КТ, МРТ при младенческой гемангиоме и синдроме PHACES
Добавил пользователь Евгений Кузнецов Обновлено: 29.01.2026
Информацию из данного раздела нельзя использовать для самодиагностики и самолечения. В случае боли или иного обострения заболевания диагностические исследования должен назначать только лечащий врач. Для постановки диагноза и правильного назначения лечения следует обращаться к Вашему лечащему врачу.
Гемангиома: причины появления, симптомы, диагностика и способы лечения.
Определение
Гемангиомой называют гиперплазию сосудов (разрастание клеток сосудистой стенки) – заболевание, которое классифицируется как доброкачественная опухоль (доброкачественное новообразование) и может быть как врожденным, так и появиться в течение нескольких месяцев после рождения ребенка.
Гемангиома кожи у взрослых встречается, но не часто, так как большинство опухолей самостоятельно рассасываются еще в детском возрасте. Если похожее новообразование появилось на коже взрослого человека, где до этого не было никаких поверхностных дефектов, то такая опухоль требует тщательной диагностики.
Если в детстве гемангиома выражена слабо (в виде ссадины или небольшого пятнышка), то во взрослом возрасте под действие определенных факторов она может расти и увеличиваться.
Гемангиомы формируются, как правило, на коже головы, лица, шеи и реже – на туловище и конечностях. Излюбленными локациями на внутренних органах являются печень, кости, легкие.
Гемангиомы кожи чаще представляют собой одиночные новообразования, но бывают исключения. Замечено: если гемангиом на видимых участках тела больше пяти, высока вероятность того, что есть и гемангиома внутренних органов.
Причины появления гемангиом
Причины появления гемангиом до конца не изучены. Согласно одной из теорий, разросшиеся клетки эндотелия могут быть остаточными эмбриональными клетками. Другое предположение заключается в том, что гемангиома начинает расти внутриутробно в условиях хронического недостатка кислорода. Возможно, формирование опухоли могут провоцировать острые инфекции, в том числе респираторно-вирусные, если таковые были у матери в первом триместре беременности. Это лишь теория, потому как гемангиомы возникают и у детей, родившихся от матерей с нормально протекавшей беременностью.
Угрозы выкидыша, предлежание плаценты (очень низкое расположение плаценты в матке, затрудняющее естественные роды), отслойка и воспаление плаценты, обвитие пуповины, преэклампсия (комплекс симптомов, включающий отеки, повышение артериального давления и выявление белка в анализе мочи), возраст матери (старше 38 лет) также являются факторами риска.
Классификация заболевания
Гемангиомы детского возраста подразделяют на врожденные и инфантильные (младенческие).
Нередко крупные гемангиомы можно увидеть во время ультразвукового скрининга. Новорожденный появляется с гемангиомой, которая впоследствии может самостоятельно в течение полутора лет уменьшиться в размере и исчезнуть (быстро инволюционирующая), уменьшиться, но не полностью исчезнуть (частично инволюционирующая) или не измениться совсем (не инволюционирующая). Если врожденная гемангиома растет, то только пропорционально росту ребенка. С равной частотой она встречается как у мальчиков, так и у девочек.

Инфантильная гемангиома
Предшествует такой гемангиоме участок измененной кожи или красное пятно. Рост гемангиомы может продолжаться до шести месяцев жизни ребенка. Затем наступает период остановки роста, он длится в среднем два месяца, а потом происходит фаза медленного уменьшения новообразования, которая может продолжаться до десяти лет.
Младенческая гемангиома встречается у девочек в пять раз чаще, чем у мальчиков.
Инфантильные гемангиомы могут располагаться на коже (простые капиллярные гемангиомы), под кожей (венозные и кавернозные гемангиомы) и быть комбинированными.

В зависимости от гистологического строения и от калибра сосудов гемангиомы подразделяют:
- на капиллярные,
- венозные,
- кавернозные,
- комбинированные.
Располагается на поверхности кожи и представляет собой густую сеть тесно переплетенных капилляров, выстланных клетками эндотелия. Эта форма встречается в 90-96% случаев, характерна интенсивным разрастанием новых сосудов и считается начальной стадией развития образования.
Образования представлены венами мелкого и среднего калибра. Таким гемангиомам свойственно разрастание вглубь кожи и над ее поверхностью.
Кавернозные, или пещеристые гемангиомы.
Кавернозное образование считается следующим этапом развития венозной формы гемангиомы. Оно состоит из полостей, ограниченных эндотелиальным слоем сосудов и разделенных перегородками. Такая гемангиома формируется в результате переполнения кровью неполноценных капилляров и разрыва их стенок с образованием полостей (каверн) и кровоизлияний (гематом). Кровь, находящаяся в этих полостях, из-за повышения коагуляционных свойств образует мелкие сгустки.
К этому виду гемангиом относят образования, имеющие признаки нескольких форм различной степени выраженности.
- Капиллярная, или поверхностная гемангиома кожи (винное пятно) склонна к разрастанию в окружающие ткани и представляет собой объемное эластичное образование от бледно-розового до насыщенного красного или бордового цвета, с неровными очертаниями, несколько возвышающееся над поверхностью кожи. При надавливании гемангиома бледнеет, но потом быстро принимает исходный вид. При локализации на затылке имеет название «укус аиста», при локализации на лбу - «поцелуй ангела».
Края гемангиомы говорят о стадии ее развития: ровный очерченный край наблюдается в фазе остановки роста и фазе уменьшения опухоли. Во время активного роста края размыты.
Небольшие гемангиомы внутренних органов зачастую никак себя не проявляют и случайно выявляются при проведении исследований, связанных с другими заболеваниями.
Для того чтобы гемангиома печени давала болевые ощущения, она должна достигать внушительных размеров – 5–10 см. Гемангиома позвоночника не вызывает никаких симптомов, если она находится внутри позвонка. Как только она затрагивает надкостницу (оболочку, покрывающую кость) или связки, появляется постоянная боль. Опухоль, сдавливающая корешки спинномозговых нервов, может привести к различным нарушениям чувствительности в конечностях.
Некоторые гемангиомы сразу вызывают симптомы, это объясняется особенностью расположения. Разрастаясь, они быстро нарушают функцию органа. К таким относят гемангиомы гортани, трахеи, опухоли глаз.
Диагностика гемангиомы
Диагностика гемангиомы начинается с опроса пациента и/или его представителей о течении заболевания, первых проявлениях, динамике событий. Затем проводят детальный осмотр сосудистого образования. В зависимости от симптомов и расположения гемангиомы может потребоваться углубленный осмотр узким специалистом (офтальмологом, оториноларингологом и т.д.).
Для уточнения размеров, глубины залегания, строения новообразования показано ультразвуковое исследование с изучением кровотока. Однако при некоторых гемангиомах оно может быть неинформативным.
Исследование мягких тканей для выявления патологических изменений и диагностики новообразований.
КТ, МРТ при младенческой гемангиоме и синдроме PHACES
а) Определение:
• Младенческая гемангиома: самая частая врожденная сосудистая опухоль у младенцев; фаза пролиферации и инволюции
• Акроним PHACES:
о Мальформации задней черепной ямки
о Гемангиома
о Аномалии артерий о Аномалии сердца/коарктация аорты
о Аномалии глаз
о Дефекты грудины или надпупковый шов
б) Визуализация:
1. Общая характеристика:
• Лучший диагностический критерий:
о Шейно-лицевая гемангиома: единичная или множественная; регионарная или срединная
о Аномалия задней черепной ямки:
- Одно- или двухсторонняя гипоплазия мозжечка ± мальформация, расширение замозжечкового ликворного пространства
о Цереброваскулярные артериальные нарушения о Кардиоваскулярные нарушения
о Аномалии грудины и надпупковый шов
2. Рекомендации по визуализации:
• Лучший метод визуализации:
о МРТ/МРА для определения размера гемангиомы и изменений ЦНС
• Выбор протокола:
о Т2 FS, Т1, Т1 C+ FS
о 3D TOF МРА головного мозга и шеи

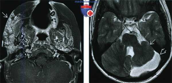
(Слева) При аксиальной МРТ Т1 ВИ С+ FS визуализируется контрастирующаяся гемангиома лица справа с поражением кожи и подкожной клетчатки. Определяется потоковое выпадение сигнала во внутреннем слуховом канале (ВСК) справа (норма). Слева потоковое выпадение сигнала отсутствует в результате атрезии ВСК.
(Справа) При аксиальной MPT Т2 ВИ у этого же пациента определяется гипоплазия мозжечка и мальформация его коры с расширением замозжечкового ликворного пространства. Мост с вентральной стороны уплощен и уменьшен в размерах.
3. КТ при младенческой гемангиоме и синдроме PHACES:
• Гемангиома: интенсивное контрастирование
• Маленький канал каменистой части внутренней сонной артерии
• Расширенный внутренний слуховой канал (ВСК) на стороне гипоплазии мозжечка
• Персистирующая стременная артерия, отсутствие остистого отверстия
4. МРТ при младенческой гемангиоме и синдроме PHACES:
• Пролиферативная гемангиома: дольчатое образование с промежуточным сигналом на МРТ Т2 ВИ , явное потоковое выпадение сигнала, интенсивное контрастирование
• Инволютивная гемангиома: меньший размер, менее очевидное потоковое выпадение сигнала, большое количество фиброзно-жировой ткани, менее интенсивное контрастирование
• Множественные гемангиомы: могут поражать ЦНС:
о Поражение височной кости: ушной раковины, наружного слухового канала, среднего уха, ВСК:
- Гемангиома ВСК имитирует шванному
• МРТ головного мозга:
о Гипоплазия мозжечка ± мальформация (одно- > двухсторонняя) и расширение замозжечкового ликворного пространства
о Агенезия/гипогенезия мозолистого тела ± липома
о Полимикрогирия
о Артериальные ишемические инсульты
• МРА:
о Гипоплазия/аплазия, аберрантный ход, перегиб, извитость, петлистость, расширение, аневризма ВСА или позвоночных артерий
о Персистирующие фетальные коммуниканты (например, персистирующая стременная артерия)
о Стеноз и окклюзия артерий с формированием коллатералей (моямоя)

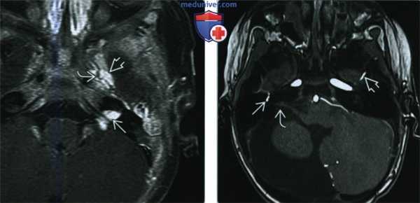
(Слева) При МРТ у мальчика в возрасте трех недель с параличом лица в ВСК слева и кавернозном синусе визуализируются объемные образования, активно накапливающие контраст. В образовании левого кавернозного синуса хорошо видны участки потокового выпадения сигнала. Образование в ВСК имитирует шванному. Такие гемангиомы подвергаются инволюции после первого года жизни.
(Справа) При аксиальной МРА у новорожденной девочки с синдромом PHACES и гипоплазией правого полушария мозжечка визуализируется персистирующая стременная артерия справа. Обратите внимание на нормальную левую среднюю менингеальную артерию. Правый ВСК расширен.
в) Дифференциальная диагностика младенческой гемангиомы и синдрома PHACES:
1. Синдром Стерджа-Вебера:
• Капиллярно-венозные «винные пятна» на лице
2. Вестибулярная шваннома:
• Контрастирующаяся опухоль без выраженной васкуляризации у старших детей
г) Патология:
1. Общая характеристика:
• Этиология:
о Нейро-кожный синдром; этиология и патогенез в настоящее время неизвестны
2. Стадирование, классификация:
• Гемангиома: подразделяется на пролиферативную, инволютивную, полностью/частично регрессировавшую
3. Макроскопические и хирургические особенности:
• Роды: пятна на коже; врожденная гемангиома нетипична
• До года: пролиферативная гемангиома:
о Кожная: малиновая, выпуклая, рельефная, бляшковидная
о Подкожная: голубоватая, выпуклая, кожа над гемангиомой горячая
д) Клинические особенности:
1. Проявления:
• Типичные признаки/симптомы:
о Бляшковидная краниоцефальная гемангиома кожи надглазничной области, щеки; может напоминать «бороду» или располагаться срединно, Л > П
о Сердце и аорты: сердечная недостаточность, тампонада сердца
о Нервная система: задержка развития, судороги, головная боль, инсульт
• Другие признаки/симптомы:
о Ямка над грудиной, расщелина грудины, надпупковый шов
2. Демография:
• Гемангиома выявляется при родах или у новорожденного
• Заболеваемость - 5%; - 80-90% женщины
• PHACES нетипичен, но не является редким
3. Течение и прогноз:
• Прогноз варьирует в зависимости от типа и тяжести аномалии
4. Лечение:
• Пропранолол: ускоряет инволюцию
• Нейрохирургическая реваскуляризация
е) Список использованной литературы:
1. Meltzer DE et al: Enlargement of the internal auditory canal and associated posterior fossa anomalies in PHACES association. AJNR Am J Neuroradiol. 36(11):2159-62, 2015
2. Hess CP et al: Cervical and intracranial arterial anomalies in 70 patients with PHACE syndrome. AJNR Am J Neuroradiol. 31 (10): 1980-6, 2010
3. Metry D et al: Consensus statement on diagnostic criteria for PHACE syndrome. Pediatrics. 124(5):1447-56, 2009
4. Oza VS et al: PHACES association: a neuroradiologic review of 17 patients. AJNR Am J Neuroradiol. 29(4):807-13, 2008
5. Frieden IJ et al: PHACE syndrome. The association of posterior fossa brain malformations, hemangiomas, arterial anomalies, coarctation of the aorta and cardiac defects, and eye abnormalities. Arch Dermatol. 132(3):307-11, 1996
6. Pascual-Castroviejo I et al: Hemangiomas of the head, neck, and chest with associated vascular and brain anomalies: a complex neurocutaneous syndrome. AJNR AmJ Neuroradiol. 17(3):461-71, 1996
Рентгенограмма, КТ, МРТ при младенческой гемангиоме верхних дыхательных путей
а) Определение:
• Гемангиома, локализующаяся в подскладочном отделе дыхательных путей
1. Общая характеристика:
• Лучший диагностический критерий:
о Асимметричное сужение подскладочного отдела у ребенка
- Накапливающее контраст образование при КТ/МРТ
• Локализация:
о В большинстве случаев располагается под голосовыми складками, но может захватывать и голосовую щель
о Обычно асимметрична или захватывает только одну половину, левую чаще правой

(Слева) Рентгенография в прямой проекции. Асимметричное сужение подскладочного отдела трахеи у младенца двух месяцев со стридором. Асимметричное сужение всегда должно насторожить врача в отношении гемангиомы, поскольку при крупе просвет будет сужен симметрично.
(Справа) КТ с КУ, аксиальная проекция, тот же пациент. Накапливающая контраст гемангиома расположена вдоль заднелатерального края подскладочного отдела.
2. Рентгенография при младенческой гемангиоме верхних дыхательных путей:
• Асимметричное сужение просвета трахеи на прямых снимках
3. КТ при младенческой гемангиоме верхних дыхательных путей:
• Чаще всего единичное, накапливающее контраст образование
4. МРТ при младенческой гемангиоме верхних дыхательных путей:
• Промежуточный сигнал на Т1ВИ, гиперинтенсивный на Т2ВИ, активное накопление контраста
5. Рекомендации по визуализации:
• Лучший метод визуализации:
о 3D КТ позволяет оценить расположение опухоли и степень сдавливания трахеи:
- Выполняется быстрее, чем МРТ, седация может не требоваться
о Настройки КТ должны соответствовать детскому возрасту
о МРТ более чувствительна, но чаще всего требует седации

(Слева) МРТ Т1ВИ FS с КУ, аксиальная проекция. Ребенок с синдромом PHACES. Множественные накапливающие контраст гемангиомы в заглоточном пространстве В, вокруг подскладочного отдела трахеи и в правом подбородочном пространстве.
(Справа) КТ с КУ в аксиальной проекции, девочка 11 месяцев. Подскладочная гемангиома циркулярной формы с четкими контурами. Обратите внимание на гемангиомы заднего шейного пространства и подбородочной области, которые должны насторожить врача в отношении синдрома PHACES.
в) Дифференциальная диагностика младенческой гемангиомы верхних дыхательных путей:
1. Врожденный подскладочный стеноз:
• Симметричное сужение трахеи:
о Полные кольца трахеи:
- На аксиальных срезах трахея имеет округлые контуры
• ± Аберрантная легочная артерия или врожденные пороки сердца
2. Ятрогенный подскладочный стеноз:
• Интубация или трахеотомия в анамнезе
3. Круп:
• Симметричное сужение подскладочного отдела трахеи
• Чаще всего у детей от восьми месяцев до трех лет
4. Трахеомаляция:
• Динамический коллапс грудного отдела трахеи
5. Экссудативный трахеит:
• Дефекты наполнения/воспалительный экссудат в трахее:
о Дети обычно старше, чем дети с крупом
1. Общая характеристика:
• Этиология:
о Доброкачественная сосудистая опухоль, происходящая из эндотелиальных клеток
о Не является сосудистой мальформацией
• Генетика:
о Преимущественно спорадическое заболевание
• Сопутствующие заболевания:
о Кожные гемангиомы в 50% случаев
о Синдром PHACES: мальформации задней (posterior) черепной ямки, гемангиомы (hemangiomas) лица, артериальные (artrial) аномалии, сердечные (cardiac) аномалии, аномалии глаз (eye), расщепление грудины (sternal) или надпупочный шов (supraumbilical)
- Гемангиомы подскладочного пространства у 7% пациентов
2. Макроскопические и хирургические особенности:
• Классификация гемангиом и сосудистых мальформаций по Mulliken и Glowacki:
о Основана на клеточной биологии и клинике
• Три стадии роста и регресса:
о Фаза пролиферации начинается через несколько недель после рождения
о В фазу инволюции происходит постепенное уменьшение размеров опухоли
о Стадия разрешения наступает в позднем детском возрасте
3. Микроскопия:
• Иммуногистохимический маркер GLUT1: положительный на протяжении всех стадий
1. Проявления:
• Типичные признаки/симптомы:
о Инспираторный стридор у детей младше шести месяцев
• Другие признаки/симптомы:
о Кожные гемангиомы у 50% больных
о Осиплость или изменения плача
2. Демография:
• Возраст:
о Симптомы обычно возникают до шести месяцев
3. Течение и прогноз:
• В пролиферативную стадию у большинства больных возникает обструкция дыхательных путей
• После фазы инволюции симптомы разрешаются
• Доброкачественное заболевание, которое может привести к фатальным последствиям
• Диагноз ставится на основе эндоскопии
4. Лечение:
• Общие принципы:
о Комбинированная терапия требуется в 75% случаев
• Консервативное наблюдение
• Пропранолол: в последние годы считается препаратом первой линии
• Системные кортикостероиды:
о ± возобновление роста при отмене стероидов
• Введение кортикостероидов в опухоль
• Терапия CO2-лазером
• Ларинготрахеопластика: непосредственное удаление образования, после внедрения современных способов консервативного лечения обычно не требуется
а) Терминология:
1. Аббревиатура:
• Младенческая гемангиома (МГ)
2. Синонимы:
• Устаревшие, некорректные термины: гемангиома младенческого возраста, капиллярная гемангиома:
о В литературе широко используется некорректный термин «гемангиома»:
- Кавернозная гемангиома, гемангиома тела позвонка, синовиальная гемангиома = венозная мальформация
- Гемангиоэндотелиома = сосудистая опухоль высокой степени злокачественности
3. Определение:
• Доброкачественное сосудистое новообразование из пролиферативных эндотелиальных клеток, самая частая мягкотканная опухоль у младенцев
• Не является сосудистой мальформацией
• В классификации Международного Сообщества по Изучению Сосудистых Аномалий пересмотра 2014 года сохранены две основные категории:
о Сосудистые опухоли (истинные новообразования с клеточной пролиферацией, в большинстве своем растущие непропорционально с пациентом)
о Сосудистые мальформации (врожденные нарушения развития сосудов, обычно растущие соразмерно с пациентом)

(Слева) При аксиальной МРТ Т1ВИ С+ FS у четырехмесячной девочки с синдромом PHACES в правом околоушном пространстве, задненижних отделах правой глазницы, правой щеке, носу, внутреннем слуховом канале и в области правого мостомозжечкового угла визуализируются множественные гемангиомы, накапливающие контраст. Обратите также внимание на гипоплазию правой гемисферы мозжечка.
(Справа) При аксиальной КТ с КУ у семимесячного ребенка с опухолью носа визуализируется объемное образование, интенсивно накапливающее контраст, и вызывающее окклюзию преддверия носа слева. Все характеристики и расположение этого образования типичны для МГ.
2. КТ с КУ при младенческой гемангиоме:
о Диффузное интенсивное контрастное усиление
о Выбухающие сосуды в объемном образовании/возле него в ПФ
о Жировая инфильтрация в ИФ
4. УЗИ при младенческой гемангиоме:
о Мягкотканное образование с вариабельной эхогенностью, малым количеством макроскопических сосудов
о Фаза пролиферации: большое количество сосудов на единицу площади (> 5 сосудов/см 2 ) при цветовой допплерографии, высокое систолическое допплеровское смещение (> 2 кГц), низкий индекс резистентности артерий в отсутствие артериализации вен (изменения, подозрительные на шунты)
о Средние значения пиковой скорости кровотока в венах не повышены, как в случае истинной артерио-венозной мальформации
о Инволютивная фаза: ↓ плотности сосудов, ↑ индекса резистентности
5. Рекомендации по визуализации:
• Лучший метод визуализации:
о Большинство пациентов не нуждаются в лучевых исследованиях
о Показания к лучевой диагностике:
- Атипичный вид опухоли, симптоматика; нехарактерный анамнез
- Подозрение на глубокое распространение (в глазницу или дыхательные пути)
- Если планируется медикаментозное или хирургическое/ лазерное лечение
- Оценка эффективности лечения
- Подозрение на связь с синдромом PHACES, например, наличие большой сегментарной МГ на лице
о MPT С+: диффузное накопление контраста
о Последовательности GRE для обнаружения сосудов с высоким кровотоком в объемном образовании/возле него
о МР-ангиография для выявления сопутствующих сосудистых аномалий
• Выбор протокола:
о УЗ-допплерография для документирования характерного кровотока
о МР- последовательности, используемые для визуализации движения крови, для визуализации жидкости, Т1 С+ FS:
- МР-ангиография для обнаружения аномалий сосудов: стеноз, окклюзия, болезнь моямоя, аневризмы
- Гемангиомы околоушной железы: расположение ЧН VII

(Слева) При корональной МРТ Т1ВИ С+ FS у двухмесячного ребенка визуализируется крупная МГ, интенсивно накапливающая контраст, находящаяся как внутри, так и снаружи мышечной воронки глазницы; видно также другое объемное образование в области неба справа.
(Справа) При корональной МРТТ1ВИ С+ FS у этого же пациента шесть месяцев спустя после лечения пропранололом с целью предотвращения осложнений со стороны глазницы определяется существенный регресс объемных образований в глазнице и небе.
в) Дифференциальная диагностика младенческой гемангиомы:
2. Венозная мальформация:
• Врожденная сосудистая мальформация, образованная крупными венозными «озерами»
• ↑ Т2,↓ Т1, диффузное контрастное усиление
• Флеболиты
3. Саркома мягких тканей:
• Рабдомиосаркома, внекостная саркома Юинга, недифференцированная саркома:
о Минимальное или умеренное контрастное усиление ± эрозии костей
4. Плексиформная нейрофиброма:
• Инфильтративное образование с нечеткими краями, часто распространяющееся на несколько анатомических зон
• Сочетается с другими признаками НФ 1
5. Артериовенозная мальформация:
• Врожденная сосудистая мальформация
• Питающие артерии с высоким кровотоком, артериовенозные шунты, крупные дренирующие вены
• ± другие мягкотканные компоненты

(Слева) При аксиальной КТ с КУ, выполненной девочке в возрасте одного года, определяется МГ очень большого размера, равномерно и интенсивно накапливающая контраст, практически полностью замещающая поверхностную и глубокую долю левой околоушной железы.
(Справа) При аксиальной МРТ Т1ВИ у этой же девочки восемь лет спустя определяется значительное уменьшение размеров гемангиомы и диффузное замещение ее жировой тканью. Обратите внимание на тонкую «полоску» ткани поверхностной доли околоушной железы.
1. Общая характеристика:
• Этиология:
о Предпочтительная теория: клональная экспансия ангиобластов, выраженная экспрессия основных факторов роста фибробластов и других маркеров ангиогенеза
• Генетические нарушения:
о В большинстве случаев спорадические
2. Микроскопия:
• В ПФ хорошо заметны эндотелиальные клетки, формирующие мелкие сосудистые каналы; плоские эндотелиальные клетки + фиброзно-жировое замещение (ИФ)
3. Иммуногистохимические особенности:
• GLUT1 (+) во всех фазах (пролиферации и регрессии)
1. Проявления:
• Типичные признаки/симптомы:
о В пролиферативной фазе: растущее мягкотканное образование у младенцев, кожа над которым теплая, имеет красноватый, «земляничный» цвет
о В единичных случаях при более глубоких опухолях, крупные вены, дренирующие ее, придают коже над гемангиомой синеватый цвет
• Другие признаки/симптомы:
о Изъязвление кожи над гемангиомой
о Обструкция дыхательных путей при их вовлечении
о Проптоз в случае гемангиомы глазницы
о Сопутствующие патологические изменения (синдром PHACES)
2. Демография:
• Возраст:
о В среднем проявляет себя в возрасте двух недель, в большинстве случаев к 1-3 месяцу:
- Обычно симптоматика отсутствует при рождении
- В трети случаев обнаруживается при рождении: бледное или красноватое пятно, телеангиэктазия, псевдоэкхимоз или красная точечная сыпь
• Пол:
о Ж>М(1,5-4:1)
• Эпидемиология:
о Самая частая опухоль головы и шеи у младенцев
о Заболеваемость: 1-2% у новорожденных, 12% к первому году жизни
о ↑ у недоношенных детей и новорожденных с дефицитом веса (у 30% новорожденных 1 кг)
• Этническая принадлежность:
о Чаще всего заболевают люди с белым цветом кожи
3. Течение и прогноз:
• Для большинства гемангиом типична фаза пролиферации, после которой к возрасту девяти лет спонтанно наступает регрессия
• Большие и сегментарные гемангиомы лица при отсутствии лечения чаще вызывают осложнения
4. Лечение:
• В большинстве случаев не требуется, используется выжидательная тактика
• Показания к лечению: воздействие на жизненно важные структуры, сдавливание зрительного нерва, обструкция дыхательных путей; выраженное изъязвление кожи
• Варианты лечения:
о Пропранолол (бета-блокатор) сейчас используется вместо пероральных стероидов в качестве основного препарата из-за меньшего количества побочных воздействий
о Введение стероидов в гемангиому, лечение лазером, реже хирургическая эксцизия или эмболизация
е) Диагностическая памятка. Следует учесть:
• Флеболиты позволяют предположить венозную мальформацию
• Дети старшего возраста, нетипичный вид, деструкции костей: необходимо предполагать саркому
• Распространенное объемное образование с изменением цвета кожи над ним («кофе с молоком»): плексиформная нейрофиброма
• Крупные кровеносные сосуды внутри паренхиматозного объемного образования с нечеткими краями: артерио-венозная мальформация
ж) Список использованной литературы:
1. Laken РА: Infantile hemangiomas: pathogenesis and review of propranolol use. Adv Neonatal Care. 16(2):135-42, 2016
2. Wassef M et al: Vascular anomalies classification: recommendations from the International Society for the Study of Vascular Anomalies. Pediatrics. 136(1):e203-14, 2015
3. Restrepo R et al: Hemangiomas revisited: the useful, the unusual and the new. Part 1: overview and clinical and imaging characteristics. Pediatr Radiol. 41 (7):895-904, 2011
4. Restrepo R et al: Hemangiomas revisited: the useful, the unusual and the new. Part 2: endangering hemangiomas and treatment. Pediatr Radiol. 41 (7):905-15,2011
5. Mulliken JB et al: Hemangiomas and vascular malformations in infants and children: a classification based on endothelial characteristics. Plast Reconstr Surg. 69(3):412-22, 1982
Гемангиома
Читайте также:
- Меконий эмбриона. Аномалии развития кишечной трубки плода
- Сонный гломус. Сонный клубочек. Внутренняя сонная артерия. Наружная сонная артерия. Топография наружной сонной артерии. Ветви наружной сонной артерии.
- Динамический аспект деменции. Нарушение собственного Я при наркомании
- Склерозирующий холангит: причины, симптомы и лечение
- Лучевая диагностика локализованной кистозной болезни почек
