Инфекционные болезни полости рта
Добавил пользователь Евгений Кузнецов Обновлено: 28.11.2025
Симптомы болезней губ, слизистой рта и их причины
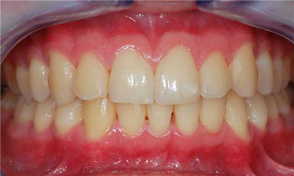
Внутренние и кожные болезни часто проявляются изменениями губ, слизистой оболочки полости рта, десен и языка. В таблице ниже приведены наиболее часто встречающиеся изменения слизистых оболочек и заболевания, при которых они возникают. Поскольку изменения слизистой оболочки губ, полости рта или глотки наблюдаются при многих заболеваниях, ниже обсуждаются наиболее распространенные из них.
Трещины в области комиссур наряду с легким кровотечением и болью при открывании рта. Причинами образования трещин бывают плохо подогнанные зубные протезы или искусственные зубы, г рибковая инфекция, низкая общая сопротивляемость организма, сахарный диабет, железодефицитная анемия, неспецифическне пиогенные инфекции и сифилис.
Причину по возможности следует выяснить и устранить, перед тем как начать лечение. Рак кожи в области комиссуры на ранней стадии может напоминать трещины. Неспецифическое местное лечение проводится глюкокортикоидами в виде мазей или на специальной основе, обладающей адгезивной способностью по отношению к слизистой оболочке, а также давно испытанным средством -раствором генцианового фиолетового или пиоктанина.
В европейских странах применяется стандартизированная лекарственная форма в виде одного активного ингредиента, 0,1% водного раствора метилрозанилина хлорида (кристаллический фиолетовый). Применение этой лекарственной формы рекомендуется из-за ее надежности и низкой стоимости.
Хейлит может быть солитарным или острым, связанным с травмой, термическим ожогом (например, горячей пищей), воздействием химических веществ (табачный дым у курильщиков), солнечным ожогом или ионизирующим излучением.
Гранулематозный хейлит, или болезнь Мишера, представляет собой хроническое рецидивирующее заболевание, полная картина которого обычно включает синдром Мелькерссона-Розенталя, гранулематозный глоссит и паралич лицевого нерва. Патогенез этой клинической триады неизвестен, а лечение такое же, как при идиопатическом параличе лицевого нерв.
Поражение губы может наблюдаться и при туберкулезе и сифилисе или возникать при хроническом или рецидивирующем эрозивном или гиперкератотическом поражении слизистой оболочки губ, которое рассматривается как предраковое состояние (лейкоплакия, болезнь Боуэна), что всегда следует иметь в виду. При многих заболеваниях слизистой оболочки полости рта могут поражаться также губы.
Стоматит сочетается с гингивитом и воспалением слизистой оболочки щек и может развиться как первичное заболевание, обусловленное различными причинами, или иметь вторичный характер. При столь широком спектре причин, клиническая картина характеризуется значительным многообразием.

Редактор: Искандер Милевски. Дата обновления публикации: 18.3.2021
Заболевания языка
Язык – один из важнейших органов человеческого организма, отвечающий не только за вкусовые ощущения, но и за речевой аппарат. Появившийся налёт на языке может означать целый ряд нарушений в работе организма, или же быть признаком серьёзного заболевания. Поэтому, при первом обнаружении проблемы, мы рекомендуем незамедлительно обратиться к стоматологу для консультации.
Заболевания языка подразделяются на десятки типов, и каждый из них требует отдельного изучения, диагностики и своевременного лечения. Запущенные случаи даже самых лёгких форм таких болезней могут привести к необратимым последствиям, влияющим не только на состояние организма в общем, но и на дикцию и даже саму возможность говорить.
Виды и симптомы заболеваний языка
Глоссит
Одно из самых распространённых заболеваний языка – глоссит – является ещё и одним из наиболее трудно вылечиваемых из-за большого процента рецидивов. По факту это воспалительный процесс на языке, вызванный, как внешними факторами (травмы и ожоги), так и изменениями внутри организма (инфекции и последствия перенесённых заболеваний).
На сегодняшний день в медицинской практике выделяется до 11-ти разновидностей глоссита, каждый из которых имеет свою природу, симптоматику, течение и возможные последствия. Также глосситы классифицируются по очагу воспаления – кончик, средняя часть, корень и т.д.

Среди самых распространённых симптомов глоссита врачи выделяют:
- Появление налёта на всей поверхности языка;
- Характерный бледный язык;
- Жжение и отёчность языка;
- Притупление вкусовых ощущений;
- Появление афтозных язвочек;
- Так называемый лакированный язык;
- Обильное слюноотделение;
- Неприятный запах изо рта и др.
При первых же появлениях одного или нескольких симптомов нужно немедленно обратиться к врачу. Опасность глоссита ещё и в том, что он часто протекает параллельно другим заболеваниям, а иногда – является лишь симптомом серьёзнейших нарушений работы организма.
Географический язык
Называемый также мигрирующим типом глоссита – географический язык – это заболевание, при котором цвет языка становится неравномерным, покрывая поверхность красными пятнами, окружёнными белыми ореолами, напоминающими рисунок карты – отсюда и название.
В отличие от некоторых видов глоссита, географический язык чаще – симптом других нарушений, а не сама причина. У взрослых появление неравномерных красных пятен на языке означает проблемы с работой желудочно-кишечного тракта, эндокринные расстройства, и сбои в работе кровеносной системы. У маленьких детей географический язык появляется на фоне диатеза.

Географический язык развивается при следующих симптомах:
- Резкое опухание средней части языка;
- Появление неестественно белых участков и их вылущивание;
- Лёгкое жжение;
- Возможная затрудненность проглатывания пищи.
Почти в 50% случаев географический язык является не единственной проблемой языка и обнаруживается одновременно с другим видом глоссита или некоторыми разновидностями стоматитов. Болезненные ощущения при этом – редкость, и заболевание проходит само, как только устанавливается и ликвидируется её первопричина.
Кандидозный стоматит (молочница)
Называемый в большинстве медицинских справочников молочницей, кандидозный стоматит представляет собой серьёзное заболевание не только языка, но и всей полости рта. Подвержены ему в большинстве случаев маленькие дети до 10 лет, но и среди взрослых болезнь периодически диагностируется.
Вызывают заболевания грибки Candida , присутствующие в организме каждого человека, но из-за ослабленного иммунитета и ряда других причин они начинают размножаться слишком быстро, поражая слизистые оболочки.

Симптомы кандидозного стоматита почти всегда одинаковы, это:
- Белый налёт на языке, внутренней поверхности щёк и губ;
- На ранних стадиях – равномерно бледный язык;
- Болезненные ощущения при глотании;
- Кровотечения при попытке удалить налёт ватным тампоном;
- Жжение в области налёта;
- Характерный «металлический» привкус слюны;
- Неприятный запах изо рта.
Если вовремя не начать лечение молочницы, она в течение недели может перетечь в хроническую форму, при которой все симптомы усиливаются, а последующее лечение может растянуться на несколько месяцев.
Лейкоплакия
Под лейкоплакией языка и полости рта подразумеваются воспалительные процессы слизистой оболочки, вызывающие ороговение одного или нескольких участков поверхности эпителия. Главные причины возникновения поражений – регулярное физическое раздражение зубными протезами и прочим, а также злоупотребление табаком.
Долгое время лейкоплакия считалась главным признаком развития рака языка, но последние исследования показывают, что даже при запущенном случае заболевания онкология прогрессирует в крайне редких случаях.

К немногочисленным симптомам лейкоплакии относят:
- Появление характерных бляшек белого или светло-серого цвета;
- Возможные эрозийные поражения кожи вокруг бляшек;
- Повышение чувствительности языка к горячей пище и напиткам.
Поскольку болезненных ощущений при лейкоплакии практически не наблюдается, то заболевание может прогрессировать годами.
Красный плоский лишай
Красный плоский лишай – это хроническое заболевание, поражающее язык, полость рта, а также половые органы и ногти. Характеризуется специфическими высыпаниями красного цвета, не имеющими конкретной локализованной зоны. Болезнью страдают в основном представители старшего поколения – от 40 до 60 лет.
Причиной красного лишая часто становится сбой в работе иммунной системы, а также частые стрессы и наличие в организме инфекционных очагов.

Симптомов красного плоского лишая не так много, это:
- Непрекращающийся зуд, усиливающийся при контакте с зоной поражения;
- Красные точечные высыпания по всей поверхности языка;
- При афтозной форме появляется характерная язва на языке;
- В редких случаях – поражение ногтей.
Вылечивается красный плоский лишай в течение 10-20 дней, но даже после завершения медикаментозного курса возможны рецидивы с повторением раз в 2-3 года. В целом, воспалённый язык при лишае, кроме зуда, никак не беспокоит.
Причины заболеваний языка
Несмотря на то, что разновидностей заболеваний языка насчитывается порядка нескольких десятков, причины их возникновения во многом схожи. Их условно можно разделить на внешние и внутренние факторы, которые, так или иначе, приводят к возникновению проблемы.
К причинам внешнего порядка относят:
- Травмирование языка и слизистой оболочки слишком твёрдой пищей;
- Частое потребление солёных, острых и слишком жирных продуктов;
- Систематические ожоги горячим чаем/кофе;
- Передозировки лекарственными препаратами;
- Неправильно подобранные зубные протезы;
- Злоупотребление табаком и алкоголем;
- Беспорядочные половые связи.
Однако часто заболевания языка вызываются самыми разными нарушениями работы организма, среди которых:
- Авитаминоз;
- Красная волчанка;
- Любые воспалительные заболевания эпителия;
- ВИЧ, СПИД и сифилис;
- Пневмония;
- Туберкулёз;
- Гастриты и язвенная болезнь;
- Холера;
- Почечная недостаточность и др.
Не стоит забывать и о том, что в ряде случаев любое диагностированное заболевание языка может иметь наследственный фактор. Почти всегда диагностика по языку помогает назначить правильное лечение пациента, а также выявить серьёзные заболевания на ранних стадиях.
Лечение заболеваний языка
Комплексное лечение любого заболевания языка включает в себя обследование с обязательными анализами крови, биопсией и другими назначенными лечащим врачом пунктами. Если язык поражён вследствие внутреннего сбоя в организме или инфекции, то сначала устраняется ключевая первопричина, и только потом начинается лечение слизистой оболочки.

Говоря об общих рекомендациях стоматологов, занимающихся заболеваниями языка, называются следующие пункты:
- Если болезнь вызвана травмой любого рода, то назначаются полоскания антисептическими растворами на основе хлоргексидина и прочих составов. Болезненные ощущения ослабляются анестезирующими мазями и гелями.
- Если первопричина – инфекционное заболевание, то пациент после обследования получает назначенный курс противовирусного препарата. Без консультации врача такие средства покупать категорически запрещено!
- Если причина в неправильно установленном зубном протезе или пломбе – то решать это нужно, не выходя из кабинета стоматолога.
- Вне зависимости от причины воспалённого языка, пациенту назначается строгая диета, исключающая алкоголь, твёрдую пищу и другие продукты, способные спровоцировать рецидив.
- Самостоятельное лечение дома можно производить только при одобрении врача, и только если речь об обработке поражённой области антисептическим раствором.
Даже в запущенных случаях заболеваний языка оперативное вмешательство считается крайней мерой. Почти всегда, при должном приёме медикаментов и регулярных осмотрах у лечащего врача можно обойтись консервативными методами лечения.
Возможные последствия
Последствия заболеваний языка могут быть самыми тяжёлыми. При недостаточном лечении и не своевременной диагностике, любая из проблем может привести к следующим осложнениям:
- Обширная интоксикация;
- Переход болезни в хроническую неизлечимую форму;
- Развитие заболеваний зубов и воспаление дёсен;
- Нарушение дикции, вплоть до необратимых дефектов;
- Самые разные психологические проблемы из-за дискомфорта во время общения.
Профилактика
Профилактические меры для гарантированного недопущения появлений заболеваний языка сводятся к простым правилам, соблюдая которые можно оградить себя от множества недугов. В эти правила входят такие пункты:
- Полный отказ от курения;
- Соблюдение предписанной стоматологом диеты, исключающей любые продукты, являющиеся раздражающим или травмирующим фактором;
- Регулярное соблюдение гигиены полости рта, включая ополаскиватели и зубную нить;
- Использование зубной щётки с рабочей поверхностью для языка;
- Посещение стоматолога минимум раз в полгода.
Часто задаваемые вопросы
Любое заболевание языка коснулось хотя бы раз каждого человека, который, в силу ряда причин, мог даже не подозревать о том, что болен. Такие проблемы всегда вызывают живой отклик на самых разных форумах и сайтах, посвящённых стоматологии.
Редакция портала 32топ предлагает ознакомиться с ответами на наиболее частые вопросы, касающиеся этой проблемы.
Вопрос: У меня не первый раз глоссит, и язва на языке покрывается гнойными нарывами. Врач говорит, их нужно оперировать. Есть ли способ этого избежать?
Ответ: Нет, появление нарывов – одна из немногих причин неизбежного хирургического вмешательства. И чем раньше вы это сделаете – тем лучше.
Вопрос: Какие отвары трав рекомендуют врачи для укрепления иммунитета при молочнице?
Ответ: Здесь подойдут любые травы, обладающие общеукрепляющим эффектом – эхинацея, женьшень, зверобой. Единственное условие – обязательно проконсультируйтесь с врачом.
Вопрос: Может ли глоссит поражать половые органы?
Ответ: Глоссит поражает всю систему слизистых оболочек, к которой также относятся и гениталии.
Вопрос: Есть ли риск развития язв при красном лишае на языке?
Ответ: Риск развития язв есть всегда, потому что эта разновидность лишая имеет как минимум 7 форм, в том числе и эрозивную.
Болезни полости рта
Состояние человеческого организма нередко находит отражение на ротовой полости взрослых людей. На слизистых оболочках могут проявляться системные и патологические явления, протекающие в организме пациента. Они дают представление об устойчивости иммунной системы и текущем состоянии здоровья внутренних органов. По словам специалистов, болезни полости рта взрослых людей делятся на три вида: болезни зубов, слизистой оболочки и десен.
Факторы, влияющие на состояние слизистой оболочки ротовой полости
- Наличие вредных привычек (курение, алкоголизм)
- Нарушения гормонального фона
- Общее обезвоживание
- Ослабление иммунитета, СПИД, ВИЧ-инфицирование
- Воспалительные процессы десен и зубов
- Генетическая предрасположенность
- Авитаминозы
- Воздействие резких температурных перепадов
- Наличие инфекций или воспалительных процессов
- Несбалансированный рацион питания
- Прием антибиотических и сильнодействующих препаратов без врачебного контроля
- Поражение внутренних органов или систем, их дисфункция
В здоровой ротовой полости взрослых содержатся условно-патогенные микроорганизмы, под воздействием неблагоприятных факторов способные вызвать вирусные, инфекционные, лишайные, воспалительные и грибковые болезни слизистой оболочки, а также дисбактериоз.
Вирусные заболевания
Вирусные болезни полости рта провоцируются вирусами человеческой папилломы и герпеса.
Герпес
Герпес – один из наиболее распространенных недугов. По словам некоторых специалистов, вирусом герпеса заражено 90% всех людей в мире.

Часто вирус герпеса присутствует в организме пациента в скрытой форме. У людей с крепким иммунитетом он может проявляться прыщиком на губе, самостоятельно отмирающим через 1-2 недели. У людей с ослабленной иммунной системой герпес может проявляться более серьезно.
Скрытая форма вируса герпеса может активизироваться из-за недосыпания, менструального цикла, хирургического вмешательства, стрессовых состояний, простуд.
В начале развития герпеса пациент ощущает зуд и покалывание губ, тканей около них. Вскоре губы краснеют и опухают, начинают болеть, что осложняет общение и потребление еды. После этого начинают появляться единичные пузырьки и их группы. Через время пузырьки лопаются и становятся мелкими язвочками, которые покрываются корочками. В итоге язвы медленно исчезают, покраснение спадает, боль проходит.
При появлении первичных симптомов герпеса следует прикладывать к губам лед и использовать увлажняющий бальзам. Для обработки пузырьков назначаются мази (Пенцикловир).
ВАЖНО: Частые рецидивы герпеса требуют назначения противовирусных препаратов.
Папиллома
Вирус папилломы человека появляется на различных зонах тела, но один из видов вируса вызывает возникновение папиллом в полости рта. Во рту эти образования похожи на цветную капусту, имеются беловатые бляшки. Наиболее неблагоприятные последствия данного недуга (изменение голоса, затрудненное дыхание) возможны, если поражение достигнет горла.

Специалисты утверждают, что полное излечение папилломы невозможно, можно лишь ликвидировать симптомы. Вирус папилломы лечат иммунотерапией, химическим, хирургическим или цитостатическим методом, либо сочетанием этих методов.
Инфекционно-воспалительные заболевания
Инфекционные заболевания полости рта включают в себя гингивит, глоссит, стоматит и фарингит.
Фарингит
Фарингит – это воспаление слизистых оболочек глотки, сопровождающийся дискомфортом, болью и першением в горле, общим недомоганием, повышением температуры тела.
Фарингит может быть вызван вдыханием химических загрязнителей, табачного дыма, холодного воздуха либо инфекционным процессом (пневмококк).

Диагностика недуга состоит в осмотре горла и взятии мазка. Прием антибиотиков назначается в сложных ситуациях, в основном достаточно горячих ножных ванн, диетического питания, согревающих шейных компрессов, ингаляций, полосканий.
Глоссит – это воспаление, изменяющее оттенок и структуру языка. Глоссит нередко вызван инфицированием полости рта при злоупотреблении горячими или спиртными напитками, острой пищей, при ожогах и травмах языка и рта, при отказе от гигиены ротовой полости.
Первичными симптомами недуга является дискомфорт и жжение. Вскоре появляется сильное покраснение языка, усиление слюноотделения, притупление (отсутствие) вкусовых ощущений.

При отсутствии лечения глоссит приводит к сильной отечности языка, что создает помехи для общения и потребления пищи. Нередко на поверхности языка появляются наросты.
Лечением глоссита включает в себя прием медикаментов и особое питание (полужидкие блюда).
Гингивит
Гингивит – это воспаление десенной слизистой оболочки. В группе риска находятся беременные женщины и подростки. Специалисты выделяют 4 разновидности недуга:
- Язвенно-некротический гингивит. Характеризуется появлением язв и некроза, неприятным запахом изо рта, общей слабостью, повышенной температурой тела, увеличением лимфатических узлов, сильной болезненностью;
- Катаральный гингивит. Характеризуется появлением отека, зуда, кровоточивости десен;
- Атрофический гингивит. Характеризуется появлением острой реакции зубов на горячее и холодное, оголением зуба, снижением уровня десны;
- Гипертрофический гингивит. Характеризуется увеличением десенных сосочков, легкой болезненностью и кровоточивостью десен.
Быстрое излечение данного недуга возможно лишь при своевременном начале лечения. Главное здесь – устранить зубной налет и снять воспаление при помощи полосканий и специальных препаратов.

Стоматит
При стоматите инфицирование организма может происходить разными способами, например, в ходе механической травмы. После этого начинается образование язв, характерных для данного недуга и локализованных на внутренней стороне губ и щек, под языком и в его корне. Язвы имеют круглую форму, пленку в центре и ровные края, они неглубокие, но довольно болезненные.

В ходе лечения стоматита стоит отказаться от зубных паст и средств для полоскания ротовой полости с содержанием лаурилсульфата натрия. Для снятия боли используются анестезирующие средства, для удаления пленки – обеззараживающие и противовоспалительные препараты.
Отличия герпеса и стоматита
Специалисты перечисляют три важных отличия между двумя недугами со схожими симптомами:
- Герпес поражает прилегающие к костям ткани, стоматит – мягкие ткани
- При герпесе язвы образуются из лопнувших пузырьков, при стоматите язвы есть изначально
- Герпес всегда возникает на одних и тех же местах, стоматит охватывает новые области
Грибковые заболевания
Около 50% населения мира – неактивные носители грибка Candida, который активизируется при ослаблении иммунитета и вызывает кандидоз. Специалисты выделяют несколько типов недуга.
Молочница, к примеру, проявляется белым налетом и сухостью внутренней стороны губ и щек, неба и спинки языка, сильным дискомфортом, жжением. Детьми болезнь переносится легче. Атрофический кандидоз – наиболее болезненный тип недуга, проявляется сильным покраснением и сухостью слизистой оболочки полости рта, неба, уголков рта. Гиперпластический кандидоз проявляется толстым налетом, при попытке удаления которого ткани кровоточат.

ВАЖНО: Лечение кандидоза требует правильной диагностики типа недуга и врачебного наблюдения.
Другим видом грибкового заболевания является красный плоский лишай, вызывающий появление язв, покраснения, пузырьков и бляшек в полости рта пациента. Данная болезнь нередко протекает в сочетании с болезнями печени и желудочно-кишечного тракта, диабетом.
Другие заболевания
Среди недугов, не поддающихся классифицированию, стоит выделить дисбактериоз полости рта. Он может быть спровоцирован приемом антибиотических и антисептических препаратов. Симптоматика болезни сначала проявляется трещинками в уголках рта, неприятным запахом изо рта, но вскоре может привести к повреждению эмали зубов и их расшатыванию. Для устранения болезни необходима нормализация микрофлоры слизистой оболочки полости рта.
Лечение болезней полости рта лазером
Сегодня в стоматологии активно применяется лечение лазером. Им можно не только лечить кариес и пульпит, но и заниматься терапией мягких тканей полости рта. Лазер позволяет:
- Устранить кровоточивость десен путем обеззараживания зубодесневых карманов
- Эффективно удалить зубной налет для профилактики заболеваний полости рта
- Обеззараживать области, пораженные стоматитом и другими заболеваниями
- Иссекать разросшиеся мягкие ткани
Как правило, все это осуществляется одним лазером, работающим в разных режимах и с разной интенсивностью. Лазер хорош тем, что действует быстро, а отсутствие прямого контакта инструмента с полостью рта делает процедуры полностью стерильными. Лазер ускоряет заживление тканей за счет активизации кровотока и эффективно справляется с уничтожением вредоносных бактерий и налета. Единственный недостаток лазера – в дороговизне аппаратуры, поэтому цены на лазерное лечение обычно высокие, и лазер себе может позволить далеко не любая клиника.
Профилактика болезней полости рта
- Своевременное посещение стоматолога
- Особый рацион питания (больше нежирного мяса и рыбы, овощей и фруктов (особенно твердых), витаминов, меньше кислой, соленой, жареной и острой пищи)
- Регулярное полоскание полости рта специальными составами
- При проявлениях болезни – посещение стоматологии и прием назначенных препаратов для остановки воспаления и снятия боли
- Ежедневная гигиена ротовой полости, аккуратность при уходе за зубами. Например, зубная паста STOMATOL Sensitive создана специально для людей, страдающих от повышенной чувствительности зубов и десен. В состав пасты входит перфтордекалин в рабочей концентрации, который доставляет активный кислород в поврежденные ткани, активирует процессы микроциркуляции крови и предотвращает процесс их атрофии
- Комплексное укрепление иммунитета, профилактика ОРВИ и гриппа
- При наличии сопутствующих недугов – их диагностика, определение основного заболевания, начало его лечения и коррекции состояния организма пациента

Часто задаваемые вопросы о заболеваниях полости рта
Вопрос: Существует ли универсальное средство от заболеваний полости рта?
Ответ: Его нет, так как заболевания могут иметь разную природу. От вирусных потребуется один препарат, а от грибковых – другой. Поэтому лекарство должен назначать врач.
Вопрос: Можно ли лечить болезни полости рта дома, народными средствами?
Ответ: Народные средства неэффективны, и их лучше применять в комплексе с полноценной терапией, назначенной стоматологом.
Вопрос: Какие заболевания полости рта чаще всего встречаются у детей?
Ответ: Особенно часто у детей возникает стоматит. Также ребенок легко заражается кандидозом от матери. Нередко у детей возникает герпес. Другие заболевание распространены не так широко.
Вопрос: Можно ли при повторном возникновении заболевания полости рта принимать те же лекарства, что прописал стоматолог раньше?
Ответ: Как уже было сказано, болезни полости рта могут возникать по разным причинам. И если раньше заболевание было спровоцировано вирусом, то сейчас оно может иметь грибковую природу, и лучше все-таки посетить стоматолога-терапевта для консультации и назначения адекватного лечения.
Вопрос: Что делать, если во рту постоянно появляются язвочки?
Ответ: Стоит пересмотреть свой образ жизни, заняться укреплением иммунитета. Если вы курите, то желательно минимизировать количество сигарет или полностью их исключить. Также не лишним будет вылечить все зубы и провериться на наличие системных заболеваний.
Болезни зубов и полости рта: виды стоматологических заболеваний, список распространенных проблем стоматологии
Стоматологические болезни зубов представляют собой группу патологий, поражающих эмаль, десны, ротовую полость, а также челюстные и жевательные мышцы. Стоматологи называют их неопасными для человека, поскольку процент летальных исходов ничтожен. Однако именно эти расстройства определяют общее самочувствие пациента: влияют на самооценку, внутреннее ощущение комфорта.
Специалисты рекомендуют не запускать ситуацию и пристально следить за состоянием зубных рядов. Должное внимание позволяет избежать возникновения серьезных осложнений, а также своевременно выявлять дефекты, нуждающиеся в коррекции.
В статье подробно разбираем наиболее распространенные проблемы, а также методы их лечения.

Основные термины в стоматологии: названия и причины воспалительных заболеваний зубов и полости рта
Она играет важнейшую функцию в процессе пищеварения: отвечает за размалывание пищи и оказывает влияние на последующее ее расщепление ферментами. Кроме того, здесь находится огромное число микроорганизмов, создающих естественную микрофлору, но при этом считающихся условно-патогенными. Данный нюанс и обуславливает тот факт, что любые стоматологические нарушения крайне быстро прогрессируют.
Среди ключевых факторов возникновения зубных болезней выделяют:
- некачественную гигиену;
- механические травмы и повреждения;
- хронические недуги;
- обменные расстройства и отклонения;
- наличие термических раздражителей в организме;
- плохую экологию;
- наследственную предрасположенность.
Раздел медицины, занимающийся изучением вопросов появления и развития патологий, называют этиологией. Частично он соотносится с диагностическими манипуляциями, так как помогает в определении патогенеза.

Классификация: виды основных стоматологических заболеваний зубов
Условно все нарушения можно подразделить на две обширные категории – те, что связаны с повреждениями эмали, и те, что вызваны процессами, происходящими в тканях пародонта. Существует и другой классификационный принцип – на основании «кариозной» принадлежности:
- с имеющимися поражениями кариесом;
- некариозные отклонения.
Второй вариант считается наиболее простым и удобным в лечении при обнаружении проблемы на ранней стадии. Кроме того, пациентам проще соблюдать предписания, что упрощает процесс реабилитационных мероприятий.
Заметим, что особняком стоят врожденные и наследственные патологии. Они формируются еще в утробе матери, очень тяжело корректируются.
Инфекционные болезни полости рта
Полость рта спереди ограничена красной каймой губ, сзади — местом соединения твердого и мягкого неба. В ней располагаются слизистая оболочка щек, верхние и нижние альвеолярные отростки с располагающимися на них зубами, ретромолярный треугольник, твердое небо, дно полости рта и ротовая часть языка.
В 1 мл слюны находится около 100 миллионов микроорганизмов нормальной флоры полости рта, представителей более 700 видов. В большинстве случаев причиной одонтогенных инфекций является условно-патогенная флора, в то время как вызывать поражение полости рта могут и патогенные микроорганизмы, например, вирус простого герпеса, Candida albicans и вирус папилломы человека.
а) Одонтогенные (зубные) инфекции. К инфекционным заболеваниям зубов относятся кариес, периапикальный абсцесс, пульпит, гингивит, периодонтит. Микробный состав представлен полифлорой, со значительным содержанием облигатных анаэробов. Более чем в 80% случаев высеиваются представители видов Streptococcus, Peptostreptococcus, Veillonella, Lactobacillus, Corynebacterium и Actinomyces, в развитии зубного кариеса особая роль принадлежит Streptococcus mutans.
Условно-патогенная флора способна вызвать инфекционное воспаление только в том случае, если ей удастся закрепиться на слизистых оболочках или поверхности зубов, избежать механического удаления, проникнуть вглубь тканей и противостоять защитным реакциям организма. Инфекционный агент с зубов может распространяться гематогенным путем к сердцу и протезным устройствам, также больные зубы могут стать причиной развития инфекции глубоких фасциальных пространств шеи. Основой лечения является использование антибиотиков широкого спектра действия, эффективных против грамположительной и анаэробной флоры.

Свищ на десне
б) Кандидоз полости рта. Представители рода Candida могут стать причиной инфекции верхних отделов дыхательного и пищеварительного трактов. Наиболее часто возбудителем становится Candida albicans, но в некоторых случаях ими могут быть Candida tropicalis, Candida glabrata и Candida krusei. Заболевание характеризуется наличием на слизистой полости рта белесоватых творожистых налетов, при удалении которых шпателем обнажается болезненная, гиперемированная слизистая оболочка. Налеты представляют собой пленку, состоящую из кератина, слущенного эпителия, остатков пищи, лейкоцитов и бактерий.
Кандидоз полости рта часто сочетается с ангулярным стоматитом. Для постановки диагноза обычно достаточно сбора анамнеза и данных осмотра, возможно проведение микроскопии соскоба с гидроксидом калия или окрашивания по Граму, при которых определяются гифы, псевдогифы, наличие дрожжевых форм возбудителя. Кандидоз представляет собой оппортунистическую инфекцию, которая свидетельствует о низком уровне клеточного иммунитета, особенно у лиц с падением CD4+ до уровня 200-300 клеток/мл 3 . Поэтому особенно часто кандидоз развивается у пациентов, страдающих ВИЧ-инфекцией или онкологическими заболеваниями.
В некоторых случаях кандидоз полости рта развивается у больных с бронхиальной астмой, использующих ингаляционные кортикостероиды, даже при отсутствии нарушений иммунитета; у данной категории пациентов симптомы обычно разрешаются самостоятельно, без специфического лечения или отмены кортикостероидов. В остальных случаях используются противогрибковые препараты группы триазолов. Серьезной проблемой является возрастающая в последние годы резистентность грибов к флуконазолу.

Кандидоз полости рта
в) Вирус простого герпеса. Вирус простого герпеса 1 типа является наиболее частой причиной появления язв на слизистой полости рта, ежегодно в США регистрируется около 600000 новых случаев. Чаще всего вирус передается контактным путем от человека, страдающего острой острой формой заболевания или обострением хронического процесса. Вирус оседает на слизистых оболочках, подвергается эндоцитозу, а затем размножается внутри клетки и вызывает ее лизис. Выход вирусных частиц за пределы клетки клинически проявляется образованием везикул.
Также вирус простого герпеса может быть захвачен нейронами, где он способен пребывать в латентном состоянии и через некоторое время рецидивировать. Диагноз ставится на основе клинических данных, для подтверждения диагноза или отслеживания течения процесса возможно выполнение тестов на содержание титров антител, анализ содержимого везикул, вирусные культуры. Патогномоничным признаком является обнаружение многоядерных клеток Тцанка, в которых находятся сгруппированные частицы вируса.
Обычно первичный герпетический гингивостоматит начинается с появления участков болезненности и покраснения на слизистой полости рта и ротоглотки, далее следует появление пузырьков, которые разрываются, оставляя после себя изъязвленные поверхности. Первые симптомы появляются на 5-7 день после контакта с носителем, обычно они длятся 7-14 дней и проходят самостоятельно лишь на фоне поддерживающего лечения. Рецидив или развитие «вторичного» герпетического стоматита обусловлен реактивацией вируса в нервных ганглиях дерматомов; симптомы начинаются с изменения чувствительности в пораженной области, затем следует появление везикул. Чаще всего везикулы локализуются на коже губ.
Маленькие пузырьки могут сливаться, сохраняясь в течение 1-2 дней с последующим изъязвлением и образованием корок. Заживление занимает 5-7 дней, у лиц с нормальным иммунным статусом рубцов обычно не остается. В большинстве случаев герпетического стоматита лечение системными противовирусными препаратами не требуется, но при локализации процесса на губах могут использоваться топические мази с доконазолом или пенцикловиром.

Герпес на губе
Читайте также:
- Поражение глаз членистоногими. Патогенез
- Конъюнктивит, пупочные инфекции новорожденного. Причины
- Липоидный ретикуло-эндотелиоз - болезнь Ханда-Шюллера-Христиана. Болезнь Леттерера-Сиве, нелипоидный гистиоцитоз Фута и Олкотта
- Пульсирующие тени средостения. Передаточные зубцы тени средостения
- Операции при травме вен грудной полости. Хирургическая тактика
