутренних органов. Чаще вправо перемещены селезенка, печень.
- Тотальня инверсия внутренних органов. Декстрокардия, которая сопровождается обратным расположением всех органов грудной клетки и живота. Редкая аномалия, которая выявляется с частотой 1 случай на 15-20 тысяч населения.
Симптомы декстрокардии
Изолированная форма, которая не сочетается с другими сердечными аномалиями, не имеет клинических проявлений. Специфические жалобы обычно отсутствуют. Состояние обнаруживается в детском или взрослом возрасте при проведении профилактических осмотров, обращении за врачебной помощью по другой причине. Люди с декстрокардией чаще других страдают болезнями нижних дыхательных путей: трахеитами, бронхитами.
Клинические симптомы возникают при наличии других аномалий висцеральных органов или возникновении на фоне декстрокардии кардиальной патологии. Пациенты ощущают постоянную слабость и повышенную утомляемость, не проходящую после сна. Их периодически беспокоят приступы учащенного сердцебиения, головокружения. Кожные покровы становятся бледными, иногда возникает синеватый оттенок кожи вокруг рта, на пальцах рук.
Сочетание декстрокардии и врожденных сердечных пороков проявляется яркой клинической картиной уже в раннем детском возрасте. Для «белых» пороков характерна постоянная бледность кожи, при «синих» формах наблюдаются акроцианоз или тотальный цианоз. Появляются одышечно-цианотические приступы: ребенок становится беспокойным, кожа холодная, дыхание хриплое и прерывистое.
Осложнения
Неосложненная сердечными пороками декстрокардия не представляет серьезной опасности для жизни и здоровья. При присоединении синдрома Картагенера развивается прогрессирующая дыхательная недостаточность, формируются обширные гнойно-воспалительные очаги в легочной паренхиме. Сложности возникают при оказании неотложной реанимационной или хирургической помощи больным, поскольку зеркальная анатомия затрудняет постановку диагноза.
Если декстрокардия комбинируется с аномалиями формирования сердечных структур или магистральных сосудов, возможны серьезные осложнения. Гемодинамические нарушения при «синих» пороках быстро прогрессируют в течение первых месяцев жизни ребенка. Хроническая гипоксия чревата необратимым повреждением мозга, снижением интеллекта, инвалидностью. При отсутствии квалифицированной кардиохирургической помощи высок риск летального исхода.
Диагностика
Опытный терапевт-кардиолог может заподозрить декстрокардию уже на первичном приеме при физикальном исследовании. В ходе пальпации предсердечной области верхушечный толчок обнаруживается справа от грудины. Перкуторно врач отмечает смещение границ сердечной тупости вправо, при аускультации выслушиваются изменения сердечных тонов. При подозрении на декстрокардию назначают полное обследование, в которое включены следующие методы:
- ЭКГ. Электрокардиография является наиболее простым и информативным исследованием для подтверждения декстрокардии. На кардиограмме отмечаются отклонение электрической оси сердца вправо, отрицательные зубцы Р и Т, высокоамплитудные зубцы R в правых грудных отведениях.
- Рентгенография ОГК. На рентгенограмме визуализируется смещение сердечной тени вправо, при комбинированных аномалиях изменяются контуры магистральных сосудов. Чтобы подтвердить транспозицию проводится рентгенография органов брюшной полости.
- УЗИ сердца и сосудов. Эхокардиография выполняется для оценки функциональной способности аномально расположенного сердца. На ЭхоКГ видна структура сердечной стенки, скорость кровотока, фракция выброса.
- Дополнительные исследования. В качестве подготовки к хирургической коррекции пороков развития показаны ангиокардиография или катетеризация сердечных полостей. Для выявления сопутствующих патологий зеркально расположенных внутренних органов рекомендуют КТ брюшной полости.

Лечение
Консервативная терапия
Аномальное расположение сердца без дополнительных заболеваний не сопровождается расстройствами гемодинамики и не требует лечения. При развитии сердечно-сосудистых заболеваний терапию проводят так же, как и для больных с отсутствием декстрокардии. При сочетании аномалии с синдромом Картагенера назначается симптоматическая терапия, предполагающая прием ингаляционных и топических назальных кортикостероидов, бета-адреномиметиков.
Хирургическое лечение
Оперативное вмешательство показано при сочетанных пороках развития сердца, транспозиции магистральных сосудов. Срок выполнения операции устанавливают с учетом вида порока и тяжести нарушений гемодинамики. Если угрожающие жизни состояния отсутствуют, хирургическую коррекцию откладывают до 3-6-летнего возраста ребенка. Когда декстрокардия сочетается с тяжелыми пороками (например, тетрадой Фалло), вмешательство проводят в максимально ранние сроки.
Реабилитация
В современной кардиологии применяют трехэтапную реабилитационную программу для пациентов, которые перенесли операцию по коррекции аномалий сердечно-сосудистой системы. Медицинский этап занимает первые дни-недели после хирургического вмешательства. Затем приступают к физической и психофизиологической реабилитации, которая включает массаж, ЛФК, физиотерапию. Заключительный этап — социально-трудовая реабилитация взрослых больных.
Прогноз и профилактика
Изолированные формы декстрокардии не влияют на качество жизни, не повышают риск развития других заболеваний. Прогноз благоприятный. Комбинированные пороки протекают более тяжело, но при проведении своевременного и комплексного лечения удается добиться полной медицинской и социальной реабилитации пациентов. Профилактические мероприятия направлены на устранение тератогенных факторов, медико-генетическое консультирование беременных.
3. Декстрокардия с транспозицией органов (situs inversus). Е. Г. Несукай, С. В. Федькив, Н. С. Поленова, А. А. Даниленко// Здоровье Казахстана. – 2016.
4. Организационное планирование третьего этапа реабилитации детей с врожденными пороками сердца различных возрастных групп. Л.А. Бокерия, Е.Б. Милиевская, С.М. Крупянко, М.Н. Неведрова. Менеджер здравоохранения. – 2015.
Читайте также:
