КТ, МРТ при плоскоклеточном раке гортани
Добавил пользователь Владимир З. Обновлено: 09.01.2026
КТ, МРТ при плоскоклеточном раке гортани с ларингоцеле
а) Терминология:
1. Аббревиатура:
• Плоскоклеточный рак (ПКР)
2. Определение:
• Вторичное ларингоцеле (внутреннее или смешанное): расширение желудочка гортани, обусловленное его обструкцией
• Внутреннее ларингоцеле: «мешок» в окологортанном пространстве, заполненный газом или жидкостью
• Смешанное ларингоцеле: внутреннее ларингоцеле окологортанного пространства, распространяющееся через щитоподъязычную мембрану в поднижнечелюстное пространство
• Пиоларингоцеле: любое вторично инфицированное ларингоцеле
б) Визуализация:
• Лучший диагностический критерий:
о Внутреннее или смешанное ларингоцеле стойкой стенкой, заполненное газом или жидкостью, с мягкотканным объемным образованием (ПКР) собственно гортани и/или ее преддверия
• Локализация:
о Причинный ПКР: объемное образование собственно гортани или наиболее каудальных отделов ее преддверия с вовлечением желудочка гортани
1. Рентгенологические данные:
• Рентгенография:
о Воздушный «карман» в мягких тканях верхних отделов шеи

(Слева) При аксиальной КТ с КУ визуализируется небольшое вторичное внутреннее ларингоцеле в краниальных отделах окологортанного пространства слева.
(Справа) При аксиальной КТ с КУ на уровне голосовых связок визуализируется инфильтративное объемное образование (ПКР) левой голосовой связки, накапливающее контраст. При эндоскопическом исследовании было обнаружено распространение опухоли на ложную голосовую складку, лежащую выше. При КТ были выявлены признаки местного объемного воздействия, обусловленного вторичным внутренним ларингоцеле.
2. КТ при плоскоклеточном раке гортани осложненном вторичном ларингоцеле:
• КТ с КУ:
о Обструктивный ПКР: инфильтративное образование гортани или ее преддверия, накапливающее контраст:
- Захватывает область желудочка гортани
- Окологлоточное ларингоцеле прилежит к краю ПКР
о Вторичное ларингоцеле:
- Внутреннее ларингоцеле: тонкостенное кистозное образование в окологортанном пространстве с плотностью газа или жидкости
- Смешанное ларингоцеле: окологортанная киста, проходящая через щитоподъязычную мембрану в поднижнечелюстное пространство (ПНП)
3. МРТ при плоскоклеточном раке гортани осложненном вторичном ларингоцеле:
• Т2ВИ:
о Обструктивный ПКР: инфильтративное образование собственно гортани и/или каудальных отделов преддверия с промежуточным сигналом
о Вторичное ларингоцеле: гиперинтенсивное образование в окологортанном пространстве ± распространяющееся в ПНП (смешанное ларингоцеле)
• Т1ВИ С+:
о Обструктивный ПКР: инфильтративное образование собственно гортани и/или каудальных отделов ее преддверия, вовлекающее желудочек гортани, накапливающее контраст
о Вторичное ларингоцеле: только периферическое контрастное усиление
4. Рекомендации по визуализации:
• Лучший метод диагностики:
о КТ с КУ: минимальное количество двигательных артефактов

(Слева) При аксиальной КТ с КУ визуализируется смешанное вторичное ларингоцеле заполненное газом, со «стебельком», заполненным жидкостью. Ларингоцеле обусловлено обструкцией желудочка гортани опухолью (ПКР) ее преддверия, накапливающей контраст. Опухоль распространяется на ложную голосовую складку и обусловливает увеличение черпалонадгортанной складки.
(Справа) При корональной КТ с КУ у этого же пациента визуализируется наружное вторичное ларингоцеле, заполненное газом, вытянутый «мешок», заполненный жидкостью, а также опухоль (ПКР) преддверия гортани и собственно гортани. У всех взрослых пациентов с ларингоцеле, выявленном на КТ, необходимо исключить ПКР гортани.
в) Дифференциальная диагностика плоскоклеточного рака гортани осложненном ларингоцеле:
1. Первичное ларингоцеле:
• Ларингоцеле в отсутствие обструктивного образования
2. Киста щитоязычного протока:
• Срединное кистозное образование в подподъязычных мышцах
• Может выбухать по средней линии в преднадгортанное пространство
3. Киста второй жаберной щели:
• Кистозное образование за поднижнечелюстной слюнной железой в области угла нижней челюсти
• Не сообщается с гортанью
г) Патология:
1. Общие характеристики:
• Этиология:
о Обструкция желудочка гортани объемным образованием с возникновением внутреннего или смешанного ларингоцеле в последующем:
- ПКР гортани >> воспаление > травма
- 15% всех ларингоцеле
2. Микроскопия:
• Ларингоцеле: выстилка из респираторного эпителия (мерцательного, столбчатого), фиброзная стенка
д) Клинические особенности:
1. Проявления:
• Типичные признаки/симптомы:
о ПКР: охриплость голоса, стридор вследствие фиксации голосовой связки
• Другие признаки/симптомы:
о Ларингоцеле: при ларингоскопии - подслизистое образования преддверия гортани:
- ПКР может быть сложно визуализировать
о Смешанное ларингоцеле: объемное образование в передних отделах шеи на уровне подъязычной кости
2. Течение и прогноз:
• Ларингоцеле продолжает увеличиваться в размерах до устранения ПКР
3. Лечение:
• Успешное лечение ПКР позволяет устранить вторичное ларингоцеле либо не оказывает эффекта
е) Диагностическая памятка. Советы по интерпретации изображений:
• При обнаружении ларингоцеле у курильщика, необходимо оценить область желудочка гортани на предмет ПКР
• Стадирование обструктивного первичного ПКР осуществляется так же, как и при отсутствии ларингоцеле
• Вторичное ларингоцеле может быть внутренним или смешанным
ж) Список использованной литературы:
1. Akdogan О et al: The association of laryngoceles with squamous cell carcinoma of the larynx presenting as a deep neck infection. B-ENT. 3(4):209-11, 2007
2. Akbas Y et al: Asymptomatic bilateral mixed-type laryngocele and laryngeal carcinoma. Eur Arch Otorhinolaryngol. 261(6):307-9, 2004
3. Harney M et al: Laryngocele and squamous cell carcinoma of the larynx. J Laryngol Otol. 115(7):590-2, 2001
4. Harvey RT et al: Radiologic findings in a carcinoma-associated laryngocele. Ann Otol Rhinol Laryngol. 105(5):405-8, 1996
5. Celin SE et al: The association of laryngoceles with squamous cell carcinoma of the larynx. Laryngoscope. 101(5):529-36, 1991
6. Close LG et al: Asymptomatic laryngocele: incidence and association with laryngeal cancer. Ann Otol Rhinol Laryngol. 96(4):393-9, 1987
МРТ и КТ при раке гортани - что покажет?

КТ и МРТ горла и гортани с контрастом - это основной аппаратный метод экспертной диагностике онкологии этой зоны.
Раком горла и гортани принято называть любую злокачественную опухоль в области гортани и глотки. Среди злокачественных опухолей ЛОР-органов, рак гортани занимает первое место. Это онкологическая патология чаще всего встречается у мужчин в возрасте 40-60 лет. Только в России она уносит около 5000 жизней ежегодно. Однако в отличие от других опухолей в последнее время наблюдается устойчивая тенденция к уменьшению роста этого заболевания. Онкологи связывают это с тем, что все больше людей отказываются от курения. Причины возникновения рака горла и гортани точно не известны, но учеными были выделены следующие факторы риска:
- употребление никотина;
- вирус папилломы;
- плохая экология окружающей среды.
Что такое рак горла
Рак горла не является точным медицинским термином, поэтому онкологи обычно его не используют. Многие люди используют термин «рак горла» для обозначения рака, развившегося в любой из трех частей глотки. Они также могут использовать его для обозначения рака около глотки, например, рака:
- щитовидная железа
- голосовой аппарат (гортань)
- пищевод (пищевод)
Глотка — это медицинское название горла. Глотка состоит из 3 частей.
- ротоглотка - часть горла в задней части рта
- гипофаринкс находится позади и по обе стороны от гортани
- носоглотка оединяет заднюю часть носа с задней частью рта.
Злокачественная опухоль может развиться в любой части глотки.
Признаки рака гортани
Первые признаки онкологии горла похожи на проявления обычных простудных заболеваний, что делает болезнь трудно диагностируемой на ранних стадиях. На поздних этапах человек начинает испытывать постоянные гортанные спазмы, наблюдается охриплость, опухоль в области шеи, затруднения при глотании, чувство упорного першения, боли, неловкости в горле, кашель, стенозирование. Многие люди ошибочно списывают эти симптомы на вирусные инфекции и аллергию и не идут к врачу, тем самым позволяя раку развиваться и метастазировать.
Методы первичной диагностики рака горла и гортани
До настоящего времени 60-70% пациентов, заболевших раком гортани, выявляют в III и IV стадиях заболевания. Такие высокие показатели связаны с диагностическими сложностями дифференциальной диагностики новообразований органов дыхательных путей в области шеи. Ранняя диагностика рака гортани представляет определенные трудности в связи со сходством начальных проявлений заболеваний с доброкачественными опухолями, воспалительными и другими патологическими процессами. Нередко опухоль локализуется в труднодоступных для осмотра и взятия биопсии местах, например, в фиксированном отделе надгортанника, гортанных желудочках, в подскладковом отделе гортани.
Ультразвуковая диагностика является самым распространенным методом первичного скрининга органов шеи. Она привлекает врачей своей неинвазивностью, доступностью, безопасностью, возможностью неоднократного применения, относительной простатой исследования и отсутствием необходимой специальной подготовки. Оценка точности ультразвукового метода исследования в выявлении рака горла и гортани находиться в диапазоне 60-90%, чувствительности - 60-90%, специфичности - 30-90%. Если данные ультразвукового сканирования носят тревожный характер, пациента направляют на дообследование с помощью МРТ или КТ гортани.
| МРТ здоровой гортани | МРТ рака гортани |
![]() |
Что покажет МРТ и КТ при раке горла и гортани
Если в ходе осмотра у доктора возникли подозрения на рак, чтобы поставить точный диагноз и определить место патологического процесса, он назначит проведение КТ гортани или МРТ горла и гортани. Это будет первичный скрининг. Томография даст такую важную информацию, как контуры, размеры, форма новообразования, степень её однородности, стадия развития кровеносных сосудов в тканях.
Информативность МРТ и КТ при диагностике рака гортани и горла сопоставима. Обе томографии дают возможность своевременно определить первичную опухоль, дать оценку формы и размеров новообразования, определить состояние окружающих опухоль костных, хрящевых и мягкотканых структур, уточнить уровень инвазии в соседние органы. Однако КТ превосходит возможности МРТ в выявлении костной деструкции и способна документировать костные изменения на самых ранних этапах. МРТ по сравнению с компьютерной томографией дает лучшую видимость гортанных желудочков и грушевидных синусов и позволяет выявить мелкие новообразования на слизистой оболочке. Комплексная МРТ и КТ гортани помогает в дифференциальной диагностике между доброкачественными и злокачественными опухолями, псевдоопухолями, воспалительными инфильтратами и дает представление о локализации, инвазии опухолью окружающих анатомических структур. Эти данные важны для выбора тактик лечения, объема хирургического вмешательства, оценки эффективности лучевой терапии, разработки критериев деканюляции после реконструктивных операций.
По результатам томографии горла онколог сможет локализовать положение опухоли и понять, в каком месте нужно брать материалы для биопсии, чтобы окончательно определить её характер. При биопсии с помощью специальной иглы диагност возьмет маленький образец ткани опухоли и отправит его в лабораторию для идентификации раковых клеток. На сегодняшний день это единственный тест, позволяющий 100% диагностировать злокачественность или доброкачественность новообразования.
Затем могут назначить еще одно исследование КТ горла или МРТ горла и гортани. При повторной томографии специалисты получат трехмерные изображения пораженного участка, что поможет им спрогнозировать стадию рака по размерам опухоли, подвижности голосовых связок и наличию метастазов. Данные всех этих диагностических исследований определят, каким методом будут лечить рак, и требуется ли операционное вмешательство.
Почему стоит остановиться на томографии при диагностике онкологии
У томографии существует целый ряд преимуществ в онкопоиске:
- на сегодняшний день томография является одним из самых безошибочных способом выявления отклонений и диагностики раковых заболеваний первичного и вторичного характера;
- немаловажным фактором является безболезненность и безопасность процедуры МРТ;
- благодаря работе опытных специалистов диагностика не занимает много времени - при МРТ - от 20 минут до часа в зависимости от комплекса исследуемых областей организма и использования контрастирования, при КТ - 5-7 минут;
- более доступная стоимость по сравнению с дорогим исследованием ПЭТ;
- снимки и результаты выдаются на руки сразу после проведение процедуры сканирования, их можно показать врачам для получения второго мнения в сложных случаях.
От чего зависит успешность выявления рака гортани на МРТ?
Успешность диагностики онкологической опухоли на МРТ зависит от нескольких факторов:
Рак горла и гортани — диагностика и лечение
Рак гортани является наиболее распространенной опухолью среди всех злокачественных образований шеи и головы; среди всех злокачественных опухолей рак гортани составляет 2,6%. Заболеваемость составляет 4,9 случаев на 100 тысяч населения. Рак гортани относится к злокачественным опухолям с высокой смертностью: в течение года после установления диагноза погибают 32,8% пациентов. Заболевают преимущественно мужчины. Пик заболеваемости приходится на возраст 65-79 лет.
Сделать МРТ гортани в Санкт-Петербурге
Факторы, предрасполагающие к развитию злокачественных новообразований гортани:
- Курение табака
- Употребление алкоголя
- Вдыхание металлической пыли
- Папилломатоз, ассоциированый с вирусом папилломы человека 10 и 11 типа
Классификация опухолей гортани
Традиционно злокачественные опухоли гортани принято классифицировать на основании их локализации. Выделяют рак преддверия гортани, среднего отдела гортани, а также опухоли подсвязочной локализации. В каждом из этих трех случаев имеются свои собственные пути оттока лимфы, отдельная классификация TNM, в зависимости от локализации варьируют способы лечения, доступы и т. д.
Верхний отдел гортани
- Надподъязычный отдел надгортанника
- Гортанная поверхность черпаловидных складок
- Черпаловидные хрящи
- Субподъязычная часть надгортанника
- Вестибулярные складки
Средний отдел гортани
- Область голосовых складок
- Передний комиссуральный отдел
- Задний комиссуральный отдел
- От нижней границы голосовых складок до края перстневидного хряща
Гистологические варианты опухолей гортани
По своей тканевой структуре опухоли гортани классифицируются следующим образом:
- Плоскоклеточный (преобладающий вариант)
- Аденокарцинома (редкий вариант)
- Круглоклеточная саркома
- Карциносаркома
- Миосаркома
- Хондросаркома
- Фибросаркома
- Лимфосаркома
- Метастазы рака и саркомы различных локализаций в гортань
- Преимущественно контактные метастазы при раке пищевода, вторичном опухолевом поражении лимфоузлов средостения, лимфоме
- Возможно также нисходящее распространение опухоли глотки в гортань
Cтадирование рака гортани по системе TNM
Рак гортани — симптомы и проявления у мужчин и женщин
Пациенты с опухолями гортани могут предъявлять следующие жалобы:
При локализации опухоли над голосовыми складками:
- На ощущение инородного тела в горле
- На затруднения при проглатывания твердой пищи (дисфагия)
- Боль при проглатывании пищи (одинофагия), отдающую в ухо
Опухоль голосовых складок:
- Охриплость голоса — первый признак опухоли горла у женщин и у мужчин
- Отсутствие голоса (афония)
Опухоль подскладочного отдела гортани:
- Нарушение дыхания из-за стеноза гортани
- Минимально выраженная охриплость или отсутствие таковой
Не лучевые методы диагностики гортани
Внешний осмотр и пальпация области гортани и шеи определяет объем, форму, консистенцию, степень подвижности гортани, наличие патологически измененных и увеличенных лимфоузлов шеи
Непрямая ларингоскопия с помощью зеркальца определяют границы, локализацию, форму и приблизительные размеры опухоли.
Фиброларингоскопия, основанная на использовании специальной оптики с гибкими трубками, позволяет лучше оценить опухоль и состояние гортани, а также взять материал для биопсии.
Тонкоигольная биопсия опухоли и тканевое исследование биоптата является самым достоверным методом подтверждения рака гортани, а также установления его гистологического типа.
Лучевые методы диагностики рака гортани
Рентгенография гортани в боковой проекции дает возможность оценить степень распространения опухоли в преднадгортанниковой области, уточнить степень инвазии надгортанника, хрящевой части гортани и окружающих мягких тканей, однако чувствительность этого метода довольно низкая. С появлением компьютерной томографии и МРТ рентгенография мягких тканей шеи утратила свое значение.
Сделать КТ гортани в Санкт-Петербурге
Компьютерная томографи я (КТ) и магнитно-резонансная томография (МРТ) относятся в настоящее время к основным методам визуализации опухолей шеи. Благодаря возможности получения «среза» на нужном уровне, врач может достоверно оценить размеры опухоли, ее расположение, вовлечение различных структур гортани, глубину прорастания окружающих органов и т.п.
Что показывает кт гортани и горла
КТ-признаки опухоли гортани:
Наличие объемного образования мягкотканной плотности (+30…+60 единиц Хаунсфилда) над голосовыми складками, на складках или под ними
- При раке надскладочного отдела возможна инвазия опухоли в грушевидные синусы, распространение в преднадгортанниковую жировую клетчатку
- При раке голосовых складок важно оценить вовлечение в процесс передней комиссуры и перстнечерпаловидных суставов
- При раке подскладочного отдела нужно оценить степень распространения опухоли вниз (в трахею)
Как выглядит рак горла, фото КТ среза. Хорошо виден объемный процесс, вызывающий разрушение хряща (справа) и сужение просвета гортани. Необходимо тщательно проанализировать результаты КТ, чтобы не ошибиться со стадией заболевания.
МРТ горла и гортани: что показывает?
Магнитно-резонансная томография похожа на КТ тем, что на обоих методах получаются послойные изображения органа — срезы. При правильно выполненном исследовании МРТ способна даже лучше, чем КТ, выявить опухоль гортани, отличить ее от воспалительных или рубцовых изменений, определить ее структуру и распространенность, точные размеры и степень инвазии окружающих тканей. К недостаткам метода относится, однако, длительность исследования и неспособность некоторых пациентов долгое время находиться в замкнутом пространстве.
![рак горла МРТ]()
Сравнение КТ и МРТ мягких тканей шеи при раке правой голосовой складки. Один и тот же пациент. Слева КТ, справа МРТ.
Второе мнение врача
Лечение рака гортани и горла
Основные цели лечения при раке гортани: удаление первичной опухоли и метастазов в ближайшие лимфоузлы, восстановлений дыхательной и голосовой функций. Чем ранее выявлено злокачественное образование, тем скорее можно добиться полного излечения, комбинируя операцию с лучевой терапией и химиотерапией.
Лечение при раке среднего отдела:
- Лучевая терапия (35-50 Гр) с последующим увеличением дозы до 55-60 Гр
- После лучевой терапии — операция (резекция опухоли) на ранних стадиях
- На поздних стадиях: лучевая терапия с последующей ларингэктомией
Лечение при раке надскладочного отдела:
- На ранних стадиях: лучевая терапия и оперативное вмешательство
- На поздних стадиях: химиотерапия, лучевая терапия и оперативное вмешательство
Лечение при раке подскладочного отдела:
- Лучевая терапия при раке гортани подскладочной локализации в дозе 40 Гр
- Оперативное вмешательство с протезированием гортани
- На поздних стадиях лучевая терапия не показана
Прогноз и продолжительность жизни
После комбинированной терапии по поводу опухоли гортани пациенты нуждаются в тщательном контроле на предмет рецидивов и отдаленного метастазирования. Прогноз зависит от локализации образования, типа роста, размера, стадии TNM, степени злокачественности, патоморфологической структуры, чувствительности к облучению и т. д. Пятилетняя выживаемость пациентов на стадии T1 достигает 92%, Т2 — 80%, Т3 — 67% (при условии отсутствия вторичного поражения регионарных лимфоузлов и отдаленных метастазов).
Василий Вишняков, врач-радиолог
КТ, МРТ при плоскоклеточном раке гортани
1. Аббревиатура:
• Плоскоклеточный рак (ПКР) преддверия гортани (ПГ)2. Синонимы:
• ПКР надгортанника, черпалонадгортанных (ЧН) складок, ложных голосовых складок3. Определения:
• Плоскоклеточный рак слизистой оболочки любой части преддверия гортани:
о Отделы преддверия гортани: надгортанник, ЧН и ложные голосовые складки
о Глубокие пространства преддверия гортани: преднадгортанное (ПНП) и окологортанное (ОГП)б) Визуализация:
1. Общие характеристики:
• Лучший диагностический критерий:
о Инфильтративное образование надгортанника, черпалонадгортанной складки или ложной голосовой складки, умеренно накапливающее контраст и часто сочетающееся со злокачественной лимфаденопатией
• Локализация:
о Любая часть гортани от уровня подъязычной кости до желудочков гортани
• Размер:
о Варьирует; в большинстве случаев больше, чем ПКР собственно гортани и подсвязочного отдела гортани, поскольку обнаруживается позже
• Морфология:
о Объемное образование, умеренно накапливающее контраст, с глубокой инвазией гортани, в т.ч. ПНП ± ОГП
о Опухоль на поздней стадии: деструкция хрящей гортани ± злокачественная лимфаденопатия![КТ, МРТ при плоскоклеточном раке преддверия гортани]()
(Слева) При аксиальной КТ с КУ визуализируется крупная опухоль (ПКР), заполняющая около гортанное пространство с обеих сторон, пересекающая среднюю линию и прорастающая в черпалонадгортанные складки Обратите внимание, что опухоль вызывает сужение просвета дыхательных путей; оцените также вторичное опухолевое поражение лимфоузла III уровня справа.
(Справа) При МРТ Т1ВИ в сагиттальной проекции визуализируется массивная опухоль (ПКР) преддверия гортани, заполняющая предгортанное пространство и замещающая жировую ткань, но не затрагивающая часть надгортанника выше подъязычной кости. КТ с КУ или МРТ в сагиттальной плоскости отчетливо демонстрируют инвазию предгортанной жировой ткани, что означает как минимум стадию Т3.2. КТ при плоскоклеточном раке преддверия гортани:
• КТ с КУ:
о Объемное образование надгортанника, ЧН складок, ложных голосовых складок, ПНП ± ОГП, умеренно накапливающее контраст
о ПКР надгортанника: объемное образование, расположенное в надподъязычной («свободной») его части или в области тела:
- Двухстороннее симметричное расположение может «скрыть» патологические изменения
- Поражение ПНП клинически незаметно, но означает стадию ТЗ
о ПКР ЧН складки может распространяться кзади и кнаружи в грушевидный синус (гортаноглотку), или кпереди в ложную голосовую складку:
- Возможно также распространение опухоли за пределы ЧН складки в грушевидный синус
о ПКР ложной голосовой складки необходимо обращать внимание на признаки глубокой инвазии окологортанного пространства
о Распространение в ПНП допускает опухолевую инвазию передней комиссуры и истинной голосовой связки (ИГС)
о Распространение в ОГП: инвазия истинной голосовой связки или щитовидного хряща
о Распространение за пределы гортани = опухоль в мягких тканях вне ее границ:
- Чаще всего щитоподязычную вырезку или щитоперстневидную связку
- Реже напрямую через щитовидный хрящ
- Распространение за пределы гортани = Т4а
- Лечение в большинстве случаев: тотальная ларингэктомия
• КТ в костном окне:
о Склероз хряща, эрозия или деструкция
- Склероз в отсутствие других изменений является чувствительным, но низкоспецифичным признаком опухолевой инвазии; часто обусловлен перихондритом
- Эрозии и/или литические изменения-самый специфичный признак3. МРТ при плоскоклеточном раке преддверия гортани:
• Т1ВИ:
о Сигнал низкой или промежуточной интенсивности
• Т2ВИ:
о Мягкотканное образование с сигналом промежуточной интенсивности
о Выраженный гиперинтенсивный сигнал в хряще на Т2 ВИ является признаком отека/перихондрита
о Изоинтенсивный сигнал в хряще (по сравнению с опухолью): подозрение на инвазию
• Т1ВИ С+:
о Равномерное накопление контраста в солидной опухоли
о КУ хряща > КУ опухоли: инвазия хряща менее вероятна
о КУ хряща = КУ опухоли: инвазия хряща более вероятна4. Сцинтиграфия:
• ПЭТ/КТ:
о Гиперфиксация ФДГ в первичной опухоли (ПКР) и лимфоузлах
о Роль ПЭТ: выявление региональных и отдаленных метастазов (ТЗ-Т4), или рецидива опухоли5. Рекомендации по визуализации:
• Лучший метод диагностики:
о ПЭТ/КТ с КУ: предпочтителен для стадирования ПКР преддверия гортани:
- Изображения в корональной плоскости лучше всего позволяют оценить краниокаудальное распространение ПКР ПГ
- Сагиттальная плоскость наилучшая для оценки инвазии ПНП
о При подозрении на инвазию хряща дополнительно используется МРТ
• Выбор протокола:
о КТ с КУ: реконструкции в аксиальной плоскости толщиной 2,5-3 мм
о Для обнаружения инвазии хряща требуется большая ширина окна:
- Инвазия/эрозия хряща: эрозия только внутренней поверхности (Т3)
- Пенетрация: прорастание хряща опухолью на всю толщину (Т4)![КТ, МРТ при плоскоклеточном раке преддверия гортани]()
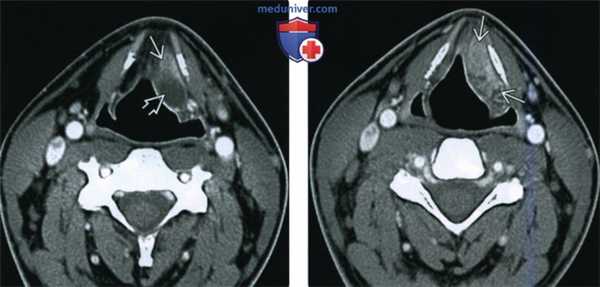
(Слева) При аксиальной КТ с КУ в преддверии гортани визуализируется объемное образование, смещающее жировую ткань. Его часть, не накапливающая контраст и имеющая плотность, соответствующую слизистому компоненту, представляет собой внутреннее ларингоцеле, возникшее в результате обструкции желудочка гортани опухолью.
(Справа) При аксиальной КТ с КУ у этого же пациента, выполненной каудальнее, визуализируется опухоль (плоскоклеточный рак), полностью вовлекающая окологортанное пространство. Пластинка щитовидного хряща склерозирована, но признаков ее деструкции нет. Подподъязычные мышцы ниже уровня подъязычной кости слева не выглядят измененными, признаков распространения опухоли за пределы гортани не выявлено (стадия Т3).в) Дифференциальная диагностика плоскоклеточного рака преддверия гортани:
1. Ларингоцеле:
• Кистозное образование в окологортанном пространстве (внутреннее или простое) или за пределами гортани (наружное или смешанное)
• Вторичное ларингоцеле обусловлено обструкцией желудочка гортани ПКР собственно гортани или ее преддверия2. Желудочно-пищеводный рефлюкс:
• Обратимые воспалительные изменения задней стенки гортани, в т.ч. ЧН складок, а также, часто, и ИГС3. Изменения гортани при ревматоидном артрите:
• Отек перстневидного и черпаловидных хрящей, ревматоидный артрит в анамнезе4. Изменения гортани при саркоидозе:
• Утолщение собственно гортани и ее преддверия, обычно в отсутствие дискретного объемного образования гортани5. Аденокистозный рак гортани:
• Очень редкая подслизистая опухоль гортани
• Напоминает ПКР ПГ, но реже инвазирует хрящ![КТ, МРТ при плоскоклеточном раке преддверия гортани]()
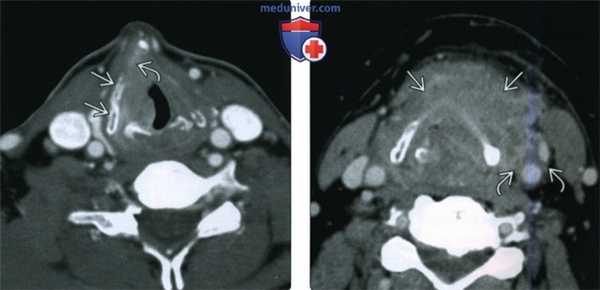
(Слева) При аксиальной КТ с КУ визуализируется большая опухоль (ПКР) правой ложной голосовой складки. Щитовидный хрящ склерозирован, однако это не позволяет сделать достоверный вывод о его опухолевой инвазии. Опухоль прорастает через внутреннюю и наружную поверхность щитовидного хряща и обнаруживается спереди. Стадия опухоли: Т4а.
(Справа) При аксиальной КТ с КУ визуализируется большая опухоль (плоскоклеточный рак) преддверия гортани (Т4а), полностью перекрывающая дыхательные пути, прорастающая через щитовидный хрящ, распространяющаяся за пределы гортани (в ремнеобразные мышцы) в виде массивного объемного образования. Обратите внимание, что опухоль близко прилежит к сонному влагалищу.1. Общие характеристики:
• Этиология:
о Табак ± злоупотребление алкоголем
о Гортань в эмбриогенезе подразделяется на два отдела:
- Преддверие (богатое лимфатическими и кровеносными сосудами)
- Собственно гортань и подсвязочный отдел (бедное лимфатическими и кровеносными сосудами)
• Генетические нарушения:
о Утрата аллеля или утрата гетерозиготности короткого плеча 8 хромосомы
о В случаях ПКР ПГ утрата гетерозиготности р23 8 хромосомы - независимый прогностический фактор неблагоприятного прогноза
о Экспрессия онкогена HER2/neu (ERBB2) и позитивные лимфоузлы в сочетании с отдаленными метастазами2. Стадирование, классификация плоскоклеточного рака преддверия гортани:
• Стадирование: формы Объединенного Американского Комитета по Раку (АОКР) 2010
• Точное определение стадии осуществляется с учетом функции голосовых связок, симптоматики, эндоскопического исследования:
о Т1: опухоль одного отдела преддверия гортани, нормальная подвижность ИГС
о Т2: инвазия слизистой >одного отдела преддверия без фиксации гортани:
- Распространение в слизистую оболочку корня языка, вал-лекулы, внутреннюю стенку грушевидного синуса = Т2
о Т3: опухоль, расположенная внутри гортани, с фиксацией ИГС± инвазия ПНП, ОГП, заперстневидной области гортано-глотки, внутренней поверхности щитовидного хряща
о Т4а: прорастание опухоли через щитовидный хрящ ± распространение в ткани за пределами гортани:
- В трахею, мягкие ткани шеи, подподъязычные мышцы, щитовидную железу, пищевод
о Т4b: инвазия опухолью превертебрального пространства, обрастание сонных артерий, или инвазия средостения3. Макроскопические и хирургические особенности:
• Плохо отграниченная, плотная и/или изъязвленная опухоль слизистой оболочки,4. Микроскопия:
• Умеренно- или низкодифференцированный ПКР, обычно некератинизирующий
• Плоскоклеточная дифференцировка, межклеточные мостики или кератинизация1. Проявления:
• Типичные признаки/симптомы:
о Боль в горле, дисфагия, отраженная боль в ухе
о Объемное образование шеи = метастатическая лимфаденопатия
• Другие признаки/симптомы:
о Охриплость голоса, асфиксия при поражении ИГС
• Клинический профиль:
о Мужчина > 50 лет, курящий и употребляющий алкоголь2. Демография:
• Возраст:
о Обычно больше 50 лет
• Пол:
о М:Ж=9:1
• Эпидемиология:
о 2,5% всех раковых опухолей у мужчин и 0,5% у женщин
о >95% злокачественных опухолей гортани ПКР
о 30% ПКР гортани располагаются в преддверии3. Течение и прогноз:
• Проявляется поздно лимфаденопатией, т.к. ПГ является клинически «немым»:
о Метастатическая лимфаденопатия в 35% случаев
о В первую очередь поражаются лимфоузлы II уровня
о При раке надгортанника (срединной структуры): двухстороннее поражение
• Пятилетняя выживаемость при ПКР любого отдела ПГ = 75%
• Прогноз лучше при опухолях, располагающихся каудальнее:
о Опухоли ИГС раньше проявляют себя охриплостью4. Лечение:
• Т1/Т2 (небольшого размера): лазерная хирургия или лучевая терапия
• Т3: у небольшого количества пациентов возможна лазерная резекция или частичная ларингэктомия
• Т3/Т4а (большего размера): лучевая и химиотерапия
• Т4а: распространение опухоли за пределы гортани или прорастание ею щитовидного хряща = тотальная ларингэктомия
• Т4b: нехирургическое (паллиативное) лечениее) Диагностическая памятка:
1. Следует учесть:
• Для точного стадирования необходимо учитывать данные эндоскопического/лучевых исследований в комплексе
• У курящего пациента, злоупотребляющего алкоголем, всегда необходимо искать вторую первичную опухоль2. Советы по интерпретации изображений:
• Склероз хряща неспецифичен: перихондрит или истинная инвазия хряща:
о MPT (Т2 и Т1 С+) лучше всего для подтверждения пенетрации хряща
• ПГ богато лимфатическими сосудами → частая метастатическая лимфаденопатия
• Метастазы в лимфоузлах появляются тем чаще, чем выше стадия Т3. Рекомендации по отчетности:
• Необходимо описать опухоль ПГ и полностью оценить ее распространение
• Оценить состояние хряща:
о Хрящ не изменен?
о Нет ли эрозий внутренней поверхности?
о Имеется ли сквозное прободение хряща опухолью?
• Обязательно нужно отметить распространение опухоли за пределы гортани1. Аббревиатура:
• Плоскоклеточный рак (ПКР) собственно гортани (глоттис)2. Определение:
• ПКР, возникающий в слизистой оболочке собственно гортани:
о В голосовых связках, передней и задней комиссуре1. Общие характеристики:
• Лучший диагностический критерий:
о Деформация и контрастное усиление истинной голосовой связки (ИГС)
• Локализация:
о Чаще всего в передних отделах ИГС и передней комиссуре![Плоскоклеточный рак гортани - лучевая диагностика]()
(Слева) При аксиальной КТ с КУ визуализируется экзофитное объемное образование правой голосовой связки, накапливающее контраст. Передняя и задняя комиссура не изменены. Склероз правого черпаловидного хряща не является специфичным признаком, и может быть обусловлен как перихондритом, так и опухолевой инвазией. Стадия опухоли: Т1а.
(Справа) При аксиальной КТ с КУ определяется опухоль (ПКР) в левой голосовой связке, передней комиссуре и передней трети правой голосовой связки. Левый черпаловидный и щитовидный хрящи склерозированы, однако признаки деструкции или пенетрации хряща не определяются. Стадия опухоли в этом случае была определена как T1b согласно данным томографического исследования.2. КТ при плоскоклеточном раке гортани:
• КТ с КУ:
о Контрастирующееся инфильтративное или экзофитное образование ИГС
о Маленькие опухоли могут быть очень плохо различимы на томограммах
о Метастатическая лимфаденопатия возникает редко, обычно связана с большими опухолями на поздних стадиях3. МРТ при плоскоклеточном раке гортани:
• Т1ВИ:
о Объемное образование ИГС с гипо- или изоинтенсивным сигналом
• Т2ВИ:
о Объемное образование ИГС с сигналом промежуточной интенсивности
• Т1ВИ С+:
о Равномерное контрастное усиление4. Сцинтиграфия:
• ПЭТ:
о Редко выполняется при ПКР, т.к. метастатическая лимфаденопатия нетипична5. Рекомендации по визуализации:
• Лучший метод диагностики:
о КТ с КУ при спокойном дыхании пациента не так подвержена артефактам от движения по сравнению с МРТ
о МРТ используется дополнительно для подтверждения инвазии хряща
• Выбор протокола:
о КТ с КУ при спокойном дыхании
о Срезы - Распространение в преддверие: пересечение желудочков гортани
- Распространение в подсвязочное пространство: >1 см ниже ИГС![Плоскоклеточный рак гортани - лучевая диагностика]()
(Слева) При аксиальной КТ с КУ визуализируется массивное объемное образование с изъязвлениями (ПКР) обеих голосовых связок и передней комиссуры. Обе пластинки щитовидного хряща склерозированы, со стороны их внутренней поверхности видны эрозии, что позволяет повысить стадию опухоли до Т3.
(Справа) При МРТ Т1ВИ С+ FS в аксиальной проекции у пациента, ранее получавшего лечение по поводу ПКР правой голосовой связки, у которого возник рецидив опухоли, подтвержденный при биопсии, визуализируется новообразование накапливающее контраст, распространяющееся в перстневидный хрящ справа, прободающее щитовидный хрящ В и прорастающее в подподъязычные мышцы (стадия Т4а).в) Дифференциальная диагностика плоскоклеточного рака гортани:
1. Гастроэзофагеальный рефлюкс (рефлюксная болезнь):
• Отек голосовых связок и накопление контраста в слизистой2. Поражение гортани при ревматоидном артрите:
• Отек перстне-черпаловидного сустава3. Хондросаркома гортани:
• Подслизистое образование щитовидного или перстневидного хряща, гиперинтенсивное на Т2 ВИ4. Аденокистозный рак гортани:
• Подслизистое объемное слизистой с более гиперинтенсивным сигналом на Т2 ВИ1. Общие характеристики:
• Этиология:
о Сильная связь с курением и употреблением алкоголя2. Стадирование, классификация плоскоклеточного рака гортани:
• Классификация Американского Объединенного Комитета по Раку (АОКР) 2010 г.:
о Т1: ограничена голосовой связкой (ми) или комиссурой; нормальная подвижность связок:
- Т1а: опухоль ограничена 1 связкой
- Т1b: опухоль обеих голосовых связок
о Т2: распространение в преддверие гортани ± подсвязочный отдел и/или нарушение мобильности связки
о Т3: фиксация голосовой связки и/или инвазия огологортанного пространства ± эрозии внутренней поверхности щитовидного хряща
о Т4а: прорастание через наружную поверхность щитовидного хряща ± распространение за пределы гортани
о Т4b: инвазия превертабральных мышц, обрастание сонной артерии, или инвазия мягких тканей средостения1. Проявления:
• Типичные признаки/симптомы:
о Охриплость, изменение голоса2. Демография:
• Возраст:
о Пациенты обычно>50 лет
• Пол:
о М:Ж=9:1
• Эпидемиология:
о 60% ПКР гортани - опухоли глоттис3. Течение и прогноз:
• Передние отделы голосовых связок состоят из плотной эластичной фиброзной ткани, лишенной кровеносных и лимфатических сосудов:
о Лимфогенное метастазирование нетипично и происходит поздно
• Прогноз в целом благоприятный, если опухоль обнаруживается рано:
о Т1: пятилетняя выживаемость >90%
о Т4: пятилетняя выживаемость 30-60%4. Лечение:
• Небольшие опухоли (Т1): лазерная хирургия/лучевая терапия
• Опухоли большего размера (более высокой стадии): лучевая терапия в сочетании с частичной или тотальной ларингэктомией1. Следует учесть:
• Обычно на момент выполнения исследования диагноз известен
• КТ с КУ используется для оценки распространения опухоли в преддверие гортани или в подсвязочный отдел, вовлечения хряща или лимфоузлов
• МРТ позволяет обнаружить пенетрацию хряща2. Советы по интерпретации изображений:
• Утолщение передней комиссуры >1 мм означает ее вероятное опухолевое поражениеЧитайте также:







