КТ, МРТ при гемангиоперицитоме забрюшинного пространства
Добавил пользователь Евгений Кузнецов Обновлено: 16.12.2025
Лучевая диагностика забрюшинной гемангиоперицитомы
а) Терминология:
1. Синонимы:
• Миоперицитома, инфантильный миофиброматоз, солитарная фиброзная опухоль и гемангиоперицитомо-подобные поражения-гетерогенная группа опухолей, которые обозначают как «гемагиоперицитомы»:
о Все они имеют перицитарную (миоидную) дифференцировку
2. Определение:
• Сосудистая опухоль, которая растет из перицитов и развивается в основном в конечностях, полости малого таза, в области головы/ шеи и мозговых оболочках; поражение почек происходит редко
б) Визуализация:
1. Общие характеристики:
• Локализация:
о Большинство гемангиоперицитом развивается в конечностях или забрюшинном пространстве, однако возможно поражение любой ткани
о Гемангиоперицитома почки может возникнуть в любой части почки:
- Описаны редкие случаи поражения почечной лоханки
• Размер:
о Варьирует от 2 до 25 см
• Морфология:
о Круглой или овальной формы
2. КТ при гемангиоперицитоме:
• Бесконтрастная КТ:
о Образование почки мягкотканной плотности
• КТ с контрастированием:
о Образование почки с гетерогенным контрастированием:
- Возможны некроз, кальцификация
- Возможен синдром сдавления, однако сосудистая инвазия, как правило, отсутствует
3. МРТ при гемангиоперицитоме:
• Т1-ВИ:
о Характерна низкая ИС
• Т2-ВИ:
о Гетерогенный сигнал с интенсивностью от умеренной до высокой
4. УЗИ:
• УЗИ в режиме серой шкалы:
о Солидное образование почки с различной эхогенностью
• Цветовое допплеровское картирование:
о Может быть идентифицирован кровоток в солидных компонентах
5. Советы по визуализации:
• Лучший метод визуализации:
о КТ или МРТ с контрастным усилением
• Советы по протоколу исследования:
о Протокол для образования почки (мультифазное сканирование)

(Слева) КТ с контрастированием, аксиальная проекция: крупное яйцевидное образование левой почки с гетерогенным контрастированием. Спереди расположен небольшой объем неизмененной почечной паренхимы. Сосуды левой почки смещены, но не вовлечены в процесс, лимфаденопатия отсутствует. При исследовании резецированного биоп-тата установлена гемангиоперицитома.
(Справа) МРТ, Т1-ВИ, аксиальная проекция: крупное образование, смещающее большую часть правой почки. Образование имеет гомогенный сигнал низкой интенсивности, смещает почечные сосуды, но не прорастает их.
в) Дифференциальная диагностика:
1. Почечноклеточный рак:
• При ПКР наиболее часто встречают метастазы и сосудистую инвазию
2. Онкоцитома:
• Солидная опухоль почки с гетерогенным контрастированием без специфических признаков
3. Ангиосаркома почки:
• Крупная агрессивная опухоль с метастазированием и сосудистой инвазией

(Слева) MPT, Т2-ВИ, режим подавления сигнала от жировой ткани, аксиальная проекция: у этого же пациента выявлены гетерогенный сигнал умеренной интенсивности на всем протяжении образования и небольшой участок некроза. Спереди визуализирована случайно обнаруженная киста.
(Справа) МРТ с контрастированием, Т1-ВИ, режим подавления сигнала от жировой ткани, коронарная проекция (этот же пациент): участок некроза внутри образования.. В верхнем полюсе правой почки визуализирована случайно обнаруженная киста. Дифференциальная диагностика данного образования включает различные первичные опухоли почек. Гистологически установлена гемангиоперицитома.
г) Патология:
1. Общие характеристики:
• Этиология:
о Идиопатическая
2. Макроскопические и хирургические признаки:
• Сосудистая мягкотканная опухоль, покрытая тонкой капсулой
3. Микроскопия:
• Происходит из перицитов капиллярной стенки:
о Функция перицитов-регуляция кровотока и проницаемости
• Размер клеток, морфология, соединительная ткань не имеют определенных особенностей
• Различное количество межклеточной соединительной ткани
д) Клинические особенности:
1. Клиническая картина:
• Наиболее распространенные признаки/симптомы:
о Безболезненное образование, боль в боку, гематурия, гипогликемия, артериальная гипертензия:
- Возможно бессимптомное течение, опухоль может стать случайной находкой
2. Демография:
• Мужчины и женщины болеют одинаково часто; наибольшая заболеваемость отмечена в пятой декаде жизни
3. Течение и прогноз:
• Большинство гемангиоперицитом почки - доброкачественные:
о Контрольные исследования для исключения отсроченного рецидивирования
• Метастазы: гематогенные (чаще), лимфогенные
• Наиболее частая локализация метастазирования гемангиоперицитом почки - легкие
• Прогноз зависит отданных гистологического исследования:
о Обратная зависимость от количества митозов, размеров опухоли, наличия некроза
4. Лечение гемангиоперицитомы:
• Основное лечение - радикальное хирургическое иссечение:
о Адъювантная химиолучевая терапия неэффективна
Внеорганные забрюшинные опухоли
Внеорганные забрюшинные опухоли – группа злокачественных и доброкачественных новообразований мезодермального, нейрогенного и эмбриогенного происхождения, локализующихся в забрюшинном пространстве. Характерно длительное бессимптомное течение. При забрюшинных опухолях большого размера наблюдаются диспепсические расстройства, нарушения мочеиспускания, одышка, неврологические симптомы и отеки нижних конечностей. При злокачественных поражениях на поздних стадиях выявляются признаки раковой интоксикации. Диагноз выставляется с учетом данных КТ, МРТ, УЗИ, биопсии и других исследований. Лечение – операция, радиотерапия, химиотерапия.

Общие сведения
Внеорганные забрюшинные опухоли – группа новообразований, происходящих из тканей забрюшинного пространства, в том числе из жировой, мышечной, соединительной и нервной ткани, лимфоузлов, лимфатических и кровеносных сосудов и эмбриональных элементов. Группа забрюшинных опухолей не включает в себя онкологические процессы в органах, расположенных в данном пространстве, а также метастатические поражения забрюшинных лимфоузлов при опухолях других локализаций. Причинами объединения столь разнородных заболеваний в одну группу являются сходные особенности клинического течения, общие методы диагностики и терапии.
Забрюшинные опухоли могут быть как злокачественными, так и доброкачественными. Встречаются редко, по различным данным составляют от 0,03 до 0,3% от общего количества онкологических заболеваний. Некоторые специалисты полагают, что эта цифра занижена из-за диагностических затруднений при выявлении данной патологии. Обнаруживаются преимущественно в возрасте 50 лет и старше. Представители обоих полов страдают одинаково часто. Лечение осуществляют специалисты в области онкологии, неврологии и сосудистой хирургии.

Классификация забрюшинных опухолей
Забрюшинным пространством называют пространство между задним листком брюшины, диафрагмой, мышцами спины, позвоночником и мышцами, выстилающими дно малого таза. В этой анатомической зоне локализуются поджелудочная железа, почки, надпочечники, мочеточники, часть двенадцатиперстной кишки и часть толстого кишечника. Пространство между органами заполнено клетчаткой, в которой располагаются нервные сплетения, лимфоузлы, лимфатические и кровеносные сосуды. Забрюшинная клетчатка разделена фасциями на несколько отделов.
Внеорганными забрюшинными опухолями считаются любые узлы, расположенные в данном пространстве за исключением новообразований, происходящих из перечисленных выше органов, а также метастатических поражений лимфоузлов и опухолей, прорастающих в забрюшинное пространство из других анатомических зон (например, из брюшной полости). В основе наиболее популярной классификации забрюшинных опухолей, созданной Аккерманном в 1954 году, лежат гистогенетические особенности неоплазий. Согласно этой классификации различают три больших подгруппы таких новообразований: мезодермальные, нейрогенные и происходящие из элементов эмбриональных тканей.
Мезодермальные забрюшинные опухоли:
- Происходящие из жировой ткани: липомы (доброкачественные) и липосаркомы (злокачественные).
- Происходящие из гладкомышечной ткани: лейомиомы (доброкачественные) и лейомиосаркомы (злокачественные).
- Происходящие из поперечно-полосатой мышечной ткани: рабдомиомы (доброкачественные) и рабдомиосаркомы (злокачественные).
- Происходящие из соединительной ткани: фибромы (доброкачественные) и фибросаркомы (злокачественные).
- Происходящие из кровеносных сосудов: гемангиомы (доброкачественные) и ангиосаркомы (злокачественные), гемангиоперицитомы (доброкачественные и злокачественные).
- Происходящие из лимфатических сосудов: лимфангиомы (доброкачественные) и лимфангиосаркомы (злокачественные).
- Происходящие из остатков первичной мезенхимы: миксомы (доброкачественные) и миксосаркомы (злокачественные).
- Неясного гистогенеза: ксантогранулемы (доброкачественные).
Нейрогенные забрюшинные опухоли:
- Происходящие из оболочек нервов: нейрофибромы (доброкачественные), нейролемоммы (доброкачественные и злокачественные).
- Происходящие из симпатических нервных ганглиев: ганглионевромы (доброкачественные) и ганглионейробластомы (злокачественные).
- Происходящие из хромаффинных и нехромафинных клеток параганглиев и внеогранно расположенных участков ткани надпочечников: параганглиомы (доброкачественные, злокачественные), феохромоцитомы, рак из клеток надпочечников.
Забрюшинные опухоли из эмбриональных остатков: тератомы, хордомы.
Причины развития забрюшинных опухолей
Причины появления забрюшинных опухолей пока не выяснены. Ученые выделяют ряд факторов, способствующих развитию этой патологии. В числе таких факторов – специфические и неспецифические генетические нарушения, воздействие ионизирующего излучения и некоторых химических веществ. На возможную связь с ионизирующим облучением указывает повышенная вероятность возникновения забрюшинных опухолей у пациентов, ранее получавших радиотерапию в процессе лечения других онкологических заболеваний.
Существуют исследования, свидетельствующие о повышении риска развития некоторых видов новообразований данной локализации при воздействии гербицидов и пестицидов, особенно – диоксина и производных феноксиацетоновой кислоты. Механизм стимуляции роста забрюшинных опухолей в подобных случаях пока не выяснен. Есть версии, как о прямом воздействии, так и об опосредованном влиянии в результате подавления иммунитета при токсическом воздействии химикатов.
Симптомы забрюшинных опухолей
Особенностью забрюшинных опухолей является длительное отсутствие клинической симптоматики, обусловленное наличием большого количества рыхлой клетчатки и относительной подвижностью соседних органов. Некоторые новообразования достигают огромных размеров, не вызывая нарушений функций пищеварительной и мочевыводящей системы. В литературе встречаются описания отдельных узлов массой от 13 до 51 кг.
Еще одним типичным признаком забрюшинных опухолей является отсутствие специфических симптомов. Клиническая картина заболевания обусловлена не видом новообразования, а его локализацией (в нижней, верхней или боковой части забрюшинного пространства), близостью тех или иных органов и анатомических образований (кровеносных сосудов, нервов, лимфатических протоков). Пациенты с забрюшинными опухолями обычно впервые обращаются к врачу в связи с постоянными болями в животе. При пальпации у 80% больных определяются узлы различного размера и консистенции. В половине случаев прощупывание забрюшинной опухоли сопровождается болью различной интенсивности.
Возможны жалобы на тошноту, рвоту, преждевременное появление чувства насыщения и нарушения стула. При новообразованиях, локализующихся в нижней части забрюшинного пространства, могут наблюдаться расстройства мочеиспускания, вызванные сдавлением мочевого пузыря. При высоко расположенных забрюшинных опухолях иногда развивается одышка, обусловленная давлением на диафрагму. На ранних стадиях у многих больных выявляются гипотермия и гипергидроз нижней конечности на стороне поражения. На поздних этапах болезни гипотермия конечности сменяется гипертермией. Развитие этого симптома при забрюшинных опухолях обусловлено начальным раздражением и последующим параличом симпатического нерва.
При сдавлении крупных вен, расположенных в забрюшинном пространстве, наблюдаются отеки и варикоз в области нижних конечностей. У 25-30% пациентов выявляются неврологические расстройства. При злокачественных забрюшинных опухолях на поздних стадиях отмечаются снижение веса, потеря аппетита, лихорадка неясного генеза и общая гипертермия. Новообразования данной локализации часто рецидивируют, но редко метастазируют. Характерно метастатическое поражение печени и легких. Реже встречаются вторичные опухоли в яичниках и лимфоузлах.
Диагностика забрюшинных опухолей
Диагноз устанавливается на основании жалоб, результатов внешнего осмотра и дополнительных исследований. Пациентов с подозрением на забрюшинную опухоль направляют на УЗИ, КТ и МРТ органов брюшной полости и забрюшинного пространства. Перечисленные диагностические методы позволяют определить структуру и локализацию новообразования, оценить степень вовлеченности близлежащих органов и выявить отдаленные метастазы в печени. Учитывая ряд признаков (форма, плотность, наличие или отсутствие капсулы, уровень гомогенности, степень васкуляризации), после проведения УЗИ, МРТ и КТ специалист может оценить злокачественность забрюшинной опухоли и выдвинуть обоснованные предположения о типе новообразования.
Для оценки состояния пищеварительной и мочевыводящей системы применяют рентгенконтрастные методы (ирригоскопию и экскреторную урографию). Для выявления герминогенных новообразований назначают тесты на определение альфа-фетопротеина и хорионического гонадотропина. Поскольку основным методом лечения забрюшинных опухолей является их радикальное удаление, биопсию обычно не проводят из-за высокого риска обсеменения и недостаточной целесообразности исследования. Исключением являются ситуации, когда забор материала осуществляется для планирования операции, определения резектабельности новообразования или исключения метастатического характера онкологического поражения.
Лечение забрюшинных опухолей
Единственным радикальным способом лечения является оперативное вмешательство. В зависимости от локализации удаление забрюшинной опухоли производят с использованием бокового доступа, срединной лапаротомии или торакоабдоминального доступа. Более чем у половины пациентов операция включает в себя резекцию близлежащих органов: почки, поджелудочной железы, двенадцатиперстной кишки или толстой кишки. Эффективность пред- и послеоперационной радиотерапии и химиотерапии при забрюшинных опухолях пока остается под сомнением. Показанием к использованию этих лечебных методик является доказанная злокачественность новообразования при наличии сомнений в его операбельности.
Прогноз
Данные об операбельности забрюшинных опухолей сильно различаются. В литературе встречаются указания как на 25%, так и на 95% резектабельность подобных новообразований. Послеоперационная летальность при удалении забрюшинных опухолей составляет около 5%, вероятность развития местных рецидивов в отдаленном периоде – около 50%. До 5 лет с момента операции доживает менее 10% пациентов, страдающих злокачественными новообразованиями. При доброкачественных забрюшинных опухолях прогноз более благоприятный, однако, высокая вероятность рецидивирования обуславливает необходимость большого количества повторных хирургических вмешательств.
КТ, МРТ при гемангиоперицитоме забрюшинного пространства
а) Терминология:
1. Аббревиатуры:
• Солитарная фиброзная опухоль (СФО)
• Гемангиоперицитома (ГП)
2. Определения:
• Солитарная фиброзная опухоль:
о Мезенхимальная опухоль, вероятно, фибробластного типа, в структуре которой определяются ветвящиеся сосуды, как в гемангиоперицитоме
• Гемангиоперицитома:
о Термин ранее использовался для описания целого ряда опухолей, содержащих тонкостенные ветвящиеся сосуды:
- В большинстве случаев по гистологическим особенностям такие опухоли были сходны с солитарной фиброзной опухолью и, возможно, ей и соответствовали
о Этим термином также описывают отдельный вид опухолей, происходящий из перицитов
• В настоящее время термины «солитарная фиброзная опухоль» и «гемангиоперицитома» используются почти взаимозаменяемо
1. Общая характеристика:
• Локализация:
о Солитарная фиброзная опухоль:
- Опухоль может быть обнаружена в различных областях тела
- Чаще всего выявляется в полостях тела, особенно в плевральной полости:
Грудная клетка, средостение и перикард
Глубокие мягкие ткани конечностей, забрюшинное пространство, брюшная полость и малый таз
Глазница, голова и шея
В редких случаях располагается в спинном мозге, мозговых оболочках, солидных и полостных внутренних органах
- В 40% случаев располагается в подкожной клетчатке
о Гемангиоперицитома:
- Нижние конечности > забрюшинное пространство > голова/шея > туловище > верхние конечности:
В конечностях встречается чаще, чем СФО
• Размер:
о СФО:
- Размер варьирует в широком диапазоне (1 -25 см)
- Обычно 5-8 см
о Гемангиоперицитома:
- Обычно 5-15 см
• Морфология:
о Солитарное образование округлой формы с четким контуром
о Образования в плевре могут иметь ножку
о Бляшковидные опухоли встречаются редко
2. Рекомендации по визуализации:
• Лучший метод визуализации:
о Как правило, МРТ
о При локализации образований в грудной клетке предпочтительнее использовать КТ
(Слева) Липоматозная гемангиоперицитома. При нативной КТ в аксиальной плоскости в нижних отделах малого таза определяется очень крупное образование, изоденсное по сравнению с мышцами и содержащее участки жировой плотности.
(Справа) У этого же пациента при МРТ в аксиальной плоскости на Т1ВИ выявленное в малом тазу образование содержит участки с сигнальными характеристиками жировой ткани и зоны, изоинтенсивные по сравнению с мышцами. Наличие жировой ткани и сложная структура образования чаще свидетельствуют в пользу липосаркомы, а не редко встречающейся липоматозной гемангиоперицитомы. (Слева) У этою же пациента при МРТ в аксиальной плоскости на Т2 ВИ в режиме FS выявленное в малом тазу образование характеризуется гетерогенным гиперинтенсивным сигналом и наличием гипоинтенсивных зон, соответствующих жировой ткани. Мочевой пузырь а придавлен опухолью к передней стенке малого таза.
(Справа) Этот же пациент. МРТ с контрастным усилением в аксиальной плоскости на Т1ВИ в режиме FS: выявлено образование в малом тазу с гетерогенным контрастированием. Лучевая картина позволяет заподозрить злокачественную липоматозную опухоль. Гистологический диагноз гемангиоперицитомы позволил выбрать соответствующую тактику хирургического вмешательства. (Слева) При нативной КТ в аксиальной плоскости в нижних отделах правой половины малого таза определяется мягкотканное образование, частично обызвествленное по периферии. Образование локализуется перед крестцом, сдавливая сигмовидную кишку, вследствие чего наблюдается ее расширение.
(Справа) У этого же пациента при нативной КТ в коронарной плоскости визуализируется масштаб распространения образования от сред -ней трети крестца через нижнюю седалищную вырезку до проксимальных отделов бедра. В течение нескольких десятков лет симптомы отсутствовали.
3. Рентгенография при солитарной фиброзной опухоли и гемангиоперицитоме:
• При рентгенографии органов грудной клетки образования могут выявляться в плевре:
о Образование характеризуется четким контуром и связью с плеврой
о Опухоль на ножке может смещаться при изменении положения пациента
• Эрозивные изменения или блюдцеобразное углубление в костях выявляются редко
4. КТ при солитарной фиброзной опухоли и гемангиоперицитоме:
• Образование округлой формы, характеризующееся гомогенным или гетерогенным накоплением контрастного препарата:
о Интенсивное накопление контрастного препарата может быть обусловлено обильной васкуляризацией
• При нативной КТ образование характеризуется гетерогенной структурой, сходной по плотности с мышцами:
о Может содержать гиподенсные зоны, соответствующие миксоидным изменениям, некрозу или кровоизлиянию
• При локализации образований в брюшной полости может возникать кишечная непроходимость или обструкция выходного отверстия мочевого пузыря
• Нередко встречаются кальцификаты
5. МРТ при солитарной фиброзной опухоли и гемангиоперицитоме:
• На Т1 ВИ образование характеризуется гетерогенным сигналом от изоинтенсивного до гипоинтенсивного по сравнению с мышцами:
о Кровоизлияния на Т1 ВИ могут иметь гиперинтенсивный сигнал
• При чувствительных к жидкости последовательностях образование в зависимости от количественного содержания клеток может характеризоваться гетерогенным сигналом от гипоинтенсивного до гиперинтенсивного
• Контрастирование может быть как гомо-, так и гетерогенным:
о В крупных сосудах может выявляться феномен потери сигнала
• Может содержать небольшое количество жировой ткани
6. УЗИ при солитарной фиброзной опухоли и гемангиоперицитоме:
• Образование с четким контуром, характеризующееся гетерогенной эхогенностью
• При допплерографии в опухоли визуализируется кровоток
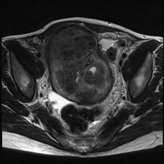
(Слева) При МРТ в коронарной плоскости на Т1ВИ в нижних отделах левой половины малого таза определяется мягкотканное образование округлой формы. Несмотря на наличие нескольких небольших рассеянных гипо-интенсивных очагов, образование характеризуется преимущественно изоинтенсивным сигналом по сравнению с мышцами.
(Справа) У этого же пациента при МРТ в аксиальной плоскости на Т2ВИ в режиме FS выявленная СФО характеризуется преимущественно гиперинтенсивным сигналом по сравнению с мышцами. При последовательностях, чувствительных к жидкости, в образовании также визуализируются небольшие рассеянные гипоинтенсивные и гиперинтенсивные очаги. (Слева) У этого же пациента при МРТ с контрастным усилением в аксиальной плоскости на Т1ВИ в режиме FS выявлено образование с гетерогенным контрастированием. Наблюдается смещение седалищного нерва, копчиковой мышцы, лобково-прямокишечной мышцы и прямой кишки, однако признаки их инвазии отсутствуют. Гистологически данное образование является злокачественным.
(Справа) Женщина 35 лет. При МРТ в аксиальной плоскости на Т1ВИ в подкожной клетчатке визуализируется образование, изоинтенсивное по сравнению с мышцами. К образованию подходит множество питающих сосудов. (Слева) У этой же пациентки при МРТ в коронарной плоскости на ППВИ в режиме FS выявленное образование характеризуется гиперинтенсивным сигналом. Обратите внимание на питающие сосуды. Локализация в подкожной клетчатке и обильное кровоснабжение являются типичными признаками СФО.
(Справа) При МРТ с контрастным усилением в аксиальной плоскости на Т1ВИ в режиме FS выявлено образование с интенсивным контрастированием. Вокруг образования хорошо видны питающие сосуды. Также следует отметить, что образование связано с общей бедренной веной.
в) Дифференциальная диагностика солитарной фиброзной опухоли и гемангиоперицитомы:
1. Миксоидная липосаркома:
• Как и СФО, может содержать небольшое количество жировой ткани
• Как и в СФО, выражен миксоидный компонент
• В СФО отсутствуют липобласты
2. Липосаркома мягких тканей:
• По гистологическим особенностям высокодифференцированная липосаркома может быть сходна с липоматозной СФО-ГП
• Методы лучевой диагностики, как правило, позволяют выявить жировой компонент
3. Глубоко лежащая доброкачественная фиброзная гистиоцитома:
• Может иметь сходные гистологические особенности, особенно в случае расположения в глазнице
4. Синовиальная саркома:
• Чаще встречается около суставов
• Чаще чем СФО содержит кальцификаты
• В опухоли могут определяться сосуды, сходные с таковыми в гемангиоперицитоме
1. Общая характеристика:
• Этиология:
о Характер роста опухоли может быть как агрессивным, так и неагрессивным
• Генетические особенности:
о СФО:
- Образования размером более 10 см часто характеризуются наличием цитогенетических аберраций:
Часто обнаруживают увеличение или уменьшение количества хромосом
Трисомия по 21 хромосоме
о Гемангиоперицитома:
- Различные хромосомные аберрации:
Точечные разрывы в участках 12q13—15 и 19q13
Сбалансированная мутация t(12;19)(q13; q13)
Почти диплоидный кариотип
2. Макроскопические и хирургические особенности:
• СФО:
о Опухоль с четким дольчатым краем
о Плотная структура, беловатая поверхность на разрезе
о Частично образование заключено в капсулу
о В структуре могут определяться кровоизлияния или миксоид-ные изменения
о Опухоли с агрессивным характером роста могут характеризоваться наличием зон некроза и инфильтрирующими краями
• Гемангиоперицитома:
о Опухоль с четким контуром
о Поверхность на размере может быть как губчатой, так и мясистой, желтовато-коричневого или красно-коричневого цвета ± видны крупные сосуды
о Часто выявляются зоны кровоизлияния
о Признаки некроза обнаруживают редко
3. Микроскопия:
• СФО:
о Клетки опухоли имеют округлую или веретеновидную форму и могут дифференцироваться в фибробласты, миофибробласты или перициты:
- Зоны с высоким содержанием клеток отделены от малоклеточных зон коллагеновыми волокнами и сосудами, сходными с сосудами гемангиоперицитом
Васкуляризация скорее точечная, чем диффузная по сравнению с гемангиоперицитомой
- Выраженная гиалинизация
- В 10 полях зрения, как правило, обнаруживают - Часто выявляют фиброз, тучные клетки и миксоидные изменения
о Злокачественная СФО = атипия клеток, некроз, >4 митозов в 10 полях зрения, большое количество клеток, инфильтрирующий край
о Иммунофенотип:
- 90-95% опухолей иммунореактивны на CD34 и CD99
о Прочие особенности:
- Выявляются гигантские многоядерные стромальные клетки, как в гигантоклеточной ангиофиброме
• Гемангиоперицитома:
о Характерное ветвление тонкостенных сосудов в виде рогов оленя
о Клетки округлой или веретеновидной формы с нечетким контуром:
- Однородная клеточность в отличие от СФО
- Отсутствуют убедительные доказательства дифференци-ровки в перициты
- Гиалинизацию стромы обнаруживают редко в отличие от СФО
- Различная митотическая активность
о В большинстве случаев реакция на CD34 и CD99 положительна
о Реакция на эндотелиальные маркеры, актин и десмин, как правило, отрицательна
о Наличие зрелых адипоцитов свидетельствует в пользу липоматозной гемангиоперицитомы:
- Неясно, является ли такая опухоль отдельной формой или представляет собой обычную опухоль, которая в процессе роста захватила жировую ткань
(Слева) Гемангиоперицитома околопозвоночной локализации. При КТ с контрастным усилением в аксиальной плоскости в подзатылочных мышцах интенсивно контрастируется образование, к которому подходит мощный сосудистый пучок.
(Справа) У этого же пациента при ангиографии в боковой проекции во время введения контрастного препарата в восходящую шейную артерию визуализируется типичное для гемангиоперицитомы обильное кровоснабжение. (Слева) При нативной КТ в аксиальной плоскости определяется очаг деструкции переднего кортикального слоя правой подвздошной кости. Мягкотканное образование в подвздошно-поясничной мышце едва заметно.
(Справа) У этого же пациента при МРТ в аксиальной плоскости на Т2ВИ в режиме FS выявленная СФО с гетерогенным гиперинтенсивным сигналом. Экскавация прилежащего кортикального слоя встречается редко. (Слева) При КТ с контрастным усилением в аксиальной плоскости в левой седалищной вырезке определяется округлое образование гетерогенной структуры, с контрастированием преимущественно периферических отделов.
(Справа) У этого же пациента при МРТ в коронарной плоскости в режиме STIR выявлена СФО с гетерогенным гиперинтенсивным сигналом и наличием гипоинтенсивных сосудов по периферии. При гистологическом исследовании опухоль характеризовалась отсутствием значительной митотической активности и зон некроза, однако вследствие высокого содержания клеток это новообразование была расценена как злокачественное.
1. Проявления:
• Типичные признаки/симптомы:
о Безболезненное, медленно растущее образование
о Симптомы возникают при сдавливании прилежащих структур
- Петли кишки, органы мочевыделительной системы, сосудисто-нервные пучки
• Другие симптомы:
о Возможно развитие паранеопластических синдромов:
- Инсулиноподобный фактор роста = гипогликемия:
Рост ГП часто сопровождается гипогликемией
При СФО гипогликемию обнаруживают в 25% случаев
2. Демография:
• Возраст:
о СФО: от 20 до 70 лет, у детей и подростков встречается редко
о Гемангиоперицитома:
- Чаще выявляется в возрасте 40-50 лет
- Редко встречающийся инфантильный тип опухоли, вероятно, лучше классифицировать, как младенческий миофиброматоз
• Пол: равномерное распределение
• Эпидемиология:
о СФО встречается редко:
- Гемангиоперицитома:
Встречается редко, достоверно оценить частоту выявления невозможно вследствие изменений в терминологии
3. Течение и прогноз:
• В целом прогноз благоприятный:
о Показатель десятилетней выживаемости составляет 54-89%
• СФО:
о Прогнозировать характер роста опухоли невозможно, поскольку он не всегда коррелирует с гистологическим строением:
- Рецидивирование и метастазирование выявляют в 10-15% случаев:
Метастазирует в легкие, печень и кости
Рецидивы наблюдаются >10 лет после резекции
о Опухоли с агрессивным характером роста чаще локализуются в средостении, брюшной полости, малом тазу и забрюшинно
• Гемангиоперицитома:
о В 70% случаев является доброкачественной
• Резекция опухоли позволяет купировать гипогликемию
4. Лечение:
• Радикальная резекция
• Нечувствительна к цитотоксической химиотерапии и облучению:
о Может проводиться антиангиогенная терапия
• Для выявления рецидива и метастазов необходимо длительное динамическое наблюдение
е) Список использованной литературы:
1. Frazier АА: The Yin and Yang of solitary fibrous tumor. Radiographics. 34(2):294, 2014
2. Garda-Bennett J et al: Soft tissue solitary fibrous tumor. Imaging findings in a series of nine cases. Skeletal Radiol. 41(11): 1427-33, 2012
3. Musyoki FN etal: Solitary fibrous tumor: an update on the spectrum of extrapleural manifestations. Skeletal Radiol. 41(1):5-13, 2012
4. Shanbhogue AK et al: Somatic and visceral solitary fibrous tumors in the abdomen and pelvis: cross-sectional imaging spectrum. Radiographics. 31(2):393-408,2011
5. Aftab S et al: Fat-forming solitary fibrous tumour (lipomatous haemangio-pericytoma) of the spine: case report and literature review. Skeletal Radiol. 39(10):1039-42, 2010
6. Wignall OJ etal: Solitary fibrous tumors of the soft tissues: review of the imaging and clinical features with histopathologic correlation. AJR Am J Roentgenol. 195(1):W55-62, 2010
Что покажет МРТ забрюшинного пространства?

Магнитно-резонансная томография забрюшинного пространства – это неинвазивный, высокотехнологичный и современный способ обследования органов забрюшья. В ходе сканирования врачи получают множественные послойные снимки мягких тканей и органов в зоне от диафрагмы до малого таза. Данное обследование позволяет максимально точно визуализировать почки, надпочечники, поджелудочную железу, лимфатические узлы, мочеточники, брюшную аорту и нижнюю полую вену. Незаменим этот вид томографии в диагностике раковых образований и воспалительных процессов в тканях.
Что такое МРТ забрюшинного пространства?
Магнитно-резонансная методика основывается на воздействии электромагнитного излучения. В ходе сканирования тело пациента помещается внутрь томографического аппарата. Вокруг него создается сильное магнитное поле и радиочастотные импульсы. Под их воздействием атомы водорода клеток тканей начинают совершать колебательные движения. Этот резонанс улавливает детектор томографа и передает сигнал на компьютер, который оцифровывает данные и строит на базе них трёхмерные томограммы. Изображения визуализируются на экране и позволяют рассмотреть орган во всех возможных ракурсах. Поскольку в ходе исследования организм пациента не подвергается лучевому облучению, МРТ забрюшинного пространства считается безопасным методом сканирования. Ее можно осуществлять как по направлению врача, так и по личной инициативе пациента неограниченное количество раз. Этот вид диагностики доступен широкому кругу пациентов, включая маленьких детей, беременных женщин, онкобольных и лиц пожилого возраста.
Что входит в МРТ забрюшинного пространства?
Томография забрюшинного пространства на современном аппарате – это прекрасная возможность заметить патологические изменения в организме на самом раннем этапе, когда заболевание еще успешно поддается лечению. В стоимость МРТ забрюшинного пространства входит комплексная проверка следующих органов:
- почек и надпочечников;
- поджелудочной железы;
- мочеточников;
- кровеносных сосудов брюшного отдела;
- лимфатических узлов;
- мягких тканей.
При проведении МРТ брюшной полости и забрюшинного пространства врач также сможет увидеть и оценить состояние:
- печени;
- желудка;
- кишечника;
- селезенки;
- желчного пузыря и протоков.


МРТ органов забрюшинного пространства незаменима при диагностике следующих состояний и болезней:
- новообразования доброкачественного и злокачественного характера;
- поликистозная болезнь почек;
- нефронофтиз;
- некроз коркового вещества почек;
- мочекаменная болезнь;
- приобретенные кисты почек и надпочечников;
- дисплазия почек;
- последствия травм органов забрюшинного пространства;
- лимфаденопатия, лимфаденит;
- аномалии развития органов врожденные и приобретенные;
- атероэмболия почечных артерий;
- медуллярная губчатая почка;
- нефроартериосклероз;
- стеноз и окклюзия почечных артерий;
- гиперплазия надпочечников;
- панкреатит;
- Аддисонова болезнь;
- нейробластома;
- абсцессы;
- стеноз мочеточников.
Магнитно-резонансная томография также показана перед хирургическим вмешательством и после него в целях контроля над результатами операции.
Подготовка
МРТ органов забрюшинного пространства относится к неинвазивным методам исследования и проводится за 20-30 минут. Чтобы томограммы получились качественными и информативными, необходимо выполнить следующие требования медиков касательно подготовки к процедуре:
- за 3 дня до посещения клиники отказаться от употребления продуктов и напитков, вызывающих образование газов (хлебобулочных изделий, бобовых, сырых овощей и фруктов, молока, газировки);
- идти на прием натощак;
- перед приемом не употреблять алкоголь, не курить;
- по возможности очистить кишечник, для чего принять слабительное или сделать клизму.
Процедура
Процедуру обычно выполняет врач-рентгенолог и лаборант в качестве ассистента. В начале обследования пациента укладывают на стол, который будет заезжать в томограф, и оставляют в помещении одного. Медики контролируют ситуацию через окно и с помощью монитора, при этом врач по громкой связи подает команды о необходимости вдохнуть, выдохнуть или задержать дыхание. Все исследование занимает до 30 минут, больше времени (45-60 минут) понадобится только в случае использования контрастирования. Обработка данных, выдача снимков и врачебного заключения займет еще 30-40 минут. Полученные результаты томографии необходимо предоставить своему лечащему врачу для постановки окончательного диагноза и определения последующей терапии.
Расшифровка
Пример МРТ заключения забрюшинного пространства и брюшной полости
На серии МР томограмм брюшной полости и забрюшинного пространства, взвешенных по Т1-ВИ и Т2-ВИ в трех проекциях определяется состояние после оперативного вмешательства по поводу аутотрансплантации правой почки от ххх года.
Ложе удаленной правой почки без особенностей.
Аутотрансплантат правой почки визуализируется в правой подвздошной области фиксированный к передней брюшной стенке округлой формы с четким контурами размерами 2,1х2,8х4,8 см, неоднородной структуры. Корковый и мозговой слои не дифференцируются.
Левая почка обычной формы, размером 11,0х6,4х6,6см. Корковое и мозговое вещество отчетливо дифференцируются. ЧЛС не расширена, без дефектов наполнения. В средней трети почки интрапаренхиматозно определяется зона продолговатой формы с четкими контурами размерами 1,4х0,6см, сигнал от содержимого однородный гиперинтенсивный на Т1 ВИ и Т2 ВИ, гипоинтенсивный на программе с жироподавлением (вероятнее ангиомиолипома).
Надпочечники структурно не изменены, в размерах не увеличены.
Регионарные лимфатические узлы не изменены.
Свободная жидкость в брюшной полости не определяется.
Поджелудочная железа размерами 3,1х2,5х2,1 см. Структура поджелудочной железы изменена за счет жировой дистрофии органа, контуры четкие мелковолнистые, главный панкреатический проток отчетливо прослеживается, не расширен.
Заключение: МР картина состояния после оперативного вмешательства по поводу аутотрансплантации правой почки от ххх года. Вторично сморщенная правая почка. МР признаки ангиомиолипомы левой почки.
По сравнению с данными заключения МР исследования от ххх года отмечается уменьшение размеров правой почки.
Противопоказания
Противопоказаниями к МР-обследованию станет только наличие металла в теле и имплантированные в организм электронные устройства типа кардиостимуляторов.
Чтобы проверить, можно ли с вашим имплантом делать томографию, необходимо иметь его паспорт, в котором указано, из чего он сделан и совместим ли с МРТ. Большинство современных протезов делаются из неферромагнитных сплавов, поэтому не будут противопоказанием к магнитно-резонансной томографии. В кардиологии и нейрохирургии все чаще используются водители ритма, которые тоже совместимы с МРТ.
У МР-исследования есть ряд относительных противопоказаний. В их число входит:
- большой вес пациента (более 120 кг);
- большие габариты (обхват тела более 120 см);
- клаустрофобия.
Эти особенности человека могут вносить ограничения на те модели аппаратов, на которых он сможет пройти магнитно-резонансную томографию.
Противопоказания к МРТ забрюшинного пространства с контрастом
МРТ брюшной полости с контрастом имеет свои дополнительные противопоказания:
Из-за недостаточности данных о влиянии контрастного препарата на базе солей гадолиния на формирование развития центральной нервной системы плода, МРТ забрюшинного пространства с контрастом не проводится беременным женщинам на протяжении всего срока вынашивания. Контрастную томографию будущим мамам делают только в экстренных случаях, когда есть угроза жизни матери. Почечная недостаточность - ещё один фактор риска при МРТ с контрастом. Поскольку контрастное вещество выводится из организма естественным образом через мочевыделительную систему, почки испытывают дополнительную нагрузку. Если больной имеет заболевания почек, его попросят сделать перед диагностикой дополнительный анализ крови на креатинин. По его результатам будет понятно, справятся ли почки с дополнительной нагрузкой.
От чего зависит стоимость?
- мощность томографической установки;
- необходимость применения контраста;
- протокол сканирования - только зона забрюшинного пространства или комплексная томография брюшной полости и забрюшинного пространства;
- наличие акций и скидок.
| Исследование (Что входит) | Цена | МРТ 3 ТЛ | Акции |
|---|---|---|---|
| МРТ брюшной полости (печени, желчного пузыря, поджелудочной железы, селезенки, желудка, нижней части пищевода) | от 3600 руб. | от 7000 руб. | Скидки ночью |
| МРТ забрюшинного пространства (почек, надпочечников, мочеточников, лимфатических узлов) | от 3600 руб. | от 7000 руб. | Скидки ночью |
| МРТ брюшной полости с МР-холангиографией | от 6000 руб. | от 9600 руб. | Скидки ночью |
| МРТ брюшного участка аорты | от 5145 руб. | от 10200 руб. | Скидки ночью |
| МР-урография / МРТ мочевыводящих путей | от 4800 руб. | от 9500 руб. | Скидки ночью |
| МРТ органов брюшной полости с контрастированием | от 6200 руб. | от 9500 руб. | Скидки ночью |
УЗИ или МРТ забрюшинного пространства
К более простым способам диагностики состояния органов и тканей забрюшинного пространства относится УЗИ, которое предоставляет всю базовую информацию об анатомическом строении органов и наличии патологий. Ультразвуковая диагностика менее информативна, чем МРТ забрюшинного пространства. Например, она не позволяет изучить характер новообразований, стадию их развития и установить очаг воспалительных процессов в надпочечниках у лиц тучного телосложения.
МРТ носит более объективный характер, поскольку результаты томографии не зависят от человеческого фактора, как в ситуации с ультразвуковым исследованием, когда многое решает поворот руки сонолога. Однако, если пациент сам принял решение пройти обследование брюшной полости и забрюшинного пространства в качестве профилактики, начинать свой диагностический путь лучше с более дешевого и общедоступного ультразвукового сканирования. Если его данные показали признаки патологии, будет назначено дообследование на магнитно-резонансной томографии или КТ.
В качестве скринингового метода МРТ брюшного и забрюшинного пространства следует использовать, если:
- у пациента в истории болезни есть онкологический диагноз;
- пациент имеет избыточную массу тела.
МРТ или КТ забрюшинного пространства- что лучше?
МРТ и КТ - это два экспертных вида диагностики патологий забрюшинного пространства. Их информативность во многом сопоставима. Считается, что магнитно-резонансная томография забрюшинного пространства лучше покажет состояние мягких тканей забрюшья и лимфатических узлов. На ней более качественно визуализируются надпочечники. Почки и мочеточники хорошо видны как на МРТ, так и на КТ забрюшинного пространства. Опухолевые образования врачи предпочитают диагностировать на МРТ. Мочекаменную болезнь и стеноз мочеточников лучше оценивать на компьютерной томографии.
При выборе МРТ или КТ забрюшинного пространства - что лучше - немаловажным будет вопрос безопасности обследования для здоровья пациента. Компьютерная томография относится к разряду лучевых диагностик и сопряжена с ионизирующей нагрузкой на организм. Уровень облучения за одно исследование может доходить до 5-7 мзВ. Магнитно-резонансная томография не несёт в себе такую опасность. Поэтому ее разрешают применять для обследования беременных пациенток и детей младшего возраста.

Специализация: Врач МРТ и КТ
Где ведет прием: ЦМРТ на Дибуновской
- Беленков Ю.Н., Беличенко О.И., Пустовитова Т.С., Тевзадзе М.Ч. Магнитно-резонансная томография почек и надпочечников у здоровых людей // Мед. радиол. 1989. - № 9.
- Даниель-Бек К.В., Шафир И.И., Забрюшинные опухоли. М.: Медицина, 1976. -
- Домбровский В.И. Магнитно-резонансная томография в диагностике неорганных объемных образований забрюшинного пространства.
- Лукьянченко А.Б. Роль рентгеновской и магнитно-резонансной томографии в диагностике объемных поражений почек // Рак почки: Европ. шк. по онкологии / РАМН; Рос. ОНЦ им. Н.Н. Блохина. М.: Б.и., 2001.
- Харченко В.П., Котляров П.М. Лучевая диагностика рака почки // Перспективные направления диагностики и лечения рака почки / Рос.о-во урологов; Всерос. ассоц. радиологов. М., 2003.
- Белавина Е.В., Летягин А.Ю., Коростышевская A.M. МР-томография органов брюшной полости и забрюшинного пространства у онкологических пациентов в предоперационном периоде.//Тезисы докл. междунар. Конференции «МР в медицине».- Казань. 1997.
- Власов П.В, Котляров П.М. Комплексная лучевая диагностика забрюшинных опухолей и опухолевидных состояний.//Вести. Рентгенологии и радиологии. 1998.- №3.
- Ишевский Г.Б. Комплексная диагностика объемных образований забрюшинного пространства.// Автореф. канд. дисс., Москва. 1995.
- Якобсон М.Г., Подоплелов А.В., Рудых С.Б. и др. Введение в МР-томографию. Новосибирск: Изд-во СО АН СССР, 1991.
Последние статьи о диагностике

Что покажет МРТ малого таза
МРТ малого таза (полное название магнитно-резонансная томография) - это детальное, неинвазивное сканирование мочеполовой системы женщины и мужчины. По своей безопасности и безвредности она сопоставима с ультразвуковым сканированием, однако информационная точность и ценность данного обследования в разы выше.

Что показывает МРТ брюшной полости
МРТ брюшной полости широко используется в медицинских клиниках Санкт-Петербурга для изучения анатомических особенностей и функционирования органов пищеварения и мочевыделения, расположенных в области живота, а также для диагностики патологических изменений в них. Магнитно-резонансная томография – это аппаратный метод, основанный на воздействии на ткани магнитного поля, радиочастотных волн и преобразование их в

Правильная подготовка к МРТ брюшной полости
Поскольку магнитно-резонансный томограф активно реагирует на малейшее движение, что сразу отражается на результатах обследования в виде засветов (артефактов движения), в ходе сканирования зоны живота необходимо свести к минимуму движение газов в кишечнике. Для этого и требуется предварительная подготовка пациента к МРТ обследованию органов брюшной полости.

Где сделать МРТ в СПб?
Чтобы пройти МРТ в медицинских центрах Санкт-Петербурга, необходимо записаться на диагностику. Адреса и цены на услугу томографии в различных клиниках вам подскажут в нашем центре записи. В базе данных у нас есть информация о более 80 диагностических клиник СПб и Ленинградской области.
Подготовка к КТ забрюшинного пространства

Если пациенту долгое время не могут поставить окончательный диагноз, то вероятней всего врач отправит его на компьютерную томографию. Чаще всего делают КТ забрюшинного пространства. Исследование позволяет визуализировать состояние внутренних органов, получить их детальную проекцию. КТ определяет даже небольшие патологические изменения. Благодаря этому врач сможет понять, что происходит с больным и вовремя скорректировать лечение. Однако, чтобы получить достоверные данные, требуется правильная подготовка к КТ забрюшинного пространства.
Что показывает КТ забрюшинного пространства

Компьютерная томография – современный диагностический метод, отличающейся точностью. Это многослойное рентгеновское сканирование, которое позволяет выявить острые, хронические патологии забрюшинного пространства и брюшной полости.
- Органы ЖКТ – печень, желчный пузырь, селезенку, толстый и тонкий кишечник, поджелудочную железу.
- Органы забрюшинного пространства – мочевой пузырь, почки, надпочечники, мочеточники, вегетативные, нервные сплетения, лимфатические узлы, грудной проток.
Процедура позволяет выявить следующие нарушения в работе организма:
- онкологические процессы (в том числе и на ранних стадиях);
- скопление жидкости в брюшном и забрюшинном пространстве;
- кровоизлияния;
- абсцесс;
- наличие инородных тел;
- аномалии развития;
- камни;
- дисфункцию внутренних органов;
- воспаление, инфекционные процессы;
- кисты, другие новообразования;
- нарушения проходимости протоков.
Важно: Компьютерная томография один из самых надежных методов исследования, помогающий при подготовке больного к оперативному вмешательству, контроле динамики лечения, диагностике острых состояния неизвестной этиологии.
Подготовка к процедуре

Пациенты, проходящие компьютерную томографию впервые, далеко не всегда знают, как подготовиться к КТ забрюшинного пространства. Если это сделать неправильно, результаты исследования могут быть искажены, что недопустимо.
О мерах подготовки уведомляет лечащий врач. Они представляют собой несколько несложных правил:
- За 2-3 дня до процедуры отказаться от газообразующих продуктов питания (например, свежи фруктов, овощей, кисломолочных продуктов, сдобы, бобовых, газированных напитков).
- За 4-5 до диагностики соблюдать голод. Пить можно только негазированную, очищенную воду. Чай, кофе, сладкие напитки употреблять нежелательно (главное, исключить добавление сливок и молока).
- Если пациент нервничает перед процедурой, можно принять успокоительное средство.
Важно: Компьютерную томографию нельзя делать в течение 24 часов после УЗИ, рентгена, флюорографии. Рекомендуется делать перерыв между исследованиями в течение 3-5 дней.
С собой на обследование необходимо взять медицинскую документацию, которая позволит доктору сопоставить новые результаты диагностики с имеющимися данными. Дополнительно можно предоставить выписки, заключения, анализы.
Как подготовка к исследованию влияет на результат
Пренебрежение правилами подготовки к компьютерной томографии может серьезно повлиять на достоверность данных исследования. Искажение многослойных снимков влечет за собой постановку неправильного диагноза. В результате пациенту понадобится проходить повторное исследование. Как следствие, лечение заболевания не будет начато несвоевременно, что может грозить ухудшением общего состояния и самочувствия.

Качество диагностики искажают:
- Несоблюдение правил диеты. Пациент позволяет себе употреблять продукты питания, усиливающие газообразование и перистальтику кишечника.
- Инородные металлические предметы в теле, которые нет возможности удалить (например, пластины, клапаны).
- Неспособность пациента сохранять неподвижность во время процедуры (проблема может наблюдаться при наличии у пациента психических расстройств, нервных тиков).
При проведении КТ нужно исключить любые проявления стресса. Если у пациента не получается успокоиться самостоятельно, ему необходимо принять успокоительное средство.
Важно: Детям компьютерная томография проводится под наркозом.
Особенности подготовки к КТ забрюшинного пространства с контрастом
Компьютерная томография с применением контраста позволяет получить детализированное изображение здоровых и патологически измененных тканей. Контраст усиливает видимость нормальных и аномальных структур за счет содержания в составе йода, который улучшает эффект рентгеновских лучей.
Подготовка к КТ с контрастом включает несколько этапов:
- Нужно сдать анализы на азот мочевины, креатинин и СКФ (если пациент старше 60 лет, у него есть хронические заболевания почек или гипертония).
- За 48 часов до исследования нужно исключить из рациона газообразующие продукты.
- Вечером, накануне процедуры, следует выпить раствор Урографина, приготовленный по инструкции.
- Утром повторить прием контрастного вещества.
- Обязательно оденьтесь в свободную, удобную одежду без металлических элементов.
- Оставшееся вещество следует выпить в кабинете врача (приблизительно за 30 минут до исследования).
- Перед тем, как лечь на стол томографа, снимите украшения (цепочки, кольца, пирсинг).
Важно: Компьютерная томография с контрастом проводится строго натощак.
Если в процессе употребления контрастного раствора пациент почувствовал жжение в желудке, тошноту, головокружение, ему следует немедленно прекратить прием препарата и сообщить о появившихся симптомах врачу. Недомогание, как правило, сигнализирует об аллергической реакции. В этом случае больному показан подбор альтернативного метода диагностики.
Противопоказания к исследованию

Компьютерная томография – безопасный диагностический метод, не вредящий здоровью человека. Однако существует ряд противопоказаний, когда проведение томографии нежелательно, а именно:
- беременность и лактация;
- острые воспалительные процессы;
- запущенная форма сахарного диабета;
- аллергические реакции (на йодсодержащие препараты, используемые при КТ с контрастом);
- серьезные патологии печени, почек, сердца.
С осторожностью делают контраст пациентам, имеющим:
- аллергию на морепродукты;
- астму;
- аллергию на лекарственные препараты.
Категориям пациентов, у которых обнаружены противопоказания, лучше воздержаться от прохождения КТ любого вида. Врач назначит альтернативные методы исследования. Это может быть УЗИ брюшной полости, колоноскопия, фиброгастроскопия.
Расшифровкой данных исследования занимается врач-рентгенолог. Результаты исследования пациент получает спустя 24 часа. На руки выдаются готовое заключение, пленка с наиболее информативными КТ-снимками.
Читайте также:
