Клиника тонкокишечной непроходимости. Непроходимость или странгуляция?
Добавил пользователь Владимир З. Обновлено: 07.01.2026
Кишечная непроходимость скорее — это нарушение пассажа кишечного содержимого, которое вызывается сдавлением, спазмом, нарушением иннервации или обтурацией просвета кишечника.
Кишечную непроходимость скорее относят к симптомам, а не самостоятельному заболеванию.
Кишечная непроходимость может быть связана с инородными телами, опухолями кишечника, глистными инвазиями, спинномозговой травмой, тромбозами и тд.
Существует непроходимость как толстого, так и тонкого кишечника. Также может быть полная кишечная непроходимость (у человека нет стула и не отходят газы на протяжении длительного времени) и частичная (характеризуется диареями).
Кишечная непроходимость относиться к числу наиболее сложных патологий и чаще всего встречается в возрасте от 30 до 60 лет. При чем, у мужчин данная проблема встречается чаще, чем у женщин. Если человеку с острой кишечной непроходимостью не оказать помощь в течении 4–6 часов, то риск гибели доходит до 90%.
Что происходит в организме?
Кишечная непроходимость может быть механическая (обтурационная, странгуляционная и смешанная), сосудистая (связана с инфарктом кишечника), динамическая (спастическая и паралитическая). По уровню расположения препятствия для продвижения пищевых масс выделяют высокую и низкую тонкокишечную непроходимость, и толстокишечную непроходимость. При низкокишечной непроходимости может быть задержка стула и газов, при высокой непроходимости — некоторое время стул присутствует.
Динамическая непроходимость может вызываться травмой, перитонитом, отсутствием двигательной активности. Механическая непроходимость может быть связана с онкологическим заболеванием, перекрутом кишечника, спайками. Вне зависимости от причины и вида кишечной непроходимости, симптомы у пациента, как правило, схожи — тошнота, рвота (достаточно часто с неприятным запахом кала), вздутие живота, задержка стула, схваткообразные боли, общее недомогание.
Кишечная непроходимость это полиэтиологический синдром и своевременная диагностика и лечение являются решающими в исходе такого достаточно тяжелого состояния.
Причины и факторы риска возникновения заболевания
- Спаечный процесс в брюшной полости
- Опухолевой процесс, приводящий к обтурации просвета кишечника. При чем процесс может быть как доброкачественный, так и злокачественный
- Грыжи передней брюшной стенки
- Особенности анатомического строения кишечника — подвижная слепая кишка, удлинённая сигмовидная кишка и др.
- Сдавление кишечника близлежащей опухолью
- Дивертикулит
- Инфекции
- Желчекаменная болезнь
- Перекрут части кишечника
- инородное тело (при проглатывании)
- Гипотиреоз
- Сахарный диабет
- Отравление солями тяжелых металлов, никотином
- Болезнь Паркинсона
- Почечная колика
- Острый инфаркт миокарда
- Тромбозы брыжеечных артерий
- Болезнь Гиршпрунга
- Нарушение питания
- Расстройство моторной функции кишечника
- Длительные запоры
- Травмы позвоночника
- Инсульт
Как проявляется заболевание. Симптомы
При данной патологии наблюдаются следующие симптомы:
- Бледность кожных покровов
- Боль в животе
- Вздутие живота
- Запор
- Рвота
- Тахикардия
- Асимметрия живота
Если Вы наблюдаете какие-либо симптомы — во избежании осложнений не занимайтесь самолечением и обратитесь к врачу
Болею ли я даным заболеванием?
Для того, чтобы определить, болеете ли вы данным заболеванием:
Сверьте Ваши симптомы с теми, которые в списке
Если Вы обнаружили какие-либо из симптомов, то:
Пройдите доврачебный скрининг. Он поможет иденцифицировать диагноз в кратчайшие сроки, при этом сэкономив ваше время и средства
Мы поможем вам корректно интерпретировать результаты лабораторных исследований на нашем сервисе
Запишитесь к врачу. Он поможет установить диагноз и, при необходимости, назначит лечение
Так же Вы можете пройти дополнительные методы исследования для подтверждения/опровержения диагноза
Доврачебный скриннинг
Доврачебный скрининг помогает врачу в постановке предварительного диагноза, экономит время и сокращает количество визитов к специалисту.
Лабораторная диагностика
- Общий анализ крови + лейкоцитарная формула + СОЭ
- Общий анализ мочи
- Биохимический анализ крови (общий белок, билирубин, мочевина, креатинин, глюкоза, АСТ, АЛТ, ЛДГ, амилаза, натрий, калий, хлор, СRP)
Инструментальная и функциональная диагностика
Хотите расшифровать заказанные анализы?
Мы расшифруем и интерпретируем результаты лабораторных анализов
Врачи, которые лечат данную патологию
Специалисты, которые помогут установить диагноз и, при необходимости, назначить лечение
К сожалению, на нашей платформе не размещены профильные специалисты из вашего города.
Если вы врач или эксперт в этой области медицины и хотите разместиться в этом месте, то напишите нам.
Дополнительные методы исследования
Методы исследования, которые может дополнительно назначить вам врач
Лабораторная диагностика
- Коагулограмма
- Копрограмма
- Анализ кала на скрытую кровь
- Определение уровня онкомаркеров
Инструментальная и функциональная диагностика
- Ректороманоскопия
- МРТ
- Ирригоскопия
- Рентгенография брюшной полости
- Колоноскопия
Лечение
Хирургическое лечение:
- При подозрении на кишечную непроходимость необходимо как можно скорее обратиться к хирургу. Самолечение категорически противопоказано!
Если лечение подобрано верно, то:
- Нормализуется стул
- Исчезает тошнота, рвота
- Улучшается общее самочувствие
- Проходят боли в животе
Возможно, вы сомневаетесь в поставленном диагнозе и корректности назначенного лечения, вас обследовали не в полном объеме. Вы можете обратиться за вторым мнением к другому специалисту.
Риски для здоровья и возможные последствия (что будет, если я не буду лечить или корректировать лечение)
- Нарушение механизма опорожнения кишечника
- Общая интоксикация организма
- Болевой шок
- Поносы
- Перфорация кишечной стенки
- Запоры
- Некротизация участка
- Сепсис
- Несостоятельность кишечного анастамоза (после операции)
- Спаечный процесс в брюшной полости
- Парез кишечника
- Перитонит
Как не заболеть? Профилактика
- Нормализация питания (побольше кисломолочных продуктов, Овощей, фруктов, цельнозерновых продуктов)
- Снижение массы тела
- Профилактика запоров
- Своевременное лечение заболеваний ЖКТ
- Постараться ограничивать действие стрессора
- Предупреждение развития спаечной болезни
- Отказ от вредных привычек
- Устранение глистной инвазии
- Достаточная физическая активность
Заболевания, при которых могут быть схожие симптомы
- Парапроктит
- Рак прямой кишки
- Геморрой
- Стенокардия
- Острый аппендицит
- Почечная колика
- Панкреатит
- Абсцесс брюшной полости
- Инфаркт миокарда
- Сигмоидит
- Язвенный колит
- Болезнь Крона
- Перитонит
Интересные факты о заболевании
- Около 5% хирургических пациентов с экстренной госпитализацией поступают с диагнозом кишечная непроходимость
- Чаще всего прибегают к хирургическому лечению, но иногда пациентов могут лечить консервативно
- При хирургическом лечении происходит резекция некротизированного участка
- Иногда кишечная непроходимость может быть связана с заболеваниями нервной системы (психические заболевания, ЧМТ, спинномозговые травмы и тд.)
- Чем раньше диагностирована кишечная непроходимость — тем лучше прогноз
- Клубок аскарид (глисты) могут закупоривать просвет кишечника и вызывать кишечную непроходимость
- При низком уровне калия может быть кишечная непроходимость: миоциты (мышечные клетки) теряют способность нормально сокращаться, уменьшается частота и амплитуда перистальтических сокращений, что может привести к кишечной непроходимости
- Кишечную непроходимость может вызвать отравление тяжелыми металлами
- Каловые камни и копролиты могут вызывать кишечную непроходимость
- При злокачественном процессе иногда в ходе операции приходиться формировать колостому на передней брюшной стенке
Информация, представленная на сайте, носит исключительно информационный характер. При возникновении симптомов какого-либо заболевания необходимо обратиться к врачу.
Авторы статей
Источники информации
Мы создали платформу телемедицинских сервисов для решения практических и информационных медицинских проблем доступным и понятным способом.
Острая кишечная непроходимость
Острая кишечная непроходимость (ОКН) – это синдром, характеризующийся нарушением пассажа кишечного содержимого в направлении от желудка к прямой кишке. Кишечная непроходимость осложняет течение различных заболеваний. Острая кишечная непроходимость (ОКН) — синдромная категория, объединяющая осложненное течение различных по этиологии заболеваний и патологических процессов, которые формируют морфологический субстрат ОКН.
Предрасполагающие факторы острой кишечной непроходимости
1. Врожденные факторы:
Особенности анатомии (удлинение участков кишки (мегаколон, долихосигма)). Аномалии развития (незавершенный поворот кишки, аганглиоз (болезнь Гиршпрунга)).
2. Приобретенные факторы:
Спаечный процесс в брюшной полости. Новообразования кишечника и брюшной полости. Инородные тела кишечника. Гельминтозы. Желчно-каменная болезнь. Грыжи брюшной стенки. Несбалансированное нерегулярное питание.
ОКН составляет 3,8% от всех неотложных заболеваний брюшной полости. При возрасте старше 60 лет причиной ОКН в 53% является рак толстой кишки.
Классификация острой кишечной непроходимости:
А. По морфофункциональной природе:
1. Динамическая непроходимость: а) спастическая; б) паралитическая.
2. Механическая непроходимость: а) странгуляционная (заворот, узлообразование, ущемление; б) обтурационная (интраинтестинальная форма, экстраинтестинальная форма); в) смешанная (инвагинация, спаечная непроходимость).
В. По уровню препятствия:
1. Тонкокишечная непроходимость: а) Высокая. б) Низкая.
Причины динамической острой кишечной непроходимости:
1. Нейрогенные факторы:
А. Центральные механизмы: Черепно-мозговая травма. Ишемический инсульт. Уремия. Кетоацидоз. Истерический илеус. Динамическая непроходимость при психической травме. Спинномозговые травмы.
Б. Рефлекторные механизмы: Перитонит. Острый панкреатит. Брюшно-полостные травмы и операции. Травмы грудной клетки, крупных костей, сочетанные травмы. Плеврит. Острый инфаркт миокарда. Опухоли, травмы и ранения забрюшинного пространства. Нефролитиаз и почечная колика. Глистная инвазия. Грубая пища (паралитическая пищевая непроходимость), фитобезоары, каловые камни.
2. Гуморальные и метаболические факторы: Эндотоксикоз различного происхождения, в том числе, и при острых хирургических заболеваниях. Гипокалиемия, как следствие неукротимой рвоты разного генеза. Гипопротеинемия вследствие острого хирургического заболевания, раневых потерь, нефротического синдрома и т.д.
3. Экзогенная интоксикация: Отравление солями тяжелых металлов. Пищевые интоксикации. Кишечные инфекции (брюшной тиф).
Клиника.
· Боль в животе. Боли носят приступообразный, схваткообразный характер. У больных холодный пот, бледность кожных покровов (при странгуляции). Больные с ужасом ожидают следующих приступов. Боли могут стихать: например, был заворот, а затем кишка расправилась, что привело к исчезновению болей, но исчезновение болей очень коварный признак, так как при странгуляционной КН происходит некроз кишки, что ведет к гибели нервных окончаний, следовательно, пропадает боль.
· Рвота. Многократная, сначала содержимым желудка, потом содержимым 12 п.к. , затем появляется рвота с неприятным запахом. Язык при КН сухой.
· Вздутие живота, асимметрия живота
· Задержка стула и газов — это грозный симптом, говорящий о КН.
Могут быть слышны кишечные шумы, даже на расстоянии, видна усиленная перистальтика.
Диагностика
Общий анализ мочи, общий анализ крови, глюкоза крови, группа крови и резус принадлежность, ЭКГ, рентгенография органов брюшной полости в вертикальном положении, УЗИ брюшной полости.
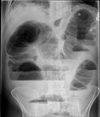
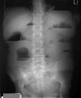
Рентгенологическое исследование является основным специальным методом диагностики ОКН. При этом выявляются следующие признаки:
- Чаша Клойбера – горизонтальный уровень жидкости с куполообразным просветлением над ним, что имеет вид перевернутой вверх дном чаши. При странгуляционной непроходимости могут проявляться уже через 1 час, а при обтурационной непроходимости — через 3-5 часов с момента заболевания. Количество чаш бывает различным, иногда они могут наслаиваться одна на другую в виде ступенчатой лестницы.
- Кишечные аркады. Получаются, когда тонкая кишка оказывается раздутой газами, при этом в нижних коленах аркад видны горизонтальные уровни жидкости.
- Симптом перистости (поперечная исчерченность в форме растянутой пружины) встречается при высокой кишечной непроходимости и связан с растяжением тощей кишки, имеющей высокие циркулярные складки слизистой. Контрастное исследование желудочно-кишечного тракта применяется при затруднениях в диагностике кишечной непроходимости. Больному дают выпить 50 мл бариевой взвеси и проводят динамическое исследование пассажа бария. Задержка его до 4-6 часов и более дает основание заподозрить нарушение двигательной функции кишечника.
Рентгенологическая диагностика острой кишечной непроходимости. Уже через 6 ч от начала заболевания имеются рентгенологические признаки кишечной непроходимости.


Лечение острой кишечной непроходимости.
Лечение ОКН может быть консервативным и оперативным и зависит от вида кишечной непроходимости.
Государственная клиническая больница №29 им. Н.Э.Баумана – это современная многопрофильная высокотехнологичная больница с уникальной полуторавековой историей и традицией, оказывающая высококачественную медицинскую помощь в круглосуточном режиме.
Непроходимость кишечника

Непроходимость кишечника — это патология, характеризующаяся нарушением перемещения пищевых масс по желудочно-кишечному тракту. Если болезнь переходит в острую стадию, это становится опасным для жизни.
Такая патология может стать последствием или осложнением различных заболеваний. Может возникнуть полное или частичное нарушение продвижения пищи, притом, чем выше возникло препятствие, тем тяжелее протекает недуг.
Классификация
Различают следующие виды кишечной непроходимости:
- Динамическая (паралитическая и спастическая). Появляется как следствие повышенного мышечного тонуса мускулатуры кишечника. Основные причины — раздражение из-за глистов, панкреатит в острой форме, травмирование инородными телами, а также паралич мускулатуры кишечника, вызванный пищевыми инфекциями, оперативными вмешательствами, препаратами с содержанием морфина или солями тяжелых металлов.
- Механическая (странгуляционная и обтурационная). Бывает различных форм, появляется из-за возникновения препятствия на пути движения пищевой массы, например, камней, инородных тел, опухолей и кист других органов, сдавливающих просвет кишечника. Тяжелым состоянием считается заворот или узел из петель кишечника.
Симптомы непроходимости кишечника
Признаки непроходимости кишечника у всех проявляются по-разному и зависят от разновидности недуга и степени тяжести процесса. В целом, проявляться непроходимость кишечника может:
- сильными болями, которые могут тревожить больного постоянно или быть схваткообразными. Болезненные ощущения возникают независимо от приема пищи, не сосредоточены в конкретном месте;
- задержка стула и газов. При высокой непроходимости кишечник может опорожниться ниже уровня препятствия;
- начинается постоянная рвота, которая не прекращается длительное время. Если непроходимость в верхней части, то рвота более сильная;
- вздувается живот, наблюдается урчание.
В сложном случае, таком как заворот кишок, ощущается постоянная и интенсивная боль, которая иногда становится невыносимой.
При обнаружении таких симптомов непроходимости кишечника следует сразу же обратиться за медицинской помощью, в противном случае у больного начнет подниматься температура, дыхание станет учащенным, появится обезвоживание и нарушение мочеотделения.
Причины непроходимости кишечника
Развитию заболевания способствуют следующие факторы:
- наличие онкологических заболеваний кишки или органа, расположенного поблизости;
- сдавление кишки спайками, образованными после проведенных операций;
- ущемление грыжи;
- закупорка из-за образования каловых камней, клубков глистов или инородных тел;
- отравления;
- перитонит.
Получить консультацию
Если у Вас наблюдаются подобные симптомы, советуем записаться на прием к врачу. Своевременная консультация предупредит негативные последствия для вашего здоровья.
Узнать подробности о заболевании, цены на лечение и записаться на консультацию к специалисту Вы можете по телефону:

Почему «СМ-Клиника»?
Диагностика непроходимости кишечника
Чтобы диагностировать болезнь, требуется провести исследования и сдать необходимые анализы. Врач может назначить:
- анализ крови – в зависимости от жалоб может назначаться общий или биохимический анализ крови;
- УЗИ – проводится всей брюшной полости, чтобы определить размер петель кишечника, наличие жидкости в полости, перистальтику;
- исследование с помощью рентгена – врач изучает петли кишечника, наполненность жидкостью и газами;
- колоноскопия – в основном назначается при непроходимости толстого кишечника.
Лечение непроходимости кишечника
Если кишечная непроходимость подтвердилась, необходимо срочное хирургическое вмешательство. В зависимости от причины возникновения проводится:
- удаление отдельных частей кишечника;
- выведение каловых масс наружу;
- рассечение образованных спаек;
- раскручивание петель кишечника;
- пластика грыжевых образований.
Если же заболевание на начальной стадии, врач может прибегнуть к следующим методикам лечения: зондирование, применение сифонных клизм, инъекции солевых растворов, назначение специальных препаратов от спазмов и для стимуляции моторики, лечебную колоноскопию.

Профилактика
Чтобы предупредить появление непроходимости рекомендуется вести здоровый образ жизни, придерживаться правильного рациона питания и соблюдать водный баланс организма. Врачи рекомендуют несколько раз в неделю посещать спортивные занятия и больше двигаться. А также:
- регулярно проводить осмотры, чтобы диагностировать возможное развитие болезни на ранней стадии и незамедлительно приступить к лечению;
- не допускать появления инородных тел в кишечнике;
- после оперативных вмешательств проводить профилактику спаечных процессов;
- проводить лечение от глистов.
При обнаружении признаков непроходимости следует сразу же обратиться в медицинское учреждение.
Источники
Алиев, С.А. Первично-радикальные оперативные вмешательства при острой непроходимости ободочной кишки опухолевого генеза у больных пожилого и старческого возраста // С.А. Алиев // Хирургия, 2001. - №8.
Диагностика и тактика лечения больных острой кишечной непроходимостью / Т.И. Тамм и др.// Харьков, 2003.
Земляной А.Г. Как снизить летальность при острой непроходимости кишечника / А.Г. Земляной, Н.И. Глушков //Матер.Всероссийск. конф. хирургов: Актуальные вопросы абдоминальной хирургии.-Пятигорск. -1997.
Заболевания по направлению гастроэнтерология





















© 2002-2022 ООО «СМ-Клиника»
Все материалы данного сайта являются объектами авторского права (в том числе дизайн). Запрещается копирование, распространение (в том числе путем копирования на другие сайты и ресурсы в Интернете) или любое иное использование информации и объектов без предварительного письменного согласия правообладателя. Указание ссылки на источник информации является обязательным.
Лицензия № ЛО-77-01-018779 от 19 сентября 2019 г.
Кишечная непроходимость
Информацию из данного раздела нельзя использовать для самодиагностики и самолечения. В случае боли или иного обострения заболевания диагностические исследования должен назначать только лечащий врач. Для постановки диагноза и правильного назначения лечения следует обращаться к Вашему лечащему врачу.
Кишечная непроходимость: причины появления, при каких заболеваниях возникает, диагностика и способы лечения.
Определение
Кишечная непроходимость – клинический симптомокомплекс, характеризующийся прекращением или нарушением прохождения содержимого по кишечнику. Кишечную непроходимость описывали еще Гиппократ и Гален. Причиной ее, по мнению древних ученых, «служила обильная, неумеренная еда и питье, охлаждение живота, толчки живота».
Согласно Международной классификации болезней 10-го пересмотра, кишечная непроходимость чаще становится осложнением других самостоятельных нозологических единиц. Клинические проявления кишечной непроходимости включают схваткообразную боль, рвоту, вздутие живота, жажду, сухость во рту, задержку стула и отхождения газов.

Непроходимость кишечника может привести к обезвоживанию, дисбалансу электролитов, отмиранию тканей кишечника (некрозу), абсцессу в брюшной полости, почечной недостаточности, перфорации кишечника, легочной аспирации, сепсису – потенциально смертельной инфекции крови.
Разновидности кишечной непроходимости
По механизму развития выделяют три вида кишечной непроходимости:
1. Функциональная (динамическая) непроходимость – нарушение моторной функции кишечника без механических препятствий и органических поражений кишечной стенки:
- спастическая форма обусловлена стойким спазмом кишечной стенки:
- при функциональных и органических поражениях центральной нервной системы (неврастении, истерии, спинной сухотке);
- при заболеваниях кишечника (дизентерии, тифе);
- при раздражении кишечника в результате травм, гематом, нагноительных процессов и др.;
- при отравлениях тяжелыми металлами (свинцом), эндогенных и экзогенных интоксикациях;
- при наличии в кишечнике инородных тел (мелких каловых камней, глистной инвазии);
- при почечной и печеночной колике;
- при переедании;
- при воспалительных внутрибрюшных осложнениях (при перитоните, неспецифическом язвенном колите и т.д.);
- при опухолевых процессах в забрюшинном пространстве;
- при тяжелых внебрюшных заболеваниях (при инфаркте миокарда, пневмонии, сахарном диабете, почечной колике, повреждении спинного мозга, тяжелых нарушениях мозгового кровообращения, тяжелых черепно-мозговых травмах);
- при электролитных нарушениях (нарушениях обмена K, Na, Cl и Mg);
- при передозировке лекарственных средств (опиоидов, холинолитиков, психотропных, антигистаминных препаратов) либо при нарушениях кровоснабжения кишечника.
- обтурационная непроходимость кишки, как правило, развивается на фоне симптомов основного заболевания, но может быть и первым манифестирующим признаком:
- интраорганная – инородные тела, паразиты, безоары (конкременты из непереваренных частичек волос, растительных волокон и др.), желчные камни, синдром Бувере);
- интрамуральная (опухоли, воспалительные и рубцовые изменения стенки кишки — болезнь Крона, туберкулез, гематомы);
- экстраорганная – сдавление объемными образованиями брюшной полости, артериальные компрессии, ангуляции (перегибы кишки);
Лечебно-диагностическая тактика во многом связана с локализацией препятствия в кишечнике, поэтому кишечную непроходимость по уровню обструкции подразделяют на высокую (тонкокишечную, включая уровень двенадцатиперстной кишки) и низкую (толстокишечную). Обструкция может быть частичной и полной.
![Обструкция кишечника.jpg]()
По происхождению выделяют врожденную (пороки развития — атрезии, неполный поворот кишечной трубки) и приобретенную непроходимость.
По клиническому течению непроходимость может быть острой, подострой и хронической (проявляется замедлением пассажа по кишечнику).
Кроме того, в динамике развития болезни различают три фазы (стадии):
- 1-я стадия — нервно-рефлекторная (болевая, острое нарушение пассажа);
- 2-я стадия — компенсации или органических изменений (интоксикация, расстройство внутристеночной гемоциркуляции);
- 3-я стадия — терминальная (стадия перитонита).
В развитии кишечной непроходимости играют роль многие факторы. Их обычно разделяют на предрасполагающие и производящие.
Предрасполагающие факторы:
- врожденные аномалии развития — дефекты и слабые места диафрагмы, передней и задней брюшной стенки; долихосигма (увеличение длины сигмовидной кишки), неполный поворот кишечника, дополнительные складки брюшины, «карманы» брюшной полости, сосудистые мальформации;
- приобретенные факторы — спайки, рубцовые деформации, инородное тело, последствия воспалительных заболеваний в брюшной полости, например, аппендицита или дивертикулита.
Частой причиной непроходимости является хирургическое вмешательство на брюшной полости и лекарственные препараты, воздействующие на перистальтику кишечника.
К каким врачам обращаться при кишечной непроходимости
Консервативной терапией занимается врач-гастроэнтеролог .
При подозрении на острую кишечную непроходимость осмотр поводит хирург в условиях стационара, но не позднее одного часа от момента поступления. Могут потребоваться консультации смежных специалистов ( терапевта , гинеколога , уролога ).
Диагностика и обследования при кишечной непроходимости
Диагностические мероприятия начинаются с клинического обследования пациента: сбора анамнеза; осмотра, включающего пальпацию, перкуссию, аускультацию живота, ректальное обследование; определения частоты пульса, измерения артериального давления.
Как правило, назначают лабораторные исследования:
Синонимы: Общий анализ крови, ОАК. Full blood count, FBC, Complete blood count (CBC) with differential white blood cell count (CBC with diff), Hemogram. Краткое описание исследования Клинический анализ крови: общий.
Метод определения Определение физико-химических параметров выполняется на автоматическом анализаторе методом «сухой химии». Аппаратная микроскоп.
Материал для исследования Сыворотка или плазма крови. Если нет возможности центрифугировать пробу через 30 минут после взятия для отделения сыворотки/плазм.
Синонимы: Диамид угольной кислоты; Карбамид; Мочевина в крови; Азот мочевины. Urea nitrogen; Urea; Blood Urea Nitrogen (BUN); Urea; Plasma Urea. Краткая характеристика аналита Мочевина Моче�.
Синонимы: Анализ крови на креатинин; Сывороточный креатинин; Креатинин сыворотки, оценка СКФ. Сreat; Сre; Blood Creatinine; Serum Creatinine; Serum Creat. Краткая характеристика определя�.
Синонимы: Общий белок сыворотки крови; Общий сывороточный белок. Total Protein; Serum Тotal Protein; Total Serum Protein; TProt; ТР. Краткая характеристика определяемого вещества Общий бе�.
Синонимы: Диастаза; Сывороточная амилаза; Амилаза сыворотки. α-Amylase; AMY; AML; Diastase; 1;4-?-D-glucanohydralase; Serum amylase; Blood amylase. Краткая характеристика определяемого в�.
Синонимы: Эстераза; Стеапсин; Гидролаза эфиров глицерина. Lipase; LPS; Serum Lipase; Steapsin. Краткая характеристика определяемого вещества Липаза Фермент, катализирующ.
Синонимы: Анализ крови на электролиты; Электролиты в сыворотке крови. Electrolyte Panel; Serum electrolyte test; Sodium, Potassium, Chloride; Na/K/Cl. Краткая характеристика определяемых �.
Синонимы: Анализ крови на магний; Общий магний; Ионы магния. Serum Magnesium Test; Magnesium test; Magnesium, blood; Serum magnesium. Краткая характеристика определяемого аналита Магний .
- рентгенография или компьютерная томография органов брюшной полости с контрастом;
Рентгенологическое исследование, позволяющее обнаружить патологические изменения в брюшной полости, в том числе инородные тела и новообразования.
Исследование, позволяющее получить данные о состоянии органов брюшной полости (печень, желчный пузырь, селезенка, почки, поджелудочная железа), сосуды брюшной пол�.
Введение контрастного вещества осуществляется внутривенно.
Эндоскопическое исследование толстого кишечника для поиска участков патологии, проведения биопсии и удаления небольших полипов и опухолей.
- ультразвуковое исследование органов брюшной полости;
Сканирование внутренних органов брюшной полости для оценки его функционального состояния и наличия патологии.
Основная задача дифференциальной диагностики — отличить странгуляционную непроходимость, которая составляет до 40% всех случаев острой непроходимости, от других видов непроходимости.
Что делать при кишечной непроходимости
Если появляется сильная боль в животе и любой из симптомов кишечной непроходимости, человек должен немедленно обратиться к врачу или вызвать скорую помощь, поскольку непроходимость может иметь серьезные последствия.При подозрении на кишечную непроходимость необходима срочная госпитализация пациента в хирургическое отделение. До прибытия врача категорически запрещается принимать обезболивающие или слабительные препараты, делать промывание желудка и т.п.
Лечение кишечной непроходимости
Медикаментозное лечение. По возможности, прекращают или снижают дозы сильных опиоидных анальгетиков, которые могут вызвать запор и спазм кишечника. Назначают слабительные и размягчители стула, а также антидоты. Могут применяться лекарства от тошноты для предотвращения рвоты; антибиотики – для борьбы с бактериальной инфекцией.
Наблюдение. Скопление стула или нарушение проходимости тонкой кишки могут нуждаться в наблюдении в течение нескольких дней, поскольку имеют тенденцию проходить самостоятельно. В течение этого времени пациенты должны ограничить количество потребляемой пищи и выпиваемой жидкости, чтобы предотвратить дальнейшее накопление фекалий. Может быть назначено внутривенное введение физраствора и электролитов, чтобы поддерживать водный баланс организма, обеспечить коррекцию реологических свойств крови.
Назогастральный зонд – узкая трубка, которая вводится через нос и попадает в желудок. Через нее удаляют скопившуюся в желудке и кишечнике жидкость и газ, снижая давление на стенки. Это уменьшает выраженность боли и позывы к рвоте.
Лечебная сифонная клизма. Этот способ может быть применен, если врач уверен в том, что причина непроходимости – сухие каловые массы.
Хирургическая операция. Экстренные операции (в течение 2 часов с момента поступления пациента в стационар) проводят при острой кишечной непроходимости, если присутствуют признаки перитонита или подозревается странгуляционная форма непроходимости.
Основные рекомендации в послеоперационном периоде следующие: ограничение физической нагрузки на 2-3 месяца, нельзя поднимать тяжести, необходимо носить специальный бандаж, исключить из рациона продукты, вызывающие повышенное газообразование (сырые фрукты, овощи, богатые клетчаткой продукты, молочные продукты).
- Клинические рекомендации «Острая неопухолевая кишечная непроходимость». Общероссийская общественная организация «Российское общество хирургов» (утв. Минздравом России). – 2020.
- Кишечная непроходимость: учебно-методическое пособие / П.С. Неверов и др. – Минск: БГМУ, 2017. – 42 с.
- Маев И.В., Войновский Е.А., Луцевич О.Э., Вьючнова Е.С., Урбанович А.С. Острая кишечная непроходимость (методические рекомендации) // Доказательная гастроэнтерология. – 2013. – № 1. – С. 36-51.
Информацию из данного раздела нельзя использовать для самодиагностики и самолечения. В случае боли или иного обострения заболевания диагностические исследования должен назначать только лечащий врач. Для постановки диагноза и правильного назначения лечения следует обращаться к Вашему лечащему врачу.
Острая кишечная непроходимость
Острая кишечная непроходимость характеризует состояние организма, при котором нарушается прохождение кишечного содержимого и газов по кишечнику. Это может быть обусловлено большим количеством причин, которые можно разделить на две большие группы: опухолевые и неопухолевые.
ПРИЁМ ВЕДУТ
![]()
Заместитель главного врача по хирургии
![]()
Заведующий отделением хирургии
![]()
ЦЕНЫ НА УСЛУГИ
В стоимость пакета входит проведение операции, дальнейшее лечение (наблюдение) пациента в послеоперационном периоде (1 сутки в ОРИТ, 2 или 3 суток в палате стационара АМК).
В стоимость пакета не входит предоперационное обследование, стоимость медикаментов, препаратов крови и ее заменителей, сеток, имплантов, протезов и пр. приспособлений.
Предложение не распространяется на лиц с отягощенным медицинским анамнезом.
Причины возникновения острой кишечной непроходимости
Опухолевая кишечная непроходимость обусловлена ростом новообразования в стенке кишечника или вне её, приводящий к сдавлению и сужению просвета кишки. Вследствие роста опухоли могут возникать разнообразные жалобы: от банальной слабости до специфических нарушений стула с примесью крови, потому, при достижении возраста 40 лет, рекомендуется проходить систематическое разностороннее обследование, позволяющее застать развитие заболевания на ранних стадиях, когда лечение наиболее эффективно.
К причинам неопухолевой кишечной непроходимости относят: спаечную болезнь брюшной полости, заворот и инвагинацию кишечника, болезнь Крона, инородные тела в просвете кишечника (безоары, желчные камни и прочие).
Стоит отметить, что у определённой категории больных может развиваться динамическая кишечная непроходимость, когда никакого физического препятствия для продвижения кишечного содержимого нет, а патологический процесс обусловлен нарушением сократимости кишечной стенки. В таком случае хирургическое вмешательство можно отложить и начать лечение с интенсивной консервативной терапии. Однако помочь разобраться в этом и принять решение о целесообразности операции в каждой конкретной ситуации может только врач-хирург.
Лечение острой кишечной непроходимости
В случае развития кишечной непроходимости необходимо поставить точный диагноз, определить индивидуальный план лечения и обеспечить правильное ведение пациента в послеоперационном периоде.
Только имея на руках все необходимые данные о пациенте, специалистами принимается решение о выборе той или иной тактики лечения пациента. Применяя надлежащие алгоритмы, врач-хирург определяет необходимость срочного или экстренного оперативного вмешательства с использованием лапароскопического метода или без него.
Затем, в послеоперационном периоде, доктор контролирует процесс реабилитации пациента и прилагает все усилия для его спокойного и гладкого течения.
Хирургическим отделением Американской Медицинской Клиники накоплен большой опыт по лечению пациентов с острой кишечной непроходимостью любой природы. Используя современные знания и передовое оборудование, наши эксперты готовы круглосуточно обеспечить быструю, качественную и высокотехнологичную помощь.
Почему стоит выбрать нашу Клинику?
В клинике 24 часа в сутки 7 дней в неделю работают кандидаты и доктора медицинских наук, профессора и доценты кафедр ведущих вузов, врачи первой и высшей квалификационной категории. Мы трудимся без праздников и выходных для того, чтобы вы были здоровы и счастливы.
Регулярное повышение квалификации
Каждый врач на регулярной основе проходит курсы повышения квалификации, посещает семинары, ездит на стажировки, участвует в конференциях, проходит обучение за границей. Это помогает поддерживать квалификацию врачей на высшем уровне. На сегодняшний день подготовка докторов АМК позволяет им обучать молодых докторов, выступая в качестве экспертов на семинарах европейского уровня.
Мы регулярно инвестируем средства не только в обучение и профессиональное развитие персонала, но и в приобретение самого современного оборудования ведущих европейских производителей.
В Американской Медицинской Клинике созданы все условия для комфортного проведения комплексного обследования и диагностики пациента в день обращения.
Доверие со стороны клиентов
За 25 лет безупречной работы свое здоровье нам доверили более чем 500 000 пациентов. Более 80% пациентов рекомендуют нас своим родным и близким.
Мы несем 100 % ответственность за качество предоставляемых услуг, высокий уровень которых подтвержден многолетним опытом работы. Внимание и чуткое отношение врачей с более чем десятилетним стажем медицинской практики дают устойчивый положительный результат.
Читайте также:




