Хирургическая анатомия лобной пазухи
Добавил пользователь Владимир З. Обновлено: 13.12.2025
1. ТОПОГРАФИЧЕСКАЯ АНАТОМИЯ И ОПЕРАТИВНАЯ ХИРУРГИЯ ЛИЦА
Основными
областями лица
являются:
Передняя область лица:
- область глазницы;
- область носа;
- область рта;
- подбородочная
область.
Боковые области лица.
Особенности слоев
лица
(ассиметрично у 97%)
Кожа – тонкая, имеет
волосяные фолликулы,
сальные и потовые
железы.
Подкожная клетчатка
бок. областей имеет
соединительно-тканные
тяжи к собственной и
поверхн. фасциям.
Клетчаточные
пространства лица
Мышцы лица
Клетчаточные пространства
лица
Межмышечное клетчаточное
пространство - связь щечной
области с подглазничной;
Жировое тело щеки (Биша) –
связь с височным,
подглазничным, околоушным,
окологлоточным
пространством;
Межкрыловидное пространство (в
глубине крыловидной мышцы) –
связь с соседними областями;
Окологлоточное пространство –
связь с ложем околоушной
железы, дном полости рта;
Заглоточное пространство – с
ложем подчелюстной слюнной
железы, клетчаткой шеи и
парафарингеальным
пространством.
5. Лимфатическая система головы
Затылочные лимфатические узлы принимают Лиму
от затылочной области;
Сосцевидные лимфатические узлы принимают
лимфу от наружного уха, части теменной и височной
областей;
Поверхностные околоушные лимфатические узлы
принимают лимфу от лобной и части височной и
теменной областей;
Нижнеушные глубокие лифоузлы принимают лимфу
от наружного слухового прохода, барабанной
перепонки и ушной раковины;
Внутрижелезистые глубокие лимфоузлы
осуществляют отток от околоушной железы;
Щечный узел, передние, задние, нижние и верхние
поднижнечелюстные лимфатические узлы берут
лимфу от соответствующих отделов лица;
Подбородочные, язычные и заглоточные лимфоузлы
также обеспечивают забор лимфы от
соответствующих областей.
Иннервация:
двигательные ветви
лицевого нерва
(мимическая
мускулатура) – ветви:
височная, скуловая,
щечная, краевая и
шейная – большая
гусиная лапка.
В ложе околоушной
железы образует
сплетение –
plexus parotideus
Чувствительные
ветви тройничного
нерва
- глазничный нерв
- верхнечелюстной
нерв
- нижнечелюстной
нерв
8. Топография нервных окончаний на лице
Лицевой нерв – выходит из вещества
околоушной железы и радиально от козелка
уха отдает конечные веточки мимическим
мышцам (большая гусиная лапка);
Ветви тройничного нерва: надглазничный
– через верхнеглазничную вырезку на
уровне верхнеглазничного края;
Подглазничный – на 1 см ниже нижнего края
глазницы по среднезрачковой линии;
Подбородочный – из одноименного
отверстия на нижней челюсти.
Область глазницы
(по margo supra и
infraorbitalis)
- передний отдел
(веки);
- задний отдел
(глазное яблоко и
вспомогательный
аппарат).
Слезная железа расположена в
наружно-верхнем отделе глазницы.
В медиальном углу глаза расположено
слезное озеро, соединяющееся через
носослезный проток с нижним носовым
ходом.
Небные миндалины (лимфатическое
кольцо Пирогова-Вальдейера)
представлены шестью миндалинами:
двумя небными, язычной, непарной
глоточной ( у глоточного отверстия
евстахиевой трубы) и двумя трубными у
глоточных отверстий слуховых труб.
11. Патология области орбиты
Гнойное воспаление сальных желез века (ячмень);
Отек параорбитальной клетчатки (серд.
недостпаточность);
Гематома (флегмона) параорбитальной клетчатки;
Гн. процессы клетчатки в зоне медиальной стенки
глазницы приводят к воспалению решетчатого
лабиринта и флегмоне придаточных пазух носа
(гайморит).
Перелом основания черепа (симптом очков).
Неврит (невралгии) нижнеглазничного нерва.
12. Врожденные пороки лица
Макростомия – горизонтальная расщелина
(врожденный дефект мягких тканей угла рта и щеки),
приводящая к расширению ротовой щели.
Колобома – косая боковая щель лица от
внутреннего угла глаза до нижней губы.
Расщелина верхней губы – дефект верхней
челюсти, искривление носовой перегородки и
уплощение крыла носа.
Расщелина твердого неба – частичное:
расщепление язычка, мягкого неба или твердого
неба; полное + незаращение альвеолярного отростка
верхней челюсти
13. Область носа
Придаточные пазухи носа
Верхнечелюстная
(Гайморова) пазуха носа
(полость имеет 5 стенок,
санация через
трепанацию передней
стенки);
Лобная пазуха (в толще
лобной кости)открывается
в средний носовой ход;
Клиновидная пазуха (в
теле клиновидной кости)
сообщается с верхним
носовым ходом;
Решетчатый лабиринт
(открывается в средний и
верхний носовой ход).
15. Патология пазух носа
• Гнойное воспаление Гайморовой пазухи
(гайморит),
• прорастание опухолью, эмфизема глазницы;
• Гнойное воспаление лобных пазух (фронтит);
• Воспаление клиновидной пазухи – синус-тромбоз и
неврологическая симптоматика;
• При гнойном расплавлении решетчатого
лабиринта - поражение полости глазницы и
черепа.
• Кровотечение из венозных сплетений Кисельбаха.
16. Остановка носового кровотечения
Задняя тампонада : проведение резинового
катетера через носоглотку и выведение его через
ротоглотку; установление тампона у хоан (задняя
тампонада по Беллоку);
Полость рта
Преддверие
(снаружи губы и щеки,
изнутри – десны и
зубы);
Собственно полость рта
(Сверху – твердое и
мягкое небо; спереди и
с боков – десны и
зубы;
снизу – корень языка).
19. Зубы
Каждый зуб состоит из коронки зуба и корня зуба.
Полость внутри коронки заполнена пульпой зуба,
постепенно переходит в шейку и канал корня зуба (в
нем проходят сосуды и нервы).
Формула постоянных зубов: резцов с каждой
стороны по два, клыков по одному, малых коренных
по два, и больших коренных по три. Общее
количество постоянных зубов 32
Зубы верхней челюсти снабжаются кровью из
верхнечелюстной артерии через задние верхние
альвеолярные артерии. К передним зубам верхней
челюсти отходят ветви от подглазничной артерии –
верхние передние и средние альвеолярные артерии.
Зубы нижней челюсти снабжаются кровью от
нижней альвеолярной артерии (ветвь
верхнечелюстной артерии). Конечная ветвь,
подбородочная артерия, входит в подбородочную
область через одноименное отверстие.
Язык
Отделы: кончик, тело, корень,
спинка, нижняя поверхность.
На корне слизистой: 7-11
валикообразных сосочков
(выводные протоки подчелюстной
слюнной железы);
Мышцы: переплетаются, подходя
от костей (подбородочной,
шиловидной, подъязычной);
Кровоснабжение: язычная
артерия ( ветвь наружной
сонной) и вена (a.и v.lingvalis)
Иннервация: подъязычный,
язычный, языко-глоточный,
блуждающий нервы.
21. Патология языка
Ранение, сопровождающееся обильным
кровотечением;
Смещение языка назад и вниз приводит к
асфиксии (при переломе нижней челюсти);
Воспаление сосочков (абсцесс корня
языка);
Раковая опухоль языка.
22. Губы
Границы:
Сверху – перегородка
носа;
Снизу – подбородочногубная складка;
С боков – носогубные
складки.
Кровоснабжение:
ветви a.и v.facialis;
Иннервация:
губная ветвь
n.infraorbitalis и
n.mentalis.
Боковая область лица
Околоушножевательная область
Границы:
верхняя: скуловая дуга;
нижняя: нижний край
нижней челюсти;
передняя: жевательная
мышца;
задняя: линия от
сосцевидного отростка
к углу нижней челюсти.
Околоушная железа
Расположена в зачелюстной
ямке (спереди - ветвь
нижней челюсти; сзади сосцевидный отросток;
сверху-наружный .слуховой
проход).
Расположены: наружная
сонная артерия,
занижнечелюстная вена,
ушно-височный и лицевой
нервы.
Околоушный проток железы
(точки: козелок уха – угол
рта)
Варианты выводного
протока околоушной
слюнной железы
А). Полное поперечное
расположение протока
Б). Дугообразное
расположение протока
В). Расположение под
углом сверху вниз
Г). Расположение под
углом снизу вверх.
Проекции протоков:
1. Околоушная железа
2. Околоушный проток
3. Околоушный сосочек
4. Поднижнечелюстная
железа и проток (5)
6. Подъязычная железа и
проток (7)
1
2
4
3
5
6
7
27. Переломы верхней челюсти.
Перелом верхней челюсти по Лефору-1:
проходит через основание грушевидного
отверстия, по дну верхнечелюстных пазух,
над альвеолярным отростком.
Перелом по Лефору-2 проходит поперечно
через корень носа по внутренней стенке
глазницы.
Перелом по Лефору-3 – по линии
носолобного шва, верхней глазничной щели
через височный отросток скуловой кости.
28. Лечение переломов нижней челюсти:
1. Принять меры для предупреждения асфиксии (при
двойном переломе подбородочной области).
Смещение отломков обуславливается направлением
тяги мышц.
2. В зависимости от вида перелома и типа смещения
отломков производят установку отломков
посредством наложения стандартной бинтовой
пращи, прикрепленной эластическим вытяжением к
головной повязке-шапочке, специальным аппаратам
(шины Рудько,Ванкевича),либо для соединения
отломков стальной проволокой или жилкой.
3.При линейных и крупнооскольчатых переломах
нижней челюсти используется костный шов.
(используют проволоку, щипцы и кусачки,
металлические стержни).
ОПЕРАЦИИ НА
ЛИЦЕ
Особенности разрезов: в
направлении ветвей
лицевого нерва.
На веках – параллельно их
краям;
На щеках – параллельно
носогубной складке;
На губах – перпендикулярно
границе красной каймы
На носу – продольно
носовой перегородке или
поперечно ей над
носовыми отверстиями;
На языке – продольно
30. Особенности ПХО ран лица
• Ранние сроки;
• Экономное иссечение тканей по ходу
нерва;
• В средней зоне – глухой шов; в боковой
– пластиночный с дренированием;
• При больших дефектах – «обшивание»
тканей
31. Источники и пути проникновения инфекции
Одонтогенные
гнойно-воспалительные заболевания
кожи;
инфицированные раны;
гематомы;
флегмоны смежных областей
Операция при гнойном паротите
Разрез над очагом флюктуации;
Разрез (+контрапертура) радиально от козелка уха;
Рассечение капсулы «тупым путем» сохраняя ветви
лицевого нерва;
«Ленточное» дренирование.
Вскрытие лобной пазухи
(Операция Киллиана)
- удаление передней и
нижней стенок пазухи
Этапы: - задняя тампонада
носовой полости;
- разрез по брови;
- снятие надкостницы;
- вскрытие лобной пазухи
долотом
- удаление перегородок,
лобного отростка и слезной
кости;
- выскабливание ячеек
решетчатой кости:
- дренаж выводят через
отверстия носа;
- ушивание раны наглухо.
40. Трепанация верхнечелюстной (Гайморовой ) пазухи
Показания:
Хронические гаймориты, не поддающиеся
консервативному лечению;
инородные тела ( и корни зубов);
механические повреждения стенок пазухи;
доброкачественные опухоли.
Операция Кэдвэлл-Люка
(создание соустья между
Гайморовой пазухой и средним
ухом.)
Этапы:
- оттянуть верх. губу кверху;
- разрез по переходной складке до
кости;
-
долотом отслаивается надкостница;
- вскрытие пазухи у места отхождения
скулового отростка верхней челюсти;
-
выскабливание слизистой;
- выкусывание отверстия в носовой
стенке до нижнего носового хода;
- санация и дренирование носового хода
или марлевый тампон в
верхнечелюстную пазуху.
Операция при абсцессе
корня языка
Разрез – по средней линии
между подбородком и
подъязычной костью;
- расширение m.digastricus
корнцангом;
- достижение корня языка;
- вскрытие и дренирование
гнойника.
Хирургическая анатомия лобной пазухи
Открытие лобной пазухи приписывается Волхеру Койтеру, нидерландскому анатому, ученику Фаллопия и Евстахия. Интересно, что Беренджарио де Карпи описал лобную кость как «две пластины, между которыми находятся пустоты, не утяжеляющие тело». Но скорее всего первым открыл пазуху да Винчи, описавший ее строение в 1489 году.
Развитие лобной пазухи начинается на четвертом месяце эмбрионального развития, когда вся носолобная область представлена лобным карманом. Из всех околоносовых пазух лобная развивается последней. Лобные пазухи, чаще всего парные, могут развиваться из разных источников, каждый из которых отражает соотношения пазух с латеральной стенкой полости носа, а также отношение протока пазухи к среднему носовому ходу.
Kasper, исследовавший 100 препаратов от взрослых и 15 плодов на поздних сроках развития, пришел к выводу, что наиболее часто лобные пазухи развиваются из борозд лобного кармана, которые являются рудиментарными передними решетчатыми клетками. Анатомия этой области крайне сложна, т. к. нет ни четкой последовательности в развитии данного региона, ни постоянства в количестве лобных углублений с вариантом от полного отсутствия до наличия четырех.
Если ни одна из них так и не сформировалась, лобный карман представлен лишь небольшим слепым выростом из среднего носового хода, латеральная стенка пазухи не формируется. От количества лобных клеток, и от того, какая из них разовьется в полноценную лобную пазуху, будет зависеть путь оттока из нее. Если наиболее передняя клетка (ячейка № 1) мигрирует кпереди, она может пневматизировать кость валика носа (agger nasi), превратившись в клетку agger nasi.
При миграции лобной клетки № 2 (второй спереди) в передневерхнем направлении развивается собственно лобная пазуха. Таким образом, термины agger nasi (обозначающий костный массив кпереди от места крепления средней раковины) и клетка agger nasi (т.е. пневматизированная кость agger nasi) не равнозначны, определяя разные анатомические образования.
Также важно, что избыточно пневматизированная клетка agger nasi может приводить к функциональным нарушениям, блокируя путь дренирования лобной пазухи. Иногда лобная пазуха формируется не из передних решетчатых клеток, а за счет пневматизации лобной кости клетками из области решетчатой воронки.
Остиомеатальный комплекс (окрашен зеленым цветом):
1 - лобная пазуха; 2 - решетчатый лабиринт; 3 - средняя носовая раковина;
4 - нижняя носовая раковина; 5 - верхнечелюстная пазуха; 6 - глазница;
7 - полость носа; 8 - перегородка носа; 9а - решетчатая воронка; 9б - лобный карман;
10 - глазничная ячейка решетчатого лабиринта; 11 - отверстие верхнечелюстной пазухи; 12 - полулунная расщелина.
При рождении клиническое значение лобных пазух невелико, они могут быть неотличимы от передних решетчатых клеток. В возрасте трех лет пазухи расположены на уровне 3,8 мм выше назиона (антропометрическая точка: место пересечения носолобного шва с передней срединной линией), далее он распространяется кверху со средней скоростью 1,5 мм в год до возраста 15 лет и окончательно формируется к 20 годам.
По описанию Mosher, в поперечном сечении лобная пазуха взрослого человека имеет форму пирамиды, основанием или дном которой является орбитальная порция спланхнокраниума, верхушка располагается несколько кпереди от глазницы, задняя стенка отделяет пазуху от головного мозга, передняя располагается под кожей.
Обозначение соединения лобной пазухи с полостью носа через средний носовой ход некорректно с точки зрения анатомии и развития. Еще больше запутывает терминологию то, что термины «лобный карман», «лобная воронка» и «лобно-носовой проток» использовали как синонимы, хотя они относятся к разным анатомическим структурам. Схематически путь оттока из лобной пазухи часто представляется в виде песочных часов, верхний сосуд которых является лобной пазухой, горловина представлена соустьем (диаметром от 2 до 10 мм), а нижний сосуд—лобным карманом.
Предложенный Киллианом на основании пренатальных исследований термин лобный карман означает восходящую порцию первой этмотурбинальной борозды (из нисходящей ее порции развивается решетчатая воронка). Лобной воронкой Киллиан обозначал верхнее устье пути оттока лобной пазухи. Более современная интерпретация определяет термин «лобная воронка» как постепенное сужение лобной пазухи по направлению к ее соустью. И, наконец, термином «лобно-носовой проток» Lang обозначал любой выстланный слизистой проток длиной более 3 мм. Мы не можем согласиться с использованием данного термина, т. к. путь оттока из лобной пазухи представляет собой не истинный проток. Его могут сужать решетчатая булла и/или ламелла буллы сзади, а также клетка agger nasi спереди.
Описанный Van Alyea в 1939 году как «лобный карман» путь оттока из лобной пазухи даже с учетом прежнего значения является более точным термином. Существование различных вариантов развития лобной пазухи влечет за собой возможность наличия различных путей оттока, дополнительно усложняющихся, в зависимости от типа пневматизации передних решетчатых клеток и места крепления крючковидного отростка.
Сагиттальный срез КТ через решетчатый лабиринт и лобную пазуху:
(а) Ячейка agger nasi возникает в результате пневматизации валика носа решетчатой клеткой.
Клетка agger nasi является одной из нескольких клеток, окружающих лобный карман у данного пациента.
Расположение переднего конца средней носовой раковины за клеткой agger nasi подтверждает ее происхождение из валика носа, а не из расположенной более кзади слезной кости.
Обратите внимание на то, как клетка agger nasi блокирует путь оттока из лобной пазухи, agger nasi cell—клетка agger nasi; MT—средняя носовая раковина.
(б) Саггитальный срез КТ через решетчатый лабиринт, лобную и клиновидную пазухи (SS). Путь оттока из лобной пазухи блокирован фронтоэтмоидальной или фронтальной клеткой.
Позади нее находится еще одна фронтальная клетка, которая расположена над буллой и носит название супрабуллярной.
Кзади от передних решетчатых клеток находится одна крупная задняя решетчатая клетка, между ней и клиновидной пазухой находится клиновидно-решетчатое углубление.
FC — фронтальная клетка; РЕ — задняя решетчатая клетка; SS — клиновидная пазуха. КТ срезы через путь оттока из лобной пазухи.
Фронтальные (верхние левые), сагиттальные (верхние правые), аксильные (нижние) срезы парные, т.е. идут спереди кзади, от медиальной части к латеральной, и снизу вверх.
При просмотре всех срезов становится ясно, что отток из лобной пазухи блокирован фронтальными клетками,
наиболее наглядно показанными на правом верхнем латеральном сагиттальном срезе (стрелка).
ant — Передний; post — Задний; lat — Латеральный; med — Медиальный; Inf—Нижний; sup—Верхний
- Вернуться в оглавление раздела "отоларингология"
Редактор: Искандер Милевски. Дата обновления публикации: 18.3.2021
Компьютерная томография анатомии носа и придаточных пазух
В связи с тем, что практически вся визуализация при хронических синуситах осуществляется при помощи КТ, настоящая статья посвящена КТ анатомии, а так же обсуждаются наиболее частые анатомические варианты. До ознакомления со статьей читателям рекомендуется повторить анатомию данной области.
АНАТОМИЯ
Понимание анатомии полости носа и ее аномалий является важным, так как оно ведет к пониманию рентгенологической анатомии, необходимой для планирования хирургического доступа.
Полость носа
Полость носа согревает и увлажняет вдыхаемый воздух и отфильтровывает мелкие инородные тела, которые в нем содержатся, прежде чем воздух попадет в легкие. Выстилает ее тот же самый цилиндрический эпителий, который выстилает воздухоносные пути легких — трахею и бронхи. Этот эпителий секретирует слизь, покрывающую стенки полости носа, которая участвует в процессе мукоцилиарного клиренса, при котором мелкие инородные частицы выводятся наружу.
В полость носа также дренируются придаточные пазухи, кроме того, она обеспечивает поступление воздуха к обонятельному эпителию в обонятельных карманах, участвуя тем самым в акте распознавания запахов. Обонятельные карманы (пазухи) расположены в верхних носовых ходях, медиально от парных верхних носовых раковин. Полость носа окружена воздухоносными, выстланными слизистой оболочкой полостями, называемыми придаточными пазухами носа, которые включают в себя парные верхнечелюстные (гайморовы), лобные, решетчатые и клиновидные пазухи. Пазухи напрямую сообщаются с полостью носа, в которую выводится их секрет, выделяемый слизистой оболочкой стенок пазух. Реснички эпителия мерцают по направлению к естественным дренажным отверстиям, обеспечивая выведение секрета из полостей пазух в нос. Дном полости носа является твердое небо. На латеральных стенках имеются спиралевидные складки слизистой, покрывающие носовые раковины и дренирующие придаточные пазухи отверстия. Искривленные поверхности носовых раковин увеличивают контакт вдыхаемого
воздуха со слизистой. Крыша полости носа состоит из решетчатой пластинки в центре и по бокам – нижних стенок ячеек решетчатой кости. Посередине полость носа разделена на две половины перегородкой, которая частично – костная и частично – хрящевая, и выстлана, в отличие от латеральных стенок, плоским эпителием.
Придаточные пазухи
Парные лобные, верхнечелюстные, решетчатые и клиновидные пазухи окружают полость носа. Решетчатые пазухи формируют крышу, а верхнечелюстные – латеральные стенки. Лобные располагаются спереди и сверху, а клиновидные – сзади и сверху от решетчатых. Основные дренирующие отверстия — передние остиомеатальные комплексы (ОМК) (см. Рис.1), которые дренируют лобные и верхнечелюстные пазухи и передние и средние трети решетчатых.

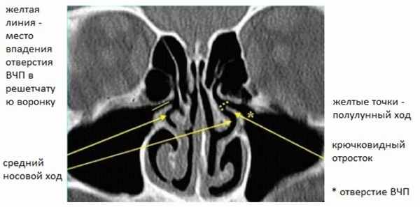
Рисунок 1. КТ полости носа. Нормальный передний остиомеатальный комплекс Хорошо видна анатомия решетчатой воронки и крючковидного отростка.
Крючковидный отросток (КО) и латеральная стенка полости носа формируют решетчатую воронку (РВ). Вышеуказанные пазухи дренируются в РВ через разные отверстия. Отверстие верхнечелюстной пазухи (ВЧП) и карман (или проток) лобной пазухи (ЛП) (см. Рис. 2) открываются в самую переднюю часть ОМК, хорошо и постоянно видны на КТ сканах.

Рисунок 2. КТ полости носа. Лобная пазуха открывается в средний носовой ход сразу латерально от передней части средней носовой раковины. Самые передние решетчатые ячейки называются «агаровые ячейки носа».
Другие отверстия формируются из передних и средних групп решетчатых ячеек и тоже открываются в РВ, но не видны даже на 2 мм фронтальных КТ. Когда в процесс вовлечены лобные, верхнечелюстные пазухи, а также передние и средние ячейки решетчатых лабиринтов, такой паттерн называется инфундибулярным паттерном. Данный паттерн наиболее часто встречается при хроническом синусите.
Задний ОМК (Рис. 3) расположен в сфеноэтмоидальном кармане, дренирует задние решетчатые ячейки и клиновидные пазухи.

Рисунок 3. КТ полости носа. Сошник разделяет два отверстия клиновидных пазух, которые расположены в сфеноэтмоидальном кармане. Сошник пневматизирован (норма).
Сошник разделяет два отверстия клиновидных пазух. При хроническом синусите этот комплекс вовлекается реже, потому что в нем более редко встречаются анатомические варианты. Сагиттальная реконструкция ОМК, демонстрирующая искривленный край полулунного хода с нижней складкой слизистой, покрывающей крючковидный отросток показана на рисунке 4. Также здесь виден лобный карман.

Рисунок 4. КТ полости носа. Реконструированное сагиттальное изображение ОМК демонстрирует искривленный край полулунного хода с нижней складкой слизистой, покрывающей крючковидный отросток. Виден также лобный карман/проток.
Носовая перегородка
Передняя верхняя часть носовой перегородки состоит их хряща. Задняя верхняя ее часть состоит из перпендикулярной пластинки решетчатой кости, а нижняя часть состоит из сошника и носового гребня верхней челюсти и небных костей. Костная часть носовой перегородки часто пневматизирована. При раздутии пневматизированной части, она может нарушать ток воздуха в клиновидные отверстия (которые прилежат к обеим сторонам сошника на фронтальных КТ) в клиновиднорешетчатых карманах. Шипы и искривления носовой перегородки могут нарушать ток воздуха, особенно если компримируют слизистую носовых раковин или латеральной стенки полости носа. Грубые искривления носовой перегородки могут деформировать носовые раковины и совсем прекращать ток воздуха.
Латеральная стенка
Анатомия латеральной стенки носовой полости достаточно сложная и большинство анатомических аномалий встречается именно в ней. Обычно у человека имеется 3 носовых раковины: верхняя, средняя и нижняя. Иногда имеется 4-ая носовая раковина, самая верхняя. Пространства между носовыми раковинами вдоль их наружных краев и боковой стенкой носовой полости называются носовыми ходами. Нижняя носовая раковина прикрепляется к латеральной стенке полости носа и в нижний носовой ход открывается только носослезный проток. Бóльшая часть вдыхаемого воздуха проходит через средний, а не нижний носовой ход. Функционально средний носовой ход является наиболее важным, так как в него открываются ВЧП, ЛП и передние и средние ячейки решетчатых лабиринтов. Большинство анатомических вариантов встречаются в среднем носовом ходе и области носовой раковины. Задние ячейки решетчатых лабиринтов и клиновидные пазухи открываются в верхний носовой ход.
Крючковидный отросток
Крючковидный отросток (КО), который формирует переднюю часть ОМК является одной из самых важных костных структур. КО действует как воздушный клапан, предотвращая прямое попадание воздуха в ВЧП и обеспечивая нормальный мукоцилиарный клиренс. Простой аллергический или даже вирусный ринит, а также анатомический вариант КО может вести к сужению РВ, результатом которого является нарушение нормального дренажа придаточных пазух. Эта костная структура является центральной в функциональной эндоскопической хирургии придаточных пазух носа (FESS), так как это первая структура, которую при FESS идентифицируют и удаляют. КО начинается из латеральной стенки полости носа, иногда от нижней носовой раковины и выступает в область воздушного потока. Его верхний край прикрепляется к дну передних решетчатых ячеек и затем уменьшается в высоту по направлению к носоглотке, верхним свободным краем формируя полулунный ход, который открывается прямо в средний носовой ход.
Дно орбиты или медиальная стенка располагаются кнаружи от КО, а РВ лежит между ними,
открываясь непосредственно в ВЧП через ее отверстия в переднем, среднем и верхнем углу.
Несколько решетчатых ячеек, а также лобные пазухи тоже дренируются в РВ. Лобный карман, или проток открывается в переднюю решетчатую часть среднего носового хода.Увеличение так называемых холмовых, бугорковых клеток носа(«agger nasi cells»), наиболее впереди расположенных решетчатых ячеек, может вызывать сужение данного дренирующего канала. Таким образом, обе лобные и ВЧП, а также передние и среднеи решетчатые ячейки открываются в РВ.
Автор: Charles Lee, MD, Руководитель отделения диагностической радиологии Университета Кентукки.
Эндоскопическая ринохирургия
Функциональная эндоскопическая ринохирургия является более щадящим методом хирургического лечения заболеваний полости носа и околоносовых пазух, качественное применение которых позволяет специалистам оториноларингологического отделения КДЦ минимизировать операционную травму пациентов и сохранить нормальную анатомию внутриносовых структур.
Поиск более щадящих методов хирургического лечения заболеваний полости носа и околоносовых пазух, был направлен на возможность минимизировать операционную травму и сохранить нормальную анатомию внутриносовых структур.

Развитие функциональной эндоскопической ринохирургии связано с разработкой жестких эндоскопов. Эндоскоп представляет собой оптическую систему со встроенным стекловолоконным световодом, заключенным в металлическую оболочку. Получаемое изображение можно оценивать непосредственно через объектив или при наличии видеокамеры, на экране монитора. При этом за счет увеличения исследуемой области удается выявлять самые минимальные изменения, просто приблизив конец эндоскопа к подозрительному участку. Эндоскопы с различными углами зрения 00,300,450,700,900 и различного диаметра (2,7 и 4 мм) позволяют визуализировать все отделы полости носа и носоглотки. Возможность сохранять на диске проводимые эндоскопические осмотры и операции позволяет создавать базу для оценки динамики проводимого лечения.
Предоперационная подготовка включает стандартный перечень обследований. В список добавляется эндоскопический осмотр полости носа и компьютерная томография околоносовых пазух, которые необходимы не только для диагностики, но и для ориентирования при проведении операции.
Показания для функциональной эндоскопической хирургии пазух:
Хронический полипозный риносинусит. Полипы полости носа.
Хронический гайморит, этмоидит, фронтит, сфеноидит.
Киста, инородное тело, мукоцеле верхнечелюстной, лобной или клиновидной пазух.
Эндоскопическая хирургия околоносовых пазух (FESS- Functional Endoscopic Sinus Surgery) на сегодняшний день является наиболее оптимальным методом хирургического лечения хронических синуситов. Выполнение подобных операций требует не только хорошего знания эндоскопической анатомии внутриносовых структур, но и умения бимануально выполнять эндоскопические манипуляции.
Необходимо учитывать и тот факт, что развитие хронического синусита может быть связано с патологическими изменениями в полости носа: искривлением перегородки носа, гипертрофией средней или нижней носовой раковин. В связи с этим для достижения хорошего эффекта при операциях на околоносовых пазухах, производится коррекция перегородки носа, деструкция нижних носовых раковин, частичная резекция средней носовой раковины.
Для остановки носового кровотечения в послеоперационном периоде применяются губчатые тампоны Мероцель. Такая тампонада хорошо переносится пациентами, легко и безболезненно удаляется из полости носа на 2й день после операции.
Использование метода FESS позволяет не только восстановить нормальное носовое дыхание, но и максимально сохранить анатомию полости носа и околоносовых пазух. Такие операции легко переносятся пациентами, не требуют длительного пребывания в стационаре. После вмешательства восстановительный период занимает около недели.
Важным является и послеоперационный уход за полостью носа - удаление сгустков и корок, назначение противовоспалительной, противоотечной и антибактериальной терапии. Это позволяет предотвратить спаечный процесс и способствует лучшему заживлению.
Под эндоскопическим контролем в нашем медицинском центре осуществляются следующие операции:
3 И 4. Клиническая анатомия носа и околоносовых пазух
Нос является начальной частью верхних дыхательных путей и делится на три отдела:
наружный нос, полость носа, околоносовые пазухи.
Наружный носпредставляет собой костно-хрящевую пирамиду, покрытую кожей. Различают следующие элементы наружного носа: корень, спинку, скаты, крылья и кончик. Стенки его образованы следующими тканями: костной, хрящевой и кожей.
Полость носа-пространство между передней черепной ямкой и полостью рта. Полость носа разделена перегородкой на правую и левую половины и имеет передние отверстия – ноздри и задние – хоаны, ведущие в носоглотку. Каждая половина носа имеет четыре стенки:Медиальная стенка, или перегородка носа, образована: четырехугольным хрящом в переднем отделе; перпендикулярной пластинкой решетчатой кости в верхнем отделе; сошником в нижнезаднем отделе.Верхняя стенкасостоит из продырявленной пластинки решетчатой кости, через которую проходят веточки обонятельного нерва и сосуды.Нижняя стенка, или дно полости носа, образована: альвеолярным отростком верхней челюсти; небным отростком верхней челюсти; горизонтальной пластинкой небной кости.Латеральная стенка, образуют следующие кости: носовая, слезная, решетчатая, основная и небная. На внутренней поверхности латеральной стенки расположены три костных выступа – носовые раковины, под ними расположены соответствующие носовые ходы – верхний, средний и нижний. Пространство между перегородкой носа и краями носовых раковин образует общий носовой ход. У детей раннего возраста нижняя носовая раковина плотно прилегает к дну полости носа, что приводит к полному выключению носового дыхания даже при незначительном воспалении слизистой.в нижний носовой ходоткрывается выводное отверстие носослезного канала, задержка его открытия приводит к нарушению оттока слез, кистозному расширению канала и сужению носовых ходов у новорожденных;в средний носовой ходоткрывается верхнечелюстная пазуха, в передневерхнем отделе – канал лобной пазухи, в средней части хода – передние и средние клетки решетчатой кости;в верхний носовой ходоткрывается клиновидная пазуха и задние клетки решетчатого лабиринта. Носовую полость можно разделить на три области: преддверие, дыхательную и обонятельную.
Околоносовые пазухипредставляют собой воздухоносные полости, располагающиеся вокруг полости носа и сообщающиеся с ней через выводные отверстия или протоки. Имеется четыре пары пазух:
Верхнечелюстная пазуха, (она же гайморова)расположенная в теле верхнечелюстной кости, представляет собой пирамиду неправильной формы размером от 15 до20 см3.
Передняя стенкапазухи имеет углубление, называемоесобачьей ямкой. В этой области обычно производится вскрытие пазухи.
Медиальная стенкаявляется латеральной стенкой полости носа и содержит в области среднего носового хода естественное выводное отверстие. Оно расположено почти под крышей пазухи, что затрудняет отток содержимого и способствует развитию застойных воспалительных процессов.
Верхняя стенкапазухи представляет одновременно нижнюю стенку глазницы. Она достаточно тонкая, часто имеет костные незаращения, что способствует развитию внутриглазничных осложнений.
Нижняя стенкаобразована альвеолярным отростком верхней челюсти и обычно занимает пространство от второго премоляра до второго моляра. Низкое положение дна пазухи способствует близкому расположению корней зубов к полости пазухи. В некоторых случаях верхушки корней зубов выстоят в просвет пазухи и лишь прикрыты слизистой оболочкой, что может содействовать развитию одонтогенного инфицирования пазухи, попаданию пломбировочного материала в полость пазухи или образованию стойкого перфоративного отверстия при удалении зуба.
Задняя стенкапазухи толстая, граничит с клетками решетчатого лабиринта и клиновидной пазухой.
Лобная пазуханаходится в толще лобной кости и имеет четыре стенки:
1.нижнюю глазничную – самую тонкую,
2.переднюю – самую толстую до 5-8 мм,
3.заднюю, отделяющую пазуху от передней черепной ямки, и
Лобная пазуха сообщается с полостью носа при помощи тонкого извилистого канала, который открывается в передний отдел среднего носового хода. Величина пазухи колеблется от 3 до 5 см3, а в 10-15% случаев она может отсутствовать.
Решетчатый лабиринтрасположен между глазницей и полостью носа и состоит из 5-20 воздухоносных ячеек, каждая из которых имеет свои выводные отверстия в полость носа. Различают три группы ячеек: передние и средние, открывающиеся в средний носовой ход, и задние, открывающиеся в верхний носовой ход.
Клиновидная, или основная, пазуха расположена в теле клиновидной кости, разделена перегородкой на две половины, имеющие самостоятельный выход в область верхнего носового хода. Вблизи клиновидной пазухи расположены кавернозный синус, сонная артерия, перекрест зрительных нервов, гипофиз. Вследствие этого воспалительный процесс клиновидной пазухи представляет серьезную опасность.
Особенности строения околоносовых пазух в детском возрасте
У новорожденных имеется только две пазухи: верхнечелюстная пазуха и решетчатый лабиринт.
Верхнечелюстная пазуха представляет собой складку слизистой длиной около 1 см у внутреннего угла орбиты, латеральнее, под нижней стенкой глазницы, расположены два ряда зачатков молочных и постоянных зубов. К концу первого года жизни пазуха приобретает округлую форму. К 6-7 годам зубы постепенно занимают свое положение, и пазуха становится многогранной. В раннем детском возрасте ближе всего к пазухе расположен клык, в 6 лет располагаются два премоляра и моляр. К 12 годам объем пазухи увеличивается и топография приближается к норме взрослого человека. Клетки решетчатого лабиринта у новорожденных находятся в зачаточном состоянии и полностью развиваются к 14-16 годам. Лобные и клиновидные пазухи у новорожденных отсутствуют и начинают формироваться с 3-4 летнего возраста. Лобные пазухи развиваются из передних клеток решетчатого лабиринта и к 6 летнему возрасту имеют объем около 1 см3. Клиновидные пазухи формируются из клеток решетчатого лабиринта, расположенных в теле клиновидной кости. Окончательное развитие пазух заканчивается к 25-30 годам.
Клиническая физиология носа и околоносовых пазух Нос выполняет, кроме дыхательной, защитную, резонаторную и обонятельную функции, а также участвует в регуляции глубины дыхания и слезоотделения, гемодинамике головного мозга. Роль околоносовых пазух в акте носового дыхания весьма условна. В то же время их, по-видимому, нельзя рассматривать только в качестве рудиментарных образований. Можно выделить две основные функции околоносовых пазух — защитную и резонаторную. Защитная функция околоносовых пазух выражается, во-первых, в том, что наличие самих пазух служит защитой от внешних воздействий для более глубоких и жизненно важных образований лицевого и мозгового черепа; во-вторых, пазухи являются дополнительными резервуарами согретого, увлажненного и очищенного воздуха. Резонаторная функция околоносовых пазух принимает активное участие в формировании оригинального тембра и других характеристик голоса и образуют характерный и неповторимый) для каждого человека голос
5. Анатомическая основа для дальнейшего развития ринологии в России была заложена трудами самого известного русского хирургаН.И. Пирогова(1810-1881). Используя оригинальный метод диссекции замороженных трупов, он представил изображения тысяч распилов, произведенных через различные части человеческого тела в трех перпендикулярных направлениях. Этот уникальный опыт был суммирован в бессмертном творении Н.И. Пирогова - книге 'Топографическая анатомия, иллюстрированная разрезами, проведенными через замороженное тело человека в трех направлениях', содержащей 216 таблиц, 995 иллюстраций и 800 страниц текста.
В этой книге полость носа и околоносовые пазухи представлены 72 картинками, демонстрирующими, в частности, строение латеральной стенки полости носа и расположение соустьев околоносовых пазух. Н.И. Пирогов первым описал так называемый semicanalis obliquus, который позднее стали называть полулунной щелью (hiatus semilunaris). Анатомия решетчатого лабиринта, верхнечелюстной, лобной и клиновидной пазух, носо-слезного канала, их кровоснабжение и иннервация были представлены Пироговым с такой точностью, что даже сейчас, более ста лет спустя, эта книга может быть прекрасным учебником для ринохирурга. Н.И.Пироговым написаны также статьи 'О пластических операциях вообще и ринопластике в особенности', 'Способ остановки кровотечения из носа', 'Полипозные наросты в носовой полости' и 'Операции рака гайморовой пещеры'. Н.И. Пирогова можно смело назвать основоположником хирургического направления ринологии в России
Читайте также:
