Гипопитуитаризм - недостаточность гормонов гипофиза. Варианты
Добавил пользователь Евгений Кузнецов Обновлено: 18.12.2025
Множественный дефицит гормонов гипофиза (или пангипопитуитаризм) характеризуется недостатком соматотропного гормона (СТГ), дефицитом тиреотропного (ТТГ) и адренокортикотропного гормона (АКТГ), а также лютеонизирующего (ЛГ) и фолликулостимулирующего (ФСГ) гормонов и в некоторых случаях низким уровнем пролактина.
Пангипопитуитаризм может быть врожденным (дефект генов) или приобретенным.
Наследственный множественный дефицит гормонов гипофиза обусловлен мутациями в генах POU1F1 (PIT-1), PROP-1, LHX-3, LHX-4, HESX-1, Pitx2.
Основные причины приобретенного множественного дефицита гормонов гипофиза:
1. Опухоли гипоталамуса и гипофиза:
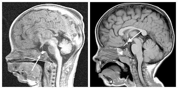
- краниофарингиома;
- гамартома;
- нейрофиброма;
- герминома;
- аденома гипофиза.
2. Опухоли других отделов мозга
3. Травмы:
- черепно-мозговая травма;
- хирургическое повреждение гипофизарной ножки.
4. Инфекции:
- энцефалит и менингит;
- неспецифический (аутоиммунный) гипофизит.
5. Супраселлярные арахноидальные кисты, гидроцефалия, симптом «пустого турецкого седла».
6. Патология сосудов головного мозга (кровоизлияния)
7. Облучение головы и шеи при онкологических заболеваниях
8. Токсические последствия химиотерапии.
9. Инфильтративные болезни:
10. Транзиторный:
- конституциональная задержка роста и пубертата;
- психосоциальный (депривационный) нанизм.
Важно!
Для детей с дефицитом СТГ на фоне объемного образования в головном мозге (краниофарингиомы) или после перенесенной травмы головы характерны более поздние сроки проявления дефицита роста — после 5–6-летнего возраста. У детей с объемным образованием головного мозга резко снижается скорость роста, может появиться полидипсия (много пьет) и полиурия (выделяет много мочи), при этом выделяет неконцентрированную мочу. Полиурия и полидипсия являются характерными признаками развития центрального несахарного диабета в результате развития синдрома сдавления гипофизарной ножки и нарушения выделения антидиуретического гормона.
Наличие помимо дефицита роста таких жалоб, как головные боли, нарушение зрения, рвота, позволяет заподозрить внутричерепную патологию (краниофарингиома).
У детей с транзиторным СТГ-дефицитом (конституциональная задержка роста и пубертата) семейный анамнез позволяет в большинстве случаев выявить аналогичные случаи низкорослости и задержки полового развития в детском и подростковом возрасте у одного из родителей либо ближайших родственников.
Для детей с врожденным множественным дефицитом гормонов гипофиза характерно замедление динамики роста с первых лет жизни. У детей с дефицитом СТГ скорость роста не превышает 4 см в год, чаще всего она составляет 1–2 см в год.


Кроме исследования показателей гормонального профиля, оценки костного возраста ребенку проводится МРТ головного мозга. В случаях подозрения на врожденный характер заболевания показано проведение молекулярно-генетического исследования с целью поиска мутаций в генах.
После постановки диагноза пангипопитуитаризм назначается лечение рекомбинантным гормоном роста, препаратами левотироксина, глюкокортикоидами. При выявлении несахарного диабета проводится лечение синтетическим аналогом антидиуретического гормона.
Дефицит пролактина характерен для пациентов с мутациями в гене PIT-1 и PROP-1. У детей и подростков недостаточность пролактина не имеет клинических проявлений, лечение не проводится.
При диагностике объемного образования головного мозга решается вопрос о проведении хирургического лечения.
Нанизм гипофизарный - симптомы и лечение
Что такое нанизм гипофизарный? Причины возникновения, диагностику и методы лечения разберем в статье доктора Скворцовой Ольги Викторовны, детского эндокринолога со стажем в 9 лет.
Над статьей доктора Скворцовой Ольги Викторовны работали литературный редактор Маргарита Тихонова , научный редактор Сергей Федосов и шеф-редактор Лада Родчанина
Определение болезни. Причины заболевания
Гипофизарный нанизм, или гипопитуитаризм — это заболевание, при котором частично или полностью прекращается выработка гормона роста — соматотропина (соматотропного гормона) [1] . Оно сопровождается нарушением роста скелета, из-за чего мужчины не вырастают выше 130 см, а женщины — выше 120 см. В связи с этим характерным проявлением болезнь также называют карликовостью.

Наиболее частые причины гипофизарного нанизма:
- Наследственность — мутации в гене соматотропного гормона (GH1) или его рецепторах. Частота встречаемости врождённого гипопитуитаризма колеблется от 1:4000 до 1:10000 [5] .
- Дефекты развития гипоталамо-гипофизарной системы — области головного мозга, где вырабатывается соматотропный гормон:
- гипоплазия (недоразвитие) гипофиза;
- полное отсутствие гипофиза. При этом дефицит гормона роста сочетается с нехваткой других гормонов, которые вырабатываются в гипофизе. Такое состояние называется пангипопитуитаризмом. Оно проявляется надпочечниковой недостаточностью, ухудшением работы щитовидной железы (гипотиреозом), несахарным диабетом, гипогонадотропным гипогонадизмом (отсутствием полового развития и дефицитом гормона роста).
- Опухоли гипофиза:
- краниофарингиома — доброкачественная опухоль гипофизарной области, одна из самых распространённых в детском возрасте;
- гамартома — редкий вид доброкачественной опухоли;
- герминома — редкий вид опухоли, чаще всего бывает злокачественной — и др.
- Травмы головного мозга с повреждением гипофиза, возникшие до того, как человек достиг социально приемлемого роста — 155-170 см (например, родовая травма).
- Инфекционные заболевания — менингиты, энцефалиты и др.
- Облучение головы и шеи.
- Токсические последствия химиотерапии.
Теоретически, спровоцировать развитие гипофизарного нанизма может любое заболевание, которое будет затрагивать работу гипофиза.
При обнаружении схожих симптомов проконсультируйтесь у врача. Не занимайтесь самолечением - это опасно для вашего здоровья!
Симптомы гипофизарного нанизма
Гипофизарный нанизм проявляется по-разному. Симптоматика зависит от причин дефицита гормона роста.
Основной симптом — отставание в темпах линейного роста [2] . Такие дети вырастают менее чем на 4 см в год. Нарушение динамики роста будет заметно уже в первые месяцы жизни ребёнка. Если повреждение гипоталамуса или гипофиза возникло в более позднем возрасте, то отставание в росте будет отмечаться позднее. Также для детей с гипофизарным нанизмом характерно отставание костного (биологического) возраста от паспортного (фактического) более чем на 2-3 года.

При нехватке гормонов роста телосложение остаётся пропорциональным. Это важный диагностический критерий: он позволяет исключить разные формы скелетных дисплазий [9] .

Симптомами врождённого гипофизарного нанизма у новорождённых являются:
- гипогликемия — низкий уровень глюкозы в крови натощак. Это физиологическое состояние может встречаться и у здоровых детей из-за незрелости поджелудочной железы. Дети с нанизмом сталкиваются с ним гораздо чаще, особенно на первом году жизни, поскольку гормон роста участвует в регуляции углеводного обмена;
- позднее закрытие большого родничка;
- задержка костного созревания;
- истончение кожи — может быть связано со снижением функции щитовидной железы;
- медленный рост ногтей и волос;
- высокий голос.
Часто у детей с гипопитуитаризмом встречается множественный кариес зубов. Это объясняется задержкой окостенения скелета и снижением обменных процессов в костной ткани.
Психоинтеллектуальное развитие у детей с гипофизарным нанизмом, как правило, не страдает, но возможны некоторые психологические проблемы: повышенная потребность в родительской опеке, снижение самооценки, трудности в общении со сверстниками.
Патогенез гипофизарного нанизма
В зависимости от причин дефицита соматотропного гормона есть несколько вариантов механизмов развития заболевания. При этом в основе патогенеза всегда будет лежать нарушение выработки гормона роста. В дальнейшем его нехватка станет причиной нарушения работы органов и систем, на которые он оказывает влияние: костной, мышечной и соединительной ткани, жирового углеводного обмена. В некоторых случаях первоначально будут развиваться гипоталамические нарушения, а недостаточность соматотропного гормона станет вторичным проявлением.

Молекулярной основой изолированного дефицита гормона роста является мутация определённого гена, которая не даёт организму синтезировать гормон. От видов генетических мутаций зависит, будет ли дефицит соматотропного гормона изолированным, или же он будет сочетаться с нехваткой других гормонов гипофиза, которые лежат в основе других патологий:
- дефицит тиреотропного гормона — вторичный гипотиреоз;
- дефицит пролактина — гипопролактинемия;
- дефицит гонадотропинов — аменорея и недоразвитие половых органов у женщин, снижение потенции и либидо у мужчин;
- дефицит АКТГ — вторичная недостаточность надпочечников;
- дефицит вазопрессина — несахарный диабет;
- дефицит кортизола — гипокортицизм.
У некоторых пациентов с мутацией конкретных генов выявляется гиперплазия передней доли гипофиза (аденогипофиза). В процессе жизни может произойти её атрофия вплоть до формирования синдрома "пустого турецкого седла" — недостаточности области головного мозга, где расположен гипофиз. Данный синдром приводит к внедрению мягкой мозговой оболочки в полость турецкого седла, сдавлению и уменьшению гипофиза, что нарушает или полностью прекращает его работу.

В подобных случаях дефицит гормона роста и других гормонов гипофиза будет возникать постепенно [3] .
Классификация и стадии развития гипофизарного нанизма
Единой, общепринятой классификации гипофизарного нанизма не существует. Наиболее удобной для практикующих врачей является классификация, основанная на причинах заболевания. Она выделяет две большие группы: врождённый и приобретённый гипопитуитаризм [4] .
Врождённый гипофизарный нанизм делится на три подгруппы:
- Наследственный:
- изолированный дефицит гормона роста: мутации гена самого гормона (GH1) или мутации гена рецептора к соматотропину (GHRHR);
- множественный дефицит гормонов передней доли гипофиза: мутации гена PIT-1 или гена PROP1.
- Идиопатический (незафисимый) дефицит СТГ-релизинг гормонов, которые стимулируют выработку гормонов передней доли гипофиза.
- Дефекты развития гипоталамо-гипофизарной системы:
- патология срединной трубки;
- нарушение развития гипофиза: врождённая аплазия (отсутствие гипофиза), гипоплазия (недоразвитие), эктопия (неправильное расположение).
Приобретённый гипофизарный нанизм включает в себя девять причин развития болезни:
- Опухоли гипоталамуса и гипофиза: краниофарингиома, гамартома, нейрофиброма, герминома, аденома гипофиза.
- Опухоли других отделов мозга: глиома зрительного перекреста.
- Травмы: черепно-мозговая, хирургическое повреждение ножки гипофиза.
- Инфекционные заболевания: вирусный, бактериальный энцефалит и менингит, неспецифический гипофизит (воспаление гипофиза).
- Супраселлярные арахноидальные кисты — полые опухоли, заполненные жидкостью (ликвором), которые распространяются в полость черепа.
- Сосудистые нарушения: аневризмы сосудов гипофиза, инфаркт гипофиза.
- Облучение головы и шеи по поводу лейкемии, медуллобластомы, ретинобластомы; общее облучение всего тела (при пересадке костного мозга).
- Токсические последствия химиотерапии.
- Инфильтративные болезни: саркоидоз, гистиоцитоз.
Осложнения гипофизарного нанизма
Осложнения заболевания связаны с утратой воздействия гормона роста на органы и системы. Они развиваются вследствие несвоевременной диагностики.
У новорождённого с дефицитом соматотропина относительную опасность может представлять гипогликемическое состояние, поскольку этот гормон играет важную роль в регуляции углеводного обмена. Клинически гипогликемия проявляется бледностью, потливостью, повышенным аппетитом, беспокойством ребёнка, иногда наблюдается судорожный синдром [5] .

Так как сомтатотропин усиливает синтез белка и тормозит его распад, у детей с дефицитом этого гормона может снизиться уровень общего белка в организме и его фракций. Это сказывается на общем физическом развитии: снижается иммунитет, повышается риск присоединения других гормональных сопутствующих нарушений.
Значительная часть эффектов гормона роста передаётся через ИПФР-I (инсулиноподобный фактор роста-I). Он вырабатывается в печени под действием соматотропина и стимулирует рост внутренних органов. Вследствие дефицита соматотропного гормона рост и своевременное развитие органов может частично нарушиться. Это приводит к нарушению работы печени, почек, сердечно-сосудистой системы. Такое осложнение встречается нечасто.
При дефиците гормона роста совместно с другими гормонами гипофиза (пангипопитуитаризме) будет развиваться недостаточность других эндокринных желёз — щитовидной железы, надпочечников, репродуктивной системы. Несвоевременная диагностика этих нарушений после рождения опасна для жизни, а также может стать причиной необратимым нарушений психического или интеллектуального развития.
Диагностика гипофизарного нанизма
Диагностика заболевания начинается с оценки линейного роста ребёнка и скорости прибавки в росте. Для этого врачи сравнивают фактические параметры ребёнка с предполагаемым ростом и среднестатистической скоростью роста. Подставив все данные в специальную формулу, они вычисляют коэффициент стандартного отклонения. Если у ребёнка отставание в росте больше двух сигмальных отклонений, плохая скорость прибавки роста, то проводится дальнейшее обследование.
Затем врачи определяют костный возраст. Сделать это можно с помощью рентгена или УЗИ запястья. В норме костный возраст может отставать или опережать паспортный на два года.

Также важно провести оценку гормонального профиля:
- уровень тиреотропного гормона (ТТГ) и свободного тироксина (Т4) — проверка работы щитовидной железы;
- уровень кортизола и АКТГ (кортикотропина) — исключение нарушений работы надпочечников [10] ;
- уровень лютеинизирующего гормона (ЛГ) и фоллитропина (ФСГ) — исключение гипогонадотропного гипогонадизма в возрасте, когда должно начаться половое созревание;
- инсулиноподобный фактор роста-I (ИПФР-I) — оценка уровня гормона роста.
Прямая оценка уровня соматотропина, как правило, не проводится. Гормон роста в течение суток выделяется в разном количестве, поэтому узнать его истинный уровень невозможно.
При необходимости проводится МРТ головного мозга и гипофиза с контрастированием [6] . Она позволяет исключить или подтвердить наличие объёмных образований области гипофиза и головного мозга.

Для дифференциальной диагностики задержки роста, не связанной с гормоном роста, исключают дефицит железа, дефицит витамина D, общего белка и другие дефицитные состояния, т. к. их наличие может отрицательно влиять на скорость линейного роста. Рентгенография черепа в данном случае не информативна.
Для исключения определённых генетических синдромов может потребоваться консультация генетика.
При подозрении на истинный дефицит гормона роста проводятся пробы на стимуляцию соматотропина. Эти провокационные тесты стимулируют выброс гормона роста при введении определённых препаратов. Они проводятся только после исключения других возможных причин низкорослости. На основании этих проб, при отсутствии должного выброса гормона роста, будет установлен диагноз "гипопитуитаризм".
Лечение гипофизарного нанизма
Лечение проводится рекомбинантным гормоном роста, который получают методом генной инженерии. Он назначается после исключения активных злокачественных новообразований и тяжёлых сопутствующих заболеваний (как физических, так и психических). Эти состояния являются противопоказанием к использованию данного препарата.
Если имеются другие дефициты гормонов гипофиза, то перед лечением их также нужно компенсировать. Иначе должного эффекта от применения гормона роста не будет.

Цели лечения:
- ускорить темп роста и нормализовать рост;
- стимулировать начало периода полового созревания с нормальным ростом;
- достичь генетически прогнозируемого роста ребёнка или опередить его;
- улучшить качество жизни;
- повысить минеральную плотность костей;
- снизить факторы риска сердечно-сосудистых заболеваний.
Противопоказания к назначению рекомбинантным гормоном роста:
- закрытые зоны роста, за счёт которых происходит линейный рост (при их закрытии человек перестаёт расти);
- активные злокачественные новообразования;
- прогрессирующий рост внутричерепных опухолей;
- аллергия на препарат.
Прекращают терапию гормоном роста при:
- закрытии зон роста;
- плохой скорости прибавки роста — менее 2 см в год;
- достижении социально приемлемого роста.
Крайне редко возможны побочные эффекты и осложнения при терапии гормоном роста:
- доброкачественная внутричерепная гипертензия — повышение внутричерепного давления;
- боли в суставах — обычно наблюдаются при значительном ускорении линейного роста;
- возможно усугубление заболеваний, связанных с недифференцированными дисплазиями соединительной ткани (сколиозов);
- отёки — связано с функцией гормона роста задерживать жидкости в организме;
- пубертатная гинекомастия — увеличение грудных желёз за счёт разрастания железистой ткани у мальчиков [7] .
Прогноз. Профилактика
Прогноз заболевания при своевременной диагностике и проведении должного лечения, как правило, благоприятный. Дети достигают своего генетически прогнозируемого роста и иногда даже опережают его.
Если дефицит гормона роста сочетается с дефицитом других гормонов гипофиза, то для достижения желаемого эффекта, профилактики ухудшения состояний и более лёгкой социальной адаптации ребёнка необходимо лечение других дефицитов.
Также очень важен чёткий и своевременный контроль во время лечения гормоном роста: оценка динамики линейного роста, гормонального статуса и костного возраста. Особое внимание необходимо уделять режиму лечения и своевременной коррекции дозы препарата с учётом прибавки в росте и весе. При применении соматотропного гормона доза препарата будет увеличиваться. При несвоевременной прибавке дозы динамика роста может ухудшится [8] .
Мониторинг детей, находящихся на лечении, проводится раз в полгода, при других сопутствующих дефицитах гормонов гипофиза — по показаниям.
Вопрос профилактики данного заболевания сложен, т. к. речь идёт о генетических нарушениях. В первую очередь важен ответственный подход будущих родителей к рождению ребёнка:
- своевременное обследование и лечение заболеваний;
- восполнение дефицитов при планировании беременности;
- отказ от вредных привычек.
Для профилактики дефицита гормона роста, который возникает вследствие другого заболевания (инфекции, опухоли, травмы), следует проводить профилактики первоисточника.
Гипопитуитаризм - недостаточность гормонов гипофиза. Варианты
Аденомы гипофиза бывают самой частой причиной гипопитуитаризма, но он может развиться из-за патологии в области турецкого седла, операции на гипофизе или лучевой терапии. Здесь необходимо упомянуть и травмы головы.
Недостаточность гормонов гипофиза, возникающая вследствие эффекта сдавления, обычно встречается в следующем порядке: гормон роста, ЛГ, ФСГ, ТТГ, кортикотропин и пролактин. Недостаточность пролактина возникает реже всего, только при инфаркте гипофиза. Также были описаны отдельные виды недостаточности различных гормонов передней части гипофиза.
Недостаточность гормона роста. На сегодняшний день недостаточность гормона роста признают патологическим состоянием у взрослых людей, и многие пациенты получают ЗГТ. Недостаточность гормона роста может способствовать увеличению смертности при гипопитуитаризме, а сердечно-сосудистые заболевания становятся наиболее частой непосредственной причиной смерти. Симптомы недостатка гормона роста у взрослых включают уменьшение мышечной силы, физической выносливости и ощущения жизненного благополучия (сниженное половое влечение, социальная изоляция).
У больных отмечают увеличение жировой массы тела, особенно интраабдоминальных отложений, хотя в целом масса тела меньше по сравнению с нормой. У некоторых из них обнаруживают снижение содержания минералов в костной ткани (заместительная терапия ГР помогает его предотвратить).

Заместительная гормональная терапия (ЗГТ) рекомендована при доказанной недостаточности гормона роста или появлении характерных для нее симптомов либо нарушений метаболизма. Самыми распространенными побочными эффектами терапии бывают задержка жидкости, синдром канала запястья и артралгия, которые обычно связаны с дозой принимаемых препаратов и уменьшаются при ее снижении.
Недостаточность гонадотропинов. Недостаточность гонадотропинов возникает вторично из-за расстройств гипофиза, гипоталамической недостаточности люлиберина, функциональных нарушений, таких как гиперпролактинемия, нервная анорексия, и общих тяжелых заболеваний. У женщин она вызывает бесплодие и менструальные нарушения, в том числе аменорею. Часто отмечают снижение полового влечения и диспареунию. У мужчин гипогонадизм диагностируют реже, поскольку снижение либидо и импотенцию можно посчитать следствием старения организма. Часто это состояние распознают ретроспективно, когда пациент обращается уже с жалобами на похудание.
В результате длительного гипогонадизма возникает нарушение остеогенеза (остеопения), что обычно корректируется ЗГТ.
Недостаточность кортикотропина. Признаки первичной и вторичной, связанной с кортикотропином надпочечниковой недостаточности сходны, но есть одно важно отличие. У пациентов с болезнями гипофиза сохраняется секреция минералокортикоидов, связанная с деятельностью ренин-ангиотензиновой системы. По этой причине симптомы носят хронический характер и, как правило, представлены общим недомоганием, снижением энергичности и анорексией. Гиперкалиемия нехарактерна для вторичной надпочечниковой недостаточности. Остро возникшее заболевание может привести к сосудистому коллапсу, гипогликемии и коме.
Недостаточность тиреотропина. Недостаточность ТТГ при расстройствах гипофиза обнаруживают относительно поздно. Ее признаки сходны с проявлениями первичного гипотиреоза: общее недомогание, судороги в ногах, «упадок сил», повышенная чувствительность к холоду. Степень выраженности гипотиреоза зависит от длительности недостатка ТТГ.
Причины гипопитуитаризма: синдром пустого турецкого седла, апоплексия гипофиза и синдром Шегрена
Диагноз «синдром пустого турецкого седла» в последнее время ставят все чаще, благодаря превалирующему использованию КТ и МРТ головного мозга при жалобах на головные боли и других симптомах. Наличие связи между гипофизарной ямкой и субарахноидальным пространством становится причиной изменения ее формы и расширения. Первичный синдром пустого седла — результат врожденного дефекта его диафрагмы. Вторично он может возникать вследствие оперативного вмешательства, облучения или инфаркта имевшейся опухоли.
Большинство пациентов не страдают от дисфункции гипофиза, но все же был описан широкий спектр гипофизарной недостаточности, особенно при вторичном синдроме пустого турецкого седла. Могут встречаться сопутствующие опухоли.
Ведение больного включает подтверждение диагноза и, но необходимости, заместительную терапию. Хирургическое лечение применяют лишь при нарушениях полей зрения или при истечении цереброспинальной жидкости из носа.
Апоплексия гипофиза
Апоплексия гипофиза — эндокринная катастрофа, возникающая в результате геморрагического инфаркта гипофиза, обычно связанного с его опухолью. Среди разнообразия предрасполагающих факторов были описаны кровотечения, сахарный диабет, облучение гипофиза, пневмоэнцефалография, механическая вентиляция легких и травмы.

Клинические проявления этого синдрома связаны с быстрым увеличением и компрессией гипофиза и структур, расположенных рядом с турецким седлом, что приводит к гипопитуитаризму, дефектам полей зрения и параличу черепных нервов. Проникновение крови или некротических тканей в субарахноидальное пространство может вызвать помутнение сознания, менингит и лихорадку.
При подозрении на апоплексию гипофиза следует ожидать недостаточности синтеза гормонов передней доли и лечить соответственно этому. Доза глюкокортикоидов должна соответствовать степени поражения и предполагаемого отека мозга. При внезапном нарушении полей зрения, параличе глазодвигательных нервов, гипоталамической компрессии или коме следует немедленно провести хирургическую декомпрессию. Есть данные об излечении недостаточности синтеза различных гормонов гипофиза после операции.
Всех пациентов необходимо повторно обследовать на содержание гормонов гипофиза, чтобы выяснить, восстановилось ли их нормальное содержание.
Синдром Шихена
Синдром Шихена возникает в результате ишемического инфаркта здорового гипофиза при послеродовом кровотечении и артериальной гипотензии, ведущего к гипопитуитаризму. У больных появляются проблемы с лактацией и восстановлением нормального менструального цикла, повышенная чувствительность к холоду или быстрая утомляемость. У некоторых женщин через 30 дней после родов может возникнуть острая псевдоапоплексия. Часто обнаруживают субклиническое течение несахарного диабета центрального происхождения.
Информация на сайте подлежит консультации лечащим врачом и не заменяет очной консультации с ним.
См. подробнее в пользовательском соглашении.
Гипопитуитаризм. Изменения органа зрения при гипопитуитаризме
Гипопитуитаризм (гипоталамо-гипофизарная недостаточность) является патологическим состоянием, развивающимся в результате поражения гипофиза и ядер гипоталамуса и сопровождающимся снижением продукции гипоталамических ней-рогормонов, тропных гормонов гипофиза и пролактина. К поражениям гипофиза относят ишемический инфаркт, кровоизлияние, воспалительные процессы, нейроинфекции, травму, запущенные формы новообразования, в частности — аденомы, и т.д.
Гипопитуитаризм может развиться также после хирургического удаления гипофиза, при длительном приеме бромкриптина, после дистанционной лучевой терапии гипоталамо-гипофизарной области. Патологические изменения в гипоталамо-гипофизарном комплексе приводят в свою очередь к гипофункции периферических желез внутренней секреции.
Клинические проявления гипопитуитаризма многообразны и зависят от объема выпадения тропных функций гипофиза и возраста больного. При выраженных формах заболевания отмечаются мышечная слабость, зябкость, похудание, сухость и дряблость кожи, волосы становятся редкими, ломкими, тусклыми, появляются очаги облысения на лобке и в подмышечных впадинах, полное или частичное выпадение бровей в наружных третях (симптом Хертога).

При острой форме заболевания — гипопитуитарной коме — преобладают симптомы внутричерепной гипертензии: острая головная боль, головокружение, тошнота, рвота, развитие параличей черепных нервов, прогрессирующее снижение остроты зрения вплоть до полной слепоты. Клиническая картина гипофизарной комы варьирует в зависимости от характера поражения гипофиза.
Хотя тяжесть прогноза при этом определяет острая надпочечниковая недостаточность, из-за выраженных психоневрологических симптомов при гипофизарной коме, которые могут быть истолкованы как проявления менингита или менингизма, абсцесса мозга, кровоизлияния в него или каких-либо других внутримозговых повреждений, экстренная терапия, которая должна быть направлена на ликвидацию острой надпочечниковой недостаточности, не проводится, и именно с этим чаще всего связаны летальные исходы при гипофизарной коме. Внимание врачей прежде всего направлено на симптомы внутричерепной гипертензии.
Повышение температуры тела, острая сердечно-сосудистая недостаточность, различные нарушения гомеостаза, тяжелая гипогликемия (не столь редко развивающаяся при гипопитуитаризме и которая в свою очередь приводит к внеклеточному отеку мозга и резко усугубляет повреждение центральной нервной системы) еще более затрудняют правильное распознавание гипофизарной комы и обусловленной ею острой надпочечниковой недостаточности. Исключительные трудности возникают в тех случаях, когда сознание больного нарушено. Причины нарушения сознания при гипофизарной коме, как это следует из всего отмеченного выше, могут быть различными.
Изменения органа зрения при гипопитуитаризме обусловлены главным образом поражением аденогипофиза. На первый план выступают изменения по хиазмальному типу: битемпоральное сужение поля зрения или битемпоральная гемианопсия, атрофия дисков зрительного нерва, реже — застойные диски зрительного нерва, возможна внезапно наступившая слепота вследствие кровоизлияния в гипофиз. Диагноз гипофизарной комы верифицирует низкая концентрация кортикостероидов в крови.
Проба с АКТГ (определение концентрации кортикостероидов в крови до и через 30 мин после внутривенного введения синактена) — важнейший биохимический тест при диагностике гипофизарной комы. В норме отмечается не менее чем двукратное повышение концентрации кортикостероидов в крови после введения АКТГ, которое при надпочечни-ковой недостаточности (включая скрытую форму) отсутствует.
Редактор: Искандер Милевски. Дата обновления публикации: 18.3.2021
Читайте также:
