Гемоторакс
Добавил пользователь Евгений Кузнецов Обновлено: 23.11.2025
Гемоторакс — скопление крови в плевральной полости.
Этиология — кровотечение в плевральную полость • Открытые и закрытые травмы грудной клетки • Гематологические заболевания.
Патогенез • Быстрое накопление большого объёма крови в плевральной полости сопровождается нарушением вентиляции лёгких (из-за компрессионного воздействия на органы грудной полости) и гиповолемическим шоком • Плевральная жидкость, действуя как антикоагулянт, препятствует сворачиванию крови • Позднее плевральная жидкость инактивируется, поэтому кровь сворачивается, т.е. образуется свернувшийся гемоторакс.
Клиническая картина
• Малый гемоторакс (кровь в синусах плевральной полости) — нарушения функций ССС и дыхательной системы минимальны или отсутствуют.
• Средний гемоторакс (кровь до уровня середины лопатки) •• Общая слабость •• Боль в груди •• Одышка •• Цианоз •• Холодный пот •• Учащение дыхания •• Падение АД; малый, частый пульс •• Притупление перкуторного звука на стороне поражения, соответствующее уровню жидкости в плевральной полости •• Ослабление дыхательных шумов и голосового дрожания.
• Большой гемоторакс (уровень крови выше середины лопатки) — симптоматика среднего гемоторакса, выраженная более отчётливо.
Лабораторные исследования — ОАК: уменьшение числа эритроцитов, Hb, Ht.
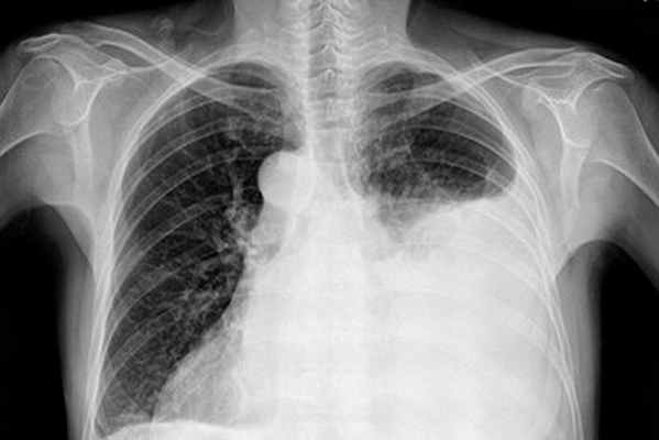
Специальные исследования • Обзорная рентгенография органов грудной клетки: коллапс лёгкого, горизонтальный уровень жидкости, смещение (флотация) средостения в здоровую сторону • Пункция плевральной полости: кровь; при продолжающемся кровотечении полученная при пункции кровь сворачивается (положительная проба Ривилуа–Грегуара).
Лечение • Пункция плевральной полости • Дренирование плевральной полости • Торакотомия при продолжающемся кровотечении. Показания к экстренной торакотомии продолжающееся выделение крови после удаления скопившейся • Катетеризация вен и восстановление ОЦК • Кровоостанавливающая терапия • Реинфузия крови, излившейся в плевральную полость.
Исход • Рассасывание крови полное или частичное • Нагноение.
МКБ-10 • J94.2 Гемоторакс • S27.1 Травматический гемоторакс
Код вставки на сайт
Гемоторакс
Гемоторакс — скопление крови в плевральной полости.
Этиология — кровотечение в плевральную полость • Открытые и закрытые травмы грудной клетки • Гематологические заболевания.
Патогенез • Быстрое накопление большого объёма крови в плевральной полости сопровождается нарушением вентиляции лёгких (из-за компрессионного воздействия на органы грудной полости) и гиповолемическим шоком • Плевральная жидкость, действуя как антикоагулянт, препятствует сворачиванию крови • Позднее плевральная жидкость инактивируется, поэтому кровь сворачивается, т.е. образуется свернувшийся гемоторакс.
Клиническая картина
• Малый гемоторакс (кровь в синусах плевральной полости) — нарушения функций ССС и дыхательной системы минимальны или отсутствуют.
• Средний гемоторакс (кровь до уровня середины лопатки) •• Общая слабость •• Боль в груди •• Одышка •• Цианоз •• Холодный пот •• Учащение дыхания •• Падение АД; малый, частый пульс •• Притупление перкуторного звука на стороне поражения, соответствующее уровню жидкости в плевральной полости •• Ослабление дыхательных шумов и голосового дрожания.
• Большой гемоторакс (уровень крови выше середины лопатки) — симптоматика среднего гемоторакса, выраженная более отчётливо.
Лабораторные исследования — ОАК: уменьшение числа эритроцитов, Hb, Ht.
Специальные исследования • Обзорная рентгенография органов грудной клетки: коллапс лёгкого, горизонтальный уровень жидкости, смещение (флотация) средостения в здоровую сторону • Пункция плевральной полости: кровь; при продолжающемся кровотечении полученная при пункции кровь сворачивается (положительная проба Ривилуа–Грегуара).
Лечение • Пункция плевральной полости • Дренирование плевральной полости • Торакотомия при продолжающемся кровотечении. Показания к экстренной торакотомии продолжающееся выделение крови после удаления скопившейся • Катетеризация вен и восстановление ОЦК • Кровоостанавливающая терапия • Реинфузия крови, излившейся в плевральную полость.
Исход • Рассасывание крови полное или частичное • Нагноение.
МКБ-10 • J94.2 Гемоторакс • S27.1 Травматический гемоторакс
Гемоторакс: причины, симптомы, методы лечения
Гемоторакс – патология, при которой в плевральной полости накапливается кровь. Это приводит к сдавливанию легкого и потере его функциональности. Происходит смещение других органов. Такое состояние сопровождается специфическими клиническими признаками. Это боль, усиливающаяся при глубоком вдохе, кровопотеря, ухудшение общего самочувствия человека. Чтобы не допустить развития опасных осложнений, нужно вовремя поставить диагноз, и назначить лечение.
Развитие и степень тяжести недуга
Гемоторакс развивается постепенно. Сначала кровь накапливается между листками плевры в небольшом количестве. Но даже этого достаточно для нарушения функций пораженного легкого. Контакт плевры с кровью приводит к развитию воспалительного процесса, отечности, набуханию и отмиранию ее клеток.
Кровь, попавшая в плевральную полость, постепенно сворачивается, но ферменты, содержащиеся в ее составе, вновь разжижают ее. Этот процесс повторяется несколько раз. Но постепенно состав крови меняется, снижается гемоглобин, и она превращается в плотный сгусток. В этот момент усиливаются симптомы патологии. Такое состояние жизненно-опасно для пациента и требует немедленной госпитализации.
В зависимости от объемов крови в плевральной полости выделяют несколько степеней тяжести заболевания:
- Начальная – объем крови около 500 мл, она накапливается в синусе.
- Средняя – 1500 мл, локализация – в области IV ребра.
- Субтотальная – 1500-2000 мл.
- Тотальная – более 2 л.
Причины развития заболевания
Основным фактором, провоцирующим возникновение патологии, считается травматическое повреждение грудной клетки, сопровождающееся внутренним кровотечением. Но заболевание часто развивается и при отсутствии травм. К числу других провоцирующих факторов относят:
- онкологические опухоли легкого или плевры;
- аневризмы крупных кровеносных сосудов;
- туберкулез легких;
- абсцесс в области органов грудной клетки;
- геморрагический диатез;
- коагулопатию;
- осложнения после хирургических операций на органах грудной клетки.
Клиническая картина
- осложненное дыхание;
- тупая боль, которая усиливается в момент глубокого вдоха или движения;
- снижение уровня АД;
- аритмия, учащение пульса;
- ухудшение общего самочувствия (головокружения, приступы мигрени, в тяжелых случаях – обморочное состояние);
- обильное отхождение мокроты с примесью крови;
- острая боль в груди, возникающая при прикосновении к пораженной области;
- подвижность ребер (при травматическом повреждении грудной клетки);
- образование многочисленных местных гематом;
- признаки интоксикации организма (возникают, если патология осложнена присоединением инфекции);
- бледность кожи;
- гипергидроз;
- гипотермия.
Диагностика и лечение гемоторакса
Прежде чем назначать терапевтические мероприятия, пульмонолог должен поставить диагноз. Для этого проводится опрос и осмотр пациента, затем его направляют на инструментальное обследование. Это рентгенография, УЗИ органов грудной клетки, КТ, МРТ, эндоскопию. Также требуются и лабораторные исследования: анализ мокроты, крови, содержащейся в полости плевры.
После того как был поставлен диагноз, врач назначает лечение. Оно может быть консервативным или хирургическим. Медикаментозное лечение назначается при начальной или средней степени тяжести болезни. Терапия включает в себя прием:
- сердечно-сосудистых препаратов;
- иммуномодуляторов;
- протеолитических средств.
Лечение тяжелой формы гемоторакса более сложное. Пациента направляют в хирургическое отделение, где ему проводят операцию. В ходе этой процедуры осуществляют дренаж полости плевры, ее очищение от накопившейся крови. Это малоинвазивный способ лечения. Если имеет место значительное повреждение грудной клетки с обилием ран, проводится ее вскрытие, ушивание пораженных участков. После операции накладывают швы, прикрывают их антисептической повязкой. Также пациенту назначают:
- кислородную терапию;
- внутривенное введение раствора аскорбиновой кислоты и глюкозы;
- шейную новокаиновую блокаду для купирования сильных приступов боли.
Патология опасна для человека, затягивать с лечением нельзя. Нужно скорее посетить медицинское учреждение. В медицинском центре «Гармония» работают высококвалифицированные врачи. Клиника оснащена современным оборудованием. Это позволяет быстро и точно поставить диагноз и назначить лечение.
Гемоторакс
Гемоторакс – одно из заболеваний, вызванных осложнениями открытой или закрытой травмы грудной клетки. Такое состояние крайне опасно и требует немедленного оказания медицинской помощи.
Что такое Гемоторакс
Гемоторакс – патология, выраженная скоплением крови в плевральной полости. Как правило, причиной гемоторакса становятся разрывы сосудов тканей легкого или грудной клетки. В этом случае объем кровоизлияния может достичь двух и более литров. При обширном заболевании наблюдается нарушение целостности межреберных артерий, иногда – аорты или других крупных сосудов грудной клетки.
Важно! Обширный гемоторакс сопровождается большой кровопотерей, постепенно нарастающим сдавливанием легкого и развитием дыхательной недостаточности.
В зависимости от причин возникновения гемоторакс классифицируется следующим образом:
- Травматический – вызван внутренним повреждением области грудины вследствие проникающего ранения, переломе ребра либо сильным ушибом. Травма этой категории характеризуется повреждением сосудов в пространстве между двумя ребрами, в результате которого кровь вытекает в плевру.
- Патологический – возникает при аневризме аорты, туберкулезе, легочном абсцессе, раке плевры или легких.
- Ятрогенный – протекает на фоне осложнений, вызванных последствиями оперативного вмешательства в плевру.
В зависимости от длительности кровотечения гемоторакс может быть:

В соответствии с объемом кровопотери выделяют несколько видов этой патологии:
- малый – до 500 мл;
- средний – до 1 л (кровяной уровень достигает нижнего края IV ребра);
- субтотальный – до 2 л (скопление крови фиксируется на уровне II ребра);
- тотальный – свыше 2 л (кровь полностью заполняет легкое).
Причины возникновения
В большинстве случаев возникновение гемоторакса обусловлено полученной травмой: скопление крови в плевральной полости в 60% случаев вызвано проникающими ранениями грудной клетки, в 8% – повреждениями непроникающего характера.
Основные причины гемоторакса:
- повреждения тканей вследствие перелома ребер;
- огнестрельные и ножевые ранения;
- тупые раны, полученные в результате ушибов, и приведшие к разрыву кровеносных сосудов;
- разрыв аневризмы аорты;
- туберкулез легких;
- злокачественные процессы, протекающие в легких;
- торакоцентез;
- абсцесс легкого;
- осложнения после оперативного вмешательства;
- нарушения функций свертывающей системы;
- дренирование плевральной полости;
- некорректно выполненная катетеризация центральных вен.
Важно! Поступившая в плевральную полость кровь сдавливает легкое, что приводит к дыхательной дисфункции.
Симптомы и признаки
Малый гемоторакс сопровождается кашлем, дыхательным дискомфортом и незначительной одышкой. Эти симптомы никак не отражаются на активности пациента.
Для среднего гемоторакса характерна более выраженная клиника:
- состояние средней степени тяжести;
- интенсивный кашель;
- заложенность в грудной клетке;
- сильная одышка, нарастающая при физических нагрузках.
Симптомы субтотального и тотального гемоторакса схожи между собой, но в то же время различаются степенью выраженности:
- цианотичное окрашивание слизистых оболочек и кожных покровов;
- гемодинамические нарушения и дыхательная недостаточность, обуславливающие крайне тяжелое состояние;
- одышка, вызываемая даже незначительной физической нагрузкой;
- резкая гипотония;
- головокружения;
- ощущения слабости;
- частый нитевидный пульс;
- сильный кашель;
- боли в груди;
- возникновение удушья в положении лежа.
Какой врач лечит
Лечением гемоторакса занимается пульмонолог.
Методы диагностики
Основные диагностические исследования:
- обследование пациента на наличие травмы, раны; ; или КТ (при необходимости);
- пункция плевральной полости для выявления нагноения (проба Петрова);
- проба Рувилуа – Грегуара.
Записавшись в «Клинику Здоровья на Курской», пациент пройдет необходимую диагностику: МРТ, КТ, УЗИ, после чего будет сразу же направлен к врачу для разработки эффективной программы лечения.
Методы лечения
Терапия гемоторакса включает несколько мероприятий:
- обработка раны грудной клетки;
- купирование болевого синдрома;
- наложение швов;
- удаление крови из плевральной полости методом дренирования;
- восполнение объема потерянной крови;
- антибактериальная и противошоковая терапия.
В процессе лечения пациенту назначают анальгетики, кровоостанавливающие и противовоспалительные препараты, антисептики, антибиотики и протеолитические ферменты.
Важно! В зависимости от степени тяжести патологии проводятся оперативные вмешательства.
Результаты
Прогноз заболевания напрямую зависит от характера травмы и того, насколько своевременно было начато лечение. Вовремя назначенная терапия позволяет добиться полного восстановления у большей части пациентов. Отсутствие медицинской помощи или ее несвоевременное оказание становятся причиной развития серьезных осложнений. В запущенных случаях наступает летальный исход.
Реабилитация и восстановление образа жизни
В реабилитационный период пациенту необходимо следующее:
- регулярный осмотр у врача;
- правильное питание;
- ведение здорового образа жизни;
- систематические занятия плаванием и дыхательной гимнастикой;
- проведение мероприятий, направленных на профилактику онкологических заболеваний, аневризмы и туберкулеза.
Образ жизни при Гемотораксе
Людям с гемотораксом необходимо избегать ситуаций, способных привести к травме грудной клетки. Появление первых признаков кровотечения в плевральной полости требует немедленного обращения к врачу.
Гемоторакс
Под названием «Гемоторакс» понимается скопление в плевральной полости крови – результат внутреннего кровотечения. Приводит к компрессии одного из легких и смещению в противоположную сторону органов средостения.
По статистике, гемоторакс при травме грудной клетки развивается у каждого четвертого пациента. Может развиться одновременно с пневмотораксом, в этом случае носит название гемопневмоторакс. В любом случае, скопление крови в плевральной полости является опасным для здоровья и жизни пациента острым состоянием, требующим экстренной медицинской помощи.
Чем опасно отсутствие своевременного лечения гемоторакса? Компрессия легкого может повлечь за собой развитие у пациента острой дыхательной недостаточности. А в том случае, если внутреннее кровотечение достаточно сильное, оно может стать причиной наступления у него геморрагического шока. А уже через два-три часа с начала кровотечения в плевральную полость в ней развивается воспаление – так называемый гемоплеврит.
Причины развития этого патологического состояния
Классификация факторов, спровоцировавших развитие у пациента гемоторакса, выглядит следующим образом:
- травмы груди – как закрытые повреждения, например, сильные ушибы, так и проникающие ранения. Подобные травмы могут быть следствием падения, ДТП, ножевых и огнестрельных ранений, трещин и переломов одного или нескольких ребер и т.д. Кровотечение в плевральную полость при этом может быть следствием повреждения легких, диафрагмы, сердечной мышцы и крупных кровеносных сосудов, селезенки, печени и других внутренних органов;
- патологические причины гемоторакса – это прежде всего следствие наличия у пациента некоторых заболеваний. К ним относятся туберкулез, абсцесс легкого, опухоли грудной стенки, злокачественные новообразования в легких, аневризма аорты и т.д.;
- третья группа факторов – это так называемые ятрогенные причины скопаления в плевральной полости крови. Это могут быть неквалифицированное проведение торакоцентеза и последующей установки дренажа, а также осложнения хирургических вмешательств на плевре и органах грудной клетки.
Симптомы посттравматического гемоторакса
Проявления данного состояния могут быть более или менее интенсивными в зависимости от того, насколько сильно внутреннее кровотечение и как выражена компрессия легкого. Если гемоторакс незначителен, то характерной симптоматики может и не быть; о том, что с пациентом что-то не так, свидетельствуют лишь болезненные ощущения в груди, одышка и кашель.
Если в плевральной полости скопился достаточно большой объем крови, то проявления выражены ярче. Пациент страдает от сильных болей в груди, которые могут «отдавать» в спину и в верхние конечности, усиливаясь при кашле и в момент физической активности. Характерна сильная одышка и общая слабость, сильное снижение артериального давления. Пациент вынужден сохранять положение сидя: так ему немного легче.
Тяжелые формы гемоторакса – например, после серьезной травмы грудной клетки – характеризуются симптоматикой острого внутреннего кровотечения. Это головокружение, предобморочное состояние, выраженная гипотония, учащение сердцебиения, зачастую – потеря сознания. При этом, если внутреннее кровотечение сопровождается переломами ребер, под кожей пациента появляется эмфизема, выраженные гематомы, грудная клетка может быть деформирована. О нарушении целостности легкого может свидетельствовать развитие у пациента кровохаркания.
Выявление и лечение гемоторакса в «ОН КЛИНИК Рязань»
Для уточнения предварительно поставленного по симптоматике диагноза могут быть использованы такие инструментальные исследования, как УЗИ грудной клетки, ее рентгенография, а также торакоскопия. Присутствие крови в диагностической пункции плевральной полости является однозначным свидетельством ее скопления внутри.
Малый гемоторакс в большинстве случаев успешно лечится консервативным путем. Массивная антибиотикотерапия, а также симптоматическое лечение с обязательным применением гемотрансфузионных и иммуномодулирующих препаратов помогают устранить все проявления заболевания и предотвратить развитие осложнений.
Хирургическое лечение гемоторакса предусматривает обеспечение оттока крови из плевральной полости с последующим введением внутрь антисептического раствора и антибиотиков для предотвращения воспаления, а также препаратов для растворения кровяных сгустков.
Показаниями к проведению экстренной торакотомии при гемотораксе являются повреждение органов грудной полости и/или крупных кровеносных сосудов. Это необходимо для восстановления целостности сосуда и ушивания поврежденных органов. Одновременно с этим производится санация плевральной полости, сгустки свернувшейся крови удаляют. Если у пациента развилось гнойное воспаление плевральной полости, его лечение должно быть идентично терапии гнойного плеврита.
Гемоторакс. Причины, симптомы и лечение
Гемотораксом в медицине называют неотложное состояние, обусловленное массивным кровоизлиянием в плевральную полость (плевра – замкнутая двухлепестковая серозная оболочка легких; плевральная полость – узкое пространство между внутренним, висцеральным, покрывающим легкое, и внешним, примыкающим к грудной клетке париетальным лепестками плевры).
Гемоторакс считается вторым (после пневмоторакса) осложнением торакальной травмы. Оценки частоты встречаемости расходятся; согласно актуальным данным, гемотораксом сопровождается от 25% до 37% изолированных тупых торакотравм, и около 2/3 всех случаев регистрируемой политравмы с вовлечением грудной клетки.
2. Причины
Наиболее распространенной причиной выступают механические травмы грудной клетки (в самом широком смысле и спектре) с нарушением целостности крупных кровеносных сосудов.
Двумя другими статистически значимыми этиопатогенетическими факторами выступают фоновые первичные заболевания (преимущественно онкологические, сердечнососудистые и инфекционные, реже гематологические) и ятрогенные осложнения в ходе торакальных хирургических операций.
3. Симптомы и диагностика
Существует множество классификаций гемоторакса, построенных на различных критериях и позволяющих учесть все многообразие возможных проявлений. Выраженность симптомов зависит от объема кровоизлияния, характера причин и наличия сопутствующих повреждений.
В общем случае имеют место усиливающийся при кашле болевой синдром, одышка, гипергидроз, головокружение и шум в ушах, синюшная бледность, тахикардия, понижение АД, реже кровохарканье. В целом, симптоматика малоспецифична, нередко выражена умеренно или слабо, а иногда практически отсутствует.
Однако в тяжелых случаях падение артериального давление может вылиться в гипотонический коллапс или гиповолемический шок, дефицит клеточной оксигенации – в фатальную системную гипоксию. Острая сердечная и дыхательная недостаточность, резкое сокращение объема циркулирующей крови при массивной кровопотере, вероятность легочного кровотечения – в совокупности все это делает гемоторакс особо опасным состоянием с малопредсказуемой динамикой, которое требует оказания помощи по экстренному протоколу.
Диагноз устанавливается на основании доступных анамнестических сведений, клинических проявлений, результатов физикального, лабораторного и инструментального (если позволяет состояние больного и есть хотя бы минимальный запас времени) обследования. Стандарт экспресс-диагностики в данном случае включает обзорную рентгенографию, КТ, УЗИ, плевральную пункцию, диагностическую торакоскопию и клинический анализ крови в режиме cito (лат. «срочно»).
4. Лечение
Больной безоговорочно госпитализируется во всех случаях подозрения на гемоторакс. Мерами первой очереди выступают остановка кровотечения, дренирование плевральной полости, предупреждение тромбообразования и лизис уже образовавшихся тромбов, кровезамещающие гемотрансфузии по показаниям, эрадикация инфекционных патогенов, восстановление дыхательной функции, сердечной деятельности и гемодинамики в полном объеме.
Иногда, при т.н. малом гемотораксе, эти задачи решаются консервативно, иногда достаточно применить высокотехнологичное малоинвазивное вмешательство, но в некоторых случаях единственным выбором оказывается торакальная хирургия. Характер и объем операции определяется (зачастую уже на столе) причинами гемоторакса, актуальной клинической ситуацией, состоянием больного и прочими индивидуальными особенностями случая.
Заболевания- Cтенозы трахеи и крупных бронхов различной этиологии (рубцовые, опухолевые,экспираторные)
- Респираторно-органные свищи (трахеопищеводный, бронхопищеводный и другие)
- Доброкачественные новообразования легких и средостения (гамартомы, невриномы,бронхогенные и энтерогенные кисты и другие)
- Эхинококкоз легких
- Хилоторакс, кисты грудного протока
- Метастатическое поражение легких
- Опухоли плевры
- Трахея
- Грудная клетка
- Средостение
- Легкие
- Бронхи
Если вы обнаружили у себя подобные симптомы, возможно, это сигнал заболевания, поэтому рекомендуем проконсультироваться с нашим специалистом.
Диагностика- Рентгенография органов грудной клетки
- МСКТ органов грудной клетки
- Сцинтиграфия легких
- ПЭТ-КТ (позитронно-эмиссионная томография)
- Бронхоскопия
- Консультация врача торакального хирурга, профессор - 10000 р.
- Рентгенография органов грудной клетки на базе ЛПУ-партнера - от 2000 р.
- МСКТ органов грудной клетки на базе ЛПУ-партнера - от 6000 р.
- Сцинтиграфия легких на базе ЛПУ-партнера - 8000 р.
- ПЭТ-КТ (позитронно-эмиссионная томография) на базе ЛПУ-партнера - от 35000 р.
Мы стараемся оперативно обновлять данные по ценам, но, во избежание недоразумений, просьба уточнять цены в клинике.
Данный прайс-лист не является офертой. Медицинские услуги предоставляются на основании договора.
Читайте также:
