КТ, МРТ при фиброзной дисплазии височной кости
Добавил пользователь Евгений Кузнецов Обновлено: 08.01.2026
а) Терминология:
1. Синонимы:
• Краниофациальная фиброзная дисплазия, фиброзный остеит, фиброзная остеодистрофия
• Синдром МакКьюна-Олбрайта
2. Определение:
• Врожденное расстройство, сопровождающееся нарушением дифференцировки и созревания остеобластов и приводящее к прогрессирующему замещению нормальной губчатой кости смесью фиброзной ткани и незрелой грубоволокнистой кости
б) Визуализация:
1. Общая характеристика:
• Лучший диагностический критерий:
о При КТ в костном окне в распространенном образовании кости определяется матрикс типа матового стекла
• Локализация:
о Может поражать любую кость, в том числе череп, основание черепа и кости лица
о Часто поражено более одной кости
• Размеры:
о Лолиоссальные поражения могут быть массивными
• Морфология:
о Утолщение кости
2. Рентгенологические данные:
• Рентгенография:
о Расширенная утолщенная кость, по плотности напоминающая матовое стекло
о Могут также наблюдаться прозрачные участки и зоны склероза

(Слева) При КТ в костном окне в корональной проекции определяется утолщенная чешуя височной кости неоднородной плотности. Также наблюдается утолщение клиновидной кости неоднородной плотности. В теле нижней челюсти определяется преимущественно кистозный (фиброзный) очаг поражения.
(Справа) При аксиальной КТ в костном окне у этого же пациента с полиоссальной фиброзной дисплазией определяются смешанные рентген прозрачные и склеротические изменения кости. Обратите внимание: шов резко разграничивает зоны различных изменений кости, что характерно для фиброзной дисплазии.
3. КТ при фиброзной дисплазии основания черепа:
• КТ без контрастного усиления:
о Картина варьирует в зависимости от соотношения фиброзной и костной ткани
о Распространенное образование с характерной резкой границей между измененной и нормальной костной тканью
• КТ с КУ:
о Зачастую бывает трудно оценить контрастирование, за исключением зон прозрачной кости
• КТ в костном окне:
о Распространенное образование с вариабельным коэффициентом ослабления, центр которого лежит в костномозговом канале:
- Педжетоидный (смешанный)тип (50%): перемежающиеся рентген-прозрачные и рентген-непрозрачные участки
- Склеротическая фиброзная дисплазия (25%): плотность матового стекла
- Кистозная фиброзная дисплазия (25%): зона патологических изменений прозрачна в центре и окружена истонченными, но склерозированными краями
4. МРТ при фиброзной дисплазии основания черепа:
• Т1ВИ:
о Распространенное объемное образование, содержащее оссифицированные ± фиброзные участки, ослабляющие сигнал
• Т2ВИ:
о Слабый сигнал оссифицированных ± фиброзных порций образования
о В активной фазе часто наблюдается гетерогенность сигнала
• Т1ВИ с КУ:
о Вариабельное контрастирование в зависимости от типа патологических изменений:
- Контрастирование диффузное, краевое или отсутствует вовсе
о В зонах фиброза может наблюдаться интенсивное контрастирование
• МР-артериография:
о Если пораженная кость разрастается в просвет артериальных сосудистых каналов/отверстий, наблюдается сужение или смещение сосудов
• МР-венография:
о Если пораженная кость разрастается в просвет венозных каналов/отверстий, наблюдается сужение или смещение сосудов
5. Сцинтиграфия:
• Сцинтиграфия кости:
о Изменения неспецифичны; при полиоссальной фиброзной дисплазии метод информативен при оценке распространенности поражений скелета
о Повышенное накопление радионуклидов, усиленная перфузия, задержка костной фазы
• Позитронно-эмиссионная томография:
о Накопление [11C] метил-L-метионина при ПЭТ
о При ПЭТ с фтордезоксиглюкозой наблюдается усиление метаболизма различной степени
6. Рекомендации по визуализации:
• Лучший метод визуализации:
о Как правило, наилучшим методом является КТ в костном окне
• Рекомендации по протоколу исследования:
о МРТ Т1 FS c КУ в осложненных случаях (нейропатия ЧН, подозрение на озлокачествление)

(Слева) При КТ в костном окне в аксиальной проекции определяется смешанная склеротическая и рентгенпрозрачная фиброзная дисплазия клиновидной кости и верхней челюсти. Обратите внимание на сужение левой крыловидно-верхнечелюстной щели. Дефект коркового слоя верхней челюсти - след выполненной ранее биопсии.
(Справа) При корональной КТ в костном окне у пациента с фиброзной дисплазией определяется обширное поражение тела клиновидной кости и крыловидных отростков. Отмечается также выраженное сужение левого видиевого канала, смещение и небольшое сужение левого круглого отверстия.
в) Дифференциальная диагностика фиброзной дисплазии основания черепа:
1. Болезнь Педжета:
• Как правило, манифестирует в пожилом возрасте
• Чаще поражает височную кость и свод черепа, чем краниофациальную зону
• При КТ изменения типа «хлопьев ваты» и «пучков шерсти»
2. Оссифицирующая фиброма:
• Может симулировать кистозную форму фиброзной дисплазии
• Толстый костный край, сниженная плотность центральной части
• Как правило, более локализованна и больше напоминает объемное образование по сравнению с фиброзной дисплазией
3. Менингиома:
• Внутрикостная менингиома может симулировать фиброзную дисплазию
• При МРТ с контрастированием может определяться бляшковидное мягкотканное объемное образование
4. Метастазы в основании черепа:
• Смешанный склеротически-деструктивный метастаз может симулировать фиброзную дисплазию
• Чаще всего в основание черепа метастазируют карциномы простаты и молочной железы
5. Хондросаркома:
• Центр опухоли лежит в каменисто-затылочной щели
• При КТ в костном окне в матриксе опухоли определяются дугообразные или кольцевидные кальцинаты
• Гиперинтенсивна при МРТ Т2 ВИ
6. Гигантоклеточная опухоль:
• Может симулировать склеротическую фиброзную дисплазию
• Из-за отложения гемосидерина гипоинтенсивна при МРТ Т2
• При МРТ наблюдается более интенсивное контрастирование по сравнению с фиброзной дисплазией

(Слева) При КТ в костном окне в аксиальной проекции отмечаются утолщение, склероз и изменения типа матового стекла левого большого крыла клиновидной кости. Обратите внимание на левый клиновидно-височный шов, резко разграничивающий нормальную кость и зону патологических изменений; такая картина типична для фиброзной дисплазии.
(Справа) При аксиальной MPT Т2ВИ FS у этого же пациента в зоне патологических изменений кости регистрируется преимущественно гипоинтенсивный сигнал. При МРТ отмечается высокая вариабельность МР-сигнала и характера контрастирования пораженной кости, зависящих от соотношения фиброзной и склеротической тканей.
г) Патология:
1. Общая характеристика:
• Этиология:
о Доброкачественное опухолеподобное новообразование кости, развивающееся вследствие локальной остановки нормального развития структуры/архитекгоники
• Генетика:
о Спорадическая мутация гена G/VAS; ненаследственная
о Картина монооссальной или полиоссальной форм фиброзной дисплазии развивается вследствие пролиферации клеток, принадлежащих к мутантной клеточной линии
• Сопутствующие аномалии:
о Аневризматическая киста кости
о При синдроме МакКьюна-Олбрайта могут наблюдаться множественные эндокринные расстройства
2. Стадии, классификация фиброзной дисплазии основания черепа:
• Монооссальная и полиоссальная
• Конкретный тип патологических изменений определяется активностью заболевания:
о Педжетоидный
о Склеротический
о Кистозный
3. Макроскопические и хирургические особенности:
• Объемное образование от бежево-желтого до белого цвета
• Эластичная или зернистая консистенция, в зависимости от фиброзного или костного содержимого
4. Микроскопия:
• Фиброзная ткань, содержащая отдельные трабекулы незрелой грубоволокнистой кости, напоминающие китайские иероглифы
д) Клинические особенности:
1. Проявления:
• Типичные признаки/симптомы:
о Симптоматика зависит от локализации образования:
- Височная кость: кондуктивная тугоухость; стеноз наружного слухового прохода; парез ЧН VII
- Глазница: экзофтальм, нейрооптикопатия
- Придаточные пазухи носа: обструкция устья → формирование мукоцеле
• Другие признаки/симптомы:
о Боли, локальный отек, болезненность о Leontiasis ossea (львиное лицо) с обширный поражением костей лица:
- Приводит к деформации контуров лица и свода черепа
- Обструкция придаточных пазух
- Возможно развитие комплексной нейропатии ЧН вследствие сужения отверстий черепа
• Клинический профиль:
о Три клинических формы: монооссальная, полиоссальная и синдром МакКьюна-Олбрайта
о Монооссальная фиброзная дисплазия (70%):
- Единственный очаг поражения кости
- Развивается у детей старшего возраста и молодых людей (в 75% манифестирует в возрасте младше тридцати лет)
- Поражение основания черепа и лица развиваются в 25% случаев; верхняя (особенно скуловой отросток) и нижняя (зона моляров) челюсти >> лобная кость > решетчатая и клиновидная кости > височная кость
- Может протекать бессимптомно и диагностироваться как случайная находка
о Полиоссальная фиброзная дисплазия (25%):
- Поражено две и более отдельных зоны скелета
- Поражение основания черепа и лица развивается в 50% случаев
- Пациенты младшего возраста (средний возраст на момент постановки диагноза - 8 лет):
у 2/3 пациентов клинические проявления, в том числе асимметрия краниофациальной зоны, развивается к десятилетнему возрасту
о Синдром МакКьюна-Олбрайта (3-5%):
- Полиоссальная фиброзная дисплазия (обычно односторонняя)
- Сопровождается эндокринной дисфункцией (преждевременное половое созревание) и кожной гиперпигментацией (пятна типа «кофе с молоком»)
- Развивается в еще более раннем возрасте; сопровождается более тяжелым поражением костей
2. Демография:
• Возраст:
о В большинстве случаев до 30 лет
• Пол:
о М:Ж=1:2
о Синдром МакКьюна-Олбрайта: обычно у женщин
• Эпидемиология:
о Одно из наиболее часто встречающихся костно-фиброзных новообразований
о Монооссальная фиброзная дисплазия встречается в шесть раз чаще полиоссальной
о При полиоссальной форме чаще поражаются кости свода черепа
3. Течение и прогноз:
• При монооссальной краниофациальной фиброзной дисплазии прогноз благоприятный:
о Прогресс заболевания часто прекращается по окончании пубертатного периода
• Полиоссальная фиброзная дисплазия редко угрожает жизни, но характеризуется неблагоприятным прогнозом:
о Может прогрессировать и в возрасте старше тридцати лет
• Озлокачествление (саркоматозная трансформация) фиброзной дисплазии наблюдается редко (о Чаще всего развивается остеосаркома
4. Лечение:
• Агрессивное хирургическое вмешательство, как правило, не показано
• Лучевая терапия обычно не проводится (рискозлокачествления)
• Терапия бифосфонатами облегчает течение заболевания (↓ боли, снижает частоту переломов)
е) Диагностическая памятка. Советы по интерпретации изображений:
• Классическая картина → «матовое стекло» при КТ в костном окне; ослабление сигнала при МРТ Т2ВИ
Фиброзная дисплазия
Фиброзная дисплазия — это заболевание, характеризующееся нарушением развития скелета, при котором нормальная кость замещается фиброзной тканью с элементами диспластически изменённой кости.
Фиброзная дисплазия расценивается как опухолеполобная гиперплазия в одной или одновременно в нескольких костях, которая сопровождается и внескелетными аномалиями.
Терминология
- Фиброзная дисплазия делится на следующие подтипы
- монооссальная ФД — в 70-80% случаях. Чаще в промежутке от 20-30 лет
- краниальная ФД
- черубизм (СЕМЕЙНАЯ ФИБРОЗНАЯ ДИСПЛАЗИЯ ЧЕЛЮСТИ) — неистинная ФД — поражение верхней и нижней челюсти
Эпидемиология
Встречается до 30 лет в 75% случаях, с наибольшей частотой встречаемости в промежутке от 3 до 15 лет. Взаимосвязи с полом нет.
Ассоциация
- Хотя фиброзная дисплазия обычно спорадическая, ряд ассоциаций давно доказаны:
- Синдром МакКьюн-Олбрайт — 2-3% случаях полиостальной формы.
- Изолированная форма с эндокринопатией без Синдром МакКьюн-Олбрайт у девочек — гипертиреоз, гиперпаратиреоз, акромегалия, сахарный диабет.
- Синдром Кушинга: остеопороз, акне, задержка роста
- Синдром Mazabraud: миксомы мягких тканей (редко); обычно множественные внутримышечные поражения в непосредственной близости от наиболее пострадавшей кости
Клиническая картина
- Пациент обращается за помощью, когда
- Появляется асимметрия, например, парных костей или костей лица
- Появляется боль
- Появляются нарушения двигательной функции
- Появляются патологические переломы
![klinika]()
Патология
Макроскопические изменения
- При макроскопическом исследовании определяются беловато-красные опухолевые очаги разной плотности, в зависимости от степени выраженности их минерализации. Имеются многочисленные кисты, заполненные желтоватой или красноватой жидкостью, и полупрозрачные участки хряща до 3 см в диаметре.
![makro]()
Микроскопические изменения
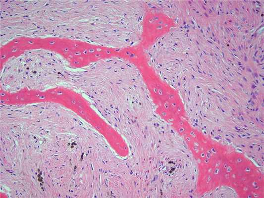
- Многочисленные остеоидные балки неправильной формы, лежащие в фиброзной ткани с небольшим числом остеобластов. Остеоидные балки представляют собой большей частью волокнистую, но не компактную кость.
- Мелкие участки остеоида могут быть обызвествлены. Известь откладывается, как правило, в центре балки. Имеются многоядерные клетки типа остеокластов, окаймляющие некоторые балки.
- В периферических отделах очаг фиброзной дисплазии без резкого перехода сливается с реактивной костью. Фиброзная строма местами коллагенизирована, кое-где миксоматозна, то богата клеточными элементами, то почти лишена их.
- Фибробласты имеют то крупные овальные, то вытянутые и как бы сморщенные ядра. Между разрастаниями фиброзной ткани и остеоида встречаются островки хряща, обызвествленные по периферии. Принято думать, что такая картина весьма стабильна и сохраняется на протяжении многих лет и у детей, и у взрослых лиц.
- Хрящевые островки присутствуют в 10% случаях, что является отличительной чертой от хондросаркомы
- При ФД нет ободка остеобластов, что позволяет дифференцировать от оссифицирующей фибромы
![mikro]()
Подтипы
- монооссальная ФД — в 70-80% случаях. Чаще в промежутке от 20-30 лет
- полиоссальная ФД — 20-30% случаях. Чаще проявляется до 8 лет
Типичная локализация
![1]()
- Монооссальная ФД
- ребер: 28%, наиболее распространенных 6,7
- проксимальный отдел бедренной кости: 23%
- голень
- черепно-лицевая кость: 10-25% 4
- плечо
- Полиоссальная ФД
- часто односторонних: в пределах одной конечности 6
- бедра: 91%
- голени: 81%
- таз: 78%
- ноги: 73%
- ребра
- черепа и кости лица: 50% 4
- верхняя конечность
- поясничный отдел позвоночника: 14%
- ключица: 10%
- шейный отдел позвоночника: 7%
Радиологические находки
- Рентгенологическая картина фиброзной дисплазии разнообразна.
- Патологические участки могут быть то более плотными, то более прозрачными по сравнению с окружающей костью, иногда имеют вид «матового стекла».
- Одни очаги четко отграничены зоной склероза, контуры других расплывчатые, что особенно характерно для костей черепа.
- Нередко выявляются узуры в кортикальном слое, а при наличии перелома — отчетливая периостальная реакция.
КТ
- затемнение по типу матового стекла: 56% 4
- очаг однородный склеротический: 23%
- очаг кистозный: 21%
- очаг с четко определенными границами
- расширение костей с интактными вышележащими костями
МРТ
- МРТ не является методом 100% в дифференциации фиброзной дисплазии от злокачественных образований
- Т1: неоднородный сигнал, как правило, промежуточный
- Т2: неоднородный сигнал, обычно гипоинтенсивный, но бывает с гиперинтенсивными участками
- Т1 с+ (Gd): гетерогенное контрастирование 4
Ядерная медицина
- Визуализируется увеличение индикаторного поглощения Tc99 при сканирование костей
- (очаги остаются метаболически активными и во взрослой жизни).
![nuklear]()
Осложнения
- Дедифференциация до
- остеосаркомы — наиболее чаще
- фибросаркомы
- злокачественной фиброзной гистиоцитомы
- реже до хондросаркомы
Дифференциальный диагноз
- Болезнь Педжета
- гистологически мозаичные включения в костях
- радиографическимогут быть схожи
- Нейрофиброматоз 1 типа
- Остеофиброзная дисплазия
- Не-оссифицирующая фиброма
- Гигантско-клеточная опухоль
Клинические случаи
Этот 23-летний мужчина упомянул, чтобы была травма и теперь жалуется на боль и отек левой голени.
Этот 33-летний мужчина жалуется на невыносимые головные боли.
Источник
4. Chong VF, Khoo JB, Fan YF. Fibrous dysplasia involving the base of the skull. AJR Am J Roentgenol. 2002;178 (3): 717-20. AJR Am J Roentgenol (full text) — Pubmed citation
5. Brown EW, Megerian CA, Mckenna MJ et-al. Fibrous dysplasia of the temporal bone: imaging findings. AJR Am J Roentgenol. 1995;164 (3): 679-82. AJR Am J Roentgenol (abstract) — Pubmed citation
6. Fitzpatrick KA, Taljanovic MS, Speer DP et-al. Imaging findings of fibrous dysplasia with histopathologic and intraoperative correlation. AJR Am J Roentgenol. 2004;182 (6): 1389-98. AJR Am J Roentgenol (full text) — Pubmed citation
7. Kransdorf MJ, Murphey MD. Diagnosis please. Case 12: Mazabraud syndrome. Radiology. 1999;212 (1): 129-32. Radiology (full text) — Pubmed citation
98. Maramattom BV. Leontiasis ossea and post traumatic cervical cord contusion in polyostotic fibrous dysplasia. Head & Face Medicine. 2006;2 (1): 24. doi:10.1186/1746-160X-2-24 — Free text at pubmed — Pubmed citation
9. Larheim TA, Westesson P. Maxillofacial Imaging. Springer Verlag. (2008) ISBN:3540786856. Read it at Google Books — Find it at Amazon
killКТ, МРТ при фиброзной дисплазии височной кости
1. Сокращения:
• Фиброзная дисплазия (ФД)2. Синонимы:
• Черепно-лицевая фиброзная дисплазия (ЧЛД), фиброзный остеит, фиброзная остеодистрофия
• Синдром Мак-Кьюна-Олбрайта (СМО): один из наиболее частых синдромов фиброзной дисплазии (ФД)
• Дисплазия Яффе-Лихтенштейна (моностозная фиброзная дисплазия (ФД))3. Определение:
• Врожденное заболевание, характеризующееся наличием увеличивающихся в размерах поражений, состоящих из смеси фиброзной ткани, грубоволокнистой костной ткани
• Дефект дифференцировки, созревание остеобластов
• Одно из наиболее частых фиброзно-костных поражений1. Общие характеристики фиброзной дисплазии:
• Лучший диагностический критерий:
о Структура поражения кости по типу «матового стекла» по данным КТ
• Локализация:
о Могут поражаться любые отделы черепа
о ЧЛД: у большинства поражается > одной кости:
- Наиболее часто поражение верхней челюсти, глазницы и лобной кости в одном случае; поражение решетчатой и клиновидной костей - в другом2. Рентгенологические признаки:
• Рентгенография:
о Утолщение костных структур по типу «матового стекла» о ЧЛД: аномалии прикуса в 20% случаев![Фиброзная дисплазия на КТ головы]()
(Слева) КТ, костное окно, аксиальный срез: у девятилетней пациентки наблюдается кистозный вариант фиброзной диспла -зии. Обратите внимание на зоны явной кистозной трансформации в области более характерных изменений по типу «матового стекла» и в смежных с ними отделах.
(Справа) КТ, костный режим, корональный срез: у этой же пациентки определяется экспансивная фиброзная дисплазия (ФД) носорешетчатой области; поражения имеют кистозные структуры, которые характеризуются тонкими, но скперозированными стенками..3. КТ признаки фиброзной дисплазии:
• Бесконтрастная КТ:
о КТ-картина зависит от относительного содержания фиброзной и костной ткани
о Поражение кости с ее утолщением, утолщение диплоическо-го пространства
о Склеротические, кистозные, смешанные изменения костей, а также изменение из структуры по типу «матового стекла»
- При кистозном характере может иметь толстую склеротическую "кожуру”4. МРТ признаки фиброзной дисплазии:
• Т1-ВИ:
о Обычный: ↓ интенсивности сигнала
• Т2-ВИ:
о Обычный: ↓ интенсивности сигнала от всего образования (при солидной его структуре) или по типу ободка (при его кистозной структуре)
о ↑ клинико-патоморфологической активности приводит к ↑ интенсивности сигнала
• Постконтрастные Т1-ВИ:
о Характер контрастного усиления зависит от характера поражения (кольцевидного, диффузного характера или отсутствует)5. Радионуклидная диагностика:
• Остеосцинтиграфия:
о Вариабельная степень поглощения радионуклида: перфузионная/отсроченная фазы
о Неспецифический, но чувствительный метод к степени поражения скелета при полиостозной фиброзной дисплазии (ФД)
• ПЭТ:
о Накопление 11С-МЕТ
о Возможно обнаружение горячего очага вариабельной степени выраженности при ПЭТ с ФДГ:
- Не следует путать с метастатическим поражением
- Помогает корреляция с рентгенограммой, КТ6. Рекомендации по визуализации:
• Лучший инструмент визуализации:
о КТ в костном режиме
• Совет по протоколу исследования:
о КТ или МРТ для определения протяженности локальных изменений
о Остеосцинтиграфия для поиска дополнительных поражений других костных структур![Фиброзная дисплазия на КТ головы]()
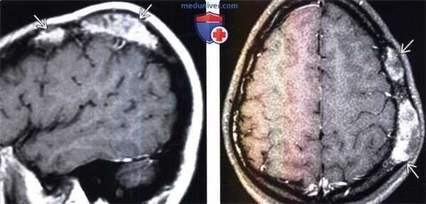
(Слева) МРТ, Т1 -ВИ, сагиттальный срез: у юноши 77 лет с медленно увеличивающейся в размерах «шишкой на волосистой части головы» определяется объемное образование свода черепа, которое имеет умеренно гипоинтенсивный сигнал.
(Справа) МРТ, Т2-ВИ, режим подавления сигнала от жира, аксиальный срез: у этого же пациента отмечается, что поражение имеет слегка неоднородный гипоинтенсивный сигнал.в) Дифференциальная диагностика фиброзной дисплазии:
1. Болезнь Педжета:
• Педжетоидный характер «матового стекла» при ФД имитирует болезнь Педжета
• Болезнь Педжета: вовлечение свода черепа, а не мозгового и лицевого его отделов; «череп из ваты» на КТ-изображениях2. Склерозирующий остеомиелит Гарре:
• Увеличение в размерах костных структур, имеющих неоднородную склеротическую структуру; ± истончение до полного исчезновения коркового слоя кости; ± периостальная реакция3. Синдром Яффе-Кампаначчи (СЯК):
• Неоссифицирующие фибромы, веснушки в подмышечной области и пятна на коже по типу «кофе с молоком» (при отсутствии нейрофибром)
• Имитирует полиостозную форму фиброзной дисплазии (ФД)
о Пятна по типу «кофе с молоком» при СЯК: побережье Калифорнии (как при нейрофиброматозе 1 типа)
о Пятна по типу «кофе с молоком» при СМО: побережье штата Мэн4. Черепно-метафизеальная дисплазия:
• Гиперостоз и склероз костей лицевого и мозгового черепа → деформация лица, компрессия черепных нервов
• Аномальное моделирование метафизов длинных трубчатых костей; выпуклость стенок околоносовых пазух5. Менингиома:
• Гиперостоз при менингиоме имитирует фиброзную дисплазию (ФД)
• МР-спектроскопия: характерный пик аланина6. Другие заболевания, характеризующиеся утолщением и аномальной плотностью костных структур:
• Талассемия: характерно вовлечение в процесс придаточных пазух носа; периостальная реакция по типу «волос дыбом»
• Остеопетроз: вовлечение всех костей
• Нейрокожные заболевания: кистозно-фиброзный остеит:
о Туберозный склероз
о Нейрофиброматоз 1 типа
• Хроническая почечная недостаточность: почечная остеодистрофия может имитировать краниосклероз
• Гиперостоз внутренней пластинки лобной кости при синдроме Морганьи:
о Женщины постменопаузного возраста, изменения ограничены лобной костью![Фиброзная дисплазия на КТ головы]()
(Слева) МРТ, постконтрастное Т1-ВИ, сагиттальный срез: у этого же пациента определяется два поражения свода черепа, умеренно интенсивно, но гетерогенно накапливающие контрастное вещество.
(Справа) МРТ, постконтрастное Т1 -ВИ, режим подавления сигнала от жира, аксиальный срез: интенсивное, но гетерогенное контрастное усиление поражений. Данные рентгенологические признаки характерны для активной фиброзной дисплазии.1. Общие характеристики фиброзной дисплазии:
• Этиология:
о Мутация гена белка Gsa в клетках-предшественниках остеобластов приводит к ↑ их пролиферации; аномальная дифференцировка клеток
• Генетика:
о Описаны многочисленные позитивно/негативно регулируемые гены:
- Мутации в регуляторном белке Gsa (кодируются геном GNAS1) часто наблюдаются при моностозной, полиостозной формах фиброзной дисплазии (ФД) и СМО
При фиброзной дисплазии (ФД) наблюдается чрезмерная экспрессия гена ADAMTS2 в тканях2. Стадирование и классификация фиброзной дисплазии:
• Моноостозная и полиостозная формы
• Специфическая форма поражения (педжетоидная, склеротическая, кистозная) обусловлена активностью болезни:
о Считается, что активность форм фиброзной дисплазии убывает в следующем порядке: кистозная, педжетоидная и склеротическая:
- Кистозная фиброзная дисплазия (ФД) (11-21 %): гиподенсная структура поражения (за исключением его наружных отделов)
- Педжетоидная смешанная фиброзная дисплазия (ФД) (56%): «матовое стекло» + кистозные изменения
- Однородная склеротическая фиброзная дисплазия (ФД) (23-34%)3. Макроскопические и хирургические особенности:
• Фиброзная ткань, имеющая «песчаную» структуру и цвет от желтовато-коричневого до серого
• Вариабельная консистенция, которая зависит от фиброзного и костного компонентов
• Грубоволокнистая костная ткань незрелая, непрочная, склонна к переломам
• Могут присутствовать геморрагические, кистозные изменения4. Микроскопия:
• Фиброзная строма, обычно бессосудистая, низкая целлюлярность
• Метаплазия костей: костные трабекулы, состоящие из незрелой, грубоволокнистой костной ткани, которые выглядят как фигуры необычной формы, «плавающие» в фиброзной строме
о Похожи на «китайские иероглифы» или «алфавитный суп»д) Клиническая картина:
1. Проявления фиброзной дисплазии:
• Наиболее частые признаки/симптомы:
о Отек и/или деформация, боль
• Клинический профиль:
о Экзофтальм, нейропатия черепных нервов (диплопия, потеря слуха, слепота), атипичная лицевая боль или онемение, головная боль
о Множественные эндокринные расстройства характерны для тяжелой полиостозной фиброзной дисплазии
• Проявления: моностозная, полиостозная, черепно-лицевая (ЧЛД), синдромальные (многие известные синдромы) формы:
о Моностозная фиброзная дисплазия (ФД):
- 70% всех случаев фиброзной дисплазии (ФД); поражение одной костной области:
Вовлечение в процесс мозгового, лицевого черепа в 27% случаев
о Наиболее часто: верхняя челюсть (особенно скуловой отросток), нижняя челюсть (молярная область):
Менее часто: лобная > решетчатая, клиновидная > височные > затылочная кости
- Дети старшего возраста/молодые взрослые (у 75% пациентов заболевание проявляется в возрасте < 30 лет)
о Полиостозная фиброзная дисплазия (ФД):
- 30% всех случаев ФД; включает > 2 отдельных областей
- Вовлечение в процесс мозгового, лицевого черепа в 50% случаев
- Более молодой возраст, у 2/3 симптомы появляются в возрасте до 10 лет
о ЧЛД:
- Аутосомно-доминантный тип наследования, стабилизируется по мере созревания скелета
о Синдром Мак-Кьюна-Олбрайта:
- Подтип односторонней полиостозной фиброзной дисплазии (ФД): клиническая триада, включающая полиостозную фиброзную дисплазию (ФД), гиперфункциональные эндокринопатии, пятна «кофе с молоком»
- 5% случаев фиброзной дисплазии (ФД); проявляется в более раннем возрасте; поражается большее количество костей, состояние имеет более высокую степень тяжести
- Потеря фосфатов почками (50%), связанная с повышением циркулирующего фактора FGF-23; может приводить к рахиту и остеомаляции
о Синдром Мазабрауда:
- Полиостозная ФД, внутримышечная миксома
о Херувизм: семейная двусторонняя ФД челюсти
о Нанизм MULIBREY (muscle-liver-brain-eye): тяжелое прогрессирующее нарушение роста; констриктивный перикардит; встречается преимущественно в Финляндии:
Muscle-liver-brain-eye (мышцы, печень, головной мозг, глаза) = треугольное лицо, желтый пигмент в глазном дне, гипопластический язык, своеобразный высокий голос, пламенеющий невус (65%)
Фиброзная дисплазия (ФД) длинных костей в 25% случаях2. Демография:
• Возраст:
о < 6 лет (39%), 6-10 лет (27%), >10 лет (39%)
• Пол:
о СМО обычно (но не исключительно) встречается у женщин
• Эпидемиология:
о Реальная встречаемость неизвестна:
- Моноостозная форма фиброзной дисплазии (ФД) встречается в шесть раз чаще полиостозной
- Отличие поражения свода черепа: полиостозная ФД (50%) > моностозная ФД (25%)
- Моноостозная ФД (75%): в 25% случаев наблюдаются поражения мозгового и лицевого черепа
- Полиостозная ФД (25%): в 50% случаев наблюдаются поражения мозгового и лицевого черепа3. Течение и прогноз:
• До фибро-, остео-, хондро- и мезенхимальной саркомы прогрессирует редко:
о Обычно полиостозная/синдромальная формы
о Практически 1/2 возникают после лучевой терапии (заметное увеличение при злокачественном потенциале)
• Моностозная черепно-лицевая ФД имеет очень благоприятный прогноз
• Большинство спонтанно «исчезают» в подростковом возрасте, в возрасте до 30 лет4. Лечение фиброзной дисплазии:
• Агрессивная резекция используется при потере зрения, наличии выраженной деформации (свод черепа более доступен, чем его основание)
• Отсутствие лучевой терапии → злокачественное перерождение
• Лечение алендронатом не приводит к изменению количества баллов по шкале оценки боли, баллов бремени заболеваний скелетной системы или функциональных параметрове) Диагностическая памятка:
1. Обратите внимание:
• Моноостозная и полиостозная фиброзная дисплазия (ФД), вероятно, представляют собой компоненты одного и того же спектра фенотипической экспрессии; рассмотрите возможность генетического тестирования для предсказания осложнений
2. Советы по интерпретации изображений:
• Характерны изменения потипу «матового стекла» при рентгенографии или КТ, однородное уменьшение сигнала на Т2-ВИж) Список литературы:
1. Bowers СА et al: Surgical treatment of craniofacial fibrous dysplasia in adults. Neurosurg Rev. 37(1):47—53, 2014
2. Boyce AM et al: A randomized, double blind, placebo-controlled trial of alendronate treatment for fibrous dysplasia of bone. J Clin Endocrinol Metab. 99(11):4133—40, 2014
3. Frisch CD et al: Fibrous dysplasia of the temporal bone: A review of 66 cases. Laryngoscope. ePub, 2014
4. Neelakantan A et al: Benign and malignant diseases of the clivus. Clin Radiol. 69(12)4295-303, 2014
5. Rossi DC et al: Extensive fibrous dysplasia of skull base: case report. Neurol Sci. ePub, 2014
6. Thomsen MD et al: Clinical and radiological observations in a case series of 26 patients with fibrous dysplasia. Calcif Tissue Int. 94(4):384-95, 2014
7. Zhou SH et al: Gene expression profiling of craniofacial fibrous dysplasia reveals ADAMTS2 overexpression as a potential marker. Int J Clin Exp Pathol. 7(12):8532—41, 20141. Аббревиатура:
• Фиброзная дисплазия (ФД)2. Определение:
• Врожденное заболевание с нарушением дифференцировки и созревания остеобластов, проявляющееся прогрессирующим замещением нормальной губчатой кости фиброзной тканью и незрелой ретикулофиброзной костью1. Общая характеристика:
• Лучший диагностический критерий:
о КТ в костном окне: экспансивный («матовое стекло») костный матрикс
• Локализация:
о Возможно поражение любой кости в организме
• Размер:
о Локальное или диффузное поражение
о Поражения могут достигать нескольких сантиметров в размерах
• Морфология:
о ФД в целом повторяет форму пораженной кости![Фиброзная дисплазия височной кости - лучевая диагностика]()
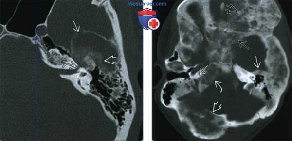
(Слева) При аксиальной КТ в костном окне определяется фиброзная дисплазия (ФД) склеротического типа, с поражением сосцевидного отростка и внутреннего уха и обрастанием задних отделов среднего уха. Экспансивный характер ФД приводит к стенозу наружного слухового канала (НСК). Обратите внимание на область ранее выполненной биопсии спереди и снаружи.
(Справа) При корональной КТ в костном окне определяется склеротическая ФД, приводящая к окклюзии НСК. Можно предположить наличие клинически значимой кондуктивной тугоухости. При отоскопии определяются изменения, схожие с врожденной мальформацией ИСК.2. КТ при фиброзной дисплазии височной кости:
• КТ в костном окне:
о Экспансивное поражение губчатого вещества различной плотности:
- Педжетоидная (смешанная) картина (50%): чередующиеся участки уплотнения и разрежения
- Склеротическая ФД (25%): плотность «матового стекла»
- Кистозная ФД (25%): поражения с разрежением в центре, истонченными и склерозированными краями3. МРТ при фиброзной дисплазии височной кости:
• Т1 ВИ:
о Экспансивное поражение с ↓ сигналом
• Т2 ВИ:
о ↓ сигнал в зонах оссификации ± фиброза
• Т1 ВИ С+:
о Без контрастирования; диффузное или периферическое
о Активная фаза: типичное неоднородное контрастирование:
- Может выглядеть агрессивным4. Сцинтиграфия:
• Остеосцинтиграфия:
о ↑ накопление радионуклида, перфузия в отсроченной фазе
о Неспецифический метод; чувствительный к расположению поражений при полиостотической ФД
• ПЭТ с ФДГ:
о «Горячие» очаги различной выраженности:
- Не должны приниматься за метастазы5. Рекомендации по визуализации:
• Лучший метод визуализации:
о КТ в костном окне - основа правильного диагноза![Фиброзная дисплазия височной кости - лучевая диагностика]()
(Слева) При аксиальной КТ в передних отделах левой височной кости определяются очаги кистозной ФД, выглядящие агрессивными. Определяется также нежное «матовое стекло». Обратите внимание на визуализирующийся лабиринтный сегмент канала лицевого нерва и поражение ямки коленчатого ганглия.
(Справа) При аксиальной КТ в костном окне определяется полиостотическая фиброзная дисплазия с поражением обеих височных костей. Хорошо видны другие множеавенные очаги, в т.ч. в затылочной кости справа, в скате, клиновидной и лобной кости.в) Дифференциальная диагностика фиброзной дисплазии височной кости:
1. Болезнь Педжета височной кости:
• Пожилые пациенты
• Картина «хлопковой ваты» на КТ
• Педжетоидная ФД («матовое стекло») имитирует болезнь Педжета
• Поражает височные кости и свод черепа, не краниофациальную область2. Гигантоклеточная опухоль основания черепа:
• Может имитировать склеротическую ФД на КТ в костном окне
• Гипоинтенсивный сигнал на МРТ Т2 (скопление гемосидерина)3. Менингиома височной кости:
• Внутрикостная менингиома имитирует ФД на КТ в костном окне
• МРТ: бляшковидное мягкотканное образование4. Метастазы в височной кости:
• Смешанные склеротические - деструктивные метастазы имитируют ФД
• Наиболее типичная первичная опухоль: рак предстательной и молочной железы1. Общая характеристика:
• Этиология:
о Доброкачественное опухолеподобное поражение костей с локальной задержкой развития нормальной структуры/архитектуры
• Генетика:
о Спорадическая мутация гена GNAS12. Микроскопия:
• Пораженные участки при ФД состоят из фиброзной ткани (строма из веретеновидных клеток) и интрамуральных трабекул ретикулофиброзной кости1. Проявления:
• Типичные признаки/симптомы:
о Выбухание височной области
о Стеноз ИСК с рецидивирующим отитом
о Тугоухость: кондуктивная, нейросенсорная, смешанная2. Демография:
• Возраст:
о Активный процесс в молодом возрасте, стихает после полового созревания
о Болеют молодые люди (< 30 лет)
• Пол:
о М:Ж= 1:3
• Эпидемиология:
о Моностотическая ФД: в шесть раз чаще, чем полиостотическая3. Течение и прогноз:
• Прекрасный прогноз при моностотической краниоцефальной ФД
• В большинстве случаев спонтанное прекращение роста к 25-30 годам
• Полиостотическая ФД редко угрожает жизни, но характеризуется худшим прогнозом4. Лечение:
• Агрессивное хирургическое лечение не рекомендуется в большинстве случаевФиброзная дисплазия ( Болезнь Лихтенштейна , Болезнь Лихтенштейна-Брайцова , Болезнь Лихтенштейна-Яффе )
Фиброзная дисплазия – это поражение кости, при котором участок нормальной костной ткани замещается соединительной тканью с включением костных трабекул. Относится к категории опухолеподобных заболеваний, может быть локальной или распространенной, поражать одну или несколько костей. Проявляется болями, деформацией, укорочением или удлинением сегмента и патологическими переломами. Диагноз выставляется на основании рентгенографии, МРТ, КТ и других исследований. Лечение обычно хирургическое – резекция пораженного участка кости с замещением дефекта.
МКБ-10
Общие сведения
Фиброзная дисплазия (болезнь Лихтенштейна, болезнь Лихтенштейна-Яффе или болезнь Лихтенштейна-Брайцова) – системное поражение скелета. Симптомы обычно выявляются еще в детстве, но возможно и позднее начало. В литературе описаны случаи, когда монооссальная фиброзная дисплазия впервые диагностировалась у людей пенсионного возраста. Женщины болеют чаще мужчин. Возможно перерождение в доброкачественную опухоль; озлокачествление наблюдается редко.
Заболевание впервые было описано в первой половине 20 века. В 1927 году российский хирург Брайцов сделал доклад о клинических, микроскопических и рентгенологических признаках очагового фиброзного перерождения кости. В 1937 году Олбрайт описал многоочаговую фиброзную дисплазию, сочетающуюся с эндокринными нарушениями и характерными изменениями кожи. В том же году Альбрехтом была описана многоочаговая дисплазия в сочетании с преждевременным половым созреванием и нечеткой кожной пигментацией. Чуть позже Яффе и Лихтенштейн исследовали одноочаговые поражения и опубликовали выводы о причинах их возникновения.
Причины
Фиброзная дисплазия относится к категории опухолеподобных заболеваний, но не является истинной опухолью костей. Возникает вследствие неправильного развития остеогенной мезенхимы (ткани, из которой в последующем образуется кость). Причины развития не ясны, не исключена генетическая предрасположенность.
Классификация
В травматологии и ортопедии выделяют две основные формы фиброзной дисплазии: монооссальную (с поражением одной кости) и полиоссальную (с поражением нескольких костей, обычно расположенных на одной стороне тела). Полиоссальная форма развивается в детском возрасте и может сочетаться с эндокринными нарушениями и меланозом кожи (синдром Олбрайта). Монооссальная форма может манифестировать в любом возрасте, эндокринопатий и пигментации кожи у пациентов не наблюдается. Российские специалисты используют клиническую классификацию Зацепина, включающую следующие формы заболевания:
- Внутрикостная форма. Может быть монооссальной или полиоссальной. В кости образуются единичные или множественные очаги фиброзной ткани, в ряде случаев наблюдается перерождение кости на всем протяжении, однако структура коркового слоя сохранена, поэтому деформации отсутствуют.
- Тотальное поражение кости. Страдают все элементы, включая кортикальный слой и область костномозгового канала. Из-за тотального поражения постепенно формируются деформации, часто возникают усталостные переломы. Обычно наблюдается полиоссальное поражение длинных трубчатых костей.
- Опухолевая форма. Сопровождается разрастанием очагов фиброзной ткани, которые иногда достигают значительных размеров. Выявляется редко.
- Синдром Олбрайта. Проявляется полиоссальным или практически генерализованным поражением костей в сочетании с эндокринными расстройствами, преждевременным половым созреванием у девочек, нарушением пропорций тела, очаговой пигментацией кожи, тяжелыми деформациями конечностей и костей туловища. Сопровождается прогрессирующими нарушениями со стороны различных органов и систем.
- Фиброзно-хрящевая дисплазия. Появляется преимущественным перерождением хряща, нередко наблюдается трансформация в хондросаркому.
- Обызвествляющая фиброма. Особая форма фиброзной дисплазии, встречается очень редко, обычно поражает большеберцовую кость.
Симптомы фиброзной дисплазии
Выраженные врожденные деформации обычно отсутствуют. При полиоссальной форме первые симптомы появляются в детстве. Поражение костей сопровождается эндокринопатиями, пигментацией кожи и нарушением деятельности сердечно-сосудистой системы. Проявления болезни достаточно разнообразны, наиболее постоянными признаками являются незначительные боли (обычно в бедрах) и прогрессирующие деформации. Иногда болезнь диагностируется только при возникновении патологического перелома.
Обычно при полиоссальной форме наблюдается поражение трубчатых костей: большеберцовой, бедренной, малоберцовой, плечевой, лучевой и локтевой. Из плоских костей чаще страдают кости таза, кости черепа, позвоночник, ребра и лопатка. Нередко выявляется поражение костей кистей и стоп, при этом кости запястья остаются интактными. Степень деформации зависит от локализации очагов фиброзной дисплазии. При возникновении процесса в трубчатых костях верхних конечностей обычно наблюдается только их булавовидное расширение. При поражении фаланг пальцы укорачиваются, выглядят «обрубленными».
Кости нижних конечностей искривляются под тяжестью тела, возникают характерные деформации. Особенно резко деформируется бедренная кость, в половине случаев выявляется ее укорочение. Из-за прогрессирующего искривления проксимальных отделов кость приобретает форму бумеранга (пастушьего посоха, хоккейной клюшки), большой вертел «сдвигается» вверх, иногда достигая уровня тазовых костей. Шейка бедра деформируется, возникает хромота. Укорочение бедра может составлять от 1 до 10 см.
При формировании очага в малоберцовой кости деформация конечности отсутствует, при поражении большеберцовой кости может наблюдаться саблевидное искривление голени или замедление роста кости в длину. Укорочение обычно менее выражено, чем при очаге в бедренной кости. Фиброзная дисплазия подвздошной и седалищной костей вызывает деформацию тазового кольца. Это, в свою очередь, негативно влияет на позвоночник, провоцируя нарушения осанки, сколиоз или кифоз. Ситуация усугубляется, если процесс одновременно поражает бедро и кости таза, поскольку в подобных случаях ось тела еще больше нарушается, а нагрузка на позвоночник – увеличивается.
Монооссальная форма протекает более благоприятно, внекостные патологические проявления отсутствуют. Выраженность и характер деформаций сильно варьируют в зависимости от локализации, размера очага и особенностей поражения (тотальное или внутрикостное). Могут наблюдаться боли, хромота и повышенная утомляемость после нагрузки пораженного сегмента. Как и при полиоссальной форме, возможны патологические переломы.
Диагностика
Диагноз выставляется ортопедом-травматологом на основании клинической картины и данных рентгенологического исследования. На начальном этапе на рентгеновских снимках в области диафиза или метафиза пораженной кости выявляются зоны, по виду напоминающие матовое стекло. Затем пораженный участок приобретает характерный крапчатый вид: очаги уплотнения чередуются с участками просветления. Хорошо видна деформация.
При обнаружении одиночного очага необходимо исключить множественное поражение костей, которое на начальных стадиях может протекать бессимптомно, поэтому больных направляют на денситометрию. При наличии подозрительных участков выполняют рентгенографию, при необходимости используют КТ кости.
Следует учитывать, что фиброзная дисплазия, особенно монооссальная, может представлять значительные трудности в процессе диагностики. При нерезко выраженной клинической симптоматике нередко требуется длительное динамическое наблюдение. Для исключения других заболеваний и оценки состояния различных органов и систем могут потребоваться консультации фтизиатра, онколога и терапевта. В отдельных случаях показан осмотр кардиолога, эндокринолога или иных специалистов.
Лечение фиброзной дисплазии
Лечение преимущественно хирургическое – полная сегментарная резекция пораженного участка кости в пределах здоровых тканей и замещение дефекта костным трансплантатом. При патологическом переломе накладывают аппарат Илизарова. При множественных поражениях проводят профилактические мероприятия, направленные на предотвращение деформаций и патологических переломов.
Прогноз и профилактика
Прогноз для жизни благоприятный. В отсутствие лечения, особенно при полиоссальной форме, могут возникать грубые калечащие деформации. Иногда очаги дисплазии перерождаются в доброкачественные опухоли (гигантоклеточную опухоль или неоссифицирующую фиброму). У взрослых описано несколько случаев злокачественного перерождения в остеогенную саркому. Специфическая профилактика отсутствует из-за неясной этиологии заболевания.
2. Фиброзная дисплазия. Клинические рекомендации / Общероссийская общественная организация Ассоциация травматологов-ортопедов России (АТОР) - 2016
Читайте также:
- Повреждения ахиллова сухожилия: признаки и течение травмы
- Рентгенограмма, КТ, МРТ при гемангиоэндотелиоме
- Рентгенограмма, КТ при лимфангиоэктазии кишечника
- Когда достаточна предоперационная подготовка больного? Антибиотики в предоперационной подготовке.
- Показания, противопоказания для профилактики венозной тромбоэмболии (ТГВ, ТЭЛА)
- монооссальная ФД — в 70-80% случаях. Чаще в промежутке от 20-30 лет










