Герпетический энцефалит у новорожденных на КТ, МРТ
Добавил пользователь Евгений Кузнецов Обновлено: 28.01.2026
Герпетический энцефалит у новорожденных на КТ, МРТ
а) Терминология:
• Энцефалит у новорожденных, вызываемый вирусом простого герпеса, ВПГ-2, ВПГ-инфекция новорожденных
б) Визуализация герпетического энцефалита у новорожденных:
• Ранние изменения: отек, изменения на ДВИ
• Поздние изменения: атрофия, кисты, Са++
• Вариабельная степень вовлечения головного мозга, ранние изменения на ДВИ
• Вариабельные изменения со стороны БВ, СВ (кора, БГ), височных долей, ствола мозга, мозжечка ± зон водораздела:
о В отличие от ВПГ-энцефалита у взрослых и детей более старшего возраста для детей с ВПГ характерна тенденция к диффузному (а не ограниченному височными долями) поражению мозговой ткани
• Ранние изменения: нормальная картина при КТ (27%); вариабельная распространенность изменений, низкая плотность
• Ранние изменения: отек, снижение интенсивности сигнала на Т1 -ВИ в зонах поражения
• Ранние изменения: гиперинтенсивный на Т2-ВИ сигнал (отек, некроз нейронов), вовлечение БГ в 57% случаев
• Кровоизлияния встречаются реже, чем при ВПГ-1

(а) Бесконтрастная КТ, аксиальный срез: у новорожденного с ВПГ-2-энцефалитом определяются протяженные зоны снижения плотности серого и белого вещества. У 27% инфицированных новорожденных признаков заболевания при первичной бесконтрастной КТ не наблюдается.
(б) МРТ, ДВИ, аксиальный срез: у двухнедельного ребенка с судорожным синдромом и выбуханием родничка визуализируется распространенное ограничение диффузии в области структур серого и белого вещества без четкой локализации ЕЯ. Были выявлены увеличение IgM и положительный результат ПЦР против ВПГ. ДВИ имеет большое значение в ранней диагностике этого состояния. (а) МРТ, Т2-ВИ, корональный срез: у младенца, у которого в перинатальном периоде был диагностирован ВПГ-2-энцефалит, определяются распространенная кистозная э нцефаломаля-ция с выраженным расширением боковых желудочков заместительного генеза.
(б) Патологоанатомический макропрепарат головного мозга новорожденного, корональный срез: определяются изменения, вызванные вертикально переданной ВПГ-2-инфекцией, включающие расширение желудочковой системы, кистозную энцефаломаляцию и отсутствие нормального рисунка извилин коры. Внутриутробную передачу имеют около 5% всех ВПГ-2-инфекций у новорожденных.
в) Дифференциальная диагностика:
• Интранатальная и/или постнатальная инфекция
• Инсульт/ишемия артериального или венозного характера
• Инфекция с вертикальным путем передачи, TORCH:
о ЦМВ → микроцефалия, Са++, появление расщелин в коре или аномалий развития
о Токсоплазмоз → рассеянные кальцификаты, гидроцефалия
г) Патология:
• Инфицирование: перинатально в 85%, постнатально в 10%, внутриутробно в 5% случаев
д) Клиническая картина герпетического энцефалита у новорожденных:
• Кесарево сечение при активной инфекции у матери, внутривенное введение ацикловира
е) Диагностическая памятка:
• Предполагайте ВПГ-2 у новорожденных с необъяснимыми изменениями на ДВИ
Лучевая диагностика энцефалитов: герпетический энцефалит

Вирусный энцефалит — это поражение паренхимы мозга вирусом, которое может сочетаться с воспалением мозговых оболочек (менингоэнцефалит) или с поражением спинного мозга (энцефаломиелит).
Лучевая диагностика критически важна в ведении пациентов с энцефалитом. Данные визуализационных методик помогают определить диагноз (и имеют особую ценность в ранней диагностике), обнаружить осложнения основного процесса (например, масс-эффект), предположить этиологию заболевания, отслеживать ответ на проведенную терапию и проводить динамическое наблюдение в случае перехода процесса в хроническую форму.
У возбудителей вирусных энцефалитов есть два основных пути «попадания» в ЦНС: гематогенное распространение и нейрональная трансмиссия (ретроаксональный путь). Первый путь более характерен для арбовирусов, второй предпочитают представители семейства герпесвирусов и возбудитель бешенства.
Вирусы-возбудители энцефалита в подавляющем большинстве случаев обладают тропностью к нервной ткани. Такая тропность может иметь несколько форм: одни вирусы поражают отдельные виды клеток (например, олигодендроциты), другие «предпочитают» определенные области головного мозга.
Энцефалит, вызванный герпесвирусами
В первую очередь подразумевается вызванный вирусом простого герпеса (ВПГ) герпетический энцефалит, однако позже мы поговорим в том числе и о цитомегаловирусном и варицелловирусном энцефалитах.
Серопревалентность (наличие антител) к вирусу простого герпеса первого и/или второго типов в разных странах мира оценивается в пределах 60–95 % у взрослых, однако энцефалит — редкий вариант инфекционного поражения ВПГ.
Попадание в ЦНС обеспечивает ретроаксональный путь передачи; данные, полученные с использованием экспериментальных моделей (кролики, мыши) показали возможность передачи по волокнам обонятельного пути. Считается также, что у взрослых ВПГ-1 энцефалиты вызываются реактивацией латентной инфекции в тройничном ганглии с распространением по ветвям V пары черепных нервов на оболочки передней и средней черепных ямок.
Герпетический энцефалит стал одним из первых инфекционных заболеваний, диагностируемых с использованием методов молекулярной биологии (ПЦР для обнаружения ДНК ВПГ в цереброспинальной жидкости) и одной из первых вирусных инфекций, в лечении которых была успешно применена противовирусная химиотерапия. В США ВПГ является наиболее распространенной причиной неэпидемического острого энцефалита.
Наиболее частые клинические признаки: высокая (более 38°С) температура, головная боль, дезориентация, афазия, угнетение сознания, судороги, нарушения поведения, тошнота и рвота.
Для данной патологии не характерна сезонность. Можно выделить два основных паттерна:
- герпетический энцефалит у детей и взрослых (чаще — ВПГ 1 типа);
- неонатальный герпетический энцефалит (в большинстве случаев обусловленный ВПГ 2 типа).
ВПГ-энцефалит у взрослых
Протекает с неспецифическими симптомами угнетения сознания, лихорадкой, головной болью и очаговой неврологической симптоматикой. Анализ ЦСЖ неспецифичен, часто удается выделить ДНК вируса методом ПЦР.
У иммунокомпетентных взрослых ВПГ обычно приводит к поражению:
- медиобазальных отделов полушарий: очаги некроза и кровоизлияний наблюдаются в височных областях, орбитальной поверхности лобных долей;
- островковых долей;
- могут поражаться также задние отделы затылочной коры;
- вовлечение теменных областей более характерно у детей, чем у взрослых;
- базальные ганглии обычно интактны (что при визуализации помогает дифференциировать энцефалит от ОНМК в бассейне средней мозговой артерии);
Иммуноскомпроментированные пациенты демонстрируют более диффузное поражение с распространением на стволовые структуры мозга.
Лучевые проявления
КТ
Ранняя диагностика при помощи КТ затруднительна, потому при наличии характерной клинической картины «нормальная» КТ не исключает вероятности энцефалита. Если же изменения присутствуют — это, как правило, участки нерезко выраженного понижения плотности паренхимы мозга в передних и медиальных отделах височной области и в островковой доле. Кровоизлияния на ранней стадии увидеть обычно не удается.
При исследовании с контрастированием в первую неделю можно не обнаружить зон контрастного усиления; они появляются позже, в виде слабо выраженного «пятнистого» контрастного усиления.
МРТ
Гораздо чувствительнее на ранней стадии как к непосредственным, так и к косвенным (отек мозга) признакам энцефалита.
Лучевые симптомы в разных МР-последовательностях:
Т1
- может демонстрировать неспецифические признаки отека в пораженном регионе в виде сглаженности извилин и признаков масс-эффекта;
- очаги острого/подострого кровоизлияния проявят себя областями повышенного сигнала.
Т2
- пораженные области демонстрируют повышение сигнала;
- области «давнего» кровоизлияния так же будут выглядеть гиперинтенсивными в Т2;
- очаги накапливают контраст в последовательности Т1, однако накопление контраста в пораженной области может отсутствовать на ранней стадии (3–5 дней после появления симптомов);
- контрастное усиление может быть гириформным (по ходу извилин), лептоменингеальным (по ходу субарахноидальных пространств), кольцевидным и диффузным.
DWI/ADC (ИКД)
- часто демонстрирует ограничение диффузии вследствие цитотоксического отека.
GRE/SWI
- кровоизлияние проявит себя областью «выпадения» МР-сигнала из-за продуктов распада гемоглобина.

Рисунок 1 | Асимметричные области патологически повышенного МР сигнала в медиальных отделах обеих височных долей, больше выраженные в корковом веществе

Рисунок 2 | В последовательности DWI у того же пациента определяются области повышения сигнала в обоих лобно-височных областях. ИДК подтвердила ограничение диффузии

Т1-взвешенное корональное изображение после введения контраста демонстрирует асимметричное двустороннее гириформное и лептоменингальное контрастное усиление больше в области коры островка (большие стрелки) и поясной извилины (меньшая стрелка)
Неонатальный герпетический энцефалит
Как уже было сказано, чаще вызывается ВПГ 2 типа.
Развитие неонатального герпеса может происходить при контакте новорожденного с ВПГ в половых путях во время родов. Это заболевание является редким, составляя примерно 10 случаев на 100 000 деторождений в мире. Смертность при данной форме энцефалита достигает 50 %, также около 50 % выживших будут иметь тяжелые неврологические нарушения. Риск развития неонатального герпеса особенно высок, если первичное инфицирование матери ВПГ происходит на поздних сроках беременности. У женщин, перенесших генитальный герпес до беременности, риск передачи ВПГ детям крайне низок.
В клинической картине преобладают сонливость, лихорадка или гипотермия, судороги; менее частыми проявлениями являются апноэ, потеря веса, раздражительность, выпуклый передний родничок, везикулярная сыпь в области лба, фокальные клонические судороги конечностей.
Лучевые признаки
Герпетический энцефалит у младенцев характеризуется более диффузным поражением, причем эти изменения сложнее заметить на фоне незавершенной миелинизации; поражение типично затрагивает кору полушарий, глубокие слои белого вещества, включая перивентрикулярные области и таламусы. Медиальные области височных и нижние области лобных долей часто интактны. Геморрагии встречаются реже и появляются в более поздних стадиях.
- на ранней стадии изменения могут отсутствовать;
- в более поздних сроках определяются обширные зоны гиподенсивности (отвечающие отеку и/или некрозу) коры и белого вещества;
- при контрастировании чаще наблюдается гириформное контрастное усиление.
Сигнальные характеристики аналогичны энцефалиту у взрослых:
- области повышенного сигнала в Т2-взвешенных последовательностях могут быть плохо заметными на фоне незрелой миелинизации;
- кровоизлияния (редко) визуализируются как области повышения в Т1 и «выпадения» сигнала в GRE/SWI последовательностях;
- рестрикция диффузии (повышение сигнала в ДВИ последовательностях, подтвержденное при ИКД), как правило, диффузная и двусторонняя;
- гириформное накопление контрастного вещества;
- МР-картина последствий перенесенного процесса включает зоны лейкомаляции, диффузную кистозную энцефаломаляцию и кальцификаты, расположенные диффузно либо по ходу извилин.
В группе пациентов, у которых развился неонатальный герпетический энцефалит в течение 28 дней после рождения, основными признаками при использовании DWI-последовательности были кортикальные поражения. Двустороннее поражение глубоких слоев коры и белого вещества мозга, визуализируемые на 7-й день, были предикторами плохого прогноза и высокой вероятности развития двигательных и когнитивных расстройств.

С рождения наблюдалась везикулезная сыпь в области лба. На аксиальной Т2-взвешенной томограмме определяется «missing cortex» симптом: потеря нормального изменения сигнала от коры (кора и белое вещество неразличимы) в обеих затылочных областях, больше слева.

Т1-взвешенная аксиальная томограмма: диффузная кистозная энцефаломаляция с компенсаторной вентрикуломегалией
Современные методики МРТ не ограничиваются классической томографией. Все чаще для диагностики герпетического энцефалита используется протонная МР-резонансная спектроскопия. Сообщается о снижении пика NAA (N-ацетиласпартата) по отношению к холину через 7–14 недель после первых симптомов заболевания; в некоторых случаях наблюдается повышенный пик холина. Иногда может быть повышен пик лактата. Считается, что уменьшение пика NAA отражает повреждение нейронов. Было отмечено, что восстановление нормальных значений NAA происходит одновременно с клинически значимым улучшением состояния пациента.
Диагностика герпетического энцефалита по КТ, МРТ
а) Терминология:
1. Сокращения:
• Энцефалит, вызванный вирусом простого герпеса (D)
2. Определение:
• Инфекционное поражение паренхимы головного мозга, вызванное вирусом простого герпеса 1 типа (ВПГ1)
• Обычно развивается при реактивации вируса у иммунокомпетентных пациентов
б) Визуализация:
1. Общие характеристики герпетического энцефалита:
• Лучший диагностический критерий:
о Изменение сигнальных характеристик коры медиальных отделов височных и нижних отделов лобных долей в сочетании с ограничением диффузии на ДВИ
о Высокая вероятность вовлечения поясной извилины и контрлатеральной височной доли
• Локализация:
о Лимбическая система: обычно височные, островковые доли, обсубфронтальная область, поясные извилины
о Возможно поражение конвекситальной поверхности полушарий головного мозга, коры задних отделов затылочных долей
о Обычно двустороннее, но асимметричное поражение
о Обычно наблюдается «щажение» базальных ганглиев
о У младенцев и детей наблюдаются атипичные паттерны патологических изменений (могут быть вызваны ВПГ1 или ВПГ2):
- Изначально может наблюдаться поражение больших полушарий головного мозга
о Поражение среднего мозга и моста (мезенромбэнцефалит) встречается редко

(а) Бесконтрастная КТ, аксиальный срез: у пациента 45 лет с лихорадкой и изменениями психического состояния в медиальном отделе правой височной доли определяется подозрительный участок слабого изменения плотности мозговой ткани.
(б) МРТ, Т2-ВИ, аксиальный срез: у того же пациента в медиальном отделе правой височной доли определяются изменения интенсивности сигнала. При исследовании СМЖ методом полимеразной цепной реакции (ПЦР) был выявлен ВПГ1. На ранних этапах течения герпетического энцефалита может сохраняться нормальная КТ-картина.
2. КТ признаки герпетического энцефалита:
• Бесконтрастная КТ:
о На ранних этапах заболевания изменения при КТ отсутствуют:
- Снижение плотности, легкий масс-эффект в медиальных отделах височных долей, островка
- Кровоизлияния обычно встречаются на поздних этапах заболевания
о Преимущественное поражение лимбической системы; «щажение» базальных ганглиев
о Наиболее ранние КТ-признаки появляются на третий день после появления симптомов
• КТ с контрастированием:
о Фрагментарный или гиральный характер контрастирования височных долей (признак поздней острой/подострой стадии)
4. Рекомендации по визуализации:
• Лучший инструмент визуализации:
о МРТ (изменения появляются на 24-48 часов раньше, чем на КТ)
• Советы по протоколу исследования:
о Мультипланарная МРТ с получением корональных Т2-ВИ и/или FLAIR-изображений, ДВИ, Т2* GRE, постконтрастных T1-ВИ томограмм
в) Дифференциальная диагностика герпетического энцефалита:
1. Острый инсульт головного мозга:
• Характерно соответствие бассейнам кровоснабжения (СМА, ПМА, ЗМА)
• Острейшее развитие симптоматики в отличие от 2-3 дневного анамнеза гриппоподобного состояния при герпетическом энцефалите (ГЭ)
• Снижение коэффициента диффузии при остром инсульте
• Инсульт в бассейне кровоснабжения ПМА может имитировать картину при герпетическом энцефалите (ГЭ)
2. Эпилептический статус:
• При активных судорогах возможно нарушение гематоэнцефалического барьера, что обусловливает изменения сигнальных характеристик и накопление контрастного вещества
• Гиперперфузия при височной эпилепсии может имитировать герпетический энцефалит (ГЭ)
• При эпилептическом статусе кровоизлияния отсутствуют
3. Лимбический энцефалит:
• Редкий паранеопластический синдром, связанный с первичной опухолью, часто локализованной в легких
• Предрасположенность к поражению лимбической системы, часто двустороннего характера
• Нет кровоизлияний
• Картина при нейровизуализации может быть неотличима от ГЭ
• Симптомы развиваются на протяжении недель и месяцев (в отличие от острого течения ГЭ)
• Новообразование с инфильтрирующим типом роста
• При глиомах низкой степени злокачественности возможно поражение медиальных отделов височной доли, что обусловливает развитие эпилепсии
• При глиоматозе головного мозга возможно поражение лобных и височных долей, также возможен двусторонний характер поражения
• Появление симптомов обычно вялотекущее
4. Другие энцефалиты:
• Лимбическая система обычно не поражается
• При нейросифилисе возможно поражение медиальных отделов височных долей, что может имитировать герпетический энцефалит (ГЭ):
о Возможно вовлечение мозговых оболочек, кровеносных сосудов (облитерирующий эндартериит)
• Лихорадка Западного Нила может имитировать клиническую картину при герпетическом энцефалите (ГЭ), но заболевание обычно протекает с поражением базальных ганглиев и/или таламуса

(а) Бесконтрастная КТ, аксиальный срез: у молодого взрослого с изменениями психического состояния в левой височной доле определяется отек и геморрагический компонент. Несмотря на раннее начало лечения ацикловиром данный пациент погиб. Смертность среди пациентов с герпетическим энцефалитом (ГЭ) варьирует от 50 до 70%.
(б) МРТ, Т1-ВИ, сагиттальный срез: у пациента через две недели после развития клинической картины герпетического энцефалита определяется потеря объема мозговой ткани височной доли. Кроме того, визуализируются линейные повторяющие ход извилин участки повышения интенсивности сигнала, которые расположены в структуре коры височной доли и характерные для подострого кортикального кровоизлияния.
г) Патология:
1. Общие характеристики:
• Этиология:
о Первичная ВПГ1-инфекция обычно встречается в ЛОР-органах, куда попадает при контакте с инфицированными биологическими жидкостями:
- Распространение по черепным нервам (язычный нерв, ветви тройничного нерва) в ганглии
- Находится в латентном состоянии в ганглии тройничного нерва
- Реактивация вируса может происходить спонтанно или при воздействии различных факторов:
Локальная травматизация, иммунодефицит, изменения гормонального фона, эмоцинальное напряжение
2. Стадирование и классификация герпетического энцефалита:
• Семейство герпес-вирусов включает ВПГ1, ВПГ2, вирус Эпштейна-Барр (ВЭБ), цитомегаловирус (ЦМВ), вирус варицелла-зостер (ВВЗ), вирус В, ВПГ6, ВПГ7
• ВПГ1 встречается у взрослых и детей
• ВПГ2 чаще встречается у младенцев
• ВПГ1 и ВПГ2 являются ДНК-содержащими вирусами
• Вирусы являются облигатными внутриклеточными патогенами
3. Макроскопические и хирургические особенности:
• Геморрагический, некротизирующий энцефалит:
о Характерны выраженный отек, массивный некроз мозговой ткани с кровоизлияниями
о Вовлечение височных долей, коры островковой коры, глазничной поверхности лобных долей
о Менее часто поражается поясная извилина и кора затылочных долей
4. Микроскопия:
• Выраженные периваскулярные «манжеты», интерстициальное лимфоцитарное воспаление
• Внутриядерные включения в инфицированных клетках (нейронах, глии, эндотелиоцитах):
о Обычно это эозинофильные ядерные включения Каудри типа А
• При иммуногистохимическом исследовании выявляются вирусные антигены, антитела к ВПГ1
• При хроническом течении: микроглиальные узелки
д) Клиническая картина:
1. Проявления герпетического энцефалита:
• Наиболее частые признаки/симптомы:
о Лихорадка, головная боль, судорожные приступы ± продромальный период вирусного заболевания
о У детей заболевание часто проявляется неспецифическими симптомами:
- Поведенческие изменения, лихорадка, головные боли, судорожные приступы
о Обычно развивается у иммунокомпетентных пациентов:
- ВПГ1 не характерен для пациентов со СПИД
• Другие признаки/симптомы:
о Изменения психического состояния
о Очаговая или диффузная неврологическая симптоматика (< 30% случаев)
• Клинический профиль:
о При исследовании СМЖ определяется лимфоцитарный плеоцитоз, ↑ содержания белка
о Наиболее точным методом диагностики является исследование СМЖ методом полимеразной цепной реакции (ПЦР):
- Чувствительность/специфичность приближается к 95-100%
- Возможно получение ложноотрицательных результатов, если СМЖ была забрана менее, чем через 72 часа после появления симптомов
о ЭЭГ: волны высокого напряжения в височных областях на фоне генерализованного замедления ритма
о Для постановки диагноза может появиться необходимость в биопсии головного мозга
2. Демография:
• Возраст:
о Может развиться в любом возрасте
о Наиболее часто встречается у подростков и молодых взрослых
о Возраст 1/3 всех пациентов < 20 лет
• Пол:
о М = Ж
• Эпидемиология:
о ВПГ1 является возбудителем ГЭ в 95% случаев о Наиболее частая причина спорадического энцефалита со смертельным исходом
о Наиболее частая неэпидемическая причина вирусного менингоэнцефалита
о У взрослых герпетический энцефалит (ГЭ) обычно связан с реактивацией вирусной инфекции
о У младенцев связан с инфекцией у матери
о Встречаемость: 1-3/1 млн
3. Течение и прогноз:
• Может прогрессировать до комы и смерти:
о Уровень смертности: 50-70%
о Снизить смертность и улучшить исход заболевания могут быстрая диагностика, раннее начало лечения противовирусными средствами
• У 2/3 пациентов, переживших данное заболевание, наблюдается выраженный неврологический дефицит, несмотря на терапию ацикловиром
• Остаточные явления включают нарушения памяти, потерю слуха, некупируемую эпилепсию, изменения личности
4. Лечение:
• Противовирусная терапия с внутривенным введением ацикловира
е) Диагностическая памятка:
1. Обратите внимание:
• При подозрении на герпетический энцефалит (ГЭ) немедленно начинайте в/в терапию ацикловиром
• При одностороннем поражении герпетического энцефалита (ГЭ) может имитировать инсульт или опухоль: часто полезен анамнез
• Диагноз лимбического энцефалита ставится при отрицательных результатах всех тестов на ГЭ и при подостром развитии симптоматики
• Острое начало заболевания позволяет отличить ГЭ от поражения головного мозга иной этиологии
2. Советы по интерпретации изображений:
• На ранних этапах заболевания КТ-картина часто остается нормальной, в ранней диагностике наиболее чувствительным методом является МРТ с FLAIR/ДВИ
• Данные нейровизуализации часто имеют ключевое значение в постановке диагноза
Цитомегаловирусный энцефалит

Цитомегаловирус (CMV, ЦМВ) — вирус герпеса человека 5 типа. Серопозитивность у взрослого населения в мире колеблется в пределах от 25 % до 90 %, оставаясь почти повсеместной в развивающихся странах. Источником инфекции является больной человек или носитель.
Свое название вирус получил из-за того, что в течение своего литического цикла способен повреждать цитоскелет, вызывая значительное увеличение клеток, что ведет к образованию гигантских клеток с ядерными и цитоплазматическими включениями. Эти ядерные включения часто бывают окружены светлым ободком, что придает клетке вид «совиного глаза». Чаще всего такие клетки обнаруживаются в эпителиальной, реже — в соединительной, мышечной и нервной тканях.
У большинства иммунокомпетентных взрослых ЦМВИ протекает бессимптомно или с минимальными проявлениями в виде повышения температуры, утомляемости и т. д. Иногда ЦМВИ может протекать в виде синдрома мононуклеоза, который клинически неотличим от такового, вызванного вирусом Эпштейна-Барр. Поражение ЦНС, обычно в виде энцефалита, встречается редко и является прерогативой иммунокомпроментированных больных, особенно ВИЧ-инфицированных.
Выделяют врожденную и приобретенную ЦМВ-инфекцию. Первую можно установить при выделении вируса методом ПЦР в любой биологической жидкости (некоторые источники рекомендуют проверять наличие ЦМВ в моче, так как ЦМВ может присутствовать в молоке инфицированной матери — а значит, и в слюне ребенка; в любом случае, при взятии слюны нужно выдержать час после грудного кормления) у ребенка возрастом до трех недель (или у плода); первичную приобретенную ЦМВИ подтверждает сероконверсия анти-CMV IgG (отрицательный результат в первой пробе, положительный — во второй); чтобы получить представление о давности инфицирования, определяют авидность (условно говоря, крепкость связи) anti-CMV-IgG антител к возбудителю — чем выше последняя, тем, вероятно, больше времени прошло с момента инфицирования. Присутствие CMV IgM не может использоваться само по себе для диагностики первичной инфекции ЦМВ, поскольку IgM может также присутствовать при вторичной CMV-инфекции. Положительные результаты IgM в сочетании с низким показателем авидности IgG считаются надежным доказательством первичной инфекции. Напомним, что положительные результаты серологических тестов у ребенка до года не подтверждают факта инфицирования, а лишь говорят о наличии материнских антител.
Напомним, цитотмегаловирус относится к группе TORCH-инфекций, а внутриутробное инфицирование ими может приводить к развитию врожденных пороков развития; причем, в связи с широкой иммунизацией против краснухи, ведущая роль в структуре вирусных инфекций, формирующих пороки, переходит к врожденной цитомегаловирусной инфекции.
При инфицировании в первом и втором триместрах ЦМВ может привести к развитию у плода пахигирии, полимикрогирии, корковой дисплазии и гетеротопии, а также к аномалиям желудочно-кишечного тракта, сердечно-сосудистой и бронхо-легочной систем.
У беременных с латентной ЦМВ-инфекцией плод поражается далеко не всегда. Первичное инфицирование при беременности представляет значительно больший риск инфицирования плода (30–50 %), чем реактивация инфекции (до 2 %). Поздняя фетопатия (при инфицировании беременной на третьем триместре) не предполагает пороков развития и проявляется внутриутробной задержкой развития, желтухой, гепатоспленомегалией, уменьшением числа тромбоцитов (иногда до 50×10 9 /л), тромбогеморрагическим синдромом и ретикулоцитозом. Увеличение печени и селезенки сохраняются иногда до года, тогда как геморрагический синдром и тромбоцитопения исчезают через 2–3 недели. Интенсивность желтухи нарастает в течение первых 2 недель и затем медленно, иногда волнообразно снижается на протяжении 2–6 месяцев. Помимо желтухи и увеличения печени отмечается повышение активности сывороточных ферментов — АЛТ, АСТ, щелочной фосфатазы. В биоптате печени можно обнаружить характерные цитомегалические клетки. На этом фоне возможны воспалительные поражения различных органов и систем: пневмонит, адренелит, гепатит, энцефалит, хориоретинит и т. д.
Энцефалит при врожденной цитомегаловирусной инфекции
Врожденная ЦМВИ протекает в виде генерализованной формы. Симптомы появляются в течении первых нескольких недель (до нескольких месяцев) после рождения. На первый план обычно выходят желтуха, петехиальная сыпь, гепатоспленомегалия, отставание в развитии, плохой аппетит. Поражение ЦНС проявляет себя гипотонией при сохранных или оживленных рефлексах, выбуханием родничка (следствие повышения ВЧД из-за гиперпродукции ликвора), гиперкинезами и судорожным синдромом разной степени выраженности — вплоть до генерализованных судорожных приступов, иногда сенсоневральной глухотой и хориоретинитом.
Лучевые признаки
- поражения локализуются главным образом в субэпендимарных областях: здесь чаще всего имеют место воспаление и некроз паренхимы мозга, а также пролиферативный эпендимит; желудочки мозга расширены;
- некротические очаги, кроме субэпендимарной локализации, могут находиться в веществе полушарий мозга (височные, теменные, затылочные доли), его стволе, мозжечке. Для ЦМВ-энцефалита характерно наличие выраженного геморрагического компонента: кровоизлияния под эпендиму желудочков, массивные кровоизлияния в очагах некроза, иногда субарахноидальные кровоизлияния;
- при хроническом течении энцефалита наряду с острыми воспалительными изменениями можно увидеть кальцификаты и очаги кистозно-глиозной трансформации; для этих изменений также характерна перивентрикулярная локализация;
- нередко ЦМВ-энцефалит ассоциируется с пороками развития в виде пахигирии, полимикрогирии, корковой дисплазии и гетеротопии.

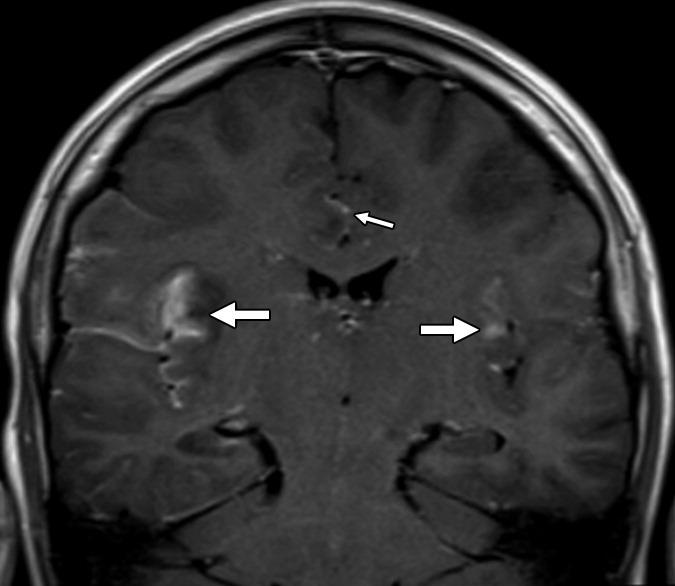
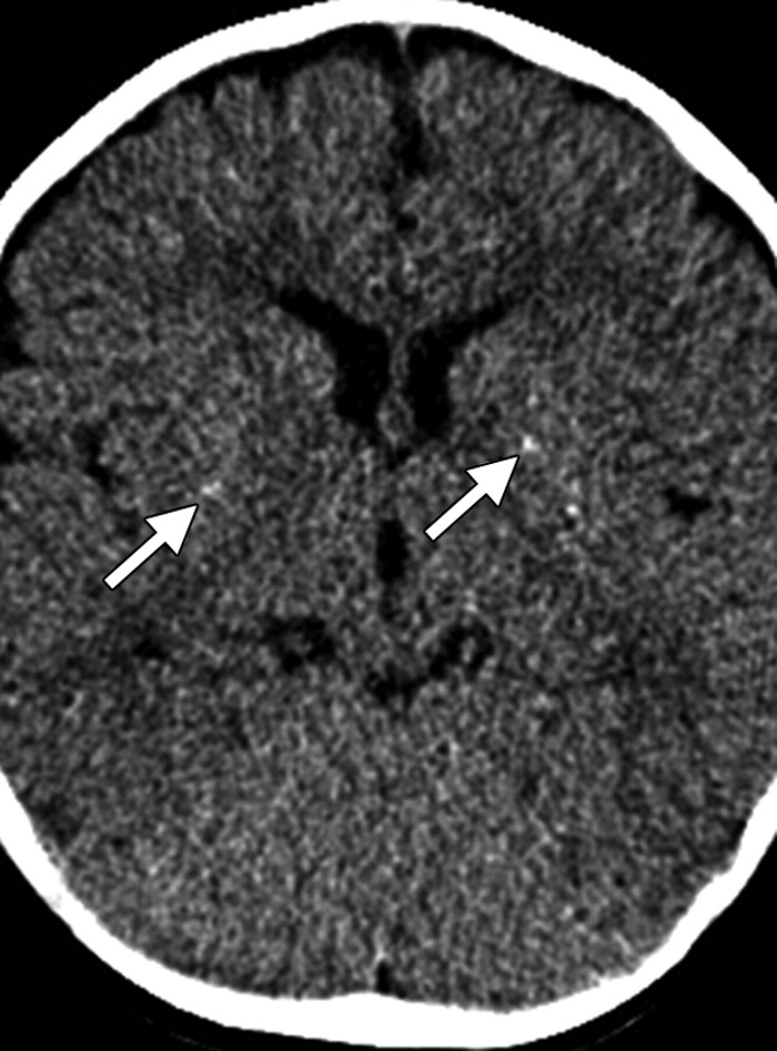
Кроме выраженной вентрикуломегалии, определяются множественные кальцификаты (стрелки), расположенные перивентрикулярно.

Рисунок 2 | Некрупные кальцификаты (стрелки) базальных ядер с двух сторон у ребенка с ЦВИ-энцефалитом.

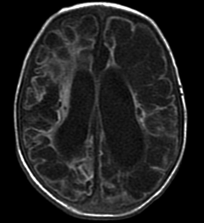
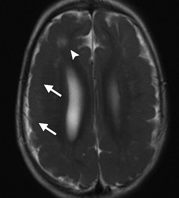
Двустороннее расширение боковых желудочков, гиперинтенсивный очаг белого вещества правой лобной области (головка стрелки) и диффузная пахигирия — извилины мозга в указанной области выглядят широкими и уплощенными.

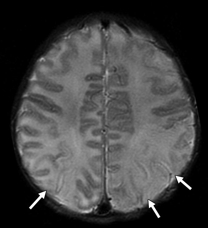
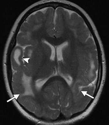
Видно множественные гиперинтенсивные субкортикально расположенные очаги воспаления паренхимы мозга (стрелки), а также участок кистозной трансформации в правой височной области (головка стрелки).

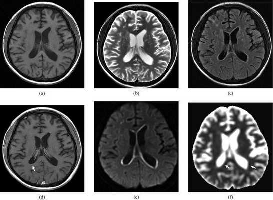
Т1ВИ (а): умеренная дилятация боковых желудочков;
Т2ВИ (b): небольшие округлые гиперинтенсивные очаги в области базальных ядер и субкортикальных отделов белого вещества правой лобной области;
FLAIR изображения (c) подтверждают наличие описанных очагов гиперинтенсивности;
на Т1ВИ после введения контрастного препарата (d) можно увидеть умеренное субэпендимальное контрастное усиление;
DWI и ACD (e,f) определили наличие субэпендимальных областей ограничения диффузии.
Varicella Zoster энцефалит

Вирус Varicella Zoster (VZV), или герпесвирус человека 3-го типа, является возбудителем ветряной оспы — чрезвычайно высококонтагиозной инфекцией, частой для пациентов детского возраста, — и опоясывающего герпеса.
После первой «встречи» с вирусом и выздоровления от ветрянки вирус может переходить в латентное состояние, скрываясь в нервных клетках задних рогов спинного мозга, черепных нервах или ганглиях автономной нервной системы. Спустя десятилетия после первичного контакта может происходить его активация, сопровождающаяся аксональным транспортом вирусных частиц и их последующим выходом за пределы нервных клеток.
Поражения ЦНС могут встречаться как при первичной инфекции, так и при ее реактивации. Наиболее частыми осложнениями со стороны нервной системы являются церебеллит и энцефалит. Реже встречаются менингит, синдром Рамсея-Ханта (герпетический ганглионит коленчатого узла), миелит, поперечный миелит и васкулопатии. Долгое время считалось, что в основе VZV-церебеллита лежит аутоиммунный процесс, однако в последнее время появляются данные о прямом нейротропном повреждающем действии вируса.
Неврологические осложнения редко сопутствуют ветряной оспе у здоровых детей и являются прерогативной больных пожилого возраста и иммунокомпрометированных (однако стоит учитывать более высокую заболеваемость в детском возрасте). Симптомы поражения ЦНС обычно сопутствуют кожным высыпаниям, однако могут также предшествовать последним или проявляться в отсутствие сыпи (некоторые авторы считают обязательным обследование на маркеры VZV-инфекции всех пациентов с энцефалитом или менингоэнцефалитом и иммуносупрессией вне зависимости от наличия кожных высыпаний).
В тех случаях, когда поражения ЦНС осложняют течение ветрянки у ребенка, раннее (особенно до появления высыпаний) развитие энцефалита считается предиктором крайне неблагоприятного прогноза.
В последние годы некоторые исследования назвали VZV второй наиболее частой причиной энцефалита после ВПГ в странах Запада. Частота встречаемости осложнений по данным разных исследований ранжировалась в рамках 0,5–1,5 на 1000 случаев заболевания.
Ветряную оспу (особенно у детей) чаще осложняют церебеллиты, проявляющиеся атактическими симптомами, тошнотой и рвотой; для них характерно острое появление симптоматики в течение (в среднем) около 1 недели после первых высыпаний. Энцефалиты встречаются реже и носят ограниченный характер.
Инфекционное поражение, связанное с опоясывающим лишаем, чаще протекает в форме энцефалита, поражения периферических нервов, миелитов и поражения глаз (острый некроз сетчатки).
Наиболее частыми клиническими проявлениями энцефалита являются: симптомы угнетения сознания разной степени, очаговая неврологическая симптоматика; судорожные приступы не столь часты.
У иммунокомпрометированных (чаще при СПИДе) пациентов энцефалиты осложняют течение опоясывающего лишая и часто носят диффузный характер.
В последние годы силы исследователей сосредоточены на изучении васкулопатии, обусловленной VZV — некротическом гранулематозном артериите сосудов головного мозга.
Васкулопатия и энцефалит при VZV-инфекции ЦНС идут «рука об руку»; фактически, изолированное воспаление паренхимы мозга встречается крайне редко.
У подлежавших лечению пациентов (в исследованиях, затрагивающих в основном взрослых больных) смертность достигала 9–20%
Диагноз VZV-поражения ЦНС подтверждают результатами ПЦР ликвора, однако последняя может быть менее специфична в сравнении с ВПГ-энцефалитом.
При лечении наиболее эффективным является внутривенное применение ацикловира в максимальных дозировках, также применяется специфический иммуноглобулин против VZV (зостевир).
Лучевые проявления VZV-энцефалита крайне схожи с таковыми при ВПГ-энцефалите. Стоит напомнить, что установление этиологии заболевания по данным визуализации невозможно. Более характерными признаками VZV-инфекции можно назвать:
- локальный характер поражения
- васкулопатию (и как следствие, зоны ишемии паренхимы мозга)
КТ
- пораженные участки проявляются слабо выраженным понижением плотности паренхимы мозга;
- о характерной локализации говорить сложно, чаще всего поражаются лобные и височные доли;
- базальные ядра могут быть вовлечены в процесс.
- КТ-ангиография выявляет области сужения просвета сосудов, вплоть до появления симптома «нити бисера»
МРТ
- высокий в Т2ВИ и FLAIR сигнал от пораженных областей.
- МР-ангиографические проявления аналогичны КТ-ангиографии.
- участки геморрагии, проявляющиеся «выпадением» сигнала на SWI и повышением на Т1ВИ, довольно редки

(А) времяпролетная МР-ангиограмма демонстрирует расширение левой (короткая стрелка) и окклюзию просвета правой (длинная стрелка) передних мозговых артерий
(В) МР-скан головного мозга определяет множественные гиперинтенсивные области в обеих гемисферах, в основном локализованные в белом и на границе серого и белого вещества (стрелки).
(С) При использовании последовательности DWI определяются участи ограничения диффузии (что отвечает ишемии) в таламусе, гипотоламусах и задней части внутренней капсулы справа (стрелка). Неделю спустя у пациента развилась картина гемиплегии.
(D) Макроскопические изменения у пациента, умершего в результате хронической васкулопатии. Овоидной формы множественные участки ишемии и демиелинизации.
- умеренное ограничение диффузии в областях цитотоксического отека и
- зоны ишемии проявляются выраженным ограничением диффузии.
Нет специфического паттерна накопления контрастного агента как при КТ, так и при МРТ — исследовании.
Лучевые признаки церебеллита
- диффузное увеличение мозжечка, которое может приводить к окклюзионной гидроцефалии
- локальные или диффузные области повышения сигнала на Т2ВИ и FLAIR
- ограничение диффузии как проявление цитотоксического отека
Корональная Т2ВИ-томограмма показывает гиперинтенсивные области инфарктов в области полосатого ядра слева.

На сагиттальной FLAIR томограмме мозжечок выглядит диффузно увеличенным, оттесняя кпереди структуры ствола.
Читайте также:
