Интертригенозный дерматит
Добавил пользователь Владимир З. Обновлено: 27.01.2026
Интертригинозный дерматит (другое название – опрелость) – дерматологическое заболевание, обычно вызываемое избыточным потоотделением и локализующееся в местах кожных складок и сгибов конечностей. Чаще всего этот вид дерматита поражает зону под грудью (у женщин), кожу подмышечных впадин, ягодичные и паховые сладки. Состояние кожных покровов при интертригинозном дерматите резко ухудшается из-за присоединения дрожжевых грибков и бактерий, что при учёте особенностей перечисленных выше областей тела случается довольно часто. Патология развивается у детей и взрослых, преимущественно страдающих избыточным весом и сахарным диабетом. Для лечения опрелостей используют подсушивающие дезинфицирующие растворы, например, жидкость Бурова, а также противогрибковые кремы и мази, хотя на ранних стадиях заболевания бывает достаточно усилить уход за кожными покровами.
Причины появления опрелостей:
- гиперфункция потовых желез;
- патологическая потливость;
- нарушение состава пота и кожного сала;
- нарушение обмена веществ;
- пренебрежение гигиеническими требованиями;
- избыточный вес;
- кожные складки и заломы.
Симптомы интертригинозного дерматита:
- покраснение и отек кожи;
- зуд;
- ощущение жжения;
- раздражение и мелкие травмы кожи;
- сыпь, воспаление, появление пузырьков, узелков и гнойников в случае инфицирования кожи.
Интертригинозный дерматит у младенцев
Опрелости у новорожденных появляются главным образом по недосмотру родителей. Пот, моча и жидкий стул – это превосходная питательная среда для бактерий, а не пропускающий естественные выделения и воздух памперс только ускоряет процесс. Даже при частой смене подгузника не удается избежать воспаления кожных покровов, в том числе из-за активного выделения аммиака, образующегося при разложении мочи и кала. Кроме того, нежная кожа младенца легко раздражается, а значит ссадины и потертости, провоцирующие появление опрелостей, легко могут вызвать трение подгузника или белья о кожу, а также оставшиеся после стирки частицы моющего средства, например, сульфаты и отдушки. В конечном счете любая новинка будь то новая пища, средство ухода или одежда может привести к развитию опрелости или интертригинозного дерматита у новорожденного.

На первой стадии заболевания кожа слегка краснеет, но различимые глазом повреждения на ней отсутствуют. Переход дерматита в следующую стадию сопровождается появлением многочисленных микротрещин и довольно ярких красных пятен, узелков и гнойничков. Если к подобным проявлениям отнестись без должного внимания, то заболевание перейдет в третью стадию, а это значит, на коже появятся трещины и язвы, а в отдельных случаях присоединится отслоение эпидермиса. Поражением кожных покровов дело не ограничивается – ребенок, страдает от зуда, жжения и боли постоянно плачет, а вдобавок страдает от ухудшения сна, снижения аппетита и лихорадки.
Интертригинозный дерматит у девочек и мальчиков развивается главным образом в складках паховой зоны, а также складках ножек, ручек и шеи. Эти области требуют тщательного ухода: им уделяется особое внимание при проведении гигиенических процедур, кроме того, следует обеспечить доступ воздуха к телу ребенка. Состояние кожи улучшают ванночки с чередой, ромашкой или корой дуба, а если по каким-либо причинам травяные настои применяться не могут, то используют слабый раствор марганцовки. После купания кожу следует осушить: лучше всего промокать мягким хлопчатобумажным полотенцем.
Если, несмотря на все принимаемые меры, опрелость кожи прогрессирует, то следует показать ребенка педиатру, который, вполне вероятно, рекомендует использовать крем Деситин – великолепное смягчающее и защитное средство на основе рыбьего жира, крем Бепантен, способствующий скорейшему заживлению мелких ранок или какой-либо другой состав, разрешенный к применению у младенцев. Что касается талька и крахмала – продуктов, традиционно используемых для обработки кожных складок, то их применение не всегда оправдано, так как эти сыпучие продукты, намокая от пота, собираются в комки, натирающие кожу.
Видео: Опрелости у детей
Интертригинозный дерматит у мужчин
Представители сильной половины человечества чаще всего страдают от опрелости кожи паховой области и ног. Заболевание начинается с покраснения кожи, которая вскоре отекает, а также начинает зудеть и чесаться. Считается, что интертригинозный дерматит – удел «грязнуль», однако это не всегда так – опрелость часто бывает спутницей болезней, связанных с нарушением обмена веществ, а также иногда является симптомом какого-нибудь венерического заболевания.
Лечить опрелость у мужчин следует только после консультации с врачом-дерматологом, который посоветует средство наружного ухода, например, отвар ромашки, календулы, зверобоя или коры дуба, обладающие противовоспалительными, заживляющими и антибактериальными свойствами. Обычно на пораженное место накладывают компресс, а затем коже дают высохнуть, после чего обрабатывают покровы каким-либо растительным маслом (простерилизованным и охлажденным). Если время упущено и на кожу с опрелостью попали болезнетворные микроорганизмы, то может быть назначен курс антибиотиков, а также рекомендовано применение подсушивающих, в том числе гормональных мазей.
Интертригинозный дерматит у женщин
Женщинам, особенно имеющим избыточный вес, хорошо знакомы признаки воспаления кожи, характерные для опрелости. Если зуд и боль имеются и при других видах дерматитов, то вот весьма своеобразное ощущение, что кожу саднит и щиплет, характерно именно для интертригинозного дерматита, локализующегося у женщин обычно под грудью, на шее, на животе и в области гениталий. Опрелость провоцируют не только избыточное потоотделение, но и изменение химического состава пота, обусловленное физиологическими особенностями организма, в частности, зависимости от гормонального уровня, который у женщин меняется во время менструального цикла, при беременности и наступлении климакса, кроме того, опрелость в паху и зоне между ягодицами часто вызывают естественные выделения из влагалища. Избежать опрелостей можно, если соблюдать правила гигиены, ухаживать за кожей и носить белье из хлопка. Следует помнить и о том, что проблема чаще всего возникает у обильно потеющих женщин, а это значит, одежду нужно выбирать по сезону, отдавая предпочтению той, что выполнена из «дышащих», не слишком плотных тканей.

Интертригинозный дерматит у пожилых людей
Патология связана с возрастными изменениями кожи, которая за счет недостаточной выработки эластина, коллагена и гиалуроновой кислоты становится сухой, чувствительной и легко трескается и травмируется. «Натереть» кожные покровы может даже постельное белье или привычная одежда. Чтобы не допустить развития интертригинозного дерматита, кожу пожилых людей следует регулярно осматривать, очищать и смягчать, например, детским кремом. У возрастных пациентов воспаление кожи легко переходит в хроническую стадию, что доставляет им массу неудобств и резко снижает качество жизни. Что бы этого не произошло, рекомендуется профилактические обработки вероятных зон поражения присыпками, мазью с цинком или стерилизованным растительным маслом, а также время от времени протирать кожу отварами ромашки или коры дуба.
Особенности лечения опрелостей в разных зонах тела
Опрелость под молочными железами. Специфическим для женщин является опрелость кожи под молочными железами, обостряющаяся во время беременности и проявляющаяся сыпью из пузырьков, трещин, эритем, мелких язвочек и эрозий. На начальном этапе лечение опрелости под грудью сводится к обработке кожи антисептическими средствами, а также к уменьшению трения в этой зоне, для чего кожу припудривают тальком или между телом и грудью помещают мягкую ткань (обычно из хлопка, но не новую, а много раз стиранную). Если воспаление все же развилось, используют мазь с цинком или теймурову пасту, способствующие регенерации (восстановлению) тканей, а в запущенных случаях для лечения опрелости под молочными железами применяют противовоспалительные мази Солкосерил, Клотримазол, Левомеколь и другие, но обязательно прописанные врачом.

Опрелость между пальцами ног появляется вследствие обильного потения и того, что называется «растереть», то есть механического воздействия на кожу стоп. Как правило, из-за специфики локализации интертригинозный дерматит ног редко обходится без осложнения грибковой инфекцией, а потому его лечение вызывает определенные трудности и подразумевает:
- ежедневное мытье ног кипяченой (более мягкой) водой с мылом (желательно также мягким, не раздражающим кожные покровы или обладающим мощным антисептическим действием дегтярным мылом);
- обработку антисептиками и подсушивающими составами на основе цинка и сульфата меди;
- тщательное просушивание кожи ног, вплоть до применения фена – с акцентом на пространство между пальцами;
- ношение обуви и носок исключительно из натуральных материалов, так как в синтетике кожа не дышит и еще больше потеет;
- по возможности чаще ходить босиком;
- использовать, в том числе в профилактических целях, противомикозные препараты, например мазь клотримазол.
- смягчать и увлажнять кожу ног, в том числе используя облепиховое масло и пантенол, которые специалисты считают лучшими средствами для заживления кожи.
Внимание! Практически все данные выше рекомендации действительны и при других локализациях интертригинозного дерматита.
Особые случаи интертригинозного дерматита
Сахарный диабет всегда сказывается на состоянии кожи, которая из-за обезвоживания организма, характерного для этого заболевания, истончается и становится сухой, внешним видом напоминая пергамент – в большей степени это происходит вследствие нарушений в работе потовых и сальных желез, что проявляется в изменении состава и запаха пота и кожного сала. Более всего негативные изменения затрагивают кожу нижних конечностей, особенно стоп, которую нужно постоянно смазывать увлажняющим кремом, хорошо, если он будет на основе мочевины. Не добавляют коже здоровья частые инъекции и заборы крови на анализ, так как постоянно есть угроза занести инфекцию, в том числе грибковую. Опрелости при сахарном диабете представляют серьезную опасность, поэтому самолечение недопустимо!
Внимание! Для обработки кожных покровов при сахарном диабете нельзя использовать спиртосодержащие составы, рекомендуется обеззараживать покровы фурацилином, перекисью водорода или хлоргексидином.
Дрожжевая опрелость (поверхностный кандидоз) – это инфекционное заболевание, спровоцировать которое, в том числе может и аллергическая реакция, лежащая в основе практически всех видов дерматитов. Дрожжевые грибки чаще всего поражают зоны между пальцами рук и ног, но могут «заселить» и кожные складки, причем у женщин патология проявляется в паховой зоне и под грудью, у мужчин в мошеночно-паховой зоне, а у детей – между ягодицами. Лечится интертригинозного дерматит, имеющий дрожжевую природу, мазями Пимафуцин, Кандид, Травоген, Травокорт и Клотримазол. Неплохие результаты дает применение присыпок Нистатин и Миконистатин.
Интертригинозный дерматит

Опрелость (так по-другому называют данный вид дерматита) является дерматологическим заболеванием, которое возникает обычно на фоне повышенного потоотделения. Основные места локализации недуга — складки кожи и сгибы рук, ног. Довольно часто происходит присоединение вторичной инфекции в виде дрожжевых грибков. Патология диагностируется преимущественно у людей, страдающих лишним весом и сахарным диабетом. На ранней стадии болезни для исчезновения неприятных признаков достаточно улучшить уход и гигиену за пораженными участками кожи.
Информацию из данного раздела нельзя использовать для самодиагностики и самолечения. В случае боли или иного обострения заболевания диагностические исследования должен назначать только лечащий врач. Для постановки диагноза и правильного назначения лечения следует обратиться к профильному специалисту.

Симптомы заболевания
Проявление заболевания у мужчин и женщин имеет отличную клиническую картину ввиду физиологических особенностей строения тела. Так, у представительниц слабого пола интертригинозный дерматит возникает обычно в зоне под грудью, в области подмышечных впадин, в складках гениталий и под ягодицами. У мужчин недуг чаще всего поражает нижние конечности и зону паха. Развитие опрелости происходит поэтапно:
- появляется покраснение;
- небольшой отек;
- возникает зуд, чувство жжения;
- присоединяется сыпь или пузырьки;
- воспаляется кожа и образуются гнойнички.
Последний пункт наблюдают в случае инфицирования кожи. Развитие различных гнойных поражений является осложненной формой заболевания. Его переход в хроническую фазу означает стойкость симптоматических проявлений и резкое снижение качества жизни человека.

Причины интертригинозного дерматита
У пациентов женского пола к опрелостям приводит не только чрезмерное потение, но и изменение химического состава выделяемого пота, который раздражает кожные покровы. Причиной может быть гормональный дисбаланс, беременность, период менструального цикла, климакс и др. К предрасполагающим факторам относятся ожирение и сахарный диабет. У мужчин к появлению заболевания приводят:
- гиперфункция потовых желез;
- несоблюдение норм личной гигиены;
- патология обмена веществ.
Для мужской половины пациентов факторы, повышающие риск возникновения опрелостей, те же, что и для женщин. Для выявления причины недуга назначается комплексное обследование, включающее в себя лабораторные и клинические анализы.
К какому врачу обратиться?
При возникновении каких-либо неприятных симптомов на коже стоит как можно раньше обратиться за консультацией к следующему врачу:
Особенности диагностики и лечения интертригинозных форм дерматомикозов
Для цитирования: Никитина И.В. Особенности диагностики и лечения интертригинозных форм дерматомикозов. РМЖ. 2009;17:1077.
Неоспоримыми лидерами по частоте встречаемости и глобальности распространения среди прочих инфекционных заболеваний кожи являются грибковые заболевания. В общей структуре кожных болезней микозы составляют от 35 до 70% [1]. Онихомикоз являлся преобладающим среди всех диагнозов дерматофитий, второе место по встречаемости занимает микоз стоп, третье – микозы гладкой кожи.
Эпидемиологические условия распространения грибковых заболеваний весьма разнообразны и до настоящего времени полностью не изучены. Частота этих заболеваний объясняется прежде всего многочисленностью и разнообразием грибов в природе, вследствие чего существует значительный риск заражения для человека, а также значительной биологической изменчивостью грибов, в частности, их способностью увеличивать свою патогенность и вирулентность под влиянием различных факторов.
Дерматофитами называют плесневые грибы – аскомицеты семейства Arthodermataceae (порядок Onygenales), относящиеся к трем родам – Epidermophyton, Microsporum и Trichophyton. Всего известно 43 вида дерматофитов, из них – 30 возбудителей дерматофитии [1,2]. В процессе эволюции патогенные дерматофиты приспособились к жизни в различных средах: в земле (геофильные грибы), в тканях человека (антропофильные грибы) и животных (зоофильные грибы).
Антропофильные дерматофиты вызывают грибковые заболевания только у человека. Считается, что они адаптировались к паразитированию на его коже в процессе эволюции геофильных и зоофильных грибов. В отличие от микозов, вызванных зоофильными грибами, для антропофилов характерен не спорадический, а эпидемический путь распространения инфекции.
Очаги поражения при антропофильной инфекции характеризуются слабо выраженной воспалительной реакцией и локализуются, как правило, на закрытых участках тела (ноги, паховые складки), хотя не исключается и более распространенный характер поражения.
Эпидермофития стоп, известная как «стопа атлета», является наиболее распространенной антропофильной грибковой инфекцией. Заболевание чаще всего вызывается Trichophyton rubrum, Trichophyton mentagrophytes var. interdigitale и Epidermophyton floccosum. T. rubrum встречается чаще всего и наиболее устойчив к лечению. Дерматофиты являются самыми частыми возбудителями интертригинозной эпидермофитии стоп, но иногда межпальцевые складки инфицируются грибами рода Candida, в редких случаях инфекцию кожи стопы вызывают недерматофитные плесневые грибы, такие как Scytalidium (Hendersonula) [3].
«Стопу атлета» следует рассматривать в контексте других грибковых заболеваний кожи, поскольку очаги поражения могут распространяться на подошвы, ступни, ладони, пах и ногти. Ключевым звеном в этом случае является развитие интертригинозной эпидермофитии стоп. Чаще всего эти комплексные инфекции обусловлены дерматофитами [3].
Клинически дерматофитоз ступни затрагивает в основном межпальцевые складки стоп, особенно латеральные, но резервуары гриба могут находиться и в других местах, в частности, на подошвах. Установлено, что нормальная микрофлора межпальцевых складок стоп представлена стафилококками, анаэробными коринебактериями и небольшим количеством грамотрицательных микроорганизмов. Этот микробный пейзаж сохраняется и в случае появления в складках шелушения, но при этом у 85% больных в складках обнаруживаются грибы. К развитию выраженной воспалительной реакции (мацерация, мокнутие, эрозии) приводит резкое увеличение грамотрицательных микроорганизмов. Доказано, что наиболее тяжелое течение интертригинозного процесса наблюдается при взаимодействии дерматофитов и грамотрицательных микроорганизмов. При присоединении пиогенной микрофлоры воспалительные явления в очагах поражения усиливаются, появляются гнойные корочки, часто развивается лимфангит и лимфаденит. Таким образом, считается, что дерматофиты в основном вызывают отшелушивание кожи, а мацерация и эрозия кожи обычно происходят под действием бактерий.
Значение дерматофитии стопы двояко. С одной стороны, дерматофитоз стопы является контагиозной инфекцией, распространяющейся с помощью инфекционных частиц, т.е. роговых чешуек, содержащих грибок, в общественных местах для купания, общественных душах, промышленных помещениях, плавательных бассейнах, спортивно–оздоровительных центрах, саунах, а также внутри семьи, где основное распространение происходит в жилых помещениях, в туалете, в душевых и при контакте между членами семьи. С другой стороны, дерматофитоз стопы играет важную роль в эпидемиологии микоза крупных складок, вызванных Trichophyton rubrum, Trichophyton mentagrophytes var. interdigitale. Нередко обе клинические формы наблюдаются у одного и того же пациента. По данным литературы, интертригинозный (паховый) микоз кожи в общей структуре грибковых инфекций кожи может достигать 10% [4,5].
Заболевание часто наблюдается в паховых складках у мужчин, чему способствует повышенная потливость складок и мошонки, обусловленная образом жизни и работы, физическими нагрузками, и частая травматизация вследствие ношения тесного белья. Кроме того, мужчины чаще страдают микозами других участков тела (особенно стоп). Большую роль в распространении микоза в области паховых складок у мужчин играет грибковое поражение кожи мошонки, при этом ее кожа может выглядеть абсолютно нормальной или слегка воспаленной. Обычно микоз выходит за пределы паховых складок, распространяясь на внутреннюю поверхность бедер, промежность, перианальную область и межягодичную складку; возможно изолированное поражение этих областей. После ношения тесной одежды может развиться острое воспаление. В результате аутоинокуляции или первичного инфицирования пораженными могут оказаться подкрыльцовые впадины, складки под молочными железами у женщин, локтевые сгибы и подколенные ямки, а также любой участок кожного покрова, включая волосистую часть головы. Первоначальные проявления представлены небольшими слегка отечными пятнами розового цвета с гладкой поверхностью, округлыми очертаниями и резкими границами. В результате увеличения в размерах и слияния друг с другом они образуют сплошной очаг с фестончатыми контурами, склонный к периферическому росту. Краевая зона очага, покрытая пузырьками, пустулами, эрозиями, чешуйками и корочками, в виде непрерывного валика отчетливо выступает над его центром и окружающей кожей. Иногда формируются очаги поражения разнообразных конфигураций, захватывающие порой обширные участки кожного покрова. Субъективно – зуд, от умеренного до сильного и даже мучительного. Со временем воспаление в очагах микоза угасает (появляется шелушение, в их окраске начинают преобладать буроватые тона) или разрешается, если устраняется влажная среда.
Следует отметить, что в 3–5% случаев кандинозно–плесневые грибы являются самостоятельной причиной поражения паховых складок [4,5]. Такое поражение чаще встречается у женщин и почти всегда сопровождается выраженной воспалительной реакцией.
Микоз паховых складок в 35–40% случаев может быть обусловлен E. floccosum, его обычно выделяют в отдельную форму заболевания – паховую эпидермофитию, которая обычно начинается остро, но при отсутствии рационального лечения может трансформироваться в хроническую форму [4,5].
Хронически протекающий микоз крупных складок может осложняться лихенификацией, имитируя ограниченный нейродермит. Присоединение вторичной пиококковой или кандидозной инфекции часто осложняет течение микоза, что сопровождается явлениями мокнутия, мацерациии, пустулизации очагов поражения. Такой вариант течения микоза возможен при нерациональном лечении с назначением кортикостероидных мазей. При длительном применении раздражающих и сенсибилизирующих средств возможно развитие аллергических дерматитов.
Хотя наиболее частыми этиологическими факторами, приводящими к развитию поражения кожных складок, являются патогенные и условно–патогенные грибы, следует проводить дифференциальный диагноз с опрелостью (интертриго, интертригинозный дерматит), вызванной трением соприкасающихся поверхностей кожи – наиболее частый вариант дерматита от механических воздействий. Особенно высока частота развития интертриго среди пациентов, страдающих ожирением, сахарным диабетом. Причиной заболевания в этом случае является трение соприкасающихся поверхностей кожи в условиях раздражающего и мацерирующего действия пота. Под действием пота кожа складок истончается и становится легко ранимой. В межпальцевых складках и на прилегающих поверхностях пальцев стоп образуются эрозии с нечеткими границами, с обильным серозным отделяемым на поверхности, в глубине – болезненные трещины. Поражение захватывает все межпальцевые складки стоп, имеет строго симметричное расположение и может сочетаться с повышенной потливостью ладоней и подмышечных впадин. Больные предъявляют жалобы на зуд.
Как осложнение опрелости или первично в пахово–бедренных, ягодичных, межпальцевых складках может развиваться интертригинозная стрептодермия (стрептококковая опрелость). После вскрытия фликтены возникает эрозия с четкими границами, фестончатыми краями, ограниченная узким воротничком отслаивающегося рогового слоя эпидермиса, покрытая рыхлыми желтовато–зеленоватыми корками. Очаг поражения склонен к периферическому росту за счет отслойки рогового слоя эпидермиса. Субъективно: зуд, реже – жжение, боль. Часто осложняется лимфангитом и лимфаденитом.
Эритразма – хронически протекающее заболевание кожи, вызвано Corynebacterium minutissimuni, встречается только у взрослых. В очагах поражения наблюдаются розовато–коричневые невоспалительные пятна с четкими границами, шелушащиеся по краям. Высыпания локализуются в области соприкасающихся поверхностей кожных складок: пахово–мошоночной, реже межягодичной, подкрыльцовых впадинах, иногда в межпальцевых складках стоп. Субъективные ощущения отсутствуют, но иногда развивается сильный зуд.
При терапии поражений кожных складок, сопровождающихся островоспалительными явлениями грибковой, бактериально–грибковой этиологии, крайне важна лекарственная форма препаратов для местного применения. Это связано с тем, что жировые компоненты, входящие в рецептуру наиболее часто применяемых лекарственных форм (мази и кремы), могут способствовать развитию так называемого «парникового эффекта», провоцируя усиление экссудации и дальнейшее распространение инфекционного процесса на коже. В случае поражений кожных складок, вызванных дерматофитами и другими, наиболее часто встречающимися возбудителями микозов кожи, показано применение наружного высокоэффективного антимикотика – Тербинафин в форме геля (Ламизил® Дермгель) благодаря его антимикотическому, антибактериальному и противовоспалительному действию. Он является препаратом выбора в ситуациях, когда течение дерматомикоза сопровождается выраженной воспалительной реакцией и жалобами больных на зуд и жжение. Лекарственная форма Дермгель обладает высокой гигроскопичностью, проницаема для воздуха, с выраженным охлаждающим и противовоспалительным эффектом, что позволяет добиваться разрешения процесса в максимально короткие сроки [6].
Выбор препарата Ламизил® Дермгель для лечения больных с дерматофитиями кожных складок основывается на результатах проведенных в 1992 г. клинических испытаний, в ходе которых было доказано, что тербинафин обладает высокой фунгицидной активностью по отношению ко всем наиболее часто встречающимся возбудителям микозов кожи и ее придатков [7]. Благодаря своей высокой проникающей способности, тербинафин хорошо накапливается во всех слоях эпидермиса. Через четыре часа после нанесения на кожу его концентрация в роговом слое значительно превышает минимальную ингибирующую концентрацию для большинства возбудителей микозов кожи, которая для дерматофитов, таких как T. rubrum, составляет примерно 0,003 мкг/мл. При этом через 7 дней после прекращения лечения концентрация тербинафина в роговом слое составляет 0,33 нг/см3, что в 100 раз выше концентрации, вызывающей гибель грибка [8]. В то же время концентрация тербинафина в дерме невысока и, следовательно, нет его системного действия на макроорганизм. Препарат также проявляет активность против грамположительных и грамотрицательных бактерий и по своему антибактериальному эффекту не уступает гентамицину [9]. Это позволяет применять его при лечении интертриго бактериально–грибковой этиологии в некоторых случаях без применения антибиотиков [10]. Кроме того, согласно опубликованным данным исследования противовоспалительной активности патентованных противогрибковых препаратов in vivo в экспериментальной модели на человеке [Rosen T., Schell B.–J., Orengo I.] показали, что препараты группы аллиламина (Ламизил® и др.) и циклопирокс оламин обладали наиболее сильными противовоспалительными свойствами, а кетоконазол имел промежуточную противовоспалительную активность в этих экспериментальных условиях. Эти препараты были лучше оксиконазола, эконазола и 2,5% гидрокортизона [11].
Немаловажное значение имеет высокая безопасность и хорошая переносимость препарата, что подтверждается многочисленными клиническими испытаниями, проведенными в разных странах [12].
Таким образом, препаратом выбора для лечения интертригинозных форм дерматомикозов является Ламизил® Дермгель, который зарекомендовал себя высокоэффективным, безопасным и хорошо переносимым противогрибковым препаратом.
Литература
1. Рукавишникова В.М. Микозы стоп. М.: 2003; 317.
2. Новое в систематике и номенклатуре грибов. Под. ред. Ю.Т. Дьякова и Ю.В. Сергеева. М.: 2003. 164–192.
3. Evans E.G.V.: ‘Nail dermatophytosis: The nature and scale of the problem’. J Dermatol Treat 1990; 1 (suppl 2):47–48.
4. Разнатовский К.И., Родионов А.Н., Котрехова Л.П. Дерматомикозы. СПб.: Издательский дом СПбМАПО. 2006;159.
5. Тарасенко Г.Н. Современные аспекты практической микологию Рос.журн. кож. и вен. бол.– 2006.–№6.–С. 49–61.
6. Халдин А.А., Сергеев В.Ю., Изюмова И.М. Современные представления о паховых дерматофитиях: этиология, эпидемиология, клиника и эффективная терапия. Рос ж кож вен бол. 2005;5:1–8.
7. Rosen T., Schell B.–J., Orengo I. Int. J. Dermatol. 1997, 36: 788–792.
8. Hill S., Thomas R., Smith S., Finlay A. Pharmacokinetic study of 1% cream Lamisil. Br J Dermatol. 1992; 127: 396.
9. Сергеев В.Ю., Сергеев А.Ю. Дерматофии: новое в диагностике, терапии и профилактикенаиболее распространенных микозов человека. Consilium medicum.–Дерматология.–2008.–№1.–С.30–35.
10. Котрехова Л.П. «Особенности диагностики и лечения интертриго грибковой этиологии» НИИ Медицинской микологии им П.Н. Кашкина, Санкт–Петербургская медицинская академии последипломного образования.
11. Smith–Kurtz E., Maddalena M.E., Hellyer L., et ai. ‘Evaluation and comparison of the anti–inflammatory activity of antimycotic agents’. Poster Exhibit, American Academy of Dermatology, 1991.
12. Evans E.G.V., Department of Microbioligy, University of Leeds, UK Dermatology 1997; 194 (suppl. 1):3–6.
Контент доступен под лицензией Creative Commons «Attribution» («Атрибуция») 4.0 Всемирная.
Причины и лечение интертригинозного дерматита

Интертригинозный дерматит — заболевание кожи, возникающее в области кожных складок, то есть в часто трущихся и сильно потеющих местах.
Причины
Интертригинозным дерматитом называют опрелости. Среди причин и провоцирующих факторов выделяют такие состояния и патологии:
- Повышенная потливость.
- Нездоровый обмен веществ, лишний вес.
- Нерегулярная гигиена.
- Сахарный диабет. Больные страдают от обезвоживания, что влияет и на кожу: она становится тоньше и суше. Во многом это обусловлено тем, что диабет мешает нормальной работе потовых желез. Особенно проблемы касаются кожи ног, которую нужно регулярно увлажнять и смягчать.
- Поверхностный кандидоз — грибковое поражение. Локализуется, как правило, между пальцами, в паху, на животе и в кожных складках.
- Гормональные нарушения и перестройки.
Симптомы

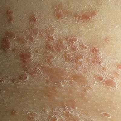
Клиническая картина на раннем этапе болезни и в запущенном случае отличается. На фото можно рассмотреть внешние признаки заболевания.
Симптомы на начальной стадии:
- Отеки и гиперемия. Покрасневшие участки обычно имеют симметричную форму.
- Неприятные ощущения, зуд, жжение.
- Кожный покров воспаляется, раздражается, возникают микротравмы.
Признаки запущенного интертригинозного дерматита:

- Покраснения приобретают более яркий цвет.
- Шелушение, сильный зуд и жжение.
- Кожа становится влажной.
- Воспаление приобретает интенсивный характер, появляются высыпания, узелки и пузырьки, наполненные жидкостью. Если произошло сопутствующее заражение инфекцией, может образовываться гнойная сыпь и язвы.
Локализация опрелостей
Дерматит поражает кожные складки в обильно потеющих и подвергающихся трению местах:

- На ягодицах и между ними. Межъягодичная зона часто воспаляется у детей в младенческом возрасте. У взрослых опрелости в области ягодиц возникают чаще летом, когда из-за жаркой погоды человек потеет значительно больше.
- Складки на шее, встречающиеся у людей с избыточным весом.
- Подмышки — область, очень часто подвергающаяся опрелостям.
- Под коленями и между пальцами на ногах. В последнем случае вероятно заражение грибком.
- На локтях и между пальцами рук.
- На животе. Локализуется в области пупка и на складках (особенно это касается людей с лишним весом). Часто причиной становится трение одежды или ремня.
- Область паха. Кожа в этом месте особенно нежна и чувствительна, поэтому ее легко натереть, кроме того, паховая зона обильно потеет.
- При ношении головных уборов из синтетических материалов могут возникать опрелости за ушами.
- Под молочными железами. Проблема обостряется в период беременности. Кожа покрывается покраснениями, пузырьковыми высыпаниями, трещинами и шелушащимся слоям, гнойными язвочками.
Опрелости у младенцев
Чаще всего опрелости у детей локализуются в паховой области, на коже в подмышечном сгибе, за ушами.
На формирование интертригинозного дерматита у ребенка влияют следующие факторы:
- Дети часто перегреваются и потеют. Это происходит из-за того, что организм еще не способен проводить правильную терморегуляцию. Поэтому нужно следить за тем, чтобы температура воздуха в комнате не была слишком высокой.
- Чрезмерная влажность в помещении.
- Плохая гигиена. Если выделения ребенка систематически контактируют с его кожей, это часто приводит к воспалению и заражению инфекцией. Нужно регулярно менять подгузники, следить, чтобы они пропускали воздух и были сделаны из мягких, не раздражающих кожу материалов.
- Частые аллергические реакции.
Клиническая картина у детей во многом схожа с проявлением патологии у взрослых: воспаление, зуд, жжение, позже — сыпь, шелушение, пузырьки. Ребенок испытывает сильный дискомфорт, а потому плачет, плохо ест и спит, становится менее активным. Может возникнуть лихорадочное состояние (слабость, температура).
Чтобы вылечить опрелости, нужно постоянно ухаживать за кожей ребенка, следить за его чистотой и проводить гигиенические процедуры. При купании можно добавлять в воду раствор марганцовки либо настои ромашки, череды, коры дуба. Для приготовления настоя 3 столовых ложки растительного сырья заливают кипятком (600—700 мл), настаивают час и процеживают.
Если уход за кожей не помогает, нужно обязательно показать ребенка педиатру. Врач назначит кремы для заживления: Бепентен, Деситин (на основе рыбьего жира).
Не рекомендуется использовать для лечения привычные средства для обработки кожи — тальк и крахмал.
Опрелости у мужчин
Дерматит этого типа у мужчин наиболее часто локализуется в области гениталий, на коже подмышек и ног. Факторы, влияющие на появление опрелостей:
- Проблемы с обменом веществ (как причина обильного потоотделения).
- Венерические заболевания и, как следствие, воспалительные процессы в паховой зоне.
- Недостаточное соблюдение чистоты. Особенно это касается людей с избыточной массой тела. Плохая гигиена создает благоприятные условия для размножения стафилококков, стрептококков, грибков, в результате чего появляются опрелости.
- Тесная, неудобная одежда и белье, некачественные и синтетические материалы, а также одежда, не пропускающая воздух.

Терапия направлена на то, чтобы снять воспаление, подсушить и смягчить кожу. Кроме того, врач может выписать курс антибиотиков для устранения инфекций, а также гормональные мази (Гидрокортизон, Дезоксиметазон, Беклометазон).
Кроме фармацевтических средств, для лечения дерматита используют заживляющие отвары из растений: ромашки, календулы, коры дуба, зверобоя. Для приготовления отвара нужно залить кипятком (0,5 л) 2 столовых ложки измельченного растительного сырья. Подержать на водяной бане 10—12 минут, процедить после остывания. Средство применяют для примочек и протирания пораженных участков.
Проявления у женщин

Опрелости часто появляются у женщин, имеющих лишний вес. Раздражение затрагивает кожу под грудью и на животе, в паховой зоне, на шее. Причины появления опрелостей у женщин все те же: обильное потоотделение, некачественное белье, плохая гигиена. Кроме того, играет свою роль то, что пот женщин меняет химический состав из-за гормональных изменений.
Чтобы подсушить и обеззаразить кожу, используют раствор борной кислоты, продающийся в аптеке. Для смягчения эпидермиса рекомендуется вазелин.
Чтобы избавиться от зуда, применяют отвар ромашки. Стаканом кипятка заливают 2 ложки сухой ромашки, отвар настаивается три часа. Принимают по полстакана 2—3 раза в день после еды.
У пожилых людей
Люди такого возраста подвержены опрелостям на ладонях, пальцах ног, под мышками, в области гениталий.
Причины того, почему пожилые часто страдают от интертригинозного дерматита:
- Кожа людей в возрасте теряет изначальные свойства: становится сухой и менее эластичной. Механические повреждения происходят гораздо чаще. Связано это с уменьшением выработки эластина и коллагена. Поэтому кожа пожилых людей требует особого ухода: рекомендуется обработка тальком, цинковой мазью, маслами, травяными отварами.
- Наличие ВСД, гормональных сбоев, почечных патологий, диабета, геморроя.
- Лежачие больные часто страдают от кожных заболеваний. Усугубляет ситуацию недостаточная гигиена и применение подгузников для взрослых.
Лечение
Для начала кожа должна быть ограждена от раздражителей (трения, аллергенов). Ее можно присыпать тальком и обрабатывать обеззараживающими средствами. Для восстановления поврежденных тканей используют Цинковую мазь и пасту Теймурова. В индивидуальном порядке и строго по рецепту врач назначает противовоспалительные средства наружного применения — Левомеколь, Клотримазол.
Лечение опрелостей между пальцами ног сопряжено с некоторыми трудностями, необходимо:

- Мыть ноги кипяченой водой с мылом. Использование кипяченой воды обусловлено ее мягкостью. Кроме того, рекомендуется применять дегтярное мыло, обладающее антисептическими свойствами.
- Обеззараживание кожи при помощи антисептиков (масло чайного дерева, Дегтярная и Цинковая мази).
- Нужно обязательно насухо вытирать ноги, особенно кожу между пальцами.
- Не носить синтетическую обувь и носки, в которых нога сильно потеет, а кожа не дышит.
- Пользоваться препаратами против сухости кожных покровов (например, облепиховым маслом и Пантенолом).
Прогноз и профилактика
Лечить проявления интертригинозного дерматита необходимо быстро и серьезно, иначе заболевание будет прогрессировать и распространяться по телу, покрывая до 4/5 его поверхности и принимая хроническую форму.
- Своевременная и правильная терапия появившихся дерматологических поражений.
- Тщательный уход за кожей.
- Устранение негативных факторов (проблем с обменом веществ, лишнего веса, контакта с аллергенами, гормональных патологий).
- Здоровый образ жизни (полноценный сон, правильное питание, спорт, предотвращение стрессов, физического и эмоционального переутомления).
Использование фармацевтических препаратов и народных средств рекомендуется только по назначению врача. Занимаясь самолечением, пациент рискует запустить болезнь, испортив свое здоровье и внешность.
Интертригинозный дерматит

Термин интертригинозный дерматит происходит от латинского слова intertriginis, в переводе означающего ссадину, раздражение, а в медицинском понимании опрелость.
Это дерматологическое заболевание, вызываемое в основном механическими повреждениями кожных покровов.
Области поражения
Опрелость возникает в первую очередь в кожных складках, где постоянно присутствуют трение и увеличенное потоотделение. При этом эпидермис истончается и повреждается. Чаще всего очагами возникновения болезни являются:
Встречается не только у младенцев, но и у взрослых, особенно в летний период, в жаркую и влажную погоду, которая способствует увеличению потоотделения.
Чаще всего складки на шее встречаются у детей и людей с ожирением.

Это очень распространенная локализация опрелости, так как у любого человека наиболее подвержена гипогидрозу.
Поражение происходит на ступнях в межпальцевой области и под коленями. Возможно присоединение вторичной грибковой инфекции.
Опрелость располагается, как правило, между пальцами рук и на локтевом сгибе.
Дерматит появляется в складках живота и пупочной области. Может возникнуть от постоянного воздействия на эпидермис. Например, при носке ремня.

Область гениталий очень уязвима в отношении возникновения опрелостей, поскольку наиболее подвержена трению и увлажнению.
Опрелость за ушами встречается не очень часто, как правило, у детей при использовании шапок из синтетических материалов и перегреве.
Симптомы опрелостей
Этот вид дерматита имеет определенную клиническую картину, которая зависит от стадии заболевания. К общим симптомам относятся:

- Покраснение кожи (так называемая эритрема). Появляется на ранних стадиях опрелости. Обычно оно имеет симметричную форму и располагается с обеих сторон кожных складок.
- Отек кожных покровов в месте покраснения эпидермиса.
- Появление микротрещин и трещин в пораженной области.
- Ощущение зуда и жжения. Возникает из-за раздражения нервных волокон в области поражения.
- Увеличение влажности в месте образования опрелости, так называемая экссудация.
- Появление инфильтратов – пузырьковых образований, наполненных жидкостью
- Возникновение экземы на поздних стадиях, шелушение.
Различают три степени заболевания:
Наблюдается легкое покраснение, целостность кожных покровов не нарушена.
В месте поражения появляются трещины, язвочки.
Сильный воспалительный процесс, появление экземы, возможно присоединение грибковой или бактериальной инфекции.
Опрелости у младенцев
У детей опрелости возникают чаще всего между ног, на ягодицах, под мышками, в области уха. Младенческий дерматит связан с несколькими факторами.
- Несформировавшаяся терморегуляция организма приводит быстрому перегреву, и ребенок начинает потеть. Необходимо следить за температурой в комнате, чтобы кожа малыша была сухой.
- Слишком высокая влажность в помещении в сочетании с укутыванием также способствует выделению пота.
- Использование подгузника приводит к тому, что кожа ребенка постоянно подвергается воздействию продуктов жизнедеятельности организма. В этом случае плохая гигиена может привести не только к воспалительному процессу, но и присоединению бактериальной инфекции. Некачественный подгузник, который не пропускает воздух и сделан из жесткого материала, может спровоцировать натирание и возникновение опрелостей.
- Опрелости могут быть вызваны аллергической реакцией, поэтому необходимо тщательно следить за питанием мамы и малыша.
Лечение опрелостей легкой стадии у детей заключается в более тщательном уходе за кожным покровом, проведении гигиенических процедур с использованием настоев череды, ромашки, коры дуба или раствора марганцовки. При более тяжелой стадии заболевания необходимо обратиться к педиатру, поскольку она требует применения специальных заживляющих мазей.
Опрелости у женщин
У женщин зачастую поражению подвержены участки под молочными железами, в складках живота, в области шеи и половых органов. Причинами возникновения могут быть:
- Гормональная перестройка. Организм женщины переживает стресс и в период менструального цикла, беременности, лактации и климакса. В связи с этим меняется состав кожных выделений, усиливается потоотделение, что провоцирует появление опрелостей.
- Выделения из влагалища и недержание мочи, часто встречающиеся у женщин, могут спровоцировать появление интертригинозного дерматита в области гениталий. В этот момент усиливается влажность в области гениталий, к которой присоединяется патогенная микрофлора.
- Очень часто опрелости возникают у людей с лишним весом, поскольку ожирение способствует усиленному выделению подкожного сала и пота.

Помимо усиления гигиены для лечения дерматита можно использовать травяные отвары. Для смягчения пораженного места можно использовать детский крем. Следует обратить внимание на качество одежды, она должна быть дышащей
Если эти меры не помогают, надо проконсультироваться с дерматологом. Возможно, что причины кроются в наличии более тяжелого заболевания, которое вызвало опрелости.
Опрелости у мужчин
У мужчин чаще всего страдает кожа вокруг детородных органов, под мышками, на ногах. Вызвать заболевание могут:

- Нарушение обмена веществ и, связанная с этим, повышенная потливость.
- Опрелости вокруг гениталий могут свидетельствовать о наличии венерического заболевания.
- Плохая или нерегулярная гигиена, особенно у людей с лишним весом, приводит к размножению на коже стрептококков, стафилококков, грибков рода Кандида, которые способствуют появлению опрелостей.
- Спровоцировать заболевание могут тесная одежда и неудобное синтетическое белье, которое не пропускает воздух.
Помимо стандартных методов борьбы с заболеванием, направленных на подсушивание и смягчение кожи, дерматолог может назначить антибиотики или гормональную мазь, в зависимости от причины возникновения опрелости.
Опрелости у пожилых людей
У пожилых людей опрелости поражают чаще всего пах, подмышки, ладони, стопы. Это одна из категорий, наиболее подверженная возникновению заболевания.
- Возрастные изменения способствуют тому, что резко снижается образование коллагена, эластина, гиалуроновой кислоты. Кожные покровы перестают быть эластичными, истончаются, становятся сухими. В связи с этим они больше подвержены травмированию и появлению трещин.
- Зачастую пожилые люди страдают заболеваниями, которые могут провоцировать дерматит: сахарный диабет, геморрой, вегетососудистая дистония, эндокринные заболевания, дисфункция почек.
- Болезнь зачастую поражает лежачих больных, в том числе из-за недостатка гигиенических процедур. Усугубить клиническую картину может использование подгузников для взрослых.
Пожилые люди, имеющие подобное заболевание, должны обязательно пройти обследование у специалиста. Их кожа не способна к быстрой регенерации и плохо заживает, поэтому требуется применение специальных мазей.
Возникновение интертригинозного дерматита легко можно предотвратить профилактическими мерами. В первую очередь необходима тщательная регулярная гигиена. Кроме этого, нужно следить за своим питанием и весом. Использование дышащей одежды из натуральных тканей также может предотвратить заболевание.
Читайте также:
