Грануломатозный амебный энцефалит. Возбудитель амебного энцефалита
Добавил пользователь Евгений Кузнецов Обновлено: 13.12.2025
Грануломатозный амебный энцефалит. Возбудитель амебного энцефалита
Грануломатозный амебный энцефалит (ГАмЭ) — протозойное заболевание, характеризующееся прогрессирующим грануломатозно-деструктивным поражением головного мозга, возникающее преимущественно у иммунокомпрометированных людей вследствие инвазии свободноживущими амебами рода Acanthamoeba viBalamuthia mandrillaris.
В. mandrillaris были впервые выделены из воды природных водоемов в районе Телса (Оклахома.США). Первые случаи ГАмЭ, вызванного этими амебами, описаны в 1990 г. G.S. Visvesvara и A.J. Martinez. ГАмЭ акантамебной природы впервые описаны в1995 г, J.P. Sison и сотр., Lowichik и J.D. Siegel среди умственно отсталых лиц в США.
Возбудители — свободноживущие амебы рода Acanthamoeba: A.castellanii, A, culbertsoni, A.healyi (A.astronyxis), A. polyphaga, A. palestinensis, A. hatehetti, A.rhysodes, A. divionesis, а также Balamuthia mandrillaris, относятся к подпорядку Acanthopodina порядку Amoeba. Вегетативная стадия (трофозоит) Acanthamoeba имеет размеры 14-40 мкм, содержит 1 ядро с ядрышком, на плазматической мембране имеются тонкие гребешки. Цисты, диаметром 12-16 мкм, заключены в двойную оболочку с двумя порами.
Трофозоит Balamuthia mandrillaris имеет размеры около 30 (12-60) мкм, содержит 1 ядро. Цисты, диаметром 15 (6-30) мкм, имеют трехслойную оболочку. Акантамебы являются аэробами, размножаются при температуре 25-35 °С.

В естественных условиях Acanthamoeba и В.mandrillaris обитают в воде, почве и в воздухе в различных регионах мира. Простейшие часто выявляются в носоглотке здоровых людей.
Обнаружение серопозитивных результатов у населения различных регионов свидетельствует о широком распространении простейших.
Возбудители проникают в организм человека через кожу и слизистые оболочки при купании в открытых водоемах или при контакте с почвой. Наибольшей восприимчивостью к инвазии обладают умственно отсталые или психически больные лица, а также иммунокомпрометированные люди — больные сахарным диабетом, ВИЧ/СПИД, внутривенные потребители психоактивных веществ, хронические алкоголики, реципиенты трансплантатов костного мозга и других тканей, вольные, получающие противоопухолевые и иммуносупрессивные препараты. В редких случаях наблюдаются заболевания иммунокомпетентных лиц.
Инвазия распространена повсеместно. Случаи амебного энцефалита описаны в центральных и южных регионах США, в Центральной Америке, Южной Австралии, Новой Зеландии, странах Европы, Африки.
Описано менее 200 верифицированных случаев заболеваний, вызванных акантамебами и около 70 заболеваний, вызванных В. mandrillaris, из них почти половина — в США.
В месте внедрения Acanthamoeba нередко возникают торпидно развивающиеся воспалительные очаги (язвенные поражения кожи, синуситы, пневмония). Это позволяет предположить возможность гематогенной диссеминации простейших с их внедрением в головной мозг и другие органы (легкие, лимфатические узлы, кожу идр.).Наибольшие повреждения развиваются в головном мозге. В среднем мозге, стволе и в мозжечке образуются очаги грануломатозного воспаления, в которых обнаруживаются многоядерные клетки, скопление лимфоцитов, макрофагов. Вокруг гранулой определяются участки некроза ткани мозга. В периваскулярном пространстве выявляются трофозоиты и цисты амеб, что косвенно подтверждает гематогенное распространение возбудителей в ткани мозга.
При макроскопическом изучении определяется выраженный отек головного мозга, кровоизлияния в ткань мозга и мозговые оболочки, ущемление мозжечка. В генезе клеточных поражений большая роль отводится эффекту паразитарных протеаз и других цитолитических факторов и накоплению в цитоплазме клеток свободного кальция.
Инвазия В. mandhllaris развивается как среди иммунокомпрометированных, так и иммунокомпетентных лиц. В месте внедрения амеб часто формируются первичные воспалительные очаги, обеспечивающие в дальнейшем гематогенную диссеминацию паразитов. В ткани головного мозга возникают очаги подострого грануломатозного воспаления, в которых обнаруживаются скопления макрофагов, лимфоцитов, плазмоцитов, гигантских многоядерных клеток. Характерен ангиит с периваскулярной локализацией трофозоитов и цист. В процесс вовлекаются участки мозговых оболочек, прилегающие к очагу воспаления в ткани мозга.
- Вернуться в оглавление раздела "Микробиология."
Информация на сайте подлежит консультации лечащим врачом и не заменяет очной консультации с ним.
См. подробнее в пользовательском соглашении.
Гранулематозный амебный энцефалит
Гранулематозный амебный энцефалит – это очень редкая, как правило, смертельно опасная, подострая инфекция центральной нервной системы (ЦНС), вызванная видами рода Acanthamoeba у иммунологически "скомпрометированных" или ослабленных хозяев, или Balamuthia mandrillaris.
Микроорганизмы Acanthamoeba и Balamuthia mandrillaris присутствуют повсеместно в воде, почве и пыли. Заражение людей весьма вероятно, но инфекция редка. Инфекция ЦНС, вызванная Acanthamoeba, в основном встречается только у пациентов с иммунодефицитными состояниями или ослабленных по другим причинам, но B. mandrillaris может поражать также здоровых людей. В одном случае амёбного энцефалита, который имел место в Техасе, возбудителем стала Sappinia pedata.
Жизненный цикл Acanthamoeba включает в себя только 2 стадии: цисты и трофозоиты (инвазивная форма). Трофозоиты образуют устойчивые к эрадикации цисты с двойной стенкой. Считается, что путь проникновения – кожа или нижние респираторные пути, с последующим гематогенным распространением в ЦНС. Цисты и трофозоиты могут быть обнаружены в тканях инфицированных пациентов.
Симптомы гранулематозного амебнего энцефалита
У пациентов с гранулематозным амебным энцефалитом начало внезапное, часто с фокальными неврологическими проявлениями. Нарушение умственной деятельности, приступы судорог и головная боль – распространенное явление.
Представители семейства Acanthamoeba и B. mandrillaris могут также вызывать поражения кожи. У пациентов могут быть язвенные поражения кожи, а позже развивается неврологическая симптоматика. У некоторых пациентов со СПИДом диссеминированная инфекция Acanthamoeba поражает только кожу.
Выживание у пациентов с диссеминированым заболеванием или поражением центральной нервной системы (ЦНС) очень маловероятно; смерть обычно наступает между 7 и 120 днём после начала заболевания.
Диагностика гранулематозного амёбного энцефалита
КТ и/или МРТ с контрастным усилением головы
Анализ спинномозговой жидкости
Биопсия измененной кожи
Часто диагноз гранулематозного амёбного энцефалита является посмертным.
Диагностика инфекций, вызываемых Acanthamoeba
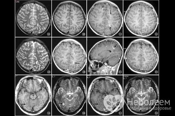
У пациентов с инфекцией мозга, вызванной Acanthamoeba, на КТ с контрастом и МРТ могут обнаруживаться одно или несколько объемных повреждений с кольцевидным усилением, наиболее часто в височной и теменной долях. В спинномозговой жидкости (СМЖ) – повышенное число лейкоцитов (преобладают лимфоциты), но трофозоиты наблюдаются редко. Эти исследования помогают исключить другие возможные причины, но обычно не способны подтвердить диагноз.
Видимые поражения кожи часто содержат амебы и должны быть подвергнуты биопсии; если возбудители обнаружены, то они должны быть подвергнуты тест-культуре и проверены на чувствительность к препаратам. При подозрении на гранулематозный амебный энцефалит следует принять во внимание проведение биопсии головного мозга, которая часто бывает положительной.
Исследования, основанные на тестировании методом полимеразной цепной реакции (ПЦР) доступны в специализированных консультативных лабораториях.
Диагностика инфекций, вызываемых B. mandrillaris
У пациентов с инфекцией мозга, вызванной B. mandrillaris на КТ и МРТ (оба исследования с контрастированием) обычно обнаруживаются множественные узловые повреждения с кольцевидным усилением. Кровоизлияния внутри повреждений являются важным рентгенологическим признаком. В СМЖ – повышенное число лейкоцитов (преобладают лимфоциты), уровень глюкозы в норме или понижен, а уровень белка часто значительно повышен. B. mandrillaris определяется редко. Микроскопическое исследование плюс ПЦР и иммуногистохимические методы могут идентифицировать B. mandrillaris при проведении биопсии очаговых поражений головного мозга или кожи.
Лечение гранулематозного амебного энцефалита
Комбинация лекарственных средств с милтефозином
Консультации с центрами по борьбе с заболеваниями и их профилактике (Centers for Disease Control and Prevention).
Другие препараты, которые были использованы в комбинации с милтефозином для лечения Acanthamoeba энцефалита (амебный энцефалит), включают пентамидин, сульфадиазин или триметоприм/сульфаметоксазол, флуцитозин, азол (флуконазол, итраконазол или вориконазол), рифампин и амфотерицин В.
При лечении энцефалита, вызванного B. mandrillaris, используются милтефозин в комбинации с другими препаратами, такими как флуцитозин, пентамидин, флуконазол и/или сульфадиазин в сочетании с азитромицином или кларитромицином, а также хирургическая резекция.
Случай энцефалита, вызванного Sappinia pedata, был успешно вылечен комбинацией азитромицина, пентамидина, итраконазола и флуцитозина с хирургической резекцией поражённых участков центральной нервной системы (ЦНС). Стоит также рассматривать добавление милтефозина в будущем.
Инфекции кожи и диссеминирования, вызванные видами Acanthamoeba или B. mandrillaris, обычно лечат теми же препаратами и хирургической обработкой кожних поражений.
Основные положения
Гранулематозный амёбный энцефалит – очень редкая, обычно смертельно опасная инфекция ЦНС.
Энцефалит, вызванный Acanthamoeba, в основном встречается только у пациентов с иммунодефицитными состояниями или ослабленных по другим причинам, но B. mandrillaris может поражать также здоровых людей.
Проводят КТ или МРТ, обе с контрастированием, выполняют исследование СМЖ для исключения других причин, а также с целью обнаружения амёб биопсию любых кожных поражений, если они присутствуют, или иногда мозга.
Для диагностического тестирования и оптимального лечения необходима консультация с ЦКЗ.
Лечение милтефозином в сочетании с другими препаратами (например, пентамидином, сульфадиазином, флуцитозином, азолами).
Гранулематозный амебный энцефалит - Granulomatous amoebic encephalitis

А: T2-взвешенный МРТ показывает разжиженную, некротическую ткань мозга в результате ГАЭ, вызванного Balamuthia mandrillaris
B: T1-взвешенный МРТ показывает расширение и добавление некротических участков через 4 дня
Гранулематозный амебный энцефалит (GAE) [1] редко, обычно со смертельным исходом, от подострого до хронического Центральная нервная система болезнь, вызванная некоторыми видами свободноживущих амебы [2] родов Акантамеба, Баламутия и Саппиния педата. [3] [4] Этот термин чаще всего используется с Акантамеба. В более современных источниках термин «баламутиевый амебный энцефалит» (БАЭ) обычно используется, когда Balamuthia mandrillaris это причина. [5] [6] [7] [8]
Содержание
Симптомы и признаки
GAE начинается медленно, с такими симптомами, как головная боль, тошнота, головокружение, раздражительность и субфебрильная температура. Симптомы со стороны ЦНС зависят от инфицированной части мозга. Изменения в поведении - важный признак. Другие признаки ЦНС могут включать: припадки, очаговые неврологические признаки, диплопия (двойное зрение), параличи черепных нервов, атаксия, замешательство и изменения личности. [9]
Некоторые симптомы могут имитировать глиома (особенно глиома ствола мозга ) или другие заболевания головного мозга, которые могут помешать своевременной диагностике. Симптомы вызваны воспалительным некроз ткани мозга, вызванной соединениями, высвобождаемыми из организмов. [ нужна цитата ]
Диагностика
Врачам может быть сложно диагностировать это состояние, потому что это редкое заболевание. [10] А биопсия головного мозга выявит наличие заражения патогенными амебами. При ГАЭ они проявляются в виде общего воспаления и редких гранулы. При микроскопическом исследовании инфильтраты амебного кисты и / или трофозоиты будет видно. [ нужна цитата ]
Акантамеба
Противогрибковые препараты включая кетоконазол, миконазол, 5-флуцитозин и пентамидин показали свою эффективность против Акантамеба in vitro. [11]
Баламутия
Как с Акантамебаинфицирование мозга этим организмом приводит к высокому уровню смертности. Однако сообщалось о некоторых выживших: [ нужна цитата ]
Два пациента выжили после успешного лечения с помощью терапии, состоящей из флуцитозин, пентамидин, флуконазол, сульфадиазин, и азитромицин. Тиоридазин или же трифлуоперазин также был дан. Успешное лечение в этих случаях объяснялось "осознанием Баламутия как возбудитель энцефалита и раннее начало противомикробной терапии ». [12]
В одном случае клоксациллин, цефтриаксон, и амфотерицин B были опробованы, но этот протокол лечения не оказался эффективным. [13]
Прогноз
Саппиния педата может вызвать GAE, однако только один случай GAE из-за S. pedata когда-либо сообщалось об инфекции, и пациент выжил без каких-либо отдаленных последствий. [14]
Гранулематозный амебный энцефалит - обычно подострая инфекция центральной нервной системы (ЦНС) с летальным исходом, вызванная микроорганизмом Acanthamoeba или Balamuthia mandrillaris у иммунологически «скомпроментированных» или ослабленных реципиентов.
Микроорганизмы Acanthamoeba и Balamuthia mandrillaris присутствуют повсеместно в воде, почве и пыли. Заражение людей весьма вероятно, но инфекция редка. Инфекция ЦНС, вызванная Acanthamoeba, в основном встречается только у пациентов с иммунодефицитными состояниями или ослабленных по другим причинам, но B. mandrillaris может поражать также здоровых людей. В одном случае амёбного энцефалита, который имел место в Техасе, возбудителем стала Sappinia pedata.
Жизненный цикл Acanthamoeba включает в себя только 2 стадии: цисты и трофозоиты (инвазивная форма). Трофозоиты образуют устойчивые к эрадикации цисты с двойной стенкой. Считается, что путь проникновения - кожа или нижние респираторные пути, с последующим гематогенным распространением в ЦНС. Цисты и трофозоиты могут быть обнаружены в тканях инфицированных пациентов.
У пациентов с гранулематозным амебным энцефалитом начало внезапное, часто с фокальными неврологическими проявлениями. Нарушение умственной деятельности, приступы судорог и головная боль - распространенное явление.
Представители семейства Acanthamoeba и B. mandrillaris могут также вызывать поражения кожи. У пациентов могут быть язвенные поражения кожи, а позже развивается неврологическая симптоматика. У некоторых пациентов со СПИДом диссеминированная инфекция Acanthamoeba поражает только кожу.
Выживание у пациентов с диссеминированым заболеванием или поражением центральной нервной системы (ЦНС) очень маловероятно; смерть обычно наступает между 7 и 120 днём после начала заболевания.
Диагностика
- КТ и/или МРТ с контрастным усилением головы
- Анализ спинномозговой жидкости
- Биопсия измененной кожи
Часто диагноз гранулематозного амёбного энцефалита является посмертным.
Диагностика инфекций, вызываемых Acanthamoeba
У пациентов с инфекцией мозга, вызванной Acanthamoeba, на КТ с контрастом и МРТ могут обнаруживаться одно или несколько объемных повреждений с кольцевидным усилением, наиболее часто в височной и теменной долях. В спинномозговой жидкости (СМЖ) - повышенное число лейкоцитов (преобладают лимфоциты), но трофозоиты наблюдаются редко. Эти исследования помогают исключить другие возможные причины, но обычно не способны подтвердить диагноз.
Видимые поражения кожи часто содержат амебы и должны быть подвергнуты биопсии; если возбудители обнаружены, то они должны быть подвергнуты тест-культуре и проверены на чувствительность к препаратам. При подозрении на гранулематозный амебный энцефалит следует принять во внимание проведение биопсии головного мозга, которая часто бывает положительной.
Исследование с помощью полимеразной цепной реакции (ПЦР) доступно в специализированных консультативных лабораториях.
Менингоэнцефалит
Менингоэнцефалитом называется воспалительный процесс, затрагивающий оболочки и вещество головного мозга. Несмотря на то, что мозг защищен гематоэнцефалическим барьером, который препятствует проникновению в него большинства чужеродных и токсичных веществ, часть патогенов все же способна проходить через него и вызывать воспаление. Менингоэнцефалит, с учетом важности затрагиваемой им анатомической области, является жизнеугрожающим заболеванием.

Менингоэнцефалит характеризуется, в первую очередь, головной болью и различными расстройствами нервной системы
Причины и факторы риска
Менингоэнцефалит чаще бывает инфекционным, но также может быть токсическим и аутоиммунным.
Инфекционное воспаление может быть спровоцировано вирусами, бактериями, грибками, простейшими и паразитами.
Наиболее частые инфекционные возбудители менингоэнцефалита:
Neisseria meningitidis, Listeria monocytogenes, Rickettsia rickettsii, Rickettsia conorii, Rickettsia africae, Ehrlichia chaffeensis, Mycoplasma pneumonia, Treponema pallidum, Mycobacterium tuberculosis, Borrelia burgdorferi, Leptospira.
Вирус Эпштейна – Барра, вирус простого герпеса типа 1 и типа 2, энтеровирус, вирус бешенства, вирус клещевого энцефалита, вирус лихорадки Западного Нила, вирус кори, вирус ветряной оспы, вирус паротита (свинки), ВИЧ.
Naegleria fowleri, Balamuthia mandrillaris, Sappinia Diploidea, Trypanosoma brucei, Toxoplasma gondii.
К инфекционным (паразитарным) возбудителям относятся Halicephalobus gingivalis из класса нематодов, возбудитель цистицеркоза (Taenia solium), эхинококк.
Заболевание может быть вызвано грибками Cryptococcus neoformans. Следует отметить, что менингоэнцефалит паразитарного и грибкового происхождения встречается крайне редко.
Об аутоиммунном воспалении говорят, когда причиной поражения тканей, в данном случае тканей мозга и его оболочек, служит атака собственной иммунной системы. Аутоиммунный энцефалит может быть вызван антителами к белкам амилоидного бета-пептида, антителами к рецептору анти-N-метил-D-аспартата (анти-NMDA; анти-NMDA-рецепторный энцефалит) и некоторыми другими.
Формы заболевания
Формы менингоэнцефалита определяются его этиологией: инфекционный, аутоиммунный, а также неуточненной этиологии. По характеру течения он может быть острым и подострым.
Некоторые виды заболевания имеют типичные и атипичные, т. е. необычные, формы. Атипичные формы обычно характеризуются еще более серьезным прогнозом, так как необычная клиническая картина затрудняет диагностику, а значит, и адекватное лечение.
Стадии заболевания
В течении менингоэнцефалита выделяют начало (появление первых признаков), разгар и исход. Инфекционные виды заболевания имеют еще и продромальную, или скрытую (латентную) стадию, которая может протекать бессимптомно или иметь незначительные и неспецифические клинические проявления. Латентный период, т. е. время от заражения до появления первых признаков болезни, может длиться от нескольких часов до нескольких месяцев в зависимости от этиологии. Разгар болезни характеризуется выраженной и прогрессирующей симптоматикой. Исходом может быть выздоровление или наступление смерти в том случае, если поражения мозга достигают критической отметки и затрагивают жизненно важные центры.
Некоторые виды болезни имеют характерные именно для них стадии. Например, в течении менингоэнцефалита выделяют три периода: стадию предвестников (соответствует продромальной), стадию возбуждения, стадию параличей.
Симптомы
Клиническая картина менингоэнцефалита в целом схожа с таковой при менингите. Общими признаками являются изменения личности, поведения, нарушения мышления, а также физические симптомы: интенсивная головная боль, боль в шее, ригидность мышц шеи, гиперчувствительность к световым и звуковым раздражителям, судороги. Повышение черепного давления в результате воспаления проявляется нарушением зрения, головокружением, тошнотой.
Рассмотрим подробнее клинические проявления на примерах некоторых видов видов менингоэнцефалита.
Клещевой менингоэнцефалит
Воспаление мозга и его оболочек, вызванное вирусной инфекцией, передаваемой клещами, начинается остро, с повышения температуры тела до лихорадочных значений (38 °С и выше), озноба, сильного недомогания, головной боли, сопровождающейся тошнотой и рвотой, боли и ломоты в мышцах и суставах. Для начальной стадии характерна гиперемия лица, шеи и верхней части груди, слизистых оболочек, инъекция склер (кровоизлияния в глаза), заторможенное сознание, которое позже может перейти в кому. Позже появляется слабость в мышцах, парестезии (покалывания, онемение), затем эти группы мышц подвергаются парезам и параличу.

Клещи являются переносчиками вирусных возбудителей энцефалита
Герпетический менингоэнцефалит
Имеет продромальный (скрытый) период, длящийся несколько дней, во время которого отмечается нарастающее недомогание: повышается температура тела, появляется головная боль, тошнота, иногда рвота, слабость, утомляемость. Отмечаются нарушения в поведении, которые постепенно прогрессируют, а также гиперчувствительность к внешним раздражителям, особенно к запахам, которая позже может трансформироваться в обонятельные галлюцинации. В некоторых случаях продромальный период отсутствует. Разгар болезни характеризуется локальной неврологической симптоматикой (односторонний паралич, парез), когнитивными нарушениями (расстройство мышления, памяти), заторможенностью, появлением судорог.
Менингоэнцефалит, вызванный вирусом бешенства
Начало заболевания характеризуется появлением тревожности, повышенной чувствительности к внешним раздражителям (световым, звуковым, тактильным), незначительным повышением температуры тела, нарушениями сна. Уменьшается аппетит, появляется сухость во рту, потливость, тахикардия, боль в горле при глотании, иногда тошнота. Обращают на себя внимания изменения в поведении, пациент становится нервным, грубым, раздражительным, избегает контактов с людьми.
На стадии возбуждения развивается неврологическая симптоматика, появляется фотофобия, экзофтальм, нарушения дыхания, повышается температура тела. Характерен симптом водобоязни: больной испытывает жажду, но при попытке напиться у него возникает сильный, весьма болезненный спазм мышц глотки и гортани, это явление нарастает, и позже спазм может вызвать один только вид воды, ее журчание или упоминание о ней. По мере прогрессирования болезни мучительные спазмы мышц глотки и гортани возникают в ответ на любые раздражители, даже на дуновение ветерка. Больным не хватает воздуха, и они начинают метаться, ища положение, в котором наступит облегчение, что окружающими и воспринимается как приступ бешенства. Больные могут испытывать галлюцинации, бредить. Если на этой стадии не наступает гибель, развивается стадия параличей, во время которой пациент становится неподвижным, перестает реагировать на свет. Из-за поражения тазовых нервов развивается недержание мочи и кала. Температура тела продолжает повышаться (42 °С). И хотя больному становится легче дышать и пить, этот этап заканчивается летальным исходом.
Менингококковый менингоэнцефалит
Поражение мозга и его оболочек, вызванное менингококками, характеризуется острым началом – повышением температуры до лихорадочных значений, интенсивной головной болью, повышенной чувствительностью к любым раздражителям. Характерной особенностью этого заболевания, отличающего его от менингоэнцефалита другой бактериальной этиологии, является то, что он часто сочетается с менингококцемией, т. е. циркуляцией менингококков в кровяном русле. Она сопровождается появлением кожных высыпаний, вначале розеолезных или розеолезно-пустулезных, а позже геморрагических, образующих довольно большие кроваво-красные или багровые пятна на коже неправильной формы.
Амебный менингоэнцефалит
Первичный амебный энцефалит вызывается неглерией Фоулера (Naegleria fowleri) – простейшим микроорганизмом, обитающим в водоемах с теплой пресной водой. Заражение происходит, когда амеба вместе с водой попадает в нос, а затем по обонятельному нерву – в головной мозг. Скрытый период длится от 2 до 6 дней, после чего появляются интенсивные головные боли, приступы головокружения, расстройства мышления. Характерным признаком является снижение или отсутствие вкуса и обоняния. Позже появляются судороги в виде эпилептоподобных припадков, галлюцинации, нарушение равновесия, атаксия (разобщенность действия разных групп мышц при сохраненной мышечной силе). Симптоматика нарастает, принимая угрожающий характер, вплоть до летального исхода, который обычно наступает в течение 10 дней.

Возбудитель первичного амебного энцефалита обитает в теплых водоемах
Другие виды амеб вызывают гранулематозный амебный менингоэнцефалит, который может протекать подостро, а в редких случаях способен принимать хронический характер со слабовыраженной симптоматикой. Однако чаще заболевание начинается внезапно с неврологической симптоматики или с поражений кожи (при инфицировании Balamuthia mandrillaris). Характерны судороги, головная боль, когнитивные нарушения. Симптомы постепенно нарастают до наступления летального исхода, который в случае острого течения болезни наступает за 7–10 дней, подострого – до 120 дней.
Анти-NMDA-рецепторный менингоэнцефалит
Чаще встречается у женщин, иногда связан с тератомой яичника (чем обусловлено одно из названий – острый ранний женский негерпетический энцефалит), нередко наблюдается у детей и подростков (с этим связано другое название этой болезни – острый негерпетический энцефалит молодых). Часто начинается с психиатрической симптоматики, что служит причиной диагностических ошибок (болезнь нередко принимается за острую шизофрению или другое психическое заболевание со схожими проявлениями), отмечается нарушение памяти, внимания. Позже появляются нарушения дыхания, повышение температуры, судороги, эпилептоподобные припадки и другая неврологическая симптоматика, что и служит указанием на непсихиатрический характер патологии. От других видов менингоэнцефалита отличается в целом благоприятным прогнозом.
Особенности протекания менингоэнцефалита у детей
Течение болезни у детей схоже с таковым у взрослых, возможно, отличие в более бурном течении заболевания, но и несколько лучшем прогнозе – у детей реже развиваются долгосрочные последствия, и они обычно носят транизторный характер.
Болезнь начинается остро, с высокой лихорадки (40-41 °С), сильной головной боли, которая не купируется анальгетиками и сопровождается тошнотой и рвотой, не приносящей облегчения. Ребенок может быть заторможенным или, напротив, возбужденным, маленькие дети могут монотонно кричать (менингеальный крик). Могут появиться галлюцинации, сопор, коматозное состояние. Выражен менингеальный синдром (ригидность мышц шеи, поза легавой собаки – на боку с закинутой назад головой и подтянутыми к животу ногами, положительные симптомы Кернига и Брудзинского, парестезии, болевые феномены). Появляются судороги, однако следует иметь в виду, что судороги у детей могут быть вызваны высокой температурой (так называемые фебрильные судороги), поэтому они не обязательно свидетельствуют о поражении мозга и должны оцениваться только в сочетании с другими симптомами.
Коревой и ветряночный менингоэнцефалит чаще встречаются у пациентов детского возраста, поскольку вызваны инфекциями, которым подвержены в основном дети.
Диагностика
Клиническая диагностика заключается в оценке психического статуса пациента, сознания, очаговой неврологической симптоматики. Определяется наличие гипертермии, судорог, проводятся функциональные тесты. При сборе анамнеза обращают внимание на недавние события: перенесенные вирусные заболевания, купание в водоемах с грязной водой, укусы клещей или животных, контакты с больными и т. д.
Инструментально-лабораторное обследование включает:
- пункцию спинного мозга с анализом ликвора, т. е. спинномозговой жидкости (может обнаруживаться примесь крови, плеоцитоз, иногда микробные агенты);
- серодиагностика (ПЦР, лабораторное исследование крови, позволяющее определить тип вирусного возбудителя);
- лабораторный анализ смывов носоглотки;
- лабораторное исследование крови на наличие специфических антител (при подозрении на аутоиммунный характер заболевания);
- магниторезонансная томография (позволяет оценить состояние головного мозга и оболочек);
- компьютерная томография (с целью дифференциальной диагностики);
- электроэнцефалограмма (оценка степени поражения мозга и его функций);
- биопсия мозга.

Гнойный менингоэнцефалит
Дифференциальная диагностика проводится с другими заболеваниями со схожей симптоматикой в зависимости от формы. Например, амебный менингоэнцефалит может имитировать злокачественную опухоль или абсцесс (гнойное расплавление участка) мозга, некоторые типы аутоиммунного воспаления схожи с проявлениями шизофрении или интоксикации наркотиками и т. д.
Важно, чтобы заболевание диагностировалось точно, с выявлением этиологического фактора, так как от этого зависит своевременность и эффективность лечения.
Лечение
Подозрение на менингоэнцефалит является поводом для госпитализации, лечение проводится в условиях стационара. Принимаются меры, направленные на поддержание жизненных функций, профилактику инфекционно-токсического шока.
Этиотропное лечение зависит от того, чем вызван менингоэнцефалит. При заболевании инфекционной этиологии используют антибиотики или противовирусные средства. Противовирусная терапия должна по возможности применяться как можно ранее.
Назначается симптоматическое лечение, конкретные лекарственные препараты зависят от проявлений болезни. При высокой температуре применяются жаропонижающие средства, при судорогах и припадках могут назначаться антиконвульсанты (противосудорожные, противоэпилептические препараты), при повышенном внутричерепном давлении – диуретики (мочегонные средства).
На стадии восстановления назначаются стимуляторы мозговой деятельности, витаминотерапия, физиотерапия.
Возможные осложнения и последствия
Последствия перенесенного менингоэнцефалита могут быть кратковременными и долгосрочными. И к первым, и ко вторым относится неврологический дефицит разной степени тяжести в зависимости от того, насколько пострадала мозговая ткань. Это могут быть нарушения слуха, зрения, координации, речи, походки, расстройства двигательных функций, парезы, параличи, личностные изменения. Чтобы минимизировать нанесенный мозгу ущерб, необходима быстрая и точная диагностика, своевременно и правильно оказанная медицинская помощь а после выздоровления, в большинстве случаев, неврологическая реабилитация, объем которой определяется индивидуально.
Прогноз
Прогноз в целом неблагоприятный, хотя и варьируется в зависимости от формы заболевания и состояния иммунной системы пациента. К плохим прогностическим признакам относится возникновение отека головного мозга, эпилептического статуса и тромбоцитопении. К хорошим – нормальные результаты энцефалограммы.
Некоторые виды крайне редко вызывают летальный исход, в большинстве случаев проходя бесследно – к таким можно отнести менингоэнцефалит у детей, вызванный вирусом ветряной оспы. Однако это скорее исключение, чем правило.
Менингоэнцефалит нередко приводит к тяжелому поражению мозговых тканей и заканчивается летальным исходом. Если пациента удается спасти, зачастую у него остается пожизненный неврологический дефицит, следствием которого является инвалидность.
Профилактика
Специфической и наиболее эффективной мерой профилактики служит вакцинация против некоторых форм менингоэнцефалита. Существуют вакцины против менингококка, возбудителя туберкулеза, вируса гриппа, кори, клещевого энцефалита и ряда других.
К неспецифическим методам профилактики относится поддержание защитных сил организма на высоком уровне, что включает в себя следование правилам здорового образа жизни, а также соблюдение правил санитарии и личной гигиены.
Источники
- Рубин Александр Николаевич, Щербук Юрий Александрович, Ляпин Андрей Петрович Осложнения гнойных менингоэнцефалитов у детей. 2015. Вестник хирургии имени И. И. Грекова;
- Бердиева Хилолабону Умаржановна Особенности течения менингоэнцефалита у детей. 2017. European research;
- Л. Т. Ералиева, Н. Б. Туханова, А. О. Момынкулова Осложнения и исходы вирусных менингоэнцефалитов у детей. 2013. Вестник Казахского Национального медицинского университета;
- Мельников Виктор Львович, Афтаева Лариса Николаевна, Горин Владимир Вадимович, Кубынин Андрей Владимирович Эпидемиологические и клинические особенности течения менингитов и менингоэнцефалитов. 2019. Вестник Пензенского государственного университета;
- Заводнова О.С. Течение и исходы позднего неонатального герпетического менингоэнцефалита. 2006. Педиатрия. Журнал им. Г. Н. Сперанского;
- А.А. Саранков Осложнения и исходы вирусных менингоэнцефалитов у детей. 2014. Молодежный сборник научных статей «Научные стремления».
Видео
Предлагаем к просмотру видеоролик по теме статьи.
Об авторе
Диплом по специальности «Педиатрия», Санкт-Петербургский государственный педиатрический медицинский университет
Интернатура по специальности «Эндокринология», Кировская государственная медицинская академия
Информация является обобщенной и предоставляется в ознакомительных целях. При первых признаках болезни обратитесь к врачу. Самолечение опасно для здоровья!
Читайте также:
