КТ при расщеплении мыщелка височно-нижнечелюстного сустава (ВНЧС)
Добавил пользователь Владимир З. Обновлено: 28.01.2026
Симптомы заболеваний височно-нижнечелюстного сустава (ВНЧС) встречаются у 25-50 % населения и являются одной из наиболее частых причин обращения пациентов в стоматологические клиники (П. И. Ивасенко, М. И. Мискевич, Р. К. Савченко, Р. В. Симахов, 2007). Распространенность заболеваний височно-нижнечелюстных суставов (ВНЧС), по данным различных авторов (Е. А. Булычева, 2007; И. В. Потапов, 2008; Р. А. Фадеев, 2010), в последнее время неуклонно возрастает.
Это связано со сложностью клинической картины, нередко напоминающей симптомы неврологических и лор-заболеваний. Другим фактором, диктующим необходимость дальнейшего изучения патологии данной локализации, является высокая функциональная значимость височно-нижнечелюстного сочленения. Даже одностороннее повреждение ВНЧС, приводя к нарушению движения нижней челюсти, препятствует процессам жевания и речеобразования, выполнению медицинских манипуляций в полости рта (стоматологических, лор), проведению интубационного наркоза и т. д.
Очень важно, что заболевания ВНЧС развиваются довольно рано, часто в детском возрасте, при этом они причиняют больному ряд неудобств, а иногда физические страдания. Структурные изменения, происходящие в суставах, рассматриваются большинством авторов как вторичные, обусловленные мышечной дисгармонией. Височно-нижнечелюстные суставы — парные и представляют собой единую биологическую кинематическую систему.
Они построены симметрично по отношению друг к другу и связаны непарной нижней челюстью, поэтому движения в обоих суставах осуществляются синхронно. Повреждение или заболевание одного из суставов создает дополнительную функциональную нагрузку на другой сустав, что в конечном итоге приводит к перегрузке здорового сустава и развитию в нем патологических изменений. Кроме того, известно, что адаптационная способность к окклюзионным нарушениям у различных пациентов значительно варьируется.
Одни пациенты совершенно безболезненно адаптируются к выраженным нарушениям окклюзии, у других больных появляются серьезные симптомы мышечно-суставной дисфункции даже при незначительных расстройствах окклюзии (рис. 1). С проблемой диагностики и лечения различных заболеваний и повреждений височно-нижнечелюстного сустава в своей амбулаторной клинической практике постоянно сталкиваются врачи-стоматологи всех специальностей.
Рис. 1. Функциональное рентгенологическое исследование ВНЧС с открытым и закрытым ртом. Окклюзионно-артикуляционные нарушения, подвывих ВНЧС с двух сторон.
В настоящее время врачи-стоматологи, челюстно-лицевые хирурги и лор-врачи имеют возможность получать цифровое трехмерное изображение зубочелюстной системы и челюстно-лицевой области в процессе диагностического обследования благодаря совершенно новому аппарату — дентальному объемному томографу (рис. 2).
Рис. 2. Выполнение цифровой объемной томографии зоны правого ВНЧС на прицельном аппарате 3ДКТ фирмы Morita.
Инновационный метод лучевой диагностики — дентальная объемная томография (3ДКТ) на аппаратах типа 3 DX Accuitomo (Morita, Япония), GALILEOS ( Sirona , Германия), Picasso Pro ( Vatech , E — WOO , Южная Корея), PROMAX 3 D ( PLANMECA , Финляндия) — нашел широкое применение при выявлении различных заболеваний зубочелюстной системы, челюстно-лицевой области, верхнечелюстных, околоносовых пазух и височно-нижнечелюстных суставов во многих лечебных учреждениях России. С конца 2005 года по настоящее время на дентальных компьютерных томографах в клиниках, амбулаторно-поликлинических комплексах и диагностических центрах ГК «МЕДИ» прошли обследование более 15 500 пациентов различного возраста с заболеваниями и повреждениями зубочелюстной системы, челюстно-лицевой области, височно-нижнечелюстных суставов и верхнечелюстных пазух (рис. 11, 13, 17).
Рис. 11. Внешний вид цифрового объемного томографа фирмы Vatech, E-WOO. Рис. 13а. Ортопантомограмма ВНЧС с открытым и закрытым ртом, окклюзионно-артикуляционные нарушения, деформирующий артрозоартрит правого ВНЧС. Рис. 13б. Функциональное рентгенологическое исследование ВНЧС с открытым и закрытым ртом, окклюзионно-артикуляционные нарушения, деформирующий артрозоартрит правого ВНЧС.
Рис. 17. 3ДКТ левого ВНЧС. Трехмерная объемная реконструкция левого ВНЧС. Оскольчатый перелом со смещением суставного отростка левого ВНЧС.
Современные методы лучевой диагностики у пациентов в различных разделах стоматологии применяются с целью сокращения дозовых нагрузок и сроков обследования населения, назначения рационального плана и повышения качества лечения стоматологических заболеваний, наблюдения в динамике течения патологических процессов периодонта, пародонта и альвеолярных отростков челюстей. При обследовании на цифровом объемном томографе (3ДКТ) эффективная доза одного исследования минимальна: она составляет 30-42 мкЗв, для пациентов детского возраста — 11 мкЗв.
Большую диагностическую информацию дает данное трехмерное КТ-исследование (3ДКТ) при изучении височно-нижнечелюстных суставов (ВНЧС), в том числе в детском возрасте. В отличие от традиционных рентгеновских снимков по Шюллеру, трехмерная дентальная компьютерная томография позволяет определить патологию костной ткани на ранних стадиях.
Это обеспечивается не только визуальными и метрическими исследованиями суставных структур в трех взаимно перпендикулярных плоскостях с «пошаговым срезом» от 0,125 до 1,0 мм, но также возможностью суммирования трехмерной информации с представлением объемного изображения изучаемой области (рис. 3, 4).
Рис. 3. 3ДКТ левого ВНЧС (вариант нормы). Рис. 4а. Трехмерные объемные реконструкции левого ВНЧС. Рис. 4б. Трехмерные объемные реконструкции левого ВНЧС.
Дентальная объемная томография дает возможность получить важнейшие показатели качественной и количественной оценки анатомических структур ВНЧС: форму суставной впадины, ее ширину, глубину и выраженность суставного бугорка, форму суставной головки и величину рентгеновской суставной щели между головкой и впадиной в ее переднем, среднем и заднем отделах (в трех проекциях) (рис. 6).
Рис. 6а. 3ДКТ ВНЧС с двух сторон, деформирующий артрозоартрит левого ВНЧС. Рис. 6б. 3ДКТ ВНЧС с двух сторон, деформирующий артрозоартрит левого ВНЧС.
На основании анализа клинического материла нами разработаны алгоритмы рентгенологического обследования и методика выполнения исследования ВНЧС на дентальном объемном томографе. Обычно мы дополняли выполнение трехмерной дентальной компьютерной томографии ВНЧС с закрытым ртом (в состоянии окклюзии) функциональным исследованием ВНЧС, производимым на ортопантомографе, — зонография ВНЧС в боковой проекции в привычной окклюзии и при широко открытом рте пациента; в процессе лечения производили по показаниям зонограммы ВНЧС в боковой проекции в привычной окклюзии и с капой; ортопантомограммы до и после лечения (рис. 5).
Рис. 5а. Функциональное рентгенологическое исследование ВНЧС с открытым и закрытым ртом. Рис. 5б. 3ДКТ ВНЧС с двух сторон, окклюзионно-артикуляционные нарушения в зоне левого ВНЧС. Рис. 5в. 3ДКТ ВНЧС с двух сторон, окклюзионно-артикуляционные нарушения в зоне левого ВНЧС.
При физиологической окклюзии суставные головки располагаются обычно в середине суставной впадины. При аномалиях окклюзии наблюдаются три основных положения суставных головок: они могут находиться в середине суставных ямок, смещены назад и вверх или вперед и вниз. Целью челюстно-лицевой ортопедии является реабилитация больных с дефектами зубочелюстной системы.
Наиболее характерными симптомами деформирующего артроза, которые выявляются на трехмерной дентальной КТ, являются сужение рентгеновской суставной щели, склероз и повышение интенсивности кортикальных замыкательных пластинок головки и заднего ската суставного бугорка. Нарушается функция сустава — экскурсия головки ограничена, реже возникают вправляющиеся вывихи и подвывихи. При деформирующем артрозе происходят изменение формы головки и суставного бугорка, уплощение, стирание головки по высоте, остроконечная, булавовидная деформация и образование экзофитов, уплощение или экзофитные образования на бугорке; все перечисленные рентгеновские признаки отчетливо визуализируются на трехмерном дентальном КТ ВНЧС с двух сторон при закрытом рте (рис. 7, 8).
Рис. 7а. 3ДКТ ВНЧС с двух сторон, деформирующий артрозоартрит правого ВНЧС. Рис. 7б. 3ДКТ ВНЧС с двух сторон, деформирующий артрозоартрит правого ВНЧС. Рис. 8а. 3ДКТ ВНЧС с двух сторон, ревматоидный артрозоартрит левого ВНЧС (асептический некроз суставной головки).
Рис. 8б. 3ДКТ ВНЧС с двух сторон, ревматоидный артрозоартрит левого ВНЧС (асептический некроз суставной головки).
Только магнитно-резонансная томография и ультрасонография позволяют визуализировать мягкотканные элементы ВНЧС и жевательные мышцы. При всех заболеваниях и функциональных нарушениях ВНЧС рентгенологическому исследованию должны подвергаться обязательно оба сочленения в разные фазы движения нижней челюсти. При этом рентгенологическое исследование пациентов начинается с выполнения ортопантомограммы и функционального исследования ВНЧС — зонограммы в боковой проекции в привычной окклюзии и при широко открытом рте пациента.
В дальнейшем определение алгоритма обследования и лечения пациентов детского и взрослого возраста в стоматологической клинике зависит от характера заболеваний и нарушений ВНЧС. При заболеваниях, связанных с поражением костных структур у пациентов любого возраста, мы рекомендуем выполнение трехмерной дентальной компьютерной томографии ВНЧС (с закрытым ртом, в состоянии привычной окклюзии). Применение диагностического алгоритма в каждом конкретном клиническом случае позволяет выбрать оптимальный метод лучевой диагностики, который сможет обеспечить получение достоверной информации и снизить вероятность диагностических ошибок (рис. 9, 10).
Рис. 9а. 3ДКТ ВНЧС с двух сторон, перелом суставного отростка со смещением суставной головки ВНЧС с двух сторон. Рис. 9б. 3ДКТ ВНЧС с двух сторон, перелом суставного отростка со смещением суставной головки ВНЧС с двух сторон. Рис. 10. 3ДКТ правого ВНЧС, хондроматоз (обызвествление) мягких тканей области правого ВНЧС.
Алгоритмы обследования пациентов (любого профиля) в амбулаторной стоматологической клинике
Панорамная рентгенография всего зубного ряда (ортопантомограмма) всем первичным пациентам и в динамике после проведенного лечения (1 раз в два года).
2. Цифровая прицельная рентгенография зубов на радиовизиографе в стоматологических клиниках.
3. Трехмерная дентальная компьютерная томография (по назначению врача-стоматолога по клиническим показаниям по любой специальности):
верхнечелюстных и околоносовых пазух;
Трехмерная дентальная компьютерная томография височно-нижнечелюстных суставов выполняется при закрытом рте пациента (в состоянии привычной окклюзии); для оценки и интерпретации томограмм необходимо дополнять данное 3ДКТ-исследование ВНЧС функциональным рентгенологическим исследованием височно-нижнечелюстных суставов с открытым и закрытым ртом (выполняется на ортопантомографе).
Таким образом, применение широкого спектра различных методов лучевой диагностики позволяет своевременно и с минимальной лучевой нагрузкой на пациента детского и взрослого возраста определить диагноз, составить план лечения и проследить в динамике течение стоматологических заболеваний и повреждений зубочелюстной системы, челюстно-лицевой области и ВНЧС (рис. 12, 14, 15).
Рис. 14а. 3ДКТ зубочелюстной системы и челюстно-лицевой области в состоянии центральной окклюзии, трехмерные объемные реконструкции, окклюзионно-артикуляционные нарушения, деформирующий артрозоартрит правого ВНЧС. Рис. 14б. 3ДКТ зубочелюстной системы и челюстно-лицевой области в состоянии центральной окклюзии, трехмерные объемные реконструкции, окклюзионно-артикуляционные нарушения, деформирующий артрозоартрит правого ВНЧС. Рис. 14в. 3ДКТ зубочелюстной системы и челюстно-лицевой области в состоянии центральной окклюзии, трехмерные объемные реконструкции, окклюзионно-артикуляционные нарушения, деформирующий артрозоартрит правого ВНЧС.
Рис. 14г. 3ДКТ зубочелюстной системы и челюстно-лицевой области в состоянии центральной окклюзии, трехмерные объемные реконструкции, окклюзионно-артикуляционные нарушения, деформирующий артрозоартрит правого ВНЧС.
Рис. 14а. 3ДКТ зубочелюстной системы и челюстно-лицевой области в состоянии центральной окклюзии, трехмерные объемные реконструкции, окклюзионно-артикуляционные нарушения, деформирующий артрозоартрит правого ВНЧС. Рис. 14б. 3ДКТ зубочелюстной системы и челюстно-лицевой области в состоянии центральной окклюзии, трехмерные объемные реконструкции, окклюзионно-артикуляционные нарушения, деформирующий артрозоартрит правого ВНЧС. Рис. 14в. 3ДКТ зубочелюстной системы и челюстно-лицевой области в состоянии центральной окклюзии, трехмерные объемные реконструкции, окклюзионно-артикуляционные нарушения, деформирующий артрозоартрит правого ВНЧС.
Рис. 14г. 3ДКТ зубочелюстной системы и челюстно-лицевой области в состоянии центральной окклюзии, трехмерные объемные реконструкции, окклюзионно-артикуляционные нарушения, деформирующий артрозоартрит правого ВНЧС. Рис. 15а. а. Ортопантомограмма; аномалия развития суставного и венечного отростков нижней челюсти с двух сторон. Рис. 15б. 3ДКТ зубочелюстной системы и челюстно-лицевой области (с прикусником), реконструкция по типу ортопантомограммы, трехмерные объемные реконструкции, аномалия развития суставного и венечного отростков нижней челюсти с двух сторон.
Рис. 15в. 3ДКТ зубочелюстной системы и челюстно-лицевой области (с прикусником), реконструкция по типу ортопантомограммы, трехмерные объемные реконструкции, аномалия развития суставного и венечного отростков нижней челюсти с двух сторон.
Заболевания височно-нижнечелюстного сустава составляют значительный процент от патологий зубочелюстной системы и представляют определенные трудности как на этапах диагностики, так и при проведении лечения. Заболевания височно-нижнечелюстного сустава начинаются с функциональных нарушений, диагностика которых с использованием общепринятых рентгенологических методов в некоторых случаях бывает затруднена. Методика цифровой объемной томографии (3ДКТ), проводимой при помощи различных видов прицельных и панорамных дентальных объемных томографов, значительно расширяет возможности лучевой диагностики в стоматологии, челюстно-лицевой хирургии и гнатологии.
Большую диагностическую информацию дает данное трехмерное КТ-исследование при изучении височно-нижнечелюстных суставов (ВНЧС). Нами обследовано более 370 пациентов с различными заболеваниями и повреждениями височно-нижнечелюстных суставов. Трехмерная дентальная компьютерная томография позволяет определить патологию костной ткани на ранних стадиях, выполнить визуальные и метрические исследования суставных структур в трех взаимно перпендикулярных плоскостях, провести линейные и угловые измерения, использовать денситометрию в условных единицах для оценки костной и мягкотканной плотности; также имеется возможность суммирования трехмерной информации с предоставлением объемного изображения изучаемой области (вращение и развороты на 90, 180, 360 ° ) (рис. 17).
Рис. 17. 3ДКТ левого ВНЧС. Трехмерная объемная реконструкция левого ВНЧС. Оскольчатый перелом со смещением суставного отростка левого ВНЧС.
Исследования на дентальном компьютерном томографе позволяют не только получить информацию о строении зубочелюстной системы, но и оценить состояние ВНЧС, костных и мягкотканных структур полости носа, верхнечелюстных и околоносовых пазух, клеток решетчатого лабиринта (рис. 16). В настоящее время по данным дентальной объемной томографии определены нормальные показатели анатомического строения ВНЧС у женщин и мужчин.
Рис. 16. Выполнение цифровой объемной томографии зубочелюстной системы и челюстно-лицевой области на аппарате 3ДКТ фирмы Planmeca.
Таким образом, дентальный объемный томограф является универсальным диагностическим аппаратом нового поколения с огромным потенциалом использования в различных областях стоматологии, челюстно-лицевой хирургии и оториноларингологии. При этом трехмерный дентальный компьютерный томограф — мощный инструмент, открывающий новую эпоху в дифференциальной диагностике патологических процессов челюстно-лицевой области, зубочелюстной системы и височно-нижнечелюстных суставов.
КТ при расщеплении мыщелка височно-нижнечелюстного сустава (ВНЧС)
а) Терминология:
1. Синонимы:
• Частичная агнатия, гемиагнатия
2. Определение:
• Аномалия неизвестной природы, проявляющаяся обычно односторонним нарушением формирования ВНЧС
б) Визуализация:
1. Общая характеристика:
• Лучший диагностический критерий:
о Отсутствие мыщелка и суставной ямки
о Очень часто в сочетании с ипсилатеральными мальформациями лица
• Локализация:
о Производные 1-й и 2-й жаберных дуг:
- Нижняя челюсть
- Мышцы
- Ухо

(Слева) На трехмерной реконструкции (КЛКТ, вид спереди) у мальчика 12 лет с гемифациальной микросомией III типа определяется врожденное отсутствие мыщелка и передней части ветви. Наблюдается задержка формирования левой половины нижней челюсти, левая глазница увеличена в размерах. Костная срединная линия нижней челюсти смещена влево, окклюзионная плоскость приподнята.
(Справа) На панорамной реформатированной КЛКТ определяется отсутствие мыщелка, уменьшение высоты тела нижней челюсти. В ветви видны формирующиеся зубы.
2. КТ при аплазии мыщелка височно-нижнечелюстного сустава (ВНЧС):
• КЛКТ:
о Отсутствие мыщелка
о Отсутствие суставной ямки и суставного возвышения
о Маленькая ипсилатеральная ветвь:
- С наличием в ней формирующихся зубов
о Маленькое тело нижней челюсти
о Дефектный участок редко доходит до области премоляров
о Гипоплазия сосцевидного отростка на стороне поражения
о Венечный отросток присутствует, может иметь маленький размер
3. Рекомендации по визуализации:
• Лучший метод диагностики:
о КЛКТ или КТ в костном окне: оценка размера, формы, правильности формирования костей
о Панорамные изображения: общая оценка нижней и верхней челюсти, ВНЧС
• Выбор протокола:
о В зону сканирования включаются челюсти и основание черепа
в) Дифференциальная диагностика аплазии мыщелка височно-нижнечелюстного сустава (ВНЧС):
1. Подмыщелковый перелом у новорожденных:
• Смещение проксимального сегмента мыщелка с заживлением в переднем, нижнем, медиальном положении
• Уменьшение передне-заднего размера сигмовидной (нижнечелюстной) вырезки
• Сигмовидная вырезка V-образной формы (обычно U-образная)
• Короткая дуга и тело
2. Ювенильный идиопатический артрит:
• Двухсторонний
• Без вовлечения мягких тканей лица
• Полиартикулярное системное заболевание
• Маркеры заболевания в сыворотке
• Паннус
3. Прогрессирующая резорбция мыщелка:
• Дебютирует в постпубертатном периоде у женщин
• Одно- или двухсторонняя
• Субтотальное разрушение мыщелка
• Отсутствие поражения мягких тканей
г) Патология. Общая характеристика:
• Этиология:
о Неизвестна; предполагается связь с гематомой в области 1-й и 2-й жаберной дуги или аномалией развития и миграции нервного гребня
• Сопутствующие нарушения:
о Аплазия мыщелка может быть проявлением окуло-аурику-ло-вертебральной дисплазии (синдрома Гольденхара), синдрома 1-й и 2-й жаберной дуги, гемифациальной микросо-мии (ГФМ) III типа, синдрома Тричера Коллинза

(Слева) На трехмерной реконструкции (КЛКТ, вид спереди) у пятилетней девочки с гемифациальной микросомией III типа определяется задержка формирования левой половины нижней челюсти. Угол нижней челюсти слева приподнят по сравнению с противоположной стороной. Сосцевидный отросток низко расположен.
(Справа) На панорамной реформатированной КЛКТ у этой же пациентки отсутствуют мыщелок и верхняя половина ветви слева. Суставная ямка и суставное возвышение не сформированы. Обратите внимание на скученность зубов.
д) Клинические особенности:
1. Проявления:
• Типичные признаки/симптомы:
о Врожденное отсутствие мыщелка
• Другие частые признаки/симптомы:
о Уши:
- Микротия
- Преаурикулярные «метки» или ямки
- Атрезия слухового прохода
о Лицо:
- Макростомия
- Асимметрия лица
- Уменьшение размеров лица на стороне поражения
о Челюсти и зубы:
- Подъем окклюзионной плоскости
- Импактные зубы на стороне поражения
2. Течение и прогноз:
• Остановка или замедление роста на пораженной стороне
• Асимметрия может прогрессировать
3. Лечение:
• Ортодонтическое и хирургическое
е) Диагностическая памятка:
1. Следует учесть:
• Аплазия мыщелка может быть частью синдрома
2. Советы по интерпретации изображений:
• Отсутствие мыщелка, суставной ямки, суставного возвышения
• Аномалии мягких тканей лица
ж) Список использованной литературы:
1. Leoni С et al: Respiratory and gastrointestinal dysfunctions associated with auriculo-condylar syndrome and a homozygous PLCB4 loss-of-function mutation. Am J Med Genet A. 170(6):1471-8, 2016
2. Takano Ket al: The association of external and middle ear anomaly and mandibular morphology in congenital microtia. Otol Neurotol. 37(7):889-94, 2016
3. Lin AE: The partnership of medical genetics and oral and maxillofacial surgery when evaluating craniofacial anomalies. J Oral Maxillofac Surg. 73(12 Sup-pl):S13-6,2015
4. Shivhare Petal: Non-syndromic bilateral condylar aplasia: a rare case. Indian J Dent Res. 26(2):210-3, 2015
1. Синонимы:
• Расщепление мыщелка нижней челюсти (РМНЧ)
2. Определение:
• Редкое состояние, характеризующееся частичным разделением мыщелка нижней челюсти
1. Общая характеристика:
• Лучший диагностический критерий:
о Панорамная рентгенография: разделенный мыщелок
• Локализация:
о Односторонняя: двухсторонняя = 4:1
• Морфология:
о Мыщелок может быть расщеплен в медиально-латеральной или передне-задней плоскости
о Вариабельная картина в зависимости от тяжести:
- Легкое углубление
- Вертикальное вдавление
- Широкая щель, приводящая к удвоению мыщелка
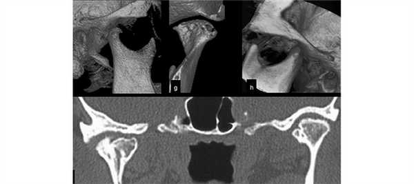
(Слева) На панорамной реформатированной КЛКТ визуализируется расщепленный мыщелок справа. Визуализируется углубление в на верхней поверхности мыщелка, в остальном выглядящего нормальным. Обратите внимание на расширение верхнего суставного пространства. Контакт зубов сохранен.
(Справа) На панорамной реформатированной КЛКТ у этого же пациента визуализируется явно не измененный левый мыщелок. Обратите внимание на нормальные размеры верхнею суставного пространства по сравнению с противоположной стороной. (Слева) На сагиттальной КЛКГ у этого же пациента визуализируется углубление в центре правого мыщелка. Определяется уплощение суставного возвышения в результате ремоделирования и приспособления к измененной форме мыщелка.
(Справа) На сагиттальной КЛКТ у этого же пациента визуализируется левый мыщелок неправильной формы. На панорамном реформатированном изображении нарушение формы мыщелка достоверно не обнаруживалось. Определяется углубление в центре мыщелка и явное удлинение переднею края. (Слева) На корональной КЛКТ у этого же пациента определяется неглубокое углубление в центре правого мыщелка, разделяющее головку на внутреннюю и наружную части, и придающее ей характерную форму сердца. Кортикальная пластинка мыщелка непрерывна.
(Справа) На корональной КЛКТ у этого же пациента определяется V-образное углубление с наружной стороны мыщелка, разделяющего головку на внутреннюю (большую) и наружную (меньшую) части. Это нетипичный случай двухстороннего расщепления мыщелка.
2. Рентгенография при расщеплении мыщелка височно-нижнечелюстного сустава (ВНЧС):
• Рентгенологические признаки:
о Панорамная рентгенография: разделение ± увеличение мыщелка
3. КТ при расщеплении мыщелка височно-нижнечелюстного сустава (ВНЧС):
• КТ костном окне:
о Углубление или вырезка верхнего края мыщелка или его удвоение без нарушения непрерывности кортикальной пластинки
о Ориентация: медиально-латеральная или передне-задняя:
- Медиально-латеральная ориентация: форма сердца на корональных изображениях
- Передне-задняя ориентация: два мыщелка (один перед другим) на сагиттальных изображениях
о Возможно ремоделирование нижнечелюстной ямки для приспособления к измененной форме мыщелка
о Костный анкилоз в случае травматической природы
4. МРТ при расщеплении мыщелка височно-нижнечелюстного сустава (ВНЧС):
• Нормальное положение суставного диска или его смещение
5. Рекомендации по визуализации:
• Лучший метод визуализации:
о КЛКТ или КТ
• Выбор протокола:
о Корональные или сагиттальные реформатированные изображения для оценки ориентации расщепленного мыщелка
о Сагиттальная КЛКТ или КТ позволяет отличить разделенную головку мыщелка от венечного отростка при передне-задней ориентации РМНЧ
в) Дифференциальная диагностика расщепления мыщелка височно-нижнечелюстного сустава (ВНЧС):
1. Перелом мыщелка:
• Вертикальный перелом мыщелка может давать картину его удвоения: кортикальная пластинка прерывается
• Сращение смещенных фрагментов — картина РМНЧ
2. Вариант нормальной анатомии:
• Легкое вдавление на суставной поверхности мыщелка может имитировать минимальное его расщепление
• Четкой границы, позволяющей отличить вариант анатомии от расщепленного мыщелка, не существует
г) Патология. Общая характеристика:
• Этиология:
о Врожденное расщепление:
- Генетические факторы, эндокринные заболевания
о Расщепление как нарушение развития:
- Нарушение кровоснабжения при формировании мыщелка, персистенция фиброзно-сосудистой перегородки в формирующемся мыщелке
о Приобретенное расщепление:
- Тератогенная эмбриопатия, недостаточное питание, инфекция, облучение, травма
(Слева) На сагиттальной КЛКТ определяется посттравматическое расщепление правого мыщелка. Визуализируется наружная часть расщепленного мыщелка. Шейка мыщелка не визуализируется, имеет место задняя угловая деформация.
(Справа) На сагиттальной КЛКТ (более медиальный срез) у этого же пациента в передних отделах мыщелка визуализируется выбухающий участок неправильной формы. (Слева) На корональной КЛКТ у этого же пациента визуализируются наружная (меньшая) и внутренняя (большая) части мыщелка, разделенные V-образным вдавлением в центре. Внутренняя часть, вероятно, представляет собой оригинальный мыщелок, сросшийся с шейкой после перелома, и подвергшийся ремоделированию.
(Справа) На корональной КЛКТ левого ВНЧС визуализируется расщепленный мыщелок с умеренно глубоким и широким вдавлением в центре, разделяющим мыщелок на наружную (меньшую) и внутреннюю (большую) части. (Слева) На сагиттальной КЛКТ визуализируется расщепленный мыщелок слева с углублением в центре. Суставная ямка и суставное возвышение не изменены.
(Справа) На корональной КЛКТ у этого же пациента визуализируется углубление в центре мыщелка, широкое в передних отделах и узкое - в задних.
1. Проявления:
• Типичные признаки/симптомы:
о Обычно бессимптомная случайная находка
• Другие признаки/симптомы:
о Боль, хруст в суставах
о Отек, ограничение подвижности
о Отклонение нижней челюсти в сторону поражения, асимметрия лица
2. Демография:
• Возраст:
о У большинства пациентов диагноз устанавливается после 20 лет:
- Возрастные рамки: 3 года - 67 лет
• Пол:
о М=Ж
3. Течение и прогноз:
• В большинстве случаев симптоматика не возникает
• Возможно нарушение функции ВНЧС
4. Лечение:
• Не требуется; в случае болевой симптоматики или дисфункции - кондилэктомия с целью восстановления функции
е) Диагностическая памятка:
• Пациент не всегда помнит о травме, в частности, полученной в раннем детстве
Компьютерная томография височно-нижнечелюстного сустава
КТ ВНЧС представляет собой неинвазивный метод диагностики, который основан на рентгеновском излучении. Характеризуется высоким уровнем информативности и небольшой дозой облучения, но проходить это обследование можно строго по назначению лечащего врача.
Патологии ВНЧС характеризуются нехарактерными симптомами, что усложняет процесс диагностики заболеваний. Пациент может испытывать повышенную чувствительность зубного ряда, боли в голове и нетипичную пульсацию в висках, что может указывать на целый ряд проблем. Все это может стать следствием некорректной диагностики и неправильного лечения. Характерный пример – это удаление зуба при непонятных причинах его сильной чувствительности. Чтобы этого избежать, используется компьютерная томография ВНЧС, которая позволяет дать максимально точную картину исследуемых участков.

Содержание
Особенности обследования
КТ височно-нижнечелюстного сустава позволяет получать снимки с послойным отображением внутренних структур. Сама суть метода основывается на способности тканей к накоплению и отражению электромагнитных волн. Излучаемые частицы способны достаточно глубоко проникать в слои организма пациента, что и дает отличные информативность результатов обследования.
КТ проводится с помощью специального аппарата – томографа. Он состоит из нескольких составляющих:
- ПК, который обрабатывает полученную информацию от аппарата. В итоге данные преображаются в 2D или 3D-снимки.
- Стол с выдвижным механизмом, на котором располагается пациент. Обратите внимание, что максимальный вес, который он может выдержать – это 160 кг, поэтому есть определенные ограничения к проведению процедуры для лиц с избыточным весом.
- Рентгеновские трубки. В зависимости от аппарата, их может быть до 64 штук. От их количества зависит длительность всего обследования.
- Гентри – это подвижная часть томографического оборудования.
Томография ВНЧС основывается на воздействии большого количества потоков рентген-лучей на исследуемую область. Датчики, размещенные на выдвижном столе (под телом больного), фиксируют накопление фотонов тканями человеческого организма. Вращение рентгеновских трубок позволяет проанализировать исследуемые участки во всем объеме.
В каких случаях проводится КТ?
Томография височно-нижнечелюстного сустава назначается при наличии следующих заболеваний и патологических состояний:
- Вывихи и подвывихи суставной головки.
- Анкилоз. Эта патология характеризуется практически полным отсутствием подвижности сустава. Происходит это по причине разросшейся соединительной ткани.
- Артрит, синовит и другие воспалительные заболевания.
- Посттравматические артропатии, которые отличаются нарушением функций суставов.
- Различные новообразования.
- Различные аномалии лицевого черепа ВНЧС. В частности, компьютерная томография используется для диагностики гипоплазии – недостаточного развития.
- Дегенеративные процессы, происходящие в суставах, которые практически не поддаются терапии. Отмирание костных структур может быть вызвано естественными возрастными изменениями или различными системными заболеваниями.
- Синдром Мебиуса, который диагностируется сразу же после рождения ребенка. Эта патология характеризуется отсутствием подвижности сустава, что является следствием разрастанием венечного отростка.
- Выявление последствий переломов и прочих травм.
- Болевой синдром в лицевой области.
- Проблемы с пережевыванием пищи, нарушение речи и закладывание в ушах.
Помимо этого, обследование показано тем пациентам, у которых открытие рта сопровождается характерным щелчком и наличием болей неясного происхождения, которые отдают в отдельные части головы.

Основные противопоказания
Компьютерная томография основывается на использовании рентгенологического облучения, поэтому есть противопоказаний к проведению этой процедуры. Кроме того, во время обследования пациент должен сохранять полную неподвижность в течение определенного временного промежутка.
В связи с этим, КТ противопоказана в следующих случаях:
- Избыточный вес обследуемого. Выдвижной стол может выдержать не более 160 кг.
- Измененное сознание пациента. Оно может быть вызвано алкогольным или наркотическим опьянением, либо различными психическими расстройствами.
- Детский возраст до 3 лет. При обследовании организм получает определенную дозу облучения, но особенно сильно это влияние происходит для детского организма. Могут замедлиться процессы обмена веществ и другие негативные последствия.
- Период вынашивания плода. Доказано, что рентген-лучи негативно сказываются на развитии ребенка.
Что касается беременности, то здесь важно одно уточнение. Если обследование нужно по причине жизненной необходимости и нет других альтернатив, то врач может принять положительное решение о проведении процедуры. Он должен оценить степень риска для плода, чтобы потенциальная польза для здоровья матери была не больше, чем вероятный вред для ребенка.
Правила подготовки
Подготовительные процедуры к КТ челюсти и ВНЧС зависят от того, будет ли использоваться контраст. Если да, то подготовка будет несколько основательнее, чем при обычном КТ.
Пациент должен сдать биохимию крови, чтобы узнать уровень мочевины и других важных показателей. Также стандартная процедура заключается в аллергической пробе, которая позволяет узнать реакцию организма на препарат, содержащий йод. В день самого обследования нужно воздержаться от еды и питья.
Если же речь идет о стандартной компьютерной томографии, то определенных правил подготовки к ней нет. Перед процедурой нужно будет снять с себя все металлические предметы (слуховой аппарат, серьги, украшения и т.д.).
Как проходит компьютерная томография височно-нижнечелюстного сустава?
Пациент ложится на специальный выдвижной стол аппарата. Специалист контролирует весь процесс обследования из соседнего помещения.
При включении томографа, стол заезжает внутрь самого аппарата. Его работа может сопровождаться шумом – это абсолютно нормально, поэтому нужно сохранять неподвижное состояние. Любое действие (открытие рта, поворот головы и т.д.) должно производиться только по команде врача.
Пациентам, страдающим от тревожных состояний или клаустрофобии, дается седативное средство перед процедурой. Делается это на случай возникновения панической атаки у человека.
Если у пациента резко ухудшится состояние внутри аппарата, он может сообщить об этом специалисту по встроенному микрофону.
КТ ВНЧС – что показывает обследование?
При проведении КТ, предполагаемая патология или дефект становятся хорошо видны на мониторе компьютера. Изображение может быть получено в нескольких проекциях – аксиальной, фронтальной или сагиттальной.
Полученный снимок может определить следующие виды отклонений:
- Изменение размеров суставной щели.
- Отклонения суставного диска.
- Изменение костных структур.
- Наличие новообразований.
- Смещение головок сустава.

Что лучше – МРТ или КТ?
Говоря об исследовании патологий ВНЧС, многие задаются вопросом, что выбрать МРТ или КТ? Для начала стоит отметить, что обе эти методики подходят для обследования состояния височно-нижнечелюстного сустава. И МРТ, и КТ, имеют свои преимущества и недостатки, поэтому однозначно ответить на вопрос о том, что лучше, достаточно проблематично.
МРТ лучше с точки зрения отсутствия определенных противопоказаний к ее проведению. Объясняется это тем, что в основе этого метода не лежит рентгеновское излучение, которое негативно влияет на организм человека при превышении допустимой дозы.
Говоря же именно об обследовании ВНЧС, то МРТ больше подходит для изучения суставных поверхностей (участков сочленения двух частей, покрытых хрящом). Что же касается изучения самого сустава, то в большинстве случаев назначает именно компьютерная томография. К тому же, стоимость КТ ниже, чем МРТ.
Разновидности обследования
КТ ВНЧС может проводиться с закрытым и открытым ртом, в зависимости от конкретного клинического случая. Во время проведения процедуры могут использоваться различные варианты этого обследования:
- Траснаксиальная методика. Это стандартная процедура (через ось тела). В ходе ее проведения получается порядка 25 снимков, идущих параллельно глазной ямке. Можно визуализировать отдельно левый и правый сустав.
- Саггитальное сканирование. Оно проводится строго параллельно ушной раковине. Ведется оценка состояния ВНЧС в трех фазах, т.е. пациента просят закрыть рот, приоткрыть его наполовину и полностью.
- Объемный 3D-режим. Получается пространственное изображение правого и левого сустава.
Как правило, во время диагностики используется комбинация из вышеуказанных вариантов обследования для получения наиболее точной картины.

Основные преимущества компьютерной томографии в диагностике патологий ВНЧС
- Идентичность съемки сустава с обеих сторон.
- Максимально точное воссоздание формы суставных поверхностей во всех плоскостях.
- Изучение состояния жевательных мышц и суставного диска.
- Отсутствие всяческих искажений, мешающих постановке диагноза.
- Минимальная доза облучения.
- Быстрая процедура обследования.
Те сведения и снимки, которые получается в результате КТ, имеют очень большую диагностическую ценность при составлении грамотной схемы лечения дисфункции височно-нижнечелюстного сустава, в протезировании и исправлении прикуса, а также при плановых хирургических вмешательствах (как подготовительная процедура).
Где можно сделать компьютерную томографию двух челюстей и ВНЧС в Санкт-Петербурге?
Диагностический рентген-центр «ЛУЧ» приглашает вас пройти компьютерную томографию 3D, которая успешно применяется для диагностики патологий ВНЧС. Объемность реконструкции исследуемой области придает диагностике необходимую точность и высокий уровень детализации.
Все это возможно, благодаря современному оборудованию нашего рентген-центра. Мы прекрасно понимаем, насколько важен правильно поставленный диагноз, поэтому тщательно подходим к выбору персонала.
Для наших клиентов возможна запись результатов исследования на цифровой носитель и курьерская доставка по Санкт-Петербургу. Чтобы записаться к нам на прием, нужно оставить онлайн-заявку на сайте, либо позвонить по указанному номеру телефона.
а) Дифференциальная диагностика:
1. Типичные варианты:
• Пролиферативное дегенеративное заболевание сустава
• Гиперплазия мыщелка
• Перелом мыщелка
2. Менее типичные варианты:
• Остеохондрома
• Остеома
• Расщепленный мыщелок
• Костный анкилоз
3. Редкие, но важные варианты:
• Фиброзная дисплазия
• Хондросаркома
• Отеосаркома
б) Важная информация:
1. Дифференциальный диагноз:
• Крупный мыщелок обычной формы позволяет предположить гиперплазию, особенно в сочетании с увеличением нижней челюсти с этой же стороны
• Остеохондрома может имитировать гиперплазию мыщелка, однако она не сопровождается увеличением нижней челюсти:
о Остеохондрома часто приводит к смещению мыщелка из суставной ямки нормального размера
о Возможно ремоделирование (расширение) суставной ямки для приспособления к увеличенному мыщелку при его гиперплазии
• Анамнез помогает в диагностике застарелых переломов мыщелка:
о Перелом может приводить к расщеплению мыщелка или костному анкилозу
• Пермеативные изменения костей подозрительны на злокачественную опухоль:
о Злокачественная опухоль может сопровождаться спикулообразной периостальной реакцией

(Слева) На корональной КЛКТ ВНЧС (под углом) определяются пролиферативные дегенеративные изменения. Выраженность пролиферативного процесса может нарастать, что имитирует опухоль. Сделать заключение помогает конгруэнтность суставных поверхностей на фоне других признаков ДЗС и отсутствия объемного воздействия.
(Справа) На панорамной реформатированной КЛКТ определяется гиперплазия левого мыщелка. Кортикальные пластинки мыщелка и трабекулы субхондральной кости не изменены. Обратите внимание на дугообразное выбухание а шейки мыщелка и заднего края ветви.
2. Особенности типичных вариантов:
• Пролиферативное дегенеративное заболевание сустава:
о Ключевая информация:
- Избыточная пролиферация костной ткани вследствие дегенеративных изменений костей
- Увеличение массы мыщелка без объемного воздействия
о Визуализация:
- Костные разрастания мыщелка и (иногда) суставной ямки в отсутствие объемного воздействия
- Конгруэнтные суставные поверхности мыщелка и суставной ямки
- Свободные внутрисуставные тела (вторичный синовиальный хондроматоз)
• Гиперплазия мыщелка:
о Ключевая информация:
- Медленное увеличение мыщелка нижней челюсти с одной стороны
- Возможно удлинение шейки мыщелка
- Увеличение ипсилатеральной 1/2 нижней челюсти пропорционально мыщелку
- Чаще всего наблюдается в возрасте 10-25 лет
- М>Ж
- Симптомы: асимметрия лица, депрессия окклюзионной плоскости на стороне поражения ± открытый прикус
- Самостоятельно останавливается; однако возможен рост вплоть до третьего десятилетия жизни
о Визуализация:
- Увеличение мыщелка, ветви и тела нижней челюсти с одной стороны
- Неизмененные кортикальные пластинки и субхондральная кость
- Наиболее увеличены передне-задний и вертикальный размеры мыщелка
- Форма мыщелка: коническая, сферическая, вытянутая, мультицентрическая, неправильная
- Возможно расширение суставной ямки для приспособления к увеличенному мыщелку
• Перелом мыщелка:
о Ключевая информация:
- Обычно возникает в области шейки и часто сочетается со смещением фрагмента мыщелка
- Симптоматика может отсутствовать, особенно у детей
- Симптомы: отек над ВНЧС, ограничение подвижности, мальокклюзия, часто ушиб подбородка
о Визуализация:
- Отломленный фрагмент может срастаться с шейкой мыщелка с внутренней стороны, имитируя увеличенный мыщелок неправильной формы
- Уплощение суставной ямки
- Со временем могут развиться дегенеративные изменения ВНЧС на стороне поражения
- При переломах у детей: гипоплазия нижней челюсти на стороне поражения и ее отклонение
(Слева) На панорамной рентгенограмме у пациента с переломом мыщелка определяется увеличение его размеров из-за наложения отломков.
(Справа) На сагиттальной КЛКТ у пациента с переломом левою мыщелка определяется его деформация и увеличение. Отломленный дефект сращен с ветвью, образуя «ступеньку». Определяется ре моделирование суставной ямки для приспособления к увеличенному мыщелку, а также ее уплощение и склерозирование. (Слева) На панорамной рентгенограмме определяется остеохондрома правого мыщелка. Мыщелок увеличен, ноипсилатеральная ветвь нижней челюсти не изменена, что позволяет исключить гиперплазию мыщелка.
(Справа) На панорамной рентгенограмме определяется остеохондрома левого мыщелка, отходящая от передней поверхности и сочленяющаяся с суставным возвышением, не позволяя мыщелку занимать суставную ямку. Трабекулярная кость опухоли продолжается в трабекулярную кость мыщелка. (Слева) На аксиальной КЛКТ определяется остеома ВНЧС, отходящая от заднего и внутреннего края мыщелка. Опухоль, образованная кортикальным и губчатым компонентами, возникает на периостальной поверхности мыщелка.
(Справа) На трехмерной реконструкции (вид сбоку) у этою же пациента визуализируется часть опухоли, отходящая от заднего края мыщелка и смещающая его кпереди.
3. Особенности менее типичных вариантов:
• Остеохондрома:
о Ключевая информация:
- Медленно растущая экзофитная опухоль кости с хрящевой «шапочкой»
- Средний возраст на момент диагностики: 40 лет; Ж>М
- Возможные проявления: отек над ВНЧС, асимметрия лица, ± боль
- Задний открытый прикус на стороне поражения, отклонение нижней челюсти в «здоровую» сторону
- Снижение подвижности
о Визуализация:
- Часто ошибочно расценивается как гиперплазия мыщелка или остеофиты при дегенеративном поражении сустава
- Деформированный и увеличенный мыщелок без увеличения ипсилатеральной 1/2 нижней челюсти
- Выглядит как объемное образование смешанной плотности на ножке, связанное с мыщелком или венечным отростком
- Может выглядеть как костное разрастание, ориентированное в направлении волокон латеральной крыловидной мышцы (кнутри и кпереди)
- Часто отходит от передней или передневнутренней поверхности мыщелка
- Граница между опухолью и подлежащей неизмененной костью обычно нечеткая
• Остеома:
о Ключевая информация:
- Доброкачественная опухоль кости
- Может смещать нижнюю челюсть в «здоровую» сторону
о Визуализация:
- Возникает обычно на участках, покрытых надкостницей (шейка и задний край мыщелка)
- Может быть кортикальной или губчатой
- На ножке или на широком основании
- Может отодвигать мыщелок от себя
• Расщепленный мыщелок:
о Ключевая информация:
- Редкое частичное разделение мыщелка
- Одно-: двухстороннее = 4:1
- Симптоматика обычно отсутствует; боль или щелчки в суставе
о Визуализация:
- Мыщелок выглядит дольчатым и/или увеличенным
- Вдавление или вырезка на верхней поверхности мыщелка или его удвоение
- Возможно ремоделирование суставной ямки для приспособления к измененной форме мыщелка
- Может сочетаться с костным анкилозом в случае травматической этиологии
• Костный анкилоз:
о Ключевая информация:
- Неподвижность в суставе за счет слияния мыщелка с черепом путем формирования костной, фиброзной или фиброзно-костной ткани
- Одно- или двухсторонний
- Прогрессирующее или сохраняющееся в течение длительного времени ограничение открывания рта
- При анкилозе у детей нарушается рост нижней челюсти
- Этиология: травма (перелом), инфекция, системное заболевание, ревматоидный артрит
о Визуализация:
- Выраженное сужение или отсутствие суставного пространства
- Неровные края увеличенных суставных поверхностей с фиброзными или костными мостиками
- Увеличение мыщелка, возможно удлинение венечных отростков, углубление антегониальной вырезки на стороне поражения
(Слева) На корональной КЛКТ визуализируется расщепленный мыщелок с центральным вдавлением умеренной ширины и глубины, разделяющим мыщелок на наружную (большую) и внутреннюю (меньшую) доли. Мыщелок выглядит увеличенным и имеет форму «сердечка».
(Справа) На корональной КЛКТ определяется увеличение правого мыщелка, слившегося с височной костью за счет костного мостика ЕЭ с наружной стороны, а также облитерация суставного пространства. Шейка мыщелка и ветвь В нижней челюсти утолщены. (Слева) На кадрированной панорамной рентгенограмме определяется хондросаркома левого мыщелка. Мыщелок увеличен, опухоль рентгенонегативна, хорошо отграничена, мультифокальна.
(Справа) На аксиальной КТ в костном окне у этого же пациента определяется увеличение мыщелка с наличием рентгенонегативных включений, напоминающих пузырьки, с внутренней стороны. Нормальная трабекуляр ная картина отсутствует. Эти изменения позволяют отличить хондросаркому от гиперплазии мыщелка. (Слева) На аксиальной КТ в костном окне определяется остеосаркома левого мыщелка, проявляющаяся тотальным его увеличением с деструкцией трабекулярной костив Кортикальная пластинка мыщелка истончена и деформирована.
(Справа) На аксиальной КТ в костном окне определяется остеосаркома ветви и мыщелка нижней челюсти справа. Мыщелок увеличен, ветвь утолщена за счет спикулообразной периостальной реакции, типичной для остеосаркомы. Снаружи от нижней челюсти определяется сопутствующая мягкотканная опухоль.
4. Особенности редких вариантов:
• Фиброзная дисплазия:
о Ключевая информация:
- Редко наблюдается в ВНЧС
о Визуализация:
- Равномерное вздутие мыщелка, картина матового стекла
- Обычно поражаются и другие области
• Хондросаркома:
о Ключевая информация:
- Редкая злокачественная опухоль из хрящевых клеток
- Средний возраст: 50 лет
- Ж:М = 2:1 (для ВНЧС)
- Симптомы: преаурикулярный отек, отклонение нижней челюсти, боль, ограничение подвижности
о Визуализация:
- Мыщелок может выглядеть увеличенным и удлиненным, вокруг мыщелка и в суставном пространстве обнаруживаются кальцинаты, напоминающие хлопья, ± деструкция кости
- Возможно также расширение суставной ямки
- Мягкотканная опухоль
- Внутриопухолевые облаковидные кальцинаты с плотными включениями в виде завитков и дуг
- Возможна спикулообразная периостальная реакция
• Остеосаркома:
о Ключевая информация:
- Злокачественная опухоль кости, продуцирующая остеоид
- Средний возраст: 35 лет
- М:Ж = 2:1
- Симптомы: отек, ограничение подвижности челюсти, мальоккпюзия, боль, в т.ч. головная
о Визуализация:
- Деструкция кости с агрессивной спикулообразной периостальной реакцией ± формирование опухоли
- Мыщелок может выглядеть увеличенным и «пятнистым»
Читайте также:
