КТ, МРТ, ПЭТ при ретроперитонеальной и мезентериальной лимфоме
Добавил пользователь Алексей Ф. Обновлено: 29.10.2025
Лимфомы – злокачественные новообразования, исходящие из элементов лимфатических узлов (нодулярная форма) или лимфатической ткани вне их. Они составляют 5% от всех онкологических патологий. Своевременная диагностика лимфом очень важна не только в связи с высокой распространенностью – заболевание часто встречается у детей и взрослых от 3 до 40 лет, долгое время протекает без выраженных симптомов.
Виды, симптомы и локализация лимфом
Лимфомы разделяют на две большие группы: лимфома Ходжкина (около 60% от всех случаев) и неходжкинские лимфомы, которые являются более агрессивными, прогноз при них хуже. По степени злокачественности неходжкинские лимфомы разделяют на низкую, среднюю и высокую. Одним из самых злокачественных видов болезни является лимфома Беркитта, исходящая из B-лимфоцитов.
Заболевание может развиваться в любом органе или ткани, где есть лимфоидные клетки. В норме они находятся в лимфоузлах, миндалинах, вилочковой железе, селезенке, фолликулах тонкого кишечника, а также в экстралимфатических органах, не относящихся к лимфатической системе: головном, спинном и костном мозге, легких, матке, яичниках и яичках, почках, печени, желудке, толстом кишечнике, коже и костях.

Результаты ПЭТ/КТ-исследования. Слева: неходжкинская лимфома (поражение левой небной миндалины и селезенки, поражение лимфоузлов выше диафрагмы. Справа: ходжкинская лимфома (поражение лимфоузлов по обе стороны от диафрагмы, с тенденцией к слиянию в массивные конгломераты, наиболее крупные в подмышечной области слева и в лимфоузлах средостения справа. III стадия)
На первой-второй стадии заболевания наблюдается ограниченное поражение лимфоузлов или одного экстралимфатического органа по одну сторону диафрагмы – мышечной перегородки между брюшной и грудной полостями. Как правило, самым первым симптомом лимфомы является увеличение лимфатических узлов. Биопсия пораженного лимфоузла и анализ на гистологию позволяют установить правильный диагноз.
На третьей-четвертой стадии выявляется поражение лимфоузлов по обе стороны от диафрагмы и/или нескольких экстралимфатических органов. Пациент жалуется на симптомы, характерные для большинства онкологических болезней: апатию, усталость, похудение, а также на симптомы, связанные с поражением конкретного органа.
Для выбора адекватной терапии при лимфомах важно:
- комплексное обследование до начала терапии: определение вида, степени злокачественности и стадии болезни у пациента с поставленным диагнозом;
- своевременно контролировать эффективность терапии: на промежуточных этапах между курсами для определения эффективности выбранной схемы и своевременной корректировки плана лечения, а также после полного курса для определения риска рецидива или подтверждения ремиссии заболевания.
Наиболее информативным методом определения стадии и агрессивности заболевания является ПЭТ/КТ. КТ и МРТ также используют для диагностики, но с их помощью сложно отличить злокачественный процесс от доброкачественных изменений, а оценка распространенности процесса занимает больше времени, чем при ПЭТ/КТ.
Позитронно-эмиссионная томография позволяет провести анализ метаболических процессов в клетках. Злокачественные опухоли поглощают питательные вещества интенсивнее обычных, это значит, что они накапливают больше радиофармпрепарата и хорошо видны на снимках как участки яркого свечения. КТ и МРТ показывают только структурные изменения органов, объективно оценить функциональное состояние клеток этими методами невозможно.
ПЭТ/КТ всего тела у пациентов с лимфомами
Для обследования пациентов с лимфомами применяют ПЭТ/КТ всего тела с 18F-фтордезоксиглюкозой. Этот радиопрепарат распространяется по всем органам и тканям. За одно исследование врач получает изображение всех анатомических областей. Для достижения такого охвата при диагностическом КТ нужен анализ серии исследований различных областей тела, что увеличивает лучевую нагрузку на пациента.
ПЭТ/КТ при лимфомах применяют в следующих случаях:
- определение стадии опухолевого процесса и степени его распространенности;
- анализ эффективности лечения, в том числе на ранних этапах;
- уточнение прогноза заболевания;
- планирование лучевой терапии;
- определение лучшего участка для биопсии;
- диагностика рецидивов болезни.
По различным данным чувствительность ПЭТ/КТ диагностики может достигать 100% при диффузной В-крупноклеточной лимфоме, 98% при лимфоме Ходжкина и фолликулярной лимфоме, 67% при формах, поражающих зону мантии, 95% при миеломной болезни. Обследование наиболее результативно в случаях, когда клетки лимфомы характеризуются повышенной активностью, то есть при болезни Ходжкина и неходжкинских лимфомах высокой степени злокачественности.
Ручьева Наталья Александровна , к.м.н., зав. отделением радионуклидной диагностики, рентгенолог-радиолог, г. Москва
Иванников Виталий Валерьевич , руководитель направления «Лучевая диагностика», рентгенолог-радиолог, г. Москва
Первичная диагностика и определение стадии лимфом
В настоящее время лимфомы, особенно лимфома Ходжкина, относятся к злокачественным заболеваниям с хорошим прогнозом. После гистологической верификации диагноза нужно точно определить стадию и степень злокачественности заболевания. Для правильного выбора схемы химиотерапии надо знать, насколько опухоль распространилась по телу и лимфоузлам, а для назначения радиотерапии важно точное местоположение опухоли.
ПЭТ/КТ позволяет выявить злокачественные опухоли от 6 мм в диаметре и точно измерить метаболический размер очага.
Часто первичная диагностика проводится с помощью рентгенографии, УЗИ, КТ, МРТ, а схема лечения подбирается на основе количества и размера выявленных очагов. Вокруг злокачественных опухолей по мере ответа на лечение часто образуется соединительная ткань или происходит некроз опухолевых тканей из-за нарушения кровообращения. Такие процессы становятся причиной ошибок при анализе размеров очага – он кажется больше, чем есть на самом деле. Также КТ и МРТ могут пропустить новообразования в случаях, когда патологический процесс происходит на клеточном уровне, и структура органа или лимфоузла визуально не изменяется.
ПЭТ/КТ позволяет выявить злокачественные опухоли от 6 мм в диаметре и точно измерить метаболический размер очага. На снимке видны активные злокачественные клетки, а соединительная ткань почти не отличается от здоровых участков, так как не поглощает радиофармпрепарат.
ПЭТ/КТ для анализа эффективности лечения

Проведение ПЭТ/КТ-исследования, г. Москва
Для анализа эффективности лечения лимфомы важно оценить скорость реакции опухоли на терапию. Если количество активных клеток в очагах снижается до минимума или они исчезают полностью – это считается полным метаболическим ответом. У пациентов с таким ответом в короткие сроки (после 2-3 курса) наблюдаются более длительные ремиссии. В противном случае, когда число активных клеток не уменьшается или растет – пациенту требуется коррекция схемы лечения.
С помощью КТ или МРТ сложно подтвердить или опровергнуть достижение ремиссии, в 30-60% случаев устанавливают неверный диагноз. Дело в том, что на месте опухолевого очага у ряда пациентов остается соединительная ткань, лимфоузлы могут замещаться ей полностью (фиброз). Участки фиброза при КТ или МРТ исследовании видны как структурное изменение органа. Только позитронно-эмиссионная томография помогает увидеть, остались ли в таких очагах активные злокачественные клетки.
В результате ПЭТ/КТ позволяет повысить эффективность лечения и улучшить прогноз:
- своевременный перевод пациентов, опухоль которых не реагирует на лечение, на высокодозную химиотерапию или назначение им лучевой терапии повышает шансы на выживание;
- снижение интенсивности терапии, отказ от высоких доз химиопрепаратов или лучевого лечения у пациентов с ремиссией уменьшает риск осложнений и увеличивает выживаемость в долгосрочной перспективе.
Цены на ПЭТ/КТ исследование в Москве
Цены на позитронно-эмиссионную томографию в Москве зависят от вида исследования. Стоимость вы можете уточнить по телефону круглосуточной информационно-справочной службы или посмотреть в прайс-листе.
Федеральная сеть центров ядерной медицины «ПЭТ-Технолоджи» оказывает пациентам диагностическую и лечебную помощь в соответствии с международными стандартами качества. Целесообразность проведения ПЭТ/КТ в каждом конкретном случае заболевания лимфомой определяет врач-гематолог. Наши центры в Москве и других городах оснащены современным оборудованием для ПЭТ/КТ диагностики, в штате работают квалифицированные врачи-радиологи, прошедшие стажировку в ведущих медицинских клиниках и диагностических учреждениях России и мира.
КТ, МРТ, ПЭТ при ретроперитонеальной и мезентериальной лимфоме
Лучевая диагностика ретроперитонеальной и мезентериальной лимфомы
а) Терминология:
1. Синонимы:
• Неходжкинская лимфома (НХЛ), лимфома Ходжкина (ЛХ)
2. Определение:
• Гемобластоз, субстратом которого являются лимфоциты
б) Визуализация:
1. Общие характеристики:
• Локализация:
о Брыжейка: часто прилегает к сосудам брыжейки или окружает их
о Забрюшинное пространство: парааортальные (несколько подгрупп) узлы, а также узлы, расположенные вдоль подвздошных сосудов
• Размер:
о Как правило, узлы более 1 см в наименьшем размере для мезентериальных и парааортальных лимфатических узлов:
- Увеличенные ретрокруральные лимфатические узлы: более 6 мм
• Морфология:
о Круглый или неправильный контур
о Смещение или отсутствие жировой клетчатки ворот лимфатического узла
о Отдельные узелки мягких тканей, находящиеся в пределах брыжейки или заполняющие парааортальное пространство
2. КТ при ретроперитонеальной и мезентериальной лимфоме:
• КТ с контрастированием:
о Увеличенные узлы (обычно более 1 см в наименьшем размере) для мезентериальных и парааортальных лимфатических узлов:
- Ретрокруральные лимфатические узлы считают увеличенными при размере более 6 мм
о Сплошная мягкая ткань может окружать сосуды брыжейки и аорту/НПВ
о Смещение аорты от позвоночника (нехарактерно для доброкачественного процесса)
о Контрастирование лимфатических узлов, плотность которых приближена в мышечной
о У пациентов при отсутствии лечения редко происходит кальцификация лимфатических узлов (менее 1%) или кистозное перерождение
о Узлы при НХЛ, как правило, больше, чем ЛХ:
- Для лимфатических узлов при НХЛ также более характерно фрагментированное распределение
- Мезентериальную лимфаденопатию чаще встречают при НХЛ (более 50%), чем при ЛХ (менее 5%)
о При НХЛ перипанкреатическиелимфатическиеузлы могут имитировать опухоль поджелудочной железы
о У 25% больных с впервые выявленной ЛХ вовлечены парааортальные лимфатические узлы по сравнению с 50% при НХЛ
о ЛХ: как правило, в начальной стадии вовлечены верхние парааортальные лимфатические узлы с отсутствием непораженных участков
о При ЛХ лимфатические узлы могут быть нормальных размеров, но при этом содержат микроскопическую опухоль, что приводит к ложноотрицательному результату при КТ
3. МРТ при ретроперитонеальной и мезентериальной лимфоме:
• Т1-ВИ:
о Характерна лимфаденопатия с низкой ИС
• Т2-ВИ:
о Характерна лимфаденопатия с высокой ИС
о При низкой ИС можно предположить фиброз после лечения заболевания
• ДВИ:
о Характерна ограниченная диффузия
• Т1-ВИ С+:
о Лимфатические узлы без участков некроза, контрастирование аналогично мышечной ткани
о Гетерогенное контрастирование при некротизированных или частично излеченных лимфатических узлах
4. УЗИ:
• Режим серой шкалы:
о Лимфатические узлы от гипоэхогенных до гетерогенных:
- Округлой или неправильной формы
- Деформация/отсутствие нормальной жировой клетчатки ворот лимфатического узла
5. Радионуклидная диагностика:
• ПЭТ:
о Гиперметаболические узлы демонстрируют повышенное поглощение ФДГ
о Чувствительность для ПЭТ составляет 90-95% по сравнению с 80-85% для КТ с контрастированием
о Большая чувствительность к лимфомам грудной полости (более 90%), чем брюшной или тазовой полости (более 75%)
о Позволяет увеличить выявление опухолей скрытых локализаций (например, кости, мышцы, отдаленные/не увеличенные узлы):
- Может изменить стадию заболевания в 10-40% случаев
- Изменяет лечение в 25% случаев
о Исследование эффективно для определения раннего ответа на химиотерапию:
- Снижение поглощения ФДГ предшествует уменьшению размеров
о Помогает дифференцировать остаточную лимфому от постлучевого фиброза
о Низкая чувствительность к выявлению В-клеточной лимфомы и мукоза-ассоциированной лимфоидной ткани (MALT)
6. Советы по визуализации:
• Лучший метод визуализации:
о ПЭТ/КТ, КТ с контрастированием, МРТ
• Рекомендации по протоколу исследования: о ПЭТ/КТ: высокочувствительный метод
о КТ с контрастированием: реконструкция коронарных срезов эффективна при оценке лимфатических узлов
о МРТ Т2 ДВИ + постконтрастное Т1-ВИ в режиме подавления сигнала от живой ткани

(Слева) УЗИ, поперечная плоскость: визуализировано мягкотканное образование, окружающее аорту и НВП при НХЛ.
(Справа) Бесконтрастная КТ, аксиальная проекция (этот же пациент): пораженные лимфатические узлы при НХЛ заполняют парааортальное пространство и смещают аорту от позвоночника.
в) Дифференциальная диагностика ретроперитонеальной и мезентериальной лимфомы:
1. Метастазы забрюшинного пространства:
• Увеличенные отдельные узлы, как правило, не «слившиеся»
• Кальцификация при некоторых опухолях (т.е. муцинозная аденокарцинома)
2. Метастазы рака яичек:
• Узлы увеличены вдоль семенной вены, так как она впадает в НПВ (справа) и в почечную вену (слева)
• Увеличенные лимфатические узлы расположены ипсилатерально по отношению к тестикулярной опухоли
3. Забрюшинная саркома:
• Односторонняя крупная гетерогенная опухоль забрюшинного пространства
• Смещение сосудов или органов
• Гетерогенная жировая плотность при липосаркоме
4. Нейрогенная опухоль забрюшинного пространства:
• Параганглиома, ганглионеврома, шваннома
• Параспинальное расположение и расширение межпозвонкового отверстия
5. Внутрибрюшной туберкулез:
• Лимфатические узлы низкой плотности; отграниченный асцит
6. Ретроперитонеальный фиброз:
• Как правило, ограничен тканями, окружающими аорту и НПВ
7. Другие:
• Саркома Капоши: гиперваскуляризированные забрюшинные лимфатические узлы у больных СПИДом
• Болезнь Каслмана (ангиофолликулярная лимфоидная гиперплазия): гиперваскуляризированные забрюшинные лимфатические узлы
• Синдром растущей тератомы: узловая опухоль водной или жировой плотности, возникшая вследствие развития материнской тератомы после химиотерапии несеминомной опухоли яичек
• Саркоидоз: лимфаденит, проявления со стороны респираторного тракта, поражение печение и селезенки

(Слева) ПЭТ/КТ, аксиальная проекция, этот же пациент: ФДГ-положительная лимфаденопатия при НХЛ.
(Справа) МРТ, Т2-ВИ, SS FSE, аксиальная проекция: у этого же пациента выявлено парааортальное образование , имеющее ИС от высокой до умеренной.
г) Патология:
1. Общие характеристики:
• Этиология:
о Неизвестна; описаны многочисленные факторы риска
• Генетика:
о Существует несколько типов НХЛ, связанных с онкогенами Bel 1, 2, 3 и 6
2. Стадирование, степень дифференцировки, классификация ретроперитонеальной и мезентериальной лимфомы:
• ВОЗ выделяет более 80 форм лимфомы
• Классификация Анн Арбор:
о I стадия: лимфатические узлы одной области/экстралимфатическая локализация
о II стадия: лимфатические узлы двух или более областей по одну сторону диафрагмы (в том числе единичная экстралимфатическая локализация)
о III стадия: вовлечение групп лимфатических узлов по обе стороны диафрагмы
о IV стадия: диффузное поражение одной или более экстралимфатической локализации (печень, легкие, костный мозг)
3. Макроскопические и хирургические признаки:
• Для определения подтипов предпочтительна эксцизионная или трепан-биопсия (кор-биопсия)
4. Микроскопия:
• ЛХ:
о Несколько злокачественных клеток на фоне нормальных Т-лимфоцитов и воспалительных клеток
о Злокачественные клетки: клетки Рид-Штернберга и варианты:
- Лакунарные клетки, одноядерные и плеоморфные варианты
о Деформация структуры лимфатического узла
о Гистологические подтипы: нодулярный склероз, лимфоидное преобладание, смешанноклеточный, лимфоидное истощение
• НХЛ:
о Классификация, как правило, основана на критериях ВОЗ
о Тип клетки-предшественницы определяет подтип (В-клетка, Т-клетка и др.)

(Слева) КТ с контрастированием, аксиальная проекция: слившаяся околочревная лимфаденопатия вследствие НХЛ.
(Справа) КТ с контрастированием, аксиальная проекция: визуализирована панкреатическая НХЛ в виде массивного образования в области головки поджелудочной железы. Лимфома расположена в перипанкреатической группе лимфатических узлов, однако внешне может имитировать первичную опухоль поджелудочной железы.
д) Клинические особенности:
1. Клиническая картина ретроперитонеальной и мезентериальной лимфомы:
• Наиболее распространенные признаки/симптомы:
о Лихорадка, ночная потливость, потеря веса
о Другие признаки/симптомы: образование в подмышечной, паховой областях или в области шеи
• Клинический профиль:
о Пациент молодого возраста с пальпируемым узловым образованием
2. Демография:
• Возраст:
о ЛХ-бимодальный; два пика заболеваемости:
- 20-24 лет
- 80-84 лет
о НХЛ: увеличение заболеваемости с повышением возраста
• Пол:
о ХЛ: несколько чаще у мужчин
о НХЛ: в возрасте до 45 лет, чаще у мужчин:
- В возрасте после 45 лет гендерные различия отсутствуют
• Этнос:
о ХЛ: выше у кавказцев
• Эпидемиология:
о 5% впервые выявленных онкологических заболеваний в США:
- ЛХ: - 8000 случаев в год в США
- НХЛ: - 50000 случаев в год в США
о Повышение заболеваемости вследствие СПИД-ассоциирован-ной НХЛ и трансплантации органов
о Третья по распространенности причина смерти от онкологических заболеваний
3. Течение и прогноз:
• ЛХ: в 80% случаев применяют химиолучевую терапию или трансплантацию стволовых клеток
• НХЛ: в зависимости от степени дифференцировки и стадии:
о При НХЛ прогноз, как правило, хуже, чем ЛХ
о Самый неблагоприятный прогноз: при СПИД-ассоциированной НХЛ
о Неблагоприятный прогноз в случае отсутствия ответа на первый курс терапии
4. Лечение ретроперитонеальной и мезентериальной лимфомы:
• Варианты, риски, осложнения:
о ХЛ: первичная химио- или лучевая терапия; трансплантация стволовых клеток при неэффективности лечения или рецидиве
о НХЛ: первичное лечение-химиотерапия; трансплантация стволовых клеток при неэффективности лечения или рецидиве
е) Диагностическая памятка:
1. Следует учесть:
• Метастазы карцином в лимфатические узлы
2. Эталон интерпретации изображений:
• Отдельные узлы мягких тканей или сливающаяся мягкая ткань в брыжейке и/или парааортальных пространствах
Лучевая диагностика забрюшинных метастазов
а) Определение:
• Распространение злокачественной опухоли в забрюшинные лимфатические узлы и ткани
1. Общие характеристики:
• Лучший диагностический критерий:
о Увеличенные, структурно измененные или ФДГ-положительные лимфатические узлы у пациента с верифицированным новообразованием
о Скопление забрюшинных лимфатических узлов размером менее 1 см у пациентов с несеминомной опухолью яичка
• Локализация:
о Парааортальные лимфатические узлы (многочисленные подгруппы):
- Рак яичка: лимфоотток осуществляется вдоль семенных сосудов; узловые метастазы чаще всего расположены в воротах почки с той же стороны
- Злокачественные новообразования малого таза: первичной локализацией могут быть запирательные лимфатические узлы
о Цепочка подвздошных лимфатических узлов (общие, внутренние, внешние)
о Ретрокруральные лимфатические узлы
о Околопочечное пространство
• Размер:
о Парааортальные лимфатические узлы и цепочка подвздошных лимфатических узлов более 10 мм в меньшем размере:
- Усиление подозрения на наличие метастазов у пациента со злокачественной опухолью
о Только лишь размер не служит надежным критерием злокачественности:
- Лимфатические узлы, содержащие злокачественную опухоль, часто имеют размер менее 10 мм
- Лимфатические узлы размером более 10 мм могут быть доброкачественными (инфекция)
о Ретрокруральные лимфатические узлы: более 6 мм в меньшем диаметре
• Морфология:
о Круглой или неправильной формы
о Смещение или отсутствие жировой клетчатки ворот лимфатического узла
о Слившееся или инфильтрирующее образование
2. КТ при забрюшинных метастазах:
• Бесконтрастная КТ:
о Кальцификация лимфатических узлов, пораженных метастазами опухолей яичников, мочевого пузыря, и муцин-продуцирующих опухолей:
- Картина неспецифична: возможна также при туберкулезе и после лечения лимфомы/семиномы
• КТ с контрастированием:
о Отдельные или слившиеся образования лимфатических узлов:
- Лимфома и анапластические опухоли имеюттенденцию к образованию слившихся образований лимфатических улов
о Лимфатические узлы с низкой плотностью можно наблюдать при нелеченных раке яичка и лимфоме:
- Увеличенные забрюшинные образования низкой плотности при несеминомных герминогенных опухолях после лечения: остаточная тератома
о Рак яичек: массивные забрюшинные лимфатические узлы при семиномах; мелкие сгруппированные лимфатические узлы несеминомной герминогенной опухоли:
- Как правило, асимметричны: увеличенные лимфатические узлы расположены ипсилатерально по отношению к опухоли
о Образования, смещающие аорту и НПВ от позвоночника, как правило, злокачественные:
- При типичном ретроперитонеальном фиброзе сосуды не смещаются
о Экстранодальные метастазы забрюшинного пространства
- Меланома, ПКР, рак молочной железы, мелкоклеточный рак легких
3. МРТ при забрюшинных метастазах:
• Т1-ВИ:
о ИС лимфатических узлов/образований - от низкой до умеренной
о Метастатическая меланома может иметь высокую ИС
• Т2-ВИ:
о Как правило, высокая ИС
о Низкая ИС после лечения может быть обусловлена фиброзом
• ДВИ:
о Высокая ИС: метастатические лимфатические узлы/образования с высокой выраженностью клеточного компонента
о Низкая ИС: некротизированные лимфатические узлы/образования (низкая выраженностьклеточного компонента)
• Т1-ВИ С+:
о Часто имитирует контрастирование первичной опухоли:
- Свидетельствует о той же степени дифференцировки и агрессивности процесса
• МРТ с контрастированием лимфотропными наночастицами:
о Используют частицы оксида железа для оценки фагоцитарной функции:
- Нормальные лимфатические узлы: снижение ИС
- Злокачественные лимфатические узлы: повышение ИС
4. УЗИ при забрюшинных метастазах:
• Режим серой шкалы:
о Круглые или неправильной формы лимфатические узлы с соотношением продольный/поперечный диаметр менее 2
о Деформация или отсутствие эхогенной жировой клетчатки ворот лимфатического узла
о Глубокая гипоэхогенная или разнородная эхоструктура
• Цветовое допплеровское картирование:
о Переменный кровоток за счет васкуляризации опухоли (т.е. повышение в меланоме)
о Смещение неизмененных воротных сосудов лимфатического узла
5. Радионуклидная диагностика:
• ПЭТ при забрюшинных метастазах:
о ПЭТ/КТ: часто более чувствительный и специфичный метод, чем применение только КТ:
- Однако высокодифференцированные несеминомные герминогенные опухоли не обладают высокой ФДГ-авидностью
6. Советы по визуализации:
• Лучший метод визуализации:
о КТ с контрастированием или МРТ; ПЭТ/КТ для ФДГ-положительных опухолей
• Рекомендации по протоколу исследования:
о Использование перорального контрастного вещества может быть эффективным для дифференцирования внутрибрюшных лимфатических узлов от забрюшинных

(Слева) КТ с контрастированием, аксиальная проекция: визуализирован двусторонний гидронефроз вследствие слившихся узловых метастазов забрюшинного пространства, ставших причиной мочеточниковой обструкции.
(Справа) КТ с контрастированием, аксиальная проекция: слившиеся узлы, окружающие чревный ствол, вследствие метастазирования рака пищевода. Рак дистального отдела пищевода часто метастазирует в верхние лимфатические узлы брюшной полости, печень или легкие.
в) Дифференциальная диагностика забрюшинных метастазов:
1. Лимфома:
• Увеличенные лимфоузлы или сплошной слой мягкой ткани
• Мягкие ткани часто оттесняют аорту кпереди от позвоночника
2. Инфекция: туберкулез, СПИД, мононуклеоз:
• Туберкулез: лимфаденопатия часто имеет низкую плотность
• СПИД: лимфаденопатия, как правило, выражена умеренно
• Мононуклеоз: гепатоспленомегалия
3. Первичные опухоли забрюшинного пространства:
• Мезенхимальные опухоли: липосаркома, лейомиосаркома, злокачественная фиброзная гистиоцитома
• Как правило, больших размеров (10-20 см), гетерогенная
4. Ретроперитонеальный фиброз:
• Слой мягких тканей закрывает нижний отдел аорты/НПВ
• 10% случаев обусловлены метастатическими очагами, инициирующими развитие десмопластической реакции (фиброзной ткани)
5. Забрюшинное кровотечение:
• Множественные очаги, симптом гематокрита, вовлечение футляров подвздошно-поясничной и прямой мышц живота
• Терапия антикоагулянтами, травмы и/или снижение гематокрита
6. Саркоидоз:
• Абдоминальная лимфаденопатия в 30% случаев
• Болезнь легких, возможны гранулемы в печени и селезенке
7. Лимфангиолейомиоматоз:
• Пролиферация гладкомышечных клеток в лимфатических сосудах вызывает их обструкцию
• Дольчатые образования низкой плотности окружают/вытесняют забрюшинные сосуды

(Слева) КТ с контрастированием, аксиальная проекция: гидроуретер и контрастируемое метастатическое поражение в левой поясничной мышце.
(Справа) КТ с контрастированием, аксиальная проекция: у Этого же пациента визуализирован контрастируемый метастаз, блокирующий левый мочеточник. Видны левая общая подвздошная артерия и вена, а также левая семенная вена. Для сравнения показан нормальный правый мочеточник.
1. Общие характеристики:
• Этиология:
о Распространение злокачественной опухоли в забрюшинные лимфатические узлы и ткани:
- Наиболее частый источник: первичные опухоли органов малого таза:
Герминогенная опухоль яичка: лимфатические узлы в ипсилатеральных воротах почки
о Опухоли яичника, мочевого пузыря, предстательной железы, матки, толстой кишки: тазовые и парааортальные лимфатические узлы:
- Другие различные первичные злокачественные опухоли (рак молочной железы, меланома, лимфома)
о Злокачественный ретроперитонеальный фиброз: десмопластическая реакция на раковые клетки
• Ассоциированные аномалии:
о Обструкция мочеточника из-за массивной опухоли
• Пути метастазирования:
о Лимфатический или гематогенный путь распространения: меланома, рак яичка, яичников, предстательной железы, легких и молочной железы
о Непосредственный рост первичного забрюшинного новообразования: рак поджелудочной железы, желудочно-кишечного тракта
2. Стадирование, степень дифференцировки и классификация:
• Зависит от места первичной опухоли и размеров лимфатических узлов:
о Метастатическое поражение лимфатических узлов: N1 (регионарные), N2 или М1 (отдаленные метастазы)
3. Макроскопические и хирургические признаки:
• Семинома: массивные образования забрюшинного пространства
• Несеминомные герминогенные опухоли и гинекологические злокачественные образования:
о Часто метастазы не выходят за пределы нормальных размеров лимфатических узлов
4. Микроскопия:
• Герминогенная опухоль яичка: метастазы могут иметь гистологическую картину, отличную от первичной опухоли яичка:
о Эмбриональный рак: при гистологическом исследовании в лимфатических узлах может быть выявлена тератома
о Тератома в лимфатических узлах может быть представлена хорионэпителиомой

(Слева) КТ с контрастированием, аксиальная проекция: у мужчины 21 года вследствие метастатической меланомы выявлены двусторонняя субкапсулярная гематома почки, паранефральные узелки мягкой ткани, забрюшинная лимфаденопатия и поражение мышц.
(Справа) В левой почке и околопочечном пространстве выявлена ФДГ-положительная опухоль, представляющая собой гематогенные метастазы меланомы в забрюшинное пространство. ПЭТ/КТ—идеальный метод визуализации ФДГ -положительных опухолей, так как часто позволяет обнаружить метастазы скрытых локализаций и в лимфатических узлах нормальных размеров.
1. Проявления забрюшинных метастазов:
• Наиболее распространенные признаки/симптомы:
о Наиболее часто протекает бессимптомно
о Другие признаки/симптомы:
- Боль в спине, гематурия, обструктивные уропатии
• Клинические характеристики:
о Забрюшинная лимфаденопатия: лимфома, рак яичка, ПКР, рак шейки матки, предстательной железы или яичников
о Внеузловые забрюшинные метастазы: меланомы, ПКР, рака молочной железы, мелкоклеточного рака легкого
2. Течение и прогноз:
• Рак яичка: благоприятный прогноз даже при наличии забрюшинной лимфаденопатии
3. Лечение забрюшинных метастазов:
• Варианты, риски, осложнения:
о Первичные забрюшинные опухоли и опухоли малого таза:
- Как правило, резекция первичной опухоли и регионарных узлов
о При локализации первичной опухоли вне забрюшинного пространства и полости таза забрюшинная лимфаденопатия предполагает IV стадию заболевания:
- Обычно применяют химиотерапевтическое лечение
о Герминогенная опухоль яичка: три варианта при остаточной опухоли:
- Остаточная злокачественная опухоль: химиотерапевтическое лечение
- Остаточная доброкачественная тератома после химиотерапии (синдром «растущей тератомы»): резекция
- Фиброз: не нуждается в лечении
е) Диагностическая памятка:
1. Следует учесть:
• Только лишь размер лимфатического узла не служит достоверным критерием:
о Особенно при первичных злокачественных новообразованиях малого таза
2. Советы по интерпретации изображений:
• Несеминомные герминогенные опухоли: любые обнаруженные лимфатические узлы в ипсилатеральных воротах почки следует считать подозрительными независимо от их размера
а) Терминология:
1. Синонимы:
• Неходжкинская лимфома (НХЛ)
• Лимфома Ходжкина (ЛХ)/Болезнь Ходжкина
2. Определение:
• Неоднородная группа злокачественных новообразований лимфоидного и миелоидного ростка
1. Рекомендации по визуализации:
• Лучший метод визуализации:
о ПЭТ/КТ и КТ с контрастным усилением
2. КТ брюшной полости при лейкемии и лимфоме:
• Желудочно-кишечный тракт:
о Самая частая локализация внеузловых поражений при НХЛ (30-40%)
- Желудок > тонкая кишка, двенадцатиперстная кишка>толстая кишка (в т.ч. аппендикс) > пищевод
о Лимфома из лимфоидной ткани слизистой оболочки (MALT-лимфома) - второй по частоте тип лимфомы, поражающей ЖКТ:
- Краевая зона В-клеточной НХЛ: высокодифференцированное образование, часто плохо определяющееся при КТ или ПЭТ
- Возникает из тканей стенки органа, например желудка или кишечника
о Лимфома в различных сегментах ЖКТ может проявляться строго определенным образом:
- Инфильтративные изменения (круговое утолщение стенки кишки):
Аневризматическое расширение просвета из-за повреждения межмышечного нервного сплетения или полное замещение стенки кишки большой язвой
Лимфома относится к «мягким» поражениям, обструкция кишечника возникает значительно реже, чем при раке или метастазах
- Язвенные изменения (типичное крупное внутрипросветное поражение)
- Полиповидные изменения (с внутристеночным объемным компонентом)
- Узловые изменения (множественные подслизистые образования)
• Селезенка:
о Самая частая злокачественная опухоль селезенки
- Поражение селезенки и при НХЛ, и при лимфоме Ходжкина
- Часто поражение селезенки является первым проявлением НХЛ внутрибрюшной локализации
о Возможные множественные изменения при визуализации
- Диффузная сленомегалия без наличия отдельно лежащего объемного образования (образований):
Спленомегалия у пациентов с лимфомой необязательно означает ее лимфоматозное поражение
- Множественные мелкие гиподенсные поражения селезенки
- Единичное объемное образование селезенки: гиподенсное, плохо васкуляризованное, нечетко очерченное

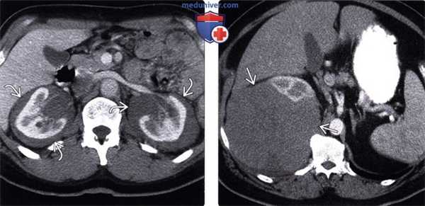
(Слева) При аксиальной КТ с контрастным усилением определяются гиподенсные мягкие ткани в виде «кожуры» вокруг обеих почек, классическое проявление периренальной лимфомы.
(Справа) При аксиальной КТ с контрастом определяется большое мягкотканное объемное образование вокруг правой почки, проявление периренальной НХЛ.
• Печень:
о Печень поражается примерно в 40% при НХЛ:
- Выраженная регионарная лимфаденопатия может стать ключом к постановке диагноза
о Заболевание может проявляться в виде единичного/множественных образований или диффузной инфильтрации печени:
- Объемные образования обычно гиподенсные, слабо усиливающиеся при контрастировании, имеют инфильтративный характер
- Печень может быть диффузно гиподенсной (как при стеатозе) в результате лимфоматозной инфильтрации
• Поджелудочная железа:
о Может определяться дискретное объемное образование (плохо отграниченное, инфильтративного характера, не усиливающееся при контрастировании), которое часто ошибочно принимается за аденокарциному:
- Нет расширения протока либо атрофии железы
- Сосуды проходят через объемное образование без сужения или окклюзии
о Может проявляться в виде диффузной инфильтрации и увеличения поджелудочной железы, что часто ошибочно принимается за острый панкреатит:
- Нет жидкости вокруг поджелудочной железы или воспалительных изменений перипанкреатических тканей
• Почки:
о Некоторые вероятные признаки лимфомы почки на диагностических изображениях:
- Единичное доминирующее объемное образование, чаще всего слабо усиливающееся при контрастировании, инфильтративного характера, однородной структуры
- Множественные двухсторонние дискретные гиподенсные объемные образования
- Одностороннее/двухстороннее увеличение почек с сохранением исходной формы и диффузная инфильтрация почек
- Мягкотканные образования вокруг почек, окружающие их в виде «кожуры»:
Могут распространяться вниз, вдоль собирающей системы почек и мочеточников, становясь причиной гидронефроза
- Контактное метастазирование в почки при заболевании забрюшинных лимфатических узлов
• Надпочечники:
о Первичная лимфома надпочечников обычно проявляется в виде объемных образований надпочечников с обеих сторон; вторичная может быть односторонней либо двухсторонней
о Неспецифичное инфильтративное, гиподенсное, незначительно усиливающееся при контрастировании объемное образование с однородной структурой
• Брюшина и сальник (лимфоматоз):
о Чаще всего у пациентов с «агрессивными» формами НХЛ, вт.ч. лимфомой Беркитта и СПИД-ассоциированной лимфомой
о Практически невозможно отличить от канцероматоза брюшины (мягкотканная инфильтрация сальника, дискретные объемные образования, выраженное утолщение сальника, асцит):
- Преобладание выраженности лимфаденопатии над таковым при канцероматозе-ключ к правильному диагнозу
- Выраженность асцита меньше, чем при канцероматозе
• Лимфатические узлы:
о Чаще всего возникает увеличение лимфатических узлов, однако это неспецифичный признак поражения:
- При ПЭТ/КТ определяется, что лимфоузлы «нормального размера» (меньше 1,5 см в поперечнике) часто поражены опухолью, в то время как большие лимфоузлы увеличены вследствие доброкачественной гиперплазии
- «Сливные» лимфоузлы чаще всего являются патологически измененными
- Лимфоузлы с наличием жира в воротах обычно являются нормальными
о Лимфома Ходжкина:
- Распространение обычно происходит вдоль сопредельных групп лимфоузлов
о Неходжкинская лимфома:
- Часто поражаются удаленные друг от друга группы лимфоузлов и органы брюшной полости
о Выраженная лимфаденопатия сливного характера:
- Симптом «сэндвича» или «гамбургера»: конгломерат брыжеечных или забрюшинных лимфоузлов, окружающих брыжеечные сосуды
- Сосуды могут быть окружены опухолью или втянуты в нее, но без сужения просвета или окклюзии
• Лейкемия:
о Может проявляться так же, как лимфома
о Гранулоцитарная саркома (хлорома):
- Проявления лейкемии в виде мягкотканного объемного образования (образований) в лимфоузлах, во внутренних органах, в плевральной и брюшной полости
- Чаще всего острый миелоидный лейкоз (ОМЛ)

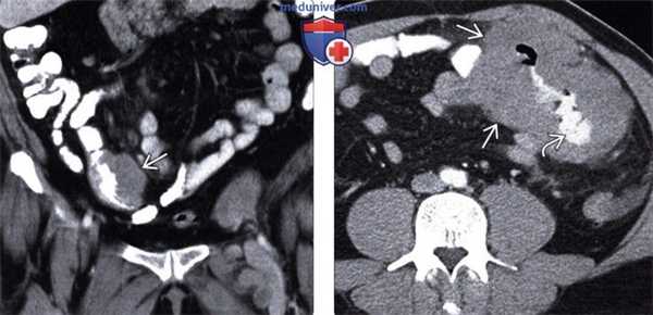
(Слева) При КТ с контрастным усилением в корональной плоскости визуализируется опухолевидное утолщение мягких тканей по краю подвздошной кишки. Обратите внимание на отсутствие обструкции кишки несмотря на значительное опухолевое поражение. Это характерное проявление лимфомы.
(Справа) На аксиальной КТ с контрастным усилением у ВИЧ-инфицированного пациента выявлено большое изъязвленное образование с наличием контраста в просвете тонкой кишки. Обратите внимание на типичное аневризматическое расширение просвета пораженной кишки вследствие опухолевой инфильтрации. Это часто встречающееся проявление лимфомы кишечника.
3. УЗИ брюшной полости при лейкемии и лимфоме:
• Яички:
о Семенники могут быть местом локализации скрытого, «остаточного» заболевания, при отсутствии злокачественных изменений в других органах
о НХЛ - самая частая опухоль семенников у мужчин > 60 лет
о Единичное/множественные гипоэхогенные объемные образования при УЗИ:
- Может не определяться отдельно лежащее объемное образование; диффузная инфильтрация с измененной эхоструктурой/эхогенностью
- Повышенная васкуляризация пораженных участков при цветном доплеровском картировании
- Двухстороннее поражение в 40% случаев
4. Радионуклидная диагностика:
• ПЭТ/КТ:
о Высокая чувствительность (90%) и специфичность (91%):
ПЭТ; ПЭТ/КТ превосходит и ПЭТ, и КТ в отдельности
- При ПЭТ/КТ у 30% пациентов с НХЛ и лимфомой Ходжкина устанавливается более высокая стадия заболевания по сравнению с КТ
о Усиление накопления ФДГ зависит от степени дифференцировки опухоли:
- Высокодифференцированные опухоли обычно не накапливают ФДГ
- Агрессивные низкодифференцированные опухоли интенсивно накапливают ФДГ

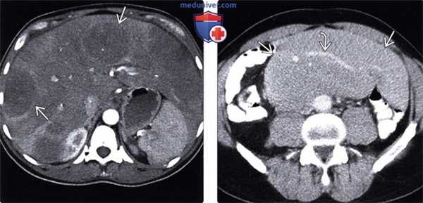
(Слева) При аксиальной КТ с контрастным усилением определяются множественные отдельно лежащие гиподенсные объемные образования в печени, а также выраженная диффузная инфильтрация большей части остальной паренхимы печени, выглядящей гиподенсной. При биопсии был подтвержден лимфоматозный характер инфильтрации.
(Справа) При аксиальной КТ с контрастом определяется большой конгломерат лимфатических узлов в брыжейке. Обратите внимание на сосуды внутри данного конгломерата, которые проходят сквозь него без сужения просвета или окклюзии, что является признаком, характерным для лимфомы.
в) Дифференциальная диагностика изменений брюшной полости при лейкозе и лимфоме:
1. Метастазы в лимфоузлах:
• Лимфаденопатия при лимфоме более выражена с тенденцией к слиянию лимфоузлов; сведений о первичной опухоли нет
2. Саркоидоз:
• Может проявляться так же, как и лимфома: гепатоспленомегалией, множественными гиподенсными узлами в печени/селезенке и лимфаденопатией
3. Инфекции:
• Туберкулез, ВИЧ и другие инфекции могут стать причиной лимфаденопатии
• При оппортунистических инфекциях могут появляться мелкие гиподенсные узелки в печен и/селезенке
4. Первичные злокачественные новообразования внутренних органов:
• Аденокарциномы желудка/кишечника вызывают более локальное утолщение стенки и сужение просвета, приводя к обструкции
• Выраженная лимфаденопатия не характерна для первичных злокачественных опухолей ЖКТ, печени, селезенки, поджелудочной железы и др.
5. Метастатическое поражение различных органов:
• Нет данных о первичной опухоли какого-либо органа в анамнезе пациентов с лимфомой
1. Общая характеристика:
• Этиология:
о НХЛ и лимфома Ходжкина чаще возникают у пациентов с первичной вирусной инфекцией (Эпштейна-Барр)
о Хеликобактерная инфекция играет роль в возникновении MALT-лимфомы желудка
• Ассоциированные патологические изменения:
о При снижении иммунитета (СПИД, трансплантация органов)
- Выраженное увеличение распространенности НХЛ
2. Стадирование, градация и классификация лейкемии и лимфомы:
• Первичная лимфома: ограниченное поражение единственного органа ± окружающих лимфоузлов
• Вторичная лимфома: поражение отдаленных лимфоузлов или более чем одного органа
• Стадирование в соответствии с классификацией Ann-Arbor:
о Стадия I: поражение лимфоузлов одной области (I) или локальное поражение единственного нелимфатического органа или ткани (IE)
о Стадия II: поражение лимфоузлов двух и более областей на одной стороне от диафрагмы (II) ± локальное поражение единственного не лимфатического органа (НЕ)
о Стадия III: поражение лимфоузлов различных областей по обе стороны диафрагмы (III) ± локальное поражение не лимфатического органа или ткани (IIIE), селезенки (IMS), или обоих (IIISE)
о Стадия IV: диссеминированное/множественное поражение одного и более нелимфатических органов ± поражение лим-фоузлов/изолированное поражение нелимфатического органа с поражением отдаленных (не регионарных) лимфоузлов
• Классификация лимфомы Ходжкина:
о «Классическая» лимфома (нодулярный склероз, смешанная целлюлярность, лимфоцитоз или лимфоцитопения)
о Лимфома Ходжкина с лимфогистиоцитарным преобладанием
1. Проявления изменений брюшной полости при лейкозе и лимфоме:
• Наиболее частые признаки/симптомы:
о Боли в животе, тошнота, рвота, потеря веса, лихорадка, увеличение внутренних органов, пальпируемая лимфаденопатия
о Лабораторные данные: анемия, лейкопения, томбоцитопения из-за инфильтрации костного мозга/поражения селезенки
2. Демография:
• Возраст:
о Риск возникновения НХЛ увеличивается с возрастом:
- Средний возраст: 65 лет
о При лимфоме Ходжкина два пика заболеваемости (20-29 лет и >55 лет)
• Эпидемиология:
о Лимфома находится на пятом месте по частоте среди злокачественных новообразований в США, является причиной смерти от опухолей в 5% случаев
о 88% НХЛ и 12% лимфомы Ходжкина
о Внеузловые поражения более часты при НХЛ (20-40%), чем при лимфоме Ходжкина (4-5%)
3. Течение и прогноз:
• Лимфома Ходжкина: обычно поддается лечению
• НХЛ: прогноз зависит от типа и стадии заболевания:
о В целом прогноз хуже, чем при лимфоме Ходжкина
4. Лечение изменений брюшной полости при лейкозе и лимфоме:
• Зависит от стадии опухоли, гистотипа, симптоматики, общего состояния и возраста пациента, сопутствующих заболеваний:
о Хирургическое лечение при изолированном вовлечении одного органа; спленэктомия при вероятном изолированном поражении селезенки при торакальной форме лимфомы Ходжкина
о Лучевая терапия, химиотерапия (моно-/комбинированная), ритуксимаб (моноклональные антитела к CD20), пересадка костного мозга во всех случаях в зависимости от типа лимфомы
е) Диагностическая памятка:
1. Cabral FC et al: Peritoneal lymphomatosis: CTand PET/СТ findings and how to differentiate between carcinomatosis and sarcomatosis. Cancer Imaging. 13:162-70, 2013
Болезнь Ормонда ( Забрюшинный фиброз , Ретроперитонеальный фиброз )
Болезнь Ормонда – это вариант мезинхимопатии, неспецифический фибросклеротический процесс, развивающийся в соединительной ткани забрюшинного пространства. Проявления обусловлены сдавлением мочеточников, сосудов и почек. Основные симптомы – поясничные и абдоминальные боли, дискомфорт в паховой области. В запущенных случаях присоединяется ХПН, наблюдаются отеки, тошнота, снижение диуреза. Диагноз подтверждают данные КТ, МРТ, ПЭТ и морфологического исследования, определения уровня IgG4. Лечение консервативное (гормонотерапия), при нарушении уродинамики – оперативное.
МКБ-10
Общие сведения
Забрюшинный фиброз впервые описал французский исследователь И. Альбарран в начале XX века, более объемную работу по изучению патологии провел американский уролог Д.К. Ормонд в 1948 году. Специалисты в сфере современной урологии рассматривают большинство случаев болезни как иммунозависимую системную патологию, ассоциированную с иммунными комплексами IgG4-СЗ, характеризующуюся тотальной или частичной воспалительной инфильтрацией органов и тканей плазматическими клетками. Именно они вырабатывают IgG4, что инициирует облитерирующий флебит и фибросклероз. Болезнь Ормонда – частный случай мезинхимопатии, аналогичные изменения регистрируются в других органах и системах. Патологию чаще диагностируют у мужчин старше 50 лет.
Причины
Причины забрюшинного фиброза до настоящего времени остаются дискутабельными. Считается, что этиологические факторы провоцируют иммунный ответ, что способствует воспалительному поражению брюшины, исходом которого становится фиброз. Агрессивность патологии различается, причины вариативности неизвестны. Основным патогенетическим триггером называют повышенную экспрессию комплекса IgG4 плазматическими клетками. Болезнь Ормонда может быть вторичной, специалисты выделяют ряд состояний, которые потенциально приводят к ретроперитонеальному фиброзу:
- Некоторые заболевания. Воспаление почек, мочеточников и других органов, прилегающих к забрюшинной клетчатке, может инициировать фиброзно-склеротические процессы. Злокачественные новообразования (рак прямой кишки, простаты, мочевого пузыря), инфекции (туберкулез, токсоплазмоз, бруцеллез) также провоцируют забрюшинный фибросклероз. Пиелоренальный рефлюкс, экстравазация мочи с растворенными антибиотиками играют особую роль в инфильтрации мочеточника и часто приводят к гидронефрозу.
- Повреждение тканей. Травма живота, особенно с образованием забрюшинной гематомы, может осложниться лимфопролиферативными нарушениями плазматических клеток. Аналогичные изменения иногда потенцируют хирургические вмешательства: лимфаденэктомия, колэктомия, операции по поводу аневризмы аорты. Фиброз той или иной степени регистрируют после прохождения лучевой терапии на органах малого таза.
- Прием ряда препаратов. Бромокриптин, гидралазин, метилдопа, производные спорыньи при длительном приеме вызывают склерозирующий забрюшинный гранулематоз. Некоторые специалисты в качестве причины патологии упоминают лечение высокими дозами антибиотиков и бета-адреноблокаторов. Ормонд был убежден, что фиброзно-склеротические разрастания становятся следствием реакции гиперчувствительности на лекарства или химические вещества.
К предрасполагающим факторам относят курение, воздействие асбеста. Наличие нескольких больных в пределах одной семьи указывает на возможную роль генетических факторов. У некоторых пациентов, страдающих фибросклерозом Ормонда, выявляют человеческий лейкоцитарный антиген HLA–B27 (иммуногенетический маркер), носительство которого свидетельствует о предрасположенности к аутоиммунным заболеваниям, включая забрюшинный фиброз. Существуют и другие генетические ассоциации, повышающие вероятность патологии.
Патогенез
По последним данным, в 50-75% болезнь Ормонда связана с присутствием плазматических клеток, продуцирующих IgG4. Патология чаще проявляется системно, аналогичные изменения тканей почти всегда выявляют в поджелудочной железе, лимфатических узлах, гипофизе. Наблюдается опухолевидный отек вовлеченных органов, лимфоплазматическая инфильтрация и фиброзно-склеротический процесс различной степени выраженности. Измененная клетчатка сдавливает мочеточник, крупные магистральные сосуды, лимфатические пути, реже – почки.
Инфильтрат состоит из многочисленных лимфоцитов, плазматических клеток, макрофагов, иногда нейтрофилов. Воспалительные клетки вкраплены в коллагеновые пучки, организованы узловыми скоплениями вокруг мелких сосудов. Патология классифицируется как связанная с IgG4 при наличии сториформного фиброза, инфильтрации эозинофилов, облитерирующего флебита. Тучные клетки находятся в дегранулированном состоянии, что согласуется с их активным участием в фиброзно-воспалительной реакции.
Классификация
Забрюшинный фиброз может быть изолированным, связанным с аутоиммунными болезнями, или возникшим на фоне многоочагового фиброзно-воспалительного заболевания, ассоциированного с IgG4. Поражение чаще затрагивает оба мочеточника. Стандартизированные критерии для классификации ретроперитонеального фиброза отсутствуют, патология рассматривается в одном ряду с хроническим периаортитом, перианевризматическим фиброзом и воспалительными аневризмами брюшной аорты, которые имеют общие гистологические и клинические признаки. Формы ретроперитонеального фиброза:
- Первичная (идиопатическая). Причина заболевания не может быть обнаружена. Системные аутоиммунные патологии, факт травматизации, онкологические процессы отсутствуют.
- Вторичная. Есть связь с лекарственными препаратами, травмой, радиационным облучением. У 10% больных ретроперитонеальный фибросклероз обусловлен прогрессированием злокачественного новообразования.
- IgG4- ассоциированная. Примерно половина случаев является симптомом относительно клинически гетерогенного заболевания, связанного с IgG4.
Симптомы болезни Ормонда
Вначале в 60-90% случаев наблюдаются системные симптомы: слабость, анорексия, потеря веса. Клинические проявления развернутой формы многообразны, включают дискомфорт в поясничной области, животе и над лоном (70-90%). Боль обычно тупая, не изменяется в зависимости от положения тела, временно реагирует на нестероидные противовоспалительные средства. При поражении мочеточника имитирует почечно-мочеточниковую колику, для которой типичны резкая болезненность, положительный симптом поколачивания, рвота.
В 20% случаев компрессия нарушает нормальную перистальтику кишечника, провоцируя запоры. У 35% мужчин с болезнью Ормонда присутствуют тестикулярные боли, ретроградная эякуляция и эректильная дисфункция. К менее распространенным урологическим симптомам относят учащенное мочеиспускание, рези и примесь крови в моче. Повышение температуры до фебрильных цифр, потрясающий озноб и выраженные поясничные боли свидетельствуют о присоединении острого пиелонефрита.
Компрессия сосудов проявляется гидроцеле и варикоцеле (30%). Характерны жалобы на дискомфорт в промежности, чувство распирания мошонки. Сдавление нижней полой вены и лимфатических путей вызывает отеки нижних конечностей и хромоту у каждого десятого больного. При вовлечении почечных артерий возникает рено-сосудистая гипертензия. Повышение давления носит устойчивый характер. При существовавшей ранее гипертонии ее течение ухудшается. Высокое давление при постановке диагноза выявляют у трети пациентов.
Осложнения
Осложнения заболевания весьма серьезны, связаны с высокой летальностью (10-20%). Сужение просвета мочеточников и их гипотония приводят к рецидивирующему пиелонефриту, гидронефротической трансформации почек (55-100%), хронической почечной недостаточности (40-90%). У 32% больных диагностируют атрофию почки, связано ли это с обструкцией мочеточника, стенозом почечной артерии или другими причинами – остается неясным. Часто после поражения одного мочеточника другой вовлекается в процесс в период от нескольких недель до нескольких лет.
Тромбоз глубоких вен и легочная эмболия – грозные осложнения венозной компрессии при синдроме Ормонда – встречаются редко, что обусловлено компенсаторными возможностями организма (формированием коллатеральных путей для оттока крови). При забрюшинном фибросклерозе могут поражаться брыжеечные и чревные артерии с развитием стеноза и ишемических осложнений, напоминающих брыжеечный васкулит. У 30% больных ретроперитонеальным фиброзом изменена грудная аорта, что может привести к ее аневризме.
Диагностика
Аутоиммунное склерозирующее заболевание сложно заподозрить из-за многообразия жалоб. Изменения в анализах неспецифичны, встречаются при других патологиях. Нередко недообследованные пациенты получают неполноценное лечение у уролога или гастроэнтеролога, что ухудшает прогноз. Доказано, что на начальной стадии можно добиться ремиссии болезни с помощью исключительно консервативной терапии, поэтому специалисты считают приоритетным раннее выявление патологического процесса. Алгоритм обследования при забрюшинном фиброзе Ормонда включает:
- Лабораторные анализы. Воспалительные маркеры (СОЭ, С-реактивный белок) выше нормы более чем у половины пациентов, но этот показатель не позволяет дифференцировать идиопатический и вторичный забрюшинный фибросклероз. Повышение уровня IgG4 сыворотки крови >135 мг/дл в сочетании с гистологическими признаками является основным критерием для подтверждения IgG4-СЗ. При всех формах патологии оценивают уровень мочевины, креатинина и СКФ для определения функциональной способности почек. Анализ мочи показывает низкий удельный вес, протеинурию, гематурию.
- Визуализационные методики. МРТ и КТ – основные исследования при болезни Ормонда. Послойное сканирование помогает различить идиопатическую и вторичную формы фибросклероза. УЗИ проводят для подтверждения болезни на начальных стадиях, оценки степени гидронефроза, обнаружения аневризмы и дилатации аорты. Для улучшения визуализации используют контрастное вещество. В последние годы выполняют ПЭТ, которая выявляет скрытые опухолевые и инфекционные процессы.
- Биопсию. При неоднозначных результатах инструментальных исследований и отсутствии ответа на стероидную терапию обосновано проведение биопсии. В качестве ограничения к исследованию рассматривают подозрение на опухолевый процесс с риском распространения раковых клеток. На ранних стадиях фиброза определяется гиперваскулярная ткань с периваскулярным лимфоцитарным инфильтратом, макрофаги с жировыми включениями. Для поздней стадии типична бессосудистая масса, лишенная клеточных структур.
Дифференциальную диагностику проводят с опухолями забрюшинного пространства, обструктивной уропатией другого генеза (при нефролитиазе, лучевых повреждениях, неспецифическом уретерите). Схожая картина наблюдается при воспалительных процессах клетчатки, посттравматических состояниях и новообразованиях мочеточника. Дифференциальный диагноз между идиопатическим, связанным с IgG4, и вторичным фибросклерозом имеет решающее значение, поскольку тактика ведения может кардинально различаться.
Лечение болезни Ормонда
Лечебные мероприятия направлены на сохранение функциональной способности органов мочевыделения, предотвращение распространения патологического процесса на соседние структуры, облегчение или купирование неблагоприятных симптомов. Тактика лечения (консервативное или хирургическое с приемом лекарств) зависит от стадии ретроперитонеального фиброза. При отсутствии уропатии и выраженного сдавления сосудов возможна медикаментозная терапия с обязательным наблюдением (КТ, МРТ и УЗИ органов брюшной полости и почек, оценка СОЭ, уровня С-реактивного белка).
Консервативная терапия
Консервативное лечение позволяет добиться положительной динамики у 80-83% пациентов. Эффект кортикостероидов обусловлен их противовоспалительным действием, способностью замедлять созревание соединительной ткани. Тамоксифен назначают при наличии противопоказаний к кортикостероидам или одновременно с гормональными средствами. Комбинация глюкокортикоидов с азатиоприном наиболее полезна при воспалении. Азатиоприн также применяют в качестве иммуносупрессивного препарата при неэффективности глюкокортикоидной терапии. Иммунодепрессант микофенолат угнетает синтез пурина и пролиферацию лимфоцитов.
Оперативные вмешательства
Обструктивная уропатия с нарушениями уродинамики и тенденцией к гидронефрозу почек подразумевает решение вопроса об отведении мочи. Первичное лечение забрюшинного фиброза включает уретеролиз, латеральную или внутрибрюшинную транспозицию мочеточников, их изоляцию. Далее обязательно проводят курс противорецидивной терапии, позволяющий снизить вероятность рецидивирования с 50 до 10%.
- Уретеролиз. Операция заключается в удалении фиброзной ткани, сдавливающей мочеточник. Не всегда обеспечивает удовлетворительный результат, поскольку уропатия вызвана не только компрессией, но и гипотонией мышечного слоя. Вмешательство выполняют открытым и лапароскопическим способом. Последний менее травматичен, его эффективность достигает 93,8%. Уретеролиз с окутыванием мочеточника большим сальником производят чаще и считают операцией выбора, что связано с меньшим количеством рецидивов (10%).
- Манипуляции для восстановления оттока урины.Стентирование мочеточника используют как первичную помощь для восстановления уродинамики. После купирования воспаления возможно оперативное вмешательство. У пожилых пациентов, при выявлении противопоказаний и тяжелом состоянии, не позволяющем выполнить операцию, катетер типа стент может длительно функционировать с заменой по мере необходимости. Иногда выполняют чрескожную пункционную нефростомию – под контролем ультразвукового оборудования в лоханку устанавливают дренаж.
- Инновационные методы. Описаны новые хирургические методики: уретеролиз и обертывание мембранными дышащими тканями, иссечение мочеточника и реанастомоз, почечная аутотрансплантация. Уропатию разрешают посредством баллонной дилатации – эндоурологическим способом вводят баллон, а затем под визуальным контролем расширяют его в нужном участке мочеточника. Результативность перечисленных вмешательств вариативна.
Экспериментальные способы
В последнее время начали применять эффективные экстракорпоральные методы терапии, основанные на выведении из крови болезнетворных и токсичных субстанций. Существует несколько вариантов: плазмаферез, лимфоцитаферез (отдельное извлечение лимфоцитарных клеток), каскадная фильтрация плазмы. Хорошие результаты получают при перфузии жидкой части крови через носитель, отсекающий соответствующие антитела.
Из новых лекарственных препаратов, обеспечивающих улучшение при идиопатических и IgG4-связанных патологиях, выделяют ритуксимаб (моноклональные антитела, полученные методом генной инженерии). Его назначают в качестве монотерапии или в комбинации с кортикостероидами. Ритуксимаб используют в профилактических целях по достижении ремиссии. Крупные рандомизированные исследования не проводилось, подходы к терапии во многом находятся на стадии разработки.
Прогноз и профилактика
Если болезнь диагностирована на ранней стадии с условием адекватной терапии, прогноз благоприятный. Гидронефроз и хроническая болезнь почек ухудшают исход. Улучшение функции почек происходит за 14-18 дней, далее пациенты подлежат тщательному наблюдению: сначала каждые три месяца, если нет отрицательной динамики – 1 раз в полгода. Забрюшинный фиброз, инициированный опухолевыми заболеваниями, имеет неблагоприятный прогноз с летальностью в течение полугода.
Профилактические мероприятия для предотвращения идиопатических форм заболевания не разработаны. Для предупреждения вторичного забрюшинного фиброза следует отказаться от курения, придерживаться здорового образа жизни. Недопустим прием лекарственных препаратов с превышением рекомендованных дозировок и длительности терапии, самолечение. Ранее обращение к специалисту при появлении неприятных симптомов, прохождение полной диагностики значительно увеличивает шансы на благоприятный исход – лечению лучше поддаются острые формы фиброза или существующие не более 6 месяцев.
1. Диагностика новой нозологической группы: IgG4-ассоциированное системное заболевание/ Седышев С. Х., Васильев В.И., Ковригина А.М.// Научно-практическая ревматология. Сборник материалов II конгресса ревматологов России – 2011.
2. Заболевание, связанное с IgG4: характеристика группы больных и терапия ритуксимабом/ Седышев С.Х., Васильев В.И. и др.// Лікарю-практику – 2013 - №52.
3. Ритуксимаб для идиопатического и IgG4-связанного забрюшинного фиброза/ Медицина (Балтимор) – 2018 - №97.
Читайте также:
- Лучевая диагностика метастазов в поджелудочную железу и лимфому поджелудочной железы
- Принципы челюстно-лицевой хирургии. Перспективы развития
- Желудочковая тахикардия при ишемической болезни сердца (ИБС)
- Проба с физической нагрузкой в кардиологии. Физиология физических нагрузок
- КТ при расщеплении мыщелка височно-нижнечелюстного сустава (ВНЧС)
