Гингивектомия перед протезированием. Удлинение альвеолярного отростка
Добавил пользователь Евгений Кузнецов Обновлено: 26.11.2025
Операции при парадонтите. Кюретаж и гингивэктомия при парадонтите
На современном этапе развития стоматологии при заболеваниях пародонта основным является хирургическое лечение, которое направлено на устранение ПК, создание условий для регенерации связочного аппарата и альвеолярной кости. При планировании хирургического лечения необходимо учитывать:
• глубину ПК;
• ширину прикрепленной (кератинизированной) десны;
• отсутствие патологии архитектоники преддверия полости рта;
• наличие сопутствующих заболеваний;
• уровень гигиены полости рта.
Перед тем как коснуться вопросов планирования хирургического лечения, нужно остановиться на проблеме премедикации, так как это касается не только состояния пациента, его настроения и субъективного отношения к предстоящей операции, но и престижа врача и клиники. На сегодняшний день наиболее распространенным средством для этого являются бензодиазепины (диазепам, феназепам и др.).
Хирургическое лечение включает:
1. Операции, направленные на устранение ПК:
• кюретаж закрытый;
• кюретаж открытый;
• гингивэктомия;
• лоскутные операции;
• направленная регенерация тканей пародонта.
2. Коррекция нарушений строения мягких тканей полости рта.
3. Операции по устранению рецессии десны.

Планируя проведение закрытого кюретажа (без предварительного раскрытия ПК с помощью разрезов), необходимо учитывать, что он наиболее эффективен при глубине ПК не более 4—5 мм. Имея массу недостатков, в настоящее время закрытый кюретаж отходит на второй план. Однако при рассмотрении данного вопроса нсобходимо учитывать не только современные тенденции в пародонтологии, когда закрытый кюретаж не рекомендуют использовать вовсе, но и состояние здоровья пациента, его материальные возможности и даже страх перед оперативным вмешательством.
При проведении открытого кюретажа возможно более полное удаление зубных отложений и грануляций из ПК глубиной от 4 до 6 мм. Открытый кюретаж также не предполагает отслаивания и последующей коронарной репозиции слизисто-надкостничного лоскута, за счет этого формируется рецессия десны. Об этом врач должен предупреждать пациента. При наличии глубоких внутрикостных карманов эффект данной манипуляции незначителен как по выраженности, так и по длительности сохранения.
Использование радиоскальпеля (Ellman Surgition. США) для рассечения тканей во время кюретажа позволяет стерилизовать и коагулировать оперируемые ткани, а также деэпителизировать десневую стенку ПК.
Гингивэктомию проводят для удаления гипертрофических разрастаний десневого края при отсутствии истинных ПК, в ряде случаев — для полного или частичного иссечения стенок ПК, иногда — в целях увеличения высоты коронок зубов при протезировании; для иссечения «капюшонов».
Для более тщательной обработки перидонтального кармана и кости альвеолярного отростка, с целью улучшения доступа к операционному полю проводят операции с отслаиванием слизисто-надкостничного лоскута — лоскутные операции.
Наиболее популярны две группы остеопластических материалов: синтетический гидроксиапатит и натуральный гидроксиапатит. Из натуральных гидроксиапатов наше предпочтение остается за Bio-Oss spongiosa фирмы Geistlich.
При сочетании глубокого перидонтального кармана с недостаточной шириной прикрепленной десны (либо полным ее отсутствием) проводят операцию апикального смещения лоскута. Недостатком этой операции является обнажение корня. Однако она позволяет не только устранить ПК, но одновременно создать защитную зону прикрепленной десны.
Информация на сайте подлежит консультации лечащим врачом и не заменяет очной консультации с ним.
См. подробнее в пользовательском соглашении.
Гингивектомия перед протезированием. Удлинение альвеолярного отростка
Полость рта без зубов. Коррекция альвеолы у беззубой челюсти
Рубец в области преддверия или свода, образовавшийся после закрытия свища между гайморовой полостью и преддверием или альвеолой, может вызвать серьезные затруднения при изготовлении съемного протеза.
Прилегающие к альвеолярному отростку щечные складки могут потребовать оперативной коррекции. Различные разрастания на альвеолярном отростке, нередко связанные с ношением съемного протеза и распространяющиеся иногда до свода, имеющие вид одинарного, двойного, часто — множественного образования (hyperplasia mucosae vestibuli oris, под другим названием — granuloma fissuratum), являются серьезной задачей как с хирургической, так и с ортопедической точки зрения.
Причиной пальпируемого выбухания с четкими границами на беззубом альвеолярном отростке челюстей или твердом нёбе может быть недостаточная атрофия альвеолы, остатки корней, экзостоз, валик нёба и валик нижней челюсти. Костные выступы различной распространенности, проявляющиеся на альвеолярном отростке, нужно проверить рентгенологическим снимком, потому что плотное на ощупь выбухание нередко может быть вызвано ретинированным зубом.
В молярной области, главным образом на верхней челюсти, удлинение и расширение альвеолярного отростка, обычно встречающееся симметрично, называют симметричной фибромой верхней челюсти.
Синюшность слизистой оболочки, покрывающей альвеолярный отросток челюстей, и флюктуация в этой области при пальпации указывают на остаточную радикулярную или фолликулярную кисту.
Причиной образования десневого свища, наблюдаемого на альвеолярном отростке со стороны преддверия полости рта, реже — на ротовой его поверхности, может быть: остаток корней, ретинированный зуб, секвестр, хронически воспаленная остаточная радикулярная или фолликулярная киста.

Коррекция альвеолы у беззубой челюсти
С недостаточной атрофией альвеолы приходится встречаться при полном или неполном отсутствии зубов. Коррекция обоснована лишь в том случае, если неровность альвеолы столь велика, что ее нельзя ликвидировать ортопедическим методом.
После удаления обоих верхних клыков, долгое время используемых в качестве опорных зубов, атрофия альвеолярного отростка может быть настолько не выражена, что коррекции избежать нельзя. В случае симметричной недостаточной атрофии альвеолы в области верхнего клыка разрез делают по краю лунки от места второго малого коренного зуба с одной стороны до места второго малого коренного зуба с другой стороны.
Затем этот разрез дополняют разрезом, применяемым при удалении уздечки. Преимущества подобного разреза следующие: во-первых, благодаря образованию двойного лоскута получают возможность для обширного вскрытия, во-вторых, мягкие ткани преддверия не пересекают в таком месте, где образовавшийся на месте разреза рубец мешал бы протезированию. Сохраненный выступ альвеолы удаляют в нужной мере при помощи костных кусачек Луэра и грушевидной фрезы, затем края раны десны соединяют узловатыми швами.
В области верхнего восьмого зуба в случае недостаточной атрофии альвеолы, сопровождающейся гиперостозом, коррекцию производят, если это явление симметрично. При односторонней недостаточной атрофии операция противопоказана. В случае двухсторонней недостаточной атрофии коррекцию с одной стороны производят потому, что односторонняя недостаточная атрофия в области восьмого зуба имеет преимущества с точки зрения фиксации съемного протеза.
Разрез десны производят по ее краю по прямой, начиная в ретроальвеолярной области, через глоточную поверхность бугра альвеолы верхней челюсти до области первого большого коренного зуба. Таким образом, в процессе заживления не образуется рубец, нежелательный при протезировании.
Гингивектомия вокруг промежуточного и крайнего опорного зуба — перед изготовлением коронки — показана в том случае, если десневой карман имеет глубину 1 мм или больше.
Перед операцией шейку зуба зондируют вокруг стоматологическим зондом для определения глубины кармана. Соответственно этому с собственно десны отсекают полоску такой ширины, чтобы кармана не стало. Полоску десны удаляют серповидным элеватором и ложкой.
Кровотечение останавливают узкой иодоформной турундой, туго намотав ее дважды вокруг шейки зуба и завязав узлом. Турунда с шейки зуба удаляется через три дня.
Одну группу операций коррекции лунки составляют вмешательства, которые выполняют в заключительной стадии при удалении зуба. Цель другой группы операций — восстановление части альвеолы.
При удалении зуба в молярной области, долгое время находившегося без соседнего зуба, сохраненный пародонт укорачивают. Перед удалением зуба делают разрез вдоль края десны как в медиальном, так и в боковом направлении длиною по полтора сантиметра.
После отсепаровки надкостницы десны зуб удаляют, затем костными кусачками Луэра и хирургической шаровидной фрезой большого размера удаляют выступающую стенку лунки и межкорневой перегородки в такой степени, чтобы после обработки раны высота альвеолы примерно совпадала с высотой альвеолярного отростка. Удалив лишнюю часть надкостницы десны ножницами, на рану накладывают узловатые швы.

При удалении нескольких соседних зубов Тома в такой мере удаляет край лунки альвеоляного отростка, а также межзубные перегородки, чтобы края раны после удаления межзубных сосочков можно было соединить узловатыми швами. Этот метод позволяет сократить время заживления.
В случае дентоальвеолярной прогнатии Кемень не рекомендует производить коррекцию альвеолярного отростка, а считает правильным лишь удаление четырех резцов. Североамериканские хирурги-стоматологи Тома и Арчер удаляют четыре резца и два клыка, затем при необходимости производят коррекцию альвеолярного отростка в вертикальном направлении. Ниже описывается операционный метод упомянутых авторов при более простом случае.
Делают разрез десны вдоль продольной оси обоих первых малых коренных зубов, котерый не выходит за пределы собственно десны по направлению к преддверию рта. После этого, начиная от первого малого коренного зуба с одной стороны, до первого малого коренного зуба, находящегося на другой стороне, со стороны губы перерезают межзубные сосочки.
Собственно десну как со стороны губы, так и со стороны нёбной поверхности отслаивают долотом, затем слизистую надкостницы подымают широким распатором; после этого удаляют шесть фронтальных зубов. Костную ткань альвеолярного отростка как в сагиттальном, так и в вертикальном направлениях на протяжении, нужном для протезирования, удаляют грушевидной фрезой.
Ставшую лишней собственно десну срезают ножницами, затем откорректированные края десны и края раны двух вертикальных разрезов соединяют узловатыми швами.
Удлинение альвеолярного отростка. При длительном отсутствии нижнего моляра альвеолярный отросток в области верхнего второго большого коренного зуба настолько увеличится, что жевательная поверхность упомянутого зуба приблизится к краю десны беззубой нижней челюсти.
При операционной коррекции разрез по краю десны продолжают за пределы этой области как в дистальном, так и в медиальном направлениях. Отсепаровав мягкие ткани по обе стороны альвеолярного отростка, второй большой коренной зуб удаляют после вскрытия щечной стенки лунки. Удалив избыточную костную ткань кусачками Луэра и сгладив небольшие неровности шаровидной хирургической фрезой, лишние мягкие ткани иссекают ножницами и рану зашивают узловатыми швами.
Коррекцию можно считать выполненной правильно в том случае, если межальвеолярный промежуток станет пригодным для протезирования.
Виды гингивэктомии для спасения десен
Недооценка состояния десен может приводить к множеству проблем: от неприятного запаха изо рта или постоянной десневой кровоточивости, до полной потери зубов. В некоторых случаях заболевания десен нуждаются в хирургическом лечении. Одним из видов подобных вмешательств является гингивэктомия – операция на десне, которая производится при некоторых ее патологиях.

Суть операции гингивэктомии
Гингивэктомией называют операцию по иссечению десневых краев. Предварительно также удаляется десневой карман, который может заполняться остатками пищи и быть источником появления инфекции во рту.
Чаще всего образование карманов свойственно пародонтозу. При пародонтозе появляется впадина между десной и зубом, или карман. Пищевое воздействие провоцирует постоянное воспаление. Если карман своевременно не удалить, это приведет к проникновению процесса вглубь с повреждением пародонта и корня.
Подобное вмешательство производит челюстно-лицевой хирург или периодонтолог. Операцию делают под местным обезболиванием. Она занимает обычно около 30 минут.
Смыслом операции является удаление части мягких тканей для того, чтобы в дальнейшем можно было проводить полноценную гигиену полости рта, не позволяя накапливаться зубным отложениям в десневых карманах.
- простая;
- частичная (щадящая);
- радикальная.
Подготовительный период
- Перед операцией важно произвести профессиональную чистку зубов. При этом стоматолог, с помощью специальных насадок, убирает с зубов остатки еды, зубной налет, или снимает зубные камни. Именно эти компоненты будут «питать» гнилостную микрофлору, если их не удалить изо рта.
- Следующим этапом является введение наркоза. При данном виде вмешательств используют местную анестезию. Лишь затем специалист приступает к операции.

Хирургический период
Простая гингивэктомия
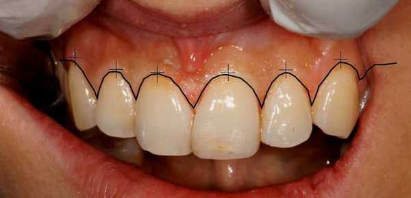
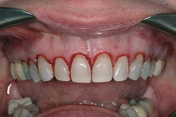
Подобная операция заключается в серии волнообразных горизонтальных разрезов на десне. Вмешательство производят и в преддверии десны, и в ротовой полости. Для разреза делаются необходимые отступы. В процессе операции пораженную часть десны удаляют, а затем специальной кюреткой убирают ненужные наслоения в ней. После операции рану обрабатывают антисептиком и используют повязку.
Щадящая (частичная) гингивэктомия
Во многом эта операционная методика сходна с простой. Частичной ее называют потому, что при щадящей методике нежизнеспособные десневые ткани удаляются лишь частично, не более 2-3 мм. После удаления зубодесневого кармана также убираются накопившиеся в деснах наслоения. Этот вид операции самый малотравматичный, а следы после него практически не заметны.
Радикальная гингивэктомия
Этот вид гингивэктомии самый серьезный из всех. Он используется реже остальных. Намного чаще используют лоскутные операции.
При радикальной методике удаляется часть нежизнеспособной десны вместе с сегментом челюстной кости. При этом также удаляются все излишние разрастания и образования (зубные ткани, грануляции, разрастания альвеолы и др.) Затем выравнивают края костных стенок, производят антисептическую обработку раны и накладывают защитную повязку.
Показания для гингивэктомии
Очень важно не допустить патологическому процессу в деснах перейти на костную ткань. Иначе подобная патология приведет к нарушению прикрепления и расшатыванию зубов.
- ;
- язвенно-некротический гингивит;
- необходимость коррекции края пломбы;
- пародонтит;
- нависание десен;
- фиброматоз десен; ;
- «десневая» улыбка;
- мягкотканные лоскуты вокруг зуба.

Все виды гингивэктомии назначают при патологических состояниях десны, когда мягкие ткани уже нежизнеспособны и утратили свою функцию. Именно тяжелые формы хронических неизлеченных патологий (пародонтиты, гингивиты др.) нередко способствуют образованию зубодесневых карманов. К образованию карманов также приводят неполное прилегание тканей десны.
Любой стоматолог знает, что подобные зубодесневые полости крайне нежелательны в организме, так как являются постоянным резервуаром для пищи, которая разлагается и служит местом накопления патогенной микрофлоры.
Постоянный источник инфекции во рту опасен во всех отношениях. Микробы имеют особенность размножаться и распространяться на другие ткани (мягкие, костные). А это может способствовать потере зубов.
Кроме того, неиссякаемый источник инфекции может проникать через кровь или лимфу в любые органы, приводя к множеству серьезных патологий (тонзиллит, цистит, ревматоидный артрит, аднексит, эндометрит и др.)
Для гингивэктомии должны быть соблюдены определенные анатомические условия: не менее 2 мм свободного края десны, который должен остаться после операции и удаления патологического кармана.
Именно поэтому, перед началом операции необходимо обязательно определить размеры зубодесневого кармана с помощью специального зонда.

Лазер вместо скальпеля
Использование лазера при гингивэктомии крайне желательно по многим причинам. Это в настоящее время самая передовая технология, которая позволяет избежать попадания в рану инфекции и развитию большинства послеоперационных осложнений.
Операция лазером проводится бесконтактно, что минимально повреждает ткани. При использовании фокусированного лазерного луча происходит нейтрализация микрофлоры рта, в результате чего края ранки не теряют стерильности.
Кроме этого, риск кровотечения при лазерных операциях минимален из-за одновременной коагуляции сосудов.
Операция с помощью лазера имеет минимальную болезненность. Также лечение лазером ускоряет заживление послеоперационной ранки и существенно сокращает период восстановления после операции.
С помощью лазера можно произвести операцию по одной из трех методик (простой, щадящей или радикальной).
Риски операции
Многие пациенты не считают вмешательства на деснах серьезными. Однако любая операция имеет свои риски. А операции в полости рта отличаются вероятностью максимально быстрого попадания в кровь бактерий. Ведь анатомически, именно ротовая полость имеет максимально выраженную иннервацию и кровоснабжение.
- тяжей или уздечек в месте операции;
- узости десны;
- глубиной костных карманов более 5 мм;
- запушенного периодонтита;
- порока сердца;
- эндокардита;
- искусственного сердечного клапана;
- общего ослабления иммунитета;
- цирроза печени;
- имплантированных суставов.
Нередко этим группам пациентам врач вынужден дополнительно назначить антибиотики до или после гингивэктомии.
Также не производится гингивэктомия при деструкции альвеолярной кости. Если при этой патологии произвести иссечение десны, то зуб станет подвижным и может быть в скором времени быть полностью потерян.

Особенности реабилитации
При удачно проведенного вмешательства осложнения являются редкостью. Реабилитационный период после этой операции обычно недолгий.
Соблюдение всех врачебных назначений – главный критерий предотвращения послеоперационных осложнений после иссечения десны.
- мягкая зубная щетка при ежедневной гигиене полости рта;
- отказ от курения;
- исключение алкоголя до завершения этапа заживления тканей;
- ограничение жевательной нагрузки;
- исключение холодной, горячей, вязкой или жесткой пищи из рациона на несколько дней (пища должна быть комнатной температуры);
- исключение твердой пищи (орехи, семечки);
- недопущение употребления пищи с перепадом температур (для профилактики вторичных воспалительных реакций в деснах);
- исключение пользования банями или саунами;
- ограничение физических нагрузок.
Обычно для полного заживления ранки необходимо 4-5 недель. Обманчивый внешний здоровый вид десен после вмешательства не служит показателем полной регенерации десен.
Ведь формирование зубодесневого крепления требует времени и щадящего пищевого режима. Интенсивная нагрузка на десна в период реабилитации противопоказана, поэтому в период реабилитации так важно предохранение ротовой полости от нагрузки.

Возможные осложнения
Наиболее рекомендовано врачами в настоящее время проведение гингивэктомии лазером, так как этот вид вмешательства самый малотравматичный.
Основными видами часто встречаемых осложнений после гингивэктомии могут быть:
- инфицирование десневых тканей;
- пародонтит, пародонтоз;
- попадание в кровоток инфекции;
- сниженный иммунитет;
- обострение хронических патологий (чаще сердечно-сосудистых).
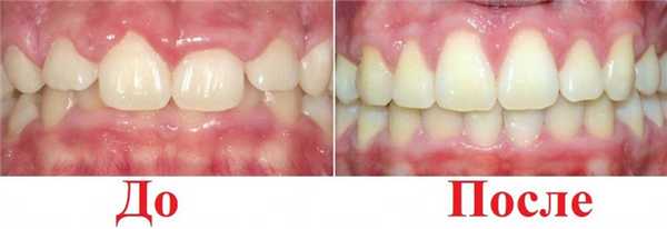
Гингивэктомия является вынужденной, хотя и эффективной, мерой при многих зубодесневых патологиях. Проведение данной операции часто спасает пациента от многих серьезных проблем по здоровью. Главное – это не запускать состояние своих десен и зубов. Правильно проведенная гингивэктомия исключает появление послеоперационных осложнений. Особенно рекомендуют специалисты лазерную гингивэктомию, которая максимально безопасна и безболезненна для пациентов. Берегите ваши десна!
Стоимость гингивэктомии
Термин «гингивэктомия» может быть непонятен людям, никогда не сталкивающимся с медицинской латынью либо греческим языком. Он происходит от слов gingiva – десна, и ektome – иссечение. Таким образом, гингивэктомия подразумевает удаление воспалённого участка десны для уменьшения десневого кармана при пародонтите.
Показания и противопоказания к процедуре

Воспалительные процессы слизистой рта приводят к разрастанию ткани, утолщению дёсен, образованию пародонтального кармана, в котором скапливаются патогенные бактерии. Зачастую снять воспаление можно антибиотиками, мезанической и лазерной чисткой. Но при обширном поражении и большой глубине поддесневого кармана приходится прибегать к хирургическим методам.
Вот основные показания для гингивэктомии:
- Гиперплазия (разрастание) десневого края (гингивит, пародонтит, фиброматоз);
- Необходимость удлинить коронку зуба;
- Резекция корня, оперативное лечение кисты и другие хирургические вмешательства.
Удаление гипертрофированного, ослабленного участка обнажает здоровые ткани, способствует быстрой регенерации, полностью избавляет от пародонтальных карманов, являющихся накопителем рассадником бактерий.
Противопоказаниями могут быть общие системные нарушения в организме – проблемы сердечно-сосудистой системы, инфекционные заболевания, сбои в обмене веществ, расстройства психики.
Виды гингивэктомии

От вида процедуры напрямую зависит её стоимость. Выбор методики делает врач, основываясь на заболевании, конкретной цели лечения, результате и масштабе проблемы:
- Простое иссечение десны. Вдоль зубного ряда проводят волнообразные надрезы с внутренней и наружной стороны, отслаивая слизистую;
- Щадящее. Поражённая десна отсекается не по всей глубине кармана, а лишь 2-3 мм. Оставшаяся часть углубления вычищается методом кюретажа;
- Радикальное вмешательство. Обширная операция, при которой удаляется не только слизистая, но и костная ткань челюстей.
Обратите внимание на то, что в нашей клинике эта манипуляция проводится так же и с помощью лазера. Применение лазера имеет ряд преимуществ о которых вы можете узнать в соответствующих разделах этого сайта или на консультации у врача.
Этапы проведения
Гингивэктомия состоит из нескольких этапов, первый из которых – подготовительный. Пациенту необходимо пройти общее обследование и сделать рентген. Далее процедура протекает так:
Профессиональная чистка зубов от налёта и камня
Местная анестезия (при необходимости в рамках программы «Антистресс» в стоматологической клинике «Май» можно применять общий наркоз или седацию закисью азота)
Обработка дёсен антисептиками
Иссечение и удаление поражённых тканей. Для этого могут применяться хирургические инструменты или медицинский лазер
Соскабливание скопившегося в поддесневых карманов гноя, налёта, камня
Обработка дёсен антисептиком с последующим наложением повязки
Восстановление после операции

После вмешательства врач расскажет об уходе за дёснами во время восстановительного периода. Минимальные рекомендации такие:
- Мягкое диетическое питание (перемолотой пищей);
- Полоскание рта вместо чистки. Спустя пару дней можно аккуратно чистить зубы мягкой щёткой, стараясь не задевать дёсны;
- Отказ от курения, алкоголя (хотя бы на время заживления);
- Использование заживляющих и антисептических средств, которые назначит врач.
Осложнения встречаются очень редко. Может развиться серьёзное воспаление, рецидив пародонтита, отёчность, повышение температуры. Если вы с таким столкнётесь – как можно быстрее обратитесь к своему лечащему врачу.
В стоматологической клинике «Май» прозрачные цены – стоимость процедуры можно будет определить на первичном приёме. Она зависит только от двух факторов:
- Способ лечения – хирургический скальпель или медицинский лазер;
- Тип анестезии – местная, закись азота, внутривенная седация или общий наркоз;
Если сумма кажется для вас великоватой – вы сможете оформить беспроцентную рассрочку прямо в клинике.
Образование основное: Московский Государственный Медико-Стоматологический университет.
Записаться на приём Примеры работ
Используемое оборудование
Профессиональное оборудование для чистки зубов

Ультразвуковой Аппарат Vector – профессиональное стоматологическое оборудование для ультразвуковой чистки зубов, основанной на современных технологиях. Главное отличие прибора в применении параллельных потоков ультразвуковых колебаний. Такое направление воздействия позволяет нивелировать действие на нервные окончания, убирая или существенно снижая болевые ощущения пациента от процедуры. Кроме того, направляя поток ультразвука параллельно поверхности зуба, специалист не повреждает во время манипуляций ни зубную эмаль, ни дентин, сохраняя коронку в целости. Глубокое проникновение в зубной карман (до 11 мм) позволяет эффективно удалять зубной камень, налет и зубные отложения, содержащие эндотоксины и бактерии, вызывающие инфицирование десен и пульпы. Аппарат Vector предназначен для манипуляций по ультразвуковой чистке, и показан в комплексном лечении: — гингивитов; — пародонтозов; — пародонтитов. Используется в профилактических терапевтических целях, позволяя мягко препарировать зубные ткани, избегая травматического нагревания во время проведения процедуры.
Предназначено для проведения эффективного обезболивания

Газосмесительный аппарат Martx – стоматологическое оборудование, предназначенное для проведения эффективного обезболивания стоматологических манипуляций при помощи закиси азота. Этот наркозно-дыхательный аппарат безопасен в применении, и рекомендован для использования в том числе – в детской стоматологии. Анксиолитическая смесь газов подается через специальную маску, надеваемую на лицо пациента во время проведения процедуры, что способствует максимальному расслаблению и существенному росту порога болевой чувствительности. Газосмесительный аппарат Martx гарантирует высокую точность подачи веществ, абсолютную безопасность и оптимальный уровень контроля асептики за счет реализованной системы звуковых и световых сигналов, позволяющих оперативно отслеживать любые изменения при проведении лечения.
Новое поколение диодных лазеров. Уникальное сочетание мощности и универсальности

Ультрасовременный диодный лазер Epic-10 – принадлежит к новому поколению диодных лазеров. Представляет собой уникальное сочетание мощности и универсальности. Обеспечивает эффективное выполнение более 25 стоматологических процедур на мягких тканях, в том числе таких, как бескровная и безболезненная коррекция десен перед протезированием, удаление пораженных тканей в десневых бороздках, дезинфекция труднодоступных участков и стерилизация каналов, отбеливание зубов. Успешно применяется для лечения зубов взрослых и детей. Используется диодный лазер и для ускорения приживления имплантатов, так как инфракрасная волна длиной 940 нанометров, которую производит устройство, эффективно стимулирует заживление ран. Лазер Epic-10 способен работать в двух режимах: с постоянным либо импульсным излучением. Благодаря сочетанию короткого импульса и большой мощности значительно уменьшаются температурные повреждения при разрезах, а, следовательно, – болевые ощущения. Диапазон эффектов при клиническом применении устройства необычайно широк. Обусловлено это большим выбором сменных насадок и возможностью выбирать нужную длительность импульса среди нескольким запрограммированных. Аппарат разработан и произведен американской компанией Biolase, которая имеет более 25-летний опыт работы в сфере производства стоматологических лазеров.
Удобная и функциональная разработка известной компании-производителя

Ортопантомограф Vatech – удобная, функциональная разработка известной компании-производителя медицинского оборудования. Устройство предназначено для проведения масштабной полноценной и всесторонней рентгендиагностики в стоматологии. Она дает возможность получить панорамный снимок не только челюстной области, но и качественных наглядных проекций носовых пазух, суставов, что является важной незаменимой информацией для безопасного проведения манипуляций в ортодонтии. Несколько программ, возможность получать четкие снимки фронтальных и боковых проекций, задавать форму дуги. Специальные режимы, например, быстрое сканирование, позволяют сократить сроки проведения манипуляции и минимизировать вредное воздействие рентген лучей в процессе диагностики.
Немецкая стоматологическая установка премиум-производителя компании Kavo

Стоматологическая установка нового поколения позволяет эффективно и качественно организовать рабочее пространство специалиста, сокращая количество и время манипуляций, не давая рассеиваться вниманию, гарантируя безопасность и оперативное проведение назначенной процедуры. Система включает в себя: инструментальный столик врача, кресло, плечо (неподвижное или пантографическое), светильники, установки для подачи шлангов, сами шланги, компрессоры и иные составляющие из современных, безопасных, технологичных материалов, позволяющих производить их эффективную стерилизацию и быструю замену в случае необходимости. Дополнительно, кресло оборудовано специальным ортопедическим матрацем для удобства пациентов.
Читайте также:
