Гистология синовиальной саркомы. Доброкачественная синовиома.
Добавил пользователь Евгений Кузнецов Обновлено: 13.12.2025
Рассматривается в статье наблюдение рецидивного течения гигантоклеточной синовиомы .
Похожие темы научных работ по клинической медицине , автор научной работы — Шевченко В. В.
Gigantocellular synovioma of vaginal tendons of hand finger benders
The recurrent course of gigantocellular synovioma is described in the article.
Текст научной работы на тему «Гигантоклеточная синовиома сухожильного влагалища сгибателей пальцев кисти»
1. Женчевский P.A. Гигантская ложная киста надпочечника // Вестник хирургии. - 1982. - Т.128, №4. -С.81-82.
2. Калинин А.П., Майстренко H.A. Хирургия надпочечников // М.: Медицина. - 2000. - 215 с.
3. Торгунаков А.П. К вопросу о синдроме псевдофе-охромоцитомы // Клиническая медицина. — 1978. — №1. - С.135-136.
4. Incze J.S., Lui P.S., Merriam J.C. et al. Morphology and pathogenesis of adrenal cysts // Am. J. Pathol. -1979. - N.95. - P.423-432.
© ШЕВЧЕНКО В.В. -УДК 617.576-006.35
ГИГАНТОКЛЕТОЧНАЯ СИНОВИОМА СУХОЖИЛЬНОГО ВЛАГАЛИЩА СГИБАТЕЛЕЙ ПАЛЬЦЕВ КИСТИ
(Ярцевская ЦРБ Смоленской обл., гл. врач - А.М. Прохорснков)
Резюме. Рассматривается в статье наблюдение рецидивного течения гигантоклеточной сино-виомы.
Среди опухолей и опухолеподобных образований кисти одно из первых мест (45,2%) занимают опухоли из соединительной ткани [5], в числе которых не последнее место занимают синовиомы -опухоли, возникающие из синовиальных оболочек суставов, слизистых сумок, сухожильных влагалищ. Впервые этот термин предложила 1929 г. Smith.
Чаще всего среди новообразований синовиальной ткани встречаются доброкачественные синовиомы, описываемые также под названием гигантоклеточных опухолей суставов и сухожильных влагалищ, доброкачественных синовиом, гигантоклеточных ксантомных опухолей. Злокачественные опухоли синовиальных оболочек суставов, бурс, сухожильных влагалищ называются злокачественными синовиомами или синовиальными саркомами. Последний термин был предложен Berger в 1938 г.
Гигантоклеточные опухоли (ГКО) сухожильных влагалищ являются одной из наиболее часто встречаемых доброкачественных опухолей синовиальной ткани и вместе с ганглием составляют подавляющее большинство подкожных образований кисти и стопы [5].
Располагаются ГКО обычно в тех местах, где есть синовиальная оболочка. На пальцах они растут из сухожильных влагалищ или синовиальной оболочки межфаланговых суставов, поэтому при их удалении нередко вскрывается полость сустава
Опухоли обычно имеют вид одиночного округлого или овального узла с бугристой поверхностью, они умеренно плотны, хорошо отграничены. Доброкачественные синовиомы, расположенные вблизи крупных суставов, нередко носят инфильтративный характер и лишены четких границ. На разрезе новообразование может иметь различный цвет от серовато-желтого до желтовато-коричневого и даже красновато-коричневого. Различные участки одной и той же опухоли могут иметь разную окраску. Желтый цвет зависит от содержания жира, а коричневые оттенки обусловлены наличием гемосидерина.
ГКО редко достигают значительных размеров. На пальцах они обычно имеют диаметр от нескольких миллиметров до 2-3 см. Иногда имеется несколько узлов, соединенных фиброзной капсулой. Реже рядом с основным узлом располагаются небольшие узелки.
Хотя опухоль имеет четкие границы, можно обнаружить проникновение ее в прилежащие ткани (сухожильное влагалище или капсулу сустава), изредка наблюдается связь с кожей. Опухоль может как муфтой окутывать сухожилие.
Микроскопически основными элементами являются округлые, овальные, вытянутые и полиэдральные клетки, располагающиеся тяжами или в виде альвеол. Клеточные тяжи и альвеолы разделены пучками коллагеновых, иногда гиалинизи-рованных волокон. Другим обязательным клеточным элементом опухоли являются гигантские многоядерные клетки [1].
В ГКО нередки участки ксантоматоза. Обычно эти опухоли содержат некоторое количество гемосидерина, расположенного главным образом внутриклеточно.
Рецидивные опухоли имеют такое же строение, как и первичные [6].
Дифференцировать доброкачественную сино-виому необходимо с синовиальной саркомой: макроскопически синовиальная саркома имеет вид четко ограниченного, как бы инкапсулиро-
ванного узла с бугристой поверхностью, реже -диффузного инфильтрата, лишенного четких границ. Псевдокапсула, образованная уплотненными окружающими тканями, может служить поводом для ошибочного суждения о доброкачественности процесса. Нередко опухоль располагается вблизи сустава или по соседству со слизистой сумкой или сухожильным влагалищем, с которым может быть связана на том или ином протяжении. Внедрение синовиальных сарком в полость сустава наблюдается редко. Твердость опухоли прямо пропорциональна количеству фибросаркоматозной ткани Ло сравнению с эпителиоидными элементами [8]. Консистенция зависит также от обширности кровоизлияний, некрозов, наличия или отсутствия участков кальцификации. Если опухоль вырастает из синовиальной оболочки кисти или стопы, она может окутывать соответствующее сухожилие, распространяясь вдоль него. Синовиальные саркомы, располагаясь вблизи кости, могут внедряться в нее. На разрезе ткань опухоли розоватосерого цвета, содержит участки кровоизлияний, в некоторых случаях - участки кальцинированной ткани. В толще опухоли могут отмечаться небольшие щели и напоминающие кисты пространства, содержащие вязкую нежно-желтого цвета жидкость, похожую на синовиальную. Для цитологической картины синовиальных сарком характерным является наличие соединительнотканных клеток, которые имеют вытянутую или овальню форму и располагаются ветвящимися скоплениями, мелкими тканевыми образованиями, разрозненно. Ядра клеток крупные, преимущественно овальной формы, встречаются также вытянутые, типа ядер эпителиоидных клеток и веретенообразные. Распределение хроматина в ядрах равномерное, хроматин нежный, с просматривающимися (не всегда) единичными голубоватыми нуклео-лами. Цитоплазма клеток чаще едва различимая, преимущественно слабобазофильная. Розоватофиолетовое промежуточное вещество располагается в клеточных скоплениях или между ними. Характерным для доброкачественной гигантоклеточной синовиомы в цитологических препаратах является наличие небольшого количества клеток типа фибробластов, остеобластов и остеокластов. Большую помощь в постановке диагноза доброкачественной гигантоклеточной синовиомы оказывает рентгенологическое исследование, указывающее на то, что опухоль является доброкачественной и не связана с костью, что очень важно для дифференциальной ее диагностики с остео-бластокластомой [2].
Основной жалобой является наличие медленно растущей, безболезненной опухоли, редко вызывающей какие-либо неудобства, нередко появление опухоли больные связывают с перенесенной травмой. Медленно растущий, плотный, безболезненный, с бугристой поверхностью узел (реже -несколько узлов), не спаянный с кожей и ограниченно смещаемый по отношению к подлежащим тканям, расположенный по ходу сухожильных
влагалищ, весьма подозрителен на гигантоклеточную опухоль.
Лечение - иссечение опухолевого узла. Рецидив от 12-16% [6] до 39% [5] и 44% [7]. Интервал между операцией и появлением рецидива от нескольких дней [7] до 2-4 и даже 10 лет [3].
Иллюстрацией рецидивного течения гигантоклеточной синовиомы является следующее наблюдение: больной К., 40 лет, электромонтер, обратился 24.03.99 г. с жалобами на наличие опухолевидного безболезненного образования на основной фаланге Ш-го пальца левой кисти. Образование появилось около 6-ти месяцев назад, травму больной исключал. При осмотре отмечалось утолщение мягких тканей основной фаланги на 1,5 см по сравнению с аналогичной справа, пальпировались гладкие плотноэластичные образования, расположенные по ладонной поверхности фаланги, размером 1x2 см и 1x1,5 см, не спаянные с подлежащими тканями. Отмечалось незначительное ограничение сгибания в проксимальном межфаланговом суставе. Осмотрен онкологом поликлиники, выставлен диагноз “гигрома сухожильного влагалища сгибателей Ш-го пальца”. 29.03.99 г. под местной анестезией р-ром новокаина 1% - 10,0 по Е.В. Усольцевой произведено удаление опухоли, состоящей из гладких упругоэла-стичньк округлых узлов, размером 1x1x1 см, 1x1,5x2см, 1x0,5x0,5см и 0,5x1x0,5см, серовато-желтого цвета, расположенных по обеим сторонам сухожилий сгибателей пальца. Послеоперационный период протекал без осложнений.
Гистологическое исследование опухоли (препараты №№2804-2814): образование построено из веретенообразных клеток типа фибробластов, крупных клеток со светлой цитоплазмой, участками выстилающих щели; среди них - многоядерные гигантские клетки. Заключение: доброкачественная гигантоклеточная синовиома.
При контрольном осмотре больного через 6 месяцев обратило внимание на себя утолщение мягких тканей всего пальца. Пальпаторно определялись безболезненные мелкие округлые плотноэластичные узелки от
0,5x0,5см до 1x0,5см. Послеоперационный рубец без признаков воспаления. На рентгенограмме костных изменений не выявлено. Со слов больного, утолщение пальца появилось через 5 месяцев после операции. Выставлен диагноз: “рецидив гигантоклеточной синовиомы” и 26.10.99 г. повторно выполнена операция: иссечение опухоли. При ревизии обнаружено, что округлые, мелкие (от 0,2x0,3 см до 1x0,5 см) узелки желтова-то-бурого цвета располагаются в виде гроздьев вдоль сухожилия глубокого сгибателя пальца от ногтевой фаланги до пястно-фалангового сустава. Произведено тщательное удаление образований, промывание ран пульсирующей струёй антисептика с последующим ва-куумированием и обработкой спиртом. Послеоперационный период также протекал гладко.
Гистологическое исследование (препараты №№ 9526-9533): под соединительнотканной капсулой располагаются тяжи из веретенообразных клеток, заключенные в пучки коллагеновых волокон. Округлые клетки со светлым ядром располагаются рыхлыми скоплениями. Определяется множество щелевидных пространств, выстланных вытянутыми клетками и гигантскими многоядерными клетками. Внеклеточно - зерна гемосидерина. Заключение: доброкачественная гигантоклеточная синовиома влагалища сгибателя Ш-го пальца левой кисти. Диагноз подтвержден в Смоленском областном онкологическом диспансере.
При контрольном осмотре через 18 месяцев признаков рецидива не отмечено, больной работает по специальности. Дальнейшее наблюдение за ним будет продолжено.
Метастазы при гигантоклеточных опухолях сухожильных влагалищ не описаны. Но имеется описание малигнизации гигантоклеточной опухоли сухожильных влагалищ I пальца кисти [4].
Учитывая своеобразие клинического проявления ГКО сухожильного влагалища кисти и исходя из анализа литературных источников, данный вид опухоли должен подвергаться активному хирургическому лечению с последующим длительным наблюдением больных с периодичностью осмотра не реже двух раз в году.
GIGANTOCELLULAR SYNOVIOMA OF VAGINAL TENDONS OF HAND FINGER BENDERS
V.V. Shevchenko (Central Republican Hospital)
The recurrent course of gigantocellular synovioma is described in the article.
1. Виноградова Т.П. Многотомное руководство по патологической анатомии. - М., Т.VI. - С.344-357.
2. Патологоанатомическая диагностика опухолей человека (руководство под ред. H.J1. Краевского, A.B. Смольянникова, Д.С. Саркисова). - М.: “Медицина”. - 1993. - Т.1. -С.181-182.
3. Раков А.И., Чехарина Е.А. Злокачественные опухоли мягких тканей конечностей и туловища. — JL: “Медицина”. - 1968. - С.169-186.
4. Тюряева Е.И., Колосов A.E., Кочнев В.А., Заголь-ская В.Н. Редкое наблюдение малигнизации гиган-
токлеточной опухоли сухожильных влагалищ кисти. - Вестн. хир. — 1994. - №1-2. - С.57-58.
5. Усольцева Е.В., Машкара К.И. Хирургия заболеваний и повреждений кисти. - J1.: “Медицина”. -1988. -С.163-178.
6. Galloway J.D., Broders А.С., Chormley R.K. Arch. Surg., 1940. - N.3. - P.485-538.
7. Wright C.J., Brit. J. Surg., 1951. - Vol.38. - N.151. -P.257-271.
8. Vincent R.G., Ann. Surg., 1960. - Vol. 152. - N.5. -P.777-788.
© ЖИТНИЦКИЙ P.E., ГОРБУНОВ А.К., ЯЩЕНКО А.Л. -УДК 616.833.6-009.7-07-08
КОКЦИГОДИНИЯ - ТУННЕЛЬНЫЙ СИНДРОМ n. Pudendus: ДИАГНОСТИКА И ЛЕЧЕНИЕ
P.E. Житницкий, А.К. Горбунов, A.A. Ященко.
(Иркутская областная клиническая больница, гл. врач - к.м.н. П.Е. Дудин)
Резюме. Приводятся данные, свидетельствующие о том, что кокцигодиния, которая по мнению большинства авторов связана с травмой, лишь в небольшой части случаев имеет травматический генез, а чаще обусловлена формированием туннельного синдрома и является проявлением пудендонейропатии. Рассматривается методика диагностики. Приводятся данные об эффективности при этой патологии иглорефлексотерапии и мануальной терапии, как наименее травматичных методов лечения.
Кокцигодиния - боли в области копчика, ир-радиирующие в ягодицы, нижнюю часть крестца, в промежность и усиливающиеся в положении сидя, а также при вставании. Ряд авторов связывают кокцигодинию с травмой [1,7]. В связи с тем, что большинство больных с кокцигодинией до обращения к нам длительное время наблюдались у различных специалистов (гинеколога, проктолога, хирурга) без установленного диагноза, нами было предпринято исследование, направленное на выяснение этиопатогенеза болевого синдрома и поиск путей оптимизации терапии этой патологии.
За период с 1997 по 2000 годы наблюдались 27 больных кокцигодинией: женщин 25, мужчин -
2, в возрасте до 30 лет - 6, от 31 до 50 - 16, старше 50 - 5. Лишь у 8 больных в анамнезе имела место травма - падение на ягодицы, которая обусловливала острые боли в области копчика в течение 2-3 недель с последующим формированием
стойкого, типичного для кокцигодинии, болевого синдрома. У некоторых больных из этой группы кокцигодиния развивалась после светлого (безболезненного) промежутка от нескольких недель до нескольких месяцев. Лишь у 3 из 27 обследованных на рентгенограммах определялась незначительная дислокация копчика кпереди, уменьшение угла крестцово-копчикового сочленения. У остальных - рентгенологические изменения не выявлены.
При пальцевом исследовании per rectum пальпация копчика и крестцово-копчикового сочленения была малоболезненна или совсем безболезненна. При более глубоком пальцевом исследовании определялась резкая болезненность в области spina ischiadica с одной из сторон, реже с обеих сторон. У большинства больных боли иррадииро-вали в нижние отделы ягодиц, дистальные отделы крестца, в промежность.
Синовиальная саркома
Синовиальная саркома (синоним: злокачественная синовиома, злокачественная опухоль, возникающая из синовиальной оболочки суставов, сухожильных влагалищ, слизистых сумок и фасций. Одна из самых частых злокачественных опухолей мягких тканей, встречается в любом возрасте, но преимущественно у лиц до 50 лет; мужчины и женщины заболевают с одинаковой частотой. Излюбленная локализация - нижние и верхние конечности, чаще в области коленного сустава, стопы, бедра, голени. Новообразование в области больших суставов имеет форму узла округлой формы, четко отграничено от окружающих тканей; при локализации в кисте, стопе или предплечье определяется как инфильтрат, расположенный вдоль сухожилий и прорастающий в соседние ткани; довольно часто распространяется на кость и разрушает ее. Узлы опухоли связаны с капсулой сустава, слизистыми сумками или сухожильными влагалищами; иногда эта связь может быть на ограниченном участке. В полость сустава опухоль прорастает редко. Ткань узла синовиальной саркомы - сероватая, волокнистая; консистенция может быть как плотной (при отложении солей кальция), так и мягкой. Внутри образования часто определяют мелкие кисты; при расположении в области крупных суставов нередки и крупные кисты. Микроструктура крайне полиморфна.
Морфологически различают два типа: волокнистую и целлюлярную форму синовиальной саркомы. Клинически выявлению описанной опухоли могут предшествовать боли, что отличает синовиальную саркому от большинства других опухолей мягких тканей. При пальпации выявляют опухоль плотной или мягкой консистенции, расположенную вблизи суставов или костей конечностей. Новообразование - высоко злокачественное, метастазы выявляются вскоре после лечения; опухоль дает гематогенные метастазы в легкие и лимфогенные - в регионарные лимфатические узлы.
При ультразвуковом исследовании выявляется обьемное образование неправильной продолговатой формы с четким неровным контуром. Может определяться прорастание через межкостную перегородку, а также прорастание в прилежащие кости. Структура опухоли неоднородная, с отражениями пониженной интенсивности, с участками, содержащими жидкость; позади образования может определяться дистальное усиление эха.
В отличие от доброкачественной синовиомы или ксантомы существует синовиальная саркома. Течение ее весьма злокачественное.
Анализируя мировую литературу, мы убеждаемся, что в тех случаях, когда авторы приводят истории болезни своих больных, у большинства из них были метастазы в различные органы, и многие больные умирали ранее 5 лет после лечения.
Синовиальная саркома развивается длительно и протекает вначале весьма «мирно». Опухоль заключена в капсулу и на первый взгляд производит впечатление доброкачественного новообразования или «бурсита». Иногда проходит 2—3 года до распознавания истинной ее природы. Она малоболезненна, не ограничивает заметно функции сустава, плотная на ощупь, малоподвижна, так как прочно спаяна с капсулой сустава. При артропневмографии воздух не проникает в опухоль. Пункцией не удается получить жидкость; из размягченного участка опухоли добывают немного желатинозного или слегка геморрагического содержимого.
При микроскопическом исследовании выявляются три основных признака, по которым опухоль относится к синовиомам:
1) обнаружение участков ткани, ограниченных кубовидными клетками, участков с многослойными клетками и полей, ограниченных соединительной тканью;
2) наличие скоплений клеток, форма которых варьирует от овальных или полигональных до ворсинчатых образований, проникающих в пространство; они напоминают железистую ткань;
3) основную строму выстилают клетки, подобные эпителиальным, которые лежат в ткани с вытянутыми клетками, имеющими малые темные ядра.
Морфологические данные. Макроскопически опухоль представляет собой узловатые, плотные образования светло-серого цвета, различных размеров. На разрезе встречаются желтоватые очажки, иногда с мелкими полостями, выполненными мукоидно-желатинозным содержимым. Гистологическое строение опухоли отличается большим разнообразием. Иногда она построена из округлых и вытянутых клеток, расположенных среди тяжей рыхлой молодой соединительной ткани, богатой сосудистой сетью. Наблюдаются скопления зерен гемосидерина. В других случаях она имеет альвеолярно-солидное строение. Клетки часто кубической и цилиндрической формы, весьма сходные с клетками эпителия. Среди солидных клеточных комплексов много полостей и щелей с ворсинчатыми выростами, также окаймленных сочными клетками. Нередко в этих опухолях и крупные гигантские клетки с множеством ядер.
По гистологической картине такие синовиальные опухоли иногда могут ошибочно приниматься за раковые.
Диагноз нельзя поставить даже во время операции. Пункционная биопсия ненадежна. Лишь биопсия соответствующих кусочков ткани, добытой во время операции, позволяет поставить окончательный диагноз после тщательного изучения многих полей гистологических срезов.
Прогноз неблагоприятный: большинство больных умирают ранее о лет после операции или рентгенотерапии.
Лечение. Иссечение опухоли приводит к рецидиву. Синовэктомия с иссечением опухоли также ненадежна.
Нами сделана операция широкой резекции метафизарно-эпифизарных концов бедра и большеберцовой кости с синовэктомией и экстирпацией заднего с выделением сосудисто-нервного пучка и передне-медиального с резекцией суставной части надколенника. Либо ампутация бедра при рецедивах.
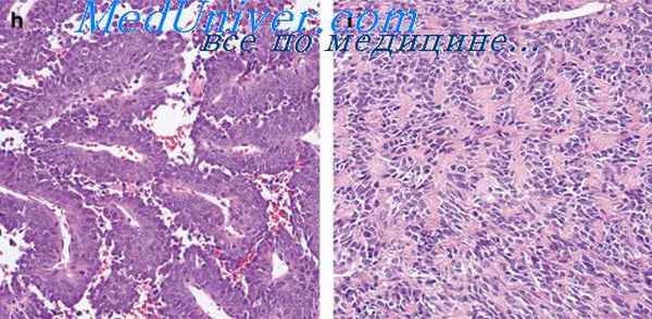
Гистология синовиальной саркомы. Доброкачественная синовиома.
Гистология синовиальной саркомы. Доброкачественная синовиома.
Микроскопически опухоль характеризуется пестротой структуры, различной даже в разных участках одного узла. Содержимое щелей, полостей содержит кислые гликозоаминогликаны, оно ШИК-положительио, дает позитивную реакцию при окраске альциаиовым синим. Отмечается, что щели и полости в опухоли могут быть выстланы синовиоцитами различной формы иногда они уплощены и трудно отличимы от клеток эндотелия, иногда напоминают призматический эпителий, «то создает структуры, трудно отличимые от аденокарциномы, особенно тогда, когда при такой выстилке щели превращаются в аденоподобные трубочки, четко отграниченные от бедной клетками саркомоподобной стромы, которая часто бывает скудной. Важно подчеркнуть в этих случаях отсутствие истинных базальных мембран. Эпителиоидные клетки не всегда только выстилают щели, но могут образовывать солидные пласты, гирляндоподобные структуры, также заключенные в саркомоподобвую строму. Как и в истинном эпителии, в подобных солидных образованиях волокнистые структуры между клетками отсутствуют. Однако между эпителиоидными и саркомоподобными клетками и в этих случаях можно найти переходные элементы.
Подчеркивают обилие в некоторых опухолях гигантских клеток, напоминающих остеокласты, которые особенно часто граничат со щелями или вступают в состав выстилающих их эпителиоподобных клеток О. Geiler (1961), Т. П. Виноградова (1976) подобные опухоли выделяли в особый тип синовиальных сарком. Этой же точки зрения придерживались и мы в 1-м и 2-м изданиях данного руководства.
В настоящее время большинство исследователей отказались от этой точки зрения, считая, что гигантские клетки в синовиальных саркомах не служат показателем особых свойств этих опухолей по сравнению с остальными их типами, являясь аналогом изменений синовиальных клеток в нормальных условиях. Наличие в опухолях гемосидероза, липофагов, миксоматозных, хондроидных, остеогенных очагов является свидетельством происхождения синовиальных сарком из плюрипотентного мезенхимного матрикса. Подчеркивают частоту образования в опухолях и отложения извести, что является одним из диагностических признаков синовиальной саркомы.
Гистологический диагноз синовиальной саркомы и дифференциация ее от других сарком часто очень сложны. Особенно это касается маленьких фрагментов ткани, удаляемых при биопсии,— в этих случаях, не имея данных о структуре опухоли в других участках, часто устанавливают диагноз фибросаркомы, недифференцированной саркомы и даже железистого рака. По тем же соображениям игловая и трепанобиопсия могут не дать точного заключения.

Следует еще раз повторить, что микроскопический диагноз синовиальной саркомы — это диагноз структурный, т. е. гистологический. Он бывает достаточно точным тогда, когда в исследованном материале очевиден «синовиальный принцип» строения опухоли, о котором говорилось ранее.
Синовиальную саркому следует дифференцировать от доброкачественной синовиомы, элителноидной саркомы, светлоклеточиой саркомы сухожилий, альвеолярной саркомы мягких тканей, мезотелиомы гемангиоперицнтомы, гемангиоэндотелиомы, фибросаркомы. Подчеркивают относительную диагностическую ценность электронно-микроскопического исследования, необходимость учета гистохимических исследований гомогенных масс секрета, выполняющего щели и полости в опухоли (см выше), а также значение иммуногистохимических данных о структуре цитоскелета со специфическими антисыворотками. Имеет также значение н выявление кератина, который обнаруживается только в эпителиоидных клетках синовиальной саркомы и иногда в некоторых клетках монофазной веретеноклеточной саркомы; в саркомах другого генеза кератин не обнаруживают в соответствии с приведенной выше классификацией Canoso среди злокачественных опухолей синовиальных структур в разделе опухолей спорного и неясного генеза описывает адамантиному длинных трубчатых костей, светлоклеточную саркому сухожилий и апоневрозов и эпителиоидную саркому. Эти опухоли мы опишем в соответствии с их местом в Международной классификации опухолей ВОЗ.
Доброкачественная синовиома.
Существование доброкачественных синовиом обсуждается. Большинство авторов склоняется к тому, что все синовномы являются злокачественными независимо от степени зрелости. В литературе описаны единичные случаи опухолей, расцененных как доброкачественные синовиомы. Эти опухоли локализуются главным образом в области коленного сустава и представляют собой небольшие плотные узелки. Микроскопически они характеризуются теми же морфологическими структурами, что и злокачественные синовиомы, но при высокой степени зрелости клеток и промежуточного вещества. В некоторых опубликованных наблюдениях рецидивы и метастазы через 5—6 лет после операции не отмечены. Морфологические и биологические черты сииовиом часто не совпадают, н морфологически зрелая опухоль может оказаться клинически злокачественной. Такое представление о доброкачественной синовиоме отражено в Классификации опухолей мягких тканей ВОЗ (1969). Описываемые в качестве доброкачественных сииовиом узловатые образования расценивают как структуры типа виллезиого пигментного синовита или узловатого гигантоклеточного синовита («гигантома сухожилия»).
Иной точки зрения придерживается G Gailer (1961, 1984) и некоторые другие исследователи, которые настаивают на существовании доброкачественных сииовиом и, исходя нз классификации Canoso, выделяют две их разновидности доброкачественную синовиому, свободную от гигантских клеток, и доброкачественную гигантоклеточную синовиому, которая в классификации опухолей мягких тканей ВОЗ расценивается как нодулярный теносиновит и не относится к бластомам.
В связи с дискуссионностью вопроса целесообразно отойти от принятого нами принципа точного следования классификации опухолей ВОЗ и рассмотреть данный вопрос в главе, посвященной опухолям.
А. Р. Stout и R. Lattes (1967) включили в одно из своих последних изданий доброкачественную синовиому (синоним — фиброэндотелиома сустава) с оговоркой, что, возможно, это образование не является истинной бластомой.
Lauche (1947, 194S) выделил из числа синовиальных сарком их «вызревающий» вариант, но из-за частых рецидивов отиес его к полузлокачественным опухолям.
G. Geiler (1961, 1984) детально описывает оба вида доброкачественных синовиом, фигурирующих в классификации Р. Canoso, подчеркивая, что в них четко прослеживается «синовиальный» принцип строения, аналогичный тому, который характерен для злокачественных синовиом. Говоря о доброкачественной синовиоме, свободной от гигантских клеток, автор приводит краткое макроописание образования как плотного узла окруженного четкой капсулой, размером со сливу, локализующегося на конечностях вблизи суставов (область колена, предплечья, пальцев кистей и стоп). Микроскопически оно характеризовалось бифазной структурой с наличием фибробластоподобных и эпителиоподобных, сходных с синовиоцитами клеток. Фибробластоподобные клетки образуют как бы строму, в которой располагались в небольшом количестве солидные тяжи эпителиоидиых клеток и щели, выстланные такими же клетками, последние могут образовывать трубочки, симулирующие аденоматозные, иногда разветвленные структуры; они всегда лишены базальных мембран, отмечаются переходные от веретенообразных к элителиоподобным клеткам. Часто встречались очаги гиалиноза стромы, миксоматоза, единичные гигантские клетки. Как следует из этого описания, действительно имеется большое сходство со структурой синовиальной саркомы Исходя из этого, G. Geiler подчеркивает, что оценивать биологические свойства процесса следует на основании не только морфологии, но и клинического течения. Отмечены случаи, когда опухоль, представленная зрелыми структурами, рецидивировала и подвергалась «раздифференцировке». Однако в большинстве описанных, в общем немногочисленных, случаев этого не происходило при сроках наблюдения 5—9 лет. Учитывая изложенное, G. Geiler рекомендует эту опухоль называть не «доброкачественной», а «зрелой» и высказывается о ее доброкачественности ие ранее 5-летиего срока наблюдения.
Информация на сайте подлежит консультации лечащим врачом и не заменяет очной консультации с ним.
См. подробнее в пользовательском соглашении.
Синовиальная саркома суставов: характеристика, клиника, диагностика и лечение
В онкологической практике злокачественные новообразования мягких тканей встречаются достаточно часто. Саркомы мягких тканей включают в себя злокачественные опухоли, локализующихся в синовиальных оболочках, жировой, мышечной, эпидермоидной тканей. Среди подобного рода сарком примерно в 5-10 % случаев встречается синовиальная саркома, которая по-другому называется злокачественной синовиомой или синовиобластической саркомой.
Что за патология
Согласно определению ВОЗ, синовиальная саркома представляет собой мезенхимальное веретеноклеточное злокачественное новообразование, в котором может присутствовать тканевой компонент с эпителиальной дифференцировкой и с наличием специфической хромосомной транслокации. Впервые этот термин появился ещё в 1895 году: он был введён немецким врачом Г. Симоном. С тех пор было описано несколько сотен случаев, которые вывели синовиальную саркому в самостоятельную нозологию.
Несмотря на своё название, происхождение злокачественной синовиомы из элементов синовиальной оболочки не было подтверждено. Есть мнение, что эта опухоль является вариантом первичной карциносаркомы. Кто-то из учёных считает, что она происходит из незрелых мезенхимальных клеток. Есть даже сведения, что опухоль может иметь нейроэктодермальную природу происхождения (из-за сходства экспрессии множества генов синовиальной саркомы со злокачественной опухолью, происходящей из оболочек нервных волокон). Как бы то ни было, исследования происхождения клеток этого новообразования продолжаются, а в классификации ВОЗ оно находится в разделе опухолей с неясной тканевой дифференцировкой.
Этиология и патологическая анатомия
Этиологические факторы синовиальной саркомы, как почти всех онкологических заболеваний, до конца не ясны. В качестве предполагаемых причин возникновения подобного рода сарком описываются предраковые состояния (шваннома, дисплазия прилежащих к опухоли тканей), постоянная сильная травматизация суставов, наличие инородных тел.
При микроскопическом исследовании биоптата типичной находкой будут веретенообразные клетки с железистоподобными структурами. По своим морфологическим характеристикам злокачественная синовиома чрезвычайно разнообразна: под микроскопом между малодифференцированными клетками округлой формы (или напоминающих эпителий) можно увидеть щели или полости, которые заполнены слизеподобными структурами. При преобладании сосочковых элементов наподобие синовиальных ворсинок, опухоль относят к волокнистой форме. Новообразование может иметь много железистых клеток, и тогда его называют целлюлярной синовиальной саркомой. Если же рассматривать данные ВОЗ, то её эксперты разделяют данную опухоль на монофазный веретенообразный и бифазный гистологические субтипы. Определение точного морфологического варианта новообразования имеет важное значение для дальнейшего прогноза.
Локализация и эпидемиология опухоли
Синовиальная саркома входит в число наиболее часто встречаемых злокачественных новообразований мягких тканей среди взрослого населения, а у детей она находится на втором месте (по встречаемости) после рабдомиосаркомы. Чаще опухоль обнаруживается у молодых людей в возрасте от 15 до 35 лет, реже — у пациентов до 50 лет. После этого возрастного порога она практически не встречается. Отмечается незначительное преобладание опухоли у мужчин.
Излюбленное место локализации синовиальной саркомы — мягкие ткани конечностей, причём в области суставов саркома локализуется в 40 % случаев. Наиболее часто поражается коленный сустав (30 % от всех суставных локализаций), затем — голеностопное сочленение, тазобедренный сустав, совсем редко — в суставах верхних конечностей. В большинстве случаев метастазы синовиомы (её злокачественной формы) обнаруживают в лёгких (60-80 %), в регионарных
лимфатических узлах (до 40 %), реже — в костях. Метастазирование опухоли происходит лимфогенным путём.
Клинические проявления
Симптоматика синовиальной саркомы начинается с возникновения болезненности в области поражённого сустава или мягких тканей. Если опухоль плотная, имеет кальцификаты, то болевой синдром более выражен, а при кистозном характере боль не столь заметна. При прогрессировании опухоли и вовлечении в онкологический процесс окружающих тканей (сосудов, синовиальных оболочек, костной ткани), боль нарастает. Она сопровождается ограничением объёма как активных, так и пассивных движений поражённого сустава.
При пальпации определяется плотное или мягкое (в зависимости от строения) образование, иногда без чётких границ. Диаметр опухоли варьирует в широких пределах: от 2-3 до 20 см. Довольно быстро нарастает общая симптоматика, характерная для ракового поражения любой локализации и генеза: периодическое повышение температуры тела, чаще до субфебрильных и фебрильных цифр, недомогание, слабость, потеря аппетита, снижение веса.

Саркома коленного сустава
Одним из самых первых и нередко главенствующих признаков саркомы коленного сустава является локальная боль. При быстром росте опухоли (а злокачественное течение саркомы чаще всего агрессивное) появляется деформация коленного сустава, которую можно различить визуально: появление бугра, покраснение, затем синюшность кожных покровов над местом поражения.
Нарушение функциональности усиливается по мере прогрессирования опухоли: снижается объём движений, человек начинает прихрамывать. Ограничение двигательной активности приносит только временное облегчение. Для саркомы характерен постоянный характер боли, особенно ночью. По мере охвата злокачественным процессом окружающих тканей, нарастает отёк, который часто «стекает» вниз по ходу кровеносных, лимфатических сосудов и нервов. Усиливающийся болевой синдром и невозможность купирования его ненаркотическими анальгетиками свидетельствуют о росте опухоли.
Саркома голеностопного сустава
По своим проявлениям данная локализация злокачественного процесса схожа с саркомой коленного сустава. Основными признаками являются боль, которая может иррадиировать в стопу и пальцы ног, а также быстрая потеря опорной функции поражённой нижней конечности. Цвет кожных покровов в области растущей опухоли изменяется, нарушаются трофические процессы, могут появиться некротические изъязвления.
Саркома локтевого сустава
Злокачественное новообразование данной локализации чаще всего появляется в процессе метастазирования других сарком. В начале заболевания постепенно развивается болевой синдром, можно визуализировать и пропальпировать припухлость. Из-за того, что в кубитальной области находится мощный сосудисто-нервный пучок, боль быстро приобретает острый, жгучий характер. При вовлечении в процесс сухожилий и синовиальной оболочки капсулы, нарушается двигательная функция локтевого сустава, затем нарастает онемение конечности и пальцев при поражении нервных волокон. Вовлечение в процесс костной ткани из-за агрессивности опухолевого роста ведёт за собой частое возникновение патологических переломов.
Саркома плечевого сустава
Данное образование также можно отнести к злокачественным опухолям вторичного генеза. Общая картина рака, локализующегося в плечевом суставе, аналогична вышеописанным изменениям: боль при движении рукой и в покое, припухлость, нарастающее онемение, жжение, быстрота течения и агрессивность злокачественного процесса.
Саркома мягких тканей
Довольно редко синовиальная саркома возникает изолированно в мягких тканях, причём чаще в этих случаях поражаются мышцы, жировая ткань. Данный вид саркомы характеризуется быстрым течением, агрессивностью процесса, неблагоприятным прогнозом и чрезвычайно низкой выживаемостью пациентов после проведения противоопухолевой терапии.
Диагностические методы
Поскольку начало синовиальной саркомы может маскироваться под ревматологические заболевания суставов, важно провести полный комплекс инструментальных и лабораторных исследований. Методы лучевой диагностики (рентгенологическое исследование минимум в двух проекциях и компьютерная томография) позволяют выявить очаги опухолевидного образования, наличие кальцификатов, которые часто располагаются в центральной части саркомы при её длительном течении. Во многих случаях на рентгенологических снимках обнаруживаются деструктивные процессы в прилежащих костных тканях.
Ангиография показывает патологическое разрастание сосудов в области поражения. Радиоизотопное исследование со стронцием может помочь определить точную локализацию новообразования и его границы, что имеет значение для определения объёма органосохраняющей операции.
Биопсия очага поражения поможет дифференцировать синовиальную саркому не только от других опухолей и неонкологических заболеваний, но и определить гистологический подтип рака.
Лечение синовиальной саркомы
Основным методом лечения опухоли остаётся радикальное хирургическое удаление. При этом проводится широкое абластичное иссечение с захватом здоровых тканей вокруг новообразования на протяжении минимум 2-4 см. При обширных поражениях часто приходится прибегать к экзартикуляции и ампутации конечностей. По мере расширения химиотерапии большее распространение получает абластичное удаление с частичным сохранением сосудов, нервов и сухожилий, особенно если опухоль располагается в области ладони и лучезапястного сустава, а пациенты отказываются от ампутации.
Лучевая терапия, проводимая в послеоперационном периоде, показывает лучшие результаты в плане снижения риска рецидивов, особенно при лечении прогностически неблагоприятной монофазной синовиомы. Химиотерапия также показана в послеоперационном периоде, однако её эффективность невелика при неоперабельных опухолях.
Прогноз
Для определения прогноза заболевания и выживаемости пациентов с саркомой используются несколько критериев:
- Клинический. 10-летняя выживаемость наблюдается почти в 90% случаев у пациентов моложе 25 лет, а при возникновении опухоли после 40 лет, этот показатель снижается до 25%. Также стоит оценивать размер: если первичная опухоль имеет размер до 5 см, то 5-летняя выживаемость достигает 90%, если более 5 см, то 5-летний рубеж переживают до 40% пациентов. Неблагоприятными клиническими факторами может быть мужской пол, глубокая локализация опухоли в мягких тканях, особенно нижней конечности.
- Биохимический. О высоком риске метастазирования и появления рецидивов синовиальной саркомы может свидетельствовать высокий уровень в крови эндостатина и VEGF (сосудистых факторов).
- Гистологический. По данным ряда авторов, бифазный гистологический тип более благоприятен в плане течения заболевания и чувствительности к лучевой и химиотерапии.
В «Евроонко» лечением синовиальной саркомы занимаются опытные врачи-онкологи. Благодаря использованию новейшего оборудования и современных стандартов лечения, в каждом случае нам удается достигать максимально возможного результата.
Типы сарком мягких тканей
Представляем вашему вниманию таблицу, в которой перечислены типы сарком мягких тканей с указанием ткани, из которой они развиваются, локализации, степени риска метастазирования и перечислением органов, в которых возможны метастазы при той или иной саркоме.
Здесь же вы найдёте галерею с примерами разных типов мягкотканных сарком из практики нашего Бюро. В ней можно увидеть внешний вид некоторых опухолей, гистологические и цитологические материалы. Кликните в таблице по ссылке « примеры » у интересующего вас типа саркомы, чтобы быстро перейти к его изображениям в галерее.
Под саркомами мягких тканей подразумевают группу опухолей, которые образуются в тканях мезенхимального происхождения (жировая ткань, гладкие и скелетные мышцы, кровеносные и лимфатические сосуды и др.).
Часто бывает затруднительно установить конкретный тип саркомы, поэтому для постановки диагноза требуется биопсия. Анализы крови, проведение рентгенографических и томографических исследований помогают оценить прогресс заболевания.
| Происхождение ткани | Доброкачественная опухоль | Злокачественная опухоль | Локализация | Риск метастазирования | Органы метастазирования* |
| Адипозная (жировая) ткань | Липома примеры | Липосаркома примеры | Конечности, брюшная или грудная полости | От слабого до умеренного | Лёгкие, печень, селезёнка, кость |
| Фиброзная ткань | Фиброма примеры | Фибросаркома примеры | Конечности, ротовая полость | От слабого до умеренного | Лёгкие |
| Гистиоцитарные клетки | Гистиоцитома примеры | Гистиоцитарная саркома примеры | Конечности | От умеренного до высокого | Лимфатические узлы, лёгкие, селезёнка, печень, почки |
| Лимфатические сосуды | Лимфангиома | Лимфангиосаркома | Конечности | Умеренный | Лимфатические узлы |
| Кровеносные сосуды | Гемангиома примеры | Гемангиосаркома примеры | Селезёнка, сердце, печень, мышцы, кости, почки | Высокий | Лёгкие, печень, лимфатические узлы, отдалённые участки кожи |
| Нервная ткань | Шваннома примеры | Злокачественная шваннома примеры | Конечности | От слабого до умеренного | Лёгкие |
| Гладкие мышцы | Лейомиома примеры | Лейомиосаркома примеры | Матка, ЖКТ, мочевой пузырь, кожа, конечности | От слабого до умеренного | Лёгкие, лимфатические узлы |
| Скелетные мышцы | Рабдомиома | Рабдомиосаркома примеры | Язык, гортань, сердце, мочевой пузырь | От слабого до умеренного | Лёгкие, печень, селезёнка, почки |
| Синовиальная ткань | Синовиома примеры | Синовиальная саркома | Суставы | От умеренного до высокого | Лимфатические узлы, лёгкие |
| Миксоидная ткань | Миксома | Миксосаркома примеры | Конечности, суставы | От слабого до умеренного | Лёгкие |
* — возможно, метастазирование опухоли и в другие органы, не указанные выше.
Читайте также:
