Ксеростомия: причины, симптомы и лечение
Добавил пользователь Евгений Кузнецов Обновлено: 18.12.2025
Гипофункция слюнных желез, которая проявляется недостатком слюны, может быть вызвана влиянием огромного количества факторов. Причины ксеростомии (ощущения сухости во рту), а следовательно и гипофункции слюнных желез, включают дыхание через рот, курение табака или марихуаны, кандидоз, менопаузу, старение, дегидратацию, диабет, радиотерапию и ряд других общесоматических нарушений (депрессию, стресс, аутоиммунную нейропатию, CREST-синдром, синдром эозинофильной миалгии, ВИЧ/СПИД, болезнь Лайма, лимфому, рассеянный склероз, болезнь Паркинсона, первичный биллиардный цирроз, первичная фибромиалгия, ревматоидный артрит, синдром Шегрена, волчанку, SOX-синдром, зоб, гиперлипидемию 5 типа). При этом для стимуляции слюноотделения часто могут использоваться совсем не обоснованные медицинские препараты. Жалобы на сухость в рту более часто отмечаются среди пожилых пациентов, приблизительно 80% больных с ксеростомией – это люди 80 лет и старше, у которых кроме сухости отмечаются признаки жжения и нарушения вкуса даже при приеме определенных назначенных препаратов.
Для того, чтобы определить причину гипофункции слюнных желез врачам приходиться прибегать к лабораторному анализу крови, а временами – и к биопсии слюнных желез, по результатам которой можно поставить диагноз синдрома Шегрена, амилоидоза, а также саркоидоза.

Клинические особенности, связанные со слюной
Гипофункция желез
Пациент с гипофункцией слюнных желез или с ощущениями сухости во рту характеризуется наличием еще целого ряда клинических признаков и симптомов. Последние включают нарушение чувствительности и функции речи, жжение в области языка и слизистой без причины, а также при контакте с определенными продуктами, кандидоз полости рта, признаки накусывания щек, хейлит, кариес, эрозии и абразии зубных тканей, дисфагия, застревание пищи между зубами, гингивит и пародонтит, галитоз, ГЭРБ, общая потеря веса. Подобные клинические симптомы начинают развиваться при уменьшении слюноотделения как минимум на 50%, и у пациентов могут отмечаться как отдельные симптомы поражения, так и комплексы таких симптомов.
При нарушении слюноотделения изменяются и параметры слюны. Она стает белой, пенистой, густой, липкой и волокнистой. Из-за этого пациент может ощущать наличие своеобразной слюнной пленки на зубах и на слизистой. Иногда больные жалуются на чрезмерно количество слюны о рту, что вызвано тем, что повышается ее плотность. В норме скорость слюноотделения достигает 2-3 мл на протяжении 5 минут, при ее увеличении до более, чем 1 мл на протяжении минуты, диагностируют сиалорею. У пациентов с признаками сухости во рту обычный уровень слюноотделения уменьшен приблизительно в да раза.
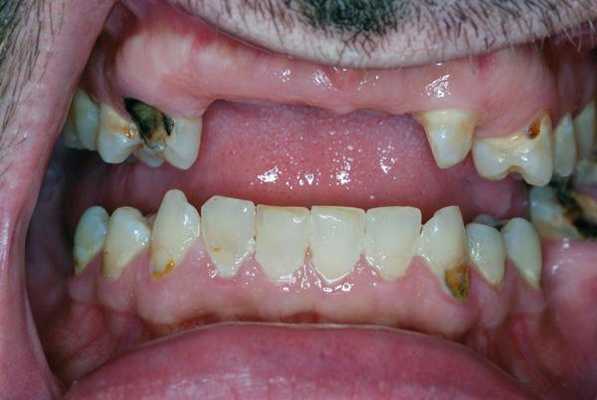
При уменьшенном слюноотделении слизистая оболочка полости рта становиться сухой и в ходе диагностике к ней могут прилипать перчатки, валики и даже стоматологические зеркала. На спине языка могут визуализироваться нитевидные сосочки и трещины, наличие которых позволяет поставить диагноз волосатого языка (фото 1). В пришеечных областях зуба часто визуализируются участки кариозного поражения (фото 2), небольшие эритематозные пятна диагностируются на слизистой щеки, где также могут присутствовать следы накусывания от зубов (фото 3). У пациентов также могут отмечаться признаки гингивита, рецессии и пародонтита (фото 4).
Фото 1. Белесоватые нитевидные сосочки у пациента с ксеростомией. Присутствует также запах из полости рта.

Фото 2. Кариозные и сопутствующие поражения у пациента с ксеростомией.

Фото 3. Следы накусывания щеки.

Фото 4. Признаки гингивита при выраженной гипофункции слюнных желез.

Опросник для диагностики ксеростомии разработан специально для оценки имеющихся нарушения с субъективной точки зрения. Он включает 11 утверждений («Я ощущаю сухость во рту», «У меня отмечаются сложности при приеме пищи», «Я просыпаюсь ночью, чтобы попить воды», «У меня присутствует ощущение сухости во рту, когда я кушаю», «Я пью воду, для того, чтобы облегчить глотание пищи», «У меня отмечаются трудности при глотании определенной пищи», «Кожа на лице кажется мне слишком сухой», «У меня присутствует ощущение сухости в глазах», «Мои губы кажутся мне сухими», «У меня отмечается ощущение сухости в полости носа»), которые пациенты оценивает с помощью 5 возможных вариантов: (1) Никогда, (2) Вряд ли когда-либо, (3) Иногда (4) Довольно часто или (5) Очень часто. Оценка 11 указывает на наличие умеренной формы ксеростомии, в то время, как оценка 55 - на наличие тяжелой формы ксеростомии. Если у пациента уже удалось диагностировать ксеростомию, врач может спросить и несколько дополнительных вопросов: Как Вам кажется, объем слюны в полости рта является достаточным для Вас? Не наблюдается ли у Вас ощущение сухости во время еды? Какие осложнения Вы испытываете при глотании? Пьёте ли Вы воду, чтобы облегчить глотание пищи? Как часто?
Объективная диагностика
У пациентов с легкой формой ксеростомии ощущений сухости в полости рта может не отмечаться вообще, но при этом у них могут наблюдаться и другие симптомы нарушения. В качестве одного из тестов для объективизации симптомов ксеростомии рекомендовано проводить оценку скорости слюноотделения хотя бы раз в год. При этом подобную оценку можно проводить как при стимуляции слюноотделения, так и без какой-либо стимуляции процесса. Для диагностики скорости слюноотделения врач используется трубку, делительную воронку, полоски для определения рН, полоски для проведения теста Ширмера на разрыв. Объем выделения слюны после стимуляции может определяться после того, как пациента на протяжении 1 минуты пожевал парафин. Эти данные можно сравнить с данными, полученными без стимуляции, а также данными после введения определенного препарата, стимулирующего слюноотделение.
Оценка слюноотделения также может проводиться посредством использования полосок Ширмера и рН-полосок до и после введения 5 мг пилокарпина. За два часа до исследования пациент должен ничего не есть, не пить, не пользоваться жевательной резинкой, и даже не чистить зубы. Диагностика нестимулированного слюноотделения проводиться в стоматологическом кресле при положении пациента в позиции кучера, положа руки на подлокотники. Пациент удерживает мерную воронку и трубку на губах, глаза при этом должны быть открыты, но мигать не запрещается. На протяжении 5 минут слюна должна просто стекать в колбу и трубку. После этого собранный объем слюны делиться на 5, таким образом позволяя установить скорость слюноотделения в минуту. Средние показатели в норме составляют 0,3-0,4 мл/минуту.
Таким образом, гипофункцию слюнных желез диагностируют при скорости потока слюны меньше 0,3 мл/мин. Когда же данный показатель меньше 0,1 мл/мин, то регистрируют тяжелую форму гипофункции слюнных желез. В норме рН слюны составляет 7-7,5, то есть оно является нейтральным или несколько щелочным. Низкая скорость слюноотделения провоцирует развитие эрозии зубов, раздражения слизистой и ощущение жжения. При нормализации скорости слюноотделения обычно нормализуются и показатели рН, и наоборот – при гипофункции слюнных желёз рН слюны стает более кислым.
Лечение
Слюна является сложной жидкостью, состоящей из ферментов, протеинов, минералов других компонентов, способствующих поддержке здорового состояния ротовой полости. Таким образом, нормализация слюноотделения – это составляющей аспект комплексного лечения стоматологических пациентов. Для пациентов, которые не могут контролировать стимуляцию слюны, применяют заменители слюны или ее аналоги в форме лубрикантов. Специфика лечения ксеростомии зависит от основного причинного заболевания. Цель подобной терапии состоит в том, чтобы купировать симптомы сухости в полости рта, и обеспечить профилактику сопутствующих осложнений в форме кариеса, кандидоза и других поражений. Кроме того, лечения ксеростомии также позволяет замедлить полную потерю функции слюнной железы, а иногда даже способствует ее восстановлению. По крайней мере, при аутоиммунных заболеваниях при помощи стимулянтов слюноотделения удается максимально долго поддерживать определенный уровень функции слюнных желез, а такой препарат как ритуксимаб даже способствует восстановлению структуры слюнных желез при синдроме Шегрена. Применение таких пищевых добавок как коэнзима Q10 по 100 мг в день в течение 1 месяца также способствует увеличению слюноотделения и снижает развитие симптомов сухости во рту. Лечения фармакологически-индуцированной ксеростомии проводиться так же, как и лечение других форм этого заболевания. Данная форма патологии, как правило, является обратимой, однако стоматолог должен учитывать, каким именно препаратом она была вызвана, и какое участие он принимает в лечение общесоматической патологии. Контроль основного симптома сухости во рту может проводиться посредством пилокарпина или цевимелина, а также других препаратов в зависимости от настоящего состояния патологии. Будущее в лечении ксеростомии очевидно связано с генной инженерией, использованием стволовых клеток и инженерией тканей, однако принципы терапии остаются теми же: нормализация, оптимизации слюноотделения, обеспечения адекватной гидратации полости рта и формирование условий для смазывания всех структур ротовой полости.
Нормализация/оптимизация скорости слюноотделения
В идеале лечение гипофункции слюнных желез предусматривает восстановление их функции и физиологической скорости и объема слюноотделения. Одним из вариантов лечения является стимуляция выделения слюны за счет приема соответствующих препаратов. Последние позволяют увеличить исходный уровень слюноотделения, таким образом также снижения риск развития последующих осложнений (кариеса и кандидоза). Улучшение скорости слюноотделения может быть достигнуто за счет приема пилокарпина от 5 до 7,5 мг в форме таблеток три-четыре раза в день или капсулы по 30-60 мг три раза в день. Пилокарпин и цевимелин являются стимуляторами выделения слюны, которые FDA предписывает для коррекции симптомов сухости во рту. По своей природе они являются мускариновыми агонистами. Они увеличивают поток слюны и уменьшают ощущение сухости в полости рта. Наиболее распространенными побочными эффектами при приеме данных препаратов остаются потоотделение, частое мочеиспускание и желудочно-кишечный дискомфорт. Эти препараты нельзя принимать при неконтролируемой астме, узкоугольной глаукоме и остром ирите. Также их следует назначать с осторожностью пациентам с тяжелыми формами сердечно-сосудистых нарушений, болезни Паркинсона, астмы или хронической обструктивной болезни легких.
Поликарпин и цевимелин являются холинергическими агонистами, которые стимулируют рецепторы мускаринового типа в структуре слюнных желез и, в некоторой степени, и в структуре других экзокринных желез. Пилокарпин обычно начинает действовать через 20-30 минут, продолжительность действия составляет от 3 до 5 часов, и остаточный эффект у этого препарата отсутствует. Прием пилокарпина за 20-30 минут до еды со стаканом воды позволяет достичь оптимального уровня слюноотделения уже на момент приема пищи, облегчает процессы жевания и глотания. Прием препарата перед сном позволит купировать симптомы у тех пациентов, которых сухость во рту тревожит наиболее сильно в ночное время. Цевимелин начинает действовать через 30-90 минут и обеспечивает эффект на протяжении 6-8 часов. У данного препарата, в отличие от пилокарпина, отмечается остаточный эффект, и со временем у пациентов отмечается более высокая скорость слюноотделения. Пациенты также могут отмечать более частое глотание после начала приема препарата для стимуляции слюноотделения. Дело в том, что частота глотания уменьшается при гипофункции слюнных желез, и снова нормализуется в ходе лечения ксеростомии.
В норме пациент глотает до 2000 раз в день. Если у пациента нельзя добиться восстановления скорости или необходимого объема слюноотделения, ему могут назначать прием искусственной слюны. Таковыми препаратами являются Caphosol (EUSA Pharma), NeutraSal (OraPharma) и SalivaMAX (Forward Science); Aquoral (Mission Pharmacal). Они позволяют купировать сухость во рту при определенных заболеваниях, воспалениях, приеме медицинских препаратов, химио- и радиотерапии, стрессе, и старении. Aquoral кроме купирования ксеростомии, также позволяет решить трудности с глотанием, речью и изменениями вкуса.
Гидратация
Дегидратация полости рта связана с уменьшенным уровнем слюноотделения, последний же может быть связан с общей дегидратацией всего организма. Потеря около 8% воды организма человека, что составляет около 4 литров жидкости, провоцирует развитие почти полного отсутствия слюноотделения. Даже после регидратации функция слюнных желез восстанавливается только через 24 часа. В данный период слюну можно заместить за счет питья 64-80 унций напитков, не содержащих ни алкоголя, ни кофе. Необходимый для приема объем жидкости также можно определить путем разделения веса пациента (в фунтах) на два, полученный результат – число количества унций жидкости, которое нужно пить ежедневно.
Смазывание полости рта
Поскольку препараты, стимулирующие слюноотделение, не восстанавливают физиологическую функцию слюны, иногда пациенты считают нужным использовать дополнительные лубриканты для купирования ощущения дискомфорта во время речи или глотания. Препараты такого типа включают ACT Dry (Chattem Inc.), Allday Dry Mouth Spray (Elevate Oral Care), Biotene Oralblance (GlaxoSmithKline), Entertainer Secret Throat Relief (KLI Corp.), MedActive Oral Relief (MedActive Oral Pharmaceuticals, LLC), MighTeaFlow (Camellix), MI Paste (GC America), Moi-Stir Mouth Moistening Spray (Kingswood Labs, Inc.), Mouthe Kote (Parnell), Oasis (Gebauer Consumer Healthcare), Orajel (Church and Dwight, Inc.), Salese (Nuvora Inc.), Salivart Synthetic Salica (Gebauer Consumer Healthcare), SalivaSure Saliva Substiture Tablets (Scandinavian Pure and Naturals), Spry Rain mouth spray (Xlear, Inc.), Stoppers4 Dry Mouth Spray (Woodridge Labs), Xerostom products (Practicon). Пациентам можно предложить попробовать новые продукты, чтобы найти те, которые лучше всего подходят для них. Ополаскивание ротовой полости соленой водой или соленой водой (1/2 чайной ложки) и бикарбонатом натрия (1/2 чайной ложки), разведенной в 8 унциях воды, способствует очищению рта, нейтрализации кислот и удалению зубного налета. Капля минерального масла или глицерина, помещенных на язык, может полностью распространиться по слизистой полости рта и улучшить уровень комфорта пациента. Рекомендации по уходу за ротовой полостью также предполагают прием большого количества воды, чистку зубов как минимум два раза в день, использование жевательных резинок без сахара, регулярные визиты к стоматологу, отказ от курения, приема кофеина или алкоголя.
Стимуляция слюноотделения- электростимуляция
Поведенческие изменения
Рекомендации стоматолога относительно лечения ксеростомии могут предусматривать необходимость изменения определенных аспектов поведения человека. Последние включают более частое питье воды, использование различных фторид-содержащих препаратов местного действия, а также разных ополаскивателей, отказ от сахарсодержащих жевательных резинок, применение слюнозамещающих гелей-лубрикантов, спреев, увлажнителей. Эти продукты могут использоваться так часто, как это необходимо, поскольку они не реагируют с лекарственными средствами, отпускаемыми по рецепту, и, как правило, не имеют побочных эффектов, если пациент, конечно, не чувствителен к какому-то определенному ингредиенту. Исследования показали, что пациенты предпочитают использовать препараты для стимулирования слюны, а не ее заместители. Кроме того, стоматологи могут порекомендовать пациенту с сухостью полости рта ополаскивания соленой водой, прием ледяных чипсов, и частое глотание мелких порций жидкости.
Кроме того, жевание также стимулирует поток слюны, поэтому употребление определенных продуктов ежедневно, таких как сырая морковь, может помочь в решении проблемы ксеростомии. Следует избегать сигарет, алкоголя, кофеина и пряных, соленых или кислотных продуктов, а также рафинированных углеводов (сахар) в своём рационе при наличии симптомов сухости полости рта. Пациентам с ксеростомией следует обеспечить тщательный уход за полостью рта посредством частой чистки зубов, использования зубной нити, зубных паст и гелей, содержащих фтор. Для отдельных пациентов с повышенным риском развития кариеса можно изготовить каппы для ночных процедур фторирования. Увлажняющие гели также могут быть использованы один или два раза на протяжении часа после сна, чтобы снизить уровень дискомфорта после каппы.
Выводы
Пациенты с ксеростомией или гипофункцией слюнных желез могут быть диагностированы, исходя из наличия определенных клинических симптомов и результатов, полученных в ходе объективной диагностики уровня и состояния слюноотделения. Текущие варианты лечения ксеростомии включают прием определенных препаратов для купирования симптомов и профилактики потенциальных осложнений. Подобные препараты включат стимуляторы слюноотделения, искусственную слюну, лубриканты, ополаскиватели, спреи и гели. Стимуляция слюноотделения также может быть обеспечена за счет электрической стимуляции. Такие виды лечения, как генная терапия, терапия стволовыми клетками или тканевая инженерия, в будущем могут стать основными для коррекции дисфункции слюнных желез.
Ксеростомия
Ксеростомия – недостаточное слюноотделение, сопровождающееся повышенной сухостью слизистой оболочки полости рта. Проявляется ощущением сухости во рту и горле, жжением языка, затруднением жевания, глотания, речи, нарушением вкуса и ощущением металлического привкуса во рту. Часто бывает проявлением основного заболевания (сахарного диабета, болезни Паркинсона, ВИЧ и др.), побочным действием лекарств, лучевой или химиотерапии. Излечение от ксеростомии зависит от возможности устранения причины ее возникновения. Симптоматическая терапия включает назначение галантамина, калия йодида, пилокарпина, новокаиновых блокад и физиотерапевтических процедур на область слюнных желез.

Общие сведения
Ксеростомия – это симптом сухости во рту, который появляется при уменьшении саливации, либо при полном прекращении слюноотделения. Ксеростомия не является самостоятельным заболеванием, но при наличии постоянной сухости во рту необходимо пройти комплексное обследование для выявления патологических состояний, которые и вызвали симптомы ксеростомии.
Причины ксеростомий
Слюна является смазывающим веществом, которое облегчает процесс жевания и глотания, кроме этого она смывает бактерии с зубов и обладает противовоспалительным действием. Вещества, содержащиеся в слюне, реминерализуют эмаль и нейтрализуют действие кислот и щелочей, которые поступают с пищей.
Чаще всего ксеростомии являются побочным действием лекарственных препаратов. Люди старческого возраста более подвержены явлениям постоянной сухости во рту из-за принятия большого количества препаратов разных фармакологических групп. Сочетанное действие препаратов увеличивает вероятность побочных эффектов и делает их проявления более выраженными.

Симптомы ксеростомии могут проявляться при сахарном диабете, железодефицитных анемиях и гипертонической болезни. Кистозный фиброз, ревматоидный артрит и ВИЧ-инфекция часто сопровождаются ксеростомиями. При синдроме Шейна аутоиммунные нарушения вызывают дистрофию слюнных и слезных желез, что проявляется сухостью слизистой рта, ксеростомией и гипофункцией слезных желез. Паротит и другие вирусные инфекции, затрагивающие слюнные железы, систему иннервации и кровоснабжения, влияют на производство слюны и вызывают симптомы ксеростомии.
Кратковременные ксеростомии вызывают любые состояния обезвоживания организма. Это лихорадочные состояния, потеря жидкости из-за рвоты и диареи, потеря крови, ожоговая болезнь и ограниченное поступление жидкости в организм. Во время лучевой терапии и некоторое время после отмены лечения наблюдается симптом ксеростомии. Особенно ярко ксеростомии выражены при лучевой терапии онкологических заболеваний головы и шеи.
При хирургическом удалении слюнных желез ксеростомия приобретает постоянный характер и единственным вариантом коррекции является использование увлажняющих полость рта средств. Нарушения центрального механизма слюноотделения по типу неврогенных ксеростомий часто наблюдаются при спинной сухотке, ушибах головного мозга и при токсико-инфекционных поражениях центральной нервной системы. Старческие атрофии слюнных желез, сиалоаденит, болезнь Микулича являются факторами риска. При этих состояниях вероятность развития ксеростомий повышается.
Временные ксеростомии могут развиваться и при отсутствии патологий, например при нарушениях носового дыхания, к которым могут привести полипы носа, искривление носовой перегородки. У пожилых людей из-за слабости мышц, поднимающих нижнюю челюсть, ксеростомия возникает от того, во время ночного сна рот постоянно открыт. Необоснованные и частые полоскания рта, особенно агрессивными дезинфицирующими средствами приводят к атрофии слюнных желез и к появлению симптомов ксеростомии.
Клинические проявления ксеростомий

Ксеростомии характеризуются сухостью во рту. Так как саливация снижается, увеличивается вероятность нагноений. При ксеростомиях повышается риск инфекционных заболеваний мягких тканей полости рта, в том числе и грибкового характера. При нарастании сухости во рту ксеростомии проявляются извращениями вкуса и снижением вкусовых ощущений.
Степень проявления ксеростомий определяется выраженностью признаков. Так, в начальных стадиях ксеростомии околоушная и подчелюстная слюнные железы выделяют количество слюны в пределах нормы, поэтому отмечается состояние компенсации слюноотделения. На этом этапе заболевания сухость во рту появляется только после продолжительных разговоров и переутомления. При осмотре слизистая оболочка полости рта влажная, слюна немного пенистая.
Далее начинается период частичной декомпенсации. Признаки ксеростомии становятся более выраженными, что проявляется постоянной сухостью во рту, затрудняется речь и прием пищи. Пациенты уже на этом этапе ощущают сухость во рту во время еды, поэтому запивают сухую пищу водой. Слизистая оболочка полости рта увлажнена слабо, имеет бледно-розовый оттенок и блестит.
III степень ксеростомии характеризуется полным угнетением функций слюнных желез. Пациенты предъявляют жалобы на резкую сухость во рту, болезненность во время разговора и принятия пищи. Присоединяются глосситы, стоматиты; из-за сухости слизистой полость рта покрыта язвами и эрозиями. Губы тоже сухие и шелушащиеся, иногда покрыты корками. Если причиной ксеростомий является дисфункция слюнных желез, то часто кроме сухости во рту отмечается множественный кариес.
Помимо основных проявлений при ксеростомиях может наблюдаться жажда, проблемы с глотанием пищи и зловонное дыхание. Пациенты часто болеют ангиной, а в период выздоровления хрипота и боль в горле причиняют дискомфорт и являются основной причиной проблем с речью. У пациентов с ксеростомиями язык приобретает ярко-красный цвет, имеются заеды и трещинки в уголках рта, которые часто инфицируются. В стадии частичной компенсации и в стадии декомпенсации появляется сухость в носовых проходах, присоединяется кариозная болезнь, возможны патологии периодонта. Если пациенты носят съемные протезы, то возникают трудности с их эксплуатацией и частые травмы слизистой рта.
Диагностика и лечение ксеростомий
Диагностика ксеростомий включает подробный опрос пациента с целью выяснения, какие препараты он принимал, в том числе и без рецепта врача. Дополнительно проводят УЗИ слюнных желез и сиалографию.
Симптоматическая терапия при ксеростомиях значительно облегчает состояние пациента, но после прекращения лечения проявления ксеростомий появляются вновь. Поэтому стоматологу важно установить основную причину данного симптома. Ксеростомии, возникшие вследствие приема лекарственных веществ, обезвоживаний быстро поддаются коррекции. Тогда как ксеростомии после лучевой терапии практически невозможно устранить, так как излучение может снизить способность слюнных желез производить слюну.
Патогенетическая терапия ксеростомий направлена на устранение причин возникновения сухости во рту. Для улучшения состояния назначают растворы калия йодида, пилокарпина и галантамина. Смазывание полости рта раствором витамина А способствует как снижению симптомов сухости, так и заживлению ранок и микротрещин. Новокаиновые блокады в области околоушной и подчелюстной слюнных желез и физиотерапевтические процедуры, такие как гальванотерапия слюнных желез, электрофорез с йодистым калием и вибромассаж, способны улучшить состояние пациента даже с ксеростомиями в стадии декомпенсации.
Чтобы полость рта всегда была увлажненной, рекомендовано часто мелкими порциями пить воду. Негазированная минеральная или питьевая вода, если пить ее в течение дня и во время ночных пробуждений является симптоматическим средством, однако значительно улучшает состояние слизистой оболочки рта. Твердые леденцы без сахара способствуют улучшению работы слюнных желез и увеличению общего объема слюны. Обычно пациенты с ксеростомиями жуют жевательные резинки, это способствует увеличению слюноотделения, но следует порекомендовать жевательные резинки без содержания сахара, чтобы уменьшить вероятность возникновения кариеса.
При ксеростомиях необходимо избегать употреблении в пищу соленых и сухих продуктов, а так же продуктов и напитков с содержанием кофеина и высоким содержанием сахара. Алкогольные напитки и содержащие алкоголь жидкости для полоскания полости рта сушат слизистую и вызывают гипосаливацию. Пациентам с ксеростомиями рекомендовано отказаться от курения, использовать увлажняющие полость рта средства и зубные щетки с мягкой щетиной, чтобы не травмировать истонченную и сухую слизистую рта.
После успешного устранения симптомов ксеростомии, необходимо избегать рецидивов. Это достигается за счет рационального медикаментозного лечения заболеваний, необходимо использовать те препараты, которые не влияют на работу слюнных желез. Прогноз при ксеростомиях определяется характером основного заболевания и степенью нарушений функций слюнных желез. Но во всех случаях, кроме полной атрофии слюнных желез, можно добиться значительного улучшения состояния или полного излечения.
Сухость во рту
Сухость во рту (ксеростомия) — это субъективно неприятные ощущения пересыхания слизистой, затрудненного приема пищи, нарушений речи, вызванные недостаточным выделением слюны. Симптом возникает при поражениях слюнных желез, эндокринных и обменных нарушениях, патологии со стороны дыхательной, пищеварительной и мочевыделительной систем. Для установления степени ксеростомии и выяснения причин проводят сиалометрию, сиалографию, УЗИ. Для облегчения неприятных симптомов рекомендовано использовать увлажняющие жидкости для полости рта, холинергические препараты.
Общая характеристика
При недостаточной саливации ощущается постоянная сухость слизистой оболочки, жжение и дискомфорт (синдром «горящего рта»), затруднения речи. Больному становится трудно пережевывать и проглатывать твердую пищу. Некоторые пациенты постоянно пьют воду или используют специальные составы для поддержания влажности эпителия. При осмотре ротовой полости отмечается небольшое количество вязкой слюны, потеря блеска и сухость слизистой, выявляются поверхностные дефекты эпителия.
Слюна обладает трофическими и защитными свойствами для зубной эмали, поэтому при ксеростомии зубы поражаются кариесом. Отсутствие лизоцима и нуклеазы обуславливает снижение первичной иммунной защиты, что приводит к кандидозу, проявляющемуся белым налетом на эпителиальной оболочке. Наблюдается сухость и трещины губ, зачастую формируется ангулярный хейлит — длительно незаживающие «заеды» в уголках рта. Пожилые пациенты могут жаловаться на постоянное травмирование слизистой при ношении протезов.
Классификация
Возможна физиологическая сухость во рту, вызванная естественными причинами, и патологическая. С учетом механизма развития выделяют неврогенную ксеростомию, которая обусловлена нарушением центральной регуляции слюноотделения, и медикаментозную, спровоцированную длительным приемом гипотензивных средств, атропина. В диагностическом плане наиболее ценной является классификация по тяжести течения, основанная на субъективных жалобах пациентов и объективных признаках. Исходя из этого, различают три степени выраженности симптома:
- Iстепень — компенсированная. Секреция слюны в пределах нормы: 1-5 мл для околоушной и 0,9-6,8 мл для подчелюстной слюнной железы. Пациенты отмечают сухость после длительного разговора. Сиалография выявляет усиленное накопление контраста в железах.
- IIстепень — частичная декомпенсация. Характерно появление симптоматики в виде пересыхания полости рта при разговорах, необходимости запивать водой сухую пищу. Слизистая оболочка умеренно увлажнена, сохраняет физиологический блеск.
- IIIстепень — декомпенсация. Секреторная функция слюнных желез значительно снижена или отсутствует. Наблюдаются боли во время еды и разговора, жжение губ и языка. Слизистая оболочка сухая, покрыта эрозиями. Обнаруживается кариес, стоматит, глоссит.
Причины сухости во рту
К субъективно ощущаемому пересыханию эпителия приводят как некоторые физиологические факторы, так и различные патологические состояния. Естественными причинами сухости рта становятся употребление солений, селедки, другой пищи, содержащей много соли. Пересыхание слизистых отмечается при недостаточной влажности в помещении. Различная по интенсивности сухость рта, связанная с симпатическим выбросом, возможна при конфликтах, ссорах, испуге, хроническом стрессе.
Сиалоаденит
Наиболее частой причиной выраженной ксеростомии считается воспаление слюнных желез. Патологический процесс сначала является односторонним, через несколько дней воспаление переходит на противоположную сторону. Пациенты жалуются на припухлость в области слюнных желез, повышение температуры тела, болезненное открывание рта. Прием пищи затруднен из-за болей и сухости эпителия, которая обусловлена прекращением выделения секрета из пораженной железы. Хронический сиалоаденит характеризуется умеренными болями, нормальными размерами слюнной железы.
Другие болезни слюнных желез
Жалобы на пересыхание рта предъявляют пациенты с эпидемическим паротитом — вирусной инфекцией, поражающей преимущественно околоушные слюнные железы у детей, реже — подчелюстные и подъязычные. Симптом сочетается с общей интоксикацией, болезненностью и припухлостью желез с обеих сторон, деформирующей контуры лица больного. Выраженная ксеростомия с высокой температурой, отечностью, гиперемией в зоне воспаления, служат симптомами абсцесса слюнной железы, осложняющего течение сиалоаденита, сиалолитиаза.

Болезнь Шегрена
Сухость слизистой ротовой полости на фоне недостаточной секреции слезной жидкости, жжения в глазах, пересыхания и шелушения кожи типична для аутоиммунного поражения желез при болезни Шегрена. Нормальному выделению слюны препятствует инфильтрация протоков лимфоцитами и плазматическими клетками, аутоиммунная реакция с образованием антител к железистому эпителию. Околоушные железы обычно симметрично увеличиваются в размерах, при осмотре рта выявляются ярко-розовое покраснение слизистой, контактная кровоточивость, складчатость языка, множественный кариес.
Заболевания полости рта и носоглотки
Близкое расположение всех анатомических структур, общая иннервация и кровоснабжение обуславливают нарушения работы слюнных желез при поражении различных органов ротоглотки и носоглотки. Сухость эпителия наблюдается при воспалительных процессах, некоторых редких патологических состояниях — глоссалгии, околоушном свище, гальванозе. Распространенными причинами ксеростомии являются:
- Стоматит. При воспалительном процессе в ротовой полости сухость сочетается с болезненностью при еде, неприятным запахом изо рта, кровоточивостью. Катаральная форма характеризуется покраснением и отечностью, при афтозном варианте образуются пузырьки и эрозии. При аллергическом стоматите определяется гиперемия, язвы, эрозии. У пожилых людей возможен протезный стоматит.
- Кандидоз. При поражении эпителиоцитов грибами рода кандида на языке и слизистой щек появляется белый налет, беспокоит чувство жжения, выраженная сухость во рту. Типичны трещины на губах. Заболевание следует отличать от волосатой лейкоплакии, которая имеет сходную клиническую картину, но поражает больных с иммунодефицитами при попадании вируса.
- Гипертрофический ринит. При утолщении эпителиального слоя носоглотки и частичном перекрытии дыхательных путей пациенты дышат преимущественно через рот, особенно в ночное время. Это приводит к выраженной сухости, которая достигает максимальной интенсивности по утрам. Похожий механизм развития ксеростомии отмечается при раке носоглотки.
Инфекционные болезни
Появление сухости во рту характерно для кишечных инфекций, особенно сопровождающихся водянистым поносом и приводящих к выраженному обезвоживанию. Ксеростомия патогномонична для холеры, гастроинтестинальной формы сальмонеллеза. Возможно выявление симптома в лихорадочном периоде других инфекционных патологий — бруцеллеза, орнитоза, крымской лихорадки. Слизистая оболочка ротовой полости пересыхает в полиурическую стадию геморрагической лихорадки с почечным синдромом, что обусловлено дегидратацией вследствие выделения до 5 л мочи в сутки.
Сахарный диабет (СД)
Ксеростомия с жаждой и полиурией служит специфическим симптомом СД. У пациентов с первым типом диабета предрасполагающими факторами к сухости во рту становятся микроангиопатии и повышенный уровень глюкозы в крови. У пожилых больных с инсулинзависимым диабетом симптом считается проявлением диабетической полинейропатии. Помимо сухости рта пациента беспокоит постоянная слабость, кожный зуд, высыпания, гнойнички, грибковые поражения кожи. Аналогичные симптомы возникают при стероидном диабете.
Неврологическая дисфункция
Предпосылками сухости центрального генеза считаются дискоординация работы нервной системы, нарушение связей между высшими корковыми структурами и вегетативными ядрами продолговатого мозга. Симптом наблюдается у больных с неврозами, паническими атаками, органическим тревожным расстройством. Пересыхание слизистой рта характерно для периферической вегетативной недостаточности, полинейропатии беременных. Ксеростомия развивается при синдроме Ламберта-Итона — аутоиммунном заболевании, которое поражает пресинаптические мембраны нейронов.
Гастроэнтерологические болезни
Сухость слизистой рта — частый признак поражения поджелудочной железы. При фиброзе органа она вызвана вторичным диабетом, при панкреатите и расщепленной поджелудочной железе — нарушениями пищеварения. Симптом выявляется при хроническом гастрите и сочетается с болями в эпигастрии, неустойчивостью стула, тошнотой и рвотой. Сухость, которая сопровождается болями в правом подреберье, чувством горечи во рту, тошнотой, часто становится признаком гепатита.
Урологическая патология
При болезнях мочевыделительной системы сухость ротовой полости, как правило, обусловлена двумя механизмами: обезвоживанием вследствие полиурии и накоплением токсических белковых соединений в кровотоке. При почечной колике, вызванной обтурацией мочеточника или чашечно-лоханочной системы, ситуация усугубляется болевым синдромом с выраженной симпатоадреналовой реакцией. При этом состоянии кроме сухости рта беспокоят нестерпимые боли в пояснице, тошнота и рвота, мучительные тенезмы.
Зачастую ксеростомию провоцируют нефросклероз, поликистоз, другие тяжелые заболевания почек с нарастающей хронической почечной недостаточностью. Сочетание сухости с отеками, болями в пояснице характерно для нефритического синдрома различной этиологии. Лекарственная нефропатия часто сопровождается медикаментозной ксеростомией. Ощущение пересыхания во рту типично для паранеопластической нефропатии, протекающей с выраженными обменными и иммунологическими нарушениями.
Интоксикации
Ксеростомия при экзогенных отравлениях и эндотоксемии спровоцирована нарушением работы всех систем организма, дискоординацией нервной и гуморальной регуляции процессов секреции слюны. При литейной лихорадке и других отравлениях с вдыханием агрессивных веществ ситуация усугубляется прямым повреждающим действием паров на слизистую рта. Предпосылками к сухости слизистого слоя являются:
- Вредные привычки. Ксеростомия наблюдается при похмельном синдроме, что обусловлено выраженной интоксикацией организма. Симптом также типичен для никотиновой зависимости, при которой его вызывает постоянное раздражение эпителия сигаретными смолами. Сухость полости рта в сочетании с судорогами, гипертермией может служить признаком отравления суррогатами алкоголя.
- Злоупотребление катиноном. Злоупотребление норэпинефрином провоцирует повышение активности симпатического отдела автономной нервной системы, что проявляется расширением зрачков, сухостью слизистых оболочек, психомоторным возбуждением. Со временем эйфорические эффекты от приема наркотического вещества снижаются, нарастает энцефалопатия.
При раковой кахексии ксеростомия возникает вследствие грубых нарушений работы организма, вызванных эндогенной интоксикацией продуктами метаболизма опухоли и распадающимися раковыми клетками. Состояние сопровождается диспепсическими расстройствами, истощением, тяжелой анемией, изменениями эмоционального и психического статуса, бессонницей. Сухость рта беспокоит больных с массивной интоксикацией организма продуктами распада тканей при гангрене.
Обменные и эндокринные нарушения
Выделение слюны имеет не только нервную, но и гуморальную регуляцию. Различные отклонения от нормальных уровней гормонов и биологически активных веществ вызывают нарушения деятельности всех органов, в том числе слюнных желез. Появление сухости слизистой рта бывает связано с вторичными потерями жидкости, которые развиваются при нарушениях водно-солевого обмена и гомеостаза. Ксеростомию потенцируют такие эндокринные расстройства, как:
- Альгодисменорея. Болезненные менструации могут наблюдаться в разном возрасте, но чаще всего дисменорея диагностируется у подростков в период становления половой функции. Жалобы на сухость в полости рта обусловлены усиленным влиянием простагландинов на уровень саливации. При альгодисменорее боли сопровождаются диспепсическими расстройствами, астенией.
- Гиперкальциемический криз. Ксеростомия при этом расстройстве связана с обезвоживанием организма на фоне полиурии, многократной рвоты и диареи. Повышение уровня кальция проявляется спазмами в животе, мышечной слабостью, сильной жаждой. Подобная симптоматика возникает при синдроме Бернетта — дисметаболической патологии с гиперкальциемией и метаболическим алкалозом.
- Гиповитаминоз. Сочетание ангулярного хейлита и сухости губ, полости рта типично для недостаточности пиридоксина (витамина В6). Для гиповитаминоза специфично изменение внешнего вида языка — он становится ярко-красным с блестящей «лаковой» поверхностью вследствие атрофических процессов в эпителиальном слое.
- Феохромоцитома. При опухоли мозгового вещества надпочечников сухость рта вызвана усилением эндокринной функции со значительным повышением уровня адреналина и норадреналина в крови. Эти вещества усиливают активность симпатической нервной системы, которая тормозит секрецию слюнных, желудочных и кишечных желез.
Острые и неотложные состояния
Ксеростомия при критических состояниях обусловлена несколькими механизмами: выраженной дегидратацией, нарушениями нейрогуморальной регуляции, рефлекторными реакциями при чрезмерном раздражении болевых рецепторов. Для этих патологий типично тяжелое и крайне тяжелое состояние пациента, дисрегуляция основных жизненных функций. Больному требуется неотложная медицинская помощь. Сухость во рту провоцируют:
- Кровотечения. Сухости ротовой слизистой при кровопотере способствует значительная дегидратация организма. Ведущими признаками являются бледность кожи, тахикардия, падение АД. Симптом развивается как при внутренних кровотечениях, так и вследствие наружной кровопотери. Опасны для жизни разрывы аневризм почечных и других артерий, приводящие к коллапсу.
- Синдром "острого живота". Ксеростомия считается одним из проявлений катарального аппендицита, других хирургических состояний — акушерского перитонита, желчного перитонита, мезаденита. Признак патогномоничен для начальной фазы паралитической кишечной непроходимости. Сухость во рту сочетается с сильными болями в животе, симптомами раздражения брюшины.
- Сердечно-сосудистая патология. Появление ксеростомии связано с вегетативными реакциями на сильные боли в области сердца или выраженные гемодинамические нарушения. Пересыхание во рту наблюдается при гипертоническом кризе, стенокардии напряжения. Симптом сопровождается головными болями, нечеткостью зрения, нарушениями сознания.
- Травматический шок. Симптоматика при массивных повреждениях мягких тканей и переломах костей объясняется грубыми изменениями вегетативных реакций, коллаптоидным состоянием из-за сильного болевого синдрома. Выражена бледность кожи и слизистых, ксеростомия, холодный пот. Возможны нарушения сознания, заторможенность.
- Обморок. Для постсинкопального периода обморока характерны сухость рта и гипергидроз, вызванные дисфункцией вегетативной нервной системы. Аналогичный механизм возникновения симптома отмечается после солнечного удара. В этом случае кроме пересыхания рта наблюдаются интенсивные головные боли, мелькание «мушек» перед глазами, учащение дыхания.
Обследование
Пациенты с жалобами на сухость во рту обычно обращаются к стоматологу, а затем могут направляться к другим специалистам для уточнения диагноза. Диагностический поиск предполагает назначение лабораторных и инструментальных методов, направленных на уточнение состояния и функции слюнных желез, выяснение изначальной причины появления симптома. Наиболее информативными являются:
- Сиалометрия. Измерение количества и скорости выделения слюны из околоушной слюнной железы в ответ на стимуляцию проводится для определения степени тяжести ксеростомии. Метод может использоваться для контроля качества лечения пациентов.
- Сиалография. Рентгенологическое исследование выводящих протоков и тела железы применяется для выявления структурных нарушений, механических препятствий выделению слюны. Контрастная рентгенография позволяет обнаружить кисты, абсцессы, опухоли.
- Ультразвуковое исследование. УЗИ слюнных желез выполняется для быстрой неинвазивной диагностики их состояния. Сонография помогает обнаружить неспецифические признаки воспалительных процессов и объемных образований, морфологические изменения.
- Получение биоптата. Биопсия слюнных желез назначается при неясной этиологии сухости слизистой, когда необходимо исключить аутоиммунные заболевания или амилоидоз. Чаще всего забор материала осуществляют из малых слюнных желез нижней губы.
- Другие инструментальные методы. План дальнейшего обследования определяют, исходя из жалоб пациента и объективного статуса. По показаниям рекомендуют риноскопию, фарингоскопию, для оценки состояния органов брюшной полости используют УЗИ, рентгенографию.

Симптоматическая терапия
Сухость во рту физиологического генеза проходит самостоятельно при коррекции рациона, прекращении стрессовых воздействий. В остальных случаях для облегчения состояния и улучшения качества жизни применяют растворы для увлажнения слизистой, холинергические средства. Желательно пользоваться увлажнителем воздуха, особенно в отопительный сезон. Для предотвращения вторичных поражений ротовой полости необходимо соблюдать гигиену, использовать ирригаторы и зубную нить. Для установления причины ксеростомии и назначения лечения важно обратиться к специалисту.
1. Механизмы патологических и приспособительных процессов при заболеваниях слюнных желез: экспериментальное исследование. Автореферат диссертации/ Денисов А.Б. - 1995.
2. Роль слюны в физиологии и развитии патологического процесса в твердых и мягких тканях полости рта. Ксеростомия. Методическое пособие/ Пожарицкая М.М. - 2001.
4. Клинические проявления в полости рта при ксеростомии различной этиологии/ Дергачева Е.И., Ронь Г.И.// Уральский медицинский журнал – 2014 - №5.
Ксеростомия у пациентов пожилого возраста: причины, клиника, методы лечения
Слюна по своей структуре является сложнокомпонентной жидкостью, играющей важную роль в поддержке адекватного уровня стоматологического и общесоматического здоровья. В основном она состоит из воды, и, в меньшей мере, из множества неорганических и органических веществ, таких как ферменты, гормоны, антитела, противомикробные компоненты и факторы роста. Специфическая функция слюны состоит в обеспечении свободного перемещения тканей ротовой полости относительно друг друга, а также в интеграции их совокупного действия при пищеварении, механическом пережевывании, глотании и разговоре. Кроме того, белки, входящие в состав слюны, являются своеобразными лубрикантами ротовой полости, таким образом, защищая ее от различных повреждений химической или физической природы. В свою очередь, ферменты, иммуноглобулины А и гистамин, также находящиеся в слюне, обеспечивают локальный противомикробный иммунитет.

Недостаточный уровень слюноотделения, или общие проблемы с образованием слюны, которые часто встречаются среди пациентов старшего возраста, в первую очередь проявляются чувством сухости во рту, и в медицине именуются ксеростомией. Дисфункция слюнных желез у пожилых пациентов чаще всего вызвана влиянием системных заболеваний, действием специфических лекарств, эффектом радиотерапии области головы и шеи.
Данные о распространённости ксеростомии, приведенные различными исследователями, значительно отличаются, но в общих чертах процент среди пациентов колеблется в диапазоне от 10% до 46% (9,7%-25,8% среди мужчин, и приблизительно 10,3%-33,3% среди женщин), причем у пожилых людей старше 65 лет симптомы ксеростомии встречается примерно у 35% населения.
Наличие ксеростомии увеличивает риск возникновения кариеса зубов, особенно кариеса корня, что, в свою очередь, значительно влияет на возможность возникновения заболеваний пародонта и инфекционных поражений полости рта по типу кандидоза. Кроме того, слюна играет важную роль в адекватном функционировании зубных протезов, и признаки ксеростомии у запротезированных и уже без того компрометированных пациентов, могут только еще больше усугубить риск возникновения кариозных поражений сохраненных зубных структур. С другой стороны, чтобы минимизировать неприятные чувства пациенты могут принимать чрезмерное количество сладких или кислых продуктов, которые, в свою очередь, еще больше увеличивают кариесогенный потенциал. Учитывая высокую распространенность ксеростомии среди пожилого населения, врачи должны отлично понимать особенности стоматологической реабилитации пациентов с такой патологией, а также риск возникновения у них возможных осложнений и последствий после ятрогенных вмешательств. Кроме того, только глубокая ознакомленость с различными аспектами данного заболевания поможет клиницистам максимально эффективно адаптировать имеющееся протоколы протезирования для достижения наиболее прогнозируемого успешного результата лечения с использованием дополнительных фармакологических и нефармакологических агентов, позитивно влияющих на общий исход комплексной терапии.
Причины заболевания
Существует три основных этиологических фактора, которые провоцируют развитие гипосаливации у пациентов пожилого возраста: специфические лекарственные препараты или их комбинации, непосредственно болезни слюнных желез, которые могут возникать на фоне таких общесоматических патологий, как синдром Шегрена, сахарный диабет, и/или болезнь Альцгеймера, и наконец, лучевая или химиотерапия области головы и шеи.
Лекарства провоцирующие возникновения ксеростомии
Основной причиной развития ксеростомии является прием специфических медикаментозных препаратов или комбинации таковых. Эффект полипрагмазии часто провоцирует различные побочные действия, среди которых и симптомы гипосаливации, а впоследствии и ощущения полной сухости во рту. Препараты, вызывающие ксеростомию, могут быть найдены в 42 категориях и 56 подкатегориях фармакологической категоризации, а наиболее распространёнными среди таких являются антихолинергические препараты и симпатомиметики.
Сухость во рту также могут вызывать трициклические антидепрессанты, седативные средства, транквилизаторы, антигистаминные препараты, цитостатики, антипаркинсонические и противоэпилептические медикаменты. Эти агенты либо ингибируют действие нейротрансмиттеров во время их связи с рецепторами мембран слюнных желез или же провоцируют изменение ионного пути в ацинарных клетках, что в дальнейшем может повлиять на функцию слюнных желез и привести к гипосаливаторному эффекту. Возникновение ксеростомии при химиотерапии имеет, как правило, временный характер: так, например, сухость во рту может возникнуть в результате введения радиоактивного йода, используемого для лечения рака щитовидной железы, но данные симптомы со временем нормализуются.
Кроме вышеперечисленных препаратов пациенты пожилого возраста часто принимают медикаменты для лечения аллергии, нарушений пищеварения или против укачивания. Они также могут вызывать сухость во рту, что вероятней всего связано не с непосредственным повреждением слюнных желез, а со снижением уровня слюноотделения, и то в основном из-за полипрагмазии и влияния сопутствующих заболеваний.
Заболевания слюнных желез
Одним из наиболее распространенных соматических заболеваний, которое провоцирует развитие ксеростомии, является синдром Шегрена – патология аутоиммунного идиопатического характера, поражающая множество тканей и органов. Первичная форма болезни характеризуется ксеростомией и ксерофтальмией (сухостью глаз), а вторичная сопровождается другими соматическими заболеваниями по типу соединительнотканных поражений, например, ревматоидный артрит. Сухость во рту также является распространенной жалобой пациентов с неконтролируемым диабетом, у которых она чаще всего развивается по причине полиурии и вегетативного обезвоживания. К другим заболеваниям, при которых также манифестируются признаки ксеростомии, относятся гепатит С, поражения щитовидной железы и надпочечников. Часто у пожилых людей с сухостью во рту также наблюдаются симптомы психогенных состояний, как например, депрессии, стресса или чувства постоянного беспокойства.
Лучевая терапия
Комплексное противораковое лечение часто предусматривает выполнение лучевой терапии, и если такая затрагивает область головы и шеи, то она легко может вызвать нарушение функции слюнных желез, гипосаливацию и ксеростомию. Данные относительно распространенности ксеростомии по причине лучевой терапии сильно различаются и колеблются в диапазоне от 73,5% до 93%. Механизм развития патологии при действии лучевой нагрузки до сих пор остается не слишком понятным, однако, вероятней всего острая форма ксеростомии может быть вызвана именно сильным воспалительным действием рентгеновского луча, что в дальнейшем провоцирует фиброз структуры слюнных желез и лизис ацинарных клеток. Стандартное излучение, используемое для лечения новообразований головы и шеи, состоит из фракционных нагрузок в 10 Грей (Gy), получаемых пациентом каждую неделю на протяжении полтора-двух месяцев, достигая суммарной нагрузки в 60 Gy-единиц. Хотя степень повреждения слюнных желез зависит от объема лучевой нагрузки, продолжительности радиации и площади пораженного участка лица, было доказано, что фиброз и лизис ацинарных клеток возникает у пациентов, получающих суммарные терапевтические дозы, превышающие 60 Грей. Качество жизни у пациентов после радиотерапии во многом зависит от манифестации ксеростомии и связанных с ней осложнениями. Исследования Kakoei и коллег показали, что с каждым утраченным миллилитром слюны, показатель качества жизни снижается на 2,25%, и хотя сухость во рту в отдельных клинических случаях может иметь временный характер, но у большинства пациентов является необратимым процессом, провоцируя возникновения новых смежных проблем и осложнений. Модификация методов и подходов радиационной терапии может помочь свести к минимуму дозу облучения пациентов, что, в свою очередь, значительно улучшит качество их жизни в последующем реабилитационном периоде.
Стоматологические осложнения ксеростомии
Стоматологический статус пациентов с ксеростомией характеризируется множеством смежных осложнений, возникающих в результате дисфункции слюнных желез. Из-за дефицита слюны может начать развиваться синдром Шегрена, возрастает интенсивность кариеса, а также прогрессируют поражения тканей пародонта. У больных с ксеростомией также часто возникают нарушения вкусовых ощущений, из-за чего пациенты могут изменять свой обычный дневной рацион и привычки питания в целом, что еще больше провоцирует неблагоприятное состояние гигиены полости рта. Из-за дефицита слюны в ротовой полости также часто могут развиваться язвы и другие травматические поражения, вызванные непосредственным воздействием зубных протезов в условиях полной сухости мягких тканей.
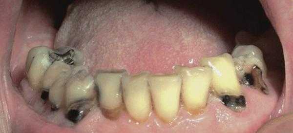
Также при ксеростомии возникают новые и рецидивируют существующие участки кариозного поражения, при этом пожилые пациенты являются наиболее уязвимыми к подобным осложнениям, поскольку большее количество их собственных зубов уже подвергалось стоматологическому лечению, а в пришеечной области таковых часто наблюдаются участки рецессии десен. Особенно часто рецессии возникают со щечной поверхности ранее восстановленных фронтальных зубов (фото 1).
Фото 1. Вид полости рта пациента с острыми кариозными поражениями вестибулярных и пришеечных поверхностей зубов, вызванные долгосрочным приемом антихолинергических препаратов.

Без надлежащего слюноотделения и в условиях нарушенного уровня рН ротовой полости, ее пространство быстро колонизируется кариесогенными микроорганизмами, которые являются основным патологическим фактором развития поражений твердых тканей зубов. Что же касается связи между ксеростомией и заболеваниями пародонта, то данные литературы в этом плане весьма противоречивы. Некоторые исследователи обнаружили, что пародонтологический статус пациентов с синдромом Шегрена аналогичен таковому у пациентов группы контроля, другие же наоборот – утверждают о худшем состоянии тканей пародонта у пациентов с ксеростомией. Последние аргументируют повышенный риск поражения пародонта увеличенным формированием зубного налета вследствие дефицита слюны. Кроме того, недостаток слюны значительно повышает риск возникновения грибковой инфекции в полости рта, особенно кандидоза, не говоря уже о том, что у большинства пациентов с ксеростомией наблюдаются признаки углового хейлита и атрофия сосочков языка. Будучи сильно связанными с изменениями микрофлоры ротовой полости, такие состояния обуславливаются в первую очередь грибами рода кандида, которые присутствуют в ротовой полости, на коже и в кишечнике. Взаимодействие с белками слюны частично помогает организму контролировать колонизацию грибов рода Candida в полости рта. Микрофлора ротовой полости может изменяться, что приводит к прогрессивному увеличению количества не только оппортунистических, но и патологических бактериальных агентов (фото 2).
Фото 2. Псевдомембранозный кандидозный стоматит у пациента с ксеростомией.

Лечение
Первым этапом в успешном лечении ксеростомии является постановка соответствующего диагноза. Например, пожилые пациенты могут иметь несколько сопутствующих заболеваний и принимать множество лекарств, которые, в свою очередь, могут повлиять на развитие ксеростомии. Таким образом, анализ анамнеза и фармакологической карты пациента является обязательным этапом для установки этиологии ксеростомии. Кроме того, параллельно с диагностикой ксеростомии, врач должен идентифицировать и все другие поражения в полости рта, лечение которых должно проводиться по мере необходимости без отрыва от основного терапевтического протокола реабилитации. Пациентам с ксеростомией рекомендуется пить как можно больше воды и ограничить прием сладких продуктов, провоцирующих возникновение кариозных поражений. После постановки диагноза врач должен рассмотреть все возможные терапевтические опции и приступить к местной или же системной стимуляции слюнных желез.
Местная стимуляция слюнных желез
Локальная стимуляция слюнных желез включает в себя прием специфических заменителей слюны, которые помогают уменьшить симптом сухости во рту. Слюностимуляторы, используемые в Северной Америке, обычно производятся на карбоксиметилцеллюлозной основе, и в основном не обеспечивают долгосрочного результата. Например, жевательные резинки без сахара являются эффективным локальным стимулятором, поскольку жевательные движения сами по себе увеличивает слюноотделение. Кроме того, можно также использовать витамин С, который, согласно исследованиям Bjornstrom, обеспечивает более высокую эффективность, чем механические слюностимуляторы. Следует учесть, что некоторые исследователи утверждают, что аскорбиновая кислота имеет неблагоприятное влияние на эмаль зуба, так что прием витамина С должен быть тщательно обсужден с лечащим врачом. В качестве вещества для смазки и увлажнения тканей ротовой полости могут быть использованы адгезивные диски, например, Oramoist, DenTek; OraCoat XyliMelts, OraHealth Corporation, или различные водорастворимые лубриканты K-Y Jelly, Reckitt Benckiser; Taro-Gel, Taro Pharmaceuticals Inc.; Biotene products, GlaxoSmithKline, которые можно наносить при помощи щеточки или прямо пальцем. И хотя данные подходы обеспечивают разную эффективность у разных категорий пациентов, но основным их недостатком остается минимальное действие именно в ночное время суток, когда симптомы ксеростомии являются наиболее агрессивными.
Системная стимуляция слюнных желез
Стимуляция слюноотделения может быть достигнута благодаря действию специфических фармакологических препаратов, именуемых слюногонными. Данные медикаменты действительно увеличивают секрецию слюны, и доказательно минимизируют симптомы ксеростомии у стоматологических пациентов. К ним относятся: пилокарпин, цевимелин, хлорид бетанехола и анетол тритион. Пилокарпин является мускариновым антагонистом, стимулирующим холинорецепторы на поверхности ацинарных клеток. Проведенные исследования доказывают позитивное действие пилокарпина в случаях ксеростомии, появившейся впоследствии радиотерапии. В подобных ситуациях пилокарпин принимают перорально на протяжении всего цикла облучения в дозе 3-5 мг три раза в день. Возможные побочные эффекты: потливость, тошнота, головокружение и усиление легочной секреции. Поскольку данный препарат может привести к дисфункции желудочно-кишечного тракта, а также мочевыводящей, сердечнососудистой и легочной систем, его особо осторожно нужно предписывать лицам с присущей бронхиальной астмой, хроническими легочными или сердечно-сосудистыми заболеваниями. Цевимелин является более сильным агонистом особенно для М1 и М3 субтипов мускариновых рецепторов. Поскольку M2 и M4 рецепторы находятся в сердечных и легочных тканях, использование цевимелина может не только минимизировать симптомы ксеростомии, и при этом никак не нарушить функцию легочной и сердечной систем, что было характерно для пилокарпина. В свою очередь, цевимелин противопоказан больным с бронхиальной астмой и узко-угловой глаукомой. В ходе двойного слепого плацебо-контролируемого исследования с участием 200 пациентов, у которых наблюдались признаки синдрома Шегрена, Fox доказал, что применение цевимелина позитивно влияет на показатели слюноотделения и улучшает симптомы ксеростомии. Рекомендуемая доза для цевимелина составляет 30 мг, препарат принимается три раза в день. Хотя в большинстве проведенных исследований было замечено, что цевимелин хорошо переносится больными, но возможные побочные эффекты этого препарата могут включать тошноту, рвоту, диарею, насморк и повышенную потливость. Хлорид бетанехола уже достаточно долго широко используется для лечения «сухого рта», при этом благодаря своему холинергическому действию данный препарат часто назначают для лечения задержки мочи и нейрогенной атонии. Бетанехол способствует слюноотделению через стимуляцию парасимпатической нервной системы, что вызывает высвобождение ацетилхолина на нервных окончаниях, и, соответственно, провоцирует продукцию слюны.
В недавнем двойном слепом рандомизированном проспективном исследовании Jaguar, изучая профилактическое применение бетанохола для предотвращения дисфункции слюнных желез во время лучевой терапии на 97 пациентах, доказал позитивное действие данного препарата путем уменьшения степени повреждения слюнных желез рентгеновским облучением. Бетанехол хлорид вводят в дозах от 10 мг до 50 мг три-четыре раза в день. Ранее сообщались такие побочные эффекты препарата, как желудочно-кишечные расстройства, потливость и миоз. Анетол тритион способствует увеличение рецепторных участков на поверхности ацинарных клеток. Исследование, проведенное Epstein, показало, что у пациентов, принимавших анетол тритион, наблюдалось улучшение слюноотделения, и, кроме того, было доказано, что одновременный прием анетола и пилокарпина имеет синергетический эффект, улучшающий общий исход лечения. Рекомендуемая доза препарата составляет 25 мг при приеме три раза в день. Возможными побочными эффектами являются желудочно-кишечные расстройства, метеоризм, вздутие и болевые ощущения.
Вывод
Уровень слюноотделения значительно уменьшается с возрастом, что, в свою очередь, может привести к развитию ксеростомии. Подобная дисфункция у гериатрических пациентов в значительной мере обусловлена влиянием различных системных заболеваний, действием лекарственных препаратов, побочными эффектами лучевой терапии области головы и шеи. В данной статье рассмотрены основные причины развития данной патологии, как и ее последствия, а также представлены возможные варианты лечения ксеростомии, как крайне важной стоматологической болезни. Задача клинициста - вовремя диагностировать ксеростомию и подобрать наиболее адаптированный алгоритм ее лечения в зависимости от этиологии и общесоматического состояния пациента.
Читайте также:
- Рентгенограмма, КТ, МРТ при повреждении связки Лисфранка
- Лекарства для расширения сосудов
- Специфические источники кровотечения. Дуоденальная язва. Постбульбарная дуоденальная язва.
- Клиника болезни Аддисона-Бирмера (злокачественной анемии) - признаки
- Острая воспалительная демиелинизирующая полирадикулонейропатия. Лечение острой полирадикулонейропатии.
