Краниотубулярные дисплазии
Добавил пользователь Евгений Кузнецов Обновлено: 22.11.2025
НАРУШЕНИЕ ПРОЦЕССОВ ПЕРЕМОДЕЛИРОВАНИЯ ЧЕРЕПА И ТРУБЧАТЫХ КОСТЕЙ (КРАНИОТУБУЛЯРНАЯ ДИСПЛАЗИЯ)
При краниотубулярных дисплазиях, например краниодиафизарной, нарушается процесс образования костной ткани, тогда как при краниотубулярных гиперостозах, например эндостальном (Ван-Бухема), деформация обусловлена скорее чрезмерным ее ростом, нежели нарушением формирования кости. Это различие, вероятно, несколько произвольно, поскольку независимо от формы поражения скелета в основе нарушений лежат резорбция и разрастание костной ткани. При всех формах заболевания позвоночник меньше вовлекается в процесс, чем при остеопетрозе, пикнодизостозе и дизостеосклерозе.
При диафизарной дисплазии (Камурати — Энгельманна), краниодиафизарной и краниометафизарной дисплазиях и пахидермопериостозе склероз в области зрительных каналов приводит к нарушению зрения, отеку диска и атрофии зрительного нерва. Склероз в области внутреннего слухового отверстия и среднего уха вызывает кондуктивную и нервно-сенсорную потерю слуха. Распространение процесса на область отверстия лицевого нерва сопровождается его парезом, а на область большого затылочного отверстия — симптомами поражения длинных проводящих путей, гиперрефлексией, парезами и даже внезапной смертью или параплегией.
Диафизарная дисплазия (Камурати — Энгельманна). Это редко встречающееся заболевание, известное также под названием «прогрессирующая наследственная диафизарная дисплазия», характеризуется обширным поражением нервно-мышечного аппарата. Оно наследуется по аутосомно-доминантному типу в разной форме и степени выраженности. Клиническая картина даже у больных в одной и той же семье значительно различается. Заболевают обычно дети в возрасте 4—10 лет, но известны случаи заболевания в возрасте 3 мес. и старше 60 лет. К наиболее типичным симптомам относятся недостаточное увеличение массы тела, быстрая утомляемость и нарушение походки, иногда усиливающиеся боли в ногах. Походка становится утиной, масса тела и мышечный тонус уменьшаются, появляются сгибательные контрактуры в локтевом и коленном суставах, ноги становятся саблевидными, с «щелкающим коленом», плоскостопием и пронацией стоп. Глубокие сухожильные рефлексы снижены или повышены, изредка отмечается клонус стопы. У некоторых больных присоединяются поясничный лордоз и боли в спине, иногда сдавление черепных нервов.
Рентгенологически выявляется симметричное веретенообразное расширение диафизов длинных костей при неизменных эпифизах и метафизах. Корковый слой в области диафизов увеличен за счет крапчатого разрастания эндостальной и периостальной кости. Процесс развивается вначале в центральных частях длинных трубчатых костей и постепенно распространяется на проксимальный и дистальный участки. Склерозу подвергаются лобные и кости основания черепа. Биохимические показатели крови обычно не отличаются от нормы. Уменьшается количество мышечных волокон, они замещаются жировой тканью, мышцы атрофируются, появляются умеренные пикнотические изменения в ядрах клеток сарколеммы, происходит гиалинизация мышц и уменьшается выраженность поперечнополосатой исчерченности.
Лечение направлено на обеспечение максимальной подвижности больного. При искривлении ног производят соответствующую остеотомию. Симптоматический эффект получают при применении небольших доз кортикостероидов.
Краниодиафизарная дисплазия. Это редко встречающееся заболевание с аутосомно-рецессивным типом наследования характеризуется массивным гиперостозом и склерозом костей черепного и лицевого скелета, гиперостозом и перестройкой структуры диафизов длинных трубчатых костей. Ранним клиническим признаком может быть затруднение дыхания в результате сужения носовых ходов. У некоторых больных с момента рождения отмечается уплощение основания носа. Симптомы проявляются иногда с 3-месячного возраста. В результате прогрессирующего гиперостоза черепа и лица к возрасту 1—2 лет начинают выступать кости носа и верхняя челюсть. Выраженная клиническая симптоматика появляется при сужении большого затылочного отверстия. В сыворотке повышается активность щелочной фосфатазы.
На рентгенограмме выявляют массивные гиперостоз черепа, быстро развивающийся в грудном возрасте, и полное отсутствие структурных деталей. Позвоночник, ребра, ключицы и лопаточные кости кажутся чрезмерно плотными, но форма их не изменена. В метафизах длинных костей отсутствует нормальная воронкообразность и трубчатость, отчего они выглядят широкими и недоразвитыми.
В настоящее время никакое терапевтическое или хирургическое лечение не может предотвратить прогрессирование гиперостоза и склероза или их осложнений. Особое внимание следует уделять коррекции слуха и зрения и генетическому консультированию с рекомендациями психосоциального характера.
Эндостальный гиперостоз и склеростоз. Для этих заболеваний типично выраженное разрастание костной ткани на эндостальной (внутренней) поверхности кости, приводящее к сужению костномозгового канала или его облитерации.
При редко встречающейся доминантно наследуемой форме эндостального гиперостоза (тип Уорта) часто наблюдаются выступающие небные кости. Рецессивно наследуемая форма (Ван-Бухема) характеризуется прогрессирующим с детского возраста увеличением размеров нижней челюсти; клиническая картина у взрослых зависит от перехода склеротического процесса на области отверстий зрительных и слуховых нервов. Активность щелочной фосфатазы в сыворотке повышена. Рентгенологически отмечаются заметное утолщение костей черепа от основания до свода и в зрелом возрасте увеличение плотности нижней челюсти. Плотность коркового слоя длинных трубчатых костей повышена, а полость костномозгового канала сужена.
Склеростоз — заболевание с аутосомно-рецессивным типом наследования, клинически и рентгенологически сходное с болезнью Ван-Бухема и, вероятно, представляющее собой ее вариант. Характерным признаком служит большая частота гиперостоза лица и носа, в результате чего переносица становится широкой и плоской, развивается гипертелоризм; кисти у детей небольшого размера, с синдактилией, отмечаются девиация II и III пальцев в лучевую сторону и отсутствие или гипоплазия ногтей.
Тубулярный стеноз (Кеффи — Кенни). Синдром с аутосомно- доминантным типом наследования проявляется сужением костномозгового канала. У больных отмечаются миопия, замедленное закрытие переднего родничка в результате гипокальциемии, судороги. Рентгенологически выявляется сужение костномозгового канала нередко с нормальным или расширенным корковым слоем. Губчатое вещество в плоских костях отсутствует.
Лобно-метафизарная дисплазия. Заболевание с Х-связанным доминантным типом наследования характеризуется необычной формой лица с выступающими надбровными дугами в результате возвышения надглазничного края лобных костей. Наиболее выражены изменения у лиц мужского пола. У больных развиваются гирсутизм, кондуктивная глухота и атрофия мышц рук и ног, возвышения V пальца и межкостных мышц кисти. Выступающие надбровные дуги пересекают всю лобную кость, околоносовые пазухи недоразвиты, нижняя челюсть гипоплазирована. Метафизы всех длинных и коротких трубчатых костей недостаточно сформированы.
Краниометафизарная дисплазия. При этом заболевании прогрессирует гиперостоз черепа и недостаточно сформированы метафизы. Оно наследуется как по аутосомно-доминантному, так и по рецессивному типу. Доминантная форма развивается в любом возрасте, в некоторых случаях даже у детей грудного возраста. Клинически при той и другой форме наследования прогрессируют изменения формы лица с широким, выступающим основанием носа, достигающим скуловых костей. Затруднение дыхания вследствие распространения процесса на носовые ходы может быть диагностировано в грудном возрасте. Выраженность распространения склеротического процесса на область большого затылочного отверстия различна.
К характерным рентгенологическим признакам относится гиперостоз черепа, носа, нижней и верхней челюстей, распространяющийся на скуловые кости, с недостаточной пневматизацией околоносовых пазух и сосцевидного отростка. Длинные кости конусообразной формы, плотность метафизов снижена (колбочка Эрленмейера). Гиперостоз и склероз нижней челюсти менее выражены, чем при краниодиафизарной дисплазии.
Остеодиспластия (синдром Мелника — Нидлза). При этих заболеваниях происходит патологическое формирование костей; наследование в основном по аутосомно-доминантному типу, но встречаются и рецессивные формы. Возраст в момент постановки
диагноза различен. На больных детей впервые обращают внимание из-за нарушения у них походки, искривления конечностей, иногда вывиха тазобедренного сустава или замедленного заращения переднего родничка. В целом рост у больных и психосоматическое развитие не изменяются. Форма лица типичная: незначительный экзофтальм, выступающие щеки, высокий и узкий лоб, выступающие края глазниц, микрогнатия и неправильная линия зубов. Нижняя часть грудной клетки узкая. Дистальные сегменты I пальцев рук изогнуты. Часты coxa valga и двусторонний вывих бедра. Ребра кажутся волнистыми. Надвертлужная часть крыльев подвздошных костей сужена.
Рентгенологически отмечается неравномерное утолщение коркового слоя длинных костей, края которых из-за неровного контура и множественных сужений представляются волнистыми. Небольшое искривление диафизов сочетается с нарушением процесса формирования метафизов.
Инфантильный гиперостоз коркового слоя костей (болезнь Кеффи). Этиология заболевания неизвестна. Его следует дифференцировать от гиперфосфатазии с остеоэктазией (см. далее). Начинается оно обычно в первые 3 мес. жизни с повышения температуры тела и выраженного отека мягких тканей лица и челюстей.
В дальнейшем происходит прогрессирующее утолщение коркового слоя длинных трубчатых и плоских костей. Активность щелочной фосфатазы умеренно повышена. Периоды обострения сменяются периодами ремиссии со спонтанным выздоровлением через несколько лет. Некоторый эффект при обострениях наблюдают после лечения кортикостероидами.
Краниотубулярные дисплазии
Лобно-метафизарная или фронто-метафизарная дисплазия
Gorlin и Cohen выделили лобно-метафпзарную дисплазию из многих других краниотубулярных дисплазий. Это заболевание проявляется выбухающими костными надглазничными утолщениями, проводящей глухотой и различными изменениями скелета. Похожие случаи были описаны Lischi, Walker, Holt с соавт., Danks с соавт., Jarvis и Jenkins, Weiss и Reynolds.
Клинические данные. Данные осмотра. Выраженные надглазничные бугры, широкий корень носа и маленький острый подбородок придают больным странный внешний вид. Утолщение надглазничных дуг становится очевидным к пубертатному возрасту (Danks et al.).
Костно-мышечная система. Отмечаются атрофии мышц рук п ног, особенно гипотенара и межкостных мышц кистей. Полное дорсальное сгибание кисти и разгибание локтей невозможны, пронация и супинация также чрезвычайно органичены. Прогрессируют сгибательные контрактуры пальцев и ульнарное отклонение кисти. Движения пальцев ограничены, особенно в пястно-фаланговых суставах. На ногах, кроме того, пальцы имеют молоткообразную форму.
Нервная система. Walker отметил головную боль и снижение чувствительности в областях, снабжаемых тройничным нервом. Jarvis и Jenkins сообщили о глубокой умственной отсталости у их больных.
Другие данные. У одного больного наблюдался маленький половой член и крииторхизм (Gorlin, Cohen). Блок одной из ножек пучка Гиса и гипертрофия правого желудочка были отмечены Danks с сотр.
Наблюдались отсутствие постоянных зубов при сохранности молочных зубов, а также расщепление язычка (Lischi, Gorlin, Cohen, Danks et al.).
Орган слуха. Gorlin и Cohen описали умеренную проводящую глухоту у 19-летнего больного. Walker сообщил о дефиците слуха и приступообразном шуме в ушах, выявившихся у наблюдаемого им больного к 25-летпему возрасту. Глухота не была охарактеризована. Holt с сотр. и Arenberg с соавт. обнаружили симметричную прогрессирующую смешанную глухоту, выявившуюся впервые к пубертатному возрасту. При тимпанотомии была обнаружена фиксация молоточка и наковальни.

Вестибулярная система. Результаты обследования вестибулярной системы не опубликованы.
Лабораторные данные. Рентгенограммы. При рентгенологическом исследовании были обнаружены толстые, валикоиодобиые лобные бугры, отсутствие лобных синусов, дефекты надорбитальных щелей и дуг верхнего края верхнечелюстных синусов в форме «купола мечети», а также зазубрины вдоль нижнего края нижней челюсти до углов, выраженную гипоплазию угла и мыщелка нижней челюсти (Gorlin, Cohen, Holt et al.).
Большое отверстие черепа было резко расширено. Отмечались множественные аномалии шейных позвонков, такие, как расположенный далеко кпереди зубовидный отросток, отсутствие задней дуги атланта, синостоз С2 и С3, частичное смещение С3 и С4. На рентгенограммах длинных костей обнаружены повышенная плотность диафизов и недостаточно сформированные метафизы, что создает деформацию типа зрленмейеровских колб (Erlenmeyer-flask). Отмечались выпуклые подвздошные кости, расширенные и удлиненные средние фаланги пальцев, тонкие, слабые ребра. При обследовании позвоночника выявлено увеличение расстояния между ножками дуг в поясничном отделе (Danks et al.). Ребра и позвонки были неправильно контурированы (Holt et al.).
Другие данные. Danks с сотр. обнаружили метахромазию в культе фибробластов.
Наследственность. Болезнь может быть генетически неоднородной. Weiss и Reynolds описали заболевание у матери и сына, предположив аутосомно-доминантное наследование. Jarvis и Jenkins сообщили о заболевании у мальчиков полусибсов, имевших одну мать, и установили Х-сцепленное наследование. Несмотря на сходство костных аномалий, больные были глубоко умственно отсталыми, что не было обнаружено пи в одном другом случае.
Диагноз. Необходимо исключить другие краниотубулярные дисплазии, такие, как краниометафизарная дисплазия и краниодиафизарная дисплазия. Эти заболевания подробно обсуждены Gorlin с соавт..
Толстые, валикоподобные лобные бугры наблюдаются в конечной стадии метафизарного дизостоза Янсена (Jansen), заболевания костной системы, полностью отличающегося со всех других сторон, от лобно-метафизарной дисплазии (de Haas et al.).
Лечение. Для улучшения слуха можно использовать слуховые аппараты.
Выводы. Характеристика этого синдрома включает:
1) аутосомно-доминантное или Х-сцепленное рецессивное наследование;
2) характерное лицо, отличающееся выбухающими надглазничными буграми и маленьким подбородком;
3) атрофии мышц рук п ног со сгибательными деформациями суставов;
4) характерные изменения скелета;
5) смешанную, чаще проводящую глухоту.
Лечение дисплазии шейки матки
Дисплазия шейки матки – это заболевание является самой частой формой предрака шейки матки, при которой на слизистой шейки матки и цервикального канала наблюдается аномальный рост клеток.
Дисплазия в переводе с греческого обозначает неправильное развитие. Вирус папилломы человека внедряется в клетки влагалищной части шейки матки и цервикального канала и приводит к ее перепрограммированию. В результате чего клетка изменяется. Эти изменения отмечают врачи цитологи и отражают их в своем заключении.
В зависимости от того, как много клеток видоизменилось под действием вируса, дисплазия бывает 3 степеней тяжести:
1 степень – легкая дисплазия шейки матки
В строении клеток происходят незначительные изменения, которые затрагивают не более трети толщины эпителия.
2 степень – средняя степень дисплазии
Поражается половина эпителиального слоя, а именно его нижняя и средняя трети.
3 степень – тяжелая дисплазия
Характеризуется изменениями во всех слоях эпителия.
Главной причиной развития неоплазии является инфицирование вирусом папилломы человека, который передается половым путем. Различают несколько типов папилломавирусов – высокой, средней и низкой онкогенности. Увеличивает риск развития дисплазии иммунодефицит, гормональные нарушения, хронические воспаления половых органов, травмы шейки матки после родов, абортов, вредные привычки, ранний половой опыт, смена партнеров.
Заболевание обычно протекает бессимптомно, особенно начальная стадия. Клинические проявления могут присутствовать при 2-3 степени или при присоединении вторичной инфекции. Характерные признаки – это зуд, жжение во влагалище, болевые ощущения во время полового акта, выделения с неприятным запахом, кровянистые выделения после интимной близости.
Диагностика дисплазии шейки матки включает в себя:
- мазок на онкоцитологию с поверхности шейки матки и цервикального канала
- мазок на ВПЧ
- расширенная кольпоскопия
- биопсия шейки матки (по показаниям)
- иммуногистохимическое исследование белков р16 и Кi67
При получении заключения онкоцитологии – тяжелая дисплазия (CIN2-3) биопсия обязательна. Так как на шейке одновременно могут быть поражения разной степени тяжести, то может иметь место и инвазивный рак.
Скрининговое обследование проводится женщинам с 21 года до 69 лет (при условии предыдущего адекватного скрининга и отсутствие в течении 20 лет дисплазии 2 степени) – мазок на онкоцитологию проводим до 60 лет, ВПЧ до 65 лет каждые 5 лет
С 21 до 29 лет – мазок на онкоцитологию 1 раз в 3 года
С 30 до 69 лет – цитология = ВПЧ тест не реже 1 раза в 5 лет
Показания к кольпоскопии –выявление анормальных результатов цитологического исследования, наличие визуальных изменений при гинекологическом осмотре, выявление ВПЧ.
К обследованию женщин у которых в анамнезе ранее была выявлена дисплазия шейки матки или вирус папилломы человека подходим индивидуально, по показаниям.
Лечение
Медикаментозное лечение дисплазии отсутствует. Лечение иммуномодуляторами направлено на продуктивный компонент ВПЧ инфекции. И оно оправдано в дополнении к хирургическим методам.
К методам лечения относится аблация – это метод при котором пораженный участок шейки матки разрушается. Он включает в себя электро, радио, лазерную, криодеструкцию. Этот метод лечения показан, если нет дисплазии 2-3 степени и при кольпоскопии зона трансформации визуализируется полностью.
При дисплазии 2-3 степени показаны эксцизионные методы.
Женщинам старше 40 лет с дисплазией 1 степени показана петлевая эксцизия.
Отдельным методом лечения патологии шейки матки является ФДТ, которая по механизму действия может относится к деструктивным методам, но глубина воздействия на пораженные клетки гораздо больше.
Ни один из методов не гарантирует 100 % эффективность. Особенно если ВПЧ продолжает определятся после лечения. В этом случае может быть рецидив заболевания даже через много лет. Поэтому в течении 3 лет ВПЧ и мазок на онкоцитологию желательно сдавать на менее 2 раз в год.
Современный метод лечения дисплазии шейки матки
В КДЦ «ДАВИНЧИ» ведет приемы профессор Первого МГМУ им . И.М. Сеченова, доктор медицинских наук, онколог, онкогинеколог, иммунолог Афанасьев Максим Станиславович @doctorafanasev
Эксперт международного уровня по лечению методом фотодинамической терапии (ФДТ).
Лечение:
•дисплазии шейки матки CIN I-III, влагалища и вульвы
•рака шейки матки и вульвы
•атипичной гиперплазии эндометрия (предрак матки)
•рака кожи
✅На приеме Вы получите экспертное мнение по поводу имеющихся медицинских заключений
✅ проведёте необходимое дообследование
✅ определите возможность лечения безоперационным методом фотодинамической
терапии.
Краниотубулярные дисплазии
Остеопетроз является наследственным заболеванием, характеризуется повышенной плотностью костной ткани и формированием аномального скелета.
Краниометафизарная дисплазия
Это аутосомно-доминантное заболевание Аутосомно-доминантные Генетические нарушения, вызванные изменениями в одном гене («Менделевские нарушения»), являются самыми простыми для анализа и наиболее хорошо поняты. Если экспрессия признака требует только. Прочитайте дополнительные сведения человека обусловлено мутациями гена ANKH. В раннем детстве образуются параназальные бугры, а также прогрессирующее расширение и утолщение костей черепа и нижней челюсти, что приводит к деформации лица и челюсти. Поражение костей вовлекает черепные нервы, вызывая дисфункцию. Исправление прикуса зубов Неправильный прикус Неправильный прикус является ненормальным контактом между зубами верхней и нижней челюсти. (См. также Обследование пациентов со стоматологическими заболеваниями [Evaluation of the Dental Patient]. Прочитайте дополнительные сведенияДиагноз краниометафизарной дисплазии предполагается при наличии типичных черепно-лицевых аномалий, которые иногда сочетаются с повышенной восприимчивостью к респираторным инфекциям, или нарушение может быть обнаружено во время оценки дисфункции черепных нервов, которые могут возникнуть в результате защемления у основания черепа. Как правило, проводят обычное рентгенологическое исследование. Рентгенологические изменения являются возрастными и обычно проявляются в возрасте 5 лет. Склероз является главной особенностью черепа. В трубчатых костях отмечаются булавовидные расширения метафизов, особенно в области дистальной части бедренной кости. Однако, эти изменения являются менее серьезными, чем при болезни Пайла Метафизарная дисплазия (болезнь Пайла) Краниотубулярные дисплазии включают минимальный остеосклероз с нормальным формированием скелета. Остеопетроз является наследственным заболеванием, характеризуется повышенной плотностью костной. Прочитайте дополнительные сведения . Позвоночник и таз не поражены.
Лечение кранио-метафизарной дисплазии состоит из хирургической декомпрессии затронутых нервов и ремоделирования тяжелых костных аномалий. Тем не менее, возобновление роста всё-таки происходит.
Фронтометафизарная дисплазия
Это расстройство становится очевидным в раннем детстве. Надглазничный валик выдается, напоминая забрало (шлем) рыцаря. Нижняя челюсть гипопластичная с передним сужением; аномалии зубов являются зарактерными. Глухота развивается в зрелом возрасте, потому что склероз сужает внутреннее слуховое отверстие и среднее ухо, или может привести к деформации слуховых косточек. Длинные кости ног умеренно изогнуты. Прогрессирующие контрактуры конечных фаланг пальцев могут имитировать артрит. Рост и общее состояние здоровья в норме.
Диагноз фронтометафизарной дисплазии подозревают при потере слуха у пациентов с признаками скелетных аномалий, описанных выше. Как правило, проводят обычное рентгенологическое исследование. На рентгене видны костные разрастания лобной области; пятнистый склероз наблюдается в своде черепа. Тела позвонков диспластические, но не склеротические. Подвздошные гребни резко расширены, и вход в таз деформирован. Эпифизы бедренной кости со стороны головки уплощены с расширением головок бедренных костей и дисплазией тазобедренного сустава (деформации бедра). Кости пальцев несформированы, имеют эрозию и сужение суставной щели.
Корректирующее хирургическое лечение показано при сильно уродующих деформациях, в том числе, тяжелой микрогнатии Микрогнатия (маленькая нижняя челюсть) При рождении челюсти могут отсутствовать, быть деформированными или не полностью развитыми. (См.также Введение в врожденные черепно-лицевые и скелетно-мышечные расстройства (Introduction to. Прочитайте дополнительные сведенияМетафизарная дисплазия (болезнь Пайла)
Это редкое аутосомно-рецессивное заболевание Аутосомно-рецессивные Генетические нарушения, вызванные изменениями в одном гене («Менделевские нарушения»), являются самыми простыми для анализа и наиболее хорошо поняты. Если экспрессия признака требует только. Прочитайте дополнительные сведения вызвано деффектами гена SFRP4. Его часто путают с краниометафизарной дисплазией Краниометафизарная дисплазия Краниотубулярные дисплазии включают минимальный остеосклероз с нормальным формированием скелета. Остеопетроз является наследственным заболеванием, характеризуется повышенной плотностью костной. Прочитайте дополнительные сведения . Пострадавшие люди являются клинически нормальными, за исключением наружного отклонения голени Варусное колено (О-образное искривление ног) и наружное отклонение голени(Х-образные ноги) Два основных типа коленных или бедренно-большеберцовых угловых деформаций – варусное колено (саблевидная нога) и наружное отклонение голени (вывернутые внутрь колени). При отсутствии лечения. Прочитайте дополнительные сведения и хрупкость костей.
Диагноз метафизарной дисплазии обычно ставят при проведении рентгенографии по несвязанным причинам. Рентгенологические изменения являются патогномоничными. Длинные кости недостаточно деформированы, и наружный слой кости, как правило, тонкий. Трубчатые кости ног имеют грубое расширение книзу, подобно колбе Эрленмейера, особенно в дистальной части бедренной кости. Кости малого таза и грудной клетки расширены. Тем не менее, череп, в основном, не затронут.
Лечение метафизарной остеодисплазии часто не является необходимым, но может включать методы ортодонтического лечения при дентальных пороках развития, или ортопедической хирургии для клинически значимых деформаций скелета.
Авторское право © 2022 Merck & Co., Inc., Rahway, NJ, США и ее аффилированные лица. Все права сохранены.
Дисплазия тазобедренного сустава
Дисплазия тазобедренного сустава— это не только деформация бедра, но и нарушения оссификации в детском возрасте. Таким образом данное заболевание относится к наиболее часто встречающимся патологиям костной системы новорожденных.
Сначала заболевание проходит безболезненно. Однако со временем боль усиливается, что может иметь серьёзные последствия: боль в паху, преждевременный износ (коксартроз), вывих головки бедра из суставной впадины. Запущенная стадия болезни может привести к ограниченной подвижности нижних конечностей.

При ходьбе, беге и прямой походке бедро подвергается большим нагрузкам. Костными фрагментами, покрытыми хрящевой поверхностью (синий), являются вертлужная впадина (Acetabulum) и головка бедренной кости (Caput femoris). Все движения в происходят поэтому без боли. Общая суставная капсула окружает эти элементы бедра и способствует его стабилизации.© Gelenk-Klinik
Что такое дисплазия тазобедренного сустава?
При дисплазии тазобедренного сустава наблюдаются повреждения суставной впадины (Acetabulum). Данный фрагмент бедра недостаточно покрывает сферическую головку бедренной кости, а бедренная кость в свою очередь непрочно закрепляется и не центрируется в суставе. При чрезмерных нагрузках существует вероятность вывиха.
В 60% случаев дисплазия появляется на левом бедре, а в 20% случаев данному заболеванию подвержен правый сустав. Согласно научным исследованиям, младенцы женского пола страдают данной патологией от 2 до 6 раз чаще, чем мальчики.
Симптомы дисплазии тазобедренного сустава
Симптомы дисплазии тазобедренного сустава у взрослых:
- боли в околопаховой области, зависящие от степени нагрузок
- боковая боль в бедре
- боли в ноге во время ходьбы и прямого положения тела
- нарушения походки (хромота, "шарканье") , в спине или в голеностопном суставе
Как дисплазия тазобедренного сустава может вызвать артроз?
Невовремя начатое лечение уже является причиной болей в паху и области бедра у подростков. Причиной этого является статическая перегрузка нестабильного, травмированного бедра всей массой тела. По этой же причине повреждается край вертлужной впадины и хрящевой слой.
В тяжёлых случаях пациенту требуется эндопротезирование уже в 40 лет.

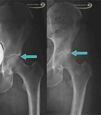
Слева: Рентген здорового бедра у взрослого. Стрелой отмечена суставная щель между крышей вертлужной впадины (Acetabulum) и головкой бедренной кости (Caput femoris). Справа: Рентген тазобедренного сустава, изменённого вследствие артроза, неравномерные высветления указывают на дегенеративные изменения. © Gelenk-Klinik
Долгие годы тазобедренный сустав компенсирует искривление так, что боль почти не чувствуется. Подвижность пострадавших может быть несколько ограничена, а завязывать шнурки с каждым годом становится все труднее. Несмотря на это может появиться и неспецифическая боль в лодыже или в колене, которая не имеет конкретной причины и часто не может быть вызвана чрезмерным давлением.

Слева: неправильное положение тазовых костей и следующее из этого сколиотическое положение позвоночника. Причиной может быть дисплазия. © Koterka Studio, Adobe Stock
Для специалистов Геленк Клиники дифференциальная диагностика различных сопутствующих заболеваний детской дисплазии является не простой задачей. Возможно, разная длина ног стала причиной неправильного положения тазовых костей, что негативно сказалось на статике всего тела.
Для того чтобы выровнять данную асимметрию, позвоночник принимает сколиотическое положение, что в свою очередь может привести к боли в спине, головным болям, а также неприятным ощущениям в области шеи и нижних конечностях. Кроме того, могут появиться болезненные ощущения в пятках и голеностопе.
Эндопротезирование при прогрессирующем артрозе

При поверхностном эндопротезировании McMinn эндопротез покрывает головку бедра, поражённую артрозом. Протез для замены поверхности сустава является более костесохраняющим и щадящим, чем тотальный эндопротез. © digitale-fotografien, Adobe Stock
На прогрессирующей стадии износа, спровоцированной артрозом и вслучае безуспешности консервативного лечения ортопеды Геленк Клиники в Германии обсуждают с пациентом необходимость эндопротезирования.
В зависимости от степени артроза пациенту предлагают частичное эндопротезирование, либо рассматривают вариант тотального эндопротезирования. Если вертлужная впадина не повреждена, но травмирована головка бедренной кости врачи прибегают к поверхностной замене. Вслучае деформации двух элементов имеет смысл операция по тотальному эндопротезированию.
Причины дисплазии тазобедренного сустава у взрослых и детей
На развитие дисплазии влияют генетические, механические и гормональные факторы. Также заболевание могут спровоцировать воздействия окружающей среды. Таким образом дисплазия бедра является мультифакториальным заболеванием.
Факторы риска врожденной дисплазии:
- нехватка места в матке
- ягодичное предлежание плода
- женский пол
- генетическая предрасположенность
- дополнительные неврологические либо мышечные заболевания, нарушения обмена веществ, хромосомные аномалии
У взрослых вывих бедра как тяжёлая форма дисплазии может быть вызван падением с большой высоты либо столкновением с движущимся впереди автомобилем. Из-за высокой энергии удара, может произойти частичный или полный вывих тазобедренного сустава.
Диагностика: как проходит обследование в Геленк Клинике?
Кроме УЗИ тазобедренного сустав по Графу, которое проводится для диагностики дисплазии у детей, в Геленк Клинике проводится ряд визуализационных обследований для взрослых и подростков.
Для подтверждения диагноза взрослых пациентов направляют на рентген таза. Для оценки результатов врачу необходимо ответить на следующие вопросы:
- Перекрывает ли вертлужная впадина головку бедра в нужном объёме?
- Каково положение головки бедренной кости?
Лечение дисплазии тазобедренного сустава
Боль в тазобедренном суставе у взрослых может возникнуть по разным причинам:
- деформация шейки бедра
- защемление сустава вследствие импинджмента бедра
- искривлённое положение вертлужной впадины
В лечении этого дефекта врач использует проверенные, коррекционные методики. Деформации вертлужной впадины и шейки бедра вызывают у пациентов сильную боль в паху, если при определённых движениях бедренная кость ударяется о крышу вертлужной впадины. Такую патологию в медицинских кругах называют бедренно-вертлужный импинджмент или синдром бедренно-вертлужного соударения. Цель лечения заключается в предотвращении износа тазобедренного сустава.
На начальной стадии артроза хирурги проводят тройную остеотомию таза по Тённису. При наличии других деформаций бедренной кости проводят комбинированное хирургическое лечение.
Как долго можно находиться на больничном после операции?

После операции физиотерапевты помогают пациенту ориентироваться в повседневной жизни. Они учатся обращаться с подлокотными костылями и подниматься по лестнице. © Gelenk-Klinik
Срок пребывания в Геленк Клиники большинства пациентов составляет от 10 до 12 дней.
Во время стационарного лечения физиотерапевты показывают какие упражнения для укрепления мышц разрешается выполнять уже на 2 день после операции. Через несколько дней упражнения с костылями и поднятие по лестнице подготавливает пациента к выписке.
В течение 6-ти недель после вмешательства не разрешается сгибать бедро более чем на 60 градусов. Таким образом в этот период запрещается сидеть. Начиная с 7 недели пациент может сгибать бедро на 90 градусов. Во время всех 12-ти недель после операции запрещены также какие-либо нагрузки на бедро. Лишь спустя 3-4 месяца можно возобновить офисную работу либо сидеть за компьютером.
Специалистом по лечению дисплазии тазобедренного сустава в Геленк Клинике является опытный хирург д-р Мартин Ринио. Доктор Ринио и весь коллектив Геленк Клиники ответят на все интересующие Вас вопросы и обеспечат Вам высококлассное лечение в Германии.
Читайте также:
