Эндофтальмит
Добавил пользователь Владимир З. Обновлено: 29.01.2026
В статье приводится клинический случай лечения хронического послеоперационного эндофтальмита после факоэмульсификации катаракты. Пациенту была выполнена витрэктомия с дисцизией задней капсулы хрусталика, тампонадой витреальной полости перфторорганическим соединением (до 14 суток) и интравитреальным введением 1 мг ванкомицина и 2,25 мг цефтазидима, а также промыванием передней камеры 0,5 мл физиологического раствора, содержащего 5 мг ванкомицина. Промывание передней камеры антибиотиком и введение комбинации антибактериальных препаратов интравитреально повторяли на вторые и третьи сутки после операции. Данная тактика лечения позволила сохранить капсульный мешок хрусталика и интраокулярную линзу. Цель. Оценить эффективность и безопасность нового метода лечения у пациента с хроническим послеоперационным эндофтальмитом. Пациент Б., 65 лет, поступил в клинику с жалобами на боль правого глаза, снижение остроты зрения до счета пальцев у лица. Симптомы стали беспокоить через 2 недели после проведенной операции по поводу экстракции катаракты с имплантацией ИОЛ. В течение 6 месяцев по месту жительства проводились курсы антибактериальной терапии, включающие использование антибиотика резерва — ванкомицина, но без положительной динамики. При проведении биомикроскопии определялся отек роговицы, множественные преципитаты на эндотелии и интраокулярной линзе; гипопион 2,5 мм в передней камере; фибрин в проекции зрачка; экссудация в полости стекловидного тела. Данные лазерной тиндалеметрии (поток белка в передней камере) подтвердили достаточно сильное воспаление — 173 ф/мс. Пациенту проведено хирургическое лечение по описанной методике. В послеоперационном периоде мы наблюдали стабильные зрительные функции, некорригированная острота зрения соответствовала 0,6, корригированная — 0,8. Пациент отмечал отсутствие болей в глазу и снижение покраснения глаза. При биомикроскопии мы наблюдали значительное снижение воспалительной реакции, практически полное отсутствие преципитатов на эндотелии роговицы. Данные лазерной тиндалеметрии подтверждали стихание воспаления, поток белка в передней камере составил 17,6 ф/мс, потеря эндотелиальных клеток после хирургического лечения — 142 кл/мм2 (5,61 %). По данным электрофизиологического исследования и ЭРГ отклонений от нормальных значений не выявлено. Данная методика лечения позволяет достаточно быстро восстановить зрительные функции и может применяться при неэффективности длительной консервативной терапии.
Ключевые слова
Об авторах
научный сотрудник
пр. Тракторостроителей, 10, Чебоксары, 428028, Российская Федерация
Чебоксарский филиал ФГАУ «НМИЦ МНТК “Микрохирургия глаза” им. акад. С.Н. Федорова» ГАУ ДПО «Институт усовершенствования врачей» Министерства здравоохранения Чувашской Республики
Россия
доктор медицинских наук, профессор, директор филиала; профессор, заведующий курсом офтальмологии
пр. Тракторостроителей, 10, Чебоксары, 428028, Российская Федерация
ул. Михаила Сеспеля, 27, Чебоксары, 428018, Российская Федерация
Чебоксарский филиал ФГАУ «НМИЦ МНТК “Микрохирургия глаза” им. акад. С.Н. Федорова» ГАУ ДПО «Институт усовершенствования врачей» Министерства здравоохранения Чувашской Республики
Россия
доктор медицинских наук, заместитель директора по научной работе; преподаватель курса офтальмологии
пр. Тракторостроителей, 10, Чебоксары, 428028, Российская Федерация
ул. Михаила Сеспеля, 27, Чебоксары, 428018, Российская Федерация
ГАУ ДПО «Институт усовершенствования врачей» Министерства здравоохранения Чувашской Республики
Россия
врач-ординатор
пр. Тракторостроителей, 10, Чебоксары, 428028, Российская Федерация
Список литературы
1. Barry P., Gardner S., Seal D., Gettinby G., Lees F., Peterson M., Revie C. Clinical observations associated with proven and unproven cases in the ESCRS study of prophylaxis of postoperative endophthalmitis after cataract surgery. J Cataract Refract Surg. 2009;35(9):1523–1531. DOI: 10.1016/j.jcrs.2009.03.049
2. Maalouf F., Abdulaal M., Hamam R.N. Chronic Postoperative Endophthalmitis: A Review of Clinical Characteristics, Microbiology, Treatment Strategies, and Outcomes. Int J Inflam. 2012;2012:313248. DOI: 10.1155/2012/313248
3. Астахов С.Ю., Вохмяков А.В. Эндофтальмит: профилактика, диагностика, лечение. Офтальмологические Ведомости. 2008;(1):36–45.
4. Стебнев В.С., Складчикова Н.Ю., Стебнев С.Д. Эффективность комплексной эндоокулярной хирургии хронического эндофтальмита в артифакичном глазу. Вестник Оренбургского государственного университета. 2008;94(12–2):118–122.
5. Фролычев И.А., Поздеева Н.А. Послеоперационный эндофтальмит. Обзор литературы. Практическая медицина. 2017;110(9):192–195.
6. Meisler D.M., Palestin A.G., Vastine D.V., Demartini D.R., Murphy B.F., Reinhart W.J., Zakov Z.N., Mahon J.T., Cliffel T.P. Chronic propionibacterium endophthalmitis after extracapsular cataract extraction and intraocular lens implantation Am. J. Ophthalmol. 1986;102(6):733–739.
7. Фролычев И.А., Поздеева Н.А. Витрэктомия с временной эндотампонадой ПФОС с заменой на силиконовое масло в лечении послеоперационных эндофтальмитов. Вестник Оренбургского государственного университета. 2013;153(4):287–290.
8. Белоусова Н.Ю. Экссудативно-воспалительная реакция в хирургии катаракты: современный взгляд на проблему. Современные технологии в медицине. 2011;3:134–141.
12. Фролычев И.А., Поздеева Н.А., Колбовская Л.В. Влияние перфторорганических соединений на Poct staphylococcus epidermidis. Бюллетень ВСНЦ СО РАМН. 2016;112(6):171–176.
13. Арсланов Г.М., Мухамадеев Т.Р., Азнабаев Б.М. Оценка безопасности перфторорганических соединений в эксперименте. Медицинский вестник Башкортостана. 2015;10(2):148–152.
Эндофтальмит

Эндофтальмит означает наличие бактерии или грибков внутри глаза, которые вызывают инфекцию внутриглазных жидкостей.
Причины развития эндофтальмита
- Экзогенные: из-за открытой травмы или внутриглазной хирургии.
- Эндогенные: когда эти агенты или микроорганизмы получают доступ к глазу через систему кровообращения.
Какие типы хирургических вмешательств могут быть осложнены эндофтальмитом? Какова вероятность возникновения заболевания?
Эндофтальмит может быть осложнением при любой операции.
- Однако, наиболее распространенной, поскольку это одна из наиболее часто выполняемых операций, является хирургия катаракты. Хотя любое хирургическое вмешательство может вызвать это осложнение.
- В последнее время большее число случаев наблюдается у пациентов, получающих интравитреальные инъекции, либо для лечения макулярной патологии у диабетиков, либо при возрастной дегенерации желтого пятна или макулы.
- Операция по глаукоме также могут осложниться и не только на начальных этапах послеоперационного периода, но и по прошествии достаточного времени после вмешательства.
- Также может произойти при витрэктомии, операции, которая выполняется при отслойке сетчатки или при других внутриглазных операциях.
* Обычно, вероятность появления эндофтальмита при операциях катаракты составляет 1 на 1000 пациентов.
Каковы симптомы эндофтальмита?
Симпотмы заболевания будут зависеть от типа эндофтальмита и его тяжести. Как правило, пациент, перенесший операцию катаракты, будет иметь потерю зрения, покраснение глаз и боль.
Пациенты с эндогенными эндофтальмитами обычно не имеют симптомов, а воспаление или эритема (покраснение глаз) может возникнуть на более поздних стадиях заболевания. Эти пациенты обычно обращаются к офтальмологу с жалобами на потерю зрения или наличием миодезопсий или «плавающих мушек».
Как диагностируется эндофтальмит?
Диагноз эндофтальмита в основном клинический. Это означает, что офтальмологу может заподозрить это осложнение, обычно у пациента, у которого наблюдаются типичные симптомы заболевания или после внутриглазной хирургии. Сложнее диагностируется, когда нет симптомов или после операций, и есть подозрения на эндогенный эндофтальмит. В любом случае, необходимо сделать бактериальный посев жидкости глаз. Это делается в операционной.
Одной из форм является аспирация этой жидкости, стекловидного тела и водного содержания или выполненяется витрэктомия.
Как лечится эндофтальмит?
Лечение эндофтальмита должно быть неотложным и заключается в введении антибиотиков или противогрибковых препаратов непосредственно в полость глаз, а в тех случаях, когда имеется сильная воспалительная реакция, кортикостероидные препараты также вводятся энтеральным путём.
В некоторых случаях хирургическое вмешательство, такое как витрэктомия, необходимо для освобождения внутриглазной полости от этой воспалительной и инфекционной реакции.
Каков прогноз эндофтальмита?
Зрительный прогноз эндофтальмита по-прежнему считается сдержанным. Это зависит от типа агента и характеристик глаза или причины появления этой инфекции. Например, пациенты с очень низкой остротой зрения имеют более худший прогноз, а также у пациентов более старшего возраста.
В любом случае, с развитием новых хирургических и диагностических технологий и улучшением различных противомикробных препаратов, прогноз эндофтальмита, например, после операции по удалению катаракты, не такой тяжелый, как это было несколько лет назад, и обычно, пациенты они могут достичь остроты зрения до 50% в отношении остроты, которую они имели ранее.
Эндофтальмит
это тяжелый гнойный воспалительный процесс в полости глаза, который может привести не только к слепоте, но и потере глаза.

Эндофтальмит – это тяжелый гнойный воспалительный процесс в полости глаза, который может привести к слепоте и потере глаза.

Стекловидное тело представляет собой гель, заключенный во множество тончайших мембран. Оно выполняет объем полости глаза, обеспечивая поддержание необходимого внутриглазного давления и проведение световых лучей к сетчатке глаза.
Стекловидное тело лишено кровеносных сосудов и нервных окончаний, а также клеток, поэтому все изменения стекловидного тела развиваются вторично, как следствие изменения окружающих его оболочек и тканей глаза.
Причины эндофтальмита
Так как стекловидное тело заполняет полость глаза, то это создает благоприятные условия для развития инфекции. Инфекционный процесс в стекловидном теле может быть следствием проникающей травмы глазного яблока, воспаления сетчатки и сосудистой оболочки глаза, так называемых хориоретинитов, осложнением полостных хирургических вмешательств на глазном яблоке, а также итогом тяжелой язвы роговицы с разрушением ткани роговицы и дальнейшим проникновением инфекции в полость глаза.
Признаки эндофтальмита
Так как эндофтальмит развивается вторично, то сначала можно обнаружить признаки заболевания, которое спровоцировало распространение инфекции.

Возникающие помутнения стекловидного тела, вплоть до появления гноя в полости глаза (собственно эндофтальмит), снижают зрение, а при осмотре в просвете зрачка виден тусклый серый или желтый рефлекс – воспалительный выпот в полость глаза, который потом превращается в абсцесс, то есть гной, а при благоприятном исходе подвергается рубцеванию. Однако, в процессе рубцевания формируются очень плотные спайки между сетчаткой и рубцовой тканью и создается высокий риск отслоения сетчатки.
Боль при эндофтальмите возникает из-за раздражения многочисленных нервных окончаний, расположенных в оболочках глазного яблока.
Если воспаление переходит на цилиарное тело, то снижается внутриглазное давление и происходит сморщивание глазного яблока, то есть субатрофия глаза с потерей зрительных функций.
При отсутствии правильного и своевременного лечения, воспаление усиливается, вовлекая в процесс все оболочки глазного яблока, то есть развивается уже панувеит – крайне тяжелое воспаление глаза, ведущее, практически к неотвратимой потере зрения и глаза.
Диагностика
При проведении диагностики обращают внимание на расширение кровеносных сосудов конъюнктивы и склеры вблизи роговицы, а также на радужной оболочке. Влага передней камеры глаза может быть мутной, могут быть спайки между радужной оболочкой и передней поверхностью хрусталика. В стекловидном теле могут быть видны плавающие помутнения, от небольших до полного заполнения полости стекловидного тела гноем.
При дополнительном ультразвуковом исследовании глаза определяют отек оболочек и помутнения различной выраженности в стекловидном теле – признаки активного воспалительного процесса.

Лечение
Эндофтальмит – это тяжелое заболевание, которое требует быстрой диагностики и, как можно более раннего лечения, даже при малейшем подозрении.
Лечение – максимально интенсивное – проводится в условиях офтальмологического стационара. Применяются массивное введение антибиотиков и противовоспалительных препаратов, как системное, так и местное – инъекции лекарств рядом с глазом и непосредственно в глазное яблоко. Также применяются методы физиотерапии, снижающие выраженность воспалительного процесса.
В том случае, если воспаление выраженное и формируются спайки с сетчаткой, или уже развивается отслойка сетчатки, показано проведение операции – витрэктомия, при которой удаляется измененное стекловидное тело, а в полость глаза вводятся антибиотики.
В качестве профилактики эндофтальмита все проникающие ранения обязательно подлежат хирургической обработке с удалением внутриглазных инородных тел и введением антибиотиков в полость глаза.
Профилактическое введение антибиотиков необходимо также при плановых полостных хирургических вмешательствах на глазном яблоке.
Приоритетные разработки
Эндофтальмит — инфекционный острый гнойный воспалительный процесс внутренних оболочек глаза и стекловидного тела; одно из самых тяжелых осложнений интраокулярной хирургии и проникающих ранений глаза; ургентное состояние, требующее неотложного лечения.
2. Этиология эндофтальмита:
3. Патогенез эндофтальмита:
- Повреждение роговицы, склеры;
- Нарушение иммунологической изолированности глаза;
- Развитие аутоимунного процесса;
- Снижение сопротивляемости к инфекции;
- Проникновение возбудителя в стекловидное тело;
- Образование гнойного очага с расплавлением внутренних оболочек.
4. Пути проникновения инфекции при эндофтальмите:
- Первичное инфицирование через разрез, непосредственно в момент ранения, операции (эндофтальмит развивается на 1, 2, 3 сутки);
- Вторичное инфицирование (эндофтальмит возникает в поздние сроки);
- Причина: дезадаптация краев раны (отек, инфильтрация, размозжение, колебания ВГД, фильтрующий рубец, сквозные швы).
Биомикроскопия. Гипопион.

В-сканирование. Экссудат в стекловидном теле.

Хирургическое лечение эндофтальмита —
Принцип хирургии внутриполостных гнойных процессов — вскрытие гнойной полости, освобождение ее от скопившегося гноя, обеспечение дренирования;
«Где гной, там разрез», «где гной, там очищай» (Гиппократ).
Показания к хирургическому лечению эндофтальмита
- отсутствие рефлекса с глазного дна;
- гипопион;
- фиброзная экссудация;
- невозможность офтальмоскопии;
- снижение зрения до проекции света;
- УЗИ: уплотнение очагов стекловидного тела, утолщение, приподнятость сетчатой и сосудистой оболочек, наличие фиброзных шварт.
Приоритет исследования!
Наш опыт применения силиконовой тампонады в лечении эндофтальмита впервые был представлен в 2002 году (Худяков А.Ю., Егоров В.В.)

Использование нами силиконовой тампонады при витрэктомии по поводу эндофтальмита. Преимущества:
- Силикон заполняет авитреальную полость – отсутствие полого пространства;
- Устраняется возможность накопления клеток и медиаторов воспаления
- Эффективное бактериостатическое действие силикона.
Клинический случай. Эндофтальмит после экстракапсулярной экстракции травматической катаракты.

Вид операцинонного поля.

Этапы операции.
Начало операции.

В ходе операции удаления изменённого стекловидного тела.

Удаление гнойного экссудата на периферии на заключительном этапе операции.
Заполнение витреальной полости силиконовым маслом в конце операции.

По нашим данным, использование силиконовой тампонады сохранило размеры и форму глазного яблока в 90% глаз.
Силиконовая тампонада — патогенетически обоснованный метод лечения эндофтальмита, опыт нашего отделения указывает на то, что операцию необходимо выполнять не позднее 1-2 суток выявления острого эндофтальмита.
В нашем отделении разработана оптимальная методика хирургического лечения макулярных разрывов большого диаметра.
Мы впервые в РФ сообщали о эффективности силиконовой тампонады при рецидивирующем и персистирующим инволюционном макулярном разрыве (ИМР).
Нами проведен сравнительный анализ исходов лечения ИМР методами воздушной и силиконовой тампонады — для выбора оптимальной технологии лечения ИМР большого диаметра.
Доказана высокая эффективность метода.
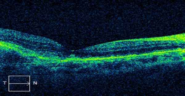
До операции. Макулярный разрыв более 1000мкн.

После операции. Разрыв закрыт.

Нами сделан вывод, что при хирургии макулярного разрыва 3 и 4-й стадий предпочтительнее использовать силиконовую тампонаду.
Ее преимущества — минимизация риска разблокирования разрывов при завершении силиконовой тампонады в стандартные сроки, сохранение адаптации разрыва при более длительной тампонаде.
В отделении изучены возможности хирургического лечения массивной субретинальной геморрагии на фоне влажной формы возрастной макулярной дегенерации и внедрена технология операции.
Приоритет метода.
Нами впервые, в 2015 году опубликована методика хирургического лечения массивной субмакулярной геморрагии на фоне влажной формы ВМД путем субретинального введения рекомбинантной проурокиназы («Гемаза») и пневмодислокации сгустка крови.
Клинический материал.

Этапы операции. 25G витректомия.

Пункция иглой 38G и введение в субмакулярное пространство раствора гемазы.

Пневморетинопексия.


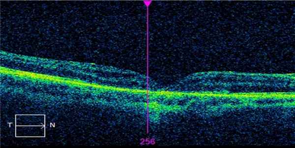
После операции. ОСТ. Вернулась анатомическая форма фовеа.
После операции. Глазное дно. Массивное субмакулярное кровоизлияние рассосалось.
Единый информационный телефон 8 (4212) 25-27-37
680033, г. Хабаровск, ул. Тихоокеанская,211
Все права защищены.
© ХФ ФГАУ «НМИЦ «МНТК «Микрохирургия глаза» им. акад. С.Н. Федорова» Минздрава России 2009-2021 г.
Информация, представленная на сайте не является публичным договором
и носит информационно-ознакомительный характер.
Эндофтальмит
Эндофтальмит – это абсцедирующее воспаление внутренних структур глаза, приводящее к скоплению гнойного экссудата в стекловидном теле. При эндофтальмите отмечаются боли в глазном яблоке, отек и покраснение век и конъюнктивы, значительное понижение остроты зрения, гипопион. В диагностике эндофтальмита используется визометрия, исследование полей зрения, биомикроскопия глаза, диафаноскопия, офтальмоскопия, электроретинография, УЗИ глаза. Комплексное лечение эндофтальмита включает антибиотикотерапию, дезинтоксикационную, противовоспалительную, рассасывающую терапию; интравитреальные, парабульбарные или субконъюнктивальные инъекции, парацентез и промывание передней камеры; при тяжелом течении эндофтальмита – витрэктомию.
МКБ-10
Общие сведения
Гнойные воспаления тканей глазного яблока относятся к числу грозных состояний в офтальмологии, требующих оказания специализированной неотложной помощи. Гнойный процесс при эндофтальмите прогрессирует стремительно, иногда в течение нескольких часов приводя к развитию панофтальмита – тотального воспаления и расплавления всех оболочек глазного яблока и тканей орбиты. По различным данным, частота слепоты, функциональной и анатомической гибели глаза, приводящей к энуклеации, у пациентов с внутриглазной инфекцией достигает 28 - 89%. Данные обстоятельства ставят перед офтальмологами задачу своевременной профилактики, раннего выявления и адекватного лечения инфекций глазного яблока.
Причины эндофтальмита
Экзогенные причины
Экзогенные случаи инфицирования внутриглазных тканей преимущественно связаны со следующими факторами:
- проникающими ранениями глаз (95–97 %),
- операциями на глазном яблоке (2–4%),
- прободными гнойными язвами роговицы,
- инфицированными ожогами глаз.
В структуре механических повреждений глаз, сопровождающихся развитием эндофтальмита, преобладает детский травматизм (40 %), производственные (30%) и сельскохозяйственные (25-50%) травмы. Проникновение в глаз инородного тела значительно повышает риски возникновения эндофтальмита. Послеоперационный эндофтальмит чаще развивается вследствие экстракции катаракты с имплантацией заднекамерной ИОЛ.
При экзогенном инфицировании глаза выделяют первичную и вторичную микробную инвазию. В первом случае микробы попадают в глубокие структуры глаза в момент проникающего ранения или инвазивного вмешательства, а воспалительная реакция развивается уже в первые 2–3 суток. При вторичной микробной инвазии инфицирование развивается в поздние сроки вследствие неадекватной первичной обработки раны, ее зияния, размозжения краев и т. п.
Эндогенные причины
Эндогенный механизм развития эндофтальмита встречается в 1–2 % случаев и связан с гематогенным заносом микробных возбудителей в капилляры радужки и ресничного тела из отдаленных воспалительных очагов в организме при:
- фурункулах, абсцессах, флегмонах,
- синуситах, тонзиллите,
- пневмонии,
- остеомиелите,
- сепсисе,
- менингите,
- септическом эндокардите и др.
Возбудители экзогенного и эндогенного эндофтальмита многообразны. Наиболее часто при бактериологическом исследовании выявляются стафилококки, стрептококки, коринебактерии, протей, гемофильная палочка, синегнойная палочка, нейссерии, энтеробактерии, клебсиелла, пневмококки и различные полимикробные ассоциации. Опасную разновидность представляет грибковый эндофтальмит, который может вызываться более чем двадцатью разновидностями грибков (рода акремониум, кандида, аспергилл, цефалоспориум, нейроспора и др.).
Патогенез
Патогенез эндофтальмита при экзогенном инфицировании многоплановый. В случае нарушения целостности роговицы или склеры микроорганизмы проникают внутрь стекловидного тела, где беспрепятственно размножаются. Образуется внутриглазной очаг инфекции, который быстро распространяется на все оболочки глаза. В свою очередь, нарушение иммунологической изолированности глаза сопровождается аутоиммунной воспалительной реакцией, способствующей ослаблению сопротивляемости инфекции, и агрессивному течению эндофтальмита и панофтальмита.
Образующийся гнойный экссудат приводит к увеиту, расплавлению сосудистой и сетчатой оболочек, инкапсуляции с образованием шварт. Швартообразование в последующем вызывает тракции и отслойку сетчатки с исходом в гипотензию и атрофию глазного яблока.
Симптомы эндофтальмита
Эндофтальмит может протекать по типу отграниченного очага в глазу (абсцесса стекловидного тела) либо диффузного процесса; иногда встречается смешанная форма. По степени тяжести симптоматики выделяют легкую, среднюю и тяжелую степени эндофтальмита.
Экзогенный эндофтальмит развивается на 2-3 сутки после механического повреждения глаза. Прогрессирующее течение заболевания сопровождается болью в глазном яблоке, нарастающим снижением остроты зрения иногда до светоощущения, плавающими помутнениями в поле зрения. Внешние изменения глаза характеризуются умеренным отеком век и конъюнктивы, резкой смешанной инъекцией глазного яблока. Могут развиваться признаки иридоциклита. Характерной чертой эндофтальмита является формирование абсцесса в стекловидном теле, который просвечивает через зрачок желтоватым свечением.
Осложнения
При эндофтальмите тяжелой степени развивается выраженный хемоз, гипопион и гноетечение. Эндогенные эндофтальмиты, протекающие на фоне иммунодефицита или интоксикации, могут носить двусторонний характер. Прогрессирование эндофтальмита приводит к переходу в панофтальмит, что угрожает анатомической и функциональной гибелью глаза, риском развития менингита.
Диагностика
Комплексное офтальмологическое обследование при эндофтальмите позволяет оценить тяжесть процесса и выработать лечебную тактику. При подозрении на эндофтальмит проводится:
- Визометрия. Типичная офтальмологическая картина при эндоофтальмите характеризуется снижением остроты зрения: при легкой степени – частичным, при средней – выраженным, при тяжелой – значительным снижением или отсутствием зрения.
- Исследование полей зрения. Поле зрения сужено или отсутствует.
- Биомикроскопия. Проведение биомикроскопии выявляет смешанную инъекцию глазного яблока, наличие преципитатов на поверхности роговицы, гипопиона, гиперемию и инфильтрацию радужки, образование задних синехий
- Диафаноскопия глаза. Диафаноскопия глаза в проходящем свете позволяет обнаружить желтовато-серый зрачковый рефлекс, свидетельствующий об образовании абсцесса в стекловидном теле. При обратном развитии эндофтальмита ввиду формирования на месте гнойника соединительной ткани рефлекс приобретает молочно-белый оттенок.
- Офтальмоскопия. Проведение прямой и обратной офтальмоскопии при эндофтальмите затруднено и частично возможно только при легкой степени тяжести заболевания.
- Измерение ВГД. Внутриглазное давление при эндофтальмите обычно снижено.
- УЗИ глаза. Выявляет ограниченные или тотальные помутнения в стекловидном теле. Для верификации возбудителя проводится посев культуры из стекловидного тела и водянистой влаги.
- Элекрофизиологические исследования. Показатели электроретинографии могут соответствовать или быть близкими к норме (при очаговом эндофтальмите), значительно снижаться вплоть до исчезновения (при диффузном или смешанном эндофтальмите).
Последствия эндофтальмита у детей необходимо дифференцировать от злокачественной опухоли сетчатки – ретинобластомы.
Лечение эндофтальмита
Лечение эндофтальмита проводится в условиях отделения хирургической офтальмологии. Сразу же после установления диагноза назначается:
- Системная терапия: ударные дозы антибиотиков широкого спектра действия, сульфаниламиды, антимикотические средства, противовоспалительные препараты (НПВП, кортикостероиды), мощная дезинтоксикационная терапия, общеукрепляющая терапия (витаминотерапия, аутогемотерапия), рассасывающая терапия (ферменты).
- Внутриглазные инъекции. Для достижения максимальной концентрации антибактериальных препаратов внутри глаза проводится их внутривенное, внутримышечное, субконъюнктивальное, ретробульбарное, парабульбарное, супрахориоидальное, интравитреальное введение. Одновременно назначаются инстилляции противомикробных глазных капель и аппликации мазей.
- Пункция стекловидного тела. При витреите или гипопионе производится лечебно-диагностическая пункция стекловидного тела с забором экссудата для бактериального посева и введением антибиотика в стекловидное тело. При эндофтальмите возможно проведение внутриартериальной офтальмоперфузии лекарственных препаратов через надглазничную артерию. Для лечения эндофтальмита используются цефалоспорины, гликопептиды, пенициллины, аминогликозиды, фторхинолоны, макролиды и др.
При неэффективности интенсивной консервативной терапии эндофтальмита возникает необходимость хирургического удаления части стекловидного тела - витрэктомии. В послеоперационном периоде антибиотикотерапия должна быть продолжена.
Прогноз и профилактика
Своевременное комплексное лечение эндофтальмита, начатое в легкой стадии, позволяет сохранить зрительные функции. В более поздних стадиях зачастую удается сохранить глаз как анатомический орган, но спасти зрение практически невозможно. Исходом эндофтальмита чаще всего является субатрофия и атрофия глазного яблока. При прогрессировании эндофтальмита в панофтальмит приходится прибегать к энуклеации глазного яблока.
Профилактика экзогенного инфекционного эндофтальмита требует предупреждения травм глаза, проведения адекватной ПХО раны при проникающих ранениях, своевременного удаления инородных тел конъюнктивы и роговицы, грамотного проведения операций на структурах глаза. Для исключения развития эндогенного эндофтальмита необходима санация фокальных гнойных очагов и лечение общих септических состояний.
Читайте также:
