Эозинофильная пневмония
Добавил пользователь Евгений Кузнецов Обновлено: 27.01.2026
Эозинофильные пневмонии — группа заболеваний, характеризующихся эозинофильной инфильтрацией лёгочной ткани и эозинофилией в периферической крови и/или ликворе. Преобладающий возраст — 16–40 лет • Маграсси–Леонарди синдром (Маграсси–Леонарди пневмония, пневмония эозинофильная моноцитарная) — долевая пневмония или бронхопневмония инфекционно-аллергической природы, сопровождающаяся значительной эозинофилией и моноцитозом • Эозинофилия тропическая (тропическая лёгочная эозинофилия, филяриатоз, Уэйнгартена синдром, эозинофилия лёгочная субтропическая) • Синдром Черджа–Стросс •• Бронхиальная астма •• Эозинофилия •• Аллергия в анамнезе •• Мононевропатия или полиневропатия •• Мигрирующие лёгочные инфильтраты •• Синуситы •• Периваскулярная эозинофильная инфильтрация по данным биопсии.
Этиология • Приём ЛС (пенициллины, производные нитрофурана, изониазид, хлорпропамид, сульфаниламиды, аминосалициловая кислота, ацетилсалициловая кислота, препараты золота, гидралазин • Паразиты •• Филярии •• Нематоды (аскариды, Toxocara larvae) • Aspergillus fumigatus (аспергиллёз лёгких) • Часто этиология неизвестна при наличии реакций гиперчувствительности I, III и возможно IV типов.
Факторы риска • Бронхиальная астма • Проживание или путешествия в определённые географические районы (Индия, Малайзия, Индонезия, тропическая Африка, Южная Америка, южные районы тихоокеанского побережья).
Патоморфология • Инфильтрация альвеол и межальвеолярных перегородок эозинофилами, плазматическими клетками, большими и малыми мононуклеарными клетками • Слизистые пробки в бронхиолах • Инфильтрация сосудов.
Клиническая картина (изменения могут быть минимальными с быстрым выздоровлением) • Лихорадка • Анорексия • Кашель сухой или со слизистой мокротой • Бронхиальная астма (типично для аспергиллёза лёгких, синдрома Черджа–Стросс) • Аускультация: крепитация, сухие хрипы (при сочетании с бронхиальной астмой) • Эндокардит.
Лабораторная диагностика • Лейкоцитоз • Повышение СОЭ • Эозинофилия • Повышение уровня IgЕ • Филяриоз — положительная РСК с Аг филярий • Гельминты в кале (аскариды).
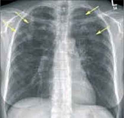
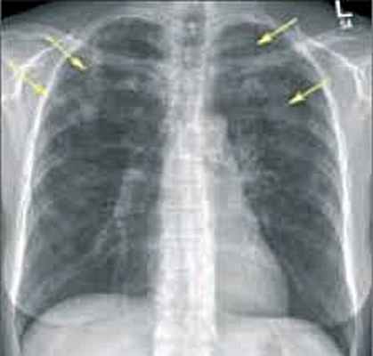
Специальные исследования • Рентгенограмма органов грудной клетки — мигрирующие транзиторные лёгочные инфильтраты, небольшой плевральный выпот • Биопсия лёгких.
Дифференциальная диагностика • Туберкулёз • Саркоидоз • Лимфогранулематоз • Лимфопролиферативные заболевания • Десквамативный интерстициальный фиброз • Гранулематоз Вегенера.
ЛЕЧЕНИЕ • При подозрении на лекарственный генез — отмена ЛС • ГК •• При синдроме Черджа–Стросс — преднизолон по 40–60 мг/сут в течение 1–2 нед, затем в течение 2 нед постепенно снизить дозу до 20 мг/сут, дальнейшее снижение дозы с отменой через год. При недостаточной эффективности преднизолон сочетают с циклофосфамидом, азатиоприном или хлорамбуцилом •• При аспергиллёзе лёгких — преднизолон 7,5–15 мг/сут. Фунгицидные средства не показаны •• При хроническом течении — преднизолон по 40–60 мг/сут 1–2 нед, затем в течение 2 нед постепенно снизить дозу до 20 мг/сут, далее снижать на 2,5 мг/нед до полной отмены • При паразитарной этиологии •• Аскаридоз — пиперазина адипинат •• Филяриоз — диэтилкарбамазин 6–8 мг/кг/сут в 3 приёма внутрь в течение 10–14 сут •• Токсокароз — диэтилкарбамазин • Для отхождения мокроты •• Дыхательная гимнастика •• Отхаркивающие препараты • Лечение сопутствующей бронхиальной астмы.
Осложнения • Рецидивы • Лёгочный фиброз.
Синонимы • Синдром Лёффлера • Эозинофильный летучий инфильтрат лёгкого • Инфильтрат лёгочный летучий
МКБ-10 • J82 Лёгочная эозинофилия, не классифицированная в других рубриках
Код вставки на сайт
Пневмонии эозинофильные
Эозинофильные пневмонии — группа заболеваний, характеризующихся эозинофильной инфильтрацией лёгочной ткани и эозинофилией в периферической крови и/или ликворе. Преобладающий возраст — 16–40 лет • Маграсси–Леонарди синдром (Маграсси–Леонарди пневмония, пневмония эозинофильная моноцитарная) — долевая пневмония или бронхопневмония инфекционно-аллергической природы, сопровождающаяся значительной эозинофилией и моноцитозом • Эозинофилия тропическая (тропическая лёгочная эозинофилия, филяриатоз, Уэйнгартена синдром, эозинофилия лёгочная субтропическая) • Синдром Черджа–Стросс •• Бронхиальная астма •• Эозинофилия •• Аллергия в анамнезе •• Мононевропатия или полиневропатия •• Мигрирующие лёгочные инфильтраты •• Синуситы •• Периваскулярная эозинофильная инфильтрация по данным биопсии.
Этиология • Приём ЛС (пенициллины, производные нитрофурана, изониазид, хлорпропамид, сульфаниламиды, аминосалициловая кислота, ацетилсалициловая кислота, препараты золота, гидралазин • Паразиты •• Филярии •• Нематоды (аскариды, Toxocara larvae) • Aspergillus fumigatus (аспергиллёз лёгких) • Часто этиология неизвестна при наличии реакций гиперчувствительности I, III и возможно IV типов.
Факторы риска • Бронхиальная астма • Проживание или путешествия в определённые географические районы (Индия, Малайзия, Индонезия, тропическая Африка, Южная Америка, южные районы тихоокеанского побережья).
Патоморфология • Инфильтрация альвеол и межальвеолярных перегородок эозинофилами, плазматическими клетками, большими и малыми мононуклеарными клетками • Слизистые пробки в бронхиолах • Инфильтрация сосудов.
Клиническая картина (изменения могут быть минимальными с быстрым выздоровлением) • Лихорадка • Анорексия • Кашель сухой или со слизистой мокротой • Бронхиальная астма (типично для аспергиллёза лёгких, синдрома Черджа–Стросс) • Аускультация: крепитация, сухие хрипы (при сочетании с бронхиальной астмой) • Эндокардит.
Лабораторная диагностика • Лейкоцитоз • Повышение СОЭ • Эозинофилия • Повышение уровня IgЕ • Филяриоз — положительная РСК с Аг филярий • Гельминты в кале (аскариды).
Специальные исследования • Рентгенограмма органов грудной клетки — мигрирующие транзиторные лёгочные инфильтраты, небольшой плевральный выпот • Биопсия лёгких.
Дифференциальная диагностика • Туберкулёз • Саркоидоз • Лимфогранулематоз • Лимфопролиферативные заболевания • Десквамативный интерстициальный фиброз • Гранулематоз Вегенера.
ЛЕЧЕНИЕ • При подозрении на лекарственный генез — отмена ЛС • ГК •• При синдроме Черджа–Стросс — преднизолон по 40–60 мг/сут в течение 1–2 нед, затем в течение 2 нед постепенно снизить дозу до 20 мг/сут, дальнейшее снижение дозы с отменой через год. При недостаточной эффективности преднизолон сочетают с циклофосфамидом, азатиоприном или хлорамбуцилом •• При аспергиллёзе лёгких — преднизолон 7,5–15 мг/сут. Фунгицидные средства не показаны •• При хроническом течении — преднизолон по 40–60 мг/сут 1–2 нед, затем в течение 2 нед постепенно снизить дозу до 20 мг/сут, далее снижать на 2,5 мг/нед до полной отмены • При паразитарной этиологии •• Аскаридоз — пиперазина адипинат •• Филяриоз — диэтилкарбамазин 6–8 мг/кг/сут в 3 приёма внутрь в течение 10–14 сут •• Токсокароз — диэтилкарбамазин • Для отхождения мокроты •• Дыхательная гимнастика •• Отхаркивающие препараты • Лечение сопутствующей бронхиальной астмы.
Осложнения • Рецидивы • Лёгочный фиброз.
Синонимы • Синдром Лёффлера • Эозинофильный летучий инфильтрат лёгкого • Инфильтрат лёгочный летучий
МКБ-10 • J82 Лёгочная эозинофилия, не классифицированная в других рубриках
Острая эозинофильная пневмония
Острая эозинофильная пневмония (ОЭП) – это заболевание неизвестной этиологии, которое характеризуется быстрой эозинофильной инфильтрацией интерстиция легких.
В отличие от хронической эозинофильной пневмонии Хроническая эозинофильная пневмония Хроническая эозинофильная пневмония (ХЭП) – заболевание неизвестной этиологии, которое характеризуется хроническим патологическим накоплением эозинофилов в легком. (См. также Обзор эозинофильных. Прочитайте дополнительные сведения , острая эозинофильная пневмония является острым заболеванием, которое обычно не рецидивирует. Заболеваемость и распространенность ОЭП неизвестны. Острая эозинофильная пневмония встречается в любом возрасте, чаще у людей в возрасте от 20 до 40 лет; мужчины болеют чаще, чем женщин в соотношении 2:1.
Симптомы и признаки острой эозинофильной пневмонии
Острая эозинофильная пневмония является причиной острого фебрильного заболевания короткой продолжительности (обычно 7 дней). Появляется непродуктивный кашель, одышка, недомогание, миалгии, ночная потливость и плевритическая боль.
Также наблюдается тахипноэ, лихорадка (часто > 38,5 ° C), двусторонние инспираторные влажные хрипы в нижних отделах легких, иногда – хрипы при форсированном выдохе.
Диагностика острой эозинофильной пневмонии
КТ высокого разрешения (КТВР)
Общий анализ крови (ОАК), анализ плеврального выпота, исследование функции легких
Бронхоскопия для выполнения лаважа, и в некоторых случаях, биопсия
Диагноз острой эозинофильной пневмонии можно заподозрить у пациентов с симптомами острой пневмонии, которые прогрессируют до дыхательной недостаточности и не имеют эффекта от антибиотикотерапии. Диагноз основывается на результатах стандартных исследований и подтверждается при бронхоскопии.
Острая эозинофильная пневмония является диагнозом, который ставится путем исключения и требует отсутствия известных причин эозинофильной пневмонии (например, индуцированной лекарствами и токсинами, связанной с глистными и грибковыми инфекциями, эозинофильный гранулематоз с полиангиитом Эозинофильный гранулематоз с полиангиитом (ЭГПА) Эозинофильный гранулематоз с полиангиитом представляет собой системный некротизирующий васкулит малых и средних сосудов с развитием экстраваскулярных гранулем, эозинофилии и эозинофильной инфильтрации. Прочитайте дополнительные сведения При рентгенографии органов грудной клетки изначально могут выявляться только незначительное усиление легочного рисунка или затемнения по типу «матового стекла», часто с наличием линий Керли типа В. Также могут выявляться изолированные альвеолярные (примерно в 25% случаев) затемнения или усиление легочного рисунка (примерно в 25% случаев). В отличие от хронической эозинофильной пневмонии, при острой эозинофильной пневмонии помутнения не характеризуются преимущественной локализацией на периферии легкого. Небольшие плевральные выпоты Плевральный выпот Плевральный выпот – это скопление жидкости в плевральной полости, обусловленное различными причинами. Плевральный выпот делится на транссудат и экссудат. Для выявления причины плеврального выпота. Прочитайте дополнительные сведенияПри КТВР всегда выявляются патологические изменения в виде двусторонних несимметричных очаговых затемнений по типу «матового стекла» или усиление легочного рисунка.
При исследовании плеврального выпота отмечается выраженная эозинофилия и высокий pH.
Бронхоскопия Бронхоскопия Бронхоскопия – это введение эндоскопа в дыхательные пути. Гибкая волоконно-оптическая бронхоскопия используется при всех диагностических и большинстве терапевтических показаний. Гибкие бронхоскопы. Прочитайте дополнительные сведения 25%) эозинофилов. При гистологическом исследовании выявляется эозинофильная инфильтрация с острым и организующимся диффузным поражением альвеол, но биопсия выполняется лишь в редких случаях.
Лечение острой эозинофильной пневмонии
Некоторые пациенты с острой эозинофильной пневмонией самопроизвольно выздоравливают. В большинстве случаев назначается преднизон (в дозе 40–60 мг перорально 1 раз в день). При наличии дыхательной недостаточности предпочтительно назначение метилпреднизолона (в дозе 60–125 мг внутривенно каждые 6 часов).
Прогноз острой эозинофильной пневмонии обычно благоприятный; ответ на кортикостероиды и полное выздоровление является распространенным явлением. Плевральный выпот разрешается более медленно, чем паренхиматозные инфильтраты.
Авторское право © 2022 Merck & Co., Inc., Rahway, NJ, США и ее аффилированные лица. Все права сохранены.
Эозинофильная пневмония
Информацию из данного раздела нельзя использовать для самодиагностики и самолечения. В случае боли или иного обострения заболевания диагностические исследования должен назначать только лечащий врач. Для постановки диагноза и правильного назначения лечения следует обращаться к Вашему лечащему врачу.
Эозинофильная пневмония – это аллерго-воспалительное поражение легочной ткани, сопровождающееся образованием неустойчивых мигрирующих инфильтратов эозинофильной природы и развитием гиперэозинофилии. Заболевание обычно протекает с недомоганием, субфебрилитетом, небольшим сухим кашлем, иногда со скудной мокротой; при острой форме - с болью в груди, миалгией, развитием острой дыхательной недостаточности. Установить эозинофильную пневмонию позволяют данные рентгенографии и КТ легких, общего анализа крови, бронхоальвеолярного лаважа, аллергопроб, серодиагностики. Основу лечения составляют специфическая гипосенсибилизация и гормональная терапия.
МКБ-10
- Причины
- Патогенез
- Симптомы эозинофильной пневмонии
- Диагностика
- Лечение эозинофильной пневмонии
- Прогноз и профилактика
- Цены на лечение
Общие сведения
Эозинофильная пневмония (эозинофильный «летучий» инфильтрат легкого) - респираторное заболевание, связанное с патологическим накоплением эозинофилов в альвеолах и повышением их уровня в крови и мокроте. Эозинофильная пневмония чаще диагностируется у населения и туристов в странах с тропическим климатом (Индонезии, Индии, Малайзии, тропической Африке, Ю. Америке).
Эозинофильная пневмония протекает по типу долевой пневмонии или бронхопневмонии, затрагивает обычно верхние отделы легких. Отмечается очаговое или диффузное воспаление альвеол, интерстициальной ткани, сосудов, бронхиол с их обильной инфильтрацией эозинофилами. Типичен преходящий характер инфильтратов с полным регрессом без вторичных рубцовых и склеротических изменений тканей.
Выделяют 3 формы легочной эозинофилии - простую (пневмония Лёффлера), острую и хроническую (синдром Лера-Киндберга). На хронизацию процесса указывают длительное (>4 недель) сохранение и рецидивирование эозинофильных инфильтратов. Эозинофильной пневмонией одинаково часто болеют лица обоего пола, преимущественно в 16-40-летнем возрасте; хроническая форма чаще развивается у женщин, страдающих бронхиальной астмой.

Эозинофильная пневмония
Причины
Эозинофильное поражение легочной ткани инициируют патогены инфекционно-аллергической и аллергической природы, вызывающие сенсибилизацию организма пациента. В качестве них могут выступать:
Патогенез
Развитие эозинофильной пневмонии опосредовано реакциями гиперчувствительности немедленного типа. Помимо гиперэозинофилии в крови пациентов часто выявляется повышенный уровень IgE (гипериммуноглобулинемия). За образование аллерго-воспалительных очагов в легочной ткани ответственны тучные клетки, активированные иммунными (IgE) и неиммунными (гистамином, системой комплемента) механизмами и продуцирующие медиаторы аллергии (главным образом, эозинофильный хемотаксический фактор анафилаксии). В ряде случаев эозинофильная пневмония развивается за счет выработки преципитирующих антител к антигенам (реакции по типу феномена Артюса).
Симптомы эозинофильной пневмонии
Клиническая картина бывает весьма вариабельной. Аллергическое воспаление легких может иметь бессимптомное течение с отсутствием или очень скудной выраженностью жалоб и определяться только рентгенологическим и клинико-лабораторным методом. Часто пневмония Лёффлера протекает с минимальными проявлениями, манифестируя симптомами катарального ринофарингита. Больные ощущают легкое недомогание, слабость, повышение температуры до субфебрильной, небольшой кашель, чаще сухой, иногда с незначительной вязкой или кровянистой мокротой, болезненность в области трахеи.
При массивном гематогенном распространении яиц и личинок глистов в организме присоединяется сыпь на коже, зуд, одышка с астматическим компонентом. Эозинофильная инфильтрация других органов сопровождается легкими, быстро исчезающими признаками их поражения – гепатомегалией, симптомами гастрита, панкреатита, энцефалита, моно- и полиневропатией.
Острая эозинофильная пневмония протекает тяжело, с интоксикацией, фебрилитетом, болью в груди, миалгией, быстрым (в течение 1-5 суток) развитием острой дыхательной недостаточности, респираторного дистресc-синдрома. Для хронической формы типично подострое течение с потливостью, потерей массы тела, нарастанием одышки, развитием плеврального выпота.
Эозинофильная пневмония обычно длится от нескольких дней до 2-4 недель. Выздоровление может наступать спонтанно. При хронической форме продолжительное существование инфильтратов и рецидивы способствуют постепенному прогрессированию заболевания, развитию легочного фиброза и дыхательной недостаточности.
Диагностика
Диагностика эозинофильной пневмонии включает проведение рентгенографии и КТ легких, общего анализа крови, анализа кала на яйца глист, бронхоальвеолярного лаважа, аллергопроб, серологических (РП, РСК, ИФА) и клеточных тестов (реакции дегрануляции базофилов и тучных клеток). Пациенты с эозинофильной пневмонией, как правило, имеют предшествующий аллергологический анамнез. Аускультация определяет небольшое количество влажных мелкопузырчатых хрипов или крепитацию. При обширных инфильтратах заметно укорочение легочного звука при перкуссии. Инструментально-лабораторный комплекс:
Дифференцировать эозинофильную пневмонию необходимо с пневмониями бактериального и вирусного генеза, туберкулезом, синдромом Вайнгартена, альвеолитом, десквамативным интерстициальным фиброзом. При атопической отягощенности показана консультация аллерголога, при респираторном рините - отоларинголога.
Лечение эозинофильной пневмонии
Основным в лечении является устранение действия этиологически значимого фактора: контакта с аллергенами (аэроаллергенами, лекарствами), проведение дегельминтизации. Назначаются антигистаминные препараты, противопаразитарные средства. Имеются случаи спонтанного выздоровления без фармакотерапии. В случае тяжелой глистной инвазии с обезвоживанием организма или невозможности полного изъятия аллергена из окружающей среды лечение проводится стационарно, в отделении пульмонологии.
При острой форме эозинофильной пневмонии применяются глюкокортикоиды, на фоне которых происходит быстрая (в течение 48 часов) регрессия воспаления. Дозу ГК подбирают индивидуально и снижают постепенно во избежание обострения. В тяжелых случаях требуются ИВЛ, длительная гормональная терапия. При бронхообструкции показаны ингаляционные ГК, бета-адреномиметики. Для лучшего отхождения мокроты используются отхаркивающие средства, дыхательная гимнастика. Проводится лечение сопутствующей бронхиальной астмы.
Прогноз и профилактика
Прогноз эозинофильной пневмонии в целом благоприятный, возможно самопроизвольное разрешение инфильтратов. Правильное лечение и наблюдение пульмонолога позволяет избежать хронизации процесса и рецидивов. Профилактика эозинофильной пневмонии сводится к мерам гигиены, предотвращающим заражение организма гельминтами, контролю за приемом медикаментов, ограничению контакта с аэроаллергенами, проведению специфической гипосенсибилизации. При необходимости рекомендуется смена места работы.
Вы можете поделиться своей историей болезни, что Вам помогло при лечении эозинофильной пневмонии.
Получить консультацию врача пульмонолога и аллерголога-иммунолога в Волгограде, Волжском и Михайловке можно в клиниках «ДИАЛАЙН». Мы предлагаем широкий спектр услуг, в том числе лабораторные анализы и обследования на передовом оборудовании. Для записи на прием к специалисту просто позвоните по телефону или оставьте заявку на сайте.
1. Легочные эозинофилии/ Шмелев Е.И.// АтмосферА. Пульмонология и Аллергология. - 2004 - №
2. Легочные эозинофилии: диагностика, подходы к терапии/ Э.Х.Анаев, А.Г.Чучалин// Пульмонология. - 2012 -№
3. Эозинофильная пневмония в практике врача-терапевта: трудности диагностики/ Болдырева Л.Н., Пантелеева Е.Н.//Справочник поликлинического врача. - 2011 - №
4. Трудности этиологической диагностики легочной эозинофилии/ Николаева С.С., Растомпахова Т.А.// Сибирский медицинский журнал. - 201
Информацию из данного раздела нельзя использовать для самодиагностики и самолечения. В случае боли или иного обострения заболевания диагностические исследования должен назначать только лечащий врач. Для постановки диагноза и правильного назначения лечения следует обращаться к Вашему лечащему врачу.
Эозинофильный гастроэнтерит – это редкое заболевание неясной этиологии, характеризующееся инфильтрацией эозинофилами стенок органов желудочно-кишечного тракта с нарушением их функции. Наиболее распрос.
Эндокардит Леффлера – это редкая форма рестриктивной кардиомиопатии с поражением оболочек сердца в результате их инфильтрации эозинофилами. Симптомы включают лихорадку, потерю веса, кардиалгию, одышку.
Экзема сосков — это аллергический дерматоз, проявляющийся эритематозно-везикулярной сыпью в области сосков и прилежащих к ним альвеол. Высыпания сопровождаются зудом, болезненными ощущениями, сухостью.
Эозинофильная пневмония ( Легочная эозинофилия , Пневмония Лёффлера , Синдром Лера-Киндберга , Эозинофильный летучий инфильтрат легкого )
Эозинофильная пневмония – это аллерго-воспалительное поражение легочной ткани, сопровождающееся образованием неустойчивых мигрирующих инфильтратов эозинофильной природы и развитием гиперэозинофилии. Заболевание обычно протекает с недомоганием, субфебрилитетом, небольшим сухим кашлем, иногда со скудной мокротой; при острой форме - с болью в груди, миалгией, развитием острой дыхательной недостаточности. Установить эозинофильную пневмонию позволяют данные рентгенографии и КТ легких, общего анализа крови, бронхоальвеолярного лаважа, аллергопроб, серодиагностики. Основу лечения составляют специфическая гипосенсибилизация и гормональная терапия.
МКБ-10

Общие сведения
Эозинофильная пневмония (эозинофильный «летучий» инфильтрат легкого) - респираторное заболевание, связанное с патологическим накоплением эозинофилов в альвеолах и повышением их уровня в крови и мокроте. Эозинофильная пневмония чаще диагностируется у населения и туристов в странах с тропическим климатом (Индонезии, Индии, Малайзии, тропической Африке, Ю. Америке).
Эозинофильная пневмония протекает по типу долевой пневмонии или бронхопневмонии, затрагивает обычно верхние отделы легких. Отмечается очаговое или диффузное воспаление альвеол, интерстициальной ткани, сосудов, бронхиол с их обильной инфильтрацией эозинофилами. Типичен преходящий характер инфильтратов с полным регрессом без вторичных рубцовых и склеротических изменений тканей.
Выделяют 3 формы легочной эозинофилии - простую (пневмония Лёффлера), острую и хроническую (синдром Лера-Киндберга). На хронизацию процесса указывают длительное (>4 недель) сохранение и рецидивирование эозинофильных инфильтратов. Эозинофильной пневмонией одинаково часто болеют лица обоего пола, преимущественно в 16-40-летнем возрасте; хроническая форма чаще развивается у женщин, страдающих бронхиальной астмой.

Причины
Эозинофильное поражение легочной ткани инициируют патогены инфекционно-аллергической и аллергической природы, вызывающие сенсибилизацию организма пациента. В качестве них могут выступать:
- Паразитарная (глистная) инвазия. В 1932 г Лёффлер впервые определил роль гельминтов в этиологии эозинофильной пневмонии, возникающей при транзиторном повреждении легочной ткани в процессе миграции личинок паразитов через легкие. К появлению пневмонии Лёффлера может привести практически любой гельминтоз - аскаридоз, стронгилоидоз, шистосомоз, анкилостоматоз, парагонимоз, токсокароз, трихинеллез и др. Довольно часто при легочной эозинофилии выявляются нематоды Toxocara cati и T. canis, аскариды собак и кошек. Личинки и яйца глистов могут попадать в ткань легких с током крови, взрослые паразиты (Paragonimus westermani) - через кишечную стенку, диафрагму и плевру, вызывая эозинофильное воспаление с образованием инфильтратов.
- Ингаляционные и лекарственные аллергены. Эозинофильная пневмония может быть результатом аллергической реакции на прием медикаментов (пенициллина, ацетилсалициловой кислоты, сульфаниламидов, нитрофуранов, изониазида, гормональных и рентгенконтрастных препаратов, соединений золота), на контакт с химическими агентами на производстве (солями никеля), цветочной пыльцой (ландыша, лилии, липы). Пневмония Леффлера может быть проявлением сывороточной болезни, иметь связь с аллергией на туберкулин.
- Грибковая инфекция. Атопическая сенсибилизация дыхательного тракта к спорам грибов (особенно, рода Aspergillus) также способствует развитию эозинофильных легочных инфильтратов.
Патогенез
Развитие эозинофильной пневмонии опосредовано реакциями гиперчувствительности немедленного типа. Помимо гиперэозинофилии в крови пациентов часто выявляется повышенный уровень IgE (гипериммуноглобулинемия). За образование аллерго-воспалительных очагов в легочной ткани ответственны тучные клетки, активированные иммунными (IgE) и неиммунными (гистамином, системой комплемента) механизмами и продуцирующие медиаторы аллергии (главным образом, эозинофильный хемотаксический фактор анафилаксии). В ряде случаев эозинофильная пневмония развивается за счет выработки преципитирующих антител к антигенам (реакции по типу феномена Артюса).
Симптомы эозинофильной пневмонии
Клиническая картина бывает весьма вариабельной. Аллергическое воспаление легких может иметь бессимптомное течение с отсутствием или очень скудной выраженностью жалоб и определяться только рентгенологическим и клинико-лабораторным методом. Часто пневмония Лёффлера протекает с минимальными проявлениями, манифестируя симптомами катарального ринофарингита. Больные ощущают легкое недомогание, слабость, повышение температуры до субфебрильной, небольшой кашель, чаще сухой, иногда с незначительной вязкой или кровянистой мокротой, болезненность в области трахеи.
При массивном гематогенном распространении яиц и личинок глистов в организме присоединяется сыпь на коже, зуд, одышка с астматическим компонентом. Эозинофильная инфильтрация других органов сопровождается легкими, быстро исчезающими признаками их поражения – гепатомегалией, симптомами гастрита, панкреатита, энцефалита, моно- и полиневропатией.
Острая эозинофильная пневмония протекает тяжело, с интоксикацией, фебрилитетом, болью в груди, миалгией, быстрым (в течение 1-5 суток) развитием острой дыхательной недостаточности, респираторного дистресc-синдрома. Для хронической формы типично подострое течение с потливостью, потерей массы тела, нарастанием одышки, развитием плеврального выпота.
Эозинофильная пневмония обычно длится от нескольких дней до 2-4 недель. Выздоровление может наступать спонтанно. При хронической форме продолжительное существование инфильтратов и рецидивы способствуют постепенному прогрессированию заболевания, развитию легочного фиброза и дыхательной недостаточности.
Диагностика
Диагностика эозинофильной пневмонии включает проведение рентгенографии и КТ легких, общего анализа крови, анализа кала на яйца глист, бронхоальвеолярного лаважа, аллергопроб, серологических (РП, РСК, ИФА) и клеточных тестов (реакции дегрануляции базофилов и тучных клеток). Пациенты с эозинофильной пневмонией, как правило, имеют предшествующий аллергологический анамнез. Аускультация определяет небольшое количество влажных мелкопузырчатых хрипов или крепитацию. При обширных инфильтратах заметно укорочение легочного звука при перкуссии. Инструментально-лабораторный комплекс:
- Рентгенография легких. На снимках видны субплеврально расположенные одиночные (реже множественные, двусторонние) нечеткие затемнения средней интенсивности неправильной формы размером до 3-4 см. В окружении инфильтрата легочный рисунок усилен, тень корня легкого слегка расширена. Характерна быстрая динамика инфильтратов с миграцией по легочным полям и исчезновением не позднее 1-2 недель после обнаружения (чаще через 1-3 дня) без остаточной рубцовой деформации. При длительно поддерживающемся инфильтративном воспалении в ткани легких могут образоваться фиброзные очаги и кистозные полости.
- Лабораторные данные. В периферической крови на начальной стадии заболевания регистрируется лейкоцитоз, гиперэозинофилия (10-25%), при хронизации процесса уровень эозинофилов близок к норме. Часто выявляется высокое содержание в крови IgE (до 1000 МЕ/мл). В анализе лаважной жидкости также появляются эозинофилы (при острой форме – до 40% и более) и кристаллы Шарко-Лейдена. Анализ кала, проводимый с учетом цикла развития паразитов, при некоторых гельминтозах позволяет обнаружить яйца глист. По данным биопсии в альвеолах и интерстиции определяются эозинофилы, лимфоциты и макрофаги, гранулемы, поражение мелких сосудов.
- Аллергопробы. Этиологическая диагностика эозинофильной пневмонии включает провокационные назальные и ингаляционные тесты, кожные пробы с аллергенами пыльцы, гельминтов, спор грибов, серологические анализы. «Никелевая» эозинофильная пневмония обычно сочетается с аллергическим контактным дерматитом и подтверждается положительным компрессным (аппликационным) тестом с никелем.
- ФВД. Бронхиальную проходимость оценивают при проведении спирометрии, бронхомоторных тестов.
Дифференцировать эозинофильную пневмонию необходимо с пневмониями бактериального и вирусного генеза, туберкулезом, синдромом Вайнгартена, альвеолитом, десквамативным интерстициальным фиброзом. При атопической отягощенности показана консультация аллерголога, при респираторном рините - отоларинголога.
Лечение эозинофильной пневмонии
Основным в лечении является устранение действия этиологически значимого фактора: контакта с аллергенами (аэроаллергенами, лекарствами), проведение дегельминтизации. Назначаются антигистаминные препараты, противопаразитарные средства. Имеются случаи спонтанного выздоровления без фармакотерапии. В случае тяжелой глистной инвазии с обезвоживанием организма или невозможности полного изъятия аллергена из окружающей среды лечение проводится стационарно, в отделении пульмонологии.
При острой форме эозинофильной пневмонии применяются глюкокортикоиды, на фоне которых происходит быстрая (в течение 48 часов) регрессия воспаления. Дозу ГК подбирают индивидуально и снижают постепенно во избежание обострения. В тяжелых случаях требуются ИВЛ, длительная гормональная терапия. При бронхообструкции показаны ингаляционные ГК, бета-адреномиметики. Для лучшего отхождения мокроты используются отхаркивающие средства, дыхательная гимнастика. Проводится лечение сопутствующей бронхиальной астмы.
Прогноз и профилактика
Прогноз эозинофильной пневмонии в целом благоприятный, возможно самопроизвольное разрешение инфильтратов. Правильное лечение и наблюдение пульмонолога позволяет избежать хронизации процесса и рецидивов. Профилактика эозинофильной пневмонии сводится к мерам гигиены, предотвращающим заражение организма гельминтами, контролю за приемом медикаментов, ограничению контакта с аэроаллергенами, проведению специфической гипосенсибилизации. При необходимости рекомендуется смена места работы.
2. Легочные эозинофилии: диагностика, подходы к терапии/ Э.Х.Анаев, А.Г.Чучалин// Пульмонология. - 2012 -№ 4.
3. Эозинофильная пневмония в практике врача-терапевта: трудности диагностики/ Болдырева Л.Н., Пантелеева Е.Н.//Справочник поликлинического врача. - 2011 - №9.
4. Трудности этиологической диагностики легочной эозинофилии/ Николаева С.С., Растомпахова Т.А.// Сибирский медицинский журнал. - 2011.
Месалазин-индуцированная эозинофильная пневмония у мальчика 15 лет с язвенным колитом
Одной из сложных категорий пациентов являются пациенты с воспалительными заболеваниями кишечника. Представлен клинический случай развития месалазин-индуцированной эозинофильной пневмонии у мальчика 15 лет с язвенным колитом. Пациент перенес острое респираторное заболевание, которое повлекло обострение язвенного колита и, соответственно, увеличение дозы месалазина. На этом фоне у ребенка появились активные жалобы на тяжесть в грудной клетке слева. В крови отмечалась эозинофилия. Анализ клинических симптомов, данные рентгенологического исследования, микроскопического исследования плевральной жидкости, результаты спиральной компьютерной томографии грудной клетки позволили провести дифференциальный диагноз основных симптомов и связать выявленные легочные поражения с воздействием месалазина.
Ключевые слова
Об авторах
д-р мед. наук, профессор, кафедра госпитальной педиатрии, 634050, г. Томск, Московский тракт, 2;
634050, г. Томск, Московский тракт, 4
канд. мед. наук, ассистент, кафедра госпитальной педиатрии, 634050, г. Томск, Московский тракт, 2;
634050, г. Томск, Московский тракт, 4
канд. мед. наук, ассистент, кафедра госпитальной педиатрии, 634050, г. Томск, Московский тракт, 2;
634050, г. Томск, Московский тракт, 4
д-р мед. наук, профессор, кафедра госпитальной педиатрии, 634050, г. Томск, Московский тракт, 2;
руководитель научно-консультативного отдела муковисцидоза, 115478, г. Москва, Москворечье, 1
канд. мед. наук, доцент, кафедра госпитальной педиатрии, 634050, г. Томск, Московский тракт, 2;
634050, г. Томск, Московский тракт, 4
канд. мед. наук, доцент, кафедра госпитальной педиатрии,
634050, г. Томск, Московский тракт, 2
д-р мед. наук, профессор, зав. кафедрой госпитальной педиатрии,
634050, г. Томск, Московский тракт, 2
д-р мед. наук, профессор, кафедра госпитальной педиатрии, 634050, г. Томск, Московский тракт, 2;
634050, г. Томск, Московский тракт, 4
канд. мед. наук, доцент, кафедра госпитальной педиатрии,
634050, г. Томск, Московский тракт, 2
д-р мед. наук, профессор, кафедра госпитальной педиатрии,
634050, г. Томск, Московский тракт, 2
канд. мед. наук, ассистент, кафедра госпитальной педиатрии,
634050, г. Томск, Московский тракт, 2
ст. преподаватель, кафедра микробиологии и вирусологии,
634050, г. Томск, Московский тракт, 2
Список литературы
1. Анаев Э.Х., Чучалин А.Г. Легочные эозинофилии: диагностика, подходы к терапии. Пульмонология. 2012; 4: 106–115.
2. Анаев Э.Х. Легочные эозинофилии: проблемы дифференциальной диагностики. Астма и аллергия. 2016; 1: 6–12.
3. Самсонова М.В., Черняев А.Л. Эозинофилии легких. Практическая пульмонология. 2016; 1: 56–60.
4. Campos L.E., Pereira L.F. Pulmonary eosinophilia. J. Bras. Pneumol. 2009; 35: 561–573.
5. Jeong Y.J., Kim K.L., Seo I.J. Eosinophilic lung diseases: a clinical, radiologic, and pathologic overview. Radiographics. 2007; 27: 617–637.
6. Allen J.N., Davis W.B. Eosinophilic lung diseases. Am. J. Respir. Crit. Care Med. 1994; 150: 1423–1438.
7. Bain G.A., Flower C.D. Pulmonary eosinophilia. Eur. J. Radiol. 1996; 23: 3–8.
8. Johkoh T., Muller N.L., Akira M. Eosinophilic lung diseases: diagnostic accuracy of thin section CT in 111 patients. Radiology. 2000; 216: 773–780.
9. Михайлова Ç.Ф. Системная патология при хронических заболеваниях кишечника. Экспериментальная и клиническая гастроэнтерология. 2010; 3: 95–98.
11. Fernández Pérez E.R., Olson A.L., Frankel S.K. Eosinophilic lung diseases. Med. Clin. North Am. 2011; 95: 1163–1187. Cottin V. Eosinophilic Lung Diseases. Clin. Chest Med. 2016 Sept.; 37 (3): 535–556. DOI: 10.1016/j.ccm.2016.04.015.
12. Saint-Pierre M.D., Moran-Mendoza O. Acetaminophen Use: An Unusual Cause of Drug-Induced Pulmonary Eosinophilia. Can. Respir. J. 2016; 2016: 4287270.
13. Park J.E., Hwangbo Y., Chang R., Chang Y.W., Jang J.Y., Kim B.H. et al. Mesalazine-induced eosinophilic pneumonia in a patient with Crohn’s disease. Korean J. Gastroenterol. 2009 Feb.; 53 (2): 116–120.
14. Yeo J., Woo H.S., Lee S.M., Kim Y.J., Kwon K.A., Park D.K. et al. Drug-induced eosinophilic pneumonia in a patient with Crohn’s disease: diagnosis and treatment using fraction of exhaled nitric oxide. Intest Res. 2017 Oct.; 15 (4): 529–534. DOI: 10.5217/ir.2017.15.4.529.
15. Timmer R., Duurkens V.A.M., Van Hees P.A.M. Sulphasalazine-induced eosinophilic pneumonia. Neth. J. Med. 1992; 41: 153–157.
16. Bitton A., Peppercorn M.A., Hanrahan J.P., Upton M.P. Mesalazine-induced lung toxicity. Am. J. Gastroenterol. 1996; 91: 1039–1040.
17. Gupta A., Gulati S. Mesalamine induced eosinophilic pneumonia. Respir. Med. Case Rep. 2017 Apr. 12; 21: 116–117. DOI: 10.1016/j.rmcr.2017.04.010.
18. Ferrusquia J., Perez-Martinez I., Gomez de la Torre R., Fernandez-Almira M., de Francisco R., Rodrigo L. et al. Gastroenterology case report of mesalazine-induced cardiopulmonary hypersensitivity. World J. Gastroenterol. 2015; 21 (13): 4069–4077. DOI: 10.3748/wjg.v21.i13.4069.
19. Patel K.B., Robbins M.M., Simon M.L., Amorosa J.K. Eosinophilic Pneumonia in a Patient with Ulcerative Colitis. Radiol. Case Rep. 2015 Dec. 7; 2 (4): 49. DOI: 10.2484/rcr.2007.v2i4.49.
20. Inoue M., Horita N., Kimura N., Kojima R., Miyazawa N. Three cases of mesalazine-induced pneumonitis with eosinophilia. Respir. Investig. 2014; 52 (3): 209–212.
21. Zhang Y., Luo L., Wang X., Liu X., Wang X., Ding Y. Mesalazine-induced eosinophilic pneumonia with bone marrow infiltration: a case report and literature review. Ther. Clin. Risk Manag. 2016; 12: 975–981.
Читайте также:
