Контрастная эхокардиография эндокарда
Добавил пользователь Евгений Кузнецов Обновлено: 03.11.2025
Цель исследования: изучить возможности применения эхокардиографии (ЭхоКГ) с контрастным препаратом SonoVue™ в оценке структурных особенностей левого желудочка (ЛЖ). Представлен клинический случай применения ультразвукового контрастного препарата второго поколения — SonoVue™ для оценки структурных особенностей ЛЖ у пациента с ишемической болезнью сердца и постинфарктной аневризмой ЛЖ. При проведении рутинного ультразвукового исследования сердца было затруднено четкое определение границ эндокарда в области верхушки, объемов ЛЖ и аневризмы, наличия и размеров тромба. На фоне введения контраста четко визуализировались границы эндокарда, что позволило более точно измерить объемы и фракцию выброса ЛЖ, а также объем аневризмы и размеры истинного тромба. Таким образом, ЭхоКГ с контрастным препаратом второго поколения SonoVue™, существенно улучшая качество ультразвуковых изображений, способствует повышению возможностей неинвазивной диагностики.
Ключевые слова
Об авторах
Научно-исследовательский институт кардиологии, Томский национальный исследовательский медицинский центр Российской академии наук, Томск 
Россия 
д-р мед. наук, старший научный сотрудник отделения рентгеновских и томографических методов диагностики
Научно-исследовательский институт кардиологии, Томский национальный исследовательский медицинский центр Российской академии наук, Томск 
Россия 
канд. мед. наук, младший научный сотрудник отделения рентгеновских и томографических методов диагностики
Научно-исследовательский институт кардиологии, Томский национальный исследовательский медицинский центр Российской академии наук, Томск 
Россия 
канд. мед. наук, научный сотрудник отделения сердечно-сосудистой хирургии
Научно-исследовательский институт кардиологии, Томский национальный исследовательский медицинский центр Российской академии наук, Томск 
Россия 
д-р. мед. наук, ведущий научный сотрудник отделения сердечно-сосудистой хирургии
Научно-исследовательский институт кардиологии, Томский национальный исследовательский медицинский центр Российской академии наук, Томск 
Россия 
д-р мед. наук, профессор, руководитель отделения рентгеновских и томографических методов диагностики
Список литературы
1. Weskott H.-P. Контрастная сонография. Бремен: УНИ-МЕД, 2014: 284. [Weskott H.-P. Contrast-enhanced ultrasound. Bremen: UNI-MED, 2014: 284] (In Russ).
2. Xu H.-X. Contrast-enhanced ultrasound: The evolving applications / World Journal of Radiology. 2009; 1(1): 15–24. DOI: 10.4329/wjr.v1.i1.15.
3. Nolsoe Ch.P., Lorentzen T. International guidelines for contrast-enhanced ultrasonography: ultrasound imaging in the new millennium / Ultrasonography. 2016; 35(2): 89–103. DOI:10.14366/ usg.15057.
4. Hoffmann R., von Bardeleben S., Kasprzak J.D., Borges A.C., ten Cate F., Firschke C., Lafitte S., Al-Saadi N., Kuntz-Hehner S., Horstick G., Greis C., Engelhardt M., Vanoverschelde J.L., Becher H. Analysis of regional left ventricular function by cine ventriculography, cardiac magnetic resonance imaging, and unenhanced and contrast-enhanced echocardiography: a multicenter comparison of methods / Journal of the American College of Cardiology. 2006; 47: 121–128. DOI:10.1016/j.jacc.2005.10.012.
5. Porter T.R., Abdelmoneim S., Belcik J.T., McCulloch M.L., Mulvagh S.L., Olson J.J., Porcelli C., Tsutsui J.M., Wei K. Guidelines for the Cardiac Sonographer in the Performance of Contrast Echo-cardiography: a focused update from the American Society of Echocardiography / Journal of the American Society of Echocardiography. 2014; 27: 797–810. DOI:10.1016/j.echo.2014.05.011.
6. Фомина С.В., Завадовская В.Д., Юсубов М.С., Дрыгунова Л.А., Филимонов В.Д. Контрастные препараты для ультразвукового исследования / Бюллетень сибирской медицины. 2011; 6: 137–142. [Fomina S.V., Zavadovskaja V.D., Jusubov M.S., Drygunova L.A., Filimonov V.D. Contrast agents for ultrasound examination / Bulletin of Siberian Medicine. 2011; 6: 137–142] (In Russ).
7. Соновью. Научная монография. Динамическое контрастное усиление в режиме реального времени. М.: Bracco, 2013: 45. [SonoVue. Scientific monograph. Real-time contrast-enhanced ultrasound. Мoscow: Bracco, 2013: 45] (In Russ).
Контрастная эхокардиография
При ЭхоКГ, как правило, нет необходимости в применении контрастных веществ для визуализации различных структур сердца. Однако в некоторых случаях (например, если больной находится на искусственной вентиляции легких или очень тучный) точность определения границы между кровью и тканью, особенно границы эндокарда ЛЖ, бывает недостаточной для диагностики ряда нарушений. В этом случае можно болюсно или капельно ввести контрастные вещества, состоящие из наполненных газом сфер с липидной оболочкой и диаметром, аналогичным или меньшим, чем у эритроцитов (рис. 1). Граница раздела "газ-оболочка" обеспечивает хорошее отражение ультразвука. Контраст сначала попадает в правые камеры сердца, затем после прохождения через легкие оказывается в ЛП и, наконец, в ЛЖ.
Контрастирование левых камер сердца позволяет улучшить определение границы эндокарда ЛЖ, помогая при расчете объемов ЛЖ и выявлении нарушений локальной сократимости.

Рис. 1. Контрастная эхокардиография левых камер сердца. А - микропузырьки состоят из стабилизирующей оболочки (альбумин, жирные кислоты или фосфолипиды) и заполнены инертным газом или воздухом. Б - внутривенное введение контраста приводит к тугому контрастированию камер сердца и (частично) миокарда.
Кроме того, контраст также проникает в коронарный кровоток и тем самым повышает отражательную способность миокарда. По этой причине его можно использовать в качестве эквивалента меченых изотопов при ядерных перфузионных исследованиях, в особенности вместе с сосудорасширяющими препаратами (аденозина фосфатом). Количественная оценка яркости миокарда и определение динамики повторного контрастирования миокарда после "разрушительных" высокоэнергетичных ультразвуковых импульсов, как было показано, позволяет количественно оценить сосудистый объем и скорость кровоснабжения. Интерпретация результатов исследования кровоснабжения миокарда при контрастной ЭхоКГ остается сложной, ее пока нельзя использовать в рутинной практике.
Наряду с коммерчески доступными контрастными препаратами можно использовать обычные в/в вводимые жидкости, особенно вспененную смесь изотонического раствора натрия хлорида и крови, для улучшения визуализации правых структур сердца, а также при допплеровском исследовании. Эти микропузырьки практически не проходят через легкие, поэтому не появляются в левых отделах сердца после в/в инфузии. Контрастирование правых камер часто используют для обнаружения малых предсердных шунтов, например открытого овального окна, особенно при пробе Вальсальвы, путем наблюдения за прохождением микропузырьков из ПП в ЛП через межпредсердную перегородку.
Контрастная эхокардиография эндокарда
Контрастная эхокардиография эндокарда
а) Определение глобальной функции левого желудочка. Улучшенное распознавание эндокарда при помощи введения эхоконтрастного средства пропагандировалось еще в начале 1980-х годов группой исследователей во главе с Erbel и в действительности было первым клиническим показанием при регистрации препаратов Альбунекс и Оптисон. Однако улучшение распознавания эндокарда при контрастном усилении полости левого желудочка в традиционной двумерной ЭхоКГ связано с соотношением сигнал/шум у конкретного пациента и тем самым лимитировано.
1. Энергетическая допплер-ЭхоКГ. Следовательно, допплеровская техника, с присущим ей значительно более высоким соотношением сигнал/шум, гораздо лучше подходит для контрастного усиления левожелудочковых потоков с целью отграничения от слабых эндо- и миокардиальных сигналов. Поэтому на сегодняшний день большинство производителей аппаратуры предоставляют возможность исследования в режиме энергетического допплеровского исследования (Power Doppler Imaging, синонимы: Angio-Mode, Doppler Energy), что позволяет полуколичественно отображать интегрированную энергию допплеровского сигнала в таких тканях, как кровь .
Некоторые исследования уже в 1994 г. подтвердили, что определение фракции выброса левого желудочка при помощи допплеровской техники с контрастным усилением имеет коэффициент корреляции с результатами радионуклидной вентрикулографии r = 0,91, что явно выше показателей традиционной двумерной ЭхоКГ (r = 0,79). Впоследствии возможность однозначно отграничить имеющие интенсивную цветокодированную окраску потоки крови в левом желудочке от миокарда была использована и для программ автоматизированного распознавания эндокарда.
2. Дальнейшее развитие других методик. Благодаря успехам технического развития сегодня и методики с использованием второй гармоники также продемонстрировали более точную оценку и воспроизводимость измерений объемов левого желудочка и фракции выброса после внутривенного контрастирования по сравнению с МРТ. Аналогично вышеназванным высокоэнергетическим методикам были показаны похожие улучшенные результаты для низкоэнергетических методик после внутривенного введения контрастного средства.
Большое клиническое значение имеет то, что эта улучшенная оценка размеров и функции левого желудочка при контрастном усилении была особенно подтверждена у пациентов с острым инфарктом миокарда или находящихся в критическом состоянии в отделении интенсивной терапии. Таким образом, введение внутривенного ультразвукового контрастного средства является целесообразным в том случае, когда недостаточная эхогенность пациента затрудняет клинически важную оценку размеров, формы и функции левого желудочка.
3. Автоматизированный анализ. Наконец, достигаемое при помощи контрастных средств отчетливое контурирование полости левого желудочка создает возможность для автоматизированного анализа, который позволяет ожидать клинического улучшения воспроизводимости результатов по сравнению с вычерчиванием контура эндокарда вручную. Фактически в настоящее время имеются первые и положительные публикации о (частично) автоматизированных методиках, чья истинная ценность впоследствии будет детально выявлена в ходе клинической апробации.

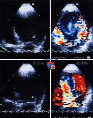
 Фракция выброса левого желудочка (ФВ) у того же пациента с дилатационной кардиомиопатией, по данным радионуклидной вентрикулографии, составила 19%. 
По данным двумерной эхокардиографии в четырехкамерной позиции (слева вверху окончание диастолы, слева внизу окончание систолы), при очевидном ограничении эхогенности, оценка ФВ составила 31%, а по данным допплера с контрастным усилением (справа) на фоне отчетливого улучшения отграничения эндокарда - 17%. 
б) Определение региональной функции левого желудочка:
1. Анализ движения стенок. С 1993 г. многочисленные публикации подтверждают улучшение распознавания эндокарда при стресс-ЭхоКГ на фоне введения контрастного средства. Не стало неожиданностью то, что у пациентов с ишемической болезнью сердца с субоптимальным качеством ультразвукового изображения это привело к повышению диагностической точности, сравнившейся с чувствительностью и специфичностью у пациентов с хорошим качеством изображения. В действительности, на сегодняшний день американское и британское общества эхокардиологов в своих руководствах рекомендуют применять контрастные средства в стресс-ЭхоКГ, если затруднена оценка двух и более сегментов левого желудочка.
Естественно, для использования контрастных средств были модифицированы количественные методики стресс-эхокардиографического анализа движения стенок.
2. Кровоснабжение миокарда. Однако наибольшая выгода контрастной ЭхоКГ заключается в полученной при помощи низкоэнергетических методик возможности наряду с улучшением анализа движений стенок одновременно визуально выявлять нарушения регионального кровоснабжения миокарда и тем самым корректно идентифицировать важное в прогностическом плане многососудистое поражение.
3. Выводы. В целом комбинация двух контрастных эхокардиографических техник (оценка движений стенок и оценка перфузии миокарда) демонстрирует превосходящие диагностические характеристики по сравнению с традиционным сцинтиграфическим исследованием с нагрузкой (ОФЭКТ). Тем самым, нагрузочный тест с использованием контрастной ЭхоКГ с учетом его остальных преимуществ (отсутствие лучевой нагрузки и более низкая цена исследования) следует расценивать как визуализирующую технику первого ряда для исключения ишемической болезни сердца.
Эхокардиография
Наша лаборатория располагает различными видами эхокардиографии (ЭхоКГ или УЗИ сердца). В четырех специально оборудованных залах с помощью ультразвуковых волн получают изображение сердца и прилегающих к нему кровеносных сосудов. Это обследование позволяет выявить информацию о параметрах сердечных желудочков и предсердий, о качестве функционирования миокарда и его клапанов. В зависимости от индивидуальных показаний можно также определить, например, давление крови в легочной артерии или наличие внутрисердечных тромбов.
Наряду со стандартной эхокардиографической процедурой (более 15.000 обследований в год), специалисты нашей лаборатории ведут большую научно-исследовательскую работу в области диагностики многих сердечно-сосудистых заболеваний таких, как структурные и функциональные изменения миокарда (кардиомиопатии), использование катетерной терапии при патологии сердечных клапанов (вальвулопатии) и т.д.
Трансторакальная эхокардиография (ТТЭ)
Во время проведения неинвазивного, абсолютно безболезненного способа ТТЭ пациенты занимают определенную позу, лёжа на левом боку. На внешнюю поверхность грудной клетки крепятся маленькие датчики, подключенные к эхокардиографу, которые посылают акустические сигналы через межрёберные пространства к сердечной мышце. Звуковые волны двигаются в тканях и видоизменяются, а затем возвращаются к датчику. Здесь происходит их преобразование в электросигналы, которые и обрабатываются эхокардиографом. В результате на экране появляется изображение сердца. Помимо довольно распространенных допплеровских методов диагностики, таких как импульсно-волновая-, постоянно-волновая- и цветовая - допплер-ЭхоКг, в настоящее время применяют более современные способы: тканевое допплеровское исследование и отслеживание дифракционных пятен («speckle tracking»). С помощью контрастного вещества, введенного внутривенно, можно получить цветные изображения структур сердца, измерить параметры отверстий в сердечных перегородках, например, «овального окна» или обнаружить тромбы внутри камер миокарда.
3D- эхокардиография
В процессе получения трехмерного изображения ЭхоКг одновременно исследуется сокращение (движение) предсердий и желудочков. С его помощью можно более точно выявить нарушения в работе сердца. Кроме того, 3D-эхокардиография является самым эффективным методом диагностики состояния сердечных мышц и клапанной недостаточности (расширения клапанного отверстия, при котором закрытые створки клапана не смыкаются полностью, пропуская кровь в обратном направлении), а также позволяет с высокой точностью выявить воспаление сердечного клапана (эндокардит). Все наши приборы УЗИ ориентированы на данную технологию, и применяется она в диагностике сердечно-сосудистых болезней практически ежедневно.
Стресс - эхокардиография
Стресс-эхокардиография, по аналогии с нагрузочным тестом ЭКГ – это проведение исследования не в состоянии покоя пациента, а при создании ему искусственной нагрузки на сердечную мышцу, (например, во время упражнений пациента на велоэргометре), для того, чтобы оценить скрытые патологии сердца и его структур. Разновидностью стресс-эхокардиографии является обычное трансторакальное УЗИ сердца, но с введением пациенту определенных лекарственных препаратов, которые вызывают увеличение частоты сердечных сокращений, как и при физической нагрузке. Исходя из результатов стресс-ЭхоКг, врач может оценить работу сердца при физической нагрузке и обнаружить нарушение кровообращения в коронарной артерии.
Чреспищеводная (трансэзофагиальная) эхокардиография (ЧПЭ)
При проведении процедуры ЧПЭ в пищевод вводится специальный зонд – ультразвуковой датчик. Этот метод исследования дает максимальное разрешение при визуализации структур сердца, так как пищевод находится в непосредственной близости от левого предсердия. Чреспищеводная эхокардиография позволяет выявить также и сопутствующие заболевания сердца, пороки, оценить выраженность стеноза аортального клапана, его функцию, состояние, диаметр отверстия клапана, состояние стенок желудочков сердца, наличие расширения аорты и другие параметры. Эта методика особенно эффективна в диагностике сердечных тромбов очень маленького размера, воспаления клапанов сердца (эндокардита), а также различных врожденных и приобретенных пороков сердечных клапанов (стеноза, клапанной недостаточности и т.д.) Зачастую трансэзофагиальная ЭхоКг используется при транскатетерной реконструкции клапанов (с применением технологий TAVI, MitraClip) и хирургических операций по устранению дефектов межпредсердной перегородки.
Тканевое допплеровское исследование
Тканевое допплеровское исследование — разновидность допплеровского исследования, при котором визуально регистрируется движение миокарда, створок и других тканей, а также оценивается работа сердца, в частности, функции правого предсердия и способность расслабления (диастолическая функция) сердечной мышцы.
Эхокардиография
Техника ЭхоКГ
Существуют 3 техники проведения эхокардиографии:
Трансторакальная эхокардиография – наиболее распространённая техника эхокардиографии. При ТТЭ датчик устанавливают вдоль левого или правого края грудины, на верхушке сердца, в яремной вырезке (с целью визуализации аортального клапана, выходного отдела ЛЖ, нисходящей аорты), либо в подгрудинной области. ТТЭ – наиболее распространенная методика, позволяющая получить двухмерные изображения крупных структур сердца. TTЭ является относительно недорогой и неинвазивной техникой визуализации для диагностики функций правого и левого желудочка, и движения их стенок, размера и анатомии полостей сердца, функционирования клапанной системы, строения корня аорты и внутрисердечного давления.
Портативная ультрасонография Ультрасонография у постели больного (POCUS) Полное обследование всех систем необходимо для выявления периферических и системных проявлений сердечно-сосудистых заболеваний и признаков других патологий, которые могут оказывать негативное. Прочитайте дополнительные сведения (POCUS) - ограниченная трансторакальная эхокардиография (направленная на обнаружение выраженного перикардиального выпота или дисфункции желудочков), которая иногда выполняется у постели тяжелобольных пациентов в палате интенсивной терапии (ПИТ) или в отделении экстренной медицинской помощи. Многие реаниматологи и врачи скорой обучены выполнению этой процедуры на переносных ручных аппаратах, в случаях когда опытные радиологи или кардиологи недоступны. Переносные ручные аппараты являются хорошим инструментом скрининга для определения того, каким пациентам может потребоваться проведение более детального исследования. В связи с более широким их использованием менее опытными специалистами, основным ограничением применения являются пропущенные диагнозы. В последнее время национальные сообщества предлагают рекомендации по обучению специалистов применению кардиоваскулярного метода исследования POCUS (ограниченная трансторакальная эхокардиография у постели больного) с целью наилучшего использования данного диагностического исследования. Медицинские учреждения, использующие метод кардиоваскулярного исследования POCUS, должны разработать соответствующие стандарты для применения его в своей практике.
При чреспищеводной эхокардиографии (ЧПЭ) датчик на конце эндоскопа позволяет осмотреть сердце через желудок и пищевод. ЧПЭ применяют для визуализации структур сердца, когда ТТЭ технически трудновыполнима, как, например, у пациентов с ожирением и хронической обструктивной болезнью легких (ХОБЛ). При ЧПЭ лучше визуализируются малые патологические структуры (например, вегетации при эндокардите или открытое овальное окно) и структуры, расположенные кзади (например, левое предсердие, ушко левого предсердия, межпредсердная перегородка, анатомия легочных вен), поскольку они располагаются ближе к пищеводу, чем к передней грудной стенке. С помощью ТТЭ можно получить также изображение восходящего отдела аорты, который начинается за третьим реберным хрящом; мелких образований, размеры которых меньше 3 мм (таких как тромбы, вегетации); искусственных клапанов.
При внутрисердечной эхокардиографии (ВС ЭхоКГ), датчик на кончике катетера (введенного через бедренную вену и проведенного в сердце) позволяет визуализировать анатомию сердца. ВС ЭхоКГ можно проводить во время сложных структурных кардиальных манипуляций (например, чрескожное закрытие дефектов межпредсердной перегородки или открытого овального отверстия) или электрофизиологических манипуляций. При проведении таких манипуляций ВСЭ обеспечивает лучшее качество изображения и меньшую длительность манипуляции по сравнению с TТЭ. Однако ВСЭ обычно дороже.
Методология
Наиболее часто применяют двухмерную ЭхоКГ; дополнительную информацию позволяют получить методы контрастной, допплеровской и других видов эхокардиографии.
Контрастная эхокардиография – это двухмерная эхокардиограмма, которая выполняется с применением вспененного раствора натрия хлорида (либо иного эхоконтрастного препарата), быстро вводимого в сердечный кровоток. Вспененный раствор образует мелкие пузырьки, которые создают облаковидную тень при ультразвуковом исследовании в правых камерах сердца; в случае наличия дефекта сердечной перегородки эти пузырьки появляются в левых отделах сердца. Обычно микропузырьки не способны пересекать барьер лёгочных капилляров. Однако один препарат, представляющий собой образованные после обработки альбумина ультразвуком микропузырьки, на это способен и может проникать в структуры левых отделов сердца после внутривенно инъекции. По этой причине он может быть использован для разграничения полостей сердца, в частности левого желудочка.
Спектральная допплер-ЭхоКГ может выявить объем, направление и тип потока крови. Данная методика необходима для обнаружения аномальных потоков крови (например, связанных с регургитацией) либо объемов (например, обусловленных стенотическими причинами). Допплер-ЭхоКГ не несет дополнительной информации о размерах и форме сердца и его структур.
Цветная допплер-ЭхоКГ в комбинации со спектральной и двухмерной допплер-ЭхоКГ позволяет более точно оценить размеры, форму сердца и его структур, также как объемы и направления потоков в области клапанов и выносящих трактов. Цвет используется для разграничения потоков крови; по соглашению красный поток, идущий к датчику, синий – в обратном направлении.
При тканевой допплерографии используются допплеровские методики для оценки скоростных показателей сокращения миокарда (так же как и кровотока). Движение ткани миокарда также можно оценить с помощью спекл-трекинг эхокардиографии, которая использует алгоритмы для отслеживания эхоспеклов миокарда (характерные реверберации от миокарда во время ультразвукового исследования) из кадра в кадр. канирование деформации использует эти данные для подсчета деформации миокарда (процентное изменение длины между сокращением и расслаблением) и скорости деформации миокарда (скорость изменения длины). Расчет деформации и скорости деформации может быть полезен при оценке систолической и диастолической функции для выявления ишемии при проведении стресс-тестов.
Все чаще применяется трехмерная эхокардиография; специальные трансдукторы позволяют получить трехмерное изображение структур сердца в реальном времени. Трехмерная эхокардиография в особенности эффективна при оценке состояния митрального клапанного аппарата для хирургической коррекции. Этот метод продолжает развиваться; его широкому распространению и применению в США воспрепятствовало уменьшение компенсационных выплат со стороны третьих лиц.
Стресс-ЭхоКГ
Трансторакальная эхокардиография – альтернатива радионуклидной визуализации Радионуклидная визуализация сердца Для выполнения радионуклидного исследования используют специальный аппарат (гамма-камеру), который формирует изображения после введения радиоактивного препарата. Этот тест проводится для оценки. Прочитайте дополнительные сведения . Данная методика позволяет выявить региональные нарушения подвижности стенок сердца, возникающие вследствие нарушения кровотока в эпикардиальных сосудах сердца во время выполнения пробы. Компьютерные программы позволяют оценить шаг за шагом сокращение желудочка во время систолы и диастолы, в период отдыха и на фоне нагрузки. Протоколы проведения нагрузочных и фармакологических исследований аналогичны таковым при выполнения радионуклидного стресс-теста с той разницей, что в США добутамин является более предпочтительным фармакологическим агентом, чем дипиридамол.
Стресс-эхокардиография является важным методом исследования тяжести гемодинамических расстройств при стенозе аортального клапана у пациентов с выраженными симптомами и невысоким трансклапанным градиентом давления в покое. Стресс-ЭхоКГ и радионуклидный стресс-тест одинаково хорошо позволяют выявить ишемию. Выбор метода чаще всего зависит от доступности, личного опыта исследователя и стоимости выполнения методик.
Признаки высокого давления наполнения левого желудочка во время физической нагрузки, в том числе увеличение показателя Е/е' (отношение пиковых скоростей трансмитрального кровотока и движения фиброзного кольца митрального клапана) или повышение скорости трикуспидальной регургитации, могут быть использованы для диагностики сердечной недостаточности с сохраненной фракцией выброса Сердечная недостаточность с сохраненной фракцией выброса (СНСФВ) Сердечная недостаточность (СН) – синдром дисфункции желудочков сердца. Левожелудочковая недостаточность приводит к развитию одышки и быстрой утомляемости, правожелудочковая недостаточность –. Прочитайте дополнительные сведенияАвторское право © 2022 Merck & Co., Inc., Rahway, NJ, США и ее аффилированные лица. Все права сохранены.
Читайте также:
