Лучевая диагностика локализованной кистозной болезни почек
Добавил пользователь Евгений Кузнецов Обновлено: 28.11.2025
Лучевая диагностика кисты почки
а) Определение:
• Доброкачественное образование почки, заполненное жидкостью и не являющееся опухолью
б) Визуализация:
1. Общая характеристика:
• Лучший диагностический критерий:
о КТ: сферическое неконтрастируемое образование водной плотности с отсутствием видимой стенки о УЗИ: анэхогенное образование с акустическим прохождением и отсутствием видимой стенки
• Классификация по Босняку:
о Классификация кистозных образований почки, основанная на данных визуализации:
- Используют при визуализации на КТ или МРТ:
Классификация образования может меняться вследствие повышения контрастного разрешения МР-томограмм
о Пять категорий:
- Класс 1: доброкачественные кисты:
Четко определяемое округлое гомогенное светлое (0-20 HU, около водной плотности) образование стойкой и слабо выраженной неконтрастируемой стенкой и содержимым; отсутствие перегородки и кальцификатов
- Класс2: минимально осложненные кисты; доброкачественные:
Тонкие (менее 1 мм) перегородки, гладкие стенки, возможно кажущееся (неизмеримое) контрастирование
Кальцификаты короткого сегмента стенки или перегородки
Гиперденсная киста (более 20 HU), отсутствие контрастирования, сферическая форма, частично экзофитная, обычно менее 3 см в диаметре
- Класс 2F: требуется КТ/МРТдля дальнейшего наблюдения:
Множественные тонкие перегородки, возможно кажущееся (неизмеримое) контрастирование
Минимальное утолщение стенки или перегородки, возможно кажущееся (неизмеримое) контрастирование
Толстые кальцификаты
Гиперденсные интрапаренхимальные кисты более 3 см
Отсутствие контрастирования узлов
- Класс 3: более сложные кисты; требуется оперативное лечение (биопсия под вопросом):
Неравномерные и утолщенные перегородки и/или стенки, а также измеряемое контрастирование
Возможны утолщенные и неравномерные кальцификаты
Доброкачественные образования: геморрагические кисты, абсцессы почек, смешанная эпителиальная и стромальная опухоль, осложненные доброкачественные кисты с перегородками
Злокачественные образования: кистозная нефрома, многокамерный кистозный ПКР
- Класс 4: злокачественные образования; требуется оперативное лечение:
Контрастируемый компонент, неравномерное утолщение стенки
2. УЗИ при кисте почки:
• Исследование в режиме серой шкалы:
о Простая неосложненная киста: сферическая или овоидная форма, анэхогенное содержимое, четко очерченная, с незаметной стенкой и акустическим усилением
о Геморрагическая киста: внутренние эхо-сигналы (сгусток); толстая стенка с кальцификатами, возможно многокамерная (хроническая)
о Инфицированная киста: толстая стенка с разрозненными внутренними эхо-сигналами, возможен уровень жидкостного детрита
3. КТ при кисте почки:
• КТ без контрастирования:
о Простая неосложненная киста
- Округлое гладкое гомогенное гиподенсное (менее 20 HU) образование с четкими контурами
- Тонкая, слабо выраженная стенка
о Осложненные кисты:
- Вследствие кровоизлияния, инфекции, ишемии, белковой жидкости
- Возможно повышение плотности (более 20 HU на КТ без контрастирования), перегородки, утолщение стенки, кальцификаты
- Классификация и ведение пациента основаны на классах по Босняку
- Геморрагическая киста:
Гиперденсная (60-90 HU), гомогенное содержимое (острая киста)
Возможны гетерогенное содержимое (сгусток или детрит), утолщение стенки, кальцификаты (хроническая киста)
- Инфицированная киста: толстая стенка, с перегородкой, гетерогенное контрастирование жидкости, уровень детрита или газа и жидкости, возможны кальцификаты (хроническая киста)
о Взвесь кальция в кисте: слой жидкости с кальцием
• КТ с контрастированием:
о Контрастирование после введения внутривенного контрастного вещества:
- Следует оценивать изображения в нефрографическую фазу (т.е. через 100 с после введения контрастного вещества)
- HU с контрастированием минус HU без контрастирования:
Менее 10 HU: отсутствие контрастирования
10-20 HU: неопределенное
Более 20 HU: контрастирование
- «Псевдоконтрастирование»:
Имеется в виду искусственное увеличение плотности содержимого кисты (более 10 HU) на КТ с контрастированием
Вследствие нескольких факторов, включающих частичное усреднение объема и уплотнение пучка
о Простые кисты: отсутствие контрастирования
о Осложненные кисты: возможно контрастирование грануляционной ткани в воспалительных/инфицированных кистах
о Кистозные новообразования: контрастируемый мягкотканный компонент
4. МРТ при кисте почки:
• Т1-ВИ:
о Простые кисты: снижение ИС, гомогенное образование окру-глой/овальной формы
о Осложненные геморрагические кисты: повышение ИС (ИС меняется в зависимости от стадии кровоизлияния)
• Т2-ВИ:
о Простые кисты: повышение ИС, гомогенное образование с незаметной стенкой
о Осложненные геморрагические кисты: снижение ИС (ИС меняется в зависимости от стадии кровоизлияния), возможен уровень жидкостного детрита
• Постконтрастные Т1-ВИ:
о Субтракционные изображения (т.е. вычитание изображений: изображения с контрастированием Гд минус изображения с отсутствием контрастирования) позволяют оценить контрастирование
о Простые кисты: отсутствие контрастирования
• Кистозные новообразования: контрастируемый мягкотканный компонент
5. Рекомендации по визуализации:
• Лучший метод визуализации:
о Ведение гиперденсных кистозных образований на КТ без контрастирования:
- Более 70 HU на КТ без контрастирования-гиперденсная доброкачественная киста почки, не требующая наблюдения или лечения
- 20-70 HU на КТ без контрастирования: необходимо применение контрастного вещества для исключения контрастируемых компонентов; при невозможности внутривенного введения пациенту контрастного вещества альтернативой служит УЗИ или MPT (Т1-ВИ, Т2-ВИ, ДВИ)
Гиперденсные образования на УЗИ представлены в виде анэхогенных доброкачественных кист
• Советы по протоколу исследования:
о КТ: КТ без контрастирования + КТ с контрастированием в нефрографическую фазу (100 с после внутривенного введения контрастного вещества), толщина срезов - менее 5 мм
о Следует считать, что УЗИ или МРТ кистозных образований обладает схожим контрастированием, как и на КТ

(Слева) КТ без контрастирования, аксиальная проекция: гиперденсная (100 HU) киста ВЗ левой почки (класс 2 по Босняку).
(Справа) КТ с контрастированием, аксиальная проекция: у того же пациента выявлено контрастирование кисты левой почки (106 HU). Гиперденсные кисты почки, имеющие плотность более 70 HU на бесконтрастной КТ, считают доброкачественными. Образования мягкотканной плотности (20-70 HU) на бесконтрастной КТ следует оценивать с помощью УЗИ или с использованием специализированного почечного КТ-протокола для дифференцирования истинных солидных образований от гиперденсных кист.
в) Дифференциальная диагностика кисты почки:
1. Почечноклеточный рак:
• Некоторые формы ПКР являются кистозными изначально (не просто крупные «некротические» опухоли)
• Любые контрастируемые пристеночные узлы следует считать злокачественными
2. Многокамерная кистозная нефрома:
• Поликистозное образование с перегородками и капсулой
• Пролабирование в почечный синус
3. Абсцесс почки:
• Контрастируемая капсула, возможно уплотнение околопочечного пространства
• Шероховатая стенка; гиперденсное (больше плотности воды), но неконтрастируемое содержимое
• Ключ к постановке диагноза: взаимосвязь с клиническими признаками инфекции
4. Метастазы в почках и лимфома:
• Обычно увеличение водной плотности по мере контрастирования образования
• Лимфома - наиболее частая гиповаскулярная опухоль, которая может имитировать кисту:
о Обычно множественная с лимфаденопатией
5. Аутосомно-доминантная поликистозная болезнь почек:
• Наследственная поликистозная болезнь почек, характеризующаяся прогрессирующим кистозным ростом
• Увеличенные почки замещены большим количеством кист
• Внепочечные проявления: поликистозная болезнь печени, интракраниальная артериальная аневризма, кисты в других органах, абдоминальные грыжи
6. Уремическая кистозная болезнь:
• Множественные кисты почек у пациентов с терминальной стадией почечной недостаточности и отсутствием наследственной кистозной болезни в анамнезе
г) Патология. Макроскопические и хирургические признаки:
• Неосложненная киста:
о Однокамерная; растет из коры и выступает из поверхности почки, реже-в почечный синус
о Гладкая желтовато-белого цвета тонкая полупрозрачная стенка с кубическим или плоским эпителием
• Геморрагическая киста: восковидная структура ржавого цвета, возможно окружение фиброзом и ободком кальцификации

(Слева) КТ с контрастированием, аксиальная проекция: множественные кистозные образования водной плотности, включая одно с тонкой кальцинированной перегородкой (класс 2 по Босняку).
(Справа) МРТ, Т2-ВИ, режим подавления сигнала от жировой ткани, аксиальная проекция: дольчатая киста левой почки с множественными внутренними тонкими перегородками. Несмотря на небольшую толщину, перегородки хорошо контрастированы на Т1-ВИ с контрастированием Гд (изображения отсутствуют). Это образование — киста класса 2F по Босняку, что требует наблюдения с КТ- или МРТ-визуализацией.
д) Клинические особенности:
1. Клиническая картина:
• Наиболее частые признаки/симптомы:
о Отсутствие клинической картины или наличие пальпируемого образования и боли в боку
4. Лечение кисты почки:
• Класс 1,2 по Босняку: доброкачественные образования не нуждаются в наблюдении и лечении
• Класс 2F по Босняку: контрольная визуализация:
о КТ/МРТ, интервал: через 6,12 месяцев
о Следует обратить внимание на следующие визуальные признаки: контрастирование солидных узлов или толстых перегородок, увеличение толщины контрастируемой стенки:
- Рост кисты не связан с прогрессированием злокачественности
о Рекомендуемая продолжительность наблюдения: 4-5 лет
• Класс 3,4 по Босняку: лечение (в зависимости от состояния пациента; выполнение биопсии под вопросом):
о Оперативное лечение

(Слева) КТ с контрастированием, аксиальная проекция: многокамерное кистозное образование с перегородкой и измеряемым контрастированием (класс 3 по Босняку). Имеется инвагинация образования в почечный синус, что служит характерным признаком многокамерной кистозной нефромы.
(Справа) КТ с контрастированием, аксиальная проекция: кистозное образование верхнего полюса правой почки с тонкими перегородками, контра-стируемыми пристеночными узлами и тонкой стенкой. Данные признаки характерны для кисты класса 4 по Босняку. Она представляет собой случай кистозного ПКР Наличие контрастируемых узлов служит признаком злокачественности.
е) Диагностическая памятка. Советы по интерпретации изображений:
• Оценка изображения и классификация кистозных образований определяют тактику ведения пациента
Видео УЗИ при кисте почки - оценка, протокол исследования
- Вернуться в оглавление раздела "Лучевая медицина"
Редактор: Искандер Милевски. Дата обновления публикации: 22.1.2020
Лучевая диагностика локализованной кистозной болезни почек
а) Терминология:
• Локализованная кистозная болезнь почек
1. Синонимы:
• Сегментарная кистозная болезнь
• Односторонняя кистозная болезнь почек
2. Определение:
• Доброкачественная неопухолевая пролиферация простых кист, обычно в нормально функционирующей почке
1. Общая характеристика:
• Лучший диагностический критерий:
о Неинкапсулированное скопление кист разного размера, разделенных нормальной (или сдавленной) почечной паренхимой, с сохранением нормальных функций почки
• Локализация:
о Всегда односторонний процесс
о Обычно захватывает только часть почки, но может поражать всю почку
• Размер:
о Кисты разных размеров; не вовлеченная в процесс часть почки имеет нормальный размер
2. Рекомендации по визуализации:
• Лучший метод визуализации:
о Контрастная КТ с мультипланарными реконструкциями или МРТ
3. КТ при локализованной кистозной болезни почек:
• Неинкапсулированное скопление множества типичных простых кист
• Ткань почки между кистами и в частях почки, не вовлеченных в процесс, функционирует и контрастируется нормально:
о Ипсилатеральный мочеточник не изменен
4. МРТ при локализованной кистозной болезни почек:
• Аналогичны КТ-признакам, при этом каждый кистозный компонент имеет вид простой кисты:
о Снижение ИС на Т1-ВИ; повышение ИС на Т2-ВИ

(Слева) УЗИ, продольная плоскость сканирования, правая почка: скопление множества кист. Каждая киста имеет типичный доброкачественный вид.
(Справа) МРТ, Т2-ВИ, коронарная проекция: у этою же пациента выявлено скопление кист в нижнем полюсе правой почки. Отсутствие капсулы позволяет предположить локализованную кистозную болезнь почек. Обратите внимание на рассеянные кисты левой почки.
в) Дифференциальная диагностика локализованной кистозной болезни почек:
1. Многокамерная кистозная нефрома:
• Новообразование с толстой капсулой, содержащее многокамерные кистозные полости
о Отсутствие нормальной почечной ткани между кистозными компонентами
• Объемное образование смещает паренхиму, инвагинирует в почечную лоханку
• Кистозные скопления не похожи на простые кисты
2. Аутосомно-доминантная поликистозная болезнь:
• Захватывает обе почки, вызывая увеличение и прогрессирующую потерю функций
• Наследственное полисистемное прогрессирующее заболевание
• Кисты во многих органах (печень, поджелудочная железа, семенные пузырьки и др.)
3. Кистозный почечноклеточный рак:
• Инкапсулированное новообразование, напоминающее почечную паренхиму
• Кистозные полости, не похожие на простые кисты

(Слева) МРТ, Т2-ВИ, аксиальная проекция, режим подавления сигнала от жировой ткани: выявлено скопление кист с высокой ИС в правой почке без капсулы, что позволяет предположить локализованную кистозную болезнь почек.
(Справа) КТ с контрастированием, коронарная проекция: отмечено отсутствие капсулы вокруг скопления кист, что позволяет предположить локализованную кистозную болезнь почек.
г) Патология:
1. Общая характеристика:
• Генетика:
о Приобретенное ненаследственное заболевание
2. Макроскопические и хирургические признаки:
• Простые кисты, разделенные нормальной почечной тканью:
о Отсутствие капсулы
о Вовлечена только часть почки (редко-целая почка)
о Выстланы кубическим эпителием
• В контрлатеральной почке могут присутствовать несколько кист
1. Клиническая картина локализованной кистозной болезни почек:
• Наиболее частые признаки/симптомы
о Обычно бессимптомное течение
о Иногда боль в боку или пальпируемое объемное образование, гематурия, артериальная гипертензия
2. Демография:
• Возраст:
о От молодого до пожилого (средний возраст-54 года)
• Пол:
о М:Ж= 5:4
• Эпидемиология:
о Редкое заболевание
3. Течение и прогноз:
• Доброкачественное, стабильное или медленное прогрессирование
4. Лечение локализованной кистозной болезни почек:
• Консервативное; дальнейшее наблюдение
• Резекция не требуется
е) Диагностическая памятка:
1. Следует учесть:
• Важно не поставить ложный диагноз пациенту с наследственным, прогрессирующим заболеванием или новообразованием
2. Советы по интерпретации изображений:
• Важно провести дифференциальную диагностику с многокамерной кистозной нефромой и кистозным ПКР:
о При данных заболеваниях имеются кистозные полости неправильной формы, окруженные толстой капсулой
ж) Список использованной литературы:
1. Wood CG 3rd et al: CT and MR Imaging for Evaluation of Cystic Renal Lesions and Diseases. Radiographics. 35(1): 125-41,2015
2. Ding Y et al: Localized cystic disease of the kidney: distinction from cystic neoplasms and hereditary polycystic diseases. Am J Surg Pathol. 37(4):506-13, 2013
3. Dowden EE et al: Localized cystic disease of the kidney: an unusual entity that can mimica cystic neoplasm. AmJ Kidney Dis. 55(3):609-13, 2010
4. Katabathina VS et al: Adult renal cystic disease: a genetic, biological, and developmental primer. Radiographics. 30(6)4 509-23, 2010
5. Bisceglia M et al: Renal cystic diseases: a review. Adv Anat Pathol. 13(1):26—56, 2006
6. Bisceglia M et al: AMR series unilateral (localized) renal cystic disease. Adv Anat Pathol. 12(4):227-32, 2005
7. Slywotzky CM et al: Localized cystic disease of the kidney. AJR Am J Roentgenol. 176(4):843—9, 2001
Лучевая диагностика кистозного рака почки

Профессиональные диагностические инструменты. Оценка эластичности тканей, расширенные возможности 3D/4D/5D сканирования, классификатор BI-RADS, опции для экспертных кардиологических исследований.
Введение
По данным разных авторов от 15 до 46,7% почечно-клеточных опухолей являются кистозными 1. Так, по данным D. Harman и соавт. [5], 31% мультилокулярных кист являются карциномами. По данным M. Bosniak [3], около 10% случаев почечно-клеточного рака - это кистозные новообразования. A. Parienty и J. Pradel [12] считают, что на долю кистозного почечно-клеточного рака при ходится 10-15% всех опухолей данного типа. Соотношение мужчин и женщин при кистозном почечно-клеточном раке составляет 2:8. При аналогичной клинической картине с солидным раком почки рентгенологическая и патологическая картина кистозной опухоли, однако, не столь специфична, что может привести к диагностическим ошибкам.
Под кистозным почечно-клеточным раком подразумевается любая злокачественная опухоль, исходящая из эпителия почечных канальцев и представляющая собой объемное жидкостное образование, где более 75% опухоли макроскопически имеет вид кисты [12]. Несмотря на прогресс в области визуализирующих методов диагностики, дифференциальная диагностика кистозного почечно-клеточного рака остается сложной проблемой. Решение ее имеет принципиальное значение для определения тактики лечения и объема хирургического вмешательства. Отсутствие надежной дооперационной диагностики кистозного почечно-клеточного рака почки приводит к поздней диагностике заболевания.
Существуют четыре патогенетических механизма [5], приводящих к развитию кистозного почечно-клеточного рака.
1. Внутренний мультилокулярный кистозный рост
Мультилокулярные кисты в большинстве случаев бывают доброкачественными (мультилокулярная кистозная нефрома), но могут быть и злокачественными в 20-40% случаев. Эти образования представляют собой множественные кисты, которые не сообщаются между собой и объединены псевдокапсулой. Стенки кист и строма между ними содержат клетки почечно-клеточного рака. В стенках кист, перегородках, псевдокапсуле в 20% случаев встречаются множественные кальцинаты. Содержимое кист - чаще всего старая или свежая кровь. Рентгенологические, радиоизотопные, ультразвуковые методы диагностики не позволяют дифференцировать мультилокулярную кистозную нефрому от мультилокулярной кистозной карциномы. Иногда в дифференциальной диагностике не помогает даже компьютерная томография (КТ), поэтому трудности дифференциальной диагностики оправдывают в качестве метода выбора трансабдоминальную нефрэктомию.
2. Внутренний унилокулярный кистозный рост
Истинно кистозные структуры встречаются в цистокарциномах, которые визуализируются в виде тонкостенных жидкостных образований, иногда с перегородками внутри, имеющих эпителиальную неопластическую выстилку, полностью анэхогенное строение, либо содержащих мелкодисперсную взвесь. Цистоаденокарциномы составляют 30% случаев от общего количества кистозного почечно-клеточного рака, в половине случаев диагностируются рентгенологически, при больших размерах опухоль часто подвергается центральному некрозу или в нее происходит кровоизлияние. В 25% случаев определяются множественные кальцинаты, расположенные в самой опухоли. Важное значение имеет ультразвуковое исследование (УЗИ) и КТ. Хотя плотность цистоаденокарциномы по данным КТ составляет 10-20 HU, образование негомогенной структуры. Ангиография в данном случае неэффективна, так как образование чаще всего бессосудистое. На основании анализа многолетних наблюдений за больными с цистоаденокарциномой почки было установлено, что в большинстве случаев при УЗИ диагностируют простую кисту почки, лишь КТ позволяет определить плотные структуры в кисте. I. Dalla-Palma и соавт. [4] проанализировали 27 случаев кистозных опухолей, 11 из которых оказались цистоаденокарциномами и 16 мультилокулярными цистными опухолями. Авторы указывают на то, что наиболее часто приходится дифференцировать цистоаденокарциному и мультилокулярную кистозную карциному между собой, в этой ситуации решающее значение приобретает КТ. При этом наиболее важно определить два критерия: толщину перегородок внутри образования и наличие тканевого компонента в образовании, все остальные критерии (кальцинация, неровность стенки) не имеют существенного значения.
3. Кистозный некроз
Кистозный некроз - как результат массивного некроза и кровоизлияния. При этом масса может быть как уни-, так и мультилокулярной. Однако наряду с массивным жидкостным компонентом имеются крупные тканевые участки.
Некротизированные опухоли составляют 4,5% всех опухолей и 20% кистозного почечно-клеточного рака. Обширные некротические процессы в больших опухолях приводят к образованию жидкостных структур, в связи с чем необходимо дифференцировать их от простых кист. Стенки простых кист тонкие, имеют одинаковую толщину на всем протяжении, в то время как толщина "кистозной стенки" некротизированных опухолей варьирует на разных участках, а внутренние контуры стенки обычно неровные. Иногда внутри некротизированных опухолей наблюдается эхогенная взвесь, обусловленная наличием сгустков крови и тканевого детрита. Позади полостей некроза можно визуализировать эффект дорсального усиления. В отличие от цистоаденокарциномы некротизированные опухоли не имеют эпителиальной выстилки [5].
4. Рак в простой кисте почки
Такое сочетание, по данным разных авторов, составляет от 0,13 до 7% случаев [9, 13-22].
T. Bruun и K. Nielsen [23] считают, что частота возникновения солитарной кисты и опухоли в одной почке составляет 2,9%. При этом они выделяют 4 типа указанных выше сочетанных поражений: 1) различная локализация опухоли и кисты; 2) расположение кисты внутри опухоли; 3) расположение опухоли в кисте; 4) расположение кисты дистальнее опухоли. Авторы считают необходимым проводить цитологическое исследование жидкости, находящейся в кисте, до операции.
По данным этих авторов, возможны 4 варианта существования кисты и опухоли в одной и той же почке: 1) киста и опухоль не связаны друг с другом, являются самостоятельными и отделены здоровой паренхимой; 2) киста образуется внутри опухоли (кистозная дегенерация опухоли); 3) опухоль развивается в стенке кисты; 4) киста развивается в результате блокады канальцев опухолью. По данным авторов, второй вариант обычно соответствует псевдоцистам, с формировавшимся некрозом, когда рост опухоли опережает ее кровоснабжение. Третий вариант - злокачественные кисты. Четвертый вариант - встречается крайне редко [12].
P. Levy и соавт. [9] исследовали 82 пациента с кистозными почечными опухолями и пришли к выводу, что наиболее часто из кистозных карцином встречается кистозный почечно-клеточный рак (33%), псевдокистозная некротическая карцинома. S. Aronson и соавт. [2] относят к кистозным карциномам почечно-клеточный рак и многокамерный кистозный рак почки. I.M. Herve et al. [6] описали 4 случая кистозной формы рака почки.
При обзорной урографии у пациентов с кистозным почечно-клеточным раком выявляется симптом "увеличенной почечной массы". При наличии обызвествлений необходимо учитывать характер их расположения: расположенные по периферии участки кальцификации линейной или скорлупообразной формы чаще всего свидетельствуют о наличии либо солитарной, либо эхинококковой кисты почки, в то время как отложение солей кальция в центральной части паренхимы почки или диффузные вкрапления в одном из участков органа чаще наблюдаются при опухолях.
При экскреторной урографии наличие объемного образования в паренхиме почки проявляется так называемым симптомом "серпа" или "открытой" пасти, которые характеризуются раздвиганием чашечек, сдавлением или смещением лоханки и мочеточника (характерно для кисты), или же "узурацией" или "ампутацией" чашечек, с деформацией лоханки, пиелэктазиями (что более характерно для опухоли) [6, 18, 23, 24]. Дефекты наполнения в области чашечек и лоханки с ровными четкими контурами более характерны для кистозного образования доброкачественного характера, а при опухоли они имеют неровные, нечеткие контуры, свидетельствующие об инфильтративном и деструктивном росте.
По мнению отдельных авторов, анализ экскреторных урограмм позволяет высказать предположение о наличии солитарной кисты почки у 47,7% пациентов, а опухоли почки в 69,7% случаев [24].
Характерные симптомы почечных новообразований при ретроградной пиелографии включают в первую очередь изменения со стороны чашечек: ампутация, сдавление и вытягивание чашечек, сопровождающееся их сужением или расширением; смещение чашечек, сочетающееся с их раздвиганием и увеличением угла между ними; деформацию чашечек в виде "ножки паука". При доброкачественных кистовидных образованиях наиболее характерны симптомы сдавления, компрессии чашечно-лоханочной системы, а при опухолевом росте преобладают признаки инфильтративного и деструктивного роста [6].
Благодаря высокой информативности ультрасонография стала одним из ведущих методов диагностики и дифференциальной диагностики кистозных образований почки. УЗИ позволяет выявить образования небольшого диаметра, установить его характер, локализацию, размеры, четкость контуров, взаимоотношение с прилегающими органами, дающее возможность в 90-98,9% случаев определить дальнейшую тактику ведения пациента.
В случае нагноения кисты, а также наличия гематомы в полости кисты ультразвуковая картина характеризуется неоднородностью структуры жидкостного образования, наличием дополнительных эхосигналов, исходящих как из полости кисты, так и от утолщенной, воспаленной ее стенки.
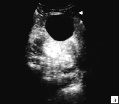
Основными симптомами кистозной почечно-клеточной карциномы при УЗИ являются: 1) внутренняя структура образования имеет неоднородную эхоструктуру в виде чередования гипо-, изо- и гиперэхогенных участков; 2) выявляется массивная неровная, возможно обызвествленная, капсула, контур которой не всегда четкий; 3) образование может выглядеть как многокамерное жидкостное или гипоэхогенное с эхогенным компонентом, который определяется обычно в виде перегородок; 4) выявление в полости образования внутреннего тканевого содержимого, расположенного чаще всего на периферии образования; 5) выраженная деформация чашечнолоханочной системы пораженной почки; 6) при прорастании опухолью соседних органов и тканей отмечается ограничение дыхательной подвижности почки; 7) возможна визуализация тромба в просвете нижней полой или почечной вен, что имеет существенное значение для дальнейшего плана обследования и тактики лечения; 8) отсутствие эффекта дорзального усиления (рис. 1, 2).
Рис. 1. Эхограмма. Кистозное образование правой почки. Гистологически - почечно-клеточная кистозная карцинома.

Многокамерное образование неправильной формы, с неровной толстой стенкой, с вкраплениями кальция, множественные перегородки с локальными утолщениями. Выраженная неоднородность внутренней эхоструктуры в виде чередования гипо-, изо- и гиперэхогеных участков.
Применение УЗИ и КТ в диагностике кистозных образований почек I и II категории

Доступная эффективность. Универсальный ультразвуковой сканер, компактный дизайн и инновационные возможности.
Простая (солитарная) киста почки - доброкачественное, тонкостенное, объемное образование, развивающееся в паренхиме почки, четко отделенное от основной паренхимы фиброзной капсулой (которая выстлана плоскоклеточным или кубическим эпителием), содержащее, как правило, серозную жидкость. По данным разных авторов, простая киста почки встречается от 1,8 до 50% случаев 3. С использованием в клинической практике УЗИ и КТ количество обнаруженных солитарных кист почек значительно возросло у обследуемых больных с урологической патологией. Простые кисты почек наблюдаются чаще в возрасте 50 лет и старше, встречаются чаще у мужчин, чем у женщин в соотношении от 3:2 до 2:1.
Считается, что удобной в клинической практике является следующая классификация простой кисты почки: 1) врожденная или приобретенная; 2) односторонняя или двусторонняя; 3) одиночная или множественная; 4) серозная, геморрагическая или инфицированная; 5) интрапаренхимная, кортикальная, окололоханочная, субкапсулярная.
Общеприняты три основные теории патогенеза простой кисты почки.
- Ретенционно-воспалительная. Киста развивается в результате обструкции канальцевых и мочевых путей, а также воспаления, в том числе, возникающего в период внутриутробной жизни.
- Пролиферативно-неопластическая. Киста возникает как следствие избыточной пролиферации почечного эпителия (уротелия) с нередким злокачественным превращением.
- Эмбриональная. Киста развивается в результате дефектного соединения между фильтрационной и секреторной частями метанефронов и экскреторной ткани мезонефральных протоков (вольфов проток).
Большинство простых кист почек протекают бессимптомно и выявляются случайно при обследовании взрослого человека. В других же ситуациях на фоне аномалии структуры паренхимы почки развиваются различные заболевания и осложнения.
Боли в поясничной области встречаются у 66,3-90,8% пациентов, обычно носят тупой характер и объясняются повышением внутрипочечного давления или натяжением сосудисто-нервного сплетения по ходу почечной ножки, либо острым нарушением оттока мочи из чашечнолоханочной системы.
Пальпируемое опухолевидное образование определяется у 7,6-52% пациентов, а пиурия при сочетании кистозных образований с пиелонефритом - у 56,3-78,8%.
Мнения о влиянии простых кист на функциональное состояние почек противоречивы. Одни авторы считают, что наличие кистозного образования сопровождается нарушением экскреторной функции почки, другие - отрицают это влияние.
Некоторые авторы полагают, что наличие кистозного образования приводит к артериальной гипертензии, которая обусловлена увеличивающейся выработкой ренина. Данный симптом встречается у 7,1-44% пациентов и чаще всего при поликистозе почек.
На фоне аномалий развития почек различные заболевания (хронический пиелонефрит, гидронефроз, нефролитиаз) встречаются в два раза чаще, при этом многократно возрастает угроза присоединения таких грозных осложнений, как хроническая почечная недостаточность и нефрогенная гипертония.
Лабораторные методы исследования (анализ крови, мочи) в диагностике кистозных заболеваний почек позволяют получить информацию о функциональном состоянии почек, выявить наличие воспалительного процесса в мочевыделительной системе.
При наличии более информативных методов диагностики традиционные рентгенологические методы исследования (обзорная и экскреторная урография, ретроградная пиелография) уже не могут удовлетворять современным требованиям диагностики простых кист почек. Они должны рассматриваться как вспомогательные методы, позволяющие уточнить некоторые анатомо-функциональные особенности почек, определить наличие или отсутствие нарушения оттока мочи из почки, сопутствующих урологических патологических изменений.
Благодаря высокой информативности ультрасонография стала одним из ведущих методов выявления простой кисты почки. УЗИ позволяет выявить кистозный характер объемного образования, оценить четкость контуров, определить размеры и локализацию, уточнить взаимоотношения с прилегающими органами. В 90% наблюдений этот метод дает возможность определения дальнейшей тактики в отношении больного. Кроме того, УЗИ является одним из надежных методов контроля за безопасностью выполнения диагностических и лечебных пункций кист почек. Данный метод неинвазивен, экономически выгоден, не причиняет неудобств больному, легко выполним, обычно не требует подготовки больного, не зависит от функционального состояния почек, не подвергает риску облучения, позволяет проводить динамическое наблюдение и скрининг 12.
КТ почек - наиболее точный метод диагностики кист почек. Является методом выбора для решения вопроса о возможном онкологическом процессе, оценки состояния кровоснабжения образования, определения размеров, контуров, распространении образования внутри и вне почки. КТ позволяет получить высоко информативное прямое изображение структуры почек и имеющихся новообразований, в сравнительном аспекте судить об их форме и величине, определить значения "плотности" разных участков тканей [1-13, 15, 16].
Преимущества КТ проявляются при выполнении так называемой "методики усиления", которая заключается во внутривенном введении водорастворимых йодсодержащих контрастных препаратов. В отличие от кист, злокачественные новообразования накапливают рентгеноконтрастный препарат, при этом плотность опухоли увеличивается более чем на 5-15Н.
Диагностические пункции кист почек следует применять при получении противоречивых результатов от предыдущих методов обследования. Кроме того, диагностическая часть пункционного метода при простой кисте почки закономерно переходит непосредственно в лечебное воздействие и в подавляющем большинстве случаев заканчивается введением в полость кисты склерозирующих веществ [1, 3, 4, 8, 12].
Первая категория - простая солитарная киста почки. При УЗИ простая киста почки представляется в виде эхонегативного образования округлой или овальной формы. Характерны отсутствие визуализации стенок и внутренних структур в образовании, четкие ровные непрерывные контуры. Возможно наличие эффекта дорсального усиления соответственно объему кисты (рис. 1).

а) Образование имеет округлую форму, четкие ровные контуры. Стенка не видна, внутренние структуры и перегородки отсутствуют.
Сравнительная оценка лучевых методов в диагностике жидкостных образований почек

Лидер продаж в высоком классе. Монитор 21,5" высокой четкости, расширенный кардио пакет (Strain+, Stress Echo), экспертные возможности для 3D УЗИ в акушерско-гинекологической практике (STIC, Crystal Vue, 5D Follicle), датчики высокой плотности.
Нами проведена сравнительная оценка ультразвуковых, рентгенологических, томографических методов исследования в диагностике жидкостных образований почек. Мы учитывали особенности каждого метода и применяли их строго по показаниям.
Ультразвуковое исследование выгодно отличается от рентгенологических методов неинвазивностью; высокой информативностью, особенно при дифференциальной диагностике с солидными образованиями почек; безопасностью для пациента и врача; отсутствием необходимости предварительной подготовки пациента; возможностью полипозиционного и динамического исследования почек [1,2,3,5,6,7,12]. Точность метода в обследовании больных жидкостными образованиями паренхимы почек по данным ряда авторов достигает 92-100% [1,4,6,7,8,14].
Вместе с тем дифференциальная сонографическая диагностика кистозных образований почек, в особенности с нагноением или кровоизлиянием ("осложненных"), с абсцессами и гематомами почек, а также диагностика жидкостных образований с неоднородным содержимым и мягкоткаными компонентами в ряде случаев достаточно сложна [5,6,7,8]. Отчетливая эхографическая дифференциация коры и почечных пирамидок в ряде случаев является причиной ложноположительной диагностике гидрокаликозов и кист почечного синуса [2,3,7,9]. По данным авторов кисты почечного синуса ввиду низкого внутриполостного давления и особенностей расположения повторяют форму чашечно-лоханочной системы, являясь причиной ложноположительной УЗ диагностики гидронефрозов в 11-26% наблюдений [1,3,8,10]. В подобных случаях рекомендуется прибегать к динамической фармакоэхографии с диуретиками [1,6].
Экскреторную урографию в связи с невысокой информативностью при данных заболеваниях (24,6-72%) большинство авторов считают неэффективной и не рекомендуют в обследовании больных паренхиматозными жидкостными образованиями почек [8,15]. Тем не менее, метод достаточно ценный при дифференциальной диагностике каликопиелоэктазии с жидкостными образованиями почечного синуса [3,10,11].
Ангиография позволяет дифференцировать жидкостные бессосудистые образования почек с солидными новообразованными, имеющими гиперваскулярное строение, а также абсцессами и карбункулами почек, для которых характерны участки как обедненные кровотоком, так и сохраненной ангиоархитектоникой и гиперваскулярным периферическим ободком [8,9,14]. Метод не позволяет отличить кистозные образования от бессосудистых опухолей, сопряжен с лучевой нагрузкой, инвазивностью, возможными тяжелыми, порой, жизнеопасными осложнениями. Частота диагностических ошибок при его использовании достигает 12% [8,15]. С внедрением эходопплерографического метода, позволяющим без инвазии и предварительной подготовки пациента оценить параметры почечного кровообращения, ангиография в настоящее время используется значительно реже [1,9,14].
Компьютерная томография (КТ) по мнению Amis (1980) является "золотым стандартом" в обследовании больных жидкостными образованиями почек. В работах большинства авторов эффективность метода оценивается в 94-100%, однако, чувствительность нативной КТ (без контрастирования) значительно ниже - 78%, в связи с чем КТ с контрастированием рекомендуется в обследовании всех больных с объемным образованиями почек [2,8,12,15].
Настоящая статья посвящена разработке диагностической концепции использования лучевых методов и дифференцированного лечебно-диагностического подхода при различных жидкостных образованиях почек.
Материал и методы
За период с 2001 по 2004 г. в нашей клинике находилось на обследовании и лечении 210 больных жидкостными образованиями почек, из них 102 (48,6%) солитарными кистами почек, 33 (15,7%) поликистозом почек, 62 (29,5%) кистами почечного синуса, 4 (1,9%) мультилокулярной кистозной нефромой, 4 (1,9%) кистозным вариантом рака почки, 4 (1,9%) раком в кисте, 1 (0,47%) ангиолейомиолипомой почки.
Ультразвуковое исследование почек выполнено всем пациентам на первичном этапе обследования: использовался конвексный УЗ датчик с частотой 3,5 MHz. Больным кистами почечного синуса, с целью дифференциальной диагностики с каликопиелоэктазией выполняли фармакоэхографическое исследование с лазиксом. Эходопплерографическое исследование выполнено всем пациентам.
Экскреторная урография выполнена 76 пациентам, из которых 58 на догоспитальном этапе в других лечебных учреждениях. Исследование применено у 48 больных кистами почечного синуса, в 20 наблюдениях при солитарных кистах почек, у 8 - при поликистозе почек. В одном наблюдении выполнено комплексное ангиографическое исследование почек.
Спиральная и мультиспиральная компьютерная томография (СКТ, МСКТ) с последующей трехмерной реконструкцией полученных изображений выполнена в 96 наблюдениях. Показаниями к выполнению КТ были подозрения на опухолевый процесс (n=38), дифференциальная диагностика с расширенной чашечно-лоханочной системой (n=22). В 36 наблюдениях кистозные заболевания почек явились случайной находкой при КТ, выполненной по поводу иных урологических заболеваний: нефролитиаз (n=20), пороки развития почек и мочевых путей (n=16).
МРТ выполнена 20-ти больным, из них у 6-ти в связи с подозрением на рак почки, у 5-ти по причине непереносимости рентгенконтрастных препаратов и хронической почечной недостаточности, в 3 наблюдениях беременным. В 6 наблюдениях выполнена модификация МРТ - МР-урография.
Первичное ультразвуковое исследование во всех наблюдениях позволило выявить жидкостное образование почек, определить его локализацию, отношение к почечному синусу. При выявлении жидкостных образований в паренхиме почки с неоднородным содержимым, неровными, нечеткими контурами, перегородками, мягкоткаными элементами дальнейшим этапом являлась КТ или МРТ. При эходопплерографии выраженные гемодинамические нарушения отмечены у 141 больного, из них с солитарной кистой почки (n-69, 48,93%) поликистозом почек (n-33, 23,4%), кистами почечного синуса (n-30, 21,28%), мультилокулярной кистозной нефромой (n-2, 1,42%), кистозным вариантом рака почки (n-2, 1,42%), раком в кисте (n-4, 2,84%), ангиолейомиолипомой почки (n-1, 0,71%).
Экскреторная урография лишь в 36 (47,4%) наблюдениях позволила выявить изменения, характерные для объемных образований почек: оттеснение чашечек, деформацию последних, удлинение шеек чашечек, девиацию верхней трети мочеточника, дилатацию и деформацию лоханки. Практически все выявленные изменения не патогномоничны для жидкостных образований почек, в 40 (52,6%) наблюдениях никаких изменений выявлено не было.
КТ и МРТ позволили четко визуализировать структурные элементы и характер жидкостных образований почек, а также васкуляризацию и возможность присутствия опухолевого компонента при контрастировании в 13 наблюдениях (6,19%).
В 98 наблюдениях выполнена пункция жидкостного образования почек, из них в 69 (70,4%) при солитарной кисте, 4 (4,08%) из которых при нагноившихся кистах; 24 (24,41%) при поликистозе почек. Показаниями к пункции были кисты размерами более 5 см, сопровождающиеся клинической картиной и гемодинамическими нарушениями в почке.
В 2 (1,73%) наблюдениях по результатам дооперационного обследования доброкачественных характер кисты не вызывал сомнений, однако при пункции получена геморрагическая жидкость. При цитологическом исследовании аспирата атипических клеток не обнаружено. У этих больных кисты в течение 2 суток послеоперационного периода наполнялись, достигнув прежних размеров. При повторной МСКТ выявлена опухоль стенки кисты. В обоих наблюдениях выполнена нефрэктомия, диагноз рака в кисте подтвержден морфологически. В 2 других (1,73%) наблюдениях, по данным комплексного обследования заподозрена мультилокурярная кистозная нефрома. С целью подтверждения диагноза, выполнена пункционная биопсия образований с морфологическим исследование аспирата, при котором опухолевых клеток не обнаружено.
В 4 наблюдениях образования почек представлены многокамерными жидкостными структурами, разделенными плотными перегородками, с мягкоткаными компонентами, интенсивно накапливающими контрастный препарат. Данная картина соответствует кистозному раку почки. Больные оперированы, во всех наблюдениях диагноз подтвержден морфологически (рис. 1).
Читайте также:
