Эндопротез тазобедренного сустава - лучевая диагностика
Добавил пользователь Евгений Кузнецов Обновлено: 23.11.2025
В то время как техника первичного эндопротезирования тазобедренного сустава уже давно стандартизирована во всем мире, ревизионное эндопротезирование является достаточно непредсказуемой операцией, требующей от хирурга творческого подхода и большого профессионализма.
На сегодняшний день эндопротезирование тазобедренного сустава стало рутинной операцией. Во всем мире миллионы людей живут с искусственными суставами. По мере того, как увеличивается количество имплантированных эндопротезов, а также продолжительность их эксплуатации, часть искусственных суставов начинает изнашиваться или приходить в негодность. При этом необходима операция по замене эндопротеза, которое носит название ревизионного эндопротезирования.
В некоторых случаях вышедший из строя искусственный сустав не может быть заменен. Это может произойти в случае инфицирования эндопротеза, при сильном разрушении костной ткани в месте фиксации эндопротеза, а также при общем тяжелом состоянии пациента. В этом случае удаление поврежденного эндопротеза без установки нового может быть наилучшем выбором, так как повторное эндопротезирование может закончиться неудачей или значительно утяжелить состояние здоровья пациента, а в редких случаях привести к смертельному исходу. Удаление эндопротеза не означает, что пациент обречен на соблюдение постельного режима всю оставшуюся жизнь. Без тазобедренного сустава можно передвигаться, правда с затруднениями, так как нога становиться короче, и сила в ней снижается.
Анатомия
Тазобедренный сустав является шарообразным суставом. Вогнутая часть сустава, называется ацетабулярной впадиной и представляет собой правильной формы глубокое чашеобразное углубление, в котором расположена головка бедренной кости. Тазобедренный сустав окружен мощными мышцами ягодичной области сзади и мышцами бедра спереди. Головка бедренной кости расположена в суставной впадине и покрыта суставным хрящом. Толщина суставного хряща тазобедренного сустава составляет 5-7 мм, что сравнительно больше, чем в других суставах. Суставной хрящ в норме имеет очень гладкую скользкую поверхность, что позволяет снизить трение при движениях в суставе между суставными концами костей.
Наиболее частыми причинами показаний к ревизионному эндопротезированию являются:
- нестабильность соединения эндопротеза с бедренной и тазовой костями
- инфекция эндопротеза
- перелом кости, к которой фиксирован компонент эндопротеза
- механическая поломка эндопротеза
- изнашивание деталей эндопротеза
Предоперационный период
На основании расспроса, физикального исследования и данных дополнительных инструментальных методов обследования хирург тщательно разрабатывает план предстоящей операции. При оценке необходимости проведения операции доктором учитывается множество показаний и противопоказаний. Перед операцией проводятся дополнительные обследования, направленные на оценку вашего общего состояния здоровья, а также состояние костей и мягких тканей в месте предполагаемой операции. Во время операции может потребоваться переливание крови. В настоящее время считается, что наиболее безопасным методом является заготовка собственной крови пациента за несколько дней или недель до предстоящей операции (аутодонорство).
Устройство эндопротезов
Перед описанием операции ревизионного энопротезирования необходимо сказать несколько слов об устройстве современных эндопротезов. Эндопротезы делятся на цементные и бесцементные. В ревизионном эндопротезировании широко используются оба типа. В некоторых случаях используется комбинация бесцементной и цементной техники эндопротезирования: бедренная часть эндопротеза фиксируется при помощи цемента, а суставная впадина фиксируется при помощи винтов. Выбор той или иной техники эндопротезирования основывается на анализе таких показателей, как возраст пациента, его образ жизни, опыт хирурга.
Все эндопротезы состоят из двух основных частей. Ацетабулярный компонент (чашка эндопротеза) устанавливается в замен суставной впадины тазобедренного сустава. Эта часть эндопротеза выполняется из металла с вкладышем из биосовместимой пластмассы, который предназначен для улучшения скольжения деталей и дополнительной амортизации. Для ревизионного эндопротезирования может быть использована специальная чашка. Такой выбор необходим при разрушении костей около установленной чашки эндопротеза, а также при выраженном локальном остеопорозе. Дизайн такой чашки разработан так, что вес пациента распределяется по большей площади металлической поверхности, что способствует более надежному креплению и снижению риска последующего расшатывания укрепленной чашки эндопротеза.
Бедренный компонент эндопротеза предназначен для замещения головки и шейки бедренной кости и состоит из ножки и головки эндопротеза. Он выполнен из металла. Иногда, головка эндопротеза изготавливается из керамики. Для ревизионного эндопротезирования могут применяться специальные бедренные компоненты. Они необходимы, если канал бедренной кости, в который устанавливается ножка эндопротеза сильно разрушен или разработан.
Компоненты цементных эндопротезов фиксируются к костям при помощи специального метилметакрилатного цемента. Бесцементные эндопротезы фиксируются к костям специальными шурупами. Такие эндопротезы имеют шероховатую поверхность, в поры и углубления которой со временем прорастает костная ткань, что способствует дополнительной фиксации.
Операция
Техника ревизионного эндопротезирования сильно отличается от первичной установки эндопротеза. Одной из причин этого, является значительная потеря костной ткани вокруг первично установленного эндопротеза. Для фиксации компонентов эндопротеза может понадобиться забор кусочка собственной кости пациента, например из тазовой кости, и установка его взамен разрушенной кости. При фиксации первичного эндопротеза цементом, перед установкой нового искусственного сустава, остатки цемента в бедренном канале и ацетабулярной впадине должны быть удалены. После подготовки костных поверхностей суставной впадины и бедренного канала, устанавливаются компоненты нового эндопротеза. В конце операции для оттока раневого содержимого устанавливается силиконовая трубка (дренаж). Рана послойно ушивается, после чего накладывается асептическая повязка.
Как после всех больших хирургических вмешательств, после ревизионного эндопротезирования встречаются осложнения.
Типовыми осложнениями после эндопротезирования тазобедренного сустава являются:
- тромбофлебит или тромбоз глубоких вен нижних конечностей может развиться после любой операции, но наиболее часто встречается после операций на бедре, коленном суставе и органах малого таза. При тромбозе в крупных венах ноги образуются тромбы (сгустки крови). Симптомами тромбоза являются боли и отеки нижних конечностей. При отрыве такого тромба он может попасть в легочную артерию, что приводит к развитию более серьезного заболевания - тромбэмболии легочной артерии. В настоящее время разработаны и применяются эффективные методы профилактики тромбоза глубоких вен (эластические чулки или бинты), введение низкомолекулярных гепаринов. В результате на сегодняшний день риск этого осложнения не значителен;
- инфекция является очень серьёзным поражением при ревизионном эндопротезировании. Иногда инфицирование тазобедренного сустава проявляется достаточно рано, пока Вы ещё находитесь в клинике. В других случаях симптомы инфицирования могут проявиться через несколько месяцев или даже лет после операции. Для профилактики этого осложнения назначаются антибиотики до операции (перед анестезией) и в течение 2-3 дней после неё. В некоторых случаях рекомендуется применение антибиотиков для профилактики инфицирования эндопротеза перед удалением зубов, а также перед операциями на мочевых путях и толстой кишке. Риск инфицирования при ревизионном эндопротезировании выше, чем при первичной операции установки эндопротеза. Так при первичном эндопротезировании риск инфицирования составляет 0,5-1 процентов, а при ревизионном повышается до 2 и более процентов
- вывих головки эндопротеза достаточно редкое осложнение, которое чаще возникает в раннем послеоперационном периоде, когда ещё не произошло восстановление целостности тканей, окружающих установленный эндопротез. Ваш доктор перед операцией проведет инструктаж о том, каких движений необходимо избегать после операции. Выполнение этих нехитрых правил позволит значительно снизить риск вывиха
- оссифицирующий миозит является загадочным осложнением, которое может возникнуть как после первичного, так и после ревизионного эндопротезирования. При этом заболевании в мышцах, окружающих искусственный сустав, начинают откладываться соли кальция. Термин "миозит" означает воспаление мышцы, а "оссифицирующий" в данном контексте переводится как " с формированием костной ткани". При тяжелом течении этого заболевания эндопротез оказывается замурованным костной тканью, что приводит к его тугоподвижности и появлению боли. Развитие оссифицирующего миозита чаще происходит у пациентов, долгое время страдающих остеоартритом и у которых имеются выраженные костные разрастания (остеофиты) около пораженных суставов. Вероятно, у таких пациентов имеется какая-то генетическая предрасположенность к избыточному формированию костной ткани. При ревизионном эндопротезировании происходит более обширное и серьёзное повреждение тканей по сравнению с первичным эндопротезированием. Поэтому вероятность развития оссифицирующего миозита при этой операции оказывается несколько выше.
После окончания операции
В палату отделения Вас переведут при нормальном течении послеоперационного периода на следующее утро.
Реабилитация после эндопротезирования тазобедренного сустава
Ваш доктор, основываясь на результатах течения послеоперационного периода, объёма оперативного вмешательства, данных рентгенограмм определит вашу индивидуальную реабилитационную программу. Так как ревизионное эндопротезирование является большой травматичной операцией, восстановление после неё может протекать достаточно медленно. Дата, когда пациент может начинать ходить без костылей с полной нагрузкой на ногу, зависит от многих факторов и устанавливается индивидуально вашим доктором. В некоторых случаях реабилитационный период может затягиваться до одного года. После ревизионного эндопротезирования необходимо диспансерное наблюдение у хирурга-ортопеда, которое заключается в периодических профилактических осмотрах и проведении диагностических исследований.
Оформите заявку на сайте, мы свяжемся с вами в ближайшее время и ответим на все интересующие вопросы.
КОМПЛЕКСНОЕ КЛИНИКО-ЛУЧЕВОЕ ИССЛЕДОВАНИЕ БОЛЬНЫХ С ТРАВМАТИЧЕСКИМИ ПОВРЕЖДЕНИЯМИ ТАЗОБЕДРЕННОГО СУСТАВА ДО И ПОСЛЕ ЭНДОПРОТЕЗИРОВАНИЯ
Комплексное клинико-лучевое обследование имеет решающее значение для контроля состояния пациентов с травматическими повреждениями тазобедренного сустава до и после лечения методом эндопротезирования. Высокий риск осложнений после эндопротезирования связан с нарушениями метаболизма костной ткани, которые должны быть выявлены до оперативного вмешательства и быть предметом пристального клинико-лучевого контроля после лечения.
Ключевые слова
Об авторах
Научно-клинический и образовательный центр «Лучевая диагностика и ядерная медицина» Института высоких медицинских технологий медицинского факультета Санкт-Петербургского государственного университета
Россия
профессор, доктор медицинских наук, академик МАНЭБ, профессор,
199034, Санкт-Петербург, Университетская набережная, д. 7–9
Научно-клинический и образовательный центр «Лучевая диагностика и ядерная медицина» Института высоких медицинских технологий медицинского факультета Санкт-Петербургского государственного университета
Россия
доцент, кандидат медицинских наук, доцент,
199034, Санкт-Петербург, Университетская набережная, д. 7–9
Научно-клинический и образовательный центр «Лучевая диагностика и ядерная медицина» Института высоких медицинских технологий медицинского факультета Санкт-Петербургского государственного университета
Россия
доцент, кандидат медицинских наук, доцент,
199034, Санкт-Петербург, Университетская набережная, д. 7–9
Научно-клинический и образовательный центр «Лучевая диагностика и ядерная медицина» Института высоких медицинских технологий медицинского факультета Санкт-Петербургского государственного университета
Россия
кандидат медицинских наук, заведующая отделением лучевой диагностики СПб ГБУЗ «Клиническая инфекционная больница им. С. П. Боткина»;
195067, Санкт-Петербург, ул. Миргородская, д. 3;
Пискаревский пр., д. 49
Список литературы
1. Аверкиева Ю.В., Раскина Т.А. Распространенность остеопоротических переломов среди жителей г. Кемерово в старших возрастных группах // Вестник Кузбасского научного центра. Кемерово, 2010. Вып. № 11. С. 14.
2. Васильев А.Ю., Семизоров А.Н., Егорова Е.А. и др. Лучевые методы исследования при эндопротезировании тазобедренного сустава. М.: ГЭОТАР–Медиа, 2009. С. 135.
3. Беневолевская Л.И. Остеопороз: эпидемиология, диагностика. Кальцитонин в лечении остеопороза: методические рекомендации для врачей. М., 1997. С. 3–32.
4. Родионова С.С., Макаров М.А., Колондаев А.Ф., Гаврюшенко Н.С. Значение минеральной плотности и показателей качества костной ткани в обеспечении ее прочности при остеопорозе // Вестник травматологии и ортопедии. 2001. № 2. С. 76–80.
5. Марченкова Н.А. Роль кальция и витамина D в профилактике остеопороза и переломов (обзор литературы) // Русский медицинский журнал, 2015, Т. 23, № 8, С. 454–457.
6. Санеева Г.А., Александрович Г.А., Буняева Г.М. Структура и распространенность основных факторов риска при остеопорозе // Успехи современного естествознания. 2015. № 3. С. 82–86.
7. Родионова С.С., Морозов А.К. Остеопороз как фактор риска асептической нестабильности при эндопротезировании тазобедренного сустава // Вестник травматологии и ортопедии им. Н. Н. Приорова. 2007. № 2. С. 35–40.
8. Карлова Н.А., Котова С.М. и др. Особенности метаболизма костной ткани у пациентов с отягощенной по остеопорозу наследственностью // Материалы Российского конгресса по остеопорозу: тезисы докладов. Ярославль: Литера, 2003. С. 38.
9. Плоткин Г.Л. Эндопротезирование при заболеваниях и повреждениях тазобедренного сустава: дис. … д–ра. мед. наук. СПб., 1999. 312 с.
10. Морозов А.К., Лазарев А.Ф., Синицкий М.А. Лучевая диагностика повреждений таза и тазобедренных суставов // Материалы II Международного конгресса «Невский радиологический форум2005». СПб., 2006. С. 288–289.
11. Карлова Н.А., Котова С.М., Савельева К.А., Сохор А.Я. Метаболизм кальция и костной ткани у больных с синдромом нарушения всасывания // Материалы международной научно-практической конференции «Здоровье и образование» 8–15 октября 2007. Сицилия (Палермо). С. 116–120.
12. Карлова Н.А., Котова С.М., Савельева К.А., Колосков В.А. Мальабсорбция как причина развития остеопороза и остеомаляции // Радиология — практика. 2012. № 3. С. 37–44.
13. Мурзабеков И.А. Остеосинтез и эндопротезирование проксимального конца бедренной кости. М.: ООО «Интегра», 2005. 272 с.
Эндопротез тазобедренного сустава - лучевая диагностика
Эндопротез тазобедренного сустава - лучевая диагностика
а) Терминология:
• Тотальное эндопротезирование тазобедренного сустава: замещение вертлужной впадины и головки бедренной кости
• Гемиартропластика или эндопротезирование: замена только головки бедренной кости
• Поверхностное эндопротезирование тазобедренного сустава: замена поверхности головки бедренной кости, остается удерживающая часть головки, короткий штифт бедренного компонента протеза
б) Визуализация:
• Оценка исходного расположения компонентов сустава:
о Длина соответствует длине противоположной стороны
о Боковой угол открытия чаши: 40 ± 10°
о Смещение чаши кпереди: 15 ± 10° латеральнее паховой области
о Горизонтальная ось вращения должна соответствовать оси здорового бедра
• Инфекция:
о Рентгенография без изменений; требуется аспирация при наличии клинической картины
(Слева) Рисунок: нормальное положение тазобедренного эндопротеза с трансседалищной линией. Угол (В) (nl 40°± 10°) это боковой угол открытия чаши. Длина конечности (А) оценивается по опознавательному знаку (как правило, малый вертел) по отношению к трансседалищной линии.
(Справа) Рентгенография в ПЗ проекции, выполненная у пациента с рецидивирующими вывихами левого бедра. Обратите внимание, что длина левого бедра сравнительно больше правого (расстояние от трансседалищной линии до малого вертела: L>R). Увеличение длины приводит к риску вывиха тазобедренного эндопротеза. При хронических вывихах следует искать признаки неправильного расположения. (Слева) Рентгенография в ПЗ проекции: боковой угол открытия компонента вертлужной впадины (Справа) Рентгенография в ПЗ проекции: определяется дислокация тазобедренного эндопротеза при рецидивирующем вывихе. Причина ясно видна на рентгенограмме: боковой угол открытия вертлужной впадины значительно больше 50°, что является верхней границей нормы. Плохое расположение чаши является наиболее частой причиной непозиционных вывихов тазобедренного эндопротеза.
• Нестабильность:
о Наклон или смещение компонентов эндопротеза:
- Компонент вертлужной впадины смещается кверху или медиально
- Бедренный компонент смещается книзу
о Цементная фиксация: просветление >2 мм в месте соприкосновения поверхности кости с цементом, окружающее большую часть бедренного компонента, указывает на нестабильность; часто имеет место склеротический край
о Бесцементная фиксация: просветление >2 мм в месте соприкосновения поверхности кости с протезом часто со склеротическим краем, окружающее большую часть бедренного компонента, указывает на нестабильность
• Износ компонентов эндопротеза: смещение головки бедра в чаше
• Болезнь частиц: полиэтилен, кость, металл, частицы цемента вызывают массивный остеолизис:
о Поиск источника частиц для подтверждения диагноза
• Для оценки изменений используется КТ:
о Наклон чаши при повторных вывихах
о Перипротезный остеолизис или нестабильность
• Для решения задач используется МРТ; предложена для оценки болевого синдрома при артропластике «металл на металле»
Эндопротезирование тазобедренного сустава
Тазобедренные суставы - самые крупные суставы тела человека. Тазобедренные суставы соединяют ноги с телом. На тазобедренные суставы приходятся большие нагрузки. Травмированный и больной тазобедренный сустав приносит большие страдания человеку.
Тазобедренный сустав состоит из тазовой кости, вертлужной впадины, головки бедра и шейки бедренной кости. По краям вертлужной впадины находится, укрепляющая тазобедренный сустав, вертлужная губа (волокнисто-хрящевое образование).
Внутри вертлужной впадины находится головка бедренной кости, соединяющаяся при помощи шейки. Ниже шейки бедренной кости – большие и малые вертела, бедренные и ягодичные мышцы.
Укрепляют тазобедренный состав связки суставной капсулы. Головка бедренной кости покрыта суставным хрящом, который позволяет ей мягко скользить. Шаровидная поверхность головки позволяет осуществлять круговое вращение бедра.
Суставный хрящ между костями играют важную роль в качестве амортизатора при ходьбе, прыжках и беге. Разрушение хряща оголяет кости. Это приводит к сильной боли и ограничивает движение.
Есть несколько причин, приводящих к разрушению хряща:
- Травмы и ушибы тазобедренного сустава
- Эрозии костей (остеоартрозы истончают хрящ)
- Ревматоидные артриты, подагра и другие системные заболевания
- Аутоиммунные заболевания
- Недостаток коллагена и т.д.
Как правило, все компоненты сустава работают вместе и производят плавное движение. Но из-за того, что тазобедренный сустав испытывает большую весовую нагрузку всего тела при ходьбе, беге и переносе тяжестей, он изнашивается, подвергается различным факторам риска и болезням.
Причинами поражения тазобедренного сустава являются:
- Травмы и ушибы, переломы шейки бедра
- Некрозы головки бедра
- Воспаление суставов (инфекционные осложнения)
- Гормональные изменения
- Сахарный диабет
- Перегрузка сустава
- Полное разрушение головки бедра
- Изношенная хрящевая ткань
- Дисплазия (врожденные деформации тазобедренного сустава)
- Артрозы и артриты тазобедренного сустава
- Избыточный вес
- Остеопороз
- Нарушение обмена веществ и кровообращения
- Системные заболевания
- Хронический стресс и др.
Проблемы в тазобедренном суставе могут возникнуть в любом возрасте. Боль в тазобедренном суставе может быть вызвана серьезными неврологическими заболеваниями позвоночника, паховыми грыжами и патологическими процессами в брюшной полости.
Менять ли тазобедренный сустав?
В Израиле более 90% пациентов довольно результатами эндопротезирования тазобедренного сустава. У людей появилась возможность свободно двигаться, полностью исчезла хромота, устранена боль в суставе, отпала необходимость пользоваться дополнительными опорами.
Пройдя полный курс реабилитации после эндопротезирования тазобедренного сустава в Израиле, пациенты могут самостоятельно передвигаться: ходить, плавать, играть в гольф, даже ездить на велосипеде. Важно помнить: замена тазобедренного сустава, особенно, если это связано с артритом, не позволит интенсивно заниматься спортом, бегать, ходить на лыжах и прыгать. Искусственный сустав имеет ограниченный диапазон движения, по сравнению со здоровым тазобедренным суставом. Но в повседневной жизни - простые движения, ходьба без боли и костылей значительно повышают качество жизни. Искусственные имплантаты тазобедренного сустава рассчитаны на 15-20 лет эксплуатации. По истечении этого срока они заменяется новыми.
В настоящее время насчитывается около 70 видов различных конструкций. Успех процедуры эндопротезирования тазобедренного сустава зависит от строгого выполнения пациентами специальной программы реабилитации и рекомендаций врача. Пациенту даётся инструкция о том, как оказывать дозированные нагрузки на оперированную ногу физическими упражнениями.
Как проводится операция по эндопротезированию?
Эндопротезирование тазобедренного сустава – самый распространённый метод замены тканей тазобедренного сустава. Эта сложная высокотехнологичная, артроскопическая миниинвазивная операция требует мастерства хирурга-ортопеда и опыта его помощников.
В зависимости от характера поражения сустава, врач-ортопед решает, какой вид конструкции эндопротеза использовать каждому конкретному пациенту. До операции изучается общее состояние здоровья пациента, причины заболевания сустава и т. д.
Миниинвазивная операция эндопротезирования тазобедренного сустава длится 2-3 часа. Пациент лежит на боку, нога сгибается и фиксируется к столу.
Первый этап операции эндопротезирования тазобедренного сустава – подготовка доступа к суставу. Очень важный этап. Производится продольный разрез длиной 15-20 см вдоль сустава. Современная техника позволяет минимально травмировать мышцы и ткани. В дальнейшем это поможет быстро восстановить двигательные функции конечности. Во время этого этапа операции хирург-ортопед специальными миниинвазивными инструментами удаляет повреждённые кости, хрящи сустава и т.д. Костные структуры подготавливаются к установке имплантата.
Второй этап операции эндопротезирования тазобедренного сустава – установка искусственного протеза. Эндопротез может быть металлическим, керамическим, пластиковым или комбинированным (в зависимости от проблемы сустава). Эндопротез тазобедренного сустава состоит из ножки, головки, чашки и вкладыша - каждая из частей имеет свой размер. Вначале вставляется металлический стержень в центре верхней части бедренной кости. Затем, вставляются головка и вкладыш, обеспечивающие движение ноги.
Хирург-ортопед вправляют головку, проверяет длину конечности, амплитуду движения, подбирает и устанавливает (по размеру) эндопротез тазобедренного сустава. Подбирается узел трения и выбирается материал эндопротеза. После первичной фиксации и проверки длины конечности, эндопротез тазобедренного сустава фиксируется специальным хирургическим костным цементом или особым веществом (без цемента), прирастающим к кости. Иногда, во время одной операции заменяют два сустава - тазобедренный и коленный.
Третий этап операции эндопротезирования тазобедренного сустава – завершающий. Рану тщательно промывают антисептиками, послойно ушивают ткани. На верхний слой кожи накладывают специальные скобы.
Какую анестезию используют во время эндопротезирования?
В большинстве случаев эндопротезирование тазобедренного сустава в Израиле выполняется под общим наркозом. Пациент совершенно не чувствуя боли при глубоком медикаментозном сне. Анестезиологами учитываются особенности состояния здоровья каждого пациента. Иногда, предпочтение отдаётся эпидуральной анестезии, при которой пациент находится в ясном сознании на протяжении всей операции. Применяется и комбинированная спинально-эпидуральная анестезия. В любом случае, всегда учитывается высокий уровень защиты организма пациента. Пациент находится под наркозом от 1 до 2-х часов. Анестезиолог постоянно наблюдает за состоянием пациента. В очень редких случаях бывает резкое падение давления и пульса или аллергические реакции.
Во время проведения эндопротезирования тазобедренного сустава применяются лекарственные препараты для профилактики инфекционных осложнений.
Какие бывают осложнения при эндопротезировании?
Любые хирургические вмешательства, не застрахованы от рисков осложнений. При 95% успешных операций эндопротезирования тазобедренного сустава тоже бывают осложнения.
- Внутренние хирургические осложнения (1-2 случая на 100 операций).
- Инфекции окружающих мышц
- Повреждения соседних органов
- Кровотечения
- Проблемы с мочеиспусканием
- Переломы во время операции
- Тромбообразование
- Повреждение нерва
- Инфаркт
- Инсульт
- Ограничение диапазона движения и др. - Вывих тазобедренного протеза - наиболее распространенное осложнение.
- Воспаление вокруг имплантата.
- Проникновение инфекций (стоматологические проблемы) через кровь в зону протеза может привести к повторной замене сустава.
Как подготовиться к эндопротизированию?
При подготовке к эндопротезированию тазобедренного сустава необходимо принести заключение врача, диагноз и список принимаемых лекарств. Анализы крови: количество, биохимия и коагуляции; результаты ЭКГ, рентген тазобедренного сустава в двух проекциях. Иногда для уточнения диагноза, требуются дополнительные изображения больного или травмированного сустава. Для визуальной диагностики применяются МРТ и компьютерная томография.
Хронические больные должны принести разрешение от врачей-специалистов. Например, от кардиолога - пациенты с сердечнососудистыми заболеваниями, если Вы перенесли инсульт, то нужно разрешение от врача-невропатолога и т.д.
За неделю до операции по эндопротезированию тазобедренного сустава необходимо прекратить приём антикоагулянтов, типа аспирин и PLAVIX и другие, разжижающие кровь препараты. Об этом обязательно сообщить хирургу или лечащему врачу.
За 6 часов до операции по эндопротезированию тазобедренного сустава прекратить принимать пищу. Не курить.
Непосредственно перед операцией необходимо снять зубные протезы, ювелирные украшения и др. По разрешению анестезиолога, можно принять успокоительное средство, чтобы уменьшить чувство тревоги.
Что происходит после операции?
После хирургической процедуры эндопротезирования тазобедренного сустава пациент остаётся в отделении реанимации под наблюдением, пока не пройдёт воздействие наркоза.
Затем, пациента переводят в палату. Через несколько часов ему помогают встать с постели, и сеть в кресло. Через 1-2 дня, пациент уже может устойчиво стоять и ходить с поддержкой. Всё это время пациент получает необходимые противовоспалительные и болеутоляющие лекарства.
Правильное поведения пациента при заменённом суставе позволит легко пройти долгий восстановительный период - от 3 до 6 месяцев. Всё зависит: от вида операции, общего состояния здоровья и успешной программы реабилитации.
Пациент учится напрягать мышцы бедра и лодыжки. Упражнения увеличивают приток крови к мышцам, помогают предотвратить отёчность и тромбы. Упражнения выполняются под руководством опытного физиотерапевта.
Госпитализация после эндопротезирования тазобедренного сустава, как правило, продолжается около 7 дней.
Что происходит после выписки из больницы?
Выписавшись из больницы, пациент уже знает, что восстановительный процесс можно ускорить, если всё делать правильно. После выписки из больницы, пациент продолжает пользоваться костылями или ходунками.
Во время восстановительного периода после эндопротезирования тазобедренного сустава необходимо соблюдать чистоту и гигиену - особенно в области разреза.
Несколько месяцев после эндопротезирования тазобедренного сустава, пациент продолжает находиться под наблюдением ортопеда и физиотерапевта. Таким образом, у пациента закрепляются навыки, повышается равновесие и устойчивость при ходьбе.
Если после операции у Вас неожиданно появились следующие симптомы:
- признаки инфекции: высокая температура, лихорадка
- отёки не проходят
- боль не прекращается
- кровотечение и выделения из разреза
- постоянная тошнота
- онемение, пощипывание и покалывание в ногах
- наличие крови в моче
Срочно обратитесь к врачу!
После эндопротезирования тазобедренного сустава желательно ещё в стационаре напрягать мышцы бедра, заниматься дыхательными упражнениями под наблюдением врача.
Эндопротезирование тазобедренного сустава
В 2019 году появилась возможность для жителей Ленинградской области бесплатно (ВМП) выполнить эндопротезирование тазобедренного сустава. Количество квот ограничено!
- Эндопротезирование тазобедренного сустава - хирургическое вмешательство, целью которого является вернуть подвижный безболезненный сустав, позволяющий вернуться к привычной жизни.
- Ежегодно в мире выполняется около 2 миллионов операций по полной замене тазобедренных суставов.
- По данным российских авторов, из каждых 10 тысяч взрослых жителей 27 человек потенциально будут нуждаться в эндопротезировании.
Среди пациентов с заболеваниями крупных суставов процент нуждающихся в эндопротезировании составляет около 7,7%. Различные виды остеосинтеза переломов шейки бедренной кости зачастую не приводят к сращению перелома, а в случае консолидации, как правило, развивается асептический некроз головки бедренной кости с исходом в коксартроз.
Значительный арсенал различных методов лечения коксартрозов различной этиологии (остеотомии, артропластики, артродез) не дают значимо длительного клинического эффекта, поэтому лечение переломов, последствий травм и заболеваний тазобедренного сустава до настоящего времени остается актуальной проблемой. Наиболее оправданным и широкоприменяемым методом лечения такой патологии в современных условиях считается эндопротезирование тазобедренного сустава.
Показания для эндопротезирования тазобедренного сустава.
- дегенеративно-дистрофические заболевания тазобедренного сустава с выраженным болевым синдромом и нарушением функции конечности;
- врожденные аномалии развития (врожденный вывих бедра, дисплазия сустава, дисхондроплазия);
- посттравматические деформации сустава;
- ложные суставы шейки бедра;
- субкапитальные и трансцервикальные переломы шейки бедренной кости у лиц пожилого возраста;
- двухсторонний фиброзный или костный анкилоз тазобедренных суставов (болезнь Бехтерева);
- асептический некроз головки бедренной кости 3-4 ст.;
- опухолевые процессы в головке и шейке бедренной кости, требующие резекции патологического очага.
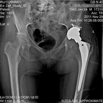
Клинический случай
Пациентка В., 51 год, находилась на травматологическом отделение с диагнозом:деформирующий диспластический артроз левого тазобедренного сустава 4 степени с полным вывихом бедренной кости. Асептический некроз головки левой бедренной кости с полным ее лизисом.
Дефект крыши вертлужной впадины. Неоартроз между шейкой левой бедренной кости и крылом левой подвздошной кости выше вертлужной впадины на 3 см. Выраженный болевой синдром. Комбинированная контрактура левого тазобедренного сустава. Дисфункция левой нижней конечности. Все меры реабилитации в данном клиническом примере были бессильны вернуть опороспособность и функцию конечности. Болевой синдром при движениях в суставе был значительным, пациентка вынуждена передвигаться только с дополнительной опорой. Отмечалось значительное укорочение конечности (около 5см).
![]() | ![]() |
Выполнено тотальное эндопротезирование левого тазобедренного сустава в сочетании с костной аутопластикой.
Пациентка активизирована на 2-е сутки после операции.
На 6-й день после операции пациентка выписана на амбулаторное лечение, после заживления раны, направлена на восстановительное лечение, на контрольных осмотрах отмечается постепенное восстановление функции нижней конечности. В средние сроки (6 недель) пациентке разрешена полная нагрузка на оперированную конечность.
Длина конечности восстановлена, объем движений максимально возможный для тотального эндопротеза тазобедренного сустава, болевой синдром практически купирован. Пациентка может нагружать оперированную конечность всем весом тела.
Читайте также:


