КТ, МРТ при лимфатической мальформации глазницы
Добавил пользователь Дмитрий К. Обновлено: 18.12.2025
Категории МКБ: Гемангиома и лимфангиома любой локализации (D18), Другие уточненные врожденные аномалии системы периферических сосудов (Q27.8), Периферический артериовенозный порок развития (Q27.3), Синдромы врожденных аномалий, вовлекающих преимущественно конечности (Q87.2)
Общая информация
Краткое описание
Одобрен
Объединенной комиссией по качеству медицинских услуг
Министерства здравоохранения Республики Казахстан
от «25» июня 2020 года
Протокол №101
Артериовенозная мальформация (АВМ) – это нарушение в строении артерии, приводящее к образованию одного или нескольких прямых соединений между артериями и венами. Обычно артерии доставляют насыщенную кислородом кровь к органам и тканям. При аномальном скоплении артерий на одном участке туда поступает слишком много крови, что создает условия для артеризаций одноименных вен и перегрузке правых отделов сердца.
Венозная и Лимфатическая мальформации (ВМ/ЛМ) – это врожденный порок развития, характеризирующийся наличием патологических венозных/лимфатических коммуникаций с прогрессирующим застоем венозной крови/лимфы в полостях.
Младенческая гемангиома (инфантильная гемангиома) – это доброкачественная сосудистая опухоль, наиболее часто встречающаяся у детей первого года жизни, развивающаяся из эндотелиальной ткани в первые месяцы жизни и способная к спонтанной инволюции в течении последующих лет.
Название протокола: СОСУДИСТЫЕ АНОМАЛИИ РАЗЛИЧНОЙ ЛОКАЛИЗАЦИИ (артериовенозная мальформация, венозная мальформаци, лимфатическая мальформация и их комбинации, сосудистые опухоли)
Код(ы) МКБ-10:
| МКБ-10 | |
| Q27.3 | Периферический артериовенозный порок развития |
| Q27.8 | Другие уточненные врожденные аномалии системы периферических сосудов |
| Q87.2 | Синдромы врожденных аномалий, вовлекающих преимущественно конечности (синдром Клиппеля-Треноне) |
| D18.0 | Гемангиома любой локализации |
| D18.1 | Лимфангиома любой локализации |
Дата разработки протокола/пересмотра протокола: 2019 год.
Сокращения, используемые в протоколе:
АВМ – артерио-венозная мальформация
АВС – артерио-венозный свищ
ВМ – венозная мальформация
ЛМ – лимфатическая мальформация
ИГ – инфантильная гемангиома
КАД – капиллярная ангиодисплазия (мальформация), «винные пятна»
АЧТВ – активированное частичное тромбопластиновое время
КТ – компьютерная томография
КТА – компьютерно-томографическая ангиография
МНО – международное нормализованное отношение
МРА – магнитно-резонансная ангиография
МРТ – магнитно-резонансная томография
МСКТА – мультиспиральная компьютерно-томографическая ангиография
ОАМ – общий анализ мочи
ПВ – протромбиновое время
ПТИ – протромбиновый индекс
УД – уровень доказательности
УЗДГ – ультразвуковая допплерография
УЗИ – ультразвуковое исследование
Пользователи протокола: ангиохирургии, кардиологи, педиатры, врачи общей практики, дерматологи.
КТ, МРТ при лимфатической мальформации глазницы
Лимфатические мальформации глазницы - лучевая диагностика
а) Терминология:
• Врожденные сосудистые мальформации, представляющие собой вариабельные сочетания лимфатического и венозного сосудистых компонентов
б) Визуализация:
• Плохо отграниченное, дольчатое, распространяющееся на несколько смежных пространств образование
• Картина многокамерной кисты с уровнями жидкость-жидкость, продуктами распада крови и вариабельным неравномерным контрастированием
• Варианты: поверхностные и глубокие, макрокистозные и микро-кистозные
• КТ: кистозное образование пониженной плотности, содержащее смесь продуктов распада крови повышенной плотности
• МРТ: вариабельность сигнала обусловлена различным возрастом геморрагического, лимфатического или белкового содержимого
• Контрастируется, как правило, краевая зона; более интенсивно при наличии выраженного венозного компонента
• УЗИ: гипоэхогенное, содержащее источники гетерогенных эхо-сигналов
• Лучший метод визуализации:
о Прицельная MPT FS глазницы с контрастированием
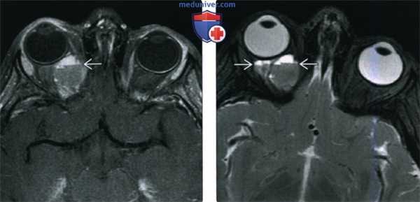
(Слева) На рисунке аксиального среза показаны типичные признаки лимфатической мальформации глазницы, в том числе поражение нескольких смежных пространств и характерные уровни жидкость - жидкость в просвете кистозных полостей.
(Справа) При Т1-взвешенной МРТ в аксиальной проекции определяется инфильтративное образование, распространяющееся на несколько смежных пространств. В задней части образования, лежащей в пределах мышечного конуса, в просвете макрокистозных полостей видны уровни жидкость-жидкость. Пресептальный и передний внутриглазничный компоненты выглядят более гомогенными и гипоинтенсивными, что указывает на их микрокистозное строение или наличие венозных элементов. (Слева) У ребенка отмечено резкое усиление длительно существовавшего правостороннего экзофтальма. При Т2-взвешенной МРТ в аксиальной проекции определяется крупное дольчатое ретробульбарное объемное образование с характерными уровнями «жидкость-жидкость». Различная высота уровней жидкости указывает на многокамерное строение образования.
(Справа) На Т1-взвешенной постконтрастной аксиальной томограмме у этого же пациента отмечается вариабельность сигнала содержимого и те же уровни жидкость-жидкость, указывающие на белковое и геморрагическое содержимое. В задней части образования отмечается легкое контрастирование венозного компонента.
в) Дифференциальная диагностика:
• Варикоз глазницы
• Кавернозная мальформация глазницы
• Гемангиома младенцев
• Плексиформная нейрофиброма
г) Патология:
• Врожденная неопухолевая сосудистая мальформация
• Расширенные диспластические лимфатические ± венозные каналы
д) Клинические особенности:
• У детей - эффект объемного образования и экзофтальм
• Может быстро увеличиваться в размерах вследствие острого кровоизлияния
• Консервативное ведение более предпочтительно из-за высокого риска оперативного вмешательства
• При доступных образованиях - чрескожная склеротерапия
• Хирургическая резекция трудновыполнима, часто развиваются рецидивы
е) Диагностическая памятка:
• Очень характерно наличие продуктов распада крови и уровней жидкость-жидкость
а) Терминология:
1. Синонимы:
• Венозно-лимфатическая мальформация глазницы
• Устаревшие термины: лимфангиома, кистозная гигрома
2. Определение:
• Врожденная сосудистая мальформация, образованная лимфатическими и венозными сосудистыми элементами; соотношение последних вариабельно
б) Визуализация:
1. Общая характеристика:
• Лучший диагностический критерий:
о Дольчатое, распространяющееся на несколько смежных пространств объемное образование с нечеткими конурами
о Признаки многокамерной кисты, содержащей продукты распада крови, с уровнями «жидкость-жидкость» и вариабельным неоднородным контрастированием
• Локализация:
о Поверхностная: часто не распространяется за конъюнктиву:
- Относительно часто встречающийся тип венозно-лимфатической мальформации
о Глубокая: распространяющаяся в глазницу:
- Вне мышечного конуса > внутри мышечного конуса, но зачастую поражает несколько смежных пространств
• Морфология:
о Неровные края, многокамерные кисты с уровнями жидкости
о Макрокистозные (>1 см), микрокистозные (о Локализующиеся в задних отделах глазницы венозные новообразования с более четкими контурами могут симулировать кавернозную мальформацию глазницы

(Слева) У ребенка с периодически усиливающимся экзофтальмом при КТ с КУ в корональной проекции в верхнемедиальном квадранте переднего отдела глазницы определяется дольчатое образование от средней до низкой плотности, вызывающее смещение глазного яблока.
(Справа) При КТ с КУ в аксиальной проекции у этого же пациента в толще образования определяются множественные лакуны, содержащие жидкости различной плотности с отчетливыми уровнями. Более плотные длительно существующие продукты разложения крови оседают книзу.
2. КТ при лимфатической мальформации глазницы:
• КТ без контрастного усиления:
о Неправильной формы поликистозное образования пониженной плотности
о Кровоизлияние сопровождается появлением смешанных продуктов распада крови повышенной плотности
о Точечные кальцинаты или флеболиты встречаются нечасто
• КТ с КУ:
о Кистозные структуры с легким краевым усилением
о Более диффузное контрастирование венозного компонента
• КТ в костном окне
о Перестройка костей глазницы при крупных образованиях
3. МРТ при лимфатической мальформации глазницы:
• Т1 ВИ:
о Дольчатое образование с нечеткими контурами
о Содержимое многокамерных кист - различной давности геморрагическое, лимфатическое или белковое - формирует уровни жидкость - жидкость и дает вариабельный сигнал
о Продукты распада крови различной давности, а также кровь, излившаяся в результате подострого кровоизлияния, дают гиперинтенсивный сигнал
• Т2 ВИ с подавлением сигнала от жира:
о Дольчатое образование, гиперинтенсивный сигнал от жидкости
о Параметры сигнала от уровней «жидкость-жидкость» зависят от сроков существования продуктов распада крови
о Потери сигнала нет (в отличие от инфантильной гемангиомы)
• Т1 ВИ с контрастированием и подавлением сигнала от жира:
о Контрастирование вариабельно, как правило, по краю кист наблюдается контрастный ободок
о При наличии развитого венозного компонента отмечается более интенсивное неравномерное контрастирование
о При остром увеличении может выявляться неконтрастируемый тромб
4. УЗИ при лимфатической мальформации глазницы:
• Серошкальное УЗИ:
о Гипоэхогенные кистозные пространства, заполненные кровью и лимфой
о Содержат гетерогенные источники эхо-сигналов
о Эндотелиальные стенки служат источником эхогенных пиков
5. Рекомендации по визуализации:
• Лучший метод визуализации:
о Прицельное МРТ глазниц с контрастированием и подавлением сигнала от жира

(Слева) При КТ с КУ в аксиальной проекции в медиальной части левой глазницы определяется кистозное четко отграниченное неконтрастируемое образование, стенка образования неразличима. Хотя наблюдается картина простого однокамерного образования, оно лежит в нескольких смежных пространствах, имеет пресептальный компонент и компоненты внутри и вне мышечного конуса.
(Справа) При КТ без КУ в аксиальной проекции у четырехлетнего ребенка определяется неправильной формы многокамерная лимфатическая мальформация глазницы, распространяющаяся в несколько смежных пространств. Расслоение жидкостей с различными плотностями обусловлено оседанием продуктов распада крови, скопившихся при спонтанном кровоизлиянии.
в) Дифференциальная диагностика лимфатической мальформации глазницы:
1. Варикоз глазницы:
• Клиническая картина: периодические боли и экзофтальм
• Томография: результаты аналогичны картине при венозно-лимфатической мальформации, но наблюдается динамическое увеличение размеров образования при выполнении пробы Вальсальвы
• Патология: изменения часто расценивают как венозно-лимфатическую мальформацию, содержащую растяжимый венозный компонент
2. Кавернозная мальформация глазницы:
• Клиническая картина: медленно растущее безболезненное объемное образование, чаще всего представляет собой объемное образование глазницы у взрослых
• Томография: отграниченное овоидное объемное образование внутри мышечного конуса с динамическим контрастированием при заполнении
• Патология: специфическая для органа зрения псевдоинкапсулированная венозная мальформация
3. Гемангиома младенцев:
• Клиническая картина: интенсивно васкуляризованная опухоль младенческого возраста; часто регрессирует спонтанно
• Томография: интенсивно контрастируемое орбитофациальное объемное образование с зонами потери сигнала
• Патология: истинное сосудистое новообразование
4. Плексиформная нейрофиброма:
• Клиническая картина: сопутствует нейрофиброматозу 1 типа
• Визуализация: инфильтративные, занимающие несколько смежных пространств образования в сочетании с дисплазией клиновидной кости и деформацией костей лица и глазницы
• Патологическая анатомия: опухоль оболочки нерва, составная часть нейрокутанного синдрома
5. Рабдомиосаркома:
• Клиническая картина: чаще всего представляет собой первичную злокачественную опухоль глазницы у детей
• Томография: инфильтративное деструктивное образование глазницы
• Патология: чаще всего встречаются эмбриональный или альвеолярный подтипы
6. Лимфопролиферативные новообразования:
• Клиническая картина: в результате лимфоидной пролиферации формируется первичная опухоль глазницы; может сопутствовать системному заболеванию
• Томография: мягкое образование, поражающее слезную железу, либо мультифокальное или диффузное поражение глазницы
• Патология: спектр варьирует от доброкачественной реактивной гиперплазии до злокачественной неходжкинской лимфомы
7. Идиопатический воспалительный псевдотумор:
• Клиническая картина: воспалительные изменения с болящим экзофтальмом и болевой офтальмоплегией
• Томография: асимметричное опухолеподобное воспаление мышц, слезной железы и других структур глазницы
• Патология: этиология неизвестна; некоторые случаи связаны с IgG4

(Слева) При Т2-взвешенной МРТ в аксиальной проекции определяется массивная лимфатическая мальформация сложной формы, вызывающая экзофтальм. Жидкое содержимое, скопившееся в результате неоднократных кровоизлияний, дает вариабельный сигнал и формирует уровни раздела. Также виден еще один, пресептальный, компонент образования.
(Справа) При МРТ Т1ВИ FS с КУ в левой глазнице определяется крупное образование сложной формы, содержащее по большей части неконтрастируемый субстрат, дающий вариабельный Т1-сигнал. Контрастируемая структура с медиальной стороны представляет собой венозный компонента, вероятно, мелкий варикозный узел.
г) Патология:
1. Общая характеристика:
• Этиология:
о Врожденная неопухолевая сосудистая мальформация, медленный венозным кровоток
о Источником являются плюрипотентные венозные клетки-предшественники
о Лимфатическая ткань в норме отсутствует в глазнице
• Сопутствующие аномалии:
о Мальформации других зон головы и шеи
о Генерализованный лимфоангиоматоз
о Отдельные внутричерепные сосудистые мальформации
2. Стадирование, классификация лимфатической мальформации глазницы:
• Общая классификация сосудистых мальформаций глазницы:
о Тип 1: кровоток отсутствует (лимфатическая мальформация)
о Тип 2: венозный кровоток (венозно-лимфатическая мальформация): нерастяжимая или растяжимая (с варикозом)
о Тип 3: артериальный кровоток (интенсивный кровоток, артериовенозная мальформация)
3. Макроскопические и хирургические особенности:
• Тонкостенное многокамерное образование
• Кистозные структуры с прозрачной/«шоколадной» жидкостью
• Плохо отграничена, распространяется вдоль пластов тканей; трудно поддается диссекции
4. Микроскопия:
• Не имеющее капсулы образование, состоящее из синусов неправильной формы; инфильтрирует прилегающую строму
• Расширенные диспластические венозные ± лимфатические каналы, выстланные уплощенными эндотелиальными клетками
• Кистозные пространства, заполненные лимфатической жидкостью или продуктами длительного разложения крови
• Лимфоидные фолликулы и лимфоцитарная инфильтрация
• Положительные лимфатические иммуногистохимические маркеры подтверждают лимфоидное происхождение
д) Клинические особенности:
1. Проявления:
• Типичные признаки/симптомы:
о Прогрессирующий экзофтальм с внезапными эпизодическими ухудшениями
• Другие признаки/симптомы:
о Эффект объемного образования; компрессионная нейрооптикопатия
о Диплопия, ограничение движений глазодвигательных мышц, птоз
о Периорбитальные экхимозы и сопутствующие кровоизлияния
• Проявления:
о Образования могут быстро увеличиваться в размерах вследствие острого кровоизлияния:
- Рецидивирующие кровоизлияния в 50%
- Кровоизлияние может провоцироваться тромбозом; сопровождается стазом, застоем и воспалением
о На фоне инфекции верхних дыхательных путей образования могут периодически увеличиваться и уменьшаться в размерах:
- Связано с наличием лимфоидной ткани
2. Демография:
• Возраст:
о Варьирует: от младенцев до молодых взрослых
о 40% случаев манифестирует к 6-ти годам; 60% - к 16 годам
• Пол:
о Небольшое преобладание женщин
• Встречаемость:
о Частота 3:100000
о 5% объемных образований глазницы у детей
3. Течение и прогноз:
• Медленный постепенный рост в детском, подростковом и молодом возрасте с эпизодами острого увеличения размеров вследствие кровоизлияний
• Способность к инфильтративному росту обусловливает высокую частоту рецидивов
• Часто сопровождаются аномалиями рефракции и деформацией глазницы
• Неоднократные хирургические резекции приводят к низкой остроте зрения
• При рецидивирующих крупных образованиях развивается поражение зрительного нерва
4. Лечение лимфатической мальформации глазницы:
• Способы лечения, риски, осложнения:
о Консервативная терапия:
- Из-за рисков оперативного лечения при отсутствии угрозы зрению предпочтительно наблюдение
- Системные стероиды могут облегчить боли, отек и экзофтальм; особенно пациентов младшего возраста
- При небольших образованиях в 45% случаях наблюдается регресс
о Склеротерапия под контролем лучевых методов исследования:
- Чрескожные инъекции склерозирующего препарата в толщу образования, особенно в макрокистозные полости
о Хирургическое лечение:
- Резекция затруднена инфильтрацией в нормальные структуры глазницы
- После хирургического лечения часто развиваются рецидивы (50%)
- Эффект объемного образования вследствие острого кровоизлияния может потребовать неотложной декомпрессии глазницы
- Показания: сдавление зрительного нерва, изменения роговицы и не поддающаяся лечению амблиопия
е) Диагностическая памятка:
1. Следует учесть:
• У взрослых глубоко лежащие четко отграниченные образования могут симулировать кавернозную гемангиому глазницы
• Венозно-лимфатическая мальформация и варикоз глазницы -схожие образования:
о Венозно-лимфатическая мальформация изолирована от системного кровотока
о Варикоз глазницы имеет отток в системное венозное русло, чем обусловлена его сжимаемость и растяжимость в зависимости от внешнего и внутреннего давления
2. Советы по интерпретации изображений:
• Наличие продуктов распада крови с уровнем жидкость-жидкость с высокой вероятностью указывает на венозно-лимфатическую мальформацию
1. Аббревиатура:
• Лимфатическая мальформация (ЛМ)
2. Синонимы:
• Типичная (кистозная) ЛМ, лимфатическая аномалия
• Не следует использовать неверные и неоднозначные термины:
о «Кистозная гигрома» используется для обозначения патологической задней срединной «затылочной прозрачности» при раннем УЗИ плода:
- Отличается от ЛМ переднебоковых отделов шеи, которая не обусловлена хромосомными аномалиями
о «Лимфангиома» означает новообразование:
- ЛМ имеет неопухолевую природу
3. Определение:
• Один из вариантов врожденной мальформации с малым/мед-ленным током, в результате нарушения формирования лимфатических сосудов:
о Хорошо отграниченное кистозоподобное образование (макрокистозная ЛМ) ±солидное инфильтративное (микрокистозная ЛМ) образование из патологических лимфатических каналов:
- Размер макрокисты > 1 см, микрокисты < 1 см
о Не сообщается с неизмененными лимфатическими сосудами
1. Общая характеристика:
• Локализация:
о Лицо, шея, грудная клетка, подмышечная область >> живот, таз, конечности
о Фокальная >> мультифокальная
о Мягкие ткани >> кости
о Часто пересекает тканевые пластинки/смежные анатомические зоны
• Размер:
о Существенно варьирует
о Быстро прогрессирует при кровоизлиянии, инфицировании или гормональной стимуляции (половое созревание, беременность)
• Морфология:
о Макрокистозный вариант: хорошо отграниченное кистозное образование с бугристыми краями и множественными тонкими перегородками внутри
о Микрокистозный вариант: хуже отграниченное образование инфильтративного характера, выглядящее солидным
о Могут наблюдаться оба варианта

(Слева) При аксиальной Т1ВИ С+ FS у ребенка старшего возраста с обострением хронического правостороннего проптоза, обусловленного геморрагической лимфатической мальформацией глазницы, определяется жидкость белковою и геморрагического характера; видны уровни «жидкость-жидкость» на границе раздела сред.
(Справа) При аксиальной MPT Т2 FS у этого же пациента за глазным яблоком визуализируется крупное объемное образование с характерными уровнями «жидкость-жидкость». Различная высота уровней позволяет сделать заключение о многокамерном объемном образовании глазницы.
2. КТ при лимфатической мальформации головы и шеи:
• Многокамерное объемное образование с плотностью жидкости:
о Обычно гомогенное, но может содержать очаги ↑ плотности (кровоизлияния/белок) или ↓ плотности (жир/желчь):
- Нечеткие уровни «жидкость-жидкость» или продукты распада крови
• ± накопление контраста в перегородках
• Через ЛМ могут проходить венозные структуры
3. МРТ при лимфатической мальформации головы и шеи:
• Т2 (FS/STIR): образование с преимущественно гиперинтенсивным сигналом:
о Разделенное перегородками с гипоинтенсивным сигналом
о В некоторых кистах уровни «жидкость-жидкость» (кровоизлияние):
- Реже обнаруживаются на других последовательностях
• Т1 ВИ: кровоизлияния, включения белка, жир/желчь (гиперинтенсивный сигнал)
• Т1 ВИ С+ FS:
о Макрокистозная ЛМ:
- Контрастное усиление в виде тонкого «ободка» и перегородок
- Перегородки могут быть утолщенными вследствие перенесенного воспаления или кровоизлияния
о Микрокистозная ЛМ: ± сливное контрастное усиление инфильтрированной ткани
• МР-артерио (вено-) графия: отсутствие сосудов с высокой скоростью тока:
о Почти нормальные сосуды могут быть окружены инфильтративной ЛМ
4. УЗИ при лимфатической мальформации головы и шеи:
• Серошкальное УЗИ:
о Макрокистозная ЛМ: анэхогенное кистозное образование с тонкими перегородками внутри:
- ± ↑ эхогенности из-за кровоизлияний или включений белка
- Мягкое, податливое образование с «вихревыми» включениями дебриса
о Микрокистозная ЛМ: плохо отграниченная зона утолщения подкожных мягких тканей:
- Минимально гипо- или гиперэхогенная
• Цветовая допплерография:
о Признаки кровотока в кистах отсутствуют
о Возможно наличие кровотока в перегородках, обычно в случае, если мальформация окружает нормальные сосуды
5. Рекомендации по визуализации:
• Лучший метод диагностики:
о Ультрасонография часто позволяет обнаружить макрокистозную ЛМ, хотя глубокое распространение и отношение к жизненно важным структурам могут оставаться неясными
о МРТ обычно для подтверждения заключения и распространенности
• Выбор протокола:
о УЗИ для оценки любого объемного образования в мягких тканях, в том числе:
- С компрессией для оценки внутреннего содержимого
- С допплерографией для выявления кровотока и его оценки
о МРТ для оценки любого мягкотканного образования, в т.ч.:
- Т1 ВИ С+ FS с субтракцией (пре- из пост-):
Особенно уместен для ЛМ, поскольку укорочение Т1, обусловленное кровоизлиянием/белком, может затруднять интерпретацию постконтрастных изображений
о КТ с КУ (следует избегать у детей):
- КТ мягких тканей шеи с мультипланарным реформатированием

(Слева) При аксиальной КТ с КУ у мужчины 25 лет визуализируется баллотирующее объемное образование в надключичной области.
(Справа) При аксиальной МРТ Т2 FS у этого же пациента в задних отделах шеи визуализируется лимфатическая мальформация, принимающая форму окружающих ее структур, с сигнальными характеристиками, соответствующими жидкости. Обратите внимание на перегородки внутри образования, видимые на МРТ, но не визуализирующиеся на КТ с КУ.
в) Дифференциальная диагностика лимфатической мальформации головы и шеи:
1. Младенческая гемангиома:
• Истинное сосудистое доброкачественное новообразование
• Обладает типичным жизненный циклом: малая или отсутствует при рождении, быстро растет в раннем младенчестве, постепенно инволюционирует с годами
• Солидное мягкоктанное объемное образование овоидной или вытянутой формы, с фестончатыми краями, чаще всего в коже/подкожных тканях
• Различная эхогенность при сонографии, так как имеет смешанный характер и включает в себя пролиферативный/инволютивный компонент
• При допплерографии определяется выраженный кровоток
• На Т2ВИ определяется гиперинтенсивный (но не типичный для жидкости) сигнал, а также раннее диффузное контрастное усиление
2. Венозная мальформация:
• Ограниченное объемное образование или конгломерат патологических трубчатых каналов с низкой скоростью тока
• Гиперинтенсивный сигнал (жидкость) на Т2ВИ ± уровни «жидкость-жидкость»
• Выбухающие включения жира вдоль краев или перегородок
• Флеболиты в мягкотканном объемном образовании особенно патогномоничны
3. Артериовенозная мальформация:
• «Клубок» расширенных, извитых артерий и вен с солидным компонентом, выраженным в различной степени
• УЗИ, МРА/МРВ: высокая скорость кровотока, шунты
4. Саркома мягких тканей:
• Плотное, хорошо отграниченное солидное мягкотканное образование округлой или вытянутой формы, гиповаскулярное, вариабельно накапливающее контраст
• Может содержать и кистозный, и мягкотканный компонент
5. Инфекции мягких тканей:
• Целлюлит: плохо отграниченный участок утолщения мягких тканей с множественными «цепочками» скоплений жидкости неправильной формы
• Абсцесс: хорошо отграниченное скопление гипоэхогенной жидкости с мобильными включениями дебриса и толстой стенкой

(Слева) При аксиальной МРТ Т2 FS у ребенка с новообразованием бокового отдела живота визуализируется объемное образование с интенсивностью сигнала, соответствующей жидкости, вытянутой формы, разделенное перегородками, - типичная лимфатическая мальформация.
(Справа) При аксиальной MPT T2 FS у этого же пациента месяц спустя определяется выраженное перемежающееся накопление контраста в образовании. Визуализируются многочисленные уровни «жидкость-жидкость», типичные для продуктов лизиса крови, обусловленных внутренним кровоизлиянием.
1. Общая характеристика:
• Сопутствующие патологические изменения:
о Синдром Книппеля-Треноне:
- Капиллярно-лимфатико-венозная мальформация конечностей (обычно нижних) + избыточное разрастание жира и костей
- «Винные пятна» на наружной поверхности конечностей, лимфатические везикулы
- Варикозное расширение поверхностных вен:
Поверхностная венозная система может преобладать над глубокой, слабо выраженной или отсутствующей
о Врожденный избыток жировой ткани, сосудистые мальформации, эпидермальные невусы, аномалии скелета:
- Липоматозные объемные образования на теле ± ЛМ
о ЛМ не связана стрисомией 13, 18, 21 пары или синдромом Тернера:
- Анеуплоидия связана с патологической задней «затылочной прозрачностью» (кистозной гигромой) при раннем УЗИ плода
2. Стадирование, классификация лимфатической мальформации головы и шеи:
• Классификация Международного Сообщества по Изучению Сосудистых Аномалий пересмотра 2014 г.:
о Типичная (кистозная) ЛМ: макрокистозная, микрокистозная, смешанная
о Генерализованная лимфатическая аномалия (ГЛА):
- Множественные патологические очаги в плевре, селезенке, костях осевого и аппендикулярного скелета:
ГЛА: отсутствует прогрессирующая кортикальная деструкция
- Часто присутствуют макрокистозные ЛМ о Лимфатическая мальформация канального (или «центрального кондукторного типа»):
- Возможно расширение центральных лимфатических сосудов и/или вторичные проявления:
Интестинальная лимфангиэктазия; утолщение стенки кишечника, патологические изменения брыжейки; энтеропатия, приводящая к потере белка
Хилоторакс, хилезный асцит
Отек конечностей
о Первичная лимфедема
3. Микроскопия:
• Каналы различного размера, выстланные плоским эпителием
• В стенках больших каналов обнаруживается фиброзная ткань и гладкие мышцы в различных количествах
• Может наблюдаться смешанный венозный и/или капиллярный компонент
4. Иммуногистохимические особенности:
• Положительная окраска эндотелия на лимфатические маркеры
о Наиболее чувствительные и специфические: Prox-1 и VE → FR-3
о Менее чувствительные (в крупных каналах ЛМ): D2-40 и LYVE-1
1. Проявления:
• Характерные признаки/симптомы:
о Безболезненное мягкое и податливое объемное образование
• Другие признаки/симптомы:
о Боль и/или быстрый рост вследствие кровоизлияния, воспаления или гормональной стимуляции
о Везикулы на коже: ЛМ, но обычно кожа остается нормальной
о Возможно сдавливание дыхательных путей или других жизненно важных структур
2. Демография:
• Возраст:
о Обычно сразу после рождения или в пренатальном периоде
3. Течение и прогноз:
• ЛМ растет обычно вместе с пациентом:
о Может быстро увеличиваться в размерах вследствие кровоизлияния, воспаления или гормональной стимуляции
• Прогноз лучше при небольших ограниченных образованиях:
о Так как большие инфильтративные ЛМ трудно удалить целиком оперативно или при помощи склерозирования, часто возникает рецидив
4. Лечение:
• Хирургическое (резекция) перкутанная склеротерапия:
о Комбинированное лечение требуется для инфильтративных объемных образований большего размера
о Скперотерапия обычно применяется при макрокистозных ЛМ:
- Непосредственное введение склерозирующего агента в полость кисты под контролем УЗИ/рентгеноскопии:
Доксицикпин, блеомицин, ОК-432, этиловый спирт
Сообщается об использовании блеомицина в случаях микрокистозных ЛМ
- Редко приводит к серьезным осложнениям: некрозу кожи, повреждению нервов, отеку конечностей, атрофии мышц, диссеминированному внутрисосудистому свертыванию
- Окончательные результаты фиксируются спустя несколько месяцев:
Для устранения мальформации могут потребоваться несколько последовательных процедур
• Все популярнее медикаментозная терапия сиролимусом
• Компрессионный трикотаж
д) Диагностическая памятка. Советы по интерпретации изображений:
• Поликистозное образование в мягких тканях с уровнями «жидкость-жидкость» у ребенка крайне подозрительно на сосудистую мальформацию с медленным/низким током
1. Аббревиатура:
• Кавернозная венозная мальформация глазницы (КВМГ)
2. Синонимы:
• Кавернозная гемангиома (ошибочный термин)
• Инкапсулированное кавернозное образование глазницы
3. Определение:
• Венозная сосудистая мальформация глазницы, характеризующаяся наличием выстланных эндотелием кавернозных полостей
1. Общая характеристика:
• Лучший диагностический критерий:
о Четко отграниченное овоидное контрастируемое объемное образование внутри мышечного конуса
о Интенсивное динамическое контрастирование: сначала «лоскутное», на поздних томограммах-гомогенное
• Локализация:
о Большинство (>75%) внутри мышечного конуса, обычно с латеральной стороны
о В 10-20% случаев тянется в щели глазницы или канал зрительного нерва
• Размеры:
о Варьируют от нескольких миллиметров (случайные находки) до очень крупных
• Морфология:
о Овоидное или округлое с четкими контурами
о Псевдокапсула, образованная сдавленными окружающими тканями
о Сдавливает глазное яблоко, а не повторяет его форму
о Размер не увеличивается при выполнении пробы Вальсальвы

(Слева) При КТ с КУ в аксиальной проекции в правой глазнице в жировой клетчатке внутри мышечного конуса определяется овоидное контрастное объемное образование с четкими контурами, прилегающее к зрительному нерву и наружной прямой мышце.
(Справа) При МРТ Т1ВИ FS с КУ в аксиальной проекции наблюдается интенсивное контрастирование интраконального объемного образования. Образование имеет относительно небольшие размеры, оказывает незначительный эффект объемный эффект и не имеет агрессивных признаков. Такие образования зачастую существуют бессимптомно или вызывают постепенные изменения, не замечаемые пациентом.
2. КТ при кавернозной венозной мальформации глазницы (гемангиомы):
• КТ без контрастного усиления:
о Гомогенная, одинаковой плотности с окружающими тканями
о Крупные образования вызывают доброкачественную перестройку кости
• КТ с КУ:
о Интенсивное контрастирование
3. МРТ при кавернозной венозной мальформации глазницы (гемангиомы):
• Т1 ВИ:
о Гомогенное изоинтенсивное по сравнению с мышечной тканью
о Может визуализироваться псевдокапсула в виде гипоинтенсивного пояска
• Т2 ВИ:
о Гиперинтенсивное; могут визуализироваться внутренние перегородки, особенно в крупных образованиях
о В направлении кодирования частоты визуализируется артефакт химического сдвига
• Т1 ВИ с КУ:
о При динамическом контрастировании наблюдается характерный паттерн заполнения:
- Раннее гетерогенное «лоскутное» центральное контрастирование
- В венозную фазу - диффузное контрастирование
- На поздних постконтрастных томограммах образование гомогенно
• МР-ангиография:
о Признаки интенсивного кровотока отсутствуют
о При стандартной МР-ангиографии не визуализируется
4. УЗИ при кавернозной венозной мальформации глазницы (гемангиомы):
• Серошкальное УЗИ:
о Четко отграниченное гиперэхогенное ретробульбарное объемное образование
о Высоко эхогенный край представляет собой псевдокапсулу
5. Рекомендации по визуализации:
• Лучший метод визуализации:
о Прицельная МРТ глазницы тонкими срезами с КУ:
- Специфические МР-признаки: «лоскутное» динамическое контрастирование, наличие перегородок и псевдокапсулы
• Рекомендации по протоколу исследования:
о Обычно при наличии соответствующей клинической картины диагноз удается поставить при помощи КТ
о При МРТ наблюдается характерная картина:
- При МРТ Т2 ВИ используйте режимы FS или STIR FS
- При МРТ Т2 ВИ FS наилучшая визуализация достигается на постконтрастных томограммах
- Для регистрации характерной картины динамического контрастирования делайте срезы в динамике

(Слева) При КТ с КУ в корональной проекции внутри мышечного конуса определяется объемное образование; наблюдается раннее «лоскутное» контрастирование, что с высокой вероятностью указывает на кавернозную мальформацию глазницы. Хотя образование простирается к периферии глазницы, его центр лежит внутри мышечного конуса.
(Справа) При STIR MPT внутри мышечного конуса определяется крупная кавернозная мальформация. Образование дает интенсивный сигнал, аналогичный сигналу спинномозговой жидкости, окружающей смещенный зрительный нерв.
в) Дифференциальная диагностика кавернозной венозной мальформации глазницы (гемангиомы):
1. Лимфопролиферативные новообразования:
• Спектр от поликлональных реактивных образований до лимфомы (MALT)
• Инфильтративное или «типа пластиковой отливки» гомогенно контрастируемое образование
2. Метастазы в глазнице:
• Чаще всего в мышцах и глазном яблоке
• Могут поражать область глазниц или разрастаться непосредственно из кости
3. Менингиома влагалища зрительного нерва:
• Веретеновидное контрастируемое образование, окружающее зрительный нерв
• Контрастирование и кальциноз типа «трамвайных рельс»
4. Глиома зрительного нерва:
• Иногда сопутствует нейрофиброматозу 1 типа
• Тубулярное образование, неотличимое от зрительного нерва
5. Варикоз глазницы:
• Однородно контрастируемое сосудистое образование
• Растяжимое, увеличивается при проведении пробы Вальсальвы
6. Лимфоидная мальформация глазницы:
• Склонна к кровоизлияниям с внезапно развивающимся экзофтальмом
• Многокамерное образование, распространяется на несколько смежных пространств; наличие уровней жидкости
7. Гемангиоперицитома:
• Встречается нечасто; может симулировать КВМГ
• Интенсивное контрастирование; менее четкие контуры
8. Шваннома:
• В глазнице встречается нечасто
• Овоидное или веретеновидное гомогенно контрастируемое образование
9. Нейрофиброма:
• Диагностический признак нейрофиброматоза 1 типа
• Неправильной формы дольчатое или змеевидное образование

(Слева) При MPT Т2ВИ FS в аксиальной проекции в правой глазнице определяется крупное гиперинтенсивное несколько дольчатое объемное образование, заполняющее верхушку глазницы. Это медленно растущее образование вызвало расширение верхней глазничной щели.
(Справа) При МРТ Т1ВИ FS в аксиальной проекции наблюдается неполное, но интенсивное контрастирование крупной кавернозной мальформации глазницы, простирающейся в верхушку глазницы. Неконтрастируемые участки, вероятно, будут заполнены контрастом на поздних томограммах.
1. Общая характеристика:
• Этиология:
о Медленно растущая сосудистая мальформация
о Новообразование, характеризуемое медленным венозным кровотоком и расширенными сосудистыми пространствами
о Неопухолевое; не является истинной гемангиомой
• Сопутствующие аномалии:
о Множественные новообразования сопутствуют системным расстройствам:
- Таким как синдром синего резинового пузырчатого невуса
2. Стадирование, классификация кавернозной венозной мальформации глазницы (гемангиомы):
• Классификация сосудистых мальформаций Международного общества изучения сосудистых аномалий:
о КВМГ относится к венозным новообразованиям с медленным кровотоком
о Отмечаются некоторые лучевые признаки артериальных новообразований, однако при гистологических исследованиях артериальных элементов обнаружено не было, поэтому КВМГ считается исключительно венозным новообразованием
3. Макроскопические и хирургические особенности:
• Округлое красноватое образование с четкими контурами; сосудистые каналы
• Фиброзная псевдокапсула, отличимая от окружающих сдавленных тканей
• Часто имеется верхушечный сосудистый привесок
4. Микроскопия:
• Сеть расширенных заполненных эритроцитами сосудистых каналов, более крупных по сравнению с капиллярами
• Тонкостенные синусоидальные пространства, выстланные зрелыми уплощенными эндотелиальными клетками, окруженные несколькими слоями гладкомышечной ткани, разделенные скудным количеством фиброзной соединительнотканной стромы
• Признаки пролиферации клеток отсутствуют:
о Такие иммуногистохимические маркеры, как GLUT-1, десмин и Ki-67, отсутствуют; это свидетельствует, что кавернозная венозная мальформация глазницы является именно мальформацией, а не опухолью
о Выраженные признаки пролиферации эндотелия, описанные в литературе ранее, могли быть вызваны местными реактивными изменениями в ответ на тромбоз кавернозных каналов
1. Проявления:
• Типичные признаки/симптомы:
о Медленно прогрессирующий безболезненный экзофтальм
• Другие признаки/симптомы:
о Головная боль или боли за глазным яблоком
о Ухудшение зрения вследствие компрессионной нейрооптикопатии
• Проявления:
о При крупных новообразованиях: диплопия, ухудшение зрения, повышение внутриглазного давления
• Офтальмоскопия:
о При крупных новообразованиях: стрии хориоидеи, проминенция зрительного нерва и вдавление образования в задний полюс глаза
2. Эпидемиология:
• Возраст:
о 10-60 лет; средний возраст 40 лет
• Пол:
о Отмечается предрасположенность среди женщин, соотношение мужчин и женщин приблизительно 2:1
• Этническая предрасположенность:
о Предрасположенности не выявлено
• Встречаемость:
о Наиболее часто встречающееся изолированное объемное образование глазницы у взрослых:
- 5% объемных образований глазницы
3. Течение и прогноз:
• Медленное постепенное увеличение размеров в течение нескольких лет:
о В среднем рост составляет 10-15% объема год
• Во время беременности отмечается ускорение роста
• В итоге вызывает сдавливание и дислокацию структур глазницы
• Прогноз благоприятный; рецидивы очень редки
4. Лечение:
• Хирургическая резекция показана при нарушениях зрения или при других выраженных эффектах объемного образования:
о Традиционным хирургическим лечением является латеральная орбитотомия
о Возможно вмешательство трансконъюнктивальным доступом
о Обширные операции при новообразованиях верхушки глазницы: чаще сопровождаются осложнениями
• Псевдокапсула обеспечивает легкое удаление образования
• При образованиях, не вызывающих значимых изменений или при плохом соматическом состоянии пациента: наблюдение
1. Следует учесть:
• Наиболее часто встречающееся у взрослых объемное образование глазницы:
о Нередко становится случайной находкой при МРТ головного мозга
• Часто используется ошибочный термин «гемангиома»:
о КВМГ представляет собой именно мальформацию, а не новообразование
• Гемангиоперицитома при лучевых исследованиях дает такую же картину, но эта опухоль встречается редко
• Необходимо дифференцировать это образование от гемангиомы младенцев («капиллярной») и опухолей младенческого возраста
2. Советы по интерпретации изображений:
• «Лоскутное» динамическое контрастирование, характерное также для кавернозных мальформаций других областей тела
• Макроскопический кальциноз или флеболиты не характерны, в отличие от венозных мальформаций других областей тела
3. Важно:
• На основании характерной картины необходимо уверенно диагностировать это часто встречающееся доброкачественное образование взрослых
Читайте также:
- Клиника малярии. Поражение глаз
- Поражение лимфоузлов шеи нетуберкулезными микобактериями - лучевая диагностика
- Возбудитель амебных кератитов. Диагностика возбудителя амебных кератитов. Лечение амебного кератита.
- Гигантоклеточная опухоль костей: атлас фотографий
- МРТ менисков коленного сустава во фронтальной проекции в норме
