Консервативное лечение травм мочеточников. Принципы
Добавил пользователь Евгений Кузнецов Обновлено: 26.11.2025
Консервативное лечение травм почек. Принципы
Консервативная тактика хорошо зарекомендовала себя при многих урологических повреждениях, однако продолжается полемика относительно выбора оперативной или консервативной тактики при отдельных типах повреждений мочеполовых органов. Последние обзоры результатов оказания помощи урологическим пациентам с тщательным учетом уровня доказательности выявили явную недостаточность перспективных исследований высокого уровня доказательности.
Сравнительно недавние работы по точной классификации урогенитальных повреждений, а также недостаточное количество катамнестических данных оставляют множество вопросов по выбору оптимальной лечебной тактики в отношении рассматриваемых травм.
Давно общепризнано, что малые повреждения почек весьма эффективно лечатся консервативными методами. При ушибах и подкапсульных гематомах обычно принята выжидательная тактика, и только в отдельных случаях подобных травм могут потребоваться хирургические или другие вмешательства. Малые повреждения разрешаются самопроизвольно, за исключением отдельных случаев, которые в основном связаны с неглубокими разрывами паренхимы. В зависимости от установок учреждения и собственного практического опыта, некоторые хирурги, занимающиеся вопросами урологической травмы, могут ограничить оперативное лечение ренальных повреждений случаями нестабильной гемодинамики, обычно без учета данных визуализации. Сторонники иного дохода считают показанием к операции повреждения, которые оцениваются как тяжелые и могут привести к увеличению частоты посттравматических осложнений при их консервативном лечении.
McAninch и Carroll предложили в качестве абсолютных показаний к хирургическому обследованию почек принять нестабильность гемодинамики, продолжающееся кровотечение с необходимостью массивной трансфузии, обнаруженную при лапаротомии пульсирующую или нарастающую гематому, а также отрыв сосудистой ножки. Среди относительных показаний рассматривались травмы, относимые к тяжелым, большая паранефральная гематома, наличие мочевого затека, деваскуляризация больших по площади участков паренхимы и выявленное в операционной при лапаротомии недооцененное по степени тяжести повреждение.
Сторонники консервативной тактики полагают, что при многих тяжелых повреждениях возможно излечение без оперативного вмешательства, а осложнения часто могут быть устранены нехирургическими способами (чрескожное дренирование, установка стента, ангиографическая эмболизация) и что частота сохранения почки выше в тех случаях, в которых удается избежать открытого исследования почек. С точки зрения представителей этой школы, единственным критерием (за небольшим исключением), на основании которого должно приниматься решение о срочном хирургическом вмешательстве, является нестабильная гемодинамика, а не степень повреждения или выявленные методами диагностической визуализации нарушения.
Представители другого, более активного хирургического направления, считают, что тяжелые повреждения почек чреваты недопустимо высокой частотой осложнений, а при появлении эти осложнения повышают вероятность нефрэктомии и развития необратимых патологических изменений почек, которые можно предотвратить при другом, отличном от их оппонентов подходе к значительной травме. Свою позицию они обосновывают тем, что рано предпринятое открытое обследование почек дает преимущества в виде своевременной хирургической обработки раны с удалением нежизнеспособных тканей, окончательного гемостаза, восстановления целостности собирательной системы и раннего адекватного дренирования. При таком подходе риск развития посттравматических инфекционных осложнений, урином и кровотечений будет сведен к минимуму. Чтобы упростить процесс принятия решения, были предложены абсолютные и относительные показания к хирургическому обследованию почек.

Едва ли не всеми признана необходимость оперативного лечения отдельных видов повреждений, а именно закрытых отрывных и проникающих повреждений сосудистой ножки, травм V типа по классификации AAST и отрыва мочеточниково-лоханочного сегмента или полного форникального отрыва. Что касается повреждений V типа, то в отдельных клинических наблюдениях сообщалось о возможности их консервативного лечения. Тем не менее, как показывает большинство исследований такие травмы в 90-100% случаев заканчиваются ургентной нефрэктомией.
Обобщая, можно сделать вывод о том, что не рекомендуется предпринимать попыток консервативного лечения тех повреждений, соответствие которых V типу ренальной травмы не вызывает сомнений, и что такие попытки могут представлять реальную опасность для пострадавшего.
К хирургическим также относят те случаи продолжающегося выраженного кровотечения, когда ангиография не рассматривается в качестве лечебной процедуры, недоступна или не решила проблему. Кроме того, при неизбежной по другим показаниям лапаротомии сопутствующие проникающие повреждения почек рекомендуют лечить оперативным способом, особенно в тех случаях, когда до операции оценка степени их тяжести не проводилась или была неполной.
Если принято решение в пользу консервативного лечения больших повреждений почек, то следует руководствоваться несколькими основными правилами. У подобных пациентов может наблюдаться длительное кровотечение, или активное кровотечение может начаться в более позднем периоде, поэтому наблюдение за пострадавшими необходимо проводить в интенсивном блоке хирургического отделения. За время наблюдения в обязательном порядке повторяют абдоминальные и лабораторные исследования, включая определение содержания гемоглобина и электролитов.
Первые 24-48 часов постоянно должна быть наготове прошедшая типирование и проверенная на индивидуальную совместимость донорская кровь. Гемоглобин пациента следует поддерживать на таком уровне, чтобы его резкое падение от возобновившегося кровотечения не привело к катастрофическим последствиям. Необходимо обратить особое внимание на размеры гематомы, выявленные на начальном этапе во время диагностической визуализации. Большие гематомы предполагают кровотечение из крупных внутрипочечных сосудов, и поэтому они, скорее всего, указывают на те клинические случаи, в которых риск продолжающегося кровотечения выше.

Общепринято при консервативном ведении больших повреждений почек назначать на определенный промежуток времени строгий постельный режим, хотя данные, обосновывающие подобную практику, не так многочисленны. И все же такой подход представляется целесообразным. Постельный режим назначают на срок от 24 до 72 часов или до устранения выраженной гематурии. В дальнейшем осторожно и под врачебным наблюдением налаживается амбулаторный режим. Если результат консервативного лечения оказался положительным, то рекомендуют избегать физической нагрузки до тех пор, пока контрольное визуализирующее исследование не подтвердит полного излечения.
Выбор между хирургическим обследованием и выжидательной тактикой в тех случаях, когда во время операции выявляется недооцененное по степени тяжести повреждение почки, проблематичен. Одни авторы рекомендуют повреждения неустановленного типа исследовать во время операции, другие предлагают более гибкий подход. Если нет рентгенологических данных, то принятию правильного решения может способствовать интраоперационная внутривенная пиелография. Методика проведения данного исследования предполагает болюсное введение йодсодержащего контрастного вещества (2 мл/кг веса) и рентгенологический контроль его экскреции в течение первых 10 минут.
Выявленные существенные изменения в анатомии рассматривают в качестве подтверждающих признаков значительного разрушения паренхимы или повреждения собирательной системы, и в таких случаях может оказаться полезным открытое обследование. При внешней сохранности почки возможен выбор в пользу наблюдения с проведением в послеоперационном периоде КТ-сканирования для более точного отображения имеющихся повреждений. Кроме того, некоторые авторы относят к немаловажным критериям размер паранефральной гематомы.
Повреждения ветвей почечной артерии вследствие закрытой травмы, сопровождающиеся сегментарной деваскуляризацией без разрыва вещества почки, можно лечить консервативно, с низкой частотой осложнений.
Среди проникающих повреждений почек в основном преобладают те, что связаны с травмой других, не относящихся к мочеполовой системе, органов. В большинстве таких случаев требуется лапаротомия, при этом предоперационное обследование с использованием визуализирующих технологий можно в равной степени как проводить, так и не проводить. Вопрос о целесообразности назначения визуализирующих методов исследования при подобной (подозреваемой) почечной травме, рассмотрен ниже в разделе «Оперативное лечение типичных урогенитальных повреждений». В тех случаях, когда хирург-травматолог не видит явных показаний к операции, а проникающая травма почки вероятна, выбор между оперативным и консервативным лечением предстоит делать урологу, исходя из объективного состояния пострадавшего и, что предпочтительнее, из данных спиральной КТ с контрастным усилением.
В целом, пациентов с проникающими ранениями почки можно с успехом лечить консервативно при условии, что повреждение ограничивается латеральными периферическими участками паренхимы, околопочечная гематома имеет небольшие размеры, экстравазация контраста минимальная или отсутствует, и отсутствует риск травмы почечной ножки и почечной пазухи. И наоборот, проникающие повреждения почки, которые сопровождаются образованием больших паранефральных гематом или переходят на глубокие медиальные слои паренхимы, почечную пазуху или область почечных ворот, а также вызывают выраженную экстравазацию из коллекторной или сосудистой системы почки, представляют большую опасность при их консервативном лечении. С такими травмами связан высокий риск поздних кровотечений, поэтому отдельными авторами в качестве предваряющей консервативное лечение процедуры предлагается профилактическая ангиография с эмболизацией поврежденных артериальных ветвей. Консервативное лечение проникающих ранений почки к тому же сопряжено с вероятностью того, что сопутствующее повреждение висцерального органа останется нераспознанным. В рамках одного из ретроспективных анализов консервативного лечения проникающей ренальной травмы было выявлено, что колото-резаные и огнестрельные ранения почки были пролечены консервативно в 55% и 24% случаев соответственно, с низким показателем осложнений.
Несмотря на то, что тупая или проникающая травма надпочечника встречается редко, она, тем не менее, заслуживает упоминания. При гематоме надпочечника, не приводящей к увеличению органа, проводится консервативное лечение, так же как и при повреждениях других паренхиматозных органов. Стандартным подходом при колото-резаных или огнестрельных ранениях в тех случаях, когда направление раневого канала указывает на повреждение надпочечной железы, является открытая ревизия и наложение гемостатических швов, или выполнение адреналэктомии при обширном разрушении тканей. Кровоснабжение надпочечника осуществляется из нескольких источников, поэтому его травматическая деваскуляризация случается редко.
Редактор: Искандер Милевски. Дата обновления публикации: 18.3.2021
Консервативное лечение травм мочеточников. Принципы
Консервативная тактика при травме мочеточника имеет ограниченное применение. Если повреждение обнаружено во время операции, то оно устраняется преимущественно оперативным способом. Анализ исходов травмы данной локализации показывает, что при большинстве повреждений мочеточников результаты раннего хирургического лечения лучше, чем при отсроченной операции или попытках консервативной терапии, за исключением немногих случаев ятрогенных повреждений при эндоскопических вмешательствах.
Это касается ножевых и огнестрельных ранений и отрывных повреждений при тупой травме. Консервативное лечение проводят отдельным пациентам с нераспознанными травмами мочеточника или в прочих случаях запоздалой диагностики, при лечении в соответствии с концепцией «damage control». Согласно принципам классической урологии, выявленные в первые дни после травмы повреждения мочеточника подлежат оперативному лечению. При позднем обнаружении повреждений в лечении используются эндоскопические или интервенционные радиологические методики (имплантация стента или перкутанная нефростомия с целью отведения мочи) с отсроченной реконструкцией при наличии показаний.
Этот подход развился при частом столкновении с проблемами в виде воспаления, отека, ломкости, наличия уриномы, а также повышенных рисков и осложнений, возникающих при хирургической реконструкции позднее 3-5 дней с момента травмы. Обнаруженный во время операции ушиб мочеточника, связанный с закрытой или проникающей травмой, можно лечить с использованием консервативно-выжидательной тактики, но некоторые авторы предлагают устанавливать в ходе операции мочеточниковый стент для снижения риска поздних перфораций и мочевой экстравазации.
Если принято решение в пользу консервативного лечения, обычно выполняется восходящая пиелоуретерография с попыткой ретроградного стентирования. Как вариант, можно выполнить чрескожное дренирование почки. Выбор между этими двумя методами зависит от стабильности гемодинамики и степени выраженности метаболических расстройств, а также от таких факторов, как анатомические особенности и материально-техническое оснащение клиники.

Кроме того, имеют значение правомерность проведения процедуры под общей анестезией, способность пациента перенести вмешательство в положении лежа на животе (обычно необходимого для чрескожного подхода к почке), квалификация и доступность врача-специалиста по интервенционной радиологии, и возможность быстрого чрескожного доступа. Последнее во многом определяют анатомия и степень дилатации полостной системы, а также наличие паранефральной гематомы.
Выявленная коагулопатия часто рассматривается как относительное противопоказание к чрескожному дренированию, так как данная манипуляция всегда сопряжена с риском почечного кровотечения. Полученный чрескожный доступ можно завершить антеградным стентированием мочеточника без нарушения целостности с возможностью проведения направителя в мочевой пузырь через поврежденную область. Можно попытаться заменить нефростомическую трубку на универсальный чрескожный антеградный стент, к преимуществам которого относится простота установки и удаления и возможность использования в качестве внутреннего и наружного дренажа.
По истечении определенного срока можно выполнить антеградную пиелографию с введением контрастного вещества через нефростому для оценки возможности эксплантации стента и пережатия нефростомической трубки.
При таком способе лечения почти в половине случаев можно ожидать образования стриктур, устранение которых хотя и возможно с использованием эндоурологических методов, но часто требует реконструктивно-пластических вмешательств в отдаленном периоде.
Некоторые виды тупой травмы мочеточника, приводящие к минимальной экстравазации, можно лечить консервативно, с ретроградной установкой стента. Соответствие подобной тактики с характерными для этих повреждений анатомическими изменениями часто необходимо документировать ретроградной пиелографией. Когда речь идет о проникающих повреждениях, то, в частности, ранения дробью могут сопровождаться мельчайшими перфорациями, которые можно лечить консервативно.
Такие повреждения могут быть обнаружены во время лапаротомии или КТ с контрастированием, при внутривенной или ретроградной пиелографии. Подобные случаи представляют собой редкое исключение, поэтому предпочтительной тактикой при травме мочеточника является ранняя оперативная диагностика и хирургическое лечение, если последнее выполнимо с технической и медицинской точек зрения.
Операции при травме мочеточника. Техника
Подход к восстановлению мочеточника в основном определяется уровнем травмы, протяженностью образовавшегося дефекта, если таковой имеется, и состоянием окружающих тканей. Разрыв мочеточника в сочетании с обширным разрушением почки в результате тупой или проникающей травмы обычно является показанием к нефрэктомии. В случае отсутствия повреждения почки или при локальном повреждении с возможностью консервативного или оперативного восстановления оптимально выполнение восстановления целостности мочеточника сразу после обнаружения его повреждения.
Диагностика закрытой травмы мочеточника требует высокой степени настороженности. В таких случаях гематурия может отсутствовать, а клинические симптомы нередко появляются с запозданием. Как говорилось ранее, КТ в режиме спирального сканирования позволяет очень быстро завершить первичную оценку почки, поэтому, если не поставлена задача получения изображений в отсроченную фазу контрастирования, обследование может закончиться еще до поступления контраста в чашечно-лоханочную систему или травмированный мочеточник.
Оптимальный способ реконструкции при тупой травме с отрывом мочеточника в проксимальной трети или в области лоханочно-мочеточникового соединения состоит в экономной, в границах жизнеспособной ткани, резекции и наложении, после предварительной спатуляции, анастомоза «конец в конец» с использованием рассасывающегося 3/0, 4/0 или 5/0 шовного материала. В целом, восстановленный после травмы мочеточник чаще всего стентируют. Для этого используют внутренний двойной J-стент или наружный J-стент с одним «пигтейлом».
Последний обычно устанавливают через небольшой прокол передней стенки мочевого пузыря и укрепляют кисетным швом. Некоторые хирурги дополнительно подшивают стент к слизистой оболочке мочевого пузыря непосредственно у мочеточникового отверстия, используя для этого тонкие (4/0 или 5/0) рассасывающиеся нити. При сомнении в надежности восстановления проксимального сегмента может быть рассмотрен вопрос об отведении мочи через нефростомическую трубку, но, как правило, необходимости в этом не возникает.
Тупая травма средней трети мочеточника не является типичной, но в тех случаях, когда ее обнаруживают, показано наложение первичного анастомоза. При повреждениях нижнего сегмента (дистальнее внутренней подвздошной артерии) целесообразна реимплантация мочеточника в мочевой пузырь.
Пристальное внимание требуется также в отношении повреждений мочеточника вследствие проникающей травмы. Наличие мочи в области операционной раны не всегда легко диагностировать, поэтому при возможной травме мочеточника необходимо провести его обследование путем интраоперационной визуальной оценки. Ревизия проксимального и среднего сегментов (до уровня внутренней подвздошной артерии) обычно не вызывает затруднений.

Что касается повреждений самых дистальных участков, то продольная цистотомия с визуальной оценкой выделения мочи из мочеточниковых устьев и проведенная в ходе операции ретроградная пиелография могут оказаться менее травматичными способами оценки интересующей области, чем сложнейшая (в условиях тазовой гематомы) диссекция по всей длине мочеточника.
Возможным вариантом, позволяющим обойтись без цистотомии, является интраоперационная гибкая цистоскопия с ретроградной пиелографией. При повреждениях проксимального и среднего сегментов предпочтительно вмешательство в объеме бережной хирургической обработки раневых поверхностей и создания анастомоза способом «конец в конец после предварительной спатуляции. Как сказано выше, при травме наиболее дистальных участков (обычно ниже внутренней подвздошной артерии) лучше выполнить реимплантацию мочеточника в мочевой пузырь из-за опасности нарушения кровоснабжения дистальной мочеточниковой культи.
Создание прямого анастомоза с мочевым пузырем предупреждает ишемизирующие нарушения, связанные с дистальными уретеро-уретральными анастомозами. Как уже говорилось, стентирование после таких реконструкций проводится рутинным образом.
При травме нижней трети мочеточника не всегда возможно наложить прямой анастомоз с мочевым пузырем без натяжения. В таких случаях для формирования анастомоза без натяжения мочевой пузырь может быть подтянут в сторону повреждения за счет его смещения и фиксации в краниолатеральном направлении. Вмешательство проводят с использованием разных методик, из которых чаще всего применяют способ «подтяжки к поясничной мышце».
Вскрывают мочевой пузырь спереди, при необходимости выполняя экстраперитонизацию его боковой стенки с контралатеральной стороны, затем пузырь перемещают в направлении стороны повреждения и фиксируют к поясничной мышце рассасывающимися 2/0 лигатурами, не допуская травматизации или ущемления крупных нервов. После чего мочеточник может быть реимплантирован в мочевой пузырь путем создания антирефлюксного анастомоза тоннельным способом, а если длины по-прежнему недостаточно, то без формирования туннеля.
Важно убедиться в отсутствии сдавления и ангуляции в области нового пузырно-мочеточникового соустья. Если при подтяжке соединение без натяжения не получается, можно сформировать лоскут из стенки мочевого пузыря (лоскут Boari). Операция по методике Boari связана с высокой частотой осложнений по сравнению с «подтяжки к поясничной мышце», поэтому ее выполняют только тогда, когда этим способом не удается достичь намеченной цели. Выкраивание лоскута можно объединить с техникой «подтяжки к поясничной мышце» для того, чтобы удержать краниальное натяжение стенки мочевого пузыря позади лоскута. Последующую реконструкцию осуществляют по тоннельной антирефлюксной или рефлюксной методике.
Более сложные способы реконструкции включают в себя перекрестную уретероуретеростомию, энтеропластику мочеточника и аутотрансплантацию почки. Уретероуретеростомия целесообразна в тех случаях, когда наложение анастомоза с мочевым пузырем не представляется возможным из-за дефицита длины мочеточника или состояния мочевого пузыря, что определяется конкретными условиями, такими как воспаление, предшествующее облучение таза и др.
К замещению мочеточника сегментом подвздошной кишки в остром периоде травмы прибегают редко, так как желательно проводить энтеропластику в условиях полностью подготовленного кишечника.
При острой травме можно остановить выбор на аутотрансплантации почки в том случае, если врач обладает достаточной квалификацией в сосудистой хирургии, а менее инвазивный способ реплантации мочеточника невозможен. Проксимальный конец мочеточника либо имплантируют прямо в мочевой пузырь при потере большей части нижнего сегмента, либо накладывают анастомоз с дистальным концом при его сохранности и не слишком выраженной удаленности.
Проводя реконструкцию мочеточника и близлежащих сосудов или внутренних органов, имеет смысл с изолирующей целью использовать прядь большого сальника на питающей ножке или другие подходящие ткани, что предупреждает фистулообразование или контакт с мочой ушитого раневого дефекта смежного органа. Наряду со стенти-рованием или отведением мочи целесообразно выполнить наружное дренирование уретеральных повреждений, особенно при сомнении в прочности соединения и надежности гемостаза.
В этой связи некоторые урологи предпочитают использовать не закрытые системы, а дренаж Пенроуза, что позволяет избежать аспирации по линии мочеточникового шва. Автор главы использует аспирационные дренажи, фиксируя их хромированным 4/0 кетгутом к т. psoas или другим смежным мягкотканым образованиям с целью предупреждения миграции дренажной трубки к месту анастомоза. В послеоперационном периоде желательно назначать антибиотики, особенно в случаях сохраняющейся экс-травазации.
Как будет сказано ниже, принципы концепции «damage control» применимы и к больным с травмой мочеточника в тех случаях, когда состояние пострадавшего не позволяет провести реконструктивно-восстановительную операцию на этапе первично предпринятого экстренного хирургического вмешательства. Установка наружного стента через проксимальный конец пересеченного мочеточника позволяет контролировать объем выделяемой мочи, пока оказывается реанимационная помощь при подготовке пациента к окончательному отсроченному реконструктивному вмешательству.
Повреждение почки ( Травма почки )
Повреждение почки – это нарушение целостности почки, обусловленное травмирующим воздействием. Закрытое повреждение почки возникает при прямых (ушиб, сдавление, падение на спину) и непрямых (падение с высоты) травмах, открытое – при колотых, резаных и огнестрельных ранениях. Проявляется гематурией и болями в пояснице. При открытых повреждениях наблюдается истечение мочи из раны. Для подтверждения диагноза используются данные лабораторных исследований, УЗИ, КТ, рентгенографии и ангиографии. Лечение закрытых травм почки в большинстве случаев консервативное, открытых – оперативное.
МКБ-10


Общие сведения
Повреждение почки – достаточно распространенная травма, составляющая 1-5% от общего числа травматических повреждений. Может значительно варьироваться по степени тяжести – от относительно легких случаев до тяжелых поражений, представляющих опасность для жизни пациента. Мужчины страдают втрое чаще женщин. Любое повреждение почки рассматривается, как потенциально опасное, поэтому пациенты с такой патологией госпитализируются в урологическое, хирургическое или травматологическое отделение.
В 70-80% случаев повреждение почки сочетается другими травмами: переломами таза, позвоночника и ребер, переломами костей конечностей, ЧМТ, тупой травмой живота, повреждениями грудной клетки и т. д. Это утяжеляет состояние пациента, способствует развитию травматического шока и ухудшает прогноз.
Причины
В мирное время превалируют закрытые повреждения почки в результате криминального инцидента (драки) или падения с высоты. Причиной закрытой травмы почки становится ушиб, падение, сдавление и другие воздействия, в результате которых возникает повышение давления жидкости (мочи и крови) в почке либо почка сдавливается между поперечными отростками позвонков и ребрами. Реже встречаются открытые травмы, которые являются следствием колотых и колото-резаных ран. В период военных действий резко увеличивается доля огнестрельных ранений почек.
Патанатомия
Тяжесть закрытой травмы зависит от таких факторов, как место приложения, направление и сила удара, индивидуальные особенности расположения почки по отношению к позвоночнику и нижним ребрам, степень развития мускулатуры, степень наполнения кишечника, количество паранефральной и подкожной жировой клетчатки, величина забрюшинного и внутрибрюшного давления. При предшествующих патологических изменениях (хроническом пиелонефрите, аномалиях развития, пионефрозе и гидронефрозе) целостность почки может нарушаться даже при незначительном закрытом травматическом воздействии. Степень повреждения может варьироваться от мелких кровоизлияний в ткань почки до тотального разрушения органа.
Особенно тяжелые травмы почек наблюдаются при огнестрельных ранениях, что обусловлено обширностью поражения, сложной конфигурацией раневого канала и высокой частотой одновременного повреждения различных органов и анатомических областей. Тяжесть ножевых ран почки зависит от направления раневого канала и расположения раны по отношению к почечным сосудам.
Классификация
В травматологии и клинической урологии выделяют закрытые (подкожные, тупые) и открытые (проникающие) травмы почки. Различают следующие виды закрытых повреждений:
- Ушиб. В почечной паренхиме возникают множественные кровоизлияния, макроскопический разрыв субкапсулярной гематомы отсутствует.
- Субкапсульный разрыв без контакта с чашечно-лоханочной системой. Характеризуется наличием крупной субкапсулярной гематомы.
- Разрыв ткани и фиброзной капсулы почки с повреждением чашечно-лоханочной системы.
- Размозжение.
- Отрыв мочеточника, полное либо частичное повреждение сосудистой ножки.
- Контузия.
Открытые травмы почки подразделяются на:
- Резаные раны.
- Колотые раны.
- Осколочные ранения.
- Пулевые ранения и т. д.
При постановке диагноза уточняют зону повреждения почки:
- Повреждение сосудистой ножки.
- Повреждение тела.
- Повреждение нижнего сегмента.
- Повреждение верхнего сегмента.
Кроме того, указывают характер травмы (сочетанная, изолированная), наличие или отсутствие осложнений (осложненная, неосложненная).
Симптомы повреждения почки
Ведущими симптомами закрытой травмы почки являются боль и отек в поясничной области в сочетании с микро- или макрогематурией. Боли могут быть острыми, тупыми или коликообразными, нередко иррадиируют в паховую область. При тяжелых повреждениях наблюдается вздутие живота, повышение температуры, тошнота, рвота и симптомы раздражения брюшины, что может симулировать тупую травму живота. Кроме того, при травме почки может выявляться дизурия, боли внизу живота и признаки внутреннего кровотечения.
Различают 3 степени тяжести закрытого повреждения почки. При повреждениях легкой степени (ушибе) наблюдается незначительная кратковременная гематурия. Болевой синдром выражен умеренно. Общее состояние пациента ближе к удовлетворительному, признаки раздражения брюшины отсутствуют, околопочечная гематома не выявляется. При повреждениях средней степени тяжести боли умеренные, отмечается иррадиация в половые органы, паховую область и нижнюю часть живота. АД снижено, пульс учащен. Под кожей в поясничной области видна гематома. Нередко выявляется дизурия, в отдельных случаях – анурия. Урогематома может вызывать симптомы раздражения брюшины. При тяжелых повреждениях развивается шок. Боли сильные, макрогематурия профузная, длительная. Отмечаются нарастающие признаки внутреннего кровотечения.
Симптомы открытого повреждения почки во многом совпадают с признаками закрытой травмы. Есть боль и гематурия, нередко присутствует припухлость вокруг места повреждения. Кроме того, в области поясницы имеется огнестрельная, колотая или резаная рана. Самым достоверным признаком открытой травмы почки является истечение мочи из раневого канала, однако, этот симптом редко бывает явным в первые часы. Для выявления незначительных примесей мочи в кровянистом раневом отделяемом применяют специальный реактив Несслера.
Боль в области поясницы вызывает защитное напряжение мышц передней брюшной стенки. Раннее появление и значительная выраженность данного симптома могут свидетельствовать об одновременном повреждении органов брюшной полости. Гематурия при открытых травмах почки возникает практически сразу, однако, ее выраженность не всегда коррелирует с тяжестью поражения. Встречаются как небольшие надрывы, сопровождающиеся профузной гематурией, так и тяжелые повреждения с незначительным количеством крови в моче.
Осложнения
При открытых повреждениях чем рана ближе к почечной ножке, тем выше риск нарушения целостности крупных сосудов и тем больше область инфаркта почки с последующим нагноением почечной ткани. Повреждение мочеточника и чашечно-лоханочной системы в отсутствие операции влечет за собой мочевую инфильтрацию и флегмону забрюшинного пространства, при сопутствующем повреждении брюшной полости развивается перитонит.
Диагностика
Диагноз устанавливается врачом-урологом, подтверждается на основании клинических признаков, анализа мочи, МРТ, КТ, УЗИ, внутривенной урографии, нефросцинтиграфии и почечной ангиографии. Для оценки тяжести кровопотери осуществляется контроль уровня гемоглобина и гематокрита. При подозрении на сочетанную травму назначаются консультации различных специалистов: травматолога, абдоминального хирурга и пр.

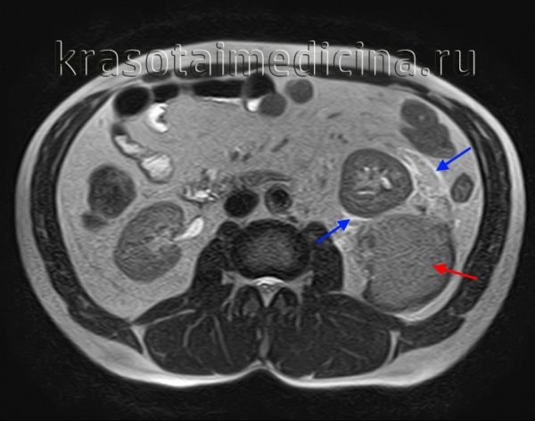
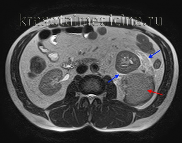
МРТ ОБП. Повреждение левой почки. Забрюшинная гематома (красная стрелка), отек перинефральной клетчатки (синяя стрелка).
Лечение повреждения почки
При закрытых травмах, не сопровождающихся гемодинамическими нарушениями, обычно проводятся консервативные мероприятия. При открытых повреждениях консервативная терапия возможна лишь при изолированных ранах, нанесенных холодным оружием, в случае, если состояние пациента остается удовлетворительным, а гематурия незначительна и носит кратковременный характер. Пациентам назначают антибиотики, противовоспалительные и кровоостанавливающие препараты.
Абсолютными показаниями к хирургическому лечению при открытых и закрытых травмах почки являются нестабильная гемодинамика, пульсирующая и нарастающая гематома. К числу относительных показаний к операции относятся тяжелые повреждения, экстравазация больших количеств мочи, выявление крупного нежизнеспособного участка почки, сочетанные травмы, предшествующие заболевания травмированной почки и отсутствие эффекта от консервативной терапии. В зависимости от тяжести и характера повреждения выполняют нефрэктомию, удаление части почки или ушивание разрыва почки. В отдельных случаях возможна малоинвазивная операция – эмболизация поврежденного сосуда с использованием катетера, введенного через бедренную артерию.
2. Рекомендации. Основные принципы диагностики, профилактики и терапии/ Ассоциация нефрологов России - 2015
Травма мочеточника
Травма мочеточника — это повреждение уретеральной стенки. Проявляется тяжестью, распирающими болями в поясничной, подвздошной и подреберной областях, гематурией, редко — анурией. При сочетанных повреждениях обычно маскируется симптомами поражения других органов. Диагностируется при помощи УЗИ, КТ, МРТ, МСКТ забрюшинного пространства, экскреторной урографии, ретроградной уретеропиелографии, общего анализа мочи. При ушибах возможна консервативная терапия анальгетиками, рассасывающими препаратами, превентивное назначение антибиотиков. В остальных случаях осуществляется стентирование мочеточника, нефростомия, ушивание разрывов, реконструктивные операции.
Травмы мочеточника выявляются у 1,0-5,7% пациентов с повреждением мочеполовых органов. Особенности строения уретеральной стенки и ее защищенность от наружных повреждающих воздействий обусловили характерное распределение причин травматизма в зависимости от возраста и пола пострадавших. У женщин риск травмирования мочеточника возрастает в возрасте 25-35 лет, что связано с реализацией репродуктивной функции, и после 45 лет из-за роста онкопатологии, требующей радикального хирургического лечения.
Специфика распределения этиологических факторов, способствующих повреждению органа, обусловлена его высокой эластичностью, легкой смещаемостью, особенностями анатомического расположения, хорошей защитой от случайных внешних воздействий. Более чем у 75% пациентов мочеточник травмируется вследствие инвазивных медицинских манипуляций и лишь у 25% — в результате тупых травм и проникающих ранений. Специалисты в сфере клинической урологии и травматологии называют следующие причины повреждения органа:
- Гинекологические операции. До 55% травм мочеточника вызвано хирургическими вмешательствами в сфере акушерства и гинекологии. Обычно целостность органа нарушается в ходе онкогинекологических вмешательств по поводу рака шейки матки, реже — при удалении злокачественных неоплазий другой локализации, интралигаментарных опухолей, наложении акушерских щипцов, кесаревом сечении с поперечным рассечением матки в нижнем сегменте, аборте, краниотомии, чрезвлагалищной, абдоминальной гистерэктомии и др.
- Урологические вмешательства. В 11% случаев мочеточник повреждается при выполнении эндоскопических исследований и лечении заболеваний мочевыводящей системы. Ранения слизистой оболочки, перфорация, полный отрыв возможны при уретероскопии, стентировании, бужировании мочеточника, его баллонной дилатации, удалении мочеточниковых камней без предварительного фрагментирования. Чаще всего травма становится следствием нарушения техники выполнения манипуляции.
- Общехирургические и сосудистые операции. Результатом таких вмешательств является до 9% уретеральных травм. Повреждения средней трети органа возникают в ходе тазовой и парааортальной лимфаденэктомии, операций на наружных подвздошных сосудах, ушивания заднего листка париетальной брюшины. Целостность мочеточника нарушается при несоблюдении правил выполнения низкой передней резекции толстого кишечника, оперативного устранения аневризмы брюшного отдела аорты.
- Травматизм и насильственные действия. В 18% случаев мочеточниковые травмы развиваются при падении с высоты, прямых ударах в живот, других механических воздействиях, полученных в ДТП, бытовых и производственных условиях. У 7% пациентов диагностируются огнестрельные и ножевые ранения органа. Особенностями таких травм является локализация преимущественно в верхней трети, сочетание с повреждениями тазовых костей, позвоночника, других внутренних органов, что затрудняет диагностический поиск.
Патогенез
Механизм повреждения мочеточника при травмах зависит от характеристик разрушающего воздействия. Уретеральная стенка может частично или полностью рассекаться хирургическими инструментами, сдавливаться швом или зажимом, перегибаться. Воздействие значительных механических нагрузок приводит к надрывам, разрывам, отрыву. Особенностью ятрогенных травм мочеточника является частый некроз из-за опосредованных воздействий — деваскуляризации при электрокоагуляции, нарушения иннервации при обширной диссекции. При закрытых неятрогенных повреждениях с ушибом и разрывом сосудов возможно образование гематомы в уретеральной стенке и окружающих тканях.
Систематизация травм мочеточника проводится с учетом стороны, места, характера повреждений. Обычно поражение является односторонним, из-за более близкого расположения по отношению к воронкотазовой связке локализовано слева. Реже выявляются правосторонние, в исключительных случаях — билатеральные травмы. По локализации различают повреждения мочеточника в верхней, средней и нижней трети.
- Непроникающие повреждения мочеточника. Более чем в 75% случаев целостность уретральной стенки не нарушена. Реже выявляется ушиб, чаще — неполный разрыв со стороны эпителиальной оболочки или наружных слоев. При отсутствии сквозных повреждений возможно консервативное ведение пациента или стентирование органа. Хирургическая тактика при случайной перевязке выбирается с учетом времени ее обнаружения.
- Сквозные травмы мочеточника. Возникают как непосредственно в момент повреждающего воздействия, так и спустя некоторое время после него (при некрозе на фоне деваскуляризации или денервации стенки). При перфорации, полном циркулярном перерыве без расхождения или с расхождением краев необходимо срочное реконструктивно-пластическое вмешательство для восстановления целостности оболочек.
Симптомы травмы мочеточника
Особенностью клинической картины является отсутствие специфической симптоматики, что практически в 80% случаев приводит к поздней диагностике поражения. При интраоперационных и открытых ранениях возможно подтекание мочи в рану. В послеоперационном периоде и у больных с неятрогенными изолированными травмами могут наблюдаться тупые распирающие боли в области поясницы, дуг подвздошных костей, реже — в подреберье. У 70% пациентов появляется видимая примесь крови в моче, которая при одностороннем полном разрыве является однократной.
Для нечастых двухсторонних повреждений с циркулярным перерывом или перевязкой мочеточников характерно отсутствие мочи. При сочетанных травмах повреждение уретральной стенки маскируется клиникой раздражения брюшины и поражения расположенных рядом органов — резкими болями в брюшной полости, напряженностью мышц живота, тошнотой, рвотой, метеоризмом, нарастающими симптомами травматического шока и внутреннего кровотечения.
Непроникающие травмы мочеточника могут осложняться формированием стриктур, а в более сложных случаях полной обструкцией с ретенционными изменениями вышележащих отделов, развитием уретерогидронефроза и хронической почечной недостаточности. При сквозном разрушении стенки возникает мочевая инфильтрация, интра- и ретроперитонеальные затеки мочи, урогематомы, которые при вторичном присоединении инфекции становятся основой для образования околопочечных абсцессов, забрюшинных флегмон, развития перитонита и уросепсиса.
Отдаленным последствием травмирования уретеральных оболочек является образование наружных мочевых, мочеточниково-маточных, мочеточниково-вагинальных свищей. У части пациентов постренальный застой мочи приводит к возникновению мочекаменной болезни, хронического пиелонефрита.
У большинства больных постановка диагноза затруднена из-за отсутствия специфичных симптомов. Поэтому в любых случаях макрогематурии, болей в пояснице и тем более отсутствия мочи после гинекологической, урологической, полостной операции, закрытой или открытой травмы живота важно исключить повреждение мочеточника. Наиболее информативными в диагностическом плане являются следующие методы:
- Эхография. Результаты УЗИ мочеточника более показательны при перевязке и разрыве органа. О нарушении оттока мочи свидетельствует увеличение почки в размерах, расширение чашечно-лоханочной системы и дистальной трети мочеточника, отек паранефральной клетчатки. При разрыве стенки может определяться свободная жидкость в полости малого таза, гипоэхогенная уринома или урогематома забрюшинного пространства.
- Экскреторная урография. Пассаж рентгеноконтрастного вещества позволяет выявить повреждение уретеральных оболочек, его локализацию и особенности. Внутривенную урографию обычно проводят с индигокармином. В соответствии с рекомендациями Европейского сообщества урологов для обнаружения травмы мочеточника рекомендовано выполнение отсроченных стандартных урограмм через полчаса после введения рентгеновского контраста.
- Восходящая уретеропиелография. Введение контрастной жидкости прямо в мочеточник является золотым стандартом диагностики его травматического повреждения. О наличии дефекта уретеральной стенки свидетельствует выход рентгеновского контраста за пределы органа. С помощью ретроградной УПГ достаточно точно локализуется место травмы и приблизительно оценивается ее характер (перфорация, разрыв).
- Томография ретроперитонеального пространства. КТ забрюшинной области более эффективно проводить с контрастированием. Трехмерное изображение мочевыводящих органов, по которым проходит контрастный препарат, позволяет точно обнаружить участок повреждения, выявить уриномы, урогематомы, оценить их объем. В качестве альтернативы может быть проведено комплексное МСКТ или МРТ забрюшинного пространства с контрастированием.
В общем анализе мочи у 80-85% пострадавших определяется эритроцитурия. При наличии кровотечения общий анализ крови подтверждает снижение уровня эритроцитов и гемоглобина. В ряде случаев окончательный диагноз устанавливается только интраоперационно. Дифференциальная диагностика проводится с травмами почек, мочевого пузыря, других брюшных и тазовых органов, мочеполовыми свищами, стриктурами мочеточника. Кроме консультации специалиста уролога больным показан осмотр травматолога, хирурга, анестезиолога-реаниматолога, терапевта, проктолога, женщинам — акушера-гинеколога.
Лечение травмы мочеточника
Выжидательная тактика с превентивным проведением антибиотикотерапии, назначением анальгезирующих и рассасывающих средств допустима только при достоверно подтвержденном травматическом ушибе органа без признаков повреждения стенки и нормальном пассаже мочи. Остальным пациентам показаны хирургические вмешательства различного объема, направленные на обеспечение нормального выделения мочи и восстановление целостности уретеральных оболочек:
- При непроникающих ранениях и небольших разрывах. Операцией выбора является стентирование мочеточника с установкой в его просвете полого цилиндра из металлической сетки. Вмешательство выполняется через цистоскоп. Некоторым больным для разгрузки почек производится чрескожная пункционная нефростомия, реже нефростома накладывается через разрез в поясничной области.
- При неполном боковом рассечении. Обычно такая ситуация возникает при проведении экстренных или плановых полостных операций. Допускается накладывание на оболочки мочеточника нескольких швов с обязательным стентированием в среднем на 3 недели. Такой подход позволяет предотвратить формирование мочевых затеков, образование свищей и стриктур, развитие перитонита.
- При полном пересечении или отрыве. Обычно пострадавшему требуется реконструктивная пластика (накладывание уретероцистоанастомоза, проведение операции Боари, в остром и отдаленном периоде — выполнение кишечной пластики). При раннем обнару жении травмы возможна резекция поврежденного участка с последующим ушиванием концов (первичный шов мочеточника).
Прогноз и профилактика
При своевременном выявлении повреждения, правильном выборе тактики ведения пострадавшего и объема операции прогноз благоприятный. Более серьезные осложнения и отдаленные последствия наблюдаются при поздней диагностике и сочетанных травмах мочеточника.
Для профилактики ятрогенной травматизации рекомендуется бережное ведение родов с обоснованным использованием оперативных методов, соблюдение техники цистоскопических и полостных вмешательств. Значительно снизить количество интраоперационных уретеральных травм позволяет двухсторонняя катетеризация мочеточников перед операциями на тазовых органах, тщательный осмотр вероятных участков повреждения после выполнения основного вмешательства, правильная сепарация мочеточника от маточных связок.
1. Клинические рекомендации по оказанию скорой медицинской помощи при травме почек и мочеточников/ Аль-Шукри С.Х., Боровец С.Ю., Дубинский В.Я.// Урологические ведомости. – 2014 – Т. IV, №1.
2. Ятрогенное повреждение мочеточника в онкогинекологической практике. современное состояние проблемы/ Шевчук И.М., Алексеев Б.Я., Шевчук А.С.// Онкогинекология – 2017 - №4.
4. Ятрогенная травма мочеточника в акушерской и гинекологической практике/ Муслимова С.З.// Международный журнал экспериментального образования. – 2016 - №12.
Читайте также:
- Гастрошизис: причины, симптомы и лечение
- Митохондриальное (материнское) наследование глазных болезней
- Психоневрозы хронического аппендицита. Формы хронических аппендицитов
- Патологический процесс в просвете пищевода. Патологический процесс стенки пищевода
- Проводящая глухота с микрогнатией и вислоухостью. Синдром Ушера
