Хондромиксоидная фиброма - лучевая диагностика
Добавил пользователь Евгений Кузнецов Обновлено: 02.11.2025
Остеосаркома - злокачественная костеобразующая опухоль, находится на втором месте по частоте возникновения после множественной миеломы. Встречается в 20% случаев среди всех первичных опухолей костей и бывает первичной и вторичной формы, каждая из которых имеет разную эпидемиологию и распределение локализации. Хотя рентгенография может привнести в диагностику много информации, МРТ используется при локальном стадировании оценивая внутрикостное распространение опухоли (напр. вовлечение в процесс пластинки роста / эпифиза) и мягкотканный компонент. Компьютерная томография органов грудной клетки и сцинтиграфия играют определенную роль в стадировании путем диагностики отдаленных метастазов.
Эпидемиология
Остеосаркома может быть как первичной, так и вторичной, обе формы имеют различное демографическое распределение:
- первичная остеосаркома: обычно возникает у молодых пациентов(10-20 лет), до 75% возникает в возрасте до 20 лет, поскольку зоны роста более активны в юношеском и подростковом периодах [3]; несколько чаще встречается у мальчиков
- вторичная остеосаркома: возникает в пожилом возрасте; обычно за счет дегенеративной малигнизации при болезни Педжета, обширного инфаркта костного мозга, в зоне лучевой терапии по поводу иного заболевания, остеохондроме и остеобластоме.
Клиническая картина
Пациенты обычно имеют жалобы на боли в костях, иногда сопровождающиеся увеличением объема или отеком мягких тканей. Иногда заболевание диагностируется за счет возникновения патологического перелома.
Распределение первичных и вторичных остеосарком имеет различия:
- первичная остеосаркома обычно возникает в метафизе длинных трубчатых костей, с предрасположенностью возникновения в области коленного сустава, до 60% первичных остеосарком локализуются в данной области
- вторичные остеосаркомы, на оборот, имеют широкое распределение за счет различия предрасполагающих факторов и состояний, с большей предрасположенностью поражений плоских костей, особенно костей таза (излюбленной локализации болезни Педжета).
Патология
Остеосаркомы могут быть разделены на множество подтипов, в зависимости от степени дифференциации, локализации в кости и гистологического варианта [3].
В зависимости от подтипа, радиологической картины, демографических данных можно выделить:
- интрамедулярная: ~80%
- остеосаркома высокой степени: в основном обсуждаемая в данной статье
- телеангиэктатическая остеосаркома
- остеосаркома низкой степени
- интракортикальная остеосаркома
- параостальная остеосаркома
- периостальная остеосаркома
- экстаоссальная остеосаркома
Макроскопическая картина
Макроскопически остеосаркома представляет собой крупную опухоль, поверхность разреза гетерогенная и представляет собой области кровоизлияний, фиброза и кистозной дегенерации.
Гистология
Микроскопически - слабо выраженные трабекулы кости, клеточный плеоморфизм и фигуры митоза. Могут встречаться фиброциты и хондробласты.
Локализация
- бедро: ~40% (особенно дистальные отделы)
- большеберцовая кость: ~16% (особенно проксимальные отделы)
- плечевая кость: ~15%
Другие, менее частые локализации:
- малоберцовая кость
- кости таза
- нижняя челюсть
- верхняя челюсть
- позвоночник
Сопутствующая патология
Маркеры
Может быть повышен уровень щелочной фосфатазы в плазме (особенно при распространенном заболевании).
Диагностика
Рентгенография
Традиционная рентгенография продолжает играть важную роль в постановке диагноза. Типичными находками при остеосаркоме высокой степени являются:
- деструкция кортикальной пластинки
- деструкция широко распространяется вдоль и поперек кости в виде сливающихся мелких очагов (изъеденость молью)
- агрессивная периостальная реакция
- отражает сочетание костной ткани, кальцинированного матрикса и остеоида
- слабо-отграниченное "пушистое" или "облаковидное" напр. в виде колец и арок при поражении хрящевого матрикса
Компьютерная томография
Роль КТ заключается в дополнении биопсии и стадировании процесса. КТ добавляет мало информации к рентгенографии. Исключением из этого правила является преимущественно литическое поражение, при котором небольшое количество минерализованного материала может не визуализироваться как при рентгенографии, так и на МРТ [4].
Магнитно-резонансная томография
МРТ позволяет тщательно стадировать и оценить распространенность опухоли перед резекцией конечности, особенно при оценке внутрикостного распространения опухоли и вовлечения в процесс окружающих мягких тканей, важна при оценке пластинки роста, поскольку до 75-88% метафизарных опухолей пересекают эпифизарную пластинку роста [4].
- T1
- мягкие ткани неминирализованного компонента: промежуточная интенсивность МР сигнала
- минерализованный / обызвествленный компонент: низкая интенсивность МР сигнала
- перифокальный отек: промежуточная интенсивность МР сигнала
- разбросанные области кровоизлияний будут иметь различную интенсивность МР сигнала в зависимости от стадии распада продуктов гемоглобина
- контрастное усиление: повышение МР сигнала от солидного компонента опухоли
- мягкие ткани неминирализованного компонента: высокая интенсивность МР сигнала
- минерализованный / обызвествленный компонент: низкая интенсивность МР сигнала
- перифокальный отек: высокая интенсивность МР сигнала
Лечение и прогноз
Современный подход включает локальное МРТ стадирование до проведения биопсии, сцинтиграфии и КТ сканирования грудной клетки для выявления отдаленных метастазов.
Лечение, при его возможности, требует агрессивной хирургической тактики, часто в виде ампутации конечности с последующей химиотерапией. Если возможно частичное сохранение конечности курс химиотерапии (для уменьшения опухоли) предшествует хирургическому вмешательству, в последующем выполняется резекция кости и установка эндопротеза. Результаты лечения зависят от множества факторов, таких как возраст, пол, локализация, размер и тип опухоли, но наиболее важным фактором является гистологическая степень некроза после индукционной химиотерапии; 90% гистологического некроза характеризуется гораздо лучшим прогнозом [6]. В настоящее время 5-летняя выживаемость после адекватной терапии составляет примерно 60-80% [4].
Наиболее частыми осложнениями остеосаркомы являются патологический перелом и метастатическое поражение костей, легких и регионарных лимфатических узлов.Дифференциальный диагноз
Базовый дифференциальный ряд включает:
При локализации в заднемедиальных отделах бедра дополнительно дифференцируется с:
Хондромиксоидная фиброма - лучевая диагностика
Хондромиксоидная фиброма - лучевая диагностика
а) Терминология:
• Доброкачественная дольчатая хрящеообразующая опухольб) Визуализация:
• Локализация: 61% - длинные трубчатые кости:
о 50% в области коленного сустава:
- Чаще всего поражается проксимальный отдел большеберцовой кости
о 24% - кости кисти/стопы
о 25% - плоские кости:
- Чаще всего крылья подвздошных костей
• Область происхождения: метафизы (53%) или диафизы (43%)
• Хорошо отграниченный очаг со склеротическим краем
• Эксцентрично (58%) расположенный дольчатый очаге истонченным кортикальным слоем
• Часто характеризуется вспученностью (89%)
• Хрящевой матрикс присутствует редко (<10%)(Слева) Рисунок: макроскопические особенности хондромиксоидной фибромы (ХМФ). Хорошо отграниченный блестящий мясистый очаг. Очаг расположен эксцентрично и способствует небольшому вспучиванию кортикального слоя.
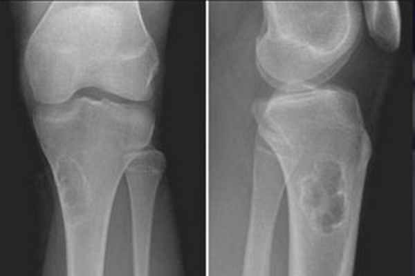
(Справа) Рентгенография типичной ХМФ в ПЗ проекции. Метафизарный, эксцентрично расположенный патологический очаг чаще всего обнаруживается в большеберцовой кости и характеризуется небольшой пузырчатостью и склеротическим краем. Как показывает данная рентгенография ХМФ не обязательно содержит хрящевой матрикс. (Слева) Рентгенография в ПЗ проекции: необычная ХМФ у маленького ребенка. Этот центрально расположенный метафизарный очаг лучевой кости больше походит на аневризмальную костную кисту, однако ХМФ была подтверждена результатами биопсии. Обратите внимание на псевдотрабекулярность, придающую патологическому очагу перегородчатый вид.
(Справа) КТ, аксиальная проекция без контрастного усиления: нераспространенный литический очаг в субхондральной кости. У этого подростка можно предположить наличие аневризмальной костной кисты и хондробластомы. Хондромиксоидная фиброма представляет собой относительно редкое новообразование, однако здесь она была подтверждена результатами биопсии.в) Дифференциальная диагностика:
• Гигантоклеточная опухоль (ГКО):
о Аналогичный характер расположения (эксцентрично, развивается в метафизе, распространяется на субкортикальную область)
о ГКО также характеризуется отграниченностью очага, однако склеротический край отмечается реже
• Аневризмальная костная киста:
о Эксцентрично расположенный, метадиафизарный очаг
о Хорошо отграничена, характеризуется вспученностью
о На МРТ, как правило, визуализируются уровни жидкость-жидкость; реже встречаются плотные очагиг) Клинические особенности:
• Встречается в широком возрастном диапазоне; средний возраст составляет 23 года, медианный возраст - 18 лет:
о В 50% случаев проявляется в возрасте 10-20 лет
• Мужчины подвержены заболеванию немного больше, чем женщины
• Редкая опухоль (о 2,3% от всех хрящеообразующих опухолей
• Прогноз благоприятный
• Лечение: краевая резекция (кюретаж с замещением дефекта костным трансплантатом):
о Уровень рецидивов 15-25%Лечение хондромикосидной фибромы в Израиле — современные методы и высокая эффективность
Для назначения адекватной программы лечения необходимо проведение всестороннего диагностического обследования. Израильские клиники располагают новейшим оборудованием, позволяющим оперативно ставить точный диагноз. Диагностику и лечение заболевания проводят высококвалифицированные хирурги-ортопеды, обладающие многолетним опытом и регулярно проходящие стажировки в ведущих клиниках мира. Многочисленные отзывы пациентов свидетельствуют о том, что, при одинаковом качестве медицинских услуг, стоимость лечения в Израиле гораздо ниже, чем в западноевропейских странах и США.
Методы лечения заболевания
Распространенным методом лечения хондромиксоидной фибромы выступает оперативное удаление новообразования. На сегодняшний день в израильских клиниках, как и в медцентрах других стран с развитой медициной, в клинической практике не приняты иные методы терапии данной патологии. При этом лечение должно проводиться как можно скорее, поскольку существует вероятность злокачественного перерождения опухоли.
Для удаления хондромиксоидной фибромы показаны такие виды оперативных вмешательств:
- Краевая резекция пораженного фрагмента кости — наиболее результативный и безопасный для пациента метод, в основном применяемый в клиниках Израиля. Иссечение вовлеченного в опухолевый процесс фрагмента костной ткани производится без повреждения кости и нарушения ее целостности. Манипуляции производятся на участке, ограниченном здоровыми, без патологических изменений тканями. В большинстве случаев при оценке необходимого объема иссечения хирург отступает от новообразования минимум на 5 миллиметров. Рекомендованная величина отступа может быть больше, в зависимости от кости, в которой локализована хондромиксоидная фиброма. Если после удаления новообразования в его ложе сохранились жизнеспособные клетки с патологическими изменениями, через определенное время вероятно развитие рецидива. Для предупреждения этого в ходе процедуры иссекается фрагмент костной ткани большего размера. В случае проведения операции краевой резекции с соблюдением всех правил, риск повторного возникновения фибромы ничтожно мал.
- Кюретаж — устранение опухолевых тканей из пораженной зоны кости путем выскабливания специальной хирургической кюреткой, внешне напоминающей ложку. Единственным дефектом, который развивается после этого способа оперативного удаления новообразования, является небольшое углубление в костной ткани. Как показывает практика, такой способ оперативного удаления опухоли отличается высокой степенью риска сохранения патологически измененных клеток, служащих причиной рецидивирования. По этой причине кюретаж редко применяется в израильских клиниках.
В некоторых случаях оперативному удалению хондромиксоидной фибромы предшествуют сеансы лучевой терапии. Назначение процедуры объясняется тем, что под действием ионизирующего излучения значительно уменьшаются размеры новообразования, ослабевают болезненные симптомы и облегчается последующее оперативное вмешательство. Однако, проводимые исследования показали, что в результате радиотерапии возрастает вероятность злокачественного перерождения опухоли. По этой причине в израильских клиниках облучение назначается крайне редко.
На протяжении приблизительно недели после хирургического удаления фибромы пациенту необходимо наблюдение врачей. По окончании этого периода больной выписывается из стационара и направляется на курс реабилитации. Реабилитационная программа индивидуально составляется для каждого пациента и включает физиопроцедуры, направленные на восстановление нарушений движения конечности, и лекарственные препараты для укрепления иммунной системы. Для своевременной диагностики возможного рецидива патологии, в течение нескольких лет после проведения лечения рекомендуется регулярное обследование.
Возникшие в результате оперативного удаления хондромиксоидной фибромы костные деформации значительного размера устраняются с помощью аллогенной или аутогенной трансплантации костной ткани. В первом случае пациенту проводится пересадка фрагмента кости совместимого донора, тогда как аутотрансплантация подразумевает использование участка здоровой кости самого пациента. Аллогенная трансплантация не требует дополнительной операции, предназначенной для получения костного материала, в то время как при пересадке собственной ткани не развивается реакция отторжения и быстрее происходит срастание.
Как проводится диагностика заболевания
При подозрениях на хондромиксоидную фиброму пациент направляется на комплексное диагностическое обследование, необходимое для отличия патологии от костно-мышечных заболеваний со схожей симптоматикой. Кроме того, установление природы новообразования требуется для дифференцирования его от злокачественной хондросаркомы.
Необходимость всестороннего обследования также обусловлена отсутствием выраженных клинических симптомов. Степень выраженности характерных признаков заболевания зависит от возраста больного. У детей наблюдается быстрое прогрессирование патологии, возникновение сильных болей и нарушение функциональных способностей пораженной конечности. Во взрослом возрасте возможно бессимптомное протекание патологии на протяжении длительного периода времени.
В израильских клиниках тщательная диагностика занимает, в среднем, не более трех дней.
Первый день
По прибытии в клинику пациент направляется на консультацию лечащего врача. На приеме врач знакомится с историей болезни, проводит физикальный осмотр, определяет возможные причины заболевания и назначает необходимые обследования.
Второй день
Прохождение назначенных обследований, включающих:
- рентгенографию — обязательно назначающееся обследование, дающее возможность выявить и провести оценку патологического очага, установить его размер, в большинстве случаев составляющий 2-7 сантиметров в длину, и границы;
- биопсию — получение образцов патологически измененных тканей с последующим гистологическим анализом, позволяющим точно определить характер опухоли и отличить ее от хондросаркомы.
Третий день
Врачебный консилиум, в состав которого входит лечащий врач и ряд узкопрофильных специалистов, рассматривает полученные результаты обследований, ставит окончательный диагноз и разрабатывает программу лечения.
Сколько стоит лечение заболевания
Стоимость определяется после прохождения пациентом обследований и назначения лечебных процедур. В целом, цена лечения в Израиле на 30-50% ниже, чем в западноевропейских и американских клиниках соответствующего уровня.
Преимущества лечения в Израиле
- Опытные квалифицированные врачи.
- Точная диагностика на высокотехнологичном оборудовании.
- Профессиональное выполнение хирургического удаления опухоли.
- Полноценное устранение послеоперационных дефектов кости и реабилитация пациента.
- Демократичные цены.
Эффективное лечение даст возможность навсегда позабыть о болезни, избавит от дискомфорта и риска серьезных осложнений. Поэтому, при появлении подозрительных симптомов, не медлите, выбирайте клинику и начинайте курс терапии.
Лечение хондромиксоидной фибромы в Израиле — прогрессивные методы и высокие результаты
![хондромиксоидная фиброма]()
Хондромиксоидная фиброма является очень редкой доброкачественной опухолью кости, состоящей из хрящеобразующей ткани. Комплексное лечение хондромиксоидной фибромы в Израиле ежегодно проводится огромному числу зарубежных пациентов и примерно в 95% случаев обеспечивает выздоровление. Обязательным условием успеха является прохождение полноценного терапевтического курса на начальном этапе заболевания. Популярность Израиля объясняется участием в лечебном процессе высококвалифицированных опытных врачей, наличием современного лечебно-диагностического оборудования, результативностью проводимой терапии.
Несмотря на то, что при заболевании озвучивается позитивный прогноз, существует вероятность рецидивирования и перерождения в злокачественную хондросаркому. Именно поэтому рекомендуется начинать лечение незамедлительно после диагностирования патологии. Для постановки диагноза требуется оперативное обследование пациента. На представленной в клиниках Израиля высокоточной аппаратуре возможно буквально за несколько дней выявить опухоль и описать ее признаки. Все виды диагностических и лечебных процедур выполняются в максимально комфортных условиях, что подтверждают отзывы пациентов. Также подчеркивается доступная стоимость медицинских услуг.
Лучшие клиники Израиля
![Клиника Ихилов]()
Клиника Ихилов
![Клиника Ассута]()
Клиника Ассута
![Медцентр Шиба]()
Медцентр Шиба
Лучшие клиники Турции
![Медицинский центр LIV]()
Медицинский центр LIV
![Госпиталь Медипол]()
Госпиталь Медипол
![Сеть больниц Медикал Парк]()
Сеть больниц Медикал Парк
Лучшие клиники Испании
![Клиника Монтепринципе]()
Клиника Монтепринципе
![Клиника Наваррского университета]()
Клиника Наваррского университета
![Университетская клиника Кирон]()
Университетская клиника Кирон
Лучшие клиники Германии
![Клиника Шарите]()
Клиника Шарите
![Клиника Мюнхенского университета]()
Клиника Мюнхенского университета
![Клиника Швабинг]()
Клиника Швабинг
Клиники Австрии
![Венская клиника (AKH)]()
Венская клиника (AKH)
![Частная клиника Грац Рагниц]()
Частная клиника Грац Рагниц
![Венская частная клиника]()
Венская частная клиника
Лучшие клиники Швейцарии
![Клиника Леманик]()
Клиника Леманик
![Лозаннский центр пластической хирургии]()
Лозаннский центр пластической хирургии
![Женолье клиника]()
Женолье клиника
Лучшие клиники США
![Госпиталь Джона Хопкинса]()
Госпиталь Джона Хопкинса
![Клиника Цинциннати]()
Клиника Цинциннати
![Университетский медицинский центр в Принстоне]()
Университетский медицинский центр в Принстоне
Лучшие клиники Китая
![Клиника Clifford]()
Клиника Clifford
![Клиника Чандженг]()
Клиника Чандженг
![Медицинский центр Саншайн (Sunshine)]()
Медицинский центр Саншайн (Sunshine)
Лучшие клиники Кореи
![Больница Бумин Сеул]()
Больница Бумин Сеул
![Клиника Северанс]()
Клиника Северанс
![Госпиталь при Университете Сунчонхян в городе Пучон]()
Госпиталь при Университете Сунчонхян в городе Пучон
Как проходит лечение заболевания
Хондромиксоидная фиброма встречается крайне редко, обычно развиваясь в длинных трубчатых костях, у отдельных пациентов выявляясь в ребрах, тазовых и черепных костях, позвонках. Стимулирующие опухолевый процесс причины не установлены. Быстрый рост доброкачественной опухоли и выраженные симптомы, в основном, проявляются у детей, тогда как у взрослых пациентов патология может протекать бессимптомно. Несмотря на положительный прогноз, существует вероятность рецидивирования и малигнизации (озлокачествления).
Пациенты жалуются на различной интенсивности боль при движении и в покое, мышечную слабость, ограничение подвижности ближайшего к патологическому очагу сустава.
![хондромиксоидная фиброма]()
Как и во всех государствах с развитой сферой медицины, в Израиле лечение данного онкозаболевания в обязательном порядке предполагает хирургическое удаление новообразования. Принимая во внимание вероятность малигнизации, израильские онкологи рекомендуют скорейшее проведение терапии.
Хирургическое лечение
В зависимости от стадии развития и других особенностей онкообразования для его устранения применяются различные методы хирургических процедур.
- Краевая резекция зоны поражения — этот способ чаще всего выбирается в силу своей эффективности и безопасности. При выполнении операции вовлеченная в опухолевый процесс костная ткань иссекается, при этом сохраняется целостность кости. Удалению подлежит опухоль и неизмененные ткани в радиусе 5 миллиметров и более от нее. Размер отступа определяется индивидуально и в большой степени зависит от расположения онкообразования в определенной кости. Резекция окружающих нормальных тканей направлена на устранение единичных патологически измененных клеток, которые сохранились после вмешательства. Таким образом предупреждается развитие рецидива опухоли.
- Кюретаж — патологический очаг выскабливается кюреткой, в результате чего в кости образуется небольшое углубление. В Израиле таким образом опухоль удаляется редко, поскольку он не особо надежен, и велика вероятность сохранения после операции жизнеспособных патологических клеток, что приводит к рецидиву.
- Реконструктивная пластика — при необходимости удаления большого фрагмента и образовании объемного послеоперационного дефекта показана аутогенная или аллогенная трансплантация костной ткани. Процедура аутотрансплантации заключается в пересадке костной ткани, полученной у самого пациента. Одним из основных преимуществ этого метода является отсутствие отторжения и быстрое приживление. При аллотрансплантации проводится пересадка донорского материала, получение которого не требует проведения еще одной операции.
После успешного проведения операции пациент в течение приблизительно недели находится в клинике. Для восстановления утраченной подвижности больной после выписки направляется на прохождение реабилитации по специально составляемой программе. В нее входят различные виды физиопроцедур, лечебная гимнастика, направленная на укрепление костно-мышечного аппарата, улучшение координации.
Радиотерапия
В результате дистанционного облучения опухолевого очага уменьшается его размер, купируются беспокоящие пациента симптомы. Однако сеансы лучевой терапии включаются в схему лечения очень редко, поскольку радиоактивное облучение существенно повышает риск злокачественного перерождения онкообразования.
Каким бы успешным ни было лечение, нельзя забывать о вероятности развития рецидива опухоли. В связи с этим на протяжении последующих трех лет пациенту необходимо регулярно посещать лечащего ортопеда и проходить назначенные им обследования.
Как проходит диагностика заболевания
Учитывая, что для данного заболевания характерно бессимптомное протекание, очень часто оно обнаруживается случайно, при обследовании по другому поводу. В Израиле в течение, в среднем, трех дней проводится комплексное обследование пациента, помогающее поставить точный диагноз, установить природу онкообразования и дифференцировать его от ряда других заболеваний костно-мышечной системы и хондросаркомы.
Первый день
В первый день пребывания пациента в медицинском центре проводится консультация ортопеда, на которой изучаются предоставленные результаты предыдущих обследований и заключения специалистов, проводится поверхностный осмотр. После сбора подробного анамнеза и уточнения характера проявляющихся симптомов назначаются требующиеся обследования.
Второй день
Выполнение назначенных диагностических процедур:
- рентгенографии — проводится с целью выявления онкообразования и определения его особенностей;
- биопсии — получение опухолевых тканей для проведения их гистологического исследования, позволяющего исключить злокачественность и поставить конечный диагноз;
- иммуногистохимический анализ — направлен на определение чувствительности к некоторым белкам и выявление гликогена, наличие которого показательно для данного заболевания.
Третий день
Изучение результатов консилиумом, в состав которого входят ортопед и узкопрофильные специалисты. После изучения показателей врачами коллегиально ставится диагноз и выстраивается схема терапии.
Сколько стоит лечение
Для большинства пациентов одно из решающих значений при выборе страны для лечения имеет его цена. Прохождение терапевтического курса в Израиле дает возможность сэкономить около 30% средств, затрачиваемых в европейских странах, и обходится на 50% дешевле, чем в США.
Преимущества лечения в Израиле
- Компетентные опытные врачи, пользующиеся авторитетом во всем мире.
- Новейшее лечебно-диагностическое оборудование.
- Органосохраняющие и реконструктивные операции.
- Мультидисциплинарный подход к лечебному процессу.
- Демократичные цены.
Использование новейших разработок израильской медицины и фармакологии позволяет успешно побороть болезнь и восстановить здоровье. Не терпите недомогание, связывайтесь с клиникой и помните — ухудшение самочувствия является сигналом организма о необходимости скорейшего лечения.
Публикации в СМИ
Хондрома — опухоль детского и юношеского возраста. Вовлекаются чаще короткие трубчатые кости кисти и стопы. К хондромам следует относиться как к потенциально злокачественным опухолям. Хондромы разделяют на энхондромы и экхондромы • Энхондрома — опухоль, располагающаяся внутри кости. В центре вздутого одиночного очага — гомогенное просветление неправильной округлой или овальной формы с чёткими контурами. На его однородном фоне обнаруживают единичные тени очагов обызвествления хряща •
Экхондрома — опухоль, исходящая из кости и растущая в сторону мягких тканей. На фоне уплотнения мягких тканей выявляют участки обызвествления различных размеров и интенсивности. Границы опухоли и её основание обнаруживают с трудом • Клиническая картина. Чаще поражаются фаланги пальцев кисти и стопы, плюсневые, предплюсневые и пястные кости, реже — бедренные и плечевые кости. Характерны постепенно развивающаяся припухлость, при близком расположении к суставу — артралгии, явления синовита. Энхондрома может трансформироваться в хондросаркому: при этом ускоряется рост опухоли, появляются боли, возникают участки обызвествления опухоли и накопление изотопа при сцинтиграфии. Для уточнения диагноза показана биопсия опухоли • Лечение хондром только хирургическое — экскохлеация опухоли, резекция кости с костной пластикой. При подозрении на малигнизацию — сегментарная резекция поражённой кости.
Хондробластома — редкая опухоль, составляет 1–1,8% первичных опухолей кости (10% всех опухолей скелета). Возникает преимущественно в детском и юношеском возрасте. Излюбленная локализация — длинные трубчатые кости. Поражает эпифизы и метафизы (проксимальный и дистальный отделы бедренной кости, проксимальные отделы большеберцовой и плечевой костей), реже — кости таза и лопатки • Клиническая картина. Превалирует боль, отмечается небольшая припухлость, иногда ограничение движений в суставе и гипотрофия мышц • Диагностика. Рентгенологически определяют неоднородный очаг деструкции округлой или овальной формы. Дифференциальную диагностику хондробластомы проводят с солитарной энхондромой и литической формой остеобластокластомы • Лечение хондробластомы хирургическое (кюретаж), однако, учитывая возможность малигнизации, рекомендуют резекцию кости.
Хондромиксоидная фиброма — безболезненная доброкачественная опухоль. Её метафизарное эксцентрическое расположение в длинной трубчатой кости с истончением и вздутием кортикального слоя напоминает хондробластому. Чаще возникает в возрасте до 30 лет • Клинические проявления минимальны; длительное время протекает бессимптомно; выявляют случайно на рентгенограммах в виде очага деструкции, иногда окружённого склеротическим ободком. На фоне очага деструкции видны трабекулярный рисунок и петрификаты • Лечение — оперативное (экскохлеация опухоли с последующим замещением дефекта кости трансплантатом).
Остеохондрома — встречается часто • Локализация: преимущественно в длинных трубчатых костях (медиальная поверхность проксимального метафиза плечевой, дистальный метафиз бедренной, проксимальный метафиз большеберцовой костей) • Рентгенологическое исследование. Опухоль представлена в виде дополнительной тени, соединённой с костью ножкой, реже широким основанием. Контуры бугристые, неровные. При больших размерах опухоли обнаруживают выраженную деформацию соседних костей • Дифференциальная диагностика — с одиночными и множественными костно-хрящевыми экзостозами. Остеохондрома может малигнизироваться • Лечение — хирургическое.
Остеобластокластома (гигантоклеточная опухоль) возникает в молодом возрасте (у лиц моложе 30 лет), поражает как эпифиз, так и метафиз длинных трубчатых костей • Патоморфология: наряду с одноядерными овальными клетками типа остеобластов обнаруживают многоядерные крупные гигантские клетки типа остеокластов • Формы: литическая, активно-кистозная и пассивно-кистозная • Клиническая картина: боль в области поражения, иногда — гиперемия кожи, деформация кости, возможны патологические переломы • Рентгенологическое исследование. Опухоль имеет вид овального очага просветления. Важным рентгенологическим признаком всех форм остеобластокластомы, отличающим её от туберкулёзных поражений кости, служит отсутствие остеопороза • Дифференциальная диагностика: исследует исключить дисплазии (хондрома, хондробластома, фиброзная дисплазия и др.) • Лечение остеобластокластом хирургическое. Щадящая резекция кости с удалением опухоли и одномоментной костной пластикой (ауто-, гомотрансплантаты либо замещение метилметакрилом) — метод выбора. При поражении опухолью позвоночника применяют лучевую терапию.Остеоид-остеома. Одни авторы рассматривают остеоид-остеому как хронический очагово-некротический негнойный остеомиелит, другие относят остеоид-остеому к опухолям • Частота. Остеоид-остеому выявляют у лиц молодого возраста (11–20 лет), мужчины болеют в 2 раза чаще. Обычно остеоид-остеома — солитарная опухоль, локализующаяся в любом отделе скелета (чаще в длинных трубчатых костях). На первом месте по частоте поражения стоит бедренная кость, затем большеберцовая и плечевая кости • Клиническая картина. Боли, особенно по ночам, локализованные, усиливающиеся при надавливании на очаг. Кожные покровы без изменений. При локализации опухоли на нижних конечностях — хромота. Рентгенографически выявляют очаг деструкции костной ткани овальной формы с чёткими контурами. Вокруг очага — зона остеосклероза за счёт периостальных и в меньшей степени эндостальных изменений. Для уточнения характера поражения и более чёткого выявления очага показана КТ. Дифференциальную диагностику при остеоид-остеоме проводят с костным абсцессом Броди • Лечение хирургическое. После радикального удаления, как правило, остеоид-остеома не рецидивирует.
Остеома — одна из наиболее морфологически зрелых доброкачественных опухолей скелета, происходящая из остеобластов. Диагностируют чаще в детском возрасте, иногда бывает случайной рентгенологической находкой • Виды: компактная и губчатая. Губчатая остеома чаще локализуется в трубчатых костях. Компактная остеома может локализоваться в костях свода черепа, придаточных пазухах. Рентгенодиагностика остеом не представляет трудностей. Компактная остеома даёт однородную бесструктурную интенсивную тень. Губчатая остеома трубчатой кости по мере роста смещается в сторону от сустава; на всём протяжении прослеживается истончённый кортикальный слой. Опухоль имеет трабекулярную структуру. Рост опухоли экзофитный • Лечение — удаление опухоли с участком здоровой костной ткани и надкостницей.
Гемангиома — врождённая аномалия, при которой пролиферация клеток эндотелия приводит к образованию скоплений, напоминающих опухоль; из костей наиболее часто поражается позвоночник: в теле 1–2 позвонков выявляют разрастание капилляров или кавернозных полостей с частичной деструкцией • Клиническая картина: незначительные боли, усиливающиеся при надавливании на остистый отросток, движении, длительном сидении или хождении • Рентгенологическое исследование: исчерченность костной ткани, в поздних стадиях — склероз тела позвонка и компрессия • Лечение — разгрузка позвоночника: ношение жёсткого корсета, лучевая терапия, при компрессии спинного мозга — ламинэктомия.
МКБ-10 • D16 Доброкачественное новообразование костей и суставных хрящей
Код вставки на сайт
Опухоли костей доброкачественные
Хондрома — опухоль детского и юношеского возраста. Вовлекаются чаще короткие трубчатые кости кисти и стопы. К хондромам следует относиться как к потенциально злокачественным опухолям. Хондромы разделяют на энхондромы и экхондромы • Энхондрома — опухоль, располагающаяся внутри кости. В центре вздутого одиночного очага — гомогенное просветление неправильной округлой или овальной формы с чёткими контурами. На его однородном фоне обнаруживают единичные тени очагов обызвествления хряща •
Экхондрома — опухоль, исходящая из кости и растущая в сторону мягких тканей. На фоне уплотнения мягких тканей выявляют участки обызвествления различных размеров и интенсивности. Границы опухоли и её основание обнаруживают с трудом • Клиническая картина. Чаще поражаются фаланги пальцев кисти и стопы, плюсневые, предплюсневые и пястные кости, реже — бедренные и плечевые кости. Характерны постепенно развивающаяся припухлость, при близком расположении к суставу — артралгии, явления синовита. Энхондрома может трансформироваться в хондросаркому: при этом ускоряется рост опухоли, появляются боли, возникают участки обызвествления опухоли и накопление изотопа при сцинтиграфии. Для уточнения диагноза показана биопсия опухоли • Лечение хондром только хирургическое — экскохлеация опухоли, резекция кости с костной пластикой. При подозрении на малигнизацию — сегментарная резекция поражённой кости.
Хондробластома — редкая опухоль, составляет 1–1,8% первичных опухолей кости (10% всех опухолей скелета). Возникает преимущественно в детском и юношеском возрасте. Излюбленная локализация — длинные трубчатые кости. Поражает эпифизы и метафизы (проксимальный и дистальный отделы бедренной кости, проксимальные отделы большеберцовой и плечевой костей), реже — кости таза и лопатки • Клиническая картина. Превалирует боль, отмечается небольшая припухлость, иногда ограничение движений в суставе и гипотрофия мышц • Диагностика. Рентгенологически определяют неоднородный очаг деструкции округлой или овальной формы. Дифференциальную диагностику хондробластомы проводят с солитарной энхондромой и литической формой остеобластокластомы • Лечение хондробластомы хирургическое (кюретаж), однако, учитывая возможность малигнизации, рекомендуют резекцию кости.
Хондромиксоидная фиброма — безболезненная доброкачественная опухоль. Её метафизарное эксцентрическое расположение в длинной трубчатой кости с истончением и вздутием кортикального слоя напоминает хондробластому. Чаще возникает в возрасте до 30 лет • Клинические проявления минимальны; длительное время протекает бессимптомно; выявляют случайно на рентгенограммах в виде очага деструкции, иногда окружённого склеротическим ободком. На фоне очага деструкции видны трабекулярный рисунок и петрификаты • Лечение — оперативное (экскохлеация опухоли с последующим замещением дефекта кости трансплантатом).
Остеохондрома — встречается часто • Локализация: преимущественно в длинных трубчатых костях (медиальная поверхность проксимального метафиза плечевой, дистальный метафиз бедренной, проксимальный метафиз большеберцовой костей) • Рентгенологическое исследование. Опухоль представлена в виде дополнительной тени, соединённой с костью ножкой, реже широким основанием. Контуры бугристые, неровные. При больших размерах опухоли обнаруживают выраженную деформацию соседних костей • Дифференциальная диагностика — с одиночными и множественными костно-хрящевыми экзостозами. Остеохондрома может малигнизироваться • Лечение — хирургическое.
Остеобластокластома (гигантоклеточная опухоль) возникает в молодом возрасте (у лиц моложе 30 лет), поражает как эпифиз, так и метафиз длинных трубчатых костей • Патоморфология: наряду с одноядерными овальными клетками типа остеобластов обнаруживают многоядерные крупные гигантские клетки типа остеокластов • Формы: литическая, активно-кистозная и пассивно-кистозная • Клиническая картина: боль в области поражения, иногда — гиперемия кожи, деформация кости, возможны патологические переломы • Рентгенологическое исследование. Опухоль имеет вид овального очага просветления. Важным рентгенологическим признаком всех форм остеобластокластомы, отличающим её от туберкулёзных поражений кости, служит отсутствие остеопороза • Дифференциальная диагностика: исследует исключить дисплазии (хондрома, хондробластома, фиброзная дисплазия и др.) • Лечение остеобластокластом хирургическое. Щадящая резекция кости с удалением опухоли и одномоментной костной пластикой (ауто-, гомотрансплантаты либо замещение метилметакрилом) — метод выбора. При поражении опухолью позвоночника применяют лучевую терапию.Остеоид-остеома. Одни авторы рассматривают остеоид-остеому как хронический очагово-некротический негнойный остеомиелит, другие относят остеоид-остеому к опухолям • Частота. Остеоид-остеому выявляют у лиц молодого возраста (11–20 лет), мужчины болеют в 2 раза чаще. Обычно остеоид-остеома — солитарная опухоль, локализующаяся в любом отделе скелета (чаще в длинных трубчатых костях). На первом месте по частоте поражения стоит бедренная кость, затем большеберцовая и плечевая кости • Клиническая картина. Боли, особенно по ночам, локализованные, усиливающиеся при надавливании на очаг. Кожные покровы без изменений. При локализации опухоли на нижних конечностях — хромота. Рентгенографически выявляют очаг деструкции костной ткани овальной формы с чёткими контурами. Вокруг очага — зона остеосклероза за счёт периостальных и в меньшей степени эндостальных изменений. Для уточнения характера поражения и более чёткого выявления очага показана КТ. Дифференциальную диагностику при остеоид-остеоме проводят с костным абсцессом Броди • Лечение хирургическое. После радикального удаления, как правило, остеоид-остеома не рецидивирует.
Остеома — одна из наиболее морфологически зрелых доброкачественных опухолей скелета, происходящая из остеобластов. Диагностируют чаще в детском возрасте, иногда бывает случайной рентгенологической находкой • Виды: компактная и губчатая. Губчатая остеома чаще локализуется в трубчатых костях. Компактная остеома может локализоваться в костях свода черепа, придаточных пазухах. Рентгенодиагностика остеом не представляет трудностей. Компактная остеома даёт однородную бесструктурную интенсивную тень. Губчатая остеома трубчатой кости по мере роста смещается в сторону от сустава; на всём протяжении прослеживается истончённый кортикальный слой. Опухоль имеет трабекулярную структуру. Рост опухоли экзофитный • Лечение — удаление опухоли с участком здоровой костной ткани и надкостницей.
Гемангиома — врождённая аномалия, при которой пролиферация клеток эндотелия приводит к образованию скоплений, напоминающих опухоль; из костей наиболее часто поражается позвоночник: в теле 1–2 позвонков выявляют разрастание капилляров или кавернозных полостей с частичной деструкцией • Клиническая картина: незначительные боли, усиливающиеся при надавливании на остистый отросток, движении, длительном сидении или хождении • Рентгенологическое исследование: исчерченность костной ткани, в поздних стадиях — склероз тела позвонка и компрессия • Лечение — разгрузка позвоночника: ношение жёсткого корсета, лучевая терапия, при компрессии спинного мозга — ламинэктомия.
МКБ-10 • D16 Доброкачественное новообразование костей и суставных хрящей
Читайте также:





























