Киста хориоидальной щели на МРТ
Добавил пользователь Евгений Кузнецов Обновлено: 08.01.2026
Арахноидальная киста - относительно часто встречающееся доброкачественное образование центральной нервной системы, локализующееся как интракраниально так и в позвоночном канале и располагающееся между поверхностью мозга и паутинной (арахноидальной) оболочкой.
На изображениях они визуализируются в виде четко отграниченной полости с невидимыми стенками, оттесняющей прилегающие структуры, с сосдержимым характеризующимся паттерном аналогичным паттерну церебросиннальной жидкости (гиподенсивный при компьютерной томографии, гиперинтенсивный на Т2 взвешенных изображениях и гипоинтенсивный на Т1ВИ при магнитно-резонансной томографии). Они так же могу вызывать ремоделирование прилегающей кости.
Эпидемиология
Арахноидальные кисты составляют до 1% всех интракраниальных объемных образований. Хотя подавляющее большинство арахноидальных кист носят спорадический характер, отмечается увеличение частоты их встречаемости при ассоциации с мукополисахаридозом за счет дисфункции арахноидальных грануляций и отложения депозитов глигозаминогликанов в мозговых оболочках. [5]
Клинические проявления
В большинстве арахноидальные кисты имеют малые размеры и не проявляют себя клинически. Появление симптоматики обычно развивается в результате постепенного увеличения размеров с развитием объемного воздействия, которое приводит либо на прямую к неврологической дисфункции, либо за счет нарушения нормального ликворотока в результате окклюзионной гидроцефалии.
Морофология
Арахноидальные кисты возникают в результате формирования врожденной дупликатуры паутинной оболочки с последующим заполнением ее спинномозговой жидкостью. Стенки кисты состоях из плоских глиальных клеток (менинготелия) формирующих полупрозрачную мембрану. Солидный компонент и эпителиальная выстилка отсутствуют.
Диагностика
Наиболее часто арахноидальные кисты локализуются в средней черепной ямке где они пролабируют в расширенную Сильвиеву щель, но могут встречаться где в других отделах, включая:
- межполушарную щель
- конвекситальную поверхность больших полушарий головного мозга
- задней черепной ямке
- большой цистерне
- мостоможечковом углу
Компьютерная томография
Арахноидальные кисты четко отграниченные образования с невизуализируемыми стенками, вызывающие смещение прилежащих структур, при крупных размерах вызывающие ремоделирование костной костной ткани на данном уровне.
КТ-цистернография может помочь выявить связь субарахноидального пространства и кисты.Магнитно-резонансная томография
Лечение и прогноз
Арахноидальные кисты являются доброкачественными образованиями и в подавляющем большинстве асимптомны в течении всей жизни. При наличии симптоматики применяются: хирургическое лечение в виде краниотомии с иссечением стенок кисты и фенестрации ее в базальные цистерны, аспирация через фрезевое отверстие, вентрикуло-перитонеальное шунтирование.
Киста хориоидальной щели на МРТ
Киста хориоидальной щели на МРТ
а) Терминология:
• Внемозговая нейроэпителиальная киста, возникающая в хориоидальной щели или вблизи нееб) Визуализация кисты хориоидальной щели:
• Лучший диагностический критерий:
о Кистозное поражение медиальных отделов височной доли, хориоидальной щели
о Киста хорошо отграничена от окружающих структур, имеет округлую или овоидную форму на аксиальных МР-томограммах, веретеновидную форму на сагиттальных МР-томограммах
• Бесконтрастная КТ:
о Киста локализуется вдоль медиальных отделов височной доли, кзади и медиально по отношению к височному рогу, имеет ликворную плотность
• МРТ:
о Сигнал схож с сигналом от СМЖ на всех последовательностях:
- FLAIR: полное подавление сигнала
- ДВИ: нет ограничения диффузии
- Постконтрастные Т1-ВИ: контрастное усиление отсутствует
о Сагиттальные томограммы: типичная веретеновидная форма
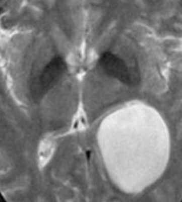
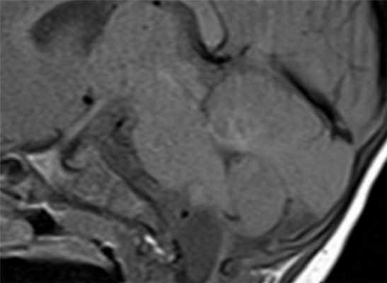
о Корональные Т2-ВИ: оценка взаимоотношения с хориоидальной щелью(а) МРТ, Т1 -ВИ, сагиттальный срез: определяется крупная киста хориоидальной щели, оказывающая масс-эффект на прилегающий гиппокамп.
Наиболее часто такие кисты являются случайно находкой, однако в данном случае сообщается о предположительной связи кисты с комплексными парциальными судорожными приступами.
(б) MPT, FLAIR, аксиальный срез: у этого же пациента тотчас позади крючка гиппокампа определяется изоинтенсивная киста хориоидальной щели.
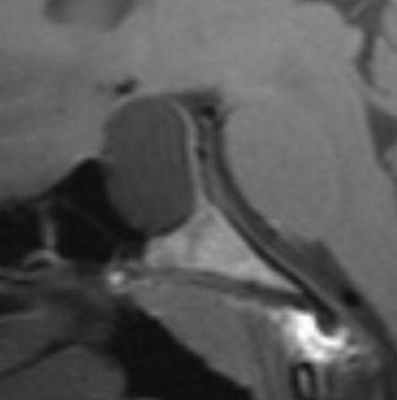
Киста смещает височный рог бокового желудочка и деформирует нормальный гиппокамп. Кисты хориоидальной щели имеют ликворную интенсивность сигнала на всех последовательностях. (а) МРТ, Т2-ВИ, корональный срез: определяется киста хориоидальной щели, смещающая височный рог бокового желудочка и вызывающая сдавливание и деформацию гиппокампа и парагиппокампальной извилины.
(б) МРТ, FAIR, аксиальный срез: у молодого взрослого с жалобами на головную боль определяется случайная находка - киста хориоидальной щели, расположаенная медиальнее височного рога бокового желудочка.
Такие доброкачественные кисты имеют ликворную интенсивность сигнала на всех последовательностях, включая ДВИ, и не накапливают контраст.
Эти кисты обычно не требуют лечения, кроме случаев связи с медикаментозно рефрактерной эпилепсией.в) Дифференциальная диагностика кисты хориоидальной щели:
• Арахноидальная киста
• Эпидермоидная киста
• Дермоидная киста
• Кистозная опухольг) Патология кисты хориоидальной щели:
• Вероятная этиология = аномальное развитие эмбриональной сосудистой основы
• Анатомия хориоидальной щели:
о Хориоидальная щель - заполненное ликвором пространство между бахромкой гиппокампа и промежуточным мозгом
о Неглубокая щель, часто перегибающаяся кзади и кверху от передних отделов височной доли к преддверию бокового желудочкад) Клиническая картина:
• Доброкачественная случайная находка
• Чаще всего имеет бессимптомный характерМРТ кист головного мозга
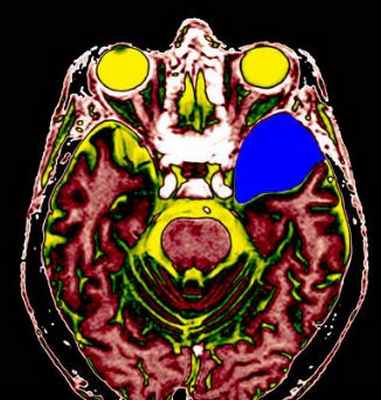
![Киста]()
МРТ головного мозга. Арахноидальная киста полюса левой височной доли. Цветовая обработка.
Кисты головного мозга – это аномалии его развития. При МРТ в СПб мы видим задачу в дифференциальной диагностике с кистозными формами опухолей. При МРТ головного мозга некоторые виды кист, особенно дермоидные, сами напоминают опухоль.
Эпидермоидные кисты (эпидермоиды) – доброкачественные врождённые образования. Они происходят из эктопических эпидермальных клеток и развиваются в период закрытия, в 3-5 нед. эмбриогенеза, как следствие неполного разделения нейрональной и покровной эктодермы. Частота составляет около 1% от внутричерепных образований. Обычно диагностируются в возрасте 25 – 45 лет. Локализация эпидермоидов может быть любой, но типичная – мосто-мозжечковый угол (третье по частоте образование этой области), предмостовая цистерна, параселлярная область, четверохолмие и желудочковая система, очень редко в полушариях, спинном мозге и интрадиплоидно. Растут они интра- или экстрадурально, экспансивно, медленно, сдавливая ствол мозга, внутричерепные нервы, но не разрушая кость. Иногда захватывают сосуды и нервы. По характеру роста их можно отнести к опухолевидным образованиям. Вокруг эпидермоидов нередко развивается асептическое воспаление, а при разрыве содержимое (жир, кератин) прорывается в ликворные пространства. Клинические проявления зависят от локализации и масс-эффекта.
При МРТ головного мозга картина неспецифическая и зависит от содержимого кисты. Если она не содержит жира, топри МРТ головного мозга эпидермоидная киста имеет ликворную интенсивность сигнала. В таком случае эпидермоидная киста трудно отличима от арахноидальной, хотя, как правило, не столь однородная. На FLAIR томограммах и диффузионно-взвешенных МРТ головного мозга содержимое эпидермоидов светлее ликворного. Жировое содержимое, такие эпидермоиды еще называют холестеатомой, приводит к высокому сигналу на Т1-зависимых МРТ головного мозга. Видимо, он обусловлен липидами, но не холестеролом. На Т2-взвешенных МРТ головного мозга он менее интенсивен чем ликвор. Контуры эпидермоидов на МРТ всегда четкие. Холестеатомы составляют всего 3-5% от эпидермоидов. В 15-20% случаев встречается кальцификация по переферии кисты. Редко наблюдается усиление стенок кисты при МРТ головного мозга с контрастированием.
![Epidermoid cyst]()
МРТ головного мозга. Т2-взвешенная аксиальная МРТ. Эпидермоидная киста в области предмостовой цистерны слева.
Дермоидные кисты встречаются реже эпидермоидных, составляя около 0,3 % от внутричерепных образований. Обычно выявляются в возрасте между 10 и 20 годами. Морфологически от эпидермоидов их отличает наличие эктодермальных элементов – волосяных фолликулов, потовых желёз и т.д. Типично они расположены по средней линии (в отличие от эпидермоидов, которые чаще внеосевые): в супраселлярной цистерне, субфронтально, вокруг моста и, очень редко парапинеально, периорбитально, в IV желудочке, в области конского хвоста и интрадиплоидно. От эпидермоидных кист на МРТ головного мозга их отличает только выраженная неоднородность структуры, кроме того, они всегда яркие на Т1-зависимых МРТ головного мозга за счёт большого содержания липидов. При разрыве и прорыве в субарахноидальное пространство в нём появляется уровень, на Т1-зависимых МРТ головного мозга светлый жир плавает на ликворе.
![Dermoid rupture]()
МРТ головного мозга. Т1-взвешенная аксиальная МРТ. Прорыв дермоидной кисты в субарахноидальное пространство.
Эпендимальные кисты встречаются очень редко. Они представляют собой врождённую отшнуровку внутри желудочков или цистернах. При МРТ головного мозга контур кисты четкий, сигнал ликворной интенсивности или чуть светлее за счет отсутствия пульсации и примеси белка, структура однородная. В отличие от кист прозрачной перегородки при МРТ головного мозга видно, что она не расщеплена, а смещена.
![Ependimal cyst]()
МРТ головного мозга. Т2-взвешенная аксиальная МРТ. Эпендимальная киста.
Арахноидальные кисты представляют собой скопление ликвора между листками расщепленной паутинной оболочки. Арахноидальная киста обычно не сопровождается другими мальформациями. Незначительная часть арахноидальных кист имеет приобретенное происхождение – следствие лептоменингита, операции или кровоизлияния. Частота составляет около 1% от внутричерепных образований. Соотношение полов М:Ж, как 4:1. Типичная локализация – средняя черепная ямка (в области Сильвиевой борозды 50%), межполушарная щель, мосто-мозжечковый угол (11%), за скатом или на уровне четверохолмия (10%), в области червя мозжечка (9%), реже в области межножковой и предмостовой цистерн (3%), а также супраселлярной и хиазмальной цистерн. В зависимости от размера предложено делить кисты на 3 типа (Galassi, 2006), что однако, не имеет практического значения. Ретроцеребеллярная арахноидальная киста довольно часто встречаются за мозжечком и отличима от mega cisterna только по неизменённой задней черепной ямке. При МРТ головного мозга содержимое кисты чисто ликворное, стенки гладкие, чётко очерченные, внутри кисты могут быть перегородки. Мелкие арахноидальные кисты очень трудно увидеть при МРТ головного мозга. Меняя ширину окна и его уровень на Т1-зависимых МРТ изображениях можно заметить, что киста чуть светлее ликвора. Дифференциальная диагностика с эпидермальными кистами лучше осуществляется с помощью МРТ последовательности FLAIR. На них при МРТ головного мозга эпидермальные кисты становятся яркими, в отличие от гипоинтенсивных арахноидальных. Вероятно, вариантом арахноидальной кисты является нейроэпителиальная киста, которая при МРТ головного мозга имеет типичное расположение в области хориоидальной щели.
![Arachnoid cyst]()
МРТ головного мозга. Т1-взвешенная сагиттальная МРТ. Арахноидальная киста в области большого затылочного отверстия.
Порэнцефалические кисты – врождённые кисты различной этиологии, локализующиеся в паренхиме мозга или в области сосудистого сплетения желудочков.При МРТ головного мозга они обычно округлые, с гладкими стенками. Очень часто такие кисты сочетаются с аномалиями развития: отсутствием прозрачной перегородки и полимикрогирией. Содержимое порэнцефалической кисты при МРТ головного мозга ликворное, иногда с небольшой примесью белка.
Коллоидная киста – это врождённое нейроэпителиальное образование. Коллоидная киста выстлана эпителием и имеет фиброзную капсулу. Она составляют около 1-2% объемных внутричерепных образований. Обычно диагностируются в возрасте между 30 и 50 годами. Всегда расположена в переднее-верхнем отрезке III желудочка между отверстиями Монро. Контур ее четкий, форма округлая, содержимое бывает неоднородное. Размер от 3 мм до 4 см, при больших размерах она закрывает отверстия Монро и вызывает окклюзионную гидроцефалию. Сигнал зависти от примеси белка к ликвору. При наличии белкового мукоидного содержимого киста гиперинтенсивна на Т1-взвешенных МРТ головного мозга и гипоинтенсивна на Т2-взвешенных МРТ, но встречаются варианты гиперинтенсивные на МРТ головного мозга обоих типов взвешенности кольцевидные или смешанные. При МРТ головного мозга с контрастированием усиления сигнала не наблюдается.
Киста кармана Ратке представляет собой редко встречающееся образование из остатков эмбриональной эктодермы (щель Ратке), расположенное между долями гипофиза. Выявляется в любом возрасте, но чаще в 50-60 лет. Клинические проявления связаны с масс-эффектом. При МРТ головного мозга выявляется небольшая (3-5мм) киста с четким контуром, без отека вокруг, однородная по структуре. Сигнал на МРТ головного мозга зависит от содержимого. При серозном содержимом сигнал типично жидкостный, при мукоидном киста светлая на Т1-взвешенных МРТ головного мозга. В 70-80% случаев внутри кисты выявляется неконирастирующийся узелок («пятно») – признак патогномоничный для кисты кармана Ратке. В редких случаях киста достигает больших размеров и даже выходит за пределы седла. Стенка кисты иногда усиливается при МРТ головного мозга с контрастированием. Дифференциальная диагностика при МРТ головного мозга должна проводиться с арахноидадьной и эпидермоидной кистами, тератомой, кистозной аденомой гипофиза и краниофарингиомой. Иногда при МРТ головного мозга киста кармана Ратке напоминает “пустое” турецкое седло. При маленьких размерах кисты ее на до дифференцировать на МРТ с микроаденомой гипофиза.
![Ratke cleft cyst]()
МРТ головного мозга. Т1-взвешенная сагиттальная МРТ. Киста кармана Ратке.
Пинеальная киста расположена в проекции шишковидной железы. Встречается с частотой 4-11%. Размеры обычно не превышают 1 см, но изредка встречаются больших размеров. В таких случаях она вызывает окклюзионную гидроцефалию. При МРТ головного мозга она имеет все признаки кисты с примесью белка в жидкости, то есть немного светлая на Т1-зависимых МРТ. Изредка встречается геморрагическое содержимое. Киста может по усиливаться периферии при МРТ головного мозга с контрастированием.
![Pineal cyst]()
МРТ головного мозга. Т1-взвешенная сагиттальная МРТ. Пинеальная киста.
Кисты средней линии – киста прозрачной перегородки (cavum septi pellucidi), полость Верге (cavum Vergae) и киста промежуточного паруса (cavum veli interpositi) – являются нормальными структурами головного мозга плода. В течение 6 месяцев после рождения у большинства людей они запустевают, но могут и сохраниться. По-видимому, эти полости не имеют клинического значения и относятся к случайным находкам при МРТ головного мозга . Киста прозрачной перегородки (еще называют V желудочком) является медиальной стенкой боковых желудочков и ограничена спереди коленом мозолистого тела, сверху мозолистым телом и сзади столбами свода. Полость Верге представляет собой продолжение кисты прозрачной перегородки кзади и расположена между телами желудочков (рис.105). Обычно обе кисты сочетаются. Киста промежуточного паруса расположена в крыше III желудочка (tela choroidea), между треугольниками боковых желудочков на уровне отверстий Монро. Она ограничена сверху мозолистым телом, cзади цистерной четверохолмия и снизу III желудочком.
Киста головного мозга
![Киста головного мозга]()
Кистой головного мозга называют полостное образование, которое состоит из оболочек или локально сдавленных тканей мозга и заполнено жидкостью. Чаще всего киста наполняется спинномозговой жидкостью, в некоторых случаях ее содержимое является продуктами жизнедеятельности микроорганизмов. Реже кисты сопутствуют развитию опухолевого процесса в мозге.
Зачастую киста увеличивается медленно, прогрессирует бессимптомно. Однако при значительных размерах возможна компрессия тканей мозга с возникновением очагового синдрома, проявления которого зависят от локализации образования.
Кисты бывают врожденными и приобретенными. Обнаруживаются у пациентов любого возраста (от новорожденных до стариков). Кисты могут быть одно- или многокамерными. Их классифицируют, в зависимости от природы, локализации, происхождения (арахноидальные, шишковидные, сосудистые, коллоидные, дермоидные, опухолевые).
Симптомы кисты головного мозга
Большинство врожденных кист никак себя не проявляют на протяжении жизни и не представляют онкологического риска. Крупные приобретенные образования провоцируют симптомы высокого внутричерепного давления, а именно:
- головные боли;
- снижение трудоспособности;
- проблемы со сном;
- ощущение давления в области глазных яблок;
- зрительные галлюцинации;
- фокальные судороги (лица, конечностей);
- пульсация в голове;
- тошнота и рвота, не связанные с едой.
У детей возможны нарушения психомоторного развития. В ряде случаев образование кисты несет опасность кровоизлияния в головной мозг, что может привести к тяжелым последствиям (инвалидность, смерть).
Причины кисты головного мозга
Врожденные кисты головного мозга формируются, в случае неблагоприятного воздействия на плод на антенатальном этапе. Провоцирующим фактором может быть внутриутробная гипоксия, фетоплацентарная недостаточность, резус-конфликт, инфекционные осложнения, прием матерью препаратов с тератогенными свойствами, хроническая интоксикации при наркомании, алкоголизме или табакокурении.
Спровоцировать образование приобретенной кисты способны:
- травмы головки новорожденного в родах;
- черепно-мозговые травмы в любом возрасте;
- воспалительные заболевания мозга;
- нарушения мозгового кровообращения;
- паразитарные инфекции;
- послеоперационные осложнения.
Вызвать скачок роста уже имеющегося внутримозгового образования могут нейроинфекции, неоднократные травмы головы, сосудистые нарушения, воспалительные процессы и др. факторы.
Получить консультацию
Если у Вас наблюдаются подобные симптомы, советуем записаться на прием к врачу. Своевременная консультация предупредит негативные последствия для вашего здоровья.
Узнать подробности о заболевании, цены на лечение и записаться на консультацию к специалисту Вы можете по телефону:
![]()
Почему «СМ-Клиника»?
Диагностика кисты головного мозга
Подозрения на объемное образование в головном мозге возникают во время оценки жалоб пациента и данных неврологического статуса. Повышение внутричерепного давления подтверждается ультразвуком; при судорогах и эпилептических пароксизмах проводят электроэнцефалографию.
Однако даже при тщательном изучении всех этих сведений невозможно отличить кисту от опухоли или абсцесса головного мозга. Визуализировать образование позволяет КТ или МРТ. Чтобы отличить кисту от опухоли, проводят исследования с контрастами, поскольку последние в них не накапливаются. Важно не только выявить образование, но также контролировать его динамические изменения.
Лечение кисты головного мозга
Консервативный подход в лечении кист головного мозга малоэффективен. Динамическое наблюдение показано при врожденных образованиях небольшого размера. Операцию назначают пациентам, у которых кистозная полость увеличивается, существует риск развития осложнений (разрыв, кровоизлияние и др.)
Срочные операции с трепанацией черепа проводят пациентам с тяжелыми нарушениями состояния, вызванными компрессией тканей головного мозга и высоким внутричерепным давлением.
Обычно операции по удалению кисты проходят в плановом порядке, с использованием эндоскопического оборудования. Вмешательство подразумевает дренирование кисты через небольшое фрезевое отверстие в черепе. После хирургической операции пациент проходит реабилитацию, в которой задействуют нейропсихологов, специалистов ЛФК, рефлексотерапии.
В «СМ-Клиника» оказывается специализированная помощь пациентам нейрохирургического профиля. В центре работают врачи высшей квалификационной категории.
Заболевания по направлению Нейрохирургия
![Лицензия ООО «СМ-Клиника»]()
![Лицензия ООО «СМ-Клиника»]()
![Лицензия ООО «СМ-Клиника»]()
![Лицензия ООО «СМ-Клиника»]()
![Лицензия ООО «СМ-Клиника»]()
![Лицензия ООО «СМ-Клиника»]()
![Лицензия ООО «СМ-Клиника»]()
![Лицензия ООО «СМ-Клиника»]()
![Лицензия ООО «СМ-Клиника»]()
![Лицензия ООО «СМ-Клиника»]()
![Лицензия ООО «СМ-Клиника»]()
![Лицензия ООО «СМ-Клиника»]()
![Лицензия ООО «СМ-Клиника»]()
![Лицензия ООО «СМ-Клиника»]()
![Лицензия ООО «СМ-Клиника»]()
![Лицензия ООО «СМ-Клиника»]()
![Лицензия ООО «СМ-Клиника»]()
![Лицензия ООО «СМ-Клиника»]()
![Лицензия ООО «СМ-Клиника»]()
![Лицензия ООО «СМ-Клиника»]()
![Лицензия ООО «СМ-Клиника»]()
© 2002-2022 ООО «СМ-Клиника»
Все материалы данного сайта являются объектами авторского права (в том числе дизайн). Запрещается копирование, распространение (в том числе путем копирования на другие сайты и ресурсы в Интернете) или любое иное использование информации и объектов без предварительного письменного согласия правообладателя. Указание ссылки на источник информации является обязательным.
Лицензия № ЛО-77-01-018779 от 19 сентября 2019 г.
Арахноидальная киста головного мозга
![Фото]()
Ликворная или арахноидальная киста головного мозга — это небольшая доброкачественная патологическая полость, которая локализуется между поверхностью мозга и арахноидальной (паутинной) оболочкой и содержит цереброспинальную жидкость. Заболевание не относится к крайне тяжелым, но риск представляют возможные разрывы опухолей. Арахноидальная киста диагностируется у 4 % пациентов, и чаще всего от нее страдают мужчины.
Информацию из данного раздела нельзя использовать для самодиагностики и самолечения. В случае боли или иного обострения заболевания диагностические исследования должен назначать только лечащий врач. Для постановки диагноза и правильного назначения лечения следует обратиться к профильному специалисту.
![Онлайн-консультация врача в Московской клинике]()
Симптомы заболевания
Признаки арахноидальной кисты определяются ее размерами и месторасположением. Как правило, опухоли находятся в средней черепной ямке, снаружи от височных долей головного мозга. Чаще всего клиническая картина не ярко выражена — во многих случаях болезнь протекает бессимптомно и выявляется случайно во время диагностических процедур, связанных с другими недугами.
К основным симптомам заболевания относятся:
- нарушение координации;
- частичный паралич тела;
- судороги;
- головные боли;
- тошнота;
- рвотные позывы;
- расстройства психики.
Кроме этих, у пациентов могут наблюдаться и другие симптомы: чувство пульсации, тяжести, сдавливания или раскалывания в голове. Эти ощущения усиливаются во время движений. Больные жалуются на онемение в конечностях, гемипарезы. Некоторые отмечают шумы в ушах, нарушение слуха и зрения.
При подозрении на арахноидальную кисту головного мозга отдельные симптомы могут точно указывать ее позицию. Сенсорная афазия, нарушение восприятия речи, при котором человек не понимает адресованных к нему слов, свидетельствует о расположении опухоли в височной доле. Если она локализуется в лобной доле, возможны поведенческие девиации вследствие снижения интеллекта. Раскоординированность движений, снижение тонуса мышц характерны для мозжечкового размещения новообразования.
Причины арахноидальной кисты
Медицинская наука различает врожденные и приобретенные факторы, способствующие возникновению заболевания. Врожденная арахноидальная киста, или ее еще называют первичной, является следствием аномального развития плода в первом триместре беременности. Иногда она развивается одновременно с более тяжелыми поражениями ЦНС. К патологии приводит дефект клеток паутинной оболочки мозга. Такое негативное воздействие на организм материи оказывают:
- лекарственные препараты;
- химические и токсические вещества;
- радиация.
Приобретенная (вторичная) арахноидальная киста головного мозга состоит из рубцовой ткани или коллагена. По этиологии эта форма выступает как следствие различных (в том числе и наследственных) заболеваний либо как результат оперативного вмешательства или травм. Среди болезней, приводящих к образованию опухолей, выделяют:
- менингит;
- агенезию мозолистого тела;
- патологию соединительной ткани;
- перепады артериального давления.
Как осложнение приобретенная киста выступает при:
- ушибах;
- сотрясениях;
- черепно-мозговых травмах;
- субарахноидальном кровоизлиянии.
Существует ряд факторов, которые могут спровоцировать прогрессирование заболевания. Среди них нужно отметить инфекционные болезни, запускающие воспалительные процессы в мозговой оболочке, а также увеличении давления внутрикистозной жидкости.
К какому врачу обратиться?
Если у пациента обнаружена арахноидальная киста, то за помощью следует обратиться к такому врачу как:
Читайте также:
































