Иммуногистология заболевания пародонта. Функциональная активность ПМЯЛ
Добавил пользователь Владимир З. Обновлено: 28.11.2025
Данный материал является научным авторефератом моей докторской диссертации, защита которой успешно состоялась 21 октября 2015 года на заседании диссертационного Совета Д 208.041.07, созданного на базе ГБОУ ВПО «Московский государственный медико-стоматологический университет имени А.И.Евдокимова» Минздрава РФ.
В первую очередь, автореферат "Современные иммунологические аспекты в патогенезе заболеваний пародонта" будет интересен специалистам в области стоматологии, а также широкому кругу читателей, кто интересуется современными тенденциями в исследованиях и научными взглядами в лечении пародонтита.
Что особо хотелось отметить - это возраст исследуемых. Средний возраст - всего 38 (!) ле т. Заболевания пародонта "молодеют", причем процент наблюдаемых мужчин составил около 30 процентов, женщин - чуть менее 70 процентов. Пародонтит становится серьезнейшей проблемой, затрагивающей 99-100 процентов взрослого населения России.
Работа выполнена в Государственном бюджетном образовательном учреждении высшего профессионального образования «Московский медико-стоматологический университет имени А.И.Евдокимова» Министерства здравоохранения Российской Федерации (ГБОУ ВПО МГМСУ имени А.И.Евдокимова Минздрава России).
Научные консультанты:
- Янушевич Олег Олегович , Заслуженный врач РФ, Лауреат премии Правительства Российской Федерации в области науки и техники, доктор медицинских наук, профессор
- Гуревич Константин Георгиевич , доктор медицинских наук, профессор
Официальными оппонентами в диссертации выступили:
- Аванесов Анатолий Михайлович , доктор медицинских наук, профессор, заведующий кафедрой общей и клинической стоматологии медицинского института Федерального государственного автономного образовательного учреждения высшего образования «Российский университет дружбы народов».
- Иванова Елена Владимировна , доктор медицинских наук, доцент кафедры терапевтической стоматологии Государственного бюджетного образовательного учреждения дополнительного профессионального образования «Российская медицинская академия последипломного образования» Минздрава РФ.
- Панченко Леонид Фёдорович , доктор медицинских наук, профессор, заслуженный деятель науки РФ, академик РАН, заведующий лабораторией биохимии филиала ФГБУ «Федеральный медицинский исследовательский центр психиатрии и наркологии им. В.П. Сербского» Минздрава РФ.
С моей диссертацией в полном объеме можно ознакомиться в библиотеке ГБОУ ВПО МГМСУ имени А.И. Евдокимова МЗ РФ по адресу 127206, Москва, ул. Вучетича, д.10а
Актуальность проводимого исследования
Согласно последним исследованиям ВОЗ, более 90% населения старше 40 лет страдает заболеваниями пародонта: в Российской Федерации у взрослого населения распространенность заболеваний пародонта достигает 99- 100% . Лечение заболеваний пародонта до настоящего времени остается сложной и не до конца решенной медицинской проблемой. Функциональные расстройства зубочелюстной системы, обусловленные потерей зубов от заболеваний пародонта, развиваются в 5 раз чаще, чем при осложнениях кариеса (Грудянов А.И, 2009). Более того, воспалительные заболевания пародонта осложняются психологическими факторами, и проблема становится не только медицинской, но и социальной (Дмитриева Л.А, 2001).
Известно, что развитие заболеваний пародонта определяется сложным взаимодействием иммунной системы и патогенов, переоценка роли каждого из которых может привести к предвзятым выводам (Pollreisz A, Huang Y, Roth GA, et all, 2010).
Эти знания необходимы для развития иммуномодулирующих стратегий при лечении пародонтита , а также для максимальной защиты и минимизации разрушений тканей пародонта. В рамках расширенной парадигмы Th1/Th2/Th17, вероятно, можно будет объяснить, чем обуславливается защитная или деструктивная реакция в пародонте отдельных клеток, и тогда вероятно, появится возможность разработать адекватные терапевтические вмешательства, максимизирующие защитные и минимизирующие деструктивные функции T-клеток при заболеваниях пародонта.
Цель исследования
Изучение иммунологических аспектов хронического генерализованного пародонтита для разработки персонифицированного подхода к лечению и оценке прогноза течения заболевания.
Задачи исследования
- Выявить факторы риска развития хронического генерализованного пародонтита
- Провести индексную оценку состояния полости рта при пародонтите до и после лечения
- Выявить факторы, связанные с неэффективностью лечения пародонтита
- Исследовать показатели клеточного иммунитета при пародонтите.
- Изучить содержание цитокинов в десневой жидкости и плазме крови у пациентов с пародонтитом
- Определить уровень антител к P.gingivalis у здоровых лиц и больных пародонтитом
- Провести оценку состояния иммуно-интерфероновой системы при пародонтите
- Исследовать особенности дифференцировки лимфоцитов при заболеваниях пародонта
- Изучить влияние лечения на иммунологические показатели
Научная новизна полученных результатов исследования
- Показано , что развитие и неэффективность лечения хронического генерализованного пародонтита сопряжены с наличием модифицируемых и немодицицируемых факторов риска. Среди немодифицируемых основными являются: женский пол, возраст. Основными модифицируемыми факторами риска являются: нерациональное питание, гиподинамия, курение, ожирение.
- Показано , что при пародонтите изменяются показатели клеточного звена иммунитета.
- Выявлено , что содержание TNFα, IL-18, IL-17 и IFNγ в десневой жидкости и плазме крови больных пародонтитом выше, чем у контрольных лиц.
- Доказано , что содержание IL-4 и IL-10 в десневой жидкости и плазме крови при пародонтите ниже, чем у практически здоровых лиц. В десневой жидкости и плазе крови наблюдается дисбаланс цитокинов остеокластогенеза. У 5% клинически здоровых лиц определены значимые титры IgA и IgM к P.gingivalis. Данные антитела выявлены у 100% больных пародонтитом. У 1 / 10 больных отсутствует выработка IgG к P.gingivalis.
- Обнаружено , что эффективность иммунного ответа на P.gingivalis, определяемая по выработке антител, связана с социально-демографическими, поведенческими и клиническими факторами.
- Выявлено три типа изменений системы интерферона при пародонтите: а) резкое снижение продукции IFNα и IFNγ, повышение уровень сывороточного IFN, б) снижение уровней сывороточного IFN, существенное снижение продукции IFNα и IFNγ на фоне повышения спонтанного синтеза IFN, в) снижение продукции IFNα и IFNγ, повышением уровня сывороточного IFN.
- Доказано , что при пародонтите снижается экспрессия CD14 и повышается экспрессия CD16 и CD45RA на лимфоцитах периферической крови.
- При пародонтите выявлено два основных типа изменений со стороны лимфоцитов: а) снижение числа цитототоксических Т-лимфоцитов (CD3 + CD8 + ), увеличение CD3 - CD8 + клеток (73,2% пациентов), б) повышение числа В-лимфоцитов и NK-клеток, выраженное снижение уровня Т-лимфоцитов (15,4% пациентов). При увеличении числа NK- клеток у 100% пациентов наблюдаются признаки резорбции костной ткани, а последующее лечение в 2/3 случаев будет неэффективным.
Какие научные положения были вынесены на защиту моей докторской диссертации
- Развитие и неэффективность лечения хронического генерализованного пародонтита сопряжены с наличием модифицируемых и немодифицируемых факторов риска.
- При пародонтите изменяются показатели клеточного звена иммунитета.
- Пародонтит сопряжен с дисбалансом про- и противо-воспалительных цитокинов как в десневой жидкости, так и в крови.
- Эффективность иммунного ответа на P.gingivalis, определяемая по выработке антител, связана с социально-демографическими, поведенческими и клиническими факторами.
- При хроническом пародонтите наблюдается три типа изменений системы интерферона и два основных типа изменений со стороны лимфоцитов.
Теоретическая и практическая значимость полученных результатов
- Разработана методология персонифицированной оценки течения пародонтита.
- Показана высокая иммунологическая эффективность лечения хронического генерализованного пародонтита методом root planing, которая позволяет добиться клинического улучшения состояния больного в 81% случаев через 6 месяцев . Данный метод также имеет положительное влияние на изучаемые показатели иммунной системы.
- Выявлены факторы, приводящие к снижению эффективности лечения хронического генерализованного пародонтита. К немодифицируемым относятся возраст и женский пол. К модифицируемым относятся курение, питание, низкая двигательная активность. Воздействие на них может повысить эффективность лечения пародонтита.
- Наиболее информативным методом изучения иммунного статуса при пародонтите является исследование малых субпопуляций лимфоцитов.
- Интерфероновый статус и уровень антител к P.gingivalis обладают прогностической информативностью в отношении течения хронического генерализованного пародонтита.
- Результаты работы послужили основанием для информационно-методического письма главного внештатного специалиста стоматолога МЗ РФ от 04.03.2015 года, главного внештатного стоматолога здравоохранения Ростовской области от 16.02.2015 года.
Внедрение результатов исследования
Результаты исследования послужили основанием для написания информационно-методических писем главного внештатного специалиста стоматолога МЗ РФ и главного внештатного стоматолога здравоохранения Ростовской области. Результаты используются в работе Министерства здравоохранения Республика Мордовия, в клинике ГБОУ ВПО КДМК МГМСУ им. А.И. Евдокимова МЗ РФ, ГБОУ ВПО Ростовский государственный медицинский университет МЗ РФ, поликлиническом отделении ФГБУ «РНИИАиП» МЗ РФ, ГАУ Ростовской области «Стоматологическая поликлиника», «Стоматологической поликлинике №4» Ростовской области.
Апробация результатов исследования
Материалы диссертации были доложены и обсуждены на заседании:
- кафедры «Пародонтологии»,
- кафедры ЮНЕСКО «Здоровый образ жизни-залог успешного развития»,
- кафедры патофизиологии,
- кафедры клинической стоматологии №3 ГБОУ ВПО Московский государственный медико-стоматологический университет МЗ РФ.
- III международной студенческой Научно-практической конференции, РУДН, Москва (2011),
- 7 конгрессе European Federation of Periodontology (2012) Vienna, Austria,
- VIII Всероссийской конференции «Иммунологические чтения в Челябинске» (2013),/li>
- 8 конгрессе European Federation of Periodontology (2015) London.
По теме моей диссертации "Современные иммунологические аспекты в патогенезе заболеваний пародонта опубликовано 26 работ , из них - 19 в журналах рекомендованных ВАК (Высшей Аттестационной Комиссией).
Я самостоятельно осуществляла подбор пациентов в исследование. Проводила клиническое, инструментальное и лабораторное обследование. Мной проведён анализ отечественной и зарубежной литературы, сформулированы цель, задачи, этапы и методы исследования, научные положения, выносимые на защиту, выводы и практические рекомендации. Я участвовала в иммунологических исследованиях, заполняла специально разработанные учетные формы и клинические карты. Также мной проведена статистическая обработка обобщенного материала, результаты статистической обработки вы сможете увидеть в этой статье.
У вас наблюдаются симптомы пародонтита? Все предыдущее лечение пародонтита оказалось неэффективным?
В исследование было включено 340 пациентов с пародонтитом
Итак, в мое исследование включено 340 пациентов с хроническим генерализованным пародонтитом, обратившихся в момент обострения заболевания, которые составили основную группу.
Средний возраст обратившихся был 38+0,5 лет , из них 30,1% составили мужчины. То есть женщины в исследовании составили чуть меньше 70%. Все обратившиеся - жители Москвы и Московской области. Обследованные удовлетворяли перечисленным ниже критериям включения, невключения и исключения из исследования.
Критерии включения в исследование:
мужчины и женщины в возрасте от 21 до 50 лет; постоянное проживание в Москве или Подмосковье; верифицированный диагноз «пародонтит средней степени тяжести»; отсутствие предшествующего лечения пародонтита в течение не менее 6 месяцев; прикус ортогнатический, вторичная адентия – III класс дефектов зубных рядов по Кеннеди Е. (1974) – включенные дефекты в области моляров или премоляров с одной стороны – отсутствие не более 2 зубов; наличие несъемных ортопедических конструкций – одиночные искусственные коронки, мостовидные протезы – время изготовления менее 3-х лет, удовлетворяющие гигиеническим требованиям; способность свободно читать и заполнять анкеты; у женщин на основании опроса – отсутствие беременности и кормления грудью, климактерического синдрома; высказанное в письменном виде письменное добровольное согласие на участие в исследовании.
Критерии исключения из исследования:
пародонтит легкой или тяжелой степени тяжести; предшествующее лечение пародонтита в течение 6 месяцев и менее до первого визита; для женщин – беременность или послеродовый период, а также климактерический синдром (отсутствие менструаций со слов женщины более 1 месяца); другие воспалительные или дегенеративные заболевания полости рта; системные заболевания; патологические виды прикуса; частичная вторичная адентия – I, II, IV классы дефектов зубных рядов по Кеннеди Е. (1974); III класс по Кеннеди Е. – отсутствие более 2 зубов; наличие съемных ортопедических конструкций; наличие несъемных ортопедических конструкций, время изготовления которых более 3-х лет, не удовлетворяющих гигиеническим требованиям; трудности с чтением и заполнением анкет; отсутствие письменного добровольного согласия на участие в исследовании.
Критерии невключения в исследование:
лица, находящиеся под действием алкоголя или наркотиков; пациенты, не способные обслуживать себя самостоятельно; наличие острых воспалительных заболеваний вне полости рта; возраст менее 21 лет и более 50 лет;
Чтобы отобрать указанных пациентов, было осмотрено 668 пациентов , обратившихся по поводу пародонтита.
Социальный статус пациента оценивали на основании специальной анкеты. Индекс массы тела рассчитывали на основании сообщенных пациентом данных о росте и весе.
Комплексное обследование пациентов с пародонтитом включало клиническое, индексное и рентгенологическое исследования.
При постановке диагноза использована классификация, в основу которой положена клиническая форма заболевания, с определением характера тяжести течения. Данная классификация принята в 1983 г. на 16 Пленуме Всесоюзного общества стоматологов в г. Ереван. Для индексной оценки состояния тканей пародонта использовали метод Силнеса и Лоэ, индекс РМА, индекс CPITN, метод Muhleman в модификации Cower, индекс гигиены Грина Вермильона, измерение глубины пародонтальных карманов с помощью зондов Уильямса.
Антитела к P.gingivalis определяли в плазме крови. Использовался иммуно-ферментный анализ (ИФА) для определения IgG, IgM, IgE. Все реактивы были производства фирмы Sigma (США). В работе использован "сэндвич"-вариант твердофазного ИФА. Исследования выполнены ФГБУ «ФНИЦ эпидемиологии и микробиологии имени Н.Ф. Гамалеи» МЗ РФ.
Показатели интерферонового-статуса определяли микрометодом в цельной крови по методике Григорян С.С и др. (1988). Исследования выполнены в лаборатории интерферонов и интерфероногенеза в ФГБУ «ФНИЦ эпидемиологии и микробиологии имени Н.Ф. Гамалеи» МЗ РФ.
Исследование субпопуляционного состава лимфоцитов периферической крови проводили с применением проточного цитофлюориметра на базе лаборатории клеточной иммунологии ФГБУ «ФНКЦ ДГОИ им. Дмитрия Рогачёва МЗ РФ. В работе использована двух-платформенная технология: при подсчете абсолютного количества клеток задействованы 2 прибора – проточный цитофлюориметр и гематологический анализатор.
Анализ содержания цитокинов IFN-γ, IFN-α, IL-4, IL-10 и TNF-α проводили с помощью твердофазного иммуноферментного анализа. Исследования выполнены в лаборатории интерферонов и в ФГБУ «ФНИЦ эпидемиологии и микробиологии имени Н.Ф. Гамалеи» МЗ РФ.
Законы распределения параметров устанавливали с помощью λ-критерия Колмогорова-Смирнова. При непротиворечии гипотезе о нормальном распределении сравнение дисперсий проводили при помощи F-критерия Фишера. При равенстве дисперсий для сравнения средних применяли t-критерий Стьюдента, иначе – критерий Уэлча. При противоречии гипотезе о нормальном распределении средние величины сравнивали с использованием U-статистики Вилкоксона-Мана-Уитни и X критерий Ван-дер Вардена. Для изучения механизмов взаимосвязи параметров применен корреляционный анализ. Вычисляли коэффициент ранговой корреляции Кэндалла, что позволило не учитывать закон распределения изучаемых параметров. Полученные коэффициенты корреляции сравнивали с нулем для определения их значимости и между собой для определения различий (Лакин Г.Ф., 1990; Харламов и соавт., 1994). Частоты встречаемости признаков оценивали методом «случай-контроль» с расчетом отношения шансов (OR, odds ratio). 95% доверительные интервалы рассчитывали методом Фишера (OR-Cl95%) (Гржибовский А.М., 2008).
Результаты собственных исследований
До начала лечения пациенты предъявляли жалобы на кровоточивость дёсен при чистке зубов, подвижность зубов, запах изо рта. В анамнезе у пациентов выявлены следующие поведенческие факторы риска: курение, нерациональное питание, гиподинамия, ожирение, аборты. У 35% мужчин и 12% женщин установлено предшествующее неэффективное лечение пародонтита, причем среди женщин это число достоверно ниже (таблица 1).
Типичная анамнестическая картина у пациентов до начала лечения пародонтита в зависимости от пола
Иммуногистология заболевания пародонта. Функциональная активность ПМЯЛ
Исследования иммунитета в стоматологии. Оценка местного иммунитета
Установлено, что длительно текущий воспалительный процесс в пародонте часто сопровождается изменением показателей иммунитета как клеточного, так и гуморального. Иммунологические методы исследования позволяют изучить состояние неспецифической и специфической защиты организма.
К факторам неспецифической защиты относятся:
• ПМЯЛ, ретикулярные, тучные клетки, гистиоциты, эозинофилы;
• фибронектин, лизоцим, простагландины (Е, F, А), интерферон, пропердин;
• система комплемента.
Включение специфических иммунных реакций в патогенетические факторы воспаления десны обусловливает генерализацию этого патологического процесса и его переход в хроническую фазу.

Оценка местного иммунитета
Для изучения состояния местных факторов защиты исследуют смешанную нестимулированную слюну. Определяют следующие показатели: 1) уровень лизоцима как неспецифического фактора защиты; 2) концентрация секреторного IgA.
Определение концентрации лизоцима в смешанной слюне. Исследование концентрации лизоцима проводят методом диффузии в агаре, содержащем 0,05 % порошка биомассы Micrococcus lisodeicticus.
Определение секреторного иммуноглобулина А в смешанной слюне. IgA — это секреторные иммуноглобулины, включающие два субкласса: IgAl (90 %) и IgA2 (10 %).
Определение уровня IgA в слюне проводят с использованием моноспецифических антисывороток к секреторному IgA с помощью ИФА.
При иммунологическом исследовании периферической крови оценивают состояние клеточной неспецифической зашиты (состояние Т- и В-систем иммунитета, функциональная активность ПМЯЛ), а также специфических факторов защиты (содержание сывороточных антител к пародонтопатогенным бактериям).
Оценка клеточной неспецифической защиты. При исследовании клеточной неспецифической защиты оценивают состояние Т- и В-систем иммунитета:
• определение содержания Т-лимфоцитов (CD3+) и их субпопуляций: Т-хелперов (CD4+); Т-киллеров (CD16+) и Т-супрессоров (CD8+), иммунорегуляторный индекс — соотношение Т-хелперов и Т-супрессоров);
• определение количества В-лимфоцитов (CD22+) проводят по методу А. Н. Чередеева(1976);
• определение уровня циркулирующих иммунных комплексов в сыворотке крови по методу Л. С. Косицкой и соавт. (1983).
Некоторые ученые, в частности К. Armitt и Н. Firatly, считают, что соотношение хелперных и супрессорных популяций лимфоцитов в крови пациентов с ВЗП является показателем активности процесса в пародонте. Иммуногистохимически выявлен повышенный уровень в тканях десны этих пациентов субпопуляций Т-хелперов и понижение Т-супрессоров.
Получены доказательства, что у больных с типичными формами ВЗП в крови снижается содержание Т- и В-лимфоцитов, а также Т-хелперов. При этом резко возрастает число естественных киллеров (CD 16+) и цитотоксических Т-лимфоцитов (CD8+). Это указывает на повышенную агрессивность клеток иммунной системы, что может способствовать развитию клеточных иммунопатологических реакций. Повышение супрессорной активности может рассматриваться как реакция организма, направленная на подавление воспалительных процессов.
Информация на сайте подлежит консультации лечащим врачом и не заменяет очной консультации с ним.
См. подробнее в пользовательском соглашении.
Специфические факторы защиты пародонта. Цитотоксические реакции
Содержание иммуноглобулинов различных классов в сыворотке крови определяют по методу Manchini и соавт. (1965). Систематическое изучение иммунологических показателей у пациентов с заболеваниями пародонта не выявило у них существенных нарушений гуморального иммунитета. Об этом же свидетельствуют результаты исследований McArthur, Clark (1993), которые указывают на отсутствие значимых изменений уровня иммуноглобулинов при ВЗП.
Вместе с тем показатели сывороточных антител к пародонтопатогенным бактериям могут быть в определенной мере использованы с целью прогноза течения процесса либо объяснения его повышенной активности.
Так, иммунологические исследования показали, что у пациентов с ювенильным пародонтитом и БПП происходит значительное повышение количества сывороточных антител IgG к A. actinomycetemcomitans, в частности IgG 1 и IgG3, по сравнению с пациентами с типичными формами пародонтита. В отдельных работах выявлено наличие высокого титра IgG2 к липополисахаридам пяти серотипов Л. actinomycetemcomitans у пациентов с БПП, который не зависел от серотипа А.
Цитотоксические реакции наблюдаются в случаях, когда антитела реагируют непосредственно с антигенами, присутствующими на клетках тканей, либо с антигенами — натуральными тканевыми компонентами. Итогом этих взаимодействий является разрушение тканевых структур. Чаще всего такие цитотоксические антитела представлены иммуноглобулинами классов G и М. Кроме того, в процессе их связывания с антигенами обычно активируется и система комплемента.

Подтверждением наличия цитотоксических реакций является повышение содержания в десневой жидкости компонентов расщепления комплемента — белков G3a, G5a, а также иммуноглобулинов и ряда белков, принимающих активное участие в индуцировании и течении воспаления: а2-макроглобулин, а,-антитрипсин, трансферрин и медленно реагирующая субстанция а.
Активация указанных соединений характерна для хронических форм воспаления пародонта.
Активация фрагмента комплемента С4 наблюдается при атипичных формах пародонтита, а именно при ювенильном пародонтите. Наличие активированного белка С4 позволяет дифференцировать типичные и атипичные формы поражений пародонта. Изучение динамики а2-макроглобулина, а,-антитрипсина в процессе лечения позволяет объективировать эффективность лечебных воздействий и прогнозировать течение процесса в пародонте.
Исследования последних лет позволяют расширить представления о патогенезе возникновения и развития заболеваний пародонта. Появилось новое направление о ключевой роли нарушений структуры и функций клеточных мембран в развитии воспаления.
Патогенные бактерии могут приводить к тканевому поражению в силу двух причин:
• собственно бактериальные и токсические воздействия;
• ответная реакция тканей пародонта на бактериальную агрессию.
Стремясь к локализации агрессии микроорганизмов, ответные реакции в тканях пародонта сами могут приводить к воспалительным и дегенеративным изменениям.
Собственно бактериальные и токсические воздействия заключаются в том, что высвобождаемые бактериями зубной бляшки ферменты оказывают литическое действие на соединительнотканный волоконный каркас пародонта (коллагеназа, протеаза), эпителиальные структуры (кератаза), поверхностные структуры клеток (нейраминидаза).
Ответные реакции тканей пародонта на повреждение включают массированную активацию комплемента и аккумуляцию лейкоцитов, прежде всего ПМЯЛ и макрофагов, а также фибробластов и тучных клеток, подвергшихся деструктивному воздействию микробных агентов. Происходит их активация с высвобождением свободнорадикальных продуктов и дегрануляция с высвобождением протеолитических ферментов и цитокинов (простагландины, лейкотриены, ин-терлейкины, фактор некроза опухолей). Эта защитная реакция направлена на разрушение бактериальных патогенов, но одновременно приводит к воспалительным и деструктивным поражениям тканей пародонта.
Микробная инвазия, первичная сосудистая реакция, различные иммунные реакции приводят к практически однотипной реакции эндотелиальной выстилки микрососудов, а именно к изменению ее адгезивных и тромбогенных свойств. Происходит гиперактивация и прикрепление ПМЯЛ и тромбоцитов к эндотелию сосудов.
Процесс накопления в очагах воспаления гиперактивированных лейкоцитов и тромбоцитов является основой развития деструкции тканей.
- Вернуться в оглавление раздела "Стоматология."
В 1979 г. G. J. Seymour на основании иммуногистологических исследований подразделил заболевания пародонта на «стабильные» и «прогрессирующие» в зависимости от преобладания в воспалительном инфильтрате Т- или В-лимфоцитов. В дальнейшем R. Page С. и Н. Schroder подтвердили гипотезу о том, что Т-лимфоцитарный очаг поражения является стабильным, преобладание же В-лимфоцитов свидетельствует об активности процесса. Некоторые ученые считают, что соотношение хелперных и супрессорных популяций (CD4+, CD8+) в крови пациентов с ВЗП является показателем активности процесса.
В настоящее время появились работы, посвященные изучению иммунологических показателей у лиц с атипичными формами поражения пародонта: ювенильный и быстропрогрессирующий пародонтит (БПП). Результаты исследований, проведенные у больных с БПП, позволили установить определенную связь между некоторыми иммунологическими и клиническими показателями. Так, соотношение хелперных и супрессорных популяций коррелировало с подвижностью зубов, которая отражала либо обострение явления воспаления, либо нарастание тяжести воспалительно-деструктивного процесса.
Во всяком случае, при повышенной подвижности зубов это соотношение увеличивалось. Это явление могло быть случайным либо коррелировать не напрямую с индексом гигиены, а с учетом того, что индекс, в свою очередь, соотносился с клиническим состоянием пародонта. Напротив, связь между содержанием в крови CD3+ и индексом гигиены полости рта оказалась отрицательной: при ухудшении гигиены полости рта количество Т-лимфоцитов уменьшалось. Выявлена зависимость между уровнем CD 19+ (В-лимфоцитов) и длительностью ремиссии: чем длительнее продолжалась ремиссия, тем меньше было В-лимфоцитов.
Важным фактором местной иммунорезистентности тканей пародонта является функциональная активность ПМЯЛ. Фагоцитарную активность ПМЯЛ оценивают с использованием биохемилюминесцентного анализа по люминолзависимой хемилюминесценции. Это метод регистрации активных форм кислорода, образующихся в процессе фагоцитоза. Данный метод позволяет оценить резервные возможности фагоцитов и опосредованно судить об эффективности лечения и прогнозе заболевания.

Материалом для исследования служат лейкоциты десневой крови (цельная кровь). Пробы крови в объеме 1 мл смешивают с 0,1 мл раствора люминола (конечная концентрация 10-4 М). Все манипуляции выполняют в силиконизированной посуде.
В каждой порции крови, взятой из десны, оценивают спонтанную и активированную (зимозаном) хемилюминесценциию. В контроле (спонтанная реакция) во флаконы вносят 0,1 мл раствора Хенкса без фенолового красного. Для стабилизации спонтанной хемилюминесценции (сХЛ) пробы крови выдерживают 15 мин при температуре 37 °С. Для изучения индуцированной хемилюминесценции (иХЛ) в каждый флакон с кровью вносят по 0,1 мл стимулятора (опсонизированный зимозан). Измерения интенсивности хемилюминесценции (в тыс. имп./мин) проводят через каждые 5 мин (в течение 4 с) и заканчивают через 20 мин после прохождения пика хемилюминесценции.
Результат определяют как отношение между максимальной интенсивностью стимулированной и спонтанной хемилюминесценции в условных единицах.
Одновременно определяют количественное содержание лейкоцитов по общепринятой методике. Процентный показатель форм лейкоцитов, участвующих в фагоцитозе, определяют путем подсчета их в мазках крови (окраска по Романовскому—Гимзе). Расчет фагоцитарной активности лейкоцитов проводят на 1 млн клеток.
Результаты исследований свидетельствуют, что показатели функциональной активности ПМЯЛ в зависимости от степени тяжести хронического воспалительного процесса в пародонте варьируют в пределах от 0,63±0,02 до 4,35±0,02 мкВ на 1 млн клеток. Такой разброс хемилюминесцентного ответа лейкоцитов объясняют неоднородностью пула клеток при пародонтите.
Изученные показатели у каждого конкретного пациента имели сугубо индивидуальные величины. Однако были выявлены и общие закономерности. При оценке функциональной активности лейкоцитов у пациентов с пародонтитом средней степени тяжести показатели иХЛ были в 1,3 раза выше сХЛ и составляли 2,14±0,02 и 1,62±0,02 мкВ соответственно. У пациентов с пародонтитом тяжелой степени в 50 % случаев показатели сХЛ и иХЛ были практически одинаковы, что говорит о том, что ответа со стороны активированных нейтрофилов практически нет или он минимален. Среднее значение сХЛ было равно 1,27±0,02 мкВ, а иХЛ — 1,45±0,02 мкВ. При БПП ответ на стимуляцию отсутствовал в 70 % случаев, когда амплитуда стимулированной хемилюминесценции была сравнима с показателями сХЛ, что указывает на значительное истощение резервных возможностей лейкоцитов у данного контингента (сХЛ — 0,63±0,02 мкВ, иХЛ — 0,67±0,02 мкВ).
Таким образом, у большинства пациентов с ВЗП, особенно с БПП, выявляется снижение функциональной активности ПМЯЛ. Снижение уровня метаболизма ПМЯЛ при высокой степени активности воспаления и истощение резервных возможностей фагоцитов у пациентов с БПП свидетельствуют о гипореактивности неспецифического звена защиты и указывают на затяжной характер воспалительно-деструктивных процессов.
Иммуногистохимическое исследование слизистой оболочки десны при хроническом воспалительном процессе в пародонте у лиц молодого возраста
С использованием иммуногистохимического метода были изучены морфофункциональные изменения тканей десны у лиц молодого возраста, проживающих в Башкортостане. Установлено, что при хроническом генерализованном гингивите выявлены выраженные морфологические изменения в гемокапиллярах сосочкового слоях собственной пластинки десны, вследствие гипоксии, вызванной микробной обсемененностью полости рта. При хроническом генерализованном пародонтите выявлена усиленная пролиферативная активность клеток базального и шиповатого слоев эпителия.
Immunohistochemical study of gingiva mucous coat in case of chronic inflammatory process of parodontium in young individuals
With the use of immunohistochemical method were studied morphofunctional changes of gingival tissue of young individuals living in the Republic of Bashkortostan. It has been established that in case of chronic generalized gingivitis were revealed apparent structural changes in hemocapillars of papillary layer of lamina propria, as a consequence of hypoxia caused by bacterial content in mouth cavity. In case of chronic generalized periodontitis was revealed intense proliferative cells’ activity of basal and spinous layer of epithelium.
В настоящее время диагностика и лечение воспалительных заболеваний пародонта представляют наиболее сложную и актуальную проблему, которая приобрела не только медицинскую, но и социальную значимость. Это обусловлено прежде всего широкой распространенностью и интенсивностью поражения [1, 2]. Традиционные методические подходы до настоящего времени не позволили сформировать единого мнения об особенностях развития патологического процесса, вследствие чего до настоящего времени отсутствует общепризнанная классификация заболеваний пародонта. Возможно, это связано с тем, что основы классификационных схем базировались либо на клиническом, либо на этиологическом или на морфологическом аспектах. В то же время для понимания этиологии и патогенетических моментов этого патологического процесса необходимо учитывать все его стороны: этиологическую, клиническую, морфологическую, а также иммуноморфологическую. Применение иммуногистохимических методов исследования позволяет охарактеризовать особенности изменений метаболизма клеток и тканей органов уже на ранних стадиях патологического процесса, при отсутствии выраженных клинических проявлений [3, 4].
Целью исследования явилось изучение иммуногистохимических изменений в тканях десны при хроническом генерализованном гингивите и пародонтите у лиц молодого возраста.
Материал и методы
Нами проведено комплексное стоматологическое обследование 660 лиц молодого возраста от 15 до 23 лет, проживающих в Башкортостане.
Состояние тканей пародонта оценивали по клиническим методикам, в рамках которого выясняли жалобы, анамнез и наличие сопутствующих заболеваний. Для количественной оценки уровня гигиены полости рта использовали гигиенический индекс по Грин-Вермильону (Greene J.C., 1964). Наличие, распространенность и глубину воспалительного процесса в десне оценивали по индексу РМА (Parma C., 1960). Диагностику клинически интактного пародонта проводили у лиц с отсутствием кровоточивости, над- и поддесневых зубных отложений, на ортопантомограмме не наблюдалось деструкции и очагов остеопороза, кортикальная пластинка сохранена на всем протяжении.
Работа была выполнена на базе отдела морфологии Всероссийского центра глазной и пластической хирургии МЗ РФ (зав. отделом — д.м.н., профессор Муслимов С.А.). Для гистологического исследования биопсийные кусочки фиксировали в 10%-ном нейтральном формалине и после обезвоживания в спиртах возрастающей концентрации заливали в парафин по общепринятой методике. Выполнено иммуногистохимическое исследование 88 биоптатов мягких тканей десны, полученных при удалении зубов по ортодонтическим показаниям, на основании информированного согласия. Из них 18 было взято у пациентов с клинически интактным пародонтом, 50 — у пациентов с хроническим генерализованным гингивитом, 20 — у пациентов с хроническим генерализованным пародонтитом. Иммуногистохимические исследования проводили с помощью непрямого стрептовидин — биотинового метода на серийных парафиновых срезах толщиной 5 мкм с минимальной площадью 1 см 2 . Использовались моноклональные антитела к TGF-b1 — transforming growth factor — beta 1 (трансформирующий фактор роста-b1), PCNA — Proliferative Cells Nuclear Antigen (ядерный антиген пролиферирующих клеток) (фирмы Santa Cruz Biotechnology, Inc., 1999-2002). Микроскопические исследования проводились с использованием лазерного сканирующего конфокального микроскопа LSM 5 PASCAL фирмы «CARL ZEISS» (Германия).
Результаты исследования и их обсуждение
По данным иммуногистохимических исследований биоптатов десны с клинически диагностированным хроническим генерализованным катаральным гингивитом только эпителиоциты базального слоя были PCNA-положительные (рис. 1). Известно, что PCNA экспрессируется клетками, находящимися в S-фазе клеточного цикла и свидетельствует об их интенсивном размножении [5]. Также известно, что ядерный антиген пролиферирующих клеток (PCNA) в интерфазных ядрах встречается при репаративном синтезе ДНК после повреждения клеток [6, 7]. Наличие антигена PCNA только в клетках базального слоя указывает о сохранении адекватной физиологической функции эпителия.
Рис. 1. Хронический генерализованный катаральный гингивит. Экспрессия PCNA клетками базального слоя. Иммуногистохимическая реакция на PCNA. Докраска гематоксилином.

При иммуногистохимическом исследовании PCNA данный антиген в строме экспрессировался в основном эндотелиальными клетками сосудов, пронизывающих сосочковый слой собственной пластинки (рис. 2). Следовательно, пролиферативная активность клеток внутренней оболочки сосудов свидетельствовала об их новообразовании и являлась признаком компенсаторной реакции при развившейся гипоксии, вызванной микробными агентами [4].
Рис. 2. Хронический генерализованный катаральный гингивит. Экспрессия PCNA эндотелиальными клетками капилляров сосочкового слоя собственной пластинки десны (↑). Иммуногистохимическая реакция на PCNA. Докраска гематоксилином.

При иммуногистохимическом исследовании тканей десны с хроническим генерализованным пародонтитом легкой степени тяжести выявлялась усиленная пролиферативная активность клеток эпителия. PCNA обнаруживался в ядрах клеток не только базального, но и шиповатого слоев (рис. 3). Следовательно, повышение синтетической активности данных клеток в биоптатах больных являлась проявлением компенсаторно-приспособительных механизмов эпителиальной ткани за счет нарушения микроциркуляции стромы. Митотический индекс эпителиоцитов (PCNA) может свидетельствовать о состоянии барьерной функции десны. Гипертрофия росткового слоя эпителия служит показателем степени тяжести воспалительного процесса, вызванного микробными агентами.
Рис. 3. Хронический генерализованный пародонтит легкой степени. Экспрессия PCNA клетками базального и шиповатого слоев эпителия десны. Иммуногистохимическая реакция на PCNA. Докраска гематоксилином.

Противовоспалительный цитокин TGF-b1 экспрессировался клетками соединительной ткани. Причем, интенсивность выделения напрямую зависела от степени повреждения и от стадии воспаления. Так, наименьшее его количество выявлялось при хроническом гингивите в начальной стадии заболевания в экссудативную стадию воспаления и в основном клетками макрофагального ряда (рис. 4), а наиболее интенсивно трансформирующий фактор роста — b1 секретировался в пролиферативной стадии воспаления следующими клетками: макрофагами, плазмоцитами, фибробластами и мезенхимными клетками. Причем данный цитокин выявлялся как эндогенно, так и экзогенно (рис. 5).
Рис. 4. Хронический катаральный гингивит. Стадия экссудации. Экспрессия TGF-b1 макрофагами в строме собственной пластинки десны. Иммуногистохимическая реакция на TGF-b1. Докраска гематоксилином.

Рис. 5. Хронический генерализованный катаральный гингивит. Стадия пролиферации. Экспрессия TGF-b1 в строме собственной пластинки десны. Иммуногистохимическая реакция на TGF-b1. Докраска гематоксилином.

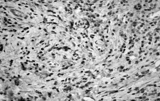
При иммуногистохимическом исследовании c применением TGF-b1 было выявлено, что при хроническом генерализованном пародонтите легкой степени заболевания цитокин выявлялся в меньшей степени и только макрофагами, а при средней степени его количество значительно увеличивалось соответственно тяжести повреждения за счет инфильтрирующих клеток (рис. 6, 7). В круговой связке зуба выраженность экспрессии прямо пропорционально коррелировала с тяжестью заболевания.
Рис. 6. Хронический локализованный пародонтит легкой степени тяжести. Экспрессия TGF-b1 макрофагами в собственной пластинке десны Иммуногистохимическая реакция на TGF-b1. Докраска гематоксилином.

Рис. 7. Хронический локализованный пародонтит средней степени тяжести. Экспрессия TGF-b1 клетками соединительной ткани: макрофагами, фибробластами, лимфоцитами, плазмоцитами. Иммуногистохимическая реакция на TGF-b1. Докраска гематоксилином.

Полученные данные полностью согласуются и с данными литературы. Как известно, TGF-b1 экспрессируется многими клетками соединительной ткани и играет ведущую роль в ее восстановлении. Экспрессия клетками этого цитокина инициирует миграцию нейтрофилов, макрофагов, моноцитов, фибробластов, индуцирует ангиогенез [3]. TGF-b1 стимулирует экспрессию генов и стимуляцию белков внеклеточного матрикса, одновременно блокирует процесс деградации экстрацеллюлярного матрикса и увеличивает уровень ингибиторов протеиназ [3]. Следовательно, является одним из основных факторов, участвовавших в развитии поствоспалительного фиброза [8, 9]. Он способствует также локальной иммунодепрессии в ткани и дезактивирует антимикробную функцию макрофагов, ингибируя продукцию цитотоксических монокинов [10]. Несмотря на то, что эти процессы способствуют репарации соединительной ткани в зоне повреждения, часто происходит трансформация нормальной приспособительной реакции в патологическую: фиброз и склероз ткани, что мы и наблюдали при данной патологии.
Таким образом, у лиц молодого возраста при отсутствии выраженных клинических проявлений в тканях пародонта выявлялись морфологические изменения, которые обнаруживались иммуногистохимическими методами. Данная методика является наиболее чувствительной и может применяться для ранней диагностики воспалительно-деструктивных заболеваний.
И.Н. Усманова, Л.П. Герасимова, М.Ф. Кабирова, А.И. Лебедева, И.Р. Усманов
Башкирский государственный медицинский университет, г. Уфа
Всероссийский центр глазной и пластической хирургии, г. Уфа
Усманова Ирина Николаевна — кандидат медицинских наук, доцент кафедры терапевтической стоматологии с курсом ИПО
Литература:
1. Заболевания пародонта / под общей редакцией проф. Л.Ю. Ореховой. — М.: Поли Медиа Пресс, 2004. — 432 с.
2. Максимовский Ю.М., Максимовская Л.Н., Орехова Л.Ю. Терапевтическая стоматология. — М.: Медицина, 2002. — С. 452-459.
3. Пальцев М.А., Иванов А.А. Межклеточные взаимодействия. — М.: Медицина, 1995. — 224 с.
4. Серов В.В., Пауков В.С. Воспаление. — М.: Медицина, 1995. — С. 213-219.
5. Bravo R., Macdonald Bravo H. Changes in the nuclear distribution of cyclin (PCNA) but not its synthesis depend on DNA replication. EMBO J., 1985.— Vol. 4.— P. 655-661.
6. Bravo R., Macdonald Bravo H. Existence of populations of cyclin/proliferating cell nuclear antigen during the cell cycle: association with DNA replication sites. J. Cell Biol., 1987.— Vol. 105.— P. 1549-1554.
7. Bissell D.M. Hepatic fibrosis as wound repair: a progress report.// J Gastroenterol— 1998.— Vol. 33, № 2.— P. 295-302.
8. Rodemann H.P., Binder A., Burger A., Guven N., Loffler H., Bamberg M. The underlying cellular mechanism of fibrosis // Kidney IntSuppl .-1996.— Vol. 54.— P.32-36.
9. Bissell D.M. Hepatic fibrosis as wound repair: a progress report.// J Gastroenterol— 1998.— Vol. 33, № 2.— P. 295-302.
10. Okulov V.B., Voytenkov B.O., Ushmorov A.G. // Cancer Res. Clin. Oncol.— 1992.— Vol. 118.— P. 537-541.
Читайте также:
- Основание черепа. Рентгеновский снимок основания черепа
- Пароксизмальная тахикардия. Предсердные и желудочковые формы пароксизмальной тахикардии
- Гранулематоз Вегенера и туберкулез. Туберкулез и аспергиллез легких.
- Влияние варфарина и гепарина на плод беременной
- Ингибиторы функций цитоплазматической мембраны. Полимиксины. Полиеновые антибиотики (нистатин, леворин, амфотерицин В). Грамицидины.
