Хронический лимфолейкоз
Добавил пользователь Владимир З. Обновлено: 13.12.2025
Хронический лимфоцитарный лейкоз (ХЛЛ) — наиболее распространенный лейкоз у взрослых.
Это заболевание начинается в клетках костного мозга. Производится избыточное количество аномальных незрелых клеток крови — предшественников лимфоцитов.
При хроническом лейкозе клетки лимфоцитов созревают лишь частично и могут напоминать нормальные лейкоциты. Проблема в том, что они не выполняют свою функцию и не борются с инфекцией как нормальные лейкоциты. Такие клетки (атипичные В-лимфоциты) постепенно накапливаются в костном мозге. Они мешают выработке и функционированию нормальных клеток крови.
В какой-то момент атипичные В-лимфоциты покидают костный мозг, их количество в крови увеличивается, и они могут попасть в другие органы — печень, селезенку, лимфатические узлы, вызывая появление специфических симптомов. Такие В-лимфоциты бесконтрольно воспроизводятся и живут слишком долго.
Чаще всего количество лейкозных клеток увеличивается медленно, и в течение нескольких лет люди могут не замечать никаких проявлений болезни.
Обратите внимание: ХЛЛ — не одно заболевание, а группа лимфоидных опухолей, которые дают различную клиническую картину. Обратитесь в LISOD, чтобы установить точный диагноз и пройти лечение, которое будет наиболее эффективным для вашего типа заболевания.
Факторы риска хронического лимфолейкоза
- Возраст. Чем старше человек — тем выше риск онкологических заболеваний. 9 пациентов из 10 с диагностированным ХЛЛ — старше 50 лет.
- Воздействие определенных химических веществ, особенно пестицидов и радона, может повышать риск ХЛЛ.
- История семьи. При наличии близких родственников с ХЛЛ, риск заболеть возрастает.
- Пол. Чаще болеют мужчины.
- Этническая принадлежность. ХЛЛ чаще диагностируется у жителей Северной Америки, Австралии и Европы.
Симптомы
Начало заболевания часто проходит незамеченным. Болезнь может быть заподозрена, если по анализам крови у пациента обнаруживают большое количество лимфоцитов.
На какие признаки нужно обратить внимание?
- Постоянная слабость, бледность, учащенное сердцебиение.
- Частые инфекционные заболевания; ангины, плохо поддающиеся лечению.
- Усиление потоотделения, особенно в ночное время.
- Необъяснимое повышение температуры.
- Снижение аппетита, потеря веса.
- Кровотечения из десен, носа, кишечника; кровоизлияния и синяки на коже и слизистых из-за снижения количества тромбоцитов.
- Увеличение лимфоузлов (шейных, подмышечных, паховых).
- Увеличение размеров печени, селезенки, ощущение тяжести в животе.
Для показателей крови характерна анемия (дефицит эритроцитов), лейкопения (уменьшение количества лейкоцитов), нейтропения (низкий уровень нейтрофилов), лимфоцитоз (избыток лимфоцитов), тромбоцитопения (нехватка тромбоцитов).
Перечисленные симптомы и признаки могут быть вызваны как ХЛЛ, так и другими заболеваниями. Если вы заметили один или несколько указанных признаков, важно немедленно обратиться к врачу, чтобы найти причину и при необходимости устранить ее.
Стадия болезни
При определении стадии хронического лимфолейкоза ориентируются на количество атипичных В-лимфоцитов, а также на то, увеличены ли лимфоузлы и селезенка и каковы другие показатели крови.
От стадии заболевания зависит дальнейшее лечение ХЛЛ.
Существует две разные системы стадирования хронического лимфолейкоза (ХЛЛ) — система Binet и система Rai.
Международная система Binet:
- Стадия А — менее 3 групп увеличенных лимфатических узлов (лимфаденопатия), без анемии или тромбоцитопении.
- Стадия B — 3 или более групп увеличенных лимфатических узлов, без анемии и тромбоцитопении.
- Стадия C — анемия и/или тромбоцитопения. Увеличено любое количество групп лимфоузлов.
Группа лимфатических узлов — это лимфоузлы в одной части тела, например, в области шеи, подмышек или паха, при этом не имеет значения с одной стороны тела (только справа или только слева) или с обеих увеличена группа лимфоузлов. Увеличенные лимфатические узлы под обеими руками относятся к одной группе. Селезенка также считается одной группой лимфатических узлов.
Также существует система RAI, в соответствии с которой определяют 5 стадий:
- Стадия 0, характеризующаяся увеличением лейкоцитов. Более 40% лимфоцитов в костном мозге и 15×109/л лимфоцитов в периферической крови.
- Стадия 1. Лимфоцитоз сопровождается увеличением лимфоузлов.
- Стадия 2. Лимфоцитоз сопровождается увеличением селезенки или печени (лимофузлы при этом могут быть увеличены или не увеличены).
- Стадия 3. Лимфоцитоз сопровождается анемией (лимфоузлы, селезенка и печень при этом могут быть увеличены или нет).
- Стадия 4. Лимфоцитоз сопровождается тромбоцитопенией (менее 100×109/л тромбоцитов).
Диагностика хронического лимфолейкоза

Онкогематолог. Доктор медицинских наук. Заслуженный врач Украины.
Записаться на прием
Первый шаг в диагностике ХЛЛ — консультация онкогематолога Больницы израильской онкологии LISOD. Тщательный осмотр позволяет обнаружить признаки заболевания. Также врач расспросит пациента о личной и семейной истории заболеваний, обсудит факторы риска, порекомендует необходимые методы обследования.
Точности диагностики в LISOD уделяется особое внимание, ведь от этого зависят дальнейшие шаги. Чем больше информации об опухолевом процессе получают специалисты, тем выше шанс подобрать эффективные препараты и методы лечения. Мы можем быть уверены в правильности результатов исследований, поскольку они выполняются в одной из ведущих патологических лабораторий Германии.
Прежде всего назначаются анализы крови. О хроническом лимфолейкозе говорит значительное увеличение количества В-лимфоцитов до 5×109/л или более. Для подтверждения диагноза ХЛЛ при обнаруженном лимфоцитозе проводится иммунофенотипирование.
Также могут назначаться:
- биопсия лимфоузла или селезенки, иммуногистохимическое исследование биоптата — определяется экспрессия специфических антигенов В-лимфоцитов (CD5, CD23, CD19);
- цитогенетическое исследование — позволяет определить кариотип лейкозных клеток;
- пункция, биопсия костного мозга — такие исследования проводятся под обязательным анестезиологическим сопровождением, пациент не чувствует боли или неприятных ощущений;
- молекулярные и генетические исследования.
При необходимости дообследования могут назначаться УЗИ, КТ, ПЭТ-КТ и другие исследования.
Методы лечения хронического лимфолейкоза
В LISOD определением тактики лечения для каждого пациента занимается консилиум специалистов. Это дает возможность учесть все нюансы заболевания и назначить наиболее эффективное лечение с учетом возраста пациента, общего состояния здоровья, стадии заболевания. Назначая лечение, врачи руководствуется рекомендациями международных медицинских протоколов (NCCN, АНА, ЕНА, ESMO и др.).
Как правило, хронический лимфолейкоз развивается медленно, и многие пациенты не нуждаются в каком-либо лечении в течение нескольких месяцев или даже лет. Лечение начинается тогда, когда клинические симптомы или анализы крови пациента показывают, что заболевание дошло до такой стадии, что может повлиять на качество жизни пациента. Однако есть и такие пациенты, которым необходимо лечение в самом начале болезни.
В LISOD при лечении ХЛЛ применяют такие методы:
Лекарственные препараты
Основной метод лечения для пациентов с диагнозом хронический лимфолейкоз — химиотерапия. Протокол зависит от особенностей конкретного заболевания. Также могут назначаться таргетные препараты или моноклональные антитела.
Лучевая терапия
Возможности этого метода ограничены из-за системного характера хаболевания. Однако в некоторых случаях назначается облучение увеличенных лимфоузлов и селезенки с целью их уменьшения. Также облучение может быть назначено при боли, вызванной поражением костей.
Лечение хронического лимфолейкоза позволяет большинству пациентов достичь длительной ремиссии. На всех этапах лечения специалисты больницы LISOD контролируют состояние здоровья пациента, при необходимости — меняют схему лечения и назначают сопроводительную терапию. В LISOD вы всегда можете быть уверены, что находитесь в надежных руках опытных врачей.
9 ноября 2020 Анемия. Болезнь или симптом?
22 октября 2019 Отделение онкогематологии LISOD — открыто для пациентов!
Хронический лимфолейкоз

Хронический лимфолейкоз – это злокачественное заболевание крови, которое сопровождается избыточной выработкой зрелых, но неполноценных лимфоцитов В-типа и накоплением их в селезенке, печени, лимфатических узлах. Одновременно развивается дефицит эритроцитов, сопровождающийся симптомами анемии, и тромбоцитов, в результате чего пациент начинает страдать от избыточной кровоточивости. Для лечения используется химиотерапия и пересадка костного мозга.
О заболевании
Хронический лимфолейкоз чаще встречается у взрослых старше 40 лет, хотя, в последнее время отмечается тенденция к омоложению заболевания. Мужчины страдают чаще женщин. Пик заболеваемости приходится на возраст 50-70 лет. Патология относится к группе неходжкинских лимфом. Заболевание может протекать как практически бессимптомно, так и сразу проявить себя яркой симптоматикой и привести к летальному исходу в течение 2-3 лет с момента манифестации.
Классификация хронического лимфолейкоза
Гематологи выделяют несколько форм хронического лимфолейкоза, отличающихся скоростью развития, симптоматикой и реакцией на лечение:
- классическая (прогрессирующая) форма: нарастание признаков происходит в течение нескольких месяцев;
- лимфолейкоз с доброкачественным течением: характеризуется медленным нарастанием изменений в общем анализе крови, а между первыми признаками заболевания и ощутимым влиянием на качество жизни проходит несколько лет или несколько десятков лет;
- опухолевая форма: характеризуется значительным увеличением лимфатических узлов на фоне небольших изменений в общем анализе крови;
- костномозговая форма: лимфоузлы, селезенка и печень не затронуты, в анализе крови отмечается выраженный дефицит клеток;
- лимфолейкоз с увеличением селезенки;
- лимфолейкоз с парапротеинемией: характеризуется накоплением в крови и тканях аномальных иммуноглобулинов;
- прелимфоцитарная форма: отличается наличием в крови и костном мозге атипичных лимфоцитов, содержащих нуклеолы;
- волосатоклеточный лейкоз: отмечается дефицит клеток крови в сочетании с увеличением селезенки, а при микроскопическом исследовании проб выявляются характерные изменения строения лимфоцитов; их цитоплазма имеет неровные «ворсинчатые» края;
- Т-клеточная форма: редкая форма, характеризующаяся поражением кожи и быстрым прогрессированием.
В течении хронического лимфолейкоза выделяют три стадии:
- начальная: симптомы отсутствуют, патология выявляется только при лабораторном исследовании;
- стадия развернутых клинических проявлений: симптоматика становится яркой и очевидной;
- терминальная: состояние больного ухудшается, возникают многочисленные нарушения работы органов, приводящие к летальному исходу.
Симптомы хронического лимфолейкоза
Выраженность признаков хронического лимфолейкоза зависит от стадии заболевания. Изначально пациент не отмечает каких-либо изменений в самочувствии или в состоянии лимфоузлов. По мере прогрессирования патологии и перехода к стадии развернутых проявлений, появляются характерные симптомы заболевания:
- увеличение лимфатических узлов; наиболее часто страдают подмышечные и шейные группы, затем заболевание захватывает узлы в груди и брюшной полости, затем – паховые; лимфоузлы безболезненны при ощупывании, не спаиваются с окружающими тканями и легко смещаются относительно них; отдельные элементы могут достигать 5 см в диаметре и более;
- увеличение печени, селезенки и других внутренних органов; нередко сопровождается признаками сдавления соседних структур;
- слабость, утомляемость, снижение работоспособности.
По мере прогрессирования заболевания симптомы становятся более выраженными. К уже имеющимся проблемам добавляется потливость, особенно выраженная по ночам, небольшое, но длительное повышение температуры, повышенная склонность к простудным заболеваниям, инфекциям кожи и подкожной клетчатки, поражению мочевыводящих путей.
При переходе к терминальной стадии течение заболевания осложняется плевритом, воспалением легких, генерализованными кожными инфекциями, поражением головного и спинного мозга, сердечной мышцы.
Причины хронического лимфолейкоза
Причины развития патологии не определены. Более того, пока врачам не удается достоверно доказать связь между заболеванием и воздействием канцерогенов (ионизирующее излучение, токсины и т.п.). В настоящее время наиболее вероятным фактором риска является наследственная патология.
Получить консультацию
Если у Вас наблюдаются подобные симптомы, советуем записаться на прием к врачу. Своевременная консультация предупредит негативные последствия для вашего здоровья.
Узнать подробности о заболевании, цены на лечение и записаться на консультацию к специалисту Вы можете по телефону:
Хронический лимфолейкоз
Хронический лимфолейкоз - это онкологическое заболевание лимфатической ткани, при котором опухолевые лимфоциты накапливаются в периферической крови, костном мозге и лимфатических узлах. В отличие от острых лейкозов, опухоль растет достаточно медленно, вследствие чего нарушения кроветворения развиваются лишь в поздних стадиях развития заболевания.
- Слабость
- Увеличение лимфатических узлов
- Тяжесть в животе (в левом подреберье)
- Склонность к инфекциям
- Потливость
- Снижение массы тела
Чаще всего первым симптомом хронического лимфолейкоза является увеличение размеров лимфатических узлов. Вследствие увеличения селезенки, возможно возникновение ощущения тяжести в животе. Нередко больные испытывают значительную общую слабость, теряют вес, у них повышена частота развития инфекционных заболеваний. Симптомы развиваются постепенно, в течение длительного времени. Примерно в 25% случаев заболевание обнаруживают случайно при анализе крови, назначенном по другому поводу (диспансеризация, обследование по поводу негематологического заболевания).
ДИАГНОСТИКА ХРОНИЧЕСКОГО ЛИМФОЛЕЙКОЗА
- Врачебный осмотр
- Клинический анализ крови с подсчетом лейкоцитарной формулы
- Исследование костного мозга позволяет выявить характерную для этого заболевания картину поражения.
- Иммунофенотипирование клеток костного мозга и периферической крови выявляет специфические иммунологические маркеры, характерные для опухолевых клеток при хроническом лимфолейкозе.
- Биопсия пораженного лимфатического узла с его морфологическим и иммунологическим исследованием.
- Определение уровня β 2-микроглобулина помогает прогнозировать течение заболевания.
- Цитогенетический анализ позволяет получить данные о характеристике опухолевых клеток, которые в ряде случаев имеют прогностическое значение.
- Определение уровня иммуноглобулинов позволяет определить, насколько велик риск развития инфекционных осложнений у данного пациента.
СТАДИИ ХРОНИЧЕСКОГО ЛИМФОЛЕЙКОЗА
Существует несколько подходов к определению стадий хронического лимфолейкоза - системы Rai, Binet и Международной рабочей группы по хроническому лимфолейкозу. Все они учитывают то факт, что продолжительность жизни больных хроническим лимфолейкозом зависит от степени распространенности опухоли (числа пораженных групп лимфатических узлов) и степени нарушения кроветворения в костном мозге. Нарушение костномозгового кроветворения, вызванное опухолевым ростом в костном мозге, ведет к развитию анемии (снижению числа эритроцитов в крови) и тромбоцитопении (снижению числа тромбоцитов). Определение стадии хронического лимфолейкоза позволяет принять решение о необходимости начать лечение и выбрать наиболее приемлемый для данного больного режим терапии.
- Стадия А - лимфоцитоз при поражении не более 2-х групп лимфатических узлов (или в отсутствие их поражения); тромбоцитопения и анемия отсутствуют.
- Стадия В - поражены 3 и более группы лимфатических узлов; тромбоцитопения и анемия отсутствуют.
- Стадия С - наличие тромбоцитопении или анемии независимо от числа пораженных групп лимфатических узлов.
- I - при наличии лимфаденопатии
- II - при увеличении селезенки (спленомегалии)
- III - при наличии анемии
- IV - при наличии тромбоцитопении
- Быстрое нарастание числа лимфоцитов в крови
- Прогрессирующее увеличение лимфатических узлов
- Значительное увеличение селезенки
- Нарастание анемии и тромбоцитопении
- Появление симптомов опухолевой интоксикации - лихорадки, ночных потов, потери веса, выраженной слабости
- Химиотерапия препаратом хлорбутин до недавнего времени являлась стандартным методом лечения хронического лимфолейкоза. В настоящее время доказана более эффективно использование новой группы препаратов, так называемых пуриновых аналогов, представителем которой является Флудара.
- К эффективным методам лечения хронического лимфолейкоза относят биоиммунотерапию с применением моноклональных антител. Введение этих препаратов позволяет селективно уничтожать опухолевые клетки, не повреждая здоровые ткани организма.
- При неудовлетворительной эффективности других методов лечения, может быть осуществлена высокодозная химиотерапия с трансплантацией кроветворных стволовых клеток.
- Лучевая терапия применяется в качестве вспомогательного метода лечения при наличии большой опухолевой массы.
- Удаление селезенки (спленэктомия) иногда показана при значительном увеличении этого органа.
© 2022 ФГБУ «НМХЦ им. Н.И. Пирогова» Минздрава России. Использование материалов сайта полностью или частично без письменного разрешения строго запрещено.
Хронический лимфолейкоз (ХЛЛ)
Хронический лимфоцитарный лейкоз (ХЛЛ) характеризуется прогрессирующим накоплением фенотипически зрелых злокачественных В-лимфоцитов. Первичные места заболевания включают периферическую кровь, костный мозг, селезенку и лимфоузлы. Симптоматика заболевания может отсутствовать или проявляться лимфаденопатией, спленомегалией, гепатомегалией, утомляемостью, лихорадкой, ночными приливами, непреднамеренной потерей веса и чувством быстрого насыщения. Диагноз ставится на основании результатов проточной цитометрии и иммунофенотипирования периферической крови. Лечение откладывается до появления симптомов и, как правило, включает проведение химиотерапии и иммунотерапии. Тем не менее методы лечения прогрессируют, и схемы терапии первой линии могут включать в себя целевые агенты, такие как ингибиторы тирозинкиназы Брутона (Btk) и регуляторы апоптоза Bcl-2, с химиотерапией или без нее.
Хотя причина ХЛЛ неизвестна, в некоторых случаях отмечается семейный анамнез. ХЛЛ редко встречается в Японии и Китае и, судя по данным, частота заболеваемости не увеличивается у этнических японцев, живущих в Соединенных Штатах Америки, что также подтверждает важность генетических факторов. Наиболее распространен ХЛЛ у евреев из Восточной Европы.
Патофизиология ХЛЛ
Во время хронического лимфолейкоза CD5-положительные B-клетки подвергаются злокачественной трансформации. В-клетки непрерывно активируются путем приобретения мутаций, что приводит к моноклональному В-клеточному лимфоцитозу (MBL). Дальнейшее накопление генетических аномалий и последующая онкогенная трансформация моноклональных В-клеток приводит к развитию ХЛЛ. Лимфоциты сначала накапливаются в костном мозге, а затем распространяются в лимфатические узлы и другие лимфоидные ткани, в конечном итоге вызывая спленомегалию, гепатомегалию, а также системные проявления, такие как утомляемость, лихорадка, ночная потливость, чувство быстрого насыщения и необъяснимое снижение массы тела.
По мере прогрессирования ХЛЛ аномальный гемопоэз приводит к анемии, нейтропении, тромбоцитопении и снижению выработки иммуноглобулина. Гипогаммаглобулинемия может развиться у двух третей пациентов, повышая риск развития инфекционных осложнений. Пациенты имеют повышенную восприимчивость к аутоиммунным гемолитическим анемиям (с прямой положительной антиглобулиновой реакцией) и аутоиммунной тромбоцитопении.
ХЛЛ может прогрессировать в В-клеточный пролимфоцитарный лейкоз, а также может трансформироваться в высоко дифференцированную неходжкинскую лимфому Неходжкинские лимфомы Неходжкинские лимфомы представляют собой гетерогенную группу заболеваний, развивающихся по причине злокачественной моноклональной пролиферации лимфоидных клеток в лимфоретикулярной ткани в лимфоузлах. Прочитайте дополнительные сведенияСимптомы и признаки ХЛЛ
На ранних стадиях часто протекает бессимптомно с незаметным появлением неспецифических симптомов (например, усталости, слабости, анорексии, потери веса, лихорадки и/или ночной потливости), которые могут побуждать к проведению диагностики. У более половины пациентов наблюдается лимфаденопатия. Она может быть локализованной (чаще всего поражены шейные и надключичные узлы) или генерализованной. Спленомегалия и гепатомегалия встречаются реже, чем лимфаденопатия. Поражение кожи (лейкоз кожи) встречается редко.
Хронический лимфолейкоз
Лимфолейкоз – это злокачественное заболевание, при котором костный мозг вырабатывает большое количество незрелых, неспособных выполнять свои функции лимфоцитов. Лимфоциты являются разновидностью лейкоцитов и отвечают за иммунитет. Злокачественные лейкоциты не справляются с защитной функцией, при этом подавляют образование нормальных клеток крови и нарушают работу других органов.
Существует много разновидностей этого заболевания. Лимфолейкозы делят в зависимости от скорости развития патологического процесса, степени зрелости лимфоцитов, типа поврежденных лимфоцитов (Т- и В-лимфоциты). Однако чаще всего выделяют 2 основных типа: острый лимфобластный лейкоз и хронический лимфоцитарный лейкоз.
Лечение лейкозов обычно комплексное. На данный момент существует несколько вариантов терапии, и каждый год появляются новые, все более эффективные методы лечения лимфолейкозов. Прогноз при остром лимфолейкозе благоприятный – 95 % пациентов полностью излечиваются. Прогноз при хроническом лимфолейкозе зависит от скорости развития заболевания и сопутствующих патологий, он неуклонно прогрессирует, однако соответствующее лечение часто приводит к ремиссии и значительному улучшению состояния пациента.
Синонимы русские
Острый лимфолейкоз, острый лимфоцитарный лейкоз, острый лимфобластный лейкоз, хронический лимфолейкоз, хронический лимфоцитарный лейкоз.
Синонимы английские
Pediatric acute lymphoblastic leukemia, childhood acute lymphoblastic leukemia, acute lymphocytic leukemia, ALL, chronic lymphocytic leukemia, CLL.
Симптомы
Острый лимфобластный лейкоз развивается достаточно быстро – обычно в течение нескольких недель. Симптомами его являются:
- лихорадка,
- слабость, недомогание,
- кровоточивость десен, частые носовые кровотечения,
- боли в животе,
- боли в костях,
- головные боли,
- увеличение лимфатических узлов шеи, подмышечной и паховой области,
- бледность.
Хронический лимфоцитарный лейкоз обычно никак не проявляется на начальной стадии. Он развивается годами, и постепенно возникают следующие симптомы:
- частые инфекционные заболевания,
- повышенная потливость, особенно ночью,
- кровоизлияния в кожу и слизистые,
- тяжесть в животе,
- слабость, недомогание,
- беспричинная потеря веса,
- бледность,
- одышка.
Общая информация о заболевании
Лимфоциты – это разновидность лейкоцитов. Как и все остальные клетки крови, лимфоциты образуются из единой стволовой клетки, которая находится в костном мозге и дает начало лимфоидной и миелоидной стволовым клеткам. От лимфоидной стволовой клетки происходят лимфоциты, от миелоидной – другие виды лейкоцитов, эритроциты и тромбоциты.
Для того чтобы из лимфоидной стволовой клетки развились зрелые Т- и В-лимфоциты, она должна пройти через ряд последовательных делений. Сначала из лимфоидной стволовой клетки образуются лимфобласты, которые затем дают начало 2 типам клеток – предшественникам Т-лимфоцитов и предшественникам В-лимфоцитов. В процессе деления клетки становятся все более зрелыми и специализированными. Последние этапы созревания лимфоцитов проходят уже не в костном мозге, а в лимфоидных органах: тимусе, лимфатических узлах и селезенке. В результате формируются зрелые Т- и В-лимфоциты.
Лимфоциты, по сути, – клетки иммунитета. Это значит, что они участвуют в распознавании и уничтожении чужеродных тел (вирусов, бактерий) или патологически измененных тканей собственного организма (например, клеток опухоли). Т- и В- лимфоциты делают это по-разному. В-лимфоциты борются с чужеродными клетками (антигенами) с помощью иммуноглобулинов – белков, которые связывают антигены и запускают процесс их разрушения специальными белками. Т-лимфоциты распознают антигены, разрушают их самостоятельно или при взаимодействии с другими клетками крови, активируют выработку иммуноглобулинов В-лимфоцитами.
При лимфолейкозе нарушается формирование лимфоцитов. Появляется большое количество незрелых клеток, которые не способны выполнять свою работу. Это приводит к серьезным сбоям иммунитета. Человек становится более подвержен таким инфекционным заболеваниям, как туберкулез, кандидоз. Могут возникать серьезные осложнения от плановых прививок. Часто появляются так называемые аутоиммунные реакции – то есть иммунитет борется с нормальными клетками организма, например эритроцитами. В результате возникает анемия.
Злокачественные лимфоциты проникают в лимфатические узлы и селезенку, вызывая их увеличение, могут повреждать печень, легкие, головной мозг, кости.
При остром лимфолейкозе в костном мозге преобладают лимфобласты. Они очень быстро делятся, вытесняют из костного мозга и крови другие клетки, активно заселяют лимфатические узлы, селезенку. Чаще всего встречаются острые В-клеточные лейкозы, при которых образуется большое количество незрелых В-лимфоцитов. Острый В-клеточный лейкоз – самый распространенный вид лейкозов среди детей.
При хроническом лимфолейкозе в крови находят более зрелые формы лимфоцитов, которые способны некоторое время выполнять свои функции. Этот тип лейкоза характерен для людей старше 50-55 лет.
Кто в группе риска?
При остром лимфолейкозе в группе риска:
- люди, подвергавшиеся радиоактивному облучению,
- люди, подвергавшиеся химиотерапии или лучевой терапии в связи с другой формой рака,
- больные синдромом Дауна и другими генетическими нарушениями,
- люди, у братьев или сестер которых был диагностирован острый лимфолейкоз.
При хроническом лимфолейкозе в группе риска:
- представители европеоидной расы,
- люди старше 60 лет,
- люди, у родственников которых наблюдались случаи лейкоза.
Диагностика
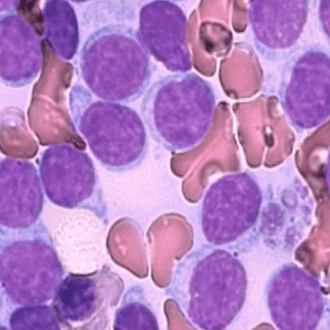
- с лейкоцитарной формулой. Это исследование дает врачу информацию о количестве, соотношении и степени зрелости элементов крови. . При остром лимфолейкозе лейкоциты могут быть повышены, в норме или понижены. Лейкоцитарную формулу (соотношение отдельных видов лейкоцитов) определяют по мазку крови. Для этого тонкий мазок наносится на предметное стекло, окрашивается специальными красителями, а затем исследуется под микроскопом. Таким образом врач может не только определить соотношение лейкоцитов, но и выявить патологические, незрелые клетки, которые внешне отличаются от нормальных.
- Тромбоциты могут быть снижены.
- Эритроциты и гемоглобин. Тоже могут быть снижены.
- Проточная цитометрия, иммунофенотипирование. При сложных вариантах лимфолейкоза эти методики позволяют точно определить тип злокачественных клеток. При проточной цитометрии измеряют параметры клетки с помощью лазерного луча. Иммунофенотипирование заключается в обнаружении специфических для разных типов клеток белков на поверхности мембраны лимфоцита.
- Цитогенетические исследования. Обычно берут венозную кровь. Клетки крови фиксируют и окрашивают, после чего специалист под микроскопом исследует их кариотип – полный набор хромосом, который идентичен в любой клетке человека. Используется для выявления хромосомных нарушений, характерных для лимфолейкоза. При лимфолейкозе могут быть повреждены 11-я, 13-я, 17-я хромосомы – выпадает определенный их участок, а так же может появляться лишняя 12-я хромосома (трисомия). Прогноз заболевания во многом зависит от вида хромосомных аномалий. Например, выпадение участка 13-й хромосомы или трисомия по 12-й при отсутствии других изменений в хромосомах являются благоприятным признаком, а выпадение участка 11-й или 17-й хромосом определяют более плохой прогноз.
- Биопсия костного мозга – взятие образца костного мозга из грудины или костей таза с помощью тонкой иглы. Проводится после предварительной анестезии. Затем под микроскопом выявляют лейкозные клетки.
- Спинномозговая пункция для выявления в спинномозговой жидкости, омывающей спинной и головной мозг, лейкозных клеток. Образец спинномозговой жидкости берется тонкой иглой, которая вводится между 3-м и 4-м поясничными позвонками после местной анестезии.
- Рентгенография грудной клетки. Может показать увеличение лимфатических узлов.
- УЗИ органов брюшной полости. Помогает выявить увеличение печени и селезенки.
- Химиотерапия – это использование специальных препаратов, которые разрушают лейкозные клетки или препятствуют их делению.
- Лучевая терапия – разрушение лейкозных клеток с помощью ионизирующего излучения.
- Таргетированная терапия – назначение препаратов, имеющих направленное действие на определенные виды злокачественных клеток. Эти препараты взаимодействуют с определенными белками на поверхности лейкозных клеток и вызывают их разрушение.
- Пересадка костного мозга – пациенту пересаживают нормальные клетки костного мозга от подходящего донора. Предварительно проводят курс химиотерапии или лучевую терапию в высоких дозах, чтобы уничтожить все патологические клетки.
- Лучевая терапия – разрушение лейкозных клеток с помощью ионизирующего излучения. Может быть использована при остром лимфолейкозе для полного разрушения лейкозных клеток перед пересадкой костного мозга.
- При остром лимфолейкозе в крови могут быть обнаружены лимфоциты разной степени зрелости – от лимфобластов до зрелых клеток.
При хроническом лимфолейкозе лимфобласты обычно отсутствуют в крови. Характерным признаком хронического лейкоза является обнаружение в мазке крови клеток (или теней) Боткина – Гумпрехта. Они представляют собой остатки разрушенных лимфоцитов. Тени Боткина – Гумпрехта отсутствуют в жидкой крови и образуются в процессе приготовления мазка. Их количество определяет интенсивность разрушения лимфоцитов в крови.
Лечение
При остром лимфобластном лейкозе прогноз благоприятный, особенно у детей. Большинство пациентов полностью излечиваются. Прогноз хронического лимфолейкоза зависит от скорости прогрессирования болезни и чувствительности к химиотерапии. Средняя продолжительность жизни пациентов с хроническим лимфолейкозом составляет 3-5 лет.
Профилактика
Специфической профилактики лимфолейкозов нет. Необходимо своевременно проходить профилактические осмотры, в ходе которых нередко выявляют заболевания крови.
Читайте также:
